Техника артроскопической аугментации при капсульно-лабральной недостаточности плечевого сустава при помощи расщепленного лоскута сухожилия подлопаточной мышцы
Добавил пользователь Владимир З. Обновлено: 21.11.2025
Центральный научно-исследовательский институт травматологии и ортопедии им. Н.Н. Приорова Министерства здравоохранения и социального развития РФ, Москва
ФГАОУ ВО «Российский Университет Дружбы Народов», Москва, Россия
ФГБУ «НМИЦ ТО им. Н.Н. Приорова» Минздрава России, Москва, Россия
Тактика хирургического лечения посттравматических ложных суставов и дефектов диафиза плечевой кости
Журнал: Вестник травматологии и ортопедии им Н.Н. Приорова. 2019;(1): 35‑41
Актуальность. Переломы плечевой кости составляют от 5 до 8% от всех переломов костей скелета. Несращения их встречаются нечасто, однако в случае наличия инфекции, нарушенного кровоснабжения, при открытых, многооскольчатых переломах вторичное костное сращение может быть затруднено. В случае нарушенного местного репаративного потенциала выбор в пользу становится практически неизбежным. Цель исследования: определение показаний к кровоснабжаемой костной пластике при ложных суставах и дефектах плечевой кости и анализ ее эффективности. Пациенты и методы. В отделении микрохирургии и травмы кисти ФГБУ «НМИЦ ТО им. Н.Н. Приорова» в период с 2010 по 2017 г. было проведено оперативное лечение с использованием васкуляризованных костных трансплантатов 41 пациента с ложными суставами и дефектами плечевой кости. У 38 пациентов использовался васкуляризованный трансплантат из малоберцовой кости, у 3 — из медиального мыщелка бедренной кости. Во всех случаях применялся накостный остеосинтез пластиной. Оценка результатов проводилась на основании рентгенологического исследования и компьютерной томографии. Результаты. Консолидация перелома при кровоснабжаемой костной пластике была достигнута в 36 (88%) случаях в течение 4-6 мес: в группе с применением малоберцового трансплантата — в 33 случаях, в группе с применением трансплантата из мыщелка бедренной кости — у 3 пациентов. Заключение. Каждый ложный сустав плечевой кости имеет уникальный комплекс причин возникновения и требует индивидуализированного подхода. При длительно существующих посттравматических ложных суставах и дефектах плечевой кости кровоснабжаемая костная пластика является эффективным способом лечения. Конфликт интересов: не заявлен Источник финансирования: исследование проведено без спонсорской поддержки
Введение. Переломы плечевой кости составляют от 5 до 8% от всех переломов костей скелета [1]. Несращения их встречаются нечасто: накостный остеосинтез — в 5,5-8,7% случаев, блокируемый интрамедуллярный остеосинтез — в 3-5,6% [15]. Однако, несмотря на редкую встречаемость, они могут представлять значительные трудности для травматолога-ортопеда.
Существуют различные факторы, которые могут предрасполагать к несращению плечевой кости у пациента. Ожирение, остеопороз, алкоголизм, курение, сопутствующие заболевания могут увеличить частоту несращения, однако их невозможно скорректировать перед выполнением ревизионной хирургии [1]. Тем более что обычно у пациента имеется более одного фактора, приводящего к слабости репаративного потенциала при переломе плечевой кости [14].
Плохое качество кости, связанное с наличием у пациента остеоартрита или остеопороза может в дальнейшем компрометировать среду, необходимую для заживления перелома. В дополнение — рубцовые ткани, оставшиеся от предыдущих хирургических вмешательств, и близость сосудисто-нервных образований к медиальной стенке плечевой кости могут осложнить хирургический доступ к зоне несращения даже для опытного травматолога-ортопеда 1.
Описано много способов лечения ложных суставов плечевой кости, дающих различную вероятность успеха. Применяются открытая репозиция и внутренняя фиксация, интрамедуллярный остеосинтез, аппараты наружной фиксации, однако выбор оптимальной методики до настоящего времени остается предметом научных дебатов.
Частота сращения ложных суставов плечевой кости при использовании традиционных методик остеосинтеза в комбинации с использованием костных трансплантатов варьирует от 70 до 92% 5, однако в случае наличия инфекции, нарушенного кровоснабжения, при открытых, сегментарных или многооскольчатых переломах вторичное костное сращение может быть затруднено [7].
Распространенность костной консолидации при открытой репозиции и внутренней фиксации неинфицированного ложного сустава плечевой кости варьирует от 64 до 100% [11]. Присутствие инфекции часто ассоциировано со значительно более низкой вероятностью достижения костного сращения, ограничивает возможности хирургического лечения и приводит к ухудшению функциональных результатов [1, 4]. Лечение инфицированных ложных суставов, ложных суставов у пациентов с множеством предшествующих неудавшихся попыток оперативного лечения в анамнезе должно быть комплексным [15]. В таких ситуациях использование васкуляризованного костного трансплантата становится практически неизбежным, так как оно обусловливает большую вероятность успеха и ускорения репаративного процесса 16.
Дополнительным преимуществом васкуляризованного костного трансплантата является возможность его применения в сочетании с кожно-мышечным лоскутом для реконструкции сопутствующего мягкотканного дефекта.
Цель настоящего исследования — определение показаний к кровоснабжаемой костной пластике при ложных суставах и дефектах плечевой кости и анализ ее эффективности.
Материал и методы
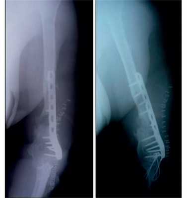
В отделении микрохирургии и травмы кисти ФГБУ «НМИЦ ТО им. Н.Н. Приорова» в период с 2010 по 2017 г. было проведено оперативное лечение 41 пациента (19 мужчин, 22 женщины) с ложными суставами и дефектами плечевой кости с использованием васкуляризованных костных трансплантатов. Средний возраст пациентов составил 41 год (18-65 лет), средний период времени с момента травмы — 2 года и 4 мес (1-8 лет).
До поступления в НМИЦ ТО им. Н.Н. Приорова некоторые пациенты уже были оперированы с применением различных методик наружного и погружного остеосинтеза: среднее количество операций — 2,2 (2-7).

Кровоснабжаемый трансплантат из малоберцовой кости использовался у 38 (93%) пациентов, васкуляризованный трансплантат из медиального мыщелка бедренной кости — у 3 (7%) пациентов (рис. 1). Рис. 1. Распределение пациентов по типу васкуляризованного трансплантата.
Во всех случаях применялся накостный остеосинтез пластиной без контакта пластины с трансплантатом (мостовидная костная пластика).
Перед использованием лоскута из малоберцовой кости проводился тщательный костный и мягкотканный дебридмент.
При наличии показаний в раннем послеоперационном периоде проводилась ранняя хирургическая ревизия трансплантата, чтобы избежать нарушения в нем микроциркуляции.
Оценка результатов проводилась на основании данных рентгенологического исследования и компьютерной томографии.
Результаты

Консолидация перелома при кровоснабжаемой костной пластике была достигнута в 36 (88%) случаях в течение 4-6 мес (рис. 2): Рис. 2. Результаты оперативного лечения с использованием кровоснабжаемой костной пластикой. в группе применения малоберцового трансплантата консолидация была достигнута в 33 случаях, в группе трансплантата из мыщелка бедренной кости — в 3 случаях.
Клинический пример 1
Пациентка И., 34 лет.
Диагноз: последствия минно-взрывного ранения левого плеча с дефектом плечевой кости, мягких тканей, лучевого нерва. Остеомиелит.
На рис. 3-9 Рис. 3. Пациентка И., 34 лет. Внешний вид до операции. Рис. 9. Внешний вид и функция через год после операции. представлены все этапы обследования и лечения пациентки И.

Рис. 4. Рентгенограмма пациентки И. до операции.

Рис. 5. Пациентка И. Этапное оперативное вмешательство. а — замещение дефекта плечевой кости цементным спейсером; б — транспозиция торакодорсального лоскута в область мягкотканного дефекта плеча; в — послеоперационная рентгенограмма.

Рис. 6. Рентгенограммы пациентки И. после удаления цементного спейсера.

Рис. 7. Оперативное лечение пациентки И.: пластика левой плечевой кости свободным кровоснабжаемым трансплантатом из малоберцовой кости.
Клинический пример 2
Пациентка Н., 41 года.
Диагноз: ложный сустав левой плечевой кости.
На рис. 10-14 Рис. 10. Рентгенограмма пациентки Н. до операции. Рис. 14. Внешний вид и функция пациентки Н. через 8 мес после операции. представлены этапы обследования и лечения пациентки Н.

Рис. 11. Пациентка Н. Оперативное лечение: резекция зоны ложного сустава левой плечевой кости, остеосинтез пластиной и винтами. Пластика свободным кровоснабжаемым трансплантатом из внутреннего мыщелка бедренной кости.

Рис. 12. Рентгенограммы пациентки Н. после операции.

Рис. 13. Рентгенограммы пациентки Н. через 8 мес после операции.
Васкуляризованные костные трансплантаты могут быть использованы при лечении посттравматических ложных суставов, аваскулярных некрозов, некрозов кости после лучевого поражения, остеомиелита, для реконструкции костного дефекта. Выбор вида костного трансплантата остается до настоящего времени неопределенным.
В последнее время трансплантат из мыщелков бедра используется для лечения тяжелых ложных суставов конечностей, не поддающихся другому лечению [15].
В противоположность васкуляризованному трансплантату из малоберцовой кости, трансплантат из медиального мыщелка бедренной кости меньше в размерах, более гибкий и может быть с легкостью встроен в дефект неправильной формы. Эластичность трансплантата допускает его более тугую укладку вокруг трубчатой кости. Это особенно удобно при малом размере дефекта, когда использование аутокости из крыла подвздошной кости или малоберцового трансплантата может быть проблематичным [13].
A. King и соавт. [13] достигли успехов в лечении 5 пациентов с ложными суставами плечевой кости с помощью васкуляризованного кортикопериостального трансплантата из медиального мыщелка бедренной кости. Средний срок достижения костной консолидации составил 7,5 мес, ревизионное вмешательство не потребовалось ни в одном случае. Все пациенты имели отличную функцию локтевого и плечевого суставов. Эти данные совпадают с нашими наблюдениями, однако показания к выбору методики требуют уточнения в дальнейших исследованиях.
Атрофические ложные суставы без значительного костного дефекта могут быть эффективно скорректированы при помощи васкуляризованного кортикопериостального трансплантата из медиального мыщелка бедренной кости [15].
Васкуляризованный трансплантат из малоберцовой кости имеет преимущества в случае больших костных дефектов, при нестабильности и инфицированности ложного сустава, особенно при наличии множественных неудавшихся попыток получить сращение другими способами, при атрофии костной ткани и повреждении окружающих мягких тканей. Использование васкуляризованного трансплантата из малоберцовой кости, как правило, приводит к заживлению перелома с хорошим восстановлением мягких тканей и разрешением хронической инфекции [15].
Заключение. Таким образом, при длительно существующих посттравматических ложных суставах и дефектах плечевой кости, при наличии двух и более оперативных вмешательств с неудовлетворительным результатом в анамнезе кровоснабжаемая костная пластика является эффективным способом лечения.
Каждый ложный сустав плечевой кости имеет уникальный комплекс причин возникновения и требует индивидуализированного подхода.
Артроскопия плечевого сустава: когда нужна операция?

Артроскопия - современный тип эндоскопических операций, позволяющий с минимальным объемом вмешательства диагностировать и исправлять различные патологии суставов. Название происходит из латыни: «артро» - сустав, «скопия» - смотреть. Диагностическая артроскопия выполняется, как правило, для уточнения диагноза, установленного в ходе осмотра и после выполнения других инструментальных исследований ( компьютерная томография , ультразвуковое или рентгенологическое исследования, МРТ ). После уточнения диагноза при наличии показаний выполняется лечебный этап артроскопии. При этом все манипуляции проводятся «закрыто», инструменты вводятся в сустав через небольшие проколы. Использование специализированного оборудования позволяет проводить сложные реконструктивные манипуляции внутри сустава. При этом полная реабилитация после операции протекает значительно быстрее, чем в случае традиционных открытых операций.
Виды артроскопических вмешательств

- Стоимость: от 80 000 руб.
- Продолжительность: 30-60 минут
- Госпитализация: 1 день в стационаре
В клинике ЦЭЛТ выполняется артроскопия любых крупных суставов: коленных, локтевых, плечевых, тазобедренных, голеностопных, лучезапястных. При этом виды вмешательст весьма разнообразны.
При выявлении патологии в голеностопных, лучезапястных, локтевых и тазобедренных суставах выполняются операции:
- резекция спаек;
- релиз сустава;
- резекция экзостозов;
- удаление хондромных тел;
- лечение внутрисуставных повреждений;
- хондропластика.
В коленных суставах, помимо перечисленного, выполняются также:
- резекция поврежденной части мениска; ; (передней, задней крестообразной связки);
- пластика удерживателей надколенника;
- мозаичная хондропластика.
Плечевой сустав и разновидности артроскопии
Артроскопия плечевого сустава считается среди травматологов-ортопедов технически сложным вмешательством. За нее берутся далеко не все хирурги и клиники, даже в Москве, но мы имеем большой опыт в этой области, поэтому пациенты с подобной патологией к нам приходят часто. По результатам проведения диагностической артроскопии мы устанавливаем точное место расположения патологического очага, определяем, какую тактику лечения требует заболевание, при необходимости, берем биологический материал для лабораторного исследования.
В настоящее время мы работаем практически с полным спектром артроскопических операций при самых различных патологиях плечевого сустава:
- пластика при повреждениях, локализованных в области крепления сухожилия длинной головки бицепса;
- пластика различных видов разрывов сухожилий, в том числе при застарелых повреждениях разрывного характера;
- удаление кальцификатов;
- рассечение спаек;
- декомпрессия надлопаточного нерва;
- хондропластика;
- устранение нестабильности/гипермобильности сустава;
- пластика суставной губы;
- костно-пластические операции.
Для артроскопических вмешательств на плечевом суставе есть определенные показания. Для полноценной диагностики повреждения плечевого сустава проводится МРТ исследование. Важно, чтобы специалисты лучевой диагностики, проводящие исследование, имели достаточный опыт проведения исследований при таких патологиях. Ниже перечислены основные патологии, при которых показана операция:
- повреждения суставной губы: повреждение Банкарта, слэп-повреждение;
- повреждения или разрыв ротарной (вращательной) манжеты плеча;
- импиджмент синдром, субакромиальный бурсит, тендинит сухожилия надостной мышцы;
- ограниченная подвижность плечевого сустава без видимых на это причин;
- различные травмы плеча, которые сопровождаются разрывом сухожилий.
Повреждения суставной губы: повреждение Банкарта, SLAP-повреждение

- Стоимость: от 120 000 руб.
- Продолжительность: 30-90 минут
- Госпитализация: 1-2 дня в стационаре
Наиболее эффективные методики лечения:
Артроскопическая рефиксация суставной губы (при повреждении Банкарта, слэп повреждении), тенодез. Производится фиксация оторванного участка суставной губы к краю суставной впадины (гленоид), при помощи специальных якорных фиксаторов - рассасывающихся или титановых.
Привычный вывих плеча, нестабильность плечевого сустава
В результате травм и травматического вывиха в плечевом суставе, может сформироваться нестабильность плечевого сустава, или привычный вывих плеча. Это состояние, при котором дислокации сустава происходят при любой незначительной травме или даже резком движении. Причиной может быть повреждение капсулы и суставной губы сустава, либо дефекты суставной поверхности лопатки. Очень часто на задней части головки плеча формируется костный дефект, известный как повреждение Хилл-Сакса.
Артроскопическая стабилизация плечевого сустава. Оторванные части суставной губы фиксируются с помощью якорных фиксаторов, дополнительно подтягивается капсула сустава.
Костная пластика (операция Латарже). Производится пересадка части клювовидного отростка, с прикрепляющимися к нему мышцами в зону дефекта на передней поверхности суставной впадины, фиксация перемещенного фрагмента осуществляется винтами.
Комбинированные операции. Иногда применяются комбинированные операции, когда дополнительно может выполняться фиксация капсулы сустава (реимплисаж) в области костного дефекта (Хилл-Сакс).
Повреждения вращательной (ротаторной) манжеты плеча
Вокруг головки плечевой кости располагается несколько сухожилий, образующих вращательную или ротаторную манжету плеча . В состав манжеты входят сухожилия надостной, подостной, малой круглой и подлопаточной мышц плеча. Эти мышцы обеспечивают как стабильность головки плеча, прижимая её к суставной впадине при отведении руки (начальная фаза так и вращение плеча внутрь и снаружи. При повреждении сухожилий ротаторной манжеты (одного или нескольких), происходит нарушение механики плечевого сустава, возникают ограничения подвижности, боли при отведении руки.
При полном разрыве сухожилий проводится оперативное лечение - артроскопически или миниинвазивно.

- Стоимость: от 130 000 руб.
- Продолжительность: 30-90 минут
- Госпитализация: 1-2 дня в стационаре
Пластика ротаторной манжеты плеча. Артроскопический шов, либо рефиксация сухожилий ротаторной манжеты плеча. Выделяется поврежденное сухожилие, прошивается и фиксируется (рефиксируется) к месту крепления на головке плечевой кости с использованием специальных якорных фиксаторов диаметром 2,5-5,5 мм и высокопрочных нитей.
Импиджмент синдром, субакромиальный бурсит, тендинит сухожилия надостной мышцы
Часть сухожилий ротаторной манжеты проходит в узком пространстве образованном головкой плеча, бугорками плечевой кости, нижней поверхностью акромиального отростка лопатки, клювовидным отростком и клювовидно-акромиальной связкой. Это пространство называется подакромиальным. Эта область играет важную роль при движении рук, так как уменьшение этого пространства вызывает сдавление при отведении руки, боль и ограничение подвижности. Типичным симптомом является возникновение боли при отведении руки 60-120 градусов.
Сужение пространства может быть следствием деформации костных структур, образованием кальцификатов, рубцовыми или дегенеративными изменениями в сухожилиях или явлениями бурсита.
Субакромиальная декомпрессия. При помощи специальных артроскопического оборудования выполняется удаление измененных мягких тканей и бурсы в субакромиальном пространстве, при необходимости выполняется краевая резекция нижней поверхности акромиального отростка или края ключицы.
Как проводится артроскопия плечевого сустава?
Мы выполняем каждое вмешательство на плечевом суставе только по определенной схеме, считающейся оптимальным вариантом для пациента не только с точки зрения эффективности, но и комфорта. Но прежде, чем пациент получит назначение на такое вмешательство, мы должны изучить все имеющиеся у него результаты обследований и собрать необходимый предоперационный комплекс анализов.
Артроскопия проводится под общим эндотрахеальным наркозом.
Возможны следующие позы на операционном столе для пациента:
- Положение «на боку».
К оси плеча через специальный блок рука фиксируется под углом с нагрузкой в 3-4 кг. Сам больной в этот момент располагается, лежа на здоровом боку. - Положение «пляжное кресло».
Пациент располагается на операционном столе в положении «полу сидя», при этом рука фиксируется специальным устройством, позволяющего зафиксировать конечность в любом заданном положении.
Как только плечевой сустав зафиксирован в нужном положении, начинается операция:
- кожные покровы обрабатываются дезинфицирующим средством;
- через разрез длиной 5-7 мм, в полость сустава вводится артроскоп с видеокамерой диаметром 4,2 мм. Полость сустава заполняется физиологическим раствором, подаваемым помпой (для лучшей визуализации);
- делается второй разрез, и в него вводится канюля для хирургического инструмента в случае необходимости проведения лечебных манипуляций. При необходимости устанавливается 1-2 дополнительных артроскопических порта.
А дальше все зависит от того, какие результаты будут получены в процессе осмотра сустава. Благодаря современному оборудованию, хирург может видеть изображение сустава на мониторе, оценивать состояние тканей, сухожилий, хрящей и костей и сразу же провести необходимое лечение.
Преимущества артроскопии плечевого сустава
Вот основные преимущества артроскопии перед традиционной «открытой» операцией, на которые обычно обращают внимание пациенты:
- больной находится в стационарном отделении лечебного учреждения короткий срок: максимум 3 суток, но чаще всего срок ограничивается 24 часами;
- в ходе проведения операции мягкие ткани травмируются минимально, так как используются разрезы длиной всего 5-7 мм;
- стоимость артроскопии вполне адекватна и доступна абсолютно всем пациентам.
Более точного диагностического исследования сустава на сегодняшний день в медицине просто не существует! Артроскопия не допускает ошибок, и при этом есть возможность сразу же провести необходимые лечебные манипуляции.
Возможные противопоказания и осложнения
Важно отметить, что артроскопия не проводится при следующих сопутствующих патологиях:
- кожных высыпаниях гнойничкового типа в области плеча;
- инфекционных заболеваниях с локализацией очага в области плечевого сустава;
- повышенной температуре тела независимо от причин;
- ранее диагностированном анкилозе;
- непереносимости обезболивающих препаратов/анестетиков.
Любому хирургическому вмешательству сопутствует риск осложнений. Но важна степень этого риска. При методе артоскопии — это незначительные осложнения, которые могут лишь доставить определенный дискомфорт пациенту. После артроскопии сустава может наблюдаться отек и покраснение мягких тканей в местах, где делались проколы и разрезы. Однако они исчезают буквально через 3-5 дней.
Крайне редко в ходе проведения операции может произойти повреждение глубоких вен, но и это не является опасным для пациента. У нас всегда есть возможность быстро оказать необходимую помощь.
Восстановительный период
В первые дни после проведения артроскопии на плечевом суставе проводится симптоматическая терапия под наблюдением лечащего врача, перевязки. Конечность фиксируется с помощью специальной ортезной повязки в течение 3-4 недель после операции. Одновременно начинается восстановительное лечение.
Курс реабилитации заключается в проведении комплекса восстановительных мероприятий, разработанных специалистами:
- специализированный курс лечебной физкультуры до 3-4 месяцев;
- использование аппаратов для пассивной разработки движений в плечевом суставе ("Артромот");
- ограничение спортивных и тяжелых физических нагрузок до 4-6 месяцев.
Все перечисленные в статье манипуляции на суставе мы выполняем в операционной клиники ЦЭЛТ, специально оборудованной для артроскопических операций. Артроскопия зачастую является единственной реальной возможностью вернуть здоровье суставов, а, значит, вернуть качество жизни. Если проблемы с плечевыми суставами для Вас актуальны - приходите на консультацию к автору статьи, травматологу-ортопеду с большим опытом проведения артоскопических операций.
Конечно, лучшая операция - это та, которую не надо делать, но даже в сложных случаях мы постараемся Вам помочь!
Артроскопическое лечение разрыва вращательной манжеты плеча
Плечевой сустав - наиболее подвижный сустав человеческого организма. Он позволяет нам поднять руку, завести ее за спину, дотянуться до собственного затылка. Считается, что именно благодаря труду и своим рукам человек стал человеком, но не будет преувеличением сказать, что все многообразие функции человеческой руки основано как раз на потрясающей подвижности плечевого сустава. Движения в плечевом суставе осуществляются во всех трех плоскостях, но за увеличение объема движений в суставе нам приходится расплачиваться уменьшением его стабильности и высоким риском повреждения его струтур, к которым относится и ротаторная (вращательная) манжета плеча.
Анатомическое строение нормального плечевого сустава.
Плечевой сустав образован тремя костями: головкой плечевой кости, суставной впадиной лопатки и ключицей, не связанной с суставом анатомически, но значительно влияющей на его функцию.
Головка плечевой кости соответствует по форме суставной впадине лопатки, называемой также гленоидальной впадиной (от латинского термина cavitas glenoidalis - суставная впадина). По краю суставной впадины лопатки имеется суставная губа - хрящевой валик, который удерживает головку плечевой кости в суставе.
Прочная соединительная ткань, образующая капсулу плечевого сустава, по сути, является системой связок плечевого сустава, которая помогает головке плечевой кости оставаться в правильном положении относительно суставной впадины лопатки. Связки прочно срастаются с тонкой капсулой сустава. К ним относятся клювовидно-плечевая и суставно-плечевая связки (имеет три пучка: верхний, средний и нижний). Также плечевой сустав окружен мощными мышцами и сухожилиями, которые активно обеспечивают его стабильность за счет своих усилий. К ним относятся надостная, подостная, малая круглая и подлопаточная мышцы, которые образуют вращательную манжету. Каждая из этих мышц выполняет свою функцию: подлопаточная вращает руку внутрь, надостная - поднимает плечо и "приякоривает" его, т.е. вжимает головку плечевой кости в суставную впадину лопатки при отведении плеча вбок. При этом основная сила отведения определяется дельтовидной мышцей, а надостная мышца работает как командир, направляющий усилия дельтовидной мышцы. Подостная мышца вращает плечо наружу, а малая круглая - тоже вращает наружу и приводит руку к туловищу.
Все вместе функционируют как вращательная (ротаторная) манжета плеча.
Вращательная (ротаторная) манжета плеча
Выше всех в ротаторной манжете расположена надостная мышца, при этом ее сухожилие проходит в узком пространстве между акромиальным отростком лопатки и головкой плечевой кости, что определяет склонность к травмированию сухожилия.
Вращательная (ротаторная) манжета плеча: общий вид, тенопатия и ущемление сухожилий вращательной манжеты в подакромиальном пространстве (импинджемент - синдром)
Подробнее об анатомии вращательной манжеты и об анатомии плечевого сустава вы можете узнать на нашем сайте (кликните мышкой, чтобы перейти к статьям об анатомии).
Причины заболеваний и повреждений ротаторной манжеты
Сухожилия мышц вращательной манжеты плеча, как и все другие сухожилия, имеют относительно плохое кровоснабжение. Недостаточное кровоснабжение сухожилий вращательной манжеты приводит к частому развитию дегенеративных изменений: возникает так называемая тенопатия. Стоит отметить, что развитию тенопатии способствует не только недостаточное кровоснабжение (ряд ученых вообще отрицают роль кровоснабжения в развитии тенопатии). Еще одна причина развития тенопатии - наследственная патология соединительной ткани. Сухожилия в основном состоят из особого белка - коллагена, который бывает 4 типов. При ненормально высоком процентом содержании коллагена 3 и 4 типов тенопатия развивается чаще. Вообще тенопатия может развиться в любом из сухожилий ротаторной манжеты (и в нескольких сухожилиях одновременно), что может приводить к боли в области плечевого сустава при движениях, в которых учавствует соответствующая мышца. Например, при тенопатии сухожилия надостной мышцы боль услиливается при отведении руки вбок, при тенопатии подлопаточной мышцы - при поднесении ложки или вилки ко рту, при причесывании, при заведении руки за спину. Часто эти тенопатии называют плечелопаточным периартритом, но это абсолютно неграмотный диагноз, от которого во всем мире уже отказались несколько десятилетий назад. "Плечелопаточный периартрит", проявляющийся болью в плече, может являться на самом деле не только тенопатией того или иного сухожилия вращательной манжеты, но и рядом других заболеваний, что заслуживает рассмотрения в отдельной статье. Кроме того, развитию тенопатии способствует прием некоторых антибиотиков (фторхинолонов).
Наиболее частая причина, способствующая развитию тенопатии - хроническая травматизация сухожилий, которая возможна при двух принципиальных вариантах:
Три типа анатомической формы акромиального отростка (вид сбоку). Крючкообразная форма акромиального отростка способствует травматизации сухожилий вращательной манжеты
С возрастом дегенеративные изменения в сухожилии прогрессируют, тенопатия становится все более выраженной, сухожилие ослабевает и может произойти его разрыв. Наиболее часто разрыв сухожилия встречается в возрасте 35-55 лет. Однако при достаточно сильной травме (переломы большого бугорка плечевой кости, другие переломы проксимальной части плечевой кости, вывихи в плечевом суставе и т.д.) разрыв может произойти и без предшествующей тенопатии, т.е. у относительно молодых людей.
Полный разрыв сухожилия надостной мышцы и частичный разрыв сухожилия подлопаточной мышцы
Симптомы
Как мы уже отмечали, чаще всего разрыв сухожилий вращательной манжеты плеча из-за травмы происходит на фоне предшествоваших дегенеративных изменений (тенопатии). Разрыв характеризуется резким усилением боли и ослаблением руки, вплоть до полной невозможности подвигать рукой. Разрывы бывают частичными или полными, когда сухожилие той или иной мышцы полностью отрывается от места прикрепления к плечевой кости. Интенсивность боли зависит от объема разрыва - как правило, чем больше разрыв, тем сильнее боль, и тем больше огранничение движений. При частичных разрывах возможность движений рукой сохраняется.
Локализация боли зависит от того, какое сухожилие вращательной манжеты повреждено. Чаще всего повреждается сухожилие надостной мышцы, что обычно проявляется полной неспособностью отвести руку вбок (при полном разрыве) либо усилением боли при отведении руки вбок в амплитуде от 30 до 60 градусов. Многие пациенты отмечают, что не могут спать на стороне больного плечевого сустава.
Диагностика
Для постановки диагноза доктор расспросит Вас о механизме травмы, о давности повреждения, о характере болей в плече, о том,болело ли и как долго плечо до травмы. Еще раз напомним, что при значительной тенопатии разрыв сухожилия может произойти вообще без травмы.
Далее врач проводит осмотр, в ходе которого он проводит специальные тесты (двигает вашу руку или просит пациента сделать особое движения), в ходе которых уже с высокой долей вероятности можно выяснить, какое именно сухожилие повреждено.
Как правило, при полном разрыве сухожилия (или отрыве его от места прикрепления к кости) движение, за которое отвечает эта мышца, невозможно.
При частичных разрывах способность двигать рукой сохраняется, но движения болезненны.
Обязательно выполнение рентгенографии, на которой при разрывах сухожилий вращательной манжеты можно обнаружить характерные признаки на нижней поверхности акромиального отростка - так называемый субхондральный склероз. Он образуется как защитная реакция кости от многократного соударения головки плечевой кости и нижней поверхности акромиона (импинджемент синдром), и эти соударения приводят к повреждению сухожилий вращательной манжеты, вызывают их тенопатию, и, в конечном итоге, разрыв. Конечно же, отсутствие на рентгенограмме этих признаков не говорит о том, что сухожилия вращательной манжеты не повреждены, но наличие этих рентгенологических признаков с высокой долей вероятности говорит о проблемах с сухожилиями ращательной манжеты. На рентгенограмме важно оценить и акромиально-ключичное сочленение: артрит этого сустава может служить причиной похожих болей.
Рентгенограмма: соударение головки плечевой кости (синие стрелки) и нижней поверхности акромиального отростка (рыжие стрелки) приводит к повреждению проходящего между ними сухожилия надостной мышцы.
В случае неясного диагноза и с целью уточнения объема повреждения выполняется ультразвуковое исследование или магнитно-резонансная томография, которая позволяет при помощи магнитных волн увидеть и запечатлеть мягкие ткани и кости в виде послойных срезов.
Магнитно-резонансная томограмма, показывающая полный разрыв сухожилия надостной мышцы
Лечение
Начальное лечение при остром, случившемся недавно разрыве сухожилий вращательной манжеты состоит в уменьшении боли. Как правило, используются нестероидные противовоспалительные препараты, такие как аспирин, вольтарен, ксефокам и др. Также в остром периоде необходимо соблюдать покой для больной руки - руку обездвиживают на косыночной повязке или на специальной отводящей шине. Для уменьшения боли и отека эффективно прикладывание пакетов со льдом, завернутых в полотенце, к плечу.
Правила наложения косыночной повязки
Специальная отводящая шина, используемая для лечения разрывов сухожилий мышц вращательной манжеты. Чаще всего происходит отрыв сухожилий надостной мышцы от места его прикрепления к плечевой кости. Обездвиживание руки положении отведения сближает конец оторванного сухожилия с местом его крепления к плечевой кости. Такая же отводящая шина используется и после операций по поводу разрывов сухожилий вращательной манжеты
Полный разрыв сухожилия надостной мышцы и частичный разрыв сухожилия подлопаточной мышцы. При отведении руки вбок разорванные концы сухожилия сближаются. Рыжей стрелкой показана ось плечевой кости. Слева - плечо приведено к туловищу, справа - плечо отведено вбок.
Консервативная терапия. При тенопатиях и незначительных, небольших разрывах, когда движения в плечевом суставе сохранены, назначается консервативная терапия. После уменьшения боли назначаются легкие физические упражнения для разработки сустава. В более позднем периоде к этим упражнениям добавляются силовые упражнения, направленные на укрепление мышц верхней конечности. Это позволит постепенно возвратить больной руке прежний объём движений. Обычно длительность консервативной терапии составляет от 6 до 8 недель. В течение этого времени полностью прекращаются боли в плече, и происходит частичное восстановление силы в мышцах руки.
Оперативное лечение. При значительных разрывах консервативное лечение бесперспективно, поскольку разорванные концы попросту не могут срастись. Впрочем размер разрыва и сам факт наличия разрыва вовсе не являются критериями, по котороым оценивают необходимость операции, так как иногда даже при полных разрывах движения в плечевом суставе сохранены или практически безболезненны за счет того, что функцию разорванного сухожилия частично берут на себя соседние сухожилия. Однако, при полных разрывах такое встречается не часто.
Операция показана, если:
- имеется полный разрыв, который делает движения в плечевом суставе невозможными или ограничивает некоторые движения;
- имеется частичный разрыв, который ограничивает движения, служит причиной боли;
- консервативное лечение оказалось безуспешным.
В ходе операции оторванное сухожилие натягивают, возвращая его к месту прикрепления и подшивают его.
Суть операции состоит в том, что разрыв сшивают, а если произошел отрыв сухожилия от места фиксации, то выполняю шов с использованием специальных "якорных" фиксторов. На первом этапе операции проводится удаление всех нежизнеспособных, дегенеративно измененных тканей вращательной манжеты. Затем область плечевой кости, где произошел разрыв или отрыв вращательной манжеты, очищается от остатков мягких тканей для того, чтобы сухожилие приросло. Разрывы бывают разными по своей форме. Чаще всего встречаются U-образные и Г-образные разрывы.
Достаточно часто для фиксации оторванного сухожилия требуются 2-3 уже упоминавшихся якорных фиксатора. Этот фиксатор состоит из якоря и нитей. Якорь крепится к кости, а нитями в свою очередь прошивается сухожилие. Выбор конкретного вида якорного фиксатора осуществляется оперирующим хирургом, но в целом пациент также должен быть проинформирован о том, какой фиксатор планируется к использованию в его случае. Мы рекомендуем использовать фиксаторы фирм с мировым именем, которые давно зарекомендовали себя. В первую очередь можно выделить фиксаторы FASTIN®, PANALOK , VERSALOK™, BIOKNOTLESS™, GII, HEALIX™ фирмы DePuy Mitek (подразделение Johnson and Johnson), PushLock® Knotless Anchor фирмы Arthrex и TWINFIX™ фирмы Smith&Nephew.
Восстановление разрыва сухожилий вращательной манжеты является достаточно сложной операцией. Реконструкция вращательной манжеты может быть выполнена как открытым способом через разрез, так и артроскопическим методом, т.е. без традиционного разреза. Через один прокол длиной 1-2 сантиметра в сустав вводят видеокамеру (артроскоп) и осматривают все повреждения изнутри. Через 1-2 других маленьких прокола в сустав вводят специальные инструменты, которыми и выполняют шов сухожилий.
Восстановление разорванного сухожилия возможно не во всех случаях. Если между моментом травмы и операцией прошел достаточно длительный период времени, то может наступить рубцовое перерождение мышцы и сухожилия, в результате чего на операции будет невозможно подтянуть это сухожилие для закрепления к кости. В других случаях в сухожилии могут отмечаться выраженные дегенеративные процессы, что ведет к значительному снижению разрывной нагрузки. В этом случае даже после удачной реконструкции сухожилия в ближайшем будущем вероятен рецидив заболевания. В этих случаях на операции хирург проводит удаление всех поврежденных тканей и старается ликвидировать все другие проблемы, которые могут вызывать или усиливать боль в плече.
Реабилитация
После операции руку обездвиживают в положении отведения на несколько недель с помощью специальной шины, о которой мы уже писали ранее. Такая иммобилизация снижает натяжение сухожилий и уменьшает риск повторного разрыва. Длительность иммобилизации определяется хирургом, который выполнял операцию, так как только он может оценить состояние сухожилий и прочность выполненного шва. Обычно шину (ортез) накладывают на 3-6 недель.
После этого приступают к реабилитационным упражнениям, интенсивность и очередность которых вам подберет врач. В целом после операционный и реабилитационный период можно разделить на три периода:
Артроскопическая операция плеча

Глазков Юрий Константинович Главный врач
- травматолог-ортопед
- травматолог-хирург
- спортивный травматолог
- ортопед
- Показания
- Преимущества
- Привычный вывих
- Ход операции
- Повреждение манжеты
- Послеоперационное восстановление
Артроскопия плеча - малоинвазивное хирургическое вмешательство, при котором через несколько проколов внутрь сустава и подакромиальное пространство вводится оптика, освещение, хирургический инструментарий. Все манипуляции проводятся под контролем видеокамеры. Врач отслеживает изображение на экране и использует инструменты с помощью манипуляторов.

Артроскопическая операция плеча
Показания
Плечо - аниболее подвижный сустав. В этом состоит одна из причин того, что он подвержен травматизации и различным заболеваниям. Многие из них лечатся путем артроскопии.
- последствия травм;
- повреждения суставной поверхности;
- остеоартроз;
- тендинит длинной головки бицепса;
- отрыв суставной губы лопатки;
- появление внутрисуставных тел;
- разрывы связок или сухожилий; ;
- повреждение ротаторной манжеты.
Артроскопию делают при появлении болей в плече или ограничении его подвижности неясного происхождения. В таком случае операция является диагностической. В случае выявления источника проблемы она сразу же может стать лечебной.
Преимущества
Иногда операция на сустав плеча выполняется с открытым операционным доступом. Но артроскопия обладает несколькими весомыми преимуществами. Она может заменить открытое хирургическое вмешательство (артротомию) в подавляющем большинстве клинических ситуаций. При этом такая операция:
- несет меньше рисков для здоровья человека;
- меньше кровопотеря;
- реже возникают осложнения;
- улучшает переносимость послеоперационного периода;
- сокращает реабилитацию;
- обеспечивает лучший эстетический эффект.
В ходе операции обеспечивается хорошая визуализация внутрисуставных тканей, которые врач может рассмотреть под увеличением. Не рассекается дельтовидная мышца и сухожилия, что обеспечивает хороший функциональный эффект.
плече

плече
Привычный вывих
Наиболее частым показанием к выполнению артроскопии плеча остается нарушение стабильности сустава. Плечо имеет высокую амплитуду движений. Это обусловлено тем, что суставная поверхность лопатки плоская, а не вогнутая. Движения ограничиваются только губой, имеющей хрящевую структуру. Несомненно, свобода движений является преимуществом, однако она несет в себе и определенные недостатки. Плечо достаточно легко вывихнуть. А при отсутствии адекватного лечения вывихи повторяются, прогрессируют дегенеративные изменения сустава.
Показанием для артроскопии является не только привычный вывих, но также первый его эпизод, если возраст пациента меньше 30 лет. Это связано с тем, что у лиц молодого возраста рецидивы случаются гораздо чаще. Если у пожилых пациентов риск рецидива вывиха составляет лишь 2-3%, то у пациентов до 30 лет он достигает 38%.
При повреждении плеча часто травмируется хрящевая губа. В итоге теряется стабильность сустава. Её потеря также связана с дефектом костного компонента суставной впадины лопатки (гленоида).
Ход операции
В процессе операции могут использоваться разные виды обезболивания. Обычно артроскопия плеча выполняется под общим наркозом. Может применяться и комбинированная анестезия. В этом случае врачи делают внутривенный поверхностный наркоз. Дополнительно проводится проводниковая анестезия (обкалывание плечевого сплетения препаратами, блокирующими проведение нервных импульсов).
Положение тела пациента - «пляжное кресло». Для доступа делаются три небольших разреза. Определяется с помощью введенного в сустав артроскопа расположение поврежденной суставной губы. Она фиксируется. Проводится и фиксация суставной капсулы. Оценивается размер повреждения костной части гленоида. Устанавливаются якорные фиксаторы - от 3 до 5 штук, исходя из обширности повреждения.
Практически всегда такая операция проходит успешно. Рецидивы наблюдаются лишь в 4% случаев. В основном - у спортсменов, которые продолжают заниматься контактными видами спорта и рискуют травмироваться. При адекватных физических нагрузках рецидива не происходит.
Ещё одной проблемой лечения остается дефицит гленоида. Для её решения может использоваться трансплантация подвздошной кости. Но методика имеет ряд недостатков. Требуется проведения двух операций: одна для лечения привычного вывиха плеча, другая - для взятия донорского материала. Это дополнительная операционная травма и эстетический дефект. У части пациентов формируется хронический болевой синдром.
Применяется также способ замещения костных дефектов пористым никелидом титана. Показанием является размер дефекта гленоида от 25%. Трансплантат изготавливается ещё до операции. Для этого используется трехмерная реконструкция.
При дефекте головки плечевой кости (повреждение Хилл-Сакса) проводится его замещение фрагментами заднего отдела капсулы, сухожилием подостной мышцы. Риск рецидива вывиха плеча в течение 2 лет составляет около 15%.

Повреждение манжеты
Ротаторная манжета образована четырьмя мышцами и их сухожилиями. Они необходимы для стабилизации сустава или вращения кости. При повреждении манжеты часто используются артроскопические операции.
Механические причины боли:
- разрыв сухожилий;
- формирование нестабильного края манжеты;
- конфликт её элементов с другими внутрисуставными структурами;
- подакромиальный стеноз;
- оссификация ключицы.
Встречаются также биологические причины боли. К ним относятся гипертрофия подакромиальной сумки, воспалительное поражение сухожилий, появление в них кальцификатов.
В ходе артроскопической операции проводится удаление тех частей, которые являются источником асептического воспаления или провоцируют механическое трение элементов вращательной манжеты с другими структурами плеча. В зависимости от ситуации может применяться частичное удаление субакромиальной сумки, изменение точек фиксации сухожилий, фиксация поврежденных краев вращательной манжеты.
Процесс повреждения этой структуры всегда индивидуален. Считается, что нет двух одинаковых случаев. Поэтому артроскопическая операция на плече - процесс творческий. Стандартных операций, подходящих для всех пациентов с повреждением ротаторной манжеты, не существует.
Эффективному лечению способствуют:
- адекватная предоперационная диагностика (предпочтение отдают МРТ);
- дифференциальная диагностика с другими причинами боли;
- установление причины и механизма формирования боли.
Перед артроскопией оценивается длина и ширина разрывов, степень жировой дистрофии мышц, протяженность и локализация травмы. При наличии признаков значительного жирового перерождения мышечной части манжеты в сочетании с некрозом головки плечевой кости артроскопическая операция не поможет. В таком случае рекомендовано эндопротезирование плечевого сустава.
Артроскопия плеча

Артроскопия плеча
Послеоперационное восстановление
Пациенты после артроскопии плеча пребывают в стационаре обычно 1 или 2 дня, реже - до 3-4 суток.
Значительных болевых ощущений после операции нет. Большинство опрошенных пациентов оценивают уровень боли на 2-3 балла из 10. В этом случае даже нет необходимости в применении обезболивающих препаратов.
Швы снимают в среднем через 2 недели. В течение этого времени следует избегать попадания на них воды. Принять душ можно, только прикрывая швы водонепроницаемым пластырем. После удаления швов следует защищать рубцы от воды в течение 24 часов.
В первый месяц больному приходится носить повязку (ортез). Она необходима для того, чтобы зафиксировать руку в удобном для восстановления плечевого сустава положении. Таким способом предотвращается избыточное напряжение мышц и сохранность связочного аппарата плеча. Создаются лучшие условия для регенерации тканей. Бандаж нужно носить постоянно. Её нельзя даже снимать ночью. Во сне человек себя не контролирует и может повредить сустав, ухудшив результаты артроскопического хирургического вмешательства.
Уже со второго дня после артроскопии человек начинает разрабатывать прооперированный плечевой сустав. Упражнения выполняются ежедневно, в несколько подходов.
- 2 дня - разрешается заниматься работой, без нагрузки на плечо;
- 3 дня - можно садиться за руль (при автоматической коробке передач);
- 14 дней - разрешается спать на прооперированном плече, ходить в баню;
- 4 недели - уходят даже минимальные боли при нагрузке;
- 1 месяц - разрешатся посещать спортзал и бассейн, носить сумки в прооперированной руке весом от 1 кг (он постепенно увеличивается);
- 3 месяца - будет восстановлен объем движений в плече на 90%.
Сроки полного восстановления индивидуальны. Они зависят от причины, по которой выполнялась артроскопия плеча, а также от особенностей организма пациента (возраста, состояния здоровья, наличия сопутствующей патологии). Большинство людей спустя 3 месяца после артроскопической операции могут полноценно нагружать сустав в бытовых условиях. Спустя 4-5 месяцев можно приступить к спортивным тренировкам, а через полгода допускается максимальная нагрузка на плечо - такая же, какая была до момента травмы или развития заболевания.
Повреждение связочного аппарата плечевого сустава, привычный вывих плеча, разрыв сухожилий вращательной манжеты, травмы и заболевания акромиально - ключичного сочленения, артроз плечевого сустава, капсулит плечевого сустава, патология сухожилия длинной головки двуглавой мышцы плеча (бицепса)
Частичный полнослойный разрыв сухожилия надостной мышцы
Особенности
Сустав плеча имеет круглую форму, что обеспечивает высокий объем движений в нем. Необходимая прочность и стабильность являются факторами, позволяющими предотвратить выход головки плеча из суставной впадины. Они обеспечиваются за счет компонентов вращательной манжеты, к ним относятся надостная, подостная, подлопаточная и круглая мышца, а также связки и сухожилия. Повышение нагрузки сопровождается увеличением растяжения волокон мышцы, оно может привести к полному или частичному разрыву.
Этиология повреждения
Нарушение целостности волокон, включая сухожилия мышц происходит вследствие реализации 2-х основных патогенетических механизмов. Они включают чрезмерную нагрузка и нарушение свойств структур из соединительной ткани ротаторной (вращательной) манжеты. Частичный разрыв сухожилия надостной мышцы плеча является полиэтиологическим состоянием, которое развивается на фоне действия значительного количества причин:
Длительное воспаление компонентов плеча

Длительное воспаление компонентов плеча
Выяснение причин является обязательным мероприятием, которое проводится во время диагностического обследования и дает возможность подобрать наиболее адекватную терапевтическую тактику и предотвратить повторное развитие изменений.
Классификация различных типов повреждений необходима для проведения достоверной диагностики и определения адекватного лечения. По степени выраженности выделяется:
Частичный разрыв

Частичный разрыв
В зависимости от распространенности встречается изолированное изменение, затрагивающее только надостную мышцу, или комбинированное повреждение, при котором изменяются сразу несколько компонентов плечевого сустава, включая кости.
Признаки
Частичный полнослойный разрыв сухожилия надостной мышцы сопровождается развитием достаточно характерной клинической картины, включающей такие симптомы:
- Боль в области пояса верхней конечности со стороны изменений, которая возникает резко после перенесенной травмы или нарастает постепенно на фоне развития патологического процесса.
- Нарушение функционального состояния, сопровождающееся тем, что становится тяжело подымать руку вверх.
- Снижение стабильности, приводящее к частому вывиху плеча (развитие привычного вывиха).
- Появление воспалительных признаков, включающих покраснение кожи пояса верхней конечности, припухлость мягких тканей с увеличением плеча в объеме, усиление болевых ощущений, которые могут беспокоить человека в покое.
Выраженность клинических проявлений зависит от степени повреждения соединительнотканных волокон сухожилия надостной мышцы.
Диагностика

УЗИ
Для того чтобы определить выраженность и месторасположение частичного разрыва компонентов соединительной ткани назначается дополнительное объективное обследование. Оно включает современные методики, дающие возможность оценить состояние внутренних структур. К ним относятся рентгенография, томография (послойное сканирование тканей при помощи рентгеновских лучей или эффекта магнитного резонанса ядер), артроскопия (визуальное исследование с применением оптического прибора, введенного в полость сустава), УЗИ (ультразвуковое исследование).
Лечение
Терапевтические мероприятия в случае диагностированного частичного разрыва компонентов соединительной ткани являются комплексными. Преимущественно назначается консервативное лечение, которое включает несколько направлений мероприятий:
- Общие рекомендации, направленные на ограничение функциональной нагрузки. При необходимости выполняется обездвиживание (иммобилизация) сустава на весь период курса терапии.
- Назначение медикаментов с включением противовоспалительных средств, хондропротекторов, витаминов.
- Физиотерапевтические процедуры, которые снимают выраженность хронического воспаления, а также ускоряют процесс регенерации (заживление) тканей, к ним относится магнитотерапия, озокерит, грязевые ванны.
Более выраженное изменение свойств компонентов соединительной ткани является основанием для выполнения операции с пластикой волокон компонентов соединительной ткани. В современных клиниках, специализированных на лечении структур костно-мышечной системы, используется малотравматичная методика артроскопической манипуляции.
Реабилитация
реабилитация пациента

реабилитация пациента
Независимо от направления основного курса терапии очень важным мероприятием является реабилитация пациента. Восстановление включает выполнение специальных упражнений для плеча, назначенных специалистом. Они подразумевают постепенное увеличение нагрузки на сустав, что дает возможность для полноценной нормализации функционального состояния и стабильности. Длительность реабилитации может быть различной, в среднем она длится до полугода.
Читайте также:
