Укладка при рентгенограмме лицевого отдела черепа, придаточных пазух в теменно-акантиальной и акантио-теменной проекции по методу Уотерса
Добавил пользователь Евгений Кузнецов Обновлено: 01.02.2026
Расшифровка результатов рентгенологического исследования может быть следующей:
- норма (с учетом возраста пациента);
- наличие затемнений в околоносовых пазухах;
- утолщения;
- видимая травматизация или присутствие инородного тела.
Норма
Рентген пазух носа здорового человека выглядит так:
- Носовая перегородка разделяет носовую полость на симметричные стороны треугольника.
- Белые полосы, проходящие справа и слева разделенной области — это носовые ходы.
- Треугольные полости по бокам носа — гайморовы пазухи.
- Между глазницами расположена решетчатая пазуха с тонкими стенками, ячейки которой должны хорошо просматриваться.
- Выше глазниц определяются лобные пазухи, которые могут иметь различную форму. Допускается их разделение костными перегородками.
- В пазухах должен находиться воздух. Их края, как и контуры костей, должны быть четкими и ровными.
Фото снимка здорового человека
Затемнения, полости и утолщения на снимке
О диагностировании патологии можно говорить, если снимки показывают следующее:
- затемнение участка;
- утолщение;
- наличие полости разной формы;
- деформация костной ткани.
Для острого воспаления характерны утолщение слизистой и деформация ее границ (при гнойном содержимом). Наличие и уровень жидкости устанавливаются по горизонтальному разграничению в пазухах. О составе содержимого рентген не расскажет, для этого понадобится сделать пункцию (прокол). Если воспаление носит хронический характер, слизистая утолщается, а просвет в пазухе становится меньше.
Синусит
Синусит на рентгеновском снимке выглядит как затемнение, которое имеет характерные отличия при различных патологиях.
Расшифровывать снимки следует так:
- При гиперпластическом синусите выражено утолщение слизистой непосредственно возле кости. При этом внутренний контур становится волнообразным, расплывчатым.
- При катаральном синусите отмечается утолщение стенок слизистой с полным или частичным затемнением. Наличие светлой полости в центре пазухи свидетельствует о хронизации процесса.
- При экссудативном синусите затемнение околоносовых пазух происходит с горизонтальным разграничением, отображающим уровень заполненности жидкостью.
- При вазомоторном и аллергическом синуситах отмечается выраженная отечность слизистой.
Гайморит
Гайморит представляет собой воспаление оболочек гайморовых пазух.
Диагностируется гайморит следующих видов:
- Экссудативный. Наличие жидкости в верхних пазухах с одной или двух сторон.
- Пристеночный. Локализация воспаления возле костных стенок. Края слизистой при этом деформированы и направлены вовнутрь пазухи.
- Полипозный. Наблюдается выпирание участков слизистой, которое может быть как единичным, так и множественным.
Новообразования и кисты в пазухах
Если снимки околоносовых пазух определяют полость с плотным содержимым, это свидетельствует о наличии добро- или злокачественного образования. В большинстве случаев новообразования находятся случайно при диагностировании других патологий.
Киста носовой пазухи определяется как светлый участок округлой формы, расположенный за пределами слизистой пазухи. Края у нее четкие и ровные.
Травмы костей
Если кость сломана или произошло смещение, это будет видно на рентгенограмме. Травмы костей на снимках могут отображаться как плотные фрагменты в пазухах. Снимок помогает установить место перелома и смещение отломков кости, если они присутствуют. Тяжелые переломы сопровождает кровотечение, которое будет отображаться жидкостью в носовых пазухах. Врач также может обнаружить старое повреждение, фиксирующееся на снимке в виде костной мозоли.
Инородные тела
Инородное тело на снимке имеет контуры в соответствии с тем, что конкретно попало в носовую полость. Как правило, это бусинки или другие предметы круглой формы, помещаемые детьми в нос. На рентгене они представляют собой участки разной затемненности.
Фотогалерея
Правосторонний гайморит Киста в левой гайморовой пазухе Синусит. Фронтальная и гайморовая пазухи Травма носовой полости
Как проходит и сколько длится процедура
Длительность исследования составляет несколько минут.
Делают рентгенографию в зависимости от показаний следующим образом:
- Пациент заходит в специальную комнату. Дети сопровождаются взрослыми.
- В положении стоя или сидя врач-рентгенолог фиксирует голову в нужном для получения снимка положении. Это может быть прямая или боковая плоскость, проекция подбородка, затылочно-лобной части или затылочно-подбородочной. Ребенку держит голову один из родителей.
- Необходимо сделать глубокий вдох и задержать дыхание на несколько секунд.
- Врач сообщит о завершении процедуры.
- Снимок проявляется в течение 15-20 минут.
Опасен ли рентген — рассказывается на видео от канала Жить Здорово.
Противопоказания к рентгенологическому обследованию
Рентген придаточных пазух имеет несколько противопоказаний. Этот метод запрещается делать:
- Беременным женщинам. Несмотря на то что исследование имеет небольшие показатели облучения, будущим мамам оно противопоказано вследствие сильной чувствительности плода к лучевой нагрузке. Применение рентгеновских аппаратов во время беременности может стать причиной появления врожденных дефектов у ребенка.
- Детям до 15 лет. Для пациентов младше этого возраста рентген носовых пазух может назначаться крайне редко, поскольку гамма-лучи могут негативно повлиять на рост костей ребенка.
- Людям, страдающим заболеваниями психического характера. В таких случаях больные не в состоянии зафиксировать голову и не двигаться несколько минут.
- За месяц до ЭКО. Самыми уязвимыми к облучению считаются клетки половой системы. Облученные сперматозоиды у мужчин и пораженная яйцеклетка женщины неспособны к зачатию. Поэтому гинекологи рекомендуют проходить рентген-исследование как минимум за месяц до экстракорпорального оплодотворения.
В очень редких случаях врач может выдать направление на рентгенографию детям до 15 лет и беременным женщинам. Но это происходит, если исследование оправдывает риск вероятного вреда, к которому способен привести диагностируемое заболевание.
Подготовка к рентгену
Подготовка к процедуре сводится к двум правилам:
- снять украшения и другие металлические предметы, расположенные в области головы (цепочка, серьги, заколки, обруч);
- надеть специальный фартук (свинцовый), который выдается непосредственно перед рентгеном.
Ограничений, связанных с приемом пищи или жидкости нет.
Следует уточнить, когда и как делать рентген при наблюдении болезни в динамике. Например, если пациент делает промывания околоносовых пазух методом «кукушка», рентгенография выполняется перед тем, как пазухи будут очищены от жидкости.
Что может выявить врач на рентгенограммах
Эта процедура дает широкие возможности для постановки и подтверждения различных заболеваний околоносовых синусов. Полученные снимки (рентгенограммы) помогают врачам визуализировать и рассмотреть такие анатомические части: лобные, гайморовые (верхнечелюстные) пазухи, решетчатый лабиринт, глазницы и кости лицевого черепа.

Воспаление гайморовых и лобных пазух
На рентгенограмме придаточных пазух носа можно обнаружить:
- дефекты в структуре органа и прилегающих мягких тканях;
- наличие некоторых воспалительных заболеваний: острый или хронический синусит, гайморит, фронтит, пансинусит;
- травматическое повреждение лицевого скелета,
- инородные предметы;
- опухолевые образования (доброкачественные и злокачественные), кисты носовой полости;
- искривление носовой перегородки;
- дефекты развития, врожденные и приобретенные аномалии ППН.
Метод используется повсеместно в практической работе врачей-отоларингологов и является основанием для постановки диагноза.
С помощью рентгенографии хорошо диагностируются болезни ЛОР-органов, травмы, наличие посторонних предметов. Эта методика позволяет визуализировать патологическое содержимое в околоносовых синусах, изменения слизистой оболочки, выстилающей пазухи (отечность, полипы и другие). В норме околоносовые пазухи заполнены воздухом и не отличаются от глазниц. Если в них есть жидкость (гной, кровь и др.), образуются затемнения (снижение пневматизации) с горизонтальной верхней границей.
Своевременно сделав снимок придаточных пазух носа, удается избежать осложнений, чреватых необратимыми последствиями, например, остеомиелита, менингита.
Признаки поражения пазух носа на рентгене
Расшифровка результатов исследования выглядит следующим образом:
Заболевание
Признаки
По краям стенок пазухи у кости можно увидеть утолщение и покраснение слизистой оболочки
Выявляют затемнение в области синуса, в котором определяется горизонтальный уровень жидкости
Визуализируется утолщение слизистой оболочки пазухи
Аллергический и вазомоторный синусит
Происходит увеличение толщины слизистой оболочки на кости. Аллергический процесс характеризуется различной и непостоянной картиной, поэтому для этой патологии исследование неинформативно
Хронический гайморит вне обострения — имеется четкая граница между слизистой и костью. Если определяется плавный переход границы — это признак хронического синусита в стадии обострения
Определяется полость округлой формы с правильными краями
Инородные тела в носу
Визуализируются формы и контуры различных инородных предметов
В месте нахождения опухоли наблюдается затемнение и уплотнение структуры окружающих мягких тканей
Теменно-акантиальная проекция (по уотерсу)
Для визуализации костей лицевой части черепа необходимо отвести изображения каменистых пирамид от лицевых костей. Это можно сделать или с помощью наклона ЦЛ, или разгибания шеи. На рентгенограммах справа (рис. 12-37 и 12-38) показан результат. Подбородок пациента поднят таким образом, чтобы каменистые пирамиды проецировались сразу ниже верхнечелюстных пазух. Центральный луч параллелен подборо-дочно-ушной линии (ПУЛ). Рентгенограмма справа (по Уотерсу, рис. 12-38), при правильно выполненной укладке, описание которой будет приведено далее в настоящей главе, демонстрирует каменистые пирамиды (см. стрелки), спроецированные ниже верхних челюстей и верхнечелюстных пазух. Таким образом, за исключением нижней челюсти, кости лицевого черепа проецируются выше плотных каменистых пирамид, и изображения последних не налагаются на кости лицевого черепа.
Укладки — общие положения
ВЕРТИКАЛЬНОЕ И ГОРИЗОНТАЛЬНОЕ ПОЛОЖЕНИЯ (рис. 12-39 и 12-40)
Общие положения, касающиеся укладки костей лицевого черепа, те же, что и для костей мозгового черепа, как было описано в предыдущей главе.
Если позволяет состояние пациента, проекции костей лицевого черепа выполняются в вертикальном положении. Обычно используют вертикальную стойку снимков с отсеивающим растром. Часто для точной укладки черепа (особенно у тучных пациентов и гиперстеников) легче поставить пациента вертикально, чтобы подогнать различные плоскости и линии укладки. Кроме того, при вертикальном положении лучше видны уровни жидкости в пазухах или других полостях черепа, которые могут являться показателями патологических состояний.
Пациенты с травмой обычно находятся в горизонтальном положении (лежа на спине). Большинство проекций костей лицевого черепа можно выполнять, не двигая пациента, путем изменения углов наклона ЦЛ и/или подбора правильного расположения кассеты, как это описано в главе 19.
РЕНТГЕНОГРАФИЯ В ПЕДИАТРИИ
Общение. Чтобы создать атмосферу доверия и сотрудничества, необходимо понятное объяснение процедуры ребенку и лицу, его сопровождающему. Для поддержания такой атмосферы эффективны приемы для отвлечения внимания ребенка (использование игрушек, других предметов).
Фиксация. Дети (в зависимости от возраста и состояния здоровья) часто не могут долго находиться в требуемом положении. Чтобы не было необходимости держать ребенка, рекомендуется использовать фиксирующие средства, снижая, таким образом, дозу облучения. (В главе 20 приводится подробное описание фиксирующих средств.) Если ребенка нужно держать, то тот, кто это делает, один из родителей или сопровождающий ребенка взрослый должен надеть рентгенозащитный фартук и/или перчатки. Если ребенка сопровождает женщина, должна быть полная уверенность в том, что она не беременна.
Технические условия исследования непостоянны, так как все дети разного роста и с разной патологией. Рекомендуется использовать самое короткое время экспозиции (и высокое значение мА), чтобы уменьшить влияние возможных движений ребенка.
Рентгенологические методы исследования носа и околоносовых пазух
Такое ЛОР-заболевание, как синусит является в настоящее время самой распространённой ЛОР патологией. Пациенты с воспалительными процессами околоносовых пазух (ОНП) составляют в настоящее время около 40% всех госпитализированных в ЛОР-стационары больных. Основным методом диагностики заболеваний ОНП является рентгенологический.
Обусловлено это тем, что воздухосодержащие пазухи носа находятся в глубине костей лицевого черепа, сообщаясь с носовой полостью только через небольшие отверстия - соустья.
Принято различать следующие парные ОНП, расположенные в одноименных костях (рис. 1):
- верхнечелюстные;
- лобные;
- решетчатые;
- передние и задние;
- клиновидные.


У новорожденного ребенка развиты только верхнечелюстная и решетчатая пазухи (рис. 3), представляющие собой полости, объёмом менее миллилитра. К 2 - 3 годам становится пневматизированной клиновидная пазуха, к 5 - 6 годам - лобная. Окончательное развитие пазух носа достигается к 20 годам.

Недоразвитие лобных пазух или их гипоплазия встречается у каждого 10-го человека. Недоразвитие других пазух отмечается достаточно редко. Может быть односторонняя гипо- и аплазия верхнечелюстных, клиновидных и лобных пазух, что обязательно надо отметить в описании рентгенограммы. Это создаёт трудности при диагностике синусита и пункции такой пазухи (рис.4). Возможна избыточная пневматизация ОНП, чаще лобной и клиновидной.

Рентгенограмма черепа не позволяет оценить состояние всех ОНП. Для получения качественного изображения ОНП необходимо проводить исследование в специальной проекции.
Различают следующие виды проекций:
- носоподбородочную;
- носолобную;
- подбородочную или аксиальную.
Эти проекции нужны, чтобы сместить изображение пирамид височных костей и всего основания черепа ниже дна верхнечелюстных пазух (носоподбородочное положение) или выше них в орбиту (носолобное положение). При несоблюдении этого условия пирамиды височных костей - симулируют уровни жидкости в верхнечелюстных пазухах.
Носоподбородочная проекция выполняется при вертикальном положении пациента (сидя, стоя). Пациента просят открыть рот и прижаться им к экрану (рис. 5). Центральный луч направлен перпендикулярно к кассете и проходит в сагиттальном направлении на уровне наружных углов глазниц. Видны хорошо все передние пазухи (лобные, решетчатые, верхнечелюстные). В проекции открытого рта можно увидеть клиновидную пазуху (рис. 1).

Иногда в таком положении пирамиды височных костей всё равно наслаиваются на нижние отделы верхнечелюстных пазух и рекомендуют выполнять подбородочную (переднюю полуаксиальную) проекцию, когда сидящий больной касается кассеты подбородком.
Линия, соединяющая наружный слуховой проход и подбородок (ментальная) перпендикулярна к плоскости кассеты. Центральный луч идет через крылья носа параллельно ментальной линии. Решетчатая пазуха в этом случае видна плохо из-за наслоения передних клеток на задние и на скаты носа. Лобные пазухи смотрятся увеличенными.
Носолобная проекция используется для изучения лобной и решетчатой пазух. Пациент прижимается к кассете лбом и кончиком носа. Центральный луч проходит перпендикулярно кассете через затылок.
В настоящее время наиболее часто применяется носоподбородочная проекция.
Обзорная рентгенография черепа в боковой проекции позволяет оценить глубину и состояние стенок лобных, клиновидных пазух, верхнечелюстных и носоглотки (рис. 6).

Иногда применяются специальные укладки для прицельного обследования конкретной пазухи: рентгенограмма по Г.М. Земцову для выявления клиновидной пазухи в проекции открытого рта (носоподбородочная укладка с максимальным запрокидыванием головы), по Я.А. Фастовскому прицельное обследование решетчатого лабиринта и другие.
Существуют сложности выполнения рентгенологических исследований подвижным и возбудимым пациентам, маленьким детям. Требуется их удерживать в нужном положении или проводить исследование под наркозом. В этом случае лечащий врач должен определить, насколько рентгенологическое исследование необходимо в постановке диагноза.
Иногда выполнению необходимой проекции препятствует тугоподвижность суставов (позвоночника, височно-нижнечелюстных) или ригидность мышц (например, ригидность мышц затылка при менингите).
В норме при рентгенологическом исследовании содержащие воздух ОНП выглядят, как светлые участки с чётко обозначенным тёмным контуром, соответствующим их костной границе. Обычно описывают негативное рентгеновское изображение, поэтому более тёмными называются участки, содержащие больше белого цвета. Пневматизированные ОНП соответствуют прозрачности орбит. Если содержимое пазух темнее содержимого орбит, то говорят о затемнении, которое означает наличие патологического процесса. При этом нужно охарактеризовать затемнение по нескольким параметрам. Первый из них - размер или степень заполнения пазухи патологическим процессом.
Различают (рис.- схема 8):

- тотальное (полное) затемнение пазухи, почти полное - субтотальное (рис.8 а), которые соответствуют полному заполнению пазухи содержимым, которым может быть как экссудат, так и отёчные мягкие ткани.
- затемнение в нижних отделах с верхним горизонтальным уровнем означает наличие жидкости, экссудата (рис. 8 б).
- пристеночное затемнение, повторяющее контур стенок пазухи, соответствует утолщению слизистой оболочки (рис.8 в).
Если в норме толщина слизистой оболочки в ОНП составляет 120 - 1000 мкм и не видна на рентгенограмме, то при воспалении и аллергическом отёке она может увеличиваться в десятки и сотни раз, давая пристеночное затемнение.
- В пазухе может быть ограниченное затемнение, исходящее из какой-то одной или двух стенок (рис.10 а). В этом случае у него должны быть обозначены форма (округлое, овальное, неправильной формы), размер (в сантиметрах или миллиметрах) и контуры (гладкие или неровные). Подобные ограниченные процессы соответствуют полипам, кистам, опухолям.

Вторая обязательная характеристика затемнения - интенсивность, означает степень задержки рентгеновского луча при прохождении через пазуху. Различают три её степени: малую, среднюю и высокую.
Высокая интенсивность означает полное поглощение рентгеновского излучения в ткани и соответствует костным структурам и рентгеноконтрастным инородным телам. В пазухе затемнение высокой интенсивности сравнивают с интенсивностью рядом расположенных костных образований: зубов, носовых костей. Высокую интенсивность затемнения в пазухах могут давать добавочные (суперкомплект) зубы, остеомы, отломки костей и инородные материалы (дробь, пули, пломбировочный материал, попавший в верхнечелюстную пазуху при лечении пульпита моляров или премоляров верхней челюсти, и т.п.).
Затемнение малой интенсивности соответствует серозному экссудату, отёку слизистой оболочки и выглядит на рентгенограмме лишь немного темнее орбит.
Средней интенсивности затемнение меньше задерживает рентгеновский луч, чем окружающие костные структуры, и соответствует мягкотканным образованиям (ими могут быть опухоли, кисты, полипы) или густому экссудату (гнойному или мукозному).
В разных пазухах могут быть разные патологические процессы и разная степень их выраженности. Например, левосторонний гнойный верхнечелюстной синусит и киста правой лобной пазухи.
Синусит характеризуется утолщением слизистой оболочки пазухи, наличием в ней экссудата, определяющего форму заболевания (гнойный, катаральный, серозный). При катаральном процессе в пазухе отмечается пристеночное затемнение, увеличение отёка может привести к равномерному тотальному затемнению. При экссудативной форме синусита выявляется затемнение в нижних отделах с верхним горизонтальным уровнем (рис. 9). Этот уровень не доходит до костных стенок пазухи при выраженном отёке ее слизистой оболочки.

Интенсивность затемнения может помочь для дифференцирования характера экссудата: средняя интенсивность соответствует гнойному процессу, малая - серозному. При скоплении большого количества экссудата уровень не определяется - затемнение тотальное гомогенное. Это может означать формирование эмпиемы пазухи. Тотальное гомогенное затемнение пазухи малой и средней интенсивности может соответствовать выраженному отёку слизистой оболочки.
Для правильной интерпретации рентгенологической картины важно знать данные клинического обследования: наличие гнойного секрета в полости носа, гипертермии тела, выраженности болевого синдрома. Болевой синдром может быть более выраженным при отёке в пазухе, нежели при её эмпиеме, когда происходит сдавление и гибель нервных окончаний. В подобных трудных случаях прибегают к компьютерной томографии или диагностической пункции пазух.
Дренирование экссудата рентгенологически проявляется восстановлением прозрачности, начиная с верхнемедиального угла верхнечелюстной пазухи и верхнего отдела лобной и клиновидной пазух. После рассасывания или удаления экссудата определяется утолщение слизистой оболочки в виде остаточных пристеночных наслоений, сохраняющихся несколько недель. Особенно это касается верхнечелюстных пазух, в которых уровень жидкости может быть за счет вводимого лекарства при предшествовавшем их дренировании.
В повседневной клинической практике целесообразно производить контрольные рентгенологические исследования непосредственно после окончания лечения только для определения состояния лобных пазух.
Хронический синусит не имеет характерных проявлений, но чаще встречаются продуктивные формы в виде затемнений округлой формы, исходящих из разных стенок пазух, соответствующих полипам, кистам (рис.10 а), гранулёмам. Последние могут быть одонтогенной (зубной) природы.
Большие кисты могут дать тотальное затемнение пазухи, симулирующее её эмпиему. От кисты следует отличать мукоцеле пазухи, не имеющее собственной оболочки и приводящее к растяжению стенок пазухи из-за облитерации её естественного соустья (рис.10 б). При растяжении пазухи воздухом в результате клапанного механизма также отмечается растяжение и истончение стенок, но пневматизация пазухи при этом повышена. При попадании в пазуху инородных тел (пломбировочного материала) возможно формирование вокруг них грибкового тела - мицетомы, имеющей округлые очертания на рентгенограмме (рис. 11).
Компьютерная томография лицевого отдела черепа
Компьютерная томография является основным методом для оценки целостности костей черепа после травмы, обнаружения точной линии перелома, наличия и положения отломков. КТ возможно проводить при наличии металлоконструкций в теле пациента и даже в процессе ИВЛ. Важное преимущество перед МРТ в случае тяжелых черепно-мозговых травм — быстрота проведения процедуры.
Показания к КТ костей лицевого черепа
- травмы костей лицевого черепа;
- подозрение на новообразование (доброкачественные/злокачественные опухоли, метастазы и т.д.);
- уточнение результатов других методов диагностики;
- ушибы, травмы лицевой части головы;
- гидроцефалия.
Что показывает КТ костей лицевого черепа
Особенностью КТ-диагностики является посрезовое сканирование исследуемой зоны с толщиной срезов менее 1 мм. В результате обработки сканов специальными программами, получаются трехмерные КТ-изображения высокого качества.
Во время проведения КТ лицевых костей специалисты могут обнаруживать последствия повреждений черепа, такие как трещины и переломы, а также наличие опухолей в костных тканях, присутствие и распространение метастазов, структурные патологии исследуемой области.
При КТ четко обнаруживаются признаки переломов верхней и нижней челюстей.
Компьютерная томография имеет огромное значение для диагностики изменений глубоких костных структур лица — вершины глазницы.
С помощью компьютерной томографии отчетливо и достоверно устанавливаются признаки разрывных переломов стенок глазниц. Удается детально изучить характер повреждений, так как четко обнаруживаются как повреждения костных стенок, так и мягкотканных структур глазницы зрительного нерва, мышц глаза и самого глазного яблока.
КТ костей лицевого черепа с контрастом
Специальная подготовка к КТ не нужна, чаще всего КТ лицевых костей проводится без контраста. Однако если требуется контрастирование, пациенту следует воздержаться от приема пищи за 4-6 часов до исследования и пить больше воды для ускорения выведения контраста из организма.
Рентгенологическое исследование лицевого скелета включает рентгенографию глазницы и ее содержимого, придаточных пазух носа, прицельные снимки отдельных костей лицевого скелета и снимки зубочелюстного аппарата. Большинство анатомических образований лицевого скелета достаточно четко видно на обзорных снимках черепа в прямой передней и задней проекциях, на снимках в носоподбородочной, подбородочной, носолобной, лобной, боковой и аксиальной проекциях.
Однако для более четкого их выявления, по возможности с минимальной суперпозицией изображения других анатомических структур черепа, предложен ряд специальных прицельных снимков.
С целью детального изучения стенок глазниц и придаточных пазух носа широко используют томографическое исследование.
РЕНТГЕНОГРАФИЯ КОСТНЫХ СТЕНОК ГЛАЗНИЦЫ
Верхняя и наружная стенки глазницы прослеживаются на снимке черепа в боковой проекции.
Для более детального изучения стенок глазницы предложен ряд прицельных снимков.
УКЛАДКИ СНИМОК ГЛАЗНИЦЫ В НОСОПОДБОРОДОЧНОЙ ПРОЕКЦИИ
Назначение снимка. Изучение состояния костей, образующих вход в глазницу, костной структуры верхней и наружной ее стенок.
Укладка больного для выполнения снимка сходна с укладкой для выполнения обзорного снимка в этой же проекции. В данном случае используюткассету размером 13X18 см, располагая ее в кассетодержателе в поперечном положении. Больной прилежит к столу подбородком и кончиком носа,переносье соответствует центру кассеты. Центральный пучок излучениянаправляют на центр кассеты. Фокусное расстояние—100 см.
В этой же укладке может быть выполнен снимок одной (правой или левой) глазницы. В таких случаях центр снимаемой глазницы соответствует центру кассеты, и на него отвесно направляют пучок излучения, используя тубус или диафрагмирование пучка излучения с помощью щелевой диафрагмы. Фокусное расстояние—100 см (рис. 88).
Информативность снимка. На снимке хорошо видны вход в глазницу, структура ее стенок, иногда малое и большое крыло клиновидной кости (рис. 89). На снимке в этой проекции могут быть выявлены деструктивные изменения стенок глазницы и инородные тела в ее полости (рис. 90, 91). Для выявления изменений в области верхней стенки глазницы (например, при
диагностике переломов) снимок целесообразно выполнять не в носоподбородочной, а в подбородочной проекции.
На таких снимках верхняя стенка глазницы проекционно искажается в меньшей степени, и все изменения в ее области видны более отчетливо (см. рис. 54, 55).
На прицельном снимке каждой из глазниц в этой же проекции, как правило, небольшие изменения структуры стенок, а также мелкие инородные тела глаза видны лучше. Такие снимки широко используют в офтальмологической практике (рис. 92).
Критерии правильности технических условий съемки и правильности укладки основываются на четкости выявления костной структуры и симметричности изображения глазниц.
Наиболее частые ошибки при выполнении снимка сводятся к асимметрии положения головы.



СНИМОК ГЛАЗНИЦЫ В НОСОЛОБНОЙ ПРОЕКЦИИ
Назначение снимка — изучение контуров костей, образующих вход в глазницу, структуры верхней и наружной ее стенок, ширины и контуров верхних глазничных щелей, а также выявление инородных тел в полости глазницы.

Укладка больного для выполнения снимка, информативность снимка, критерии правильности технических условий съемки и правильности укладки те же, что для снимка крыльев клиновидной кости и верхних глазничных щелей.
В качестве примера информативности снимка глазниц в носолобной проекции для выявления инородных тел глаза и деструктивных изменений стенок приводим два наблюдения.
Одно из них — случай ранения глаза металлической стружкой (рис. 93), другое — случай деструкции верхненаружного края глазницы при доброкачественной опухоли слезной железы (рис. 94).
СНИМОК ГЛАЗНИЦЫ В БОКОВОЙ ПРОЕКЦИИ
Назначение снимка — отображение наружного края, верхней и нижней стенок глазницы, а также выявления инородных тел, находящихся в ее полости.
Укладка больного для выполнения снимка такая же, как для выполнения снимка черепа в боковой проекции (рис. 95).
Кассету размером 13X18 см устанавливают в кассетодержателе в поперечном положении. Наружный край глазницы соответствует центру кассеты, и на него направляют пучок излучения.
Информативность снимка. На снимке хорошо видна наружная стенка глазницы. Для выявления небольших участков измененной костной структуры других стенок информативность снимка, как правило, невысокая из-за суперпозиции анатомических образований противолежащей стороны лицевого скелета. Хорошо видны на снимке в данной проекции инородные тела (рис. 96).
Критерии правильности технических условий съемки и правильности укладки. Правильность подбора физико-технических условий съемки определяется резкостью изображения контуров костей и четкостью костной структуры.
При правильной укладке контуры верхней и нижней стенки правой и левой глазницы совпадают.
Наиболее частые ошибки при выполнении снимка сводятся к неправильному подбору физико-технических условий съемки.


СНИМОК ГЛАЗНИЦЫ В КОСОЙ ПЕРЕДНЕЙ ПРОЕКЦИИ (СНИМОК ЗРИТЕЛЬНОГО КАНАЛА ПО РЕЗЕ)
Назначение снимка. Основное назначение снимка — получение изображения зрительного канала, Как правило, для оценки ширины и формы канала прибегают к последовательной съемке правой и левой глазницы.
Голову поворачивают в сторону и укладывают таким образом, чтобы к экспонируемой половине кассеты прилегали надбровная дуга, скуловая кость и кончик носа, а в центре ее находилась исследуемая глазница. Срединная сагиттальная плоскость головы образует с плоскостью стола угол в 40—50°, открытый кзади. Кассета размером 18Х 24 см располагается на столе в поперечном положении.
Поочередно экспонируют правую и левую половину кассеты, перекрывая неиспользуемую половину листом просвинцованной резины. На кассету накладывают неподвижную отсеивающую решетку.
Пучок излучения направляют отвесно на наружный угол глаза исследуемой стороны (рис. 97).
Информативность снимка. На снимке отображается зрительный канал, имеющий обычно неправильно-округлую форму с четкими резкими контурами. Видны также вход в глазницу, решетчатые ячейки (рис. 98, а, б). Расширение зрительного канала, возникающее при опухолях зрительного нерва, как правило, может быть достоверно выявлено только путем сравнительного анализа снимков правой и левой глазницы (рис. 99, а, б). Поэтому снимки глазниц в косой проекции по Резе всегда следует производить с обеих сторон.

Критерии правильности технических условий съемки и правильности укладки. На снимке должна быть четко видна структура костей.
Изображение зрительного канала при правильной укладке проецируется вблизи наружной стенки глазницы в виде четкой кольцевидной тени.

Наиболее частые ошибки при выполнении снимка. При неправильном угле наклона головы и неправильной центрации пучка излучения отображение зрительного канала нечеткое. При грубом нарушении правил укладки зрительный канал на снимке неразличим.
РЕНТГЕНОЛОГИЧЕСКОЕ ИССЛЕДОВАНИЕ ГЛАЗА СНИМКИ ГЛАЗА С ПРОТЕЗОМ КОМЬЕРГА- -БАЛТИНА
Назначение снимков — локализация инородных тел в глазу и полости глазницы.
Методика выполнения рентгенограмм глазницы с протезом Комбурга — Балтина. Осуществляют анестезию глаза больного путем закапывания в конъюнктивальный мешок 2% раствора дикаина. Протез Комберга — Балтина соответствующего размера после дезинфекции спиртом вводят под веки исследуемого глаза и устанавливают таким образом, чтобы в его отверстии был виден зрачок, а свинцовые метки по краям протеза соответствовали концам вертикального и горизонтального меридианов глаза («12—6 и 3—9 часов»). Снимок исследуемой глазницы производят в носоподбородочной проекции при фиксации взора вниз на кассету. Затем, не меняя положения протеза, выполняют снимок глазницы в боковой проекции с центрацией пучка излучения на пленку через плоскость лимба глаза. При этом больной фиксирует взор на точке, находящейся прямо перед глазами.
Информативность снимка. При правильно проведенном исследовании(правильное наложение протеза, правильная фиксация взора, технически правильное выполнение снимков) после соответствующих расчетов удается точно локализовать рентгеноконтрастные инородные тела, расположенные в глазу и полости глазницы (рис. 101, а, б).

Критерии правильности технических условий съемки и правильности укладки. На снимке должны быть хорошо видны структура стенок глазницы, наложенный на глазное яблоко протез и свинцовые метки на нем. При правильно наложенном протезе метки, соответствующие концам горизонтального меридиана, на снимке в боковой проекции должны совпадать друг с другом .
Наиболее частые ошибки при выполнении снимка — неправильное наложение протеза и смещение взора во время съемки.
БЕССКЕЛЕТНЫЕ СНИМКИ ПЕРЕДНЕГО ОТДЕЛА ГЛАЗА (ПО ФОГТУ)
Назначение снимков — выявление мелких инородных тел в переднем отделе глазного яблока.
Методика выполнения бесскелетных снимков переднего отделе глаза.
После анестезии глаза 2 % раствором дикаина две овальные, вместе сложенные, специально вырезанные по трафарету рентгенографические пленки размером 4X6 см, завернутые в черную бумагу и вложенные в оболочку из тонкой резины, заводят как можно глубже в конъюнктивальный мешок с носовой стороны и придерживают в этом положении (это делает сам больной).
Иногда пленки фиксируют специальным держателем (рис. 102). Рентгеновскую трубку располагают с височной стороны снимаемого глаза. Пучок рентгеновского излучения направляют кпереди от наружной стенки глазницы на передний отдел глазного яблока перпендикулярно пленке.
Для выполнения снимка в аксиальной проекции пленки вводят под глазное яблоко. Рентгеновская трубка находится над больным. Пучок излучения направляют кпереди от верхнего края глазницы через передний отдел глазного яблока перпендикулярно пленке. Во время съемки взор больного направлен прямо вперед. Для маркировки верхнего и нижнего края пленки при выполнении бокового снимка, а также наружного и внутреннего краяпри выполнении аксиального снимка соответственно к нижнему или к наружному краю пленки прикрепляют металлическую скрепку.
Информативность снимка. На бесскелетном снимке, произведенном в боковой проекции (рис. 103, а) видны верхнее и нижнее веко, роговица и передний отдел глазного яблока. На бесскелетном снимке, выполненном в аксиальной проекции, также определяются роговица и передний отдел глазного яблока и, кроме того, ткань верхнего века (рис. 103, б). Бесскелетные снимки весьма информативны для выявления мелких и мельчайших инородных тел, локализующихся в переднем отделе глаза. Их информативность во много раз превосходит обычные снимки, так как при этом исключена суперпозиция костных стенок глазницы.
С целью определения возможных артефактов на рентгенографической пленке, которые могут симулировать инородные тела глаза, снимки производят одновременно на двух, сложенных вместе пленках. Противопоказаниями к выполнению бесскелетных снимков глаза являются свежие прободные ранения рговицы и склеры.

Снимки следует производить с большой осторожностью при недостаточно окрепших рубцах роговицы.
Критерии правильности технических условий съемки и правильности укладки. При правильно подобранных условиях съемки отчетливо виден контур переднего отдела глазного яблока. Информативность переэкспонированных и перепроявленных снимков резко снижается. Снимки следует производить с минимальной выдержкой с целью исключения динамической
нерезкости.
Наиболее частые ошибки при выполнении снимков — завышение технических параметров съемки, динамическая нерезкость изображения, обусловленная недостаточной фиксацией взора, а также и длительной выдержкой.
КОНТРАСТНЫЕ ИССЛЕДОВАНИЯ ГЛАЗНИЦЫ
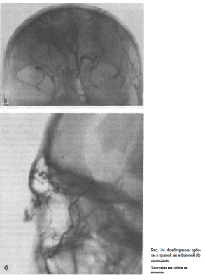
К контрастным исследованиям глазницы прибегают в основном при диагностике опухолей и других объемных процессов в ее полости. Наиболее информативными являются флебография орбиты — контрастирование венозной ее системы — и орбитография — контрастирование ретробульбарного (тенонова) пространства.
При подозрении на сосудистую опухоль в полости глазницы применяют артериографию.
УКЛАДКИ ФЛЕБОГРАФИЯ ОРБИТЫ
Назначение исследования — определение объемного процесса в полости глазницы на основании изменения топографии венозной сети, главным образом верхней глазничной вены.
Методика исследования. Под местной анестезией производят пункцию лобной или лицевой вены. Через иглу вводят полихлорвиниловый катетер с наружным диаметром 0,8—0,9 мм. Катетер фиксируют. Широкой резиновой лентой сдавливают мягкие ткани лба с целью закрытия просвета лобных вен.

Поперечную вену носа и лицевую вену сдавливают с помощью ватных подушечек. После введения 1—2 мл 0,5 % раствора новокаина максимально быстро—за 1—1,5 с—вливают 3—4 мл 50% раствора гипака и производят серию рентгенограмм в задней обзорной и боковой проекциях. Для этого используют специальный ангиографический комплекс, включающий две рентгеновские трубки и две приставки для быстрой смены кассет. При отсутствии такого комплекса после введения контрастного вещества поочередно выполняют прямой и боковой снимки.
Информативность исследования. Топография верхней глазничной вены постоянна. В норме на флебограмме орбиты в боковой проекции верхняя глазничная вена выявляется под верхней ее стенкой. Она имеет плавные изгибы. Часто видны коллатеральные вены, соединяющие ее с нижней глазничной веной, менее постоянной в своей топографии. На флебограмме
орбиты в прямой задней проекции верхняя глазничная вена отображается в форме ромба (рис. 104, а, 6). Отклонение в пробеге верхней глазничной вены, оттеснение ее, а также обрыв, как правило, связаны с объемным процессом в полости глазницы.
ОРБИТОГРАФИЯ
Назначение исследования — выявление объемного процесса в орбите путем контрастирования заглазничного пространства.
Методика исследования. Под местной анестезией вводят иглу через нижнее веко параллельно нижней стенке глазницы на глубину 1,5—2 см, и через нее вливают в теноново пространство 2—3 мл 0,5 % раствора новокаина, а затем 4—5 мл 20 % раствора гипака. Рентгенограммы выполняют через 1 и 10 мин после введения контрастного вещества в прямой (задней) и боковой проекциях.
Информативность исследования. Контрастное вещество равномерно распределяется в жировой клетчатке заглазничного пространства и на снимках в норме имеет типичную конфигурацию: на прямом снимке — форму прямоугольника с закругленными краями и округлым дефектом наполнения в центре в месте прохождения зрительного нерва (рис. 105), а на боковом снимке — конусовидную форму с полусферическим вдавлением в области основания, соответственно заднему полюсу глазного яблока.

При опухолях или других объемных процессах распределение контрастногоещества неравномерное, с наличием дефектов наполнения (рис. 106).
Читайте также:
- Достоинства и недостатки консольных протезов. Особенности
- Ранняя диагностика пороков сердца плода. Точность эхокардиографии у плода
- Тесты на сопротивление в шейном и грудном отделах позвоночника
- Лечение протокового рака in situ молочной железы (DCIS) и ее эффективность
- Аномалии мочеиспускательного канала. Стеноз
