УЗИ анатомия яичников в норме
Добавил пользователь Евгений Кузнецов Обновлено: 22.11.2025
В современной медицине УЗИ представляет собой универсальный метод диагностики заболеваний внутренних органов. Низкая стоимость процедуры, безболезненность, доступность и информативность обусловили высокую популярность метода, особенно в области гинекологии.
УЗИ матки и придатков - это обследование, позволяющее определить анатомию, размеры, структуры и состояние репродуктивных органов. Назначением процедуры может быть скрининговое исследование, диагностика патологий или контроль проведенной терапии.
Данный вид диагностики практически не имеет противопоказаний, абсолютно безопасен, может проводиться многократно в любой период жизни женщины, в том числе в период вынашивания ребенка.
Для профилактики и своевременного выявления заболеваний и нарушений в работе органов малого таза каждой женщине рекомендуется проходить УЗИ матки и придатков не реже 1 раза в полугодие.
Показания
Проведение УЗИ матки и придатков показано при наличии следующих симптомов у женщины:
- нарушение менструального цикла (нерегулярность, изменение объема менструальной кровопотери, аменорея - отсутствие месячных, задержка очередной менструации при отсутствии предшествующих нарушений цикла, изменение продолжительности самой менструации и межменструального периода);
- повышенная болезненность менструаций;
- межменструальные кровянистые выделения;
- кровянистые выделения, появившиеся после наступления климакса;
- слизистые или гнойные выделения;
- боль в нижней части живота и пояснице (тянущая, постоянная или переменная);
- болезненные ощущения и кровянистые выделения во время полового акта;
- боль в матке после родов.
Также процедура назначается для подтверждения или при подозрении на патологии репродуктивных органов: эндометриоз, доброкачественные/злокачественные образования, воспалительные процессы и т.д.
Проведение исследования необходимо и при уже выявленном заболевании с целью мониторинга изменений структуры матки и придатков, планирования операции или оценки эффективности проведенной терапии.
УЗИ матки и придатков также показано в следующих случаях:
- профилактический осмотр;
- установление факта беременности, в том числе внематочной;
- контроль течения беременности и диагностика пороков развития плода;
- отсутствие зачатия более года при регулярных незащищенных половых актах (с целью диагностики бесплодия);
- обязательное обследование после гистерэктомии (удаления матки);
- плановое и профилактическое обследование после родов;
- наблюдение после кесарева сечения;
- в рамках программы ЭКО.
Какие патологии можно выявить
УЗИ - незаменимый диагностический инструмент, позволяющий выявить множество заболеваний. Среди них:
- эндометриоз - разрастание клеток эндометрия за пределы матки. Прогрессирующий эндометриоз опасен развитием бесплодия, спаечной болезни и, по некоторым данным, повышением риска развития рака эндометрия;
- аденомиоз - прорастание клеток эндометрия в мышечную ткань матки. При отсутствии или запоздалом лечении может спровоцировать осложнения: онкологию, бесплодие, разрастание за пределы матки, кровотечение, болевой синдром;
- гиперплазия - чрезмерное разрастание эндометрия. Грозит образованием спаек, снижающим проходимость труб, развитием бесплодия, хронической анемии, онкологического процесса;
- гипоплазия - истончение эндометрия. Может привести к бесплодию и невынашиванию беременности;
- миома матки - доброкачественная опухоль в мышечном слое матки. В запущенном состоянии она приобретает большие размеры, что сопровождается множественными осложнениями от кровотечений до бесплодия и озлокачествления;
- онкологические заболевания матки или придатков - крайне опасная патология, способная привести к летальному исходу;
- загиб матки - аномальное положение матки в малом тазу, препятствующее зачатию, вынашиванию и родоразрешению;
- полип матки - доброкачественная опухоль в полости матки. Опасен нарушением репродуктивной функции;
- патологии беременности (пузырный занос, отслоение плаценты, замершая и внематочная беременность) - опасные патологии, итог развития которых разный в зависимости от ситуации;
- киста - доброкачественное жидкостное образование. В запущенном состоянии нарушает фертильность женщины;
- поликистоз - разрастание множественных кистозных образований;
- перекрут яичника - полный или частичный заворот яичника, нарушающий его кровоток и питание. Поздняя диагностика и лечение приводит к некрозу (гибели) придатка;
- гидросальпинкс - нарушение проходимости маточных труб;
- воспалительные процессы в матке и придатках (сальпингит, оофорит, аднексит);
- воспалительный процесс, наблюдающийся в эндометрии и/или миометрии (эндометрит, миометрит, эндомиометрит).
- Как проводится
- Существует несколько видов УЗИ матки и придатков:
- трансабдоминальное - наружное, через брюшную полость;
- трансвагинальное - путем введения датчика во влагалище;
- трансректальное - через прямую кишку;
- внутриматочное - введение датчика в полость матки.
Крайне редко наружный и внутриполостной методы существуют друг от друга раздельно. Часто проводится сначала трансабоминальное УЗИ, затем пациентку отправляют помочиться и проводят сканирование другим методом. Так клиническая картина наиболее информативная и достоверная.
Дополнительно выделяют разновидности УЗИ - соногистерографию и допплерографию.
Трансабдоминальное УЗИ (ТАУЗИ)
Перед проведением процедуры пациентка раздевается ниже пояса, обнажает живот и ложится на спину. На переднюю брюшную стенку врач наносит специальный гель, устраняющий воздушную прослойку между поверхностью тела и датчиком для лучшей визуализации.
Затем с легким нажимом специалист передвигает датчик по поверхности живота, оценивая состояние репродуктивных органов на мониторе УЗ-аппарата. При этом женщине требуется дышать неглубоко и равномерно для получения более четкого изображения. Длительность процедуры составляет около 15-30 минут.
Основными преимуществами метода являются простота и доступность, а также возможность использования для девственниц. Вследствие поглощения УЗ-волн брюшной стенкой метод обладает сравнительно низкой четкостью и детализацией изображения. ТАУЗИ позволяет выявить лишь крупные новообразования.
Процедура безболезненная, однако возможен дискомфорт в ходе проведения из-за наполненного мочевого пузыря.
Трансвагинальное УЗИ (ТВУЗИ)
Исследование проводится на кушетке или гинекологическом кресле. Пациентка раздевается ниже пояса и ложится на спину, согнув ноги в коленях. На вагинальный датчик (трансдьюсер) врач надевает презерватив и наносит специальный гель для улучшения визуализации (дополнительно он служит смазкой, облегчающей введение прибора).
После этого вводит датчик во влагалище на глубину 5-7 см и проводит манипуляции (движения прибором в стороны, вверх и вниз) для детального рассмотрения того или иного органа. Длительность процедуры составляет около 15-30 минут.
В первом триместре беременности для обследования всегда используется ТВУЗИ. Только этот метод позволяет увидеть крошечный плод и исключить все возможные патологии.
Одним из главных преимуществ ТВУЗИ считается высокий уровень информативности и достоверности за счет непосредственной близости датчика к исследуемым органам. Это позволяет визуализировать даже мелкие новообразования.
Процедура безболезненная, однако некоторые женщины испытывают физический и психологический дискомфорт. При появлении болезненных ощущений необходимо сразу же сообщить об этом врачу. Основным недостатком метода является невозможность его применения у девственниц и у некоторых женщин постклимактерического периода.
Трансректальное УЗИ (ТРУЗИ)
Исследование проводится на кушетке. Пациентка снимает всю одежду ниже пояса и ложится на бок, спиной к аппарату УЗИ, согнув ноги в коленях и подтянув их к груди. Врач надевает на датчик презерватив и смазывает специальным гелем, улучшающим проводимость УЗ-волн и служащим смазкой.
Затем специалист вводит прибор в прямую кишку пациентки и начинает сканирование. В этом случае используется более тонкий датчик, диаметр которого не превышает 1,5 см. Длительность процедуры составляет около 20 минут.
Этот тип УЗИ проводится достаточно редко - в случае низкой информативности ТАУЗИ или невозможности проведение ТВУЗИ. Обычно используется для девственниц. Главным плюсом методики является высокая результативность и достоверность, а также возможность диагностики образований, связанных с соседними органами.
Минусом такой процедуры является вызов физического и психологического дискомфорта.
Внутриматочное УЗИ
Порядок проведения процедуры аналогичен ТВУЗИ. Только в этом случае используется ультразвуковой тонкий зонд, который вводится в полость матки.
Внутриматочное УЗИ применяется редко, в основном при подозрении на миому матки и изменениях эндометрия. Получаемая информация наиболее достоверная и содержательная, поскольку все органы рассматриваются в непосредственной близости.
Соногистерография
Эта разновидность УЗИ используется для оценки проходимости маточных труб и диагностики патологических процессов в полости матки (полипы эндометрия, внутриматочные синехии, субмукозные миоматозные узлы). Продолжительность процедуры составляет около 30 минут.
Алгоритм проведения соногистерографии:
- введение инъекции спазмолитика за 15-30 минут до процедуры;
- проведение полного УЗИ органов малого таза;
- расширение влагалища с помощью гинекологического зеркала;
- местное обезболивание шейки матки;
- катетеризация шейки матки;
- введение физиологического раствора в полость матки посредством катетера (10-20 мл);
- сканирование органов вагинальным датчиком.
На УЗИ раствор выглядит контрастным. Это позволяет точно определить, какая именно часть маточных труб является непроходимой. При их непроходимости женщина может испытывать сильный болевой синдром из-за натяжения стенок матки.
После соногистерографии возможны кровянистые выделения в течение 2-3 дней и слабые боли. Если боли усилились или длятся дольше, необходимо срочно обратиться к врачу.
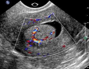
Допплерография
Такой метод УЗИ позволяет оценить кровоток в репродуктивных органах и выявить причины его нарушения. Это обязательная процедура в период планирования беременности, особенно при наличии у женщины тяжелых системных болезней, гестоза (в анамнезе), патологии почек.
В процессе исследования используется:
- дуплексное сканирование с целью определения размеров артерий и вен, направления кровотока, а также пропускной способности исследуемых сосудов;
- цветовое или триплексное сканирование для оценки скорости и направления сосудов.
Оно характеризуется наличием разных цветов.
В современных аппаратах УЗИ система допплерографии уже встроена, поэтому эти исследования часто комбинируются.
Когда лучше проводить процедуру
На 2-3 день менструального цикла рекомендуется проведение исследования для оценки овариального резерва яичников - числа яйцеклеток в фолликулах.
Для диагностики беременности УЗИ лучше делать на 7-10 день задержки, чтобы плодное яйцо успело опуститься в полость матки и стало достаточно большим для визуализации.
Соногистерографию рекомендуется выполнять в середине менструального цикла. В это время канал шейки матки максимально расширен и процедура не вызывает дискомфорта.
Для проведения допплерографии наилучшим является период за несколько дней до предполагаемых месячных. Во время беременности плановое обследование с допплером, при отсутствии патологий, выполняется на сроке 24 недель.
УЗИ матки и придатков делать во время менструации можно, но не нужно. Полученный результат зачастую недостоверный. Видимость в этот период крайне плохая, оценка состояния и толщины эндометрия невозможна, а обнаруженный сгусток крови в матке может быть диагностирован как полип или опухоль. Поэтому при отсутствии экстренных показаний лучше перенести исследование.
В неотложных ситуациях УЗИ проводится в любой день цикла.
Подготовка
Разные методы ультразвуковой диагностики предполагают различную подготовку. Общие рекомендации: провести полный туалет половых органов, взять с собой одноразовую пеленку, полотенце или салфетки (для удаления геля).
ТАУЗИ
Скопление газов в кишечнике препятствует проведению исследования и искажает результаты. Поэтому подготовка к ТАУЗИ требует ограничений в рационе. За 2-4 дня пациентке необходимо исключить из употребления все продукты, способствующие газообразованию:
- молочные продукты (из-за недостаточного содержания в них лактозы - фермента, обеспечивающего нормальное пищеварение);
- бобовые (в них содержатся сложные углеводы);
- мучные и кондитерские изделия, содержащие дрожжи, особенно черный хлеб, отруби;
- газированные напитки;
- алкоголь;
- овощи, содержащие грубую клетчатку: картофель, редис, лук, чеснок, томат, шпинат, щавель, капуста, репа, кукуруза, спаржа;
- некоторые фрукты в сыром виде: яблоко, чернослив, груша, виноград, персик, вишня;
- жирные, жареные блюда;
- грибы;
- жевательные конфеты, резинки.
Иногда вызвать скопление газов в кишечнике могут продукты, несвойственные для текущего климатического пояса: ананасы, персики, бананы и т.д.
Диета за 2-3 дня до процедуры должна состоять из нежирной рыбы, сыров, зерновых каш, говядины и мяса птицы (отварного).
При наличии склонности к метеоризму за день до исследования начать принимать ветрогонные средства (Эспумизан, Дисфлатил и т.д.), а имеющим предрасположенность к запорам - использовать слабительные средства или очистительную клизму. Последнюю делают вечером накануне и утром в день процедуры.
ТВУЗИ
Подготовка аналогична подготовке к ТАУЗИ. Единственное отличие - пустой мочевой пузырь. При беременности мочевой пузырь должен быть наполнен наполовину.
ТРУЗИ
Подготовка аналогична подготовке к ТВУЗИ. Только в этом случае очистительная клизма обязательна. Если сделать ее по каким-либо причинам невозможно, используются определенные слабительные препараты: фортранс, дюфалак, мовипреп.
Также за 7-10 дней до процедуры необходимо прекратить прием лекарств, разжижающих кровь.
Подготовка не требуется. Непосредственно перед процедурой опорожнить мочевой пузырь.
Заранее пациентка сдает ряд анализов: на ВИЧ, сифилис и гепатиты В и С (действителен 2 месяца), а также гинекологический мазок (действителен 10 дней). Это необходимо для того, чтобы во время манипуляции исключить занесение инфекции из канала шейки матки или влагалища в полость матки.
Непосредственно перед процедурой нужно опорожнить мочевой пузырь.
Аналогична подготовке тем способом, которым будет проводиться УЗИ.
Противопоказания
Специфических противопоказаний и медицинских ограничений к УЗИ матки и придатков нет.
ТАУЗИ не проводится при наличии повреждений кожного покрова на брюшной полости: гнойные, воспалительные, травматические или ожоговые. В этом случае нанесение геля и давление датчика вызовет болевые ощущения. Сканированию этим методом также препятствует обширный спаечный процесс и ожирение.
ТВУЗИ и внутриматочное УЗИ не используются для девственниц и женщин во II и III семестре беременности. Эти методы противопоказаны при кровотечениях, пороках развития влагалища (атрезия (заращение), резкий стеноз (сужение) входа во влагалище и т.д.) и наличии аллергии на латекс.
ТРУЗИ не проводится при:
- проктологических заболеваниях, особенно в стадии обострения: геморрое, свище и трещинах прямой кишки;
- отсутствии прямой кишки по причине ее удаления;
- хирургических вмешательств на прямой кишке, проводимых незадолго до исследования процедуры;
- непроходимости кишечника;
- аллергии на латекс.
Соногистерография противопоказана во второй фазе цикла и в случае обнаружения отклонений в гинекологическом мазке (в частности, повышенные лейкоциты, в норме до 25). Также важно сообщить врачу о наличии аллергии на анестетик.
Расшифровка: норма
Матка
В норме матка имеет грушевидную или овальную форму, ровные и четкие контуры, располагается кпереди. Эхоструктура маточных стенок (миометрия) однородная. Структура и толщина эндометрия зависят от периода менструации. Тонус матки нормальный. Объем - до 100 см 3 .
Размеры матки зависят от различных факторов. Она увеличивается в секреторной фазе менструального цикла и уменьшается в пролиферативной.
УЗИ придатков, яичников и маточных труб

УЗИ - лучший способ диагностики патологий органов половой системы. УЗИ придатков, включающих в себя маточные трубы и яичники, выявляет даже незначительные изменения в их форме и размерах. Такой вид обследования проводится в профилактических целях и при наличии соответствующих показаний. Не стоит пренебрегать им, поскольку любое заболевание этих органов влечет за собой худший диагноз для женщины - бесплодие.
Показания к УЗИ придатков
УЗИ придатков проводится при планировании беременности . Гинеколог обязательно назначит УЗ-исследование и при предположительном диагнозе — бесплодие .

Диагностика позволяет быстро и четко оценить общее состояние здоровья женщины и готовность придатков к выращиванию полноценной яйцеклетки. Также поводом для назначения исследования придатков с помощью ультразвука могут быть:
- специфические тянущие или внезапные боли внизу живота, менструальные боли;
- сбои менструального цикла, необычные выделения, обильные, скудные менструальные кровотечения
- боль и неприятные ощущения при интимной близости — имеется в виду не только боль, но и холодность;
- проблемы с молочными железами, мастопатия — процессы в женской груди и внутренние половые органы взаимосвязаны;
- отсутствие менструации (исключение - беременность);
- рост и потемнение волос на теле;
- подготовка к беременности;
- воспаление придатков;
- подозрение на патологии — спайки, частичную непроходимость, поликистоз и др;
- вторичное бесплодие.
Обязательный повод для проведения УЗИ —задержка более 2-х недель после овуляции, отрицательный результат теста на беременность при высокой ректальной температуре. Это позволит исключит кисту и внематочную беременность .
Что покажет УЗИ
Благодаря УЗИ придатков можно своевременно диагностировать заболевания на самой ранней стадии развития, что позволит вовремя начать лечение. Некоторые патологии могут себя никак не проявлять и определить их можно лишь с помощью такого исследования. В этом и заключается ценность УЗИ.
На УЗИ хорошо видны:
- Киста яичника - образование полости, окруженной плотнй капсулой и заполненной жидкостью. Обычно патология не проявляет себя выраженной симптоматикой. Может наблюдаться нарушение менструального цикла, регулярные тянущие боли внизу — ближе к бокам, невозможность забеременеть.
- Поликистоз яичников - скопление маленьких кист в яичнике, возникающее при гормональном сбое. Проявляется поликистоз нарушением менструального цикла, увеличением веса, угревой сыпью, бесплодием.
- Сальпингит - воспаление маточных труб из-за инфицирования через половой акт. Патология характеризуется образованием спаек, которые не пропускающих сперматозоиды к яйцеклетке, поэтому влечет за собой бесплодие.
- Сальпингоофорит - воспаление в маточных трубах, яичниках, возникающее вследствие попадания в них патогенных микроорганизмов (стафилококков, стрептококков и т.д.).
- Опухоли яичников, маточных труб - доброкачественные, злокачественные образования, не имеющие полостей.
- Перекрут яичника - заворот яичника (полный, частичный), нарушающий кровоток в орган. При обнаружении перекрута требуется экстренное оперативное вмешательство. Патология проявляет себя сильной болью в области больного яичника, кровянистыми белями . Все это сопровождается тошнотой, рвотой, дизурией (непроходимость мочи), нарушением стула. Повышается температура.
- Перекрут придатков - спиралевидный перекрут маточной трубы с яичником, часто расценивается как опухоль придатков. Характеризуется внезапной сильной болью в области придатка (внизу живота, ближе к боку). Бывает тошнота, рвота.

Подготовка к УЗИ придатков
Подготовка к УЗИ придатков зависит от того, каким способом гинеколог проведет исследование. При соблюдении простых рекомендаций женщина сможет свести вероятность появления неприятных ощущений и дискомфорта к минимуму, а также обеспечит четкий, качественный результат УЗИ.
Подготовка к трансабдоминальному УЗИ
Этот вид исследования предусматривает соблюдение трехдневной диеты накануне процедуры. Продукты, вызывающие метеоризм, придется исключить: свежие овощи, фрукты, продукты, содержащие дрожжи, молочное, газированные напитки. При склонности к газообразованию, необходимо дополнительно принимать адсорбирующие лекарственные препараты (эспумизан, смекта, активированный уголь).
Следующее условие для некоторых видов УЗИ - наполненный мочевой пузырь. До процедуры, за 40 мин., необходимо выпить 1 л обычной воды. В туалет можно будет сходить сразу после обследования. Если УЗИ проводится в экстренной ситуации, мочевой пузырь наполняется через катетер.
Подготовка к трансвагинальному УЗИ
Вся подготовка заключается в 2-х дневном приеме специальных медицинских препаратов, освобождающих кишечник от газов (смекта, эспумизан, активированный уголь.). Непосредственно перед процедурой важно опорожнить мочевой пузырь, иначе он помешает обследованию.
Подготовка к трансректальному УЗИ
Все то же самое, как и для трансвагинального УЗИ. Вдобавок к этому за 8 часов до УЗИ необходимо освободить прямую кишку. Можно использовать клизмы, микроклизмы, глицериновой свечи или слабительного средства.
Подготовка к УЗИ проходимости маточных труб
Непосредственно перед процедурой необходимо просто опорожнить мочевой пузырь. Если предполагается применение абдоминального датчика, мочевой пузырь нужно наполнить. Также возможен прием спазмолитика за 30 минут до процедуры. Какие таблетки принять, подскажет гинеколог.
Как проводится процедура
Исследование придатков с помощью ультразвука проводится несколькими способами. Необходимо заранее узнать у специалиста, каким именно методом он воспользуется, чтобы правильно подготовиться к процедуре.
- Трансабдоминальное УЗИ - наиболее комфортный, но не всегда информативный способ, поскольку способен визуализировать только очевидные патологии репродуктивных органов. Во время процедуры женщине предлагается лечь на спину, обнажив живот. Врач наносит на участок брюшной полости специальный гель для улучшения контакта кожи с прибором, а после водит по нему наружным широким датчиком. Этот способ наиболее подходит для беременных и девушек, не утративших девственность.
- Трансвагинальное УЗИ. Женщина ложится на спину и сгибает ноги. Важно, чтобы положение было удобным для введения прибора. Во влагалище гинеколог вводит специальный датчик - трансдьюсер, на который предварительно надевает презерватив для профилактики инфицирования и смазывает лубрикантом. Противопоказания к такому виду УЗИ — девственность, беременность.
- Трансректальное УЗИ . Пациентка в этом случае ложится на бок, так как обследование датчиком производится через прямую кишку. Используется более узкий прибор, чем для ТВУ, на который врач так же надевает презерватив. Презерватив смазывается гелем — за счет хорошего скольжения, уменьшаются неприятные ощущения. Такой метод исследования используется для девственниц, у которых патология не определяется наружным датчиком.
- УЗИ проходимости маточных труб - диагностический метод, при котором матка и маточные трубы должны быть заполнены контрастным веществом. Противопоказанием являются наличие маточных кровотечений, беременность, обострение воспалительных процессов половых органов, онкология матки или шейки матки.
Проводится следующим образом:
- женщина оголяет нижнюю часть тела и ложится на гинекологическое кресло;
- врач вводит во влагалище зеркала, после чего шейка матки и влагалище тщательно обрабатываются;
- через канал шейки матки вводится катетер для контрастного вещества;
- с помощью трансдьюсера врач должен удостовериться в нужном расположении катетера;
- в катетер вводится контрастное вещество с воздухом, наблюдение ведется за движением пузырьков. Таким образом оценивается структура и проходимость маточных труб, наличие в них спаек. Это может происходит с помощью как наружного датчика, так и вагинального.
Длительность ультразвукового исследования придатков составляет около 10-30 минут.
Расшифровка полученных результатов
Нормы УЗИ — яичники. У женщин репродуктивного возраста показатели нормы яичников выглядят следующим образом:
УЗИ яичников выявляет кисты, бесплодие и рак

Ультразвуковое исследование широко используется для диагностики огромного числа патологий организма человека. Оно незаменимо и при обследовании репродуктивной системы женщины. УЗИ яичников - доступный и абсолютно безвредный метод исследования формы, размеров, локализации и структуры органа, а также фолликулярного аппарата.
Показания для проведения УЗИ яичников
Как самостоятельную процедуру её проводят достаточно редко. Как правило, УЗИ яичников делают в комплексе с УЗ-обследованием органов малого таза . В отдельных случаях процедура назначается, если необходимо оценить функциональную активность яичников. В основном это необходимо при диагностике причин женского бесплодия .

В этом случае обследование яичников проводится для измерения доминантного фолликула, когда женщина не может забеременеть в течение длительного периода. В этом случае в течение определённого периода врач наблюдает за фолликулом и фиксирует факт наступления или отсутствие овуляции. Такое обследование яичников называют фолликулометрией .
Также показаниями к назначению УЗИ яичников являются:
- нерегулярный менструальный цикл, отсутствие менструации (если это не при беременности);
- регулярная тянущая или острая боль внизу живота ;
- болезненные ощущения во время полового акта;
- слишком скудные либо обильные менструальные кровотечения ;
- нетипично сильная менструальная боль;
- заболевание молочных желез;
- подозрение на бесплодие;
- воспаление придатков;
- подозрение на патологию; ;
- подготовка к ЭКО;
- профилактический осмотр.
Какие патологии выявляет УЗ исследование яичников
УЗИ яичников - достаточно эффективный метод в выявлении патологий, причём с его помощью можно обнаружить некоторые заболевания ещё на доклинической (до появления симптомов) стадии, и те патологии, которые невозможно выявить с помощью других методов исследования.
- Киста яичника (функциональная и патологическая) — доброкачественное новообразование, характеризующееся образованием на яичнике (или сразу обоих) заполненного жидкостью выпячивания. Патология опасна перерождением в злокачественную опухоль, провокацией бесплодия, перитонитом или нарушением работы соседних органов.
- Поликистоз яичников - гормональное заболевание, при котором яичники увеличиваются в размере и скапливают на себе множество кист. Заболевание провоцирует бесплодие, поскольку не даёт осуществляться овуляции, т.е. выходить яйцеклетки из яичника.
- Сальпингоофорит - совместный инфекционно-воспалительный процесс в яичниках и маточных трубах. Самостоятельное воспаление яичника - оофорит - достаточно редкое явление. Патологический процесс вызывается попаданием инфекции (стрептококками, стафилококками, хламидиями и т.д.). Чаще всего это происходит из влагалища и матки по восходящему пути.
- Перекрут яичника - тяжёлое патологическое состояние, при котором нарушается питание яичника. Требует немедленного оказания медицинской помощи. — рак.
Методика проведения сонографии
Существует три способа исследования яичников с помощью ультразвука. Выбор конкретного метода врач делает с учётом анамнеза пациентки.
- Трансабдоминальный - проводится с помощью наружного датчика через брюшную стенку. Этот метод самый комфортный, но наименее информативный, с его помощью можно выявить только грубое нарушение органа. Обычно он применяется при общем гинекологическом осмотре , для девственниц и женщин, имеющих пороки развития влагалища. - проводится с помощью внутриполостного датчика (трансдьюсера), который вводится во влагалище. Метод наиболее точный и информативный, поскольку датчик находится в непосредственной близости к внутренним органам. Может сопровождаться незначительными неприятными ощущениями во время введения датчика. Такой вид УЗИ противопоказан для девственниц и при пороках развития влагалища.
- Трансректальный - проводится с помощью внутриполостного датчика (более тонкого, чем для ТВУ), который вводится в прямую кишку. Метод абсолютно безболезненный, но очень дискомфортный для женщины. Он проводится в отдельных случаях, когда ТАУ оказалось недостаточно информативным, а ТВУ не может быть проведено по объективным причинам (девственность, атрезия (заращение), резкий стеноз (сужение) входа во влагалище и т.д.).
Длительность процедуры составляет около 15 - 20 минут.

Как подготовиться к процедуре
Каждый метод исследования требует специальной подготовки, чтобы получить наиболее точный и информативный результат.
Трансабдоминальное УЗИ яичников
Такой вид исследования требует тщательной подготовки, включающей бесшлаковую диету и очищение кишечника от газов. За 2 - 3 суток до процедуры необходимо отказаться от употребления продуктов, вызывающих метеоризм (газированные напитки, бобы, свежие фрукты и овощи, дрожжевая и молочная продукция и т.д.). За сутки начать принимать адсорбирующие препараты (смекта, эспумизан, активированный уголь и т.д.).
Во время процедуры мочевой пузырь должен быть наполненным, поэтому женщине нужно за час до неё выпить 1 л жидкости (негазированной и немолочной) и не мочиться.
Трансвагинальное УЗИ яичника
Специальная подготовка к такому УЗИ не нужна, поскольку единственным условием его проведения является опорожнённый мочевой пузырь. Непосредственно перед процедурой женщине просто необходимо помочиться. Если есть склонность к повышенному газообразованию, за сутки - двое начать приём препаратов, снижающих метеоризм (смекта, эспумизан, активированный уголь и т.д.).
Трансректальное УЗИ
Подготовка к такому УЗИ аналогична подготовке к трансвагинальному исследованию. Дополнительно за 9 - 10 часов необходимо очистить кишечник от каловых масс с помощью очистительной клизмы (1 - 1,5 л), микроклизмы, глицериновой свечи или слабительного средства.
Сроки проведения исследования зависят от его цели. Если УЗИ плановое, то оно проводится на 5 - 6 день менструального цикла и не позднее недели после окончания менструации. В тяжелых ситуациях УЗИ проводится в день обнаружения симптомов. Если требуется оценить функционирование яичников, то процедура назначается трижды (на 8—9 день, на 14—15 день и на 22—23 день менструального цикла).
Трансабдоминальный метод. Пациентка ложится спиной на кушетку и оголяет живот. Врач наносит на участок живота, проецируемый яичникам, специальный гель для улучшения контакта с датчиком, а затем сканирует яичники, водя прибором по этому участку.
Трансвагинальный метод. Пациентка оголяет часть тела ниже пояса и ложится спиной на кушетку, согнув ноги в коленях. Врач аккуратно вводит во влагалище полостной датчик, на который предварительно он надел презерватив для предупреждения попадания чужеродной микрофлоры и смазал лубрикантом. Трансдьюсер вводится неглубоко, примерно на 5 - 8 см.
Трансректальный метод. Пациентка оголяет нижнюю часть тела и ложится боком на кушетку, согнув ноги в коленях. Врач медленно и осторожно вводит в анальное отверстие датчик, на который предварительно был надет презерватив и нанесён лубрикант, чтобы свести дискомфорт и неприятные ощущения для женщины к минимуму.
В процессе обследования врач оценивает структуру яичников, их состояние, размеры, локализацию, подтверждает или опровергает факт наличия патологических изменений и включений. По завершении процедуры он выдает пациентке заключение УЗИ, с которым женщина должна обратиться к лечащему специалисту для получения лечения.
Расшифровка УЗИ яичников: нормы
В норме яичники расположены по бокам от матки на небольшом расстоянии от неё, зачастую несимметрично. На мониторе они визуализируются как овальные, довольно очерченные, гипоэхогенные образования, при этом яичники не идентичны друг другу, различие их размеров минимально. Нормальной их поверхность считается бугристой из-за зреющих в них фолликулов. Чем больше времени прошло от начала цикла, тем больше эти бугорки.
В норме в яичниках должны отсутствовать кистозные, опухолевидные и другие образования, а сам орган не должен быть увеличен. Расшифровка результатов содержит указание размеров яичников и фолликулов.
Нормативные показатели размеров яичников представлены в таблице. Значения могут варьироваться в зависимости от возраста пациентки, фазы цикла, количества беременностей и т.д.
УЗИ анатомия яичников в норме
Обычно УЗИ яичников у женщин проводится в комплексе с другими исследованиями, но в отдельных случаях может назначаться врачом и как самостоятельная процедура.
Что необходимо знать каждой женщине при подготовке к такому обследованию?
Яичники - парный орган, обеспечивающий гормональный фон, необходимый для поддержания репродуктивной функции, и формирование активной яйцеклетки, способной к оплодотворению. Именно деятельность яичников определяет женский менструальный цикл и влияет на общее состояние организма.
Часто гинекологическое УЗИ яичников яичников назначается для мониторинга их функциональной активности. Дело в том, что структура этих органов ежемесячно претерпевает циклические изменения: появляются фолликулы, из которых развивается доминантный, формирующий яйцеклетку, синтезируются гормоны, происходит овуляция и развитие желтого тела.
Все эти процессы прекрасно визуализируются во время обследования и позволяют врачу выяснить, насколько полноценно «работают» яичники у пациентки.
Врач-гинеколог дает направление на УЗИ яичников при малейшем подозрении, что в организме женщины происходят какие-либо патологические процессы или гормональные нарушения.
- нерегулярный менструальный цикл, задержки месячных;
- болезненные менструации;
- чрезмерно обильные или скудные кровотечения, выделения крови вне менструации;
- заболевания молочных желез (мастопатии, новообразования);
- подозрения на воспалительные процессы в придатках;
- жалобы на боли в нижней части живота;
- подозрения на наличие новообразований;
- мониторинг при подготовке к ЭКО;
- динамическое наблюдение функций яичников;
- отсутствие планируемой беременности;
- скрининговое наблюдение женского здоровья (профилактика развития заболеваний).
Риск развития заболеваний репродуктивной системы можно значительно снизить, если регулярно обследоваться у гинеколога. Врачи рекомендуют каждой здоровой женщине ежегодно проходить ультразвуковое исследование, чтобы вовремя заметить нарушения и не допустить возникновения патологий.
Для проверки яичников у женщин существует три способа УЗИ: трансабдоминально, трансвагинально и трансректально. Рассмотрим подробно каждый способ.
Трансабдоминально - УЗИ проводится через брюшную стенку, наружным датчиком. Этот способ сейчас используется все реже и реже, т.к. сопряжен со значительной подготовкой пациентки к процедуре. При некачественной подготовке достоверность результатов искажается.
Читать еще: Что показывает трансабдоминальное УЗИ малого таза
Трансвагинально - поскольку точность данных такого вида УЗИ значительно выше, а необходимость подготовки со стороны пациентки и вовсе отсутствует, этот способ в современных клиниках является приоритетным. Узкий датчик вводится через влагалище вверх, к шейке матки, обеспечивая максимально возможный доступ к органам малого таза.
Читать еще: УЗИ малого таза трансвагинально
Существует также трансректальный способ, но он применяется крайне редко, в исключительных случаях (например, у девственниц).
Подготовка к УЗИ яичников у женщин имеет большое значение. Хотя никаких особых ограничений по питанию, приему лекарственных препаратов и состоянию здоровья нет, женщина должна учитывать следующие правила.
УЗИ яичников следует осуществлять в определенные дни месячного цикла.
- Для того чтобы оценить их морфологическое состояние и проверить на наличие патологий, необходимо делать УЗИ сразу после окончания менструации, на 5-7 день цикла.
- Для того чтобы определить их функциональную активность, исследование нужно проводить в дни, рекомендованные лечащим врачом. Дело в том, что в течение месяца в организме женщины происходят репродуктивные процессы, имеющие 4 фазы развития. Для определения причин бесплодия или гормонального дисбаланса зачастую требуется понаблюдать за состоянием органа в каждую из этих фаз.
При трансабдоминальном доступе мочевой пузырь должен быть заполнен максимально.
За час-полтора до исследования следует выпить 1-1,5 литра негазированной воды или чая. Мочевой пузырь, заполненный водой, хорошо проводит ультразвук к яичникам, которые располагаются за ним.
Если пузырь недостаточно полон, врач может не «рассмотреть» как следует интересующие органы. Опорожняться до окончания процедуры не рекомендуется - это может повлиять на достоверность результатов.
При трансвагинальном УЗИ особой подготовки не требуется.
Самое главное, о чем должна позаботиться женщина - о средствах личной гигиены. Для индивидуальной защиты от инфекций на датчик надевается специальный презерватив.
Обычно диагностические кабинеты полноценно оснащены такими одноразовыми средствами, но иногда, при их отсутствии, пациентку просят приобрести изделие самостоятельно. Средство называется «Презерватив для УЗИ» и продается во всех аптеках.
Примечание: если у женщины выраженная аллергия на латекс, следует заранее предупредить об этом врача.
Перед трансректальным УЗИ необходимо очистить прямую кишку от каловых масс.
Для этого накануне приема девушка должна сделать небольшую клизму (300-350 мл воды). Также следует обеспечить отсутствие газов в кишечнике - не употреблять накануне в пищу продукты, стимулирующие их образование (фрукты, овощи, сладости, черный хлеб, бобовые, газированные напитки).
- Проверка яичников на УЗИ с использованием трансабдоминального доступа - пациентка располагается на кушетке спиной вниз, освободив от одежды паховую область и живот. Врач обильно смазывает гелем поверхность кожи для того, чтобы обеспечить лучший контакт наружного датчика с телом. Перемещение прибора по коже осуществляется с небольшим нажимом.
- При трансвагинальном доступе необходимо принять позу, необходимую для оптимального ввода датчика - лечь на спину, согнув ноги в коленях. Прибор достаточно узкий и не вызывает никаких ощущений дискомфорта - процедура вполне безболезненна.
Для того чтобы полноценно исследовать оба яичника, специалисту УЗИ-диагностики потребуется 10-15 минут.
Во время исследования врач определяет положение, размер и структуру яичников.
Нормальное положение яичников - по бокам матки и несколько кзади. Именно из-за прилегания к матке они получили неофициальное название придатков. При беременности эти органы смещаются вверх.
Размеры яичников могут варьировать в зависимости ото дня менструального цикла, возраста женщины, количества выношенных и прерванных беременностей, приема оральных контрацептивов и индивидуальных особенностей организма. Нормальными для женщины репродуктивного возраста принято считать следующие параметры:
- объем - от 4 до 10 см3;
- длина - от 20 до 37 мм;
- ширина - от 18 до 30 мм;
- толщина - от 16 до 22 мм.
У большинства женщин правый и левый яичник различаются в размерах. Однако значительная разница в объеме может свидетельствовать о наличии патологии или врожденной аномалии. Увеличение размеров может свидетельствовать о поликистозном синдроме, оофорите.
Структура яичников зависит ото дня менструального цикла - врач определяет размер и количество фолликулов, наличие доминантного фолликула, желтого тела, осматривает на предмет кист и опухолей.
Несоответствие структуры норме могут свидетельствовать о поликистозе (множество неразвившихся фолликул), поздней овуляции, функциональных нарушениях и патологиях.
Нормальные размеры яичников по УЗИ зависят от дня исследования:
- 5-7 день: 5-10 фолликул в корковом слое размерами от 2 до 6 мм;
- 8-10 день: 5-9 фолликул не более 10 мм и 1 доминантный, 12-15 мм;
- 11-14 день: доминантный фолликул 16-20 мм, овуляция - при достижении им 18 мм;
- 15-18 день: образуется желтое тело (15-20 мм) на месте овулировавшего фолликула;
- 19-23 день: желтое тело постепенно достигает размеров 25-27 мм;
- 24-27 день: желтое тело регрессирует до 10-15 мм;
- менструация: желтое тело исчезает.
Контуры здоровых придатков должными быть неровными, но четкими. Нечеткость границ может свидетельствовать о воспалении.
В острых случаях УЗИ делают и во время месячных - процедура абсолютно безопасна и не может повлечь за собой никаких осложнений.
УЗИ матки и придатков - не инвазивный (без воздействия инструментов проникновения, например, игл) процесс, направленный на изучение по средствам ультразвуковых колебаний строения и функций органов женской половой системы.
Органические ткани проводят ультразвуковые волны и отражают их по-разному, в зависимости от своей плотности и происхождения.
Специальные датчики посылают звук, а затем улавливают отраженные волны. Именно на основании этих данных аппарат УЗИ формирует картинку, соответствующую строению изучаемых органов и всех происходящих с ними изменений.
С помощью УЗИ можно не только изучить строение матки и яичников, но и определить новообразования на начальных стадиях, измерить органы, проверить функциональность половой системы.
Такой метод обследования помогает диагностировать заболевания, контролировать процесс развития плода при беременности и в целом следить за здоровьем женщины.
Обычно на процедуру направляют в следующих случаях:
- профилактика заболеваний;
- беспричинные боли внизу живота;
- нарушение менструальных циклов;
- беременность;
- бесплодие;
- подозрение на заболевание женской половой системы;
- мониторинг имеющихся заболеваний.
Ультразвуковое исследование матки может проводиться 4-я способами. Давайте рассмотрим каждый из них подробнее.
Во влагалище вводится ультразвуковой зонд, с предварительно надетым на него презервативом. Процедура безболезненна, но доставляет некоторый дискомфорт.
Такой вид обследования обычно назначается в тех случаях, когда необходимо тщательно и детально осмотреть внутренние органы. Подробнее про трансвагинальное узи.
При абдоминальном УЗИ органы обследуются через брюшную полость (нижняя часть живота), без проникновения внутрь.
Обычно используется при проведении общего осмотра, а не для детальной диагностики. Подробнее про трансабдоминальное узи.
Процедура заключается во введении ультразвукового тонкого зонда в полость матки. Такое обследование назначается врачом-гинекологом только при определенных заболеваниях.
В зависимости от правильности подготовки к УЗИ-обследованию, будут зависеть и его результаты. Чтобы показания были наиболее точные необходимо:
Еще один важный момент - на какой день менструального цикла делать УЗИ матки. Из-за того, что размеры и структура половых органов постоянно меняются на протяжении всего цикла, получить верные данные можно на 5, 6 и 7 день от начала месячных.
Процедура УЗИ очень проста и безболезненна. Пациентка ложится на кушетку и обнажает низ живота.
Врач смазывает специальным гелем датчик ультразвука (или надевает на него презерватив, смазанный гелем, при трансвагинальном обследовании) и водит по им брюшной полости.
Весь процесс займет 10 - 20 минут.

Результаты обследования выдаются на руку в день проведения УЗИ. В бланке врач отмечает следующие моменты:
- размер, толщина, эндометрия матки - они должны соответствовать дню цикла;
- присутствуют ли отклонения;
- особенности структуры шейки матки;
- размеры яичников;
- наличие или отсутствие фолликулов.
Кроме того, здесь же могут быть указаны при обнаружении следующие заболевания:
- миома (доброкачественная опухоль);
- эндометриоз (расширение оболочки матки);
- полипы;
- пороки развития;
- поликистоз яичников;
- злокачественную опухоль.
Именно обследование УЗИ способно выявить тонус матки и определить его степень.
У беременной женщины при отсутствии патологий обследование показывает длину шейки матки более 3 см, закрытый зев матки и нормальное сердцебиение плода.
В этом случае тонус матки не представляет опасности. Если же зев открыт больше чем на 5 мм, а длина матки составляет 2,5 - 3 см, то существует большая вероятность выкидыша.
Появление полипов - следствие разрастания слизистых оболочек внутреннего слоя матки.
На УЗИ болезнь выглядит как чрезмерно разросшийся и аномально уплотненный эндометрий (внутренняя слизистая оболочка матки) в те дни менструального цикла, которые такого не предусматривают. Обычно болезнь не имеет симптомов.

Рак представляет собой злокачественную опухоль, которая может образоваться на шейки матки или на ее внутреннем слое.
С помощью УЗИ это рак матки выявляется очень легко, так как новообразование обладает эхогенностью отличной от той, что дают здоровые ткани.
Диагностировать поражение эндометрии сложнее из-за того, что злокачественную опухоль можно спутать с миомой. Поэтому прежде чем ставить диагноз, пациентку отправят на биопсию.
В результатах обследования УЗИ у здоровой женщины не будет никаких данных о маточных трубах, так как их не видно. Если же они проглядываются, значит, у пациентки внематочная беременность или воспаление маточных труб.
Здоровая матка должна быть немного отклонена по направлению к прямой кишке или мочевому пузырю. Размеры органа зависят от того, была ли женщина беременна.
| Размеры | Для нерожавшей женщины | Для женщины, которая была беременна, но не рожала | Для рожавшей женщины |
| Длина | 42 - 48 мм | 49 - 54 мм | 55 - 60 мм |
| Ширина | 43 - 50 мм | 44 - 55 мм | 49 - 60 мм |
| Переднезадний | 34 мм | 37 мм | 38 - 42 мм |
Толщина эндометрии будет варьироваться в зависимости ото дня цикла. Так, на седьмой день она должна составлять 1 — 2 мм, а после овуляции - 10 - 15 мм.
Яичники у здоровой женщины находятся по бокам матки, углы которой не сильно удалены от них. Размеры органов в нормальном состоянии:
Неправильное положение плодового яйца, выявленное на УЗИ, может свидетельствовать о следующих аномалиях:
- Шеечная беременность. Происходит в случаях низкого прикрепления плодового яйца. Требует немедленного вмешательства, поскольку может привести к удалению матки.
- Внематочная беременность. Появляется ложное плодное яйцо, состоящее из секрета, выделяемого маточными трубами, или крови. На УЗИ такое яйцо отличается по форме и толщине стенок.
- Полое плодное яйцо. Для 1 - 2 недели беременности — это нормальное явление, так как плод еще слишком мал. Но если аномалия сохраняется после этого срока, происходит медицинское прерывание.
Обследование УЗИ может диагностировать следующие патологии развития матки:
- однорогая матка - имеет только одну маточную трубу;
- двурогая матка — у матки образуются две полости и одна шейка;
- удвоение матки и влагалища;
- удвоение шейки матки;
- удвоение матки при общем влагалище.
Подобные аномалии могут быть обнаружены только с помощью УЗИ, так как обычно никак себя не проявляют.
Читайте также:

