УЗИ, КТ, МРТ при однорогой матке
Добавил пользователь Евгений Кузнецов Обновлено: 21.01.2026
МРТ матки направлена на выявление заболеваний женской половой системы, а также расположенных рядом с ними органов - мочевого пузыря, прямой кишки. Вместе с маткой оценивают состояние маточных труб, яичников, брюшины, тазовых лимфатических узлов.
Какие заболевания показывает МРТ матки?
Магнитно-резонансная томография показывает строение внутренних органов женской репродуктивной системы, их размеры, форму и расположение. Толщину срезов устанавливает врач, минимальная толщина среза - 1 мм, поэтому патологические образования такого размера уже попадут в зону сканирования. Применение контрастного вещества делает патологический очаг более заметным, контрастное вещество патологически накапливается измененной структурой матки.
МРТ покажет любые патологические процессы, связанные с изменением интенсивности МР-сигнала, формы, размеров органа. МРТ позволяет выявить воспалительные процессы, опухоли, простые и сложные кисты, очаги некроза, кровоизлияния, нарушения кровоснабжения.
Воспаление органов
Воспалительные заболевания матки, труб и яичников:
- оофорит - воспаление яичника;
- сальпингит - маточной трубы;
- сальпингооофорит - их сочетание.

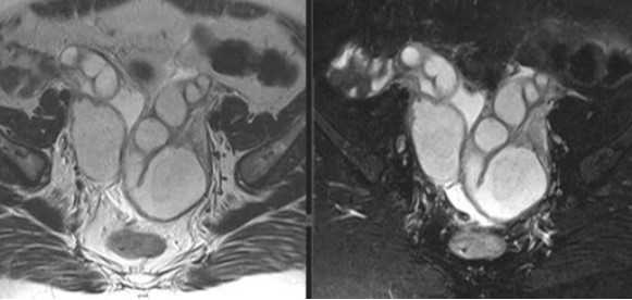
МРТ малого таза. В структуре яичника отмечается крупная киста с толстыми стенками, с неоднородным (белковым) содержимым, без перегородок и папиллярных разрастаний.

Отмечается повышение интенсивности МР-сигнала от содержимого кисты на ДВИ с признаками выраженного снижения на ИКД (в,г) - МР-признаки воспалительного (гнойного) содержимого.
Признаками воспаления будут отек стенок и стромы органов, то есть их утолщение, усиление интенсивности МР-сигнала. При хроническом процессе обнаруживают спайки - тяжи из соединительной ткани, которые деформируют орган, перекрывают его просвет (это часто является причиной непроходимости маточных труб). При гнойном воспалении в области маточных труб регистрируется расширение их просвета, они заполнены вязким жидким содержимым. По сигналу можно отличить:
- серозную жидкость (гидросальпинкс);
- кровь (гематосальпинкс);
- гной (пиосальпинкс).

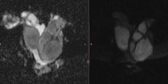
МРТ малого таза. Окружающая клетчатка с признаками отека, маточные трубы окружены неравномерно выраженным скоплением серозной жидкости.

Параовариально с обеих сторон определяются расширенные тубулярные структуры с неполными перегородками и утолщенными стенками, заполненные неоднородным вязким жидкостным содержимым, характеризующимся повышенным МР-сигналом на ДВИ с выраженным снижением ИКД (в,г) — расширенные маточные трубы с признаками белкового (гнойного) содержимого.
При скоплении гноя внутри матки (пиометра), крови (гематометра) МРТ также поможет в диагностике.
Опухоли репродуктивных органов
Наиболее частая патология, которая встречается у женщин, - миома матки. Это доброкачественная опухоль из мышечной ткани органа. Она имеет вид одного или нескольких узлов, которые расположены наиболее часто в стенке матки. Миома протекает почти бессимптомно, поэтому может достигать больших размеров. При этом на МРТ определяется значительное изменение наружной формы органа и полости матки, могут сдавливаться мочевой пузырь и кишечник.

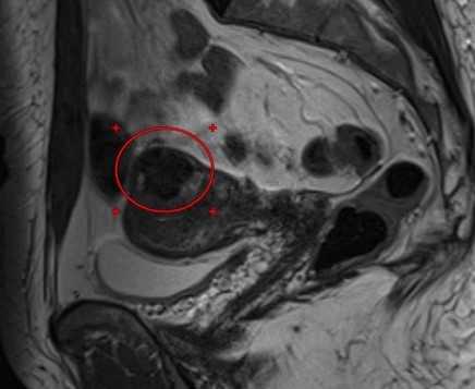
МРТ малого таза в сагиттальной плоскости. По задней стенке матки — интрамурально-субсерозная лейомиома (круг) с признаками гиалиновой дегенерации.
Из злокачественных опухолей чаще встречаются рак тела и шейки матки, рак яичников.
Кисты
В женском организме в репродуктивном возрасте происходят циклические изменения, которые приводят к образованию фолликула, желтого тела. Из них могут развиться образования, заполненные жидкостью:
- Фолликулярная киста яичника развивается из фолликула, который не лопнул в нужное время;
- Киста желтого тела появляется во 2 фазе цикла.

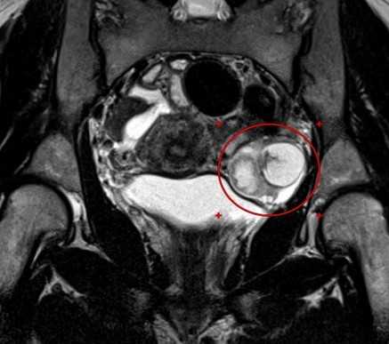
МРТ малого таза в корональной плоскости. В структуре левого яичника отмечаются:
— с толстыми и неровными стенками киста желтого тела (круг),
— функциональная геморрагическая киста (регрессирующее желтое тело).
Иногда они достигают больших размеров, могут вызывать боли, опасен разрыв кисты. Могут обратно регрессировать и исчезать без специального лечения.
Дермоидная киста содержит зачатки волос, костей, зубов, эпидермиса. Может быть расположена в яичниках. Требует хирургического вмешательства.
Серозная цистаденома - кистозное образование, заполненное серозным содержимым. Есть риск злокачественного перерождения, поэтому требуется наблюдение за новообразованием. Встречаются кисты муцинозные, которые содержат слизеподобное вещество, геморрагические кисты заполнены кровью.
Поликистоз яичников характеризуется образованием множества фолликулов, располагающихся по периферии, уплотнением стромы яичника.
Эндометриоидная киста - очаги из клеток эндометрия, которые попали в яичник, претерпевают там такие же циклические изменения, как слизистая оболочка матки.

МРТ малого таза в сагиттальной плоскости. В структуре яичника отмечается неправильной формы эндометриоидная (“шоколадная”) киста, заполненная вязким геморрагическим содержимым.
Эндометриоз
Это заболевание, которое характеризуется врастанием внутреннего слоя матки (эндометрия) в соседние слои - миометрий, периметрий. Разросшаяся слизистая оболочка может выходить даже за пределы органа, клетки находят в полости брюшины, яичниках, шейке матки, на стенках мочевого пузыря, прямой кишки.
Если во внутриутробном периоде воздействовали неблагоприятные факторы (ионизирующее излучение, вирусные болезни, токсические вещества), может нарушиться нормальное формирование внутренних половых органов. На МРТ можно выявить отсутствие яичника, маточной трубы с одной или двух сторон, всей матки или ее части. Бывает удвоение матки полное или частичное, перегородка матки делит матку на 2 полости, двурогая матка имеет вид 2 зачатков матки в виде рогов, которые полностью не соединились. Возможно наличие лишнего яичника.
Патология шейки матки
На шейке матки часто при гинекологическом осмотре выявляют эрозию. Мазок, биопсия позволяют определить микрофлору этой области, характер изменения клеток (есть или нет признаки опухолевого перерождения). МРТ позволяет увидеть, насколько глубоко поражены ткани, выбрать в зависимости от результатов терапию. При обследовании видно, если эрозия начала трансформироваться в рак шейки матки, позже в тазовых лимфатических узлах, яичниках, маточных трубах обнаруживают метастазы. Иногда на МРТ снимках выявляются полипы, воспалительные изменения матки, рубцы после кесарева сечения.
Когда назначают МРТ матки и яичника?
На МРТ направляют акушер-гинеколог, онколог, эндокринолог, если женщина предъявляет жалобы, свидетельствующие о нарушении в половой сфере:
- Боли могут беспокоить внизу живота, в паху, пояснице. Они могут быть постоянными или возникают в определенные дни цикла, после интимных отношений.
- Нарушения менструального цикла. Цикл может быть нерегулярным, менструации частые и обильные или наоборот, редкие, скудные, совсем отсутствуют. Они могут сопровождаться сильными болевыми ощущениями, вегетативными симптомами (тошнотой, головокружением, бледностью, сердцебиением).
- Бесплодие может быть связано с анатомическими дефектами - отсутствие яичника (врожденное или после оперативного удаления), аномалии матки, непроходимость маточных труб. Эти патологии выявляются на МРТ. Если строение органов нормальное, причину бесплодия ищут в дисбалансе гормонов. Для этого делают лабораторные анализы, МРТ области гипофиза, гипоталамуса.
- Кровотечения, другие выделения из половых путей. Причиной кровянистых выделений могут быть миома, эндометриоз, злокачественные образования. Отличить столь разные заболевания можно при помощи МРТ. После постановки диагноза назначают соответствующее лечение - гормональное, хирургическое, консервативное, облучение.
- При подозрении на опухоли (после осмотра у гинеколога, УЗИ) для подтверждения или уточнения диагноза. МРТ является самым точным неинвазивным методом обнаружения онкологических процессов. МРТ позволяет определить точное расположение опухоли (в каком органе), размеры, структуру и границы (ровные, четкие или бугристые, звездчатые, сложной неправильной формы), влияние на окружающие ткани (отодвигает их, вызывает их ишемию, сдавливает или инфильтрирует). Точнее только гистологическое обследование, во время которого врач видит под микроскопом клеточную структуру опухоли, удаленной при операции, или ее кусочка, полученного при биопсии.
- До и после операций на органах малого таза. МРТ перед операцией назначают для определения, операбельна ли патология. Если да, то какой объем вмешательства необходим. После операции контролируют полученный результат.
- При беременности после 14 недели для исследования качества рубца на матке после проведенного ранее кесарева сечения. В 3 триместре для точного определения размеров костей таза, помогающего прогнозировать течение родов. При клинически узком тазе выбор по ведению родов делают в пользу кесарева сечения. На ранних сроках МРТ делается только при подозрении на внематочную беременность, так как необходимо уточнить изменения для успешного проведения операции. В остальных случаях МРТ в 1 триместре не делают, так как в это время идет формирование всех органов и систем у плода.
Подготовка к МРТ матки и яичников
Органы малого таза расположены рядом с кишечником. Поэтому, если он будет заполнен газами, твердыми массами, могут возникнуть сложности при рассмотрении матки на снимках. Для получения качественных результатов исследования важна правильная подготовка к МРТ матки и яичников. За 2 - 3 дня следует убрать из рациона продукты, вызывающие газообразование (богатые клетчаткой, с высоким содержанием углеводов):
- бобовые;
- капуста, редис, редька;
- цельное молоко;
- газированные напитки.
Людям, страдающим запорами, врач скорее всего назначит слабительное, а накануне исследования вечером очистительную клизму. Перед исследованием (примерно за полчаса) рекомендуют принять спазмолитический препарат (но-шпу).
Состояние мочевого пузыря тоже отражается на качестве диагностики при МРТ матки и придатков. Оптимально, когда он наполнен примерно наполовину. Данного эффекта можно добиться, если за 1 час прекратить пить воду, не опорожнять после этого мочевой пузырь. Иногда есть необходимость быстро наполнить орган. Об этом может сообщить врач функциональной диагностики уже во время исследования. Поэтому лучше иметь с собой небольшую (0,75 л) бутылку воды без газа.
Как проходит МРТ матки и придатков яичника?
Перед тем, как делают МРТ матки, снимают все предметы из металла - украшения, одежду с застежками. О наличии электронных устройств, металлических деталей в организме (помпа для введения инсулина, кардиостимулятор, искусственные клапаны сердца, суставы) ставят врача в известность. В большинстве случаев это будет противопоказанием к проведению МРТ. При наличии паспорта на такие изделия предоставляют его.
Исследование проводят в горизонтальном положении, лежа на спине. Связь с врачом есть на протяжении процедуры. Больная может сообщить о плохом самочувствии, общается с врачом, старается сохранять неподвижность.
Обследуют тазовую область. Если до обследования проводили другие дополнительные методы диагностики, врачу предоставляют заключения специалистов. Это помогает более точно прокомментировать увиденные на снимках отклонения, отметить, как развивается процесс: нарастает, стихает, без изменений. Длительность исследования около 20 - 30 минут, МР томография с контрастом длится порядка часа.
МРТ матки, на какой день цикла?
Большое значение имеет, на какой день цикла делать МРТ матки. Обычно исследование МРТ проводится с 7 по 12 день цикла. При выборе даты обследования необходимо женщине иметь с собой на приеме у врача календарь, в котором она отмечает дни менструации.
Иногда нужно сделать МРТ срочно. В таких случаях врач может разрешить выполнить диагностическую процедуру во второй половине цикла. На вопрос, делают ли МРТ матки и яичников в период менструации, ответ отрицательный. Если кровянистые выделения продолжаются более 7 дней, исследование проводят после их прекращения.
МРТ или КТ матки?
МРТ и КТ выполняют послойное сканирование мягких тканей внутри организма, затем по снимкам воссоздается трехмерная модель органа. Отличия заключаются в том, что КТ - рентгеновский метод диагностики, МРТ - нет. Если сравнивать, что показывает МРТ матки и яичников и КТ, то магнитное поле хорошо выявляет патологию мягких тканей, КТ - костей.
Поэтому проведение МРТ при диагностике болезней матки предпочтительнее:
- нет лучевой нагрузки;
- более информативно (матка и придатки относятся к мягким тканям, лучше визуализируются на МРТ);
- выявляет патологию раньше, чем КТ.
При наличии противопоказаний для проведения МРТ, а это нахождение внутри тела пациента металла, проводят КТ.
КТ никогда не назначают при беременности, так как рентгеновские лучи плохо влияют на развитие плода. Они могут вызвать мутации, аномалии развития. МРТ не оказывает вреда на плод. В первом триместре его не назначают из предосторожностей, так как это чувствительный и критический период развития ребенка.
КТ лучше обнаруживает метастазы в костях, хотя и на МРТ они видны даже без применения контрастного вещества.
Сделать МРТ матки и придатков при хорошей подготовке, наличии показаний - большая помощь для врача в диагностике, выборе лечения и контроле за эффектом от проводимой терапии. Пациент при этом не испытывает боли, неприятных ощущений, всего лишь должен неподвижно лежать, потерпеть шум от томографа.
Раннее выявление опухоли дает шанс на полное выздоровление. Если человек находится в группе риска по возможному развитию онкологии (рак у близких родственников, предраковые заболевания у самого пациента), ему рекомендуют проходить обследование минимум раз в год. Сравнение предыдущих и следующих снимков является основанием для прогнозирования течения болезни.
Ультразвуковая диагностика однорогой матки

Профессиональные диагностические инструменты. Оценка эластичности тканей, расширенные возможности 3D/4D/5D сканирования, классификатор BI-RADS, опции для экспертных кардиологических исследований.
Введение
Аномалии женских половых органов составляют 4 % от всех врожденных пороков развития [1]. В последние годы отмечена тенденция к увеличению частоты выявления пороков развития различных органов и систем организма, в том числе и женских половых органов. Последнее, по мнению Л.В. Адамян и соавт. [1], обусловлено как совершенствованием методов их диагностики, так и ухудшением экологической обстановки.
Установлено [1, 2, 3, 4 ], что аномалии развития являются причиной многих серьезных осложнений, в томчисле бесплодия (11-32 %), невынашивания беременности (23-86 %) и преждевременных родов (25 %).
Важно отметить, что аномалии развития матки и влагалища в 77,9 % случаев сочетаются с отклонениями в развитии других органов и систем, а в 33,3 % - с пороками почек и мочевыделительной системы [1].
Однорогая матка - один из наиболее редких пороков развития органов репродуктивной системы. Его популяционная частота неизвестна.
Установлено, что нормальная матка и влагалище возникают вследствие слияния парамезонефральных каналов. В тех случаях, когда развивается только один канал, то формируется однорогая матка. По существу в эмбриологическом смысле однорогая матка - это половинчатая часть нормальной матки. Наряду с этим при наличии данной патологии отсутствуют труба, яичник и круглая связка на одной стороне. Нередко отмечается также агенезия одной почки. В отдельных случаях при достаточном развитии однорогой матки она может функционировать как нормальная [5].
Клиническая диагностика большинства аномалий матки невозможна [6]. Это в полной мере относится и к однорогой матке. В настоящее время для выявления данной патологии в основном используют гистеросальпингографию и гистероскопию.
При гистеросальпингографии в случае однорогой матки определяется только один ее рог при одновременном отсутствии изображения трубы [6].
При гистероскопии полость матки, как правило, бывает круглой, а не треугольной формы, и определяется устье только одной маточной трубы [1].
Однако, несмотря на высокую информативность этих методов, каждый из них имеет ряд существенных недостатков. К недостаткам первого из них следует отнести невозможность исключить отрицательного влияния на организм ионизирующего излучения, и второго - инвазивность метода.
В последние годы для выявления различных аномалий развития матки широкое распространение получил метод эхографии [7, 8, 9]. Тем не менее вопрос о возможности использования этого метода для диагностики однорогой матки остается еще открытым. Учитывая вышеизложенное, в настоящей работе мы решили представить результаты наших исследований, посвященные оценке информативности применения эхографии для выявления рассматриваемой патологии.
Материал и методы
Ультразвуковое исследование органов малого таза осуществляли с использованием датчиков частотой 3,5 и 5 МГц. После нахождения матки определяли ее размеры (длину, толщину и ширину). Затем измеряли толщину эндометрия. Наряду с этим в отличие от стандартной биометрии вычисляли с каждой стороны расстояние от эндометрия до боковых стенок матки, а также расстояние от наиболее удаленных участков эндометрия до наружной поверхности матки в области ее углов. При проведении эхографии особое внимание обращали на наличие яичника. При выявлении яичника определяли его размеры, обращали внимание на состояние фолликулярного аппарата, наличие доминантного фолликула или желтого тела.
После установления при эхографии однорогой матки всем пациенткам для подтверждения диагноза проводили гистеросальпингографию и у двух - лапароскопию.
Результаты
Однорогая матка при эхографии была установлена у 5 пациенток в возрасте от 22 до 38 лет. Жалобы на болезненные менструации предъявляла только одна женщина. У двух имелось первичное бесплодие в течение 3 и 7 лет.
При проведении эхографии было установлено, что длина и толщина матки у всех пациенток колебались в нормальных пределах и составили в среднем соответственно 46,2 см (43-51 см) и 32,1 см (30-35 см) соответственно.
Выполненные нами исследования показали, что одной из основных особенностей однорогой матки являлось уменьшение ее ширины (рис. 1). Ее ширина колебалась от 3,4 до 4,2 см, составляя в среднем 3,8 см, в то время как в норме она варьировалась от 4,3 до 6,5 см при среднем ее значении 5,3 см.

Рис. 1. Ширина однорогой матки (3,4 см). Поперечное трансвагинальное сканирование.
1 - матка; 2 - эндометрий.
Другой важный признак рассматриваемой патологии - это асимметрия толщины боковых стенок матки (рис. 2 а, б). Она варьировалась от 0,4 до 1,1 см. Причем более толстой была та стенка матки, где отсутствовал ее "нормальный полурог".

а) Толщина боковых стенок 0,5 см.

б) Толщина боковых стенок 1,1 см.
Определенную дополнительную помощь в улучшении диагностики однорогой матки в ряде случаев может дать измерение толщины стенок возле ее углов. Выполненные нами исследования показали, что в норме толщина колеблется от 0,5 до 1,1 см и не отличается более чем 0,1-0,2 см при их измерении с той и с другой стороны. В то же время у 3 из 5 пациенток с однорогой маткой это различие было несколько большим и составляло 0,3-0,4 см.
Другой дополнительный признак однорогой матки - это отсутствие изображения одного из яичников. Однако данный признак нельзя считать достаточно надежным, так как нормальный яичник при эхографии в единичных случаях может оказаться невыявленным.
Наряду с этим важно отметить, что у 2 из 5 пациенток была констатирована агенезия одной из почек.
Представленные нами данные свидетельствуют о том, что эхография является довольно надежным методом в диагностике однорогой матки. К основным эхографическим признакам этой патологии следует отнести: уменьшение ширины матки, асимметрия толщины боковых ее стенок и отсутствие изображения яичника.
Тем не менее, как показывает опыт нашей работы, в ряде случаев могут возникнуть определенные трудности при дифференциации однорогой матки с некоторыми другими патологическими состояниями. В частности, уменьшение ширины матки наблюдается при ее гипоплазии. Однако при анализе эхограмм следует иметь в виду, что если при гипоплазии уменьшаются все размеры матки, то при однорогой матке - в основном ее ширина.
Асимметрия толщины боковых стенок матки довольно частое явление. В основном это отмечается при интерстициальной миоме или эндометриоидном узле, расположенном в одной из боковых стенок матки, а также при внутриматочной синехии той же локализации. При дифференциации указанных патологических состояний необходимо учитывать, что в случае миомы или эндометриоза обычно в боковой стенке матки удается выявить патологическое объемное образование, а при синехиях - тонкую эхогенную полоску, возникающую в результате локального сращения стенок полости матки.
Следует иметь в виду, что в крайне редких случаях при анализе эхограмм может возникнуть как бы парадоксальная ситуация, когда на сканограммах определяется небольшой ширины матка с различной толщиной боковых стенок при одновременном наличии двух яичников. Это обусловлено тем, что в данном случае имеется двурогая матка с нефункционирующим рудиментарным рогом. Причем последний, по мнению И.Ф. Жордания [10], может иметь вид довольно тонкого тяжа ("шнура ") и поэтому не выявляется при эхографии.
Таким образом, представленные данные свидетельствуют о том, что эхография представляет собой высокоинформативный метод, использование которой может способствовать выявлению такой сложной для диагностики и редко встречающейся патологии, как однорогая матка.
Литература
УЗИ сканер HS60
Что показывает МРТ малого таза у женщин?
В истории человечества есть сферы и открытия, над которыми потрудился не один миллион человек, прежде чем другие миллионы почувствовали себя защищёнными. Вопрос защищённости особенно актуален, если речь идёт о женщинах. Тем более, если он затрагивает деликатную сферу гинекологии.
Боли внизу живота, сбитый цикл месячных, изменение самочувствия, настораживающие выделения из влагалища - что делать при обнаружении этих симптомов? Кто защитит женщину?
Записаться на приём к гинекологу в вашем городе можно здесь
Первым доктором бабичьего дела в России был Иоганн Эразмус. В 1764 году на медицинском факультете он читал лекции по анатомии и хирургии. В 1768 году Эразмуса сменил один из первых русских профессоров, Семён Забелин. Ещё спустя 100 лет будущий профессор Владимир Снегирёв поступил на медфак. Ему посчастливилось учиться у великого русского врача, профессора Григория Захарьина.
19 декабря 1873 года Снегирёв получил степень доктора медицины за диссертацию «Об определении и лечении позадиматочного кровоизлияния». Работа была интересная и перспективная. Снегирёву предоставили научную командировку на один год в Германию, Англию и Францию. По приезде Снегирёв изложил свои новые и оригинальные методы хирургического лечения уродств женской половой сферы, которые уже тогда имели отличия от иностранных подходов.
Первые клиники акушерства и гинекологии возводились на средства меценатов мануфактур-советников Тимофея Морозова и Елизаветы Пасхаловой. Российские женщины получили защищённость. Но заболеваний не стало меньше.
Гинекологические проблемы встречаются достаточно часто до сих пор. При этом число женщин, имеющих жалобы, с каждым годом значительно возрастает.
Сегодня с исполнительным директором ООО «МРТ Эксперт Липецк», Оксаной Егоровной Волковой, мы поговорим на тему сугубо женскую. Поднимем трудные вопросы МРТ-диагностики заболеваний женской половой сферы.
УЗИ или МРТ для диагностики гинекологических заболеваний?
Долгое время основным методом диагностики женского малого таза было УЗИ. До настоящего времени оно остаётся самым доступным и распространённым, но не всегда УЗИ даёт полную картину о состоянии органов малого таза, - считает Оксана Егоровна.
Какие заболевания позволяет выявить гинекологические УЗИ? Рассказывает врач ультразвуковой диагностики ООО «Клиника Эксперт Оренбург» Поскребышева Анна Викторовна
Поэтому показанием к проведению МРТ малого таза у женщин являются любые патологии, выявленные во время УЗИ-исследования. Магнитно-резонансная томография женского малого таза не только позволяет чётко увидеть все три слоя матки, но и хорошо визуализирует шейку матки, влагалище, придатки, лимфоузлы, прямую кишку и мочевой пузырь.
Недавно в центр на обследование пришла молодая пациентка, проходящая безуспешное лечение в течение последнего года по поводу кисты яичника, - рассказывает исполнительный директор «МРТ Эксперт Липецк». Такой диагноз девушке поставили на основе УЗИ-исследования. МРТ-диагностика выявила опухоль. По сигнальным характеристикам опухоль оказалась доброкачественной. Поскольку тактика лечения опухолей и кист является различной, улучшение состояния пациентки не происходило.
Как лечить кисту яичника? Рассказывает врач-гинеколог ООО «Клиника Эксперт Смоленск»
Михайлова Оксана Васильевна
В копилке клинических случаев доктора Волковой и ситуация, когда УЗИ выявило объёмное образование яичника. С целью уточнения диагноза женщина была направлена на лапароскопию, но самостоятельно решила пройти МРТ, выявившее - пациентка здорова, за кисту была принята петля кишечника, припаянная к придатку за счёт спаечного процесса. У другой пациентки кистозное образование оказалось гидросальпинксом.
Что такое дермоидная киста? Рассказывает исполнительный директор ООО «Клиника Эксперт Оренбург» Подлевских Юрий Андреевич
На МРТ-снимках хорошо видны заболевания мочевого пузыря, среди которых: опухолевые изменения мочевого пузыря, дивертикулы и псевдодивертикулы, полипы, хронический цистит; эндометриоз матки (внутренний, или аденомиоз), как узловой, так и диффузный; наружный эндометриоз (поражение тазовой брюшины, яичников, маточных труб, кишечника, мочевого пузыря), эндометриоидные кисты, киста жёлтого тела, миома, острый или хронический аднексит, псевдокисты (жидкость, скапливающаяся в спайках) и другие заболевания женской половой сферы.
Узнать стоимость и записаться на МРТ-исследование малого таза (гинекология) можно здесь
Поможет ли МРТ увидеть проходимость маточных труб?
Однако есть исследования, при которых МРТ не является информативным. Например, посмотреть проходимость маточных труб с помощью данного метода диагностики нельзя. С этой целью проводится гистеросальпингография. Но при выявлении непроходимости маточных труб МРТ показано как дополнительный метод исследования уже для изучения причин, приведших к непроходимости.
МРТ малого таза (гинекология) как профилактика
Ежегодное посещение доктора-гинеколога и маммолога уже вошло в культуру здоровья российских женщин. Говоря о том, что онкология молодеет и рак шейки матки становится нередким диагнозом, Оксана Егоровна полагает, что МРТ-исследование малого таза с профилактической целью один раз в год также должно стать привычным для женщин. И приводит примеры из практики, когда диагнозы женской половой сферы у пациенток центра «МРТ Эксперт» становились случайными находками. Например, часто находят бартолиновы кисты, не причиняющие женщинам неудобств до определённого момента, пока они не начинают расти и воспаляться. Патологии прямой кишки также нередкие находки во время МРТ-исследования малого таза у женщин.
Особенно важно отнестись к своему женскому здоровью более трепетно в пиковые периоды жизни, говорит Оксана Волкова. У женщин это 18, 25-27 лет, 37 лет, когда количество овуляторных циклов резко падает и начинаются гормональные изменения, и возраст 40 лет и старше.
Требуется ли женщине подготовка к МРТ малого таза?
В идеале, для получения более точной картины, диагностику желательно пройти с 5 по 15-й день цикла, - советует Волкова. За 1,5-2 часа до исследования нельзя мочиться, но намеренно наполнять мочевой пузырь не стоит - это затруднит диагностику. За час до диагностики для снижения перистальтики кишечника необходимо выпить пару таблеток но-шпы и эспумизана.
МРТ малого таза (гинекология): с контрастом или без?
МРТ малого таза у женщин проводится как с использованием контраста, так и без, в зависимости от показаний. Врачи центров «МРТ Эксперт» всегда подскажут, в каких случаях контраст необходим, а когда можно обойтись без него. По времени диагностика занимает 25 минут и не доставляет неприятных ощущений.
Когда при МРТ-диагностике применяется контрастное вещество? Узнать здесь
Что делать, если МРТ-исследование выявило картину тех или иных гинекологических заболеваний?
Не надо бояться диагнозов. Обсудите со своим доктором перспективы лечения, индивидуальный план наблюдения и чётко следуйте рекомендациям врача. Опухоли малого таза у женщин не всегда синоним слова операция. Главное помнить: чем раньше начато лечение - тем лучше прогноз.
КТ, МРТ, УЗИ - что, где и когда?
«Проще найти иголку в стоге сена», - каждый из нас не раз слышал эту известную поговорку. Всену Сашалберу - итальянскому живописцу, всегда было интересно проверить это выражение на правдивость. И для того, чтобы подтвердить или опровергнуть его, он пошёл на эксперимент.
В одной из галерей Парижа, Жан де Лоси, расположили стог настоящего сена, внутри которого директор музея лично спрятал иголку. Поиски увенчались успехом, но на это ушло… 48 часов.
А что делать, если речь идёт о здоровье и вытащить «иголочку» из своего организма нужно быстро и наверняка? Ещё полтора века назад врачи и не мечтали о том, чтобы заглянуть внутрь живого человека, не делая для этого никаких разрезов. Современные методы диагностики позволяют сделать это.
Компьютерная томография, магнитно-резонансная томография и УЗИ - что выбрать? С этим вопросом мы обратились к исполнительному директору «МРТ Эксперт Липецк» Волковой Оксане Егоровне.
УЗИ-диагностика, в отличие от КТ и МРТ, требует специальной подготовки. Чем лучше подготовлен пациент, тем качественнее будет проведено исследование. Так, УЗИ органов брюшной полости проводится натощак или, если диагностика назначена на обеденное или вечернее время, последний приём пищи должен быть за шесть часов до исследования.
Как правильно подготовиться к УЗИ брюшной полости? Рассказывает врач ультразвуковой диагностики «Клиника Эксперт Оренбург» Поскребышева Анна Викторовна
УЗИ органов малого таза у женщин и мужчин требует наполненного мочевого пузыря.
Подробнее о УЗИ малого таза у женщин (гинекологическое УЗИ) можно прочитать здесь
Есть заболевания, при которых УЗИ выигрывает перед другими методами диагностики, в частности, КТ, по большинству параметров информативности. Это, например, болезни щитовидной железы. При заболеваниях щитовидной железы УЗИ-диагностика позволяет определить «добрый» или «злой» узел, патологию со стороны лимфоузлов.
Когда показано УЗИ щитовидной железы? Читать здесь
Но это же нельзя сказать, например, о диагностике заболеваний надпочечников. В связи с тем, что эти органы расположены глубоко, увидеть достоверную картину ткани надпочечников по УЗИ тяжело. Здесь на помощь приходят КТ и МРТ надпочечников.
Так что же выбрать? КТ или МРТ? С контрастом или без контраста? На самом деле, и одно и второе исследование, для усиления дифференцировки органов друг от друга, а также нормальных и патологических структур, может проводиться как с контрастом, так и без него. Однако, разница есть в самом контрастном веществе. Контраст, применяемый при МРТ, гипоаллергенен и практически не вызывает осложнений. При проведении КТ используется контрастное вещество, содержащее йод, что может дать осложнения.
Зачем при МРТ назначают контраст? Узнать здесь
В чём же разница и преимущества КТ и МРТ?
Внешне эти исследования похожи, но принцип их работы совершенно разный.
В основе КТ-аппарата лежит рентгеновская трубка, вращающаяся вокруг пациента и совершающая за один оборот 64 среза. Скорость проведения компьютерной томографии делает данную диагностику безболезненной для людей с клаустрофобией и незаменимой в случае экстренной патологии и у реанимационных больных.
Как пройти МРТ клаустрофобу? Узнать здесь
Есть органы, для диагностики которых наиболее информативен или применим только один из рассматриваемых методов. Например, для исследования лёгких применяется только КТ. На МРТ очень хорошо видны кости, мягкие ткани, мышцы, связки, мозг и внутренние органы. Пройти МРТ всего тела также возможно. МРТ-диагностика - это безопасная и безболезненная процедура, которая позволяет максимально просканировать организм.
Когда есть необходимость в проведении МРТ всего тела? Рассказывает главный врач «МРТ Эксперт Елец» Тулинов Владимир Владимирович
«Диагноз неясен», - эту фразу никто из нас не хотел бы услышать от лечащего врача, потому что жить под гнётом такого незнания страшно. УЗИ, КТ и МРТ - все эти методы позволяют обнаружить недуг на раннем этапе, при этом диагностика является безболезненной. А определиться с выбором метода исследования в каждом конкретном случае всегда помогут специалисты центров «МРТ Эксперт» и «Клиник Эксперт».
Что покажет МРТ матки и яичников

Магнитно-резонансная томография матки (или МРТ шейки матки) - это составная часть комплексного обследования МРТ малого таза у женщин. Ее качественное проведение требует применения высокопольного томографа с мощностью магнита 1.5 Тесла и выше. Основная задача сканирования - точно показать особенности анатомии матки, включая трубы матки, внутренний зев матки, ткани тела матки, внешние полости матки, яичники. Принцип работы магнитно-резонансного томографа базируется на явлении ядерно-магнитного резонанса. Он возникает внутри аппарата МРТ под воздействием сильного магнитного поля и радиочастотных импульсов, когда протоны атомов водорода в клетках тканей начинают колебательные движения. Этот резонанс улавливает сканер, оцифровывает данные и переводит их в трехмерные изображения - томограммы.
Показания
МРТ матки и яичников является экспертной формой сканирования и в медицинских центрах СПб применяется чаще всего, когда данные УЗИ или гинекологического осмотра показали тревожные симптомы, и пациентке нужно пройти дообследование.
Что показывают снимки МРТ матки
Данное исследование особенно эффективно для выявления:
- различных форм рака матки, включая рак тела матки, саркомы матки, аденокарциномы, железисто-плоскоклеточный рак, плоскоклеточный рак;
- доброкачественных новообразований, включая миому матки, лейомиому матки, фибромиому;
- полипозные опухоли матки, полипы;
- аденомиоза матки и эндометриоза матки;
- кистозных образований;
- двурогой матки.
Его также применяют для оценки качества проведенной операции. Процедура МРТ после удаления матки нацелена на оценку степени заживления тканей и наличия остаточных раковых клеток, если резекция или удаление проводились в связи с раком матки.
Некоторые репродуктивные центры рекомендуют провести МРТ матки перед ЭКО, чтобы оценить состояние энометрия пациентки и спрогнозировать успешность процедуры оплодотворения.
Еще врачи в ходе МРТ матки и яичников могут оценить состояние рубца на матке после Кесарева сечения и составить прогноз успешности беременности и угрозы разрыва шва при изменении размеров матки в ходе периода вынашивания.
| аденомиоз матки на МРТ | рак шеи матки на МРТ | киста яичников на МРТ |
МРТ малого таза с фокусом на яичники
В ходе МРТ обследования органов малого таза врач может увидеть, как выглядят яичники пациентки, и провести дифференциальную диагностику таких заболеваний, как: кисты яичника и придатков, поликистоз, цистаденома яичника, фибротекома, рак яичников.
МРТ матки с контрастом
МРТ с контрастом при обследовании органов малого таза применяется в случаях, когда есть подозрения на опухоль, или в анамнезе женщины есть онкологический диагноз. Процедура контрастного усиления - это введение специального контрастного вещества на базе солей гадолиния в вену пациентки. Контраст имеет свойство улучшать тканевую контрастность и накапливаться в зонах объемных образований. По типу его накопления и сбрасывания рентгенолог может судить о злокачественности новообразования и степени инвазии опухоли в соседних тканях. Сам контрастный препарат гипоаллергенен и выводится из организма естественным путем в течение 24-48 часов.



МРТ опухолей матки
Одна из основных причин назначения МРТ малого таза с контрастом - дифференциальная диагностика опухолей матки. В ходе МРТ матки с контрастированием врач также может дифференцировать различные типы кист. Киста матки и яичников может иметь разные причины развития, содержимое и локализоваться в разных местах. Так, дермоидная киста (лат. dermis - кожа) на МРТ снимках имеет округлую форму, ее стенки утолщены, она наполнена клетками, которые должны были стать кожным покровом или его составляющими (волосы и ногтевые пластины). Эндометриоэдальная киста располагается в эндометрии (лат. endometrium) — внутренней слизистой оболочке тела матки. Эта киста на МРТ снимках имеет неравномерные стенки, округлую форму, внутри возможны включения от 2 до 3 мм. Возникает такая киста путем вбрасывания железистой ткани из матки в яичники и локализуется она, как правило, с одной стороны.
Кроме того, МР диагностика с контрастом - это приоритетный способ неинвазивной диагностики различных солидных образований от фибром до раковых поражений и метастазов.
Подготовка к процедуре
Перед МРТ матки и яичников рекомендуется выполнить некоторые подготовительные предписания, которые позволяют добиться наиболее точных результатов исследования. Чтобы снизить перистальтику кишечника, за 2-3 суток следует исключить из рациона газостимулирующие продуты - кисло-молочные продукты, бобовые, капусту, газированные напитки, пиво. За пять-шесть часов необходимо отказаться от приема пищи. Для лучшей визуализации мочевого пузыря лучше всего за час до исследования выпить два стакана воды. В большинстве случаев обследование матки требует ее проведения в определенные дни цикла. Интервал во многом зависит от целей диагностики, однако следует помнить, что МРТ малого таза у женщин не проводят в период менструации.
Как делают МРТ матки
Сама процедура сканирования не требует особых усилий от пациентки. Женщина должна записаться на диагностику, прийти в медицинский центр и оформить все документы. В комнате подготовки к обследованию нужно будет снять с тела все металлические предметы и выложить из карманов все электронные устройства. В МРТ кабинете женщину попросят лечь на диагностический стол и задвинут его внутри томографа. Само сканирование может проводиться с помощью катушки Body, ее накладывают поверх живота. Самое важно для качественной диагностики - это полная неподвижность обследуемой. Так рентгенолог сможет получить четкие сканы. Длительность обследования без контраста составляет 15-20 минут. МРТ матки и яичников с контрастом займет 40-50 минут.
Безопасность процедуры

Поскольку МРТ не подразумевает использование ионизирующего облучения, в ходе исследования организм женщины не получает никакой лучевой нагрузки. Поэтому это томографическое обследование безопасно проводить даже беременным женщинам. Число МР-сканирований, которые возможно делать в течение одного дня, не ограничено, их можно совмещать с другими видами аппаратной диагностики - УЗИ, рентгенографией, КТ.
Противопоказания
Несмотря на свою безопасность, МРТ имеет ряд ограничений, которые связаны с использованием сильного магнитного поля или контрастного вещества. Абсолютным ограничением к томографии будет:
- наличие в теле пациента металла;
- наличие электронных имплантов типа кардиостимуляторов и инсулиновых помп, в паспорте которых нет пометки, что они совместимы с МРТ.
Контрастирование добавляет дополнительные противопоказания:
- аллергия на элементы контраста;
- почечная недостаточность.
МРТ матки с контрастом при беременности не проводится, поскольку побочные эффекты введения препарата на развитие плода до конца не изучены.
МРТ матки при беременности
Бесконтрастную МРТ матки иногда назначают беременным женщинам. Она проходит по двум протоколам:
Читайте также:
- Противомалярийные препараты. Препараты для лечения и профилактики малярии. Гематошизотропные средства. Хинин. Артемизин.
- Расстройство запаха собственного тела
- Ректороманоскопия у детей. Осложнения ректороманоскопии в проктологии.
- Угнетение ксенобиотиками системы кроветворения. Бензольная гемопатия
- Распределение обязанностей и ответственности в медицине. Менеджемент медицинской помощи
