Синдром Поланда (Poland) - синонимы, авторы, клиника
Добавил пользователь Евгений Кузнецов Обновлено: 11.12.2025
Синдром Польши это врожденный дефект характеризуются неразвитостью грудная мышца и короткие перепончатые пальцы с одной стороны тела. [3] [1] На этой стороне также могут возникать короткие ребра, меньшее количество жира и аномалии груди и сосков. [1] Обычно задействована правая сторона. [3] Люди обычно имеют нормальные движения и здоровье. [1]
Причина неизвестна. [1] Одна из теорий заключается в том, что это происходит из-за нарушения кровотока во время развитие до рождения. [1] Состояние обычно не унаследованный от родителей человека. [1] Нет гены которые способствуют развитию расстройства. [1] Диагноз ставится на основании симптомов. [4] Часто люди остаются недиагностированными, и некоторые могут не осознавать, что они страдают, пока половое созревание. [3]
Лечение зависит от степени тяжести и может включать хирургическую коррекцию. [3] Заболевает примерно 1 из 20 000 новорожденных. [1] Самцы поражаются вдвое чаще, чем самки. [1] Он назван в честь Альфред Польша, который описал состояние, когда он был студентом в 1841 году. [4] [5]
Содержание
Признаки и симптомы


Список распространенных побочных эффектов с разбивкой по частоте. [3]
Очень часто
- Аномальный желудочно-кишечный тракт
- Отсутствующий грудной мышцы (Короткие пальцы) грыжа / дефект отсутствует / ненормально /желчный аномалии тракта сахарный диабет / недостающие пальцы отсутствует / ненормально (относительно более короткий проксимальный сегмент конечностей по сравнению со средним и дистальным сегментами)
- Редкость или ненормальность подмышечных волос на пораженной стороне пальцев (лямки) отсутствует / ненормально
- Верхняя конечность асимметрия
- Аномальный ребро на стороне поражения
- /гипоплазия из почки / экзэнцефалия
- Аномальная морфология гипоталамо-гипофизарной оси
- Нарушение функции гипоталамо-гипофизарной оси полидактилия аномалии (рефлюкс / дуплексная система) аномалия сегментации
Обычно это считается односторонним заболеванием. Некоторые утверждали, что этот термин может применяться в двустороннем представлении, [6] но другие рекомендуют в этих случаях использовать альтернативную терминологию. [1]
Причины
Причина синдрома Поланда неизвестна. Однако нарушение кровоснабжения эмбриона артерий, лежащих под ключицей (подключичные артерии ) примерно на 46-й день эмбрионального развития - преобладающая теория. [7]
Подключичные артерии обычно снабжают кровью эмбриональные ткани, которые дают начало грудной стенке и руке. Варианты места и степени разрушения могут объяснить ряд признаков и симптомов, возникающих при синдроме Поланда. Аномалия эмбриональной структуры, называемая апикальный эктодермальный гребень, который помогает управлять ранним развитием конечностей, также может быть вовлечен в это заболевание. [8]
Диагностика

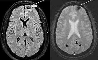
Самый большой кавернозный порок развития человека показан в левом лобном полюсе. Это поражение имеет классические признаки кровотечения (белые стрелки). Могут наблюдаться и другие поражения, совместимые с кавернозными пороками в других областях мозга (стрелки). Синдром Польши. [2]

Маммограмма показывая отсутствие большая грудная мышца и искажение с левой стороны. Правая сторона в норме.
Синдром Поланда обычно диагностируется при рождении на основании физических характеристик. Методы визуализации, такие как компьютерная томография может выявить степень поражения мышц. [9] Синдром различается по степени тяжести и часто не регистрируется до полового созревания, когда становится очевидным однобокий рост. [10]
Техника
Полное или частичное отсутствие грудной мышцы - это порок развития, который определяет синдром Поланда. Его можно вылечить, вставив индивидуальный имплантат, разработанный САПР (компьютерное проектирование). [11] Трехмерная реконструкция грудной клетки пациента выполняется с помощью медицинского сканера для создания виртуального имплантата, идеально адаптированного к анатомии каждого из них. [12] Имплант изготовлен из медицинской силиконовой небьющейся резины. Эта процедура носит чисто косметический характер и не компенсирует несбалансированность верхней части тела пациента. [ нужна цитата ]
Поскольку пороки развития синдрома Поланда являются морфологическими, коррекция индивидуальным имплантатом является лечением первой линии. [13] Этот метод позволяет получать хорошие результаты у самых разных пациентов. Синдром Поланда может быть связан с атрофией костей, подкожной клетчатки и молочной железы: если первая, как и pectus excatum, успешно корректируется индивидуальным имплантатом, другие могут потребовать хирургического вмешательства, такого как липофилинг или силиконовый имплантат груди, во второй операции. [ нужна цитата ]
Хирургия
Имплант заменяет большую грудную мышцу, таким образом обеспечивая симметричность грудной клетки, а у женщин - также груди. При необходимости, особенно в случае женщин, повторная операция дополнит результат имплантацией грудного имплантата и / или липофилингом. [ нужна цитата ]
Липомоделирование все чаще используется для коррекции деформаций груди и грудной стенки. При синдроме Поланда этот метод, по-видимому, является большим достижением, которое, вероятно, произведет революцию в лечении тяжелых случаев. В основном это связано с его способностью достигать ранее недостижимого качества реконструкции с минимальным рубцеванием. [14]
Эпидемиология
Синдром Поланда поражает мужчин в три раза чаще, чем женщин, и поражает правую сторону тела в два раза чаще, чем левую. [15] Заболеваемость оценивается в диапазоне от одного из 7000 до одного из 100000 живорождений. [16]
Синдром Поланда
Синдром Поланда - это комплекс пороков развития, включающий в себя отсутствие малой и/или большой грудной мышцы, уменьшение толщины слоя подкожной жировой клетчатки в области груди, отсутствие или деформацию нескольких ребер, отсутствие соска или молочной железы, укорочение пальцев, полное или неполное сращение пальцев, а также отсутствие волос в области подмышечной впадины. Дефект односторонний, чаще наблюдается справа. Выраженность нарушений может сильно варьироваться. Диагноз выставляется на основании клинических данных, рентгенографии, МРТ и других исследований. Лечение обычно хирургическое - торакопластика, коррекция дефекта трансплантатами, косметические вмешательства.
МКБ-10

Общие сведения
Синдром Поланда - достаточно редкий врожденный порок развития. Выявляется у одного из 30-32 тыс. новорожденных. Впервые частичные описания данной патологии были сделаны Frorier и Lallemand в первой половине 19 века, однако болезнь была названа по фамилии английского студента-медика Поланда, также создавшего частичное описание порока в 1841 году. Возникает спорадически, семейная предрасположенность не доказана. Отличается широкой вариабельностью - у разных больных наблюдаются существенные различия как по выраженности, так и по наличию или отсутствию тех или иных дефектов.

Специалисты в сфере торакальной хирургии, травматологии и ортопедии предполагают, что причиной данной аномалии является нарушение миграции эмбриональных тканей, из которых образуются грудные мышцы. Существуют также теории, связывающие синдром Поланда с внутриутробными повреждениями или гипоплазией подключичной артерии. Ни одна из перечисленных теорий пока не получила достоверного подтверждения.
Патогенез
Основным и самым постоянным компонентом данного комплекса пороков развития считается гипоплазия или аплазия грудных мышц, которая может дополняться другими признаками. Возможно легкое недоразвитие или отсутствие реберных хрящей. В некоторых случаях на стороне поражения полностью отсутствуют не только мышцы, жировая клетчатка и реберные хрящи, но и костная часть ребер. К числу других возможных признаков синдрома Поланда относится брахидактилия (укорочение пальцев) и синдактилия (сращение пальцев) на стороне поражения. Иногда наблюдается уменьшение размера кисти или ее полное отсутствие.
С дефектной стороны также может выявляться отсутствие молочной железы (амастия), отсутствие соска (ателия) и отсутствие волос в подмышечной впадине. В 80% случаев комплекс дефектов выявляется с правой стороны. При левостороннем варианте синдрома Поланда иногда обнаруживается обратное расположение внутренних органов - от декстракардии, при которой сердце находится справа, а остальные органы остаются на своем месте, до зеркального расположения, при котором наблюдается обратная (зеркальная) локализация всех органов.
При левостороннем варианте болезни, нормальном расположении сердца и выраженной гипоплазии половины грудной клетки сердце остается слабо защищенным от внешних воздействий и иногда может располагаться прямо под кожей. В подобных случаях возникает непосредственная опасность для жизни больного, поскольку любой удар может стать причиной серьезной травмы и остановки сердца. В остальных случаях последствия не столь серьезны и могут варьироваться от ухудшения функций дыхания и кровообращения вследствие деформации грудной клетки до чисто косметического дефекта из-за отсутствия мышц и/или грудной железы.
Симптомы
Симптомы синдрома Поланда, как правило, хорошо заметны даже неспециалисту и обычно обнаруживаются родителями еще в первые дни жизни малыша. Характерна несимметричность грудной клетки, отсутствие или недостаточное развитие мышц и неразвитость подкожной жировой клетчатки с одной стороны. Если дефект расположен со стороны сердца, при отсутствии ребер можно наблюдать биение сердца прямо под кожей. У девочек в период полового созревания грудь на больной стороне не растет или отстает в росте. В отдельных случаях (при гипоплазии мышц в отсутствие других пороков) у мальчиков синдром Поланда диагностируется только в юношеском возрасте, когда после занятий спортом пациенты обращаются к врачу из-за асимметрии, возникшей между «накачанной» нормальной и гипоплазированной грудными мышцами.
Существует четыре основных варианта формирования грудной клетки при синдроме Поланда. При первом варианте (наблюдается у большинства больных) структура хрящевой и костной части ребер не нарушена, форма грудной клетки сохранена, аномалия выявляется только на уровне мягких тканей. При втором варианте костная и хрящевая часть ребер сохранены, но грудная клетка имеет неправильную форму: на стороне поражения обнаруживается выраженное западение хрящевой части ребер, грудина ротирована (развернута полубоком), на противоположной стороне часто выявляется килевидная деформация грудной клетки.
Для третьего варианта характерна гипоплазия реберных хрящей при сохранности костной части ребер. Грудная клетка несколько «перекошена», грудина немного наклонена в больную сторону, однако грубой деформации не наблюдается. При четвертом варианте обнаруживается отсутствие как хрящевой, так и костной части одного, двух, трех или четырех ребер (с третьего по шестое). Ребра на пораженной стороне западают, выявляется выраженная ротация грудины.
Для подтверждения диагноза и определения тактики лечения синдрома Поланда проводят ряд инструментальных исследований. На основании рентгенографии грудной клетки судят о выраженности и характере патологических изменений костных структур. Для оценки состояния хрящей и мягких тканей пациента направляют на МРТ и КТ грудной клетки. При подозрении на вторичные патологические изменения внутренних органов назначают консультации кардиолога и пульмонолога, осуществляют исследование функции внешнего дыхания, ЭКГ, ЭхоЭГ и другие исследования.
