Сосуды переднебоковой стенки живота. Артерии и вены переднебоковой стенки живота. Голова Медузы.
Добавил пользователь Евгений Кузнецов Обновлено: 11.12.2025
Аневризма брюшного отдела аорты — это расширение и истончение стенок самого главного сосуда тела человека. Это грозное заболевание поначалу себя никак не проявляет. При прогрессировании болезни и отсутствии своевременного лечения, может случиться разрыв аорты, и как следствие, массивное кровотечение, которое нередко заканчивается летальным исходом. Своевременное обращение к специалисту, качественная консультативная, диагностическая и хирургическая помощь позволяет предотвратить прогрессирование заболевания и обеспечить профилактику опасного для жизни осложнения — разрыва аневризмы.
- Что такое аорта ↓
- Аневризма аорты брюшной полости ↓
- Виды аневризм аорты ↓
- Причины и факторы риска развития аневризмы брюшной аорты ↓
- Симптомы и признаки аневризмы брюшной аорты ↓
- Диагностика аневризм брюшной аорты ↓
- Методы лечения аневризмы аорты ↓
Что такое аорта
Аорта — самый большой сосуд в организме человека, который уносит кровь от сердца к органам и конечностям . Верхний отдел аорты проходит внутри грудной клетки, этот отдел называется грудной аортой. Нижняя часть находится в брюшной полости и называется брюшной аортой. Она доставляет кровь к нижней части тела . В нижней части живота брюшная аорта делится на два крупных сосуда — подвздошные артерии, которые несут кровь к нижним конечностям .
Стенка аорты состоит из трех слоев: внутренний (интима), средний (медиа), наружный (адвентиция).
Аневризма аорты брюшной полости

Аневризма брюшной аорты — это хроническое дегенеративное заболевание с угрожающими жизни осложнениями. Под аневризмой брюшной аорты понимают увеличение её диаметра более чем на 50% в сравнении с нормой или локальное выбухание её стенки. Под давлением крови, текущей через этот сосуд, расширение или выбухание аорты может прогрессировать. Диаметр нормальной аорты в брюшном отделе приблизительно равен 2 см. Однако в месте аневризмы аорта может быть расширена до 7 см. и более.
Чем опасна аневризма аорты
Аневризма аорты представляет большой риск для здоровья, так как она может разорваться. Разорванная аневризма может вызвать массивное внутреннее кровотечение, которое, в свою очередь, приводит к шоку или смертельному исходу.
Аневризма аорты брюшной полости может вызывать и другие серьезные проблемы для здоровья. В мешке аневризмы часто формируются сгустки крови (тромбы) или происходит отрыв частей аневризмы, которые с током крови продвигаются по ветвям аорты к внутренним органам и конечностям. Если один из кровеносных сосудов становится блокированным, это может вызывать выраженную боль и приводить к гибели органа или потери нижней конечности. К счастью, если диагностировать аневризму аорты на ранних стадиях, то лечение может быть своевременным, безопасным и эффективным.
Виды аневризм аорты
Выделяют «истинную» и «ложную» аневризмы аорты. Истинная аневризма развивается вследствие постепенного ослабления всех слоев стенки аорты. Ложная аневризма, как правило, является результатом травмы. Она формируется из соединительной ткани, окружающей аорту. Полость ложной аневризмы заполняется кровью через возникшую в стенке аорты трещину. Сами стенки аорты в формировании аневризмы не участвуют.
В зависимости от формы выделяют:
- мешотчатую аневризму — расширение полости аорты только с одной стороны;
- веретенообразную (фузиформную) аневризму — расширение полости аневризмы со всех сторон;
- смешанную аневризму — сочетание мешотчатой и веретенообразной форм.
Причины и факторы риска развития аневризмы брюшной аорты
Причины развития аневризм брюшной аорты весьма разнообразны. Самой частой причиной развития аневризмы является атеросклероз. На долю атеросклеротических аневризм приходится 96% от общего числа всех аневризм. Помимо этого заболевание может быть как врожденными (фибромускулярная дисплазия, кистозный медионекроз Эрдгейма, синдром Марфана и др.), так и приобретенным (воспалительные и невоспалительные). Воспаление аорты возникает при внедрении различных микроорганизмов (сифилис, туберкулез, сальмонеллёз и пр.) или как результат аллергическо-воспалительного процесса (неспецифический аортоартериит). Невоспалительные аневризмы наиболее часто развиваются при атеросклеротическом поражении аорты. Реже являются результатом травмы её стенки.
Факторы риска развития аневризмы
- Артериальная гипертензия;
- Курение;
- Наличие аневризм у других членов семьи. Что свидетельствует о роли наследственного фактора в развитии этого заболевания;
- Пол: мужчины в возрасте старше 60 лет (у женщин аневризмы брюшного отдела аорты возникают реже).
Симптомы и признаки аневризмы брюшной аорты
У большинства пациентов аневризмы брюшной аорты протекают без каких-либо проявлений и являются случайной находкой при обследованиях и операциях по другому поводу.

При развитии признаков аневризмы пациент испытывает один или несколько указанных ниже симптомов:
- Ощущение пульсации в животе, подобной сердцебиению, неприятное ощущение тяжести или распирания.
- Тупая, ноющая боль в животе, в области пупка, чаще слева.
Важное значение имеют косвенные признаки аневризмы брюшной аорты:
- Абдоминальный синдром. Проявляется появлением отрыжки, рвоты, неустойчивого стула или запоров, отсутствием аппетита и похуданием;
- Ишиорадикулярный синдром. Проявляется болями в пояснице, нарушениями чувствительности и расстройствами движений в нижних конечностях;
- Синдром хронической ишемии нижних конечностей. Проявляется в появлении боли в мышцах нижних конечностей при ходьбе, иногда в покое, похолодания кожи нижних конечностей;
- Урологический синдром. Проявляется болями и тяжести в пояснице, нарушением мочеиспускания, появлением крови в моче.
Предвестниками разрыва может быть усиление болей в животе.
При разрыве аневризмы, пациент внезапно ощущает усиление или появлении боли в животе, иногда «отдающую» в поясницу, паховую область и промежность, а также выраженную слабость, головокружение. Это симптомы массивного внутреннего кровотечения. Развитие такой ситуации опасно для жизни! Пациенту нужна экстренная медицинская помощь!
Диагностика аневризм брюшной аорты

Наиболее часто аневризмы брюшной аорты выявляют при ультразвуковом исследовании органов брюшной полости. Как правило, обнаружение аневризмы является случайной находкой. Если врач подозревает у пациента аневризму аорты для уточнения диагноза используются современные методы диагностики.
Методы диагностики аневризмы брюшной аорты
При необходимости исследуется брюшной и грудной отдел аорты.
Методы лечения аневризмы аорты
Существует несколько методик лечения аневризмы аорты. Важно знать преимущества и недостатки каждой из этих методик. Подходы к лечению аневризм брюшного отдела аорты:
Наблюдение за пациентом в динамике
При размере аневризмы менее 4,5 см. в диаметре пациенту рекомендовано наблюдение сосудистого хирурга, т. к. риск операции превышает риск разрыва аневризмы аорты. Таким пациентам должны проводится повторные ультразвуковые исследования и/или компьютерная томография не реже 1 раза в 6 месяцев.
При диаметре аневризмы более 5 см. хирургическое вмешательство становится предпочтительным, так как с увеличением размеров аневризмы повышается риск разрыва аневризмы.
Если размер аневризмы увеличивается более чем на 1 см. в год, риск разрыва возрастает и хирургическое лечение также становиться предпочтительным.
Открытое хирургическое вмешательство: резекция аневризмы и протезирование аорты

Хирургическое лечение направлено на профилактику жизнеугрожающих осложнений. Риск хирургического вмешательства связан с возможными осложнениями, которые включают инфаркт, инсульт, потерю конечности, острую ишемию кишечника, сексуальную дисфункцию у мужчин, эмболизацию, инфекцию протеза и почечную недостаточность.
Операция выполняется под общим наркозом. Суть операции в удалении аневризматического расширения и замещение его синтетическим протезом. Средний показатель смертности при открытых вмешательствах составляет 3-5 %. Однако, может быть выше при вовлечении в аневризму почечных и/или подвздошных артерий, а также в силу имеющейся у пациента сопутствующей патологии. Наблюдение в послеоперационном периоде осуществляется один раз в год. Отдаленные результаты лечения хорошие.
Эндоваскулярное протезирование аневризма аорты: установка стент-графта

Эндопротезирование аневризмы аорты является современной альтернативой открытому вмешательству. Операция выполняется под спинальной или местной анестезией через небольшие разрезы/проколы в паховых областях. Через вышеуказанные доступы в бедренную артерию под контролем рентгена вводятся катетеры. По которым, в дальнейшем, будет подводится эндопротез к аневризматическому расширению. Эндопротез или стент-графт брюшной аорты представляет собой сетчатый каркас, выполненный из специального сплава и обернутый синтетическим материалом. Последним этапом операции является установка стент-графта в место аневризматического расширения аорты.
В конечном счете аневризма «выключается» из кровотока и риск ее разрыва становится маловероятным. После эндопротезирования аорты пациент наблюдается в стационаре 2-4 дня и выписывается.
Эта методика позволяет снизить частоту ранних осложнений, сократить сроки пребывания пациентов в стационаре и уменьшить показатель смертности до 1-2%. Наблюдение в послеоперационном периоде осуществляется каждые 4-6 месяцев с использованием ультразвуковых методик, КТ-ангиографии, рентгенконтратной ангиографии. Эндоваскулярный метод лечения, безусловно, менее травматичный. Ежегодно, только в США, проводится около 40 000 подобных операций.
Таким образом, выбор методики лечения аневризмы брюшного аорты основывается на индивидуальных особенностях пациента.
Кровоснабжение и инервация переднебоковой стенки живота
Артерии переднебоковой стенки живота подразделяются на поверхностные и глубокие.
Поверхностные артерии. Поверхностная надчревная, а. epigastrica superficialis, отходит от а. femoralis под паховой связкой и направляется к области пупка, анастомозируя с ветвями верхней надчревной артерии. Поверхностная артерия, огибающая подвздошную кость, а. circumflexa ilium superficialis, также отходит от бедренной артерии на одном уровне с предыдущей, а иногда общим с ней стволом и идет вдоль паховой связки к spina iliaca anterior superior и к коже этой области. Ветви наружных половых артерий, аа. pudendae externae, и паховые ветви, rr. inguinales, бедренной артерии направляются к паховой и лобковой областям.
Глубокие артерии. Верхняя надчревная артерия, а. epigastrica superior, - одна из конечных ветвей внутренней грудной артерии - пересекает VII или VIII реберный хрящ, проникает во влагалище прямой мышцы сзади, где на уровне пупка анастомозирует с ветвями нижней надчревной артерии. Нижняя надчревная артерия, а. epigastrica inferior, отходит от наружной подвздошной артерии, огибает изнутри семенной канатик и в предбрюшинной клетчатке направляется вверх, к пупку. Глубокая артерия, огибающая подвздошную кость, а. circumflexa ilium profunda, отходит от наружной подвздошной артерии и направляется кнаружи в клетчатке между брюшиной и поперечной фасцией параллельно паховой связке и далее вдоль гребня подвздошной кости. Переднебоковую стенку живота кровоснабжают также 5 нижних межреберных и поясничные артерии, аа. intercostales и аа. lumbales (обычно в количестве четырех).
Вены переднебоковой стенки живота подразделяются соответственно на поверхностные и глубокие. Глубокие вены сопровождают одноименные артерии. Поверхностных вен больше, чем артерий, и они образуют многочисленные сплетения и сети в подкожной клетчатке, особенно в области пупка, анастомозируя между собой и с глубокими венами. Поверхностные вены брюшной стенки, главным образом через грудонадчревные вены, vv.thoracoepigastricae, впадающие в подмышечную вену, и глубокие вены через vv.epigastricae superiores, вливающиеся в подключичные вены, осуществляют венозные связи систем верхней и нижней полых вен (каво-кавальные анастомозы). Вены передней брюшной стенки через vv.paraumbilicales, идущие в круглой связке печени, связаны также с системой воротной вены (портока- вальные анастомозы).
Затруднение оттока крови из нижней полой и воротной вен приводит к расширению подкожных вен передней брюшной стенки, которые просвечивают через кожу в виде змеевидных сплетений в области пупка (отсюда название этого симптома - «голова Медузы»).
Лимфатические сосуды брюшной стенки разделяют на поверхностные и глубокие. Глубокие отводящие лимфатические сосуды сопровождают кровеносные сосуды, а поверхностные располагаются в подкожной клетчатке. Поверхностные лимфатические сосуды от верхней половины живота направляются в подмышечные, надчревные, грудные лимфатические узлы, из нижней половины живота - в поверхностные паховые. Глубокие лимфатические сосуды из верхних отделов живота впадают в надчревные, передние средостенные лимфатические узлы, а из средних и нижних отделов - в поясничные, подвздошные и глубокие паховые лимфатические узлы. Лимфатические сосуды всех слоев переднебоковой стенки живота анастомозируют между собой.
В иннервации переднебоковой стенки живота принимают участие ветви VII-XII межреберных нервов и два нерва поясничного сплетения - подвздошно-под- чревный, ml. iliohypogastricus, и подвздошно-паховый, n.ilioinguinalis. Нервы проходят между внутренней косой и поперечной мышцами живота, проникают в позадимышечную щель влагалища прямой мышцы. N. iliohypogastricus разветвляется в паховой и лобковой областях. N.ilioinguinalis, выйдя из пахового канала, становится поверхностным и разветвляется в области мошонки или больших половых губ.
Голова медузы в медицине: симптомы, причины синдрома, лечение
«Голова медузы» - клинический признак портальной гипертензии, обусловленной повышением давления в воротной вене и ее ветвях. Этот симптом получил свое название благодаря внешнему сходству с мифическим персонажем — Медузой Горгоной, у которой на голове росли не волосы, а змеи. Расширенные подкожные вены проходят по передней поверхности живота и извиваются в околопупочной области. В медицине «голова медузы» является клиническим проявлением цирроза печени и прочих заболеваний.
Воротная вена (портальная вена) — кровеносный сосуд, собирающий кровь от органов брюшной полости и подходящий к “воротам” печени, благодаря чему он и получил свое название. В печеночной ткани воротная вена разветвляется, кровь фильтруется от токсинов и продуктов метаболизма. Очищенная кровь в легких обогащается кислородом и разносится к внутренним органам и тканям.
Портальная гипертензия - симптомокомплекс, проявляющийся диспепсическими признаками, расширением вен живота, гепатоспленомегалией, асцитом. Диагностика патологии заключается в проведении рентгенологического и ультразвукового исследования, чрескожной спленоманометрии, гастродуоденоскопии. Чтобы избавиться от «головы медузы», необходимо создать обходной путь току крови путем наложения анастомоза. Портальная гипертензия осложняет течение гастроэнтерологических, сердечно-сосудистых и гематологических заболеваний.
абдоминальные сосуды, формирующие синдром “головы медузы”
Этиология
При нарушении оттока венозной крови от непарных внутренних органов брюшной полости на животе появляется «голова медузы». Препятствия, возникающие в кровеносном русле портальной системы, приводят к появлению обходных путей — коллатералей. По ним кровь огибает существующий барьер. Коллатерали расширяются, разрастаются и становятся хорошо заметными на животе, напоминая «голову медузы». При наличии асцита кожа на животе истончается и просвечивается, в результате чего сосудистая сеть приобретает четкие очертания. Асцит при этой патологии является патогномоничным признаком, сохраняющимся длительно и плохо поддающимся лечению.

направление кровотока по венам брюшной стенки при обструкции воротной вены (слева), при обструкции нижней полой вены (справа).
«Голова медузы» появляется при различных состояниях:
- Дисфункции печени - цирроз, гепатоз, гепатит, саркоидоз,
- Патологии сердца и сосудов — эндофлебит и тромбоз портальной вены, перикардит, кардиомиопатия, врожденные и приобретенные пороки сердца;
- Метаболических расстройствах — амилоидоз, углеводная дистрофия печени;
- Гельминтозах;
- Онкопатологии — опухоли и полипы печени, рак и метастазы в печень;
- Длительном воздействии токсических веществ - гепатотропных ядов;
- Химиотерапии — лечение цитостатиками;
- Осложнениях операций, последствиях травм и ожогов;
- Инфекционных заболеваниях пищеварительной системы;
- Внутриутробный тромбоз печеночных вен;
- Кровотечениях из желудка и кишечника;
- Лечении ударными дозами транквилизаторов и мочегонных средств;
- Регулярном употреблении горячительных напитков

Симптоматика
«Голова медузы» - не единственный симптом патологии. Гипертензия портального типа проявляется разнообразными клиническими признаками.
Диспепсические расстройства являются самыми ранними клиническими признаками портальной гипертензии. К ним относятся:
- Потеря аппетита,
- Вздутие живота,
- Запоры, сменяющиеся поносами,
- Чувство переполнения при употреблении небольшого количества пищи,
- Боль в животе.
проявления «головы Медузы»
Признаки астенизации и интоксикации:
- Головокружение,
- Вялость,
- Бессонница,
- Колебания артериального давления,
- Мышечная слабость,
- Артралгия и миалгия,
- Выпадение волос, ломкость ногтей,
- Потеря веса,
- Лихорадка.
Признаки механической желтухи:
- Моча темного цвета,
- Светлый кал,
- Желтый оттенок кожи и иктеричность склер,
- Зуд кожи,
- Боль в правом подреберье.
Симптомы полиорганной недостаточности:
- Гепатоспленомегалия,
- Дисфункция нервной системы,
- Одышка,
- Кровоточивость слизистых оболочек носа и рта,
- Кашель,
- Аритмия,
- Водянка живота с отеками лодыжек.
Диагностика
Диагностические мероприятия при заболеваниях, проявляющихся симптомом «голова медузы»:

- Выслушивание жалоб больного,
- Сбор анамнестических данных,
- Визуальный осмотр пациента,
- Пальпация и перкуссия печени,
- Общеклинические анализы крови и мочи,
- Инструментальные методики.
Признаки коллатерального кровообращения, которые определяются визуально: извитые и расширенные вены на животе около пупка - «голова медузы», асцит, околопупочные грыжи, отеки конечностей.
Гепатоспленомегалия определяется пальпаторно: печеночный край плотный и острый, выступает из-под края реберной дуги, поверхность ее твердая, бугристая.
Лабораторная диагностика заключается в проведении параклинических анализов крови и мочи, коагулограммы, определении антител к возбудителю гепатита. В крови обнаруживают снижение лейкоцитов, эритроцитов, тромбоцитов,
Инструментальные методы диагностики: ангиография, сцинтиграфия печени, УЗИ органов брюшной полости, допплерометрия сосудов печени, эзофагоскопия, ФГДС, ректороманоскопия, контрастное рентгенографическое исследование. Компьютерная и магниторезонансная томография выявляет узелки в печеночной ткани, новообразования, гепатолиенальные анастомозы. При необходимости проводят биопсию печени и гистологическое исследование биоптата.
При отсутствии своевременного лечения портальной гипертензии у больных может развиться энцефалопатия, проявляющаяся сонливостью, раздражительностью, снижением памяти и концентрации внимания. Таких пациентов направляют на консультацию к психоневрологу.
Лечение
Избавиться от симптома «головы медузы» сложно. Для этого необходимо вылечить основную патологию, ставшую первопричиной данной проблемы, путем проведения консервативной терапии и оперативного лечения.
Медикаментозное лечение направлено на снижение давления в воротной вене, когда проблема еще не запущена. Больным назначают:
- Вазоконстрикторы - «Вазопрессин», «Соматостатин». Они сужают артериолы и снижают давления в системе воротной вены.
- Нитраты - «Нитроглицерин». Способствуют скоплению крови в мелких сосудах, благодаря чему уменьшается кровоток в печени.
- β-адреноблокаторы - «Метопролол», «Анаприлин». Они урежают частоту сердечных сокращений, оказывают гипотензивный эффект, снижают ОПСС, повышают устойчивость тканей в гипоксии.
- Ингибиторы АПФ - «Лизиноприл», «Каптоприл». Уменьшают ОПСС, снижают артериальное давление и улучшают кровоток в периферических артериях и венах.
- Диуретики «Фуросемид» и «Лазикс» уменьшают отеки и выводят токсины из организма.
- «Лактулоза» очищает кишечник от вредных веществ и токсинов.
- Гепатопротекторы - «Эссенциале форте», «Карсил».
- Витамины группы В.
Диетотерапия также оказывает благоприятное воздействие на общее состояние больных с портальной гипертензией. Специалисты рекомендуют максимально уменьшить суточное употребление соли, которая задерживает жидкость в организме, что нежелательно пациентам, имеющих отеки и асцит. Количество белка в рационе также должно быть ограничено. Низкобелковое питание снижает риск печеночной энцефалопатии. При любых заболеваниях пищеварительной системы категорически запрещены жирные, жареные, острые, копченые блюда, алкоголь, консервы и пряности.
Оперативное вмешательство на более поздних сроках позволяет добиться желаемого результата. Оно заключается в искусственном создании соустья между сосудами, позволяющего снизить давление крови в воротной вене. Хирурги накладывают портокавальный анастомоз, благодаря которому создается обходной путь току крови. Помимо шунтирования патологические участки сосудов ушивают или перевязывают, проводят склеротерапию и устанавливают утягивающие кольца или скобки, проводят электрокоагуляцию. В запущенных случаях, когда консервативное и оперативное вмешательство не дают ожидаемых результатов, проводят спленэктомию или трансплантацию печени.
Особого внимания заслуживает лечение портальной гипертензии у беременных женщин, поскольку данная патология может серьезно отразиться на состоянии здоровья не только матери, но и ребенка.

Народная медицина может дополнять основное лечение лекарственными препаратами. Применение народных средств при портальной гипертензии разрешено только после консультации со специалистом. Особенно это касается беременных женщин.
Наиболее распространенные в народе рецепты для лечения расширенных вен живота:
- Отвар одуванчика принимают в теплом виде трижды в день. Для его приготовления сырье заливают кипятком, настаивают полчаса и пьют.
- Свежевыжатый сок свеклы принимают по половине стакана до еды.
- Лекарственный сбор из тысячелистника, ромашки, крапивы, шиповника заливают горячей водой, прогревают на водяной бане тридцать минут и принимают по 2 столовых ложки три раза в сутки.
Заболевания, проявляющиеся симптомом «голова медузы», имеют длительное и упорное течение. При неблагоприятном исходе смерть больных наступает от внутреннего кровотечения. Своевременное наложение портокавальных анастомозов прогноз патологии благоприятным, способствует улучшению качества жизни пациентов и продлевает им жизнь на десяток лет. При появлении первых клинических признаков патологии необходимо срочно обратиться к доктору и приступить к назначенной терапии.
Профилактика
Профилактические мероприятия, позволяющие избежать появления симптома «голова медузы»:
- Бороться с причинами, провоцирующими развитие синдрома портальной гипертензии,
- Регулярно сдавать анализы крови и мочи,
- Своевременно проходить обследования при нахождении в группе риска,
- Правильно и сбалансировано питаться,
- Принимать витамины,
- Не курить и не принимать алкоголь,
- Вести здоровый образ жизни.
А самое главное - запомнить: не бывает безобидных заболеваний, затрагивающих жизненно важные органы. Только своевременно обнаруженные патологии можно полностью устранить с помощью адекватной терапии, дающей эффективные результаты.
Аневризма брюшной аорты: понятие, возникновение, симптомы, лечение и рекомендации
Понятие «аневризма» подразумевает такое изменение структуры сосудистой стенки, когда в самом слабом месте она истончается и выпячивается. Тем самым появляется риск разрыва сосуда. Одна из самых опасных локализаций такой патологии - аневризма брюшной аорты.
Причины возникновения аневризмы и повреждающие факторы
Важно понять, почему возникает такое заболевание, ведь количество летальных исходов катастрофически велико: 50-60% пациентов погибают через 1-2 года после обнаружения аневризмы брюшного отдела аорты. Причем мужчин такая патология поражает на порядок чаще, чем женщин. Причины, вызывающие деформацию сосудистой стенки, принято делить на воспалительные и невоспалительные.

- При отсутствии воспалительного процесса самая частая причина возникновения аневризмы (около 30% случаев) - атеросклероз. Мышечно-эластический каркас аорты становится неравномерным по толщине и прочности из-за образования атеросклеротических бляшек, изменения структуры выстилающего сосуд слоя и возможных очагов кальцификации. Ткань сосудистой стенки заменяется соединительной тканью, которая менее эластична и больше подвержена деформациям под действием давления крови на стенки артерии. Расширение аорты ускоряет артериальная гипертензия, которая также тесно связана с атеросклеротическими изменениями сосудов.
- Реже встречается травматическая аневризма брюшного отдела аорты. Она может стать следствием закрытой травмы живота, груди или позвоночника. Иногда возникает после автомобильных аварий, например, когда пострадавший ударяется животом или грудью о руль. Серьезный риск возникновения аневризм также бывает после падения с высоты и вследствие проникающих ранений живота (осколочных, пулевых и т.п.). В таких случаях при разрушении всех слоев сосудистой стенки сначала возникает гематома в тканях самой аорты, потом стенка рубцуется, а уже впоследствии в месте соединительной ткани может произойти разрыв аневризмы брюшной аорты.
- К воспалительным в первую очередь относят сифилитические аневризмы. В этом случае сначала возникает воспалительный процесс в сосудах, снабжающих кровью аорту. Далее воспаление перекидывается на стенку самой аорты, нарушается ее структура, снижается эластичность, появляется участок соединительной ткани. Именно здесь и образуется сосудистый «мешок» - аневризма.
- К специфическим воспалительным аневризмам относятся и туберкулезные и ревматические. Здесь воспалительный процесс переходит на аорту от позвоночника или близлежащих очагов воспаления, что приводит к истончению и выпячиванию стенки артерии.
- Неспецифические аневризмы воспалительной природы возникают как осложнения при самых разных инфекциях. Возбудитель заносится в аорту по снабжающему ее кровеносному руслу и поражает не только саму аорту, но также отходящие от нее сосуды. Такую аневризму называют бактериально-эмболической. Инфекция может быть занесена из легких, почек, кишечника, может зацепить аорту при панкреатите.
Видео: возникновение аневризмы аорты
Классификация по различным признакам
По структуре и особенностям повреждения тканей аневризмы делят на следующие виды:
- Истинная аневризма, которая характеризуется расширением просвета артерии при сохранении целостности ее стенки;
- Ложная аневризма - расширение аортального просвета, при котором структура стенки повреждается, а кровь может попадать в ткани, выстилающие сосуд; в результате образуется так называемая «пульсирующая» гематома;
- Расслаивающая аневризма аорты, которая локализуется в брюшном отделе; при таком повреждении сосуда кроме расширения просвета наблюдается полость в толще сосудистой стенки, которая сообщается с аортальным просветом.
По форме различают веретенообразные и мешотчатые аневризмы, а по клиническому течению - осложненные и неосложненные.

Для более точной постановки диагноза врачи определяют характер и степень поражения, длину пораженного участка артерии; смотрят, включились ли в патологический процесс ветви отходящих от аорты сосудов. Все эти факторы определяют как тяжесть сложившейся ситуации, так и выбор тактики лечения.
Симптомы и клинические проявления аневризмы брюшной аорты
Симптом, который указывает на аневризму аорты брюшной полости и с которым чаще всего пациенты обращаются к врачам, - боли в животе, причем они носят тупой и ноющий характер. Такая боль может быть постоянной, может возникать периодически без видимых причин. Она, как правило, локализуется в левой половине живота или в районе пупка. В некоторых случаях боль может отдавать в пах или поясницу. Причина болевых ощущений - увеличение размера пораженного участка сосуда, когда выпятившаяся стенка аорты начинает давить на корешки спинного мозга.
У некоторых больных аневризма может проявляться тяжестью и распиранием в животе, пульсирующим ощущением. Иногда при сдавлении кишечника проявляются диспепсические явления (отрыжка, тошнота, рвота).

Гораздо более тяжелое состояние возникает при осложненном течении и тем более при разрыве аневризмы аорты. Наблюдаются более ярко выраженные признаки, характеризующиеся возрастанием интенсивности боли, которая к тому же не снимается обезболивающим препаратами. Постепенно боль становится опоясывающей, падает кровяное давление (иногда катастрофически), присоединяется рвота. Наблюдаются тахикардия и анемия. Может развиться нарушение кровоснабжения ног.
Симптомы, по которым определяют расслаивающую аневризму аорты, возникают обычно в два этапа:
- На первом картина схожа с течением неосложненной аневризмы, но отмечаются более сильные боли, сопровождаемые рвотой и коллапсом.
- На втором этапе, когда происходит разрыв стенки сосуда, происходит массивное кровотечение, обычно приводящее к смерти.
Между этапами может пройти как несколько минут, так и несколько часов.
Современные методы диагностики и лечения
Своевременная диагностика аневризмы аорты позволяет спасти тысячи жизней ежегодно. Поэтому важно при первом же подозрении на это заболевание провести все доступные инструментальные исследования. К ним относятся:
- УЗИ брюшной полости;
- Обзорная рентгенография;
- Ультразвуковая допплерография;
- Аортография;
- Ретропневмоперитонеум.
Учитывая, что разрыв аневризмы аорты с большой долей вероятности приводит к летальному исходу, а произойти может в любой момент, таким пациентам показано хирургическое вмешательство. Причем у больных с нарушенной или расслаивающей аневризмой брюшной аорты операция проводится в срочном порядке по неотложным показаниям. Однако если процесс находится на начальной стадии, а его течение ничем не осложнено, может быть оправдана выжидательная тактика лечения аневризмы с обследованием каждые полгода. При этом для страдающих артериальной гипертензией прием препаратов, снижающих давление, становится по-настоящему жизненно необходимым.
Подробнее об операции при аневризме аорты читайте по ссылке.
Видео: определение, диагностика и варианты лечения заболевания
Аневризмы других локализаций
Несмотря на то, что при разрыве аневризмы в периферической артерии последствия будут не столь фатальными, все же интенсивное внутреннее кровотечение представляет серьезную опасность для жизни человека независимо от того, в какой части тела оно происходит. Рассмотрим наиболее часто встречающуюся локализацию аневризм в периферических артериях.
- Аневризма, которая образуется в восходящем отделе аорты. Она может затронуть участок артерии от клапана аорты до места отхождения плечеголовного ствола. Часто имеет веретенообразную форму и может осложняться недостаточностью аортального клапана, а это, в свою очередь, отражается на общем самочувствии человека и состоянии его сердца (подробнее об аневризме аорты и сердца читайте по ссылке).
- Аневризма, которая поражает дугу аорты. Ее опасность состоит в том, что от этой части главной артерии отходят крупные артериальные стволы в сторону головы и рук. То есть при поражении дуги аорты возникает не только слабость в руках, но также появляются симптомы, сигнализирующие о нарушении мозгового кровообращения.
- Аневризма селезеночной артерии. По частоте возникновения она идет сразу за аневризмой брюшной аорты. Характеризуется тем, что вероятность разрыва резко возрастает при беременности. Часто имеет воспалительную причину и кальцифицированные очаги. Боль локализуется в левой верхней части живота.
- К серьезным осложнениям (вплоть до почечных инфарктов) может привести аневризма почечной артерии. Чаще всего такие повреждения бывают односторонними, заболевание может развиваться у достаточно молодых людей на фоне врожденных дефектов сосудистых тканей.
- Аневризма подвздошной артерии. Опасность этой локализации состоит в том, что подвздошная артерия самая крупная после аорты, а значит, при ее разрыве последствия могут быть необратимыми. Коварство такой аневризмы в том, что она долгое время может протекать без каких-либо симптомов, а боль появляется, когда расширение артерии достигает критических размеров и она начинает давить на внутренние органы.
- При аневризме бедренной артерии возникает пульсирующее опухолеподобное образование (часто в районе паха). Наибольший процент пациентов - люди пожилого возраста, причем этот вид аневризмы часто является двухсторонним. Ложной аневризмой этой артерии называют специфическую гематому сосуда, которая образовалась в результате травмирования сосудистой стенки.
- При аневризме яремной вены возникает сосудистый мешок, чаще всего вызванный травмой. Он представляет собой ложную аневризму. Образуется преимущественно после «тупых» закрытых ранений, реже возникает при колото-резанных и огнестрельных ранах с узким раневым каналом. Аневризмы яремных вен, если они наблюдаются у детей, могут быть и врожденными, обусловленными нарушением формирования тканей сосудов в период внутриутробного развития.
Какие меры принять для профилактики заболевания?
Рекомендации по питанию для больных
Если человеку поставлен диагноз «аневризма», и врачом выбрана выжидательная тактика лечения, то многое зависит от образа жизни пациента и от того, насколько он дисциплинировано выполняет рекомендации доктора.
Когда причиной возникновения аневризмы любого сосуда признан атеросклероз, то состояние можно улучшить, направив все усилия на борьбу с этим недугом. Здесь на первое место по важности выходит соблюдение диеты. Стоит максимально исключить из своего рациона животные жиры, желтки яиц, маргарин. Приветствуется приготовленное без жира постное мясо и океаническая рыба. Заряжают энергией и параллельно очищают организм хлеб и каши из цельных зерен. Нужно увеличить долю овощей и фруктов в своем питании, поскольку содержащаяся в них клетчатка способствует нормализации липидного обмена. От жирного творога, сыра и сметаны стоит отказаться и заменить их обезжиренными молочными продуктами.

Читайте подробнее о диете и рекомендациях при атеросклерозе, которые также подойдут больным с аневризмой.
Постарайтесь полностью отойти от употребления алкоголя, крепкого черного чая и кофе - эти напитки создают скачкообразную нагрузку на сосуды, что при аневризме может оказаться фатальным. Зеленый же чай, напротив, мягко тонизирует сосуды и оказывает общеукрепляющее действие. Разнообразить диету помогут растительные масла, приготовленные из самых разных семян и орехов (не ограничивайтесь только подсолнечным). Также многие специи способствуют нормализации обмена жиров в организме. К ним относятся куркума, имбирь, чеснок, лук.
Боремся с гипертонией
Важным фактором риска при аневризмах является артериальная гипертензия. Это связано с тем, что повышенное давление крови провоцирует стремительное истончение сосудистой стенки в области аневризмы. А в момент гипертонического криза в несколько раз увеличивается вероятность разрыва сосуда в этом месте. Именно поэтому важно не допускать скачков артериального давления во избежание гидродинамического удара по больному сосуду.
Гипертонические кризы могут быть вызваны нерегулярным приемом антигипертензивных препаратов. Поэтому больным с диагностированной аневризмой жизненно важно соблюдать схему приема препаратов от давления. Некоторые группы лекарств можно принимать раз в сутки, другие требуют двух-трехкратного приема, но если препарат вам подходит, не дает побочных эффектов и дозировка правильно подобрана, прерывать прием категорически не рекомендуется. Там, где рядовой гипертоник отделается головной болью, пациент с аневризмой рискует жизнью.
Одной из причин, которые провоцируют резкое повышение давления даже у относительно здоровых людей, является стресс. Если у вас нервная работа, конфликты в семье или вы просто очень эмоциональный человек, подумайте о том, чтобы всегда иметь под рукой успокоительное средство. Хороший мягкий эффект без побочных явлений и привыкания дают современные растительные препараты, которые можно приобрести в аптеке.
Контролируйте нагрузки
Иногда особо ретивым пациентам врачи прописывают абсолютный покой. Не стоит понимать это буквально: без физической нагрузки сосуды быстрее дряхлеют, а значит, риск разрыва аневризмы увеличивается.
Но и нагружать себя надо с умом. Если не избежать поднятия тяжестей, не делайте рывков, трезво оценивайте допустимую нагрузку. Если привыкли бегать по утрам или ходить в тренажерный зал, не стоит отказываться от динамических тренировок совсем - замените бег интенсивной ходьбой, тренажеры - гимнастикой йогов или пилатесом.

Скандинавская ходьба - отличный вид сбалансированной нагрузки
Если же аневризма обнаружена у человека, не имеющего привычки к регулярным физическим нагрузкам, самое время начать. Простая десятиминутная зарядка по утрам взбодрит и повысит тонус сосудов, суставная гимнастика без серьезной нагрузки улучшит кровообращение в руках, ногах и позвоночнике, а мягкие дыхательные упражнения насытят кислородом внутренние органы. Важный момент: такие нагрузки должны быть систематическими, в идеале - ежедневными.
Откажитесь от курения
Эта пагубная привычка ускоряет рост аневризмы, поскольку содержащиеся в табачном дыме вещества оказывают как непосредственное повреждающее действие на сосуды, так и косвенное.
Каждая затяжка провоцирует новый виток спазмов мелких сосудов, в том числе и тех, что питают аорту и другие крупные артерии. А это значит, что дегенеративные процессы будут развиваться быстрее. Кроме того, непосредственно влияя на мышечный слой пораженной артерии, табачный дым способствует росту поврежденного аневризмой участка.
Что касается косвенного влияния курения на аневризмы, то здесь следует помнить о роли табака в развитии атеросклероза. У курящих людей в несколько раз выше риск нарушений липидного обмена, образования атеросклеротических бляшек и, как следствие, аневризмы.
Таким образом, даже просто отказ от курения повышает для больных с аневризмой шансы на долгую полноценную жизнь.
Что может предложить народная медицина?
В некоторых случаях может быть оправдано консервативное лечение аневризмы аорты, в том числе народными средствами. Настойки, травяные чаи и некоторые натуральные продукты благотворно влияют на сосуды, состояние сердца и организма в целом.

- Боярышник - отличное средство для больных, страдающих различными сердечно-сосудистыми патологиями, в том числе и аневризмой. Нужно приготовить настой из высушенных в темном месте плодов этого дерева: залить стаканом кипятка две столовые ложки растертых ягод, дать хорошо настояться (не менее 3-4 часов) и выпивать стакан такого настоя каждый день в три приема.
- Благотворное действие при аневризмах оказывают противовоспалительные настои, которые повышают иммунитет и убирают воспалительный фактор развития аневризмы. К таким общеукрепляющим народным средствам относят настой калины. А свежие ягоды можно добавлять в десерты и салаты.
- Семена и трава обычного огородного укропа положительно влияют на пораженные аневризмой сосуды. Необходимо приготовить настой из 300 мл кипящей воды и 1 столовой ложки свежего или сушеного укропа. Дать настояться, процедить и в три-четыре приема выпивать эту порцию каждый день.
- Чистотел - универсальное растение. При регулярном применении успешно борется с атеросклерозом - основной причиной аневризм. Листья, негрубые стебли и цветы собирают в экологически чистых местах, сушат в тени и используют для приготовления настоя. Стаканом кипятка заливают сухие измельченные части растения (1 столовую ложку), не меньше часа настаивают, а затем процеживают. Выпивают по 50 грамм трижды в день. Курс лечения - не менее 30 дней.
- Большое внимание наши предки уделяли продуктам пчеловодства. Для больных аневризмой больше всего пользы принесет цветочная пыльца. Если принимать ее ежедневно по 1 чайной ложке (можно в смеси с медом), то процессы старения в организме замедляются, сосуды укрепляются, нормализуется вес, тело наполняется энергией.
Можно также самостоятельно приготовить очень вкусный десерт, который также будет поддерживать здоровье ваших сосудов:
Для этого нужно пропустить через мясорубку один лимон, по одному стакану изюма и орехов, потом добавить стакан меда и тщательно вымешать. Можно разнообразить смесь, добавив курагу или инжир. Хранить в холодильнике и съедать по 2 чайные ложки три раза в день.
Аневризма брюшной аорты
Аневризма брюшной аорты - это локальное выбухание или диффузное расширение стенки аорты в ее брюшном отделе. Аневризма брюшной аорты может протекать бессимптомно или обнаруживать себя пульсацией, болями в животе различной интенсивности, при разрыве аневризмы - клиникой внутрибрюшного кровотечения. Диагностика аневризмы включает проведение обзорной рентгенографии брюшной полости, УЗДГ брюшной аорты, рентгеноконтрастной ангиографии, КТ. Лечение аневризмы брюшной аорты исключительно хирургическое: открытая резекция аневризматического мешка с заменой иссеченной части синтетическим протезом либо эндопротезирование.
МКБ-10

Общие сведения
Аневризма брюшной аорты - патологическое расширение брюшной части аорты в виде выпячивания ее стенки на участке от XII грудного до IV—V поясничного позвонка. В кардиологии и ангиохирургии на долю аневризм брюшной аорты приходится до 95% всех аневризматических изменений сосудов. Среди мужчин старше 60 лет аневризма брюшной аорты диагностируется в 2-5% случаев. Несмотря на возможное бессимптомное течение, аневризма брюшной аорты склонна к прогрессированию; в среднем ее диаметр увеличивается на 10% в год, что нередко приводит к истончению и разрыву аневризмы с летальным исходом. В списке наиболее частых причин смерти аневризма брюшной аорты занимает 15 место.
Причины
Формирование аневризм аорты может быть обусловлено различными причинами. Предпосылкой последующего формирования аневризмы брюшной аорты может являться фиброзно-мышечная дисплазия - врожденная неполноценность аортальной стенки. Среди приобретенных факторов наибольшее значение имеют:
- Атеросклероз сосудов. По данным исследований, основным этиологическим фактором аневризм аорты (аневризмы дуги аорты, аневризмы грудной аорты, аневризмы брюшной аорты) является атеросклероз. В структуре причин приобретенных аневризм аорты на его долю приходится 80-90% случаев заболевания.
- Воспалительные изменения сосудистой стенки. Более редкое приобретенное происхождение аневризм брюшной аорты связно с воспалительными процессами: неспецифическим аортоартериитом, специфическими поражениями сосудов при сифилисе, туберкулезе, сальмонеллезе, микоплазмозе, ревматизме.
- Травмы аорты. Бурное развитие сосудистой хирургии в последние десятилетия привело к увеличению числа ятрогенных аневризм брюшной аорты, связанных с техническими погрешностями при выполнении ангиографии, реконструктивных операций (дилатации/стентирования аорты, тромбоэмболэктомии, протезирования). Закрытые повреждения брюшной полости или позвоночника могу способствовать возникновению травматических аневризм брюшной аорты.
Факторы риска
Около 75% пациентов с аневризмой брюшной аорты составляют курильщики; при этом риск развития аневризмы увеличивается пропорционально стажу курения и количеству ежедневного выкуриваемых сигарет. Возраст старше 60 лет, мужской пол и наличие аналогичных проблем у членов семьи повышают риск образования аневризмы брюшной аорты в 5-6 раз.
Вероятность разрыва аневризмы брюшной аорты выше у пациентов, страдающих артериальной гипертонией и хроническими заболеваниями легких. Кроме этого, имеет значение форма и размер аневризматического мешка. Доказано, что асимметричные аневризмы более подвержены разрыву, чем симметричные, а при диаметре аневризмы более 9 см смертность от разрыва аневризматического мешка и внутрибрюшного кровотечения достигает 75%.
Патогенез
В развитии аневризмы брюшной аорты играют роль воспалительные и дегенеративные атеросклеротические процессы в стенке аорты. Воспалительная реакция в стенке аорты возникает как иммунный ответ на внедрение неизвестного антигена. При этом развивается инфильтрация аортальной стенки макрофагами, В- и Т-лимфоцитами, усиливается продукция цитокинов, повышается протеолитическая активность. Каскад этих реакций, в свою очередь, приводит к деградации экстрацеллюлярного матрикса в среднем слое оболочки аорты, что проявляется в увеличении содержания коллагена и уменьшении эластина. На месте гладкомышечных клеток и эластических мембран формируются кистоподобные полости, вследствие чего прочность стенки аорты снижается.
Воспалительные и дегенеративные изменения сопровождаются утолщением стенок аневризматического мешка, возникновением интенсивного перианевризматического и постаневризматического фиброза, сращением и вовлечением окружающих аневризму органов в воспалительный процесс.
Классификация
По форме выпячивания стенки сосуда различают мешотчатые, диффузные веретенообразные и расслаивающиеся аневризмы брюшной аорты; по строению стенки - истинные и ложные аневризмы. Наибольшую клиническую ценность представляет анатомическая классификация аневризм брюшной аорты, согласно которой выделяют:
- инфраренальные аневризмы, расположенные ниже отхождения почечных артерий (95%);
- супраренальные с локализацией выше почечных артерий.
С учетом этиологических факторов аневризмы брюшной аорты подразделяются на врожденные и приобретенные. Последние могут иметь невоспалительную этиологию (атеросклеротическую, травматическую) и воспалительную (инфекционную, сифилитическую, инфекционно-аллергическую).
По признаку распространенности А.А. Покровский и соавт. различают 4 типа аневризмы брюшной аорты:
- I - инфраренальная аневризма с достаточным по протяженности дистальным и проксимальным перешейком;
- II - инфраренальная аневризма с достаточным по протяженности проксимальным перешейком; распространяется до бифуркации аорты;
- III - инфраренальная аневризма с вовлечением бифуркации аорты и подвздошных артерий;
- IV - инфра- и супраренальная (тотальная) аневризма брюшной аорты.
Симптомы аневризмы БА
При неосложненном течении аневризмы брюшной аорты субъективные симптомы заболевания отсутствуют. В этих случаях аневризма может быть диагностирована случайно при пальпации живота, проведении УЗИ, рентгенографии брюшной полости, диагностической лапароскопии по поводу другой абдоминальной патологии.
Наиболее типичными клиническими проявлениями аневризмы брюшной аорты служат постоянные или периодические ноющие, тупые боли в мезогастрии или левой половине живота, что связано с давлением растущей аневризмы на нервные корешки и сплетения в ретроперитонеальном пространстве. Боли нередко иррадиируют в поясничную, крестцовую или паховую область. Иногда боли имеют настолько интенсивный характер, что для их купирования требуется назначение анальгетиков. Болевой синдром может быть расценен как приступ почечной колики, острого панкреатита или радикулита.
Часть больных в отсутствие болей отмечает чувство тяжести, распирания в животе или усиленную пульсацию. Вследствие механического сдавления аневризмой брюшной аорты желудка и 12-перстной кишки может возникать тошнота, отрыжка, рвота, метеоризм, запоры.
Урологический синдром при аневризме брюшной аорты может быть обусловлен компрессией мочеточника, смещением почки и проявляется гематурией, дизурическими расстройствами. В некоторых случаях сдавление тестикулярных вен и артерий сопровождается развитием болевого симптомокомплекса в яичках и варикоцеле.
Ишиорадикулярный симптомокомплекс связан с компрессией нервных корешков спинного мозга или позвонков. Он характеризуется болями в пояснице, чувствительными и двигательными расстройствами в нижних конечностях. Изолированная расслаивающаяся аневризма брюшной аорты встречается крайне редко; чаще она является продолжением расслоения грудного отдела аорты. При аневризме брюшной аорты может развиваться хроническая ишемия нижних конечностей, протекающая с явлениями перемежающейся хромоты, трофическими нарушениями.
Осложнения
Разрыв аневризмы брюшной аорты сопровождается клиникой острого живота и в относительно короткие сроки может привести к трагическому исходу. Симптомокомплекс сопровождается характерной триадой: болью в животе и поясничной области, коллапсом, усиленной пульсацией в брюшной полости. Особенности клиники разрыва аневризмы брюшной аорты определяются направлением разрыва (в забрюшинное пространство, свободную брюшную полость, нижнюю полую вену, 12-перстную кишку, мочевой пузырь).
Забрюшинный разрыв аневризмы брюшной аорты характеризуется болевым синдромом постоянного характера. При распространении забрюшинной гематомы в область малого таза отмечается иррадиация болей в бедро, пах, промежность. Высокое расположение гематомы может симулировать кардиальные боли. Количество излившейся в свободную брюшную полость крови при забрюшинном разрыве аневризмы, как правило, невелико - около 200 мл.
При внутрибрюшинной локализации разрыва аневризмы брюшной аорты развивается клиника массивного гемоперитонеума: быстро нарастают явления геморрагического шока - резкая бледность кожных покровов, холодный пот, слабость, нитевидный, частый пульс, гипотония. Отмечается резкое вздутие и болезненность живота во всех отделах, разлитой симптом Щеткина-Блюмберга. Перкуторно определяется наличие свободной жидкости в брюшной полости. Летальный исход при данном типе разрыва аневризмы брюшной аорты наступает очень быстро.
Прорыв аневризмы брюшной аорты в нижнюю полую вену сопровождается слабостью, одышкой, тахикардией; типичны отеки нижних конечностей. К локальным симптомам относятся боли в животе и пояснице, пульсирующее образование в животе, над которым выслушивается систоло-диастолический шум. Указанные симптомы нарастают постепенно, приводя к тяжелой форме сердечной недостаточности.
При разрыве аневризмы брюшной аорты в 12-перстную кишку развивается клиника профузного желудочно-кишечного кровотечения с внезапным коллапсом, кровавой рвотой, меленой. В диагностическом плане данный вариант разрыва сложно отличить от желудочно-кишечных кровотечений другой этиологии.
В ряде случаев заподозрить наличие аневризмы брюшной аорты позволяет общий осмотр, пальпация и аускультация живота. Для выявления семейных форм аневризмы необходимо собрать тщательный анамнез. Методы диагностики:
- Осмотр. При обследовании худощавых пациентов в положении лежа может определяться усиленная пульсация аневризмы через переднюю брюшную стенку. При пальпации в верхней части живота слева выявляется безболезненное пульсирующее плотноэластическое образование. При аускультации над аневризмой брюшной аорты выслушивается систолический шум.
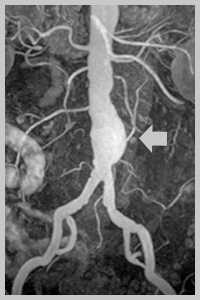
- Рентгеновская диагностика. Наиболее доступным методом диагностики аневризмы брюшной аорты служит обзорная рентгенография брюшной полости, позволяющая визуализировать тень аневризмы и кальциноз ее стенок. КТ или МСКТ брюшного отдела аорты позволяет получить изображение просвета аневризмы, кальциноза, расслоения, внутримешкового тромбоза; выявить угрозу разрыва или свершившийся разрыв. Кроме указанных методов, в диагностике аневризмы брюшной аорты применяются аортография, внутривенная урография.
- УЗИ аорты. В настоящее время в ангиологии широко используется УЗДГ, дуплексное сканирование брюшной аорты и ее ветвей. Точность ультразвукового выявления аневризмы брюшной аорты приближается к 100%. С помощью УЗИ определяется состояние стенки аорты, распространенность и локализация аневризмы, место разрыва.

Лечение аневризмы брюшной аорты
Открытая хирургия
Противопоказания к плановой операции служат недавний (менее 1 месяца) инфаркт миокарда, ОНМК (до 6 недель), тяжелая сердечно-легочная недостаточность, почечная недостаточность, распространенное окклюзирующее поражение подвздошных и бедренных артерий. При надрыве или разрыве аневризмы брюшной аорты резекция выполняется по жизненным показаниям.
Эндоваскулярная хирургия
К современным малотравматичным методам хирургии аневризмы брюшной аорты относится эндопротезирование аорты с помощью имплантируемого стент-графта. Хирургическая процедура выполняется в рентген-операционной через небольшой разрез в бедренной артерии; ход операции контролируется рентгенотелевидением. Установка стент-графта позволяет изолировать аневризматический мешок, предотвратив тем самым возможность его разрыва, и одновременно создает новый канал для кровотока. Преимуществами эндоваскулярного вмешательства являются минимальная травматичность, меньший риск развития послеоперационных осложнений, быстрое восстановление. Однако, по данным литературы, в 10% случаев отмечается дистальная миграция эндоваскулярных стентов.
Прогноз и профилактика
Аневризма брюшной аорты - коварная и непредсказуемая сосудистая патология. Вероятность летального исхода от разрыва аневризмы больших размеров составляет более 75%. При этом от 30 до 50% пациентов погибает еще на догоспитальном этапе.
В последние годы в кардиохирургии наблюдается заметный прогресс в диагностике и лечении аневризмы брюшной аорты: уменьшилось число диагностических ошибок, расширился контингент больных, подлежащих хирургическому лечению. Прежде всего, это связано с применением современных визуализирующих исследований и внедрением в практику эндопротезирования аневризмы аорты.
Для предотвращения потенциальной угрозы аневризмы брюшной аорты, лица, страдающие атеросклерозом или имеющие семейный анамнез по данному заболеванию, должны проходить регулярные обследования. Важную роль играет отказ от нездоровых привычек (курения). Пациенты, перенесшие оперативное вмешательство по поводу аневризмы брюшной аорты, нуждаются в наблюдении сосудистого хирурга, регулярном прохождении УЗИ и КТ.
3. Воспалительные аневризмы брюшной аорты/ Тихановская Е.О.// Вестник Российской Военно-медицинской академии. - 2012. - 1(37).
Читайте также:
