Техника лечения переломов ноги вытяжением
Добавил пользователь Валентин П. Обновлено: 21.11.2025
I. Репозиционная: до 3 дней. Желательно продолжительность этой фазы сократить до минимума. Поэтому контрольная рентгенограмма после наложения скелетного вытяжения должна быть сделана уже на следующий день. После этого следует произвести коррекцию величины силы вытяжения, ее направления, наложить дополнительные тяги. Чем дольше продолжается фаза репозиции, тем худшие условия для образования первичной мозоли. Репозиция отломков должна быть подтверждена рентгенограммами в двух проекциях.
2. Ротационная (удержание): 2—3 недели. В этот период должен быть обеспечен максимальный покой вытягиваемого сегмента конечности (вред от перекладываний больного, транспортировки его, включение в лечебную физкультуру поврежденного сегмента). Через 2 недели после начала вытяжения следует сделать контрольные рентгеновские снимки в двух проекциях.
3. Репарационная: 2—4 недели — от первых признаков мозоли до достаточной консолидации (прекращение вытяжения). Клинически это подтверждается тем, что больной может поднять поврежденную конечность.
Места проведения спиц
Типичные места направления проведения спиц показаны на рисунке 9.37. При наложении вытяжения над мыщелками бедра точка введения спицы определяется следующим образом: уровень во фронтальной плоскости соответствует верхнему краю надколенника в сагиттальной плоскости — граница передней и средней трети всей толщины бедра. Спица проводится изнутри кнаружи для исключения повреждения бедренной артерии и вены.
При лечении переломов бедренной кости скелетное вытяжение накладывают и на основание бугристости большеберцовой кости. Точки введения спицы должны располагаться у основания бугристости на 1,5—2 см кзади от наиболее выстоящей поверхности ее. Высокое проведение спицы опасно из-за возможности инфицирования коленного сустава. Поверхностное проведение спицы через бугристость большеберцовой кости может быть причиной прорезывания ее. Спица проводится снаружи кнутри для исключения повреждения общего малоберцового нерва. Взаимоотношение мест проведения спиц через бедренную кость и большеберцовую с анатомическими образованиями коленного сустава представлено на рисунке 9.38.
В тех случаях, когда переломы бедренной кости или переломы костей таза требуют вытяжения большими грузами (более 6 кг), показано проведение спицы через нижний метафиз бедра. К этому приему можно прибегать при переломах вертельной области или шейки бедра. Однако если в плане лечения не исключается возможность операции остеосинтеза стержнем (диафизарный или низкий перелом бедренной кости), то мы не рекомендуем проводить спицу для вытяжения через бедренную кость, так как в этом случае наличие инфицированного канала в мягких тканях и кости может быть причиной гнойного осложнения.
Скелетное вытяжение за нижний метафиз бедренной кости опасно у детей, так как спица может быть проведена через ростковую зону, что в дальнейшем может сказывать-
ся нарушением роста бедренной кости. На рис, 9.39 показана рентгенограмма бедренной кости мальчика 14 лет, которого лечили 4 года тому назад скелетным вытяжением за нижний конец бедренной кости. Имеется тяжелая вальгусная деформация.
Точка проведения спицы при вытяжении за пяточную кость должна располагаться в центре тела этой кости. Для определения этой точки нужно установить стопу под прямым углом к голени, провести прямую линию от заднего края внутренней лодыжки до наиболее выступающей кзади точки пяточного бугра. Середина этой линии и будет определять место введения спицы. Спица вводится изнутри кнаружи — тем исключается вероятность повреждения сосудов и нерва в лодыжечном канале.
Ошибкой является проведение спицы через точку, расположенную на 4—5 см ниже верхушки внутренней лодыжки, как это рекомендуют делать некоторые авторы (рис. 9.40).
При вытяжении за нижний метафиз большеберцовой кости спица проводится на 5— 6 см выше верхушки внутренней лодыжки. Вытяжение за нижний метафиз большеберцовой кости при переломах костей голени более оправдано с точки зрения биомеханики — вытяжение осуществляется по оси центрального отломка, и не возникает запрокидывания кзади конца периферического отломка, которое может быть при вытяжении за пяточную кость. Но вытяжение за нижний метафиз большеберцовой кости нецелесообразно, если не исключается возможность оперативного лечения, особенно остеосинтеза стержнями — опасность инфицированных осложнений.
Для определения места проведения спицы в области локтевого отростка следует согнуть предплечье под прямым углом, провести линию от медиального надмыщелка плеча к верхушке локтевого отростка локтевой кости, от середины этой линии восстановить перпендикуляр, на нем, отступя 3 см от первой линии, и располагается точка введения спицы. Спицу через основание локтевого отростка локтевой кости нужно проводить изнутри кнаружи, чтобы избежать повреждения локтевого нерва. Взаимоотношение локтевого нерва и места проведения спицы показано на рисунке 9.41.
Стандартные дуги для вытяжения спицы, проведенной через локтевой отросток локтевой кости, имеют существенный недостаток — они малы, особенно если увеличен слой подкожной клетчатки или имеются отек и гематома вокруг локтевого сустава.
В. В. Ключевским (1974) предложен новый прием скелетного вытяжения за локтевой отросток спицей Киршнера со штыкообразным изгибом (рис. 9.42). Спица проводится от верхушки локтевого отростка к его основанию. На верхнем конце ее делается штыкообразный изгиб, он устанавливается на кость (изгиб проходит свободно через прокол, сделанный спицей, поэтому дополнительных разрезов не делается). Вытяжение осуществляется за выступающий из основания локтевого отростка локтевой кости конец спицы.
Аппараты, приспособления и материалы для скелетного вытяжения
Обычная больничная кровать с поднимающимся подголовником неудобна для лечения переломов скелетным вытяжением. Щит, без которого вытяжение невозможно, закрывает подголовник. Для поднятия туловища и головы больному необходимо бывает подложить 3—4 подушки, которые смещаются, «сползают».
Если больного на щите укладывают на обычную кровать, то щит следует закрыть двумя матрацами, лучше если верхний будет поролоновый. Для придания больному функционально выгодного положения на обычной кровати под туловище и голову следует подложить втрое сложенный матрац. При лечении переломов шейки бедра и вертельной области у пожилых больных и стариков под ноги подкладывается валик и ножной конец нижнего матраца сворачивается вдвое. Этим обеспечивается полусогнутое положение как поврежденной, так и здоровой ноги. Выпрямление здоровой ноги на плоской постели является ошибкой. Оно плохо переносится больными. Таким образом, для лечения переломов скелетным вытяжением на обычной кровати требуется три матраца.
Для лечения больных с переломами скелетным вытяжением (особенно больных с полифактурами и сочетанными повреждениями!) удобна функциональная кровать. Она легко передвигается (колеса на шариковых подшипниках), позволяет изменять углы подъема туловища и сгибания ног. Сетка ее натянута на четырех рамах, поэтому не перерастягивается при укладывании больного, что позволяет скелетное вытяжение проводить без щита. Низкая спинка функциональной кровати не препятствует приведению и отведению ноги с шиной Белера.
На основе функциональной кровати создана кровать для травматологических больных (рис. 9.43).
Шины скелетного вытяжения. Для лечения переломов костей нижней конечности отечественной промышленностью изготовляются шины Белера с роликовыми блоками.
Для лечения переломов плечевой кости используются отводящие шины, крепящиеся к груди больного (рис. 9.44).
Инструментарий для наложения скелетного вытяжения. Для скелетного вытяжения в настоящее время используется инструментарий, предложенный Киршнерой: стальная спица, напрягающая дуга, направитель-гармоника для проведения спицы электрической или ручной дрелью, напрягающий и фиксирующий ключ (рис. 9.45).
Некоторая сложность инструментария для натяжения спицы в дуге Киршнера привела к предложению новых конструкций дуг. Широкое распространение получила дуга Центрального института травматологии и ортопедии. Она состоит из двух половин, соединенных на вершине дуги двумя накладками. При закручивании гайки-винта обе половины дуги расходятся, спица натягивается (рис. 9.46).
Спица проводятся электрической или ручной дрелью. Однако чем больше скорость вращения спицы, тем больше зона термического повреждения кости (Ruckeit, 1935; Matthews, Hirch, 1972). Поэтому преимущество следует отдавать ручной дрели (особенно при проведении спицы через локтевой отросток, гребень подвздошной кости, бугристость большеберцовой кости, пяточную кость).
Спицы, выпускаемые отечественной промышленностью, имеют обычную трехгранную пирамидальную заточку. Заточенная таким образом спица хорошо проходит через губчатую кость и значительно хуже через компактную.
Исследования Ruckeit показали, что при проведении трехграннозаточенной спицы температура кости вокруг спицы достигает 250°С. Кость обугливается.
Более рационально, по мнению Ruckert (1935), затачивать спицу в форме сверла и применять плоскую заточку. Г. И. Шевченко с соавт. (1978) предложили одногранную заточку (рис. 9.47).
Спица Киршнера имеет несомненные преимущества по сравнению с гвоздем и скобой для скелетного вытяжения: она тонка, проводится через кость атравматично. Будучи натянутой в дуге, спица получает достаточное напряжение, а поэтому оказывает равномерное давление на кость во всех участках соприкосновения.
Однако концы спиц жестко фиксированы в зажимах напрягающих дуг, и при движении дуги спица вращается в кости. Это является одной из причин смещения спицы и инфицирования тканей вокруг нее. Не предупреждают смещения спицы и специальные фиксаторы ЦИТО и Магнуса. Они при смещении спицы сдавливают мягкие ткани, возникают пролежни.
Нами (1974) разработан простой прием для исключения смещения спиц при лечении переломов скелетным вытяжением. Через кость проводится не одна, а две спицы на расстоянии 5 мм одна от другой. После проведения спиц на противоположных сторонах их крампонными щипцами или специально переоборудованными для этой цели пассатижами делаем штыкообразный изгиб высотой 3 мм. За прямые концы спицы протягиваем через кость так, чтобы изгиб уперся в кость. Штыкообразный изгиб легко проходит через мягкие ткани, поэтому специальных разрезов не делаем. После этого
обе спицы фиксируем в одной дуге и натягиваем их с такой силой, чтобы они не прогибались при вытяжении грузом 7—8 кг. Штыкообразные изгибы полностью исключают смещение спицы в любую сторону (рис. 9.48).
Этот прием используем в клинике с 1973 года у всех больных при вытяжении за нижний метафиз бедра, бугристость большеберцовой кости, пяточную кость. Он особенно оправдан при длительном скелетном вытяжении (лечение переломов шейки и вертельной области, переломов голени и переломо-вывихов голеностопного сустава), при скелетном подвешивании больного (предупреждение пролежней).
Каких-либо осложнений при использовании предлагаемого приема мы не наблюдали. Для подвешивания груза следует применять капроновую леску толщиной 1 мм. Она
прочна, эластична, гигиенична, способна демпферировать и эстетична.
Леску к напрягающей дуге удобно крепить спицей Киршнера (рис. 9.48). Спица изгибается «коромыслом». Такой прием крепления к дуге прост, надежен и эстетичен. В то же время согнутая таким образом спица служит дополнительно и демпфером.
Для подвешивания груза удобна подвеска с фиксирующей грузы гайкой (А. А. ДАренберг, 1968, рис. 9.49). Эта гайка исключает падение грузов при переноске их с подвеской в собранном виде и при колебаниях подвески.
Удобно вместо чугунных грузов использовать 1,5-литровые пластиковые бутылки (рис. 9.50). Они заливаются через воронку водой. Используя эту подвеску, можно величину груза увеличивать постепенно, добавляя воду небольшими порциями.
Стальные пружины-демпферы изготовляются из стали марки 65-Г, диаметр проволоки 2,5—3 мм, длина пружины 4—12 см, диаметр 3 см.
Техника проведения спиц
Наложение скелетного вытяжения осуществляют в операционной в стерильном халате. При переломах нижней конечности ее укладывают на шину Белера. При этом следует снять надстопную раму шины. При переломе плечевой кости руку укладывают на подставку к операционному столу так, чтобы локоть был согнут чуть больше 90°, а пле-
чо было поднято.
После обработки операционного поля, обезболивания мест введения и выведения спицы 1% раствором новокаина проводится спица. Вставлять спицу в дрель следует аподактильно.
После проведения спицы вокруг нее к коже прикладываются марлевые шарики, смоченные спиртом. Они фиксируются резиновыми пробками от флаконов с пенициллином или повязкой.
При использовании для натяжения спицы в дуге Киршнера она вставляется в пазы фиксирующих болтов. На одной стороне дуги затягивается гайка со щечкой, а с другой стороны спица фиксируется в напрягающем ключе. Поворотом его ручки против часовой стрелки спица натягивается до такого момента, пока не перестанет прогибаться при потягивании за дугу. После этого закручивается гайка со щечкой на другом фиксирующем болте дуги Киршнера; отвинчивается гайка спиценатягивателя, и он снимается (см. рис. 9.45).
Концы спиц, выходящие за пределы наружных краев дуги, укорачиваются так, чтобы можно было согнуть крючок для подвязывания лески (см. рис. 9.48). Это делается при подвешивании стопы к надстопной раме шины Белера, при дополнительном вытяжении за край скобы (например, для осуществления внутренней ротации бедра при лечении скелетным вытяжением медиальных переломов шейки бедра).
Лечение переломов методом вытяжения
Студенты должны знать, что метод иммобилизации гипсовыми повязками не всегда применим, так как костные фрагменты не всегда можно сопоставить при ручной или аппаратной репозиции или ожидается вторичное смещение отломков, например при косых переломах бедра, плеча, костей голени. В этих случаях предпочитают проводить функциональное лечение способом вытяжения, при котором можно использовать боковые тяги. Этот метод используется для сочетания одновременного восстановления как анатомической целостности кости, так и функции поврежденной конечности.
О лечении переломов методами вытяжения упоминается уже в сочинениях Гиппократа.
Впервые липкопластырное вытяжение было предложено Чесельденином в 1740 году и использовано для лечения косолапости, но оно стало безвредным только со времени применения американского каучукового пластыря Джеймса в 1839 году. Большую роль в истории лечения переломов вытяжением сыграл Банденгейер, который на очень большом клиническом материале детально разработал технику вытяжения почти для всех видов переломов. В России этот метод широко использовал и пропагандировал К.Ф.Вегнер, работавший в Харьковском медико-механическом институте.
Показания к лечению переломов липкопластырным или клеоловым вытяжением
1.Переломы не поддающиеся репозиции при ручной одномоментной или аппаратной репозиции.
2.Лечение переломов у детей раннего возраста (лечение перелома бедра по Шеде).
3.Противопоказания к наложению гипсовой повязки.
Техника наложения липкопластырного или клеолового вытяжения
После обезболивания области перелома на кожу накладываются полосы липкого пластыря или куски фланели на предварительно смазанную клеолом кожу. Полосы накладываются выше перелома, а в области сустава перекидываются на противоположную сторону сегмента конечности с образованием петли в которую вводится фанерная распорка, за которую укрепляется тяга и производится вытяжение. Дополнительно ранее наложенные полосы липкого пластыря скрепляются более узкими полосами липкого пластыря, которые накладываются в поперечном направлении или укрепляются циркулярными ходами мягкого бинта.
Конечность следует уложить на шину для вытяжения. Для верхней конечности используют отводящую шину ЦИТО, для нижней конечности - шины Л.Белера, Ф.Р.Богданова, Л.И.Шулутко и др.
Предварительно шины выстилаются ватой и обматываются бинтами. Вытяжение отломков производится за шнур, прикрепленный у дощечке при помощи подвешивания грузов или пружин, винтов и резиновых трубок. При боковых смещениях применяют аналогичные полосы липкого пластыря с противотягами.
При вытяжении конечности имеется возможность наблюдать за ее состоянием, а при помощи рентгенологического контроля - за положением отломков.
Липкопластырное вытяжение следует удерживать до образования первичной костной мозоли (которая определяется также рентгенологическим контролем), после чего она может быть заменена гипсовой повязкой, удерживаемой до полной консолидации перелома.
Скелетное вытяжение
При обычной системе вытяжения за кожу клеоловыми или липкопластырными тягами, накладываемыми на сегменты конечности, в большинстве случаев нельзя рассчитывать не только на вправление сместившегося периферического отломка, но даже и на удержание его в положении достигнутого сопоставления, если такое удалось одномоментным путем. При клеоловом вытяжении сила тяги поглощается кожей, подкожной клетчаткой и мышцами, а поэтому данный вид вытяжения не дает желаемого эффекта. Лучшим и наименее болезненным вытяжением является то, которое непосредственно прикладывается к кости. При значительном смещении отломков более целесообразно использовать скелетное вытяжение, которое было предложено в 1903 году Кодивилла. Это был способ лечения переломов бедра и голени вытяжением за гвоздь, пробитый в поперечном направлении через пяточную кость. В дальнейшем этот метод был детально разработан Штейнманом в 1907 году. В 1931 году Киршнером и Беком гвозди были заменены спицами из нержавеющей стали, укрепляемыми в различных дугах и скобах (Киршнера, ЦИТО, Климова, Маркса и пр.) Павлович в 1931 году предложил клемму своей конструкции, которая острыми браншами вбивается в кость.
Показания к наложению скелетного вытяжения
1.Закрытые и открытые (после ПХО) переломы диафиза бедренной кости.
2.Латеральные переломы шейки бедренной кости.
3.Т- и U-образные переломы мыщелков бедренной и большеберцовой кости.
4.Диафизарные переломы костей голени и переломы лодыжек.
5.Переломы и переломо-вывихи шейного отдела позвоночника.
6.Переломы плечевой кости на всех уровнях.
7.Подготовка к вправлению застарелых вывихов бедра.
Техника наложения скелетного вытяжения
Скелетное вытяжение накладывается в операционной с соблюдением всех правил асептики. После помещения конечности на функциональную шину в средне-физиологическом положении производят обработку операционного поля, а затем производят анестезию области перелома вышеуказанным способом. В месте проведения спицы производится местная анестезия 0,5% раствором новокаина. Помощник фиксирует конечность, а хирург с помощью дрели проводит спицу через кость. По окончании операции места выхода спицы из кожи изолируют стерильными салфетками, наклеенными клеолом на кожу вокруг спиц.
На спицу с обеих сторон надеваются ограничители для предотвращения смещения спицы в кости, Спица укрепляется в скобе в натянутом положении. Вытяжение осуществляется за скобу шнурками, перекинутыми через блоки шины.
Для проведения спиц существуют определенные места в кости, в зависимости от приложения вытяжения. При вытяжении бедра за надмыщелки следует учитывать близость капсулы коленного сустава и расположение сосудисто-нервного пучка. Точка проведения спицы должна быть расположена на уровне верхнего края надколенника, а по глубине - на границе передней и средней трети всей толщины бедра. Спица проводится с внутренней стороны кнаружи.
На голени спица для скелетного вытяжения проводится через основание бугристости большеберцовой кости или над лодыжками большой и малой берцовых костей. Введение спицы через бугристость большеберцовой кости следует производить только с наружной стороны, чтобы избежать ранения малоберцового нерва. Введение спицы в области лодыжек должно осуществляться со стороны внутренней лодыжки на 1-1,5 см проксимальнее наиболее выступающей ее части или на 2-2,5 см проксимальнее выпуклости наружной лодыжки. Во всех случаях спицу вводят перпендикулярно оси голени.
Скелетное вытяжение за бугристость большеберцовой кости применяется при переломах бедренной кости в нижней трети и внутрисуставных повреждениях коленного сустава, а в области лодыжек - при переломах голени на всех уровнях.
При вытяжении за пяточную кость спицу проводят через центр тела пяточной кости изнутри кнаружи. Скелетное вытяжение за пяточную кость применяется при переломе большеберцовой кости на любом уровне, а также при внутрисуставных переломах голеностопного сустава.
Для проведения скелетного вытяжения при переломах плечевой кости спицу вводят через локтевой отросток снутри воизбежание ранения лучевого нерва и лишь в особых случаях - через мыщелки плечевой кости. При проведении спицы в области локтевого отростка необходимо согнуть предплечье под прямым углом в локтевом суставе, прощупать верхушку локтевого отростка, отступит 2-3 см дистальнее от его верхушки.
Величина грузов для вытяжения подбирается индивидуально в зависимости от возраста, веса больного и степени смещения отломков. Для нижней конечности - от 4 до 15 кг; для верхней конечности - от 4 до 6 кг. У детей и стариков эти грузы значительно уменьшаются.
При лечении переломов методом скелетного вытяжения необходимо периодически производить контрольные рентгенораммы, которые позволяют судить о состоянии отломков. При растяжении отломков может наступить замедленное срастание или несращение перелома.
Из осложнением связанных со скелетным вытяжением следует отметить нагноение мягких тканей, которое может наступить при несоблюдении правил асептики и антисептики. Нагноение мягких тканей может привести к остеомиелиту , а в запущенных случаях - к сепсису и летальному исходу.
Студенты на костях скелета осваивают методику наложения скелетного вытяжения.
Техника лечения переломов ноги вытяжением
Несмотря на прогресс оперативной ортопедии, скелетное вытяжение сохраняет свое значение при лечении переломов нижних конечностей, особенно в острый период травматической болезни - до компенсации сдвигов гомеостаза организма пострадавшего. К достоинствам данного метода лечения относится атравматичность, дозированное преодоление ретракции мышц и достижение репозиции костных отломков с обеспечением покоя и среднефизиологического положения поврежденной конечности. Вместе с тем традиционное скелетное вытяжение не свободно от недостатков, что делает уместным его оптимизацию.
Преобладание силы мышц задне-наружной стороны голени и рычаговые свойства костных отломков нередко диктуют необходимость бокового давления или тракции при скелетном вытяжении. Использование валиков малоэффективно, а боковая тяга нуждается в расправливании марлевых полос, сбивающихся в сдавливающий ткани жгут. Предложено устройство (патент на полезную модель РФ № 41250), включающее одну или две компрессирующие пяты и состоящие из деталей аппарата Илизарова и куска пористой резины. Во избежание пролежней между компрессирующей пятой и кожей больного подкладывают марлевую салфетку. При остающейся опасности пролежней используются другие компрессирующие устройства - инвазивное и неинвазивное. Рабочей частью инвазивного устройства (патент на изобретение РФ № 2231302) являются заостренные фрагменты спиц Киршнера. Устанавливают данное устройство к каркасу шины Белера в виде консольной приставки. Выбором уровня установки, плоскости расположения кронштейна и степенью затягивания гаек на резьбовой штанге регулируют уровень, направление и величину давления устройства на один или оба костных фрагмента. От предыдущего устройства оно отличается обеспечением не только резьбовой, но и эластической компрессии отломков. Неинвазивное монолатеральное устройство (патент на изобретение РФ № 2266074), состоит из компрессирующей пяты и системы боковой тяги. При изготовлении пяты ступенчато изгибают металлическую пластину, чем обеспечивают пружинистость ее давления. Опорные части пластины обматывают бинтом, который зажимают краями изогнутой пластины, что исключает давление краев пяты на кожу и разматывание бинта. Систему боковой тяги изготавливают из спиц, марлевой полосы и шнура, что предупреждает скатывание марлевой полосы в сдавливающий мягкие ткани голени жгут.
Кроме того, предложены и другие устройства и способы оптимизации скелетного вытяжения: для предупреждения пролежней, исключения бокового смещения скобы, оптимизации условий сращения бедра (за данное устройство в 2010 году на Международной выставке высоких технологий в Нови-Саде в Сербии автором получена Золотая медаль Николы Теслы), устранения смещения костных отломков в сагиттальной плоскости, исключения ротации дистального костного отломка, оптимизации лечения односторонних переломов длинных костей нижних конечностей и другие, на которые получены патенты на изобретения (№№ 2231321, 2266081, 2275879, 2307614) и полезные модели (№№ 37457, 37458, 37459, 37621, 41405, 41407, 2005116481).
Данные способы и устройства для оптимизации скелетного вытяжения применены нами как основное или как предварительное (перед плановой операцией остеосинтеза) средство репозиции и иммобилизации костных отломков при лечении 122 больных с переломами бедра и голени. При этом у 107 (87,7 %) из них отмечался отчетливый эффект, превышающий результаты лечения контрольной группы больных, у которых применялось традиционное скелетное вытяжение.
Несмотря на высокую отдачу скелетного вытяжения и его значение в остром периоде травматической болезни, оно не исчерпало своих возможностей, что делает уместным дальнейший поиск новых разработок по его совершенствованию.
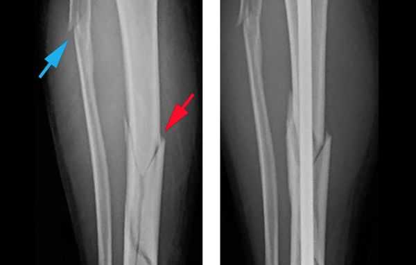
Перелом голени - симптомы и лечение
Что такое перелом голени? Причины возникновения, диагностику и методы лечения разберем в статье доктора Вахитова-Ковалевича Руслана Маратовича, ортопеда со стажем в 8 лет.
Над статьей доктора Вахитова-Ковалевича Руслана Маратовича работали литературный редактор Вера Васина , научный редактор Никита Геращенко и шеф-редактор Маргарита Тихонова
Определение болезни. Причины заболевания
Перелом голени (Fracture of lower leg) — это нарушение целостности большеберцовой или малоберцовой кости. При переломе человек не может опереться на ногу, возникает острая боль, меняется длина и конфигурация голени [1] .

Распространённость
В России травмы крупных костей скелета (плечевой, бедренной и большеберцовой кости) — это основная причина смерти пациентов младше 40 лет [3] . Переломы костей голени занимают первое место среди повреждений длинных трубчатых костей: на них приходится от 20 до 37,3 % случаев [11] .
Причины переломов голени
Повреждения голени чаще всего происходят при автодорожных авариях, падении с высоты, занятиях спортом, катании на коньках и на лыжах.
При переломе голени нередко повреждается несколько костей, например:
- при автодорожной аварии перелом центральной части большеберцовой кости часто сочетается с травмой верхнего конца малоберцовой кости;
- падение с большой высоты может привести к перелому нижнего конца большеберцовой кости и наружной лодыжки.
Чем быстрее оказана медицинская помощь и при необходимости проведена операция, тем реже развиваются осложнения.
При обнаружении схожих симптомов проконсультируйтесь у врача. Не занимайтесь самолечением - это опасно для вашего здоровья!
Симптомы перелома голени
Один из первых признаков перелома — это острая боль, которая возникает из-за повреждения мягких тканей. Чаще всего она не проходит, даже если нога зафиксирована и не двигается, и стихает только после медицинской помощи.
Боль локализуется в зоне перелома и усиливается при прикосновении или надавливании. При движениях она может распространяться выше по ноге, но, как правило, человек этого не замечает, потому что боль слишком сильная.
Нарастающий отёк мягких тканей — второй характерный симптом, который развивается в первые часы после травмы. При отёке часто возникает местная ишемия, т. е. ухудшается кровообращение из-за сужения или полной закупорки просвета артерии. Кроме того, из-за отёка в области перелома развивается дополнительное раздражение, повреждаются мягкие ткани и усиливается боль.
Гематома образуется в месте перелома вслед за отёком из-за повреждения мелких сосудов окружающих и костных тканей. Гематома усиливает отёк и боль, поэтому пока не остановится внутреннее кровотечение, отёк будет нарастать — так замыкается круг симптомов. Чтобы его прервать, ногу нужно зафиксировать.

Деформация ноги и невозможность опереться всегда сопровождают переломы голени. Заметить их можно сразу после травмы.
Характерное потрескивание отломков (крепитация), щелчки и выраженный хруст в области травмы — это достоверные признаки перелома голени. Патологическая подвижность голени, нетипичные движения в ноге, которые вызывают острую боль, также свидетельствуют о переломе. Обычно из-за сильной боли пациенты максимально щадят ногу, стараются не шевелить ею и не дают к ней прикоснуться.
Перечисленные симптомы всегда оцениваются в совокупности: чем больше признаков выявлено, тем вероятнее перелом [1] .
Патогенез перелома голени
Выделяют два вида проявлений перелома голени: местные, возникшие в травмированной ноге, и системные, затрагивающие весь организм.
Основное местное проявление перелома голени — это острая боль, которая напрочь лишает желания двигать ногой [4] .
Мышцы голени в момент травмы рефлекторно сокращаются, что усугубляет перелом: острые костные отломки смещаются и повреждают мышечную ткань. Чем толще кость и сильнее развит мышечный каркас, тем вероятнее, что костные отломки сместятся.
При непроизвольном сокращении мышц из повреждённых мелких сосудов начинается кровотечение. В зоне перелома появляется гематома, развивается отёк мягких тканей и боль усиливается.
Вне зависимости от типа перелома, примерно с 10-го дня гематома становится основой для костной мозоли. Костная мозоль — это будущая соединительная ткань, которая при заживлении преобразуется в кость. Период образования мозоли длится до двух недель, в это время могут возникать системные проявления перелома: обостряются хронические заболевания, повышается температура и систолическое (верхнее) давление.
В дальнейшем, благодаря активному кровоснабжению и доставке минеральных элементов, формируется вторичная костная мозоль и перелом срастается.
Важную роль в сращении перелома играет кровоснабжение кости, наличие костных отломков, расстояние между ними и тип фиксации. Переломы без осколков срастаются лучше, чем оскольчатые. Осколки, как правило, лишены кровоснабжения и отдалены друг от друга, поэтому такие переломы считаются сложными и плохо заживают.
После сращения перелома костная мозоль выглядит как нарост, но в дальнейшем перестраивается [5] . В среднем через 3-3,5 месяца человек может вернуться к бытовым нагрузкам, через полгода линия перелома становится незаметной.
При множественных переломах костей голени, обширной кровопотере, длительном травмирующем воздействии и интенсивной боли может развиться травматический шок, при котором нарушаются функции нервной системы, ухудшается кровообращение и дыхание, что усугубляет патогенез перелома.
Классификация и стадии развития перелома голени
В Международной классификации болезней 10-го пересмотра (МКБ-10) перелом голени кодируется как S82.1 .
- открытый перелом — кость сообщается с окружающей средой, в открытой ране видны костные отломки;
- закрытый перелом — кожа не повреждена, открытых ран нет.
По повреждению кортикального слоя (самой прочной части костной ткани):
- полный перелом — нарушена целостность кости;
- неполный перелом — костная стенка разрушена не полностью.
Чаще всего при неполном переломе появляется боль и выраженный отёк. Нога подвижна и не деформирована, хруста отломков нет. В народе такой перелом называют «трещиной».

По локализации перелома:
- повреждение диафиза — перелом средней трети голени, тела трубчатой кости;
- эпифиза — перелом конца трубчатой кости эпифизарной зоны;
- метафиза — перелом верхней или нижней трети голени (как правило, в отдельную группу такие переломы не выделяют).

По смещению костных отломков переломы бывают:
- Без смещения — простые переломы, при которых не нужно совмещать костные отломки.
- Со смещением — осложнённые переломы, требующие совмещения костных отломков. При таких переломах голень сильно деформирована, отекает и болит, есть крепитация отломков.
По прохождению линии перелома по кости (заметно только на рентгенограмме):
- поперечные;
- косые;
- винтообразные;
- вколоченные;
- фрагментарные;
- отрывные.
Чтобы упростить постановку диагноза, оценить тяжесть и прогноз травмы, Ассоциацией остеосинтеза была создана универсальная классификация переломов длинных трубчатых костей (AO ASIF Trauma).
Основной принцип данной классификации — это разделение переломов в зависимости от повреждённой кости, её сегмента и типа перелома. Фрагмент из классификации приведён на рисунке ниже [12] .

Осложнения перелома голени
Все осложнения перелома голени могут быть разделены на две группы:
- По времени возникновения:
- ранние — возникают в первые часы после травмы;
- поздние — развиваются в процессе лечения и реабилитации.
- По месту проявления: локальные и системные [7] .
Местные, или локальные осложнения
- повреждение мягких тканей (разрыв мышц, сухожилий и фасций);
- повреждение сосудисто-нервного пучка, онемение ноги и нарушение кровотока;
- местная ишемия тканей;
- контрактуры и атрофия мышц, которые проявляются скованностью движений;
- ложный сустав — несросшийся перелом, нарушение непрерывности трубчатой кости.
Ложный сустав можно распознать по рентгенограмме: видна линия перелома, костные края становятся округлыми, ось кости нарушена. Главная опасность заключается в утрате опорной функции голени, из-за чего пациент не может полноценно ходить.
Общие, или системные осложнения
Такие осложнения могут быть опасны для жизни. К ним относятся:
- Травматико-геморрагический шок, который возникает из-за боли при травме или потери крови. Пациент может потерять сознание, у него сильно понижаются давление и частота дыхания.
- Жировая эмболия — закупорка сосудов каплями жира, которые попали в кровь из участка перелома. Сопровождается помутнением сознания, эйфорией и неадекватным поведением: человек плохо осознаёт свои действия, отказывается от помощи, пытается встать и уйти.
- Тромбоэмболия — закупорка сосудов тромбами, из-за чего возникает ишемия или некроз тканей. В тяжёлых случаях, например при тромбоэмболии лёгочной артерии, пациент может погибнуть. Закупорка мелких сосудов приводит к ишемии тканей, в результате чего они разрушаются и организм отравляется продуктами распада. При закупорке крупных сосудов пациент может потерять сознание, у него резко падает давление и возникает терминальное состояние, близкое к клинической смерти.
Осложнения множественных травм носят комплексный характер: повреждается несколько костей или органов, например перелом ноги может сочетаться с черепно-мозговой травмой.
Диагностика перелома голени
Сбор анамнеза и осмотр
Диагностика всех видов травм начинается со сбора анамнеза — врач спрашивает, какие действия привели к перелому и что делал пациент после травмы.
Затем проводится физикальный осмотр и уточняются симптомы. Выделяют два вида признаков перелома:
- достоверные, к которым относится деформация, патологическая подвижность, укорочение или удлинение ноги и костный хруст (крепитация);
- недостоверные — боль, отёк и невозможность опираться на ногу.
Чем больше выявлено достоверных симптомов, тем вероятнее перелом костей голени.
Инструментальные методы диагностики
Объективно подтвердить диагноз позволяет рентгенологическое исследование голени в двух стандартных проекциях: прямой и боковой [8] . Чтобы избежать ошибок, рентген следует выполнять строго по стандартным укладкам.

Шок, вынужденное неестественное положение ноги из-за боли, наличие шин и фиксаторов затрудняют диагностику перелома. Если металлические шины или фиксаторы мешают сделать качественный снимок, то их придётся снять. Когда положение ноги не позволяет сделать снимок, её вправляют под местной анестезией.
В некоторых случаях, если требуется детальная диагностика нескольких сегментов голени или пациент находится в тяжёлом состоянии, показана компьютерная томография с 3d-реконструкцией кости. Исследование можно проводить и при вынужденном положении конечности, но такой томограф есть не во всех клиниках. Поэтому в некоторых случаях, если информации недостаточно, делаются уточняющие прицельные рентгеновские снимки отдельных сегментов кости.

К дополнительным методам диагностики относятся:
- рентгеновские снимки под углом;
- рентгеноскопия (просвечивание) — процедура, при которой изображение выводится на светящемся экране;
- томография с введением контрастных веществ — метод, позволяющий выявить метастазы, которые могли стать причиной перелома;
- денситометрия — исследование плотности костной ткани.
Перечисленные диагностические методы применяются в тех случаях, когда причинно-следственная связь между переломом и предшествующими событиями недостаточно ясна. К примеру, если из-за резкого подъёма с кровати возник оскольчатый перелом обеих костей голени.
Лабораторная диагностика
Лабораторные методы при диагностике травм голени вторичны, они позволяют оценить общее состояние пациента и решить, нужно ли ему ложиться в больницу.
- при критически низком уровне эритроцитов и гемоглобина (свидетельствует о сильной кровопотере);
- при высоком уровне лейкоцитов (возникает при нарушениях в работе внутренних органов).
Лечение перелома голени
При поступлении в стационар проводят следующие процедуры:
- Чтобы уменьшить боль, внутримышечно вводят анальгетики центрального действия. Также показано местное обезболивание раствором Новокаина.
- Выполняется закрытая репозиция конечности, т. е. восстанавливают ось ноги, выводят её в правильное положение.
- В зависимости от типа перелома накладывают скелетное вытяжение или гипсовую повязку. Выбирают тот метод, который позволяет оптимально зафиксировать ногу [9] .
Далее лечение сводится к основным принципам травматологии:
- если общее самочувствие пациента стабильно, костные отломки не смещены или смещены незначительно, то показано консервативное лечение;
- при грубом смещении, угловой деформации и укорочении конечности потребуется операция [10] .
Консервативное лечение
При консервативном лечении пациенту накладывают гипсовую повязку. Повязки могут быть как классическими, так и из полимерных материалов. Тип повязки на сращение перелома не влияет, важно качество наложения и адекватная фиксация. От материала зависит только удобство ношения повязки. Фиксаторы в остром периоде практически не используются.
Общие рекомендации по ношению гипса:
- не мочить повязку, иначе кожа под ней будет преть;
- не пытаться самостоятельно ослабить повязку, не обрезать края и не стараться сделать её удобнее;
- не подсовывать под повязку линейку, расчёску и прочие предметы, чтобы почесать кожу;
- следить за тем, чтобы повязка не пережимала ногу слишком сильно;
- если отёк нарастает, то рекомендуется обратиться к доктору и переложить повязку.
Гипс можно снимать только после того, как кости срослись (это видно на рентгенограмме). В среднем это происходит через 3-3,5 месяца.
Хирургическое лечение
Хирургическое лечение состоит в открытой репозиции костных фрагментов и остеосинтезе — операции, при которой восстанавливают правильную ось ноги и придают отломкам нужное положение. Процедура проводится под общей анестезией. Подходящую технику остеосинтеза врач подбирает в зависимости от участка перелома.

При использовании металлоконструкций кости голени сращиваются в среднем через 3-3,5 месяца после операции. Удалять конструкции по медицинским показаниям можно не ранее, чем через полгода. К таким показаниям относятся риск перфорации кожи и травмы мягких тканей. Также конструкцию нужно убрать, если она мешает разработке сустава, сдвинулась или поломалась.
Если конструкция мешает пациенту, её можно удалить, но не раньше, чем через год.
Аппараты внешней фиксации, например стержневые фиксаторы или аппарат Илизарова, применяют только временно, пока состояние пациента нестабильно и нельзя провести операцию.
Прогноз. Профилактика
Прогноз зависит от вида перелома, возраста пациента, сопутствующих заболеваний и осложнений. Также важно, как быстро человек обратился за помощью, соблюдал ли рекомендации врача и какая тактика лечения была выбрана [1] .
При переломе большеберцовой кости отломки чаще всего смещаются и кость долго сращивается. Большинство переломов диафиза голени, как правило, хорошо фиксируются как при консервативном лечении, так и при оперативном. Хуже заживает перелом нижней трети и опорной площадки голени. Непредсказуемы исходы множественных переломов костей голени и переломы обеих ног.
В целом, если выбрана правильная тактика лечения и своевременно проведена операция, то большинство переломов сращиваются за 3-3,5 месяца.
Остеосинтез
Этот метод лечения заключается в соединении отломков поврежденных костей для достижения репозиции отломков и восстановления целостности кости. Цель этой процедуры - обеспечить прочное соединение отломков для их полного сращения.
ДОСТУПНЫЕ ЦЕНЫ НА КУРС ЛЕЧЕНИЯ
Мягко, приятно, нас не боятся дети

Остеосинтез
Медицинский термин остеосинтез происходит от двух греческих слов osteon (кость) и synthesis (соединение). Исходя из названия, этот метод лечения заключается в соединении отломков поврежденных костей для достижения репозиции отломков и восстановления целостности кости. Цель этой процедуры - обеспечить прочное соединение отломков для их полного сращения.
Людей, которые никогда в жизни ничего не ломали и не переживали травмы, найдется не так много. А значит, остеосинтез - оперативное соединение отломков костей из-за перелома большинству знаком не понаслышке. Применяется остеосинтез при лечении свежих и неправильно сросшихся переломов, для соединения кости после ее остеотомии и в ряде других случаев.
Остеосинтез бывает нескольких видов.
Погружной остеосинтез - когда фиксатор вводится в саму зону перелома. Его подвидами являются внутрикостный остеосинтез, который проводится с помощью различных стержней; накостный с использованием пластинок с винтами;чрескостный - с винтами и спицами. Виды погружного остеосинтеза различаются по месту применения фиксирующей конструкции в отношении перелома.
Внутрикостный остеосинтез предполагает открытую, закрытую и полуоткрытую репозицию костных отломков. Введение штифта производится внутрикостно под визуальным или рентгенологическим контролем. Стабильный остеосинтез не требует дополнительной фиксации кости и позволяет сохранить функцию суставов, нестабильный остеосинтез характеризуется подвижностью кости и необходимостью дополнительных фиксирующих мероприятий. Основным материалом для внутрикостного остеосинтеза является полый или сплошной штифт, который изготавливается из специальных сплавов, не обладающих токсическим действием на организм. Фиксаторы подлежат обязательному удалению после сращения перелома.
Накостный метод остеосинтеза выполняется при помощи специальных пластинок с отверстиями.
Кроме того, разработаны комбинированные методики репозиции костной ткани: внутрикостно - чрескостный,внутрикостно - накостный и чрескостно - накостный.
Противопоказан погружной остеосинтез при наличии большой зоны повреждения кости, инфицирование раны, развитие воспалительного процесса, остеопороз, сосудистая недостаточность в стадии декомпенсации. погружной остеосинтез может нагноениями в области введения фиксатора и других элементов конструкции, возможностью развития некроза тканей, остеомиелита, трещин костной ткани.
Наружный чрескостный остеосинтез осуществляется с помощью спиц, которые проводятся в отломки и закрепляются в каком-либо аппарате. Применение наружного остеосинтеза предполагает наложение дистракционно - компрессионных аппаратов на поврежденную кость. Этот вид лечения переломов применяется, когда нет необходимости обнажать зону перелома. Противопоказаниями к проведению этого метода являются алкоголизм, тяжелые нарушения психики, заболевания конечностей, сопровождающиеся застоем крови в венах и лимфостазом. Данная методика остеосинтеза может осложняться воспалительным и гнойным процессом в месте введения аппарата, смещением отломков, переломом спиц и других деталей конструкции, остеомиелитом.
Выделяют также первичный остеосинтез и отсроченный.
Первичная процедура уже по названию говорит о том, что в данном случае проводится первичная хирургическая обработка открытого перелома. Первичный остеосинтезрекомендуется при трудно репонируемых и легко смещающихся переломах. Эта технология применяется при винтообразных, многоскольчатых, косых, двойных и множественных переломах. Первичная методика эффективна и гарантирует лучшие результаты, чем лечение гипсом и скелетным вытяжением только при тщательной грамотной хирургической обработке, а также при мало загрязненных ранах. Когда решается вопрос о внутрикостном введение штифта, врач должен обязательно брать во внимание общее состояние пациента. Дело в том, что первичный остеосинтез - это тоже травма, которая может вызвать шок и сопровождаться кровопотерей. Поэтому первичная хирургическая процедура противопоказана при неустойчивом артериальном давлении, учащенном пульсе и ряде других показателей. Операцию можно проводить только тогда, когда больной выйдет из состояния шока. От первичного внутрикостного остеосинтеза приходится отказываться и в том случае, если у человека имеются заболевания сердца, легких, нервной системы, есть нарушения обмена веществ. Такой остеосинтез противопоказан пожилым людям и крайне редко применяется у детей. Если же противопоказаний нет, то современный первичный остеосинтез гарантирует очень хорошие результаты. Так, например, он незаменим, если при открытом переломе повреждаются крупные магистральные сосуды. В таком случае успешное восстановление стенок сосуда обеспечивается именно неподвижностью отломков кости. Отсроченный остеосинтез тоже имеет свои показания к применению. Он незаменим при переломах длинных трубчатых костей с большим смещением, при неустойчивых открытых переломах, после неудачного лечения гипсовой повязкой или скелетным вытяжением, а также через несколько дней после восстановления пациента, если первичная хирургическая обработка была невозможна.
Остеосинтез имеет свои преимущества и основан на нескольких важных принципах.
Во-первых, это анатомическое вправление фрагментов перелома, что особенно важно, когда происходит внутрисуставной перелом.
Во-вторых, остеосинтез обеспечивает стабильную фиксацию отломков, что необходимо для восстановления местных биохимических процессов.
В-третьих, грамотно проведенная процедура предотвращает кровопотерю как из фрагментов кости, так и из мягких тканей. Наконец, своевременные качественные процедуры позволяют мышцам и суставам, прилежащим к перелому, восстановиться в максимально короткие сроки.
Некачественная процедура остеосинтеза может привести к тяжелым осложнениям, например, нагноению раны, некрозу ее кожных краев, остеомиелиту и другим. Поэтому очень важна квалификация врача, соблюдение им всех правил проведения процедуры. Таким образом, профилактика осложнений во многом зависит от соблюдения всех требований техники выполнения остеосинтеза с учетом индивидуальных особенностей строения кости и в целом состояния костной ткани.
Показания для проведения остеосинтеза
Различают абсолютные и относительные показания для проведения остеосинтеза.
Среди абсолютных показаний переломы , срастание которых без оперативного вмешательства не представляется возможным. Это переломы в области многофункциональных суставов, таких как шейка бедренной кости, надколенник, локтевой отросток, открытые переломы, переломы с повреждением крупных сосудов и нервных волокон.
Относительными показаниями являются : вторичное смещение отломков кости, несрастающиеся переломы, формирование ложного сустава.
Читайте также:
- Аномальное предсердное возбуждение и проведение. Отклонения от нормы левого предсердия
- Признаки жесткого обращения с детьми. Диагностика
- История гормональной контрацепции. Грегори Пинкус
- Генерализованные судороги. Определение эпилепсии. Формы эпилепсии.
- Этапы и техника операции при разрыве малоберцовой связки