Лечение синдрома Поланда
Лечение оперативное, обычно начинается в раннем возрасте, проводится пластическими и торакальными хирургами. Объем лечебных мероприятий зависит от наличия и выраженности тех или иных патологических изменений. Так, при грубой патологии с отсутствием ребер и деформацией грудной клетки может потребоваться ряд поэтапных хирургических вмешательств для обеспечения безопасности внутренних органов и нормализации внешнего дыхания. А при изолированном отсутствии грудной мышцы и нормальной форме грудной клетки единственной целью операции является устранение косметического дефекта.
При необходимости провести коррекцию аномалий кисти (например, устранить синдактилию) привлекают травматологов и ортопедов. При наличии патологии со стороны внутренних органов больных направляют к кардиологам и пульмонологам. Целью лечения основной патологии является создание оптимальных условий для защиты и функционирования внутренних органов, восстановление нормальной формы грудной клетки и восстановление нормальных анатомических взаимоотношений между мягкими тканями.
Первая и основная часть лечения синдрома Поланда - устранение костной деформации и замещение дефекта ребер. Применяют несколько способов торакопластики. При правосторонней локализации дефекта и отсутствии двух или трех ребер осуществляют транспозицию нижележащих ребер. При поражении четырех ребер проводят трансплантацию костно-мышечного лоскута, «выкроенного» из здоровой половины грудной клетки пациента. При необходимости выполняют корригирующую клиновидную стернотомию (удаление участка грудины для исправления ее формы и положения с косого на прямое).
В настоящее время, наряду с использованием собственных тканей пациента, все чаще проводят хирургические вмешательства с применением имплантов, изготовленных из специальных инертных синтетических материалов. В ряде случаев в дошкольном возрасте в области дефекта ребер устанавливают специальную сетку, которая защищает внутренние органы, не препятствуя нормальному росту ребер - такая тактика позволяет уменьшить вероятность вторичных деформаций грудной клетки, обусловленных неравномерным ростом оперированных и не оперированных ребер пациента.
При изолированных дефектах мышцы осуществляют пересадку передней зубчатой мышцы или прямой мышцы живота. Возможно также замещение грудных мышц индивидуально изготовленным силиконовым трансплантатом. У женщин важной частью лечения становится реконструктивная маммопластика - устранение косметического дефекта, возникшего вследствие недоразвития или отсутствия молочной железы. Для восстановления анатомических соотношений между мягкими тканями применяют перемещение широчайшей мышцы спины, а через некоторое время после заживления раны устанавливают силиконовый протез молочной железы.
Признаки и лечение синдрома Поланда у девочек и мальчиков
Синдром Поланда - редкое заболевание, которое проявляется при рождении. Признаки чрезвычайно переменны.
Классически характеризуется отсутствием (аплазией) мышц грудной клетки на одной стороне тела (односторонней) и аномально короткими, перепончатыми пальцами руки на одной стороне (ипсилатеральной). У пациентов обычно наблюдается одностороннее отсутствие груди или части грудной мышцы.
Затронутые лица могут иметь:
- недоразвитость или отсутствие одного соска (включая темную область вокруг соска [ареола]);
- частичное отсутствие волос под мышками.

Синдром Поланда у девочек проявляется как недостаточное развитие или отсутствие (аплазия) одной груди и подкожных тканей. В некоторых случаях присутствуют скелетные аномалии, такие как:
- недостаточное развитие или отсутствие верхних ребер;
- возвышение лопатки (деформация Шпренгеля);
- укорочение руки, с недоразвитием костей предплечья.
Болезнь поражает чаще всего правую часть тела. Встречается у мужчин чаще, чем у женщин. Точная причина возникновения расстройства неизвестна.
- Польша Аномалия;
- Последовательность Поланда;
- Поланд Syndactyly;
- Односторонний дефект мышц грудной клетки и синдикалия руки.
Симптомы и признаки
Симптомы чрезвычайно разнообразны, даже, когда затронуты более одного члена семьи. Например, один брат имел все основные особенности состояния, у другого наблюдалось только отсутствие грудной мышцы.
Расстройство чаще всего характеризуется отсутствием мышц грудной клетки на одной стороне тела, поражением руки на одной стороне (ипсилатеральной). 75 процентов - отклонения влияют на правую сторону тела.
У некоторых людей с синдромом Поланда встречается одностороннее отсутствие других региональных мышц, таких как большие мышцы спины (latissimus dorsi), грудной стенки, которая простирается от ребер под мышкой к лопатке.
- недоразвитость или отсутствие затемненной области вокруг соска (ареолы);
- отсутствие соска;
- аномальный рост волос под мышкой.
Синдром Поланда у девочек проявляется как недостаточная развитость или отсутствие груди, подкожных тканей.

Дополнительные дефекты костей присутствуют у некоторых людей:
- недоразвитие или отсутствие верхних ребер;
- реберных хрящей, с помощью которых ребра прикрепляются к грудине;
- аномальная высота или недостаточное развитие лопатки;
- ограниченное перемещение руки на пораженной стороне;
- деформация Шпренгеля.
У большинства людей с синдромом Поланда:
- поражаются руки на одной стороне тела;
- некоторые кости пальцев (фаланги) недоразвиты или отсутствуют, что приводит к аномально коротким пальцам (брахидактильно);
- синдактили, сращение пальцев, особенно указательных, средних.
Иногда наблюдается ненормальное сокращение руки, с недостаточным развитием костей предплечья.
Иногда сообщалось о семейном наследовании - заболевание у матери и ребенка, братьев и сестер, рожденных здоровыми родителями.
Семейные случаи могут быть результатом унаследованной восприимчивости к определенной аномалии (раннее прерывание кровотока), предрасполагающей к синдрому.
Заболевание иногда называют последовательностью Поланда. «Последовательность» относится к шаблону пороков развития, полученному из одной аномалии.
Основным недостатком заболевания является нарушение развития артерий, которое приводит к уменьшению или прерыванию кровотока во время раннего эмбрионального роста.

Для группы состояний, возникающих из-за нарушения кровотока через артерии (подключичная, позвоночная и их ветви), была предложена терминология «Временная последовательность прерывания артерии» на шестой недели эмбрионального развития. Такие состояния включают синдромы Поланда, Мебиуса, Клиппеля-Фейла, деформацию Шпренгеля.
Считается, что конкретная картина дефектов, зависит от участка и степени уменьшенного кровотока.
Затронутые популяции
Расстройство названо в честь исследователя (Планд А), который описал состояние в 1841 году. Синдром Поланда в три раза чаще встречается у мужчин. Заболеваемость от одного на 10 000 до одного на 100 000. (Заболеваемость - число новых случаев за определенный период.)
Как отмечалось выше, болезнь оказывает влияние на правую часть тела примерно в 75 процентах случаев.

Связанные нарушения
Симптомы следующих расстройств похожи, сравнения полезны для дифференциального диагноза:
Известно о случаях, когда признаки Поланда происходят в сочетании с синдромом Мебиуса (синдром Поланда-Мебиуса). Они характеризуются лицевым параличом из-за нарушения шестого и седьмого черепных нервов (Мебиуса), дефектами стенки грудной клетки или пороками матки (симбрахидактили), обычно наблюдаемыми при Поланде.
Синдром Мебиуса
- «маской», без выраженных эмоций на лице;
- невозможность сделать определенные движения глаз;
- птоз;
- ограниченная подвижность языка;
- плохое сосание, глотание;
- нарушения речи.
Дополнительные признаки включают:
- косолапость;
- различные дефекты конечностей;
- умеренная умственная отсталость.
Синдром Мебиуса обычно возникает случайным образом по неизвестным причинам. Он может быть результатом раннего нарушения кровотока артерий во время эмбрионального развития.
Гипогенез оромандибулярного лимба
Термин, используемый для описания группы редких состояний, характеризующихся недоразвитием (гипогенезом) полости рта, челюсти (oromandibular), рук, ног.
Эта группа мальформации лица-конечности включает синдромы Моебиуса, Чарли М, Ханхарта. Они возникают спорадически и характеризуются чрезвычайно переменными клиническими признаками.
Некоторые исследователи считают, что это перекрывающиеся варианты болезней, представляющие собой спектр пороков развития, вызванных экологическими или другими факторами. Гипорецепции Оромандибула-Лимба, Мебиуса, вызваны ранним нарушением кровотока в артериях из-за различных механических факторов.
Синдром Чарли М
Редкое состояние, характеризующееся определенными отличительными уродствами лица и конечностей. Характеризуется:
- широко расставленными глазами (глазной гипертелоризм);
- широким носом и маленьким ртом;
- неполным закрытием крыши рта (расщепление неба);
- аномально маленькой челюстью (микрогнатия);
- параличом лицевого нерва;
- отсутствующими или конусообразными передними зубами (резцы);
- асимметричными отклонениями пальцев рук, ног.
Возникает случайно по неизвестным причинам.

Диагноз обычно подтверждается при рождении на основании характерных физических признаков, тщательной клинической оценки, различных специализированных тестов.
Тесты включают усовершенствованные методы визуализации, такие как компьютерная томография, определяющая степень воздействия на мышцы. Рентгенологические исследования используются для выявления аномалий рук, предплечий, ребер, лопаток.
Лечение
Лечение синдрома Поланда направлено на конкретные симптомы. Оно требует скоординированных усилий группы специалистов: Пластическая хирургия для восстановления грудной стенки, пересадка ребра в надлежащее место.

Для женщин выполняется операция по восстановлению груди. Иногда операция проводится для исправления скелетных аномалий, влияющих на другие области тела, такие как руки. Физическая терапия назначается, чтобы помочь снять ограничения движений.
Терапия включает хирургическую коррекцию деформаций грудной стенки.
- Хирургические методы доступны для улучшения внешнего вида мужчин и женщин.
- Для женщин реконструкция груди обычно выполняется после завершения нормального развития молочной железы и планируется в сочетании с реконструкцией грудной стенки или после нее.
- Для мужчин реконструкция груди может не понадобиться, если нет деформации стенки грудной клетки. Оптимальный хирургический подход варьируется от пациента к пациенту. Хирургические варианты следует обсудить с хирургом, знакомым с реконструктивной хирургией для людей с синдромом Поланда.
Генетическая консультация рекомендована пострадавшим людям и их семьям. Другое лечение этого расстройства является симптоматическим, поддерживающим.
Синдром Польши - Poland syndrome

Синдром Поланда - это врожденный дефект, характеризующийся недоразвитостью грудной мышцы и короткими перепончатыми пальцами на одной стороне тела. На этой стороне также могут возникать короткие ребра, меньшее количество жира и аномалии груди и сосков. Обычно задействована правая сторона. Люди обычно имеют нормальные движения и здоровье.
Причина неизвестна. Одна из теорий состоит в том, что это происходит из-за нарушения кровотока во время развития до рождения. Состояние вообще нет. гены, которые способствуют этому заболеванию, не идентифицированы. Диагноз ставится на основании симптомов. Часто люди остаются недиагностированными, и некоторые могут не осознавать, что они затронуты, до полового созревания.
Лечение зависит от степени тяжести и может включать хирургическую коррекцию. Болеет около 1 из 20 000 новорожденных. Мужчины поражаются вдвое чаще, чем женщины. Он назван в честь Альфреда Поланда, который описал состояние, когда он был студентом в 1841 году.
- 1 Признаки и симптомы
- 2 Причины
- 3 Диагноз
- 4 Лечение
- 4.1 Техника
- 4.2 Хирургия
Правая рука симбрахидактилия синдром Поланда Мужчина с синдромом Поланда с отсутствием левой грудной клетки
Список общих побочных эффектов с разбивкой по частоте.
- Патологические желудочно-кишечные тракт
- Отсутствие грудных мышц (короткие пальцы) грыжа / дефект отсутствует / аномалия / аномалии желчевыводящих путей диабет / отсутствие пальцев отсутствует / ненормально
- (относительно более короткий проксимальный сегмент конечностей по сравнению со средним и дистальным сегментами)
- Спарсит y или аномалия подмышечных волос на пораженной стороне пальцев (перепонка) отсутствует / ненормально
- Верхняя конечность асимметрия
- Аномальная ребро на пораженной стороне
- / гипоплазия из почек /exencephaly
- Аномальная морфология гипоталамо-гипофизарной оси
- Аномальная функция гипоталамо-гипофизарной оси (рефлюкс / дуплексная система) аномалия сегментации
Обычно считается односторонним заболеванием. Некоторые утверждали, что этот термин может применяться при двустороннем представлении, но другие рекомендуют использовать в этих случаях альтернативную терминологию.
Причина синдрома Поланда неизвестна. Однако преобладающей теорией является прерывание эмбрионального кровоснабжения артерий, лежащих под ключицей (подключичные артерии ) примерно на 46-й день эмбрионального развития.
Подключичные артерии в норме снабжают кровью ткани эмбриона, которые дают начало грудной стенке и руке. Вариации в месте и степени разрушения могут объяснить ряд признаков и симптомов, которые возникают при синдроме Поланда. Аномалия эмбриональной структуры, называемая апикальным эктодермальным гребнем, которая помогает управлять ранним развитием конечностей, также может быть вовлечена в это нарушение.
Диагноз
Маммограмма показывает отсутствие большой грудной мышцы и деформацию с левой стороны. Правая сторона в норме.
Синдром Поланда обычно диагностируется при рождении на основании физических характеристик. Такие методы визуализации, как компьютерная томография, могут выявить степень поражения мышц. Синдром различается по степени тяжести и часто не регистрируется до полового созревания, когда становится очевидным однобокий рост.
Полное или частичное отсутствие грудной мышцы порок развития, который определяет синдром Поланда. Его можно вылечить, вставив индивидуальный имплантат, разработанный САПР (компьютерное проектирование). Трехмерная реконструкция грудной клетки пациента выполняется с помощью медицинского сканера для создания виртуального имплантата, идеально адаптированного к анатомии каждого из них. Имплант изготовлен из медицинской силиконовой небьющейся резины. Это лечение является чисто косметическим и не компенсирует несбалансированную силу верхней части тела пациента.
Поскольку пороки развития синдрома Поланда являются морфологическими, коррекция с помощью индивидуального имплантата является лечением первой линии. Этот метод позволяет получать хорошие результаты у самых разных пациентов. Синдром Поланда может быть связан с атрофией костей, подкожной клетчатки и молочной железы: если первая, как и pectus excatum, успешно корректируется индивидуальным имплантатом, другие могут потребовать хирургического вмешательства, такого как липофилинг или силиконовый имплантат груди, во второй операции. 137>
Операция
Имплант заменяет большую грудную мышцу, таким образом обеспечивая симметричность грудной клетки, а у женщин - груди. При необходимости, особенно в случае женщин, вторая операция дополнит результат имплантацией грудного имплантата и / или липофилингом.
Липомоделирование все чаще используется для коррекции деформаций груди и грудной стенки. При синдроме Поланда этот метод, по-видимому, является большим достижением, которое, вероятно, произведет революцию в лечении тяжелых случаев. В основном это связано с его способностью достигать ранее недостижимого качества реконструкции с минимальным рубцеванием.
Синдром Поланда поражает мужчин в три раза чаще, чем женщин, и дважды поражает правую сторону тела. так же часто, как и слева. Заболеваемость оценивается в диапазоне от одного на 7000 до одного на 100000 живорождений.
История

Первоначальное описание синдрома Альфредом Поландом.
Он был назван в 1962 году Патриком Кларксоном, новозеландский британский пластический хирург, работающий в больнице Гая и больнице королевы Марии в Лондоне. Он заметил, что у трех его пациентов деформация руки и недоразвитая грудь с одной и той же стороны. Он обсудил это со своим коллегой из больницы Гая, доктором Филипом Эвансом, который согласился с тем, что синдром «не получил широкого признания». Кларксон обнаружил ссылку на аналогичную деформацию, опубликованную Альфредом Поландом более чем за сто лет до этого в отчетах больницы Гая, в 1841 году. Кларксон смог найти препарованный Польшей образец руки, который все еще хранился в больнице. музей госпитальной патологии.
Польша вскрыла осужденного, известного как Георгий Эльт, который, как утверждается, не мог провести рукой по груди. Поланд отметил деформацию грудной клетки, и это было проиллюстрировано в его статье; рука была также препарирована и сохранена для потомков в музее больницы Гая, где она остается сегодня. Нельзя сказать, что Польша описал этот синдром, потому что он описал только один единичный случай. Кларксон опубликовал серию из трех случаев и назвал синдром в честь Польши в своей статье. По данным Национального института здоровья, синдром Польши встречается у 1 из 20 000 новорожденных (больше мужчин, чем женщин).
Оперативное лечение Синдрома Поланда у мужчин и женщин
Задать вопрос онлайн
Заказать обратный звонок
Современный арсенал методов эстетической пластики груди охватывает не только все варианты увеличивающей маммопластики, но и коррекцию самых разных врожденных дефектов. Сегодня мы хотели бы поговорить о такой редкой патологии, как Синдром Поланда. О техниках выполнения и особенностях операции рассказывает пластический хирург Игорь Валерьевич Гуляев.

Игорь Валерьевич, что представляет собой данная патология?
Синдром Поланда - это врожденное заболевание, основной симптом которого - полное, либо частичное отсутствие грудных мышц. В некоторых случаях это состояние может дополняться и костной патологией - недоразвитием или частичным отсутствием реберных хрящей или самих ребер. У женщин часто наблюдается недоразвитие или полное отсутствие молочной железы и сосково-ареолярного комплекса. Также вместе с деформациями контура грудной клетки могут наблюдаться и другие симптомы, например, укорочение пальцев или синдактилия.
Что значит «частичное отсутствие»?
Большая грудная мышца имеет три пучка. Два нижних могут отсутствовать. Возможны также различные вариации с недоразвитием широчайшей мышцы спины. Пластическая хирургия, как правило, занимается именно мягкотканными деформациями, так как костные патологии - это прерогатива торакальных хирургов и ортопедов-травматологов.
В чем причина такого недоразвития?
Достоверно причина неизвестна, пока есть две основных теории. Первая теория - нарушение в эмбриональном периоде миграции тканей, отвечающих за образование грудных мышц. Вторая гипотеза — нарушение формирования подключичной артерии вследствие внутриутробной травмы или ее врожденного недоразвития. Фактически — это нарушение питания тканей плечевого пояса с последующей их гипоплазией.
Может ли передаваться по наследству эта патология?
Синдром Поланда считается спорадической патологией, то есть проявляющейся от случая к случаю, наследственный характер не доказан. Тем не менее, в литературе встречаются упоминания о наличии заболевания у близких родственников.
Как часто патология встречается?
Синдром Поланда - заболевание относительно редкое, примерно один случай на 35 тыс. человек. Иногда оно сочетается с другими синдромами (дефекты лица, конечностей).


Обычно говорят правосторонний или левосторонний синдром. Он проявляется только на одной стороне?
Да, Синдром Поланда проявляется на одной из сторон. Двухстороннего синдрома Поланда я за всю свою практику не встречал ни разу. Причем, как правило, до 80% случаев Синдром Поланда возникает справа. И это может быть косвенным подтверждением сосудистой теории, так как даже в норме левая подключичная артерия немного больше, чем правая.
Людям с такой патологией дают инвалидность?
Если речь идет о мягкотканной патологии - то это чисто эстетический дефект, и инвалидность при таком состоянии не дают. В редких случаях, когда Синдром Поланда проявляется слева и сопровождается гипоплазией (недоразвитием) ребер, сердце может быть незащищено и фактически находится под кожей. Такой вариант должен служить основанием для инвалидности, но в этом случае также показана реконструктивная операция, после которой инвалидность могут снять.
Как человек узнает о том, что у него Синдром Поланда?
В детстве это не всегда заметно, если патология касается только большой грудной мышцы. Потом постепенно мышцы растут и становится видна асимметрия. У женщин с самого начала пубертатного периода наблюдается резкое отставание в развитии или полное отсутствие одной молочной железы.
Получается, что эта патология практически не влияет на качество жизни?
Как сказать! Да, чаще всего она создает только эстетический дискомфорт. За исключением редких случаев, когда есть недоразвитие конечности или костная патология. Но в понятие «качество жизни» входит и эстетическая составляющая, так что я бы сказал, что на качество жизни наличие Синдрома влияет в любом случае.
А если есть дефект костной ткани — это показание к операции?
Желательно, но не обязательно. Например, бывает так, что человек знает об этой особенности с детства, привык себя беречь (предохранять грудь от ударов и т. д.) и готов обойтись без операции. Дело в том, что сама операция по реконструкции костной ткани достаточно травматичная и длительная. Используют разные методы — трансплантацию сетки, титановые ребра, расщепление собственных ребер. Необходимость операции определяется по совокупности факторов: желание пациента и выраженность костной патологии.
Давайте поговорим о том, как технически проводится эта коррекция. Отличается методика выполнения операции у женщин и мужчин?
Синдром Поланда чаще встречается у мужчин. Они составляют примерно 70% пациентов. Если мы говорим о мягкотканной патологии, то это эстетическая проблема как у мужчин, так и у женщин. Тем не менее, для женщин эта патология имеет большее влияние на качество жизни и самооценку: женщине важно, как выглядит грудь, ведь она является вторичным половым признаком, то есть, одним из компонентов женственности.
У мужчин в процессе операции проводят контурное замещение дефекта. Возможны два варианта: ротация части широчайшей мышцы спины и замещение дефекта с помощью силиконового имплантата. Изготовление индивидуального имплантата — сложный и долгий процесс. Обычно весь процесс занимает до двух месяцев, так как индивидуальные имплантаты приходится заказывать заграницей. Стоимость индивидуального импланта от 1 до 2-2,5 тысяч евро в зависимости от размера и формы замещаемого дефекта.
Если же говорить о реконструктивной операции с использованием ротации фрагмента широчайшей мышцы спины, то нужно понимать, что здесь невозможно добиться полной симметрии. Развитие мышц во время физических упражнений с разных сторон будет происходить по-разному.



Записаться на бесплатную консультацию:
А можно пересадить не свою мышцу, а взять ее у донора?
Теоретически - возможно, однако на практике такие операции не выполняются, так как есть более простые с технической точки зрения методики, тем более, что пересадка донорских тканей всегда сопряжена с риском отторжения и необходимостью сложной послеоперационной терапии.
Какая из операций менее травматичная: ротация мышцы или установка импланта?
Разрезы и при установке импланта, и при пластике фрагментом широчайшей мышцы примерно одинаковые. Эндопротез фиксируют к грудине и в некоторых точках к ребрам, так, чтобы не препятствовать экскурсии грудной клетки во время дыхания. Это требует тщательной отслойки тканей. Поэтому даже при установке силиконового имплантата необходима хорошая экспозиция. Кроме того, силиконовый эластомер, из которого делают индивидуальные имплантаты, совсем не похож по консистенции на эндопротез молочной железы, поэтому его имплантация через стандартный для маммопластики маленький разрез невозможна.
Давайте подробнее поговорим об операции у женщин. В чем ее особенности?
У женщин всегда речь идет об отсутствии молочной железы. Как правило, здесь тоже приходится выполнять ротацию широчайшей мышцы спины. Если просто сделать эндопротезирование, то верхний полюс протеза будет контурировать, и грудь будет выглядеть неестественно. Если здоровая грудь небольшого размера — мы можем сразу выполнить эндопротезирование с другой стороны. В иных случаях , мы сначала ставим тканевой экспандер, который постепенно растягивает ткани, формируя карман, необходимый для имплантации большого эндопротеза. Существуют еще специальные протезы Бейкера. Их можно использовать как экспандер, но при этом можно не менять после достаточного наполнения.


Имплант ставят только с одной стороны?
Да, ведь нам нужно восполнить недостающий объем. Если здоровая молочная железа птозирована, можно одномоментно выполнить подтяжку молочной железы - мастопексию. При желании пациентки получить в итоге больший объем молочной железы, можно выполнить эндопротезирование имплантатами разного объема, но это нужно делать уже вторым этапом, во время замены эскпандера на эндопротез.
Не будет ли впоследствии проблем с грудным вскармливанием?
Женщина может успешно кормить второй (здоровой) грудью. А на той стороне, где отсутствовала молочная железа, восстанавливают только эстетическую форму.
Какие ограничения накладываются на послеоперационный период?
В зависимости от того, какая была выполнена операция. Если это эндопротезирование, то примерно те же, как и после самой распространенной пластической операции — увеличение груди. Нельзя в течение 2-3 недель высоко поднимать руки, в течение 1-1,5 месяцев не поднимать тяжести (более 2 кг), 1,5-2 месяцев не заниматься спортом. Первые две недели желательно не водить машину. В случае ротации мышцы сроки немного увеличиваются. В каждом случае набор рекомендаций может быть индивидуальным.
Некоторые хирурги говорят, что после операций с установкой имплантов на груди до конца жизни не рекомендуется делать упражнения на плечевой пояс — подтягиваться и отжиматься.
Такие рекомендации справедливы для увеличивающей маммопластики, если эндопротез установлен под мышцу. Мышца может выдавить протез и он мигрирует. Если же имплантат установлен под железу, то умеренно качать мышцы можно. Но при синдроме Поланда мужчинам имплантат ставится просто под кожувосполняет контурный дефект, не имея взаимоотношений с мышцей, поэтому можно выполнять любые упражнения. А вот у женщин это ограничение справедливо.
Какие бывают осложнения при данной операции: смещение протеза, инфицирование?
Случаи смещения мне не встречались. Статистика по инфицированию примерно такая же, как и после операций по эстетической пластике груди. Немного чаще встречаются серомы - скопление жидкости вокруг эндопротеза. Если такое происходит - жидкость эвакуируют обычным шприцом.
По поводу установки дренажа хирурги расходятся во мнениях.
Я всегда использую дренажи при увеличивающей маммопластике в течение как минимум суток после операции. Дренаж — это дополнительная страховка.. После операции, особенно во время выхода из анестезии, иногда повышается артериальное давление, что может привести к небольшому кровотечению из мелких сосудов, которые могли не проявлять себя во время операции. И тогда дренаж спасает, в противном случае нужно будет пунктировать или даже выполнять повторную операцию с целью эвакуации гематомы. Кроме того, есть исследования, которые доказывают повышение вероятности развития капсулярной контрактуры у пациенток с послеоперационными не эвакуированными гематомами.
Проколы от дренажных трубок - это крошечные отверстия, которые располагаются в незаметных местах (например, подмышечные впадины) и абсолютно не видны после операции.
Какие рекомендации Вы можете дать по восстановительному периоду?
Ограничения физических нагрузок мы с Вами уже обсуждали. Кроме того, необходимо отказаться от термических процедур (ванна, баня и др.) на срок не менее 1,5 месяцев после операции. В течение 2-3 недель желательно спать только на спине. Очень важный момент — правильная компрессия. В течение месяца после операции необходимо носить компрессионное белье, бандаж. Это необходимо для стабилизации имплантата и профилактики сером.
Это требование одинаково и при установке импланта и после пластики с помощью широчайшей мышцы?
Нет, во втором случае (ротация мышцы) выраженная компрессия может привести к негативным последствиям: бандаж может сдавить мышцу в области подмышечной впадины, что может вызвать ишемию ротированной мышцы и, как следствие, - нарушение ее питания. Поэтому компрессия после ротации мышцы щадящая, минимальная.
Какие рекомендации вы можете дать по поводу медикаментозной послеоперационной терапии?
Как правило, после любого эндопротезирования мы назначаем профилактическую антибактериальную терапию. Антибиотики начинают вводить внутривенно уже в процессе операции, далее я обычно назначаю тот же препарат в таблетированной форме на 3-5 дней после выписки. При необходимости можно пить обезболивающие препараты.
Если сравнивать эти две операции — пересадку мышцы и установку импланта — что лучше делать?
Все определяют показания. В некоторых случаях достаточно бывает ротации мышцы, если дефект выраженный - нужно заказывать индивидуальный имплантат.
Вопрос, актуальный для иногородних пациентов. Как долго надо оставаться в клинике или в близкой доступности к ней?
Обычно двое суток пациент проводит в стационаре. Затем нужно будет приехать несколько раз на контрольные осмотры и перевязки. Первый визит — через неделю после операции, второй — через две недели, когда снимают швы, еще раз нужно приехать через месяц, когда можно снимать компрессионное белье. На более поздних сроках желательно проводить контрольные осмотры через 3, 6 и 12 месяцев после операции.
Допустим, родители заметили у ребенка такую деформацию. Когда им нужно задуматься об операции?
Сколько стоит такая операция?
Лучше отдельно рассмотреть стоимость операции для мужчин и для женщин. У мужчин она, как правило, одноэтапная. Сама операция стоит 100 тыс. рублей (не зависимо от того, проводится ли ротация мышцы или эндопротезирование). Все лечение с анестезией, стационарным лечением и т.д. обойдется в 180-200 тыс. рублей. Стоимость индивидуально изготовленного имплантата на данный момент — от 70 до 140-150 тыс. рублей.
У женщин ротация мышцы — это только первый этап. Это те же 200 тыс. рублей за все лечение плюс стоимость тканевого экспандера. Потом проходит некоторое время (желательно - полгода и более) и делают второй этап - эстетический — эндопротезирование или мастопексия и т. д. Самый простой вариант операции с одним эндопротезом стоит 70 тыс. рублей, плюс около 30 тыс. - стоимость имплантата. Вместе со стационарным лечением и анестезией получается около 150 тыс. рублей.
За рубежом такая операция стоит десятки тысяч долларов. Но у нас это значительно дешевле. Могут ли у наших врачей оперироваться иностранные граждане?
Да, конечно. Процедура простая. Пациент высылает свои фотографии. Далее клиника высылает приглашение (вызов на лечение) и по лечебной визе он приезжает в Москву.
Единственный нюанс — если речь идет об имплантате, то надо будет приехать два раза. Первый — чтобы сделать замеры и снять слепок. И второй раз (через несколько месяцев) — на саму операцию.
Игорь Валерьевич, спасибо, что так подробно рассказали о синдроме Поланда! В силу редкой встречаемости тема хирургического лечения при данной патологии крайне скудно освещается в неспециализированной литературе.
Читайте также:
