Синдром Маффучи (Maffucci) - синонимы, авторы, клиника
Добавил пользователь Евгений Кузнецов Обновлено: 01.01.2026
Маффуччи синдром (A. Maffucci, 1845-1903, итал. врач; син.: ангиохондроматоз врожденный, Оллье-Каста дисхондроплазия, хондродисплазия с ангиоматозом) наследственное сочетание диффузного асимметричного хондроматоза костей, множественных ангиом кожи и внутренних органов, дисхромии кожи.
Большой медицинский словарь . 2000 .
Смотреть что такое "Маффуччи синдром" в других словарях:
Маффуччи синдром — I Маффуччи синдром (A. Maffucci, итал. врач, 1845 1903) сочетание дисхондроплазии с гемангиомой кожи см. Остеохондродисплазии (Остеохондродисплазия). II Маффуччи синдром (A. Maffucci, 1845 1903, итал. врач; син.: ангиохондроматоз врожденный,… … Медицинская энциклопедия
МАФФУЧЧИ СИНДРОМ — (описан итальянским патологом A. Maffucci, 1845-1903; синоним - энхондроматоз и гемангиомы) - наследственное заболевание: сочетание дисхондроплазии с избыточным разрастанием кровеносных сосудов кожи и внутренних органов. Основные проявления:… … Энциклопедический словарь по психологии и педагогике
ангиохондроматоз врожденный — (angiochondromatosis congenita; ангио + хондроматоз) см. Маффуччи синдром … Большой медицинский словарь
дисхондроплазия Оллье-Каста — см. Маффуччи синдром … Большой медицинский словарь
Оллье-Каста дисхондроплазия — (L. Oilier, 1830 1900, франц. хирург; A. Kast, 1856 1903, нем. врач) см. Маффуччи синдром … Большой медицинский словарь
хондродисплазия с ангиоматозом — см. Маффуччи синдром … Большой медицинский словарь
Ангиохондромато́з врождённый — (angiochondromatosis congenita; Ангио + хондроматоз (Хондроматоз костей)) см. Маффуччи синдром … Медицинская энциклопедия
Дисхондроплази́я Оллье́ — Ка́ста — см. Маффуччи синдром … Медицинская энциклопедия
Оллье́ — Ка́ста дисхондроплази́я — (L. Oilier. 1830 1900, франц. хирург; A. Kast, 1856 1903, нем. врач) см. Маффуччи синдром … Медицинская энциклопедия
Хондродисплази́я с ангиомато́зом — см. Маффуччи синдром … Медицинская энциклопедия
Синдром Маффуччи
Синдром Маффуччи — чрезвычайно редкое заболевание, характеризующееся доброкачественными разрастаниями хряща (энхондромы), скелетными деформациями и кожными повреждениями, состоящими из аномальных кровеносных сосудов. Энхондромы возникают в костях, чаще всего в кистях рук и ступнях и реже в ногах и длинных костях рук.
Признаки и симптомы
Синдром Маффуччи не распознается при рождении. Поражения обычно развиваются в раннем детстве, чаще всего в возрасте от 1 до 5 лет. Серьезность расстройства является переменной. У некоторых пациентов очень доброкачественное течение, тогда как у других развиваются серьезные осложнения.
Первым признаком синдрома Маффуччи обычно является нахождение энхондромы в длинной кости (см. фото). Энхондромы искажают и ослабляют пораженные кости, поэтому первичное проявление с патологическим переломом является распространенным явлением. Эти хрящевые опухоли вызывают выпуклость костей, изгибание рук и ног и часто их непропорциональный (асимметричный) рост (разная длина рук или ног). Пациент может иметь низкий рост в зрелом возрасте. Энхондромы поражают только одну сторону тела примерно у 40 процентов пациентов.

Сосудистые поражения на коже также обычно появляются в раннем детстве (около 4-5 лет) и часто прогрессируют. Эти поражения не обязательно происходят вблизи костей, имеющих энхондромы. Эти сосудистые поражения начинаются в виде сжимаемых, круглых, голубоватых пятен. Со временем они становятся твердыми, узловатыми, бородавчатыми и часто содержат кальциевые камни (флеболиты). Рука является наиболее распространенным местом; однако сосудистые поражения также могут возникать во внутренних структурах, таких как мембраны, которые покрывают головной и спинной мозг (мозговые оболочки), язык и слизистую оболочку полости рта.
Эти сосудистые поражения раньше называли «кавернозными гемангиомами». Микроскопические исследования показали, что они состоят из аномально образованных вен, так что более современный термин ― «венозная мальформация». В этих уродливых венах часто возникает доброкачественная сосудистая опухоль, называемая как «гемангиома веретенообразных клеток».
Пациенты с синдромом подвергаются риску развития злокачественной опухоли, особенно опухоли хряща, известной как «хондросаркома». Чем больше энхондром, тем выше риск развития злокачественной опухоли. Частота была оценена между 15-40%; однако некоторые исследователи считают, что хондросаркома при синдроме Маффуччи переоценена. Реже другие злокачественные, некелетные новообразования соединительной ткани могут встречаться у пациентов с синдромом Маффуччи.
Причины
В 2011 году было обнаружено, что причиной синдрома Маффуччи является изменение (мутация) в гене, известном как IDH1 (редко IDH2). Такие же мутации обнаружены при сопутствующем болезни Олье. Поскольку дефект возникает после оплодотворения (так называемая соматическая мутация), синдром Маффуччи не считается наследственным, т.е. его нельзя передать в семье. Случаи заболевания происходят случайно, и известных родословных случаев синдрома нет.
Затронутые группы населения
Синдром Маффуччи встречается во всех этнических группах и одинаково затрагивает оба пола.
Близкие по симптомам расстройства
Следующие расстройства могут выглядеть похожими на синдром Маффуччи; однако, их обычно можно дифференцировать клиническими исследованием.
- Болезнь Олье— редкое скелетное заболевание, характеризующееся аномальным развитием костей и энхондромами при отсутствии кожных поражений сосудов, которые характеризуют синдром Маффуччи. Хотя болезнь Олье присутствует при рождении, она может проявиться только в раннем детстве, когда происходят скелетные деформации или аномальный рост конечности. Болезнь Олье прежде всего затрагивает длинные кости и хрящ суставов рук и ног, особенно там, где встречаются стержень и головка длинной кости (метафиз). Таз также часто поражается, и реже поражаются ребра, грудная кость (грудина) и череп. При этом заболевании происходит рост энхондромов из хряща в длинных костях таким образом, что внешний слой (кортикальная кость) становится тоньше и хрупче. После полового созревания эти хрящевые наросты стабилизируются, так как хрящ заменяется костью. Эти энхондромы могут подвергаться злокачественной дегенерации, но гораздо реже, чем при синдроме Маффуччи. У многих пациентов соматические мутации обнаруживаются в гене изоцитратдегидрогеназы, IDH1 или IDH2. Расстройство не передается по наследству.
- Синдром синего пузырчатого невуса (ССПН) — голубоватые сосудистые поражения при синдроме Маффуччи могут быть ошибочно принят за ССПН, которое характеризуется множественными, мягкими, повышенными, синими, сине-черными или пурпурно-красными отеками (венозными мальформациями). Поражения возникают в коже и внутренних органах, особенно в желудочно-кишечном тракте. Они обычно появляются на руках и подошвах ног, но также могут возникать в любом месте на теле, включая лицо и туловище, а также в печени, легких, селезенке, желчном пузыре, почках и скелетных мышцах. Эти внутренние поражения могут вызвать серьезные осложнения. Кровотечение из желудочно-кишечного тракта обычно приводит к хронической анемии, которая может потребовать переливания крови. Известно, что причиной болезни является соматическая мутация в гене TIE 2 (TEK).
- Синдром Протея— это крайне редкое состояние, которое легко можно спутать с синдромом Маффуччи. Он характеризуется церебриформными невусами соединительной ткани («мокасинные стопы»), эпидермальными невусами, липомами и диспропорциональным, непрекращающимся и асимметричным разрастанием скелета. Пациенты с синдромом Протея в основном нормальны при рождении, за исключением невусов. Больные также могут иметь капиллярные и венозные мальформации. Увеличенные вены подвергают их риску тромбоэмболии легочной артерии, которая может привести к летальному исходу. Причиной болезни является соматическая активирующая мутация в гене AKT1, возникающая в клетках в течение раннего эмбрионального периода. Заболевание не наследственное.
Диагностика
Диагноз синдрома Маффуччи ставится на основании подробного анамнеза, тщательного физического осмотра и радиологической оценки. Хирургическое удаление и микроскопическое исследование повреждений скелета (биопсия) подтверждают наличие энхондромы и отличают опухоль от хондросаркомы.
Стандартные методы лечения
Лечение синдрома Маффуччи сфокусировано на конкретных признаках/симптомах у конкретного пострадавшего человека. Никакого вмешательства не требуется для бессимптомных пациентов. Лечение требует скоординированных усилий команды специалистов (междисциплинарная помощь). Бородавчатые (веррукозные) сосудистые поражения могут быть инъецированы препаратом, который сжимает и укрепляет область (склерозирующий агент); однако часто требуется оперативное удаление. Энхондромы могут быть удалены хирургическим путем (резецированы) при необходимости. Для коррекции патологий скелета руки в случае потери функции или повторного перелома требуется специалист по хирургии кисти. Хирург-ортопед решает проблему несоответствия длины ног, аномальной кривизны позвоночника (сколиоз) или других патологий скелета.
Пациент с синдромом Маффуччи должен регулярно контролироваться из-за риска злокачественной трансформации энхондромы или развития опухоли в другом месте. Если злокачественная опухоль не возникает, у пациентов с синдромом средняя продолжительность жизни остается нормальной. Консервативное лечение рекомендуется для пациентов с болезнью Олье. Операции могут быть необходимы при осложнениях, таких как патологический перелом, нарушение роста или злокачественные изменения.
Прогноз
Пациенты с синдромом Маффуччи обычно ведут достаточно нормальную жизнь с нормальной продолжительностью жизни, если не происходит злокачественная трансформация.
Хотя пороки развития скелета могут иногда наносить вред, пациентам удается довольно хорошо выполнять повседневную деятельность.

Высшее образование (Кардиология). Врач-кардиолог, терапевт, врач функциональной диагностики. Хорошо разбираюсь в диагностике и терапии заболеваний дыхательной системы, желудочно-кишечного тракта и сердечно-сосудистой системы. Закончила академию (очно), за плечами большой опыт работ.
Детский врач
Медицинский сайт для студентов, интернов и практикующих врачей педиатров из России, Украины! Шпаргалки, статьи, лекции по педиатрии, конспекты, книги по медицине!
- Вы студент медик? Интерн? Детский врач? Добавьте наш сайт в социальные сети!

Сочетая кожный ангиоматоз с хондродисплазией, Маффуччи описал в 1881 г. синдром, носящий с тех пор его имя, но он известен и под другими названиями:
— синдром Маффуччи - Каста;
— кожная и хондродиспластическая дискрания;
— хондродисплазия с гемангиоматозом.
Этиопатогенез синдрома Маффуччи.
Этиология не известна. Считается, что появление всех аномалий зависит от некоторых девиаций элементов эмбриональной мезенхимы генетического происхождения.
Расстройство эмбрионального развития мезодермальной ткани обусловливает появление дисхондроматоза и множественных ангиом; из сочетающихся аномалий, атрофия одного полушария мозга обусловлена дискранией.
Симптоматология синдрома Маффуччи
Гемангиоматоз кожи — местный или распространенный; ангиомы принимают пещеристую форму. Ангиомы могут появляться совместно или предшествовать намного появлению костных поражений. Были описаны случаи, при которых ангиоматоз поражал не только кожные покровы, но и внутренние органы.
Диффузная хондродисплазия проявляется:
- множеством костных хондром, появляющихся в период роста ребенка и стабилизирующихся одновременно с прекращением роста. Они распределены анархически во всем организме;
- девиацией, изогнутостью или деформацией конечностей, сопровождающимися функциональной немощностью соответствующей области;
- множественными переломами.
Другие аномалии непостоянно сочетающиеся:
—витилиго в виде неоднородных пятен, обычно множественных, в особенности, на шее, грудной клетке и на нижних конечностях; атрофия одного полушария мозга, множество пигментных родинок различной величины и расположения.
Диагностика синдрома Маффуччи
Лабораторные исследования. Ни один из гематологических и биохимических анализов не выявляет специфических изменений, характерных для этого синдрома.
Течение и прогноз синдрома Маффуччи.
Течение тяжелое, а прогноз совершенно неблагоприятный, из-за стремления к злокачественному перерождению костных и сосудистых аномалий, которые превращаются со временем в хондросаркомы или в ангиосаркомы.
Прогрессивное развитие сосудистых и костных аномалий — хотя они существуют с детского возраста — придают больному, достигшему взрослого возраста, трагикомический вид (Bean).
Лечение синдрома Маффуччи.
Как и в других мезодермальных дисплазиях, и при этом синдроме не существует эффективного лечения.
Похожие медицинские статьи
- Женские болезни у мужчинИногда нас посещают совершенно чужие болезни. Вообще-то, если на чистоту, они все нам […]Синдром Хиппеля-Линдау. Цереброретинальный ангиоматозСиндром, описанный Хиппелем и Линдау в 1926 году, известен сегодня в своей совокупности […]Синдром Вебера-Крисчена (узловатый целлюлит)Синдром, описанный в 1925 г. Вебером и дополненный в 1928 г. Крисченом, характеризуется […]
- Доброкачественными опухолями хрящевой ткани - хондромами. Чаще всего встречаются в области фаланг пальцев и длинных трубчатых костей. В результате у пациента наблюдается искривление рук и ног, они становятся короче. При этом часто возникают вторичные переломы костей, нарушение функционирования конечностей. В такой ситуации существует немалый риск того, что начнет развиваться злокачественная опухоль.
- Синдром Маффуччи и множественные гемангиомы - взаимосвязаны между собой. Последние - это образования на сосудах, которые можно наблюдать на поверхности кожного покрова и слизистой оболочки. Могут диагностироваться в носу, на языке. Узелки имеют синеватый оттенок, мягкие. Если происходит повреждение образований, возникает значительное кровотечение.
- Большое количество хондром, которые возникают в период роста и развития ребенка. При этом состояние стабилизируется с прекращением роста.
- Неравномерное распределение хондром по всему организму.
- Девиация, изогнутость и изменения костной ткани, которые сопровождаются нарушением функционирования конечностей. Пациент становится немощным.
- Множественные переломы из-за деформации костей и хрящевой ткани.
Запись "Синдром Маффуччи" опубликована в рубрике Дерматовенерология, СИНДРОМЫ в Пятница, Декабрь 20th, 2013 в 1:42 дп. К записи добавлены такие Метки: ангиома, витилиго, кожа, кости, перелом, синдром
Первый комментарий к статье “Синдром Маффуччи”
Как-то пропустила я эту статью и не заметила этот синдром. ====================
Синдром Маффуччи — редкое врожденное заболевание, не передающееся по наследству, при котором энхондроматоз сочетается с гемангиоматозом. Кавернозные гемангиомы развиваются в коже и подкожной клетчатке любой области тела, в том числе и на конечностях, вовлеченных в энхондроматоз. При синдроме Маффуччи отмечается высокая вероятность малигнизации энхондром и гемангиом с возникновением хондросарком, ангио- и фибросарком, а также других опухолей.
В 1861 г. Маффуччи (Maffucci) описал изменения в костях типа дисхондроплазии в сочетании с развитием ветвистых ангиом как в сегменте поражения кости, в поднадкостничиой клетчатке и мышцах, так и в других частях тела.
Описаны гемангиомы в стенке живота, в межреберных мышцах, а при аутопсии даже во внутренних органах с наличием флеболитов в сосудах гемангиомы. По данным А. А. Аренберга, в литературе имеются описания 74 наблюдений дисхондроплазии с гемангиоматозом, из них 8 принадлежат советским авторам.
В 1964 г. нами совместно с А. А. Аренбергом описано 12 больных с синдромом Маффуччи, а в настоящее время мы располагаем 13 наблюдениями. Эти сосудистые разрастания говорят об общих нарушениях в закладке тканей в периоде эмбриогенеза, впоследствии отражающихся на развитии как скелета, так и сосудов.
В наших наблюдениях, как и в описанных в литературе случаях синдрома Маффуччи, поражение носило полиоссальный характер (лишь у одного больного олигооссальное) и имело прогрессирующее течение.
МАФФУЧЧИ СИНДРОМ
описан итальянским патологом A. Maffucci, 1845-1903; синоним - энхондроматоз и гемангиомы) - наследственное заболевание: сочетание дисхондроплазии с избыточным разрастанием кровеносных сосудов кожи и внутренних органов. Основные проявления: избыточное разрастание хрящевой ткани в длинных трубчатых костях, костях кистей и стоп, что приводит к асимметричному укорочению и искривлению конечностей; врожденные доброкачественные сосудистые новообразования с преимущественной локализацией на конечностях (но описаны гемангиомы языка, передней брюшной стенки и др.). Гистологически выделяют несколько форм гемангиом: капиллярные, кавернозные, венозные, артериально-венозные, кистозные. Возможные осложнения: спонтанные переломы, внутренние кровотечения, саркома. Диагноз устанавливают на основании клинических и рентгенологических данных. Лечение: ортопедическая коррекция деформаций и укорочений костей, удаление крупных поверхностных ангиом.
A. Maffucci. Di un caso encondroma ed angioma multiplo. Contribuzione alla genesi embrionale dei tumori Movimento medico-chirurgico, Napoli, 1881; 3: 399-412, 565-575.
Синдром Маффуччи: фото, лечение, частота встречаемости
Синдром Маффуччи - серьезное заболевание, которое относится к врожденным патологиям и не передается по наследству. Сопровождается изменениями в костной и хрящевой тканях, у пациента наблюдаются наросты неправильной формы на кожных покровах. Новообразования имеют узловатую форму и провоцируют деформацию конечностей. Чаще всего диагностируется патология у мужской части населения. Синдром Маффуччи и болезнь Олье схожи между собой, поэтому проводится дифференциальная диагностика.

Когда было выявлено заболевание впервые?
Данный синдром диагностируется в детском возрасте, прогрессирует постепенно, сопровождается выраженной симптоматикой и доставляет немалый дискомфорт маленькому пациенту. С развитием патологии больной начинает жаловаться на ухудшение общего самочувствия. Впервые нарушение было выявлено врачом А. Маффуччи в 1881 году, в честь которого и назван синдром. Он обнаружил объемные образования на конечностях у зрелой женщины, которые полностью ограничили ее в движениях.
Также при данном заболевании обязательно выявляется деформация скелета, которую легко можно заметить на снимках рентгена. У женщины они также присутствовали. Все внешние признаки отклонения были удалены при помощи хирургического вмешательства. В результате операции была занесена инфекция, что спровоцировало летальный исход пациентки.

Синдром Маффуччи: частота встречаемости? Данная патология диагностируется довольно редко. С таким нарушением пациент при правильно подобранной терапии может прожить до 40 лет, но стоит понимать, что заболевание будет доставлять ему немалый дискомфорт и боль.
Что представляет собой синдром Маффуччи?
Заболевание сопровождается множественными изменениями, которые происходят не только внешне, но и внутренне. Определить все отклонения можно только после тщательного обследования. Диагностировать патологию самостоятельно практически невозможно.
Опухоли кожного и сосудистого типа часто наблюдаются у пациента на ранней стадии заболевания. Они могут быстро увеличиваться в размерах, изменять свою структуру, форму, окрас. Часто сопровождаются болевыми ощущениями.
Причины возникновения
Итак. Синдром Маффуччи возникает по неизвестным науке причинам. Ученые придерживаются мнения, что данное серьезное нарушение относится к генетическому типу и считается пороком развития. Как уже говорилось ранее, заболевание диагностируется в раннем возрасте и может сопровождать пациента много десятков лет, усложняя при этом его жизнь. При данной патологии больной становится инвалидом, так как не способен не только что-либо выполнять по дому, но даже себя обслужить.

Нарушение активно прогрессирует по мере роста человека, после чего состояние постепенно стабилизируется, но внешний вид уже полностью видоизменен. Если своевременно провести терапию, то можно уменьшить страдания больного и улучшить его внешность. Диагностировать синдром можно только в условиях больницы и при помощи современных методов исследования. При первых подозрениях стоит сразу обратиться за квалифицированной помощью и не откладывать визит, так как это может только еще больше усугубить ситуацию.
Симптоматика
Данный синдром сопровождается выраженной внешней симптоматикой, а также внутренними изменениями. Образования могут диагностироваться как по всем участкам, так и в определенных местах. Ангиомы при этом заболевании напоминают пещеры, возникают вместе с кожными поражениями или ранее. Когда их размеры увеличиваются, и их становится достаточно много, пациент начинает жаловаться на болевые ощущения и значительный дискомфорт.

В медицине были выявлены такие случаи, когда при синдроме Маффуччи наблюдалось поражение не только кожного покрова, но и внутренних органов. Также патология проявляется и такими признаками, как:
Также у пациента могут диагностироваться и иные редкие признаки патологии: витилиго, атрофия одного из мозговых полушарий, образование большого количества пигментных родинок. Разных размеров и расположения.
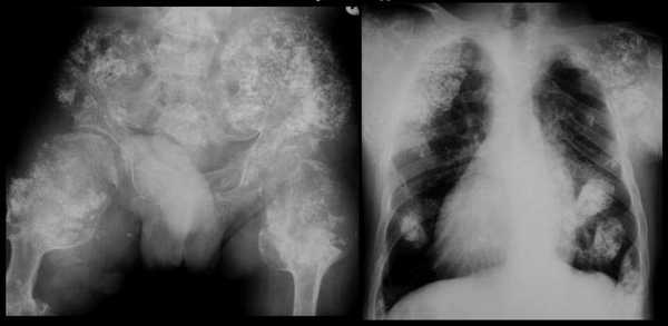
Чтобы выявить какие-либо внутренние нарушения при синдроме Маффуччи рекомендуется провести рентгенологическое исследование, желательного всего тела. Большое внимание в данной ситуации уделяется тем участкам, где наблюдается выпячивание тканей, изменения и укорочение конечностей. Рентгенологическая симптоматика состоит из признаков хондродисплазии разной степени тяжести.

На снимках специалист может отметить ассиметричное поражение, которое характеризуется утолщением укороченных и деформированных костей трубчатого типа. При этом заметны эксцентричные просветления. Такое нарушение очень часто диагностируется в тазовой области, на лопатках, ребрах. По мере роста ребенка наблюдаются в трубчатых костях, где есть утолщения и искривления, просветления округлой формы, могут присутствовать энхондромы.
Также при синдроме Маффуччи фото рентгена может показывать различные тени флеболитов, имеющих диаметр не более 0,4 см. Их легко заметить. Они гомогенные и обладают четким очертанием.
Терапия
При данном синдроме пациенту рекомендуется ортопедическое лечение. Если наблюдается изменение костной ткани нижних конечностей, советуют носить специальную обувь. В случае, когда больной страдает от значительных опухолевых образований, которые обусловлены разрастанием хрящевой ткани, особенно на пальцах верхних и нижних конечностей, нужно проводить экскохлеацию, резекцию очага.
Если заболевание сильно прогрессирует и уже наблюдается укорачивание конечностей, проводится дистракция на уровне хрящевой ткани. В данной ситуации обязательно используется специальное оборудование. Для проведения процедуры специалисту требуются определенные навыки, знания и опыт.

При вальгусных и варусных искривлениях нижних конечностей при синдроме Маффуччи лечение основывается на удлинении костной ткани поврежденных участков. Если при данном заболевании у пациента диагностируется поражение кожных покровов гемангиомами и невусами, проводится хирургическое вмешательство, диатермокоагуляция или криодеструкция.
Прогноз, опасность патологии
Прогноз при данном синдроме в большинстве случаев благоприятный. Особенно, при своевременно проведенной диагностике и оказанной терапии. Но, бывает, заболевание может спровоцировать развитие злокачественных образований, таких как хондросаркома или ангиосаркома.
Сама патология считается сложной и приводит к инвалидности. Пациент не в состоянии самостоятельно двигаться и выполнять элементарные действия. Также гемангиомы способны спровоцировать значительные кровотечения, как внешние, так и внутренние. Опухоли могут находиться в области пищевода, гортани. В такой ситуации обязательно должно проводиться удаление образований, чтобы избавить пациента от значительного дискомфорта.
Если контролировать разрастание хрящевой ткани, это приводит к тому, что у больного возникают беспричинные переломы, тело и конечности становятся асимметричными. Но, большую опасность синдром представляет только в случае возникновения клеточного перерождения и образования саркомы.
Можно ли предупредить заболевание?
Так как медики до сих пор точно не установили причины возникновения данной патологии, предотвратить синдром невозможно. Также не существует и профилактических мероприятий, потому что заболевание имеет генетические основания. В любом случае, если у пациента диагностировано нарушение, необходимо постоянно находиться под присмотром специалистов, проводить своевременные обследования и лечение.
Синдром считается загадочным заболеванием, от которого не нашли еще вакцину, но ученые к этому стремятся. Обязательно учитывается, что патология относится к врожденным, которые проявляются в раннем возрасте. Предупредить само заболевание невозможно, но можно улучшить внешний вид, который меняется из-за деформационных процессов, с помощью ортопедических и хирургических методов. Таким образом, можно облегчить жизнь пациента и значительно улучшить его общее состояние. Правильно подобрать лечение можно только после тщательного обследования. И это стоит обязательно учитывать.
Маффуччи синдром (Maffucci)
Синонимы: дисхондроплазия с гемангиомой, хондродистрофия и сосудистая гамартома. Врожденное заболевание, которое характеризуется сочетанием множественного хондроматоза (болезнь Олье) с сосудистыми опухолями (гемангиомами) и варикозным расширением вен. Деформация костей проявляется с детства. Рост костей с течением времени приостанавливается, а пролиферация хряща продолжается, что ведет к неравномерности развития скелета — образуются вздутия в области эпифизов. Кости поражаются в форме узлов окостенения до 6 см в диаметре. Поражение чаще одностороннее. Больная конечность отстает в росте, укорачивается, утолщение концов костей может привести к ограничению движений в суставах. Появляется боль при движениях, местное повышение температуры (типичные признаки болезни Олье). Позднее здесь же развиваются мягкие, малоподвижные опухолевидные образования синеватой окраски, просвечивающие сквозь кожу — ангиомы (тип Маффуччи). Вторично в области ангиом расширяются вены. При рентгенообследовании видны выпячивания и вздутия кортикального слоя костей конечностей и таза, искривления длинных трубчатых костей, многочисленные участки склероза чередуются с просветлениями в форме полосок (хондроматоз). Местами в костях кистевидные просветления. Гемангиомы, кроме конечностей, встречаются на брюшной стенке, мошонке, слизистой оболочке рта, селезенке, брыжейке толстой кишки. Течение болезни прогрессирующее, рецидивирующее, хроническое. В период ремиссии наблюдают превращение хрящевой ткани в костную. Возможно злокачественное превращение. Прогрессирование заболевания прекращается после полового созревания.
Читайте также:
