Техника операции при адгезивном капсулите плечевого сустава
Добавил пользователь Евгений Кузнецов Обновлено: 22.11.2025
Адгезивный капсулит (синдром замороженного плеча) - это заболевание, которое проявляется выраженным фиброзом капсулы плечевого сустава. Адгезивный капсулит характеризуется образованием спаек в результате слипания (адгезии) отдельных участков тканей.
Случаи спонтанного синдрома «замороженного плеча» характерны тремя основными признаками: сильная боль при резких движениях (особенно в крайних точках), постоянная боль в ночное время и ограничение объема пассивных и активных движений в плечевом суставе («заморозка» плеча).
Стоит отметить, что характерный фиброз не развивается при обычном остеоартрозе или артрите плечевого сустава.
Точная причина синдрома замороженного плеча до сих пор неизвестна и может крыться в другом процессе, который протекает на фоне воспаления.
Факторы, под воздействием которых вероятность развития данной патологии значительно возрастает:
- травмы;
- сахарный диабет;
- гипотиреоз;
- гипертиреоз;
- патология легких;
- инсульт;
- нарушения работы сердца, операции на этом органе;
- возраст пациента от 50 до 70 лет;
- воспалительные процессы в суставах, спровоцированные другими факторами.
Симптомы адгезивного капсулита
Течение синдрома замороженного плеча характеризуется 4 стадиями:
- Стадия «болезненного» воспаления, 0-2 месяца: ноющая боль по ночам, постепенное усиление ограничения объема активных движений, пассивные движения по-прежнему в норме. При остром и агрессивном течении переход до 2 стадии может занимать менее 1 месяца;
- Стадия болезненного «замораживания», 2-6 месяцев: боль сохраняется и достигает своего пика, ограничение объема активных и пассивных движений усугубляется, боль по ночам - до интенсивной. Лечебная физкультура чаще вызывает усиление боли;
- Стадия «заморозки», 6-12 месяцев: ограничение объема движений достигает своего максимума, плечевой сустав тугоподвижен, движение отведения в плечевом суставе около 10-15 градусов, боль и ломота начинают постепенно ослабевать, лечебная физкультура лишь иногда приносит незначительную пользу;
- Стадия «оттаивания» (восстановления), 12-24 месяца: наступает постепенное восстановление функции сустава и нормального объема движений, лечебная физкультура приносит пользу. Восстановление обычно происходит с небольшим остаточным дефектом в виде неполного объема движения в суставе.
Диагностика адгезивного капсулита
Типичная картина боли: постепенно нарастающая боль при движении с ограничением объема движения в суставе, боль при резких движениях и в крайних точках при пассивных положениях, ночные боли, внутренняя ротация плечевого сустава затруднена.
Типичная жалоба: пациент не может вынуть кошелек из заднего кармана или расстегнуть бюстгальтер сзади. Ротация плеча наружу обычно ограничена в пределах 30 градусов, отведение плеча часто не превышает 85 градусов, пассивные движения примерно одинакового диапазона (по сравнению с активными). При осмотре: нормальная мышечная сила при проведении тестов; положительные ригидные тесты на вращательную манжетку плечевого сустава, но без признаков импинджмент синдрома.
Лечение адгезивного капсулита
Стадия воспаления
Внутрисуставные инъекции глюкокортикоидов под строгим УЗИ-контролем, назначение курса пероральных НПВС.
Стадия «замораживания»
Цель состоит в том, чтобы обеспечить обезболивание: НПВС, обезболивающие препараты опиоидного ряда (трамадол, тапентадол). Лечебную физкультуру не назначают из-за наличия боли. Эффективность инъекций глюкокортикоидов высокая, но строго под УЗИ-контролем и по показаниям. Высокую эффективность показывает иРЧА надлопаточного и подмышечного нерва (цель в суставных веточках этих нервов), с целью максимального уменьшения болевой импульсации от сустава и облегчения страдания пациента.
Гидродиссекция капсулы плечевого сустава показывает хорошую эффективность. Это введение смеси глюкокортикоида и анестетика в сравнительно большом объеме в полость сустава под УЗИ-навигацией с целью остановки адгезии (слипания) сустава. Часто этот метод приводит к обрыву стандартного течения заболевания и началу стадии «оттаивания».
Пациенту назначают маятниковые упражнения, насколько позволяет боль. Это замедляет «заморозку» плеча и уменьшает итоговое ограничение движения.
Стадия «заморозки»
При значительной потере объема движений (отведение плеча менее 80 градусов), приводящем к длительной нетрудоспособности, или при сохранении интенсивной боли свыше 6 месяцев встает вопрос об эндоскопическом удалении внутрисуставных спаек (артролизе или артроскопия). У части пациентов плечо снова станет неподвижно в течение недели после операции.
На данной стадии неэффективны обычные блокады с глюкокортикоидами, следует применять гидродиссекцию капсулы сустава.
Высокую эффективность в отношении облегчения боли имеет криоабляция (криоаналгезия) плечевого сустава. Это метод прямого замораживания до очень низкой температуры суставных ветвей чувствительных нервов, иннервирующих сустав, с помощью специального зонда. Метод позволяет облегчить боль пациентом с ее хронической и тяжелой формой.
Лечебная физкультура на данной стадии эффективна, но, как правило, избегается пациентами из-за наличия боли.
Стадия «оттаивания»
Эффективна ударно-волновая терапия (физиотерапия). Также полезны самостоятельно выполняемые упражнения - обычно на данном этапе пациент уже обучен врачом ЛФК схеме восстановительной гимнастики.
На данной стадии потребности в блокаде и гидродиссекции капсулы сустава нет. Если боль ушла, но сохраняется стойкое ограничение движения, то пациенту показан оперативный артролиз (эндоскопическое рассечение спаек).
Если сохраняется боль, высокую эффективность показывает метод криоабляции (криоаналгезия) плечевого сустава.
Обычно достигается полное или почти полное восстановление нормального диапазона движений. У пациентов с сахарным диабетом - до диапазона движений в другом плечевом суставе или сохраняется легкий дефект объема движения.
Адгезивный капсулит ( Замороженное плечо )
Адгезивный капсулит - это поражение капсулы плечевого сустава, сопровождающееся значительным ограничением движений. Сам сустав в процесс не вовлекается. Заболевание протекает стадийно: вначале возникают боли, затем - ограничение движений, после чего функции конечности постепенно восстанавливаются. Выздоровление наступает через 1,5-4 года с момента появления первых симптомов. Диагноз устанавливается на основании анамнеза, жалоб и данных объективного обследования, инструментальные и лабораторные методики назначаются для исключения других патологий. Лечение консервативное: медикаментозная терапия, растяжение суставной капсулы, ограничение, а затем увеличение нагрузки.
МКБ-10
Общие сведения
Адгезивный капсулит - заболевание, которое вызывает тяжелое нарушение функций конечности и становится причиной продолжительной нетрудоспособности, но имеет благоприятный прогноз и завершается выздоровлением. Диагностируется примерно у 2% населения. Обычно возникает в возрасте 50-70 лет, женщины страдают в 3-5 раз чаще мужчин. Одинаково часто поражает доминирующую и недоминирующую руку. У 7-10% больных адгезивный процесс носит двусторонний характер, симптомы в области второго плеча появляются в срок от нескольких месяцев до нескольких лет с момента дебюта болезни.
Причины
Причины адгезивного капсулита пока не установлены. Исследователи считают, что заболевание провоцируется трофическими расстройствами, обусловленными нарушениями нервной регуляции. Специалисты предполагают, что болезнь этиологически связана с патологиями, возникающими на фоне рефлекторной дистрофии тканей, в частности - синдромом Зудека, который нередко развивается одновременно с капсулитом (синдром плечо-кисть).
Адгезивный капсулит может формироваться самостоятельно или провоцироваться другими заболеваниями. В число состояний, чаще всего вызывающих фиброз капсулы, входят:
- сахарный диабет;
- злокачественные новообразования;
- гипертиреоидизм;
- инсульт и инфаркт миокарда;
- состояние после операций на сердце.
Наиболее распространенной причиной вторичного адгезивного процесса является сахарный диабет II типа - заболевание определяется у каждого третьего диабетика. Связь между капсулитом и тендинитами (самой частой патологией, вызывающей боли в плече) не подтверждается данными исследований.
Патогенез
Грубое нарушение функции плечевого сустава у больных адгезивным капсулитом обусловлено выраженным фиброзом капсулы и уменьшением суставной полости. На ранних стадиях возникает умеренное воспаление, состав тканей изменяется. Воспалительный процесс и перестройка капсулы сопровождаются болевым синдромом. Постепенно суставная оболочка «сжимается», ее части слипаются между собой.
Нижний заворот полностью облитерируется. Объем жидкости, которую можно ввести в суставную полость, уменьшается с 25-30 до 5-10 мл. На этой стадии признаки воспаления отсутствуют. В биоптатах определяется большое количество фибробластов и зрелая фиброзная ткань. В зоне капсулы и синовиальной оболочки появляются участки утолщения.
Классификация
Для адгезивного капсулита характерно ярко выраженное стадийное течение с поэтапным изменением симптоматики. В современной ортопедии выделяют три фазы болезни:
- Болевая. Занимает 3 до 12 месяцев. Сопровождается болевым синдромом и постепенным уменьшением объема движений.
- Окоченения. По длительности примерно равна предыдущей стадии. Боли уменьшаются и исчезают, движения резко ограничены.
- Оттаивания. Продолжительность составляет 1-2 года. Движения постепенно восстанавливаются, хотя в ряде случаев не достигают объема, который был до начала болезни.
Длительность каждой фазы и общая продолжительность капсулита определяются многими факторами, в числе которых - начало лечения, наличие сопутствующих патологий и пр. Обычно временные отрезки, в течение которых продолжается каждая стадия, пропорциональны друг другу. Если болевая фаза протекала длительно - окоченение и оттаивание также будут продолжительными.
Симптомы адгезивного капсулита
Боли появляются без видимой причины, реже возникают после перегрузки или незначительной травмы. Постепенно нарастают в течение 1-3 недель, затем начинают беспокоить в ночное время. Пациент просыпается от боли, не может спать на стороне поражения. На фоне болевого синдрома ограничивается подвижность, причем, не сразу во всех направлениях, а в определенной последовательности.
Вначале уменьшается диапазон движений при развороте руки кнаружи. Одновременно, но в меньшей степени ограничивается отведение. Потом появляются проблемы при вращении плеча кнутри. Отмечаются затруднения при выполнении обычных бытовых действий - еде, умывании, расчесывании, одевании и раздевании, повороте ключа в замочной скважине. Через несколько месяцев сустав практически полностью блокируется.
Болевой синдром сохраняется, иногда сочетается с отечностью и нарушениями подвижности дистальных отделов конечности (кисти и запястья). Изнуряющие боли и нарушение трудоспособности стимулируют пациентов обращаться за врачебной помощью, однако диагностика адгезивного капсулита часто затруднена из-за отсутствия патогномоничных симптомов.
В фазе окоченения боли постепенно уменьшаются, практически исчезают в покое и появляются только при попытках движений в плечевом суставе. Движения по-прежнему резко ограничены. Трудоспособность утрачена. В среднем через 7-8 месяцев диапазон движений постепенно начинает увеличиваться, процесс продолжается в фазе оттаивания до полного или почти полного восстановления.
Осложнения
Несмотря на выраженную клиническую симптоматику, становящуюся причиной временной инвалидности, адгезивный капсулит протекает благоприятно и не вызывает осложнений. Негативные последствия возможны при неправильном лечении или неуверенности пациента в исходе заболевания. Слишком длительная или постоянная иммобилизация потенцирует недостаточное восстановление функций и развитие тугоподвижности. Утрата трудоспособности при неясных перспективах провоцирует развитие невротических расстройств.
Диагностика
Диагноз выставляется врачами-ортопедами или ревматологами. Диагностика базируется на анамнестических данных и результатах физикального обследования. Единственным информативным инструментальным методом является артрография, но в клинической практике ее почти не используют из-за инвазивности и достаточного объема клинической информации. С учетом фазы при объективном осмотре выявляют:
- 1 фаза. Дельтовидная мышца на пораженной стороне уменьшена в объеме. При пальпации определяется разлитая болезненность в зоне плечевого сустава. Активные и пассивные движения одинаково ограничены - этот признак позволяет дифференцировать адгезивный капсулит с другими патологиями со сходной симптоматикой.
- 2 фаза. Гипотрофия мышц становится более выраженной. Пассивные и активные движения ограничены в одинаковом объеме, но теперь - из-за механического препятствия. Боли отсутствуют или слабо выражены.
- 3 фаза. Степень восстановления функции сустава существенно варьируется в зависимости от времени, прошедшего с начала фазы. Диагноз подтверждается на основании характерного анамнеза, пациент сообщает, что плечо вначале болело, затем не двигалось, теперь «разрабатывается».
Адгезивный капсулит дифференцируют с артритом, ревматической полимиалгией, хондроматозом, асептическим некрозом головки плеча, синдромом Милуоки и злокачественными опухолями. В ходе дифференциальной диагностики назначают анализ на С-реактивный белок, определяют СОЭ, выполняют рентгенографию. По данным лабораторных исследований изменения отсутствуют, на рентгенограммах при длительном течении может обнаруживаться остеопороз.
Лечение адгезивного капсулита
Лечение осуществляется в амбулаторных условиях, определяется стадией патологии. Важной частью терапии является формирование у больного уверенности в благополучном исходе, позволяющее избежать развития невротических расстройств. Лечебные мероприятия при первичных и вторичных формах адгезивного процесса идентичны, единственным отличием является ограничение приема гормональных средств при сахарном диабете.
Лечение в болевой фазе
Основной целью терапии адгезивного капсулита в этом периоде является уменьшение болевого синдрома. Лечение включает медикаментозные и немедикаментозные мероприятия:
- Охранительный режим. Обеспечивается ограничение нагрузки на плечевой сустав. Иммобилизацию применяют дозированно, чтобы не допустить развития тугоподвижности. При интенсивных болях рекомендуют использовать косыночную повязку не более нескольких часов ежедневно.
- НПВС. Нестероидные препараты назначают в таблетках в суточной дозе не более 200 мг. Продолжительность приема и дозу определяют с учетом выраженности и длительности болевого синдрома. Медикаментом выбора является ацеклофенак, который переносится лучше, чем другие средства этой группы и не накапливается в организме, что важно при лечении лиц старшего возраста.
- Гормональные средства. Внутрисуставные блокады с глюкокортикоидами по возможности выполняют в ранние сроки, поскольку это позволяет сократить продолжительность болевой фазы капсулита. При возобновлении болей процедуру повторяют через 2-3 недели. Курс лечения включает не более 3-х блокад.
При неэффективности перечисленных методик или невозможности использования гормональных препаратов у больных с сахарным диабетом применяют внутрисуставные инъекции медикаментов на основе гиалуроновой кислоты, проводят блокады надлопаточного нерва. Физиотерапевтические методы пациентам с адгезивным капсулитом обычно не показаны из-за недостаточного эффекта. Возможно назначение электрофореза с новокаином для уменьшения болей.
Лечение в фазах окоченения и оттаивания
После снижения интенсивности болевого синдрома охранительный режим и медикаментозную терапию отменяют. Основной акцент делают на интенсивной разработке и растяжении капсулы сустава. Пациента обучают упражнениям, которые нужно выполнять в течение нескольких месяцев. Применяют специальные тренажеры для дозированного растягивания.
Редрессацию выполняют редко, показанием к активной хирургической мобилизации является отсутствие увеличения объема движений в течение полугода и более после начала второй фазы адгезивного процесса при желании больного ускорить восстановление. Иногда осуществляют частичную мобилизацию с использованием артроскопического оборудования. При симптомах синовита возможно проведение артроскопической синовэктомии.
Прогноз и профилактика
Прогноз при адгезивном капсулите благоприятный, после завершения фазы оттаивания у половины больных движения восстанавливаются в полном объеме. У второй половины пациентов в исходе отмечается незначительное ограничение функции, не влияющее на трудоспособность и самообслуживание. Профилактические мероприятия не разработаны из-за неясности этиологии заболевания.
2. Болевые синдромы плечевого пояса: диагностика и лечение/ Широков В.А., Кудрявцева М.С.// Неврология и психиатрия - 2013 - №1.
3. Плечелопаточный болевой синдром: современные подходы к диагностике и лечению/ Никифоров А.С., Мендель О.И.// РМЖ - 2006 - №8.
Замена плечевого сустава: цена операции и имплантата
Плечо - самый подвижный сустав. Утрата нормального диапазона движений вследствие болезни или травмы сильно ухудшает качество жизни человека, а иногда даже ставит ее под угрозу.
При травме достаточно рентгеновского снимка, чтобы понять, насколько серьезно повреждение и какие меры необходимо принимать. Но иногда точно понять причину болей и нарушения подвижности по снимкам не представляется возможным, и не всегда проблема кроется в патологических процессах непосредственно в суставе.

Например, такое опухолевое образование как энходрома (доброкачественная опухоль из хрящевой ткани), может подобраться к нему, развиваясь в плечевой кости. Если причиной боли является сильно разросшаяся энходрома - операция плечевого сустава неизбежна.
В таких случаях в качестве диагностического метода назначается артроскопия - малоинвазивное вмешательство (разрез всего 4 мм). Во время процедуры врач может досконально рассмотреть состояние хрящей, связок, мышц, сухожилий, костной поверхности.При помощи артроскопии можно удалить поврежденные части хряща, воспаленные и поврежденные мягкие ткани, а также свободные тела в суставной жидкости.
Виды доступных для проведения данным методом операций:
- фиксация связок плеча при их повреждении;
- фиксация и сращивание сухожилий при защемлении;
- реконструкция вращательной манжеты;
- восстановление и совмещение костных образований в области суставной сумки при их смещении;
- лечение врожденных патологий у детей;
- удаление осколков при переломе;
- шлифовка и придание формы хрящевой прокладке при ее деформации;
- при бурситах: удаление утолщений из полости сумки и промывание антисептиком.

После процедуры заживление и реабилитация происходит в течение 2-х недель. Подобные виды малоинвазивного вмешательства доступны во всех регионах страны, поскольку аппарат не относится к категории сверхдорогих, а результат во многом определяется грамотностью хирурга.
Например, проводятся следующие артроскопические операции в Челябинске на плечо:
- тугоподвижность (адгезивный или слипчивый капсулит);
- устранение импинджмент-синдрома;
- восстановление вращательной манжеты;
- устранение нестабильности.
Эндопротезирование плечевого сустава
Современная медицина обладает большим арсеналом средств для лечения различного рода травматических повреждений плечевого сустава. Но иногда необходима его тотальная или частичная замена.
- остеонекроз - отмирание клеток головки кости;
- многооскольчатые сложные переломы и раскол головки;
- плохо сросшиеся старые переломы без возможности восстановления нормальной анатомии сустава;
- артрит;
- необратимые патологии вращательной манжеты;
- опухолевые заболевания.

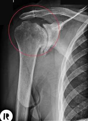
Артроз плечевого сустава на рентгене.
Виды протезирования
В зависимости от степени повреждения выделяют следующие виды эндопротезирования плеча:
- Поверхностное. Применяется, когда минимальны повреждения головки кости пациента и много костной ткани можно сохранить. Головка обтачивается специальным инструментом, на нее «сажается» имплантат, замещающий собой поверхность сустава.
- Однополюсное. Производится имплантация либо лопаточной впадины, либо костной головки.
- Полное. При этом меняются все соприкасающиеся части: и головка, и впадина. Причем возможны два варианта замены: имплантируются только суставные элементы или производится установка протезов на стержне с креплением в костной полости.
- Ревизионное. Выполняется в случае необходимости замены изношенного имплантата или его отдельных элементов. Также проводятся ревизионные вмешательства при развитии осложнений в виде отторжения, воспалений, нагноений.

На эндопротезирование плечевого сустава цена зависит от перечня услуг, оказываемых клиникой в рамках операции, способа оперативного вмешательства, метода фиксации протеза.
Виды эндопротезов и цены
Имплантаты на ножке по своему строению могут быть анатомическими и обратными. Анатомический состоит из трех частей: головка, ножка и впадина. Назван так, поскольку полностью повторяет структуру человеческого плеча и по биомеханике, и по форме.
Установка такого протеза возможна только в том случае, если вращательная манжета не повреждена. При замене используется продукция таких мировых производителей как DePuy, Zimmer, Smith&Nephew, Biomet, Aesculap — B. Braun.

Обратный или реверсивный используется, когда вращательная манжета не функционирует и нарушена стабильность. Тогда головка крепится к суставной впадине (гленоидальному компоненту), а вогнутый имплантат впадины на ножке фиксируется на плечевой кости.

Для однополюсного эндопротезирования используются гемипротезы, то есть заменяющие только одну часть сустава. По способу установки делятся на поверхностные и штыревые (внедряются в кость).
Также имплантаты могут быть цельными или сборными (модульными). Модульные позволяют за счет подбора различных размеров элементов корректировать при необходимости положение плеча. Существуют следующие способы крепления протезов к кости:
- бесцементный. Фиксация производится «вколачиванием». Подходит для имплантации в плотную костную ткань, способную надежно удерживать ножку;
- цементный. Ножка закрепляется с помощью специального раствора. Используется при недостатке или плохом качестве собственной костной ткани.
Ревизионное эндопротезирование в случае обширного поражения тканей, замены эндопротеза или сильного разрушения кости требует специального имплантата, который частично компенсировал бы функциональную недостаточность мышц. Например, Delta XTEND производства компании DePuy. Центр ротации у него смещен вниз и кнаружи, что увеличивает диапазон движений, сохраняя при этом стабильность сустава.
Цена на лечение
На протезы плечевого сустава цена достаточно высокая, начинается от 140 000 рублей. Плюс стоимость пребывания в стационаре, анализы, анестезия, имплантация и реабилитация. В таких случаях государство предусматривает бесплатное лечение по квотам. Квоту на проведение имплантации можно получить по месту постоянной прописки, имея полис ОМС.
Получение квоты
- Обратиться в свою клинику по месту жительства с целью получения направления в лечебное учреждение, предоставляющее услуги по эндопротезированию. Врач оформляет пакет документов для получения квотного талона.
- Эти документы предоставляются пациентом в местный территориальный орган здравоохранения, где при положительном решении выдается талон на бесплатное оказание высокотехнологичных видов помощи.
Из минусов бесплатного лечения: срок ожидания очереди может затянуться на год. Также замена плечевого сустава по квоте не предполагает выбора фирмы-производителя имплантата.
Что касается ревизионных операций, то бесплатное или платное удаление плечевого эндопротеза определяется степенью срочности вмешательства. Иногда нет времени на улаживание формальностей по сбору документов. Такая процедура обычно стоит дешевле первичного эндопротезирования.
Адгезивный капсулит

Среди многочисленных ортопедических проблем, вызывающих болезненность и ограничение движений в плече, самой «неизъяснимой» является адгезивный капсулит. Клинический феномен с медленным, но неуклонным течением, неизбежно завершается наступлением скованности. Несмотря на то, что в отдельных случаях болевые симптомы проходят самостоятельно, рука уже не способна двигаться в обычном объеме. И только комплексное лечение и поэтапная реабилитация дают реальный шанс на полное восстановление двигательной активности.
Рассказывает специалист ЦМРТ
Дата публикации: 24 Июня 2021 года
Дата проверки: 30 Ноября 2021 года
Содержание статьи
Причины возникновения плечевого синдрома
Адгезивный капсулит, более известный, как синдром «замороженного плеча» — это хроническое воспаление фиброзного слоя капсулы плечевого сустава. Оно может быть первичным (идиопатическим), возникающим без определенной причины, и вторичным. Вторичный воспалительный процесс ассоциируется со следующими факторами:
- травматическое повреждение
- неравномерная нагрузка на позвоночник
- метаболические расстройства
- сахарный диабет
- легочные, сердечно-сосудистые патологии
- болезнь Паркинсона
- миофасциональный синдром
- возрастные дегенеративные изменения
- нейрохирургические и другие оперативные вмешательства, не связанные с плечевым суставом.
«Эффект замороженного плеча» не зависит от интенсивности физической активности. Он более типичен для пациентов зрелого возраста (50-70 лет), чаще встречается у женщин пременопаузального и менопаузального периода.
Самым характерным признаком воспаления является упорная ноющая боль, усиливающаяся в состоянии покоя и чуть ослабевающая при движении. Болевой очаг локализуется в области правого или левого соединения плечевой кости с лопаткой и не распространяется на другие участки. В ходе осмотра обнаруживается характерная припухлость. Из-за укорочения мышц заметна несимметричность плеч (одно выше другого).
При адгезивном капсулите болевые ощущения никак не связываются с конкретными движениями. Боль усиливается в ночное время, или при лежании на больной стороне. По окончании острого периода наступает анкилозирование (неподвижность). При этом болевые ощущения проходят, но остается чувство скованности и физического препятствия выполнению полного объема привычных движений. Далее подвижность постепенно восстанавливается. Однако у многих пациентов, из-за сформировавшихся контрактур, плечо так и остается «прикованным» к лопатке, что существенно ограничивает двигательную функциональность сустава.
Стадии
Адгезивный капсулит плеча имеет трехфазное течение:
- I - спонтанная боль, постепенно усиливающаяся и, за 2-3 недели, переходящая в острый синовит плече-лопаточного сустава, который длится от 3 до 9 месяцев
- II - фаза скованности: синдром «замороженного плеча (4-12 месяцев)
- III - стадия разрешения, с полным или частичным восстановлением нарушенной двигательной функции
При отсутствии лечения симптомы адгезивного капсулита плечевого сустава напоминают о себе в течение 1,5-2-х, а иногда и 4-х лет.
Диагноз устанавливается на основании субъективных жалоб, данных патологического анамнеза и клинического осмотра с использованием специальных тестов. Для исключения других заболеваний, имеющих схожее течение, дополнительно назначается лабораторная и инструментальная диагностика:
- анализ крови и суставной жидкости
- рентгенография плечевого сустава
- УЗИ
Самым информативным методом визуализации, позволяющим обнаружить характерное утолщение суставной капсулы, исключить разрыв сухожилия, является МРТ. Безопасная и безболезненная технология применяется в сложных ситуациях, для окончательного решения о выборе наиболее оптимальной лечебной тактики.
К какому врачу обратиться
Лечение адгезивного капсулита плечевого сустава находится в компетенции ортопеда-травматолога.
PRP терапия плечевого сустава
В комплексном лечении болевых синдромов плеча особое внимание уделяется локальной инъекционной терапии. Одним из наиболее безопасных и результативных методов, избавляющих от боли и способствующих активной регенерации патологически измененных тканей, является PRP плечевого сустава. Внутрисуставные инъекции аутологичной обогащенной тромбоцитами плазмы обеспечивают долгосрочный терапевтический эффект, сокращают использование лекарственных средств и значительно улучшают функциональную способность пациента.
Статью проверил
Показания
Плазмотерапия плечевого сустава рекомендована практически при всех воспалительных и дегенеративных ортопедических заболеваниях:
- артрит, периартрит, бурсит, синовит и пр
- артроз (дегенерация хрящевой ткани)
- адгезивный капсулит (рубцевание суставной капсулы)
- тендинит и другие поражения мышц-вращателей плеча
- импиджмент-синдром
Уколы плазмы в плечевой сустав назначаются при восстановительном лечении после травм, хронических и рецидивирующих болевых синдромах, мышечных спазмах, местных нарушениях кровообращения.
Как подготовиться к процедуре?
Аутоплазмотерапия - это инъекционная методика. В качестве раствора для внутрисуставного введения используют тромбоцитарную аутогенную плазму, полученную из собственной крови пациента. Биоматериал берется из вены и проходит специальную обработку. После центрифугирования происходит отделение клеток крови от плазмы, содержащей увеличенное количество тромбоцитов. После местного обезболивания Patelet Rich Plasma вводится в область пораженных тканей.
Чтобы плазмотерапия плеча обеспечивала максимально возможный терапевтический эффект, к нему необходимо подготовиться. За 2 недели до процедуры желательно прекратить прием гормональных препаратов (по согласованию с врачом). В течение 3-х дней до назначенной даты следует ограничить прием жирной пищи и алкогольных напитков. Укол плазмы в плечевой сустав рекомендуется делать на голодный желудок. Пить можно негазированную воду.
Противопоказания
PRP-терапия противопоказана в следующих ситуациях:
- острые и генерализованные инфекционные процессы
- онкологические заболевания
- нарушение свертываемости крови
- анемия
Лечебные эффекты
Плазмотерапия плечевого сустава показала себя достаточно эффективным методом лечения, отлично сочетаемым с другими терапевтическими процедурами. Внутрисуставное введение тромбоцитарной плазмы малотравматично, безопасно и практически не имеет возрастных ограничений. Курс инъекций обеспечивает:
- избавление от боли и спазмов
- стимуляцию местных обменных процессов
- усиленный синтез коллагена
- укрепление и восстановление суставных структур
- сокращение продолжительности лечения и длительности реабилитационного периода после эндопротезирования
Действие уколов плазмы в плечо становится заметным через 2-4 недели. Для достижения максимального результата рекомендуется провести терапевтический курс, включающий 3-7 процедур.

Сколько стоит PRP терапия?
Стоимость PRP терапии плечевого сустава зависит от цели, длительности, кратности курсов и квалификации врача. В сети клиник ЦМРТ Санкт-Петербурга плазмотерапию проводят сертифицированные специалисты с большим практическим опытом работы. Записывайтесь на прием, получайте подробную профессиональную консультацию и испытайте на себе преимущества современной регенеративной медицины.
Читайте также:
- Синдром Бенедикта (Benedikt)
- Токсикометрия. Установление основных параметров токсичности
- Путь элонгации и терминации трансляции мРНК при синтезе белка
- Общая схема центральной регуляции кровообращения. Схема регуляции кровообращения.
- Трансплантат-против-хозяина. Диагностика болезни трансплантат-против-хозяина
