УЗИ анатомия матки в норме
Добавил пользователь Евгений Кузнецов Обновлено: 19.12.2025
В современной медицине УЗИ представляет собой универсальный метод диагностики заболеваний внутренних органов. Низкая стоимость процедуры, безболезненность, доступность и информативность обусловили высокую популярность метода, особенно в области гинекологии.
УЗИ матки и придатков - это обследование, позволяющее определить анатомию, размеры, структуры и состояние репродуктивных органов. Назначением процедуры может быть скрининговое исследование, диагностика патологий или контроль проведенной терапии.
Данный вид диагностики практически не имеет противопоказаний, абсолютно безопасен, может проводиться многократно в любой период жизни женщины, в том числе в период вынашивания ребенка.
Для профилактики и своевременного выявления заболеваний и нарушений в работе органов малого таза каждой женщине рекомендуется проходить УЗИ матки и придатков не реже 1 раза в полугодие.
Показания
Проведение УЗИ матки и придатков показано при наличии следующих симптомов у женщины:
- нарушение менструального цикла (нерегулярность, изменение объема менструальной кровопотери, аменорея - отсутствие месячных, задержка очередной менструации при отсутствии предшествующих нарушений цикла, изменение продолжительности самой менструации и межменструального периода);
- повышенная болезненность менструаций;
- межменструальные кровянистые выделения;
- кровянистые выделения, появившиеся после наступления климакса;
- слизистые или гнойные выделения;
- боль в нижней части живота и пояснице (тянущая, постоянная или переменная);
- болезненные ощущения и кровянистые выделения во время полового акта;
- боль в матке после родов.
Также процедура назначается для подтверждения или при подозрении на патологии репродуктивных органов: эндометриоз, доброкачественные/злокачественные образования, воспалительные процессы и т.д.
Проведение исследования необходимо и при уже выявленном заболевании с целью мониторинга изменений структуры матки и придатков, планирования операции или оценки эффективности проведенной терапии.
УЗИ матки и придатков также показано в следующих случаях:
- профилактический осмотр;
- установление факта беременности, в том числе внематочной;
- контроль течения беременности и диагностика пороков развития плода;
- отсутствие зачатия более года при регулярных незащищенных половых актах (с целью диагностики бесплодия);
- обязательное обследование после гистерэктомии (удаления матки);
- плановое и профилактическое обследование после родов;
- наблюдение после кесарева сечения;
- в рамках программы ЭКО.
Какие патологии можно выявить
УЗИ - незаменимый диагностический инструмент, позволяющий выявить множество заболеваний. Среди них:
- эндометриоз - разрастание клеток эндометрия за пределы матки. Прогрессирующий эндометриоз опасен развитием бесплодия, спаечной болезни и, по некоторым данным, повышением риска развития рака эндометрия;
- аденомиоз - прорастание клеток эндометрия в мышечную ткань матки. При отсутствии или запоздалом лечении может спровоцировать осложнения: онкологию, бесплодие, разрастание за пределы матки, кровотечение, болевой синдром;
- гиперплазия - чрезмерное разрастание эндометрия. Грозит образованием спаек, снижающим проходимость труб, развитием бесплодия, хронической анемии, онкологического процесса;
- гипоплазия - истончение эндометрия. Может привести к бесплодию и невынашиванию беременности;
- миома матки - доброкачественная опухоль в мышечном слое матки. В запущенном состоянии она приобретает большие размеры, что сопровождается множественными осложнениями от кровотечений до бесплодия и озлокачествления;
- онкологические заболевания матки или придатков - крайне опасная патология, способная привести к летальному исходу;
- загиб матки - аномальное положение матки в малом тазу, препятствующее зачатию, вынашиванию и родоразрешению;
- полип матки - доброкачественная опухоль в полости матки. Опасен нарушением репродуктивной функции;
- патологии беременности (пузырный занос, отслоение плаценты, замершая и внематочная беременность) - опасные патологии, итог развития которых разный в зависимости от ситуации;
- киста - доброкачественное жидкостное образование. В запущенном состоянии нарушает фертильность женщины;
- поликистоз - разрастание множественных кистозных образований;
- перекрут яичника - полный или частичный заворот яичника, нарушающий его кровоток и питание. Поздняя диагностика и лечение приводит к некрозу (гибели) придатка;
- гидросальпинкс - нарушение проходимости маточных труб;
- воспалительные процессы в матке и придатках (сальпингит, оофорит, аднексит);
- воспалительный процесс, наблюдающийся в эндометрии и/или миометрии (эндометрит, миометрит, эндомиометрит).
- Как проводится
- Существует несколько видов УЗИ матки и придатков:
- трансабдоминальное - наружное, через брюшную полость;
- трансвагинальное - путем введения датчика во влагалище;
- трансректальное - через прямую кишку;
- внутриматочное - введение датчика в полость матки.
Крайне редко наружный и внутриполостной методы существуют друг от друга раздельно. Часто проводится сначала трансабоминальное УЗИ, затем пациентку отправляют помочиться и проводят сканирование другим методом. Так клиническая картина наиболее информативная и достоверная.
Дополнительно выделяют разновидности УЗИ - соногистерографию и допплерографию.
Трансабдоминальное УЗИ (ТАУЗИ)
Перед проведением процедуры пациентка раздевается ниже пояса, обнажает живот и ложится на спину. На переднюю брюшную стенку врач наносит специальный гель, устраняющий воздушную прослойку между поверхностью тела и датчиком для лучшей визуализации.
Затем с легким нажимом специалист передвигает датчик по поверхности живота, оценивая состояние репродуктивных органов на мониторе УЗ-аппарата. При этом женщине требуется дышать неглубоко и равномерно для получения более четкого изображения. Длительность процедуры составляет около 15-30 минут.
Основными преимуществами метода являются простота и доступность, а также возможность использования для девственниц. Вследствие поглощения УЗ-волн брюшной стенкой метод обладает сравнительно низкой четкостью и детализацией изображения. ТАУЗИ позволяет выявить лишь крупные новообразования.
Процедура безболезненная, однако возможен дискомфорт в ходе проведения из-за наполненного мочевого пузыря.
Трансвагинальное УЗИ (ТВУЗИ)
Исследование проводится на кушетке или гинекологическом кресле. Пациентка раздевается ниже пояса и ложится на спину, согнув ноги в коленях. На вагинальный датчик (трансдьюсер) врач надевает презерватив и наносит специальный гель для улучшения визуализации (дополнительно он служит смазкой, облегчающей введение прибора).
После этого вводит датчик во влагалище на глубину 5-7 см и проводит манипуляции (движения прибором в стороны, вверх и вниз) для детального рассмотрения того или иного органа. Длительность процедуры составляет около 15-30 минут.
В первом триместре беременности для обследования всегда используется ТВУЗИ. Только этот метод позволяет увидеть крошечный плод и исключить все возможные патологии.
Одним из главных преимуществ ТВУЗИ считается высокий уровень информативности и достоверности за счет непосредственной близости датчика к исследуемым органам. Это позволяет визуализировать даже мелкие новообразования.
Процедура безболезненная, однако некоторые женщины испытывают физический и психологический дискомфорт. При появлении болезненных ощущений необходимо сразу же сообщить об этом врачу. Основным недостатком метода является невозможность его применения у девственниц и у некоторых женщин постклимактерического периода.
Трансректальное УЗИ (ТРУЗИ)
Исследование проводится на кушетке. Пациентка снимает всю одежду ниже пояса и ложится на бок, спиной к аппарату УЗИ, согнув ноги в коленях и подтянув их к груди. Врач надевает на датчик презерватив и смазывает специальным гелем, улучшающим проводимость УЗ-волн и служащим смазкой.
Затем специалист вводит прибор в прямую кишку пациентки и начинает сканирование. В этом случае используется более тонкий датчик, диаметр которого не превышает 1,5 см. Длительность процедуры составляет около 20 минут.
Этот тип УЗИ проводится достаточно редко - в случае низкой информативности ТАУЗИ или невозможности проведение ТВУЗИ. Обычно используется для девственниц. Главным плюсом методики является высокая результативность и достоверность, а также возможность диагностики образований, связанных с соседними органами.
Минусом такой процедуры является вызов физического и психологического дискомфорта.
Внутриматочное УЗИ
Порядок проведения процедуры аналогичен ТВУЗИ. Только в этом случае используется ультразвуковой тонкий зонд, который вводится в полость матки.
Внутриматочное УЗИ применяется редко, в основном при подозрении на миому матки и изменениях эндометрия. Получаемая информация наиболее достоверная и содержательная, поскольку все органы рассматриваются в непосредственной близости.
Соногистерография
Эта разновидность УЗИ используется для оценки проходимости маточных труб и диагностики патологических процессов в полости матки (полипы эндометрия, внутриматочные синехии, субмукозные миоматозные узлы). Продолжительность процедуры составляет около 30 минут.
Алгоритм проведения соногистерографии:
- введение инъекции спазмолитика за 15-30 минут до процедуры;
- проведение полного УЗИ органов малого таза;
- расширение влагалища с помощью гинекологического зеркала;
- местное обезболивание шейки матки;
- катетеризация шейки матки;
- введение физиологического раствора в полость матки посредством катетера (10-20 мл);
- сканирование органов вагинальным датчиком.
На УЗИ раствор выглядит контрастным. Это позволяет точно определить, какая именно часть маточных труб является непроходимой. При их непроходимости женщина может испытывать сильный болевой синдром из-за натяжения стенок матки.
После соногистерографии возможны кровянистые выделения в течение 2-3 дней и слабые боли. Если боли усилились или длятся дольше, необходимо срочно обратиться к врачу.
Допплерография
Такой метод УЗИ позволяет оценить кровоток в репродуктивных органах и выявить причины его нарушения. Это обязательная процедура в период планирования беременности, особенно при наличии у женщины тяжелых системных болезней, гестоза (в анамнезе), патологии почек.
В процессе исследования используется:
- дуплексное сканирование с целью определения размеров артерий и вен, направления кровотока, а также пропускной способности исследуемых сосудов;
- цветовое или триплексное сканирование для оценки скорости и направления сосудов.
Оно характеризуется наличием разных цветов.
В современных аппаратах УЗИ система допплерографии уже встроена, поэтому эти исследования часто комбинируются.
Когда лучше проводить процедуру
На 2-3 день менструального цикла рекомендуется проведение исследования для оценки овариального резерва яичников - числа яйцеклеток в фолликулах.
Для диагностики беременности УЗИ лучше делать на 7-10 день задержки, чтобы плодное яйцо успело опуститься в полость матки и стало достаточно большим для визуализации.
Соногистерографию рекомендуется выполнять в середине менструального цикла. В это время канал шейки матки максимально расширен и процедура не вызывает дискомфорта.
Для проведения допплерографии наилучшим является период за несколько дней до предполагаемых месячных. Во время беременности плановое обследование с допплером, при отсутствии патологий, выполняется на сроке 24 недель.
УЗИ матки и придатков делать во время менструации можно, но не нужно. Полученный результат зачастую недостоверный. Видимость в этот период крайне плохая, оценка состояния и толщины эндометрия невозможна, а обнаруженный сгусток крови в матке может быть диагностирован как полип или опухоль. Поэтому при отсутствии экстренных показаний лучше перенести исследование.
В неотложных ситуациях УЗИ проводится в любой день цикла.
Подготовка
Разные методы ультразвуковой диагностики предполагают различную подготовку. Общие рекомендации: провести полный туалет половых органов, взять с собой одноразовую пеленку, полотенце или салфетки (для удаления геля).
ТАУЗИ
Скопление газов в кишечнике препятствует проведению исследования и искажает результаты. Поэтому подготовка к ТАУЗИ требует ограничений в рационе. За 2-4 дня пациентке необходимо исключить из употребления все продукты, способствующие газообразованию:
- молочные продукты (из-за недостаточного содержания в них лактозы - фермента, обеспечивающего нормальное пищеварение);
- бобовые (в них содержатся сложные углеводы);
- мучные и кондитерские изделия, содержащие дрожжи, особенно черный хлеб, отруби;
- газированные напитки;
- алкоголь;
- овощи, содержащие грубую клетчатку: картофель, редис, лук, чеснок, томат, шпинат, щавель, капуста, репа, кукуруза, спаржа;
- некоторые фрукты в сыром виде: яблоко, чернослив, груша, виноград, персик, вишня;
- жирные, жареные блюда;
- грибы;
- жевательные конфеты, резинки.
Иногда вызвать скопление газов в кишечнике могут продукты, несвойственные для текущего климатического пояса: ананасы, персики, бананы и т.д.
Диета за 2-3 дня до процедуры должна состоять из нежирной рыбы, сыров, зерновых каш, говядины и мяса птицы (отварного).
При наличии склонности к метеоризму за день до исследования начать принимать ветрогонные средства (Эспумизан, Дисфлатил и т.д.), а имеющим предрасположенность к запорам - использовать слабительные средства или очистительную клизму. Последнюю делают вечером накануне и утром в день процедуры.
ТВУЗИ
Подготовка аналогична подготовке к ТАУЗИ. Единственное отличие - пустой мочевой пузырь. При беременности мочевой пузырь должен быть наполнен наполовину.
ТРУЗИ
Подготовка аналогична подготовке к ТВУЗИ. Только в этом случае очистительная клизма обязательна. Если сделать ее по каким-либо причинам невозможно, используются определенные слабительные препараты: фортранс, дюфалак, мовипреп.
Также за 7-10 дней до процедуры необходимо прекратить прием лекарств, разжижающих кровь.
Подготовка не требуется. Непосредственно перед процедурой опорожнить мочевой пузырь.
Заранее пациентка сдает ряд анализов: на ВИЧ, сифилис и гепатиты В и С (действителен 2 месяца), а также гинекологический мазок (действителен 10 дней). Это необходимо для того, чтобы во время манипуляции исключить занесение инфекции из канала шейки матки или влагалища в полость матки.
Непосредственно перед процедурой нужно опорожнить мочевой пузырь.
Аналогична подготовке тем способом, которым будет проводиться УЗИ.
Противопоказания
Специфических противопоказаний и медицинских ограничений к УЗИ матки и придатков нет.
ТАУЗИ не проводится при наличии повреждений кожного покрова на брюшной полости: гнойные, воспалительные, травматические или ожоговые. В этом случае нанесение геля и давление датчика вызовет болевые ощущения. Сканированию этим методом также препятствует обширный спаечный процесс и ожирение.
ТВУЗИ и внутриматочное УЗИ не используются для девственниц и женщин во II и III семестре беременности. Эти методы противопоказаны при кровотечениях, пороках развития влагалища (атрезия (заращение), резкий стеноз (сужение) входа во влагалище и т.д.) и наличии аллергии на латекс.
ТРУЗИ не проводится при:
- проктологических заболеваниях, особенно в стадии обострения: геморрое, свище и трещинах прямой кишки;
- отсутствии прямой кишки по причине ее удаления;
- хирургических вмешательств на прямой кишке, проводимых незадолго до исследования процедуры;
- непроходимости кишечника;
- аллергии на латекс.
Соногистерография противопоказана во второй фазе цикла и в случае обнаружения отклонений в гинекологическом мазке (в частности, повышенные лейкоциты, в норме до 25). Также важно сообщить врачу о наличии аллергии на анестетик.
Расшифровка: норма
Матка
В норме матка имеет грушевидную или овальную форму, ровные и четкие контуры, располагается кпереди. Эхоструктура маточных стенок (миометрия) однородная. Структура и толщина эндометрия зависят от периода менструации. Тонус матки нормальный. Объем - до 100 см 3 .
Размеры матки зависят от различных факторов. Она увеличивается в секреторной фазе менструального цикла и уменьшается в пролиферативной.
Трансвагинальное УЗИ: все о замечательном методе

Трансвагинальное УЗИ (ТвУЗИ) проводят для диагностики состояния органов малого таза у женщин. Исследование назначают для выявления урологических и гинекологических заболеваний, контроля их течения и результатов лечения, а также для установления срока беременности и исключения патологий в первом триместре. ТвУЗИ на сегодняшний день — самый точный и информативный метод исследования органов малого таза у женщин.
СТОИМОСТЬ ТРАНСВАГИНАЛЬНОГО УЗИ 1000 руб. КОНСУЛЬТАЦИЯ ГИНЕКОЛОГА ПО РЕЗУЛЬТАТАМ УЗИ или АНАЛИЗОВ — 500 руб
Этот вид обследования имеет минимум противопоказаний, абсолютно безболезненный и недорогой.
Особенности диагностической методики
Трансвагинальное исследование отличается от трансабдоминального лишь тем, что в первом случае ультразвуковые волны подаются через датчик, который находится в непосредственной близости от исследуемых органов или плодного яйца: их разделяет лишь тонкая стенка влагалища. При трансабдоминальном УЗИ датчик двигают по нижней части живота, при этом такая методика не дает четкой обзорной картины, если у пациентки есть ожирение или она страдает повышенным газообразованием в кишечнике.

Внутриполостной датчик (трансдюсер) выглядит как стержень длиной 12 см, а его диаметр не превышает 3 см, поэтому его проникновение во время исследования не вызывает неприятных ощущений. Датчик имеет скошенный обзор относительно своей оси, что необходимо для лучшей визуализации матки с учетом ее анатомического расположения. На конце имеется канал с иглой, которая может понадобиться в случае проведения биопсии тканей.
Интравагинальное ультразвуковое обследование абсолютно безопасно, поэтому его можно делать многократно. Иногда ТвУЗИ назначают несколько раз за один менструальный цикл.
МЫ ДЕЛАЕМ ВСЕ ВИДЫ УЗИ 2Д, 3Д, 4Д с ДОПЛЕРОМ / We do all kinds of ultrasound - 2D, 3D, 4D diagnostics with Doppler
Мы используем один из лучших ультразвуковых сканеров УЗИ с доплером SonoAce X8 от компании SAMSUNG MEDISON. Этот аппарат сочетает в себе максимальный набор функций и широкий спектр диагностических возможностей — в нем представлены все виды чувствительного допплера, он отличается отличной степенью визуализации, возможностью панорамного сканирования органов и построения изображения в реальном времени в форматах 2Д, 3Д и 4Д. В комплекте есть все датчики, необходимые для проведения УЗИ любого типа — трансавагинального, трансабдоминального и трансректального.
We use one of the best ultrasound scanners with the SonoAce X8 doppler from the company SAMSUNG MEDISON. The device for the diagnostic combines the maximum set of functions and a wide range of diagnostic capabilities. SonoAce represents all kinds of sensitive Doppler, has an excellent degree of visualization, the possibility of panoramic scanning and the construction of images in real time in 2D, 3D and 4D formats. The kit includes all necessary ultrasound sensors of any type — transvaginal, transabdominal and transrectal.
ATTENTION! IN THE CLINIC IS A DOCTOR SPEAKING IN ENGLISH LANGUAGE!
Показания к проведению ТвУЗИ
Трансвагинальное ультразвуковое исследование назначают при подозрениях на заболевания органов малого таза, неотложных состояниях, а также для оценки результатов проводимого лечения. Показаниями к этой диагностической методике являются:
- Сильные боли во время менструации.
- Отсутствие менструаций или их нерегулярность.
- Подозрение на гормональный сбой в организме.
- Появление кровянистых выделений вне менструального цикла.
- Наличие симптомов воспаления матки или яичников.
- Патологические изменения в эндометрии: гиперплазия, полипы, хронический эндометрит, субмукозные узлы.
- Диагностика эндометриоза матки или соседствующих органов.
- Определение наличия патологических жидкостей в маточных трубах.
- Подозрения на недоразвитость органов малого таза.
- Выявление новообразований, заподозренных во время гинекологического осмотра.
- Диагностика новообразований и опухолевых процессов матки и мочевого пузыря.
- Выявление опухолей и кист яичников.
- Подозрение на разрыв кист яичника.
- Инфекционные болезни мочевыводящих путей.
- Подозрения на миомы матки.
- Диагностика причин урологических болезней, недержания мочи и других расстройств мочеиспускания.
- Определение расположения внутриматочной спирали.
- Контроль результативности проводимого лечения.
- Контроль состояния эндометрия при установленной внутриматочной спирали или приеме гормональных препаратов.
- Невозможность зачатия на протяжении полугода.
- Подготовка к ЭКО и сопровождение процедуры.
Трансвагинальное УЗИ позволяет узнать женщине, когда она готова к зачатию ребенка. Для этого во время проведения ТвУЗИ в маточные трубы подают специальное вещество, которое как контраст показывает проходимость труб в день исследования.
Ни один другой метод, кроме ТвУЗИ, не способен зафиксировать сердцебиение ребенка уже на 5 акушерской неделе беременности. Поэтому трансвагинальное УЗИ на ранних сроках беременности позволяет подтвердить факт успешного зачатия.
ТвУЗИ при беременности
Поскольку процедура интравагинального исследования связана с определенным раздражением стенок влагалища и органов малого таза (в том числе матки), ее проведение допускают лишь в первом триместре - до 13 недель беременности. ТвУЗИ позволяет выявить сам факт беременности и установить ее точный срок. Но есть и другие показания к проведению подобного исследования:
- наблюдение за плодом и его развитием в динамике;
- определение маточной и внематочной беременности;
- ранняя диагностика патологий плода и беременности;
- выявление угроз невынашивания беременности;
- подозрение на отслойку плодного яйца;
- разграничение плодного яйца от патологического образования в матке;
- оценка состояния рубца, который остался на матке после предыдущего кесарева сечения;
- выбор на основании полученных данных способа родоразрешения;
- полный и частичный пузырный занос;
- определение положения плодного яйца в матке, состояние его прикрепления (предлежание, низкое расположение).
ТвУЗИ при беременности позволяет определить количество плодов в матке, сердечный ритм, возможные пороки развития. Данный вид исследования с высокой точностью определяет пол будущего ребенка.
Во время беременности трансвагинальное УЗИ могут делать по требованию столько раз, сколько это потребуется. Датчик и ультразвуковое излучение не способны повлиять на состояние плода и самой беременной.
Противопоказания к проведению ТвУЗИ
Исследование органов малого таза трансвагинальным датчиком не проводят только девственницам из-за риска повреждения девственной плевы. Таким пациенткам предлагают альтернативный метод исследования, который обладает такой же высокой информативностью - трансректальное УЗИ. В этом случае УЗ-датчик вводят в прямую кишку через анальное отверстие.
Как делают трансвагинальное исследование
Пациентке для прохождения интравагинального обследования нужно раздеться ниже пояса и лечь на кушетку, немного раздвинуть ноги в стороны. Врач-диагност обычно интересуется, по какой причине женщину направили на УЗИ, какие у нее есть жалобы. Эта информация необходима для того, чтобы обратить особое внимание и в многократном увеличении рассмотреть наиболее интересующие органы малого таза. При этом обследование подразумевает полное и тщательное изучение состояния всей мочеполовой системы пациентки.
Процедура проводится следующим образом:
1. Врач надевает на УЗ-датчик медицинский презерватив и смазывает его специальным гелем, который облегчает его проникновение в вагину и устраняет воздушное пространство между трансдюсером и исследуемыми органами.
2. Все движения врач выполняет медленно и аккуратно, поэтому дискомфортных ощущений во время процедуры не возникает. Почувствовать боль женщина может лишь в случае, когда в исследуемой области находится воспалительный очаг. При возникновении любых дискомфортных ощущений нужно незамедлительно сообщать это врачу-диагносту.
3. На мониторе УЗ-аппарата визуализируется точное отображение исследуемых органов, полученную картинку врач может многократно увеличить и просмотреть интересующие элементы в мельчайших подробностях.
4. Зафиксировав все необходимые данные, врач извлекает датчик из вагины. Женщина может одеваться и забирать результаты УЗИ, которые в дальнейшем расшифровывает направивший на исследование доктор.
Подготовка к ТвУЗИ
Интравагинальное УЗИ отличается не только простотой проведения при высокой информативности, но и отсутствием подготовки к этому обследованию. Не нужно пить воду для наполнения мочевого пузыря, трансвагинальный датчик хорошо визуализирует матку, яичники, маточные трубы, связочный аппарат и прилежащие органы без проведения дополнительных манипуляций.
Своеобразная подготовка нужна лишь пациенткам, страдающим от выраженного метеоризма:
1. За 2 дня до исследования стоит ограничить употребление продуктов, повышающих газообразование в кишечнике: хлебобулочные изделия, свежие овощи и фрукты, кисломолочные продукты.
2. В день проведения ТвУЗИ врач может назначить принять Энзистал, Эспумизан, активированный уголь или Смекту. Препарат выбирается врачом исходя из переносимости пациенткой действующих веществ медикамента и не может быть выбран на свое усмотрение.
Трансвагинальное УЗ-исследование беременным рекомендуют проводить на умеренно наполненный мочевой пузырь, поэтому для таких пациенток предварительное посещение туалета не требуется.
На какой день менструального цикла проводят ТвУЗИ
Женщины часто спрашивают, можно ли делать трансвагинальное узи во время месячных. Для максимально точной оценки состояния женской мочеполовой системы (вне периода беременности) стоит придерживаться определенной зависимости проведения ТвУЗИ от дня менструального цикла:
Однако существуют ситуации, когда необходимо экстренное проведение процедуры независимо от дня цикла:
- внезапное нарушение менструальной функции: очередная менструация оказалась более обильной и со сгустками, более длительной (дольше 7 дней) либо в течение 1 месяца вовсе не наступила;
- кровянистые выделения, которые пациентка не связывает с наступившей менструацией, т. е. они могут появиться до, после очередных месячных или в середине цикла;
- выделения с кровью у беременных;
- выделения с примесью крови во время или после полового акта;
- появление кровянистых выделений у женщины в менопаузальном периоде;
- боли внизу живота.
Появление таких симптомов должно стать поводом обращения женщины любого возраста к гинекологу и дальнейшего прохождения ТвУЗИ.
Трансвагинальное УЗИ матки и яичников

Трансвагинальная диагностика подразумевает исследование внутренних органов женщины при помощи ультразвука. Трансвагинальное УЗИ матки предоставляет данные о состоянии всей репродуктивной женской системы — обследование незаменимо при изучении состояния яичников, матки и маточных труб, а также шейки матки.
Особенности трансвагинального исследования женских органов
Гинекологическое УЗИ матки и яичников проводится с использованием трансвагинального датчика. В процессе исследования он отделен от исследуемых органов только тонкой влагалищной стенкой, которая не может быть препятствием для ультразвуковых волн. Важен и радиус распространения ультразвука: если при трансабдоминальном УЗИ гинеколог просматривает орган сбоку, при вагинальном исследовании открывается вид снизу. Близость к матке позволяет получить более точную информацию и поставить правильный диагноз.

Сам датчик представляет собой стержень из пластика 12 см в длину и диаметром в 3 см. Рукоятка у него скошена, а на конце стержня есть небольшой канал с иглой. Благодаря такому строению становится возможным одновременное проведение биопсии — забора тканей для дальнейшего гистологического исследования.
Трансвагинальное УЗИ матки считается наиболее достоверным из всех методов ультразвуковой диагностики. Все из-за максимально короткого расстояния обследуемых органов от датчика.
Когда назначается УЗИ матки и яичников трансвагинальным методом
С появлением трансвагинального УЗИ возможности гинекологов и акушеров в области диагностики заболеваний значительно расширились. Этот метод не имеет себе равных, когда речь идет о своевременном обнаружении гинекологических заболеваний на начальном этапе развития.
Исследование внутренних органов трансвагинальным датчиком показано при:
- Появлении кровянистых выделений в середине менструального цикла.
- Выделениях из половых путей с запахом, необычной окраской и консистенцией.
- Слишком продолжительной или, наоборот, кратковременной менструации (менее 3-х или более 7-ми дней).
- Ноющих болях внизу живота, несвязанных с нормальной менструацией.
- Приеме гормональных препаратов, для контроля результатов лечения.
- Ощущении дискомфорта при половых контактах.
- Профилактическом осмотре у гинеколога, если женщина не посещала гинеколога несколько лет.
- Подозрении на внематочную беременность;
- Лечении болезней, связанных с нарушениями мочеиспускания — трансвагинальное УЗИ матки подходит и для обследования мочевого пузыря.
- Длительном ношении внутриматочной спирали с целью предотвращения возможных осложнений и инфекций.
- Бесплодии — ненаступлении беременности при условии нормальной половой жизни больше полугода.
Какие заболевания выявляет обследование
Трансвагинальное гинекологическое УЗИ легко диагностирует следующие заболевания и состояния женского организма:
- Кистозные образования (кисты) яичников.
- Воспаление в маточных трубах (гной, кровь).
- Эндометриоз шейки матки.
- Миома матки.
- Беременность.
- Злокачественные образования в матке.
- Полипоз эндометриального слоя (полипы).
- Рак яичников.
- Разрыв кисты.
- Аномальное развитие органов мочеполовой системы.
Метод трансвагинального УЗИ матки также с успехом применяется для определения качества процесса созревания фолликулов. Такое исследование позволяет вовремя обнаружить непроходимость маточных труб и степень данной патологии. Это очень важно при поиске подходящей методики лечения женского бесплодия.
Трансвагинальнальный датчик, вводимый во влагалище очень чуткий, поэтому метод применим в диагностике патологии в развитии плода при беременности и замершей беременности.
Подготовка к обследованию
Ничего особенного для проведения трансвагинального УЗИ матки не требуется. Единственное, что обязательно нужно сделать, — опустошить мочевой пузырь, чтобы орган не сдавливалвлагалище и матку. Женщинам, страдающим метеоризмом, примерно за час до процедуры следует принять препарат, уменьшающий газообразование («Смекта», «Эспумизан» и др.).
Обследовать внутренние женские органы трансвагинальным способом можно только у женщин, живущих половой жизнью. Для девственниц такое исследование неприемлемо — им подойдет трансабдоминальное УЗИ без введения датчика во влагалище.
Ещё одна альтернатива обследования — трансректальное УЗИ с введением датчика через прямую кишку.
В какой день менструального цикла можно идти на гинекологическое УЗИ
Женщинам перед записью на трансвагинальное УЗИ матки, следует обратить внимание на день менструального цикла.
Точность полученных результатов будет определяться правильным выбором даты проведения УЗИ в зависимости от последней овуляции. Обычно она происходит на 12-14 день после завершения месячных.
После овуляции состояние внутренних органов женщины меняется. Это происходит перед вероятным наступлением зачатия.
Исходя из цели исследования, назначают его на разное время:
- При плановом осмотре женских органов малого таза исследование проводится через 5-7 дней после месячных.
- При подозрении на эндометриоз — во второй половине цикла.
- При наличии воспалительных процессов в матке и органах малого таза — несколько раз в течение цикла.
- При необходимости проконтролировать процесс созревания фолликулов — также несколько раз за цикл.
- При появлении кровотечения, не относящегося к менструации, — экстренно в любое время.
- При беременности — только один раз в первом триместре.
На более поздних сроках трансвагинальную диагностику при беременности не проводят во избежание возможных осложнений и риска прерывания беременности.
Как проводится трансвагинальное УЗИ матки и яичников
Введение трансвагинального датчика (трансдьюсера) во влагалище — процедура абсолютно безболезненна при условии соблюдения некоторых правил.

- Перед обследованием женщина раздевается до пояса, снимая нижнюю часть одежды. Затем ложится на кушетку или кресло, как для гинекологического осмотра. Врач надевает на датчик презерватив и выдавливает сверху немного специального геля. С его помощью обеспечивается безболезненное введение прибора и более тесный контакт со стенками влагалища.
- Датчик неглубоко вводится во влогалище, не оставляя неприятных ощущений, если пациентка расслабилась. В процессе исследования внутренних органов специалист может немного менять положение датчика, двигая его в разные стороны. Это необходимо для получения более полной информации. В случае ощущения боли или дискомфорта необходимо сразу сообщить об этом врачу.
- Во время обследования нельзя напрягаться, шевелиться, разговаривать, пока врач сам не задаст вопросы.
Процедура длится примерно 15-20 минут, после чего женщина получает полную информацию о состоянии своей репродуктивной системы.
Для чего нужно вагинальное УЗИ при беременности?
При проведении ультразвуковой диагностики в первом триместре беременности часто используют именно трансвагинальный метод. Он позволяет диагностировать некоторые патологии еще на первом этапе и вовремя отреагировать на их появление.
С помощью трансдюсера врач устанавливает вероятность выкидыша или необходимость прерывания беременности, своевременно распознает отслойку плаценты и недостаточную толщину слоя матки, из которого она образуется, — хориона.
Использование трансвагинального метода обследования матки на поздних сроках беременности исключено из-за вероятности усиления тонуса матки, что может вызвать преждевременные роды. Беременным женщинам, начиная со 2-го триместра беременности делают 3Д УЗИ и 4Д УЗИ.
Как расшифровать результаты УЗИ матки
Для получения всей информации о состоянии половой системы женщина должна проконсультироваться со своим гинекологом. При расшифровке полученных результатов трансвагинального сканирования врач уделит особое внимание следующим характеристикам:
- Размеры матки и шейки матки.
- Локализацию (область расположения яичников) и их размеры.
- Расположение и параметры матки и ее шейки.
- Состояние видимой части маточных труб.
- Наличие жидкости в брюшной полости.
- Размеры и число созревших фолликулов.

Нормальные показатели состояния внутренних органов
Результаты исследования матки состоят из следующих данных:
- Антефлексио — нормальное расположение матки с наклоном кпереди.
- Ретрофлексия — особенность развития матки, не относящаяся к патологиям, но представляющая проблему при планировании беременности. Ретрофлексия может стать причиной внематочной беременности или бесплодия.
- Контуры матки в норме четкие и ровные . Небольшая неровность бывает из-за воспаления маточных мышц или близлежащих тканей. Нечеткий контур свидетельствует о наличии опухоли (доброкачественной или злокачественной).
- Размеры: 7 см в длину и 6 см в ширину, диаметр матки — около 4 см. Показатели меньше нормы означают «инфантильность матки», выше нормы — признак миомы, злокачественной опухоли или же беременности.
- Полость матки: однородная с ровными краями . Нечеткость контуров — признак эндометрита. Термин «гиперэхогенное образование» применяется по отношению к злокачественным опухолям, полипам и миоматозным узлам.
- Эхогенность стенок однородная , в противном случае возникает подозрение на опухоль.
Минимальный показатель толщины эндометрия в разные фазы цикла меняется и составляет:
Нормальная картина УЗИ
Как же выглядит картина ультразвукового исследования в норме у здоровых женщин?
Номальная матка

Рис. 1. Нормальная матка.
Вторая фаза цикла. Миометрий однородный.
Толщина М-ЭХО соответствует дню цикла.
При оценке состояния матки при УЗИ можно определить:
- Положение матки.
В норме матка бывает либо отклонена в сторону мочевого пузыря, то есть кпереди (это положение матки называется anteflexio), либо отклонена в сторону прямой кишки, то есть кзади, - (retroflexio). - Размеры матки (продольный, передне-задний и поперечный). Средние значения размеров нормальной матки в длину от 4,0 до 6,0 см, переднее-заднего от 2,7 до 4,9 мм.Размеры тела матки варьируют в зависимости от возраста женщины, конституции и акушерско-гинекологического анамнеза.
- Состояние эндометрия (его толщина изменяется в зависимости от дня менструального цикла).
Сразу после окончания менструации эндометрий визуализируется в виде полоски толщиной 1-2 мм. Во второй фазе цикла толщина эндометрия (М-ЭХО) может составлять от 10 до 14 мм в среднем. - Состояние миометрия.
В норме миометрий должен быть однородным и не иметь в своей структуре патологических образований (миомы, аденомиоз и т.д.)
Номальные яичники

Рис. 2. Нормальный яичник с фолликулряным аппаратом.
Доминантного фолликула нет, поскольку исследование проводилось на 3 день менструального цикла.
При оценке состояния яичников по УЗИ определяется:
- Положение яичников.
В норме расположены по бокам от матки, чаще всего несимметрично, на небольшом расстоянии от углов матки. Форма яичников, как правило, овальная, при этом правый и левый яичники совершенно не идентичны друг другу. - Размеры яичников (продольный, передне-задний и поперечный).
Средние значения размеров нормальных яичников в длину от 2,4 до 4,0 см, переднее-заднего от 1,5 до 2,5 мм. - Структура яичников.
В норме яичники состоят из капсулы и фолликулов различной степени зрелости (в первой фазе цикла). Во второй фазе цикла, как правило, визуализируется желтое тело - признак произошедшей овуляции. Число фолликулов может быть неодинаковым слева и справа. Зреющий фолликул выявляется уже в первой фазе цикла и достигает к овуляции максимальных размеров, в среднем около 20 мм.
Содержимое доминантного фолликула однородное, поскольку он содержит фолликулярную жидкость, а капсула тонкая. После овуляции на месте доминантного фолликула образуется желтое тело, которое имеет, как правило, сетчатую эхоструктуру (оно содержит жировую ткань) и также тонкую капсулу - 1-2 мм. Чаще всего по форме это образование овальное или неправильно формы.
Нормальные маточные трубы
В норме маточные трубы при ультразвуковом исследовании не видны.
Маточная беременность малого срока

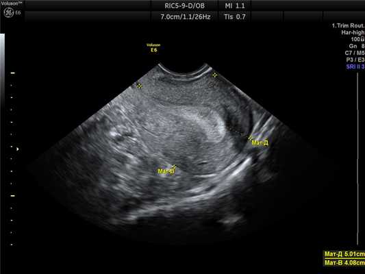
Рис. 3. Маточная беременность 7-8 недель.
Размеры плодного яйца и эмбриона соответствуют сроку задержки менструации.
При беременности в полости матки визуализируется на ранних сроках только плодное яйцо, в дальнейшем, появляется эмбрион. Размеры плодного яйца и эмбриона должны соответствовать сроку беременности по менструации.
Обязательной является также и оценка сердцебиения у плода, которое, как правило, появляется уже после 10-14 дней задержки менструации.

Толщина М-эхо, норма. 2Д.

УЗИ норамльной матки. 2Д.

УЗИ нормальной матки. 2Д.
При беременности в одном из яичников должно визуализироваться желтое тело беременности, которое контролирует развитие данной беременности и обеспечивает на ранних сроках (до формирования плаценты) жизнедеятельность плода.
Патология полости матки


Рисунок 1. Нормальная анатомия женских половых органов
Данный раздел необходимо начать с определения понятия "полость матки". Полость матки - это полость, ограниченная со всех сторон эндометрием (внутренней оболочкой матки).
Эндометрий в течение менструального цикла подвергается циклическим изменениям. В норме, в первый день менструации верхний слой эндометрия отслаивается, что сопровождается менструальным кровотечением. Далее менструация прекращается, и эндометрий начинает пролиферировать (то есть разрастаться).
После овуляции, начинается следующая фаза цикла, во время которой эндометрий как бы «набухает» и его толщина увеличивается. Таким образом, организм женщины как бы готовится к возможной беременности.
Если оплодотворение происходит, то «пышный» эндометрий полностью готов к имплантации (прикреплению) оплодотворенной яйцеклетки, и созданы все условия для развития беременности.
Если оплодотворение не происходит, то под воздействием определенных гормонов, эндометрий, который «вырос» в течение цикла, вновь отслаивается, то есть начинается менструация.
В норме толщина эндометрия сразу после менструации составляет примерно 0,2-0,3 см , перед менструацией - около 1 см .
| Услуга | Цена, руб. |
| Первичный прием (осмотр, консультация) акушером-гинекологом (д.м.н., профессором) (В01.001.001) | 5 500 руб. |
| Повторный прием (осмотр, консультация) акушером-гинекологом (д.м.н., профессором) (В01.001.002) | 3 000 руб. |
| Первичный прием (осмотр, консультация) акушером-гинекологом (к.м.н) (В01.001.001) | 4 000 руб. |
| Повторный прием (осмотр, консультация) акушером-гинекологом (к.м.н) (В01.001.002) | 2 800 руб. |
Исходя из вышеперечисленной информации, патология полости матки может быть условно подразделена на несколько подгрупп:
- Гиперплазия эндометрия - то есть патологическое разрастание эндометрия, иногда неравномерное, очаговое. Отдельные участки разрастания называются «полипами». Лечение гиперплазии эндометрия - хирургическое с последующим назначением консервативной терапии (при необходимости).
- Внутриматочные синехии (спайки, сращения), которые образуются после внутриматочных вмешательств (аборты), при длительном ношении спиралей или после воспаления эндометрия (эндометрит);
- Злокачественные заболевания эндометрия (аденокарцинома);
- Остатки плодного яйца после выскабливания полости матки;
- Инородные тела в полости матки (внутриматочные спирали или нити после оперативных вмешательств).
- Субмукозная миома матки , находящаяся в полости матки;
- Интерстициальная миома матки , предлежащая к полости матки и деформирующая ее;
- Аденомиоз (внутренний эндометриоз) - подтвердить наличие которого можно при гистероскопии.
- в частности, внутриматочные перегородки
Основные виды патологии полости матки представлены на Рисунке 2.

Рисунок 2. Основные виды патологии полости матки
Гиперплазия эндометрия
Рассмотрим одну из самых распространенных патологий полости матки - гиперплазию эндометрия.
Гиперплазия эндометрия - процесс, характеризующийся неадекватной и неинвазивной пролиферацией (разрастанием) желез эндометрия с различным качеством предлежащей стромы. В последнее время большое значение в развитии данного процесса придается неадекватному избыточному росту сосудов, т.е. избыточному ангиогенезу. В будущем, при создании препаратов, которые смогут блокировать эти процессы, т.е. обладать антиангиогенными свойствами, гиперплазия эндометрия и лечение будет весьма легкой задачей для врача.
Классификация гиперплазии эндометрия
Эндометрий в норме состоит из железы и стромы (основы). В зависимости о того, какая ткань разрастается, выделяют следующие основные виды гиперплазии эндометрия:
- железистая гиперплазия эндометрия;
- фиброзная гиперплазия эндометрия;
- железисто-фиброзная гиперплазия эндометрия.
В настоящее время используется более современная классификация, которая подразделяет гиперплазию эндометрия на простую и сложную (с атипией или без). Железистая гиперплазия эндометрия является одной из наиболее часто встречающихся типов патологии эндометрия. .
Атипическая гиперплазия эндометрия может быть обнаружена как в гиперплазированном эндометрии, так и в атрофичном, и в полипах. Этот тип гиперплазии эндометрия характеризуется высокой частотой ее перехода в рак эндометрия. Атипическая гиперплазия характеризуется структурной перестройкой желез и более интенсивной пролиферацией по сравнению с другими видами гиперплазии эндометрия.
Причины гиперплазии эндометрия
Что же является основными причинами развития гиперплазии эндометрия? В настоящее время основными причинами, вызывающими гиперплазию, считаются:
- Гормональные нарушения;
- Инфекции;
- Генетические факторы.
Однако до сих пор остается непонятным, почему эта патология развивается у одних женщин и не развивается у других при прочих равных условиях. Достаточно часто, железистая гиперплазия эндометрия встречается у пациенток с хронической ановуляцией (например, при поликистозных яичниках). К сожалению, при проведении стимуляции овуляции и воздействии гормональных препаратов на эндометрий, формирование железистой гиперплазии также диагностируется также довольно-таки часто.
Согласно последним данным, существует генетическая предрасположенность у некоторых женщин к патологическому образованию новых сосудов в тканях, в частности, в слизистой полости матки (нарушение ангионенеза), а также к нарушению запрограммированной гибели клеток в организме, что происходит в норме. Эти генетические факторы сейчас считаются основными патологическими звеньями развития многих гинекологических заболеваний, в том числе и гиперплазии эндометрия.
Гиперплазия эндометрия подразделяется на несколько основных видов:
- Без атипии, когда клетки эндометрия имеют свою обычную структуру;
- С атипией, когда клетки эндометрия изменяют свою структуру.
Атипическая гиперплазия эндометрия всегда вызывает особую настороженность, поскольку считается основой для развития злокачественных изменений эндометрия. Такие процессы могут длительно персистировать, но, к сожалению, время перехода их в злокачественную форму установить невозможно.
По данным литературы риск развития злокачественных процессов при наличии атипической гиперплазии (по классификации ВОЗ) колеблется от 15 до 40%, что связано с широкой вариабельностью дифференциально-диагностических критериев.
Диагноз "Гиперплазия эндометрия", предварительно установленный на основании клинических данных и проведения УЗИ, требует проведения гистероскопии и раздельного диагностического выскабливания с последующим гистологическим исследованием для уточнения формы патологии и выбора правильной тактики дальнейшего лечения. В ряде случаев гистероскопия является не только методом диагностики, но и методом лечения.
Гиперплазия эндометрия - лечение:
- ;
- гормональная консервативная терапия после гистероскопии; при наличии рецидивирующей гиперплазии, неэффективности гормональной или гиперплазии эндометрия с атипией.
Лечение гиперплазии эндометрия начинается с хирургического удаления эндометрия с последующим гистологическим исследованием. После того, как установлен точный диагноз, возможно определить дальнейшую тактику ведения. Она определяется, как гистологическим типом патологии, так и рядом других факторов: заинтересованность в беременности, возраст, наличие сопутствующих заболевания и многими другими.
Таким образом, основным методом диагностики и лечения гиперплазии эндометрия является гистероскопия. Только после установления диагноза есть возможность выбирать дальнейшую тактику ведения.
Полип эндометрия
Полип эндометрия - это отдельный вырост слизистой полости матки. Полипы эндометрия бывают железистыми, фиброзными и смешанными, в зависимости от причины, которой они вызваны. Универсальным методом диагностики и лечения полипов эндометрия является гистероскопия (гистерорезектоскопия).
Внутриматочные синехии
Внутриматочные синехии - это спайки в полости матки, которые очень часто мешают имплантации оплодотворенной яйцеклетки, что приводит к бесплодию. Причинами внутриматочных синехий могут быть воспалительные заболевания органов малого таза, так и внутриматочные вмешательства (аборты, выскабливания по поводу замершей беременности, оперативные вмешательства на матке).
Наличие внутриматочных синехий безопасно для жизни, и может проявлять себя скудными менструациями или их отсутствием. Однако, при возникновении вопросов беременности, внутриматочные сращения могут быть серьезной проблемой, особенно при распространенных формах и выраженном повреждении матки./p>
Субмукозная миома матки
Субмукозная миома матки также нарушает анатомию полости матки и «выполняет» роль спирали, также способствуя развитию бесплодия.
Читайте также:
