Рекомендации по методике УЗИ печени
Добавил пользователь Владимир З. Обновлено: 01.01.2026
УЗИ печени и желчного пузыря делается для оценки состояния этих органов. С его помощью можно диагностировать множество патологий. Но необходимо заранее узнать о том, как правильно подготовиться к процедуре, чтобы обеспечить хорошую визуализацию органов.
УЗИ ─ это доступный и безопасный вид инструментального обследования, который широко используется в медицинской практике. Сканирование проводится даже у маленьких детей и беременных женщин. У метода практически нет противопоказаний.
О процедуре
Это исследование органа, которое выполняется с использованием ультразвуковых волн. Они испускаются и воспринимаются специальной аппаратурой. Волны обладают способностью проникать в ткани на определенную глубину. Часть их них поглощается клетками, а остальные отражаются и улавливаются датчиками. При этом на мониторе появляется изображение органов. Врач ультразвуковой диагностики может оценить их структуру, внешний вид, наличие воспалительного процесса, травматического повреждения или новообразования.
Когда назначается
УЗИ печени и желчного пузыря назначается часто, потому что болезни пищеварительного тракта очень распространены среди населения. Процедура показана в двух случаях. Это либо профилактическое обследование, либо наличие симптомов, которые свидетельствуют о патологии печени или желчного пузыря. Среди них:
- пожелтение кожных покровов и глазных склер;
- беспричинный зуд кожи;
- отравления;
- хронические заболевания желудка и кишечника;
- подбор оральных контрацептивов;
- травмы органов брюшной полости;
- увеличение печени, выявленное при пальпации;
- наличие подозрений на аномалии развития желчного пузыря;
- злоупотребление алкогольными напитками в течение длительного времени;
- горький привкус во рту;
- болезненные ощущения и дискомфорт в правом подреберье, эпигастрии;
- подозрение на патологию печени или желчного пузыря;
- наличие новообразований;
- обследование для выявления эхинококкоза;
- отклонения в анализах крови, указывающие на патологию печени (повышенный уровень амилазы, билирубина);
- контроль эффективности лечения.
Если вас беспокоит какая-то проблема со здоровьем, запишитесь на диагностику. Успех лечения зависит от правильно поставленного диагноза.
Что показывает УЗИ печени и желчного пузыря
С помощью данной процедуры можно выявить изменения диффузного или очагового типа. Первые представляют собой мелкие неоднородные структуры в толще органа. Вторые ─ очаги с четкими очертаниями одиночного или множественного характера. Ниже приведен список патологий, которые можно определить по УЗИ. Вот они:
- жировой гепатоз;
- цирроз;
- гепатиты;
- аденома печени;
- гемангиома печени;
- камни в желчном пузыре;
- изменения структуры органов;
- эхинококкоз;
- аденомиоматоз желчного пузыря;
- абсцесс в печени;
- доброкачественные новообразования (кисты, полипы);
- злокачественные новообразования (рак).
Как правильно подготовиться к обследованию
Если УЗИ назначено в плановом порядке, то за несколько дней (примерно за три) перед предполагаемым сканированием пациент должен начать придерживаться специальной диеты. В случае наличия проблем с перевариванием пищи, подготовку начинают еще раньше ─ за пять дней.
Из рациона исключается жирная пища, кофеиносодержащие напитки, алкоголь. Необходимо отказаться от газообразующих продуктов (картофеля, белокочанной капусты, колбасы, бобовых, хлебобулочных изделий). Питание должно быть частым и дробным. Все блюда ─ приготовленными на пару, либо запеченными.
Если человек жалуется на вздутие живота, то ему рекомендуется примерно за день до УЗИ пропить ветрогонные препараты (Плантекс, Дисфлатил, Эспумизан). Они абсолютно безопасны, поэтому их назначают даже новорожденным малышам. Повышенное газообразование ухудшает визуализацию, мешает специалисту рассмотреть печень и желчный пузырь. Лекарственные средства на основе симетикона и его аналогов способствуют тому, что пузырьки воздуха в кишечнике слипаются и лопаются.
Также, в подобных случаях показаны адсорбенты (Энтеросгель, Полисорб, активированный уголь).
Если врач считает нужным, то дополнительно назначаются ферменты (Панзинорм, Мезим, Фестал). Их следует употреблять в количестве одной или двух таблеток во время еды.
Подготовка за день до УЗИ
За сутки до процедуры диета становится еще более жесткой. Разрешается только легкая пища (овощные блюда и бульоны, каши на воде). Другие рекомендации:
- Ужин не позднее семи часов вечера. Лучше если это будет овощное рагу или гречневая каша.
- Прием слабительного (Мукофальк, Дюфалак) или выполнение очистительной клизмы, если пациент страдает хроническими запорами.
- Отказаться от сигарет. Никотин сужает не только кровеносные сосуды, но и желчные протоки.
- Нельзя жевать жевательную резинку. Это способствует выходу желчи и искажению результатов.
Подготовка в день процедуры
Пациентов всегда волнует вопрос, можно ли есть перед УЗИ. Если исследование запланировано на вечернее время, то завтрак обязательно должен быть легким. Последний прием пищи ─ как минимум за шесть часов до сканирования.
Диагностика проводится с утра, на голодный желудок. Воду пить можно, но за час-полтора перед УЗИ лучше ограничить прием жидкости.
Если УЗИ печени и желчного пузыря проводится с нагрузкой, то следует позаботиться о том, чтобы взять с собой перекус (например, питьевой йогурт).
Бывают случаи, когда в этот же день назначены другие исследования (ирригоскопия или фиброгастродуоденоскопия). УЗИ всегда делают в первую очередь. Дело в том, что эндоскопические процедуры требуют нагнетания воздуха в желудок для улучшения визуализации.
Подготовка детей
Общие принципы подготовки остаются такими же, но с учетом возрастных особенностей.
- Грудные дети должны быть накормлены за три часа до исследования. Длительный голод они вытерпеть не в состоянии.
- Малыш в возрасте от года до трех не должен кушать четыре часа перед процедурой.
- Ребенок старше трехлетнего возраста не ест за 6 часов до УЗИ.
- У детей старше 10 лет подготовка к исследованию такая же, как и у взрослых.
Во всех случаях за час до процедуры можно напоить ребенка водой.
Некоторые дети крайне непоседливы и во время сканирования ерзают на кушетке. Такое поведение мешает врачу нормально провести обследование, поэтому задача родителей успокоить ребенка и уговорить его полежать спокойно.
Что взять на УЗИ
- Направление от врача с предполагаемым диагнозом.
- Полотенце.
- Бумажные салфетки (чтобы вытереть гель с кожи).
- Медицинская карта.
- Результаты предыдущих исследований (если они есть). Это позволит врачу оценить динамику.
Одеться лучше в комфортную и удобную одежду, которую можно легко снять, обеспечив доступ к зоне исследования.
Как делают
Процедуру проводят в специально оборудованном для этих целей кабинете. Здесь присутствует кушетка, ультразвуковой аппарат. Свет приглушен, окна зашторены. Врач просит пациента оголить исследуемую область и занять горизонтальное положение. Самая распространенная поза—лежа на боку или на спине. Далее специалист наносит на кожу гель и водит датчиком по животу, рассматривая изображение на мониторе. Если нужно, он просит больного поменять позу для улучшения видимости. После того, как изучение завершено, датчик убирают. Пациент может вставать и одеваться.
Время исследования составляет от 10 до 20 минут. В конце, доктор пишет обязательное заключение и отдает его на руки.
При наличии дискинезии желчевыводящих путей исследование проводится с нагрузкой. В первый раз его делают натощак, а потом еще раз, после еды. Это позволяет в полной мере оценить работу органа, его моторную функцию, определить наличие в нем патологических изменений.
Противопоказания
Манипуляция проводится при любых сопутствующих заболеваниях и в любом возрасте. Ограничения есть, но их немного. Вот перечень:
- наличие гнойных воспалений;
- наличие открытых ран;
- кожные заболевания в исследуемой зоне.
В подобных случаях нанесенный гель, скольжение и давление ультразвукового датчика могут привести к распространению инфекции на большую площадь. Лучше отложить манипуляцию до полного заживления кожных покровов.
Если же УЗИ проводится экстренно (при наличии острых болей в правом подреберье), то противопоказаний нет.
Получение объективных результатов ультразвукового исследования напрямую зависит от правильной подготовки. Выполнение несложных правил позволит сэкономить финансовые средства и время пациента, которые ему пришлось бы потратить на повторную процедуру в случае недостаточной информативности.
Данная статья размещена исключительно в познавательных целях, не заменяет приема у врача и не может быть использована для самодиагностики.
УЗИ печени и желчного пузыря
УЗИ печени и желчного пузыря - целенаправленное ультразвуковое сканирование органов гепатобилиарной системы при подозрении на их поражение. При УЗИ печени и желчного пузыря оцениваются размеры и структура органов, их расположение, состояние сосудов, содержимое полости желчного пузыря. УЗИ печени позволяет выявить очаговые (опухоли, кисты, метастазы) и диффузные (цирроз, гепатит, жировую инфильтрацию) изменения. На УЗИ желчного пузыря определяются аномалии строения, конкременты, полипы, воспаления (холецистит), опухолевые поражения. УЗИ печени выполняется натощак; оценка функционального состояния желчного пузыря - натощак и после приема пробного завтрака.
УЗИ печени и желчного пузыря - распространенный, неинвазивный и чувствительный метод диагностики, который широко применяет современная гастроэнтерология. Специфичность УЗИ печени в режиме серой шкалы невысока: диффузные заболевания подчас имеют сходную эхографическую картину, что затрудняет их верификацию на основе одного ультразвукового сканирования (например, при различных формах гепатита, начальных стадиях цирроза и жирового гепатоза). УЗИ желчного пузыря, в отличие от рентгенологических исследований (холецистографии и др.), не сопровождается лучевой нагрузкой, поэтому может быть проведено детям и беременным, а также при сниженных функциях почек и печени. Ввиду функциональной и анатомической взаимосвязи гепатобилиарной системы УЗИ печени и желчного пузыря часто выполняются одновременно.
Показания
Проведение УЗИ печени целесообразно при наличии лабораторных или клинических признаков, свидетельствующих о поражении печени: изменения печеночных проб, болей в правом подреберье, желтухи, похудания, пальпаторного увеличения печени, травмы области живота. УЗИ печени необходимо для отслеживания динамики в ходе лечения, исключения или обнаружения очаговых и объемных образований (кист, гематом, кальцинатов, эхинококкоза, гемангиом, рака), а также метастазов при онкопатологии другой локализации. УЗИ печени используется в процессе пункционной биопсии образований или измененных участков органа.
УЗИ желчного пузыря показано при подозрении на холецистит и ЖКБ; опухоль, водянку, эмпиему желчного пузыря; дискенезию желчных путей, после перенесенных операций на желчном пузыре и желчевыводящих протоках (холецистэктомии, экстракции конкрементов из холедоха и др.).
Подготовка к УЗИ
Методика проведения
Процедура УЗИ печени выполняется из субкостальной или интеркостальной позиции. Эхолокация печени проводится на вдохе при задержке дыхания, что обеспечивает доступность органа для визуализации. В ходе УЗИ проводится обязательное полипроекционное сканирование печени в продольном, поперечном и косом направлении. Таким образом достигается визуализация правой и левой долей печени, желчного пузыря, общего печеночного протока, холедоха, анатомических структур ворот печени. При УЗИ печени осуществляется оценка размеров, контуров, состояния паренхимы органа, печеночных и портальных вен, внутрипеченочных протоков.
При эхолокации желчного пузыря исследуется его положение, величина, форма, дыхательная подвижность, наружные и внутренние контуры, толщина и структура стенок, наличие дополнительных включений в полости, эвакуаторная функция. В ходе УЗИ печени и желчного пузыря производится определение положения, диаметра, состояния стенок и просвета внепеченочных протоков. УЗИ печени и желчного пузыря завершается обследованием брюшной полости на наличие выпота. В заключении пациенту предоставляется расшифровка протокола УЗИ печени и желчного пузыря.
Интерпретация результатов
В норме при УЗИ печени определяются следующие размеры: в передне-заднем направлении правая доля - до 12,5 см, левая доля - до 7 см; высота правой доли - до 12,5 см, левой - до 10 см; поперечный размер печени - 17-19 см. Диаметр портальной вены достигает до 13 мм, холедоха - до 6 мм. Данные о величине печени в литературе вариабельны. На размеры печени влияет конституция, рост, возраст обследуемого, глубина вдоха во время регистрации эхограммы, применяемая методика измерения. Положение нижнего края правой доли по УЗИ печени соответствует уровню правой реберной дуги; по срединно-ключичной линии нижняя граница печени выступает на 1-2 см, по срединной линии - до 6 см.
Не увеличенная в размерах печень может опускаться при бронхиальной астме и астматическом бронхите, массивном экссудативном плеврите. Смещение печени вверх может наблюдаться при метеоризме, состояниях после резекции правого легкого. Нижний угол между вентральной и дорзальной поверхностями печени в области левой и правой доли составляет соответственно менее 45° и 75°. В норме при УЗИ печени определяются ровные контуры органа, гомогенная структура, равномерное распределение эхосигналов одинаковой интенсивности, четкое изображение эхоструктур (связок, сосудов, протоков).
Желчный пузырь сканируется в виде эхонегативной структуры, удлиненной грушевидной, овальной или округлой формы с ровным четким контуром. Он прилежит к дорзальной стороне правой доли печени; имеет ширину 3-4 см и длину - 7-10 см, толщину стенки 4 мм. При УЗИ печени и желчного пузыря внутрипеченочные протоки не лоцируются.
УЗИ печени используют в качестве ориентировочного метода, выявляющего изменения, характерные для различных заболеваний. Так, при циррозе печени на УЗИ определяется неоднородная структура паренхимы, бугристые края, повышенная эхогенность, изменение размеров долей, узлы регенерации, расширение портальной вены. При хроническом гепатите УЗИ печени выявляет неоднородную эхогенность в зонах воспаления, фиброза и интактных тканей, гепатомегалию, обедненный сосудистый рисунок. Кисты и абсцессы при УЗИ печени визуализируются как ограниченные округлые жидкостные образования.
Опухоли печени с доброкачественным ростом (гемангиомы) определяются в виде очагов уплотнений, отграниченных от нормальных тканей печени. Злокачественные первичные новообразования (гепатоцеллюлярная карцинома), а также метастазы при УЗИ печени выглядят как очаги уплотненной ткани. Любые объемные образования, выявляемые в ходе УЗИ печени, требуют уточняющей диагностики с помощью томографии (магнитно-резонансной или компьютерной). УЗИ печени и желчного пузыря позволяет определять наличие конкрементов в полости желчного пузыря при ЖКБ, утолщение стенок при холецистите, изменение тонуса стенок и перегиб шейки пузыря при дискинезии органов желчевыводящей системы.
Стоимость УЗИ печени и желчного пузыря в Москве
Данная разновидность УЗИ является распространенной диагностической процедурой, широко используется в процессе скрининговых обследований и на этапе постановки диагноза, имеет доступную стоимость. Основными факторами, влияющими на цену УЗИ печени и желчного пузыря в Москве, считаются организационно-правовой статус медицинского учреждения, оперативность исследования и квалификация специалиста. Повышение стоимости возможно при обращении в престижные частные клиники, использовании дополнительных режимов сканирования и наличии дополнительного сервиса. Некоторые организации предлагают прохождение процедуры в рамках ОМС или ДМС.
УЗИ печени - методика проведения и интерпретация результатов
УЗИ печени - неинвазивное исследование органа с использованием ультразвуковых волн. Позволяет получить информацию о размерах, форме и контурах печени, структуре печеночной паренхимы и состоянии локального кровотока. УЗИ печени дает возможность обнаружить патологические очаги, оценить их характер, локализацию, форму, размеры и распространенность. Назначается при диффузных изменениях (циррозе, гепатитах, жировом гепатозе) и очаговых патологических процессах (неоплазиях, жидкостных образованиях). УЗИ печени может осуществляться как амбулаторно, так и в стационарных условиях. Абсолютно безболезненно, не доставляет дискомфорта, не представляет вреда для здоровья пациента. Требует специальной подготовки для уменьшения газообразования в кишечнике.
УЗИ печени является достаточно новым методом исследования. Ультразвук был открыт в 1794 году, когда итальянский ученый Спалланцани выдвинул гипотезу о существовании невидимых лучей, испускаемых летучими мышами для ориентировки в пространстве. В медицине ультразвуковые волны используются с начала ХХ века. Вначале ультразвук применяли для лечения некоторых заболеваний. Затем исследователи предприняли ряд попыток проектирования диагностических приборов с использованием ультразвукового излучения.
Первый УЗИ-аппарат был создан в 1949 году. При исследовании печени и других органов брюшной полости с помощью этого аппарата пациенту нужно было неподвижно сидеть в резервуаре, пока вокруг него двигался специальный сканер. В середине 60-х годов появились первые приборы для проведения УЗИ печени, почек, мужской и женской репродуктивной системы и других органов, действующие по тем же принципам, что и современные аппараты, оснащенные мануальными датчиками. В настоящее время УЗИ печени стало рутинным методом исследования, широко применяемым в гастроэнтерологии и онкологии.
Метод может использоваться как на этапе скрининговых исследований, так и на этапе заключительной диагностики. В качестве цели УЗИ печени рассматриваются оценка состояния печени и органного кровотока, выявление диффузных и очаговых патологических изменений, определение тяжести заболевания и распространенности патологического процесса, проведение дифференциальной диагностики, выбор тактики консервативного лечения или метода оперативного вмешательства. Кроме того, УЗИ печени применяется для оценки эффективности лечения во время терапии и после ее завершения, а также для наблюдения за течением заболевания в стадии ремиссии.
УЗИ печени назначают при болях в правом подреберье, травматических повреждениях области живота, желтушности кожи и слизистых оболочек, появлении лабораторных признаков нарушений функции печени, злоупотреблении наркотиками и алкоголем и длительном приеме лекарственных средств, оказывающих негативное влияние на состояние органа. УЗИ печени также проводят при подозрении на абсцесс печени, первичный онкологический процесс в ткани печеночной паренхимы или метастатическое поражение органа при опухолях других локализаций.
Для наблюдения за течением заболевания, своевременного выявления осложнений и рецидивов УЗИ печени регулярно выполняют при уже диагностированных диффузных поражениях органа, перенесенных ранее гепатитах и онкологических заболеваниях в стадии ремиссии. УЗИ печени является высокочувствительной диагностической процедурой, позволяющей выявлять цирроз, хронический гепатит, жировой гепатоз, абсцессы печени, травматические гематомы, метастазы, первичный рак печени, синдром Бадда-Киари, кальцинаты и некоторые другие патологические процессы. Противопоказания к исследованию отсутствуют.
Целью подготовки к процедуре является повышение информативности исследования путем уменьшения газообразования в кишечнике. За 3 суток до УЗИ печени необходимо полностью исключить из меню свежие овощи и фрукты, хлебобулочные изделия, бобовые культуры, кисломолочные продукты, алкоголь и газированные напитки. Пищу следует принимать дробно небольшими порциями. При нарушениях пищеварения показаны ферментные препараты (фестал, панкреатин, энзистал). При склонности к запорам накануне УЗИ печени нужно очистить кишечник с помощью клизмы или мягкого слабительного.
Исследование проводят как утром, так и во второй половине дня. Промежуток между последним приемом пищи и началом УЗИ печени должен составлять не менее 6-8 часов. С собой можно взять салфетки или небольшое полотенце для удаления остатков геля с кожи живота. Врачу необходимо предоставить всю имеющуюся медицинскую документацию (направление, выписки, результаты анализов). Перед началом УЗИ печени больного укладывают на спину и просят обнажить живот. Затем наносят на область правого подреберья водорастворимый гель и исследуют орган, передвигая специальный датчик по коже живота.
При необходимости УЗИ печени дополняют ультразвуковым исследованием желчного пузыря, поджелудочной железы или селезенки, допплерометрией сосудов печени. Процедура абсолютно безболезненна и не доставляет неприятных ощущений. Продолжительность исследования составляет около 10 минут. После завершения УЗИ печени с живота вытирают остатки геля. Больному сообщают, когда можно прийти за заключением. В зависимости от загруженности специалиста подготовка документов может занять от 30 минут до 1 суток.
Данные, полученные при проведении УЗИ печени, интерпретируют с учетом нормальных показателей. В процессе интерпретации оценивают структуру печеночной паренхимы, размеры, контуры и эхогенность органа. При обнаружении очаговых изменений указывают их локализацию с учетом сегмента. При отсутствии патологических изменений по результатам УЗИ печень описывают как орган с гомогенной структурой и ровными контурами. Эхогенность печени ниже, чем у селезенки, и примерно равна эхогенности поджелудочной железы.
В норме длина правой доли по данным УЗИ печени колеблется в пределах 11-15 см, косой вертикальный размер - до 15 см. Высота (краниокаудальный размер) левой доли равна примерно 10 см, толщина - не более 7 см. Общая длина органа по результатам УЗИ печени составляет 14-18 см, поперечник - 20-22 см, саггитальный размер - 9-12 см. Диаметр общего желчного протока - 6-8 мм, портальной вены - 13 мм, полой вены - 15 мм, печеночной вены - 6-10 мм, воротной вены - 4-7 мм. Фиброз протока и сосудов отсутствует. По УЗИ печень определяется как мелкозернистый орган. Объемные образования в ткани печени отсутствуют.
Существуют так называемые ультразвуковые диагнозы - специальные термины, отражающие эхо-характеристики патологических изменений по результатам УЗИ печени. Подобные термины могут свидетельствовать о нескольких клинических диагнозах. Например, под термином «пятна на печени» понимают участки повышенной эхогенности, которые могут быть свидетельством лямблиоза, оказаться неоплазиями или узлами начинающегося цирроза. Для уточнения клинических диагнозов при выявлении перечисленных изменений назначают лабораторные анализы и дополнительные клинические исследования.
При проведении УЗИ печени могут определяться очень плотные участки (кальцификаты) и полости, заполненные жидкостью (кисты, абсцессы). Злокачественные неоплазии органа на УЗИ печени выглядят как участки необычного строения с неравномерной эхогенностью, неоднородной структурой и нечеткими границами. Плотность метастазов может быть как выше, так и ниже плотности ткани печени (в зависимости от плотности первичного новообразования), характерным признаком данной патологии является гипоэхогенный ободок вокруг патологического очага. Гемангиома при УЗИ печени представляет собой гиперэхогенное образование с четкими границами и акустической дорожкой, располагающееся рядом с крупными сосудами.
По данным УЗИ печени в остром периоде гепатита определяются увеличение размеров и плотности органа в сочетании с неоднородностью структуры паренхимы. При хроническом гепатите на УЗИ печени выявляются увеличение органа, неоднородность паренхимы и неясность сосудистого рисунка. При циррозе наблюдаются мозаичность и бугристость структуры, закругленность краев и расширение углов органа. При жировом гепатозе обнаруживается повышение эхогенности (светлая печень). Все перечисленные заболевания диагностируют по результатам комплексного обследования, которое, наряду с УЗИ печени, может включать в себя лабораторные исследования, КТ, МРТ и другие диагностические методики.
Клиническая трактовка результатов ультразвуковых исследований печени

Революционные изменения в экспертной диагностике. Безупречное качество изображения, молниеносная скорость работы, новое поколение технологий визуализации и количественного анализа данных УЗ-сканирования.
Введение
Ультразвуковые исследования (УЗИ) - часто первые в ряду диагностических поисков при подозрении на патологию печени, определяя выбор других методик. Совершенствование ультразвуковых диагностических технологий привело к тому, что в ряде случаев стало возможным отказаться от других радиологических исследований. Но это же повышает ответственность специалиста, требует клинически интерпретировать полученные результаты, не сводя описание к фиксации "эхопозитивных" и "эхонегативных" образований. Основная доля УЗИ в поликлинических условиях приходится на органы брюшной полости. И печень - первое, что в этом случае пытается визуализировать специалист. Заболевания печени могут быть заподозрены по предъявляемым жалобам, клинической картине, лабораторным данным, но нередко они выявляются случайно. Последнее относится, прежде всего, к детям, у которых доля врожденной патологии выше, чем у взрослых. Резервные возможности печени невероятны, поэтому задача врача - выявить патологию, прежде чем она станет клинически значимой.
Общие положения
Эмбриогенез печени и ее сосудов, анатомия. В раннем онтогенезе печень, желчный пузырь и желчный проток возникают как единый вырост (печеночный дивертикул) в каудальном отделе переднего отдела протокишки. Это образование растет вентрально в septum transversum, представляющую собой мезодерму между развивающимся сердцем и средним отделом кишки. Зачаток печени растет очень быстро, в первые 10 нед занимая бoльшую часть брюшной полости. В этот период размеры правой и левой долей печени одинаковые, но за счет оксигенированной крови из печеночной вены правая доля быстро обгоняет в размерах и массе левую. С 6-й недели печень является органом кроветворения, а с 12-й недели синтезирует желчь. Маленький каудально расположенный отросток на печеночном дивертикуле дает начало желчному пузырю, а его ножка - пузырному протоку. Из тяжика, идущего от печеночного и пузырного протока к двенадцатиперстной кишке, формируется общий желчный проток. В эмбриональный период кровь поступает в печень по пупочной вене, проходящей по свободному краю ligamentum falciforum в левую ветвь воротной вены. Эта часть v. portae соединяется с печеночной веной через ductus venosus, далее кровь поступает в правое предсердие. Таким образом, ductus venosus представляет собой большой венозный шунт в обход печени, благодаря которому основная часть крови из плаценты поступает непосредственно в сердце. Это единственный путь, по которому может быть проведен катетер. Если катетер при зондировании пупочной вены попадает в правую ветвь воротной вены, развиваются тромбоз, облитерация и портальная гипертензия. После рождения ребенка пупочная вена облитерируется и превращается в круглую связку печени (ligamentum teres). Ductus venosus трансформируется в ligamentum venosum. В первые часы после рождения эти структуры можно визуализировать как каналикулярные. Позднее ligamentum teres видна как плотная структура, распространяющаяся от левой части воротной вены. Если возрастает внутрипеченочное давление (при циррозе), круглая связка печени реканализируется. Портальная кровь начинает оттекать от печени к пупку, в результате чего варикозно расширяются околопупочные вены (caput medusae). Возможны аномалии нижней полой вены, но они крайне редки. Среди этих редких пороков чаще встречается леворасположенная нижняя полая вена, самостоятельно впадающая в правое предсердие через коронарный синус. Возможно недоразвитие печеночного сегмента нижней полой вены с дренажом крови через систему vv. azygos et hemiazygos. Печеночная вена самостоятельно дренируется в правое предсердие. Возможно удвоение нижней полой вены, при этом левая вена значительно меньше по диаметру, чем правая. Знание этих особенностей особенно важно в детской практике, так как существенная часть педиатрической патологии является врожденной.
Особенности локации (автор выражает благодарность компании Medison за предоставленную аппаратуру. Рис. 2-4 также предоставлены этой компанией). Начиная рабочий день, проверьте состояние аппаратуры. Убедитесь, что набор датчиков позволяет вам выполнить все исследования. Добейтесь, чтобы в направлении были приведены показания к проведению исследования, сформулированы цель и задачи, представлены основные клинические, лабораторные и инструментальные результаты. В беседе с родителями и ребенком (если он может формулировать свои проблемы) уточните все неясные моменты. Посмотрите на пациента как врач, а не как исполнитель при аппарате. Критически оцените прежние данные, сформулируйте свои показания. Имейте четкий план работы: период, в течение которого ребенок спокоен и позволяет выполнять процедуры, недолог.
Для УЗИ печени, селезенки, верхней части живота наиболее приемлем конвексный датчик. Угол обзора при этом большой, а деформация ближнего поля минимальная. Линейный датчик применим для визуализации мелких структур. Допплерография необходима при подозрении на сосудистые аномалии, гемангиомы.
Сканирование лучше проводить в положении ребенка на спине при максимальном вдохе или выдохе (в зависимости от особенностей ребенка). При вдохе легкие оттесняют печень, желчный пузырь и селезенку ниже реберной дуги, смещают толстую кишку, увеличивая акустическое окно. У детей старшего возраста иногда требуется осмотр через межреберные промежутки или в боковой проекции. Межкостальный доступ является оптимальным при расположении печени глубоко в подреберье. Чтобы избежать ложных заключений при нестандартных доступах, исследователь должен помнить об изменяющейся топографии органа, нарушениях обычного соотношения с ним почек, нижней полой вены, кишечника. Если в процессе осмотра печени возникли сомнения относительно состояния желчного пузыря или желчевыводящих путей, а ребенок подготовлен недостаточно, лучше закончить исследование и повторить его после подготовки. Важнейшее преимущество УЗИ перед другими методами неинвазивной визуализации (рентгенография, магнитнорезонансная - МРТ или компьютерная томография - КТ, ретроградная холангиопанкреатография - РХПГ) состоит в возможности повторять исследование так часто, как это диктуется клиникой.
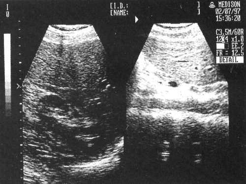
Эхографическая картина нормальной печени. В норме печень ребенка гомогенна. Характер обработки сигнала выбирают в зависимости от цели исследования (рис. 1а, 1б). Капсула печени тонкая, эхогенная. Эхогенность паренхимы печени выше, чем паренхимы коры почек. Медуллярная ткань почек темнее паренхимы печени. Вентральный край печени тонкий, острый. При увеличении размеров печени он закругляется. Частым показанием к проведению УЗИ является подозрение на увеличение размеров печени. Существует много формул для расчета размеров печени, в том числе волюметрические. Последние используются в основном в научных целях или в специализированных клиниках. Размеры и конфигурация печени достаточно вариабельны. При рутинных исследованиях размеры печени можно оценивать качественно. Правая доля печени распространяется до нижнего полюса почки, но если существует риделевская долька (вариант нормы), то несколько ниже. У детей 1 года жизни левая доля при поперечном сканировании распространяется за срединную линию, у старших детей - до аорты. При гепатомегалии левая доля простирается вплоть до селезенки, сдвигая ее вниз. Смещение селезенки может служить причиной ошибочного заключения о спленомегалии. Таким образом, печень состоит из правой и левой долей. Кроме того, имеется и хвостатая доля. Доли печени делятся на сегменты. Упрощенно - правая доля имеет передний и задний сегменты (граница - правая печеночная вена). Левая доля состоит из медиального и латерального сегментов (граница - левая печеночная вена). Каждый сегмент имеет свое кровоснабжение. Поэтому при синдроме Бадда-Хиари (обструкция печеночных вен) сегменты увеличиваются в размерах, их эхогенность возрастает. Знание сегментов печени важно и для точной локализации объемных образований.

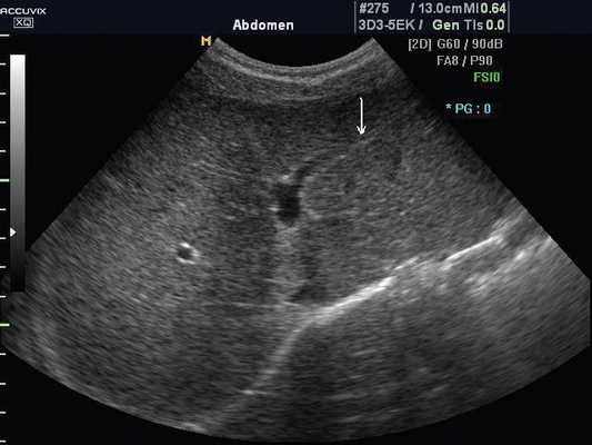
а) Эхограмма печени 12-летнего подростка в обычном режиме. Обратите внимание, что даже в 12-летнем возрасте круглая связка печени (стрелка), отходящая от левой части воротной вены, имеет каналикулярный вид (просвет внутри).
Ультрасонография органов брюшной полости

Экспертный класс по доступной цене. Монокристальные датчики, полноэкранный режим отображения, эластография, 3D/4D в корпусе ноутбука. Гибкая трансформация в стационарный сканер при наличии тележки.
Методика исследования
Эхография органов брюшной полости проводится утром натощак после ночного голодания, однако в экстренных ситуациях исследование может быть выполнено в любое время. В большинстве случаев особой подготовки не требуется, хотя у тучных пациентов, больных с выраженным метеоризмом качественный осмотр может быть затруднен. Для уменьшения помех, обусловленных наличием газа в кишечнике, рекомендуется в течение 2-3 дней соблюдение диеты, бедной клетчаткой, исключение из пищи продуктов, усиливающих газообразование в кишечнике. Помимо этого показан прием карболена, ферментных препаратов (фестал, дигестал). Очистительную клизму ставить нет необходимости. При обследовании в экстренном порядке, а также после еды, необходимо помнить о возможности выявления в желудке или в кишечнике дополнительных включений, обусловленных наличием содержимого в их просвете.
Эхография проводится в положении больного лежа на спине, левом и правом боку, сидя или стоя, при этом желательно придерживаться следующей последовательности: обследование начинают с верхней части живота продольными срезами. Транcдьюсер располагают в эпигастрии по срединной линии. В этой позиции визуализируются левая доля печени и за ней брюшная аорта. Затем транедьюсер смещают влево, осматривая оставшуюся часть левой доли. После этого датчик последовательно перемещают в обратную сторону, вдоль правого подреберья до передней аксилярной линии. При этом визуализируются переход левой доли в правую, область круглой связки печени, хвостатая и квадратная доли, нижняя полая вена, правая доля печени, вены печени, портальная вена, желчный пузырь, правая почка. Затем продольные срезы повторяют, перемещая датчик вновь влево до срединной линии. После этого проводят сканирование в поперечной плоскости: транcдьюсер устанавливают на уровне мечевидного отростка и производят последовательные срезы, перемещая его до пупка и обратно. В этом случае визуализируются левая доля печени, желудок, поджелудочная железа, аорта, нижняя полая вена, чревный ствол, верхняя брыжеечная артерия, селезеночная вена.

Схема 1. Алгоритм проведения ультразвукового исследования органов брюшной полости (продольное сканирование):
а) - сканирование от средней линии живота влево;
б) - сканирование от левой передней аксилярной линии к правой передней аксилярной линии;
в) - сканирование от правой передней аксилярной к средней линии.
Исследование осуществляют без задержки дыхания. В результате проведенного сканирования в 2-х плоскостях получают общее представление о топографии органов верхнего этажа брюшной полости и выявляют грубые отклонения от нормы (схемы 1, 2).

Схема 2. Алгоритм проведения ультразвукового исследования органов брюшной полости (поперечное сканирование):
а) - сканирование от мечевидного отростка до пупка;
б) - сканирование от пупка в краниальном направлении.
Затем приступают к детальному изучению органов при задержке дыхания на высоте глубокого вдоха. Обследуя печень и желчный пузырь, трансдьюсер устанавливают параллельно правой реберной дуге и небольшими его наклонами, просматривают всю печень и желчный пузырь. При выраженном метеоризме возможно проведение исследования через межреберные промежутки справа в положениии больного на левом боку, что позволит избежать помех, обусловленных раздутыми петлями кишок. Эхографию поджелудочной железы начинают с поперечных срезов, переходя в последующем к сканированию в продольной плоскости. Селезенку осматривают в положении больного на правом боку, располагая трансдьюсер перпендикулярно реберной дуге.
Для обследования желудочно-кишечного тракта проводят вначале продольные срезы по всему животу слева направо и обратно, затем поперечные сверху вниз и обратно. И желудок, и кишечник должны быть осмотрены в поперечной и продольной плоскостях.
Ультразвуковое исследование почек осуществляют как со стороны спины (поперечные и продольные сечения), так и с передней (лежа на спине) и боковых (лежа на правом и левом боку) поверхностей живота, лучше при задержке дыхания в фазе глубокого вдоха. Для выявления подвижности или опущения почек эхографию производят в положении пациента сидя или стоя.
Предложенного алгоритма проведения ультразвукового исследования органов брюшной полости и почек необходимо придерживаться во всех случаях, поскольку лишь системный анализ получаемых эхограмм позволяет провести полноценное исследование, избежать возможных ошибок, получить необходимую информацию. Следует помнить, что качество обследования, в первую очередь, зависит от внимания врача, а поспешный осмотр недопустим.
Печень
Ультразвуковое исследование печени можно проводить в любое время без предварительной подготовки. Обследование проводится, как правило, в трех плоскостях (продольной, поперечной и косой) со стороны правого подреберья и эпигастрия. При этом необходимо оценить расположение, форму, контуры, размеры, структуру и эхогенность паренхимы, сосудистый рисунок в целом и конкретные сосуды, протоковую систему, влияние окружающих органов на состояние изображения печени. Точность диагностики выявляемых изменений возрастает при динамическом наблюдении (схема 3).

Схема 3. Положения датчика при сканировании печени:
1-3 - субкостальное сканирование
4 - продольное сканирование
5 - поперечное сканирование
6-7 - интеркостальное.
В норме большая часть печени располагается справа от позвоночника, а меньшая - слева от него и доходит до левой парастернальной линии. Контуры печени ровные, она имеет четкое очертание, капсула хорошо просматривается в виде гиперэхогенной структуры, окружающей ее паренхиму (за исключением участков, прилежащих к диафрагме, где капсула не дифференцируется от последней). В норме нижний край печени не выступает из-под реберной дуги. Общепринятыми являются измерение косого вертикального размера правой доли (не превышает 13-15 см) и толщины левой доли (до 5 см). Структура неизмененной печени представлена мелкозернистым изображением, состоящим из множества мелких точечных и линейных структур, равномерно расположенных по всей площади полученного среза. По эхогенности паренхима нормальной печени сопоставима или несколько выше эхогенности коркового вещества почки (при отсутствии ее патологии). Эхография позволяет дифференцировать различные трубчатые структуры, находящиеся в печени.
Отличительным признаком печеночных вен является их радиальное расположение (от периферии к центру), "отсутствие" стенок, возможность проследить ход мелких ветвей (до 1 мм в диаметре) до периферии органа. Портальная вена образуется в результате слияния верхнебрыжеечной и селезеночной вен. Лучше всего она видна при косом сканировании через правое подреберье и визуализи-руется в виде трубчатой структуры, имеющей четкие стенки. Ее можно проследить от места образования до впадения в ворота печени, где она разделяется на левую и правую ветви. В норме диаметр воротной вены не превышает 13-15 мм. Печеночная артерия визуализируется в области ворот печени как трубчатая структура небольшого диаметра (до 4-6 мм) с высокоэхогенными стенками. Внутрипеченочные желчные протоки в норме могут быть визуализированы только начиная с долевых. Они также имеют высокоэхогенные стенки и малый диаметр (не более 1 мм).
Результаты исследований

Рис. 1. Эхографическая картина нормальных левой и правой долей печени.
Читайте также:
- Этапы, техника катетеризации внутренней яремной вены и головной вены
- Неинвазивная оценка гемодинамики
- Техника пальпации кишечника. Особенности пальпации кишок
- Ботулизм. Возбудитель ботулизма. История ботулизма. Эпидемиология ботулизма. Колонии ботулизма. Морфология колоний ботулизма.
- Влияние частоты вентиляции на газообмен. Параметры респираторной механики
