Случай успешного лечения гальваноза без назначения медикаментозной терапии
Добавил пользователь Евгений Кузнецов Обновлено: 11.12.2025
Гальванический ток - постоянный электрический ток невысокого напряжения и небольшой силы. Прохождение тока через биологические ткани сопровождается рядом первичных физико-химических сдвигов, лежащих в основе физиологического и лечебного действия фактора.
Гальванизация - применение с лечебно-профилактическими целями постоянного непрерывного электрического тока невысокого напряжения (30-80 В) и небольшой силы (до 50 м А), называемого гальваническим.
Метод и вид такого тока получили название по имени итальянского физиолога Луиджи Гальвани. В лечебных целях впервые был применен после изобретения гальванического элемента в XIX в. В России изучением данного метода занимались русские врачи и ученые - А. Т. Болотов, И. К. Грузинов, А. А. Кабат, В. И. Вартанов (диссертация "Гальванические явления в коже лягушки") и многие другие.
Гальванический ток - постоянный электрический ток невысокого напряжения и небольшой силы. Неповрежденная кожа человека обладает высоким омическим сопротивлением и низкой удельной электропроводностью, поэтому в организм ток проникает в основном через выводные протоки потовых и сальных желез, межклеточные щели. Поскольку их общая площадь не превышает 1/200 части поверхности кожи, то на преодоление эпидермиса, обладающего наибольшим электросопротивлением, тратится большая часть энергии тока. Поэтому здесь развиваются наиболее выраженные физико-химические реакции на воздействие постоянным током, сильнее проявляется раздражение нервных рецепторов. Преодолев сопротивление кожи, ток дальше распространяется по пути наименьшего омического сопротивления, преимущественно по межклеточным пространствам, кровеносным и лимфатическим сосудам, оболочкам нервов и мышцам.
Прохождение тока через биологические ткани сопровождается рядом первичных физико-химических сдвигов, лежащих в основе физиологического и лечебного действия фактора.
Физиологическое и лечебное воздействие
Под действием приложенного к тканям внешнего электромагнитного поля в них возникает ток проводимости. Положительно заряженные частицы (катионы) движутся по направлению к отрицательному полюсу (катоду), а отрицательно заряженные (анионы) - к положительно заряженному полюсу (аноду). Подойдя к металлической пластине электрода, ионы восстанавливают свою наружную электронную оболочку (теряют свой заряд) и превращаются в атомы, обладающие высокой химической активностью (электролиз) (рис. 1). Взаимодействуя с водой, эти атомы образуют продукты электролиза. Под анодом образуется кислота (HCI), а под катодом - щелочь (КОН, NaOH). Один из вариантов таких реакций представлен на схеме
Н2 + NaOH ← 2 Н2О + Na - + → Na+ Сl- ← + 4CI + 2 Н2О → 4HCI + О2
Продукты электролиза являются химически активными веществами и в достаточной концентрации могут вызвать химический ожог подлежащих тканей. Для его предотвращения под электродами размещают смоченные водой прокладки, что позволяет добиться достаточного разведения химически активных соединений.
Гальванизация применяется при лечении:
1. Травм и заболеваний периферической нервной системы: плекситы, радикулиты, могно- и полинейропатии, невралгии.
2. Травм и заболеваний центральной нервной системы: черепно-мозговые и спнно-мозговые травмы, расстройства мозгового и спинального кровообращения, менингиты, энцефалиты.
3. Вегетативной дистонии, неврастении и других невротических состояний.
4. Заболеваний органов пищеварения, протекающих с нарушением моторной и секреторной функций: хронические гастриты, колиты, холециститы, дискинезии желчевыводящих путей, язвенная болезнь желудка и двенадцатиперстной кишки.
5. Артериальной гипертензии и гипотензии, стенокардии, атеросклероза в начальных стадиях.
6. Хронических воспалительных процессов в различных органах и тканях.
7. Некоторых стоматологических заболеваний: пародонтоз, глоссалгия.
8. Заболеваний глаз: кератиты, увеиты, глаукома.
9. Хронических артритов и периартритов травматического, ревматического и обменного происхождения, хронического остеомиелита.
Противопоказаниями для гальванизации являются:
Новообразования или подозрения на них, острые воспалительные и гнойные процессы, системные заболевания крови, резко выраженный атеросклероз, декомпенсация сердечной деятельности, лихорадка, экзема, дерматит, обширные нарушения целостности кожного покрова и расстройства кожной чувствительности в местах наложения электродов, беременность, кахексия, индивидуальная непереносимость гальванического тока.
Случай успешного лечения гальваноза без назначения медикаментозной терапии
Кристаль Екатерина Александровна 1 , Левицкая Марина Владимировна 1
1 Первый Московский государственный медицинский университет имени И. М. Сеченова
Аннотация
В большинстве случаев при ортопедическом лечении используются конструкции, содержащие в своей основе металл. Как следствие применения металлических конструкций потенциально возможно развитие такого осложнения как гальванизм. В статье рассматриваются основные принципы диагностики и лечения гальванизма.
Kristal Ekaterina Aleksandrovna 1 , Levitskaya Marina Vladimirovna 1
1 Sechenov First Moscow State Medical University
Abstract
In most cases, with prosthesis constructs are used, containing the basis metal. As a result of the use of metal structures, potentially may develop a complication such as galvanism. The article discusses the basic principles of diagnosis and treatment of galvanism.
В определение гальванизма заложено физическое явление возникновения электрических токов в следствие разности показателей электрических потенциалов электрических элементов, помещенных в среду электролитов.
Непосредственной причиной возникновения гальванизма является наличие в полости рта разнородных металлов, что является физической основой для возникновения гальванических токов. С практической точки зрения в ортопедии используются металлы и сплавы: кобальт-хромовые, серебряно-палладиевые, сплавы на основе золота, платины. Потенциально при введении в полость рта металлических включений у здорового человека могут образовываться гальванические потенциалы, разность которых в электролите, в данном случае в слюне, приводит к формированию микротоков. Однако возникновение гальванических токов является не единственным патогенетическим фактором, вызывающим гальванизм. Существенную роль играют коррозия металла и патологическое изменение слюны. Кислотно-щелочной состав слюны в норме щелочной (pH=6,9), но при наличии воспалительных процессов pH сдвигается в кислую сторону, что влияет на увеличение силы гальванического тока. В следствии электрохимических процессов в слюну из металлов попадает большое количество микроэлементов и ионов. В результате их токсического воздействия на слизистую полости рта развиваются местные воспалительные процессы. Как следствие извращается вкусовая чувствительность, нарушается механическая и химическая обработка пищи в полости рта. Кроме того, в результате попадания такой слюны в пищеварительный тракт и воздействия микроэлементов слюны на слизистую желудка могут возникать обострения хронических заболевания желудочно-кишечного тракта. Длительное воздействие противовоспалительных факторов на слизистую пищеварительного тракта потенциально опасно в плане развития предраковых процессов и опухолевых трансформаций.
В настоящем исследовании был проведен сравнительный анализ двух групп пациентов, имеющих металлические конструкции в ротовой полости. Было обследовано 100 пациентов с металлическими зубными протезами возрасте от 35 до 60 лет, обратившихся в клинику. В группу обследовавших не входили пациенты с общесоматическими заболеваниями. В первую группу включены больные без клинических проявлений симптомов гальванизма, но с повышенным содержанием гальванических потенциалов. Во вторую группу включены больные с клиническими проявлениями, такими как извращение вкуса, привкус металла во рту, кислоты, жжения в полости рта, расстройство саливации. Всем больным из обеих групп проводились одинаковые методы обследования, которые включали: сбор жалоб и анамнеза, осмотр полости рта и наличие конструкций из разнородных металлов, измерение количества выделяемой слюны и pН слюны. Измерение количества и pH слюны проводилось с помощью аппарата мультитест дважды в утреннее время до еды.
Определение потенциометрических показателей проводилось с помощью прибора биопотенциалометра БМП 03. Максимальные потенциометрические показатели для здоровых лиц, согласно данным литературы следующие: разность потенциалов - до 60 мВ, сила тока - до 5-6 мкА, электрическая проводимость ротовой жидкости - до 5-6 мксм. Для оценки показателей местного иммунитета в полости рта определялись иммуноглобулины А, М, G, и цитокин TNF α.
Анализ полученных результатов продемонстрировал, что в первой группе больных повышение гальванических потенциалов по существу является гальванической реакцией на введение металлического сплава. Появляется она часто на 3-6 сутки после введения конструкции и может существовать многие месяцы и даже годы. Измерение потенциометрических показателей демонстрирует их повышение сравнительно с нормой, но не более чем в 80мВ (±5мВ). Изменения pH слюны и ее объема не наблюдались (6,9 ±0,12). Содержание иммуноглобулинов IgM в слюне составило 0,4 мкг/мл (±0,01). Следует подчеркнуть, что с практической точки зрения данная форма гальванизма диагностируется случайно, при профилактическом обследовании.
При определенных условиях, таких как коррозия металла, появление дефектов или сколов в зубных протезах, наблюдалось прогрессирование или трансформация данного варианта доклинического течения гальванизма в форму с клиническими проявлениями.
Рекомендуемая лечебная тактика различна в первой и второй группе наблюдений и обусловлена наличием клинико-морфологических изменений. Больные гальванизмом без клинических проявлений, то есть только при повышение потенциометрических показателей, не как правило не требуют лечения кроме случаев аллергической реакции на металлы. Однако такие больные нуждаются в тщательном динамическом наблюдении, не реже 2 раз в год, поскольку возможно прогрессирование бессимптомного течения гальванизма.
При гальванизме с клиническими проявлениями лечение должно быть комплексным и включать следующие мероприятия: 1 Удаление металлических включений, особенно если отмечено появление предраковых изменений; 2 Проведение местной и общей иммунокорректирующей терапии; 3 Лечение местных воспалительных изменений и их осложнений. К последнему пункту относится как медикаментозное, так и хирургическое лечение, что прежде всего обусловлено степенью морфологических изменений слизистых ротовой полости. В случае синхронного выявления общесоматической патологии, также необходима ее коррекция.
Следует помнить, что осложнения, развивающиеся при гальванической патологии, могут быть потенциально опасными для жизни больных, главным образом с точки зрения развития злокачественных новообразований. В связи с этим профилактика гальванизма является актуальной задачей современной стоматологии. Первичная профилактика гальванизма заключается в проведении систематических осмотров и опросов пациентов, имеющих металлические конструкции. Вторичная профилактика заключается в своевременном лечении пациентов с диагностированным гальванизмом и в тщательном мониторинге состояния слизистой полости рта с точки зрения онконастороженности.
© Если вы обнаружили нарушение авторских или смежных прав, пожалуйста, незамедлительно сообщите нам об этом по электронной почте или через форму обратной связи.
Неприятные ощущения в ротовой полости присутствовали почти постоянно, независимо от приёма пищи и образа жизни. Ночью симптомы немного уменьшались.
Анамнез
В июне 2019 года в одной из клиник Димитровграда пациенту было проведено бюгельное протезирование зубов верхней челюсти (установка съёмного протеза с фиксацией при частичной утрате зубов). Через 1,5 месяца мужчина стал замечать жжение и покалывание в полости рта.
Ранее ни у кого из членов семьи таких ощущений не было. До протезирования зубов верхней челюсти бюгельным протезом дискомфорта и жжения во рту не наблюдалось.
Обследование
- На передних зубах нижней челюсти в области шейки имеются отложения твёрдой консистенции (зубной камень).
- Межзубные сосочки гиперемированы (есть покраснение) и кровоточат при пальпации (нажатии).
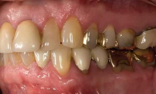
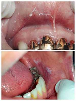
- На верхней челюсти стоит бюгельный протез, в области жевательных зубов нижней челюсти слева — мостовидный протез с опорами на 36 и 33 зубы с покрытием из нитрид титана (под золото).
- Бугры верхней челюсти выраженные.
- Альвеолярный отросток (участок кости, где располагаются корни зубов) верхней челюсти в области 14, 15, 16, 17, 18, 24, 25, 26, 27, 28 зубов атрофирован на 1/3 его длины.
- Слизистая полости рта вестибулярной поверхности бледно-розового цвета, слизистая нёба, язычной поверхности и языка гиперемирована.
- Регионарные лимфоузлы не увеличены.
- Перкуссия (постукивание) 13, 23, 33, 36 зубов отрицательная.
- Пальпация слизистой полости рта безболезненная.
- Патологических изменений в области 33 и 36 зубов не обнаружено, зубы полностью здоровые.
- В 13 и 23 зубах пульпа удалена, очагов деструкции (разрушения) костной ткани вокруг корней не обнаружено, использовано трёхмерное пломбирование каналов до апекса (верхушки корня зуба), установлены цельнолитые культевые вкладки и металлокерамические коронки.
- Зубы 12-22 полностью здоровые.
- В области 46, 47, 48 зубов имеется прямая реставрация жевательной поверхности.
- В области 32, 31, 41, 43 реставрация пришеечной области фотополимерным материалом.
- Зубы 42, 44, 45 полностью здоровые.
- Зуб 38 отсутствует.
- В зубе 37 пульпа удалена, использовано трёхмерное пломбирование каналов с применением гуттаперчи. Очагов деструкции в области 37 зуба не обнаружено.
- Слизистая гайморовых пазух без патологии.
- Височно-нижнечелюстной сустав слева и справа в норме.
Диагноз
- (усиление электрических токов в ротовой полости на фоне взаимодействия металлических зубных конструкций со слюной).
- Зубные отложения.
Лечение
- Удаление мостовидного протеза в области 33, 34, 35 и 36 зубов.
- Удаление пульпы 33 и 36 зубов с трёхмерным пломбированием корневых каналов с последующим изготовлением и фиксацией мостовидного протеза на основе диоксида циркония с опорой на 33 и 36 зубы.
- Удаление зубных отложений, полирование поверхности зубов.
После удаления мостовидного протеза с зубов 33 и 36, покрытого нитрид титаном, пациент отметил значительное уменьшение дискомфорта, жжения, кислого вкуса в ротовой полости. Через две недели после установки мостовидного протеза на основе диоксида циркония чувство жжения и покалывания языка исчезли совсем.
При осмотре пациента через полтора месяца после окончания ортопедического лечения отмечено удовлетворительное состояние полости рта и исчезновение дискомфорта. Через три месяца после протезирования пациент не предъявлял никаких жалоб.
Заключение
Из-за большой распространённости металлических конструкций для восстановления зубов гальваноз встречается довольно часто. Чтобы быстро устранить проблему без использования медикаментозного лечения, важно отличить гальваноз от других патологий.
Гальваноз
Гальваноз - заболевание, которое возникает при наличии в полости рта металлических протезов, изменяющих электрохимические процессы и приводящих к развитию таких симптомов, как металлический привкус во рту, извращение вкуса, жжение языка, снижение слюноотделения, нарушение общего состояния организма (головные боли, раздражительность, слабость, утомляемость, тревожность). Диагностика включает изучение клинических симптомов и данных стоматологического осмотра, измерение потенциометрических показателей. Лечение гальваноза комплексное: удаление причинного фактора (протеза, вкладки), иммунокоррекция, лечение местных воспалительных и общесоматических заболеваний.
Общие сведения
Гальваноз - это патологический процесс, возникающий в полости рта вследствие непереносимости зубных протезов, выполненных из различных металлов. При этом появляются чрезмерные гальванические токи, повышается электрическая проводимость слюны, и возникают клинические признаки раздражения слизистой оболочки полости рта, а затем и общие симптомы неблагополучия организма.
По данным статистики, непереносимость металлических включений (коронок, мостовидных протезов, вкладок, имплантатов) встречается у 15-35% пациентов, обращающихся к стоматологу. В связи с этим возрастает важность правильного выбора материалов для протезирования и имплантации, а также своевременного устранения дефектов и замены старых зубных протезов.
Причины гальваноза
В полости рта и в нормальных условиях протекают определенные электрохимические процессы, однако их интенсивность значительно возрастает при наличии различных металлических включений - пломб с амальгамой и металлических вкладок, мостовидных протезов и отдельных коронок, ортодонтических аппаратов и имплантатов. Картина ухудшается при одновременном наличии во рту сплавов различных металлов, а также в результате повреждения и появления признаков коррозии установленных ранее зубных протезов.
Появление в ротовой жидкости оксидов металлов приводит к усилению гальванических токов (силы тока и разности электрических потенциалов). Возникает гальванизм - состояние, при котором у здорового человека выявляется превышение потенциометрических показателей выше нормы в сравнении с людьми, у которых во рту отсутствуют какие-либо металлические включения. Каких-либо жалоб на здоровье человек при этом не предъявляет, и при стоматологическом осмотре признаков патологии полости рта не обнаруживается.
Можно сказать, что гальванизм - это не болезнь, а предрасполагающий фактор, увеличивающий риск развития заболеваний. А вот при наличии гальванизма и появлении симптомов раздражения слизистой полости рта и общих симптомов недомогания устанавливается диагноз «гальваноз».
Предрасполагающими факторами риска развития заболевания являются изначальные дефекты металлических включений, устанавливаемых в полости рта, механические повреждения протезов в процессе их эксплуатации и изменение рН слюны в кислую сторону при пародонтитах, стоматитах, заболеваниях желудочно-кишечного тракта.
Классификация
Выделяют атипичную и типичную форму гальваноза. Атипичная форма гальваноза характеризуется превышением потенциометрических показателей (разность потенциалов, сила гальванического тока, электрическая проводимость слюны) в полости рта в три и более раза по сравнению с физиологической нормой и наличием единичных клинических признаков заболевания - периодических жалоб на «жжение языка», сухость во рту, усталость (беспокоит обычно лишь один из перечисленных симптомов).
Типичная форма гальваноза проявляется наряду с повышением потенциометрических показателей более чем в 3 раза постоянными клиническими проявлениями заболевания - как местными (металлический привкус во рту, жжение, сухость, выявление при стоматологическом осмотре признаков гиперемии слизистой, явлений стоматита, гингивита, лейкоплакии и т. д.), так и общими (слабость, раздражительность, головная боль, снижение работоспособности).
Симптомы гальваноза
Первые признаки заболевания появляются, как правило, через 1-2 месяца после установки металлического зубного протеза, имплантата или ортодонтического аппарата (в некоторых случаях этот срок сокращается до 1-3 недель). При этом возникает неприятное ощущение привкуса металла во рту («кислый вкус», «кислота во рту», как говорят сами больные), усиливающееся при употреблении острой и кислой пищи. Вкус зачастую извращается («сладкое кажется горьким»), появляется чувство жжения языка, сухость во рту.
При сохранении гальванизма во рту на протяжении длительного времени начинает нарушаться общее самочувствие больного гальванозом. Появляются периодические головные боли, нарушается качество и продолжительность сна, беспокоит общая слабость, быстрая утомляемость, снижение работоспособности, повышенная раздражительность, тревожность, перепады настроения. Такие неспецифические симптомы свидетельствуют о нарушениях нервно-рефлекторных связей между органами и системами, снижении резистентности организма к воздействию неблагоприятных факторов.
Если металлические включения, вызвавшие появление гальванизма, своевременно не удаляются, в полости рта начинают развиваться воспалительные изменения в виде гингивитов, папиллитов, стоматитов, а также аллергические реакции, связанные с выделением в слюну продуктов коррозии металлов. Гальваноз, сохраняющийся в течение нескольких лет, нередко приводит к появлению лейкоплакии и других предраковых заболеваний слизистой оболочки полости рта, что значительно повышает риск развития злокачественных новообразований в этой области.
Диагностика гальваноза
Диагноз устанавливается на основании жалоб, данных стоматологического осмотра пациентов, имеющих металлические пломбы, коронки, мостовидные протезы и другие включения и результатов измерений потенциометрических показателей (при наличии соответствующего оборудования).
В норме разность потенциалов в полости рта у здорового человека не превышает 60 мВ, сила гальванического тока - не более 5-6 мкА, проводимость слюны - меньше 5-6 мкСм. Измерения производятся с помощью специального оборудования - потенциометров, микроамперметров, милливольтметров.
Для дифференциальной диагностики с другими патологическими процессами полости рта и общесоматическими заболеваниями при необходимости назначаются консультации гастроэнтеролога, аллерголога, онколога, психотерапевта, проводятся дополнительные лабораторные и инструментальные исследования - анализ слюны, биохимический анализ крови, иммунограмму, кожно-аллергические пробы, компьютерную томографию лицевого черепа и др.
Лечение гальваноза
При выявлении признаков гальваноза в первую очередь необходимо устранить причинный фактор, который привел к развитию заболевания. Для этого проводится тщательное обследование с выявлением всех металлических включений в полости рта и удаление проблемных изделий (разнородные металлы, наличие признаков коррозии). Если устранение отдельных проблемных коронок не приводит к улучшению состояния пациента, необходимо удалить все имеющиеся металлические включения, после чего выполняется полноценное протезирование из однородных материалов, не вызывающих появление признаков гальванизма.
Следующим этапом проводится санация полости рта, медикаментозное и оперативное лечение выявленных воспалительных и предраковых заболеваний. Выполняется повышение неспецифической резистентности организма (проводится местная и общая иммунокоррекция). Лечение выявленных вегетативно-сосудистых, невротических расстройств осуществляется с привлечением специалистов соответствующего профиля (терапевт, невролог, психотерапевт).
Профилактика гальваноза включает тщательную санацию полости рта при регулярном обращении к стоматологу (2 раза в год), установку металлических коронок, протезов из однородных металлов, использование современных технологий изготовления зуботехнических изделий (цельнолитые конструкции, полное покрытие металлических коронок керамикой, отказ от паяных протезов и т. д.).
Гальваноз - симптомы и лечение
Что такое гальваноз? Причины возникновения, диагностику и методы лечения разберем в статье доктора Гордеевой Анны Васильевны, стоматолога-ортопеда со стажем в 10 лет.
Над статьей доктора Гордеевой Анны Васильевны работали литературный редактор Маргарита Тихонова , научный редактор Сергей Федосов
Определение болезни. Причины заболевания
Полость рта представляет собой сложную биологическую среду. В её мягких тканях и на границе со слюной протекает огромное количество электрохимических процессов. Одним из них является образование гальванических микротоков — слабых электрических импульсов. Они возникают при контакте слюны с установленными во рту металлическими конструкциями. Это нормальный процесс, но при усилении микротоков могут развиться различные заболевания, и в первую очередь — гальваноз. Раньше эту болезнь называли непереносимостью сплавов металлических включений в полости рта.
Гальваноз — это стоматологическое заболевание, которое возникает в результате усиленного воздействия гальванических токов на ткани ротовой полости. Такой ток появляется на фоне электрохимического взаимодействия металлических зубных конструкций со слюной.

Для этого патологического состояния характерными симптомами являются: металлический привкус во рту, сухость слизистой ротовой полости, искажение вкуса и жжение языка. Нередко при гальванозе отмечаются такие неврологические нарушения, как головные боли, повышенная раздражительность и др.
Первые симптомы пациенты начинают замечать уже через 1-2 месяца после установки металлических протезов из нержавеющей стали, бюгельного хромокобальтового протеза, повторной ортопедической процедуры с применением нового мостовидного протеза, изготовленного из сплава золота. Реже гальваноз возникает после использования других металлически сплавов.

Анализ клинических исследований показал, что "непереносимость" некоторых материалов коронок и зубных протезов свойственна 15-43 % людей [15] .
Современные стоматологи выделяют несколько основных причин развития гальваноза после протезирования металлическими конструкциями:
1. Наличие гальванического элемента . Факторами его образования являются:
- отличие электродного потенциала разных металлов, входящих в состав сплава, используемого для изготовления протеза;
- разный состав одинаковых металлических сплавов;
- структурное отличие одинаковых сплавов металлов;
- нарушение технологии изготовления материала;
- низкое качество материалов;
- врачебные ошибки во время установки или внедрения материалов (например, изготовление бюгельного протеза при наличии во рту разнородных металлов).
2. Токсическое влияние тяжёлых металлов и микроэлементов , в частности ионов меди, хрома, кадмия и др.
3. Индивидуальные особенности организма человека и наличие определённых заболеваний :
- индивидуальная непереносимость отдельных компонентов металлического протеза;
- своеобразные электролитные свойства слюны;
- наличие хронических очагов инфекции — кариеса , пародонтита , кандидоза и др.;
- заболевания внутренних органов, в частности пищеварительной системы — хронический гастрит , язва желудка , язва двенадцатиперстной кишки и др.;
- нарушения личной гигиены полости рта.
Гальваноз относится к числу патологических состояний, причины развития и патогенез которых на сегодняшний день остаётся до конца не изученным. Несмотря на этот факт, стоматологи чётко знают основные симптомы недуга и обладают достаточной базой для проведения его эффективного лечения [2] [3] .
При обнаружении схожих симптомов проконсультируйтесь у врача. Не занимайтесь самолечением - это опасно для вашего здоровья!
При гальванозе у человека уже через 1-2 месяца после протезирования возникают жалобы следующего характера:
- ме таллический привкус во рту, который присутствует постоянно;
- ощущение кислоты, которое усиливается после употребления кислой пищи;
- чувство жжения или покалывания кончика языка и его боковых поверхностей — связанно с наличием в нём множества рецепторов;
- боль в области внутренней поверхности щёк;
- сухость слизистых оболочек ротовой полости или, наоборот, гиперсаливация (повышенное слюноотделение), вызванные нарушением регуляторной работы центральной нервной системы;
- головная боль;
- нервозность, раздражительность, быстрая нервная возбудимость; ;
- общая слабость;
- канцерофобия — навязчивый иррациональных страх развития онкозаболевания (возникает из-за стресса на фоне гальваноза; с возрастом вероятность развития патологического страха перед онкозаболеваниями увеличивается).
Нарушение вкусовой чувствительности/или извращение вкуса — довольно частый симптом гальваноза. Он наблюдается в 60 % клинических случаев заболевания. Данный признак проявляется искажённым восприятием вкусов пищи, когда сладкое кажется горьким, а кислое — солёным.
Известно, что вкусовые качества продуктов питания и напитков зависят от их химического состава. К примеру, достаточная концентрация ионов Н воспринимается как кислый вкус, а ионов ОН — как щелочной; наличие свободных ионов предаёт солёный вкус, за горький привкус пищи отвечают 1-3 и 5-7 группы микроэлементов периодической системы Менделеева (литий, магний, хром), а за её сладкие свойства — представители 3-5 группы (титан, цирконий). Если при гальванозе параллельно действуют ионы, отвечающие за сладкий и горький вкус, то во рту возникает ощущение солёного привкуса либо человек вообще ничего не ощущает.
Симптомы галь ваноза более выражены в утреннее время. Наиболее часто болезнь сопровождается поражениями слизистых оболочек рта:
- гиперкератозом — утолщением (ороговением) слизистой с появлением на ней белых участков;
- эрозиями и язвами.
Очаги изъязвлений с признаками местного воспаления локализуются в основном на кончике языка или его боковых поверхностях, а также на губах, нёбе, внутренней поверхности щёк [1] [4] [5] [11] .

Патогенез гальваноза
Металличес кая зубопротезная конструкция представляет собой сплав металлов. Находясь в полости рта, он может подвергаться коррозии (разрушению) или другим повреждениям. Вступая в реакцию со слюнной жидкостью, протез превращается в источник микротоков, подобный гальванической батарейке. В результате на слизистой полости рта начинает распространяться электрический ток.
В основе коррозии лежит ряд окислительно-восстановительных реакций, в ходе которых металлы отдают свои ионы в раствор электролита (в данном случае — в слюну) и быстро окисляются. Легче всего этому процессу поддаются металлы с наиболее высоким негативным потенциалом. Так, железо более склонно к окислению, нежели медь, марганец окисляется сильнее хрома, а никель — олова. Чем сильнее свойство металла к окислению, тем выше его химическая активность.
Слюна, являясь сложной биохимической средой, принимает на себя роль электролита — токопроводящего вещества. Она содержит:
- воду (около 97 % состава);
- органические и минеральные соединения;
- ферменты;
- свободные аминокислоты;
- микро- и макроэлементы (натрий, калий, кальций, железо, серебро и другие);
- неорганические вещества, в состав которых входят отрицательные ионы фтора, хлора и брома;
- витамины группы В, С, Н.
Слюнная жидкость имеет выраженные буферные свойства, благодаря чему она нейтрализует кислоты и щёлочи. При употреблении растительной и белковой пищи буферные свойства слюны усиливаются, а при приёме углеводов и потере элементов зубного ряда — снижаются. В норме рН слюны находится в пределах 5,0-8,0.
Как электролит слюна принимает активное участие в электрохимических процессах между протезами в полости рта. Продукты таких реакций (гальванотоки, микроэлементы) и являются причиной появления признаков гальваноза. При этом появляющиеся в результате коррозии оксиды металлов (золота, хром-кобальта, стали) негативно влияют на состояние организма, что приводит к развитию различных осложнений [7] [8] [11] .
Схематично патогенез гальваноза можно изобразить следующим образом:

Классификация и стадии развития гальваноза
Согласно современной классифи кации, существует две формы гальваноза: типичная и атипичная (скрытая).
При атипичной форме гальваноза потенциометрические показатели в ротовой полости, такие как электрическая проводимость слюны, сила тока, количество и активность заряженных частиц, создающих электрический потенциал, возр астают в 3-4 раза по сравнению с нормой. При таком варианте развития событий пациенты предъявляют периодические или совсем ре дкие жалобы на жжение языка, сухость во рту, общую слабость. Как правило, у больных присутствует только один из признаков недуга, который уже спустя несколько месяцев обрастает осложнениями в виде аллергических реакций на металлы и формированием продуктов их коррозии.

Атипичная форма гальваноза относится к числу трудно узнаваемых заболеваний. В результате своего длительного существования и отсутствия адекватной терапии она может провоциро вать рост опухолей, появление воспаленных участков на слизистых оболочках, их изъязвления. При определённых обстоятельствах атипичный вариант гальваноза трансформируется в его типичную форму.
Типичный гальваноз проявляется повышением потенциометрических показателей более чем в 4 раза и сопровождается стойкой клиникой заболевания с ярко выраженными симптомами местного и общего характера. Чаще всего этим видом гальваноза страдают пациенты, у которых при обследовании диагностируются признаки коррозии металлов, обширные дефектные участки стирания в несъёмных зубных протезах, большое количество сколов на них.
К последствиям типичного гальваноза специалисты относят аллергические реакции на металлы и развитие опухолей в области ротовой полости (как доброкачественных, так и злокачественных), а также воспалительных процессов в околочелюстных мягких тканях — гингивита и папиллита. Запущенные формы гальваноза в 100 % случаев сопровождаются местным остеопорозом костей челюсти [2] [6] .
Осложнения гальваноза
Постоянным спутником гальваноза является снижение иммунитета. Токи, возникающие в полости рта, негативно воздействуют на полезные бактерии микрофлоры полости рта. Это способствует развитию болезнетворных бактерий и образований по типу грибковых. В результате ослабевания общей стойкости организма к инфекционным агентам у пациента часто возникают следующие осложнения местного и общего характера:
- гингивит — острое воспаление дёсен, которое сопровождается их отёчностью и кровоточивостью;
- папиллит — воспалительный процесс одного или нескольких сосочков десны;
- токсическийстоматит — раздражение слизистых оболочек ротовой полости, вызванное действием "тяжёлых" металлов; на губах и слизистых оболочках;
- частые простудные заболевания с выраженными признаками общей интоксикации — головной болью, слабостью, повышением температуры и др.;
- активация хронических очагов инфекции — синуситов, бронхитов и др.

Чем опасен гальваноз в полости рта
Если игнорировать первые симптомы гальваноза и не предпринимать по отношению к ним терапевтических манипуляций, заболевание обрастает общими осложнениями, которые на практике проявляются аллергическими реакциями, а также образованием зон опухолевого роста с высоким риском малигнизации — перерастания опухоли в злокачественное новообразование [9] .
В процессе определения диагноза врач учитывает особенности клинической картины, проводит детальный осмотр полости рта, а также ряд лабораторно-инструментальных исследований.
При осмотре полости рта и металлических конструкций в большинстве клинических случаев врач обнаруживает симптомы непереносимости протезов, признаки изменения самой конструкции, нарушения технологии её изготовления. Но самым важным этапом диагностики гальваноза является лабораторно-инструментальное обследование . Оно включает в себя несколько моментов:
- изменение величины разности потенциалов между конструкциями из металла и слюной с помощью специального оборудования — вольтметра, потенциометра, амперметра (основной диагностический критерий заболевания);
- измерение pH слюны путём использования ионометра и рН-метра — позволяет определить концентрацию ионов водорода в секрете слюнных желёз;
- оценка минерального состава слюны с использованием метода спектрального анализа.

Если человек страдает гальванозом, то разница потенциалов в его ротовой полости составляет 120-150 мВ, также наблюдается сдвиг рН в кислую сторону. При этом величина гальванических микротоков напрямую не связана с выраженностью патологических симптомов болезни.
Немаловажное значение в процессе определения гальваноза имеет дифференциальная диагностика. Заболевание следует отличать от следующих патологий:
- . При гальванозе у пациентов отмечаются жалобы на ощущение жжения в зоне языка, а при глоссалгии людей беспокоит боль в данной области, а также отёк покрасневших слизистых оболочек ротовой полости и повышение тягучести слюны.
- Неврит языкового нерва и невралгия тройничного нерва . При последней патологии болевые ощущения возникают в курковой области во время еды или разговора. При неврите пальпация языка резко болезненна, что не характерно для гальваноза.

- Токсические и аллергическиестоматиты . Они возникают как реакция на зубопротезные конструкции. При стоматите у пациентов изменяется показатели общего анализа крови — повышение СОЭ (скорости оседания эритроцитов) не более чем на 20 мм/ч, уменьшение или же незначительное повышение количества лейкоцитов, содержание палочек, моноцитов, лимфоцитов и плазмоцитов выше нормальных значений. При гальванозе подобные нарушения отсутствуют [10][12][13][14] .
Лечение гальваноза должно быть комплексным и включать в себя несколько терапевтических моментов:
- устранение причины заболевания путём удаления металлических протезов, коронок и т. п.;
- ликвидация проявлений местных патологических реакций;
- повышение иммунитета.
Перед началом лечения врач проводит тщательный осмотр всех элементов зубопротезной конструкции и определяет проблемные участки. Затем он удаляет повреждённые коррозией изделия, которые состоят из разнородных металлов. Если подобные лечебные мероприятия не приносят желаемого эффекта, стоматолог извлекает протезы полностью и заменяет их полноценной конструкцией из однородного материала.
Обязательным этапом терапии гальваноза является лечение полости рта, медикаментозная коррекция участков воспаления и оперативное лечение опухолевого процесса (в случае необходимости). Всем пациентам, которые страдают разными формами гальваноза, в обязательном порядке назначают препараты местной и общей иммунотерапии.
Медикаментозное лечение гальваноза
Применяются антигистаминные (Супрастин, Зодак, Зиртек) и противовоспалительные препараты (Нимесил, Ибупрофен, МИГ). Все лекарства нужно принимать строго по назначению врача с учётом сопутствующих заболеваний и совместного влияния препаратов на организм.
Общеукрепляющие средства и поддержание иммунитета
Общеукрепляющие средства подбираются терапевтом индивидуально. Чтобы восстановить кишечную микрофлору, применяются пробиотики (Бак-Сет форте, Линекс, Бифиформ). Также могут быть назначены витамины В1, В6, аскорбиновая кислота и рекомендован курс плазмолифтинга. Важно, чтобы пациент сбалансировано питался, полноценно высыпался, соблюдал режим труда и отдыха.
Прогноз. Профилактика
При своевременной диагностике заболевания и правильной тактике лечения у пациентов есть все шансы для полного выздоровления и полноценного восстановления жевательной функции после смены металлических протезов на конструкции, выполненные из гипоаллергенных материалов.
Предупредить гальваноз намного проще, чем вылечить. Поэтому профилактика заболевания — важный этап на пути к совершенствованию улыбки каждого пациента. Протезы из диэлектрических материалов исключают риск возникновения гальваноза, также как изготовление всех элементов конструкции из одного сплава.
Чтобы отследить гальваноз на начальных этапах его развития, когда он легко поддаётся коррекции, человеку с протезными конструкциями необходимо несколько раз в год посещать своего лечащего врача с профилактическим визитом и проводить профессиональную санацию полости рта [2] .
Также в рамках профилактики крайне важно лечить заболевания внутренних органов, особенно пищеварительного тракта. В противном случае они могут повлиять на кислотность слюны, тем самым внеся свой вклад в развитие гальваноза после установки металлоконструкций в полости рта [16] .
Читайте также:
- Гайморит
- Некротический остеомиелит челюсти. Причины и механизмы развития некротического остеомиелита
- Что такое блефаропластика? Особенность процедуры блефаропластики и ее виды
- Базилярная импрессия
- Влияние демографии населения на сердечно-сосудистые заболевания. Распространенность артериальной гипертензии
