УЗИ и МРТ при узлах щитовидной железы
Добавил пользователь Владимир З. Обновлено: 02.11.2025

Щитовидная железа находится в передней части шеи и является элементом эндокринной системы. Вырабатывает гормоны, координирующие процессы роста, разграничения тканей, обмена веществ. Иногда пациентам назначают КТ щитовидной железы. Данный вид диагностики позволяет за короткое время получить множество высококачественных снимков органа, на основе которых можно создать объемную реконструкцию с детальной визуализацией патологии.

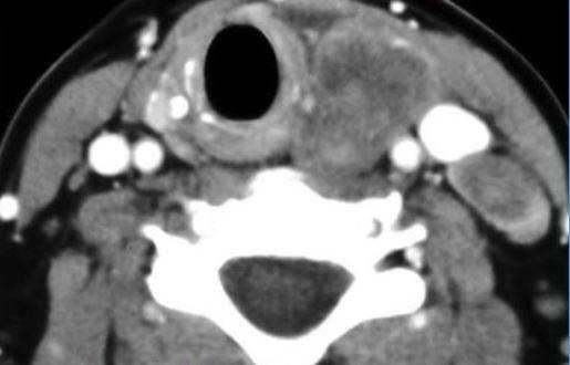
Компьютерная томограмма щитовидной железы
Компьютерную томографию применяют лишь при недостаточной информативности других методов, поскольку ткани щитовидной железы отличаются повышенной чувствительностью к радиации. На начальном этапе обследование выполняют при помощи пальпации, УЗИ, лабораторных технологий и функциональных проб. Если данные методы не смогли показать полной картины либо врач сомневается в полученных сведениях, нужна томография. Рентгенологическая компьютерная диагностика актуальна при загрудинном расположении увеличенного в размерах органа и при противопоказаниях к проведению МРТ.
Что показывает КТ щитовидной железы?
По компьютерным сканограммам специалист может судить о форме, размерах, строении и положении органа, состоянии лимфоузлов, паращитовидных желез, трахеи, пищевода, наличии или отсутствии патологических изменений.

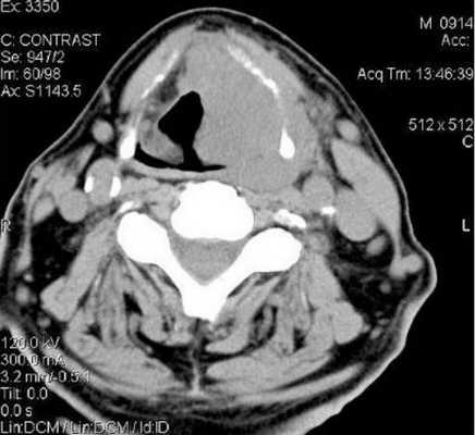
Опухоль щитовидной железы на компьютерной томографии
увеличение щитовидной железы;
изменения очагового характера (кисты, узлы, аденомы, кальцинаты);
новообразования (доброкачественное или злокачественное выяснится после сдачи материала на анализ);
прорастание опухолью трахеи или сосудисто-нервных пучков;
атрофию или гипоплазию (врожденное уменьшение всего органа или недоразвитие одной из долей);
местные расстройства кровообращения (артериальную и венозную гиперемию);
кровоизлияния в ткань железы.
КТ щитовидной железы с контрастом
КТ тканей щитовидной железы требует контрастирования, поскольку обычные изображения не показывают узелки, сосуды, опухоли. С целью улучшения визуализации внутривенно вводят специальные йодсодержащие препараты. Попадая в кровеносное русло, контрастирующее средство быстро заполняет сосудистую сеть органа и четко выделяет на томограммах не только последнюю, но и патологически измененные участки.

Фото КТ щитовидной железы с контрастом
После введения раствора индикатора сразу либо спустя некоторое время человек может почувствовать тошноту, вкус металла во рту, ощущение тепла в теле. Это стандартная реакция на контрастное вещество, не требующая постороннего вмешательства.
кожный зуд, сыпь;
першение в горле;
затруднение дыхания (бронхоспазм);
резкое снижение артериального давления;
При появлении хотя бы одного из них нужно обратиться к медицинскому персоналу, не дожидаясь пока томография щитовидной железы закончится.
Подготовка к исследованию щитовидной железы
КТ щитовидной железы не требует серьезной подготовки. За один-два дня до исследования следует лишь отказаться от йодсодержащих продуктов и лекарственных препаратов (в том числе для наружного применения). В противном случае данные диагностики могут быть искажены.
Перед процедурой желательно умеренно поесть, на голодный желудок побочные эффекты контрастирующего вещества выражены сильнее. Женщинам в период лактации рекомендуется заранее сцедить и сохранить молоко, так как проводимая диагностика на несколько часов исключает кормление грудью.
КТ-исследование щитовидной железы с контрастом делают только при наличии результатов анализа на креатинин. Концентрация данного соединения в крови напрямую зависит от функционирования почечной фильтрации. Малейшее отклонение от нормы увеличивает риск ухудшения самочувствия после введения йодсодержащего препарата.

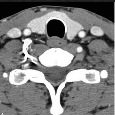
Узловой зоб щитовидной железы на компьютерной томограмме (очаговые изменения указаны стрелками)
Как делают КТ щитовидной железы
Перед тем, как войти в кабинет, где будет проводиться обследование, надо снять с себя все вещи, в которых присутствует металл. Компьютерная томография щитовидной железы проходит на аппарате, оборудованном подвижным столом и сканирующей системой, состоящей из рентгеновской трубки и датчиков. Пациент ложится спиной вниз, под шею помещают подставку. При помощи автоматического инжектора в середине процедуры в вену вводят контраст.

Компьютерный томограф - фото
Врач наблюдает за процессом обследования из соседней комнаты через стекло. С помещением, где находится персонал, есть громкая связь, по которой пациент получает указания и может сообщить о возникшем дискомфорте.
Процедура диагностики абсолютно безболезненна. Рентгеновская трубка вращается вокруг области шеи и грудной клетки, веерообразный пучок лучей проходит сквозь тело человека и фиксируется системой детекторов. Информация поступает на компьютер, где впоследствии ее анализирует рентгенолог.
В момент сканирования следует расслабиться и сохранять неподвижное положение, чтобы снимки получились максимально четкими. КТ-диагностика щитовидной железы с контрастом занимает 15 минут, после чего практически сразу можно вернуться к привычным делам.
Томография щитовидной и паращитовидных желез
Паращитовидными называют железы внутренней секреции, расположенные с задней стороны щитовидной железы. Обычно у человека их четыре - нижняя и верхняя пары, но может насчитываться от одной до двенадцати. Основная функция паращитовидных желез - продуцирование паратиреоидного гормона, регулирующего фосфатно-кальциевый обмен. Нарушение этого процесса приводит к сбою в работе большинства важных систем, из-за чего развиваются различные заболевания.
КТ-сканирование щитовидной и паращитовидных желез назначают в следующих случаях:
тетания (непроизвольные болезненные сокращения мышц);
парестезии (ощущение онемения, ползания мурашек или покалывания в конечностях, лице, языке);
появление неврологических симптомов - раздражительности, психозов, эпилептических припадков;
остеопороз неясного происхождения;
наличие в области шеи объемного новообразования;
контроль после оперативного вмешательства.

Опухоль паращитовидной железы на снимке компьютерной томограмме
Исследование с контрастом позволяет точно определить местоположение и размеры паращитовидных желез, даже если они находятся в загрудинном пространстве.
Показания и противопоказания
Основные показания к проведению КТ-анализу щитовидной железы:
внезапное изменение голоса;
дыхательные расстройства вследствие сдавления и сдвига щитовидной железой соседних анатомических образований;
трудности при глотании пищи и жидкости;
увеличение шейных лимфатических узлов;
нетипичное расположение органа (когда нижняя часть или вся железа находится за грудиной);
наличие узлов (по результатам УЗИ);
подозрение на опухоль;
необходимость исключить или подтвердить метастазирование;
врожденные аномалии щитовидной железы;
подготовка к операции и контроль после ее проведения.
Общие противопоказания к процедуре:
беременность независимо от срока;
детский возраст до 5 лет;
масса тела выше 150 кг и обхват груди (живота) более 150 см.

Противопоказания к компьютерной томографии
Также есть ряд противопоказаний, связанных с применением йодсодержащих веществ. Щитовидная железа (КТ с контрастом) не обследуется у пациентов с:
тяжелой почечной либо печеночной недостаточностью;
гипертиреозом (дополнительный йод в любом виде усугубляет заболевание);
сахарным диабетом при приеме метформина.
Компьютерную томографию с контрастированием обычно не делают детям до 12 лет.
Фото томографии щитовидной железы
Фото компьютерной томографии позволяют изучить:

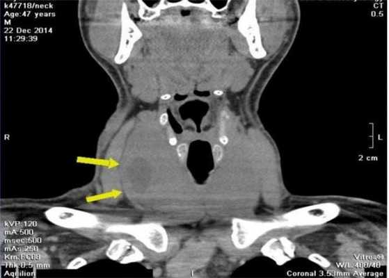
На снимке КТ белой стрелкой указан увеличенный лимфатический узел. У пациента удалена доля щитовидной железы справа (указано чёрной стрелкой), в связи с папиллярной карциномой.
В норме поперечные томограммы щитовидной железы показывают две однородные по структуре доли, прилегающие к трахее. Между ними узкий перешеек, рядом визуализируются мышцы, нервные и сосудистые пучки. Когда присутствуют опухоли, кисты, узловые образования, симметричность долей нарушается, строение органа становится гетерогенным (неоднородным).
УЗИ щитовидной железы что показывает

Ультразвуковое исследование щитовидной железы - неинвазивная диагностическая процедура, использующая принцип эхолокации. Трансдьюсер (датчик) передает акустические волны высокой частоты, которые проходят через область шеи и возвращаются обратно, теряя определенное количество мощности в зависимости от плотности ткани. Отклики преобразователь отправляет на компьютер для обработки. Программа воспроизводит (оцифровывает) картинку органа и прилегающих тканей, которую врач изучает на экране монитора. Ультразвуковые волны абсолютно безопасны для человека, поэтому сделать УЗИ щитовидки можно даже во время беременности.
При подозрении на опухолевый процесс для дополнительной оценки особенностей кровообращения используют режим ЦДК (цветового допплеровского картирования): злокачественные новообразования отличает усиленная васкуляризация. Современные аппараты экспертного класса оснащены функцией E-Thyroid. Эластография определяет жесткость тканей, что иногда заменяет биопсию и облегчает дифференциацию узловых образований в паренхиме органа - кист, аденом, опухолей - между собой.

Исследование гормонального профиля и УЗИ щитовидной железы эндокринологи используют в качестве первичной диагностики. Для большинства патологических процессов результатов анализов и расширенной ультрасонографии достаточно, чтобы определить характер заболевания.
Стадирование злокачественного новообразования подразумевает выполнение компьютерного или магнитно-резонансного сканирований.
Метод УЗД практически не имеет противопоказаний, сонографию перенесут, если у пациента в области шеи обнаружены:
- герпес на стадии высыпания;
- пиодермия;
- нарушение целостности кожного покрова;
- “свежий” ожог без рубцевания.
Как проходит процедура УЗИ щитовидной железы, подробнее расскажем далее.
Что показывает УЗ-сканирование
На сонограммах лоцируются аномалии развития:
- отсутствие железы (аплазия);
- чрезмерное разрастание/недоразвитие тканей;
- атипичное местоположение органа эндокринной системы.
Диффузный нетоксический зоб. Болезнь характеризует увеличение железы из-за нехватки поступления йода с пищей при повышенном расходе элемента в подростковом возрасте, в период гестации или при врожденном изменении клеток-тиреоцитов, которые утрачивают способность забирать йод из крови. На сонограммах видны множественные мелкие фолликулы-пузырьки с анэхогенным сигналом.

Диффузный токсический зоб. Патология развивается на фоне аутоиммунных нарушений или опухолей гипофиза, что приводит избыточному производству тиреотропного гормона. На УЗИ щитовидная железа увеличена в 2-3 раза, видны участки пониженной эхогенности. В режиме допплерографии обнаруживаются цветные прилегающие друг к другу точки. Типичные признаки:
- волнистый контур;
- умеренная гипоэхогенность паренхимы;
- усиление кровотока;
- неоднородность эхоструктуры.
После лечения морфология по данным сонографии приходит к норме.
Аутоиммунный тиреоидит. Агрессия собственных лимфоцитов человека к железистой ткани органа приводит к гибели функционирующих клеток и фиброзным изменениям в паренхиме. Выработка гормонов нарушена, что выражается в вариативных функциональных состояниях с недостатком или переизбытком (гипо- и гипертиреоз соответственно) синтеза биологически активных веществ. При компенсированном состоянии говорят об эутиреозе.
- уменьшение/увеличение объема органа;
- изо-, гипоэхогенность, грубая неоднородность паренхимы;
- визуализация узелков;
- усиленная васкуляризация.
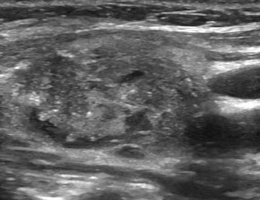
Образования, узлы. Во время сканирования доктор оценивает очаговую патологию и делает заключение в предположительном ключе. УЗИ щитовидной железы показывает:
- доброкачественные опухоли - аденомы;
- коллоидные кисты;
- карциномы;
- лимфомы;
- многоузловой зоб.
Дифференциация опирается не только на серошкальные изображения, но и на данные ЦДК.
В пользу доброкачественности узлов свидетельствует совокупность признаков:
- изо-, гипоэхогенность;
- правильность формы;
- ровность, четкость контуров;
- превалирование длины над высотой;
- размеры менее 1 см;
- отсутствие кровотока.
Показания к УЗИ щитовидной железы
Сделать УЗИ щитовидки обосновано, если есть симптомы переизбытка или недостаточной выработки гормонов.

Для гипертиреоза типичны:
- нестабильность психических реакций, раздражительность, слезливость;
- нарушения сна;
- профузная потливость;
- тремор конечностей;
- сердцебиение, одышка;
- уменьшение массы тела при повышенном аппетите, боли в животе, усиленная перистальтика, диарея;
- затрудненное глотание, кашель;
- явное увеличение щитовидной железы;
- непереносимость жаркой погоды;
- экзофтальм, подергивание век и другие глазные нарушения;
- нерегулярные менструации или полное отсутствие обновления эндометрия у женщин;
- сексуальная дисфункция у мужчин;
- постоянная субфебрильная температура.
О гипотиреозе с дефицитом гормонов свидетельствуют:
- сонливость;
- пастозное лицо;
- заторможенность, депрессивное настроение;
- хронические запоры;
- костно-суставные блуждающие боли;
- шелушение кожи, ломкость и выпадение волос, расслоение ногтей;
- инфертильность, невынашивание беременности, нарушения менструального цикла;
- снижение либидо у мужчин.
Показания к УЗИ щитовидной железы включают:
- наблюдение в динамике за состоянием узлов, кист в эндокринном органе;
- оценку эффективности терапии;
- первичное обследование при бесплодии неясного генеза у мужчин и женщин;
- пальпируемое образование в области шеи, увеличение лимфатических узлов;
- изменения в лабораторных показателях: увеличение или понижение уровней ТТГ, Т4, Т3, антител к тиреоглобулину и тиреопероксидазе;
- скрининговое обследование людей, проживающих в районах с дефицитом йода, и/или занятых на работах, связанных с профессиональными вредностями, ионизацией;
- в превентивных целях перед планируемой беременностью;
- контроль проведения иглы при заборе ткани для морфологического исследования (тонкоигольная биопсия);
- скрининг пациентов из группы риска с отягощенным наследственным анамнезом - у близких родственников диагностирован рак щитовидной железы и пр.
Как подготовиться к УЗИ щитовидной железы
В качестве подготовки достаточно гигиенических мероприятий, снятия украшений с шеи и выбора одежды без тесного воротника. Все лекарства разрешено принимать в обычном режиме.

Можно ли есть морепродукты перед УЗИ щитовидной железы? Здесь тоже нет строгих ограничений. Йод, содержащийся в дарах моря, не повлияет на общую картину.
Пациентам с повышенным рвотным рефлексом рекомендовано не переедать перед диагностикой и не являться на процедуру на голодный желудок: допустим легкий перекус.
Подготовка к УЗИ щитовидной железы у женщин не отличается от таковой у мужчин. Большинство специалистов придерживаются мнения, что менструальный цикл не оказывает клинически значимого влияния на визуализацию щитовидной железы, поэтому процедуру можно планировать на любой день.
В клинике потребуются:
- документы, удостоверяющие личность;
- направление врача (в частных учреждениях обследование выполнят по желанию пациента);
- полис обязательного/добровольного медицинского страхования (если УЗ-сканирование будет оплачивать фонд);
- выписки из стационара, результаты пройденных ранее УЗИ, КТ, анализов на гормоны;
- салфетки, питьевая вода.
Подготовка к УЗИ щитовидной железы у детей
Сонографию в педиатрической практике делают при удушье и отеке шеи, отставании в умственном и физическом развитии ребенка, признаках гормональных нарушений.
Грудного малыша можно покормить за 2 часа до процедуры - во избежание рвоты. Ребенку сознательного возраста перед ультразвуковым исследованием щитовидной железы следует в игровой форме объяснить, что будет происходить в диагностическом кабинете.
Как делают УЗИ щитовидки
Исследование проводят в положении больного лежа на спине, под плечи подкладывают валик. На область интереса доктор наносит прозрачный гель. Субстанция гипоаллергенна, не оставляет следов на одежде и не поступает в системный кровоток. Гель облегчает скольжение и лучший контакт преобразователя с кожей, улучшает качество визуализации, избавляет от потери качества изображения. Болевые ощущения отсутствуют. Каждую долю органа сканируют в продольной и поперечной плоскостях. При необходимости применяют режим цветного допплеровского картирования, что позволяет увидеть сосуды. Усиление кровотока свидетельствует о патологическом процессе - опухоли, диффузном токсическом зобе, аутоиммунном тиреоидите.

Одновременно с оценкой изображений на экране монитора сонолог вносит индивидуальные данные в протокол исследования. Длительность процедуры составляет 15-20 минут, по ее завершении пациент получает на руки результат.
Как часто можно делать
Ограничений по количеству УЗ-исследований нет, поэтому проведение диагностики возможно столько раз, сколько требует медицинская ситуация. Кратность определяет лечащий врач, иногда сонолог указывает в заключении на необходимость контрольного осмотра в динамике.
Ультразвуковые волны не инициируют каких-либо реакций в организме, не связаны с развитием опухолей, прогрессированием имеющихся заболеваний.
Видно ли на УЗИ рак щитовидной железы?
Диагноз рака подразумевает морфологическую верификацию, т.е. полученные путем биопсии или во время операции ткани после подготовки под микроскопом оценивают для определения типа опухолевых клеток. Информация важна для выбора способов лечения.

Опухолевое поражение на сонограмме
По результатам УЗИ врач может предположить характер новообразования.
Рак щитовидной железы на сонограммах имеет:
- неоднородную преимущественно гипоэхогенную структуру,
- неправильную форму;
- размеры свыше 1 см - новообразования более 4 см всегда подозрительны на малигнизацию;
- множественные кисты/узлы, участки отложения кальция, фиброз;
- рваные, размытые контуры.
Явная асимметрия долей, лимфаденопатия, инвазия опухоли через собственную капсулу в соседние ткани свидетельствуют о продвинутых стадиях болезни.
В режиме ЦДК при злокачественном новообразовании видна нарушенная архитектоника сосудистой сети, избыточное количество артерий и вен, зоны некроза.
На УЗИ с эластографией опухоль имеет большую плотность по сравнению со здоровыми тканями.
Расшифровка УЗИ щитовидки
Анализ изображений УЗИ щитовидной железы проводит врач-сонолог.
Клинически значимые параметры:
- объем щитовидной железы - современные УЗИ-аппараты рассчитывают показатель автоматически с учетом длины, высоты, ширины каждой доли, при сканировании на старом оборудовании доктор определяет объем по формуле;
- эхогенность;
- наличие включений и их размеры;
- эхоструктура - однородная (в норме) или неоднородная;
- очаговые образования и характеристики последних;
- параметры кровотока;
- состояние лимфоидной ткани;
В норме ультрасонография не лоцирует паращитовидные железы, которые имеют размеры менее 5 мм. Увидеть данные анатомические структуры можно при использовании высокочастотного датчика или при развитии аденомы, гиперплазии, опухоли.

Патологическое усиление кровотока в органе: диффузный токсический зоб
МРТ щитовидной железы что показывает

Патологические состояния эндокринной системы вызывают изменения нейрогуморальной регуляции тела человека и провоцируют нарушения работы жизненно важных органов. Диагностика заболеваний щитовидной железы с помощью магнитно-резонансной томографии позволяет дифференцировать процесс на ранней стадии, избегая развития опасных осложнений.
МРТ - аппаратное исследование состояния внутренних структур без применения инвазивных методик. Сканирование проводят с помощью индукционного поля, воздействующего на атомы водорода в молекулах воды. Резонанс заряженных частиц позволяет получить отклик сканируемых тканей. Интенсивность ответной реакции напрямую зависит от насыщенности изучаемых структур жидкостью.

Снимки МРТ мягких тканей шеи
Проведение магнитнорезонансной томографии с использованием различных режимов повышает информативность исследования рыхлых элементов. Изучение особенностей кровоснабжения зоны интереса и диагностика новообразований требуют применения контрастного раствора. В качестве «окрашивающего» препарата используют хелаты гадолиния.
Заболевания щитовидной железы
Органы эндокринной системы вырабатывают гормоны - биологически активные вещества, регулирующие жизнедеятельность организма. Щитовидная железа, расположенная в нижней части передней поверхности шеи, продуцирует тироксин, трийодтиронин и кальцитонин. Задняя поверхность анатомического образования охватывает нижний отдел гортани и верхнюю часть трахеи. Орган состоит из двух равных долей, соединенных перешейком. В норме вес железы у взрослого человека достигает 15-20 грамм.
Заболевания щитовидки протекают с усилением или снижением секреции, что обусловливает характерную клиническую картину. В зависимости от этиологии патологических изменений различают:
аутоиммунные тиреопатии (Базедова болезнь, неинфекционный тиреоидит и пр.);
гиперплазии железы (диффузный или узловой зоб);
новообразования (добро- и злокачественные);
инфекционные тиреоидиты (подострый, гнойный, специфический);
Базедова болезнь (диффузный токсический зоб) - системная патология, сопровождающаяся повышенной секрецией гормонов. На фоне гиперфункции щитовидной железы возникают признаки тиреотоксикоза:
плаксивость, раздражительность, другие симптомы психической нестабильности;
тахикардия, аритмия, сердечная недостаточность;
снижение массы тела;
экзофтальм (смещение глазного яблока вперед).
В лечении Базедовой болезни используют консервативные методы (тиреостатическую терапию) и хирургическое вмешательство (резекцию органа).

Опухоль щитовидной железы на МРТ
Доброкачественные гиперплазии различают по морфологическим признакам:
диффузный зоб - равномерное увеличение органа в размерах при постепенном снижении функциональности (гипотиреоза);
узловые образования - появление уплотнений в тканях железы, секреция уменьшается;
смешанный тип - встречаются признаки обеих патологий.
В отдельную группу выделяют эндемический зоб, развивающийся на фоне недостатка йода. К характерным внешним признакам гиперпластического процесса относят деформацию шеи, изменение голоса. Пациент жалуется на затрудненное глотание, «ком» в горле. На снимках, полученных в результате магнитно-резонансной томографии, определяют увеличение щитовидной железы, изменение структуры органа.
Признаками гипотиреоза являются:
чувство тяжести в области средостения, брадикардия;
изменения массы тела;
алопеция (выпадение волос), сухость кожных покровов;
нарушения работы желудочно-кишечного тракта, запоры;
отечность лица, малоподвижная мимика;
анемия (дефицит железа);
снижение памяти, интеллекта;
нарушения менструального цикла (у женщин).
У пожилых больных при отсутствии лечения и ухода состояние переходит в гипотиреоидную кому, которая в 80% случаев имеет летальный исход. Основным методом лечения является заместительная гормональная терапия.
Злокачественные опухоли (рак щитовидной железы) сопровождаются увеличением регионарных лимфатических узлов. Пациенты отмечают боль в горле, наличие уплотнения, часто возникают жалобы на кашель.

Новообразование (указано стрелкой) на МРТ щитовидной железы
Тиреоидиты - воспалительные процессы, имеют инфекционную и аутоиммунную природу. Вторые встречаются чаще и протекают в хронической форме. Симптомы отсутствуют, в некоторых случаях наблюдается незначительное увеличение органа. При развитии гипотиреоза развивается клиническая картина, характерная для дефицита гормонов щитовидки. Среди врожденных аномалий выделяют:
аплазию (отсутствие органа);
дистопию (аномальное расположение);
врожденные кисты щитовидки;
дополнительные железы и пр.
Врожденные дефекты возникают при нарушениях формирования и развития органа во внутриутробном периоде. Заболевания могут сопровождаться гипо- и гиперфункцией щитовидной железы с характерными клиническими симптомами.
Делают ли МРТ щитовидной железы?
Магнитно-резонансная томография обеспечивает детальную визуализацию рыхлых структур. В результате сканирования получают послойные изображения щитовидной железы, расположенных рядом лимфатических узлов, кровеносных сосудов, мягких тканей шеи, гортани.
Исследование отличается высокой информативностью по сравнению с другими методами аппаратной диагностики. Томограммы показывают изменения формы и размеров анатомического образования, позволяют выявить структурные нарушения и патологические очаги диаметром от 3 мм.
МРТ щитовидной железы делают при подозрении на развитие онкологических, воспалительных, дегенеративных и дистрофических процессов. Метод дает информацию о локализацию очага, позволяет оценить взаимодействие измененных и здоровых тканей.
При увеличении железы в размерах по описанию томограмм можно определить характер гиперплазии. Узелки и капсулы выглядят на снимках МРТ как очаги с гипо- или гиперинтенсивным сигналом, отличным от реакции окружающих тканей. Метод показывает сдавление трахеи новообразованием, распространение патологического процесса в загрудинное пространство.

Мягкие ткани шеи на МРТ
Магнитно-резонансное сканирование может применяться в качестве основного или дополнительного метода исследования в диагностике эндокринных заболеваний.
Показания и противопоказания к МРТ щитовидной железы
Гормональный дисбаланс служит поводом для исследования органов эндокринной системы. Признаки гипо- или гипертиреоза свидетельствуют о нарушениях секреторной функции щитовидной железы. Задача врача заключается в определении этиологии, характера, интенсивности патологического процесса. Выбор метода лечения во многом зависит от того, что показывает МРТ щитовидной железы.
при подозрении на «загрудинный» зоб;
перед хирургическим вмешательством;
в случае гиперплазии щитовидной железы;
при подозрении на развитие новообразования;
для выявления особенностей воспалительного процесса;
в послеоперационном периоде.
Магнитно-резонансное исследование показано пациентам при недостаточной информативности УЗИ, когда по результатам последнего выявлена патология, но для постановки диагноза требуются дополнительные сведения.
Метод имеет ряд противопоказаний, связанных с физической природой магнитного поля. МРТ не проводят:
больным с вживленными электронными устройствами медицинского назначения;
людям с татуировками, выполненными ферромагнитными красками;
пациентам с металлическими эндопротезами, расположенными в зоне исследования;
женщинам с грудными имплантатами при наличии магнитных направляющих.
Некоторые металлы, взаимодействуя с индуцируемым аппаратом полем, могут нагреваться, вызывая неприятные ощущения у пациента. Несъемные протезы в рассматриваемой зоне становятся причиной появления дефектов на послойных изображениях, затрудняя расшифровку результатов.
Электромагнитные приборы взаимодействуют с полем томографа, что может привести к поломке оборудования. Пациентам с кардиостимуляторами, инсулиновыми помпами и другими устройствами назначают альтернативное инструментальное исследование.

Онкологический процесс на томограммах щитовидной железы
МРТ противопоказана на ранних сроках беременности. Контрастирование запрещено вне зависимости от периода гестации. Не используют раствор гадолиния у пациентов, страдающих тяжелыми патологиями печени и почек. Причиной служит усиление нагрузки на органы фильтрации в процессе выведения препарата.
Подготовка к МРТ щитовидной железы
Процедура магнитно-резонансной томографии достаточно проста, при необходимости сеанс проводят в день обращения в клинику. Специальной подготовки МРТ щитовидки не требует, пациенту нужно предупредить врача о возможных противопоказаниях, сообщает о сопутствующих заболеваниях.
При повышенной нервозности, клаустрофобии, выраженном болевом синдроме перед обследованием проводят премедикацию. По рекомендации специалиста пациент принимает седативные и обезболивающие препараты (самостоятельное употребление лекарственных средств перед сканированием запрещено).
В случае МРТ с контрастированием желательно перекусить за час до сеанса. Кормящие женщины заранее сцеживают молоко для ребенка. Прикладывать малыша к груди после внутривенной инъекции контраста рекомендуют не раньше чем через 6-12 часов.

Исследование щитовидной железы на закрытом томографе
Перед сканированием пациент переодевается в удобный комплект (пижаму), снимает металлические украшения, пирсинг, аксессуары и ложится на стол томографа. Конечности и голову больного фиксируют при помощи креплений и валиков, что позволит обеспечить неподвижное положение тела во время исследования.
Видно ли на МРТ рак щитовидной железы?
Благодаря резонансному движению заряженных частиц в ответ на воздействие магнитного поля метод визуализируют структурное перерождение тканей, изменение формы, размеров, контуров сканируемого органа. Послойные фотографии, сделанные в аксиальной, фронтальной и сагиттальной проекциях, отображают малейшие трансформации щитовидной железы, включая патологии кровеносных сосудов.
Основными признаками злокачественной опухоли на МРТ являются:
неоднородная структура образования, наличие кист и кальцинатов;
размытый ореол вокруг опухоли (что свидетельствует о перифокальном отеке паренхимы железы);
отсутствие четкой границы между пораженными и здоровыми тканями, инфильтрация атипичных клеток в окружающие структуры;
особенности кровообращения: собственная сеть сосудов представляет собой сложную запутанную систему с большим количеством анастомозов.
Контрастная МРТ при раке щитовидной железы показывает медленное накопление индикатора, что является признаком малигнизации (озлокачествления) образования.
Метод отражает состояние окружающих тканей, позволяет выявить как первичное образование, так и метастазирование опухоли в регионарные лимфатические узлы, загрудинную область, ткани шеи. Точную локализацию очага и степень прорастания атипичных клеток в соседние структуры устанавливают при помощи трехмерного изображения сканируемой зоны.

Метастазы на снимках МРТ шеи
Врач-рентгенолог указывает в описании признаки злокачественного образования щитовидной железы, но окончательный диагноз ставят на основании дополнительных исследований (биопсии, клинических анализов и пр.)
Что лучше: МРТ или КТ щитовидной железы?
Выбор метода сканирования зависит от состояния здоровья пациента. Оба вида томографии детально визуализируют строение щитовидной железы, отражая патологические изменения уже на начальных этапах заболевания.
КТ показана лицам, имеющим противопоказания к назначению магнитно-резонансного сканирования. При наличии металлических штифтов и коронок рекомендуют делать рентгеновское обследование, позволяющее получить четкие снимки без дефектов и искажений. Преимуществом рентгена является продолжительность процедуры - один сеанс занимает не более 15 минут.
Компьютерная томография головы и шеи дает наиболее точное изображение костных и хрящевых структур. МРТ информативнее в отношении мышечных волокон, жировой клетчатки, эпителиальной и нервной тканей. Магнитно-резонансное сканирование не дает вредной ионизирующей нагрузки, поэтому может применяться при обследовании беременных во 2 и 3 триместре.

Новообразование в области щитовидной железы
Магнитно-резонансная томография щитовидной железы применяется для диагностики поражений этого органа, в том числе злокачественной природы. Исследование также применяется с профилактической целью.
Состояние эндокринных желез сильно влияет на работу нервной системы и всего организма. Магнитно-резонансная томография позволяет детально исследовать щитовидную железу. Также исследование активно применяется для оценки результативности применения гормональных средств и проведения хирургических вмешательств. Томография щитовидной железы — это наиболее информативный способ диагностики и оценки работы эндокринной системы человека.

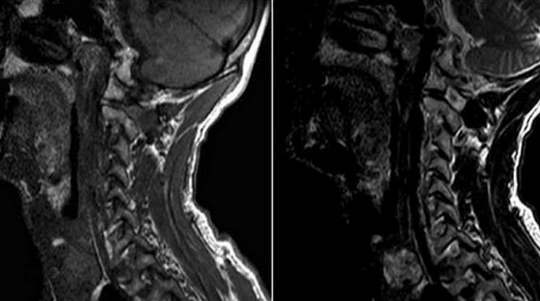
Рисунок 1,2. МРТ мягких тканей шеи (Т2-ВИ и Т1-fs-ВИ контрастное усиление). Патологических образований в структуры щитовидной железы не выявлено.
Что лучше: КТ, УЗИ или МРТ щитовидной железы?
Болезни эндокринных желез рекомендуется диагностировать с помощью нескольких исследований. КТ больше подходит для изучения костных структур. Но при наличии металлических элементов в теле пациента и других противопоказаний к проведению МРТ можно использовать КТ.
УЗИ хорошо визуализирует новообразования, патологические участки, выявляет изменение анатомии органа. Методы МРТ и УЗИ позволяет определять точное расположение узелков и других новообразований, получать предварительную информацию о природе опухоли.
Диагностируемые болезни
Щитовидная железа синтезирует гормональные вещества (трийодтиронин, тироксин и тиреокальциотонин), участвующие во многих внутренних реакциях организма. Болезни этого органа влияют на нервную систему, органы репродукции у женщин и мужчин, нередко вызывают проблемы с зачатием и продолжительное бесплодие. Заболевания вызывают колебания веса, повышенную потливость, перебои с настроением и сном. Но при правильно назначенном лечении удается корректировать проявления даже хронических патологий.
Выявленные на МРТ болезни щитовидной железы:
узловой, диффузный зоб;
опухоли разной природы;
Многие заболевания протекают с гиперплазией тканей железы, появлением дискомфортных ощущений в области горла. Возможно появление одышки, сильного сердцебиения, постоянной усталости и апатии. Эти признаки пациенты могут принимать за проявления других имеющихся нарушений.
МРТ щитовидной железы с контрастом
Диагностику с дополнительным контрастированием применяют преимущественно для выявления образований, которые имеют разветвленную сеть кровеносных сосудов. Контрастные препараты хорошо заметны во время исследования.
Методика позволяет определять точное место локализации патологического новообразования, предполагать тип заболевания. Благодаря активному росту новых сосудов в области злокачественных очагов с помощью МРТ удается выявлять патологию на ранней стадии, когда эффективны малоинвазивные методы лечения и отсутствует риск метастазирования.

Выявит ли МРТ рак щитовидной железы
МРТ по праву считается одним из наиболее информативных способов диагностики. Метод прекрасно визуализирует раковые изменения, позволяет определять начальные нарушения в форме, размере и контурах органа.
Предположительные признаки и изменения при наличии злокачественного новообразования:
нечеткий контур органа;
наличие кальцинатов, кист;
неоднородная структура выявленных образований;
образование собственной сети кровеносных сосудов в области патологического очага;
отсутствие четко определяемой границы между нормальными и патологическими тканями.
После получения результатов МРТ, которые указывают на возможно злокачественную природу но в образовании, назначаются дополнительные методы диагностики. Необходимо проводить биопсию и детально изучать патологические ткани органа.
Контрастирование при МРТ улучшает визуализацию злокачественных опухолей. Поэтому при подозрении на онкологические изменения используют дополнительно парамагнитный контрастный препарат. Его вводят внутривенно незадолго до процедуры. Метод дает возможность не только определять саму опухоль и получать информацию о месте ее нахождения, но и оценивать состояние лимфатической системы, области грудной клетки, выявлять метастазы.
Диагност, зная, что показывает МРТ щитовидной железы при озлокачествлении клеток, сможет легко заподозрить наличие онкологических изменений и рекомендовать пациенту проведение уточняющей диагностики. Раннее выявление рака играет ключевую роль в снижении смертности и сохранении работоспособности после лечения.
Нормы размеров щитовидной железы у детей и женщин
Размеры щитовидной железы отличаются в зависимости от возраста, веса, пола, используемого лечения и других факторов. Железа у женщин весит меньше, чем у мужчин. При расшифровке исследования врач обязательно учитывает размер органа. Его увеличение или уменьшение в сочетании с другими структурными изменениями может говорить о наличии опасных заболеваний.
Размер щитовидной железы у женщин составляет 15-18 см3, у мужчин - 23-28 см3, а у детей — 2-16 см3 (в зависимости от возраста). У подростков это значение приближается к варианту нормы, характерному для взрослых людей.
Показания и противопоказания
Дисфункция щитовидной железы связана с увеличением или снижением гормональной активности органа, что приводит к гипер- или гипотиреозу и вызывает большое количество сопутствующих заболеваний. МРТ проводят как при наличии определенных жалоб и показаний, так и с профилактической целью.

Рекомендуется записаться на исследование при наличии следующих признаков:
дискомфорт в горле во время глотания;
изменения веса и аппетита;
склонность к одышке;
нарушения сна и настроения, склонность к раздражительности;
увеличение размера шеи в области проекции расположения железы.
Эндокринные патологии нередко имеют наследственную природу и сочетаются с сахарным диабетом, гипертонией, аутоиммунными нарушениями. В таком случае диагностика должна быть комплексной, обеспечивающей всестороннее изучение организма пациента.
Нередко МРТ назначают в период подготовки к беременности или во время лечения бесплодия, связанного с нарушением функции щитовидной железы. Также диагностика требуется людям, которым проводили оперативное или консервативное лечение эндокринных патологий.
Исследование безопасно и не требует сложной подготовки, но имеет определенные противопоказания и ограничения. В первую очередь запрещено проводить диагностику при наличии в организме металлических элементов, вживленных приборов, так как они могут выходить из строя и перегреваться под действием магнитного поля.
Относительным противопоказанием является клаустрофобия. Если человек боится замкнутых пространств или сильно волнуется, стоит рассмотреть вариант проведения диагностики на аппарате открытого типа. Необходимо уточнять заранее, делают ли МРТ щитовидной железы на таком оборудовании.
Запрещено исследование и при наличии татуировок, выполненной с помощью красок, содержащих элементы железа. Любые магнитные и металлические элементы могут приводить к ожогам и получению недостоверной информации. Перед диагностикой врач рассказывает о противопоказаниях, уточняет у пациента о наличии протезов или других металлических конструкций.
УЗИ или МРТ щитовидной железы?

Лучшим методом выявления опухоли, в том числе и рака щитовидной железы, врачи считают МРТ, поскольку она позволяет получить высокоточные данные о состоянии железистых тканей. Ультразвуковое исследование - более грубый метод диагностики. Оно позволяет выявить количество новообразований и размеры, локализацию крупных очагов в той или иной доле, в верхнем или нижнем полюсе щитовидной железы,но по его данным сложно судить о добро- или злокачественности образования. Для этого нужно делать МРТ щитовидной железы с контрастом, которую проводят в рамках МРТ мягких тканей шеи.
В обязательном порядке пройти томографию щитовидки нужно при наличии опухолевидных или узловидных образований на шее, которые мешают при глотании, вызывают постоянный кашель или косметический дефект. Диагностические возможности аппарата магнитно-резонансной томографии очень велики. МРТ установка может делать срезы толщиной до 0,8 миллиметров, что является залогом того, что ни одно, даже самое маленькое новообразование, не будет пропущено. Именно такая точность томографии позволяет осуществлять диагностику воспалительных и раковых заболеваний щитовидной железы на очень ранней стадии.
Как выглядит щитовидная железа на МРТ и УЗИ?
УЗИ и МРТ щитовидной железы - разница в цене
- мощность томографа (высокопольный аппарат -1 Тесла или 1,5 Тесла, сверхвысокопольный томограф - 3 Тесла и выше);
- квалификация врачей-рентгенологов;
- местоположение медицинской клиники;
- наличие акций, льгот и скидок;
- время проведения обследования.
Разница по стоимости - МРТ и УЗИ щитовидной железы
| Услуга | Цена |
|---|---|
| УЗИ молочных желез | 1400 руб. |
| УЗИ щитовидной железы | 1500 руб. |
| Комплексное обследование щитовидной железы с 20% скидкой (УЗИ+ анализы на гормоны) | 2999 руб. |
| УЗИ лимфатических узлов (одна зона) | 1000 руб. |
| УЗИ слюнных желез | 800 руб. |
| УЗИ мягких тканей одной зоны (лица, шеи, рук, ног, живота, паха) | 800 руб. |
| Услуга | Цена на томографе 1,5 Тесла | Цена на томографе 3 Тесла | Скидки | Телефон для записи |
|---|---|---|---|---|
| МРТ мягких тканей лица | от 3200 руб. | от 8500 руб. | до 20% скидка ночью | 372-65-26 |
| МРТ мягких тканей шеи | от 3200 руб. | от 8500 руб. | до 20% скидка ночью | 372-65-26 |
| МРТ щитовидной железы | от 3200 руб. | от 8500 руб. | до 20% скидка ночью | 372-65-26 |
| МРТ молочных желез | от 5500 руб. | от 8300 руб. | до 20% скидка ночью | 372-65-26 |
| МРТ мягких тканей ягодиц и бедра | от 3200 руб. | от 8500 руб. | до 20% скидка ночью | 372-65-26 |
| МРТ всего тела/ онкопоиск | от 9000 руб. | от 24000 руб. | до 20% скидка ночью | 372-65-26 |
| Введение контраста (по весу пациента) | от 3000 до 5000 руб. | от 4000 до 9400 руб. |
МРТ и УЗИ: разница в процедуре, противопоказаниях и подготовке
Никакой особой подготовки магнитно-резонансное исследование щитовидной железы не требует. На МРТ диагностику в медицинский центр лучше всего прийти заранее, чтобы заполнить все необходимые медицинские бумаги и получить предварительную консультацию врача-рентгенолога по ограничениям, связанным с томографией. Врач задаст вам несколько вопросов и убедится в отсутствии противопоказаний к исследованию. Не проводят сканирование лишь пациентам с металлическими имплантами, кардиостимуляторами и аналогичными вживленными в тело устройствами. МРТ установка может оказать серьезное негативное влияние на работу или положение этих устройств. Предметы, содержащие в своем составе металл, могут ухудшить качество томографии, поэтому лучше всего прийти на обследование в удобной одежде без металлических аксессуаров (застежек, молний, кнопок, страз) и оставить все украшения дома.
УЗИ щитовидной железы тоже не требует подготовки. Нужно просто заранее записаться на диагностику. У данного вида обследования нет никаких противопоказаний.
Читайте также:
