Травматический остеомиелит челюсти после операции. Парез мимических мышц после операции
Добавил пользователь Евгений Кузнецов Обновлено: 05.01.2026
Что такое остеомиелит челюсти? Причины возникновения, диагностику и методы лечения разберем в статье доктора Дунаевской Натальи Вадимовны, стоматолога-ортопеда со стажем в 16 лет.
Над статьей доктора Дунаевской Натальи Вадимовны работали литературный редактор Вера Васина , научный редактор Пётр Козлов и шеф-редактор Маргарита Тихонова

Определение болезни. Причины заболевания
Остеомиелит челюсти (osteomyelitis of the jaws) — это гнойно-некротический процесс, который развивается в кости и костном мозге челюсти с вовлечением окружающих мягких тканей. Другое название заболевания — «некроз челюсти».
При острой форме остеомиелита в области повреждённого зуба возникает боль, которая усиливается при надавливании на челюсть. Наблюдается выраженный отёк, покраснение и припухлость, лицо становится несимметричным. Пациент жалуется на головные боли и общую слабость, температура тела повышается до 39 °C.
![Остеомилеит челюсти [19]](/pimg3/travmaticheskiy-osteomielit-chelyusti-DF6A7F3.jpg)
Распространённость
Острым и хроническим остеомиелитом болеют люди всех возрастов и обоих полов. Однако чаще заболевание встречается у мужчин, потому что они, как правило, несвоевременно обращаются за медицинской помощью [8] . Средний возраст пациентов составляет 39 лет [7] .
Выделяют следующие виды остеомиелита челюсти:
- Одонтогенные — развиваются из-за инфекции в зубе и составляют 74,2 % от всех случаев остеомиелита [18] .
- Травматические — возникают после травмы, например при переломе челюсти. Зачастую заболевание развивается, когда пациент обращается в больницу только на 7-10-й день после повреждения [5] .
- Гематогенные — инфекция попадает с током крови из какого-либо органа. Встречаются при хронических и острых инфекциях: скарлатине, дифтерии и хроническом тонзиллите.
Согласно статистике, 15 % больных остеомиелитом поступают в отделение в состоянии алкогольного опьянения и при опросе указывают на частый приём алкогольных напитков, 13 % сейчас или в прошлом употребляли наркотики, следовательно страдают иммунодефицитами.
У 45,7 % больных остеомиелитом, поступивших в стационар, выявлено обострение хронического процесса и нагноение мягких тканей, из которых 47,6 % случаев составляют флегмоны, а 52,4 % — абсцессы.
У 13 % пациентов с остеомиелитом челюсти выявляются гепатиты В и С, а у 2 % — ВИЧ-инфекция [5] .
Причины остеомиелита челюсти
- Позднее обращение к стоматологу — зуб долго болел, но дискомфорт подавлялся домашними методами лечения, например полосканиями с содой и солью.
- Хронические инфекционные и вирусные болезни: тонзиллит, синусит, гайморит и ангина.
- Инъекции или переливание крови, при которых инфекция может попасть в кровоток. В стоматологии часто применяют плазмолифтинг — в область слизистой оболочки дёсен инъекционно вводят обогащённую тромбоцитами плазму собственной крови пациента. При нарушении правил безопасности микробы могут попасть в кровоток.
- Травматизм, частые переломы и ранения.
- Туберкулёз и сифилис суставов.
- Аллергия.
- Иммунодефицит на фоне заболеваний или длительного приёма некоторых препаратов, например при химиотерапии.
- Стрессы, физическое и нервное истощение. При длительном стрессе нарушаются защитные функции организма и человек становится восприимчивым к инфекциям [17] .
- В очень редких случаях — нарушение функции височно-нижнечелюстного сустава.
При обнаружении схожих симптомов проконсультируйтесь у врача. Не занимайтесь самолечением - это опасно для вашего здоровья!
Симптомы остеомиелита челюсти
Симптомы зависят от типа остеомиелита, течения болезни и степени поражения тканей.
Симптомы острой формы остеомиелита подразделяются на два вида:
- Местные симптомы:
- В области повреждённого зуба возникает боль. Она усиливается при ощупывании, постукивании и лёгком надавливании на челюсть и мягкие ткани. Неприятные ощущения чаще более выражены на участках рядом с больным зубом и снижаются при давлении на него.
- Поражённый зуб постепенно расшатывается, и возникает синдром «клавиш» — соседние зубы тоже становятся подвижными.
- Шейные и подчелюстные лимфатические узлы увеличиваются и болят.
- В некоторых случаях нарушается чувствительность губ и ухудшаются вкусовые ощущения.
- Общие симптомы:
- возникают головные боли, особенно в области висков;
- развивается общая слабость и утомляемость, нарушается сон;
- температура тела повышается до 39 °C.
После острой стадии наступает подострая. На десне образуется гнойничок или свищ, через который гнойные выделения и воспалительная жидкость выходят наружу.

Затем боль утихает, но очаг инфекции остаётся, поэтому сохраняется высокая температура и нарастает слабость. Если в этот период не обратиться к врачу, то инфекция распространится по всему организму и человек может погибнуть.
Хроническая форма длится от нескольких месяцев до нескольких лет. Описанные выше симптомы то появляются, то стихают или даже полностью исчезают. При длительном течении болезни зубы становятся подвижными, челюсть утолщается и могут измениться контуры лица.
Как правило, при хроническом остеомиелите пациенты не обращают внимания на болезненные симптомы, а повышение температуры и слабость связывают с простудными заболеваниями [4] .
Патогенез остеомиелита челюсти
Выделяют три теории происхождения остеомиелита:
- Инфекционно-эмболическая теория. Основоположники этой теории считали, что костная ткань воспаляется из-за нарушения кровоснабжения. Инфекция оседает в кровеносных сосудах и закупоривает мелкие капилляры. В результате этого питательные вещества и кислород не поступают к кости, возникает гнойное воспаление и некроз. Данная теория признана некорректной после того, как было подробно исследовано строение кровеносной системы, костей и окружающих тканей [7] .
- Нервно-трофическая теория. Её приверженцы полагают, что остеомиелит развивается при обострениях болезней зубов, например при периодонтите. Также к болезни приводят нарушения в работе иммунной системы. При частых обострениях заболеваний зубов наступает сенсибилизация — иммунные клетки перестают распознавать инфекцию и развивается гнойно-некротический процесс.
- Гематогенная теория. Первоначально воспаление развивается в костном мозге и проявляется отёком и покраснением кожи. Из-за отёка увеличивается внутрикостное давление и, как следствие, сдавливаются сосуды в костном канале. Это приводит к закупорке сосудов и развитию гнойно-некротического процесса [13][14][15] .
Остальные причины — травмы, аллергия, стрессы, нарушение функции височно-нижнечелюстного сустава — провоцируют развитие остеомиелита без хронического воспаления в зубе. Такой остеомиелит можно отнести к неодонтогенному: травматическому и аллергическому. Но и в этом случае заболевание развивается на фоне нарушенного движения крови по сосудам, ухудшения её свёртываемости и гнойно-некротических процессов.
Классификация и стадии развития остеомиелита челюсти
Остеомиелит классифицируют в зависимости от распространённости, источника инфицирования и рентгенологических признаков.
Виды остеомиелита челюсти
Отдельно выделяют нетипичный остеомиелит челюсти, когда процесс протекает бессимптомно: температура тела не повышается, костная ткань разрушается незначительно, свищи не образуются. Такую форму называют первично-хроническим остеомиелитом [7] [8] .
Стадии остеомиелита челюстей
- Острая — длится 14 суток.
- Подострая — наступает на 15-20-е сутки.
- Хроническая — от 30 суток до нескольких лет.
- Обострение хронического остеомиелита [8] .
Осложнения остеомиелита челюсти
Среди осложнений остеомиелита можно выделить местные и общие. Местные возникают непосредственно в полости рта, а общие затрагивают весь организм. Общие осложнения приводят к тяжёлым последствиям, долго лечатся и иногда заканчиваются гибелью пациента.
Местные осложнения:
- разрушение кости;
- выпадение зубов из-за увеличения их подвижности;
- хроническое воспаление в полости рта;
- появление кист внутри челюсти, что характерно для острой фазы заболевания;
- контрактура височно-нижнечелюстного сустава — состояние, при котором сложно или невозможно открыть рот; ;
- флегмона — разлитое гнойное воспаление мягких тканей;
- лимфаденит — множественное увеличение лимфатических узлов [4][9] .

Общие осложнения:
Диагностика остеомиелита челюсти
Диагностика заболевания включает:
- сбор жалоб;
- визуальный осмотр;
- лабораторные исследования;
- инструментальные методы.
Сбор жалоб
Пациенты обычно жалуются на слабость, недомогание, плохое самочувствие и высокую температуру тела. Они отмечают, что зуб стал подвижным, нарушилась речь, трудно открывать рот и принимать пищу. Некоторые пациенты указывают на отёк лица с «больной» стороны.
- спрашивает о недавних травмах челюстно-лицевой области;
- выясняет, есть ли общие соматические заболевания, например сахарный диабет, болезни мочеполовой системы и желчнокаменная болезнь;
- уточняет, когда возникли симптомы, проявились ли они впервые или уже были раньше;
- узнаёт, как давно пациент посещал стоматолога.
Осмотр
Врач обращает внимание на бледность кожи и асимметричность лица, вызванную отёком мягких тканей. При ощупывании выявляется, что регионарные лимфатические узлы с поражённой стороны увеличены и болезненны. Пациент с трудом открывает рот, язык обложен налётом, изо рта исходит неприятный запах [7] .
При осмотре полости рта заметны покраснение и отёк слизистой оболочки в области больного зуба и близлежащих тканей. Зуб разрушен, подвижен при пальпации, боль усиливается при постукивании по нему. Подвижными и болезненными также могут быть несколько неповреждённых зубов в зоне поражения.
Лабораторные исследования
- Общий анализ крови. На активный воспалительный процесс указывают:
- повышение СОЭ до 40-70 мм/ч;
- лейкоцитоз, сдвиг лейкоцитарной формулы влево;
- положительная проба на С-реактивный белок;
- уменьшение альбуминов и повышение глобулинов;
- рост показателей активности щелочной и кислой фосфатазы.
- Биохимический анализ крови — позволяет исключить сахарный диабет и оценить функции почек и печени.
- Общий анализ мочи — при остеомиелите в ней появляется белок, клетки крови, гиалиновые и зернистые цилиндры.
Инструментальные методы диагностики
Компьютерная томография (КТ) — самый информативный метод диагностики остеомиелита челюсти. Это 3D-исследование, которое позволяет определить очаг инфекции и степень выраженности воспаления, его длительность и характер. С помощью КТ можно выявить не только крупные, но и мелкие образования, единичные и групповые, а также проанализировать, насколько далеко распространилась инфекция.

В некоторых случаях в свищевой ход вводят контрастное вещество. Такой метод исследования с контрастом называется фистулографией [9] [10] .
Рентгенография в первую неделю, как правило, не выявляет изменения в кости — в этот период воспалена только верхушка корня зуба. К концу второй недели кость разрушается и становится прозрачнее.
Дифференциальная диагностика
- между видами остеомиелита: одонтогенным, травматическим и гематогенным;
- острым периоститом;
- добро- и злокачественными новообразованиями;
- поражением полости рта специфическими инфекционными заболеваниями: туберкулёзом, сифилисом, актиномикозом.
Лечение остеомиелита челюсти
Лечение проводится только в стационаре под наблюдением врача и может быть медикаментозным и хирургическим [9] . По отдельности эти методы мало результативны и даже могут навредить пациенту. Схемы лечения зависят от стадии заболевания.
Лечение острого и подострого остеомиелита
При первом посещении срочно удаляют запущенный повреждённый зуб. Затем полость рта тщательно промывают антибиотиками. Это необходимо сделать, чтобы убрать из раны микробов и гной.
В следующие дни рану обрабатывают дезинфицирующими средствами и вводят инъекции противомикробных препаратов. С их помощью удаётся воздействовать непосредственно на очаг инфекции и не дать ей распространиться. В дополнение к основному лечению применяют питательные составы с витаминами С и группы В.
На подострой стадии болезни важно сдержать распространение инфекции и не дать воспалению перейти на окружающие ткани.
Для этого применяют:
- капельницы с антибиотиками;
- препараты, снижающие или подавляющие воспаление;
- резиновый дренаж для оттока экссудата.

Также в кровоток вводят витаминные комплексы и препараты, очищающие организм от микробов и продуктов их жизнедеятельности. Конкретные лекарства и дозировки подбирает лечащий врач.
Дополнительной терапией после основного лечения могут стать методы физиотерапии: УВЧ-терапия или лечение непостоянными токами. Считается, что они ускоряют процессы заживления [7] [16] .
Лечение хронического остеомиелита
При появлении некротизированных полостей с распадом кости и окружающих её тканей потребуется операция. Для этого повреждённую область рассекают, поражённые участки убирают и накладывают шину. В дальнейшем с помощью рентгенологических методов врач контролирует, как восстанавливается костная ткань [11] .
Чтобы помочь организму бороться с инфекцией, дополнительно принимают антибиотики в таблетках. Чаще всего назначают Метронидазол и усиливают его эффект препаратами из группы цефалоспоринов 3-4-го поколения.
Если состояние пациента не улучшается, то добавляют фторхинолоны или Рифампицин. Основная задача антибиотиков — не дать бактериям размножаться [7] . Лекарства помогают уменьшить воспаление и удержать патологический процесс в пределах поражённого участка.
Также ротовую полость ежедневно обрабатывают бактерицидными средствами, применяют капельницы с витаминами и плазмозамещающими жидкостями, которые очищают организм от токсинов.
Дополнительно рекомендовано полоскать рот настоями ромашки, зверобоя, мяты и окопника. Фитосредства уменьшают воспаление, ускоряют выздоровление и практически не имеют побочных эффектов.
Прогноз. Профилактика
Если пациент при первых признаках остеомиелита обращается к врачу, то прогноз благоприятный. Если же болезнь запущена, то делать какие-либо выводы сложно: неизвестно, хватит ли у организма сил для борьбы с инфекцией. В тяжёлых случаях могут развиться опасные осложнения, от которых человек может погибнуть [9] .
Самым непредсказуемым является гематогенный остеомиелит. Развитие всех других форм, как правило, можно предотвратить. Для этого достаточно придерживаться простых правил:
Посттравматический остеомиелит
Посттравматический остеомиелит - это гнойное воспаление всех элементов кости, возникшее в результате травмы. Как правило, вызывается золотистым стафилококком, попадающим в рану непосредственно в момент повреждения, во время операции или последующих перевязок. Обычно протекает хронически, но возможно и острое течение. Проявляется повышением температуры, лейкоцитозом, болями и признаками воспаления в области травмы. При хроническом течении образуются свищи. Диагноз выставляется с учетом клинических данных и результатов рентгенографии. Лечение - антибиотикотерапия, вскрытие и дренирование гнойных очагов.
МКБ-10



Общие сведения
Посттравматический остеомиелит (от лат. osteon кость + myelos костный мозг + itis воспаление) - одно из самых серьезных осложнений, возникающих после открытых повреждений скелета и операций на костях. По различным данным в 15-49% случаев развивается после открытых переломов и в 3% случаев - после хирургических вмешательств. Может выявляться у лиц любого пола и возраста. Вероятность возникновения увеличивается при тяжелых повреждениях с разрушением костей и обширным повреждением мягких тканей, интенсивном микробном загрязнении, несвоевременной или неадекватной хирургической обработке, наличии сопутствующих травм и заболеваний, снижающих сопротивляемость организма и утяжеляющих общее состояние больного.

Причины
Причинами развития посттравматического остеомиелита при открытых переломах являются обширные поражения окружающих кость мягких тканей, интенсивное загрязнение раны, недостаточно радикальная или слишком поздняя первичная хирургическая обработка и отсутствие дренажа для оттока содержимого. Кроме того, вероятность нагноения возрастает в случаях, когда кость расположена близко к коже и плохо защищена мягкими тканями (например, передневнутренняя боковая поверхность большеберцовой кости).
Послеоперационный остеомиелит связан с инфицированием раны в процессе операции. Предполагается, что увеличение количества нагноений после хирургических вмешательств в последние годы обусловлено широким распространением остеосинтеза, а также появлением новых штаммов болезнетворных микроорганизмов, устойчивых к действию антибиотиков.
Факторами, увеличивающими риск развития остеомиелита после операций, являются:
- чрезмерная травматизация мягких тканей
- нестабильный или недостаточный остеосинтез
- коррозия металлоконструкций
- наличие очагов скрытой инфекции в организме пациента.
Разновидностью данной формы остеомиелита является спицевой остеомиелит - локальное нагноение кости при установке аппарата Илизарова или наложении
Патанатомия
Все виды посттравматического остеомиелита являются не местным процессом, а заболеванием всего организма, поскольку возникают под влиянием комбинации общих и местных факторов и вызывают поражение различных органов и систем, в том числе - расположенных далеко от гнойного очага. При остеомиелите воспаляются все элементы кости: костный мозг, надкостница и компактное вещество, а также окружающие мягкие ткани, однако первичное воспаление обусловлено попаданием патогенных микроорганизмов в костный мозг.
У больных с открытыми повреждениями костей при нагноении зона воспаления, как правило, ограничивается областью перелома, иногда развиваются краевые остеомиелиты. При обширных дефектах кожи и многооскольчатых переломах наблюдаются обширные гнойные процессы, захватывающие как всю кость, так и окружающие мягкие ткани. При посттравматическом остеомиелите воспаление локализуется в области хирургического вмешательства, гнойный процесс распространяется по ходу металлоконструкции (штифта, гвоздя, пластины).
Классификация
В современной травматологии и ортопедии выделяют следующие разновидности посттравматического остеомиелита:
- Собственно посттравматический - развивающийся при открытых переломах.
- Огнестрельный - возникающий после огнестрельных ранений.
- Посттравматический - развивающийся после операций.

КТ стопы. Посттравматический хронический остеомиелит пяточной кости с наличием секвестра (красная стрелка) и свищевого хода (синяя стрелка).
Симптомы посттравматического остеомиелита
Для патологии характерно хроническое течение (хронический остеомиелит). Наблюдается повышение температуры, по анализам крови выявляется нарастающий лейкоцитоз. Область раны отечна, гиперемирована, болезненна, из раны выделяется гной. После вскрытия и дренирования воспалительные явления стихают, количество гнойного отделяемого уменьшается, в области послеоперационной раны формируется свищ без тенденции к самостоятельному заживлению. При остром варианте посттравматического остеомиелита отмечаются интенсивные боли, повышение температуры до фебрильных цифр, явления общей интоксикации, значительный отек, ускорение СОЭ, выраженный лейкоцитоз и нарастающая анемия.
Диагностика
Диагноз выставляется врачом-травматологом на основании клинических симптомов. Первые рентгенологические признаки появляются лишь спустя месяц после начала заболевания. На снимках выявляется изъеденность концов костных отломков, секвестры и очаги деструкции, а также остеопороз вокруг металлоконструкций (при их наличии). При огнестрельном остеомиелите наблюдается сужение костномозгового канала, более выраженные периостальные наслоения и зона остеосклероза. Возможно наличие костных полостей. В окружающих мягких тканях иногда видны металлические осколки.

МРТ стопы. Остеомиелит таранной и большеберцовой кости с наличием обширной зоны деструкции костной ткани.
Лечение посттравматического остеомиелита
Основной задачей лечения является полная ликвидация гнойного очага и устранение воспаления. Основной метод лечения оперативный - вскрытие и дренирование. Вопрос об удалении металлоконструкций решается в индивидуальном порядке. При локализованных формах возможно сохранение остеосинтеза. При нагноении по ходу внутрикостных штифтов показано их удаление с последующим монтажом аппарата Илизарова. Во время хирургического вмешательства используют внутривенное или внутрикостное введение антибиотиков.
Для обеспечения устойчивого оттока устанавливают системы активного дренирования, производят постоянную аспирацию раневого отделяемого. Область нагноения орошают нитрофурановыми препаратами или антибиотиками. Все лечебные мероприятия осуществляют на фоне антибиотикотерапии, проводимой с учетом чувствительности возбудителя. При обширных очагах нагноения и выраженной общей интоксикации антибиотики вводят внутривенно или внутриартериально. Применяют иммобилизацию и УВЧ-терапию.
Прогноз и профилактика
Прогноз при посттравматическом остеомиелите зависит от тяжести поражения, своевременности и достаточной радикальности лечения, возраста больного, наличия сопутствующих травм и заболеваний и т. д. Исходом может стать костный дефект, ложный сустав, укорочение или угловая деформация конечности. Возможно образование длительно незаживающих свищей. Из-за подвижности фрагментов в области повреждения инфекция часто распространяется по кости, что затрудняет стабилизацию перелома и препятствует консолидации отломков.
Вероятность полного выздоровления уменьшается при застарелых формах посттравматического остеомиелита, что обусловлено нарушениями трофики, дистрофией кости и дефицитом полноценных мягких тканей в области гнойного очага. Профилактика заключается в предупреждении травм, ранней адекватной обработке ран и открытых переломов, обоснованном проведении хирургических вмешательств, соблюдении техники операций.
3. Остеомиелит: клинические рекомендации / Общероссийская общественная организация Ассоциация травматологов-ортопедов России (АТОР) - 2016
Остеомиелит
Остеомиелит - воспаление костного мозга, при котором обычно поражаются все элементы кости (надкостница, губчатое и компактное вещество). В зависимости от этиологии остеомиелита он подразделяется на неспецифический и специфический (туберкулезный, сифилитический, бруцеллезный и т. п.); посттравматический, гематогеный, послеоперационный, контактный. Клиническая картина зависит от вида остеомиелита и его формы (острая или хроническая). Основу лечения острого остеомиелита составляет вскрытие и санация всех гнойников, при хроническом остеомиелите - удаление полостей, свищей и секвестров.


Остеомиелит (от лат. osteon кость + myelos костный мозг + itis воспаление) - воспаление костного мозга, при котором обычно поражаются все элементы кости (надкостница, губчатое и компактное вещество). По статистике, остеомиелит после травм и операций составляет 6,5% всех болезней опорно-двигательного аппарата. Чаще поражает бедренную и плечевую кость, кости голени, позвонки, нижнечелюстные суставы и верхнюю челюсть. После открытых переломов диафиза трубчатых костей посттравматический остеомиелит возникает в 16,3% случаев. Мужчины болеют остеомиелитом чаще женщин, дети и пожилые - чаще людей молодого и среднего возраста.
Выделяют неспецифический и специфический остеомиелит. Неспецифический остеомиелит вызывают гноеродные бактерии: золотистый стафилококк (90% случаев), стрептококк, кишечная палочка, реже - грибки. Специфический остеомиелит возникает при туберкулезе костей и суставов, бруцеллезе, сифилисе и т. д.
В зависимости от пути, которым микробы проникают в кость, различают эндогенный (гематогенный) и экзогенный остеомиелит. При гематогенном остеомиелите возбудители гнойной инфекции заносятся через кровь из удаленного очага (фурункул, панариций, абсцесс, флегмона, инфицированная рана или ссадина, тонзиллит, синусит, кариозные зубы и пр.). При экзогенном остеомиелите инфекция проникает в кость при ранении, операции или распространяется с окружающих органов и мягких тканей.
В начальных стадиях экзогенный и эндогенный остеомиелит различаются не только по происхождению, но и по проявлениям. Затем отличия сглаживаются и обе формы болезни протекают одинаково. Выделяют следующие формы экзогенного остеомиелита:
- посттравматический (после открытых переломов);
- огнестрельный (после огнестрельных переломов);
- послеоперационный (после проведения спиц или операций на костях);
- контактный (при переходе воспаления с окружающих тканей).
Как правило, остеомиелит вначале протекает остро. В благоприятных случаях заканчивается выздоровлением, в неблагоприятных - переходит в хронический. При атипичных формах остеомиелита (абсцессе Броди, альбуминозном остеомиелите Оллье, склерозирующем остеомиелите Гарре) и некоторых инфекционных болезнях (сифилисе, туберкулезе и др.) острая фаза воспаления отсутствует, процесс носит первично-хронический характер.
Острый остеомиелит
Проявления острого остеомиелита зависят от пути проникновения инфекции, общего состояния организма, обширности травматического поражения кости и окружающих мягких тканей. На рентгенограммах изменения видны спустя 2-3 недели с начала заболевания.
Гематогенный остеомиелит
Как правило, развивается в детском возрасте, причем треть пациентов заболевает в возрасте до 1 года. Достаточно редкие случаи развития гематогенного остеомиелита у взрослых на самом деле являются рецидивами болезни, перенесенной в детском возрасте. Чаще поражает большеберцовую и бедренную кости. Возможно множественное поражение костей.
Из удаленного очага воспаления (абсцесс мягких тканей, флегмона, инфицированная рана) микробы с кровью разносятся по организму. В длинных трубчатых костях, особенно - в их средней части хорошо развита широкая сеть сосудов, в которой скорость кровотока замедляется. Возбудители инфекции оседают в губчатом веществе кости. При неблагоприятных условиях (переохлаждение, снижение иммунитета) микробы начинают усиленно размножаться, развивается гематогенный остеомиелит. Выделяют три формы заболевания:
Септико-пиемическая форма. Характерно острое начало и выраженная интоксикация. Температура тела поднимается до 39—40°, сопровождается ознобом, головной болью и повторной рвотой. Возможны потеря сознания, бред, судороги, гемолитическая желтуха. Лицо больного бледное, губы и слизистые оболочки синюшны, кожа сухая. Пульс учащенный, давление снижено. Селезенка и печень увеличиваются, иногда развивается бронхопневмония.
На 1-2 сутки болезни появляется точно локализованная, резкая, сверлящая, распирающая или рвущая, усиливающаяся при малейших движениях боль в области поражения. Мягкие ткани конечности отечны, кожа горячая, красная, напряженная. При распространении на близлежащие суставы развивается гнойный артрит.
Через 1-2 недели в центре поражения формируется очаг флюктуации (жидкость в мягких тканях). Гной проникает в мышцы, образуется межмышечная флегмона. Если флегмону не вскрыть, она может вскрыться самостоятельно с образованием свища или прогрессировать, приводя к развитию параартикулярной флегмоны, вторичного гнойного артрита или сепсиса.
Местная форма. Общее состояние страдает меньше, иногда остается удовлетворительным. Преобладают признаки местного воспаления кости и мягких тканей.
Адинамическая (токсическая) форма. Встречается редко. Характеризуется молниеносным началом. Преобладают симптомы острого сепсиса: резкое повышение температуры, тяжелый токсикоз, судороги, потеря сознания, выраженное снижение артериального давления, острая сердечно-сосудистая недостаточность. Признаки костного воспаления слабые, появляются поздно, что затрудняет постановку диагноза и проведение лечения.
Посттравматический остеомиелит
Возникает при открытых переломах костей. Развитию болезни способствует загрязнение раны в момент травмы. Риск развития остеомиелита увеличивается при оскольчатых переломах, обширных повреждениях мягких тканей, тяжелых сопутствующих повреждениях, сосудистой недостаточности, снижении иммунитета.
Посттравматический остеомиелит поражает все отделы кости. При линейных переломах зона воспаления обычно ограничена местом перелома, при оскольчатых переломах гнойный процесс склонен к распространению. Сопровождается гектической лихорадкой, выраженной интоксикацией (слабость, разбитость, головная боль и т. д.), анемией, лейкоцитозом, повышением СОЭ. Ткани в области перелома отечны, гиперемированы, резко болезненны. Из раны выделяется большое количество гноя.

Огнестрельный остеомиелит
Чаще возникает при обширных поражениях костей и мягких тканей. Развитию остеомиелита способствует психологический стресс, снижение сопротивляемости организма и недостаточная обработка раны.
Общие симптомы сходны с посттравматическим остеомиелитом. Местная симптоматика при остром огнестрельном остеомиелите нередко выражена слабо. Отек конечности умеренный, обильное гнойное отделяемое отсутствует. О развитии остеомиелита свидетельствует изменение раневой поверхности, которая становится тусклой и покрывается серым налетом. В последующем воспаление распространяется на все слои кости.
Несмотря на наличие очага инфекции, при огнестрельном остеомиелите обычно наступает сращение кости (исключение - значительная раздробленность кости, большое смещение отломков). При этом гнойные очаги оказываются в костной мозоли.
Послеоперационный остеомиелит
Является разновидностью посттравматического остеомиелита. Возникает после операций по остеосинтезу закрытых переломов, ортопедических операций, проведения спиц при наложении компрессионно-дистракционных аппаратов или наложении скелетного вытяжения (спицевой остеомиелит). Как правило, развитие остеомиелита вызвано несоблюдением правил асептики или большой травматичностью операции.
Контактный остеомиелит
Возникает при гнойных процессах окружающих кость мягких тканей. Особенно часто инфекция распространяется с мягких тканей на кость при панариции, абсцессах и флегмонах кисти, обширных ранах волосистой части головы. Сопровождается увеличением отека, усилением болей в области повреждения и образованием свищей.
Лечение
Только в стационаре в отделении травматологии. Выполняют иммобилизацию конечности. Проводят массивную антибиотикотерапию с учетом чувствительности микроорганизмов. Для уменьшения интоксикации, восполнения объема крови и улучшения местного кровообращения переливают плазму, гемодез, 10% раствор альбумина. При сепсисе применяют методы экстракорпоральной гемокоррекции: гемосорбцию и лимфосорбцию.
Обязательным условием успешного лечения острого остеомиелита является дренирование гнойного очага. На ранних стадиях в кости делают трепанационные отверстия с последующим промыванием растворами антибиотиков и протеолитических ферментов. При гнойных артритах выполняют повторные пункции сустава для удаления гноя и введения антибиотиков, в некоторых случаях показана артротомия. При распространении процесса на мягкие ткани образовавшиеся гнойники вскрывают с последующим открытым промыванием.
Хронический остеомиелит
При небольших очагах воспаления, комплексном и своевременном лечении, преимущественно у молодых пациентов восстановление костной ткани преобладает над ее разрушением. Очаги некроза полностью замещаются вновь образованной костью, наступает выздоровление. Если этого не произошло (примерно в 30% случаев), острый остеомиелит переходит в хроническую форму.
Примерно к 4 неделе при всех формах острого остеомиелита происходит секвестрация - образование омертвевшего участка кости, окруженного измененной костной тканью. На 2-3 месяц заболевания секвестры окончательно отделяются, на месте разрушения кости формируется полость и процесс становится хроническим.
Симптомы
При переходе острого остеомиелита в хронический состояние пациента улучшается. Боли уменьшаются, становятся ноющими. Формируются свищевые ходы, которые могут выглядеть, как сложная система каналов и выходить на поверхность кожи далеко от места повреждения. Из свищей выделяется умеренное количество гнойного отделяемого.
В период ремиссии состояние пациента удовлетворительное. Боли исчезают, отделяемое из свищей становится скудным. Иногда свищи закрываются. Продолжительность ремиссии при остеомиелите колеблется от нескольких недель до нескольких десятков лет, зависит от общего состояния и возраста больного, локализации очага и т. д.
Развитию рецидива способствуют сопутствующие заболевания, снижение иммунитета и закрытие свища, приводящее к скоплению гноя в образовавшейся костной полости. Рецидив болезни напоминает стертую картину острого остеомиелита, сопровождается гипертермией, общей интоксикацией, лейкоцитозом, повышением СОЭ. Конечность становится болезненной, горячей, краснеет и отекает. Состояние пациента улучшается после открытия свища или вскрытия гнойника.

Осложнения
Хронический остеомиелит часто осложняется переломами, образованием ложных суставов, деформацией кости, контрактурами, гнойным артритом, малигнизацией (злокачественным перерождением тканей). Постоянно существующий очаг инфекции влияет на весь организм, вызывая амилоидоз почек и изменения внутренних органов. В период рецидива и при ослаблении организма возможен сепсис.
Диагностика
Постановка диагноза при хроническом остеомиелите в большинстве случаев не вызывает затруднений. Для подтверждения проводят МРТ, КТ или рентгенографию. Для выявления свищевых ходов и их связи с остеомиелитическим очагом выполняют фистулографию.
Операция показана при наличии остеомиелитических полостей и язв, гнойных свищей, секвестров, ложных суставах, частых рецидивах с интоксикацией, выраженной болью и нарушением функции конечности, малигнизации, нарушении деятельности других органов и систем вследствие хронической гнойной инфекции.
Выполняют некрэктомию (секвестрэктомию) - удаление секвестров, грануляций, остеомиелитических полостей вместе с внутренними стенками и иссечение свищей с последующим промывным дренированием. После санации полостей проводят костную пластику.
4. Острый остеомиелит: клинический протокол/ Экспертная комиссия по вопросам развития здравоохранения - 2013
Травматический остеомиелит лицевого скелета

Под травматическим остеомиелитом подразумевается нагноительный процесс в области непосредственного повреждения кости. Развитие травматического остеомиелита возможно несколькими путями:
- непосредственное инфицирование при переломе
- травме через разрывы слизистой оболочки, кожи или же активация латентных одонтогенных очагов инфекции в челюстях после травмы (разрешающий фактор)
Одним из патогенетических факторов возникновения травматического остеомиелита может быть запоздалое оказание специализированной помощи и сенсибилизация организма патогенной микрофлорой одонтогенных очагов. Наибольшая опасность развития травматического остеомиелита возникает с 3 — 5-го дня после травмы. Травматический остеомиелит характеризуется гнойно-некротическим процессом в костях, сопровождается формированием секвестров и репаративными изменениями в кости.
Остеомиелит нижней и верхней челюсти: причины, симптомы и лечение
Остеомиелит носит инфекционный характер, классифицируется на несколько основных видов и чаще всего проявляется у мужской части населения. Тактика лечения остеомиелита челюсти зависит от выраженности симптомов и этиологии болезни.

Что такое остеомиелит челюсти
Остеомиелит в стоматологии - это воспаление костной ткани челюсти инфекционного и гнойного характера. К возбудителям болезни относятся:
- стафилококки;
- кишечная палочка;
- туберкулезная палочка;
- риккетсии;
- стрептококки;
- синегнойная палочка;
- клебсиелла;
- грамотрицательные бактерии;
- вирусы.

Чаще всего встречается стрептококковое и стафилококковое инфицирование челюстных тканей. Нередко заболевание приводит к генерализации инфекции, из-за чего происходит заражение всей костной системы человека и тканей, находящихся неподалеку.
Остеомиелит - это мультифакторная болезнь, на вероятность ее развития влияют:
- инфицирование патогенными микроорганизмами;
- состояние иммунной системы;
- нарушение местного кровообращения.
Причины возникновения
Челюстной остеомиелит возникает из-за проникновения в организм болезнетворных бактерий или вирусов. Дальнейшее течение болезни зависит от состояния иммунитета человека. Если он в порядке, то заболевание переходит в хроническую стадию или вовсе не развивается. Но при иммунодефиците воспалительный процесс начнет прогрессировать.
Какие болезни провоцируют остеомиелит
Все причины развития остеомиелита можно разделить на несколько разновидностей:
Источник заражения - больной зуб. Вредные вещества попадают в кость через пульпу при:
- пульпите;
- альвеолите;
- периодонтите;
- кисте корня зуба.
Патогенные микроорганизмы попадают в костную систему из первичного источника воспаления:
- тонзиллит (хроническая и острая форма заболевания);
- фурункулез;
- отит;
- скарлатина;
- грипп;
- омфалит.
- переломы челюсти;
- глубокие порезы;
- огнестрельные ранения;
- повреждение слизистой оболочки носа;
- инфицирование во время операции.
Тактика лечения зависит от точного диагностирования, но при любом виде патологии сначала надо уничтожить источник воспаления, а только потом воздействовать на органы и системы, которые были заражены вторично. Если пациент страдает сахарным диабетом, патологией кроветворных органов или онкологическим заболеванием, прогнозы ухудшаются.
Остеомиелит после удаления зуба
Остеомиелит может возникнуть после удаления зуба. В этом случае инфекция попадает в лунку из-за недостаточно качественной обработки полости рта. Из лунки болезнетворные микроорганизмы проникают в костную ткань. Одним из основных признаков заболевания становится повышенная подвижность зубов, находящихся рядом с лункой.

Остеомиелит при наличии молочных зубов
Кариозная полость в молочном зубе, которую вовремя не вылечили, также может стать причиной развития патологии. Причем инфекция нередко разрушает зачатки основного зуба, поэтому при появлении любых проблем с молочными зубами, их надо быстро лечить, а не надеяться на то, что они скоро выпадут. Молочные зубы тоже удаляют, если они стали источником воспаления в организме.
Виды и симптомы остеомиелита челюсти
Симптоматика заболевания зависит от локализации очага инфекции, вида и формы патологии. При остеомиелите верхней челюсти к симптомам развития патологии можно отнести иррадиирующие боли в глазное яблоко, висок или ухо, а при нижнечелюстной патологии боль отдает в шею или даже в плечо.
Одонтогенный
В стоматологии обычный одонтогенный остеомиелит считают наиболее распространенной формой заболевания. Эта болезнь возникает в качестве осложнения зубных патологий.

На фото признаки острого одонтогенного остеомиелита
Симптомами патологии считаются:
- резкое увеличение температуры;
- отек лица, особенно у края глазницы;
- увеличение лимфоузлов;
- появление гноя в носовых ходах;
- возникновение свищевых ходов;
- болезненность лица при пальпации.
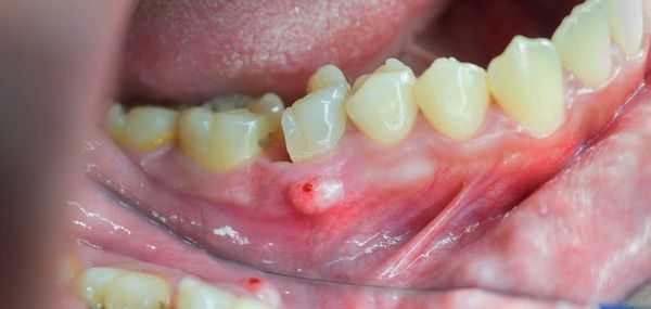
Травматический

На фото показан травматический остеомиелит нижней челюсти
Главными симптомами травматического остеомиелита являются:
- сильный озноб;
- выделение экссудата из места травмирования;
- болезненные ощущения в раневой зоне;
- интоксикация организма.
Самые частые симптомы остеомиелита нижней челюсти - отечность и появление ложного сустава. Ложный сустав возникает из-за нарушения регенерирующего процесса костной ткани после перелома. Отломки соединяются рыхлой тканью, а не костной мозолью, из-за чего они неплотно зафиксированы друг с другом.
На ранних стадиях патологии клиническая картина может быть стерта из-за травмы, она начинает активно проявляться лишь на 3-5 день после инфицирования.
Гематогенный
Развитие гематогенного остеомиелита связано с попаданием патогенной микрофлоры в челюсть из другой воспаленной области.
- вялость;
- отек слизистой;
- высокая температура;
- бледность кожных покровов;
- появление свищей;
- общая интоксикация организма.
Болезнь нередко сопровождается воспалением костей всего черепа и поражением некоторых внутренних органов.
Острая форма болезни
Острый остеомиелит челюсти возникает внезапно и характеризуется общими и локальными симптомами. К признакам заболевания относятся:
- увеличение температуры до 40 °C;
- бледность кожных покровов;
- сильные боли в месте нахождения патогенного зуба, со временем они теряют четкую локализацию и распространяются на всю челюсть;
- расшатывание болезненного зуба;
- внезапная слабость;
- артрит челюстного сустава;
- болевые ощущения при глотании;
- зловонный запах изо рта;
- отек и гиперемия мягких тканей;
- повышенная потливость;
- ярко выраженная асимметрия лица;
- увеличение лимфоузлов.
При наличии этих симптомов показано проводить дифференциальную диагностику:
- со специфической формой туберкулеза, сифилиса или актиномикоза;
- с гнойным периоститом;
- с онкологическими болезнями челюсти.
Хроническая форма
Хронический остеомиелит образуется на фоне острой формы заболевания и сильного иммунитета. Иногда болезнь переходит в хроническую стадию из-за неправильно подобранного лечения. Симптоматика патологии:
Фото рецидивирующего одонтогенного остеомиелита нижней челюсти
Перед началом лечения требуется провести лабораторные исследования, на их основании можно определить наличие воспаления в организме:
- повышение СОЭ;
- лейкоцитоз;
- лейкопения (при генерализованной форме);
- большое содержание палочкоядерных нейтрофилов;
- гемолитическая анемия;
- гипоальбуминемия;
- гиперглобулинемия;
- наличие C-реактивного белка;
- рост трансаминаз печени;
- снижение уровня калия, хлора и натрия;
- повышение уровня фосфора и кальция.
- эритроцитов;
- эритроцитарных цилиндров;
- следов белка.
- забора биоптата из гнойного очага воспаления;
- определения возбудителя.
Показывает классические признаки остеомиелита:
Одонтогенный остеомиелит на рентген-снимке
Лечение остеомиелита при воспалении кости челюсти
Лечение зависит от этиологии и симптоматики заболевания. Оно должно включать следующие разновидности терапии:
- антибактериальную;
- иммуномодулирующую;
- десенсибилизирующую.
Если нет возможности вылечить болезнь таблетированными средствами, показано оперативное вмешательство.
Принимать обезболивающие таблетки можно только после консультации с врачом, неконтролируемый прием подобных препаратов может привести к серьезным осложнениям. Эти лекарства направлены на снятие болевого синдрома, а не на устранение очага инфицирования.
Антибиотики при остеомиелите
Антибиотики назначаются при остеомиелите челюсти до хирургического вмешательства и санации очага инфицирования, что помогает ускорить процесс угнетения болезнетворных микроорганизмов и предотвратить их активное размножение.
Классификация
Для лечения остеомиелита чаще всего используются следующие антибактериальные препараты:
- пенициллины: Амоксицилин, Бензилпенициллин, Нафциллин;
- цефалосорины особенно эффективны в отношении стафилококкового остеомиелита: Цефтриаксон, Цефуроксим;
- фторхинолы: Левофлоксацин, Ципрофлоксацин;
- аминогликозиды: Амикацин, Торбамицин;
- гликопептиды: Ванкомицин, Тейкопланин.
Для предупреждения развития микотической (грибковой) инфекции, помимо антибиотиков, следует принимать Флуконазол, Нистатин или Кетоконазол.
Пробиотики после антибиотиков
После курсового приема антибиотиков показаны пробиотики:
- монокомпонентные: Лактобактерин, Бифидумбактерин, Бактиспорин;
- поликомпонентные: Бифилонг, Ацилакт, Ацинол, Линекс;
- комбинированные: Бифилиз, Бифидумбактерин форте.
Оперативное лечение в стоматологической клинике
Оперативное лечение остеомиелита состоит из различных шагов, которые выполняются в зависимости от клиники заболевания и результатов комплексного обследования. К ним относятся:
- Радикальная хирургическая обработка: секвестрэктомия, секвестрнекрэктомия, трепанация длинной кости, резекция челюстной кости.
- Проведение остеосинтеза.
- Замещение полостей васкуляризованными тканями.
- Лечение дефектов мягких тканей.
- Хирургическая обработка очага инфицирования.
- Удаление зуба.
Операции при остеомиелите проводятся во всех крупных городах России (не только в Москве или Санкт-Петербурге). Перед тем как согласиться на хирургическое вмешательство, целесообразно запросить у клиники лицензию на проведение манипуляций такого плана.
Местная терапия
Сразу же после оперативного вмешательства необходимо обработать поверхность раны антисептиками - Левосином, Хинифурилом, Йодопироном или Мирамистином. Помимо этого, следует применять пенообразующие аэрозоли Диоксизоль и Аминитрозол, а также раневые покрытия (стерильные листы) Альгимаф, Гентацикол и Альгипор. Такая обработка поможет предупредить послеоперационное гнойное воспаление челюсти.
Физиотерапия
К наиболее эффективным методам физиотерапии при заболеваниях челюстей относятся:
- электрофорез с растворами антибиотиков;
- ультравысокочастотная терапия;
- УФ-облучение.
Средства народной медицины
Препараты народной медицины - это необязательная часть комплексного лечения остеомиелита. Эту болезнь нельзя лечить в домашних условиях примочками из трав, но для снятия некоторых воспалительных симптомов можно использовать следующие средства (при условии подходящей антибактериальной терапии и разрешения врача):
- мумие;
- прополис и продукты пчеловодства;
- раствор соды и соли;
- травяные отвары.
Эти средства обладают слабовыраженным лечебным действием, но они могут использоваться в комплексной терапии остеомиелита, так как практически не имеют побочных эффектов.
Осложнения
Если не заниматься лечением первичного или хронического остеомиелита верхней и нижней челюсти, болезнь может привести к серьезным осложнениям:
- инфицирование мягких тканей лица, шеи и даже спины;
- сепсис и генерализация инфекции;
- воспаление орбитальной области, что может привести к потере зрения;
- менингит.
Если выбрать неправильный способ лечения, остеомиелит может перерасти в остеонекроз - отмирание клеток кости, поэтому нельзя затягивать обращение к доктору.
Другие заболевания челюсти у людей
Остеомиелит челюсти можно спутать с иными заболеваниями, наиболее распространенные:
| Название заболевания | Определение | Краткое описание |
|---|---|---|
| Остит | Воспаление костной ткани за пределами периодонта зуба. | Как самостоятельное заболевание остит существует недолго, он быстро перерастает в периостит. |
| Периостит | Воспаление надкостницы. | Бывает острым и хроническим, гнойным и серозным. Гнойная форма болезни развивается как осложнение гнойного периодонтита, серозная - из-за травм. Гнойный периостит сопровождается расплавлением мягких тканей и надкостницы, что приводит к формированию свищей. |
| Сепсис | Инфекционное воспаление костных тканей. | Возникает из-за наличия в организме очага инфекции, часто приводит к смерти больного. |
| Киста | Полость на корне зуба или в самой кости с эпителиальной выстилкой или без нее. | Имеют одонтогенный (из-за заболеваний зубов) и неодонтогенный генез. |
| Фиброзная дисплазия | Образование доброкачественной опухоли. | Процесс сопровождается существенной деформацией формы лица. Причины заболевания неизвестны, врачи не исключают влияние наследственности. |
| Остеосаркома, хондросаркома, лимфома | Злокачественные опухоли. | Развиваются в любых костных тканях и даже в челюсти. |
При малейшем подозрении на остеомиелит костной ткани верхней или нижней челюсти нужно обращаться к стоматологам, не дожидаясь усиления симптомов и возникновения осложнений. Лучше удалить проблемный зуб, а не ждать образования отека или опухоли. К тому же признаки недомогания могут указывать на более серьезное заболевание, выявить которое может только врач.
Читайте также:
