Техника доступа для тотального эндопротезирования коленного сустава
Добавил пользователь Евгений Кузнецов Обновлено: 28.01.2026
Деформирующий остеоартроз — одно из ведущих заболеваний опорно-двигательного аппарата. Он проявляется дегенеративно-дистрофическими изменениями суставных поверхностей. Частота встречаемости составляет от 3 до 12% среди взрослого населения. В этом показателе на первом месте стоит поражение тазобедренного сустава, а на втором - коленного.

Если сустав поражен указанным на изображении образом, то возможна его частичная замена.
Основной метод лечения - постановка эндопротеза вместо поврежденного сустава. Раньше выполнялось преимущественно тотальное эндопротезирование коленного сустава, однако сейчас активно развивается другое направление - одномыщелковое (частичное) эндопротезирование.

Имплант на рентгене.
Описание процесса лечения
Лечение проводится в два этапа: подготовительный и операционный. Подготовительный этап имеет особую важность: хирургическое вмешательство всегда стресс для организма. Во время этого этапа проводится полное сканирование организма с целью предупреждения возможных осложнений:
- Лабораторное и инструментальное обследование (анализ крови, мочи, ЭКГ, флюорография, гастроскопия).
- Подготовка кожных покровов. Перед операцией не должно быть инфекционных заболеваний или повреждений в оперируемой зоне. При наличии ран или воспаленных участков необходимо проконсультироваться с лечащим врачом.
- Лекарства. Если пациент регулярно принимает медикаменты — стоит об этом сообщить. Врач определит, какие из них стоит исключить перед операцией.
- Коррекция массы тела. Это поможет снизить нагрузку на новый протез и объем хирургического вмешательства.
- Санация ротовой полости. Хоть и риск заражения невелик, но инфекционные осложнения могут случиться, если бактерии попадут в системный кровоток.
- Урологическая подготовка. Решается вопрос о купировании острых и хронических заболеваний мочеполовой системы. К примеру, для пожилых больных с болезнями предстательной железы применяется специальная методика проведения операции.
Сама операция выполняется с определенной этапностью:
- Сначала делается антисептическая обработка области сустава, затем нога покрывается пленкой.
- Хирург делает небольшой (до 10 см) разрез мягких тканей через переднюю поверхность и аккуратно обнажает поврежденный сустав.
- Удаляют патологические хрящевые и костные зоны.
- Затем структурные компоненты выстраиваются по оси, снимаются верхние слои бедренных и большеберцовых костей, опиленные компоненты подвергаются шлифовке.
- В большеберцовой кости делается небольшой канал, куда устанавливается задняя втулка протеза.
- На бедренную кость устанавливается другая часть протеза, сходная со структурой удаленной части кости бедра.
- В конце операции рану промывают, делается гемостаз, проводится дренаж раны. Разрез ушивается при помощи узлового шва. Завершается процесс наложением тугой стерильной повязки на прооперированную область.
В отдельных случаях применяется метод компьютерной навигации, позволяющий устанавливать компоненты эндопротеза с высокой точностью, делать балансировку связок сустава, выполнение которой сомнительно при использовании простого инструментария.
Длительность операции не превышает двух часов. Сначала больного отправляют в реанимационное отделение, где пристально следят за жизненноважными показателями организма. Через некоторое время пациента переводят в общую палату, где начинаются реабилитационные мероприятия.

Видео операции
Отличия от тотального эндопротезирования
Длительное время ТЭКС (тотальное протезирование коленного сустава) признавался ведущим методом при лечении остеоартроза. Какие же преимущества имеет одномыщелковое эндопротезирование:
- Гораздо меньший объем хирургического вмешательства;
- Быстрый восстановительный период (уже через несколько месяцев пациент может возвращаться к своим повседневным физическим нагрузкам);
- Менее выражен болевой синдром (как в покое, так и при интенсивной физической нагрузке);
- После частичного эндопротезирования люди вдвое реже жалуются на трудности при использовании автомобиля, чем после тотального;
- Вдвое меньше случаев ограничения сгибания в коленном суставе и контрактур;
- Гораздо чаще людям с частичным эндопротезом доступно положение сидя на корточках, посадка и выход из автотранспорта, наклон и подъем предметов с пола, бег.
Целый ряд неоспоримых и важных преимуществ однополюсного протезирования. Большинство зарубежных коллег подчеркивают у себя схожесть приведенных результатов.

Сравнение двух типов операций.
Показания для частичного эндопротезирования
- деформирующий артроз II-III степени, с преимущественным поражением одного сегмента коленного сустава;
- при изолированном асептическом некрозе мыщелка бедренной или большеберцовой кости голени;
- аутоиммунные заболевания, при которых наблюдаются ДДИ суставных тканей - болезнь Бехтерева, СКР (системная красная волчанка), подагра, ревматоидный артрит;
- неудачно сросшийся перелом.
Как и во всем, у частичного эндопротезирования регистрируются и неудачные исходы, на основании которых были сформулированы противопоказания:
- Нестабильность связочного аппарата;
- Умеренная и выраженная сгибательная и разгибательная контрактура;
- Фиксированная фронтальная деформация;
- Распространенность патологического процесса на соседние участки;
- При аутоиммунных заболеваниях;
- Недавно перенесенные операции;
- Инфаркт миокарда;
- Тромбоз нижних конечностей;
- Тяжелое ожирение.
Одномыщелковые — частичные эндопротезы
Направление эндопротезирования длительное временя активно развивалось. Сейчас современные протезы соответствуют всем базовым требованиям. Они способны стать полноценной заменой коленному суставу.

Как это выглядит после операции.
Основные требования к качественному эндопротезу:
- Биосовместимость. Компоненты, из которых создается имплант, должны быть гипоаллегренными и не вызывать реакции «отторжения» (когда организм отвергает имплант, вызывая аутоиммунную агрессию).
- Анатомичность. Протез обязан подходить по размеру и в точности повторять особенности костной структуры сустава.
- Соответствие характеристик. Материалы должны быть прочными и выдерживать привычные для сустава нагрузки. Гладкость поверхностей протеза обеспечивает достаточно легкое скольжение компонентов.
- Функциональность. Качественно выполненный протез должен обеспечить хорошую амплитуду движений, не ограничивая подвижность колена.
- Сохранение формы и высокая износостойкость. Эндопротез не должен стираться или терять форму, обеспечивая при этом носителя хорошим качеством жизни на 15-20 лет вперед.
Zimmer
Крупный представитель по поставке материалов для ортопедической продукции. В частности эндопротезов.
Zimmer Hihg-Flex. Имплант предназначен для одномыщелкового эндопротезирования коленного сустава. Постановка подобного импланта в 98% случаев гарантирует высокое качество жизни в последующие 10 лет.

Zimmer Gender Solutions Patello-Femoral Joint. Используется в малоинвазивных вмешательствах при хирургическом лечении деформирующего остеоартроза.

Zimmer Gender Solutions
Biomet
Еще одна крупная компания. Ее производство акцентировано на ортопедическую, травматологическую, стоматологическую и спортивную отрасли.
Vanguard. Представляет собой тотальный коленный протез с бесцементным типом фиксации. Вставка импланта пропитана витамином Е.

Oxford. Эндопротез обладает повышенной прочностью и износостойкостью.

Oxford Knee Biomet.
Aesculap
Компания из Германии, существующая с 1967 года, имеет в своей широкой линии продукции ряд эндопротезов.

Aesculap partial knee.
Также можно выделять другие компании-производители: Johnson&Johnson (с его DePuy Synthes), Stryker (Scorpio NRG).
Недостатки частичной замены
Как бы то ни было, частичное эндопротезирование имеет два существенных недостатка: недолговечность протеза и необходимость нормального функционирования связочного аппарата. У людей с малоподвижным образом жизни сустав продержится максимум 7-10 лет, дальше требуется вторичное хирургическое вмешательство.
Люди, придерживающиеся правильного образа жизни, могут рассчитывать на 15, а то и 20 лет беспечной жизни. Протезы компании Zimmer в 98% случаев гарантируют стабильность в течение 10 лет, в 80% — 15 лет, а в 70% случаях протез продержится 20 лет.
Biomet может удивить выживаемостью своих протезов в 98% случаев и гарантировать срок жизни импланта до 20 лет.
Как долго восстанавливаться
Малоинвазивность процедуры обеспечивает быструю реабилитацию. Уже через 2,5-3 месяца реабилитационных мероприятий, можно гарантировать полноценное возвращение к жизни.

Шов при таких операциях как правило в два раза меньше чем при тотальной замене.
Особенности у спортсменов
В любом спорте неизбежны травмы. Насколько сильно может сказаться подобная операция на дальнейшей карьере спортсмена? В любом случае, лучше тотального эндопротезирования. Преимуществом частичного протезирования является сохранность пателлофеморального сустава, передней и задней крестообразных связок, менисков, суставного хряща. Тогда в меньшей мере страдает кинематика и проприоцепция сустава.
По данным исследований, после такой операции к предоперационному уровню спортивных и физических нагрузок возвращается достоверно больше пациентов. Конечно, придется отказаться от тех видов спорта, где приходятся большие нагрузки на коленный сустав (бег, футбол, баскетбол, хоккей и многие другие). Лучшими вариантами на время реабилитации становятся плавание, ходьба, езда на велосипеде.
В ретроспективном анализе сравнивали, сколько людей вернулось в любительский спорт после ТЭКС (65% от общего числа) и одномыщелкового эндопротезирования (93%). К тому же, после полной замены сустава люди были склонны выбирать вид спорта со сниженной физической активностью (в 91% случаев - боулинг).
Необходимый и важный этап для спортсменов — выбор квалифицированного хирурга, который подберет протез, максимально приближенный к анатомическим особенностям индивида. Это позволит в максимальной степени вернуть объем привычных движений, увеличит прочность и износостойкость сустава.
Замена коленного сустава: что это, видео-фото операций, технологии, сроки восстановления
Замена коленного сустава (ЗКС) - метод хирургического лечения последствий дегенеративно-дистрофического патогенеза колена. Цель операции полное восстановление функций проблемного отдела конечности за счет замены необратимо пораженного сочленения эндопротезом. Гонартроз 3-й степени (в 85% случаев) самая частая причина.

Артроз коленного сустава на рентгене.

А так выглядит пораженный сустав через артроскоп. Обратите внимание на площадь отсутствия хрящевой поверхности.
Примерно в 98% случаев операция прогнозирует благоприятный исход. По окончании качественной реабилитации двигательно-опорные функции полностью восстанавливаются, болезненная симптоматика исчезает, человек возвращается к нормальной здоровой жизни. Эффект от успешно пройденного лечения сохраняется более чем на 15 лет.
Показания к замене
Посмотрите на рентген, на нем вы видите, до какой степени при запущенном гонартрозе изношен гиалиновый хрящ, обеспечивающий гладкое скольжение суставных поверхностей. Концевые участки костей грубо деформируются нарушая функции сгибания и разгибания конечности вызывая интенсивный болевой синдром.

Сравнение здорового и пораженного сустава.
Когда операции не миновать
Хирургическое техники
Согласно диагнозу, возрастным и весовым критериям, физическим данным и сопутствующим заболеваниям, специалист выбирает наиболее эффективную тактику имплантации:
- - протезированию подлежит только одна из полукруглых возвышенностей бедренной кости с подлежащим к ней проксимальным фрагментом большеберцовой кости (применяется у пожилых пациентов и у лиц с низкой физической активностью);
- тотальная операция (полная) - меняется весь коленный сустав, он удаляется полностью, а на его место имплантируется эндопротез;
Неполные имплантаты, устанавливаемые при частичной замене, имеют короткий срок эксплуатации. Такие модели вырабатываются в 2 раза быстрее, чем тотальные конструкции, при этом их потенциал прочности не рассчитан на высокой степени физические нагрузки. Преимущества частичного протезирования состоят в том, что замещается имплантатом только определенная часть сочленения, остальная область остается нетронутой. Таким образом, щадящее вмешательство позволяет сократить сроки реабилитации и перенести восстановительный период относительно легко.
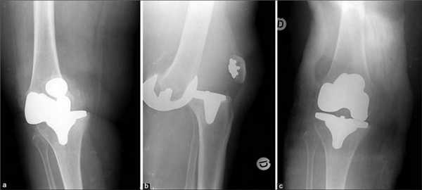
Две техники операции у одного пациента.
Какие бывают эндопротезы?
Протезные системы бывают с подвижной или неподвижной платформой, а также предусматривающие сохранение или удаление задней крестообразной связки. Различаются по виду фиксации, она может быть цементной, бесцементной и комбинированной.
- Подвижные и неподвижные платформы. Большинству пациентов ставят имплантат с амортизирующим вкладышем, который плотно связан с большеберцовым элементом, то есть изделия с неподвижной платформой. Наличие же мобильного вкладыша внутри металлического большеберцового компонента требует хорошего состояния мышечной системы и капсульно-связочного аппарата, в противном случае может произойти смещение протеза.

Имплантант позволяет осуществлять движения в двух плоскостях.


Все чаще применяется керамический бедренный компонент вместо металлического. На изображении степени износа поверхностей. Керамика совершенно не повреждается.
Внимание! Имплант может прослужить от (от 15 до 30 лет), но при условии качественной замены коленного сустава и реабилитации.
Как получить квоту на замену коленного сустава?
Квота в 2018 году положена официально признанным инвалидам по причине гонартроза. В рамках программы ВМП на получение квоты могут рассчитывать люди, нуждающиеся в ревизионном (повторном) вмешательстве, если первичная процедура была выполнена некорректно, что повлекло за собой осложнения.
Чтобы бесплатно прооперироваться, вам потребуется стать в очередь на замену проблемного коленного сочленения эндопротезом. Что для этого нужно?
- Сначала вы проходите все необходимые обследования в своей поликлинике, где стоите на учете.
- Далее полный пакет медицинской документации, включающий все диагностические результаты, выписку из истории болезней, письменное заявление пациента, ксерокопии паспорта, свидетельства ОПС и полиса Обязательного медицинского страхования, заверяет главврач.
- Затем заверенную документацию отсылают на рассмотрение в квотный отдел местного органа здравоохранения. Там ее изучают и дают согласие, о чем вы будете проинформированы, документы отправляют в клинику, которая специализируется на установке коленных имплантов.
- Клиника оповещает местный ОЗ о дате хирургического сеанса. Городской орган здравоохранения связывается с вами и вы должны будете прийти и забрать направление на операцию. В направлении будут точно указаны дата запланированного вмешательства и клиника, где вам будет оказана ВМП.
После одобрения местным органом здравоохранения вам потребуется еще ждать от 3 месяцев до 1,5 года, когда пригласят в ту или иную больницу на лечение.

Где делают замену коленного сустава
Желательно оперироваться в Москве или Санкт-Петербурге в больницах федерального типа при НИИ, там, по сравнению с другими клиниками, практикуют лучшие хирурги России.
Где лучше сделать замену коленных суставов за рубежом? Однозначно, в Чешской Республике, цены в клиниках ЧР намного ниже, чем в других знаменитых странах медицинского туризма.
Подготовка к операции
Речь будет о том, как подготовиться, чтобы после перенесенного эндопротезирования вы легко восстанавливались.
- Во-первых, начните заниматьсялечебной физкультурой, минимум за 2-3 месяца до намеченной процедуры. Лучше, если вы будете посещать занятия под контролем ЛФК-инструктора. Превосходно на повышение выносливости мышц оказывает плавание в бассейне и аквагимнастика, поэтому возьмите это обязательно на заметку.

Делайте хотя бы минимальные движения.

С лишним весом: хуже заживает шов, сложнее анестезия, труднее и дольше реабилитация, быстрее износ эндопротеза.
Борьба с вредными привычками. За 3 месяца бросьте курить, исключите прием алкогольных напитков, и больше никогда не возвращайтесь к ним. И первое, и второе - злобные враги, угнетающие естественные возможности организма к регенерации травмированных в ходе операции тканей, в том числе к противостоянию всем возможным интра- и постоперационным негативными явлениями.

Курение замедляет процессы регенерации, откажитесь от него.
Подготовьте свое жилище:
- Первое, что необходимо сделать, это надежно прикрепить поручни в туалете и ванной комнате, которые будут служить до вашего выздоровления в качестве страховочных элементов.
- В вашем доме или квартире ничего не должно мешать передвижению и не выступало потенциальной причиной травматизма. Поэтому уберите коврики, телефонные и электрические кабели с полов, предметы мебели стоящие посередине комнат.
- Чтобы принимать правильную позу при посадке на стул или принятии положения лежа, не сгибая конечность более чем на 90 градусов, надо возвысить все поверхности для лежания и сидения.
- Все предметы и вещи первой необходимости должны находиться на доступном уровне, чтобы вам не пришло в голову вдруг за ними тянуться, наклоняться, приседать и, не дай бог, становиться на табуреты и прочие подставочные элементы.

Очень полезная в быту вещь.
Хирургический процесс
Замену коленного сустава проводят под эпидуральным наркозом. Анестезирующий препарат вводят в эпидуральное пространство позвоночника, что вызывает полное блокирование болевой чувствительности нижних конечностей, при этом пациент остается в сознании.

Как хирург видит сустав во время операции.
Этапы классической операции:
- Сначала выполняется широкая антисептическая обработка кожных покровов проблемной ноги, после конечность покрывают пленкой.
- Дальше хирург совершает разрез мягких тканей на передней стороне колена, аккуратно обнажая пораженный сустав.
- После открытия сочленения патологические наросты и свободные костно-хрящевые фрагменты удаляются.
- Костные единицы выравнивают по оси, снимаются поверхностные слои с бедренной и большой берцовой кости, затем опиленные компоненты шлифуются.
- В большеберцовой кости создается небольших размеров канал, в который погружают заднюю втулку протеза. Этот плоское металлическое или керамическое плато повторяющее геометрию краевого костного участка, с упругой полимерной вкладкой.
- На обработанную бедренную кость фиксируется часть эндопротеза, которая по форме имитирует естественные округлости нижнего участка кости бедра.
- По окончании процедуры рана обильно промывается, выполняется гемостаз, ставится дренажная система, разрез послойно ушивается по технике узлового шва. Завершает операционный процесс наложение на конечность тугой стерильной повязки.
Хирургический процесс длится в среднем 2 часа. Когда операция по замене коленного сустава окончена, больного на несколько часов переводят в реанимационное отделение. В блоке интенсивной терапии медицинский персонал осуществляет внимательный контроль над всеми жизненными циклами организма. Потом прооперированный человек переводится в обычную палату, где начинают реализовывать комплексную программу реабилитации, специально разработанную для конкретного пациента.
Сроки восстановления
2,5-3 месяца, это время, которое необходимо для того, чтобы искусственная конструкция окончательно прижилась и разработалась, а пациент полностью адаптировался к жизни с новым суставом.

Хорошо заживающий шов примерно на 10 день после операции.
Весь восстановительный период может продлиться 2,5-3 мес., а иногда и до полугода. Без реабилитации смысла в пройденной замене коленного сустава нет. Поэтому:
- не игнорируйте обязательный восстановительно-лечебный процесс, не сокращайте его сроки;
- проходите физиотерапевтические процедуры и занятия ЛФК;
- восстанавливайтесь в хорошем профильном медицинском заведении;
- соблюдайте ограничения и все медицинские рекомендации(хождение на костылях и с тростью, соблюдение угла сгибания конечности и пр.).

Прошло 6 месяцев.
Необходимо всю жизнь соблюдать особенный график физической активности, так сказать, в щадящем режиме. В не являетесь инвалидом, вы - физически здоровый человек, но, имея протез, нуждаетесь в соблюдении правил:
- не совершать интенсивные махи ногами;
- глубоко и резко не приседать;
- не поджимать под себя ноги и не становиться на колени;
- не прыгать и не спрыгивать с возвышенных объектов;
- не заниматься командными видами спорта (футбол, баскетбол и пр.);
- вести активный образ жизни, отдавая предпочтение нетравматичной физкультуре (плавание, скандинавская ходьба, пеший туризм, облегченная езда на велосипеде, аквагимнастика и др.)
- дозировать нагрузки, не допуская физической перегрузки и рационально комбинируя активность с отдыхом;
- всегда посещать плановые обследования и т. д.
Важно осознавать, что функциональность протезированной ноги теперь полностью зависит от состояния мышечного комплекса. Вашими пожизненными рекомендациями являются регулярные занятия ЛФК. Тренировки после пройденного реабилитационного курса можно выполнять в домашних условиях.
Противопоказания
Ни возраст, ни высокая масса тела не являются основанием для отказа в проведении операции. Процедура противопоказана, если имеются:
- неконтролируемый сахарный диабет и диабет в стадии декомпенсации;
- тяжелые пороки сердечно-сосудистой системы;
- почечные заболевания, характеризующиеся нарушенной азотовыделительной функцией почек (почечная недостаточность и пр.);
- печеночная и легочная недостаточность 2-3 ст.;
- любые хронические заболевания в фазе обострения;
- локальный и общий инфекционно-воспалительный, гнойный очаг;
- серьезные состояния иммунодефицита;
- парез или паралич конечностей;
- тяжелые формы остеопороза;
- выраженные тромбы в венах нижних конечностей;
- тяжелые нервно-психические расстройства.

Так может выглядеть рана у диабетика.
Риски операции
Показатель вероятности осложнений, как мы ранее упоминали не превышает 2%. В России — 6%, это:
- ;
- тромбоз глубоких вен ног и легочная тромбоэмболия;
- расшатывание и нестабильность протеза;
- вывихи, подвывихи, перелом эндопротеза; ;
- упорная боль и контрактура.

Инфекция одно из самых трудно излечиваемых осложнений.
Почему все эти отрицательные реакции происходят? В основном они обусловлены несоблюдением технологических принципов при постановке имплантата, некорректно подобранным видом протеза, неудовлетворительными условиями в операционном блоке, некачественной реабилитацией, всевозможными травмами конечности на любом сроке после операции и игнорированием исполнения правил, касающихся физического режима.
Эндопротезирование коленного сустава - шанс восстановить функции конечности
Хронические суставные патологии практически не поддаются лечению, более того, они прогрессируют не оставляя человеку права на здоровое существование. Эндопротезирование коленного сустава - операций, суть которой состоит в его замене искусственным имплантом.
Сравнение здорового коленного сустава(слева) и полностью разрушенного(справа).
Хрящ, покрывающий концы суставных костей, невозможно восстановить, если он серьезно разрушен. Внутрисуставные уколы плазмы или гиалурона, бесполезная трата денег, нервов и времени.
Это видит хирург во время операции, обратите внимание на неравномерность, а местами отсутствие хрящевой оболочки.

Упрощенная схема установки импланта.
Единственная тактика лечения, которая дает результаты - эндопротезирование. Индустрия выпускает модернизированные имплантаты под требования любого пациента. Искусственные конструкции создаются из биосовместимых материалов, представленных керамикой, инновационными сплавами металлов и высокомолекулярным полиэтиленом, которые не оказывают токсического, аллергического и канцерогенного воздействия на окружающие структуры.

Вступление
Пораженный сустав обследуют высокоинформативными средствами визуальной диагностики, больного направляют на прохождение лабораторных анализов, осмотр у врачей узкой специализации.Далее принимается решение о:
- способом имплантации (тотальный или частичный);
- из какого материала лучше поставить протез;
- фиксация — цементная, бесцементная или гибридная;
- тип анестезии.

Чаще всего анестезия используется спинальная.
Метод протезирования колена успешно практикуют ведущие клиники эндопротезирования коленного сустава федеральные медцентры России, Украины и других государств постсоветского пространства.
Быстро пройти высокотехнологичную процедуру по квоте не всегда возможно, потребуется еще дождаться своей очереди, а на это может уйти 3-6 месяцев, иногда 12 месяцев.
В послеоперационный период колено требует больше времени на восстановление в отличие от бедра. Связано это с тем, что операция в техническом плане сложнее. Послеоперационный шов находится как раз в месте сильного растяжения кожи, что так же осложняет процесс восстановления, ведь нужно активно работать на сгибание-разгибание конечности.
Показания к операции
Примерно каждому десятому пациенту, страдающему патологией колена, требуется эндопротезирование. Причиной критических нарушений выступают следующие заболевания:
- этиологии и подагра;
- деформирующий артроз; ;
- внутрисуставные или околосуставные инфекции;
- травматические поражения; ;
- нарушение гормонального фона.
Хирургическая процедура показана, если обнаружены следующие изменения патологического характера:
- яркая болезненная симптоматика и серьезные двигательные расстройства, при которых консервативные способы и малоинвазивная хирургия не помогают или уже не имеют смысла;
- гонартроз в тяжелом проявлении;
- системная артритная болезнь;
- аваскулярный некроз суставных костей;
- локальные новообразования;
- врожденная и приобретенная дисплазия;
- неправильно сросшиеся переломы;
- посттравматические дегенерации.

Динамика болезни на рентгене.
Откладывать хирургию при гонартрозах 3-4 степени чревато деформацией позвоночника. Это происходит из-за хромоты. Дегенеративные процессы артроза глубоко затронут кости, из-за чего они приобретут хрупкость, потеряют плотность и зафиксировать к ним компоненты импланта станет сложно.
Разрешается проводить даже в преклонном возрасте. Но при наличии любых патологий в стадии декомпенсации, например, сахарного диабета или гипертонии, хирургия будет отменена. Любые инфекционные воспалительные очаги в организме до запланированной процедуры должны быть ликвидированы полностью. Общий список противопоказаний:
- декомпенсированные хронические болезни;
- локальные и общие инфекции, воспалительные процессы;
- анемия 2-3 ст., низкая свертываемость крови;
- тяжелые психические нарушения;
- неконтролируемый диабет;
- туберкулез кости;
- паралич конечности;
- тромбоз глубоких вен ног.
Иногда требуется провести коррекцию веса, если индекс массы тела слишком высок, это опасно травмами и смещением импланта. Инвалидность после лечения не предусмотрена.

Самый распространенный тип импланта коленного сустава.
Диагностика не ограничивается осмотром только лишь больной конечности, обследованию подлежат обе ноги. В этих целях рекомендуется прохождение:
- рентгенографии;
- ультразвукового исследования (УЗИ);
- магниторезонансной томографии (МРТ); (не всегда).

Платформа импланта прослужившая пациенту 16 лет. Хороший результат.
Осуществляется обход узкоспециализированных врачей (кардиолога, терапевта, иммунолога, анестезиолога, ЛОРа, стоматолога), сдача общеклинических анализов, исследование органов и систем организма. Стандартная диагностика включает:
- общий и биохимический анализы крови;
- коагулограмму;
- общий анализ мочи;
- определение уровня сахара в крови;
- тест на группу крови и резус-фактор;
- ультразвуковую допплерографию вен конечностей (УЗДГ);
- электрокардиограмму (ЭКГ);
- фиброгастродуоденоскопию (ФГДС);
- флюорографию органов дыхания.
Также будет произведен забор крови для переливания.
В клиниках эндопротезирования коленного сустава подготовка начинается примерно за 2 недели до предстоящего сеанса. Обязательно рекомендуется лечебная физкультура. Она поможет подготовить мышечный комплекс к реабилитации, посодействует его укреплению. Особенно при предполагаемой хирургии обоих коленных суставов.
Типы протезов и связанные с ними методики
Вы уже знаете, что бывает полное и частичное эндопротезирование коленного сустава, где в первом случае лечение подразумевает полноценную замену суставных поверхностей, а во втором - имплантацию поврежденного участка одного из мыщелков. Соответственно, протезы классифицируются на тотальные, одномыщелковые и ревизионные для замены импланта.
- После постановки однополюсной системы максимально сохраняется собственный костно-хрящевой сегмент и не затрагиваются связки, кстати, они должны быть в хорошем состоянии.

Одномыщелковая замена сустава на рентгене.

С каждой последующей операции статистика успешности ниже. Импланты при этом становятся все более громоздкими.
Одномыщелковое протезирование подразумевает срок службы небиологического устройства максимум 7 лет. Тотальное замещение предусматривает время службы вживленного механизма от 15 лет. Ревизионное переносится сложнее, а риск инфекции и других негативных явлений почти в 2 раза выше, чем после первичной операции.
Жидкое протезирование коленного сустава
Важно еще вкратце дать информацию о жидком протезировании коленных суставов. Это инъекционные препараты гиалуроната натрия, которые служат для восполнения синовиальной жидкости. Жидкое протезирование коленного сустава производится путем введения через шприц раствора гиалуроновой кислоты во внутрисуставное пространство. Подобная лечебная тактика не восстанавливает разрушенный гиалиновый хрящ, но способствуют временному снижению признаков остеоартроза (сокращает тугоподвижность и боль) за счет улучшения смазочных свойств натурального сочленения. Оно применимо в качестве симптоматической терапии при артрозе, но настоящему эндопротезированию не является альтернативой.

Никакие уколы артрозы не лечат!
Описание хирургического процесса
Вид анестезии определяется врачом-анестезиологом. Что значит общий наркоз, думаем, знают все. А по поводу второй разновидности, скорее, не каждый понимает суть и принцип действия обезболивания, внесем ясность.
Эпидуральный наркоз - это один видов регионарной анестезии, смысл которого в подаче в перидуральное пространство позвоночника (в области поясницы) через катетер специального состава, блокирующего передачу импульсов от нервных сплетений спинного мозга. Нижняя часть тела становится нечувствительной. Человек совершенно не ощущает никакой боли, но остается в сознании. Не исключено, что анестезиолог дополнительно подключит внутривенную систему, подающую эффективный седативный препарат, чтобы снять нервное напряжение или погрузить в глубокий медикаментозный сон.

Чем легче наркоз, тем проще всем, пациенту, травматологу и анестезиологу.
Когда анестетик «заработает», начинается тотальное протезирование коленного сустава.
- Доступ к суставу осуществляется с передней стороны колена путем рассечения мягких тканей, обходя надколенник. Разрез небольшой, он равен примерно 12-14 см.
- Аккуратно высвобождается из анатомического пространства.
- Поскольку конструкция для тотального протезирования коленного сустава имеет сложную геометрию, для ее правильной посадки хирург выполняет несколько высокоточных опилов бедренной и большеберцовой костей.
- После ставится «болванка» разных размеров для подборки лучшего.
- Убедившись, что кости подготовлены правильно, специалист приступает к установке постоянных деталей протеза на свое окончательное место.
- В конце проводится промывание антисептической жидкостью площади, в пределах которой выполнялись операционные действия. Потом в рану вставляют временную дренажную систему для оттока раневого отделяемого, разрез ушивается и покрывается стерильной повязкой.

Пациент лежит на операционном столе, нога забинтована, сейчас начнется операция.
После выписки из стационара следует оформиться в лечебно-реабилитационный центр. В таких медучреждениях оказывают высококомпетентную помощь после тотального цементного эндопротезирования коленных суставов или бесцементного, частичного протезирования и ревизионного вмешательства.

Неблагоприятные реакции

От работы реабилитологов зависит не меньше, чем от работы хирурга.
Больной обязан быть под пристальным наблюдением методистов-реабилитологов в послеоперационный период, исполнять все их требования, касающиеся физических упражнений и посещения физиотерапевтических процедур, а также в установленные сроки приходить на плановый осмотр к основному лечащему врачу. Только в таком случае к концу 3-го месяца можно рассчитывать на благополучный исход.
По состоянию шва можно судить о процессах заживления внутри сустава. Вы видите спокойный, хорошо заживающий шов
Через 6 месяцев он будет выглядеть как на фото
К возможным интраоперационным последствиям относят кровотечение, что происходит в единичных случаях. Значительные кровопотери оперативно восполняются донорским запасом крови, заготовленным еще до операции. Инфицирование и аллергический ответ на анестезию тоже маловероятны, если установка проходит с соблюдением всех норм. В течение первого месяца после состоявшейся артропластики встречаются следующие осложнения (вероятность невелика, но присутствует):
- ; в венозном русле конечности;
- тромбоэмболия;
- жировая эмболия;
- расхождение швов и открытие раны;
- вывих протеза, смещение надколенника;
- нарушение чувствительности в зоне колена;
- повышение местной и общей температуры вследствие локального воспаления или попадания инфекции.
Патологические реакции, которые развиваются в отдаленный период (по прошествии 4 недель и позже):
- расшатывание, смещение, нестабильность искусственных компонентов; , в которую он вставлен;
- образование грубых наростов, рубцов вокруг устройства;
- суставно-мышечная контрактура;
- хронические боли; .

Травмы опасны для людей перенесших такую операцию, поэтому берегите себя как минимум первое время, пока нога не окрепла достаточно.
Эндопротезирование коленного сустава
С возрастом репаративные возможности хрящевой ткани колена истощаются, при этом неизбежно запускаются процессы дегенерации. Часто при воздействии неблагоприятных внешних и внутренних факторов разрушение суставных элементов достигает критического уровня - в таком случае единственным методом эффективной помощи больному остается эндопротезирование коленного сустава.

За последние годы отрасль оперативного лечения заболеваний хрящевой ткани сделала ряд значимых шагов вперед. Ведущие медицинские центры России наработали достаточный практический опыт в проведении замены суставов, также были введены соответствующие юридические поправки - теперь при правильном подходе к организации лечения протезирование коленного сустава может быть проведено каждому пациенту, которому необходимо данное вмешательство.
Когда показано эндопротезирование
Основные показания к радикальным способам лечения - это неэффективность консервативных методик, наличие стойкого болевого синдрома, двигательных расстройств, нестабильности и выраженной деформации коленного сустава. К ситуации, когда операция оказывается единственным способом поддержания достойного качества жизни больного, приводит прогрессирование следующих патологий:
- ревматоидный артрит;
- болезнь Бехтерева;
- деформирующий артроз 3-4 степени;
- врожденная дисплазия;
- инфекционное поражение сустава;
- гемартроз при гемофилии и других заболеваниях, нарушающих свертываемость крови;
- посттравматический артроз, неправильно сросшиеся внутрисуставные переломы;
- подагра, сахарный диабет и другие болезни, связанные с нарушением обмена веществ;
- асептический некроз костной ткани;
- новообразования в хрящах и костях, нарушающие функции коленного сустава;
- гормональный дисбаланс;
- значительное ожирение.
Для лечения злокачественных опухолей коленного сустава применяют специальные онкологические эндопротезы. Они отличаются более длинной ножкой, которая глубоко вбивается в бедренную кость.

Предрасполагающие факторы
Гонартроз (артроз коленного сустава) и аваскулярный некроз могут возникать в результате развития заболеваний сосудов, варикозной болезни, атеросклероза суставов нижних конечностей, облитерирующего эндоартериита.
Избыточный вес у женщин в 2 раза увеличивает риск развития дегенеративных процессов в хрящевой ткани колена[i], а ожирение 2-3 степени у обоих полов на 13 лет ускоряет необходимость установки протеза коленного сустава[ii].
Противопоказания к проведению операции
Есть ряд состояний, при которых проведение оперативного вмешательства весьма опасно - может привести к серьезным осложнениям и даже летальному исходу. Среди абсолютных противопоказаний к эндопротезированию колена выделяют следующие:
- тяжелые патологии сердечно-сосудистой и дыхательной системы;
- острые соматические заболевания, а также обострение хронических болезней;
- инфаркт миокарда или инсульт давностью менее 8 месяцев;
- варикозная болезнь и тромбоз глубоких вен ног;
- нарушения свертываемости крови, анемия средней и тяжелой степени тяжести;
- иммунодефицитные состояния;
- сахарный диабет в стадии декомпенсации;
- острые и хронические инфекционные заболевания местного и общего характера;
- инфекционный процесс в области колена давностью менее 3-х месяцев;
- парез нижней конечности на стороне планируемого хирургического вмешательства;
- незрелость костной ткани, а также ее врожденные дефекты, приводящие к неспособности удерживать искусственный сустав;
- туберкулезное поражение сустава - менее чем 1,5 года с момента купирования активного процесса;
- отсутствие костномозгового канала бедренной кости;
- эпилепсия с припадками не реже 1 раза в месяц, стойкие психические и неврологические заболевания;
- индивидуальная непереносимость материалов, из которых изготовлен эндопротез.
Операция по замене коленного сустава не проводится лежачим больным, пациентам со значительной мышечной атрофией. Крайняя степень ожирения, заболевания внутренних органов и сосудов в стадии субкомпенсации, онкологический процесс различных локализаций, анкилоз, гормональная остеопатия и остеопороз коленного сустава являются относительными противопоказаниями - в таком случае решение о возможности проведения вмешательства принимается в индивидуальном порядке.
Как правильно готовиться?
Перед тем как ставить коленный эндопротез необходимо пройти комплексное исследование костной и хрящевой ткани, а также организма в целом. К методам оценки состояния скелета следует отнести следующие обследования:
- денситометрия - позволяет измерить минеральную плотность костной ткани и определить выраженность остеопении и степень остеопороза;
- анализ крови на ионизированный кальций;
- определение уровня маркера остеорезорбции b-Cross Laps (и-ctx) в сыворотке.
При обнаружении чрезмерно сниженной плотности костной ткани в ходе предоперационной подготовки необходимо проведение дополнительных лечебных мероприятий. Пациенту назначаются лекарства, регулирующие фосфорно-кальциевый обмен, препараты витамина D, кальция. При наличии значимых факторов риска может быть рекомендовано проведение профилактической терапии. Это достоверно снижает риск развития ранней нестабильности сустава. [iii]
Для оценки состояния области предполагаемого вмешательства проводят несколько инструментальных исследований:
- рентгенографию обоих коленных суставов в 2-х проекциях;
- УЗИ;
- магнитно-резонансную томографию;
- артроскопию (по показаниям).
Назначается ряд лабораторных анализов, позволяющих оценить общее состояние больного, здоровье его внутренних органов и системы гемостаза. В индивидуальном порядке могут проводиться другие дополнительные лабораторные исследования. К примеру, больным с частыми аллергическими реакциями в анамнезе назначают аппликационные накожные тесты.
У пациента есть возможность самостоятельно улучшить прогноз после операции: укрепление иммунитета правильным питанием, грамотное закаливание, снижение веса - все это объективно помогает организму успешно перенести операцию и быстро адаптироваться к новым условиям.
Больному перед эндопротезированием коленного сустава желательно освоить комплекс упражнений для укрепления мышц и тренировки суставов, которые будут применяться во время реабилитации после операции. Это позволит ускорить восстановление после эндопротезирования коленного сустава, с этой же целью проводят обучение пациента правильному обращению со вспомогательными приспособлениями: костылями, тростью, палкой.
Ход операции: техники проведения
Манипуляция с установкой коленного протеза предполагает использование ряда техник - в зависимости от преследуемых целей. Особенности каждой операции указаны в таблице ниже.

Выбор техники эндопротезирования коленного сустава в зависимости от клинической ситуации
Тотальное протезирование коленного сустава
- гонартроз 3 степени;
- вальгусная дефорамация до 10°;
- варусная информация до менее 20°;
- амплитуда сгибания колена не менее 60°.
Ревизионное эндопротезирование коленного сустава
Частичное протезирование коленного сустава (одномыщелковое, парциальное)
Эндопротезирование обоих суставов
Непосредственно перед операцией пациент общается с анестезиологом, который оценивает текущее состояние больного и окончательно определяется с методикой обезболивания. Как правило, речь идет о спинальной анестезии. При ревизионной операции, если есть серьезная сопутствующая патология, используют спинально-эпидуральную анестезию. Общее обезболивание (наркоз) проводится по настоянию пациента или при отсутствии альтернатив.
Прогнозы и возможные осложнения
При грамотной установке, срок службы протеза варьируется от 10 до 30 лет. Идеально пройденный этап реабилитации увеличивает исходный период на годы или даже десятилетия.
Сокращать продолжительность службы импланта могут осложнения, которые настигают пациента сразу после операции или отсрочено. К ранним неблагоприятным реакциям относятся следующие состояния:
- гнойно-воспалительный процесс в результате инфицирования;
- ранняя нестабильность сустава или отдельных его компонентов;
- контрактура - ограничение двигательной активности сустава;
- тромбофлебит вен нижних конечностей - возникает риск тромбоэмболии легочной артерии с возможным летальным исходом;
- вывих импланта - чаще наблюдается после ревизионного эндопротезирования коленного сустава;
- аллергические реакции на компоненты эндопротеза.
Инфицирование области колена через год и более после операции относится к поздним осложнениям и связано с проникновением микроорганизмов с током крови из очагов хронической инфекции. Асептическое расшатывание компонентов вследствие разрушения цемента или кости в месте фиксации импланта наблюдается у 10-15% пациентов в течение первых 10 лет функционирования протеза.
Реабилитация эндопротезирования коленного сустава
Неприятные ощущения после операции сохраняются первые 3-4 дня. Для комфорта пациента и предупреждения послеоперационных осложнений проводят медикаментозную профилактику болевого синдрома. При проведении частичной замены коленного сустава реабилитационный период проходит быстрее. Пациент практически сразу начинает ходить без вспомогательных средств - трости и ходунков.
Для профилактики ранних послеоперационных осложнений врач обычно дает ряд рекомендаций:
- прием антикоагулянтов, антибиотиков, обезболивающих препаратов, препаратов кальция и витамина D, бифософонатов;
- использование компрессионного трикотажа,
- проведение лечебной физкультуры и физиотерапевтического лечения;
Использование ходунков или костылей. Как минимум, в течение 6-ти недель больному предстоит при ходьбе использовать ходунки или локтевые костыли, при этом с первых дней пациенту необходимо проявлять двигательную активность. При проведении одномоментного эндопротезирования двух коленных суставов срок применения костылей может увеличиваться до 3 месяцев. Большой вес пациента и развитие ряда осложнений также может быть показанием к продлению периода использования дополнительной опоры. При необходимости в переходном периоде после отказа от костылей пациент может использовать специальную трость.

Упражнения в рамках программы реабилитации после эндопротезирования коленного сустава должны выполняться медленно, в спокойном режиме. Помощь со стороны специалиста-реабилитолога для грамотного восстановления нужна пациенту в течение 3 месяцев.
Иногда пациентам оказывается необходима помощь психолога - при страхе самостоятельно ходить, делать необходимый комплекс упражнений.
Женщинам, перенесшим эндопротезирование, рекомендуется беременеть не ранее, чем через полгода-год после операции
Эндопротезирование коленного сустава по квоте
Протезирование коленного сустава по квоте дает возможность провести операцию частично или полностью за средства выделенного государственного бюджета. Пациент должен иметь показания к проведению эндопротезирования, указанные в списке действующей Программы оказания высокотехнологичной медицинской помощи. Совместно с лечащим врачом оформляется вся необходимая информация, больной проходит комиссию при поликлинике, после сбора всех необходимых документов он направляется на областную комиссию. Решение об одобрении заявки на проведение операции по квоте, принимает уполномоченная клиника.
Эндопротезирование коленного сустава цена
Эндопротезирование коленного сустава в России на сегодняшний день проводиться практически во всех крупных городах. Стоимость установки протеза коленного сустава может значительно отличаться в разных медицинских центрах, средняя цена по Москве - 138 900 р. Известные клиники травматологии и ортопедии находятся также в СПб, Новосибирске, Нижнем Новгороде, Барнауле, Смоленске, Оренбурге, Сургуте. Надежной репутацией в сфере эндопротезирования коленного сустава пользуется Российский НИИ травматологии и ортопедии им. Р.Р. Вредена - в петербургском центре цена на операцию будет варьироваться от 30 800 р. за одномыщелковое эндопротезирование до 53 900 р. за ревизионное хирургическое вмешательство. Стоимость протезирования в других областях будет несколько ниже. К примеру, в ФГБУ “ННИИТО им. Я.Л.Цивьяна” (Новосибирск) первичная операция будет стоить 18 200 р., реэндопротезирование - 35 000 р. Общие затраты на лечение зависят от того, какая у используемого эндопротеза коленного сустава цена, а также от сложности конкретной клинической картины, условий пребывания в стационаре и тактики послеоперационного периода.
[1] Inoue R. Medical problems and risk factors of metabolic syndrome among radiographic knee osteoarthritis patients in the Japanese general population//Journal of Orthop. Science. - 2011. - Vol. 16. - p. 704-709.
[2] Changulani M., Kalairajah Y., Peel T., Field R.E. The relationship between obesity and the age at which hip and knee replacement is undertaken// The Bone & Joint Journal. - 2008. - Vol. 90-B. - p. 360-363.
[3] Алабут А.В., Салум Н.Ю., Сикилинда В.Д. АЛГОРИТМЫ ДИАГНОСТИКИ, ПРОФИЛАКТИКИ И ЛЕЧЕНИЯ ОСТЕОПОРОЗА ПРИ ЭНДОПРОТЕЗИРОВАНИИ КОЛЕННОГО СУСТАВА//Современные технологии в медицине. - 2013. - №4. - с. 64-68.
[4] Базлов В.А., Гуражев М.Б., Мамуладзе Т.З., Панченко А.А., Пронских А.А., Соловьев В.Ю., Баитов В.С. ИСПОЛЬЗОВАНИЕ ИНДИВИДУАЛЬНЫХ ИМПЛАНТАТОВ В РЕВИЗИОННОМ ЭНДОПРОТЕЗИРОВАНИИ КОЛЕННОГО СУСТАВА// Современные проблемы науки и образования. - 2019. - № 4.
[5] Корнилов Н.Н., Куляба Т.А., Федоров Р.Э. СРАВНИТЕЛЬНАЯ ОЦЕНКА СРЕДНЕСРОЧНЫХ ФУНКЦИОНАЛЬНЫХ ИСХОДОВ ОДНОМЫЩЕЛКОВОГО И ТОТАЛЬНОГО ЭНДОПРОТЕЗИРОВАНИЯ КОЛЕННОГО СУСТАВА С ИСПОЛЬЗОВАНИЕМ РАЗЛИЧНЫХ БАЛЛЬНЫХ СИСТЕМ// Травматология и ортопедия России. - 2012. - №3.
[6] Чугаев Д.В., Ласунский С.А., Сорокин Е.П., Синеокий А.Д., Стафеев Д.В. ФУНКЦИОНАЛЬНЫЕ РЕЗУЛЬТАТЫ ТОТАЛЬНОГО И ПАРЦИАЛЬНОГО ЭНДОПРОТЕЗИРОВАНИЯ КОЛЕННОГО СУСТАВА У ПАЦИЕНТОВ С ГОНАРТРОЗОМ// Травматология и ортопедия России. - 2016. - №3.- с. 296-299.
Автор: доктор Матиенко Инна Васильевна,
Кандидат Медицинских Наук
Полное эндопротезирование | Knee replacement
Что представляет собой тотальный эндопротез коленного сустава?

Эндопротезы коленного сустава предназначены для замены естественных компонентов при сильном артрозе. При этом часть кострукции покрывает конец бедренной кости. Другая часть закрывает область голени. Искусственные скользящие поверхности для производства которых используются металл и полиэтилен восстанавливают подвижность в колене. Благодаря этому после артроза пациент может двигаться как раньше.© Gelenk-Klinik
Тотальный эндопротез коленного сустава — это замена разрушенных вследствие артроза элементов на искусственные. По причине чрезмерных нагрузок из-за массы тела, а также из-за травм либо воспалений, коленные суставы чаще других подвергаются износу. Частичные эндопротезы заменяют только часть коленного сустава при незначительных травмах, а тотальные предназначены для полной их замены.
Имплантация двух типов эндопротезов проводится во время хирургического вмешательства. Тотальный протез гарантирует пациенту безболезненные будни. Так же пациент сможет двигаться как прежде без каких-либо симптомов позабыв о прошедшем артрозе. Медицинский ортопедический центр эндопротезирования Геленк Клиники является сертифицированным учреждением, в котором постоянно контролируется специализация хирургов, качество результатов лечения и диагностики.
Мы используем исключительно так называемые поверхностные протезы, в которых происходит замена поверхностей бедра и голени в суставе, при этом обе части механически не связаны между собой. Механическое соединение обеих компонентов на практике себя не оправдало, так как из-за износа материала это часто приводило к переломам
Читайте также:
