УЗИ анатомия вен шеи
Добавил пользователь Евгений Кузнецов Обновлено: 31.10.2025
Спектр патологии вен верхних конечностей более узкий и редкий, чем на нижних конечностях.
Варикозное расширение поверхностных вен совсем не характерно для верхних конечностей.
УЗИ вен в/к может быть полезным при артериовенозной фистуле у пациентов на гемодиализе.
Тромбоз вен верхних конечностей обычно связан с наличие центрального венозного катетера.
Онкобольные в стадии гиперкоагуляции крови относятся в группу высокого риска тромбоза вен в/к.
Однако, у 20% пациентов тромбоз вен в/к происходит спонтанно, без видимых причин возникновения.
Строение вен верхних конечностей
Венозная система в/к состоит из глубоких и поверхностных вен.
На предплечье глубокие вены удвоены и сопровождают соответствующие артерии: локтевая и лучевая.
Проксимально — плечевая, подмышечная, подключичная и плечеголовная вена, в основном не удвоенные.
В подмышечной зоне часто можно наблюдать продолженный сегмент удвоенной вены, хорошо видно на УЗИ.

Поверхностная венозная система в/к составляют два ствола: латеральная и медиальная подкожная вена.
В области локтя вены анастомозируют с помощью промежуточной вены локтя (V. intermediacubiti).
Медиальная подкожная вена проходит по внутренней поверхности предплечья, вдоль m. Flexor carpi ulnaris, от кисти к подмышечной впадине, где впадает в подмышечную вену.
Особенностью медиальной подкожной вены является то, что на границе нижней и средней трети плеча она с подкожного положения проникает в глубокую фасцию плеча.
Латеральная подкожная вена берёт начало от наружной поверхности кисти, продолжается по наружной поверхности предплечья и плеча, на уровне латеральной стороны бицепса, и в верхней трети плеча впадает в плечевую вену.
Поверхностные вены проходят независимо от артериальной системы.
Рисунок. Продольный срез плечевой артерии и вены (1); плечевая артерия и две смежные вены (2).
Одна нормальная вена возле артерии, может скрывать наличие тромба во второй смежной вене.
Другие венозные протоки зоны плеча и боковой части грудной клетки впадают в подмышечную вену. Пройдя первое ребро, подмышечная вена продолжается в виде подключичной вены.
Подключичная вена соединяется с внутренней яремной веной, образуя плечеголовную вену.
Правая и левая плечеголовные вены соединяются и образуют верхнюю полую вену, которая затем впадает в правое предсердие.

В связи с близостью к правому предсердию, в венах в/к постоянная сердечная фазность кровотока.
Перфорантные вены проходят между поверхностной и глубокой венозной системой предплечья и плеча.
При отсутствии тромбоза их обычно невозможно увидеть из-за слишком маленького размера.
Вены перфоранты увеличится, когда задействованы в отведении крови от закупоренного сосуда.
В просвете вен в/к можно видеть клапаны, место первого клапана непостоянное, чаще в плечевой вене.
Створки клапанов должны быть тонкими и двигаться в зависимости от направления движения крови.
УЗИ вен верхних конечностей
Пациент находится в горизонтальном положении, а рука - в нейтральной анатомической позиции.
Рука должна быть частично отведенной в сторону, чтобы иметь возможность осмотреть подмышечную вену.
Если рука отведена полностью, подмышечная вена может спадать при прохождении между ключицей и первым ребром.
Для проведения обследования используют линейный датчик 7-12 МГц обеспечивает достаточную глубину.
Важно убедиться, чтобы доплер был настроен под маленькую скорость кровотока, что характерно для вен.
Стандартная компрессия сосудов используется по всей руке и шее, для поверхностных и глубоких вен.
Вены подвергаются компрессии вплоть до полного исчезновения просвета, эффективно исключая тромб.
Однако для подключичных и центральных вен данный метод использоваться не может по их положению.
Рисунок. Поперечный срез сосудов в/к в подмышечной впадине: видно подмышечную и медиальную подкожную вену руки (1); при компрессии видно только артерию (2).
Тромб можно непосредственно увидеть в просвете вены; эхогенный, фиксированного к сосудистой стенке.
При тромбозе вены на компрессии вена не спадается; свежие тромбы имеют мягкую и желейную структуру.
Компрессию проводят в поперечном срезе, в продольном срезе вена выходит за пределы сканирования.
Так же в поперечном срезе возможно более точно определить парные вены.
ЦДК — эффективный вспомогательный методом для подтверждения проходимости вены.
Весь широкий просвет вены должен полностью обозначатся цветом.
Во время сканирования ЦДК в крупных центральных венах физиологическое колебание направления кровотока.
Из-за сокращения правого предсердия а-волна возвращается в венозное русло — реверсный тип кровотока.
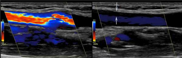
Рисунок. При ЦДК ВЯВ полностью закрашена, что исключает тромбоз.
Для усиления сигнала в венах с медленным кровотоком или суженным просветом, подойдет проба Вальсальвы.
Для сосудов предплечья также применяется быстрая компрессия, чтобы протолкнуть кровь по венам.
Элайзинг эффект появляется, когда цветовая шкала не соответствует скорости кровотока в венах.
При в сосуде с большей скоростью кровотока, часто не видно медленный ламинарного потока вдоль стенки.
Можно неправильно трактовать; возможно перепутать этот артефакт со сгустком, прикрепленным к стенке.

Рисунок. Когда цветовая шкала настроена на более высокий диапазон скорости, цвет заполняет только центральный сегмент с высокой скоростью тока крови. Зона вдоль стенок это артефакт, не стоит путать с пристеночным тромбом.
Профиль кровотока в спектральном допплеровском режиме имеет значение при исследовании вен в/к.
Так как вены в/к близкие к сердцу, регистрация выраженной фазности кровотока с кривой формы ASVD.
Выраженная фазность указывает, что проходимость от точки до правым предсердием удовлетворительной.
Отсутствие фазности, наоборот, косвенное свидетельство тромбоза центральных вен.
Визуально оценить центральные вены бывает трудно, т.к. легкое и костные структуры препятствуют.
Рисунок. Спектр ВЯВ кривая соответствует активности в правого предсердия: сокращение предсердий -короткий реверсный кровоток волна а; быстрый антеградный поток в пустое правое предсердие, после замедляется — волна S; трикуспидальный клапан открывается и антеградный поток крови с большой скоростью заполняет правый желудочек, после замедляется — волна D.
Тромбоз вен в/к и яремных вен
Принципы для обследования тромбоза вен н/к аналогично применяются и для вен в/к и шеи.
Малое уменьшение просвета при компрессии, отсутствие окраса при ЦДК и ЭДК указывают на тромбоз.
Проксимально подмышечная и подключичная вены не поддаются компрессии в связи с их расположением.
Диагностика тромбоза в данных сосудах зависит от внимательного обследования с помощью доплера.
Косвенные признаки тромбоза — потеря колебания стенки вены от фаз дыхания и сердечного ритма.
Такие симптомы важны в том случае, если предполагается тромбоз центральной вены (плечеголовной, ВПВ).
Отсутствие волны антеградного кровотока на пробе Вальсальвы, указывает на тромб в центральной вене.
Сравнение с кровотоком на противоположной стороне может помочь в определении уровня тромбоза.
Просвет нормальной вены анэхогенным, при ЦДК должен быть полностью закрашен.
Тромб — неподвижный эхогенный материал в просвете сосуда, при ЦДК в пораженной зоне поток отсутствует.
Новообразованный тромб относительно гипоэхогенный, в процессе развития эго эхогенность повышается.
Для свежего тромба характерно расширение вены, которая становится более округлой формы.
Тромбоз в результате проведения терапии постоянным венозным катетером, имеет особенности.
Тромб может распространяться вдоль катетера, или прикрепиться к верхушке.
При локализации тромба в центральных венах, его визуализация с помощью В- режима невозможна, поэтому использование Допплера необходимо.
В крупных венах верхнего плечевого пояса (ПКВ и ВЯВ) на всей протяженности наблюдаем ASVD-кривую.
Если спектр в вене низкой амплитуды и имеется ретроградный кровоток, указывает на центральный тромб.
Если симптомы с правой и левой подключичной и яремной вене, уровень обструкции - верхняя полая вена.
Но, если подобные изменения выявлены только с одной стороны, место нахождения тромбоза - ПГВ.
УЗДГ сосудов шеи и головы (лекция на Диагностере)
Из дуги аорты выходят ПГС, левая ОСА и ПКА. На уровне правого грудино-ключичного сочленения ПГС делится на правую ОСА и ПКА.
ПКА дугой ложится на купол плевры, проходит между передней и средней лестничной мышцей, из-под ключицы ныряет в подмышку.
Ветви ПКА:
- I сегмент до лестничной мышцы — позвоночная, щитовидно-шейная, внутренняя грудная артерия;
- II сегмент в межлестничном канале — реберно-шейный ствол;
- III сегмент у выхода из межлестничного канала — поперечная артерия шеи.
Нажимайте на картинки, чтобы увеличить.

ОСА проходит позади кивательной мышцы. ОСА не имеет ветвей, у верхнего края щитовидного хряща разделяется на НСА и ВСА.
Расширение бифуркации (луковица) содержит хемо- и барорецепторы, которые настраивают работу дыхания, сердца и сосудов.

НСА начинается кнутри, затем пролегает кнаружи от ВСА; имеет короткий ствол; около угла нижней челюсти делится на восемь ветвей.
Ветви НСА: верхняя щитовидная, языковая, лицевая, восходящая глоточная, затылочная, задняя ушная, верхнечелюстная, поверхностная височная.
ВСА шире НСА; на шее поднимается между глоткой и ВЯВ, ветвей не дает; проходит в полость черепа через канал пирамиды височной кости.
В черепе ветви ВСА — глазная, передняя мозговая, средняя мозговая, задняя соединительная; верхнечелюстной артерии — средняя менингеальная.

ПА отходит от I сегмента ПКА, поднимается через отверстия поперечных отростков С6-С1, через большое затылочное отверстие входит в череп.
ПА той и другой стороны сливаются в основную артерию у заднего края моста; основная артерия делится на задние мозговые у переднего края моста.
I сегмент от устья до С6; II сегмент в канале поперечных отростков С6-С2; III сегмент от С2 до входа в череп; IV сегмент до слияния в основную артерию.

ВСА и ПА образуют артериальный круг на основании мозга с помощью передней и задних соединительных артерий; чаще одна из ветвей отсутствует.

УЗДГ сосудов головы и шеи
Оценка мозгового кровотока включает брахиоцефальные артерии на уровне шеи и интракраниальные сосуды головного мозга.
Используют конвексный или секторный датчик 3-5 МГц, а также линейный датчик 7-18 МГц.
Положение лежа на спине, шея вытянута, голова чуть повернута в противную сторону. Перед исследованием положено 5 минут покоя.
Три доступа к артериям шеи: передний — спереди от кивательной мышцы, боковой — по КМ, задний — сзади от КМ.
В В-режиме и ЦДК сканируют ОСА до бифуркации; выше бифуркации исследуют НСА через передний доступ, ВСА через боковой доступ.
Конвексным или секторным датчиком 3-5 МГц исследуют ход артерий исходящие из дуги аорты — ПГС, ПКА, ОСА, НСА и ВСА до входа в череп, а также ПА от устья до входа в череп..
Ход сосудов в норме прямолинейный, встречается извитость — C-, S- изгибы, петля. До 12 лет нарушение хода можно рассматривать как резерв длины сосуда необходимый в период интенсивного роста.
Линейным датчиком 7-18 МГц исследуют стенки артерий и доплеровский спектр.
Толщина комплекса интима-медиа на УЗИ
Стенку сосуда исследуют линейным датчиком 7-18 МГц. Когда УЗ-луч направлен под 90°, максимальное отражение и контрастность изображения.
КИМ составляют интима и медиа сосудистой стенки. Адвентиция сливается с окружающими тканями. Измеряют КИМ ОСА и ВСА на 1 см ниже и выше бифуркации.
Интима представлена эндотелием и субэндотелием; медиа — в ОСА преимущественно эластичная строма, в ВСА с выраженным мышечным компонентом.
КИМ лучше видно на удаленной стенке — анэхогенная медиа между гиперэхогенной интимой и адвентицией. В норме 0,5-0,8 мм, у пожилых 1,0-1,1 мм.

В М-режиме диаметр сосуда измеряют между интимой и адвентицией в систолу и диастолу.

Дуплексное сканирование сосудов шеи и головы
Оценивают дистальный отдел ПГС, ПКА, ОСА на всем протяжении, ВСА от устья до входа в череп, НСА в начальном сегменте, ПА в сегментах V1 и V2.
Для исследования ПГС датчик располагают в яременой вырезке, луч направляют вправо. ПГС делится на правую ПКА и ОСА. Устье левой ОСА и ПКА слишком глубоко, чтобы видеть.
ПКА I сегмент исследуют над грудино-ключичным сочленением, II сегмент — над ключицей направляют луч вниз, III сегмент — под ключицей.
Для исследования ОСА датчик располагают вдоль наружного или внутреннего края кивательной мышцы. ОСА оценивают на всем протяжении от устья до бифуркации.
У основания шеи кнутри от ОСА щитовидная железа, кнаружи — внутренняя яремная вена. Под давлением датчика ВЯВ сжимается, а ОСА нет.

От основания шеи перемещайте датчик вверх к бифуркации ОСА — место деления на НСА и ВСА. Здесь небольшое расширение — луковица.

У бифуркации ОСА расширение луковицы, начинается голый ствол ВСА и ветвящаяся НСА. Первая ветвь НСА — верхняя щитовидная артерия.

На уровне бифуркации ВСА шире НСА; расположена кнаружи и кзади от НСА, выше перемещается кнутри; не имеет ветвей на шее.

В луковице ламинарный поток по основной оси ВСА красный, а зона турбулентного потока у наружной стенки окрашивается в синий.
Снаружи луковицы расположено нервное сплетение и каротидное тельце. В редких случаях встречается опухоль каротидного тельца.

Отличие НСА и ВСА: на уровне бифуркации в 95% случаев НСА располагается кнутри; диаметр НСА меньше; от НСА на шее отходят мелкие ветви.

ПА сканируют продольно кнутри от кивательной мышцы, от угла нижней челюсти до верхнего края ключицы.
Для ПА характерна асимметрия, обычно левая больше правой. Когда ПА менее 2 мм, можно говорить о гипоплазии.
Для исследования I сегмента ПА датчик смещают до ключицы. В норме ПА отходит от ПКА на уровне С7 и входит в костный канал на уровне С6.
Возможны варианты, левая ПА отходит от дуги аорты и входит в костный канал на уровне C5.

II сегмент ПА имеет прерывистый вид, т.к. проходит в костном канале поперечных отростков С6-С2 и на месте поперечных отростков акустическое затенение.
Если на смежных участках скорость кровотока примерно одинаковая, значит патологических изменений в «слепой» зоне нет.

Для III сегмент ПА может пригодиться конвексный датчик; из-за физиологической деформации невозможно корректно оценить кровоток.
Для IV сегмента ПА исследуют секторным датчиком 1,5-2,5 МГЦ через большое затылочное отверстие в положении пациента на животе.

Триплексное сканирование сосудов шеи и головы
Основы триплексного сканирования читай здесь . Нормальные показатели в сосудах шеи и головы у взрослых и детей смотри здесь.
Спектр ОСА имеет резкий подъем и узкий пик в систолу, низкий поток в диастолу, дикротический вырез в поздней систоле и ранней диастоле.

Cпектр НСА похож на ОСА, иногда ретроградный поток в диастолу, звук «стреляющий». Постучите по поверхностной височной артерии, увидите Т-волны на спектре НСА.

Спектр ВСА имеет постепенный подъем и широкий пик в систолу, высокий антеградный поток в диастолу, пульсация почти отсутствует, звук «дующий».

Спектр II сегмента ПА по форме похож на ВСА, Vps и Ved в 1,5 раза ниже, поток исключительно антеградный. Vps может снижаться на верхних отрезках, но не более 20%.
ПА обеих сторон имеют одинаковый просвет лишь в 26-44% случаев, часто определяют асимметрию скорости, у здоровых

ВСА и ПА питают головной мозг бережно, физиологическая деформация в III сегменте артерий сглаживает пульсацию.
В ОСА и НСА высокое сопротивление, низкий поток в диастолу; в ВСА и ПА низкое сопротивление, высокий поток в диастолу.

Скорости кровотока и индексы сравнивают с нормальными значениями. На сосудах обеих сторон асимметрия Vps не должна превышать 20%, индексов RI и PI — 10%.
Яремная вена: внутренняя (ВЯВ) и наружная: анатомия, патология
Яремные вены (югулярные, vena jugularis) — сосудистые стволы, уносящие кровь от головы и шеи в подключичную вену. Выделяют внутреннюю, наружную и переднюю яремную вену, внутренняя — наиболее широкая. Эти парные сосуды относят к системе верхней полой вены.

Внутренняя яремная вена (ВЯВ, vena jugularis interna) — наиболее широкий сосуд, осуществляющий венозный отток от головы. Максимальная ее ширина - 20 мм, а стенка тонкая, поэтому сосуд легко спадается и так же легко расширяется при напряжении. В просвете ее присутствуют клапаны.

ВЯВ начинается от яремного отверстия в костной основе черепа и служит продолжением сигмовидного синуса. После выхода из яремного отверстия вена расширяется, образуя верхнюю луковицу, затем опускается, до уровня соединения грудины и ключицы, располагаясь сзади от мышцы, крепящейся к грудине, ключице и сосцевидному отростку.
Находясь на поверхности шеи, ВЯВ укладывается снаружи и сзади от внутренней сонной артерии, потом немного смещается вперед, локализуясь перед наружной сонной артерией. От гортани она проходит в комплексе с блуждающим нервом и общей сонной артерией в широком вместилище, создавая мощный шейный пучок, где снаружи от нерва идет ВЯВ, изнутри— сонная артерия.
До объединения с подключичной веной позади соединения грудины и ключицы ВЯВ еще раз увеличивает свой диаметр (нижняя луковица), а затем объединяется с подключичной, откуда начинается плечеголовная вена. В зоне нижнего расширения и в месте ее впадения в подключичную внутренняя яремная вена содержит клапаны.

Внутренняя яремная вена получает кровь из внутри- и внечерепных притоков. Внутричерепные сосуды переносят кровь из черепной полости, мозга, глаз и ушей. К ним относят:
- Синусы твердой мозговой оболочки;
- Диплоические вены черепа;
- Церебральные вены;
- Менингеальные вены;
- Глазничные и слуховые.
Притоки, идущие снаружи черепа, несут кровь от мягких тканей головы, кожного покрова внешней поверхности черепа, лица. Внутри- и внечерепные притоки яремной вены связаны через эмиссарные, которые проникают сквозь костные черепные отверстия.
От внешних тканей черепа, височной зоны, органов шеи в ВЯВ попадает кровь по лицевой, позадинижнечелюстной венам, а также сосудам от глотки, языка, гортани, щитовидной железы. Глубинные и наружные притоки ВЯВ объединяются в густую многоярусную сеть головы, гарантирующую хороший венозный отток, но, в то же время, эти разветвления могут послужить путями распространения инфекционного процесса.

Наружная яремная вена (vena jugularis externa) имеет более узкий просвет, нежели внутренняя, и локализуется в шейной клетчатке. Она транспортирует кровь от лица, наружных частей головы и шеи и легко просматривается при напряжении (кашель, пение).
Наружная яремная вена начинается за ухом, а точнее - за нижнечелюстным углом, затем направляется книзу по внешней части грудино-ключично-сосцевидной мышцы, далее пересекает ее снизу и сзади, а над ключицей впадает вместе с передней югулярной ветвью в подключичную вену. Наружная яремная вена на шее снабжена двумя клапанами — в своем начальном отделе и примерно посередине шеи. Источниками ее наполнения считаются вены, идущие от затылка, ушной и надлопаточной областей.
Передняя яремная вена находится немного снаружи от средней линии шеи, она несет кровь от подбородка путем слияния подкожных сосудов. Передняя вена направлена вниз по передней части челюстно-подъязычной мышцы, чуть ниже — спереди от грудино-подъязычной мышцы. Соединение обеих передних яремных вен прослеживается над верхним краем грудины, где образуется мощный анастомоз, именуемый яремной венозной дугой. Изредка происходит соединение двух вен в одну — срединную вену шеи. Венозная дуга справа и слева анастомозирует с наружными яремными венами.
Видео: лекция по анатомии вен головы и шеи
Изменения яремных вен
Яремные вены — главные сосуды, осуществляющие отток крови от тканей головы и мозга. Наружная ветвь просматривается подкожно на шее, доступна для пальпации, поэтому ее нередко используют для медицинских манипуляций — постановка венозного катетера, к примеру.
У здоровых людей, маленьких детей можно наблюдать набухание яремных вен при крике, напряжении, плаче, что не является патологией, хотя мамы малышей зачастую испытывают по этому поводу беспокойство. Поражения этих сосудов чаще встречаются у людей старшей возрастной группы, но возможны и врожденные особенности развития венозных магистралей, которые становятся заметны в раннем детском возрасте.
Среди изменений яремных вен описывают:
- Тромбозы;
- Расширение (дилатация яремных вен, эктазия);
- Воспалительные изменения (флебиты);
- Врожденные пороки.
Эктазия яремной вены
Эктазия яремной вены - расширение сосуда (дилатация), которое может быть диагностировано и у ребенка, и у взрослого, независимо от половой принадлежности. Считается, что такая флебэктазия происходит при недостаточности клапанов вены, что провоцирует застой излишнего количества крови, либо заболеваниях других органов и систем.
эктазия яремной вены
К эктазии яремной вены предрасполагают пожилой возраст и женский пол. В первом случае она появляется как результат общего ослабления соединительнотканной основы сосудов наравне с варикозом нижних конечностей, во втором — на фоне гормональных перестроек. Среди возможных причин этого состояния указывают также длительные авиаперелеты, сопряженные с венозным застоем и нарушением нормальной гемодинамики, травмы, опухоли, сдавливающие просвет вены с расширением ее вышележащих отделов.
Увидеть эктазию внутренней яремной вены практически невозможно ввиду глубинного ее расположения, а наружная ветвь прекрасно просматривается под кожей передне-боковой части шеи. Опасности для жизни такое явление не представляет, скорее, это косметический дефект, который может стать поводом для обращения к врачу.
Симптоматика флебэктазии яремной вены обычно скудная. Ее может совсем не быть, и самое большее, что беспокоит ее обладателя — это эстетический момент. При крупных эктазиях может появиться чувство дискомфорта на шее, усиливающееся при напряжении, крике. При значительных расширениях внутренней яремной вены возможны нарушения голоса, болезненность в шее и даже трудности с дыханием.
Не представляя угрозы жизни, флебэктазия шейных сосудов не требует лечения. С целью устранения косметического дефекта может быть проведена односторонняя перевязка сосуда без последующего нарушения гемодинамики, так как отток венозной крови будут осуществлять сосуды противоположной стороны и коллатерали.
Тромбоз яремной вены
Тромбоз — это закупорка просвета сосуда кровяным свертком, полностью либо частично нарушающим ток крови. Обычно тромбообразование ассоциируется с венозными сосудами нижних конечностей, однако и в яремных венах оно возможно.
Причинами тромбоза яремной вены могут стать:
- Нарушение свертывающей системы крови с гиперкоагуляцией;
- Медицинские манипуляции;
- Опухоли;
- Длительная иммобилизация после травм, операций, вследствие тяжелых нарушений нервной системы и опорно-двигательного аппарата;
- Введение наркотических средств в шейные вены;
- Прием медикаментов (гормональные контрацептивы);
- Патология внутренних органов, инфекционные процессы (сепсис, тяжелая сердечная недостаточность, тромбоцитоз и полицитемия, системные заболевания соединительной ткани), воспалительные процессы ЛОР-органов (отит, синусит).
Наиболее частые причины тромбоза вен шеи — медицинские вмешательства, установка катетеров, онкологическая патология. При закупорке наружной или внутренней яремной вены нарушается венозный отток из мозговых синусов и структур головы, что проявляется сильной болью в голове и шее, особенно, при поворачивании головы в сторону, усилением шейного венозного рисунка, отеком тканей, одутловатостью лица. Боль иногда иррадиирует в руку со стороны пораженного сосуда.
При закупорке наружной яремной вены можно прощупать участок уплотнения на шее, соответствующий ее ходу, о тромбозе внутренней яремной вены будут говорить отек, болезненность, усиленный венозный рисунок на стороне поражения, но прощупать или увидеть тромбированный сосуд невозможно.
Признаки тромбоза вен шеи выражены в остром периоде заболевания. По мере уплотнения тромба и восстановления тока крови симптоматика ослабляется, а прощупываемое образование уплотняется и несколько уменьшается в размере.
Односторонний тромбоз яремных вен не представляет угрозы жизни, поэтому лечат его, как правило, консервативно. Хирургические операции в этой области проводятся чрезвычайно редко, поскольку вмешательство несет гораздо больший риск, нежели наличие тромба.
Опасность повреждения рядом расположенных структур, нервов, артерий заставляет отказываться от хирургии в пользу консервативного лечения, но изредка операции производят при закупорке луковицы вены, сочетающемся с синус-тромбозом. Хирургические операции на яремных венах стремятся проводить малоинвазивными способами — эндоваскулярная тромбэктомия, тромболизис.
Медикаментозное устранения тромбоза вен шеи состоит в назначении анальгетиков, препаратов, нормализующих реологические свойства крови, тромболитических и противовоспалительных средств, спазмолитиков (папаверин), антибиотиков широкого спектра действия при риске инфекционных осложнений или если причина тромбоза, к примеру, гнойный отит. Показаны венотоники (детралекс, троксевазин), антикоагулянты в острой фазе патологии (гепарин, фраксипарин).
Тромбоз яремных вен может сочетаться с воспалением — флебитом, который наблюдается при ранениях тканей шеи, нарушении техники введения венозных катетеров, наркомании. Тромбофлебит опаснее тромбоза ввиду риска распространения инфекционного процесса в синусы мозга, не исключен и сепсис.
Анатомия яремных вен предрасполагает к их использованию для введения лекарственных средств, поэтому самой частой причиной тромбозов и флебитов можно считать катетеризацию. Патология возникает при нарушении техники введения катетера, слишком долгом его нахождении в просвете сосуда, неосторожном введении препаратов, попадание которых в мягкие ткани вызывает некрозы (хлорид кальция).
Воспалительные изменения - флебит и тромбофлебит

тромбофлебит яремной вены
Самой частой локализацией тромбофлебита или флебита яремной вены считается ее луковица, а наиболее вероятная причина — гнойное воспаление среднего уха и тканей сосцевидного отростка (мастоидит). Инфицирование тромба может осложниться попаданием его фрагментов с током крови в другие внутренние органы с развитием генерализованного септического процесса.
Клиника тромбофлебита состоит из местных симптомов — боль, припухлость, а также общих признаков интоксикации, если процесс принял генерализованный характер (лихорадка, тахи- или брадикардия, одышка, геморрагическая сыпь на коже, нарушение сознания).
При тромбофлебитах проводят хирургические вмешательства, направленные на удаление инфицированной и воспаленной стенки вены вместе с тромботическими наложениями, при гнойном отите осуществляют перевязку пораженного сосуда.
Аневризма яремной вены
Чрезвычайно редкой патологией считают истинную аневризму яремной вены, которая может быть выявлена у маленьких детей. Эта аномалия считается одной из самых малоизученных в сосудистой хирургии ввиду малой распространенности. По этой же причине не разработаны дифференцированные подходы к лечению таких аневризм.

Аневризмы яремной вены обнаруживаются у детей 2-7 лет. Предполагается, что причиной всему является нарушение развития соединительнотканной основы вены во время внутриутробного развития. Клинически аневризма может никак себя не проявлять, но практически у всех детей можно прощупать округлое расширение в области яремной вены, которое становится особенно заметным глазу при плаче, смехе или крике.
Среди симптомов аневризмы, затрудняющей отток крови из черепа, возможны головные боли, нарушения сна, беспокойство, быстрая утомляемость ребенка.
Для лечения венозных аневризм проводятся резекции мальформации с наложением анастомоза, осуществляющего сброс венозной крови, и протезирование сосудов. При травматических аневризмах возможно наблюдение, если операция представляет больший риск, нежели выжидательная тактика.
Стандарт УЗИ экстракраниальных брахиоцефальных сосудов (БЦС). Лекция для врачей
Лекция для врачей "Стандарт УЗИ экстракраниальных брахиоцефальных сосудов (БЦС)". Лекцию для врачей проводит д.м.н., профессор Куликов В. П.
Демонстрация ультразвукового исследования (УЗИ, Дуплекс, Цветовое дуплексное сканирование - ЦДС) экстракраниальных брахиоцефальных сосудов (БЦС), стандартизованного в соответствии с требованиями IAC 2019/2020. Включает УЗИ в В-режиме, ЦДК и импульсноволновой допплерографии брахиоцефального ствола, общей,
внутренней и наружной сонных артерий (ОСА, ВСА, НСА), позвоночной артерии (ПА), подключичной артерии (ПКА), внутренней яремной и позвоночных вен (ВЯВ, ПВ).
Дополнительный материал
Книга "Комплексная ультразвуковая диагностика патологии периферических сосудов" - Шумилина М. В.

В руководстве изложены принципы и методология комплексной ультразвуковой диагностики патологии экстра- и интракраниальных сосудов, сосудов верхних и нижних конечностей. Рассматриваются критерии гемодинамической значимости поражения брахиоцефальных сосудов и требования к их исследованию. Большое внимание уделено проблемам венозного давления, функциональной флебогипертензии.
Издание предназначено для специалистов по ультразвуковой (лучевой) и функциональной диагностике, а также врачей других специальностей, аспирантов, ординаторов, студентов медицинских вузов, интересующихся проблемами ангиологии.
Книга "Основы ультразвукового исследования сосудов"

Руководство «Основы ультразвукового исследования сосудов» предназначено для тех, кто хотел бы получить по возможности краткую, но достаточно полную и главное практически полезную информацию по ультразвуковой диагностике сосудистой патологии. Автор, профессор Куликов Владимир Павлович, известен специалистам по первой в России книге, посвященной дуплексному сканированию сосудов, и руководству для врачей по ультразвуковой диагностике сосудистых заболеваний.
В Руководстве представлены важнейшие сведения о технике исследования, ультразвуковых критериях нормы и патологии кровеносных сосудов, основанные на международных согласительных документах и практическом опыте работы автора. Особое внимание уделено стандартизации техники, объема и терминологии описания ультразвукового исследования сосудов.
Книга предназначена для врачей ультразвуковой и функциональной диагностики, сосудистых хирургов, неврологов и кардиологов, а так же для студентов и врачей, обучающихся по программам ультразвукового исследования сосудов.
Книга-плакат "УЗИ сосудов. нормы и критерии патологии" - В. П. Куликов

Доступно и наглядно критерии норм и патологий
Экстракардиальные сосуды
АСБ в сонной артерии
Комплексные критерии для классификации стеноза внутренней сонной артерии
Стеноз в истоке ПА
Интракардиальные сосуды
Артерии нижних конечностей
Вены нижних конечностей
Аорта и висцеральные ветви
Книга "Алгоритм неинвазивной диагностики при ишемии нижних конечностей. Методические рекомендации" - Шумилина М. В.

Методическое руководство содержит комплекс кратких и четко сформулированных предложений по неинвазивной диагностике артериальной патологии нижних конечностей. Представленная методика комплексного ультразвукового обследования, основанная на использовании диагностических преимуществ ультразвуковой допплерографии и дуплексного сканирования с цветовым картированием кровотока, разрабатывалась на базе отделения хирургического лечения артериальной патологии НМИЦССХ им. А.Н. Бакулева в течение 30 лет. Все ультразвуковые принципы диагностики сопоставлялись с клиническими проявлениями ишемии нижних конечностей, ангиографической визуализацией, операционными данными и результатами послеоперационных наблюдений.
Рекомендуется для внедрения и использования в практике всех медицинских учреждений, занимающихся сосудистой патологией, а также для обучения специалистов ультразвуковой/функциональной диагностики и сердечно-сосудистых хирургов.
Книга "Алгоритм ультразвукового обследования брахиоцефальных сосудов. Методические рекомендации"

В методических рекомендациях изложена концепция комплексного ультразвукового обследования мозгового кровообращения, представлен алгоритм обследования брахиоцефальных артерий и вен. Рассматриваются критерии гемодинамической значимости поражений и требования к их исследованию.
Издание предназначено для специалистов ультразвуковой (лучевой), функциональной диагностики, а также врачей других специальностей, занимающихся проблемами лечения сосудистых заболеваний.
УЗИ исследование шейных сегментов сонных и позвоночных артерий. Лекция для врачей
Лекция для врачей "УЗИ исследование шейных сегментов сонных и позвоночных артерий". Лекцию для врачей проводит Борис Владиславович Благодир - Научный руководитель Учебного центра МЕДТРЕЙН. Член Американского института ультразвука в медицине «The American Institute of Ultrasound in Medicine» (AIUM).
Книги по медицине с доставкой по всему миру

Основы ультразвуковой анатомии - Лукас М., Бернс Д.
Руководство предлагает краткие тексты, ультразвуковые изображения с соответствующими фотографиями трупов, цветные анатомические и технические иллюстрации, которые дадут читателям прочную основу в области методик проведения УЗИ и знания региональной ультразвуковой анатомии.

Ультразвуковое исследование в таблицах и схемах. На пружинах - Капустин С. В.
УЗИ измерения делать легко и быстро. Всегда под рукой. Помещается в карман. Долговечный. На прочных пружинах. Предназначено для специалистов ультразвуковой диагностики

Ультразвуковая диагностика в акушерстве и гинекологии для начинающих - Н. А. Алтынник
Рассмотрены все основные аспекты практического освоения материала для проведения ультразвуковых исследований в I, II и III триместрах беременности. Уделено внимание аспектам ультразвукового исследования при многоплодной беременности. Отдельная глава посвящена базовым вопросам проведения ультразвукового исследования в гинекологической практике.

Основы объемной эхографии в акушерстве - М. В. Медведев
Подробно рассмотрены вопросы методики проведения объемной эхографии при исследовании различных органов и структур плода в зависимости от срока беременности. Особое внимание уделено применению объемной эхографии в оценке лицевых структур, головного мозга, скелета, конечностей и сердца плода

Ультразвуковая диагностика в гинекологии: международные консенсусы и объемная эхография - М. В. Медведев
Представлены современные положения ультразвуковой диагностики в гинекологии на основе консенсусов международных групп экспертов по морфологическому ультразвуковому анализу матки, глубокого эндометриоза, опухолей эндометрия и яичников.
Детально представлены вопросы ультразвуковой анатомии плода во II триместре беременности при нормальном развитии и различных врожденных пороках. Отдельная глава посвящена эхографическим маркерам хромосомных аномалий у плода.

Скрининговое ультразвуковое исследование в 11-14 недель беременности
11-14 недель беременности. Подробно рассмотрены все аспекты протокола ультразвукового скринингового исследования в 11-14 недель беременности. Особое внимание уделено оценке ультразвуковой анатомии плода при нормальном развитии и различных врожденных пороках.

Скрининговое ультразвуковое исследование в 30-34 недели беременности - М. В. Медведев
Подробно рассмотрены все аспекты протокола ультразвукового скринингового исследования в III триместре беременности. Особое внимание уделено ультразвуковой фетометрии, оценке плаценты, околоплодных вод и пуповины. Детально представлены вопросы ультразвуковой анатомии плода в III триместре беременности при нормальном развитии и различных врожденных пороках с поздней манифестацией.

Измерения в детской ультразвуковой диагностике: Справочник - Пыков М. И.
Все методики исследования внутренних органов ребенка с большим иллюстративным материалом, таблицами, схемами. Для лучшего понимания материала приводятся примеры патологических изменений.

Детская ультразвуковая диагностика: Учебник. Том 4. Гинекология - Пыков М. И.
Задержка полового развития. Нарушения менструального цикла. Аномалии развития матки и придатков. Аномалии развития яичников. Аномалии развития маточных труб. Патология эндометрия. Диффузная гиперплазия эндометрия. Опухоли внутренних половых органов. Генитальный эндометриоз.

Детская ультразвуковая диагностика: Учебник. Том 3. Неврология. Сосуды головы и шеи - Пыков М. И.
Грамотное ведение ребенка в раннем возрасте с использованием скрининговой нейросонографии. При неврологической патологии нейросонография используется как основной метод лучевой УЗИ диагностики.

Детская ультразвуковая диагностика. Учебник. т.1. Гастроэнтерология - Пыков М. И.
Подробно рассматриваются возможности эхографии, допплеровских технологий в оценке печени, желчного пузыря, желчных протоков, поджелудочной железы, желудка с брюшным сегментом пищевода, толстой кишки, а также при остром абдоминальном синдроме. Отдельный раздел 1-й главы посвящен трансплантации печени у детей, "нормальному" развитию трансплантата, возможным осложнениям.

Ультразвуковая диагностика в неотложной неонатологии. III том. Руководство для врачей - Ольхова Е. Б.
Подробно рассмотрены различные заболевания органов и тканей лица и шеи, грудной клетки, в том числе диафрагмальные грыжи и ателектазы легких у младенцев. Детально представлены возможности ультразвуковой диагностики при патологии органов брюшной полости, в особенности при уникальных, свойственных только периоду новорожденное™ патологических состояниях. Так, целый раздел посвящен портальным тромбозам, их вариантам, оценке и последствиям, изложены различные варианты кишечной непроходимости и особенности их эхографической диагностики, в частности при синдроме Ледда.

Детская ультразвуковая диагностика. Учебник. т.2. Уронефрология - Пыков М. И.
Книга посвящена одному из самых сложных разделов педиатрии и детской хирургии - диагностике патологии мочевыделительной системы у детей. Подробно рассматриваются все существующие методики ультразвукового исследования мочевыделительной системы у детей.

Ультразвуковое исследование сосудов - Цвибель В. Пеллерито Дж.
Все аспекты применения допплеровских ультразвуковых исследований, такие как ультразвуковое исследование сосудов головного мозга, артерий и вен верхних и нижних конечностей, сосудов брюшной полости и малого таза у мужчин и женщин.

Ультразвуковая диагностика в неотложной неонатологии т. 2 - Ольхова Е. Б.
Подробно рассмотрены различные заболевания органов и тканей лица и шеи, грудной клетки, в том числе диафрагмальные грыжи и ателектазы легких у младенцев.

Ультразвуковая диагностика в неотложной неонатологии. Том 1 - Ольхова Е. Б.
Патология органов лица и шеи. Нейросонография. 1200 эхограмм, множество клинических примеров и образцы протоколирования ультразвуковых исследований. представлены возможности нейросонографии: ишемические и геморрагические поражения центральной нервной системы различной локализации и степени тяжести, инфекционновоспалительные заболевания головного мозга, аномалии развития.

Основы ультразвукового исследования сосудов - В. П. Куликов
Важнейшие сведения о технике исследования, ультразвуковых критериях нормы и патологии кровеносных сосудов, основанные на международных согласительных документах и практическом опыте

Ультразвуковая диагностика патологии опорно-двигательного аппарата - Ермак Е. М.
В книге рассмотрены. Костная ткань. Синовиальная среда суставов. Волокнистая хрящевая ткань. Сухожилия, связки, фиброзная мембрана суставной капсулы. Общие подходы к ультразвуковому исследованию суставов

Ультразвуковая диагностика костно-мышечной системы. Практическое руководство - Юджин МакНелли
Поражения плечевого сустава, подробно изложены семиотика повреждения. Повреждения связочного аппарата коленного сустава, менисков, нетравматических поражений коленного сустава. Методики исследований врожденной дисплазии бедра, туннельные синдромы, ультразвуковая диагностика ревматологических заболеваний, диагностика опухолевых и псевдоопухолевых заболеваний мягких тканей, а также инвазивные вмешательства под ультразвуковым контролем

УЗИ. Эхокардиография в таблицах и схемах - М. К. Рыбакова
Подробно описаны нормальная анатомия и физиология сердца, патология клапанного аппарата, мокарда, перикарда, плевральных полостей, аорты, протезированных клапанов сердца, приведены стандартные позиции эхокариографического исследования и расчеты.

УЗИ учебник. Эхокардиография от Рыбаковой - М. К. Рыбакова, В. В. Митьков
Алгоритмы тактики проведения исследования и диагностики по всем разделам эхоКГ. Большое внимание уделено - оценке легочной гипертензии, клапанных пороков сердца, ишемической болезни сердца и ее осложнений. Большое количество схем и рисунков

Учебник ультразвуковых исследований костно-мышечной системы - Болвиг Л.
Представлен широкий спектр патологии, включающий патологию и травмы мышц, связок, сухожилий, костной системы, основных тунельных компартмент синдромов ( сдавления нервных стволов в фиброзно-костных каналах). Разбираются опухолевые заболевания мягких тканей

Практическое руководство по ультразвуковой диагностике. Общая ультразвуковая диагностика - В. В. Митьков
В УЗИ книге представлены разделы, посвященные ультразвуковым диагностическим системам, физическим принципам ультразвуковой диагностики, ультразвуковой диагностике заболеваний печени, желчевыводящей системы, поджелудочной железы, пищевода, желудка, кишечника, селезенки, почек, мочевого пузыря, предстательной железы и семенных пузырьков, надпочечников, органов мошонки, лимфатической системы, молочных, щитовидной, околощитовидных и слюнных желез, органов грудной клетки.

Эхография в гинекологии - Озерская И. А.
Каждая глава состоит из небольшого этио-патогенетического раздела, подробно освещены вопросы эхографической диагностики, включая данные цветового картирования, допплерометрии, новых, недостаточно распространённых методик и дифференциально-диагностические критерии. Каждая глава иллюстрирована большим количеством эхограмм

Пренатальная эхография: дифференциальный диагноз и прогноз - М. В. Медведев
Подробно рассмотрены определение, частота, классификация, риск хромосомных и сочетанных аномалий, риск нехромосомных синдромов и эхографические критерии при наиболее часто встречающихся врожденных пороках.

Атлас ультразвуковой диагностики - Аллахвердов Ю. А.
Атлас иллюстрирован 978 эхограммами, сопровождающимися поясняющими графическими рисунками и текстами описания ультразвуковых признаков нормы и патологии, включающими также варианты краткого описания эхограмм. Описание ультразвукового исследования заболеваний каждого отдельного органа предваряется кратким изложением его нормальной эхографической анатомии.
Отзывы
Отзыв
Очень нужная книга в библиотеке специалиста ультразвуковой диагностики. Сканограммы хорошего качества, охвачены большинство встречающихся патологий. Рекомендую
Читайте также:
- Техника медиального доступа к локтевому суставу
- Синдром широкого водопровода улитки. Диагностика широкого водопровода улитки.
- Кондиломы и бородавки заднего прохода (ануса, прямой кишки)
- Рекомендации по методике УЗИ печени
- Симптомы диафрагмальной грыжи у детей. Рвота и геморрагический синдром при диафрагмальной грыже
