Ушиб среднего уровня головного мозга. Признаки ушиба среднего мозга
Добавил пользователь Евгений Кузнецов Обновлено: 01.02.2026
Что такое сотрясение головного мозга? Причины возникновения, диагностику и методы лечения разберем в статье доктора Попович Анны Мироновны, невролога со стажем в 34 года.
Над статьей доктора Попович Анны Мироновны работали литературный редактор Елизавета Цыганок , научный редактор Роман Люкманов и шеф-редактор Маргарита Тихонова
Определение болезни. Причины заболевания
Сотрясение головного мозга (Brain concussion) — это закрытая травма головы, которая проявляется головными болями, головокружением, тошнотой и рвотой.

Мозг — это главный орган нервной системы, контролирующий работу всего организма. Его защищает оболочка черепа, а также твёрдая и мягкая оболочки, между которыми находится цереброспинальная жидкость (ликвор). Она смягчает повреждение мозга при ударе головы [6] .
Несмотря на такую защиту, процент травм головного мозга остаётся достаточно высоким. Лидирующую позицию среди них занимает сотрясение [6] .
Сотрясение головного мозга не очень опасно по сравнению с другими травмами черепа, так как через 2-3 недели симптомы проходят.
Причины сотрясения мозга
Причиной такой травмы может стать падение, уличная драка, дорожно-транспортное происшествие, занятие определёнными видами спорта (боксом, хоккеем, футболом, фигурным катанием и т. д.).
Также к факторам риска можно отнести пренебрежение правилами безопасности, пожилой и детский возраст.
При обнаружении схожих симптомов проконсультируйтесь у врача. Не занимайтесь самолечением - это опасно для вашего здоровья!
Симптомы сотрясения головного мозга
Ведущим симптомом сотрясения головного мозга является потеря сознания. Причём чем дольше пациент находится без сознания, тем тяжелее сотрясение. Обычно человек приходит в себя в течение 10 минут [1] .
Ещё один важный признак, который помогает определить тяжесть полученной травмы, — потеря памяти. Выделяют три вида так называемой амнезии:
- ретроградная — пострадавший не помнит, что произошло за несколько минут или месяцев до травмы;
- конградная — пострадавший не помнит часть или все события, которые происходили во время острого периода болезни;
- антероградная — после травмы пациент теряет способность запоминать события.
После лечения память восстанавливается. Сначала возвращаются самые яркие эмоциональные впечатления, со временем восстанавливаются и более мелкие детали. Время и объём восстановления памяти зависит от тяжести травмы, а также от некоторых других факторов, например от состояния памяти до травмы [3] .
После того как пациент приходит в себя, появляются следующие симптомы:
- давящие боли в голове;
- головокружение, которое усиливается при смене положения тела;
- спутанность сознания, снижение внимания, растерянность, быстрая смена настроения (может возникнуть позже), иногда дезориентация во времени и пространстве;
- затуманивание зрения, расплывчатость, диплопия (раздвоение предметов); (ритмичные движения глаз);
- звон в ушах;
- невнятная речь;
- заторможенность действий;
- тошнота, рвота;
- фото- и фонофобия (повышенная свето- и звукочувствительность);
- быстрая смена цвета кожи от ярко-красного до бледного, слабость, потливость;
- колебание частоты пульса и артериального давления;
- подъём температуры до 37,5 °С [2] .

Через несколько дней после травмы или раньше возникают отложенные симптомы:
- сонливость, повышенная утомляемость;
- раздражительность, тревожность с возможным развитием эпизода депрессии (постоянная усталость, апатия и тоска) [2] ;
- плохой сон.
Симптомы могут проявляться вместе и по отдельности.
Часто клиническая картина сотрясения головного мозга зависит от возраста пострадавшего. Например, младенцы с черепно-мозговой травмой обычно не теряют сознание. В таких случаях следует обращать внимание на бледность кожи лица, заторможенность, беспокойный сон, рвоту и/или срыгивание после еды. Состояние улучшается через 2-3 дня. У детей дошкольного возраста, а также у пожилых людей симптомы смазаны, поэтому иногда потеря сознания может пройти незаметно.
Любая черепно-мозговая травма нуждается в лечении, поэтому после сотрясения, независимо от тяжести симптомов, необходимо проконсультироваться с травматологом.
Патогенез сотрясения головного мозга
В механизме развития черепно-мозговой травмы играют роль сразу несколько теорий. Например, есть теория, в которой основное значение придаётся расстройству обмена веществ, из-за чего нарушается деятельность нейрональных мембран. Это приводит к повреждению нервных волокон и в конечном итоге нарушает работу центральной нервной системы, после чего развиваются симптомы сотрясения.
Эту теорию подтвердило экспериментальное моделирование черепно-мозговой травмы у лабораторных животных.
Однако самыми распространёнными можно считать следующие: теория градиента давления и ротационная теория.
Теория градиента давления
При ударе или ушибе головы развивается деформация черепа, после чего повышается внутричерепное давление, мозг смещается и движение внутри черепа ускоряется. При этом давление повышается на стороне удара, а на противоположной, наоборот, понижается. Это приводит к тому, что в ткани мозга образуются полости и небольшие газовые пузыри.

Отрицательное давление длится тысячную долю секунды, пузыри также быстро регрессируют. Нарушенное равновесие между давлением в сосудах и в окружающей их мозговой ткани повреждает капилляры и мозговые структуры. Происходит так называемый процесс кавитации, который обуславливает появление симптомов при сотрясении головного мозга.
Эта теория является наиболее распространённой.
Ротационная теория
Получила подтверждение в эксперименте. Было установлено, что при ударе или ушибе головы одновременно в 2-3 плоскостях подвижные отделы мозга начинают вращаться, а зафиксированные стволовые отделы — перекручиваются. При этом некоторые участки мозга смещаются относительно друг друга. Всё это повреждает синапсы, нервные волокна и сосуды головного мозга, что приводит к развитию симптомов сотрясения, в том числе отложенных [8] [11] .

Классификация и стадии развития сотрясения головного мозга
Лёгкая черепно-мозговая травма делится на несколько степеней:
- лёгкая степень — протекает без потери сознания и памяти, с незначительной тошнотой, симптомы проходят в течение получаса;
- средняя степень — проявляется умеренной тошнотой, периодическими головными болями, головокружением, пошатыванием при ходьбе и фотофобией (неприятным ощущением при взгляде на яркий свет);
- тяжёлая степень — характерна утрата сознания до 10 минут, ярко выраженная потеря памяти, сильные головные боли, головокружение, фотофобия, шаткость походки, тошнота, многократная рвота и заторможенность [5] .
Осложнения сотрясения головного мозга
Все последствия черепно-мозговой травмы можно разделить на преходящие (краткосрочные) и отдалённые расстройства.
К преходящим можно отнести все симптомы, которые не прошли через месяц после получения травмы головы. Это головные боли, головокружение, пошатывание при ходьбе, слабость, утомляемость, повышенная потливость, снижение настроения или его перепады, плаксивость, раздражительность, плохой сон [10] .
К отдалённым последствиям, которые могу развиться через несколько месяцев и даже лет после перенесённой черепно-мозговой травмы, можно отнести:
- Посттравматическую эпилепсию — проявляется потерей сознания, судорогами, прикусом языка, пеной изо рта и упусканием мочи. Риск развития посттравматической эпилепсии зависит от тяжести перенесённой черепно-мозговой травмы и наличия повторных сотрясений головного мозга [13] .
- Посткоммоционный синдром — сопровождается утомляемостью, раздражительностью, головокружением, головной болью и апатией. Симптомы усиливаются на фоне психоэмоционального перенапряжения и неправильного режима дня.
- Синдром второго удара — отёк головного мозга. Появляется после повторной черепно-мозговой травмы, когда явления первой ещё не прошли. Проявляется головными болями, головокружением, нарушением речи, тошнотой и рвотой, не приносящими облегчения, снижением остроты зрения, судорогами и потерей сознания разной степени, вплоть до глубокой комы. Отёк головного мозга является неотложным состоянием и требует экстренной госпитализации.
- Синдром внутричерепной гипертензии — проявляется давящими головными болями, тошнотой и рвотой. Эти симптомы возникают ежедневно, могут по несколько раз в день. Иногда усиливаются из-за смены погоды и переутомления.
- Изменения личности — плаксивость, раздражительность, быстрая смена настроения. Обычно такие изменения замечают окружающие, но в тяжёлых случаях пациент также может обратить на это внимание.
Обычно память восстанавливается в течение нескольких недель или месяцев в зависимости от травмы. Однако в некоторых случаях проблемы с памятью остаются. Такие пациенты нуждаются в повторном лечении. В конечном счёте 80 % из них в течение полугода выходят на свой прежний уровень, остальным приходится менять вид деятельности или уменьшить количество рабочих часов [12] .
Диагностика сотрясения головного мозга
Сотрясение головного мозга диагностируют на основе жалоб и данных неврологического осмотра.
При обращении к врачу следует подробно объяснить обстоятельства травмы, механизм её получения, а также описать жалобы. Это поможет врачу быстрее поставить верный диагноз и раньше начать лечение.
В первые часы после сотрясения зрачки сильно сужаются или расширяются, также ухудшается реакция на свет. Полное отсутствие реакции говорит о тяжёлом повреждении мозга.
При осмотре зрачков обращают внимание на анизокорию (разницу в диаметре), которая также может указать на сторону поражения. Например, если повреждён левый зрачок, то нарушена работа правого полушария, и наоборот.

Дифференциальная диагностика
Дифференциальная диагностика основывается на жалобах пациента, истории болезни, данных осмотра, лабораторных и инструментальных исследований.
При сотрясении головного мозга важно исключить другие, более тяжёлые травмы черепа:

При подозрении на сотрясение головного мозга необходимо провести следующие исследования:
- общий анализ крови и мочи — проводят, если поднялась температура, чтобы исключить другие причины её возникновения;
- краниографию (рентгенографию черепа) в двух проекциях — исключает костно-травматические изменения.
Дополнительно может потребоваться:
- эхоэнцефалоскопия — позволяет заподозрить внутримозговую гематому;
- компьютерная томография (КТ) головного мозга — проводят по показаниям при тяжёлой степени сотрясения головного мозга, по её результатам исключают перелом костей черепа, внутримозговые гематомы и посттравматические кровоизлияния в головной мозг [4][9] ;
- консультация окулиста — проводит осмотр глазного дна.
При необходимости пациента консультируют другие специалисты: терапевт осматривает пострадавшего с гипертонией или ишемической болезнью сердца, хирург или травматолог — при подозрении на травму внутренних органов и переломы [5] [10] .
Лечение сотрясения головного мозга
Даже при лёгком сотрясении головного мозга необходима госпитализация в травматологическое отделение. Это позволяет повысить эффективность лечения и улучшить прогноз. Стационарное лечение длится пять суток, после чего пациент проходит амбулаторное лечение у невролога.
Немедикаментозное лечение
В стационаре пациент соблюдает постельный режим. Пострадавший может переворачиваться в постели, сидеть на кровати со свешенными ногами, совершать утренний и вечерний туалет, принимать пищу в постели, однако ему нельзя читать книги, пользоваться мобильным телефоном и компьютером, слушать громкую музыку и смотреть телевизор. Если пациент не соблюдает запрет, симптомы усиливаются и период выздоровления затягивается.
На время лечения пациенту необходимо отказаться от употребления алкоголя, кофе, крепкого чая и энергетиков. При этом в рационе обязательно должны быть гречка, фасоль, яйца, печень, т. е. продукты, содержащие витамины группы В. Также желательно заменить хлеб из муки высшего сорта на хлеб из цельнозерновой муки. Необходимо соблюдать строгий баланс между углеводами, жирами и белками. Усреднённая формула соотношения белков, жиров, углеводов выглядит так:
- белки — 15-20 %;
- жиры — 30 %;
- углеводы — 55-60 %.
Медикаментозное лечение
Лекарства, которые назначают при лечении сотрясения головного мозга, делятся на основные и дополнительные.
К основным относятся:
- обезболивающие — нестероидные противовоспалительные препараты, другие ненаркотические анальгетики;
- препараты, стимулирующие микроциркуляцию и проницаемость капилляров внутреннего уха, а также препараты, которые стабилизируют давление эндолимфы в улитке и лабиринте уха — назначают при головокружении;
- дегидратирующие препараты — против отёков, применяют в течение трёх дней.
Дополнительные:
- сосудистые и метаболические препараты — способ введения зависит от тяжести состояния пострадавшего;
- противорвотные [3][5] .
Прогноз. Профилактика
Если соблюдать все рекомендации лечащего врача, вероятность благоприятного прогноза составляет 90 % [10] . В остальных случаях сохраняются проблемы с памятью и резкая смена настроения, которые со временем также сходят на нет [10] .
Прогноз также зависит от тяжести травмы и других факторов, в том числе от длительности потери сознания.
При черепно-мозговой травме важно сразу обратиться к врачу, пройти назначенный курс лечения и в течение года наблюдаться у невролога, чтобы снизить риск возможных осложнений.
Профилактика сотрясения мозга
Чтобы предупредить сотрясение головного мозга, необходимо соблюдать следующие правила:
Гематома головного мозга - симптомы и лечение
Что такое гематома головного мозга? Причины возникновения, диагностику и методы лечения разберем в статье доктора Яковлева Дмитрия Вячеславовича, нейрохирурга со стажем в 11 лет.
Над статьей доктора Яковлева Дмитрия Вячеславовича работали литературный редактор Вера Васина , научный редактор Сергей Федосов и шеф-редактор Лада Родчанина

Гематома головного мозга — это грозное патологическое состояние, при котором кровь изливается из повреждённого сосуда внутрь черепной коробки. Скапливаясь во внутричерепном пространстве или в веществе головного мозга, кровь сдавливает мозг и повреждает его. Стремительно появляются и прогрессируют неврологические симптомы, столь же быстро, а иногда и молниеносно, гематома приводит к угнетению сознания, вплоть до комы. Данное состояние является тяжёлым и зачастую угрожает жизни, поэтому требует своевременной диагностики и лечения [1] .

Согласно зарубежным источникам:
- ежегодно инсульт головного мозга с формированием гематомы случается у 2400 человек из 1 млн жителей западных развитых стран ;
- из них более 700 человек ежегодно погибает;
- менее половины из этих 2400 человек восстанавливаются и способны полноценно обслуживать себя [11] .
Причины развития гематомы головного мозга:
- Основная — артериальная гипертензия и атеросклеротическая болезнь[2] . Риск инсульта с формированием гематомы среди пациентов с артериальной гипертензией составляет 60 %;
- Пороки развития сосудов головного мозга. К ним относят аневризму (выпячивание стенок мозговых артерий) и артериовенозную мальформацию (патологическое переплетение артерий и вен).

- Опухоли головного мозга, воспалительные заболевания сосудов, нарушения свёртывающей системы крови с повышением кровоточивости.
- Препараты, повышающие кровоточивость: антикоагулянты, антиагреганты и фибринолитики. Эти медикаменты назначают пациентам со склонностью к образованию тромбов и после тяжёлых шунтирующих операций. Приём лекарств необходим, но риск развития гематомы головного мозга при этом возрастает.
- Черепно-мозговые травмы. Гематомы возникают в 55 % всех случаев черепно-мозговых травм и являются причиной 2/3 смертей при данных повреждениях [12] . Травмы мозга — одна из самых частых причин смерти в развитых странах. По статистике они находятся на третьем месте после летальных исходов от сердечно-сосудистых заболеваний и онкологии [7] .
Причины развития гематом головного мозга зависят от возраста пациента:
- у детей — пороки развития сосудов головного мозга и болезни системы крови [3] ;
- у молодых взрослых — артериальная гипертензия, алкогольная и наркотическая интоксикации;
- у лиц среднего и пожилого возраста — артериальная гипертензия, опухоли головного мозга, артериовенозные мальформации и аневризмы.

Симптомы гематомы головного мозга
Гематома головного мозга проявляется различными способами. Симптомы делятся на две группы:
1. Общемозговые — головная боль, головокружение, тошнота или рвота. Вызваны значительным повышением внутричерепного давления.
2. Очаговые — слабость в руке или ноге, нарушение зрения или движений глаз и др. Напрямую зависят от расположения гематомы.
Симптомы острой нетравматической гематомы:
- интенсивная головная боль, вызванная физической нагрузкой, эмоциональным перенапряжением, повышенным артериальным давлением [3] ;
- тошнота, рвота;
- нарушение речи;
- слабость в руке или ноге;
- асимметрия лица;
- крайне важные и тяжёлые признаки — судороги, кратковременная потеря или стойкое угнетение сознания, кома;
- пульсирующий шум в голове, нарушение координации или зрения, икота.
Патогенез гематомы головного мозга
К кровоизлиянию могут приводить травмы и различные заболевания. Однако при патологии всегда повреждается кровеносный сосуд и внутри или снаружи от вещества головного мозга скапливается кровь, для которой в норме нет места. Она сдавливает головной мозг и повреждает его отделы.
При внутримозговом кровоизлиянии гематома может формироваться в больших полушариях головного мозга и мозжечке. Расположение влияет на клиническую картину и косвенно указывает на причину кровоизлияния:
- гематомы, вызванные повышенным артериальным давлением, располагаются в глубоких отделах полушарий головного мозга вблизи таламуса или в мозжечке;

- более поверхностно локализованы гематомы, связанные с разрывом аневризм головного мозга, амилоидной ангиопатией (заболеванием мелких сосудов мозга), длительным приёмом препаратов, влияющих на свёртываемость крови, кавернозной ангиомой (сосудистой опухолью) или кровоизлиянием в опухоль;

- для артериовенозных мальформаций характерно расположение гематомы под корой головного мозга, а также прорыв крови в полость между мозговыми оболочками.

Классификация и стадии развития гематомы головного мозга
Все гематомы головного мозга подразделяются на две группы:
- нетравматические, или спонтанные;
- травматические, возникшие при травме.
По локализации во внутричерепном пространстве выделяют:
- эпидуральные гематомы — располагаются между внутренней поверхностью костей черепа и твёрдой мозговой оболочкой;
- субдуральные — локализованы между твёрдой мозговой оболочкой и веществом головного мозга;
- внутримозговые гематомы — залегают в веществе головного мозга.

По срокам давности гематомы головного мозга подразделяются на три типа:
- острые — обнаружены в течение трёх суток после возникновения;
- подострые — выявлены через 3-21 день после травмы;
- хронические — после травмы и появления гематомы прошло более 21 дня.
Врач может определить приблизительный возраст гематомы по снимкам компьютерной и магнитно-резонансной томографии (КТ и МРТ). От срока давности зависит выбор методов лечения.
По глубине расположения гематомы делятся на два вида:
- поверхностные (подкорковые);
- глубокие (в центральных отделах полушария).
Внутримозговые кровоизлияния, приводящие к гематомам, разделяют на две группы:
- первичные, вызванные артериальной гипертензией (70-90 % всех внутримозговых гематом) [9] ;
- вторичные, связанные с нарушениями свёртываемости крови, сосудистой патологией и кровоизлиянием в опухоль.
Существует два механизма развития кровоизлияния:
- излившаяся кровь расслаивает вещество головного мозга и формирует полость с жидкой средой и кровяными свёртками;
- кровь пропитывает вещество мозга, перемешиваясь с ним.
Осложнения гематомы головного мозга
Внутричерепная гематома как частое последствие черепно-мозговых травм вызывает ряд нарушений, связанных с работой мозга. Так как череп является замкнутой жёсткой костной структурой, он не способен растягиваться и увеличиваться в объёме. Поэтому образовавшееся внутри черепной коробки скопление крови давит на головной мозг, спинномозговую жидкость и сосуды головного мозга, вытесняя и занимая их место. Именно из-за этого состояние пациента осложняется ещё сильнее [4] [5] .

Вне зависимости от того, вызвана гематома травмой или заболеванием, проявление патологии схожее. Гематома вызывает следующие нарушения:
- Двигательные и чувствительные нарушения, например в ногах и руках. Возникают вследствие ограниченного проведения нервных импульсов.
- Гибель клеток мозга и отёк в результате сдавления сосудов головного мозга, ухудшения кровоснабжения и оттока крови.
- Смещение участков головного мозга.
- Повышение внутричерепного давления.
- Нарушение движения спинномозговой жидкости внутри черепа.
- Самое опасное последствие — вклинение ствола головного мозга в большое затылочное отверстие. Это приводит к остановке дыхания и сердечно-сосудистой деятельности.
Все вышеперечисленные процессы взаимосвязаны и влияют друг на друга. Последствия различаются в зависимости от объёма гематомы, расположения, наличия прорыва крови в желудочковую систему, нарушения циркуляции спинномозговой жидкости и других факторов. В самом худшем варианте — это смерть.
Часто после травмы головы с повреждением сосудов гематома развивается в течение трёх часов. Однако известны случаи отсроченных гематом, возникших через 72 часа. Невозможно точно указать время, когда гематома начнёт ухудшать состояние пациента, так как это зависит от её объёма. Малые гематомы, расположенные вне зон, регулирующих деятельность мышц и органов чувств, могут остаться незамеченными без проведения КТ и МРТ исследований.
Диагностика гематомы головного мозга
Как правило, пациенты или их родственники (если пациент находится в бессознательном состоянии) сперва сталкиваются не с неврологом или нейрохирургом, а с врачом скорой помощи, общей практики или терапевтом. Врач предполагает наличие внутричерепного кровоизлияния на основании состояния пациента, жалоб и сведений, полученных от него и сопровождающих лиц. В некоторых случаях определить гематому оказывается сложной задачей, и дальнейшую диагностику проводят врач-невролог или нейрохирург.
Для определения степени поражения головного мозга невролог и нейрохирург проводят оценку неврологического статуса (осмотр, проверка рефлексов). После этого подбирается тактика лечения.
Для подтверждения или опровержения гематомы, определения её расположения, сроков появления, размеров, степени сдавления головного мозга применяют методы нейровизуализации:
- Бесконтрастная компьютерная томография (КТ) — достоверный способ диагностики острых гематом головного мозга. КТ позволяет распознать гематому, её объём, воздействие на различные структуры головного мозга. На основании снимков КТ нейрохирург определяет тактику и объём оперативного вмешательства. Большинство стационаров, особенно оказывающих экстренную помощь, оснащены КТ аппаратами. Однако в хронической стадии и при пороках сосудов головного мозга без кровоизлияния КТ может не предоставить врачу нужной информации. В этих случаях применяют МРТ [8] .
- Магнитно-резонансная томография (МРТ) позволяет более подробно рассмотреть мягкотканные структуры. Поэтому в случае затруднений при диагностике, несмотря на проведённое КТ исследование, врач может назначить МРТ.

- Церебральная ангиография (золотой стандарт визуализации аневризм головного мозга [10] ), магнитно-резонансная ангиография (МРА) или КТ-ангиография дополняют МРТ исследования для определения патологии сосудов головного мозга. Преимущество КТ-ангиографии — возможность получить 3D-модель сосудов головного мозга и определить расположение относительно сосудистых или костных структур.
Ранее для диагностики широко применяли люмбальную пункцию. Однако этот метод имеет существенные недостатки и постепенно вытесняется вышеперечисленными, хотя в лечебных учреждениях, не оснащённых КТ и МРТ аппаратурой, применяется до сих пор.
Лечение гематомы головного мозга
Выделяют два вида лечения: консервативное и хирургическое.
Консервативное лечение
Методы консервативного (медикаментозного) лечения нормализуют жизненные функции организма:
- поддерживают артериальное давление на необходимом уровне: так, чтобы кровоснабжение головного мозга сохранялось, но объём гематомы при этом не увеличивался;
- воздействуют на свёртывающую систему крови;
- предотвращают и устраняют отёки;
- укрепляют сосудистую стенку.
Это крайне важный и ответственный этап лечения. Все мероприятия проводит врач, глубоко анализируя патогенетические процессы в организме человека. Многие методы основаны на лабораторных данных. Консервативную терапию ни в коей мере не могут контролировать или регулировать родственники либо сочувствующие лица из-за отсутствия у них этих знаний. Например снижение давления при гипотензивной терапии не должно быть резким. Его понижают до уровня, который не совпадает с показателями нормы для здорового человека. Давление поддерживают в определённых пределах: оно не должно быть слишком высоким, но и слишком низким. Это позволяет снизить риск продолжения кровоизлияния и сохранить адекватное кровенаполнение головного мозга для его защиты от вторичного повреждения из-за кислородного голодания.
Консервативные методы применяют для лечения в следующих случаях:
- гематомы небольших размеров и не оказывают значительного давления на мозг;
- гематомы не вызывают смещение структур головного мозга, грубого угнетения сознания, сопровождаются умеренными неврологическими нарушениями.
Хирургическое лечение
Хирургическое лечение заключается в механическом удалении гематомы. В результате прекращается давление гематомы на мозг.

Применяют несколько методов хирургичекого удаления внутримозговых гематом:
- Пункционный метод — выкачивание жидкой части гематомы (аспирация) через отверстие. Однако удалить всю гематому таким способом невозможно, так как обычно она на 80 % состоит из кровяных сгустков, а жидкий компонент составляет 20 % и меньше. Метод применяют только при тяжёлой форме заболевания для спасения жизни. Если после операции состояние пациента не улучшается, то используют радикальные методы удаления.
- Открытый метод — традиционный способ удаления гематомы путем создания отверстия в костной ткани черепа (трепанации), рассечения участка мозга (энцефалотомии) и аспирации отсосом как жидкой крови, так и её сгустков. Метод позволяет полностью удалить гематому. Однако сопровождается дополнительной хирургической травмой мозга, что приводит к нарастанию отёка, усилению смещения и деформации структур мозга и нередко вызывает повторное кровоизлияние.
- Эндоскопический метод — перспективная технология удаления внутримозговых гематом. Совмещает низкую травматичность пункционного метода с возможностью полного удаления гематомы. Но метод можно применять только при условии прозрачности среды в зоне операции. Например, при кровотечении проведение операции затруднено, а часто и невозможно.
- Стереотаксический метод — проводят при помощи специальных инструментов, погружённых в головной мозг через отверстие диаметром 5-10 мм. Особенность метода — перенос координат гематомы с помощью компьютерной томографии или рентгенографии. Технология уменьшила летальность глубоких гематом на 22 % в сравнении с консервативными методами лечения. Однако в 10-16 % случаев возможны повторные кровоизлияния в первые несколько суток после операции.
- Нейронавигационный метод — применяют нейронавигационные системы: ОртiсаI Тracking System «Radionics Inc» Compass Cygnus PFS System, «Compass» Vectorvision ВrаinLАВ. Метод с высокой точностью определяет расположение гематомы. Технология особенно эффективна при очагах в функционально значимых зонах мозга. Её широкое применение пока невозможно из-за высокой стоимости оборудования и ограниченного опыта операций у врачей [13] .
Тактика оперативного вмешательства, его объём, меры для устранения сдавления головного мозга, сроки проведения операции и многое другое зависят от конкретной ситуации. Решение принимает врач-нейрохирург на основании состояния пациента, лабораторных данных и КТ/МРТ снимков.
Гематома головного мозга — это результат патологических изменений в организме, которые формируются постепенно под влияние различных причин. Поэтому прогноз в каждом конкретном случае будет различаться [3] .
Исход во многом зависит от объёма и расположения гематомы. Быстрое ухудшение состояния с угнетением сознания является негативным признаком. Согласно зарубежным источникам, гематомы головного мозга в 55 % случаев приводят к значительному ухудшению состояния пациента и смерти [6] . Поэтому очень важно незамедлительно доставить пациента в специализированный стационар и оказать медицинскую помощь.
После выздоровления могут остаться последствия повреждения мозговой ткани: слабость в руке или ноге, когнитивные расстройства (нарушение мышления, памяти, снижение критики к своему состоянию и поведению).
Профилактика заболевания заключается в здоровом образе жизни в любом возрасте и внимательном отношении к своему состоянию в случае уже имеющихся болезней. Нередко пациенты с артериальной гипертензией не посещают кардиолога и терапевта, не контролируют уровень давления и показатели крови. Пациенты с сахарным диабетом зачастую игнорируют рекомендации эндокринолога, способствуя ухудшению своего состояния. Конечно, длительный приём препаратов и соблюдение диеты могут быть психологическим испытанием для человека, но это важный шаг к сохранению своего здоровья.
Черепно-мозговая травма (ЧМТ)
Черепно-мозговая травма — это повреждение костей черепа и/или мягких тканей (мозговые оболочки, ткани мозга, нервы, сосуды). По характеру травмы различают закрытую и открытую, проникающую и непроникающую ЧМТ, а также сотрясение или ушиб головного мозга. Клиническая картина черепно-мозговой травмы зависит от ее характера и тяжести. Основными симптомами являются головная боль, головокружение, тошнота и рвота, потеря сознания, нарушение памяти. Ушиб головного мозга и внутримозговая гематома сопровождаются очаговыми симптомами. Диагностика черепно-мозговой травмы включает анамнестические данные, неврологический осмотр, рентгенографию черепа, КТ или МРТ головного мозга.
МКБ-10

Общие сведения

Причины
По генезу и механизму возникновения ЧМТ бывает первичная (воздействию на мозг травмирующей механической энергии не предшествует какая-либо церебральная или внецеребральная катастрофой) и вторичная (воздействию травмирующей механической энергии на мозг предшествует церебральная или внецеребральная катастрофа). ЧМТ у одного и того же пациента может происходить впервые или повторно (дважды, трижды).
- Первичные поражения - это очаговые ушибы и размозжения мозга, диффузные аксональные повреждения, внутричерепные гематомы, разрывы ствола, множественные внутримозговые геморрагии, возникшие вследствие механической травмы головы.
- Вторичные поражения возникают в результате действия вторичных внутричерепных факторов (отсроченных гематом, нарушений ликворо- и гемоциркуляции вследствие внутрижелудочкового или субарахноидального кровоизлияния, отека мозга, гиперемии и др.) или вторичных внечерепных факторов (артериальная гипертензия, гиперкапния, гипоксемия, анемия и др.)
Классификация
Классификация ЧМТ основывается на ее биомеханике, виде, типе, характере, форме, тяжести повреждений, клинической фазе, периоде лечения, а также исходе травмы.
По биомеханике различают следующие виды ЧМТ:
- ударно-противоударная (ударная волна распространяется от места полученного удара и проходит через мозг к противоположной стороне с быстрыми перепадами давления);
- ускорения-замедления (перемещение и ротация больших полушарий по отношению к более фиксированному стволу мозга);
- сочетанная (одновременное воздействие обоих механизмов).
По виду повреждения:
- очаговые (характеризуются локальными макроструктурными повреждениями мозгового вещества за исключением участков разрушений, мелко- и крупноочаговых кровоизлияний в области удара, противоудара и ударной волны);
- диффузные (натяжение и распространение первичными и вторичными разрывами аксонов в семиовальном центре, мозолистом теле, подкорковых образованиях, стволе мозга);
- сочетанные (сочетание очаговых и диффузных повреждений головного мозга).
По своему типу ЧМТ классифицируются на:
- закрытую — повреждения, не нарушившие целостность кожных покровов головы; переломы костей свода черепа без повреждения прилежащих мягких тканей или перелом основания черепа с развившейся ликвореей и кровотечением (из уха или носа);
- открытую непроникающую ЧМТ — без повреждения твердой мозговой оболочки и открытую проникающую ЧМТ — с повреждением твердой мозговой оболочки.
Кроме этого выделяют изолированную (отсутствие каких-либо внечерепных повреждений), сочетанную (внечерепные повреждения в результате механической энергии) и комбинированную (одновременное воздействие различных энергий: механической и термической/лучевой/химической) черепно-мозговую травму.
По тяжести ЧМТ делят на 3 степени: легкую, средней тяжести и тяжелую. При соотнесении этой рубрикации со шкалой комы Глазго легкую черепно-мозговую травм оценивают в 13-15, среднетяжелую - в 9-12, тяжелую - в 8 баллов и менее. Легкая черепно-мозговая травма соответствует сотрясению и ушибу мозга легкой степени, среднетяжелая — ушибу мозга средней степени, тяжелая — ушибу мозга тяжелой степени, диффузному аксональному повреждению и острому сдавлению мозга.
Течение ЧМТ разделяется на 3 базисных периода: острый, промежуточный и отдаленный. Временная протяженность периодов течения черепно-мозговой травмы варьирует в зависимости от клинической формы ЧМТ: острый - 2-10 недель, промежуточный - 2-6 месяцев, отдаленный при клиническом выздоровлении - до 2 лет.
Сотрясение головного мозга
Симптомы
Угнетение сознания (до уровня сопора) при сотрясении мозга может продолжаться от нескольких секунд до нескольких минут, но может и отсутствовать вовсе. На непродолжительный период времени развивается ретроградная, конградная и антероградная амнезия. Непосредственно после черепно-мозговой травмы возникает однократная рвота, дыхание учащается, но вскоре приходит в норму. Также приходит в норму и артериальное давление, за исключением тех случаев, когда анамнез отягощен гипертензией. Температура тела при сотрясении мозга сохраняется в норме.
Когда пострадавший приходит в сознание, возникают жалобы на головокружение, головную боль, общую слабость, появление холодного пота, приливы крови к лицу, шум в ушах. Неврологический статус на данной стадии характеризуется мягкой асимметрией кожных и сухожильных рефлексов, мелким горизонтальным нистагмом в крайних отведениях глаз, легкими менингиальными симптомами, которые исчезают в течение первой недели. При сотрясении головного мозга в результате черепно-мозговой травмы через 1,5 - 2 недели отмечается улучшение общего состояния пациента. Возможно сохранение некоторых астенических явлений.
Диагноз
Распознавание сотрясения головного мозга — непростая задача для невролога или травматолога, так как основными критериями его диагностирования являются составляющие субъективной симптоматики в отсутствие каких-либо объективных данных. Необходимо ознакомиться с обстоятельствами травмы, используя для этого информацию, имеющуюся у свидетелей происшедшего. Большое значение имеет обследование у отоневролога, с помощью которого определяют наличие симптомов раздражения вестибулярного анализатора в отсутствие признаков выпадения.
По причине мягкой семиотики сотрясения головного мозга и возможности возникновения подобной картины в результате одной из многих дотравматических патологий, особое значение в диагностике придается динамике клинических симптомов. Обоснованием диагноза «сотрясение мозга» является исчезновение таких симптомов через 3-6 суток после получения черепно-мозговой травмы. При сотрясении мозга отсутствуют переломы костей черепа. Состав ликвора и его давление сохраняются в норме. На КТ головного мозга не определяются внутричерепные пространства.
Лечение
Если пострадавший с черепно-мозговой травмой пришел в себя, в первую очередь ему необходимо придать удобное горизонтальное положение, голова должна быть чуть приподнята. Пострадавшему с черепно-мозговой травмой, находящемуся в бессознательном состоянии, необходимо придать т. н. «спасительное» положение — уложить его на правый бок, лицо должно быть повернуто к земле, левые руку и ногу согнуть под прямым углом в локтевом и коленном суставах (если исключены переломы позвоночника и конечностей). Такое положение способствует свободному прохождению воздуха в легкие, предотвращая западение языка, попадание рвотных масс, слюны и крови в дыхательные пути. На кровоточащие раны на голове, если таковые имеются, наложить асептическую повязку.
Всех пострадавших с черепно-мозговой травмой в обязательном порядке транспортируют в стационар, где после подтверждения диагноза устанавливают им постельным режим на срок, который зависит от клинических особенностей течения заболевания. Отсутствие признаков очаговых поражений головного мозга на КТ и МРТ головного мозга, а также состояние пациента, позволяющее воздержаться от активного медикаментозного лечения, позволяют решить вопрос в пользу выписки пациента на амбулаторное лечение.
При сотрясении головного мозга не применяют чрезмерно активного медикаментозного лечения. Его основные цели — нормализация функционального состояние головного мозга, купирование головной боли, нормализация сна. Для этого используют анальгетики, седативные средства (как правило, таблетированных форм).
Ушиб головного мозга
Для ушиба мозга легкой степени характерна утрата сознания после травмы до нескольких десятков минут. После восстановления сознания появляются жалобы на головную боль, головокружение, тошноту. Отмечают ретроградную, конградную, антероградную амнезию. Возможна рвота, иногда с повторами. Жизненно важные функции, как правило, сохраняются. Наблюдается умеренная тахикардия или брадикардия, иногда повышение артериального давления. Температура тела и дыхание без существенных отклонений. Мягко выраженные неврологические симптомы регрессируют через 2-3 недели.
Утрата сознания при ушибе мозга средней степени может длиться от 10-30 минут до 5-7 часов. Сильно выражена ретроградная, конградная и антероградная амнезия. Возможна многократная рвота и сильная головная боль. Нарушены некоторые жизненно важные функции. Определяется брадикардия или тахикардия, повышение АД, тахипноэ без нарушения дыхания, повышение температуры тела до субфебрильной. Возможно проявление оболочечных признаков, а также стволовых симптомов: двусторонние пирамидные признаки, нистагм, диссоциация менингеальных симптомов по оси тела. Выраженные очаговые признаки: глазодвигательные и зрачковые нарушения, парезы конечностей, расстройства речи и чувствительности. Они регрессируют через 4-5 недель.
Ушиб мозга тяжелой степени сопровождается потерей сознания от нескольких часов до 1-2 недель. Нередко он сочетается с переломами костей основания и свода черепа, обильным субарахноидальным кровоизлиянием. Отмечаются расстройства жизненно важных функций: нарушение дыхательного ритма, резко повышенное (иногда пониженное) давление, тахи- или брадиаритмия. Возможна блокировка проходимости дыхательных путей, интенсивная гипертермия.
Очаговые симптомы поражения полушарий зачастую маскируются за выходящей на первый план стволовой симптоматикой (нистагм, парез взора, дисфагия, птоз, мидриаз, децеребрационная ригидность, изменение сухожильных рефлексов, появление патологических стопных рефлексов). Могут определяться симптомы орального автоматизма, парезы, фокальные или генерализованные эпиприступы. Восстановление утраченных функций идет тяжело. В большинстве случаев сохраняются грубые остаточные двигательные нарушения и расстройства психической сферы.
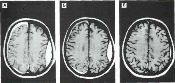
Методом выбора при диагностике ушиба головного мозга является КТ головного мозга. На КТ определяют ограниченную зону пониженной плотности, возможны переломы костей свода черепа, субарахноидальное кровоизлияние. При ушибе мозга средней степени тяжести на КТ или спиральной КТ в большинстве случаев выявляют очаговые изменения (некомпактно расположенные зоны пониженной плотности с небольшими участками повышенной плотности).
При ушибе тяжелой степени на КТ определяются зоны неоднородного повышения плотности (чередование участков повышенной и пониженной плотности). Перифокальный отек головного мозга сильно выражен. Формируется гиподенсивная дорожка в область ближайшего отдела бокового желудочка. Через нее происходит сброс жидкости с продуктами распада крови и мозговой ткани.
Диффузное аксональное повреждение головного мозга
Для диффузного аксонального повреждения головного мозга типично длительное коматозное состояние после черепно-мозговой травмы, а также ярко выраженные стволовые симптомы. Коме сопутствует симметричная либо асимметричная децеребрация или декортикация как спонтанными, так и легко провоцируемыми раздражениями (например, болевыми). Изменения мышечного тонуса весьма вариабельны (горметония или диффузная гипотония). Типично проявление пирамидно-экстрапирамидных парезов конечностей, в том числе асимметричные тетрапарезы.
Кроме грубых нарушений ритма и частоты дыхания проявляются и вегетативные расстройства: повышение температуры тела и артериального давления, гипергидроз и др. Характерной особенностью клинического течения диффузного аксонального повреждения мозга является трансформация состояния пациента из продолжительной комы в транзиторное вегетативное состояние. О наступлении такого состояния свидетельствует спонтанное открывание глаз (при этом отсутствуют признаки слежения и фиксации взора).
КТ-картина диффузного аксонального поражения мозга характеризуется увеличением объема мозга, в результате которого под сдавлением находятся боковые и III желудочки, субарахноидальные конвекситальные пространства, а также цистерны основания мозга. Нередко выявляют наличие мелкоочаговых геморрагий в белом веществе полушарий мозга, мозолистом теле, подкорковых и стволовых структурах.
Сдавление головного мозга
Сдавление головного мозга развивается более чем в 55% случаев черепно-мозговой травмы. Чаще всего причиной сдавления головного мозга становится внутричерепная гематома (внутримозговая, эпи- или субдуральная). Опасность для жизни пострадавшего представляют стремительно нарастающие очаговые, стволовые и общемозговые симптомы. Наличие и продолжительность т. н. «светлого промежутка» — развернутого или стертого — зависит от степени тяжести состояния пострадавшего.
На КТ определяют двояковыпуклую, реже плоско-выпуклую ограниченною зону повышенной плотности, которая примыкает к своду черепа и локализируется в пределах одной или двух долей. Однако, если источников кровотечения несколько, зона повышенной плотности может быть значительного размера и иметь серповидной форму.
Диагностика
При поступлении в реанимационное отделение пациента с черепно-мозговой травмой необходимо провести следующие мероприятия:
- Осмотр тела пострадавшего, во время которого обнаруживают либо исключают ссадины, кровоподтеки, деформации суставов, изменения формы живота и грудной клетки, крово- и/или ликворотечение из ушей и носа, кровотечение из прямой кишки и/или уретры, специфический запах изо рта.
- Всестороннее рентгеновское исследование: череп в 2-х проекциях, шейный, грудной и поясничный отдел позвоночника, грудная клетка, кости таза, верхних и нижних конечностей.
- УЗИ грудной клетки, УЗИ брюшной полости и забрюшинного пространства.
- Лабораторные исследования: общий клинический анализ крови и мочи, биохимический анализ крови (креатинин, мочевина, билирубин и т. д.), сахар крови, электролиты. Данные лабораторные исследования необходимо проводить и в дальнейшем, ежедневно.
- ЭКГ (три стандартных и шесть грудных отведений).
- Исследование мочи и крови на содержание алкоголя. В случае необходимости проводят консультацию токсиколога.
- Консультации нейрохирурга, хирурга, травматолога.
Обязательным методом обследования пострадавших с черепно-мозговой травмой является компьютерная томография. Относительными противопоказаниями к ее проведению могут служить геморрагический или травматический шок, а также нестабильная гемодинамика. С помощью КТ определяют патологический очаг и его расположение, количество и объем гипер- и гиподенсивных зон, положение и степень смещения срединных структур головного мозга, состояние и степень повреждения головного мозга и черепа.
При подозрении на менингит показано проведение люмбальной пункции и динамического исследования ликвора, которое позволяет контролировать изменения воспалительного характера его составе.
Неврологический осмотр пациента с черепно-мозговой травмой следует проводить каждые 4 часа. Для определения степени нарушения сознания используют шкалу комы Глазго (состояние речи, реакция на боль и способность открывать/закрывать глаза). Кроме того, определяют уровень очаговых, глазодвигательных, зрачковых и бульбарных расстройств.
Лечение черепно-мозговой травмы
Консервативная терапия
Пострадавшему с нарушением сознания 8 баллов и менее по шкале Глазго показана интубация трахеи, благодаря которой поддерживается нормальная оксигенация. Угнетение сознания до уровня сопора или комы — показание к проведению вспомогательной или контролируемой ИВЛ (не менее 50% кислорода). С ее помощью поддерживается оптимальная церебральная оксигенация.
Пациенты с тяжелой черепно-мозговой травмой (выявленные на КТ гематомы, отек мозга и т. д.) нуждаются в мониторинге внутричерепного давления, которое необходимо поддерживать на уровне ниже 20 мм рт.ст. Для этого назначают маннитол, гипервентиляцию, иногда — барбитураты.
Для профилактики септических осложнений применяют эскалационную или деэскалационную антибактериальную терапию. Для лечения посттравматических менингитов используют современные противомикробные препараты, разрешенные для эндолюмбального введения (ванкомицин).
Питание пациентов начинают не позже 3 трех суток после ЧМТ. Его объем увеличивают постепенно и в конце первой недели, прошедшей со дня получения черепно-мозговой травмы, он должен обеспечивать 100% калорическую потребность пациента. Способ питания может быть энтеральным или парентеральным. Для купирования эпилептических приступов назначают противосудорожные препараты с минимальным титрованием дозы (леветирацетам, вальпроаты).
Показанием к операции служит эпидуральная гематома объемом свыше 30 см³. Доказано, что метод, обеспечивающий максимально полную эвакуацию гематомы — транскраниальное удаление. Острая субдуральная гематома толщиной свыше 10 мм также подлежит хирургическому лечению. Пациентам в коме удаляют острую субдуральную гематому с помощью краниотомии, сохраняя или удаляя костный лоскут. Эпидуральная гематома объемом более 25 см³ также подлежит обязательному хирургическому лечению.
Прогноз
Сотрясение головного мозга — преимущественно обратимая клиническая форма черепно-мозговой травмы. Поэтому более чем в 90% случаев сотрясения головного мозга исходом заболевания становится выздоровление пострадавшего с полным восстановлением трудоспособности. У части пациентов по прошествии острого периода сотрясения головного мозга отмечают те или иные проявления посткоммоционного синдрома: нарушения когнитивных функций, настроения, физического благополучия и поведения. Через 5-12 месяцев после черепно-мозговой травмы эти симптомы исчезают или существенно сглаживаются.
Прогностическую оценку при тяжелой черепно-мозговой травме проводят при помощи шкалы исходов Глазго. Уменьшение общего кол-ва баллов по шкале Глазго повышает вероятность неблагоприятного исхода заболевания. Анализируя прогностическую значимость возрастного фактора, можно сделать вывод о его существенном влиянии как на инвалидизацию, так и на летальность. Сочетание гипоксии и артериальной гипертензии является неблагоприятным фактором прогноза.

Ушиб головного мозга является одной из клинических форм черепно-мозговой травмы. По степени тяжести выделяют ушиб головного мозга легкой, средней и тяжелой степени.
Клиническая картина
Ушиб головного мозга легкой степени характеризуется утратой сознания после травмы от нескольких десятков минут до нескольких часов. После восстановления сознания типичны жалобы на головную боль, головкружение, тошноту. Возможна амнезия. Возникает рвота, иногда повторная. Возможна умеренная брадикардия или тахикардия, иногда артериальная гипертнезия. Неврологическая симптоматика обычно мягкая, регрессирует в течение 2-3 недель.
Ушиб головного мозга средней степени тяжести характеризуется выключением сознания после травмы от нескольких десятков минут до нескольких часов. Выражена амнезия на текущие или предшествующие травме события. Головная боль нередко сильная. Возможна многократная рвота. Встречают нарушения психики. Нередко отмечают преходящие расстройства жизненно важных функций- бради- или тахикардия, повышение АД, тахипноэ, повышение температуры тела. Улавливают стволовые симптомы: нистагм, двусторонние пирамидные знаки и др. Отчетливо проявляется очаговая симптоматика (зависящая от локализации ушиба мозга): зрачковые и глазодвигательные нарушения, парезы конечностей, расстройства чувствительности, речи и т.д. Эти очаговые знаки постепенно (в течение 3-5 нед.) сглаживаются, но могут держаться и длительно. Нередко диагностируют переломы костей свода и основания черепа, а также значительное субарахноидальное кровоизлияние.
Ушиб головного мозга тяжелой степени характеризуется выключением сознания после травмы продолжительностью от нескольких часов до нескольких недель. Часто выражено двигательное возбуждение. Возникают тяжелые угрожающие нарушения жизненно важных функций. Выражена гипертермия. Часто доминирует первично-стволовая неврологическая симптоматика( плавающие движения глазных яблок, парезы взора, нарушения глотания, меняющийся мышечный тонус, и др.). Возможны парезы конечностей (вплоть до параличей), подкорковые нарушения мышечного тонуса и др. Иногда возникают судорожные припадки. Общемозговые и очаговые симптомы регрессируют медленно, часты грубые остаточные явления. Часто сопровождается переломами свода и основания черепа, а также обширным субарахноидальным кровоизлиянием.
Диагностика
- Компьютерная томография головного мозга
- Исследование ликвора (поясничная пункция)- при отсутсвии дислокационной симптоматики
- Неврологический осмотр-определяют степень нарушения сознания по состоянию речи, реакции на боль и открыванию глаз. (по шкале комы Глазго)
Принципы лечения
Наиболее важным критерием для определения тактики лечения является степень тяжести ЧМТ.
- Первичная помощь- приоритетное значение имеют мероприятия, направленные на восстановление и поддержание жизненно важных функций: дыхания и кровообращения.
- Мониторинг и коррекция внутричерепного давления показан больным с тяжелым ушибом головного мозга
- Доказано, что с уменьшением общего количества баллов по шкале комы Глазго увеличивается вероятность неблагоприятных исходов.
- При анализе прогностической значимости возрастного фактора было показано, что он существенно влияет как на летальность, так и на инвалидизацию при ЧМТ.
- Доказано, что артериальная гипотензия( АД ниже 90 мм.рт.мт ) особенно в сочетании с гипоксией- неблагоприятный фактор прогноза.
При ушибах мозга, вызывающих прогрессивное ухудшение неврологического статуса, стойкую внутричерепную гипертензию, рефрактерную к консервативному лечению показано оперативное лечение.Также хирургическое лечение показано больным в коме с очагами ушибов в лобных и височных долях объемом более 20см3, если смешение среденных структур составляет 5 мм и более, а так же если объем очага ушиба превышает 50см3.
Декомпрессивные операции, включающие подвисочную декомпрессию, височную лобэктомию, гемикраниоэктомию, могут быть показаны при стойкой внутричерепной гипертензии и диффузных паренхиматозных повреждениях у больных с клиническими и томографическими признаками тенториального вклинения.
Читайте также:
- Техника, этапы операции большеберцово-таранно-пяточного артродеза с фиксацией ретроградным интрамедуллярным стержнем
- Рекомендации по удалению матки (гистерэктомии) при раке эндометрия
- Нейрома и нейрофиброма конъюнктивы: признаки, гистология, лечение, прогноз
- УЗ-признаки геморрагической кисты щитовидной железы
- Техника тимпанопластики без разреза кожи наружного слухового прохода
