Установка и фиксация центральной окклюзии. Высота центральной окклюзии.
Добавил пользователь Владимир З. Обновлено: 13.12.2025
Центрофикс представляет собой стоматологическое устройство для установления соотношения верхней и нижней челюсти (окклюзии) пациента. Диагностический аппарат используют в ортодонтических, ортопедических целях, для диагностики патологий и зубопротезирования. Прибор был создан в европейской лаборатории AmannGirrbach (Австрия).
Общие сведения
Под окклюзией в стоматологии подразумевают взаимодействие компонентов зубочелюстного аппарата. К нему относятся мышцы лица (круговые, жевательные), височно-нижнечелюстной сустав, зубы и другие отделы. В общепринятом значении окклюзией называют плоскость смыкания обеих челюстей - взаимодействие нижнего и верхнего зубного рядов.
При неверном смыкании зубных поверхностей жевательная нагрузка распределяется неравномерно, что приводит к дефектам прикуса.
Симптомами дизокклюзии выступают:
- проблемы в процессе пережевывания;
- щелчки при открывании нижней челюсти;
- головные боли;
- чувство трения при движении челюстей;
- дискомфортные ощущения во время еды, зевания.
Пренебрежительное отношение к проблеме приводит к следующим патологиям:
- скорой истираемости поверхности коронок, их разрушению;
- подвижности элементов зубного ряда;
- лицевой асимметрии и т.д.
При глубокой дизокклюзии нижние резцы травмируют слизистые полости рта, вследствие чего на них появляются раны, язвы.
Предупредить неприятные последствия возможно своевременной диагностикой окклюзии с помощью прибора Центрофикс. Аппарат визуализирует центральное смыкание челюстей с максимальной точностью. Устройство используют также в случаях частичной или полной адентии (отсутствие зубов).
Назначение
Исследование с помощью Центрофикса проводится интраорально, через полость рта. Прибор помещают в полость рта, снимая с него показания. За один сеанс проводят следующие манипуляции:
- определяют вертикальное расстояние;
- выявляют характеристики прикуса;
- делают слепки;
- закрепляют осевое соотношение;
- подготавливают восковую маску для эстетики.
Определение вертикального расстояния и фиксация результатов центрального смыкания производится с помощью подвижного пишущего шарика и центрального зажима.
Показания
Устройство Центрофикс применяют в следующих целях:
- выбор метода коррекции окклюзионных дефектов;
- изготовление съемных, несъемных зубных протезов;
- диагностика сложных стоматологических случаев;
- изготовление ортодонтических аппаратов и проч.;
В ходе диагностических мероприятий с помощью аппарата устанавливают амплитуду челюстного движения, положение челюсти в норме. Эти данные способствуют точному зубопротезированию, исключающему возникновение побочных эффектов (проблемы при жевании и т.п.).

Конструкция
Прибор Центрофикс состоит из следующих элементов:
- двух пластинок для записи данных (узкой и широкой);
- двух пишущих шариков (короткого и длинного);
- креста для прицела;
- медных пластинок для записи;
Цифровые аналоги
К современным передовым решениям регистрации и анализа окклюзионного соотношения относятся электронные устройства. Приборы состоят из сенсорной пластины и наконечника, посредством которых параметры пациента передаются в специальную программу компьютера.
Диагностика подобными аппаратами проходит просто и в кратчайшие сроки. Для установления окклюзионного давления пациент прикусывает индивидуальную тонкую сенсорную пластину. При этом на компьютерном мониторе демонстрируются микродвижения, производимые зубами, которые улавливает чувствительный сенсор.
Программное обеспечение отображает получаемые данные в двухмерном и трехмерном изображении в виде диаграмм. Наблюдая за данными, врач моментально распознает точки с дефектами, определяя проблемные пункты для дальнейшей коррекции. Пациент также может видеть причину своей патологии.
Цифровые устройства визуализируют следующие данные:
- контакты между зубными рядами обеих челюстей;
- время, последовательность появления смыкания;
- давление, возникающее на контактах (распределение давящей силы по боковым сторонам и отдельным смыканиям), положение, траекторию от центра давящей силы (баланс между обеими сторонами зубочелюстного аппарата, между ведущими и опорными единицами);
- окклюзионное и дизокклюзионное время.
С помощью специального программного обеспечения врач сравнивает данные на всех этапах коррекции, получает диагностические отчеты как в фото-, так и видеоформатах.
Определение центральной окклюзии
Окклюзия является одним из ключевых аспектов, которые необходимо учитывать для создания комфортного и надежного протеза. Понятие подразумевает одновременное, синхронное смыкание части зубов или целых рядов при напряжении определенных групп жевательных мышц. Соответственно, выделяют несколько вариантов окклюзии, каждая из которых требует отдельного внимания при формировании восстанавливающей конструкции.

Несмотря на кажущуюся неровность кромок зубов, каждый выступ, при нормальном строении и отсутствии врожденных/приобретенных дефектов, соответствует впадине. Это утверждение верно как для резцов, так и клыков с жевательными единицами. При таком положении исключаются смещения и неравномерные нагрузки в процессе питания, соответственно, не происходит ускоренного износа определенных участков и случайных поломок будущего протеза. Пострадать могут даже дорогостоящие конструкции при ошибках, например, использующие титановые основания .
Основные аспекты
Существует несколько вариантов окклюзии:
- боковая левая и правая соответственно;

Окклюзия в центральной части характеризуется такими пунктами:
- контакт между зубами верха и низа требуется обеспечить плотный, выступы должны соответствовать противолежащим углублениям;
- единицы сочетаются с двумя противолежащими, одноименным и позади/впередистоящим, что зависит от осматриваемой челюсти. Не соответствуют этому правилу только серединные резцы внизу и третьи моляры вверху;
- серединный участок резцов, расположенных посередине, выставляется в одну плоскость;
- верхние единицы не должны наползать на соответствующие нижние более чем на треть;
- рабочие кромки нижних резцов вступают в контакт с бугорками верхних с внутренней части;
- при работе, в частности питании, необходимо добиться одновременного сокращения всех групп мышц, участвующих в движении вертикально вверх нижней челюсти;
- первый моляр сверху при закрытии рта вступает в зацепление с двумя нижними молярами. Первый перекрывается на две трети, а второй - на треть;
- строго передается сочетание и принцип перекрывания бугорков: вестибулооральных и оральных.
Принцип определения
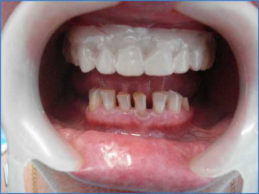
Если утрачена только часть компонентов полости рта, то выявление центральной окклюзии является первостепенным шагом по важности. Требуется получить сведения по трем позициям зубов и их отношений. Важный параметр - это высота нижнего отдела лица, если все антагонисты на месте, то они позволяют фиксировать параметр за счет естественного зацепления. При потере единиц необходимо установить форму, так как искомые аспекты не определяются достоверно в этом случае, поможет изначально сбор данных по центральному отношению челюстей.

Если нескольких определяющих единиц нет, окклюзию можно определить следующими принципами:
- антагонисты имеются во всех трех отделах, ориентированных по функциям. Учитывается жевательный участок и правая/левая сторона. В этом случае центральная окклюзия оказывается зафиксированной природными элементами, параметры устанавливаются благодаря анализу наибольшего числа точек соприкосновения, изготавливать валики в этом случае нет необходимости. Метод позволит решить проблему потери 4 единиц в переднем отделе или 2 - в боковых;

- противолежащие элементы сохранились, но находятся только в двух группах, дифференцированных по назначению. Учитывается наличие единиц в двух боковых участках или на переднем и одном из боковых. Сопоставить модели при таком расположении природных элементов можно только за счет валиков, которые припасовываются к обеим челюстям, после чего оценивается мезиодистальное соотношение челюстей. При сохранении смыкания антагонистов валик можно применять только на одной из челюстей;
- сложнее всего ситуация, когда антагонистов не осталось совсем, что возможно даже при сохранении значительной части единиц. При таком положении дел необходимо определить соотношение челюстей в серединной плоскости.

Работа техника во втором и третьем случае сопровождается созданием базисов с валиками. Обычно применяется воск и пластик, причем, второй вариант предпочтительнее.
Методы фиксации челюстей
Первая методика функциональная. В этом случае требуется голову клиента запрокинуть назад, что приводит к небольшому напряжению шейных мышц и, как следствие, исключается смещение челюсти вперед относительно верхних единиц. Именно препятствовать этому рефлекторному движению - основная задача специалиста.

Помимо указанного поведения необходимо указательными пальцами упереться в рабочую поверхность единиц нижней челюсти, пациента просят подтянуть язык вверх и сглотнуть, что в большинстве случаев позволяет получить нужное положение для продолжения работы. Для точности прием повторяется несколько раз, чтобы специалист мог удостовериться в правильной позиции.
Инструментальный принцип требует применения оборудования, которое регистрирует смещения челюстей при естественных движениях в горизонтальной плоскости. Искомая величина устанавливается, как вершина треугольника, образующегося при смещениях в указанной плоскости. Методика редко используется в случае отсутствия ряда единиц, исключением являются особо сложные случаи. При таких обстоятельствах врачи собственноручно двигают челюсть, чтобы найти правильное положение.
Если нет парных антагонистов или отсутствует большая часть единиц, то выставить центр позволяют две линейки (особой конструкции) или аппарат Ларина. Искомая поверхность проходит через несколько линий: параллельно линии, на которой находятся зрачки, с боков - по линии, соединяющей нос и уши, по высоте участок идентичен плоскости соединения губ, так определяется высота нижнего сегмента лица.
Припасовывается оба валика: верхний и нижний, необходимо добиться плотного смыкания, со стороны щек плоскость едина. Когда рот в закрытом положении валики соединяются спереди и с боков одновременно, к слизистой прилегание так же плотное. Исправления специалисты вносят на участке челюсти, которая сохранила меньшее число единиц. Воск добавляется разогретым инструментом или снимается им же при излишках вещества.
Определение высоты нижней части лица
Указанный отдел можно определить несколькими путями:
- анатомический метод подразумевает исследование параметров лица;
- антропометрический учитывает соотношение различных участков и частей тела;
- анатомо-физиологический базируется на оценке параметров относительного покоя челюсти, при этом необходимо добиться точного размещений челюсти и минимального напряжения мышц. На лицо (у основания носа и на выступ подбородка) наносятся точки, расстояние между которыми измеряется после общения, когда напряжение минимально.

Помогает замеры произвести общение, для точности пациента несколько раз просят произнести определенные слова, задействующие необходимые группы мышц.
Если клиент утратил передние зубы, то ориентиры создаются следующие:
- средняя линия или косметический центр. Она позволит правильно установить положение центральных резцов;
- линия клыков. От поверхности валиков до носа проводится прямая. Отметка необходима для получения представления о расстоянии передних единиц до середины клыка;
- линия улыбки. Черта позволяет стоматологу определить высоту резцов, удостовериться в грамотном ее размещении можно, попросив пациента улыбнуться. В этом случае линия должна размещаться выше шеек зубов.

Финальным этапом работы является гипсовка в артикуляторе, то есть специальном приборе, позволяющим зафиксировать элементы неподвижно. Благодаря ему сохраняются собранные данные на всем протяжении изготовления протеза.
Способы фиксации центральной окклюзии
С помощью восковых базисов с окклюзионными валиками.
Требования к восковым базисам с окклюзионными валиками:
базисы должны плотно прилегать к моделям на всем протяжении;
края восковых базисов должны быть закругленными, без острых выступов, они должны быть точно «отжаты» по модели;
восковые базисы должны быть укреплены проволокой для предупреждения их деформации;
окклюзионные валики должны быть монолитными и не расслаиваться;
верхний окклюзионный валик в области вторых моляров должен быть срезай под углом в сторону верхнечелюстных бугров.
В том случае если прикусные валики располагаются напротив естественных зубов противоположной челюсти, то с окклюзионной поверхности прикусного валика срезают воск на толщину восковой пластины, которую разогревают и помещают на окклюзионную поверхность.
Для изготовления восковых базисов используют воск базисный, который разогревают и очень плотно обжимают вокруг модели.
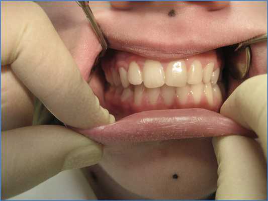
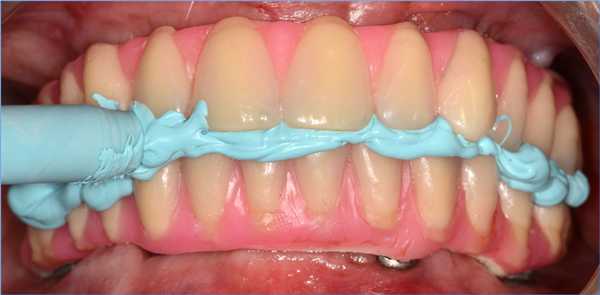
С помощью регистраторов прикуса.
Данный вид фиксации осуществляется с помощью силиконовых оттискных материалов высокой вязкости. Представителями последних являются: Регистрадо фирмы «Воко» (Германия), Репросил, (США), Регисил (США), Гарант Димепшн.
Методика: Пациент смыкает зубы в положении центральной окклюзии. С помощью шприца- пистолета выдавливают пасту в межзубные промежутки по окклюзионной поверхности зубов, начиная с дистальных отделов. После затвердения пасты просят пациента открыть рот и вынимают силиконовый шаблон.
2 Клинический этап
Определяем центральное соотношение челюстей.
Методы установления нижней челюсти в положение центральной окклюзии.
Функциональный —
Для установления нижней челюсти в центральное положение голову пациента запрокидывают несколько назад. Шейные мышцы при этом слегка напрягаются, препятствуя выдвижению нижней челюсти вперед.
Затем указательные пальцы кладут на окклюзионную поверхность нижних зубов или валик в области моляров так, чтобы они одновременно касались углов рта, слегка оттесняя их в стороны.
После этого просят пациента поднять кончик языка, коснуться им задних отделов твердого неба и одновременно сделать глотательное движение. Этот прием почти всегда обеспечивает установку нижней челюсти в центральной позиции.
Некоторые руководства по ортопедической стоматологии рекомендуют для этой цели на верхнем восковом шаблоне, по его заднему краю, сделать бугорок из воска, который больному следует достать языком, прежде чем он проглотит слюну, закрывая рот (Валькоф). Когда пациент закрывает рот, прикусные валики или окклюзионные поверхности зубов начинают сближаться, указательные пальцы, лежащие на них, выводят таким образом, чтобы они все время не прерывали связи с углами рта, раздвигая их. Закрывание рта с использованием описанных приемов следует повторить несколько раз, пока не станет ясно, что имеет место прав ильное смыкание.
Насильственный
Инструментальный (предусматривает ряд приспособлений, способствующих установлению нижней челюсти в центральной окклюзии), но они применяются редко, только в трудных случаях клинической практики. При этом проводят насильственное смещение нижней челюсти кзади давлением руки врача на подбородок пациента.
Определение внешней окклюзии
Центральная окклюзия является нарушением равномерности распределения напряжения для мышц челюсти, дефекты смыкания зубных рядов. Для исправления патологии назначается специальная терапия, ношение съемного или частичного протеза.
Признаки окклюзии
Основными признаками центральной окклюзии являются:
В последнем случае необходимо определить, каким будет контакт поверхностей и является ли он полным. Необходимо определить, как именно сводятся противоположные ряды, если ли нарушения, каким является перекрытие для верхнего ряда. Также во время определения окклюзии специалист смотрит, вступает ли верхний моляр в полный контакт с нижним, имеется ли совпадение или смещение.

Признаки правильного контакта
Общими признаками правильного контакта являются:
- схождение в вертикальной плоскости;
- моляры и резцы в обоих рядах имеют антагонистов;
- верхние восьмые зубы антагонистов не имеют;
- нижние центральные резцы антагонистов не имеют.
Признаки, которые относятся только к передним зубам:
- если лицо условно разделить центральной линией, то центральная ось симметрии должна проходить между передними зубами;
- перекрытие верхним рядом нижнего может составлять до 30% в высоту от размера коронки;
- режущие кромки нижних зубов плотно контактируют с бугорками верхних.
Признаки, которые относятся только к боковым зубам:
- дистальные щечные бугорки верхнего ряда находятся между 6 и 7 нижними молярами;
- боковые элементы нижнего и верхнего рядов смыкаются так, что они попадают в межбугорковые борозды.
Основные методы
Центральная окклюзия определяется еще на стадии производства протезов, что необходимо для нормального функционирования конструкции и эффективности лечения. При определении окклюзии используются различные варианты:
- Наличие антагонистов с двух сторон. Такой метод используется, если антагонисты есть с двух сторон, но высота нижней трети лица остается фиксированной. Показатель окклюзии опирается на количество зон контакта, во время обследования нее используются специализированные шаблоны, что делает такой вариант самым простым.
- Наличие 3 окклюзионных пунктов. Такой способ применяется, если есть три зоны контакта, при этом естественная высота лица нарушена. При определении применяются специальные валики, которые укладываются на нижний ряд. Пациент сводит челюсти, в результате чего на валике остается отпечаток зубов. Такой отпечаток применяется в лаборатории во время изготовления протезов.
- Антагонирующие пары отсутствуют. Это самый трудоемкий способ, который используется при полном отсутствии антагонистов с обоих сторон. Метод включает в себя формирование протетической плоскости, определение нормальной высоты для нижней трети лица, фиксирование мезиодистального соотношения для нижней и верхней челюстей.
Проверка проводится за счет смыкания зубов и включает в себя такие простые шаги:
- восковая тонкая полоска укладывается на поверхность валика, приклеивается к нему;
- конструкция нагревает до состояния, пока воск не размягчиться;
- специальные подогретые шаблоны аккуратно размещаются в ротовой полости пациента;
- зубы сводятся вместе, после чего на воске остается четкий отпечаток.
По результатам проверки специалист выполняет расчет высоты прикуса в состоянии покоя и при полном сведении челюстей. Приемы правильной постановки нижней челюсти могут быть различными. Это не только функциональный, но и инструментальный методы коррекции. Но такая работа очень сложная, она полностью зависит от опыта и квалификации специалиста. Если при проверке были допущены нарушения, то это может привести к следующим проблемам: завышенному или заниженному прикусу, появлении постоянной окклюзии (передней или боковой). Причинами погрешностей могут стать неправильная подготовка шаблонов, недостаточное размягчение воска, слишком сильное давление на валики при смыкании, ошибки со стороны специалиста, который выполняет проверку, или техника.
Центральная, передняя и боковая окклюзия в стоматологии: признаки каждого вида, отличия от артикуляции и прикуса
Посетители стоматологических клиник иногда сталкиваются с медицинскими терминами «артикуляция», «окклюзия». Этими словами принято обозначать состояния жевательного аппарата. С их помощью врачи оценивают позицию нижней челюсти, определяют нормальный или патологический характер движения зубных рядов. Единая трактовка терминов важна для выявления аномального прикуса, правильного подбора методов ортодонтической коррекции.
Понятие артикуляции, окклюзия и прикуса в стоматологии
Прикус определяет расположение зубных единиц при смыкании верхней челюсти (ВЧ) и нижней челюсти (НЧ). Биодинамика процесса сложна, потому в нуждах ортопедии требуется разделять понятие артикуляции с ее отдельным случаем - прямой окклюзией.
Чтобы точно разобраться в терминах, определить прикус, важно уточнить положение челюстей при встречном перемещении, или окклюзию. Прикус бывает двух основных типов:
- Физиологический (нормальный). Это ортогнатический, прямой, прогенический, биопрогнатический прикус (рекомендуем прочитать: как лечится прямой прикус у человека?).
- Неправильный. Это дистопия, дистальное, пересеченное, мезиальное положение элементов ротовой полости. Их причинами выступают генетическая расположенность, недоразвитие костной ткани, иные патологические состояния.
Правильной окклюзией в стоматологии считают долгую и качественную работу зубочелюстного аппарата с тщательным примыканием моляров и премоляров во время покоя. При этом черты лица правильные, челюсти не выступают относительно его плоскости, позиционируются на одном уровне. Артикуляцией называют взаимоотношение зубных рядов при движении НЧ. Ее точное понятие дает медик Катц, определяя как изменение позиции НЧ относительно верхней под контролем мозговой деятельности.
Окклюзия как частный случай артикуляции
Артикуляцию считают звеном разных вариаций окклюзии. Учитывается положение НЧ не только во время жевания, но и при мимических движениях, зевании, разговоре.
При окклюзии зубов жевательные мускулы находятся в динамике, а определенное число зубных единиц - в соприкосновении. Как техническое отображение жевательных движений процесс распадается на несколько стадий. Перемещения НЧ и ВЧ разделяют на вертикальные, сагиттальные, боковые, центральные. В сложном процессе жевания можно выделить ряд этапов:
- Захватывание, разрезание еды зубами. Дополняется скольжением краев нижних фронтально позиционирующихся зубных единиц по небной поверхности верхних. Он обратим - до краевого контакта зубов и обратно.
- Раздавливание пищи. Свойственен плотный контакт НЧ и ВЧ. Их встреча выступает стартовым и финальным моментом жевания.
- Размалывание еды. Происходит чередующееся передвижение НЧ в стороны. В процессе участвуют бугры жевательных зубов. Они совмещаются в статике, как и боковые единицы.
Окклюзия: виды
Окклюзионная система человека имеет свои особенности, обусловленные генетическим фактором и характером формирования зубочелюстного аппарата. В зависимости от нагрузки в ней могут происходить изменения в течение всей жизни, и в любой момент может потребоваться коррекция. Характеризуют смыкание по зубным, суставным и мышечным признакам. По ним все виды окклюзии имеют свои отличительные черты.
Нормальная окклюзия зубов играет ключевую роль в правильной работе зубочелюстного аппарата. Ее основные функции - предупреждение перегрузки пародонта, ответственность за функционирование и развитие мышц лицевой зоны, обеспечение правильной нагрузки на альвеолярные отростки и зубные единицы. Аномалии (отсутствуют зубы, наблюдаются патологии тканей пародонта) приводят к перенапряжению лицевых мышц, нарушению пищеварения, повышенной стираемости зубов. Страдает и внешний вид лица, и это отрицательно сказывается на самооценке.
Статическая
Статической окклюзией называется соприкосновение челюстей в определенной позиции, привычной для каждого конкретного человека.
Наблюдается ее зависимость от разнообразных существенных факторов - строения зубов, локации нервных узлов, волокон мышц и даже осанки. Особенность смыкания зубов при максимальном количестве контактирующих зубных единиц определяют как прикус.
Когда пациент перемещает НЧ в сторону, клыки челюстей должны располагаться так, чтобы задние зубы не касались один одного. НЧ при этом должна быть несколько приподнята. Это клыковое ведение (рекомендуем прочитать: клыковая ямка верхней челюсти и другие особенности ее строения). Различают также переднее ведение. При идеальном прикусе оно бывает при выведении вперед нижней челюсти. В процессе передние нижние зубы, не затрагивая верхних, перемещаются вверх.
У большинства пациентов наблюдается слегка неправильный прикус, который формируется при незначительном смещении челюстей и зубов. Он не требует лечения. При выраженной патологии такой прикус может приводить к нарушению функций жевания, проблемам с деснами, зубами, челюстными мышцами.
Опираясь на характер смыкания зубов в статическом положении, специалисты классифицируют несколько видов окклюзии: переднюю, боковую, центральную. Это естественные виды, которые наблюдаются у большинства людей. Они не влияют на качество жизни и не меняют внешность.
Центральная

Центральная окклюзия - смыкание зубных единиц при предельном числе точек соприкосновения. Для позиции характерно равномерное сокращение двигательных челюстных мышц. Выявление центральной окклюзии проходит благодаря основным признакам:
- максимальное совмещение зубов НЧ и ВЧ;
- соединение резцов низа с небными бугорками верха (прямая окклюзия);
- средняя линия, которую визуально проводят между резцами челюстей, находится в единой сагиттальной плоскости;
- смыкание каждого зуба с противоположным на другой стороне челюсти (за исключением нижних центральных резцов и моляров сверху).
Передняя
При выдвижении НЧ за счет крыловидных латеральных мышц наблюдается передняя окклюзия. В этот момент средняя линия лица совпадает с промежутком между передними резцами (как и в предыдущем случае, при центральном прикусе). Отмечается, что суставные головки незначительно смещены вперед. Среди иных признаков передней окклюзии:
- отсутствие контакта у боковых зубных единиц;
- контакт встык режущих поверхностей здоровых зубных единиц ВЧ и НЧ.
Боковая (правая и левая)
При боковой окклюзии сокращаются латеральные мышцы, расположенные симметрично с каждой стороны лица. Смещение НЧ вправо активизирует левую мышцу. При движении в противоположном направлении все проходит с точностью до наоборот. При релокации НЧ влево работает правая сторона. Суставные головки при этом производят вращательное движение кверху, вниз, внутрь, образуют угол суставного пути.
Зубными признаками боковой окклюзии выступают:
- смещение центральной линии, проведенной мысленно между резцами центра;
- смыкание одноименных бугров зубов в той половине лица, куда передвигается НЧ (в другой зоне в этот момент соприкасаются бугры разноименных единиц).
Динамическая
Пространственные передвижения НЧ, когда активно работает челюстно-лицевая мускулатура, относят к динамическим видам окклюзии. Их анализ проводится в полости рта или с профессиональным применением гипсовых моделей (слепков). Имитируют движение НЧ и ВЧ приборы, которые называются «артикуляторы».
Все артикуляционные позиции НЧ можно отнести к этапам динамической окклюзии. Для воспроизведения динамики зубных бугорков по фиссурам и ямкам зубов-антагонистов служит окклюзионный компас. С его помощью можно определить динамику перемещения опорных зубных бугров во время их отклонения от центрального положения и перехода в переднюю или боковую окклюзию. Компас позволяет воссоздать жевательную функцию при изготовлении зубных протезов.
Наряду с нарушением жевания неправильный прикус затрудняет постановку пломб, приводит к их быстрому выпадению. Из какого бы материала ни была изготовлена пломба, она держится плохо и выпадает в неподходящее время, поэтому коррекция обязательна. Для исправления патологической окклюзии используются ортопедические и хирургические методы лечения. Иногда их сочетают, что позволяет добиться стойкого положительного эффекта.
Читайте также:
- Эндоскопические ассистированные операции. История эндоскопической ассистенции.
- Температура тела новорожденного. Потребность новорожденного в витаминах и микроэлементах
- Кардиостимуляция верхушки правого желудочка как причина сердечной недостаточности
- Ведение пациентов с синдромом Гийена-Барре. Тактика при синдроме Гийена-Барре.
- КТ, МРТ позвоночника при подагре
