Синдром Альцгеймера (Alzheimer) - синонимы, авторы, клиника
Добавил пользователь Евгений Кузнецов Обновлено: 08.01.2026
ФАРМАКОТЕРАПИЯ БОЛЕЗНИ АЛЬЦГЕЙМЕРА: МИФ ИЛИ РЕАЛЬНОСТЬ?
С. И. Гаврилова
Научно-методический центр по изучению болезни Альцгеймера и ассоциированных с ней расстройств НЦПЗ РАМН, Москва
В условиях меняющейся демографической ситуации с прогнозируемым на ближайшую четверть века значительным «постарением» населения России особую актуальность и социально-экономическую значимость приобретает проблема слабоумия, развивающегося в позднем возрасте. По заключению экспертов ВОЗ, болезнь Альцгеймера (синоним: деменция альцгеймеровского типа), является наиболее частой причиной слабоумия в пожилом и старческом возрасте. В последнее десятилетие болезнь Альцгеймера признана одной из четырех главных медико-социальных проблем современного общества. Это объясняется как неуклонно растущей численностью населения, подверженного риску развития заболевания, так и длительностью течения болезни и тяжелейшей инвалидизацией пациентов, требующей их пожизненной госпитализации в психиатрические стационары и психоневрологические интернаты.
Проведенные в НЦПЗ РАМН эпидемиологические исследования показали, что 4,5 % (более 70 тыс. чел.) московского населения в возрасте 60 и старше лет страдают деменцией альцгеймеровского типа, причем у 1,8 % обследованных (более 30 тыс. чел.) выявлены выраженные и тяжелые, т. е. требующие постороннего ухода и надзора, формы слабоумия (Калын Я. Б., Гаврилова С. И., 1997). Экстраполяция полученных данных на население старших возрастов России в целом позволяет говорит о том, что уже в настоящее время общая численность больных, страдающих болезнью Альцгеймера, в России приближается к 1,4 млн. человек.
По оценке специалистов Национального института старения США болезнь Альцгеймера занимает 4-е место среди причин смерти населения США, а общая численность таких больных составляет около 4 млн. человек. По различным оценкам, на медицинское и различные виды социального обслуживания пациентов с болезнью Альцгеймера в США ежегодно затрачивается от 40 до 78 млн. дол. (Henke С . I., Burchmore M. J., 1997). Близкие показатели экономических затрат на этих пациентов приводятся канадскими исследователями ( Ostbye Т., Crosse E ., 1987).
К сожалению, мы не располагаем соответствующими данными по России. Однако, даже если корригировать эти расчеты в соответствии с более ограниченными возможностями диагностики, лечения и социальной помощи больным в России, очевидно, что связанные с болезнью Альцгеймера экономические затраты российского общества (а в еще большей мере моральное бремя семей больных) действительно огромны.
Несмотря на бурное развитие в США, Японии и странах Западной Европы молекулярно-генетических, нейрохимических и нейрофизиологических и др. исследований болезни Альцгеймера, которые внесли существенный вклад в понимание ее патогенетических механизмов, этиология так называемых спорадических форм болезни, составляющих от 75 до 90 % всех случаев заболевания, остается неизвестной, а соответственно этиологически ориентированной терапии заболевания до сих пор не существует.
Тем не менее, в последнее десятилетие попытки целенаправленного воздействия на различные звенья патогенеза нейродегенеративного процесса, лежащего в основе болезни Альцгеймера, привели к разработке нескольких направлений терапевтического воздействия на проявления этого разрушительного заболевания.
Существующие в настоящее время стратегии терапевтического воздействия представлены следующими основными направлениями: 1) компенсаторная (заместительная) терапия, направленная на преодоление нейротрансмиттерного дефицита; 2) протективная терапия: применение нейропротекторов и нейротрофических факторов; коррекция нарушений свободно-радикальных процессов, а также метаболизма кальция; 3) противовоспалительная терапия; 4) гормональная терапия; 5) поведенческая терапия, в том числе, психофармакотерапия продуктивных психопатологических расстройств и психологическая коррекция (тренинг) когнитивных функций.
Наиболее многочисленные и хорошо разработанные компенсаторные терапевтические подходы основаны на попытках компенсации холинергической недостаточности, которой отводят ведущую роль в патогенезе нарушений памяти и когнитивных функций при болезни Альцгеймера. В настоящее время общепризнано, что наиболее эффективный подход в лечении болезни Альцгеймера основан на использовании ингибиторов ацетилхолинэстеразы (АХЭ).
Представитель нового поколения ингибиторов АХЭ — экселон (ривастигмин). Экселон — псевдообратимый ингибитор АХЭ карбаматного типа, имеющий селективное действие на ацетилхолинэстеразу в ЦНС — прошел успешно клинические испытания в США и нескольких европейских странах в двух больших мультицентровых (двойных слепых) исследованиях ( R . Anand , G . Gharabawi ; 1996). Проведенное в нашей клинике клиническое изучение экселона также дало чрезвычайно обнадеживающие результаты как в отношении терапевтической эффективности, так и клинической безопасности длительного (6 мес.) применения препарата у больных с мягкой и умеренной деменцией альцгеймеровского типа. Особенностью применения экселона является индивидуальный подбор оптимальных терапевтических дозировок на уровне максимально переносимых доз в диапазоне от 3,0 до 12 мг/сутки и возможность его сочетания с другими медикаментозными средствами, нередко необходимыми пожилым больным.
Помимо холинергического дефицита, который является наиболее ранним и выраженным проявлением болезни Альцгеймера, установлена также недостаточность других нейротрансмиттерных систем, в частности, серотонинергической, глутаматергической, а также нарушение активности моноаминоксидазы (МАО) типа В ( Q . В. Baker , С. P . Reynolds , 1989; S . L . Lowe et al ., 1990; K . Blennow et al ., 1992). При этих видах нейротрансмиттерной недостаточности используют различные средства заместительной терапии, в частности модулятор глутаматергической системы акатинол мемантин (для коррекции глутаматергической дисфункции), ингибиторы обратного захвата серотонина (циталопрам) — при серотонинергическом дефиците и др.
Имеются также данные об успешном применении ингибиторов МАО-В (селегилин) для лечения болезни Альцгеймера.
Симптоматические терапевтические эффекты большинства упомянутых препаратов считаются доказанными, однако, ни один из применяемых методов заместительной терапии не обладает установленной способностью надежно стабилизировать или существенно влиять на течение самого нейродегенеративного процесса.
Протективная терапия направлена на сохранение и повышение жизнеспособности (выживаемости) нейронов. Она включает терапию препаратами, обладающими нейротрофическими свойствами, ноотропами, антиоксидантами, вазоактивными средствами и др.
Применение ноотропов, например, пирацетама (ноотропил), пиридитола (энцефабол), улучшающих церебральный метаболизм, не дало однако достоверных позитивных результатов при лечении больных, страдающих болезнью Альцгеймера. Применение больших доз пирацетама может оказать даже отрицательный эффект, поскольку имеются данные о возможном нейротрансмиттерном истощении при их применении.
Новые направления патогенетической терапии болезни Альцгеймера, основанные на современной концепции нейропротекции, связаны с разработкой нейротрофинов. К сожалению, несмотря на значительные экспериментальные достижения в этой области, пока нет доступного для периферического введения и проникающего через гематоэнцефалический барьер препарата, содержащего фактор роста нервной ткани ( NGF ). Тем не менее, уже в настоящее время можно говорить о нейропротективной терапии болезни Альцгеймера с помощью препарата церебролизин, имеющего нейротрофические свойства.
Церебролизин — средство, давно применяющееся в неврологии для лечения инсульта и других форм церебрально-сосудистой патологии, в последние годы рекомендован для лечения деменций альцгеймеровского типа. Он содержит биологически активные нейропептиды с низким молекулярным весом и обладает мультимодальным действием: регуляторным действием на мозговой метаболизм, нейропротективными свойствами и уникальной нейронспецифической активностью, сходной с активностью NGF . Независимые клинические исследования, проведенные в разных странах мира (в том числе, двойные слепые испытания), доказали эффективность препарата для лечения болезни Альцгеймера при внутривенном капельном введении 20-30 мл препарата в 150 мл изотонического раствора хлорида натрия, а также показали отсутствие каких-либо побочных эффектов (Е. Ruether et al ., 1994; Н. Селезнева и соавт., 1997) при его введении в течение месяца.
Противовоспалительная терапия и терапия эстрогенами пока находятся в стадии изучения ( J . В. Rich et al ., 1995). Основанием для разработки этих направлений терапии болезни Альцгеймера послужили эпидемиологические данные, согласно которым лица, длительно получавшие негормональную противовоспалительную терапию или заместительную терапию эстрогенами, достоверно реже заболевают болезнью Альцгеймера.
Поведенческая терапия. Лечение продуктивных психопатологических расстройств и поведенческих нарушений приобретает особую значимость в связи с,. тем, что именно такие проявления болезни делают пациентов трудными для обследования, реабилитационных мероприятий и особенно для ухода. Вместе с тем, чрезвычайно важно правильно оценить происхождение психотических симптомов, например, состояния спутанности. Делирий, острая спутанность сознания и Другие психотические состояния экзогенного типа, как правило, развиваются У страдающих деменцией больных при присоединении дополнительных экзогенных вредностей — чаще всего интеркуррентных соматических заболеваний или при утяжелении соматических дисфункций (например, при атонии кишечника и запорах), а также в результате лекарственной или иной интоксикации. Каждый случай возникновения психотических расстройств экзогенного типа требует обязательного тщательного (с проведением необходимых клинических и лабораторных исследований) выяснения его причины и устранения ее. Особенно часто утяжеление симптомов деменции и/или развитие состояний спутанности вызывает неадекватное назначение психотропных средств, в частности, препаратов, имеющих антихолинергические эффекты (трициклических антидепрессантов), нейролептиков, бета-блокаторов, бензодиазепинов и седативных гипнотиков. Поэтому при лечении больных, страдающих болезнью Альцгеймера, по возможности необходимо избегать их назначения. Это — фундаментальный принцип лечения пациентов с болезнью Альцгеймера и сенильной деменцией альцгеймеровского типа.
Прогнозируемый на ближайшие десятилетия рост численности больных, страдающих болезнью Альцгеймера, и почти полное отсутствие в практической медицине России средств лечения этого тяжелого недуга требуют принятия неотложных мер для разработки средств и методов эффективной терапии заболевания. Упоминавшиеся выше актуальные проблемы фармакотерапии болезни Альцгеймера, в том числе, создание методов терапии, стабилизирующей нейродегенеративный процесс, и разработка дифференцированных терапевтических подходов являются в высокой степени актуальными задачами для отечественной медицинской науки.
Единственное в России специализированное научно-медицинское подразделение — Отдел по изучению болезни Альцгеймера и ассоциированных с ней расстройств НЦПЗ РАМН — в течение последних 10 лет интенсивно занимается мультидисциплинарными исследованиями болезни Альцгеймера и других ослабоумливающих процессов позднего возраста. Постановлением Президиума РАМН от 25.10.1995 г. на него возложена функция Научно-методического центра РАМН по проблеме изучения болезни Альцгеймера и ассоциированных с ней расстройств.
Проведенные в этом научном подразделении исследования позволили внести существенный вклад в разработку как базисных, так и практических аспектов деменции альцгеймеровского типа. В частности, усовершенствованы стандарты диагностики болезни Альцгеймера, разработаны новые (в том числе, нейропсихологические, нейроинтраскопические и нейрофизиологические) методы дифференциальной диагностики деменции различного генеза на ранних этапах их развития.
Разработана концепция гетерогенности деменции альцгеймеровского типа, создающая предпосылки для дифференцированных терапевтических подходов. Определены эпидемиологические показатели психических расстройств позднего возраста, и, в том числе, болезни Альцгеймера и других деменции и показаны тенденции их динамики в последние годы. Установлены генетические и средовые факторы риска развития болезни Альцгеймера для отечественной популяции.
На протяжении последних 5 лет в Научно-методическом центре по изучению болезни Альцгеймера регулярно проводится изучение новых лекарственных средств (главным образом ведущих зарубежных фирм) для лечения болезни Альцгеймера.
За этот период было проведено в общей сложности 445 курсов терапии различными медикаментозными средствами, в том числе 85 курсов нейропротективной терапии (кортексин и церебролизин), 255 курсов холинергической терапии (в т. ч. амиридином 150, глиатилином 50, экселоном 30, арисептом 25). Кроме того, было проведено 105 курсов глутаматергической терапии препаратом акатинол мемантин.
Проведенные исследования показали большую или меньшую эффективность изучавшихся препаратов по результатам оценки их воздействия как на симптомы когнитивного дефицита, так и на возможности повседневного функционирования пациентов, а также на поведенческие расстройства, имевшиеся у этих больных. Были обнаружены определенные различия в терапевтическом воздействии исследовавшихся препаратов на различные составляющие синдрома деменции, в том числе на собственно когнитивные симптомы, на нарушения функций праксиса и моторики, на аффективные и психотические расстройства.
Кроме того, была установлена определенная зависимость терапевтического ответа от тяжести деменции (этапа течения болезни) и от особенностей ее структуры. Было установлено, что качество терапевтического ответа определяется в значительной степени особенностями генотипа АроЕ. Так, показано, что больные — носители генотипа АроЕ4 реагируют на терапию ингибиторами ацетилхолинэстеразы значительно хуже, нежели пациенты без эпсилон 4 аллеля в генотипе АроЕ.
Таким образом, назначая длительный курс весьма дорогостоящей терапии, например, ингибиторами ацетилхолинэстеразы, необходимо учитывать возможности реакции пациента на назначаемое лекарственное средство.
В связи со сказанным очевидна острая необходимость в разработке дифференцированных терапевтических программ, целенаправленно ориентированных на особенности течения болезни при различных ее клинических разновидностях с учетом генетических характеристик пациентов. Думаю, что решение этих задач станет возможным уже в ближайшие годы.
Основанием для такой оптимистической оценки перспектив развития фармакотерапии БА служат данные анализа долговременных эффектов разработанной нами оригинальной стратегии сочетанного воздействия на различные компоненты патологического процесса, лежащего в основе болезни Альцгеймера. Основой этой стратегии является сочетание заместительной (холинергического и/или глутаматергического действия) и нейропротективной терапии.
Для того чтобы оценить, действительно ли разработанная нами стратегия лечения дает очевидные долговременные результаты, мы провели сравнительную оценку темпа прогрессирования когнитивного дефицита в 2-х группах (табл.1) прослеженных не менее 2-х лет больных с мягкой и умеренной деменцией альцгеймеровского типа (болезнь Альцгеймера, по критериям МКБ-10 и NINCDS / ADRDA ( G . M . McKhann и соавт., 1984).
Больные 1-й группы (61 человек) получили не менее 2-х курсов сочетанной терапии различными медикаментозными средствами, в т. ч. церебролизином 28 больных, кортексином — 14; глиатилином — 20; ингибиторами ацетилхолинэстеразы — 37; акатинолом мемантином — 24.
Таблица 1. Распределение больных с болезнью Альцгеймера., получавших и не получавших терапию, в зависимости от тяжести исходного состояния
Болезнь Альцгеймера: факторы риска, клиника, патогенез
В статье авторы пытаются выделитьхарактерные клинические признаки болезни Альцгеймера, определить основные факторы риска, а также раскрыть патогенез данного заболевания.
Ключевые слова: болезнь Альцгеймера, бета-амилоид, деменция, факторы риска.
Болезнь Альцгеймера — дегенеративное заболевание ЦНС, характеризующееся прогрессирующим снижением когнитивных функций, нарушением структуры личности и изменением поведения.
В Институте старения отметили, что в группе риска заболевания по-прежнему находятся пожилые люди. По данным американских исследователей, сейчас около трети людей старше 85 лет могут иметь болезнь Альцгеймера, а в Соединенных Штатах заболевание выявлено у 5,5 млн человек старше 65 лет.
Проанализировав данные с 1990 по 2017 год, ученые установили средний возраст старения, к которому у землян обычно накапливается несколько старческих болезней — 65 лет. Россию ученые отнесли к числу стран, чье население стареет быстрее, чем в среднем по миру: характерный для преклонного возраста набор болезней у жителей нашей страны обычно есть уже к 59 годам. Это 160-е место среди 192 стран, изученных авторами исследования [2].
Этиология болезни неизвестна. Большое значение имеют генетические факторы. Для семейных форм с ранним началом болезни Альцгеймера характерен аутосомно-доминантный тип наследования и выявлены мутации в 21-й, 14-й и 1-й хромосоме. При спорадических формах болезни Альцгеймера роль выявленных генных мутаций еще не выяснена [4].
Патогенез болезни Альцгеймера не уточнен. Однако известно, что она связана с нарушениями метаболизма и отложением белка бета-амилоида. Бета-амилоид является важнейшим компонентом амилоидных бляшек. Он откладывается также в сосудах мозга и мозговых оболочек. При этом есть мнение, что патологическое накопление бета-амилоида при болезни Альцгеймера вызывает избирательную гибель уязвимых нейронов. Кроме того, для этой болезни характерно снижение количества активности фермента, синтезирующего ацетилхолин, — холинацетилтрансферазы — в гиппокампе и коре головного мозга. В связи с этим при развитии болезни Альцгеймера большое значение придается нейротрансмиттерным нарушениям — дефициту ацетилхолина, изменениям в состоянии норадренергической и серотонинергической систем. Обсуждается роль вирусной инфекции, повышения содержания в мозге марганца, патогенетической роли в развитии заболевания скопления в мозге нейрофибриллярных нитей и сенильных бляшек [3].
Традиционно выделяют три основные стадии: мягкой, умеренной и тяжелой деменции. Иногда выделяют две дополнительные стадии: доклиническую и стадию умеренно-тяжелой (промежуточная между умеренной и тяжелой) деменции.
Доклиническая стадия характеризуется начальными признаками мнестико-интеллектуального снижения (так называемая сомнительная деменция по Berg L. и соавт., 1993 г.) в виде постоянной легкой забывчивости с неполным воспроизведением событий, небольшими затруднениями в определении временных отношений и в мыслительных операциях с сохранностью или только незначительным ухудшением социальной или профессиональной деятельности при полной сохранности повседневных видов активности.
На стадии мягкой деменции нарушения памяти (особенно на текущие события) усиливаются и становятся очевидными для окружающих, у больных появляются трудности в хронологической, а также в географической ориентировке. Возникают явные затруднения в мыслительных операциях, при этом особенно страдают абстрактное мышление, возможности обобщения, суждения, сравнения. Больные уже не могут самостоятельно выполнять финансовые операции, вести корреспонденцию, путешествовать, хотя еще сохраняют способность к самообслуживанию и в значительной мере к независимому проживанию.
На стадии умеренно выраженной деменции преобладают проявления амнестического синдрома в сочетании с нарушениями высших корковых функций, характерных для поражения височно-теменных отделов головного мозга (симптомы дисфазии, диспраксии и дисгнозии). На этом этапе наблюдаются выраженные расстройства памяти, касающиеся как возможности приобретения новых знаний и запоминания текущих событий, так и воспроизведения прошлых знаний и опыта. Грубо нарушается ориентировка во времени, а часто и в окружающей обстановке. Больные уже не могут самостоятельно справляться с какими-либо профессиональными или общественными обязанностями. Больным доступна только самая простая рутинная работа по дому, их интересы крайне ограничены, необходима постоянная поддержка и помощь, даже в самообслуживании
На стадии тяжелой деменции состояние больных (вне зависимости от типа заболевания) характеризуется тотальной деменцией с глубоким распадом памяти, полной фиксационной амнезией и амнестической дезориентировкой, близкой к тотальной. Больные полностью утрачивают представления о времени и окружающей обстановке и имеют крайне скудные представления о собственной личности. Тяжесть распада интеллектуальных функций такова, что больные практически полностью утрачивают способность к суждениям и умозаключениям, вербальной коммуникации, а также навыки психомоторики. Они не способны к самостоятельному существованию, нуждаются в постоянном уходе и надзоре [5].
Современная классификация болезни Альцгеймера основана на возрастном принципе. Выделяют 2 формы:
1) болезнь Альцгеймера с манифестацией до 65 лет (синонимы: тип 2 болезни Альцгеймера, пресенильная деменция альцгеймеровского типа);
2) болезнь Альцгеймера с поздним, т. е. после 65 лет, началом (синонимы: тип 1 болезни Альцгеймера, сенильная деменция альцгеймеровского типа) [4].
На основе анализа многочисленных эпидемиологических данных и специальных сравнительных контролируемых исследований когорт больных и здоровых людей того же возраста были определены факторы риска развития болезни Альцгеймера. К определенным факторам риска относят более продвинутый возраст, наличие секундарных случаев болезни в семьях, наличие ε4-аллеля в ApoE-генотипе. Как вероятные факторы риска рассматривают черепно-мозговую травму и заболевания щитовидной железы в анамнезе, поздний возраст матери при рождении, предшествующие депрессивные эпизоды и низкий уровень образования [5].
Основные термины (генерируются автоматически): болезнь, сенильная деменция, больной, окружающая обстановка, стадий, тяжелая деменция.
Болезнь Альцгеймера - симптомы и лечение
Что такое болезнь Альцгеймера? Причины возникновения, диагностику и методы лечения разберем в статье доктора Поляковой Татьяны Акимовны, невролога со стажем в 13 лет.
Над статьей доктора Поляковой Татьяны Акимовны работали литературный редактор Елена Бережная , научный редактор Сергей Федосов
Определение болезни. Причины заболевания
Болезнь Альцгеймера — это хроническое нейродегенеративное заболевание, с медленным началом и значительным ухудшением с течением времени. В 70 % случаев болезнь Альцгеймера приводит к деменции.

Этиология. Факторы риска
Заболевание на данный момент изучено плохо. Предполагается, что в 70% случаев болезнь Альцгеймера объясняется генетическими причинами, например недавно обнаружено, что риск развития заболевания выше у женщин с аллелем APOE ε4 (мутация в гене MGMT) [15] . С реди других факторов риска — черепно-мозговые травмы, депрессия, эндокринные заболевания в анамнезе (гипотиреоз), эстрогенная недостаточность у женщин.
Сопутствующие заболевания
Исследования последних лет показывают, что усиливают предрасположенность к болезни Альцгеймера гипертония, гиперлипидемия, гипергомоцистеинемия, сахарный диабет, метаболический синдром, инсулинорезистентность, заболевания сердца, а также наличие в истории болезни инсульта [1] .
Статистические данные
Болезнь Альцгеймера — наиболее распространённая форма деменции, она встречается в 60-70 % случаев. В мире деменцией страдают около 50 миллионов человек, каждый год выявляется 10 миллионов новых случаев [12] .
В развитых странах болезнь Альцгеймера является одним из наиболее дорогостоящих заболеваний. В России затраты на содержание больных деменцией составляют 74,8 млрд рублей в год [2] .
Распространённость и факторы риска
Заболевание более распространено среди женщин. Предположительно, это связано со следующими факторами:
- продолжительность жизни женщин больше, чем мужчин, а возраст — самый значимый фактор риска развития болезни Альцгеймера;
- риск развития болезни увеличивается на 70 % для людей с депрессией, у женщин она встречается чаще;
- более низкий уровень образования связан с повышенным риском деменции, в некоторых странах у женщин уровень образования ниже, чем у мужчин;
- при беременности часто возникают гипертонические расстройства, они связаны с повышенным риском ухудшения когнитивных функций даже спустя десятилетия после беременности [13] .
При обнаружении схожих симптомов проконсультируйтесь у врача. Не занимайтесь самолечением - это опасно для вашего здоровья!
Симптомы болезни Альцгеймера
Признаки болезни Альцгеймера на ранней стадии часто ошибочно принимаются за нормальные признаки старения.
Кратковременная потеря памяти — наиболее распространенный ранний симптом болезни Альцгеймера, который выражается в том, что больному трудно запоминать последние события. В трети случаев заболевание можно распознать по изменениям поведения.
По мере усугубления болезни возникают следующие симптомы:
- проблемы с речью;
- дезориентация;
- перепады настроения;
- потеря мотивации;
- снижение критики;
- больные не в состоянии вспомнить нужное слово, и им приходится заменять его другим (парафазии), однако они хорошо повторяют сказанное.
- со временем возникают затруднения при назывании предметов (аномии).
- уже на ранней стадии возникают трудности с пониманием сложных грамматических структур (семантическая афазия), к которому затем присоединяется отчуждение смысла слова. [3]
Важный признак болезни Альцгеймера — нарушение способности справляться с повседневностью. При заболевании возникают проблемы с самообслуживанием и поведенческие расстройства.
Признаки болезни Альцгеймера у мужчин и женщин
Признаки болезни Альцгеймера у женщин и мужчин схожи, однако у женщин она чаще сопровождается депрессией.
Патогенез болезни Альцгеймера
Существуют отличительные патоморфологические признаки болезни Альцгеймера: амилоидные (сенильные) бляшки — это внеклеточные отложения в виде скопления фрагмента белка, называемые бета-амилоидом; нейрофибриллярные клубочки — скрученные микроскопические нити тау-белка внутриклеточной локализации. Происходит потеря связи между клетками мозга, ответственными за память, обучение и общение. Эти соединения, или синапсы, передают информацию из клетки в клетку. Важная роль в патогенезе принадлежит воспалительному процессу, связанному с активацией микроглии, которая инициируется накоплением амилоида. [1]
Патофизиология болезни Альцгеймера:

Макроскопически выявляется диффузная атрофия головного мозга с уменьшением объёма извилин и расширением боковых борозд, наиболее выраженная в височно-теменной области.
У значительной части больных цереброваскулярная патология может инициировать или усиливать дегенеративный процесс, связанный с отложением амилоида или другими характерными для заболевания изменениями.
Классификация и стадии развития болезни Альцгеймера
Типичный фенотип болезни Альцгеймера — сочетание выраженных мнестических нарушений гиппокампального типа с акустико-мнестической афазией, зрительно-пространственными нарушениями и апраксией. [3]
Три атипичных фенотипа болезни Альцгеймера (неамнестических):
- с ведущим афатическим дефектом (логопенический вариант первичной прогрессирующей афазии);
- с доминирующими зрительно-пространственными нарушениями (задняя корковая афазия);
- преимущественно с дизрегуляторными нарушениями (лобный вариант болезни Альцгеймера).
Заболевание также подразделяется на формы с ранним началом, зачастую с положительным семейным анамнезом (до 65 лет) и поздним началом (старше 65 лет). Они отличаются патогенезом, генетическими факторами и разной скоростью прогрессирования.

Три стадии болезни Альцгеймера:
Первая (предеменция, ранняя деменция): больные обслуживают себя сами, но им нужна помощь для решения финансовых вопросов, приготовления пищи и т. д.
Вторая (умеренная деменция): зависимость от посторонней помощи растет — больные не способны самостоятельно одеться, осуществить гигиенические процедуры, долго оставаться дома без присмотра.
Третья (тяжёлая деменция): больные не могут выполнить ни одно из привычных повседневных действий без помощи других людей.
Переход от одной стадии к другой коррелирует со снижением оценки по MMSE (Краткая шкала психического статуса), которая является надежным инструментом для отслеживания динамики заболевания.
Осложнения болезни Альцгеймера
Продолжительность жизни людей с болезнью Альцгеймера после установления диагноза обычно колеблется от трех до десяти лет. Более четырнадцати лет после установления диагноза живут менее 3% больных. Уменьшение выживаемости связано с тяжелыми когнитивными нарушениями, снижением уровня физической активности, частыми падениями и нарушениями в неврологическом статусе. Сопутствующие соматические заболевания также влияют на продолжительность и качество жизни при болезни Альцгеймера. Пневмония и обезвоживание — наиболее частые непосредственные причины смерти, вызванной болезнью Альцгеймера. Кроме того, чем старше возраст, тем выше общий возраст выживаемости. У мужчин прогноз менее благоприятен по сравнению с женщинами.
Диагностика болезни Альцгеймера
Трудности ранней диагностики болезни Альцгеймера во многом объясняются "маскированным" характером заболевания в этот период, когда отсутствуют явные внешние признаки деменции. Для постановки диагноза, определения тактики ведения пациента необходимо выявить характер и выраженность когнитивных нарушений.
Нейропсихологический тест
Основной метод оценки когнитивных функций — нейропсихологическое обследование, которое проводит врач, обученный данным методам исследования. В некоторых странах практикуется обследование больных их родственниками с помощью шкал для оценки когнитивных функций: монреальской когнитивной шкалы, Адденбрукской, шкала краткого исследования психических функций MMSE.
Биомаркеры болезни Альцгеймера
Молекулярная диагностика на ранней стадии заболевания также создаёт перспективы для раннего назначения лечения болезни Альцгеймера. Определение биомаркеров в плазме является менее инвазивной альтернативой для диагностики болезни Альцгеймера. Биомаркеры классифицируются на биомаркеры накопления амилоида и биомаркеры нейродегенерации. Основные биомаркеры отражают патологию амилоида (внеклеточное накопление Aβ1-40/1-42) или внутриклеточные включения нейрофибриллярных клубочков (гиперфосфорилированного тау). [4] [5]
Согласно рекомендациям 4-го Канадского консенсуса по диагностике и лечению деменции и рациональному использованию биомаркеров для диагностики болезни Альцгеймера и других деменций (CCCDTD4, 2011): [6]
1. Определение биомаркеров цереброспинальной жидкости не рекомендуются для диагностики болезни Альцгеймера с типичной клинической картиной (2А уровень).
2. Исследование биомаркеров не рекомендуется для скрининга здоровых людей с целью оценки риска развития болезни Альцгеймера в будущем (уровень 1В).
3.Биомаркеры цереброспинальной жидкости можно рассматривать в особых случаях, когда есть атипичные признаки или диагностические трудности при дифференциальной диагностике лобного варианта болезни Альцгеймера от лобно-височной деменции, а также случаи первично прогрессирующей афазии как следствие болезни Альцгеймера или лобно-височной дегенерации (уровень 2В).
МРТ и КТ головного мозга
Современные методы нейровизуализации — магнито-резонансная томография и компьютерная томография головного мозга — позволяют расширить диагностические возможности прижизненной диагностики болезни Альцгеймера.
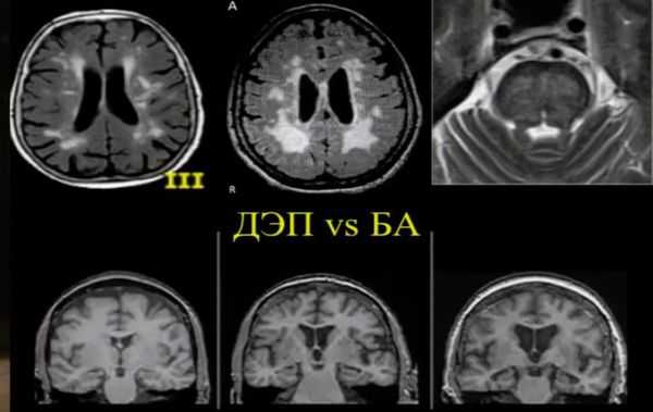
МРТ и КТ проводят для выявления поддающихся лечению причин деменции и нарушений, которые могут усугубить симптомы. Структурные изменения по данным магнитно-резонансной томографии являются более прогностически значимыми для дальнейших изменений в когнитивной сфере, чем биомаркеры цереброспинальной жидкости. По данным магнитно-резонансной томографии, признаки цереброваскулярного заболевания, такие как лейкоареоз и множественные подкорковые лакунарные инфаркты, чаще наблюдаются у пациентов с болезнью Альцгеймера, чем в контрольной группе. [7] Асимметричная атрофия медиальных отделов височной доли также не исключает сосудистую деменцию.

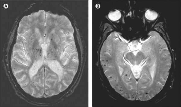
Описана смешанная модель патогенеза болезни Альцгеймера, которая предполагает взаимодействие церебральной амилоидной ангиопатии с сосудистыми факторами на ранних стадиях патологического процесса. Предполагается, что синергия между накоплением амилоида и цереброваскулярной патологией может инициировать дальнейшую дисфункцию нейронов и нейродегенерацию. [8] В этом отношении церебральные микрокровоизлияния, выявляемые в режиме Т2 градиентного эхо на магнитно-резонансной томографии, являются дополнительным и доступным диагностическим маркером, повышающим диагностическую значимость лейкоареоза и свидетельствующим в пользу церебральной амилоидной ангиопатии или гипертонической микроангиопатиии, особенно в случаях смешанной патологии и тяжелого когнитивного дефицита.
Локализация церебральных микрокровоизлияний является дифференциально-диагностическим признаком ведущего патологического процесса. В случае болезни Альцгеймера наблюдается корковая локализация микрокровоизлияний, в случае дисциркуляторной энцефалопатии или сосудистой деменции будут визуализироваться микрокровоизлияния в глубинных отделах мозга. [9] [10]

Одним из наиболее перспективных методов диагностики болезни Альцгеймера является позитронно-эмиссионная томография с лигандом, который связывается с амилоидом (PiB), однако накопление амилоида и захват соответствующего лиганда нарастают на стадии умеренных когнитивных нарушений, но после конверсии в деменцию дальнейшего накопления не происходит. [11]
Лечение болезни Альцгеймера
Болезнь Альцгеймера пока не поддается лечению. Но благодаря группе новых препаратов и симптоматическому лечению Альцгеймера можно сделать так, что снижение интеллекта больных будет более постепенным.
Лекарства
К таким средствам относятся:
- ингибиторы холинэстеразы (донепезил, ривастигмин, галантамин)
- блокаторы NMDA-глутаматных рецепторов (акатинол-мемантин).
Облегчение расстройств психики и поведения, сопровождающих болезнь Альцгеймера
С целью лечения сопутствующих расстройств психики и поведения используются также антидепрессанты и нейролептики.
Поддерживающие методы
Существуют и нелекарственные методы воздействия — тренировки интеллектуальных функций. Нейропсихологическая реабилитация позволяет стимулировать к развитию новых нейронный сетей, обучая рабочие нервные клетки.
Специальная диета при болезни Альцгеймера не требуется: питание не влияет на развитие заболевания.
Прекращение лечения
Причиной для прекращения приёма антидементных препаратов может стать выраженная брадикардия, но это осложнение возникает крайне редко.
Рекомендации для ухаживающих за близкими с болезнью Альцгеймера
При уходе за больным человеком важно организовать для него безопасное и удобное пространство.
Также важно внимательно выбирать обувь и одежду.

Такими занятиями могут быть:
- прогулки;
- общение с домашними животными;
- уход за растениями;
- наблюдения за рыбками в аквариуме;
- прослушивание радиопередач и музыки;
- творчество, например лепка и живопись;
- чтение книг, при невозможности это могут делать близкие люди вслух.
Ухаживая за больным, не следует игнорировать своё здоровье. Пациенту нужно обеспечить нормальное питание, режим, активный образ жизни — это в полной мере относится и к близким больного человека.
Где обеспечивают уход при болезни Альцгеймера
Государственных специализированных пансионатов по уходу за людьми с болезнью Альцгеймера в нашей стране пока нет.
Прогноз. Профилактика
С увеличением осведомлённости общества о деменции будет расти и потребность в помощи по уходу, понадобятся значительные затраты для её организации. Пока же преобладает в основном неформальная помощь в семьях. Усилия по улучшению качества и доступности помощи потребуют вложений в меры первичной профилактики, и возможно, это позволит контролировать "эпидемии" деменций в разных регионах мира. В качестве основных мишеней первичной профилактики рассматриваются улучшение образования и устранение сосудистых факторов риска.
Профилактика
На сегодняшний день одной из основных целей профилактики является создание различных новых форм внебольничной помощи пациентам пожилого и старческого возраста с целью улучшения диагностики когнитивных нарушений разной степени тяжести, более раннее выявление заболеваний. С такой целью в развитых странах созданы клиники памяти, Альцгеймеровские центры. [2]
Человек с деменцией обращен в прошлое. Больных надо аккуратно «тормошить» и в интеллектуальном плане, и в двигательном. Неподвижность плохо влияет на мозг. Лучший способ сохранить разум, это, как ни странно, даже не интеллектуальная деятельность, а двигательная активность. Именно в этом случае в мозге создаются условия, которые способствуют образованию новых связей между нейронами и укреплению мозгового резерва, что впоследствии противодействует развитию деменции.
Недавно было обнаружено, что вероятность развития болезни Альцгеймера у пожилых людей на 40 % ниже, если они хотя бы раз вакцинировались от гриппа . Защитное действие вакцины сохранялось в течение 4 лет. Причины этого пока неясны. Есть три версии:
- предотвращая или облегчая течение гриппа, вакцина препятствует развитию системного воспаления, которое способствует развитию болезни Альцгеймера;
- вакцина влияет на иммунные клетки мозга, и они лучше справляются с нарушениями, связанными с болезнью Альцгеймера;
- люди, которые вакцинируются, лучше заботятся о своём здоровье, что в целом снижает риск болезни Альцгеймера [16][17] .
Продолжительность жизни
В среднем люди с болезнью Альцгеймера живут 3 - 11 лет после выявления заболевания, но некоторые — 20 лет и более. Продолжительность жизни зависит от степени нарушений при постановке диагноза [14] .
Юридические вопросы
Требования для признания гражданина недееспособным раскрываются в статье 29 Гражданского кодекса РФ. Потеря дееспособности компенсируется больному человеку установлением опёки. Опекун "восполняет" утраченные возможности гражданина, признанного недееспособным, и действует в его интересах.
Процедура признания гражданина недееспособным описана в 31 главе Гражданского процессуального кодекса РФ, в статьях 281-285.
Болезнь Альцгеймера

Ало́ис Альцге́ймер (Alois Alzheimer 14.06.1864 - 19.12.1915) — немецкий психиатр и невролог, автор статей по проблемам алкогольного психоза, шизофрении, эпилепсии, сифилиса мозга, пресенильного психоза, артериосклеротической атрофии мозга. А. Альцгеймер внёс значительный вклад в изучение патологии нервной системы. Он описал принципиальные различия между слабоумием сосудистого и нейродегенеративного происхождения. Его имя увековечено в названии сенильной деменции, известной сегодня как «болезнь Альцгеймера».

Синонимы:
- деменция альцгеймеровского типа,
- пресенильная деменция,
- сенильная деменция,
- первичная дегенеративная деменция.
Болезнь Альцгеймера — хроническое прогрессирующее дегенеративное заболевание головного мозга, проявляющееся нарушениями памяти и других когнитивных (познавательных) функций. Болезнь Альцгеймера — самое распространённое дегенеративное заболевание и самая частая причина деменции (40% случаев).
Факторы риска:
- пожилой возраст;
- наследственность;
- неконтролируемая артериальная гипертензия в среднем и пожилом возрасте;
- атеросклероз крупных артерий головы;
- гиперлипидемия;
- гипергомоцистеинемия;
- сахарный диабет;
- избыточная масса тела;
- гиподинамия;
- хроническая гипоксия;
- черепно-мозговые травмы в анамнезе;
- низкий уровень образования и низкая интеллектуальная активность в течение жизни;
- депрессивные состояния в молодом и среднем возрасте;
- женский пол.
Выделяют пресенильную (в возрасте до 65 лет) и сенильную формы (после 65) болезни Альцгеймера. Ранее их считали самостоятельными заболеваниями. Пресенильную форму называли собственно болезнью Альцгеймера, а сенильную форму — сенильной деменцией альцгеймеровского типа или просто сенильной деменцией. Сегодня пресенильную, и сенильную форму деменции рассматривают как одно заболевание и обозначают термином«болезнь Альцгеймера». Пресенильная форма характеризуется более быстрым прогрессированием и ранним присоединением афазии, апраксии и агнозии, характерен семейный анамнез заболевания. Сенильная болезнь Альцгеймера прогрессирует медленнее, нарушения памяти длительное время остаются главным симптомом.
Согласно современным представлениям болезнь Альцгеймера — генетически обусловленное заболевание:
- ген, кодирующий предшественник амилоидного белка (хромосома 21);
- пресенилин - 1 (хромосома 14);
- пресенилин - 2 (хромосома 1);
- ген, кодирующий аполипопротеин Е-4 (хромосома 19).
Носительство первых трех генов означает почти 100% вероятность развития болезни Альцгеймера в возрасте от 40 до 65 лет (пресенильная форма). Носительство гена, кодирующего аполипопротеин Е-4 - увеличивает риск развития после 65 лет (сенильная форма) вдвое.
Основа патогенеза (механизма) болезни Альцгеймера — нарушение метаболизма предшественника амилоидного белка. В норме предшественник амилоидного белка расщепляется ферментом на одинаковые по величине части-полипептиды. При генетическом дефекте этого белка - на различные по длине фрагменты. Длинные фрагменты являются «нерастворимыми» и поэтому откладываются в ткани головного мозга и в стенках сосудов в виде сенильных бляшек, которые обладают нейротоксическими свойствами и приводят к гибели нейронов.
Основные клинические этапы болезни Альцгеймера
Нарушение памяти отсутствует, когнитивные функции сохранены.
Ухудшение памяти, двух видов: не помнит, что куда положил, и забывает имена близких знакомых.
Выявляют не менее двух признаков:
- не может найти дорогу при поездке в незнакомое место;
- трудности поиска слова и забывчивость на имена очевидны для близких;
- не запоминает то, что только что прочёл;
- не запоминает имена людей, с которыми знакомится;
- не может найти важный предмет, ранее куда-то им положенный;
- при нейропсихологическом тестировании возможно нарушение серийного счёта.
Нарушения могут сказываться на работе и в быту, начинает отрицать, имеющиеся у него нарушения.
- пациент недостаточно осведомлён о происходящих вокруг событиях;
- он не помнит о некоторых событиях жизни;
- нарушен серийный счёт;
- нарушена способность находить дорогу, осуществлять финансовые операции и т.д.
- не способен выполнять сложные задания.
Отсутствует критическое отношение к происходящему.
- характерны утрата независимости;
- невозможность припомнить важные жизненные обстоятельства, например домашний адрес или телефон, имена членов семьи (например, внуков), название учебного заведения, которое заканчивал;
- дезориентация во времени или месте;
- трудности серийного счёта (от 40 до 4 или от 20 до 2).
Не забывает собственное имя, имя супруга(и) и детей. Нет необходимости в посторонней помощи при еде и естественных отправлениях, хотя возможны трудности при одевании.
Не всегда может припомнить имя супруга или другого близкого человека, от которого полностью зависит в повседневной жизни. Амнезия распространяется на большинство событий жизни.
Типичные проявления — дезориентация во времени, трудности счёта от 10 до 1. Часто нарушается цикл «сон-бодрствование». Почти всегда помнит собственное имя, обычно узнаёт знакомых людей. Изменяется личность и эмоциональное состояние, появляются:
- бред и галлюцинации;
- навязчивость;
- тревожность, психомоторное возбуждение, агрессия;
- отсутствие целенаправленной деятельности в результате утраты способности к ней.
Обычно отсутствует речь. Недержание мочи. Необходима помощь при приёме пищи. Утрачиваются основные психомоторные навыки, в том числе навык ходьбы. Мозг больше не способен руководить телом. Появляются неврологические симптомы.
Существующая на сегодня терапия не может полностью остановить заболевание. Темпы прогрессирования существенно различаются. Первые симптомы болезни и стадию тяжёлой деменции могут разделять 4-5 лет, а в более благоприятных случаях - 10 и более. Быстрого прогрессирования можно ожидать при наличии следующих признаков.
Выдающийся немецкий невропатолог Алоис Альцгеймер
В статье на основании изучения доступной биографической, медицинской и публицистической литературы дается краткое описание жизненного пути и научно-творческой деятельности выдающегося немецкого врача Алоиса Альцгеймера, внесшего значительный вклад в развитие мировой медицинской науки.
Ключевые слова: немецкие врачи, Алоис Альцгеймер.
In an article on the basis of the study of available biographical, medical and publicist literature briefly describes the life and scientific and creative activity of the prominent german physician Alois Alzheimer who made a significant contribution to the development of world medical science.
Keywords: german doctors, Alois Alzheimer.
Альцгеймер Алоис (Alois Alzheimer; 14 июня 1864 — 19 декабря 1915) — выдающийся немецкий, еврейского происхождения, психиатр, невропатолог, нейроморфолог, профессор.
Медицинское образование получил в Вюрцбурге и Берлине, где учился у знаменитого анатома и физиолога Генриха Вильгельма фон Вальдейра (Heinrich Wilhelm Gottfried Waldeyer, 6 октября 1836-23 января 1921), уделявшего много внимания устройству нервной системы человека и введшего в обращение понятие «хромосома». В 1887 году Альцгеймер защитил докторскую диссертацию об анатомическом строении и физиологии желез наружного слухового прохода, производящих ушную серу. В работе для микроскопического исследования он использовал экспериментальный для того времени метод окраски тканей серебром.

После защиты докторской диссертации в Вюрцбурге переехал во Франкфурт-на-Майне, где работал ассистентом в городской клинике нервных болезней под руководством психиатра Емила Зиоли (Sioli, 29 июля 1852-16 июня 1922).
В 1902 году ведущий немецкий психиатр Эмиль Крепелин (Emil Wilhelm Magnus Georg Kraepelin; 15 февраля 1856-7 октября 1926) пригласил Альцгеймера в университет Людвига-Максимилиана в Мюнхене. С 1904 по 1912 годы Альцгеймер руководил анатомической лабораторией Психиатрической клиники. С 1912 года и до конца жизни — ординарный профессор психиатрии в Бреслау.

Фото Алоиса Альцгеймера 1884 года
В 1903 году Алоис Альцгеймер создал при Мюнхенской медицинской школе лабораторию по исследованию головного мозга. В рамках лаборатории он опубликовал ряд научных работ, но известность ему принесла прочитанная им в 1906 году лекция о «Необычном заболевании коры головного мозга».
Всемирно известным Альцгеймер стал по клиническому и анатомическому описанию дегенеративного заболевания мозга, названному по предложению Эмиля Крепелина его именем (современное название — сенильная деменция Альцгеймеровского типа).
Болезнь поражает каждого девятого пожилого жителя Земли. Прогрессируя, болезнь стирает с лица земли человеческую личность раньше, чем умирает его тело. Так, в США болезнью Альцгеймера страдают примерно 1,5 млн. человек. Из общего числа в 1,3 млн. человек, находящихся в США в домах престарелых, 30 % составляют лица с болезнью Альцгеймера.

Болезнь Альцгеймера — смертельное неизлечимое заболевание. Данным заболеванием болели многие выдающиеся личности, например, Рональд Рейган, 40-й президент США; Маргарет Тэтчер, премьер-министр Великобритании в 1979-1990 гг.; премьер-министр Испании Адольфо Суарес; актриса Рита Хейворт; актер Питер Фальк; писатель-фантаст Терри Пратчетт; английская писательница и философ Айрис Мердок; легенда венгерского футбола Ференц Пушкаш; боксер Сугэр Рей Робинсон; певец Перри Комо.
Основное направление исследований Альцгеймера — клиника и гистопатология прогрессивного паралича, особенно его атипичных форм, старческого слабоумия, шизофрении, эпилепсии. Выделил сходные с прогрессивным параличом и часто с ним смешиваемые формы сифилиса головного мозга (сифилитический эндартериит мелких сосудов мозга). Разработал новые методы гистологического исследования нервной ткани.
Совместно с немецким неврологом еврейского происхождения Максом Генрихом Левандовски (Max Heinrich Lewandowsky, 28 июня 1876 — 4 апреля 1918) в 1910 году основал журнал «Общей неврологии и психиатрии» (Zeitschrift fur die gesamte Neurologie und Psychiatrie).

Alois Alzheimer с семьёй.
Соч.: «Ранние формы общего прогрессивного паралича» (1896); «Гистологические исследования в дифференциальной диагностике прогрессивного паралича» (1904); «О своеобразном заболевании коры головного мозга» (1906); «Своеобразное заболевание позднего возраста» (1911).

Могила Алоиса Альцгеймера. Центральное кладбище, Франкфурт-на-Майне

Мемориальная доска во Вроцлаве, ul. Bujwida 42.

Дом, в котором жил Алоис Альцгеймер.
Основные термины (генерируются автоматически): головной мозг, прогрессивный паралич, докторская диссертация, еврейское происхождение, Вюрцбург, Франкфурт-на-Майне, болезнь.
Читайте также:
- Резекционная трепанация черепа. Показания для резекционной трепанации черепа. Декомпрессивная трепанация черепа. Техника декомпрессионной трепанации черепа.
- Гистохимия зубов. Минерализация зубных тканей
- Lactobacillus reuteri в сравнении с симетиконом в лечении колики у младенцев
- Уход после артроскопического артродеза голеностопного сустава
- Заднее фасциальное ложе голени. Мышцы голени. Ахиллово ( Achilles ) сухожилие. Голеноподколенный канал. Отверстия голеноподколенного канала.
