Техника тотального эндопротезирования коленного сустава в условиях варусной деформации
Добавил пользователь Владимир З. Обновлено: 01.11.2025
Причин развития деформаций ног на уровне коленного сустава много. Основные из них - это индивидуальные особенности роста и развития, рахит, посттравматические деформации, несостоятельный остеогенез, и появление вторичной деформации на фоне повреждения связочного аппарата коленного сустава или первичного артроза.

За последние 20 лет значительно возрос интерес к корригирующим остеотомиям на уровне коленного сустава. Это связано, во-первых, с желанием уйти от тотального эндопротезирования, или хотя бы максимально его отсрочить, а во-вторых, с поиском возможности сохранения собственного сустава в условиях повреждения внутрисуставных структур - суставного хряща, крестообразных связок, менисков.
Почему же тренд к раннему эндопротезированию коленного сустава существовавший на протяжении последнего десятилетия 20 века изменился?
Эндопротезирование коленного сустава - очень хорошая и технологичная операция, но даже после неё в 20% случаев у людей сохраняется болевой синдром, и они остаются не удовлетворены результатом операции. Через 15-20 лет после первичной операции необходимо делать ревизию, и во многих случаях эта операция технически сложнее и сопровождается большим количеством рисков и осложнений. Поэтому продолжается поиск решений для того чтобы отсрочить или избежать эндопротезирования.
Кому показано проведение операции по коррекции деформации конечностей?
- Лица с изолированным наружным или внутренним остеоартрозом коленного сустава (вальгусная и варусная формы) в возрасте до 65 лет, с полной амплитудой движений, без лишнего веса.
- Деформация без артроза у молодых пациентов. При выраженной деформаций (вальгус\варус) которая в любом случае, через какое то время приведёт к артрозу.
- Посттравматическая деформация (угловая, ротационная, укорочение) например после перелома бедра или голени.
Какие существуют методы исправления деформаций ног?
Основные методы исправления деформации это остеотомии с последующей внутренней или внешней фиксацией. Остеотомии - это искусственные переломы, которые позволяют смещать фрагменты кости относительно друг друга. В случае если деформация угловая, и планируется коррекция в одной плоскости или в двух, возможно использование погружных фиксаторов, таких как пластины с угловой стабильностью и интрамеддулярные штифты. В случае когда планируется исправление угловой деформации, ротации и длины то целесообразно использование аппарата Илизарова или Гексапода.
В нашей стране накоплен самый богатый опыт использования аппарата Илизарова в мире, что неудивительно, учитывая то, что он был придуман и внедрён в практику выдающимся отечественным врачом, учёным и изобретателем Гавриилом Абрамовичем Илизаровым.
Ниже рассмотрим показания, технику выполнения операции и результаты лечения различных деформаций нижних конечностей на клинических примерах.
Для планирования операции по коррекции деформации нижних конечностей вам потребуется сделать рентгенограммы обеих нижних конечностей стоя с нагрузкой весом тела. Это позволит определить расположение анатомических и механических осей, обнаружить вершину деформации, произвести расчёт необходимой коррекции и выбрать оптимальный метод последующей фиксации остеотомии.

Клинические примеры операций по коррекции деформации нижних конечностей с использованием аппарата Илизарова.

Часто встречающаяся ситуация - вальгусная деформация ног + наружная ротация + укорочение левого бедра 2 см. Слева деформация более выражена, поскольку деформированы были и бедро, и голень. Провели двухэтапную коррекцию. 1 этап - левое бедро, 2 этап - обе голени. Genu valgum (в отличие от genu varum) часто обусловлена деформацией бедренных костей. Поэтому для определения объема операции обязательно нужен рентген ног по всей длине.
При такой значительной деформации уже к 50 годам развивается деформирующий артроз коленных суставов преимущественно с вовлечением наружных отделов. Когда деформация прогрессирует, операция по исправлению оси становится уже не настолько эффективна. Кроме того, вальгусное колено намного сложнее в плане эндопротезирования.

Достаточно грубая варусная деформация у девушки 25 лет исправленная при помощи метода Илизарова. У аппаратной методики есть важное преимущество, она позволяет производить коррекцию в любых плоскостях, одновременное увеличение длины, и одновременно проводить вмешательство на обеих нижних конечностях. Аппарат Илизарова можно спрятать под свободными брюками, и ходить без трости или костылей. Подобная операция не только является профилактикой развития в последующем гонартроза с поражением внутренних отделов коленных суставов, но так же значительно влияет на эстетику нижних конечностей, что крайне важно, когда мы говорим о девушках.

Ещё один клинический пример, одновременного исправления угловой, ротационной деформации и укорочения левой голени. Травма за 5 лет до операции в результате падения с 5 этажа, левая голень срослась с грубой варусной деформацией, удлинением и внутренней ротацией, правая нога укоротилась за счёт явлений посттравматического артроза голеностопного сустава. В итоге ноги получились вот такими. Обращало на себя внимание, что деформированная левая голень длиннее правой. При выпрямлении эта разница стала бы еще более заметной. В итоге решили укоротить левую голень и выпрямить её. Резецировали около 5 см берцовых костей и срастили их в прямом положении. Устранили варус и внутреннюю ротацию.

Артемьев Александр Александрович
Доктор медицинских наук, ведущий специалист по проблемам лечения тяжелых переломов и их последствий, реконструктивно-восстановительной и эстетической хирургии конечностей.
Замена коленного сустава: что это, видео-фото операций, технологии, сроки восстановления
Замена коленного сустава (ЗКС) - метод хирургического лечения последствий дегенеративно-дистрофического патогенеза колена. Цель операции полное восстановление функций проблемного отдела конечности за счет замены необратимо пораженного сочленения эндопротезом. Гонартроз 3-й степени (в 85% случаев) самая частая причина.

Артроз коленного сустава на рентгене.

А так выглядит пораженный сустав через артроскоп. Обратите внимание на площадь отсутствия хрящевой поверхности.
Примерно в 98% случаев операция прогнозирует благоприятный исход. По окончании качественной реабилитации двигательно-опорные функции полностью восстанавливаются, болезненная симптоматика исчезает, человек возвращается к нормальной здоровой жизни. Эффект от успешно пройденного лечения сохраняется более чем на 15 лет.
Показания к замене
Посмотрите на рентген, на нем вы видите, до какой степени при запущенном гонартрозе изношен гиалиновый хрящ, обеспечивающий гладкое скольжение суставных поверхностей. Концевые участки костей грубо деформируются нарушая функции сгибания и разгибания конечности вызывая интенсивный болевой синдром.

Сравнение здорового и пораженного сустава.
Когда операции не миновать
Хирургическое техники
Согласно диагнозу, возрастным и весовым критериям, физическим данным и сопутствующим заболеваниям, специалист выбирает наиболее эффективную тактику имплантации:
- - протезированию подлежит только одна из полукруглых возвышенностей бедренной кости с подлежащим к ней проксимальным фрагментом большеберцовой кости (применяется у пожилых пациентов и у лиц с низкой физической активностью);
- тотальная операция (полная) - меняется весь коленный сустав, он удаляется полностью, а на его место имплантируется эндопротез;
Неполные имплантаты, устанавливаемые при частичной замене, имеют короткий срок эксплуатации. Такие модели вырабатываются в 2 раза быстрее, чем тотальные конструкции, при этом их потенциал прочности не рассчитан на высокой степени физические нагрузки. Преимущества частичного протезирования состоят в том, что замещается имплантатом только определенная часть сочленения, остальная область остается нетронутой. Таким образом, щадящее вмешательство позволяет сократить сроки реабилитации и перенести восстановительный период относительно легко.

Две техники операции у одного пациента.
Какие бывают эндопротезы?
Протезные системы бывают с подвижной или неподвижной платформой, а также предусматривающие сохранение или удаление задней крестообразной связки. Различаются по виду фиксации, она может быть цементной, бесцементной и комбинированной.
- Подвижные и неподвижные платформы. Большинству пациентов ставят имплантат с амортизирующим вкладышем, который плотно связан с большеберцовым элементом, то есть изделия с неподвижной платформой. Наличие же мобильного вкладыша внутри металлического большеберцового компонента требует хорошего состояния мышечной системы и капсульно-связочного аппарата, в противном случае может произойти смещение протеза.

Имплантант позволяет осуществлять движения в двух плоскостях.


Все чаще применяется керамический бедренный компонент вместо металлического. На изображении степени износа поверхностей. Керамика совершенно не повреждается.
Внимание! Имплант может прослужить от (от 15 до 30 лет), но при условии качественной замены коленного сустава и реабилитации.
Как получить квоту на замену коленного сустава?
Квота в 2018 году положена официально признанным инвалидам по причине гонартроза. В рамках программы ВМП на получение квоты могут рассчитывать люди, нуждающиеся в ревизионном (повторном) вмешательстве, если первичная процедура была выполнена некорректно, что повлекло за собой осложнения.
Чтобы бесплатно прооперироваться, вам потребуется стать в очередь на замену проблемного коленного сочленения эндопротезом. Что для этого нужно?
- Сначала вы проходите все необходимые обследования в своей поликлинике, где стоите на учете.
- Далее полный пакет медицинской документации, включающий все диагностические результаты, выписку из истории болезней, письменное заявление пациента, ксерокопии паспорта, свидетельства ОПС и полиса Обязательного медицинского страхования, заверяет главврач.
- Затем заверенную документацию отсылают на рассмотрение в квотный отдел местного органа здравоохранения. Там ее изучают и дают согласие, о чем вы будете проинформированы, документы отправляют в клинику, которая специализируется на установке коленных имплантов.
- Клиника оповещает местный ОЗ о дате хирургического сеанса. Городской орган здравоохранения связывается с вами и вы должны будете прийти и забрать направление на операцию. В направлении будут точно указаны дата запланированного вмешательства и клиника, где вам будет оказана ВМП.
После одобрения местным органом здравоохранения вам потребуется еще ждать от 3 месяцев до 1,5 года, когда пригласят в ту или иную больницу на лечение.

Где делают замену коленного сустава
Желательно оперироваться в Москве или Санкт-Петербурге в больницах федерального типа при НИИ, там, по сравнению с другими клиниками, практикуют лучшие хирурги России.
Где лучше сделать замену коленных суставов за рубежом? Однозначно, в Чешской Республике, цены в клиниках ЧР намного ниже, чем в других знаменитых странах медицинского туризма.
Подготовка к операции
Речь будет о том, как подготовиться, чтобы после перенесенного эндопротезирования вы легко восстанавливались.
- Во-первых, начните заниматьсялечебной физкультурой, минимум за 2-3 месяца до намеченной процедуры. Лучше, если вы будете посещать занятия под контролем ЛФК-инструктора. Превосходно на повышение выносливости мышц оказывает плавание в бассейне и аквагимнастика, поэтому возьмите это обязательно на заметку.

Делайте хотя бы минимальные движения.

С лишним весом: хуже заживает шов, сложнее анестезия, труднее и дольше реабилитация, быстрее износ эндопротеза.
Борьба с вредными привычками. За 3 месяца бросьте курить, исключите прием алкогольных напитков, и больше никогда не возвращайтесь к ним. И первое, и второе - злобные враги, угнетающие естественные возможности организма к регенерации травмированных в ходе операции тканей, в том числе к противостоянию всем возможным интра- и постоперационным негативными явлениями.

Курение замедляет процессы регенерации, откажитесь от него.
Подготовьте свое жилище:
- Первое, что необходимо сделать, это надежно прикрепить поручни в туалете и ванной комнате, которые будут служить до вашего выздоровления в качестве страховочных элементов.
- В вашем доме или квартире ничего не должно мешать передвижению и не выступало потенциальной причиной травматизма. Поэтому уберите коврики, телефонные и электрические кабели с полов, предметы мебели стоящие посередине комнат.
- Чтобы принимать правильную позу при посадке на стул или принятии положения лежа, не сгибая конечность более чем на 90 градусов, надо возвысить все поверхности для лежания и сидения.
- Все предметы и вещи первой необходимости должны находиться на доступном уровне, чтобы вам не пришло в голову вдруг за ними тянуться, наклоняться, приседать и, не дай бог, становиться на табуреты и прочие подставочные элементы.

Очень полезная в быту вещь.
Хирургический процесс
Замену коленного сустава проводят под эпидуральным наркозом. Анестезирующий препарат вводят в эпидуральное пространство позвоночника, что вызывает полное блокирование болевой чувствительности нижних конечностей, при этом пациент остается в сознании.

Как хирург видит сустав во время операции.
Этапы классической операции:
- Сначала выполняется широкая антисептическая обработка кожных покровов проблемной ноги, после конечность покрывают пленкой.
- Дальше хирург совершает разрез мягких тканей на передней стороне колена, аккуратно обнажая пораженный сустав.
- После открытия сочленения патологические наросты и свободные костно-хрящевые фрагменты удаляются.
- Костные единицы выравнивают по оси, снимаются поверхностные слои с бедренной и большой берцовой кости, затем опиленные компоненты шлифуются.
- В большеберцовой кости создается небольших размеров канал, в который погружают заднюю втулку протеза. Этот плоское металлическое или керамическое плато повторяющее геометрию краевого костного участка, с упругой полимерной вкладкой.
- На обработанную бедренную кость фиксируется часть эндопротеза, которая по форме имитирует естественные округлости нижнего участка кости бедра.
- По окончании процедуры рана обильно промывается, выполняется гемостаз, ставится дренажная система, разрез послойно ушивается по технике узлового шва. Завершает операционный процесс наложение на конечность тугой стерильной повязки.
Хирургический процесс длится в среднем 2 часа. Когда операция по замене коленного сустава окончена, больного на несколько часов переводят в реанимационное отделение. В блоке интенсивной терапии медицинский персонал осуществляет внимательный контроль над всеми жизненными циклами организма. Потом прооперированный человек переводится в обычную палату, где начинают реализовывать комплексную программу реабилитации, специально разработанную для конкретного пациента.
Сроки восстановления
2,5-3 месяца, это время, которое необходимо для того, чтобы искусственная конструкция окончательно прижилась и разработалась, а пациент полностью адаптировался к жизни с новым суставом.

Хорошо заживающий шов примерно на 10 день после операции.
Весь восстановительный период может продлиться 2,5-3 мес., а иногда и до полугода. Без реабилитации смысла в пройденной замене коленного сустава нет. Поэтому:
- не игнорируйте обязательный восстановительно-лечебный процесс, не сокращайте его сроки;
- проходите физиотерапевтические процедуры и занятия ЛФК;
- восстанавливайтесь в хорошем профильном медицинском заведении;
- соблюдайте ограничения и все медицинские рекомендации(хождение на костылях и с тростью, соблюдение угла сгибания конечности и пр.).

Прошло 6 месяцев.
Необходимо всю жизнь соблюдать особенный график физической активности, так сказать, в щадящем режиме. В не являетесь инвалидом, вы - физически здоровый человек, но, имея протез, нуждаетесь в соблюдении правил:
- не совершать интенсивные махи ногами;
- глубоко и резко не приседать;
- не поджимать под себя ноги и не становиться на колени;
- не прыгать и не спрыгивать с возвышенных объектов;
- не заниматься командными видами спорта (футбол, баскетбол и пр.);
- вести активный образ жизни, отдавая предпочтение нетравматичной физкультуре (плавание, скандинавская ходьба, пеший туризм, облегченная езда на велосипеде, аквагимнастика и др.)
- дозировать нагрузки, не допуская физической перегрузки и рационально комбинируя активность с отдыхом;
- всегда посещать плановые обследования и т. д.
Важно осознавать, что функциональность протезированной ноги теперь полностью зависит от состояния мышечного комплекса. Вашими пожизненными рекомендациями являются регулярные занятия ЛФК. Тренировки после пройденного реабилитационного курса можно выполнять в домашних условиях.
Противопоказания
Ни возраст, ни высокая масса тела не являются основанием для отказа в проведении операции. Процедура противопоказана, если имеются:
- неконтролируемый сахарный диабет и диабет в стадии декомпенсации;
- тяжелые пороки сердечно-сосудистой системы;
- почечные заболевания, характеризующиеся нарушенной азотовыделительной функцией почек (почечная недостаточность и пр.);
- печеночная и легочная недостаточность 2-3 ст.;
- любые хронические заболевания в фазе обострения;
- локальный и общий инфекционно-воспалительный, гнойный очаг;
- серьезные состояния иммунодефицита;
- парез или паралич конечностей;
- тяжелые формы остеопороза;
- выраженные тромбы в венах нижних конечностей;
- тяжелые нервно-психические расстройства.

Так может выглядеть рана у диабетика.
Риски операции
Показатель вероятности осложнений, как мы ранее упоминали не превышает 2%. В России — 6%, это:
- ;
- тромбоз глубоких вен ног и легочная тромбоэмболия;
- расшатывание и нестабильность протеза;
- вывихи, подвывихи, перелом эндопротеза; ;
- упорная боль и контрактура.

Инфекция одно из самых трудно излечиваемых осложнений.
Почему все эти отрицательные реакции происходят? В основном они обусловлены несоблюдением технологических принципов при постановке имплантата, некорректно подобранным видом протеза, неудовлетворительными условиями в операционном блоке, некачественной реабилитацией, всевозможными травмами конечности на любом сроке после операции и игнорированием исполнения правил, касающихся физического режима.
Эндопротезирование коленного сустава - шанс восстановить функции конечности
Хронические суставные патологии практически не поддаются лечению, более того, они прогрессируют не оставляя человеку права на здоровое существование. Эндопротезирование коленного сустава - операций, суть которой состоит в его замене искусственным имплантом.
Сравнение здорового коленного сустава(слева) и полностью разрушенного(справа).
Хрящ, покрывающий концы суставных костей, невозможно восстановить, если он серьезно разрушен. Внутрисуставные уколы плазмы или гиалурона, бесполезная трата денег, нервов и времени.
Это видит хирург во время операции, обратите внимание на неравномерность, а местами отсутствие хрящевой оболочки.

Упрощенная схема установки импланта.
Единственная тактика лечения, которая дает результаты - эндопротезирование. Индустрия выпускает модернизированные имплантаты под требования любого пациента. Искусственные конструкции создаются из биосовместимых материалов, представленных керамикой, инновационными сплавами металлов и высокомолекулярным полиэтиленом, которые не оказывают токсического, аллергического и канцерогенного воздействия на окружающие структуры.

Вступление
Пораженный сустав обследуют высокоинформативными средствами визуальной диагностики, больного направляют на прохождение лабораторных анализов, осмотр у врачей узкой специализации.Далее принимается решение о:
- способом имплантации (тотальный или частичный);
- из какого материала лучше поставить протез;
- фиксация — цементная, бесцементная или гибридная;
- тип анестезии.

Чаще всего анестезия используется спинальная.
Метод протезирования колена успешно практикуют ведущие клиники эндопротезирования коленного сустава федеральные медцентры России, Украины и других государств постсоветского пространства.
Быстро пройти высокотехнологичную процедуру по квоте не всегда возможно, потребуется еще дождаться своей очереди, а на это может уйти 3-6 месяцев, иногда 12 месяцев.
В послеоперационный период колено требует больше времени на восстановление в отличие от бедра. Связано это с тем, что операция в техническом плане сложнее. Послеоперационный шов находится как раз в месте сильного растяжения кожи, что так же осложняет процесс восстановления, ведь нужно активно работать на сгибание-разгибание конечности.
Показания к операции
Примерно каждому десятому пациенту, страдающему патологией колена, требуется эндопротезирование. Причиной критических нарушений выступают следующие заболевания:
- этиологии и подагра;
- деформирующий артроз; ;
- внутрисуставные или околосуставные инфекции;
- травматические поражения; ;
- нарушение гормонального фона.
Хирургическая процедура показана, если обнаружены следующие изменения патологического характера:
- яркая болезненная симптоматика и серьезные двигательные расстройства, при которых консервативные способы и малоинвазивная хирургия не помогают или уже не имеют смысла;
- гонартроз в тяжелом проявлении;
- системная артритная болезнь;
- аваскулярный некроз суставных костей;
- локальные новообразования;
- врожденная и приобретенная дисплазия;
- неправильно сросшиеся переломы;
- посттравматические дегенерации.

Динамика болезни на рентгене.
Откладывать хирургию при гонартрозах 3-4 степени чревато деформацией позвоночника. Это происходит из-за хромоты. Дегенеративные процессы артроза глубоко затронут кости, из-за чего они приобретут хрупкость, потеряют плотность и зафиксировать к ним компоненты импланта станет сложно.
Разрешается проводить даже в преклонном возрасте. Но при наличии любых патологий в стадии декомпенсации, например, сахарного диабета или гипертонии, хирургия будет отменена. Любые инфекционные воспалительные очаги в организме до запланированной процедуры должны быть ликвидированы полностью. Общий список противопоказаний:
- декомпенсированные хронические болезни;
- локальные и общие инфекции, воспалительные процессы;
- анемия 2-3 ст., низкая свертываемость крови;
- тяжелые психические нарушения;
- неконтролируемый диабет;
- туберкулез кости;
- паралич конечности;
- тромбоз глубоких вен ног.
Иногда требуется провести коррекцию веса, если индекс массы тела слишком высок, это опасно травмами и смещением импланта. Инвалидность после лечения не предусмотрена.

Самый распространенный тип импланта коленного сустава.
Диагностика не ограничивается осмотром только лишь больной конечности, обследованию подлежат обе ноги. В этих целях рекомендуется прохождение:
- рентгенографии;
- ультразвукового исследования (УЗИ);
- магниторезонансной томографии (МРТ); (не всегда).

Платформа импланта прослужившая пациенту 16 лет. Хороший результат.
Осуществляется обход узкоспециализированных врачей (кардиолога, терапевта, иммунолога, анестезиолога, ЛОРа, стоматолога), сдача общеклинических анализов, исследование органов и систем организма. Стандартная диагностика включает:
- общий и биохимический анализы крови;
- коагулограмму;
- общий анализ мочи;
- определение уровня сахара в крови;
- тест на группу крови и резус-фактор;
- ультразвуковую допплерографию вен конечностей (УЗДГ);
- электрокардиограмму (ЭКГ);
- фиброгастродуоденоскопию (ФГДС);
- флюорографию органов дыхания.
Также будет произведен забор крови для переливания.
В клиниках эндопротезирования коленного сустава подготовка начинается примерно за 2 недели до предстоящего сеанса. Обязательно рекомендуется лечебная физкультура. Она поможет подготовить мышечный комплекс к реабилитации, посодействует его укреплению. Особенно при предполагаемой хирургии обоих коленных суставов.
Типы протезов и связанные с ними методики
Вы уже знаете, что бывает полное и частичное эндопротезирование коленного сустава, где в первом случае лечение подразумевает полноценную замену суставных поверхностей, а во втором - имплантацию поврежденного участка одного из мыщелков. Соответственно, протезы классифицируются на тотальные, одномыщелковые и ревизионные для замены импланта.
- После постановки однополюсной системы максимально сохраняется собственный костно-хрящевой сегмент и не затрагиваются связки, кстати, они должны быть в хорошем состоянии.

Одномыщелковая замена сустава на рентгене.
Сравнение двух типов операций.

С каждой последующей операции статистика успешности ниже. Импланты при этом становятся все более громоздкими.
Одномыщелковое протезирование подразумевает срок службы небиологического устройства максимум 7 лет. Тотальное замещение предусматривает время службы вживленного механизма от 15 лет. Ревизионное переносится сложнее, а риск инфекции и других негативных явлений почти в 2 раза выше, чем после первичной операции.
Жидкое протезирование коленного сустава
Важно еще вкратце дать информацию о жидком протезировании коленных суставов. Это инъекционные препараты гиалуроната натрия, которые служат для восполнения синовиальной жидкости. Жидкое протезирование коленного сустава производится путем введения через шприц раствора гиалуроновой кислоты во внутрисуставное пространство. Подобная лечебная тактика не восстанавливает разрушенный гиалиновый хрящ, но способствуют временному снижению признаков остеоартроза (сокращает тугоподвижность и боль) за счет улучшения смазочных свойств натурального сочленения. Оно применимо в качестве симптоматической терапии при артрозе, но настоящему эндопротезированию не является альтернативой.

Никакие уколы артрозы не лечат!
Описание хирургического процесса
Вид анестезии определяется врачом-анестезиологом. Что значит общий наркоз, думаем, знают все. А по поводу второй разновидности, скорее, не каждый понимает суть и принцип действия обезболивания, внесем ясность.
Эпидуральный наркоз - это один видов регионарной анестезии, смысл которого в подаче в перидуральное пространство позвоночника (в области поясницы) через катетер специального состава, блокирующего передачу импульсов от нервных сплетений спинного мозга. Нижняя часть тела становится нечувствительной. Человек совершенно не ощущает никакой боли, но остается в сознании. Не исключено, что анестезиолог дополнительно подключит внутривенную систему, подающую эффективный седативный препарат, чтобы снять нервное напряжение или погрузить в глубокий медикаментозный сон.

Чем легче наркоз, тем проще всем, пациенту, травматологу и анестезиологу.
Когда анестетик «заработает», начинается тотальное протезирование коленного сустава.
- Доступ к суставу осуществляется с передней стороны колена путем рассечения мягких тканей, обходя надколенник. Разрез небольшой, он равен примерно 12-14 см.
- Аккуратно высвобождается из анатомического пространства.
- Поскольку конструкция для тотального протезирования коленного сустава имеет сложную геометрию, для ее правильной посадки хирург выполняет несколько высокоточных опилов бедренной и большеберцовой костей.
- После ставится «болванка» разных размеров для подборки лучшего.
- Убедившись, что кости подготовлены правильно, специалист приступает к установке постоянных деталей протеза на свое окончательное место.
- В конце проводится промывание антисептической жидкостью площади, в пределах которой выполнялись операционные действия. Потом в рану вставляют временную дренажную систему для оттока раневого отделяемого, разрез ушивается и покрывается стерильной повязкой.

Пациент лежит на операционном столе, нога забинтована, сейчас начнется операция.
После выписки из стационара следует оформиться в лечебно-реабилитационный центр. В таких медучреждениях оказывают высококомпетентную помощь после тотального цементного эндопротезирования коленных суставов или бесцементного, частичного протезирования и ревизионного вмешательства.

Неблагоприятные реакции

От работы реабилитологов зависит не меньше, чем от работы хирурга.
Больной обязан быть под пристальным наблюдением методистов-реабилитологов в послеоперационный период, исполнять все их требования, касающиеся физических упражнений и посещения физиотерапевтических процедур, а также в установленные сроки приходить на плановый осмотр к основному лечащему врачу. Только в таком случае к концу 3-го месяца можно рассчитывать на благополучный исход.
По состоянию шва можно судить о процессах заживления внутри сустава. Вы видите спокойный, хорошо заживающий шов
Через 6 месяцев он будет выглядеть как на фото
К возможным интраоперационным последствиям относят кровотечение, что происходит в единичных случаях. Значительные кровопотери оперативно восполняются донорским запасом крови, заготовленным еще до операции. Инфицирование и аллергический ответ на анестезию тоже маловероятны, если установка проходит с соблюдением всех норм. В течение первого месяца после состоявшейся артропластики встречаются следующие осложнения (вероятность невелика, но присутствует):
- ; в венозном русле конечности;
- тромбоэмболия;
- жировая эмболия;
- расхождение швов и открытие раны;
- вывих протеза, смещение надколенника;
- нарушение чувствительности в зоне колена;
- повышение местной и общей температуры вследствие локального воспаления или попадания инфекции.
Патологические реакции, которые развиваются в отдаленный период (по прошествии 4 недель и позже):
- расшатывание, смещение, нестабильность искусственных компонентов; , в которую он вставлен;
- образование грубых наростов, рубцов вокруг устройства;
- суставно-мышечная контрактура;
- хронические боли; .

Травмы опасны для людей перенесших такую операцию, поэтому берегите себя как минимум первое время, пока нога не окрепла достаточно.
Инструкция по реабилитации после эндопротезирования коленного сустава: упражнения, гимнастика и советы
Костно-хрящевые структуры колена, приводящие в движение коленный сустав и отвечающие за опороспособность конечностей, - это самые уязвимые анатомические компоненты, которые поражаются артрозами. Эндопротезирование эффективный способом восстановления опорно-двигательного аппарата, которая подверглась серьезной дегенеративно-дистрофической агрессии на фоне хронического артроза.

Динамика разрушения хрящевой поверхности.
Однако реабилитация после эндопротезирования коленного сустава в России организована не на том уровне, чтобы пациент смог полноценно восстановиться.

Макет импланта коленного сустава.
Часто пациенты проходят реабилитацию после эндопротезирования коленного сустава дома, следуя полученным при выписке врачебным рекомендациям. Они вынуждены выискивать всю необходимую информацию в интернете. По установленным клиническим стандартам, после такого вмешательства, сопряженного рисками развития опасных осложнений, требуется грамотная помощь достаточно продолжительное время - в среднем 3 месяца.

При самостоятельном восстановлении хорошо использовать жгут или небольшие грузы
Планирование физических занятий и выполнение упражнений строго под наблюдением компетентного инструктора это основополагающие факторы полного восстановления биомеханики прооперированной конечности. От реабилитации коленного сустава после эндопротезирования, зависит успех операции, восстановление и полноценность двигательно-опорных способностей, качество будущей жизни.

Предоперационная подготовка к реабилитации
Реабилитация после операции проходит хорошо не всегда. Хирургия имеет свои риски осложнений, которым больше подвержены люди пожилого возраста, имеющие сопутствующие проблемы со здоровьем. Обо этом больного информирует доктор еще на этапе подготовки перед хирургической процедурой и принимает меры по недопущению их развития.

Упражнения на подвесах это отдельный и большой пласт послеоперационного восстановления.
Еще на предоперационном этапе начинают воздействовать на проблемные зоны мышц, которые на почве сложной болезни имеют гипотонус и низкие показатели кровоснабжения. Для чего это делают так рано? Представьте, какими трудностями будет сопровождаться реабилитация после операции на коленном суставе, когда и без того ослабшие мышцы ноги станут еще слабее. Риск развития контрактур, атрофии, тромбоза вен и тромбоэмболии тогда значительно возрастет.
Эндопротезом управляют мышечно-связочные структуры, и пока они не придут в норму, не обретут достаточную упругость и эластичность, имплантат не заработает в полном объеме.
Целесообразно начинать разработку мышц еще перед эндопротезированием коленных суставов, реабилитация после операции тогда пройдет гораздо легче и быстрее. Более того, ранний период будет намного проще восприниматься и переноситься, если пациента заранее обучили технике ходьбы на костылях, базовым упражнениям ЛФК начальной фазы и дыхательной гимнастике, навыкам повседневной активности.

Если Вы знаете что Вам предстоит операция, начинайте заниматься гимнастикой уже сейчас.
Активному восстановлению после эндопротезирования коленного сустава поспособствуют упражнения, которыми занимаются перед операцией, на повышение мышечного тонуса, упражнения на улучшение общего физического состояния. Использовать необходимо такой вид физкульт-тренировок, который не перегружает пораженный костно-хрящевой орган, и вместе с тем тренирует все мышечные группы, отвечающие за его работу. Этим требованиям соответствуют следующие виды тренировок:
- свободное плавание в бассейне;
- скандинавская ходьба с палками;
- занятия на велотренажере;
- упражнения на координацию и баланс движений;
- ходьба в воде и общеукрепляющая аквагимнастика.
Все перечисленные занятия останутся актуальными и после установки искусственного аналога. Но к ним можно будет вернуться на отдаленных сроках реабилитации: должно пройти 1,5-3 месяца, возможно, и больший отрезок времени.

Костыли можно будет полностью отложить примерно через 8 недель после операции.
Чтобы уверенно пользоваться дополнительными средствами поддержки при перемещении (ходунками и костылями), вам нужны сильные руки. Вернее сказать, крепкая мускулатура, расположенная с тыльной стороны рук, которая называется трицепсом. Укрепить трицепс помогает одна простая зарядка:
План на первые 2-3 недели после хирургии
Самый волнующий день пройден, вам заменили сустав механическим имплантатом. Теперь от вашей ответственности и того, как хорошо вы будете соблюдать реабилитационный устав, зависит итоговая оценка пройденного лечения. Поэтому настройтесь на упорную работу на несколько месяцев и, несмотря ни на какие преграды и не сдавайтесь.

Первые дни ноги туго бинтуют для профилактики тромбофлебита.
Общая программа на первый период
До выхода из наркоза пациент несколько часов проводит в отделении интенсивной терапии, затем его переводят в стационар. Сразу после поступления в стационарное отделение начинается реализация разработанной специалистами схемы восстановительно-профилактической терапии. Начальная реабилитация предусматривает раннюю активизацию больного в щадящем двигательном режиме. В профилактических целях против послеоперационных осложнений и для ускорения регенеративных процессов будут назначены:
- дыхательная диафрагмальная и грудная гимнастика;
- возвышенное прооперированной ноги;
- расположение между конечностями валика, чтобы не произошло непроизвольного перекрещивания со здоровой ногой;
- физиопроцедуры (УВЧ, магнитотерапия, электрофорез) и упражнения на стимуляцию лимфо- и кровообращения, на запуск механизмов заживления, снятие отеков и болезненных явлений;
- занятия и процедуры на совершенствование функционального состояния группы мышц прооперированной ноги и тонических (антигравитационных) мышц туловища;
- введение и прием антибиотиков, препаратов из спектра антикоагулянтов, противовоспалительных и обезболивающих средств, витаминно-минеральных комплексов;
- обработка антисептическими составами, перевязка, дренаж раны;
- прикладывание на область колена холодных мешочков со льдом для сокращения болезненных ощущений и снижения отечности.

Очень хорошо, когда весь процесс заживления контролирует именно тот специалист, который проводил операцию.
Когда разрешается ходить и сидеть? Обычно уже спустя 24-48 часов, иногда на 3 день, в зависимости от самочувствия. Ходьба показана с применением подлокотных костылей или ходунков. Полностью опираться и переносить вес на ногу пока под запретом, можно лишь слегка ею касаться пола. Допустимый процент перевеса массы тела на прооперированную сторону через неделю равен 10-15 % от физиологически возможной нагрузки, через 3 недели - 50 %.
Первые шаги, пробы занять положение «сидя» контролируются инструктором. Передвижение и сидение строго лимитируются по минутам на начальной фазе восстановления, временной предел увеличивают постепенно. К концу 2-3 недели вы сможете уже прогуливаться по 25-30 минут трижды в сутки, а сидеть, не меняя положения тела, не более 20 минут.
Лечебная физкультура раннего периода
Какие упражнения после эндопротезирования коленного сустава показано выполнять на данном промежутке времени.

Артромот используется с первого дня после операции, его задача в пассивной разработке коленного сустава.
По мере выздоровления упражнения будут разнообразнее и интенсивнее, а через 6 недель вы уже сможете тренироваться на велотренажере, посещать бассейн и т. д.
- Первоначальная реабилитация начинается с напряжения четырехглавой мышцы бедра с одновременной активизацией конечности. Для этого необходимо напрячь соответствующий сегмент, приподнять ногу вверх в ровном положении примерно на 30 см от поверхности, на которой вы лежите. Опускать конечность сразу не нужно, задержите ее на достигнутом уровне секунд на 5-8, осторожно верните в исходное положение. Делайте двухминутный интервал на отдых между повторами. Количество повторов - примерно 10 раз
Упражнение направлено на переднюю поверхность бедра. В конечной точке можно фиксировать положение на пару секунд.

Выполняйте очень аккуратно, без неприятных ощущений.

Данное упражнение можно выполнять без ограничений по количеству повторений.
Мысок стопы должен быть направлен строго вверх.
Начинайте с малой амплитуды и постепенно ее увеличивайте.

Руки должны быть вдоль тела.
На 5 день начинают осваивать ходьбу в брусьях, по ступенчатому тренажеру, беговой платформе в подвесе. Из стационара выписывают уже по истечении 14 суток, если позволяет самочувствие пациента. В некоторых случаях могут отпустить домой через 3 недели. Швы удаляются спустя 10-14 дней.
Особенности поздней стадии (после 3 недель)
Перечисленные упражнения после эндопротезирования коленного сустава дома продолжают выполняться по той же методике, что мы изложили в предыдущих параграфах. Но ими нельзя ограничиваться, когда со дня процедуры прошло уже столько времени. ЛФК после 3 недель усложняется и расширяется, так как разработать коленный сустав после операции в полной мере одними лишь занятиями пассивно-активного характера невозможно.
Боль и неприятные ощущения при правильном подходе перестают беспокоить через полмесяца после артропластики. Поэтому сейчас разумно добавить в комплекс упражнений после эндопротезирования коленного сустава ряд более сложных задач, которые не навредят искусственной конструкции, но плодотворно день за днем будут улучшать статико-динамические показатели.
Кроме того, проделывать пешие прогулки вам уже нужно чаще и продолжительнее, в среднем по 40-60 мин. 4 раза в сутки. Ступать на ногу, если реабилитация коленного сустава после операции по замене протекает отлично, можно с 50 % нагрузкой, и только по истечении 8 недель со 100 % опорой. Ближе к середине восстановительной программы выдается направление на ручной массаж конечностей и определенных отделов позвоночного столба, прописываются занятия на велотренажере умеренно-щадящего характера.
А сейчас остановимся на самом главном: как осуществляется разработка коленного сустава после эндопротезирования на отдаленных сроках, и какой комплекс упражнений ЛФК принесет наибольшую пользу.
ЛФК с 3 по 13 неделю
- Лежа на животе, сгибать колено с подтягиванием пятки к ягодице. На схожем принципе основывается еще одна методика, но выполняется она стоя: нужно взяться за поручни, как вариант, опереться руками о столешницу стола или взяться с обратной стороны стула за спинку и, стоя на здоровой конечности, проделать аналогичное действие.
Старайтесь достать пяткой ягодицы. Это маловероятно, но цель должна быть такой.
Имитация ходьбы по ступеньке, выполнять следует двумя ногами поочередно.
Растяжка ахиллова сухожилия.
При работе на баланс в движение включаются все мелкие мышечные волокна.
При полуприседе держитесь за опору.
Аналогично — имейте точку опоры для рук.
Можно выполнять как сидя, так и лежа на спине или животе.
Аквагимнастика, бальнео- и грязелечение
Пациенту на промежуточных и завершающих этапах реабилитации после операции на колене подбирают спецкомплекс кинезотерапии в водной среде, оказывающий невероятно благотворное воздействие на коррекцию опорно-двигательного аппарата. Плюс к этому, гидрокинезотерапия способствует:
- динамичному усовершенствованию связок и сократительных функций всех главных мышц, участвующих в биомеханике соответствующего отдела;
- регуляции кровотока, обменных процессов, питания тканей вокруг протеза, за счет чего достигается его прочная и надежная фиксация с костью, корректная механика;
- безопасному и продуктивному налаживанию диапазона движений, не отягощая ногу и защищая ее от перенагрузки.
Водные процедуры несоизмеримый вклад вносят и в гармонизацию деятельности ЦНС, производят прекрасный психотерапевтический эффект, заряжают оптимизмом и верой в полное выздоровление.

Когда шов полностью зажил, упражнения в бассейне отличный способ восстановления.
По истечении 2-3 месяцев со дня, как протезирование коленного сустава было совершено, рекомендуется пройти курс бальнеотерапии и/или грязелечения. Бальнеолечение и грязетерапия - это использование теплых радоновых и сероводородных ванн, лечебных грязей. Эти тактики физиотерапии широко практикуются в санаторно-курортных здравницах, размещенных на территориях, богатых редкими природными ресурсами, которые обладают нереальным спектром лечебных возможностей. Особенно популярны во всем мире чешские курорты.

Чехия — лидер в области ортопедии!
В Чехии реабилитация в санатории после эндопротезирования коленного сустава - это первоклассные лечебно-профилактические мероприятия при ортопедических нарушениях, включающие разнообразные тактики терапии натуральными природными источниками со сложными составами. Ну и, конечно, в таких лечебницах, кроме неповторимых в своем роде действенных сеансов физиатрии организована система восстановительной физкультуры.
Погружение в целебные минеральные источники и накладывание грязевых аппликаций оказывают мощное обезболивающее действие, положительно влияют на циркуляцию крови в структурах органов движения, улучшают метаболизм и трофику скелетно-мышечных тканей, выравнивают нервно-мышечную передачу, успокаивают и тонизируют нервную систему, повышают иммунитет. Таким образом, происходит заметный положительный прогресс в работе локомоторно-опорного аппарата.
Жизнь после восстановления
Комплексная реабилитация после эндопротезирования коленного сустава - упражнения ЛФК, разработка сочленения в воде, занятия на тренажерах, массаж, различные физиотерапевтические процедуры - залог вашего успешного восстановления. Вы уже знаете, что регулярные спортивные тренировки должны стать неотъемлемой частью вашего образа жизни, ведь именно они в ответе за слаженную, долгую, бесперебойную производительность нового сустава. Обычно при правильно распланированной физической активности эндопротезы колена служат в среднем 20-25 лет.

Рентген после операции. Протез стоит корректно.
Но вам также необходимо понимать, что устройство, замещающее естественный орган, представляет собой кинематическую конструкцию из металла или керамики с полимерными вставками. Как и любой механизм, такое протезное приспособление требует грамотного использования, чтобы его материалы преждевременно не износились, а подвижные элементы скоротечно не вышли из строя по причине нерациональных нагрузок. Поэтому пациенту нужно позаботиться о том, чтобы эндопротез прослужил исправно как можно дольше. Для этого нужно неукоснительно следовать следующим рекомендациям:
- не поднимать тяжести весом больше 15 кг, тем более, не переносить тяжелые предметы и не приседать с ними;
- не садиться на корточки и не становиться на колени, исключать скрещивание ног, следить за осанкой, двигаться неторопливо, плавно, равномерно;
- избегать ситуаций травматизма - падений, ударов, вывихов, ушибов и пр. (они могут спровоцировать сдвиг и нарушение целостности деталей сустава-аналога);
- во время любой болезни срочно идти к нужному врачу, так как, к примеру, инфекционный патогенез, даже поразивший ротовую полость, способен перенестись на околосуставные ткани и вызвать тяжелую парапротезную инфекцию;
- ходить в удобной обуви, которая имеет невысокую подошву с хорошими амортизационными свойствами;
- физическая активность должна быть разумной и без фанатизма, важно соблюдать умеренность и ничего не делать через силу, отдыхать при ощущении утомления;
- следить за собственной массой тела, избыточные килограммы сокращают срок эксплуатации имплантата;
- нельзя делать резких и ударно-силовых движений - рывков, махов, прыжков, ударов по мячу, интенсивных вращений коленями и т. п.;
- запрещено играть в футбол, волейбол, хоккей, баскетбол и во всевозможные командные игры, в том числе под запретом быстрый бег, прыжки, езда на лыжах, роликах, коньках;
- вам подойдут такие виды спорта, как теннис, гольф, гребля, езда на велосипеде, плавание, скандинавская ходьба, пеший туризм.
Чтобы избежать таких последствий нагрузку нужно увеличивать очень плавно, из месяца в месяц.
И, наконец, поступайте благоразумно: немедленно ставьте в известность доктора, если обнаружили локальные отеки, гематомы, боли, заметили снижение опороспособности, появление тугоподвижности.
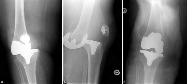
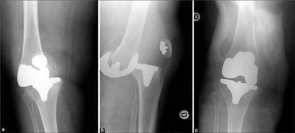
Левосторонний гонартроз: успешный случай лечения пожилого мужчины с помощью тотального эндопротезирования
Пациент отметил, что из-за боли не может нормально двигаться, поэтому при ходьбе ему приходится использовать трость.
Чтобы облегчить боль, принимал нестероидные противовоспалительные препараты, а при походах на большие расстояния надевал ортез, поддерживающий коленный сустав.
Анамнез
По словам мужчины, болезнь длится 4 года. В 2017 году он перенёс артроскопический дебридмент (очищение воспалённого сустава от обломков хряща), но через некоторое время боль вернулась. На протяжении 3 лет мужчина проходил консервативное лечение:
- по рекомендации врача похудел на 25 кг;
- 2 раза в год ему вводили в сустав протез синовиальный жидкости;
- проходил физиотерапию;
- принимал препараты с хондроитин сульфатом и глюкозамином для восстановления ткани сустава;
- применял средства для коррекции костной ткани;
- принимал препараты, улучшающие микроциркуляцию кровеносного русла;
- занимался лечебной физкультурой.
Пациент работает водителем, инвалидности нет. Вирусные гепатиты, онкологические и венерологические болезни мужчина отрицал. Аллергия не выявлена. Переливания крови не было.
У пациента гипертония II стадии с высоким риском сердечно-сосудистых осложнений, атеросклероз аорты и клапанных структур, а также хронический гастрит вне обострения.
Обследование
Мужчина находился в нормальном состоянии. Телосложение пропорциональное, видимые слизистые розовые и чистые. Дыхание нормальное, живот мягкий и безболезненный, периферические лимфоузлы, печень и селезёнка не прощупывались. Сердечные тоны приглушены.
У пациента отмечалась варусная деформация коленного сустава (О-образное искривление ног). Ходил с помощью трости, хромал на левую ногу. Левый коленный сустав сгибался на 110° и разгибался на 160°, в крайних положениях пациент чувствовал боль. При движении колено хрустело, но фронтальная плоскость оставалась стабильной, поэтому мужчина мог опираться на ногу.
При ощупывании левого коленного сустава в области возвратного нерва определялось небольшое количество жидкости, пациент отметил боль в середине колена.
Читайте также:
- Как лечить пиелонефрит у ребенка? Заболевания почек у детей
- Синдром Клода-Бернара-Горнера при медиастинальном раке. Кровь при раке легкого
- Индивидуальный подбор слуховых аппаратов. Эффективность слухопротезирования
- Синдром Ратбуна (Rathbun)
- Виды нейроциркуляторной дистонии. Классификация вегето-сосудистой дистонии
