Стадии развития нейробластомы и их прогноз
Добавил пользователь Владимир З. Обновлено: 21.11.2025
Нейробластома - эмбриональная опухоль, возникающая в процессе внутриутробного или раннего постнатального периода жизни из стволовых нервных клеток - нейробластов.
Впервые описание этой опухоли, названной впоследствии «детской глиомой», дал Рудольф Людвиг Карл Вирхов в 1864 году. Позднее в 1891 году немецким ученым патоморфологом Феликсом Маршандом был определен источник опухоли - клетки симпатической нервной системы и надпочечники. Симпатическая нервная система - это часть автономной (вегетативной) нервной системы. Она контролирует непроизвольную работу внутренних органов человека, например, работу сердца, кишечника, мочевого пузыря, процесс кровообращения.
Эпидемиология
Нейробластома составляет около 7-8% от всех злокачественных новообразований в детском и подростковом возрасте. Это наиболее часто возникающий вид детских новообразований после опухолей кроветворной и центральной нервной системы. Примерно 40% случаев заболевания встречается на первом году жизни, с возрастом количество случаев уменьшается. Средний возраст на момент диагностирования составляет 19 месяцев.
Причины и риски
Причины появления опухоли до конца не изучены. Нейробластома возникает в том случае, когда нормальные нейробласты не созревают в нервные клетки. Вместо этого они продолжают бесконтрольно расти и делиться. Предполагают, что эти несозревшие (эмбриональные) нервные клетки начинают мутировать еще до рождения ребенка, когда начинают меняться хромосомы и/или происходит сбой в регулировании работы генов. Как подтверждают актуальные исследования, у большинства детей болезнь не является наследственной̆. Только около 1% случаев нейробластомы имеют наследственную основу, чаще всего, вследствие мутаций в гене, который̆ называется ALK (или ген киназы анапластической лимфомы), либо в гене PHOX2B. На сегодняшний̆ день нет клинических исследований, доказывающих, что внешние факторы (окружающая среда, вредные условия работы родителей ребенка, прием каких-либо медикаментов, курение и употребление алкоголя во время беременности) могут стать причиной болезни.
Клиническая картина при нейробластоме
Нейробластома может возникать в любой анатомической области, где располагается симпатическая нервная система: надпочечники, шейный, грудной и брюшной симпатический отделы, параганглии.
Самой частой локализацией нейробластомы является забрюшинное пространство (одинаково часто опухоль диагностируется в надпочечниках и паравертебральных забрюшинных ганглиях). У 15% детей нейробластома локализуется в заднем средостении. Реже опухоль возникает в области таза (6%) и шеи (2%) (рис. 1).

Рис. 1. Локализация нейробластомы
При ранних стадиях заболевания у многих детей может не быть никаких симптомов. Опухоль у них находят случайно, например, при плановом УЗИ обследовании младенцев при диспансеризации. Как правило, жалобы у детей появляются тогда, когда опухоль уже успела сильно вырасти и давит на соседние органы, нарушая их работу, или когда опухоль дала метастазы.
Среди общих симптомов заболевания можно выделить следующие: потеря веса, слабость, костные и суставные боли, некупируемая диарея.
Большинство проявлений болезни и их выраженность зависят от расположения опухоли и ее взаимосвязи с соседними органами и тканями. Так, для пациентов в возрасте до 2-х лет при забрюшинной локализации характерно увеличение размеров живота, лихорадка и потеря веса. Нейробластома забрюшинного пространства пальпируется через переднюю брюшную стенку в виде бугристого, несмещаемого опухолевого узла (рис. 2). У детей старшего возраста заболевание может манифестировать болевым синдромом, обусловленным метастатическим поражением костей, респираторными нарушениями, увеличением размеров живота, появлением запоров. У пациентов с большими забрюшинными опухолями можно обнаружить развитую сеть подкожных вен, развернутые края грудной клетки.

Рис. 2. Нейробластома забрюшинного пространства
Локализация опухоли в шейно-грудном отделе симпатического отдела позвоночника вызывает синдром Горнера (сужение зрачка, разные размеры зрачков, покраснение и/или опущение верхнего века и небольшое поднятие нижнего). Другими изменениями в области глаз могут быть кровоизлияния в кожу или слизистую оболочку, «синяки» на веках и под глазами. На поздней стадии болезни иногда появляются черные круги вокруг глаз (гематома в виде очков) (рис. 3).

Рис. 3.1. Симптом «очков»

Рис. 3.2. Симптом «очков» при метастазах в орбиту
Поражение заднего средостения может стать причиной сухого кашля, дыхательных расстройств, деформации грудной клетки, частого срыгивания. При локализации опухоли в полости таза отмечают нарушение функции тазовых органов (периодическое недержание мочи, нарушение акта дефекации), отёки нижних конечностей.
При распространении опухоли в позвоночный канал и сдавлении ею спинного мозга могут развиваться слабость в ногах, неустойивость походки, параличи нижних конечностей, а также дисфункции органов малого таза (задержка мочеиспускания или непроизвольное мочеиспускание, запоры).
Редко, примерно в 2-4% всех случаев, у детей встречается ассоциированный с нейробластомой церебеллярный синдром («опсоклонус-миоклонус» или энцефалопатия Кинсбурна), характеризующийся некоординированными, нерегулярными движениями туловища и конечностей, миоклонусом и хаотичными движениями глазных яблок.
Нейробластома ‒ гормонопродуцирующая опухоль, способная к секреции физиологически активных веществ - катехоламинов ‒ адреналина, норадреналина и дофамина. В моче, как правило, повышено выведение их метаболитов ‒ ванилилминдальной и гомованилиновой кислот. В 95% случаев гормональная активность нейробластомы тем больше, чем выше степень её злокачественности. Эффекты секретируемых гормонов вызывают специфические клинические симптомы нейробластомы ‒ резкое повышение артериального давления, диарею (вызывается секрецией вазоактивного интестинального полипептида), потливость, эмоциональную лабильность, периодическое повышение температуры.
Нейробластома метастазирует чаще всего в костный мозг, кости, в отдаленные лимфатические узлы, печень или кожу, редко — в головной мозг или легкие. Признаки отдалённых метастазов можно обнаружить в виде экзофтальма, кровоизлияний в орбиты, опухолевых узлов на голове.
Среди особенностей течения нейробластомы можно выделить следующие:
- Регрессия - способность опухоли к спонтанному или индуцированному минимальной полихимиотерапией или лучевой терапией уменьшению (инволюции). Как правило, это происходит у детей до 1 года с IVS стадией заболевания.
- Реверсия - способность опухоли трансформироваться из более злокачественных форм в доброкачественные ганглионевромы (спонтанно или индуцированно).
- В некоторых случаях опухолевый процесс имеет обратную направленность: склонность к агрессивному течению и быстрому метастазированию.
Гистологическая классификация
Существующая гистологическая классификация нейробластомы INPC-Shimada основана на степени зрелости (дифференцировки) опухолевой ткани и выделяет 4 категории (от недифференцированных до зрелых форм):
1) нейробластома, бедная шванновской стромой: недифференцированная, низкодифференцированная, дифференцированная;
2) нодулярная ганглионейробластома;
Стадии заболевания
Существует несколько систем стадирования нейробластомы. Наиболее точной является модифицированная система, разработанная Международным противораковым союзом (INSS) (табл. 1).

Диагностика нейробластомы
Лабораторные методы
В клиническом анализе крови при поражении костного мозга может наблюдаться снижение показателей крови: анемия, лейконейтропения, тромбоцитопения.
В сыворотке крови также можно определить специфические для нейробластомы маркеры: нейрон-специфическую енолазу (НСЕ), уровень метаболитов катехоламинов, лактатдегидрогеназу (ЛДГ) и ферритин.
Простым в выполнении специализированным тестом при диагностировании нейробластомы является определение уровня ванилилминдальной и гомованилиновой кислот в анализе мочи. Их также называют «тестом на оценку метаболитов катехоламинов в моче». Данный анализ может проводиться при сборе мочи ребенка в течение суток или в однократной порции мочи.
Перед началом специфической терапии всегда проводится верификация диагноза; диагноз нейробластомы ставится при гистологическом исследовании биоптата первичной опухоли или метастазов, или при сочетании наличия опухолевых клеток в костном мозге и повышенного уровня суточной экскреции катехоламинов.
Молекулярно-генетическое исследование
Для установления степени злокачественности нейробластомы выполняется ряд генетических исследований: мутация MYCN, делеция хромосом 1р или 11q . Наличие данных мутаций является неблагоприятным фактором прогноза заболевания.
Инструментальные методы
Ультразвуковое исследование
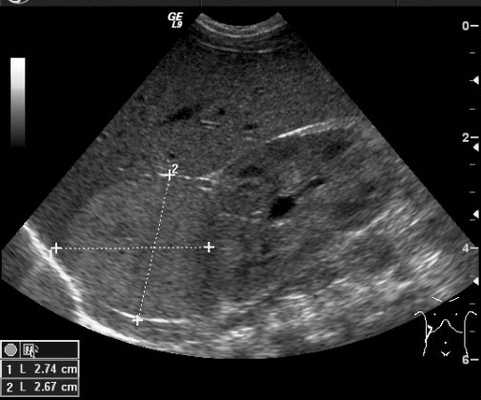
Ультразвуковой метод исследования позволяет выявить наличие опухоли и ее расположение по отношению к внутренним органам. УЗИ позволяет оценить степень местного и отдаленного распространения злокачественного процесса и выявляет метастатическое поражение печени и лимфатических узлов (рис. 4).

Рис. 4. УЗИ образования правого надпочечника
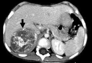
Компьютерная томография брюшной полости и забрюшинного пространства
Компьютерная томография более детально дает информацию об анатомическом отношении опухоли к окружающим тканям и органам, позволяет оценить структуру опухоли (рис. 5).

Рис. 5. КТ нейрогенного образования забрюшинного пространства справа
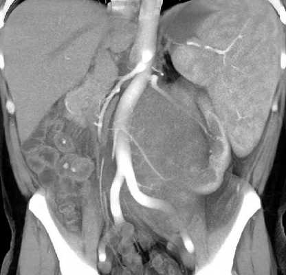
Магнитно-резонансная томография органов брюшной полости, забрюшинного пространства и позвоночника
МРТ органов брюшной полости и забрюшинного пространства ‒ это безопасный и высокоинформативный метод исследования, который позволяет не только уточнить локализацию опухоли, точные размеры новообразования и соотношение его с окружающими тканями, но и выявить метастатические очаги в печени и брюшной полости. Также МРТ дает возможность оценить состояние костных структур и мягких тканей позвоночного столба и позвоночного канала (рис. 6).

Рис. 6. МРТ нейрогенного образования забрюшинного пространства слева
Радиоизотопные исследования
Одним из наиболее информативных специфических методов топической диагностики нейробластом является сцинтиграфия с метайодбензилгуанидином (МЙБГ), меченным 123I. МЙБГ по своей химической структуре сходен с катехоламинами в организме. Это вещество концентрируется в тех опухолях, которые вырабатывают катехоламины. МЙБГ метят радиоактивным изотопом йода (например, 123I) в безопасной для жизни дозе, и готовый препарат внутривенно вводят в кровоток. Накапливаясь в клетках опухоли, он дает излучение. Эти сигналы регистрирует специальная камера и переводит их в изображение. Таким образом, метод позволяет выявить не только первичную опухоль, но и наличие регионарных и отдаленных метастазов (рис. 7).

Рис. 7. Сцинтиграфия с метайодбензилгуанидином (визуализируется первичная паравертебральная опухоль с метастазами в кости черепа)
Остеосцинтиграфия - метод сканирования костей скелета с помощью внутривенного введения радиофармпрепарата. Радиофармпрепарат накапливается участками, пораженными опухолевыми клетками в костях, что видно на снимках, выполняемых гамма-камерой. Таким образом, данный метод исследования позволяет выявить возможные метастазы костей скелета.
Исследование костного мозга (миелограмма и трепанобиопсия) используется для уточнения наличия поражения опухолевыми клетками костного мозга.
Лечение нейробластомы
Учитывая разнообразные сценарии развития исхода заболевания (от спонтанной регрессии до летального исхода от прогрессирования), в терапии нейробластомы предлагаются риск-адаптированные принципы. Стратификация пациентов проводится согласно факторам риска до начала лечения (как правило, это клинические и молекулярно-генетические данные) и на основании ответа опухоли во время лечения (response-adapted). При выделении групп риска перед началом лечения используются следующие прогностические критерии: стадия заболевания, возраст на момент диагностики, результаты молекулярно-генетических данных — амплификация MYCN и делеция короткого плеча 1р (рис. 8).

Рис. 8. Стратификация пациентов на группы риска согласно наличию факторов неблагоприятного прогноза
Неоадъювантная (предоперационая) полихимиотерапия
- Необходимость проведения полихимиотерапии определяется стадией заболевания и наличием или отсутствием неблагоприятных клинических и биологических факторов (n-myc амплификация, делеции короткого плеча 1р).
- Полихимиотерапия позволяет уменьшить размеры первичной опухоли, чтобы сделать хирургическое вмешательство более безопасным и радикальным.
- Базовыми препаратами для лечения нейробластомы являются винкристин, циклофосфамид, антрациклины, ифосфамид, препараты платины, этопозид.
Особенности хирургического лечения
- При локализованных стадиях заболевания лечение может ограничиться полным удалением опухоли.
- При III-IV стадиях заболевания оперативный этап проводится после проведения предоперационной (неоадъювантной) полихимиотерапии, которая направлена на сокращение размеров опухоли с целью последующего радикального удаления образования.
- В тех случаях, когда полное удаление опухоли невозможно, в послеоперационном периоде лечение дополняется лучевой терапией.
Адъювантная (постоперационная) полихимиотерапия
Лекарственное лечение необходимо начать через 5-7 дней после оперативного вмешательства. При отсутствии показаний для проведения 2-й линии полихимиотерапии в схемах лечения используются те же базовые препараты, как и при неоадъювантной терапии.
Лучевая терапия
- Лучевая терапия используется для уничтожения любых опухолевых клеток, которые невозможно удалить хирургическим путем и/или которые не были разрушены посредством предыдущих терапий.
- При нерадикальном характере операции с наличием активной остаточной опухоли проводится облучение остаточной опухолевой ткани, вовлеченных в процесс лимфатических узлов и зон связи опухоли с окружающими органами и тканями.
- Облучение осуществляется ежедневно, начиная с 5-7-го дня после операции.
- По показаниям проводится облучение метастатических очагов (с лечебной, иногда с противоболевой целью).
В случае наличия неблагоприятных прогностических факторов, в частности выявления в опухоли мутации MYCN онкогена, рекомендовано проведение высокодозной полихимиотерапии с аутологичной трансплантацией гемопоэтических стволовых клеток.
Для больных с высоким риском развития рецидива (распространенные стадии заболевания с наличием неблагоприятных молекулярно-генетических маркеров) рекомендовано проведение «поддерживающей» дифференцирующей терапии 13-цис-ретиноевой кислотой и пассивной иммунотерапией антиGD2 моноклональными антителами.
Иммунотерапия
Иммунотерапия - новый метод лечения нейробластомы, который используется для уничтожения раковых клеток. Дисиалоганглиозид GD2 - молекула- антиген, экспрессируемая клетками нейробластомы, это делает ее идеальной мишенью для иммунотерапии антителами: антитело действует против этой молекулы. Клетки иммунной системы могут способствовать гибели клеток нейробластомы.
В НМИЦ онкологии им. Н.Н. Петрова проводятся все этапы лечения, включая минимально-инвазивные операции (лапаро- и торакоскопические), тандемную трансплантацию и пассивную иммунотерапию.
Интенсифицируя терапию у детей с нейробластомой группы высокого риска (с включением тандемной высокодозной полихимиотерапии в консолидацию и пассивной иммунотерапии в постконсолидацию) удалось повысить результаты выживаемости на 20%.
Рекомендации после лечения
- После успешного лечения нейробластомы ребенку необходимо проходить врачебный контроль, который может включать осмотр и консультацию детского онколога, анализ крови на онкомаркеры (ЛДГ, НСЕ), анализ мочи на метаболиты катехоламинов, УЗИ и КТ/МРТ, сцинтиграфию с МЙБГ и другие исследования.
- Детский онколог проводит осмотр 1 раз в 1,5-2 мес в течение первого года после окончания лечения, 1 раз в 3 мес ‒ в течение 2-го года, 1 раз в 6 мес ‒ на протяжении следующих 2 лет, в дальнейшем ‒ 1 раз в год.
- С учета больных не снимают.
СПИСОК ЛИТЕРАТУРЫ
Авторы:

- Изможерова Рина Игоревна;
- Сенчуров Евгений Михайлович;
- Михайлова Елена Андреевна;
- Иванова Светлана Вячеславовна;
- Фасеева Наталья Дмитриевна;
- Борокшинова Ксения Михайловна;
- Жук Ирина Николаевна.


Под научной редакцией:
Кулева С.А.
Заведующий детским онкологическим отделением, врач-детский онколог, ведущий научный сотрудник, профессор, доктор медицинских наук, главный внештатный детский специалист-онколог Комитета по здравоохранению Санкт-Петербурга
Что вам необходимо сделать
Если вы хотите узнать побольше о бесплатных возможностях ФБГУ НМИЦ онкологии им. Н.Н. Петрова Минздрава России, получить очную или заочную консультацию по диагностике и лечению, записаться на приём, ознакомьтесь с информацией на официальном сайте.
Если вы хотите общаться с нами через социальные сети, обратите внимание на аккаунты в ВКонтакте и Одноклассники.
Нейробластома
Нейробластома - злокачественное новообразование симпатической нервной системы эмбрионального происхождения. Развивается у детей, обычно располагается в надпочечниках, забрюшинном пространстве, средостении, шее или области таза. Проявления зависят от локализации. Наиболее постоянными симптомами являются боли, повышение температуры и снижение веса. Нейробластома способна к регионарному и отдаленному метастазированию с поражением костей, печени, костного мозга и других органов. Диагноз устанавливается с учетом данных осмотра, УЗИ, КТ, МРТ, биопсии и других методик. Лечение - оперативное удаление неоплазии, радиотерапия, химиотерапия, пересадка костного мозга.

Общие сведения
Нейробластома - недифференцированная злокачественная опухоль, происходящая из эмбриональных нейробластов симпатической нервной системы. Нейробластома является самой распространенной формой рака экстракраниальной локализации у детей раннего возраста. Составляет 14% от общего количества злокачественных новообразований у детей. Может быть врожденной. Нередко сочетается с пороками развития. Пик заболеваемости приходится на 2 года. В 90% случаев нейробластома диагностируется в возрасте до 5 лет. У подростков выявляется очень редко, у взрослых не развивается. В 32% случаев располагается в надпочечниках, в 28% - в забрюшинном пространстве, в 15% - в средостении, в 5,6% - в области таза и в 2% - в области шеи. В 17% случаев определить локализацию первичного узла не удается.
У 70% больных нейробластомой при постановке диагноза выявляются лимфогенные и гематогенные метастазы. Чаще всего поражаются регионарные лимфоузлы, костный мозг и кости, реже - печень и кожа. Крайне редко обнаруживаются вторичные очаги в головном мозге. Уникальной особенностью нейробластомы является способность к повышению уровня дифференцировки клеток с трансформацией в ганглионеврому. Ученые считают, что нейробластома в отдельных случаях может протекать бессимптомно и завершаться самостоятельной регрессией или созреванием до доброкачественной опухоли. Вместе с тем, часто наблюдаются быстрый агрессивный рост и раннее метастазирование. Лечение нейробластомы проводят специалисты в сфере онкологии, эндокринологии, пульмонологии и других областей медицины (в зависимости от локализации неоплазии).

Причины нейробластомы
Механизм возникновения нейробластомы пока не выяснен. Известно, что опухоль развивается из эмбриональных нейробластов, которые к моменту рождения ребенка не созрели до нервных клеток. Наличие эмбриональных нейробластов у новорожденного или ребенка младшего возраста не обязательно приводит к формированию нейробластомы - небольшие участки таких клеток часто выявляются у детей в возрасте до 3 месяцев. В последующем эмбриональные нейробласты могут трансформироваться в зрелую ткань или продолжить делиться и дать начало нейробластоме.
В качестве основной причины развития нейробластомы исследователи указывают приобретенные мутации, возникающие под влиянием различных неблагоприятных факторов, однако определить эти факторы пока не удалось. Отмечается корреляция между риском возникновения опухоли, аномалиями развития и врожденными нарушениями иммунитета. В 1-2% случаев нейробластома носит наследственный характер и передается по аутосомно-доминантному типу. Для семейной формы неоплазии типичен ранний возраст начала болезни (пик заболеваемости приходится на 8 месяцев) и одновременное или практически одновременное образование нескольких очагов.
Патогномоничным генетическим дефектом при нейробластоме является потеря участка короткого плеча 1-ой хромосомы. У трети пациентов в опухолевых клетках обнаруживаются экспрессия либо амплификация N-myc онкогена, подобные случаи рассматриваются как прогностически неблагоприятные из-за быстрого распространения процесса и устойчивости неоплазии к действию химиопрепаратов. При микроскопии нейробластомы выявляются круглые мелкие клетки с темными пятнистыми ядрами. Характерно наличие очагов кальцификации и кровоизлияний в ткани опухоли.
Классификация нейробластомы
Существует несколько классификаций нейробластомы, составленных с учетом размера и распространенности новообразования. Российские специалисты обычно используют классификацию, которую в упрощенном виде можно представить следующим образом:
- I стадия - выявляется одиночный узел размером не более 5 см. Лимфогенные и гематогенные метастазы отсутствуют.
- II стадия - определяется одиночное новообразование размером от 5 до 10 см. Признаки поражения лимфоузлов и отдаленных органов отсутствуют.
- III стадия - выявляется опухоль диаметром менее 10 см с вовлечением регионарных лимфоузлов, но без поражения отдаленных органов, либо опухоль диаметром более 10 см без поражения лимфоузлов и отдаленных органов.
- IVА стадия - определяется неоплазия любого размера с отдаленными метастазами. Оценить вовлеченность лимфоузлов не представляется возможным.
- IVВ стадия - выявляются множественные новообразования с синхронным ростом. Наличие либо отсутствие метастазов в лимфоузлы и отдаленные органы установить не удается.
Симптомы нейробластомы
Для нейробластомы характерно значительное разнообразие проявлений, что объясняется разными локализациями опухоли, вовлечением тех или иных близлежащих органов и нарушением функций отдаленных органов, пораженных метастазами. На начальных стадиях клиническая картина нейробластомы неспецифична. У 30-35% пациентов возникают локальные боли, у 25-30% наблюдается повышение температуры тела. 20% больных теряют в весе либо отстают от возрастной нормы при прибавке массы тела.
При расположении нейробластомы в забрюшинном пространстве первым симптомом заболевания могут стать узлы, определяемые при пальпации брюшной полости. В последующем нейробластома может распространяться через межвертебральные отверстия и вызывать компрессию спинного мозга с развитием компрессионной миелопатии, проявляющейся вялой нижней параплегии и расстройством функций тазовых органов. При локализации нейробластомы в зоне средостения наблюдаются затруднения дыхания, кашель, дисфагия и частые срыгивания. В процессе роста неоплазия вызывает деформацию грудной клетки.
При расположении новообразования в области таза возникают расстройства дефекации и мочеиспускания. При локализации нейробластомы в области шеи первым признаком болезни обычно становится пальпируемая опухоль. Может выявляться синдром Горнера, включающий в себя птоз, миоз, эндофтальм, ослабление реакции зрачка на свет, нарушения потоотделения, гиперемию кожи лица и конъюнктивы на стороне поражения.
Клинические проявления отдаленных метастазов при нейробластоме также отличаются большим разнообразием. При лимфогенном распространении выявляется увеличение лимфоузлов. При поражении скелета возникают боли в костях. При метастазировании нейробластомы в печень наблюдается быстрое увеличение органа, возможно - с развитием желтухи. При вовлечении костного мозга отмечаются анемия, тромбоцитопения и лейкопения, проявляющиеся вялостью, слабостью, повышенной кровоточивостью, склонностью к инфекциям и другими симптомами, напоминающими острый лейкоз. При поражении кожных покровов на коже больных нейробластомой образуются голубоватые, синеватые или красноватые плотные узлы.
Для нейробластомы также характерны метаболические расстройства в виде повышения уровня катехоламинов и (реже) вазоактивных интестинальных пептидов. У пациентов с такими расстройствами наблюдаются приступы, включающие в себя побледнение кожи, гипергидроз, диарею и повышение внутричерепного давления. После успешной терапии нейробластомы приступы становятся менее выраженными и постепенно исчезают.
Диагноз выставляют с учетом данных лабораторных анализов и инструментальных исследований. В список лабораторных методов, используемых в ходе диагностики нейробластомы, включают определение уровня катехоламинов в моче, уровня ферритина и мембрано-связанных гликолипидов в крови. Кроме того, в процессе обследования пациентам назначают тест на определение уровня нейронспецифической енолазы (NSE) в крови. Этот анализ не является специфичным для нейробластомы, поскольку увеличение количества NSE также может наблюдаться при лимфоме и саркоме Юинга, но имеет определенную прогностическую ценность: чем ниже уровень NSE, тем более благоприятно протекает заболевание.
План инструментального обследования в зависимости от локализации нейробластомы может включать в себя КТ, МРТ и УЗИ забрюшинного пространства, рентгенографию и КТ органов грудной клетки, МРТ мягких тканей шеи и другие диагностические процедуры. При подозрении на отдаленное метастазирование нейробластомы назначают радиоизотопную сцинтиграфию костей скелета, УЗИ печени, трепанобиопсию либо аспирационную биопсию костного мозга, биопсию кожных узлов и другие исследования.
Лечение нейробластомы может проводиться с использованием химиотерапии, лучевой терапии и оперативных вмешательств. Тактику лечения определяют с учетом стадии болезни. При I и II стадии нейробластомы осуществляют хирургические вмешательства, иногда - на фоне предоперационной химиотерапии с использованием доксорубицина, цисплатина, винкристина, ифосфамида и других препаратов. При III стадии нейробластомы предоперационная химиотерапия становится обязательным элементом лечения. Назначение химиопрепаратов позволяет обеспечить регрессию новообразования для последующего проведения радикальной операции.
В некоторых случаях наряду с химиотерапией при нейробластомах применяют лучевую терапию, однако, в настоящее время этот метод все реже включают в схему лечения из-за высокого риска развития отдаленных осложнений у детей младшего возраста. Решение о необходимости лучевой терапии при нейробластоме принимают индивидуально. При облучении позвоночника учитывают возрастной уровень толерантности спинного мозга, при необходимости применяют защитные средства. При облучении верхних отделов туловища защищают плечевые суставы, при облучении таза - тазобедренные суставы и, по возможности, яичники. На IV стадии нейробластомы назначают высокодозную химиотерапию, выполняют трансплантацию костного мозга, возможно - в сочетании с хирургическим вмешательством и лучевой терапией.
Прогноз при нейробластоме
Прогноз при нейробластоме определяется возрастом ребенка, стадией заболевания, особенностями морфологического строения опухоли и уровнем ферритина в сыворотке крови. С учетом всех перечисленных факторов специалисты выделяют три группы больных нейробластомой: с благоприятным прогнозом (двухлетняя выживаемость составляет более 80%), с промежуточным прогнозом (двухлетняя выживаемость колеблется от 20 до 80%) и с неблагоприятным прогнозом (двухлетняя выживаемость составляет менее 20%).
Наиболее значимым фактором является возраст пациента. У больных младше 1 года прогноз при нейробластоме более благоприятный. В качестве следующего по значимости прогностического признака специалисты указывают локализацию неоплазии. Больше всего неблагоприятных исходов наблюдается при нейробластомах в забрюшинном пространстве, меньше всего - в средостении. Обнаружение в образце ткани дифференцированных клеток свидетельствует о достаточно высокой вероятности выздоровления.
Средняя пятилетняя выживаемость пациентов с нейробластомой I стадии составляет около 90%, II стадии - от 70 до 80%, III стадии - от 40 до 70%. У больных с IV стадией этот показатель существенно меняется в зависимости от возраста. В группе детей до 1 года, имеющих нейробластому IV стадии, пять лет с момента постановки диагноза удается прожить 60% пациентов, в группе детей от 1 до 2 лет - 20%, в группе детей старше 2 лет - 10%. Профилактические меры не разработаны. При наличии случаев заболевания нейробластомой в семье рекомендуется консультация генетика.
Эстезионейробластома
Эстезионейробластома — это злокачественное новообразование из клеток ольфакторного нейроэпителия, возникающее в полости носа и быстро распространяющееся в параназальные пазухи, полость глазницы, решетчатую кость и основание черепа. Основными симптомами являются: заложенность носа, обильные слизистые выделения, аносмия, отечность скуловой области. В диагностике эстезионейробластомы полагаются на данные риноскопии, КТ околоносовых синусов, МРТ головного мозга, гистологического анализа биопсийного материала. Лечение зависит от особенностей опухоли, как правило, представляет собой сочетание радиологического, хирургического и химиотерапевтического методов.
МКБ-10

Эстезионейробластома (от греч. «esthesio» — ощущаю) берет свое начало в нейронах обонятельного (ольфакторного) эпителия, в связи с чем известна под названием ольфакторная нейробластома. Ольфакторный эпителий выстилает полость носа, носоглотку и решетчатый лабиринт. Находящиеся в нем нейроны осуществляют выделение и передачу в церебральные обонятельные центры информации о качестве и интенсивности запаха.
Эстезионейробластома - достаточно редкая злокачественная опухоль. Наиболее часто она наблюдается у детей в возрасте после 10 лет. На долю ольфакторной нейробластомы приходится около 3% от всех новообразований полости носа. Поскольку опухоль быстро прорастает в ячейки решетчатой кости и на основание черепа, она является предметом совместной курации специалистов в области отоларингологии и неврологии.

Патоморфология
Первоначально ольфакторная нейробластома располагается в верхних отделах носовой полости. Обладая местно-деструирующим агрессивным ростом, эстезионейробластома быстро заполняет полость носа, распространяется в носоглотку, параназальные пазухи, переднюю черепную ямку и орбиту. Регионарное метастазирование происходит в верхнешейные, заглоточные, поднижнечелюстные и околоушные лимфатические узлы. Отдаленные метастазы, как правило, поражают легкие, плевру, печень, кости. Характерно, что при возникновении эстезионейробластомы у пациентов детского возраста регионарное и отдаленное метастазирование наблюдается относительно редко.
По своему морфологическому строению эстезионейробластома является нейроэпителиомой, она состоит из недифференцированных эктодермальных клеток. Микроскопия тканей опухоли выявляет типичные черты нейрогенной опухоли: присутствие специфических гранулированных мембран и формирование розеток. Особенности гистологического строения позволяют выделить 3 типа опухоли: эстезионейроэпителиому, собственно эстезионейробластому и эстезионейроцитому.
Классификация
Согласно Международной классификации опухолей, носа выделяют 4 стадии эстезионейробластомы:
- В I стадии опухоль не выходит за пределы 1 стенки полости носа и носовой раковины, не вызывает костной деструкции и не дает метастазов.
- Во IIа стадии наблюдается локальная костная деструкция, эстезионейробластома захватывает другую стенку носовой полости, но не дает метастазов.
- IIб стадия аналогична предыдущим и отличается от них наличием одиночного регионарного метастаза на стороне возникновения опухоли.
- Эстезионейробластома IIIа стадии переходит на вторую половину носовой полости или за пределы костных структур, распространяется на соседние анатомические зоны, но не дает метастазов.
- IIIб стадия — эстезионейробластома, как в предыдущей стадии или с меньшей распространенностью, но с множественным регионарным одно- или двусторонним метастазированием.
- Эстезионейробластома IVа стадии характеризуется прорастанием в носоглотку, полость черепа или мягкие ткани лица, но без метастазирования.
- Выявление отдаленных или несмещаемых регионарных метастазов соответствует IVб стадии, независимо от степени распространенности опухолевого процесса.
Симптомы эстезионейробластомы
Характерным манифестационным симптомом ольфакторной нейробластомы является упорная заложенность носа. Она сопровождается сперва слизистыми, а затем слизисто-гнойными выделениями. Первоначально такие симптомы могут приниматься за проявления ринита, аденоидита или гайморита. Настораживающим моментом является прогрессирование нарушения носового дыхания, несмотря на проводимую терапию риносинусита, а также развитие полной аносмии — невозможности воспринимать запахи.
Следует отметить, что в начальной стадии заложенность носа носит односторонний характер. По мере роста эстезионейробластомы происходит смещение носовой перегородки в здоровую сторону, что приводит к сужению интактного носового хода и двустороннему расстройству носового дыхания.
Дальнейшее развитие заболевания зависит от направления роста опухоли и места ее регионарного метастазирования. При прорастании в передние отделы полости носа, эстезионейробластома заполняет ее так, что может быть обнаружена при визуальном осмотре носовых ходов. Если рост опухоли происходит в верхнечелюстную пазуху, то появляется припухлость скуловой области на стороне поражения и отечность края верхней челюсти. Прорастание эстезионейробластомы в ротовую полость приводит к шаткости и выпадению зубов.
Распространение эстезионейробластомы в полость черепа манифестирует признаками гидроцефалии и повышенного внутричерепного давления. К ним относятся: постоянная головная боль, чувство давления на глазные яблоки, тошнота, не имеющая связи с приемом пищи. В более поздних стадиях возникают нарушения со стороны черепно-мозговых нервов, корешки которых расположены на основании черепа.
В некоторых случаях через ячейки решетчатого лабиринта эстезионейробластома распространяется в орбитальную полость. При этом отмечается экзофтальм и затруднение движений глазным яблоком. В следствии смещения глаза возникает диплопия (двоение в глазах). Метастазирование эстезионейробластомы в шейные лимфоузлы приводит к некоторой припухлости шеи. При метастазировании в заглоточные лимфоузлы пациенты отмечают затрудненное глотание.
Диагностика
Диагностический поиск при эстезионейробластоме зачастую проводится совместными усилиями отоларинголога, невролога, нейрохирурга и офтальмолога. Применяются методы инструментальной визуализации:
- Риноскопия. Перед ее проведением электроаспиратором отсасывают из полости носа мешающую обследованию густую слизь. Риноскопия обнаруживает резкое смещение носовой перегородки и наличие опухолевой массы, имеющей красновато-синюшнюю окраску и бугристую поверхность, часто кровоточащей при проведении исследования. Риноскопия дает возможность дифференцировать эстезионейробластому от инородного тела, полипов носа и аденоидов.
- Исследование ППН. Эстезионейробластома может быть обнаружена по данным рентгенографии околоносовых пазух. Более информативными методами являются КТ носовых пазух и МРТ головного мозга, дающие исчерпывающую информацию о размерах опухоли и границах ее распространения.
- Методы цитоморфологии. В 70-50% случаев эстезионейробластомы опухолевые клетки обнаруживаются при цитологическом анализе носового отделяемого. Однако их отсутствие в мазке не позволяет исключить опухоль. Окончательно верифицировать диагноз «Эстезионейробластома» возможно только по результатам гистологического исследования тканей новообразования, взятых путем биопсии в ходе риноскопии.
Поиск регионарных и отдаленных метастазов эстезионейробластомы проводится с использованием КТ глотки, УЗИ тканей шеи, сцинтиграфии скелета, КТ грудной клетки, МРТ печени и МСКТ брюшной полости.
Лечение эстезионейробластомы
В зависимости от размеров и расположения эстезионейробластомы, наличия и локализации метастазов, а также возраста пациента и общего состояния его здоровья, лечебная тактика может заключаться в хирургическом удалении опухоли, ее облучении или системной химиотерапии. Как правило, целесообразно комбинирование этих методов.
Хирургическая тактика
Хирургическое удаление эстезионейробластомы особенно эффективно при локализованном характере опухоли без прорастания на основание мозга и метастазирования. При небольшом размере опухоли оперативное вмешательство может быть проведено трансназально при помощи эндоскопа. Распространение процесса в переднюю черепную ямку требует проведения сложной нейрохирургической операции. При этом полное удаление опухоли не всегда возможно. Если эстезионейробластома прорастает в глазницу, то с участием офтальмохирургов или офтальмоонкологов производится экзентерация глазницы с последующим глазопротезированием.
Противоопухолевая терапия
Лучевая терапия эффективна как в отношении эстезионейробластомы, так и ее регионарных метастазов. Она может осуществляться в виде протоновой терапии, интенсивно-модулированной лучевой терапии или брахитерапии. Особым видом лучевой терапии выступает радиохирургия. Последняя подходит для лечения эстезионейробластом с труднодоступным расположением, при невозможности проведения открытого оперативного вмешательства в связи с тяжелым соматическим состоянием пациента.
Химиотерапия необходима при значительном распространении онкопроцесса и наличии метастазов. Обычно она проводиться на предоперационном этапе лечения и комбинируется с облучением.
Прогноз
В прогностическом плане эстезионейробластома внушает мало оптимизма. Агрессивный рост опухоли, ее прорастание в полость черепа и глазницу, метастазирование и рецидивирование приводят к быстрому прогрессированию онкопроцесса и гибели пациента. Ранее 5-летняя выживаемость не превышала 25%. В последнее время, благодаря применению новых методик комбинированной химиолучевой терапии, она повысилась до 50-60%. Неблагоприятными прогностическими факторами являются: возраст старше 50 и моложе 20 лет, интракраниальное прорастание эстезионейробластомы, ее отдаленное метастазирование, высокая степень анаплазии клеток опухоли.
Нейробластома — высокозлокачественная опухоль, характерная в основном для раннего детского возраста. Нейробластома представляет собой опухоль так называемой симпатической нервной системы — это одна из частей автономной (вегетативной) нервной системы, регулирующей работу внутренних органов. Наиболее характерная локализация опухоли при нейробластоме — забрюшинное пространство; часто опухоль возникает в одном из надпочечников. Однако первичная опухоль может возникнуть также в любом участке тела вдоль позвоночника — например, в грудном отделе (поражая средостение, то есть срединную область грудной клетки) или в области шеи.
Нейробластома обладает рядом необычных особенностей. Часто она ведет себя как агрессивное злокачественное новообразование со способностью к быстрому росту и развитию метастазов. Но в некоторых случаях нейробластома, напротив, проявляет способность к самопроизвольной регрессии, когда опухоль постепенно исчезает без лечения. Это явление чаще наблюдается у совсем маленьких детей. Иногда клетки нейробластомы демонстрируют самопроизвольное «созревание» (дифференцировку), вплоть до превращения злокачественной опухоли в доброкачественную — ганглионеврому.
Выделяют также промежуточный тип опухоли — ганглионейробластому, которая сочетает в себе черты злокачественной опухоли (нейробластомы) и доброкачественной (ганглионевромы).
Как и у других опухолей, в развитии нейробластомы различают несколько стадий для определения стратегии лечения и прогноза.
Стадия I: Локализованная опухоль; возможно полное хирургическое удаление (возможно, с микроскопическими признаками остаточной опухоли). Отсутствие поражения лимфоузлов с обеих сторон тела.
Стадия IIA: Локализованная опухоль; возможно удаление большей ее части. Отсутствие поражения лимфатических узлов с обеих сторон тела.
Стадия IIB: Односторонняя опухоль; возможно полное удаление или удаление большей её части. Есть метастатическое поражение лимфатических узлов с той же стороны тела.
Стадия III: Опухоль, распространяющаяся на противоположную сторону тела с метастатическим поражением близлежащих лимфатических узлов или без него; или односторонняя опухоль с метастазами в лимфоузлах противоположной стороны тела; или срединная опухоль с метастазами в лимфатических узлах с обеих сторон.
Стадия IV: Распространённая опухоль с отдалёнными метастазами в лимфатических узлах, костях, костном мозге, печени и других органах, кроме случаев, относящихся к стадии IVS.
Стадия IVS: Локализованная первичная опухоль в соответствиями с определениями стадий I и II с метастатическим распространением, ограниченным печенью, кожей и/или костным мозгом. При этом возраст больного менее 1 года.
Примечание. Существует также эстезионейробластома — редкая злокачественная опухоль, возникающая из обонятельных рецепторных клеток. Несмотря на сходство названий, ее не следует путать с нейробластомой: эти опухоли различаются по своей природе и методам лечения.
Частота встречаемости и факторы риска
Нейробластома — опухоль детского возраста, практически не встречающаяся у взрослых. Чаще всего она возникает у детей до 2 лет (около половины всех случаев), однако затем частота резко падает с возрастом; у детей старше 10 лет нейробластома наблюдается крайне редко. Это связано с тем, что нейробластома является эмбриональной опухолью, то есть опухолью, развившейся из зародышевых клеток. Поскольку развитие симпатической нервной системы наиболее интенсивно происходит в раннем детском возрасте, то и вероятность ее опухолей наиболее высока в этом возрасте. Иногда опухоль наблюдается уже у новорожденных или даже обнаруживается в ходе ультразвукового исследования плода до рождения ребенка.
Общая заболеваемость нейробластомой — порядка 1 случая на 100 тысяч детей. Ее встречаемость среди детских солидных опухолей уступает только частоте опухолей центральной нервной системы, а у младенцев до года это самая частая опухоль. Мальчики и девочки болеют с приблизительно одинаковой частотой.
Факторы внешней среды, судя по всему, не оказывают влияния на риск возникновения нейробластомы. В редчайших случаях можно говорить о наследственной предрасположенности: бывает, что опухоль возникает у детей, в семье которых уже были случаи нейробластомы.
Признаки и симптомы
Cимптомы опухоли зависят от ее локализации. Так, при нейробластоме забрюшинного пространства увеличиваются размеры живота, больной может жаловаться на боль или дискомфорт; при пальпации обнаруживается плотная, практически несмещаемая опухоль. При росте опухоли в средостении могут отмечаться кашель, затрудненное дыхание и глотание, деформация грудной стенки. При распространении опухоли в спинномозговой канал возможны слабость или онемение ног, частичные параличи, нарушения функций мочевого пузыря и кишечника. При росте опухоли в ретробульбарном пространстве (за глазным яблоком) возможно выпячивание глаза — экзофтальм, синяки вокруг глаз.
Встречаются и такие симптомы, как повышенная температура и/или артериальное давление, беспокойство, учащенное сердцебиение, потеря веса и аппетита, иногда понос. Сдавление кровеносных и лимфатических сосудов вызывает отеки. Иногда наблюдаются непроизвольные движения глазных яблок, подергивания мышц.
Обычные области метастазирования нейробластомы — кости и костный мозг, а также лимфатические узлы. Так, если метастазы поражают кости, то характерно появление болей и хромоты. При поражении костного мозга возникает дефицит различных клеток крови; наблюдаются проявления анемии (бледность, слабость), тромбоцитопении (кровоточивость) и лейкопении (низкая сопротивляемость инфекциям). Лимфоузлы увеличиваются. Метастазы в кожу проявляются в виде синюшных или красноватых пятен; при метастазах в печень она может увеличиваться. Редко наблюдаются метастазы в головной мозг или легкие.
К сожалению, в большинстве случаев опухоль обнаруживается уже на IV стадии, что сильно ухудшает прогноз.
Диагностика
В диагностике нейробластомы большое значение имеет биохимическое исследование мочи. Дело в том, что клетки этой опухоли выделяют значительные количества особых веществ — катехоламинов. К ним относятся адреналин, норадреналин, дофамин. Дальнейшая переработка катехоламинов в организме приводит к образованию таких веществ, как гомованилиновая кислота (ГВК) и ванилилминдальная кислота (ВМК). В подавляющем большинстве случаев нейробластомы уровни ГВК, ВМК и дофамина в моче и крови повышены, позволяя поставить предположительный диагноз. Простота анализа мочи на катехоламины приводит к идее скрининга, то есть обследования широкого круга младенцев при отсутствии симптомов заболевания с целью ранней диагностики. Опыт такого скрининга есть в ряде стран, однако у специалистов нет единого мнения о его эффективности: многие случаи нейробластомы, дополнительно выявляемые с его помощью, на деле заканчиваются самопроизвольной регрессией опухолевого процесса и не требуют лечения.
Биохимические тесты включают в себя также определение в крови уровня особого фермента — нейрон-специфической енолазы (NSE). Для оценки распространенности процесса и уточнения прогноза полезно измерение уровня другого фермента — лактатдегидрогеназы (ЛДГ, LDH). Могут использоваться и другие биохимические маркеры.
Для подтверждения диагноза «нейробластома» используется биопсия опухоли (а также участков, подозрительных на метастазы) с последующим гистологическим исследованием.
Необходимы также исследования костного мозга (костномозговые пункции из нескольких точек, трепанобиопсия), чтобы узнать, есть ли в нем опухолевые клетки.
Для установления распространенности опухоли используется сцинтиграфия с метайодобензилгуанидином (123-I-MIBG) — это фактически стандарт диагностики при нейробластоме. Но используются и другие визуализирующие методы: рентгенография грудной клетки, ультразвуковое исследование (УЗИ), компьютерная томография (КТ) и магнитно-резонансная томография (МРТ). Чувствительным методом является позитронно-эмиссионная томография (ПЭТ). Биохимические и визуализирующие исследования также используются и в ходе лечения для оценки ответа на терапию.
Для оценки риска и прогноза развития болезни важно молекулярно-генетическое исследование опухолевых клеток. В частности, очень большое значение для прогноза имеет изучение амплификации (увеличения количества копий) и экспрессии (то есть «активности») онкогена N-MYC. Так, наличие большого числа копий гена N-MYC в клетках опухоли коррелирует с ее агрессивным ростом и ухудшением прогноза. Известны и другие генетические особенности, влияющие на прогноз.
Лечение
В зависимости от стадии опухоли, биохимических маркеров, генетических характеристик опухолевых клеток и возраста пациента можно разделить больных на группы низкого, промежуточного и высокого риска. При низком риске достаточно хирургического удаления опухоли и последующего наблюдения; при промежуточном — хирургической операции и химиотерапии; при высоком риске (таких случаев, к сожалению, много) необходимо интенсивное лечение комбинацией различных методов.
В протоколах химиотерапии при нейробластоме используются винкристин, циклофосфамид, доксорубицин, этопозид, препараты платины (цисплатин, карбоплатин), дакарбазин, ифосфамид и другие лекарства. В качестве побочного эффекта химиотерапии нередко возникает цитопения, поэтому больным могут быть нужны переливания компонентов донорской крови, факторы роста, а для лечения и профилактики инфекционных осложнений - антибиотики и противогрибковые препараты.
Больным из группы высокого риска после удаления опухоли показана высокодозная химиотерапия с последующей аутологичной трансплантацией гемопоэтических стволовых клеток. В редких случаях применяется аллогенная трансплантация.
Для предотвращения рецидива нередко используется «Роаккутан» (изотретиноин, 13-цис-ретиноевая кислота), принимаемый в течение нескольких месяцев после окончания основного курса терапии: он «перепрограммирует» оставшиеся клетки нейробластомы с опухолевого роста на нормальное созревание, снижая вероятность рецидива заболевания.
К сожалению, даже самое интенсивное лечение часто малоэффективно при IV стадии нейробластомы: у многих пациентов болезнь прогрессирует, несмотря на терапию, или рецидивирует после первоначального улучшения. Поэтому специалисты все время разрабатывают новые подходы к терапии этой крайне злокачественной опухоли. Применяются химиотерапевтические препараты из группы ингибиторов топоизомеразы I: топотекан или иринотекан. Возможна радиоизотопная терапия метаиодобензилгуанидином (MIBG), меченным радиоактивным иодом-131, так как в большинстве случаев клетки нейробластомы обладают способностью накапливать MIBG (на чем основано и его использование для диагностических целей). Изучается использование моноклональных антител (таких как «Карзиба» — динутуксимаб бета), которые связываются с клетками нейробластомы: это, судя по всему, эффективное, но пока еще крайне дорогостоящее лечение. Постоянно производятся клинические испытания новых препаратов и подходов к лечению.
Прогноз
Прогноз при нейробластоме зависит от стадии, на которой диагностирована опухоль, от возраста ребенка (у маленьких детей прогноз зачастую лучше, чем у старших), от генетических характеристик опухолевых клеток и от локализации первичной опухоли.
При обнаружении нейробластомы на I-II стадиях опухолевого процесса подавляющее большинство пациентов излечивается. К сожалению, намного чаще нейробластома диагностируется поздно. Среди больных из группы высокого риска, госпитализированных с IV стадией нейробластомы, пятилетняя выживаемость даже при оптимальном современном лечении по-прежнему не превышает 40-50%. Однако все же она растет.
Необычна ситуация с младенцами в возрасте до года, у которых установлена стадия болезни IVS. Несмотря на отдаленные метастазы, шансы на выживание у таких детей обычно высоки.
Читайте также:
- Рисунок, контуры тени, перистальтика на рентгенограмме органов брюшной полости
- Пептидные нейромедиаторы. Опиоиды и тахикинины
- Рентгенограмма, КТ, МРТ при переломе верхней суставной поверхности большеберцовой кости
- Симптомы пареза верхнего гортанного нерва (паралича) и его лечение
- Вертикальная таранная кость: атлас фотографий
