Синдром Кальве (Calve) - синонимы, авторы, клиника
Добавил пользователь Евгений Кузнецов Обновлено: 18.12.2025
Остеохондропатии - это заболевания, при которых костная ткань разрушается вследствие нарушения ее питания. Одним из представителей такого рода патологий и оказывается болезнь Кальве, также называемая пластиспондилией, которая представляет собой патологию позвонковых тел.
Впервые эта патология была описана хирургом из Франции Ж.Кальве (J.Calve) в первой четверти прошлого века. Эта редкая проблема обнаруживается преимущественно у лиц мужского пола в период от 2-х до 15-ти лет (чаще до 5-летнего возраста). Как правило, патологические изменения затрагивают лишь один позвонок в верхней зоне поясничного пояса или нижней области грудного позвоночного отдела, а межпозвонковые диски в то же время остаются здоровыми. Локализация поражения сразу в двух позвонках диагностировалась только в единичных случаях.
Причины
Так же, как и в случае других патологий этой группы, причины пластиспондилии окончательно не установлены. Болезнь может начинаться постепенно или остро, иногда после небольшого травмирования. Фактором, вероятно способствующим заболеванию, является наследственная предрасположенность, когда под влиянием физнагрузок в «ослабленном» позвонке запускаются патологические процессы: асептический (то есть неинфекционный) некроз губчатой кости позвонкового тела и пр.

Симптомы
Главенствующий признак болезни Кальве - неуклонно нарастающие болевые ощущения в зоне поражения, отдающие в живот и ноги. При прощупывании обнаруживается точечная болезненность, мышечный спазм и выпячивание позвонкового остистого отростка. В некоторых случаях отмечалось повышение температуры до субфебрильных значений и выше.
Позвоночная подвижность в области поражения ограничена из-за болезненности и спазма мышц.
Болевой синдром заметно снижается в лежачем положении.
По мере прогрессирования патологических изменений позвоночник искривляется - формируется кифоз (искривление назад) в пояснице или грудной области. Продолжительность нарушения может достигать 6-ти лет.
Диагноз подтверждается данными рентгенологического обследования, при котором выявляется уменьшение высоты (до четверти от первоначальной), расширение и остеопороз тела позвонка. Измененный позвонок имеет клинообразный вид и выступает за границы соседних позвонков.


Возможно бессимптомное течение болезни, когда изменение позвонкового тела обнаруживается только при рентгене спины по поводу других проблем.
Лечение
Прогноз течения болезни Кальве в целом хороший, хотя полноценного анатомического восстановления и не происходит. В случае отсутствия адекватной терапии может сохраниться заметная позвонковая деформация и искривление замыкательных гиалиновых пластин (отграничивающих позвоноковое тело от межпозвонковго диска), кифоз. У людей, перенесших болезнь Кальвина, впоследствии развивается остеохондроз с преимущественным поражением соседних с больным позвонком межпозвонковых дисков.
При патологии лечение в первую очередь направлено на устранение любых перегрузок спины. С этой целью рекомендуется жесткий постельный режим, а также использование специального приспособления, так называемой «гипсовой кроватки», с валиком под пораженным участком.

В лежачем же положении проводятся ЛФК и лечебный массаж. По мере стихания проявлений и при нарастании высоты позвонкового тела до двух третьих от нормальной высоты назначается ортопедический корсет, снижающий нагрузку на позвоночный столб.
В Первой Медицинской Клинике для сокращения длительности болезни и минимизации ее последствий применяются методы безоперационного лечения, такие как:
- мануальная терапия и остеопатия;
- рефлексотерапия;
- ударно-волновая терапия;
- локальная инъекционная терапия;
- инъекции хондропротекторов и препаратов гиалуроновой кислоты;
- аутоплазмотерапия и пр.
Такие терапевтические процедуры уменьшают мышечный спазм, стимулируют обменные процессы и кровообращение в области пораженного позвонка, способствуют регенерации тканей.
При отсутствии эффекта от консервативного лечения показана операция по фиксации позвонка (межтеловой спондилодез, фиксация скобами или пластинами и пр.). Специалисты нашей клиники рекомендуют после хирургического вмешательства пройти курс реабилитации, который позволяет избежать послеоперационных осложнений и ускорить выздоровление.
Необходимый объем терапевтической помощи может определить только специалист после проведения диагностических процедур. При появлении признаков болезни Кальве рекомендуем своевременно обратиться в Первую Медицинскую Клинику.
Болезнь Кальве ( Остеохондропатия тела позвонка , Платиспондилия )
Болезнь Кальве — это редко встречающееся заболевание позвоночника, в основе которого лежит асептический (неинфекционный) некроз тела одного или двух находящихся в позвоночном столбе позвонков. Протекает с увеличивающимся болевым синдромом в области пораженного некротическим процессом позвонка. Характерно выпячивание остистого отростка пораженного позвонка, его болезненность при пальпации, напряжение паравертебральных мышц и ограничение подвижности позвоночника в этой области. Диагностируется по данным рентгенографии, КТ или МСКТ позвоночника. Основу лечения болезни Кальве составляет консервативная методика (ЛФК, массаж, специальный режим), при ее неэффективности проводится оперативное лечение.
МКБ-10

Общие сведения
Болезнь Кальве (остеохондропатия тела позвонка, платиспондилия) носит свое название в память о впервые описавшем ее в 1925 году ученом. Наряду с болезнью Келера, болезнью Шляттера и болезнью Тиманна относится к группе заболеваний, именуемых остеохондропатиями. Болезнь Кальве наблюдается среди детей и подростков в возрасте от 2 до 17 лет, но наиболее часто у мальчиков в период от 4 до 7 лет. В наибольшем числе случаев протекает с поражением грудного позвонка, находящегося в самой высокой точке грудного кифоза и несущего самую большую нагрузку. Гораздо реже встречается асептический некроз позвонка в поясничном отделе. В отдельных случаях болезнь Кальве сопровождается некрозом сразу двух позвонков, как правило, расположенных рядом или через один здоровый позвонок.

Причины
До настоящего времени в травматологии и ортопедии нет ясного представления о причинах, вызывающих болезнь Кальве. Среди факторов, которые наиболее вероятно лежат в ее основе, называют наследственную предрасположенность, в результате которой в «слабом» от рождения позвонке под воздействием физических нагрузок начинают происходить патологические изменения. Ряд авторов считает, что болезнь Кальве развивается как следствие локального нарушения кровоснабжения костной ткани отдельного взятого позвонка.
Патогенез
Характеризующие болезнь Кальве некротические процессы, происходящие в теле позвонка, приводят к нарушению его прочной костной структуры. В результате под воздействием давления со стороны смежных позвонков он уплощается, а примыкающие к нему межпозвоночные диски утолщаются. Эти изменения отчетливо видны на рентгенограммах пораженного отдела позвоночника. Со временем в некротизирующемся позвонке происходит глубокая перестройка и начинается процесс восстановления костной структуры. Болезнь Кальве длится несколько лет. У перенесших ее пациентов наблюдается остаточные явления в виде незначительного снижения высоты позвонка и его легкой клиновидной деформации. В зрелом возрасте у них происходит ранее развитие остеохондроза в смежных с измененным позвонком межпозвоночных дисках.
Симптомы болезни Кальве
Патология обычно имеет малозаметное начало, которое в отдельных случаях может сопровождаться подъемом температуры от 37,2 до 38 °С. Основной жалобой пациентов, имеющих болезнь Кальве, является боль в спине. Болевой синдром может носить периодический характер. Зачастую он сопровождается иррадиацией боли в нижние конечности. Как правило, боль уменьшается и даже полностью исчезает в положении лежа и увеличивает свою интенсивность при физической нагрузке. Локализация боли соответствует области расположения пораженного позвонка. Усиление боли при физической активности приводит к тому, что имеющие болезнь Кальве дети избегают игр и прогулок, становятся малоподвижными и предпочитают лежать.
При осмотре в области пораженного позвонка обращает на себя внимание небольшое пуговчатое выпячивание его остистого отростка. Ощупывание и перкуссия в области некротизирующегося позвонка приводят к усилению болевого синдрома. Пальпация мышц в этой области выявляет их избыточное напряжение. Подвижность позвоночного столба в пораженной области ограничена. Во-первых это связано с выраженной болезненностью при движениях, а во-вторых обусловлено ограничивающим свободные движения мышечным напряжением. Следует отметить, что четкой корреляции между выраженностью симптоматики и степенью деструкции позвонка при болезни Кальве не наблюдается.
Диагностика
В некоторых случаях болезнь Кальве становится для травматолога-ортопеда или вертебролога случайной находкой, обнаруженной на рентгенограмме позвоночника. В диагностическом смысле рентгенография позвоночника наиболее информативна, если она проведена в боковой проекции. Для более детального изучения происходящих в позвонке изменений и с целью дифференциальной диагностики болезни Кальве пациента дополнительно обследуют при помощи МСКТ или КТ позвоночника.
В начале заболевания на снимках выявляется утолщение замыкательных пластинок и остеопороз центрального отдела тела измененного позвонка. Дальнейшее прогрессирование асептического некроза приводит к уменьшению высоты пораженного позвонка в среднем до ¼ его высоты в здоровом состоянии. При этом отмечается увеличение толщины межпозвоночных дисков, сверху и снизу примыкающих к неркотизирующемуся позвонку. Тело измененного позвонка больше сдавлено в переднем отделе, что выглядит на рентгенограмме как небольшая клиновидная деформация. Ширина его увеличена так, что тело позвонка выступает за пределы расположенных рядом с ним здоровых позвонков. Рентгенологически наблюдается зазубренность контуров тела уплощенного позвонка. Большая интенсивность изображения тела этого позвонка свидетельствует о развитии в нем некротических процессов.
Лечение болезни Кальве
Общепринято консервативное лечение, которое заключается в общеукрепляющих мероприятиях, разгрузочном режиме для позвоночника (постоянное горизонтальное положение пациента), проведении массажа, физиотерапии (магнитотерапия, рефлексотерапия) и лечебной физкультуры. Осуществляют реклинацию позвонка при помощи гипсовой кроватки. Контроль за результатами лечения производят каждые полгода путем рентгенологического исследования. После восстановления позвонка до 2/3 его высоты пациенту разрешают принимать вертикальное положение, но при этом он должен находиться в реклинирующем корсете. Консервативное лечение пациентов, имеющих болезнь Кальве, может занимать от 2 до 5 лет.
В случаях, когда болезнь Кальве прогрессирует, несмотря на проводимые консервативные мероприятия, показано хирургическое лечение. Его целью является остановка прогрессирующей деформации позвонка путем фиксации позвоночника. Однако следует учитывать, что проводимое хирургическое лечение не в состоянии полностью скорректировать имеющуюся деформацию позвонка и на 100% восстановить его функцию. Лечить болезнь Кальве можно при помощи нескольких хирургических методик: межтелового спондилодеза, фиксации пластинами или скобами и т. п. Через 3-4 недели после проведенного хирургического вмешательства пациенту разрешают понемногу находиться в вертикальном положении с обязательным ношением корсета.
Болезнь Кальве

Асептический некроз тел позвонков при болезни Кальве (рентгенография позвоночника)
МКБ-10 коды
Описание
Болезнь Кальве (син.: платиспондилия, vertebra plana, vertebra osteonecrotica) - асептический некроз тела одного из позвонков в виде снижения его высоты и деформации (возможно поражение и нескольких позвонков).
Клиническая картина
Наиболее часто патологический процесс локализуется в грудном отделе позвоночника, реже в поясничном и шейном. Обычно поражается тело позвонка, очень редко дужка, суставные и поперечные отростки. Одинаково часто встречаются солитарная форма и множественное поражение позвонков.
Заболевание проявляется болью в спине, уменьшающейся при соблюдении постельного режима и усиливающейся при пальпации или перкуссии в области пораженного позвонка. По мере развития болезни появляется быстрая утомляемость в спине. Нередко первыми симптомами заболевания являются боль в области пораженных сегментов позвоночника, нарушение функции спинномозговых корешков, возникающее в момент патологического перелома тела позвонка. В ряде случаев в течение первых 3-7 дней может повышаться температура тела до 39°. При пальпации костно-связочных структур позвоночника отмечаются локальная болезненность, ограниченное напряжение мышц и незначительное пуговчатое выпячивание остистого отростка пораженного позвонка. Нарушение функции позвоночника проявляется ограничением его сгибания и разгибания. В результате рефлекторного напряжения мышц наступает ограничение подвижности позвоночника. Позже определяют выстояние остистого отростка позвонка, реже наступает явный кифоз. Четкого соответствия между выраженностью клинических признаков и степенью разрушения тел позвонков не наблюдается.
Ассоциированные симптомы: Боль в позвоночнике.
Болезнь Кальве по сути является остеохондропатией тела позвонка. Встречается редко и преимущественно у детей в возрасте 2-15 лет. Как правило болеют мальчики. Течение медленное - 4-8 лет. В настоящее время выделяют генуинную болезнь Кальве (остеохондропатия) и симптоматическую болезнь Кальве - рентгенологически выявляемую платиспондилию как результат патологического перелома тела позвонка. В большинстве случаев болезнь Кальве обусловлена эозинофильной гранулемой. Приобретенные формы отмечаются при болезни Гоше, лимфогранулематозе, аневризмальной кисте кости, крайне редко при остеохондропатии, или асептическом некрозе, тела позвонка. Редко причиной деформации является врожденный порок развития позвонков. Болезнь Кальве следует отличать от болезни Кюммеля, при которой в анамнезе всегда устанавливается травма.
Болезнь Келлера
Болезнь Келлера — это хроническое дистрофическое заболевание костей стопы, приводящее к их асептическому некрозу. Заболевание может протекать с поражением ладьевидной кости (болезнь Келлера I) или плюсневых костей (болезнь Келлера II). Болезнь Келера проявляется отечностью и болями в стопе в области пораженной кости, усилением болевого синдрома при ходьбе и его прогрессированием с течением времени, изменением походки и хромотой при одностороннем поражении. Характерным признаком является отсутствие воспалительных изменений пораженной области. Диагностика заболевания основывается на данных рентгенологического исследования. Лечение состоит в снятии нагрузки с пораженной стопы путем ее иммобилизации и последующей восстановительной терапии (лечебная гимнастика, физиотерапия, массаж).

Заболевание, описанное Келлером в 1908 году, получило название болезнь Келлера I. Оно представляет собой асептический некроз ладьевидной кости, а болезнь Келлера II — асептический некроз головок костей плюсны. Дегенеративно-дистрофические процессы в костной ткани, лежащие в основе данной патологии, послужили основанием для ее причисления к группе остеохондропатий, куда также входят болезнь Кальве, болезнь Тиманна и болезнь Шляттера. Страдают преимущественно пациенты детского и подросткового возраста.
Как и этиология других остеохондропатий, факторы, вызывающие болезнь Келлера, пока окончательно не изучены. Большинство исследователей склонны считать основной причиной некротических изменений костной ткани нарушение ее питания за счет расстройств местного кровоснабжения. Расстройства васкуляризации кости, в свою очередь, могут быть обусловлены следующими состояниями:
- врожденные особенности кровообращения пораженной области;
- наличие продольного или поперечного плоскостопия;
- ношение неудобной или слишком тесной обуви;
- повторные травмы: ушибы, подвывихи или вывихи стопы, переломы костей стопы и т. п.
Роль способствующих факторов в развитии болезни Келлера могут играть различные обменные нарушения и эндокринопатии (гипотиреоз, сахарный диабет, ожирение).
Из-за локальных нарушений кровоснабжения в губчатом веществе ладьевидной или плюсневой кости формируется участок некроза. Затем начинается процесс репарации, однако из-за сохраняющихся расстройств кровоснабжения, которые усугубляются местным отеком, спазмом или парезом мелких артерий, полноценного восстановления костной ткани не происходит. Зона некроза постепенно распространяется до кортикального слоя.
В результате снижения механической прочности кости образуются импрессионные (вдавленные) патологические переломы. В последующем участки некроза замещаются соединительной тканью. Начинаются интенсивные процессы репарации, которые через 1-3 года с момента начала заболевания завершаются восстановлением костной ткани. При этом кость в различной степени деформируется из-за предыдущих вдавленных переломов и дефрагментации.
Классификация
В своем развитии заболевание проходит определенные фазы, установление которых необходимо для подбора оптимальной тактики лечения. В отечественной травматологии и ортопедии применяют следующий вариант стадирования патологии:
- 1 стадия (некроза) - асептическое разрушение кости, обусловленное сосудистыми нарушениями.
- 2 стадия (импрессионных переломов) - возникновение патологических переломов.
- 3 стадия (фрагментации) - кость разделяется на фрагменты.
- 4 стадия (репарации) - отмечается интенсивный рост соединительной ткани и ее постепенное замещение костной тканью, не имеющей нормальной структуры.
- 5 стадия (консолидации) - структура костной ткани восстанавливается с сохранением формы кости или развитием деформаций разной степени тяжести.
Симптомы болезни Келлера
Болезнь Келлера I
Чаще диагностируется у мальчиков 3-7 лет. Патология характеризуется появлением на тыльной стороне стопы ближе к ее внутреннему краю припухлости, обусловленной отечностью тканей этой области. Отсутствие покраснения кожи и местного повышения температуры в зоне отека свидетельствует в пользу невоспалительного характера происходящих изменений.
Отмечается болезненность пораженной зоны при прощупывании и при нагрузке на стопу, утомляемость ребенка при ходьбе. Чтобы избежать боли, дети ставят ногу с упором на наружный край стопы. Может наблюдаться хромота. Со временем боль усиливается и приобретает постоянный характер, не исчезая даже при полном покое. Болезнь Келлера I длится в среднем около года и может привести к стойкой деформации ладьевидной кости.
Болезнь Келлера II
Обычно выявляется у девочек 10-15 лет. Заболевание проявляется припухлостью и болезненностью в области пораженной плюсневой кости. Чаще всего встречается поражение II и III плюсневых костей. Возможен двусторонний характер патологических изменений. При этом симптомы воспаления не наблюдаются. Болезнь Келлера начинается с появления неинтенсивного болевого синдрома, поначалу проявляющегося лишь при нагрузке на передние отделы стопы.
Характерно усиление боли при прощупывании пораженной области и во время ходьбы, особенно по неровному грунту или в обуви со слишком тонкой и мягкой подошвой. Со временем пациенты начинают жаловаться на то, что боль в стопе становится постоянной, более интенсивной и сохраняется даже в покое. Отмечается укорочение пальца, который примыкает к головке подвергшейся некрозу плюсневой кости. Объем движений в суставе, сформированном пораженной плюсневой костью, ограничивается. Болезнь Келлера II протекает в среднем в течение 2-3 лет.
Осложнения
В число возможных осложнений болезни Келлера входят артрозы мелких суставов стопы. Возможно ограничение движений. У некоторых пациентов возникают боли, обусловленные деформацией свода стопы и патологическим перераспределением нагрузки. Типично усиление болевого синдрома после нагрузки (стояния, длительной ходьбы). Все перечисленное может накладывать определенные ограничения при выборе профессии, возможности заниматься различными видами спорта и пр.
Болезнь Келлера диагностируется клинически и рентгенологически. Детский ортопед выясняет жалобы и анамнез заболевания, проводит объективный осмотр. Основным методом исследования является рентгенография стопы:
- Болезнь КеллераI. На рентгенограммах вначале отмечается остеопороз ладьевидной кости, вызванный асептическим разрушением ее губчатого вещества. Затем выявляется уплотнение точек окостенения, сплющивание и уплотнение ладьевидной кости. Позже наблюдается дефрагментация ладьевидной кости, т. е. ее распад на отдельные костные фрагменты в результате прогрессирования некротического процесса.
- Болезнь КеллераII. На снимках выявляются патологические изменения в головке пораженной плюсневой кости. В зависимости от срока заболевания может обнаруживаться остеопороз, уплотнение и деформация головки плюсневой кости, ее патологический перелом и дефрагментация.
Дифференциальная диагностика
При первом типе болезни Келлера может потребоваться дифференцировка с индивидуальными особенностями окостенения ладьевидной кости (многоядерным, замедленным), туберкулезным поражением. Второй тип заболевания дифференцируют с маршевой стопой, остеофитами, костным туберкулезом, инфекционным артритом и последствиями переломов.

Лечение болезни Келлера
Лечение патологии длительное (до полного восстановления структуры кости), обычно проводится в амбулаторных условиях, включает в себя специальный охранительный режим, иммобилизацию, ЛФК и физиотерапию. Медикаментозное лечение назначается при наличии показаний. Хирургические вмешательства требуются редко.
Консервативное лечение
На начальной стадии болезнь Келдера лечится путем разгрузки пораженной некрозом кости, что позволяет предотвратить прогрессирование некроза и остановить деформацию костных структур. Это достигается ограничением физической нагрузки и иммобилизацией стопы. В последующем нагрузку постепенно увеличивают. В периоде восстановления возрастает значимость немедикаментозных методов лечения. Программа терапии включает следующие мероприятия:
- Иммобилизация. При болезни Келлера I на стопу накладывается гипсовая повязка, моделирующая продольный свод стопы. Ее ношение рекомендовано в течение 4-8 недель. При болезни Келлера II иммобилизация достигается ношением гипсового сапожка в течение 1 месяца. В этот период пациент может передвигаться при помощи костылей.
- Ограничение нагрузки. После снятия гипса для уменьшения нагрузки на стопу во время ходьбы необходимо пользоваться специальными супинаторами. Рекомендуется избегать прыжков, длительной ходьбы и бега.
- Лекарственная терапия. Для купирования болевого синдрома применяются анальгетики. Для устранения отека могут назначаться противовоспалительные средства. Для нормализации метаболических процессов используются витаминные комплексы, медикаменты, содержащие кальций и фосфор.
- Физиотерапия. После периода иммобилизации проводят комплекс физиотерапевтических и гимнастических лечебных мероприятий, направленных на восстановление функции стопы. Лечение болезни Келлера осуществляется с применением массажа стопы, рефлексотерапии, магнитотерапии, грязелечения, ножных ванн и лечебной физкультуры.
Правильно проведенная терапия приводит к сокращению сроков протекания болезни Келлера, предупреждает необратимую деформацию кости и способствует полному восстановлению функции стопы.
Хирургическое лечение
Если, несмотря на проводимое консервативное лечение, развивается деформирующий остеоартроз пораженного сустава, то рассматривается вопрос об оперативном лечении. Методом выбора является артропластика суставов стопы, предусматривающая ремоделирование суставных поверхностей, иссечение участков фиброза.
КТ стопы. Болезнь Келера-2 (остеохондропатия головки 3-й плюсневой кости: снижение высоты головки вследствие остеонекроза, с наличием свободного костно-хрящевого фрагмента).
Прогноз и профилактика
Прогноз определяется временем начала лечебных мероприятий, соблюдением рекомендаций врача-ортопеда, наличием остаточных явлений. Предупредить болезнь Келлера у ребенка поможет правильный подбор обуви, которая должна соответствовать размеру ноги, быть удобной и не слишком жесткой. Следует избегать травм стопы, а при их получении незамедлительно обращаться к травматологу и следовать всем его рекомендациям. Поскольку болезнь Келлера связана с плоскостопием, то его своевременное лечение также имеет профилактическое значение.
КАЛЬВЕ БОЛЕЗНЬ
Кальве болезнь (J. Calve, французский хирург, 1875—1954; син.: платиспондилия, vertebra plana, vertebra osteonecrotica) — остеохондропатия тела позвонка.

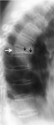
Рентгенограмма грудного отдела позвоночника в боковой проекции. Остеохондропатия тела позвонка (болезнь Кальве): стрелкой указан пораженный позвонок.
Впервые заболевание описал Кальве в 1925 г. Кальве болезнь встречается очень редко, преимущественно у детей 4—12 лет. Остеохондропатия тела позвонка развивается в результате нарушения его кровоснабжения, причины которого не ясны. Поражается один позвонок в нижнегрудном или верхнепоясничном отделах позвоночника. Первым и основным симптомом является постепенно нарастающая боль в области пораженного позвонка. При пальпации позвоночника отмечается локальная болезненность, ограниченное напряжение мышц и небольшое выступание остистого отростка пораженного позвонка. Общая или местная температурная реакция и изменения в гемограмме отсутствуют. Рентгенологический симптомокомплекс — платибрахиспондилия, т. е. уплощение тела позвонка и его расширение. Высота тела позвонка снижается как в переднем, так и в заднем отделах, и он приобретает вид узкой полоски, выступающей кпереди на несколько миллиметров (рис.). Межпозвонковые диски в этом участке расширены.
Дифференциальная диагностика должна проводиться с аномалией развития тела позвонка, со злокачественными опухолями, платиспондилией врожденного и приобретенного характера (см. Позвоночник, патология), мраморным позвонком (см.), лимфогранулематозом (см.), посттравматическим спондилитом (см.).
Основной принцип консервативного лечения — исключение осевых нагрузок на позвоночник, что достигается длительной разгрузкой (постельный режим), реклинацией (желательно в гипсовой кроватке) и лечебной физкультурой в горизонтальном положении больного. В последующем назначают ношение реклинирующего корсета, витамины A, D, E, ультрафиолетовое облучение, санаторно-курортное лечение. Продолжительность лечения (в среднем 2—5 лет) зависит от локализации и степени компрессии позвонка. Хирургическая реклинация позвоночника фиксатором-стяжкой Цивьяна — Рамиха или специальными скобами позволяет в более короткие сроки (1—2 года) добиться восстановления высоты тела позвонка.
Прогноз заболевания благоприятен. Чем раньше диагностирована Кальве болезни, тем полноценнее восстанавливается форма и структура тела позвонка. При лечении в стадии выраженной деформации тела позвонка остается небольшой угловой кифоз (см.), клиновидная деформация тела позвонка и неровность замыкательных пластинок. В последующем в смежных межпозвонковых дисках развивается остеохондроз (см.).
Библиография Андрушко Н. С. и Веснин П. И. Временная хирургическая реклинация позвоночника в комплексе лечения болезни Кальве, Ортоп. и травмат., № 11, с. 62, 1970; Волков М. В. Болезни костей у детей, с. 398 и др., М., 1974; Детская рентгенология, под ред. И. А. Переслегина, с. 165, М., 1976; Многотомное руководство по ортопедии и травматологии, под ред. Н. П. Новаченко, т. 2, с. 373, М., 1968, библиогр.; Рейнберг С. А. Рентгенодиагностика заболеваний костей и суставов, кн. 2, с. 283, М., 1964; Тагер И. Л. и Дьяченко В. А. Рентгенодиагностика заболеваний позвоночника, с. 303, М., 1971; Цивьян Я. Л. Хирургия позвоночника, М., 1966, библиогр.; Чаклин В. Д. и Абальмасова Е. А. Сколиоз и кифоз, с. 32, М., 1973; Ameri М. R., Z urbriggen S. u. Wagner H. P. Das solitare eosinophile granulom der Wirbelsaule, Radiol, clin. (Basel), Bd 43, S. 318, 1974; Broсher J. E. W. Die Wirbelsaulenleiden und ihre Differential-diagnose, Stuttgart, 1970; Calve J. Sur une affection particulifcre, de la colonne vert6brale chez l’enfant simulant le mal de Pott, ost£o-chondrite vert£brale infantile, J. Radiol. Electrol., t. 9, p. 22, 1926.
Читайте также:
