Случай тяжелого течения ветряной оспы с развитием ветряночного энцефалита
Добавил пользователь Владимир З. Обновлено: 01.11.2025
Терапия мексидолом уменьшала тяжесть клещевого и ветряночного энцефалита и положительно влияла на их исходы при хорошей переносимости препарата и отсутствии побочных эффектов.
Ключевые слова: клещевой энцефалит, ветряная оспа, краснуха, мексидол
В структуре детской инвалидизации одно из ведущих мест занимают острые нейроинфекционные заболевания. Исход заболевания при нейроинфекциях во многом зависит от своевременности госпитализации, интенсивности и эффективности лечебных мероприятий, назначаемых в острый период болезни, а также этиологии нейроинфекций. Изучение и синтез лекарственных средств для оптимизации медикаментозной терапии вирусных инфекций представляет одну из актуальных проблем современной медицины.
Томская область - активный природный очаг клещевого энцефалита (КЭ) [1,5,6]. Заболеваемость КЭ, методы его диагностики, лечения и профилактики уже много лет находятся в центре внимания ученых и клиницистов. Заболеваемость КЭ жителей Томской области регистрируется на уровне 50-80 случаев на 100 000 населения [2]. Дети до 14 лет составляют 17.4% от общего числа заболевших КЭ [4].
Особенностью клинических проявлений КЭ у детей в Томской области в последние десятилетия является то, что у детей одинаково часто регистрируются лихорадочная форма КЭ и клинические формы, протекающие с поражением ЦНС [4]. Очаговые формы КЭ - самые тяжелые по своим клиническим симптомам, непредсказуемые по течению заболевания и неблагоприятные по последствиям. Очаговые формы КЭ спустя 3-5 лет после заболевания у 33.3% больных привели к инвалидизации и у 8.3% - к летальному исходу. При этом в разные годы преобладали поражения тех или иных структур головного и спинного мозга: коры головного мозга, ядер черепно-мозговых нервов бульбарной группы, мозжечка, передних рогов спинного мозга либо их сочетания, а также диффузное поражение вещества головного мозга с его отеком. Для верификации диагноза КЭ применяли серологические методы с использованием реакции торможения гемагглютинации и иммуноферментного анализа (учитывали нарастание титров антител в 4 и более раз).
Краснуха и ветряная оспа принадлежат к числу наиболее распространенных инфекционных экзантем детского возраста. По данным официальной статистики, заболеваемость сохраняется высокой (120 случаев на 100 000 населения). Ветряночный (ВЭ) и краснушный энцефалит (КрЭ) - редкие, но тяжелые осложнения ветряной оспы и краснухи, частота которых в последние годы заметно возросла.
Обычно КрЭ развивается у детей в возрасте 5-10 лет. Частота заболевания составляет 1 случай на 20 000. Начало заболевания возможно под-острое. В первые дни заболевания преобладают общемозговые нарушения, характерны гемипарезы, реже наблюдаются хореоатетоидный гиперкинез, мозжечковая атаксия, стволовые нарушения. Цереброспинальная жидкость изменяется не всегда. Наиболее часты кома и эпилептические припадки. Летальность достигает 20%.
ВЭ наблюдается в 1 случае на 10 000. Период между высыпаниями и началом заболевания составляет 3-7 сут. При остром развитии ВЭ обычно выражены общемозговые нарушения, на их фоне развивается гемипаретический синдром со снижением мышечного тонуса и угнетением сухожильных рефлексов. В первые дни заболевания отмечаются корковые нарушения речи, праксиса и гнозиса. В 50% случаев развивается острая доброкачественная мозжечковая атаксия, проявляющаяся атаксией в конечностях, гипотонией, нистагмом и тремором. Регресс неврологической симптоматики начинается с 5-7-х суток болезни. Летальный исход наблюдается в 10% случаев.
Распространенность, высокий уровень заболеваемости делают необходимым поиск более эффективных методов лечения энцефалита, особенно КЭ, у детей. Основным препаратом в терапии больных КЭ остается специфический иммуноглобулин для внутримышечного введения с титром специфических антител 1/80-1/160 [3]. Учитывая, что вирус КЭ обладает тропизмом не только к нервной системе, но и к сосудам, назначаемая стандартная терапия с использованием противоклещевого иммуноглобулина не всегда эффективна, и поэтому включение в терапию мексидола патогенетически обосновано.
Целью настоящего исследования явилась оценка клинической эффективности мексидола у детей с очаговыми формами КЭ, ВЭ и КрЭ.
Нами проведен сравнительный анализ течения очаговых форм КЭ, ВЭ и КрЭ в зависимости от применявшихся методов патогенетической терапии. Результаты лечения оценивали прежде всего по данным клинической картины, рутинных лабораторных данных. У детей, получавших наряду с противоклещевым иммуноглобулином мексидол, достоверно быстрее купировались такие проявления заболевания, как длительность и степень нарушения сознания, происходил регресс очаговых симптомов, восстанавливались речевые функции, уменьшалась выраженность головной боли и ригидности затылочных мышц, астенический синдром.
Наблюдался редкий случай сочетанного течения очаговой формы КЭ и ветряной оспы. Описания подобного сочетания в литературе нами не найдено. Приводим выписку из истории болезни.
Мальчик М., 6 лет. Госпитализирован в неврологическое отделение 29.06.05 на 3-й день болезни с жалобами на судороги, нарушение движения в правых конечностях, повышенную температуру (38.6° С), сонливость, вялость, плохой аппетит. Из анамнеза: 19.06.05 снимал клеща, ползущего по правой руке. Специфическую профилактику не проводили. Заболел остро 25.06.05, когда повысилась температура до 39.5°С, развился судорожный припадок, присоединилась слабость в правых конечностях. Мальчик был госпитализирован в 1-й день болезни в районную больницу. Лихорадка сохранялась на фебрильных цифрах, несмотря на проводимую терапию, положительной динамики не отмечалось. В цереброспинальной жидкости содержание белка было в пределах нормы, цитоз - 581/3 (91 сегмент). Кровь на антитела вирусного КЭ: IgM - положительные, IgG - отрицательные. На 3-й день заболевания ребенок переведен для дальнейшего лечения в реанимационное отделение.
Диагноз: КЭ, полиоменингоэнцефалитическая форма, тяжелая, острое негладкое течение. Осложнение: Вторичный психогенный тотальный мутизм. Сопутствующий диагноз: Ветряная оспа, типичная, средней тяжести.
Наблюдение за мальчиком через месяц после выписки показало, что степень выраженности правостороннего гемипареза значительно уменьшилась, начал самостоятельно ходить, речь восстановилась полностью через 3 нед. Качество жизни не нарушено.
В качестве примера ВЭ приводим следующий клинический случай.
Мальчик А., 5 лет. Госпитализирован в реанимационное отделение 06.06.05 на 3-й день болезни с жалобами на повышенную температуру (37.7°С), нарушение сознания. Из анамнеза известно, что с 27.05.05 по 03.06.05 перенес ветряную оспу в нетяжелой форме, после чего 1 день посещал детский сад. На 10-й день от начала заболевания - вновь подъем температуры до 38°С, однократная рвота. На следующий день на фоне усиливающейся лихорадки начались судороги. Мальчик госпитализирован в районную больницу, где, несмотря на проводимую терапию, состояние ухудшилось. 06.06.05 появились выраженная сонливость и головная боль, ребенок отказался от еды. На 2-й день заболевания ребенок переведен для дальнейшего лечения в реанимационное отделение.
Доза мексидола и длительность терапии зависели от формы и тяжести заболевания. Его назначали в остром периоде и в периоде ранней реконвалесценции по 200 мг (4 мл) внутривенно капельно 2 раза в сутки в течение первых 10 дней, затем по 200 мг 1 раз в сутки внутривенно капельно, далее 100 мг (2 мл) внутримышечно в течение 10 дней. В последующем в течение месяца проводился прием мексидола в таблетированной форме по 0.125 г 2 раза в сутки. Эффективность комплексной терапии оценивали по качественным показателям. Учитывали нарушение сознания, продолжительность головной боли, рвоты, менингеальных симптомов. Для сопоставления одна группа больных получала только противоклещевой иммуноглобулин.
Терапия мексидолом уменьшала тяжесть КЭ и ВЭ и положительно влияла на их исходы. Изменения гематологических показателей носили непостоянный характер и подтверждали эффективность применения мексидола в лечении детей с КЭ и ВЭ.
Таким образом, включение мексидола в лечение детей с вышеперечисленными заболеваниями приводит к выраженному эффекту, что подтверждает воздействие вирусов не только на ЦНС, но и на сосудистую систему, и в конечном итоге способствует снижению летальности и инвалидизации детей. Проведенные исследования и их динамика, хорошая переносимость данного препарата, отсутствие побочных эффектов показывают преимущество использования мексидола в качестве лечебного средства при очаговых формах КЭ, ВЭ и КрЭ. Полученные данные диктуют необходимость дальнейшего изучения эффективности мексидола и при более легких формах КЭ.
Случай ветряной оспы у солдата-срочника
Пациент предъявлял жалобы на обильную зудящую сыпь на теле, высокую температуру (выше 38 °C), озноб, головную боль, слабость и боль в горле.
Анамнез
Из анамнеза стало известно, что молодой человек заболел два дня назад. Тогда он отметил появление слабости, боли в горле и озноба, позже заметил появление прыщей в волосистой части головы. На следующий день количество сыпи увеличилось в разы, высыпания покрывали всю поверхность тела, а также отмечалась сильная слабость, которая не позволила в тот день выйти на службу.
Пациент обратился в медицинский пункт части, где был проведён осмотр, измерена температура тела и выдано направление в госпиталь для лечения.
В детстве пациент не болел ветряной оспой (чтобы уточнить информацию, звонил матери). Контакты с больными ветряной оспой отрицает, возможно, не обратил внимания.
Неделю назад поступил на военную службу и приехал в часть, судя по всему находясь в инкубационном периоде заболевания.
Обследование
- Общее состояние относительно удовлетворительное.
- Температура тела — 38,6 °C
- Кожа горячая на ощупь с сыпью в виде пятен и везикул. Сыпь расположена по всему телу, а также на коже век, на слизистой губ, в горле и на половых органах.
- Пальпируются увеличенные лимфатические узлы по ходу грудино-ключично-сосцевидной мышцы справа, лимфоузлы мягкие, не спаянные с кожей, безболезненные.
- Тоны сердца ясные, ритм правильный.
- Артериальное давление — 120/80 мм рт. ст.
- Частота сердечных сокращений — 92 в минуту.
- Дыхание в лёгких везикулярное (хрипов нет).
- Живот мягкий, безболезненный.
- Стул и мочеиспускание в норме.
Диагноз ветряной оспы ставится по клиническим проявлениям, здесь это возможно было сделать без труда.
- В ОАК отмечалось увеличение скорости оседания эритроцитов (СОЭ) до 20 мм/ч и небольшой лейкоцитоз (увеличение числа лейкоцитов) 12 х 10^9/л.
- В ОАМ без патологических отклонений.
Диагноз
Лечение
- Постельный режим (пациент был изолирован от других в отдельной палате).
- Обильное питьё.
- Жаропонижающее при температуре выше 38,5 °C —ибупрофен 400 мг.
- Антигерпетический препарат — ацикловир 400 мг 4 раза в день
- Обработка элементов сыпи раствором бриллиантового зелёного 1 раз в день до подсыхания элементов.
- Антигистаминный препарат — "Супрастин" по 1 таблетке 2 раза в день.
Лечение проводилось в инфекционном отделении согласно назначениям под наблюдением врачей. На четвёртый день на фоне проводимой терапии исчезла боль в горле, температура тела всё ещё была повышенной (до 37,2 °C), новая сыпь появлялась ещё пару дней. На седьмые сутки состояние улучшилось: не отмечалось подъёма температуры, не было замечено новых элементов сыпи, был заметен регресс старых элементов.
Лечение длилось 21 день, закончилось выздоровлением с пигментацией на месте высыпаний, которая в будущем прошла. Пациент был выписан и отправлен на службу с небольшими ограничениями по физическим нагрузкам.
Заключение
Ветряная оспа — вирусное заболевание из группы герпесвирусов, высококонтагиозное (очень заразное), имеет вспышечный характер. Восприимчивость к заболеванию всеобщая, т. е. болеют все возрастные группы, чаще дети. Взрослые переносят болезнь тяжелее, осложнения чаще встречаются именно в этой группе пациентов, данный случай это подтверждает.
Инфекция характерна для закрытых коллективов: школы, детские сады, военные части. Поэтому неболевшим взрослым рекомендовано проведение вакцинации.
Случай тяжёлого течения ветряной оспы с развитием ветряночного энцефалита
В инфекционное отделение г. Междуреченска в январе 1998 года обратилась мама с ребёнком шести лет с жалобами на то, что ребёнок не может стоять на ногах.
Жалобы
Со слов матери, утром у ребёнка настолько сильная слабость в ногах, что он не может встать с постели, болевого синдрома, головной боли, рвоты не отмечалось. Также были жалобы на сыпь по телу с корочками и лёгким зудом.
Симптомы возникли остро — утром после пробуждения. Накануне вечером ребёнок чувствовал себя удовлетворительно, жалоб не предъявлял.
За семь дней до обращения ребёнок заболел ветряной оспой. Начало заболевания протекало легко: незначительные высыпания по телу и волосистой части головы без повышения температуры. В детском саду в этот период был карантин по ветряной оспе. Диагноз поставлен участковым врачом верно: "Ветряная оспа, типичная, лёгкой степени тяжести". Ребёнок находился на домашнем режиме, получал симптоматическую терапию: обработка элементов раствором бриллиантовой зелени. На седьмой день от начала заболевания на фоне значительного улучшения самочувствия и уменьшения количества элементов сыпи утром ребёнок не смог встать на ноги.
Из анамнеза жизни известно, что ребёнок не страдал хроническими заболеваниями, развивался соответственно возрасту, получал профилактические прививки по плану. Против ветряной оспы привит не был. Из перенесённых заболеваний: ОРЗ 1-2 раза в год.
При обследовании: ребёнок в сознании, отвечает на вопросы, ориентирован во времени и пространстве, положение вынужденное (на руках у матери). При постановке на ноги с поддержкой оседает. Движения рук не ограничены, нарушения речи, глотания нет. Черепно-мозговые нервы не нарушены. Самостоятельно идти не может. Рефлексы с ног снижены с двух сторон. Менингеальные симптомы (симптомы воспаления мозговых оболочек) отрицательные. Чувствительность на нижних и верхних конечностях сохранена. На коже единичные элементы сыпи, корочки. Слизистые чистые. По органам патологии не выявлено.
Проведена люмбальная пункция. По результатам исследования ликвора (спинномозговой жидкости) установлено наличие лимфоцитарной инфильтрации (повышенного содержания лейкоцитов), уровень сахара в крови в норме (что соответствует вирусному процессу). В клиническом анализе крови изменений не установлено. В биохимическом исследовании крови изменений фосфорно-кальциевого обмена, печёночных проб не выявлено. Осмотр глазного дна не выявил патологии.
Ребёнок получал внутривенно ацикловир в течение семи дней с дальнейшим переходом на приём препарата в таблетках. Курс — 14 дней.
Со второго дня поступления отмечалась положительная динамика: улучшение двигательной активности в нижних конечностях, улучшение рефлексов, нарастание силы мышц. Полное восстановление функций нижних конечностей произошло к 14 дню. Выписка через две недели с выздоровлением.
После выписки ребёнок находился под наблюдением участкового педиатра и невролога. В процессе наблюдения получал реабилитацию: курсы массажа, физиотерапии. Ухудшения самочувствия в период наблюдения не отмечалось. Двигательная активность восстановлена полностью, на психоэмоциональное развитие ребёнка заболевание не повлияло.
Ветряная оспа не всегда лёгкое заболевание. Редкие осложнения могут носить тяжёлый характер. Предсказать развитие осложнений невозможно даже у человека без хронических заболеваний. На сегодняшний день предотвратить заболевание можно вакцинацией. Профилактическая вакцинация против ветряной оспы возможна детям с 12 месяцев жизни. Прививки гарантируют отсутствие болезни, а значит и осложнений.
Ветряная оспа (ветрянка) - симптомы и лечение
Что такое ветряная оспа (ветрянка)? Причины возникновения, диагностику и методы лечения разберем в статье доктора Александрова Павла Андреевича, инфекциониста со стажем в 14 лет.
Над статьей доктора Александрова Павла Андреевича работали литературный редактор Елена Бережная , научный редактор Сергей Федосов
Определение болезни. Причины заболевания
Ветряная оспа (Chickenpox) — острое инфекционное заболевание, вызываемое вирусом ветряной оспы, поражающим кожные покровы и нервную систему.
Симптомы ветрянки: умеренно выраженная общая интоксикация и везикулёзная экзантема. При длительной персистенцией вируса в виде латентной инфекции, при активизации которой (чаще после 60 лет) протекает в форме опоясывающего лишая. Течение доброкачественное при отсутствии осложнений.
Этиология
Возбудитель принадлежит к семейству Herpesviridae (от греч. herpes — ползучая), роду Varicellavirus. Вирус герпеса 3 типа — Varicella zoster. ДНК-содержащий, покрыт липидной оболочкой. Антигенная структура вируса устойчива, и не было выявлено измененных вариантов возбудителя. Крайне неустойчив во внешней среде, солнечная радиация, свежий воздух при проветривании, дезинфицирующие средства убивают вирус почти мгновенно. [1] [3] [5]
Эпидемиология
Антропоноз. Источник инфекции — больной человек (ветряной оспой и опоясывающим лишаём) независимо от степени тяжести и клинических проявлений. Больной заражает неболевших восприимчивых людей (восприимчивость 100%) с последних 48 часов инкубационного периода и до 5 суток с момента появления последнего свежего элемента сыпи.
Пути заражения
Механизм передачи воздушно-капельный (пути — аэрозольный, контактно-бытовой). Заболевание очень контагиозно, но для реализации заражения необходим тесный контакт больного и восприимчивого организма.
До 50% заболеваний приходится на возраст 5-9 лет, к 15 годам остается неиммунной прослойка не более 10% населения. Заболеваемость повышается в холодное время года.
При обнаружении схожих симптомов проконсультируйтесь у врача. Не занимайтесь самолечением - это опасно для вашего здоровья!
Симптомы ветряной оспы
Сколько длится ветряная оспа (ветрянка)
Инкубационный период длится от 10 до 21 дня. В типичных случаях (у детей и подростков) заболевание начинается остро. В среднем ветряной оспой болеют 7-10 дней.
Симптомы ветряной оспы у взрослых и детей
Ветрянка у взрослых из-за утраты лабильности иммунной системы проявляется подострым и постепенным началом (т. е. основной синдром появляется на 2-3 и более поздние дни от начала заболевания). Дети, как правило, заболевание переносят легче.
Симптомы ветрянки у детей и взрослых:
- общая инфекционная интоксикация (СОИИ);
- везикулёзная экзантема;
- везикулёзная энантема (афты);
- лимфаденопатия (ЛАП);
- лихорадка постоянного типа.
В типичных случаях разгару заболевания предшествует продромальный период длительностью до одних суток, маловыраженный, сопровождающийся небольшой слабостью, субфебриллитетом, редко мелкопятнистой rash-сыпью.
Очень характерна динамика высыпаний: вначале появляется округлое красноватое пятно размерами 5-10 мм, далее в центре образуется папула, далее — везикула (пузырёк) с прозрачным содержимым до 10 мм (однокамерная и спадающаяся при проколе). Далее при присоединении вторичной флоры возможно её нагноение, после — подсыхание и образование корочек, отпадение которых происходит через 6-8 дней, обычно без последующих дефектов. В редких случаях (выраженное нагноение, расчесывание) могут образовываться рубчики.
Одновременно с высыпаниями на кожных покровах на слизистой оболочке рта образуются нежные везикулы, которые, быстро вскрываясь, образуют афты (эрозии) и могут вызывать чувство дискомфорта, жжения во рту.
Ветряная оспа у новорождённых
Грудные дети ветряной оспой болеют редко, так как большинство из них защищены материнскими антителами. Если ребёнку от матери передались антитела против вируса, то болезнь может протекать стёрто в лёгкой форме. Если защитных материнских антител нет, то ветрянка протекает бурно: выражены симптомы интоксикации, возможны судороги, нарушается сознание, возникают осложнения со стороны внутренних органов и нервной системы.
Ветряная оспа у беременных
Виду широкого распространения заболевания преимущественно в детском и подростковом возрасте к моменту наступления беременности женщины оказываются в большинстве случаев иммунны к вирусу ветряной оспы (т. е. если ветрянка была перенесена до беременности, риска повторного заболевания и угрозы для ребёнка нет, соответственно, нет рисков при контакте беременной с больным ветряной оспой или опоясывающим лишаём). В редких случаях, когда беременная не имеет титра протективных антител и вступает в контакт с больным человеком, возможны различные исходы, зависящие от срока беременности. Значительную опасность представляет острое заболевание ветряной оспой для самой беременной (о чём зачастую забывает как сама женщина, так и врач, диагностировавший заболевание).
Патогенез ветряной оспы

Излюбленная локализация вируса ветряной оспы — это клетки эпителия кожи и слизистых оболочек — образование везикул. При генерализованных формах поражаются и внутренние органы, нервные ганглии (тройничный, лицевой нерв), где вирус сохраняется длительное время. При снижении иммунологической резистентности наступает «возврат» инфекции, вирус по чувствительным нервам поднимается к коже и вызывает специфические изменения (опоясывающий лишай). [1]
Классификация и стадии развития ветряной оспы
1. По клинической форме:
- рудиментарная (отсутствует синдром общей инфекционной интоксикации, из сыпи — розеолы);
- пустулёзная (присоединение вторичной — бактериальной флоры, нагноение и выраженное усиление интоксикации, частое образование рубчиков);
- буллёзная (выраженные проявления интоксикации, образование пузырей с жидкостью до 3 см);
- геморрагическая (геморрагическое пропитывание содержимого пузырьков, нейротоксикоз);
- гангренозная (образование язв, нейротоксикоз, развитие сепсиса);
- генерализованная (врожденная у детей, прогноз неблагоприятен);
- абортивная (быстрое обратное развитие сыпи).
2. По степени тяжести:
- легкая (умеренный СОИИ, повышение температуры тела до 38°С, необильные высыпания);
- средняя (выраженный СОИИ, повышение температуры тела до 39°С, обильные высыпания);
- тяжелая (резко выраженный СОИИ, повышение температуры тела свыше 39°С, гиперинтенсивные высыпания, сопровождающиеся образованием язв, геморрагиями). [1][2][3]
Стадии заболевания
Осложнения ветряной оспы
Осложнения ветрянки у детей и взрослых
Ветряная оспа у детей и взрослых протекает схоже, но у взрослых осложнения развиваются чаще.
Специфические осложнения:
- стенозирующий ларинготрахеит;
- неврологические осложнения — менингит, энцефалит, миелит;
- кератит;
- геморрагический нефрит.
Неспецифические осложнения:
- абсцессы;
- флегмоны;
- отит;
- пневмония;
- сепсис.
Осложнения ветрянки у беременных
По разным данным, развитие пневмонии у беременных при ветрянке достигает в среднем 22% от общего числа заболевших, а из них 42% случаев заканчивается летально. Вирус проникает через плацентарный барьер и может поражать ребёнка, выраженность проявлений зависит от сроков беременности. Так, при заражении в 1 триместре абортов не отмечается, но риск развития пороков развития достигает 5%, смертность от которых у новорожденных доходит до 34%. Во 2-3 триместрах тяжесть поражения возрастает, однако частота заражения ребёнка резко падает. Наибольший риск для ребёнка представляет заболевание матери за 5 дней до родов и 5 дней после них (риск врожденной инфекции до 20% и смертность до 30%), поэтому при развитии заболевания в предродовом периоде вариантом спасения может быть задержка родов на 5-7 дней (при возможности) и введение специфического иммуноглобулина. [1] [4] [5]
Что такое ветряночная пневмония
Ветряночная пневмония — это опасное осложнение, которое в основном возникает у беременных. Для заболевания характерно двустороннее воспаление лёгких, в тяжёлых случаях приводящее к их отёку и дыхательной недостаточности.
Диагностика ветряной оспы
При каких симптомах нужно обратиться к врачу
В каких случаях проводят анализ крови на ветряную оспу
В общей практике лабораторная диагностика ветряной оспы проводится редко. При необходимости в сомнительных или сложных случаях могут использоваться:
- клинический анализ крови с лейкоцитарной формулой (лейкопения и нормоцитоз, лимфо- и моноцитоз, при наслоении бактериальных осложнений — нейрофильный лейкоцитоз со сдвигом влево, т. е. изменения, свойственные большинству вирусных инфекций);
- общий анализ мочи (изменения редки, указывают на степень интоксикации);
- биохимические анализы крови (иногда повышение АЛТ как проявление герпетического гепатита, креатинина при поражениях почек);
- серологические реакции (возможна ретроспективная диагностика методами РСК, РА, ИФА классов IgM и G наиболее широко применяемый метод, позволяет провести дифференциальную диагностику между острой инфекцией и более старым инфекционным процессом, что наиболее важно при беременности. Достаточно информативен метод ПЦР).
Специальная подготовка для сдачи анализов не требуется. Расшифровкой анализов занимается врач.
При риске или произошедшем развитии осложнений производятся соответствующие лабораторные и инструментальные исследования (люмбальная пункция, рентген придаточных пазух носа, органов грудной клетки, КТ, МРТ и др.). [2] [4]
Как отличить ветрянку от других заболеваний

Лечение ветряной оспы
Ввиду всеобщей заболеваемости и в большей степени наличия форм лёгкой и средней тяжести заболевания больные ветряной оспой проходят лечение дома, в случае тяжелого заболевания (с риском развития и развившимися осложнениями), лица, проживающие в организованных коллективах, беременные должны проходить терапию в условия инфекционного стационара (до нормализации процесса и появлении тенденций к выздоровлению).
Самолечение ветряной оспы недопустимо. При появлении первых признаков нужно обратиться к терапевту или педиатру. Далеьнейшим ведением пациента занимается инфекционист.
Больной должен быть изолирован от окружающих (неболевших) людей до 5 дня со времени появления последнего свежего элемента сыпи.
Режим дня
Желателен постельный режим, строгое соблюдение санитарных норм (чистое бельё, коротко остриженные ногти, интимная гигиена).
Питание
Пища должна быть разнообразная, механически и химически щадящая, богатая витаминами, показаны мясные нежирные бульоны, обильное питьё до 3 л/сут. (теплая кипяченая вода, чай, морсы).
Медикаментозная терапия
Лечение ветрянки включает в себя этиотропную (т. е. воздействующую на возбудителя заболевания), патогенетическую (дезинтоксикация) и симптоматическую (облегчающую состояние больного путем уменьшения беспокоящих симптомов) терапию.
Этиотропная терапия назначается лишь при заболеваниях тяжелой степени тяжести и риске развития осложнений. Отдельно стоит указать на желательность данного вида лечения ветрянки и у взрослых больных, т. к. именно у них есть повышенный риск развития осложнений.
В качестве патогенетической и симптоматической терапии могут быть использованы препараты следующих групп:
- точечная обработка высыпаний растворами антисептиков (несмотря на многообразие и более высокую эффективность современных средств предпочтение следует отдавать всем известной «зелёнке», которая помимо антисептического и подсушивающего эффекта позволяет достоверно оценить наличие или отсутствие новых подсыпаний и период заразности);
- жаропонижающие при температуре у взрослых свыше 39,5℃, у детей свыше 38,5℃ (парацетамол, ибупрофен);
- противовирусные и антибактериальные глазные капли при конъюнктивите;
- противоаллергические препараты при аллергическом компоненте ветрянки;
- средства противовоспалительного и противомикробного действия местного действия в виде спреев и таблеток, растворов (при афтозном стоматите);
- антибиотики широкого спектра действия (при нагноении элементов сыпи — присоединении вторичной бактериальной флоры и развитии осложнений).
Особенности ухода и лечения детей с ветрянкой
Ветряную оспу у детей и взрослых лечат схоже. Жаропонижающие детям следует давать при температуре свыше 38,5℃ (взрослым от 39,5℃). При уходе за ребёнком с ветрянкой важно не допускать расчёсывания кожи и срывания корочек.
Признаки выздоровления
К критериям выписки пациента, переболевшего ветрянкой, относятся:
- с момента появления последнего свежего элемента сыпи прошло не менее пяти дней;
- нормализация температуры тела;
- отсутствие изменений лабораторных показателей (при тяжёлом течении);
- отсутствие осложнений.
Ввиду нестойкости вируса в окружающей среде заключительную дезинфекцию в очаге заболевания не проводят (достаточно проветривания). [1] [2] [4]
Прогноз. Профилактика
- ведущую роль в профилактике распространения ветряной оспы играет изоляционное разобщение больных и здоровых (детей до 7 лет, не болевших, разобщают с 9 по 21 день с момента контакта с больным);
- мытьё рук и лица с мылом после общения с больными;
- прогулки на свежем воздухе;
- здоровое питание, поливитамины;
- частое проветривание помещения.
Вакцинация. Стоит ли делать прививку от ветрянки взрослым
Вакцинация в раннем возрасте предотвращает в 99 % развитие заболевания у детей, при контакте в подавляющем большинстве случаев — в первые 72 часа, предотвращает развитие тяжёлых форм и патологий плода у беременных. Однако есть ряд ограничений, существенно препятствующих распространению вакцинации в нашей стране — высокая стоимость вакцины, отсутствие массового вакцинирования (по данным ВОЗ, для реализации коллективного иммунитета необходимо привить не менее 90% детского населения, иначе возрастает риск заболевания неболевших и непривитых лиц взрослого состава). [1] [5]
- небеременным женщинам детородного возраста;
- медицинским работникам;
- людям с ослабленным иммунитетом и родственникам, проживающим с ними;
- учителям и воспитателям;
- персоналу домов престарелых и людям, проживающих в них;
- международным путешественникам [6] .
Можно ли второй раз заболеть ветрянкой
Иммунитет после болезни стойкий, повторные заболевания возможны у лиц с иммунодефицитом, врожденным дефицитом иммуноглобулина А. [1] [2] [5]
К заражению устойчивы:
- люди, переболевшие ветряной оспой;
- новорождённые с защитными антителами, которые передались им от матери;
- вакцинированные пациенты.
Постконтактная профилактика
Предотвратить развитие инфекции или ослабить её течение поможет внутримышечное введение иммуноглобулина к вирусу ветряной оспы (VariZIG).
Профилактика после контакта с заболевшим показана:
- пациентам с лейкемией, иммунодефицитом или другими тяжёлыми заболеваниями;
- беременным женщинам, не имеющим антител к вирусу;
- новорождённым, чьи матери были инфицированы ветряной оспой за пять дней до родов или через два дня после них;
- новорождённые младше 28 недель, контактировавшие с возбудителем не через мать, даже если у неё есть специфический иммунитет [7] .
Профилактика рубцов и шрамов
Как правило, изменения кожи при ветряной оспе полностью исчезают после выздоровления. Важно лишь не расчёсывать кожу, не срывать корочки и ограничить применение косметических средств.
Клинические варианты осложнений ветряной оспы у детей
Л. Н. Мазанкова 2 , д-р мед. наук, проф., зав. кафедрой детских инфекционных болезней, Заслуженный врач России, Э. Р. Самитова, канд. мед. наук, зам. главного врача по инфекции 1 , ассистент кафедры детских инфекционных болезней 2 , С. Г. Горбунов 2 , д-р мед. наук, проф., В. П. Зыков 2 , д-р мед. наук, проф., зав. кафедрой детской неврологии, И. М. Османов 1 , д-р мед. наук, проф., главный врач, В. В. Никитин 1 , зав. отделением общей реанимации и интенсивной терапии, М. Н. Ермакова 1 , зав. 1-м инфекционным отделением.
1 ГБУЗ «ДГКБ им. З. А. Башляевой ДЗМ»
2 ФГБОУ ДПО РМАНПО Минздрава России
Резюме: В статье представлено клиническое описание случая ветряной оспы у ребенка 11 месяцев, осложнившейся энцефалитом и флегмоной мягких тканей подбородка на фоне гипогаммаглобулинемии с благоприятным исходом. Показан алгоритм диагностики хирургического и неврологического осложнений ветряной оспы, в том числе методы нейровизуализации. На данном примере продемонстрирована эффективность комплексного лечения осложненной формы этой инфекции, включающего противовирусную, антибактериальную и противосудорожную терапию, позволившего добиться благоприятного исхода.
Ключевые слова: ветряная оспа, дети, осложнения ветряной оспы, менингоэнцефалит, васкулит, флегмона
Summary: The article presents a clinical description of a chickenpox case in a 11-month-old child, complicated by encephalitis and phlegmon of the soft tissues of the chin against the background of hypogammaglobulinemia with a favorable outcome. The algorithm for diagnosing surgical and neurological complications of chickenpox, including methods of neuroimaging, is shown. This example demonstrates the effectiveness of the complex treatment of a complicated form of this infection, including antiviral, antibacterial and anticonvulsant therapy, which has led to a favorable outcome.
Keywords: chickenpox, children, chickenpox complications, meningoencephalitis, vasculitis, phlegmon
Ветряная оспа (МКБ-10: В01) - острое инфекционное заболевание, вызываемое вирусом Varicella-zoster (VZV) из семейства Herpesviridae, передающееся воздушно-капельным путем, характеризующееся лихорадкой, интоксикацией, появлением характерной макулопапулезной и везикулезной сыпи и доброкачественным течением [1].
Ветряная оспа - широко распространенное заболевание в детском возрасте, что связано со всеобщей восприимчивостью, легкостью передачи инфекции и отсутствием массовой специфической профилактики. Заболевают дети всех возрастов, включая новорожденных и детей 1-го года жизни. Возможна трансплацентарная передача инфекции, развитие врожденной ветряной оспы, отличающейся тяжелым течением, генерализацией процесса в виде висцеральной формы с полиорганным поражением [2]. Ветряная оспа может быть причиной летальных исходов, в том числе у детей с онкогематологическими заболеваниями, у новорожденных, а также у пациентов, получающих химиотерапию, глюкокортикостероиды, лучевую терапию, у иммунокомпрометированных больных, в том числе при ВИЧ-инфекции [3].
Тяжесть состояния при ветряной оспе часто обусловлена развитием осложнений, частота которых составляет от 4,83 до 67,7%, по данным разных авторов. По оценке ВОЗ, в мире ежегодно госпитализируются по поводу осложнений ветряной оспы около 4 млн больных, а умирают от этой инфекции более 4000 больных. В России среди госпитализированных детей с ветряной оспой в 40,4% случаев регистрируются осложнения, наиболее часто встречаются бактериальные инфекции кожи (8,4%) и неврологические осложнения (4,2%) [4, 5].
Самым частым неврологическим осложнением при ветряной оспе у детей является энцефалит, составляющий 75% среди других неврологических синдромов и характеризующийся развитием церебеллярной (мозжечковой) формы с атаксией [6], [7]. Реже встречаются оптикомиелит, поперечный миелит, серозный менингит, менингоэнцефалит, энцефалит с деменцией, нейропатии, асептический менингит, синдром Гийена-Барре, парез лицевого нерва [2]. Разнообразие клинических форм поражения нервной системы при ветряной оспе представлено в работе Билялетдиновой И.Х. с соавт. (2016) такими состояниями, как мозжечковая атаксия (44%), менингоэнцефалит (40,5%), менингит (8,3%), полирадикулонейропатия (4,8%), острый диссеминированный энцефаломиелит (1,2%), ишемический инсульт (1,2%) [8]. При наблюдении за 65 детьми в возрасте от 1 года до 17 лет с ветряночным энцефалитом Скрипченко Н.В. с соавт. (2009) установлено преобладание мозжечковой формы заболевания, составляющей 93,9%, над церебральной формой. При этом изменения на МРТ являются редкостью и составляют 12,3%. Исходом мозжечковой формы было выздоровление в 100% случаев, а при церебральной форме - развитие эпилепсии в 50% и летального исхода у 25% [9].
Бактериальные осложнения ветряной оспы характеризуются развитием вторичного инфицирования элементов ветряночной сыпи с образованием на коже абсцессов, импетиго, флегмоны, стрептодермии, рожи и др. Возможно сочетание бактериальных и неврологических осложнений у детей с иммунодефицитными состояниями, однако такие формы встречаются редко, отличаются тяжестью течения и неблагоприятным исходом. Ниже представлен случай ветряной оспы у ребенка 11 месяцев с развитием комбинированного осложнения в виде флегмоны и менингоэнцефалита.
Ребенок Никита П. поступил в инфекционное отделение ГБУЗ «ДГКБ им. З.А. Башляевой ДЗМ» на 4-й день болезни с диагнозом: «Ветряная оспа. Отек Квинке». Заболевание началось остро с повышения температуры тела до 38,3 о С и появления везикулезной сыпи на волосистой части головы, лице, туловище и конечностях, которая сохранялась в течение 3 суток. На фоне продолжающейся лихорадки до 38,5 о С на 4-й день болезни появились гиперемия и отек кожи в области подбородка, что послужило причиной госпитализации ребенка. Анамнез жизни ребенка - без особенностей. Из эпидемиологического анамнеза известно, что он находился в семейном контакте по ветряной оспе.
При поступлении состояние ребенка средней степени тяжести. Температура тела 37,8 о С. Умеренно выражены симптомы интоксикации: вялость, снижение аппетита. На коже единичные подсыхающие везикулы, корочки. В легких - аускультативно жесткое дыхание, хрипов нет, ЧД - 24 в минуту. Тоны сердца ясные, ритмичные, ЧСС - 122 в минуту. Живот мягкий, безболезненный. Печень выступает из-под реберной дуги на 1,5 см, селезенка не пальпируется. Стул и мочеиспускание в норме. Отеков нет. Сознание ясное, менингеальных и очаговых симптомов нет. В подбородочной области отек и инфильтрация мягких тканей, подтвержденные при УЗИ. Ребенку выставлен клинический диагноз: «Ветряная оспа. Флегмона подбородочной области». Назначена антибактериальная терапия: цефазолин и ампициллин/сульбактам в возрастных дозах внутримышечно. Произведено вскрытие и дренирование флегмоны, получен гной, при бактериологическом посеве которого выделен S. pyogenes группы А (рис. 1).

Рис. 1. Ребенок 11 месяцев с признаками ветряной оспы
На 3-й день госпитализации (7-й день болезни) отмечалось ухудшение состояния за счет гипертермии, распространения флегмоны с подбородочной области на шею и грудь, появления правостороннего гемипареза и тонико-клонических судорог в пораженной конечности. В анализе крови при этом отмечалась анемия 1-2-й степени, тромбоцитопения до 100 х 10 9 /л, гиперлейкоцитоз 43,3 х 10 9 /л со сдвигом влево до миелоцитов по типу лейкемоидной реакции миелоидного типа, повышение СОЭ до 55 мм/ч. Наблюдался выраженный системный воспалительный ответ в виде повышения уровня С-реактивного белка до 98,3 мг/л (норма до 10 мг/л) и прокальцитонина до 1,5 нг/л (норма до 0,5 нг/л). В протеинограмме отмечалась гипогаммаглобулинемия до 6,63%. Коагулограмма без изменений. На ЭКГ -неполная блокада правой ветви пучка Гиса.
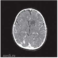
Появление неврологической симптоматики в сочетании с воспалительными изменениями в анализах крови послужили показанием к проведению компьютерной томографии (КТ) головного мозга, на которой визуализированы ишемические изменения вещества головного мозга левой лобной и затылочной доли с очагами пониженной плотности до 2 см в диаметре, не изменяющимися при введении контрастного вещества, что характерно для течения энцефалита (рис. 2). Ребенку была выполнена спинномозговая пункция.

Рис. 2. КТ головного мозга: ишемические изменения вещества головного мозга левой лобной и затылочной долей, что, вероятнее всего, является проявлением энцефалита
В анализе ликвора наблюдался невысокий преимущественно нейтрофильный цитоз (24 клетки, из них 19 -нейтрофилы, 5 - лимфоциты), содержание белка и глюкозы в норме. При ПЦР исследовании ликвора на ДНК вирусов группы герпеса обнаружена ДНК VZV.
Ребенок был осмотрен оториноларингологом, офтальмологом, хирургом, неврологом. Учитывая ухудшение состояния, появление правостороннего гемипареза, судорог, выраженных воспалительных изменений в анализах крови, данные молекулярно-генетического исследования ликвора и КТ головного мозга, можно было думать о развитии у пациента осложнений ветряной оспы в виде энцефалита с высокой вероятностью церебрального васкулита и флегмоны мягких тканей подбородочной области, шеи и грудной клетки. В связи с этим для дальнейшего лечения ребенок был переведен в ОРИТ, где находился 14 дней.

Рис. 3. МРТ головного мозга: ишемические изменения в бассейне левой средней мозговой артерии и атрофия коры головного мозга в височной и лобной долях слева
Консультация проф., зав. кафедрой неврологии детского возраста РМАНПО Зыкова В.П. от 14.03.17: ветряночный энцефалит с высокой вероятностью церебрального васкулита. По данным видео-ЭЭГ-мониторинга, выявлена эпилептиформная активность теменно-лобной лотенции. С учетом клинико-ЭЭГ-проявлений рекомендуется продолжить антиконвульсантную терапию в течение 6 месяцев от начала заболевания, с повторным видео-ЭЭГ-монторингом.
Консультация в НПЦ медицинской радиологии ДЗМ канд. мед. наук, доц. Петряйкина А.В. от 23.03.17: по результатам представленных КТ и МРТ изображений, учитывая клиническую картину вероятно речь идет о течении ветряночного VZV. Зона поражения затрагивает корково-подкорковые области левого полушария (всех долей), область головки хвостатого ядра. Вероятно, имел место васкулит с поражением периферических отделов сосудистого русла, без убедительных данных за геморрагический компонент.
Была продолжена антибактериальная терапия с последовательной сменой антибиотиков на 10-дневные курсы меропенема и ванкомицина (в комбинации), линезолида, ципрофлоксацина и рифампицина. Кроме того, пациент получал ацикловир по 160 мг х 3 р/сут. внутривенно в течение 3 недель, инфузионную терапию глюкозо-солевыми растворами, человеческий иммуноглобулин для внутривенного введения из расчета 1,5 г/кг на курс, трансфузию эритроцитарной взвеси, противосудорожную (диазепам, затем вальпроевую кислоту), сосудистую и прочую симптоматическую терапию.
На фоне проводимого лечения отмечалась положительная клинико-лабораторная динамика. При выписке состояние ребенка удовлетворительное, температура тела стойко в пределах нормы, симптомы интоксикации отсутствуют. Кожные покровы и слизистые оболочки чистые, обычной окраски. В подчелюстной области вокруг послеоперационного рубца сохранялась небольшая инфильтрация мягких тканей размерами 10 х 4 мм, цвет кожи на данном участке не изменен, флюктуация отсутствовала. Со стороны сердечно-сосудистой системы, легких и ЖКТ патологии не выявлено. Физиологические отправления в норме. Неврологический статус: сознание ясное, очаговых и менингеальных симптомов нет. Снижен объем движений в правой руке. Сухожильные рефлексы и сила в мышцах рук справа снижены, в ногах - одинаковы с обеих сторон.
В анализах крови в динамике нормализовалось количество эритроцитов, лейкоцитов и тромбоцитов с преобладанием в лейкоцитарной формуле лимфоцитов (76%). Показатели СОЭ и прокальцитонина также пришли в норму, сохранялось небольшое повышение уровня С-реактивного белка (15,2 мг/л). Содержание общего белка приблизилось к нижней границе нормы (58 г/л). Показатели ликвора при повторной люмбальной пункции - без патологии, ДНК VZV при контрольном ПЦР-исследовании не обнаружена.
Ребенок был выписан с заключительным основным диагнозом: «Ветряная оспа, типичная форма, тяжелое течение», осложнения: «Ветряночный менинго-энцефалит с явлениями васкулита. Симптоматическая фокальная эпилепсия. Флегмона мягких тканей подбородочной области, шеи и грудной клетки в стадии разрешения», сопутствующий диагноз: «Гипогаммаглобулинемия».
При выписке пациенту рекомендован домашний режим и диета по возрасту, продолжить прием вальпроевой кислоты до 1 года с контролем концентрации через 1 месяц, витамины В1, В6, В 12, L-карнитин, медицинский отвод от профилактических прививок на 1 год, ежемесячный контроль общего анализа крови, ежеквартальный контроль ЭЭГ, повторить видео-ЭЭГ-мониторинг через 1 месяц и МРТ головного мозга через полгода, продолжить ЛФК и массаж под наблюдением участкового педиатра и невролога.
Катамнез невролога от 10.12.18. Диагноз: последствие ветряночного менингоэнцефалита с явлениями васкулита. Симптоматическая эпилепсия, левополушарная лобно-височная. Медикаментозная ремиссия. Рекомендовано: продолжить конвулекс, программу отмены начать постепенно, под контролем ЭЭГ. Судороги не повторялись.
На данном примере продемонстрированы особенности раннего развития поражения ЦНС в виде менингоэнцефалита с явлениями васкулита и формированием симптоматической фокальной эпилепсии с благоприятным исходом у ребенка 11 месяцев с тяжелой типичной формой ветряной оспы, осложненной флегмоной мягких тканей подбородочной области, шеи и грудной клетки на фоне гипогаммаглобулинемии. Применяемые методы диагностики, в том числе нейровизуализация, позволили своевременно диагностировать развившиеся осложнения и скорректировать проводимую терапию.
ЛИТЕРАТУРА
1. Детские инфекции: Справочник практического врача / Под ред. Л.Н. Мазанковой. 2-е изд., перераб. и доп. М.: МЕД-пресс-информ, 2016.
2. Ветряная оспа у детей в современных условиях (эпидемиология, клиника, диагностика, терапия, профилактика): Учебное пособие / Под ред. Ю.В. Лобзина. СПб., 2011.
3. Зрячкин Н.И., Бучкова Т.Н., Чеботарева Г.И. Осложнения ветряной оспы (обзор литературы) // Журнал инфектологии. 2017. Т. 9. № 3. С. 117-128.
4. Лещинская Е.В., Мартыненко И.И. Острые вирусные энцефалиты у детей. М.: Медицина, 1990.
5. Сорокина М.Н., Скрипченко Н.В. Вирусные энцефалиты и менингиты у детей. М., Медицина, 2004.
6. Ветряная оспа у детей: Руководство для врачей / Под ред. Н.В. Скрипченко. СПб.: Тактик-Студио, 2015.
7. Science M., MacGregor D., Richardson S.E. Central nervous system complication of varicella-zoster virus // J. Pediatr. 2014. Vol. 165. № 4. Р. 779-785.
8. Билялетдинова И.Х., Малинникова Е.Ю., Митрофанова И.В., Прыткова М.И. Поражения нервной системы, вызванные вирусом варицелла-зостер // Детские инфекции. 2016. № 3. С. 10-15.
9. Скрипченко Н.В., Иванова Г.П., Команцев В.Н., Савина М.В. Современные особенности ветряночных энцефалитов у детей // Журнал инфектологии. 2009. Т. 1. № 4. С. 36-43. Л. С. Чутко 1 , д-р мед. наук, проф., С. Ю. Сурушкина 1 , канд. мед. наук, Е. А. Яковенко 1 , канд. биол. наук, Т. Л. Корнишина 2 , канд. мед. наук
Читайте также:
