Томография при раке легкого. Лучевые признаки рака легкого
Добавил пользователь Евгений Кузнецов Обновлено: 01.11.2025
В структуре смертности от онкологических заболеваний рак легких занимает лидирующую позицию во всем мире. По данным ВОЗ, на данный момент болезнь унесла больше жизней, чем военные конфликты XX столетия. В 2020 году из 2,21 млн выявленных случаев онкологии легких выжили 410 тыс. пациентов. В России большинство опухолей легких выявляются только на III и IV стадиях, когда шансов на благополучное излечение практически не остается. Между тем, если злокачественные новообразования выявляют на I стадии, то вероятность благоприятного прогноза наиболее высока, в зависимости от разновидности рака.
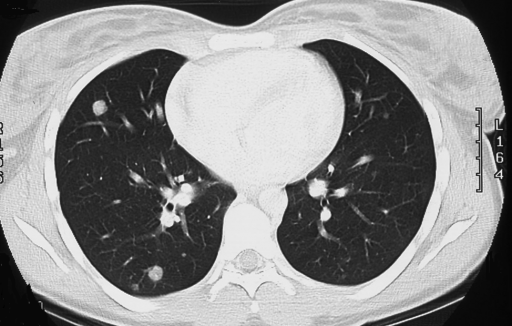
Компьютерная томография (КТ) легких является наиболее достоверным методом визуальной оценки дыхательных органов и локального кровообращения. Сканирование позволяет выявить даже самые ранние опухоли размером 2-3 мм, поэтому КТ включена в действующие рекомендации Минздрава РФ по профилактике и лечению рака легких. Ни флюорография, ни обзорная рентгенография грудной клетки, к сожалению, не дают настолько точных результатов: из-за более низкой разрешающей способности, неполного обзора (это 2D-методы визуализации), эффекта наложения теней от органов друг на друга ранние опухоли легко пропустить.
Метод КТ позволяет осмотреть легкие буквально изнутри на серии послойных изображений в высоком разрешении и детализированной 3D-реконструкции. Доказано, что применение компьютерной томографии снижает смертность от рака легких. Однако ранние опухоли по-прежнему чаще всего остаются «случайными находками» на КТ.

Между тем, сегодня пациенты могут пройти КТ легких даже по низкодозовому протоколу — лучевая нагрузка за одно такое исследование практически равна дозе рентгеновского облучения при обычной флюорографии, а информативность соответствует нативной компьютерной томографии легких без контраста. В рамках низкодозовой КТ легких также выявляются и другие, даже самые маленькие новообразования дыхательных органов. Низкодозовая КТ легких подходит для ежегодного онкоскрининга.
Причины рака легких
Курение увеличивает риск заболеть раком легких в десятки раз. Известно, что 80% пациентов с выявленной онкологией легких — это люди со стажем курения > 10 пачколет. Между тем полный отказ от курения через 10 лет значительно уменьшает риск появления злокачественного новообразования легких.
Всемирная организация здравоохранения и медицинское сообщество информируют о доказанной, однозначной и наиболее весомой роли курения смолосодержащих сигарет (в свою очередь никотин вызывает физиологическую зависимость) и пассивного курения в качестве основного «спускового механизма» развития злокачественных опухолей легких. Возможно, не только курение, но и парение (вейпинг) может провоцировать рак — исследования в этом направлении ведутся, но пока научное сообщество не обладает достаточным количеством данных, чтобы делать какие-либо выводы.
Курение, а точнее те вещества, которые содержатся в табачном дыме и являются продуктом горения, — это мощный канцероген. Сигаретный дым содержит бензол, полоний-210, бензопирен, нитрозамины — химикаты, способные повреждать ДНК и перекодировать гены, которые отвечают за защиту организма от злокачественных мутаций. Таким образом, табакокурение наносит организму двойной непоправимый вред.

Более того, есть данные, что именно курение провоцирует развитие плоскоклеточного и мелкоклеточного рака легких. Первый с трудом поддается лечению, а при втором виде онкологии прогноз почти никогда не бывает положительным. Дело в том, что из-за особенностей строения (большое ядро раковой клетки при ее маленьком размере) мелкоклеточный рак характеризуется агрессивным течением, быстрым ростом и даже на ранней стадии может метастазировать, вовлекая в патологический процесс соседние органы и ткани.
В начале XX века группа японских ученых проводила опыты, в ходе которых было доказано, что рак можно вызвать у совершенно здоровой особи. Эксперимент проводился над кроликом с прекрасной родословной, свободной от рака по наследственности. Ежедневно животное обмазывали каменноугольной смолой. У несчастного кролика через некоторое время действительно был обнаружен рак.

Рак легких лишь в небольшой степени может быть обусловлен генетикой, в случае если особь наследует определенные мутации в генах. Отягчающим фактором являются хронические респираторные заболевания в анамнезе (бронхит, астма, организующая пневмония), а также гиподинамия, когда в жизни человека отсутствуют необходимые физические нагрузки, в том числе аэробные. Но в преобладающем большинстве случаев злокачественные опухоли легких развиваются в результате воздействия на организм различных канцерогенов, источниками которых являются:
- курение;
- алкоголь;
- экологически неблагополучный регион проживания (высокая концентрация солей тяжелого металла в воздухе);
- радиация (в т.ч. прямые солнечные лучи) и радиоактивные отходы в атмосфере;
- вредные производства;
- вирусы, бактерии, грибки, способные поражать легкие и дыхательные пути.
Также следует отметить, что легкие являются наиболее излюбленным органом для метастазирования злокачественных опухолей из органов ЖКТ, позвоночника, молочных желез, головного мозга и других частей тела.

Какие канцерогены провоцируют рак легких:
- продукты горения смол содержащих сигарет (полоний-210, бензол, нитрозамины и др.);
- асбест;
- радон;
- мышьяк (содержится в воде);
- соединения никеля;
- соединения хрома;
- этанол;
- формальдегид;
- вирус гепатита В;
- туберкулезная палочка и мн.др.
Перечень опасных канцерогенов регулярно обновляется. Важно по возможности исключить их влияние и понимать, что для клеток легочной ткани травмирующей оказывается не только встреча с химикатами, но и с вирусными инфекциями.
Возврат старше 50 лет является показанием к проведению скрининга рака легких ежегодно, поскольку у пациентов данной возрастной группы злокачественные опухоли выявляют чаще всего.

Виды злокачественных опухолей легких
1. Немелкоклеточный рак легких (около 80% случаев):
- Аденокарцинома (40-50%) — злокачественная опухоль, образованная из клеток железистого эпителия дыхательных путей.
- Плоскоклеточный рак легких — злокачественные опухоли, состоящие из клеток плоского эпителия.
- Крупноклеточный рак (недифференцированная карцинома) — злокачественные клетки крупные, округлые и рыхлые, поэтому легко дают метастазы.
2. Мелкоклеточный рак легких (около 14% случаев) — клетки мелкие, однако имеют массивное ядро (программный центр), поэтому опухоль растет быстро и метастазирует.
3. Метастазы — злокачественные клетки, которые попали в легкие по лимфо- или кровотоку из соседних органов и сформировали вторичный очаг рака.

Симптомы рака легких
Заболевания легких, в том числе и рак, опасны тем, что вначале характеризуются бессимптомным течением. Поэтому единственным способом выявить болезнь, когда она еще хорошо поддается лечению, является профилактическое КТ-обследование легких (скрининг), а не постсимптомное обращение за медицинской помощью. Первые тревожные признаки рака легких могут ошибочно приниматься за самые обычные болезни, такие как бронхит.
При раке II и III степени могут проявляться следующие симптомы:
- сухой и продолжительный кашель, который не лечится;
- в мокроте можно обнаружить примеси крови;
- боль в грудной клетке;
- одышка даже в покое (опухоль закрывает просвет бронха или приводит к некрозу легочной ткани);
- субфебрильная температура;
- потеря веса;
- замедление свертываемости крови.
При раке легких человек угасает на глазах, а летальный исход вероятен в течение 5 лет.
Когда делать КТ легких
Сегодня для успешной профилактики рака легких на ранней стадии достаточно ежегодной низкодозовой КТ легких. Лучевая нагрузка при таком исследовании максимально приближена к цифровой флюорографии и не превышает 0,7 мЗв, однако вместо плоского снимка мы получаем детализированную послойную серию сканов с шагом менее 1 мм каждый. Когда врач-рентгенолог обнаруживает подозрительное уплотнение, похожее на злокачественную опухоль, пациенту рекомендуют пройти уточняющие обследования в рамках существующих алгоритмов диагностики онкологических заболеваний.
Нельзя ждать проявления безостановочного кашля с кровью. Низкодозовую КТ легких в профилактических целях следует проходить, как и флюорографию, 1 раз в год, особенно если:
- возраст пациента старше 50 лет;
- стаж курения более 10 лет;
- в роду были случаи рака легких;
- в анамнезе есть хронические заболевания дыхательных органов, а также перенесенные в острой форме инфекционные заболевания легких (туберкулез, вирусная пневмония с фиброзно-рубцовыми изменениями);
- пациент живет в экологически неблагоприятном районе (рядом с промышленным предприятием, в загазованном мегаполисе);
- пациент работает на промышленных, строительных, угольных предприятиях с канцерогенами, обозначенными выше.
Как рак легких визуализируется на КТ
На томограммах, сделанных в низкодозовом режиме без контрастного усиления, врач-рентгенолог обращает внимание на специфическое уплотнение, хуже пропускающее рентгеновские лучи и в этой связи более светлое на томограммах. Локально отмечаются: усиление сосудистого рисунка, появление одиночных «матовых стекол», а возможно и следов деструкции (повреждения, некроза) здоровых тканей.
О наличии злокачественной опухоли на КТ можно сделать вывод по очаговым изменениям системы кровообращения (уточняется в ходе КТ с контрастом). Растущее новообразование требует больше питания, поэтому рядом с ним как правило наблюдается усиленное кровообращение, появление новых сосудов. Если имеется данный признак, уплотнение с характерными контурами, пациенту рекомендуется проконсультироваться с пульмонологом и онкологом, сдать анализ на онкомаркеры и сделать биопсию.
Текст подготовил
Котов Максим Анатольевич, главный врач центра КТ «Ами», кандидат медицинских наук, доцент. Стаж 20 лет
- Campbell B., De Silva D., Macleod M., Coutts S., Schwamm L., Davis S., Donnan G. Ischaemic stroke, 2019.
- Bouchez L., Sztajzel R., Vargas M. CT imaging selection in acute stroke, 2016.
- Kamalian S., Lev M., Stroke Imaging, 2019.
- Котов М.А. Возможности компьютерной томографии в прогнозировании летального исхода инсульта / Дневник казанской медицинской школы. — 2017. — №. 2. — С. 76-80.
- Котов М.А. Показатели и значение интракраниального анатомического резерва, у пациентов с острым нарушением мозгового кровообращения / Журнал научных статей Здоровье и образование в XXI веке.Т. 18, № 2., 2016. — С. 229-233.
- Котов М.А. Лучевые предикторы исходов ишемического инсульта / Дневник казанской медицинской школы. — 2018. — №. 2. - С. 86-89.
- Котов М.А. Предикторы раннего летального исхода острого нарушения мозгового кровообращения, выявляемые при компьютерной томографии / Материалы VIII Научно-практической конференции Поленовские чтения, Российский нейрохирургический журнал им. проф. А.Л. Поленова, специальный выпуск. — 2018, — Т.Х, С. 129.
- Котов М.А. Возможности компьютерной томографии в оценке риска развития острого нарушения мозгового кровообращения / Вестник Северо-Западного государственного медицинского университета им. И.И. Мечникова. 2017. Т. 9. № 4. — С. 35-38.
- Kotov M.A. Brain dislocation morphometry at neurology and neurosurgery from the standpoint of evidence-based medicine / Global Science and Innovation // Materials of the V international scientific conference. - Chicago, 2015. — Р. 207-212.
Мы перезвоним, подберём удобное для записи время и ответим на вопросы.
Оператор обрабатывает входящие заявки с 8:00 до 22:00
Нажимая на кнопку, вы даете согласие на обработку персональных данных в соответствии с Федеральным законом от 27.07.2006 г. № 152-ФЗ «О персональных данных».
Если вы оставили ее с 8:00 до 22:00, мы перезвоним вам для уточнения деталей в течение 15 минут.
Рак легких: 1-4 стадия. Сколько живут при онкологии легких?
Рак легких - это серьезное тяжелое заболевание, которое несет угрозу для жизни человека. Прогноз патологии будет зависеть от ее стадии и индивидуальных особенностей организма человека. Чем раньше будет выявлен рак, тем больше шансов на благоприятный исход лечения и продления жизни. Наиболее опасной является 4-ая стадия рака с метастазами, когда заболевание распространилось на весь организм. В этом случае современная медицина может только несколько замедлить прогрессирование патологии и облегчить состояние пациента. В Москве лечение рака легких успешно выполняют в Юсуповской больнице. Специалисты используют в работе международные протоколы, которые доказали свою эффективность на практике.

Рак легких 1 стадия: сколько живут
Существует множество видов рака легких. Они отличаются по гистологической структуре (немелкоклеточный, мелкоклеточный, плоскоклеточный и железистый рак) и локализации. Заболевание может поражать различные доли, бронхи, легочную ткань. Выделяют также бронхиолоальвеолярный рак легкого. Прогноз патологии будет во многом зависеть от его вида и стадии развития. Наиболее неблагоприятным считается мелкоклеточный рак, который имеет агрессивное течение.
Рак легких на первой стадии лучше всего поддается лечению. Пятилетняя выживаемость пациентов после удаления опухоли составляет 50-60%. На первой стадии раковые клетки еще не поражают лимфатические узлы, и заболевание не распространяется в другие органы и системы.
Рак легких 1 стадии делят на 1a и 1b в зависимости от размера новообразования. При 1a опухоль имеет размер до 3-х см в диаметре, а при 1b - от 3 до 5 см. В обоих случаях лимфатический узлы не поражены.
К сожалению, заболевание на ранней стадии выявляется редко, поскольку оно не имеет выраженной клинической картины. Происходит незначительное ухудшение состояния, которое больной может воспринимать как обычное недомогание. В большинстве случаев рак легких 1 стадии выявляют случайно во время профилактических осмотров или при исследовании другой патологии.
Людям, в семье которых были отмечены случаи рака легких, следует регулярно (раз в год) выполнять профилактическое обследование с рентгенографией и анализами крови. Хоть наследственность и является одним из факторов риска онкологии, это не значит, что заболевание обязательно проявиться у кого-то из членов семьи. Тем не менее, необходимо быть начеку.
Рак легких 2 стадия: сколько живут
На второй стадии рака легких опухоль уже достигает 7 см в диаметре, происходит поражение региональных лимфатических узлов. Начинают проявляться характерные симптомы. У пациентов отмечают:
- Кашель с выделением мокроты;
- Тяжелое дыхание;
- Повышение температуры тела;
- Общее недомогание.
Для стадии 2a характерно увеличение новообразования до 5 см с распространением патологии на региональные узлы. Или опухоль достигает 5-7 см, при этом в лимфатических узлах раковые клетки не обнаруживаются.
На стадии 2b может происходить следующее:
- Опухоль имеет размер 5-7 см с поражением региональных лимфатических узлов;
- Опухоль больше 7 см, лимфатические узлы не поражены;
- Опухоль около 5-7 см и локализуется в центральном бронхе;
- Опухоль около 5-7 см и прорастает в диафрагму.
После лечения рака легких 2-ой степени пятилетняя выживаемость составляет 30-40%. Грамотно подобранная терапия позволит продлить жизнь еще на 5-7 лет. При мелкоклеточном раке доля выживаемости значительно меньше и составляет всего 20%.
Рак легких 3 стадия: сколько живут
Для третьей стадии характерно увеличение опухоли более 7 см с распространением раковых клеток на лимфоузлы и соседние органы. Могут наблюдаться метастазы в отдаленных участках организма.
Особенности течения рака третьей степени:
- 3a. Опухоль более 5-7 см. Она может прорастать в ближайшие ткани и органы. Раковые клетки поражают лимфатические узлы возле легкого. Опухоль может локализоваться в центральном бронхе или прорастать в диафрагму;
- 3b. Опухоль имеет размер более 7 см. Лимфатические узлы возле легкого поражены. Также раковые клетки могут проникать в контралатеральные лимфатические узлы. Новообразование может располагаться в центральном бронхе или врастать в диафрагму. Оно может проникать в ближайшие органы, нарушая их работу.
На этой стадии вылечить заболевание практически невозможно. Доля пятилетней выживаемости составляет 20%. Большинство врачебных мероприятий направлено на снижение проявлений симптоматики и улучшения состояния пациента.
Рак легких 4 стадия: сколько живут
Это самая поздняя стадия патологии. Она имеет неблагоприятный прогноз: только 5% пациентов проживают 5 лет.
На данной стадии хирургическое вмешательство не проводится. Альтернативным лечением выступает химиотерапия, лучевая терапия и радиохирургия. Данные виды лечения позволяют воздействовать на все очаги онкологии, которая уже распространилась по организму. Дополнительно пациенту назначают терапию для устранения выраженных клинических проявлений.
На 4-ой стадии опухоль имеет размер более 7 см. Раковые клетки поражают лимфатические узлы, соседнее легкое, ближайшие ткани. Отмечается наличие метастаз в печени, костях, надпочечниках, головном мозге.
У пациента значительно ухудшается состояние:
- Усиливаются боли в груди;
- Сильный кашель с кровью и мокротой;
- Лихорадка;
- Тяжелая интоксикация.
Лечение рака легких в Москве
В Юсуповской больнице города Москвы работает специальное отделение для лечения злокачественных патологий - Клиника онкологии. Здесь выполняют терапию рака легких любой степени. Опытные врачи применяют в работе современные достижения медицины, что позволяет продлить жизнь пациента и уменьшить проявления неприятных симптомов.
Хирургическое лечение рака легких выполняется на базе широкой сети клиник-партнеров. Дальнейшее лечение патологии происходит в стационаре Юсуповской больницы. Для пациента составляют наиболее оптимальный план терапии на основании современных международных протоколов лечения онкологических заболеваний. В курс лечения могут входить химиотерапия, лучевая терапия и иммунотерапия. А также дополнительное лечение для устранения болевого синдрома и других неприятных проявлений заболевания.
С пациентами работают лучшие онкологи Москвы, которые постоянно повышают уровень своей квалификации, обмениваясь опытом с зарубежными и отечественными коллегами, изучая современную медицинскую литературу, посещая профильные конференции. В стационаре уход за пациентами выполняют квалифицированные медицинские сестры, прошедшие специальное обучение для оказания помощи онкологическим больным.
Рак плевры
Рак плевры - онкологическая патология, которая проявляется интенсивными симптомами на ранней стадии заболевания. Стремительное развитие патологического процесса снижает вероятность благоприятного исхода. Врачи клиники онкологии Юсуповской больницы выявляют заболевание с помощью новейших диагностических исследований.
Ранняя адекватная терапия эффективнейшими лекарственными препаратами позволяет остановить прогрессирование заболевания. Применение онкологами инновационных методик позволяет улучшить качество и увеличить продолжительность жизни пациентов. На конечном этапе опухолевого процесса медицинские работники хосписа оказывают больным профессиональную паллиативную помощь.

Симптомы
При раке плевры может поражаться висцеральный или париетальный листок серозной оболочки лёгкого. На ранних стадиях заболевание протекает бессимптомно и выявляется во время профилактического рентгенологического обследования. В дальнейшем рак плевры проявляется следующими симптомами:
Болью в грудной клетке со стороны локализации новообразования;
Жжением в груди;
Одышкой и сухим кашлем, которые усиливаются при физических нагрузках;
Повышением температуры тела;
Резким снижением веса без видимых причин.
В периферической крови определяется уменьшение количества эритроцитов, увеличение количества лейкоцитов и скорости оседания эритроцитов. Эти признаки характерны для многих заболеваний органов дыхания. Для того чтобы установить их причину, обращайтесь к пульмонологам Юсуповской больницы. Они проведут комплексное обследование и при наличии показаний организуют консультацию онколога.
При отсутствии адекватной терапии рак плевры стремительно прогрессирует. В течение трёх лет развивается терминальная, четвёртая стадия болезни. В этом случае прогноз пессимистичный, поскольку опухоль распространяется на лёгкие, в расположенные поблизости ткани и отдалённые органы.
Пациентам с четвёртой стадией рака плевры проводят паллиативную терапию. Она позволяет улучшить качество жизни пациента, уменьшить выраженность болевого синдрома, интоксикации. В хосписе работают опытные медицинские сёстры и сиделки, которые обеспечивают качественный уход. Паллиативная помощь в Юсуповской больнице также включает медикаментозную терапию, переливание крови, её компонентов, внутривенное вливание дезинтоксикационных препаратов.
Плеврит при онкологической патологии
Плеврит - воспаление плевры, развившееся при её инфицировании микроорганизмами. У онкологических больных плеврит развивается при выпадении на поверхности плевры фибрина. Если происходит нагноение, в плевральной полости скапливается гной. Плеврит может развиться при метастазировании в плевру атипичных клеток из следующих злокачественных опухолей:
рак молочной железы;
рак (мезотелиома) плевры;
рак поджелудочной железы.
Плеврит при онкологических заболеваниях развивается вследствие оседания атипичных клеток на листках плевры. Это повышает проницаемость капилляров, и приводит к нарушению оттока лимфы. Метастатический плеврит развивается при метастазировании рака легких или молочной железы, также он может формироваться при раке яичников, когда злокачественная опухоль имеет небольшой размер, но дает метастазы. Данный патологический процесс характеризуется накоплением жидкости, содержащей множество эритроцитов, что приводит к нарушению геометрии органа, он начинает смещаться. Плеврит на фоне онкологии отражается не только на работе органов дыхания, но и на функционировании других систем организма.
Метастатический плеврит развивается под воздействием следующих факторов:
Лучевой терапии или хирургического вмешательства, при котором хирурги удалили внутренние органы;
Высокой проницаемости листков плевры;
Прорастания первичной опухоли в лимфатические узлы, в результате чего происходит нарушение оттока жидкости, и она накапливается в плевральной полости;
Понижения давления в плевральной полости вследствие перекрытия просвета крупного бронха;
Низкого уровня белка в сочетании с низким онкотическим давлением.

Признаки
Плеврит на фоне онкологи может развиваться стремительно. Основной опасностью при данной патологии является развитие легочно-сердечной недостаточности, которая может угрожать жизни пациента. Люди, находящиеся в зоне риска, должны знать основные симптомы заболевания, чтобы своевременно обратиться за медицинской помощью. Основные симптомы метастатического плеврита:
Ощущение неполноты вдоха;
Тяжесть в грудной клетке;
Слабость, быстрое утомление во время физических нагрузок;
шумы при дыхании;
Рефлекторный сухой кашель, возникающий в результате раздражения нервных окончаний в плевре.
Признаки плеврита зависят от количества жидкости, скопившейся в плевральной полости, и от того, процесс односторонний или двухсторонний. По мере увеличения количества жидкости в плевральной полости сдавливаются лёгкие, ограничивается их подвижность.
Пациент лежит на больном боку, поскольку в этом положении органы средостения смещаются в сторону поражения. Здоровое лёгкое активней участвует в акте дыхания. В результате нарушения оттока крови при скоплении в плевральной полости большого количества жидкости набухают шейные вены. При одностороннем плеврите правая или левая половина грудной клетки отстаёт во время дыхания.
Диагностика
Для диагностики экссудативного плеврита у больных раком онкологи проводят комплексное обследование. Оно включает следующие исследования:
Рентгенографию грудной клетки - помогает обнаружить жидкость в плевральной полости и метастазы рака;
Компьютерную томографию - позволяет увидеть жидкость в плевральной полости, метастатические очаги, выявить патологические изменения в лёгких;
Ультразвуковое исследование - используют для определения уровня плевральной жидкости;
Плевральную пункцию - проводят с диагностической и лечебной целью.
При плеврите на фоне онкологии специалисту важно установить его причины, а также выявить месторасположение опухоли. Если отек легких еще не произошел, то проводится хирургическое удаление образования. Медикаментозное лечение показано в случае отека легких, оно осуществляется с использованием средств для выведения с мочой лишней жидкости, расширения мускулатуры бронхов и усиления сокращений миокарда.
Лечение
Для лечения плеврита у онкологических больных выполняют плевроцентез. После прокола грудной стенки пациента специальным инструментом онколог удаляет жидкость из плевральной полости. В результате улучшается состояние больного, уменьшается боль и одышка.
Химиотерапия проводится целью устранения явлений плеврита. Во время химического плевродеза врач вводит в плевральную полость пациента вещества, которые приводят к образованию сращений между листками плевры (спаек). Это препятствует накоплению жидкости. Для химического плевродеза применяют разные лекарственные препараты:
Вещества, которые оказывают неспецифическое склерозирующее действие (тальк, доксициклин и другие антибиотики из группы тетрациклина);
Цитостатики (блеомицин, 5-фторурацил этопозид, цисплатин, доксорубицин);
Иммунологические препараты (рекомбинантный интерлейкин-2, LAK-клетки).
Наибольшей эффективностью обладают иммуностимулирующие препараты.

Плевральная пункция
Для диагностики и лечения рака плевры онкологи используют плевральную пункцию. Она предназначена для забора плевральной жидкости с целью цитологического исследования и уменьшения её содержания в полости плевры. Плевральную пункцию выполняют при наличии следующих показаний:
Скопления в плевральной полости воспалительной жидкости (экссудата и транссудата), крови, лимфатической жидкости;
Наличие в полости плевры воздуха;
Образование в плевральной полости гноя.
Если у пациента подозревают кровотечение, при выполнении плевральной пункции проводят пробу Рувилуа-Грегуара. Если в полученной крови содержатся сгустки, значит, кровотечение не остановлено. После удаления содержимого в плевральную полость вводят противоопухолевые препараты. Для обеспечения безопасности процедуры пункцию выполняют под рентгенологическим или ультразвуковым контролем.
Пункция плевральной жидкости максимально безопасна для пациента при условии ровного дыхания и спокойного поведения. Поэтому, если больного мучает кашель или сильные боли, прежде чем приступать к проколу, ему заблаговременно назначают противокашлевые средства и обезболивающие препараты. Такие меры в разы снижают риск развития осложнений во время выполнения манипуляции.
Как проводится процедура
Данная манипуляция не требует применения специфической современной медицинской аппаратуры. Пункцию проводят следующим образом:
Пациента располагают в положении сидя, лицом к спинке стула, на которую он опирается руками. В случае пневмоторакса больного можно также размещать в положении лежа на здоровом боку, при этом верхнюю руку он отводит за голову;
Область предстоящего прокола обкладывают стерильными пеленками, а кожу обрабатывают при помощи антисептиков;
В ткани вводят раствор анестетика. Доктор надевает на шприц резиновую трубку около 10 см длиной, а не нее специальную иглу, диаметр которой не менее 1 мм. Иглу вводят над верхним краем ребра и медленно продвигают внутрь. По мере введения иголки в ткани вводят обезболивающий препарат;
После того, как игла проваливается в плевральную полость, врач набирает в шприц ее содержимое. При этом первичную диагностику можно сделать уже в момент забора жидкости - по ее цвету и характеру. Жидкость откачивают при помощи шприца либо электроотсоса (если жидкости скопилось много);
Жидкость собирают в специальные стерильные пробирки для последующего ее анализа;
После откачивания жидкости пациенту промывают плевральную полость раствором антисептика и затем вводят антибактериальный препарат;
Иглу извлекают, а место прокола обрабатывают йодсодержащим препаратом и заклеивают пластырем. После этого пациента перевозят в палату, где он должен находиться в положении лежа не менее двух часов.
Чтобы процедура прошла без осложнений, ее должен проводить опытный врач. В Юсуповской больнице практикуют ведущие доктора России. Все медицинские услуги в больнице оказывают на высоком европейском уровне, каждый пациент чувствует индивидуальный и внимательный подход к своей проблеме.
Дренирование плевральной полости
Целью катетеризации плевральной полости является удаление воздуха, крови или другой жидкости, расправление лёгкого и устранение смещения средостения, которое является причиной нарушения кровообращения у онкологического больного. Катетеризацию плевральной полости делают при наличии следующих показаний:
- гидроторакс (скопление жидкости в плевральной полости) вследствие новообразования;
- экссудативный плеврит;
- эмпиема плевры;
- хилоторакс - прогрессирующее накопление в плевральной полости хилуса (лимфы, содержащей большое количество жира);
- гемоторакс (кровь в полости плевры);
- послеоперационный гидроторакс (после торакотомии или резекции пищевода);
- пневмоторакс.
Катетеризацию плевральной полости не выполняют при небольшом скоплении воздуха или жидкости без выраженных гемодинамических нарушений и в случае развития спонтанного пневмоторакса, который при отсутствии патологии лёгких может разрешиться без вмешательства.

Техника катетеризации плевральной полости
Процедуру выполняют после получения согласия пациента, утром, натощак. Накануне дренирования проводят обследование пациента с помощью рентгенографии грудной клетки. В случае сомнения относительно пневмоторакса выполняют компьютерную томографию, при наличии жидкости - ультразвуковое исследование плевральной полости. Делают общий анализ крови с количеством тромбоцитов.
Вводят сосудистый катетер в периферическую вену. Укладывают пациента на «здоровую» сторону с поднятой верхней конечностью на той стороне, где планируется дренирование. Выполняют местное инфильтрационное обезболивание или применяют кратковременную анестезию. Вводят дренаж по верхнему краю ребра:
- при пневмотораксе - в V-VIII межреберье по средней подмышечной линии, реже во второй межреберный промежуток по среднеключичной линии;
- если есть неосумкованная жидкость - в V-VIII межреберье по средней подмышечной линии;
- в случае осумкованного пневмоторакса или гидроторакса - в зависимости от его установленного размещения.
Подключают дренажную трубку к системе отсоса, оборудованной клапаном. Фиксируют плевральный катетер к стенке грудной клетки. После операции выполняют контрольную рентгенографию органов грудной клетки.
Плевральный катетер удаляют при отсутствии движения воздуха через дренажную трубку, полном расправлении лёгкого, что подтверждается на рентгенографии. После катетеризации плевральной полости могут возникнуть следующие осложнения: подкожная эмфизема, инфицирование плевры, кожи и тканей межреберья, травма лёгкого; повреждение межрёберных нервов и сосудов.
Катетер-троакар
Избежать осложнений при дренировании плевральной полости врачам Юсуповской больницы позволяет использование катетера-троакара. Изделие представляет собой металлический троакар, который установлен внутри полой трубки - торакального катетера. Он может иметь острый или слепой наконечник. В первом случае при дренировании плевру прокалывают трёхгранным наконечником троакара, а во втором - гладкий, закругленный наконечник катетера закрывает троакар. Последний врачи используют при установке катетера через раневой канал в качестве направителя.
Торакальный катетер после установки остаётся в плевральной полости. Он изготовлен из термопластичного материала, который адаптируется к анатомическим особенностям, благодаря чему уменьшается дискомфорт пациента. Определить место расположение катетера позволяет рентгеноконтрастная полоска и чёткая разметка по длине. Торакальный катетер снабжён воронкообразным коннектором для соединения с коннектором удлинительных линий плевральных дренажных систем. Благодаря внутреннему полиуретановому покрытию уменьшается риск образования тромбов и закупорки дренажа.
Катетеризация плевральной полости для химиотерапии
Онкологи Юсуповской больницы при развитии у пациента со злокачественным новообразованием опухолевого плеврита назначают лечение, направленное на осушение плевральной полости с помощью лекарственных препаратов, введенных в плевральную полость, и подавление образования злокачественного плеврального выпота. Второй цели достигают путём введения склерозирующих препаратов, химического или хирургического закрытия плевральной полости.
Через катетер в плевральную полость вводят склерозирующие средства (препараты талька или хлорохина). Они вызывают неинфекционное воспаление листков плевры, что способствует их сращиванию. После этого жидкости негде скапливаться.
В случае неэффективности или нецелесообразности проведения систематической химиотерапии применяют внутриплевральное введение химиотерапевтических препаратов через плевральный катетер. Чаще всего вводят следующие лекарственные средства:
- тиотепа;
- блеомицин;
- доксорубицин;
- паклитаксел;
- митоксантрон.
Для повышения эффективности химиотерапии перед процедурой добиваются полного осушения плевральной полости. Применение химиопрепаратов, помимо противоопухолевого эффекта, сопровождается неспецифическим воспалением листков плевры с последующим их склеиванием и предотвращением дальнейшего накопления жидкости. При введении химиопрепаратов через катетер, установленный в плевральной полости, могут появиться симптомы, связанные с их токсичностью (подавление кроветворения, боли).
При внутриплевральной иммунотерапии в плевральную полость вводят интерлейкин-2 и лимфокин-активизированные клетки. Эффект при использовании биотерапии возникает при неэффективности проведенной ранее внутриплевральной химиотерапии и в том случае, когда новообразование адаптировалось к химиотерапевтическим препаратам.
Выпот в плевральной полости у онкологических больных приводит к сдавлению лёгкого и нарушению дыхательной функции. Для улучшения состояния пациентов онкологи Юсуповской больницы выполняют катетеризацию плевральной полости. По плевральному катетеру вводят химиотерапевтические препараты.
Продолжительность жизни
Вопрос о продолжительности жизни актуален для всех онкобольных. Если диагностирован рак плевры, делать операцию необходимо для прекращения распространения опухоли, что позволит увеличить продолжительность жизни.
При раке плевры прогноз крайне неблагоприятен. Однако при эпителиальном раке и отсутствии метастазов продолжительность жизни после химиотерапии достигает 5 лет. При комбинированной терапии положительный исход отмечается врачами-онкологами в 55% случаев.
Специалисты центра онкологии Юсуповской больницы используют новейшие разработки и традиционные методы лечения опухоли для увеличения продолжительности жизни больных. Врачи-онкологи оказывают помощь всем обратившимся вне зависимости от стадии рака. В Юсуповской больнице не отказываются от тяжелобольных пациентов, специалисты оказывают им экстренную помощь.
Для того чтобы пройти комплексное обследование при появлении первых признаков рака плевры записывайтесь на приём к онкологу Юсуповской больницы онлайн или звоните по телефону. Специалисты контакт-центра организуют консультацию ведущего специалиста в области патологии плевры в любое удобное вам время. Ранняя диагностика рака плевры позволяет врачам клиники онкологии провести адекватную терапию, улучшающую качество и увеличивающую продолжительность жизни больного.
Метастазы в легких

Метастазы — это вторичные очаги рака, образованные в результате рассеивания и миграции злокачественных клеток из первичного очага по кровеносной и лимфатической системам. Метастазы в легких представляют собой множественные узлы диаметром от нескольких миллиметров до многих сантиметров.
Обнаружение метастазов в легких — это серьезная проблема, которая требует быстрых и четких действий. Чем раньше выявлены патологические изменения и очаги онкологии в легких, тем более благоприятным для пациента будет прогноз. Метастазы лечат с помощью лучевой, иммунной, гормональной, таргетной терапии.
Легкие, наряду с печенью и лимфоузлами, занимают первое место по частоте обнаружения метастазов. Причина заключается в анатомических особенностях строения легких — дыхательный орган пронизан сетью капилляров, кровеносных и лимфатических сосудов. Фактически вся кровь, циркулирующая в организме человека, проходит через легкие — раковые клетки из других органов (кишечника, почек, молочных желез) застревают в паренхиме или под плеврой и дают начало метастазам.
Метастазы в легких лучше всего визуализируются на КТ-изображениях, поскольку представляют собой участки повышенной плотности в ткани легкого. При этом по наличию других рентгенологических признаков, например, по особенностям кровотока в данной области, врач-рентгенолог сможет определить злокачественный характер изменений.
Причины и источники метастазирования легких
По данным из открытых медицинских источников международной базы PubMed, первичным очагом метастазов в легких более чем в 50% случаев является хориоэпителиома — злокачественная опухоль женской половой системы, которая формируется в верхней части матки, увеличивая орган в размере. Следом по частоте метастазирования легких следуют: рак почки, рак кости (остеосаркома), меланома, рак молочной железы, злокачественная опухоль яичника — семинома, рак органов ЖКТ.
Первичные злокачественные опухоли высвобождают в кровь циркулирующие опухолевые клетки (ЦОК). Многие из этих микрочастиц не рассеиваются в потоке бесследно, а прикрепляются к сосудистой сети легких или самостоятельно мигрируют вдоль внутренних стенок сосудов.*
*Visualization of immediate immune responses to pioneer metastatic cells in the lung, 2016
Миелоидные клетки, поглощающие опухоль, коллективно накапливаются в интерстиции легких вместе с успешными метастатическими клетками, после чего способствуют развитию успешных метастазов из выживших опухолевых клеток.*
*Jacques Robert, Biology of cancer metastasis, 2013
Легочные метастазы бывают лимфогенными (перемещаются с током лимфы) и гематогенными (циркулируют в крови). Наиболее опасным и неблагоприятным с точки зрения прогноза лечения считается первый тип метастазов с инвазией лимфатических узлов, в которых затем развивается вторичный очаг опухоли.
В целом метастазирование является свойством любой примитивной низкодифференцированной опухоли. Особенность таких опухолей заключается в том, что клетки и ткани, из которых они состоят, сильно отличаются от нормальных, ведут себя агрессивно и быстро делятся, увеличивая опухоль в размерах.
Широко известным и признанным является тот факт, что метастазы, как и онкология легких, на ранних стадиях практически никак себя не проявляют и являются преимущественно случайными находками на КТ.
По мере роста метастатических узлов проявляются следующие признаки:
- Одышка и трахеальный кашель (трахея сдавливается железами переднего средостения) — нередко с примесями крови в мокроте;
- Боль и дискомфорт в грудной клетке — при кашле болевой синдром локализуется в груди, но иррадиирует в позвоночник;
- У больного меняется голос — охриплость является признаком поражения голосовых связок, проростаемых метастатическими узлами.
Достоверно определить наличие метастазов в легких без лучевой или инструментальной медицинской диагностики невозможно. Лишь пятая часть пациентов испытывают недомогание в самом начале развития заболевания.
В группе риска находятся пациенты, которые уже ранее получали лечение или были прооперированы в связи с онкологией, а также курильщики, работники вредных производств, люди преклонного возраста. Отягчающим обстоятельством могут быть случаи онкологии дыхательных путей в семье. По данным ВОЗ, именно таким пациентам в первую очередь рекомендуется проходить профилактические обследования.
Наиболее предпочтительным методом диагностики метастазов легких считается КТ. Применение низкодозового скринингового протокола способствует раннему распознаванию заболевания, когда размеры очагов не превышают 1-2 мм. На стандартной рентгенографии выявляют узлы диаметром от 1-2 см, что характерно уже для серьезно прогрессировавшего заболевания.
Метастазы в легких на КТ

Гематогенные метастатические узлы в легких на КТ имеют довольно четко очерченные и ровные контуры. Нечеткие, расплывчатые или лучистые контуры наблюдаются в том случае, если есть инвазивный рост в окружающую легочную ткань. Локализуются преимущественно в нижних, периферических отделах легких, хаотично, без очевидной связи с бронхами и крупными легочными сосудами.
Лимфогенные метастазы легких на КТ выглядят как множественные мелкие диссеминированные очаги. Они расположены вдоль междольковых перегородок и плевры. Картина напоминает туберкулез и саркоидоз, и в этой связи часто требует уточнения. Вместе с лимфогенными метастазами легких почти всегда обнаруживаются патологические изменения (увеличение) лимфатических узлов средостения.
Часто на КТ-сканах визуализируется характерная дорожка к корню легкого. В динамическом наблюдении отмечается инфильтративный рост опухоли.
Прогноз при метастазах в легких
Лечение метастазов — довольно сложный и комплексный процесс, который требует времени, терпения и грамотных действий врачей. Прогноз зависит от стадии, на которой заболевание было выявлено, что коррелирует с размером метастатических узлов — чем они меньше, тем более успешно поддаются терапии.
Считается, что прогноз при метастазах в легких наиболее благоприятен, если:
- Вторичный очаг рака (метастазы) расположен недалеко от первичного.
- У пациента в анамнезе отсутствуют хронические заболевания органов дыхания (например, дыхательная недостаточность, обструктивный бронхит);
- Выявлены именно гематогенные метастазы;
- Выраженный симптомокомплекс не сильно снижает качество жизни;
- Химиотерапия или иное лечение хорошо переносится пациентом.
В процессе химиотерапии в связи с метастазами легких у части пациентов наблюдается переломный момент, когда наступает резистентность. Это значит, что необходимо менять тактику лечения и искать новые эффективные методы, иначе исход заболевания будет летальным.
- Котов М.А. Опыт применения компьютерной томографии в диагностике заболеваний органов дыхания у детей / Материалы X Невского радиологического Форума (НРФ-2018). - СПб., 2018, Лучевая диагностика и терапия. 2018. № 1 (9). — С. 149.
- Панов А.А. Пневмония: классификация, этиология, клиника, диагностика, лечение, 2020.
- Бова А.А. Пневмонии: этиология, патогенез, клиника, диагностика, 2016.
- Chl Hong, M.M Aung , K. Kanagasabai , C.A. Lim , S. Liang , K.S Tan. The association between oral health status and respiratory pathogen colonization with pneumonia risk in institutionalized adults, 2018.
- Yang-Pei Chang, Chih-Jen Yang, Kai-Fang Hu, A-Ching Chao, Yu-Han Chang, Kun-Pin Hsieh, Jui-Hsiu Tsai, Pei-Shan Ho, Shen-Yang Lim. Risk factors for pneumonia among patients with Parkinson's disease: a Taiwan nationwide population-based study, 2016.
- Клинические рекомендации по диагностике, лечению и профилактике тяжелой внебольничной пневмонии у взрослых. Министерство здравоохранения РФ, 2019.
Случай успешного радикального хирургического лечения ложно местно-распространённого рака лёгкого

Несмотря на достижения современных медицинских технологий в торакальной онкологии, рак лёгкого остаётся одной из основных причин смертности населения. Алгоритм и тактика лечения пациентов со злокачественными опухолями лёгких определяются на основании клинической стадии заболевания. Стадия устанавливается по результатами диагностических исследований: компьютерной (КТ) и позитронно-эмиссионной томографии (ПЭТ-КТ), радиоизотопных исследований и бронхоскопии.
Достаточно часто (13-30 %) течение рака лёгкого осложняется вторичным параканкрозным (расположенным вокруг опухоли ) воспалением, которое затрудняет своевременную диагностику и адекватное стадирование рака лёгкого. Нередко это приводит к гипердиагностике, то есть ошибочному медицинскому заключению о наличии у пациента осложнений, которые на самом деле отсутствуют. Применимо к раку лёгких, гипердиагностика возможна по характеристикам первичной опухоли и поражению лимфатических узлов (категории "T" и "N" в классификации TNM), что отодвигает хирургические методы лечения на второй план или вовсе исключает их из возможных опций лечения рака лёгкого.
Приводим клиническое наблюдение пациента с ложно местно-распространённой злокачественной опухолью лёгкого. Учёт характера новообразования в этом случае позволил провести пациенту успешное хирургическое лечение первым этапом.
31.07.2020 мужчина 57 лет обратился в Клиническую больницу № 2 АО ГК МЕДСИ с данными компьютерной томографии, где выявлено центральное новообразование в корне нижней доли левого лёгкого.
Жалобы
Пациент предъявлял жалобы на боль в груди (в проекции грудины и нижне-грудного отдела позвоночника), эпизоды повышения температуры тела до субфебрильных значений (до 38 °C) и постоянный кашель с выделением небольшого количества светлой мокроты.
Сначала болезненные ощущения трактовались как проявления гастроэзофагеальной рефлюксной болезни (ГЭРБ). Пациент получал лекарственную терапию, но без существенного эффекта.
Анамнез
У пациента длительный анамнез курения — 40 пачколет (т. е., 1 пачка в день в течение 40 лет или 2 пачки в день в течение 20 лет и т .д.). Считает себя больным с апреля 2020 года, когда появилась боль в груди и кашель. С этими симптомами больной обратился к терапевту в поликлинику по месту жительства. Жалобы были расценены как проявления гастро-эзофагеальной рефлюксной болезни (ГЭРБ). По результатам гастроскопии диагностированы признаки хронического гастрита и косвенные признаки ГЭРБ. Назначенное лечение не дало эффекта.
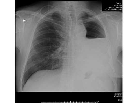
При дальнейшем дообследовании, по данным рентгенографии и компьютерной томографии органов грудной клетки выявлено новообразование в нижней доле левого лёгкого. После этого пациент был направлен на консультацию к торакальному онкологу.
- (терапия метформином и гликлазидом);
- мультифокальный атеросклероз с преимущественным поражением сосудов головного мозга. 27.12.2019 зафиксирована транзиторная ишемическая атака (острое кратковременное нарушение кровообращения головного мозга).
Обследование
При осмотре и физикальном обследовании обращало на себя внимание наличие экспираторных (при выдохе) свистящих хрипов по всем лёгочным полям (больше слева) и ослабление дыхания в нижних отделах слева.
Периферические лимфатические узлы шеи, подмышечных, над- и подключичных областей не увеличены в размерах или не пальпируются (не прощупываются).
Первым этапом пациенту была проведена фибробронхоскопия, по данным которой выявлено, что устье нижнедолевого бронха слева сужено за счёт подслизистого и перибронхиального распространения опухоли.
Выполнена многократная биопсия из устья нижнедолевого бронха слева. По данным гистологического исследования материала эндоскопической биопсии верифицирован диагноз немелкоклеточного рака лёгкого.
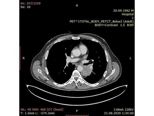
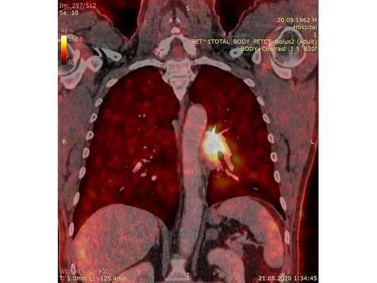
Чтобы провести первичное стадирование опухоли, пациенту проведена позитронно-эмиссионная томография в сочетании с компьютерной томографией (ПЭТ-КТ). По данным исследования, выявлена метаболически активная опухоль в корне левого лёгкого с бугристыми контурами размерами 41 х 43 мм. В толще опухоли проходят нижнедолевой бронх и бронх 6-го сегмента левого лёгкого, просветы бронхов значительно сужены. Нижняя доля левого лёгкого уменьшена в размерах за счёт того, что сегменты 6, 9 и 10 субтотально (частично) инфильтрированы и безвоздушны. Лимфатические узлы корня лёгкого и средостения не увеличены в размерах и не накапливают радиофармпрепарат (РФП), который был введён пациенту перед обследованием внутривенно. Других очаговых образований и очагов гиперметаболизма в организме не обнаружено.
При этом отмечено, что опухоль распространяется в средостение по нижней стенке левого главного бронха и широко прилежит к нижнегрудному отделу аорты (по заключению специалиста ПЭТ-КТ — имеется инвазия опухоли в ткани средостения и возможное врастание в стенку аорты). При самостоятельном пересмотре изображений отмечено, что "опухолевая" ткань, которая распространяется по нижней стенке левого главного бронха в средостение, не накапливает РФП (т. е. не является злокачественной), а стенка аорты в области "инвазии" опухоли имеет ровный чёткий контур и адвентициальную границу, что также свидетельствует об отсутствии онкологического процесса в этой области.
- эхокардиография;
- ультразвуковая допплерография (УЗДГ) артерий и вен нижних конечностей и брахиоцефальных артерий;
- спирометрия (измерение объёмных и скоростных показателей дыхания с целью диагностики и оценки функционального состояния лёгких).
По результатам исследований не выявлено существенных патологий, которые могли бы ограничить возможности хирургического вмешательства на лёгких.
На период обследования пациенту была рекомендована противовоспалительная (НПВС) и ингаляционная терапия, на фоне чего пациент отметил уменьшение болевого синдрома и выраженности кашля.
Диагноз
Основное заболевание: Центральный немелкоклеточный рак нижней доли левого лёгкого, сT2bN0M0, IIА стадия. (T2b — опухоль более 5 см, но менее 7 см в наибольшем измерении; N0 — нет метастазов в региональных лимфатических узлах; M0 — нет отдалённых метастазов).
- Сахарный диабет 2 типа, субкомпенсированный (среднетяжёлое течение болезни).
- Мультифокальный атеросклероз с преимущественным поражением сосудов головного мозга (транзиторная ишемическая атака от 27.12.2019). Код МКБ-10 — E11.9.







Интраоперационное фото: клипированные межрёберные артерии; аорта на тесёмочных держалках по краям зоны резекции адвентиции; культя главного бронха с провизорными швами при ушивании по Оверхольту


Проведён онкологический консилиум (Клиническая больница № 2 АО ГК МЕДСИ). Решением консилиума рекомендовано первым этапом провести хирургическое лечение в объёме нижней лобэктомии (удаления доли органа) с циркулярной резекцией левого главного бронха (удалением сегмента бронха с восстановлением целостности бронхиального дерева) или пневмонэктомии слева (полного удаления лёгкого) после интраоперационной ревизии с систематической медиастинальной лимфодиссекцией (иссечением лимфатических узлов).
- боковая торакотомия (вскрытие грудной клетки) слева;
- пневмонэктомия с резекцией адвентиции (наружной оболочки) аорты, париетальной и медиастинальной плевры и мышечной стенки пищевода;
- медиастинальная лимфаденэктомия.
1. В положении на правом боку с раздельной вентиляцией лёгких выполнена боковая торакотомия слева. При ревизии:
- в плевральной полости выпота (скопления жидкости) нет;
- имеются единичные сращения в области верхней доли и 6 сегмента — разделены при помощи электрокоагуляции;
- очагового поражения париетальной и висцеральной плевры нет.
- в нижней доле имеется плотная большая опухоль, подрастающая к грудной аорте и врастающая в медиастинальную плевру и средостение;
- сосуды корня лёгкого в опухолевый процесс не вовлечены;
- определяются множественные неувеличенные в размерах лимфатические узлы.
Учитывая данные интраоперационной ревизии, диагноз скорректирован: центральный местно-распространённый немелкоклеточный рак нижней доли левого лёгкого с врастанием в адвентицию аорты и ткани средостения — cT4NxM0. Принято решение о выполнении пневмонэктомии (полного удаления лёгкого).
2. Выделены и взяты на держалки верхняя и нижняя лёгочные вены, выделен ствол лёгочной артерии, который также взят на держалку. Выполнено пробное пережатие лёгочной артерии — нарушений гемодинамики (движения крови по сосудам) и гемоксигенации (насыщения крови кислородом) нет.
3. Последовательно прошиты сшивающими аппаратами и пересечены нижняя и верхняя лёгочные вены и ствол лёгочной артерии. Выявлено, что опухоль подрастает к мышечной стенке пищевода, выполнена краевая резекция мышечной стенки пищевода на протяжении 2 см.
4. Острым путём отсечён левый главный бронх, при этом обнаружено, что опухоль распространяется перибронхиально. Культя левого главного бронха реампутирована (ампутирована повторно) в пределах визуально здоровой ткани стенки бронха, до 1,5-2 см от карины трахеи (гребня хряща между разделением двух главных бронхов). Центральная часть культи левого главного бронха ушита по Оверхольту.
5. Отступив по грудной стенке от края врастания опухоли в аорты на 2 см, рассечена и отсепарована (отделена хирургически) париетальная плевра и адвентиция аорты. Аорта мобилизована по типу "ручки чемодана" и взята на тесёмочные держалки выше и ниже места врастания опухоли.
6. Скелетизируя грудную стенку и аорту, с перевязкой левых межрёберных артерий, на участке рёбер 4, 5, 6 и 7 выполнена полуциркулярная резекция адвентиции аорты, мягких тканей грудной стенки с париетальной плеврой и тканей средостения.
7. Пневмонэктомия. Проверка аэростаза (герметичности) под уровнем жидкости — просачивания воздуха в области культи бронха нет.
8. Выполнена лимфодиссекция из области лёгочной связки, области бифуркации трахеи (места её разделения на главные бронхи), аортального окна, левого трахеобронхаильного угла и нижних паратрахеальных лимфатических узлов слева. Проверка гемостаза — сухо.
10. В плевральную полость заведён толстый силиконовый дренаж. Послойное ушивание раны, рёбра сведены тремя перикостальными швами. Наложена асептическая повязка.
- дренаж из плевральной полости удалён на первый послеоперационный день;
- из отделения реанимации и интенсивной терапии (ОРИТ) пациент переведён в госпитальное отделение с целью активизации.
Проведена профилактическая стандартная антибактериальная терапия в течение пяти суток. По данным контрольной рентгенографии, отмечено смещение средостения в оперированную сторону.
- умеренно-дифференцированная аденокарцинома лёгкого (G2) с очаговой периневральной и лимфо-васкулярной инвазией (Pn1, LV1), выраженной фибропластической реакцией стромы, умеренной воспалительной инфильтрацией, фокусами некрозов.
- Размер опухоли — 6,0 х 4,5 х 3,5 см — pT2b.
- В 40 исследованных лимфатических узлах (4 группа — 5 шт., 5 группа — 4 шт., 7 группа — 10 шт., 9 группа — 1 шт., 10 группа — 2 шт., 11 группа и внутрилегочные — 18 шт.) метастазов опухоли не обнаружено — pN0.
- Края резекции без опухоли — R0.
- Область "подрастания" опухоли к адвентиции аорты и врастания опухоли в средостения была представлена фиброзной тканью с воспалительной инфильтрацией стромы.
Еженедельный амбулаторный контроль состояния пациента в течение трёх недель констатировал неосложнённый поздний послеоперационный период.
Проведён повторный онкологический консилиум Клинической больницы № 2 АО ГК МЕДСИ по результату первого этапа лечения: учитывая размеры опухоли, периневральную и лимфо-васкулярную инфильтрацию, степень дифференцировки опухоли и возраст пациента, рекомендовано проведение химиотерапии в адъювантном режиме по схеме Пеметрексед + Карбоплатин (4 курса). Первый курс химиотерапии проведён в штатном режиме на 28 послеоперационный день.
Заключение
Таким образом, принимая во внимание данные предоперационного обследования и заключение специалистов лучевой диагностики, можно было ложно определить "нехирургическую" стадию рака лёгкого и констатировать полную невозможность радикального хирургического лечения (инвазия в стенку аорты). Однако прицельный пересмотр данных ПЭТ-КТ и учёт клинической картины воспалительного синдрома ( температура тела до 38 °С ; кашель, купированный на фоне ингаляционной терапии; болевой синдром, купированный приёмом НПВС) позволили принять решение о возможности хирургического лечения. Интраоперационная ревизия на мгновение пошатнула уверенность в правильности стадирования онкологического процесса, однако патологоанатомическое исследование полностью подтвердило предоперационную трактовку клинической ситуации.
Данное клиническое наблюдение свидетельствует о важности учёта параканкрозного воспаления при раке лёгких, которое может вносить существенный вклад в ложную трактовку стадии заболевания. Каждый пациент с злокачественной опухолью лёгкого требует индивидуального подхода и оценки рисков и возможностей радикального хирургического лечения.
Читайте также:
- Дифференцированный подход к лечению больных. Принципы терапия различных кардиологических больных
- История создания химиопрепаратов
- Эпидемиология алкогольного атеросклероза. Продолжительность жизни при алкоголизме
- Влияние половых гормонов на кислородное отравление. Влияние метаболизма на интоксикацию кислородом
- Синдром Какки-Риччи (Cacchi-Ricci)
