УЗИ, МРТ при клапане задней уретры у плода
Добавил пользователь Евгений Кузнецов Обновлено: 22.01.2026
Пиелоэктазия - это расширение почечных лоханок за счет скопления мочи. Рассматривается как самостоятельное (физиологическое) или сопутствующее состояние при ряде урологических заболеваний с нарушением уродинамики. Жалобы чаще отсутствуют, но могут быть представлены симптомами основной патологии. Диагностика базируется на данных УЗИ почек, экскреторной урографии и цистографии, пиелографии, МРТ или КТ с контрастированием. Лечение требуется при прогрессировании расширения, операцию для восстановления адекватного пассажа мочи выполняют в 25-45% случаев, что позволяет предотвратить терминальную стадию гидронефроза и хроническую почечную недостаточность.
МКБ-10

Общие сведения
Термин «пиелоэктазия» произошел от греческих слов «pyelos» - «лоханка» и «ektasis» - «расширение». Изменения иногда выявляют при антенатальном ультразвуковом сканировании плода во втором триместре, у мальчиков - в 3-4 раза чаще, чем у девочек. Пиелоэктазию часто диагностируют у женщин 30-35 лет во время беременности, состояние считается физиологическим при отсутствии изменений в моче, проходит самостоятельно через 4-8 недель после родов. У мужчин старшего возраста расширение лоханок связывают с аденомой простаты, которая вызывает обструкцию нижних мочевыводящих путей. Урологи часто считают пиелоэктазию начальным проявлением гидронефроза.
Причины пиелоэктазии
Выделяют две основные причины данного состояния: препятствие оттоку урины (обструкция) и ее обратный заброс (рефлюкс). Почечная лоханка может увеличиться из-за чрезмерного одномоментного потребления жидкости, что не рассматривают как патологию, ситуация разрешается спонтанно. Существует большое количество состояний, сопровождающихся пиелоэктазией. Различают следующие причины, приводящие к нарушению оттока мочи:
- Обструкция. Камень, кровяной или солевой сгусток, опухолевый процесс мочевого пузыря, простаты может вызвать пиелоэктазию. Сужение чашечно-лоханочного сегмента, стриктуры мочеточника и уретры, аденому простаты также рассматривают как обструктивную уропатию, при этих патологиях часто формируются пузырно-мочеточниково-лоханочные рефлюксы с расширением полостных систем почек.
- Компрессия. Любой отдел мочеточника может сдавливаться внешними опухолями, локализованными в матке, яичниках, толстом кишечнике. При запущенных формах рака органов малого таза просвет мочеточника сужен из-за метастатического поражения. Компрессионное действие могут оказывать воспалительные процессы в забрюшинном пространстве, например, болезнь Ормонда, тазовый липоматоз.
- Аномалии развития. Подковообразная почка, тазовая дистопия, нефроптоз — урологические аномалии, которые в легких случаях проявляются пиелоэктазией, а в запущенных — гидронефротической трансформацией. Аналогичные изменения отмечаются при эктопии, перекруте, высоком отхождении мочеточника, добавочном сосуде и перегибе через него уретера. Задние клапаны уретры — наиболее частая причина пиелоэктазии у новорожденных мальчиков.
- Нейрогенные расстройства. Нейрогенный мочевой пузырь обусловлен нарушением иннервации и постоянным застоем мочи в пузыре после мочеиспускания. Длительно существующее состояние приводит к формированию пузырно-мочеточникового рефлюкса, что часто сопровождается рецидивирующими инфекциями мочевыводящих путей и пиелоэктазией.
К предрасполагающим факторам относят эндокринные расстройства, связанные с усиленной выработкой урины, выполненные ранее урологические операции, проведение лучевой терапии. Для развития внутриутробной пиелоэктазии значимы тератогенные воздействия: радиация, прием некоторых препаратов, перенесенные вирусные заболевания в критические для органогенеза сроки. Определенная роль принадлежит наследственной предрасположенности к урологической или нефрологической патологии.
Патогенез
При застое мочи инициируются компенсаторно-приспособительные реакции, которые приводят к атрофии почечных структур. При присоединении вторичной микробной флоры возникает воспалительный процесс, что усугубляет морфологические изменения. Их выраженность коррелирует со степенью окклюзии мочеточника, стадией заболевания, возрастом пациента, вовлеченностью в процесс контралатерального органа, компенсаторными возможностями организма.
У детей пиелоэктазия иногда разрешается спонтанно за счет изменения положения органов относительно друг друга, дозревания структур мочевыводящего тракта по мере роста и перераспределения давления в системе мочевыделения. Аномалии и пороки развития (стриктуры, клапаны, сосудистые мальформации, оказывающие компрессионное воздействие на мочеточник) значительно утяжеляют прогноз и без лечения ведут к гидронефротической трансформации почек.
Симптомы пиелоэктазии
Клинические проявления патологии нередко отсутствуют, некоторые пациенты отмечают тупые тянущие боли в поясничной области, усиливающие в утренние часы или после употребления большого количества жидкости. Повышение температуры, слабость, дизурические расстройства свидетельствуют о развитии сопутствующего воспаления в почке.
Часто симптомы обусловлены не собственно пиелоэктазией, а основным патологическим процессом. Так, при заболеваниях, сопровождающихся обструкцией нижних мочевых путей, больного беспокоит невозможность мочевыделения без натуживания, слабая струя, частые позывы (ДГПЖ, опухоль, сужение уретры), периодические почечные колики с выделением камней или песка (нефролитиаз), подтекание урины из влагалища (эктопия уретера) и пр.
Осложнения
Так как расширение лоханок длительное время существует бессимптомно, а почки работают со значительной нагрузкой, происходит прогрессирование пиелоэктазии в пиелокаликоэктазию и гидронефроз, при котором нормальная функционирующая ткань замещается соединительной с утратой функций органов.
Застойная моча при пиелоэктазии является благоприятной средой для персистирования патогенной микрофлоры, что приводит к рецидивирующим инфекциям мочевыводящих путей. Еще одно осложнение - развитие нефрогенной гипертензии, устойчивой к действию лекарственных препаратов. Повышенное кровяное давление и гидронефротическую трансформацию почек нефрологи рассматривают как предвестники ХПН.
Диагностика
Пациента ведет уролог или нефролог. При подозреваемом новообразовании матки или яичников обоснована консультация гинеколога, онколога. У взрослых разовое выявление пиелоэктазии не расценивается как патология, в подобных случаях обязательно проведение динамического ультразвукового сканирования. Обследование при пиелоэктазии направлено на исключение органических или функциональных причин, кроме УЗИ может включать:
- Лабораторные анализы. При компенсированной форме изменений в анализах мочи нет, лейкоцитурия, протеинурия, бактериурия характерны для воспалительного процесса. Выпадение в осадок солей типично для дисметаболической нефропатии или мочекаменной болезни. Анализ крови на креатинин и мочевину обоснован при двустороннем поражении, повышение их уровня говорит о почечной недостаточности. При обнаружении бактерий в моче назначают исследование биоматериала на флору.
- Инструментальную диагностику. При неоднозначности данных УЗИ выполняют экскреторную урографию с цистографией, КТ или МРТ почек с контрастом, нефросцинтиграфию, ангиографию. При подозрении на рак мочевого пузыря проводят цистоскопию, ТРБ для подтверждения рака простаты. У плода пиелоэктазию определяют при ультразвуковом скрининге во время 2 триместра беременности (25%), после рождения по показаниям выбирают тот или иной способ дополнительной диагностики.
Дифференциацию проводят между физиологической и патологической формой пиелоэктазии. При впервые выявленном расширении лоханок в отсутствие прочих изменений невозможно предположить, будет ли прогрессировать состояние, поэтому за пациентом наблюдают в динамике. Основной задачей клинициста является установление первопричины пиелоэктазии.
Лечение пиелоэктазии
Если расширение лоханок почек не прогрессирует, активные терапевтические мероприятия не требуются. С профилактической целью назначают отвары мочегонных трав, растительные уросептики. Пациенту не рекомендуют одномоментно употреблять много жидкости. Чтобы уменьшить нагрузку на почки, необходимо мочиться в ночные часы.
Медикаментозное лечение и питание
Сопутствующий подтвержденный пиелит, пиелонефрит или цистит подразумевает назначение препаратов для купирования инфекционно-воспалительного процесса. Применяются:
- антибиотики;
- уросептики;
- иммуномодуляторы;
- средства, улучшающие кровообращение;
- .поливитаминные комплексы;
- литолитические лекарства, действие которых препятствует образованию и выпадению в осадок кристаллов (при мочекаменной болезни).
Одновременно рекомендуют соблюдение диеты, где учитывают состав солей. При лечении пиелоэктазий из рациона исключают насыщенные мясные, куриные, грибные, рыбные бульоны, шоколад, крепкий чай и кофе, все алкогольные напитки, копчености и маринады.
Оперативное лечение
Показано при прогрессировании пиелоэктазии. Объем операции зависит от причины, приведшей к расширению внутриполостных структур почки. Вмешательство может быть лапароскопическим, открытым или эндоурологическим, направлено на восстановление нормальной уродинамики. Используются следующие методики:
- Пластика лоханочно-мочеточникового сегмента с иссечением растянутой оболочки лоханки и вшиванием мочеточника в почку, бужирование, баллонная дилатация, эндотомия с помощью лазерного скальпеля или электрического тока.
- Удаление конкремента одним из способов (контактная или дистанционная литотрипсия, эндоскопическая нефролитолапаксия, открытая хирургия).
- Паллиативные операции и манипуляции для нормализации мочеоттока при остром воспалении: наложение эпицистостомы, нефростомы, катетеризация мочевого пузыря, установление стент-катетера через мочеточник в лоханку и пр.
- Удаление опухолей, негативно влияющих на уродинамику.
- Нефрэктомия при утрате функции почки и разрушении ее паренхимы для устранения источника инфекции в организме. У детей, если сохранилось хотя бы 10% нормальной ткани, органоуносящую операцию не выполняют из-за высоких регенеративных возможностей.
Прогноз и профилактика
Прогноз при пиелоэктазии благоприятный при условии адекватного наблюдения, недопустимости прогрессирования и своевременном лечении основной патологии. Профилактика подразумевает регулярное посещение уролога или нефролога с выполнением УЗИ, исследованием ОАМ. С пациентом проводят беседу о важности разумного питания, приверженности здоровому образу жизни, исключения переохлаждений. По показаниям обоснован прием уросептиков, растительных диуретиков в осенне-весенний период.
1. Прецизионная хирургия гидронефроза/ Аляев Ю.Г., Григорян В.А., Адамян Р.Т., Еникеев М.Э., Чиненов Д.В.// Анналы пластической, реконструктивной и эстетической хирургии - 2008 - №1.
2. Клиническое значение ультразвуковых исследований в наблюдении за детьми с пиелоэктазией. Автореферат диссертации/ Мавричева И.С. - 2002
3. Сравнительная оценка современных методов исследования при гидронефрозе. Автореферат диссертации/ Каситериди И.Г. - 2005.
4. Новые эндоурологические технологии в диагностике и лечении заболеваний почек и верхних мочевыводящих путей/ Мартов А.Г., Ергаков Д.В.// Малоинвазивные технологии при лечении урологических заболеваний. Тематический сборник. - 2006.
Патологии мочевого пузыря у плода: что можно определить на скрининговом УЗИ

Мочевой пузырь начинает развиваться из зародышевого лепестка с 25 дня с момента зачатия и окончательно формируется к 22 неделе беременности. К этому сроку мочевой пузырь достигает размера 8 мм. При трансвагинальном УЗИ орган виден уже на 11 неделе, при трансабдоминальном — с 16-й недели.

Аномалии мочеполовой системы встречаются крайне редко. Часто они связаны с хромосомными нарушениями и сопровождаются целым спектром нарушений и синдромов.
Ультразвуковая диагностика на 2 триместре выявляет 85% патологий. Наиболее часто встречающиеся аномалии мочевого пузыря:
Патологии и аномалии мочевого пузыря у плода
- Мегацистис. Это увеличение мочевого пузыря свыше 8 мм в продольном срезе на УЗИ. Патология обнаруживается на 10-15 неделе беременности. Вместе с ней обычно выявляется нарушение соотношения мочевого пузыря к копчико-теменной зоне (10,4% вместо 5,4%). Мегацистис имеет хромосомную природу и выражается в нарушении уродинамики вследствие закупорки или сращения уретры.
- Обструкция детрузора. Выражается в отсутствии сократительной способности мышечного слоя мочевого пузыря, отвечающего за изгнание мочи. На УЗИ мочевой пузырь имеет грушевидную форму, стенки тонкие, а сам орган увеличен в размерах. В случае обнаружения эхографических признаков патологии плод исследуется методом везикоцентеза. Затем проводят кариотипирование плода, и в случае подтверждения хромосомных отклонений женщину отправляют на аборт. То же самое происходит и при увеличении органа до 20-30 мм вместо положенных 8 мм. Существует вероятность нормализации после 13 недели беременности.
- Экстрофия. Это отсутствие передней стенки мочевого пузыря. На УЗИ мочевой пузырь отсутствует вовсе, но при этом структура почек остаётся без изменений.
- Атрезия. Отсутствие мочевого канала приводит к увеличению мочевого пузыря до таких размеров, что у плода значительно увеличивается объём животика. Женщине рекомендуют прервать беременность, потому что малыш может родиться с тяжёлой гипоплазией лёгких или умереть внутриутробно.
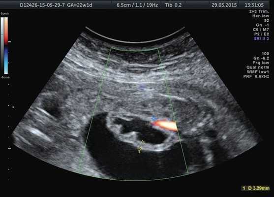
- Задний уретральный клапан. Эта проблема встречается только у мальчиков. У девочек встречается синдром pmne-bUy, который имеет схожие симптомы. Аномалия заключается в том, что из-за внутриутробного нарушения нижняя часть мочеиспускательного канала, выходящая в мочевой пузырь, слишком узкая, из-за чего происходит обратный отток мочи в почку. В результате возникает гидронефроз — скопление в почках лишней жидкости. У плода на УЗИ будут увеличены почки, а мочевой пузырь будет маленьким. Патология исправляется сразу после рождения малыша методом иссечения места патологического сужения уретры. Существует высокий риск гибели младенца из-за гипоплазии лёгких на фоне почечной недостаточности.
- Пузырно-мочеточниковый рефлюкс. В норме мочеточник входит в мочевой пузырь таким образом, что мышечная стенка органа служит клапаном, препятствующим оттоку мочи обратно в почку.
Если мочеточник входит в мочевой пузырь неправильно, то возникает рефлюкс — забросе мочи обратно в мочеточник. Аномалия не является основанием для прерывания беременности, потому что исчезает сама собой в первые 2 года жизни малыша. В тяжёлых случаях проводится хирургическое вмешательство.
Выводы
Патологии мочевого пузыря у плода хорошо видны на скрининговом УЗИ, поэтому такое обследование нельзя игнорировать. Делать скрининговое УЗИ плода нужно только с помощью хорошего оборудования.
Внутриутробное вмешательство при врожденной обструкции нижних мочевыводящих путей.

Врожденная обструкция нижних мочевыводящих путей — редкое заболевание, встречающееся в 1 случае на 5000 беременностей, приводящее к антенатальной гибели или рождению ребенка с тяжелой почечной недостаточностью и гипоплазией легких. Как и в случае с любой другой врожденной патологией, вмешательство, проведенное до рождения, может повысить выживаемость и качество жизни ребенка. Сегодня мы рассмотрим два возможных вмешательства: пузырно-амниотическое шунтирование и внутриутробную цистоскопическую операцию.
Основными причинами врожденной обструкции считаются стриктуры уретры, атрезия уретры и клапан задней уретры.
Обструкция запускает патологический каскад: нарушается отток мочи, вследствие чего мочевой пузырь переполняется и растягивается, отсутствие выделения мочи приводит к уменьшению объема околоплодных вод. Уменьшение объема околоплодных вод негативно влияет на развитие почек и легких, что может быть фатально для плода.
Диагностика врожденной обструкции включает в себя:
- УЗИ почек и мочевыводящих путей плода. Специализированные ультразвуковые уродинамические исследования плода с регистрацией сократительной активности детрузора, определением резервуарной емкости пузыря, продолжительности микционного цикла (цикла наполнения и опорожнения мочевого пузыря), количества остаточной мочи позволяют оценить функциональное состояние мочевого пузыря плода и выявить отсутствие опорожнения мочевого пузыря;
- Измерение почасового диуреза плода. Нормативный условный показатель почасовой продукции мочи у плода 20 нед гестации составляет 9,93 мл/кг/ч, 30 нед — 15,15 мл/кг/ч, 36 нед — 17,5 мл/кг/ч;
- Определение электролитного состава мочи плода. Забор мочи производится посредством пункции мочевого пузыря. Определяется уровень натрия (норма < 100 мэкв/л), хлора (норма < 90 мэкв/л), осмолярность (норма < 210 мосм/л), b2-микроглобулина (норма < 6 мг/л).
Для внутриутробного вмешательства подходят пациенты, соответствующие следующим критериям:
- Срок гестации 18-30 недель;
- Признаки обструкции и маловодия по результатам УЗИ.
- Повышенные показатели биохимического исследования мочи.
Наилучшие результаты достигаются при отсутствии у плода других аномалий развития, наличии нормального кариотипа и отсутствии ультразвуковых признаков дисплазии почек и гидронефроза.
В зависимости от результатов УЗИ и биохимических исследований мочи можно выделить четыре стадии течения данного заболевания (Табл. 1)
Таблица 1 | Стадии обструкции нижних мочевыводящих путей и тактика ведения пациентов.
Нормальный индекс амниотической жидкости, нет признаков кист и дисплазии почек
Маловодие, тяжелый двусторонний гидронефроз, нет признаков кист и дисплазии почек
Пограничные показатели, показатели выше нормы после 3 проб мочи
Цистоскопия или пузырно-амниотическое шунтирование
Маловодие, отсутствие околоплодных вод. Гиперэхогенность почек, наличие кист и/или дисплазии почек
Показатели выше нормы
Пузырно-амниотическое шунтирование с амниоинфузией
Отсутствие околоплодных вод и анурия по результатам оценки наполняемости мочевого пузыря. Гиперэхогенность почек и наличие дисплазии
Пузырно-амниотическое шунтирование
Шунтирование проводится под ультразвуковым контролем с цветовой допплерографией для визуализации пупочных артерий. При наличии маловодия рекомендуется предварительная амниоинфузия, чтобы обеспечить потенциальное пространство для размещения внутриамниотического конца шунта. Троакар вводится на середине расстояния между лобковой костью и пуповиной, по проводнику вводится шунт на глубину, достаточную для предотвращения его смещения после опорожнения мочевого пузыря. Осложнениями данной процедуры являются преждевременные роды, хориоамнионит, мочевой асцит, ятрогенный гастрошизис. Также к возможным осложнениям может привести смещение шунта из-за повышенной активности плода.

Рисунок 1 | Установка пузырно-амниотического шунта.
Цистоскопическая операция
Цистоскопия проводится под ультразвуковым контролем с цветовой допплерографией для визуализации пупочных артерий. Плод через пупочную вену получает общий анестетик и миорелаксант. Троакар вводится ближе к верхушке мочевого пузыря, моча аспирируется и передается в лабораторию для биохимического анализа. Производится осмотр стенок мочевого пузыря, мочеточниковых отверстий, шейки мочевого пузыря, визуализируется причина обструкции — клапан задней уретры, стриктуры, проводится дифференциальная диагностика с атрезией уретры. На данный момент есть данные об устранении клапана задней уретры с помощью лазера, инъекции физиологического раствора под давлением и механического разрушения клапана посредством проводника. После устранения причины окклюзии, для проверки проходимости уретры, в мочевой пузырь вводят некоторое количество жидкости и под контролем допплерографии наблюдают за ее выведением в амниотическую полость.

Рисунок 2 | Визуализация шейки мочевого пузыря с помощью цистоскопии. PUV - клапан задней уретры, LF - лазер.
Пренатальная диагностика уриномы как осложнения обструктивной уропатии

Идеальный инструмент для пренатальных исследований. Уникальное качество изображения и весь спектр диагностических программ для экспертной оценки здоровья женщины.
Введение
Врожденные пороки развития (ВПР) мочеполовой системы относятся к наиболее частым ВПР, выявляемым во время беременности (1-4 на 1000 беременностей [1]), и составляют 15-20 % в структуре пренатально диагностируемых ВПР [2]. Подавляющее большинство ВПР мочеполовой системы представлено обструктивными уропатиями. Это группа заболеваний, которые характеризуются наличием структурного или функционального препятствия нормальному оттоку мочи, приводящего к нарушению функции почек. При затруднении оттока мочи развивается расширение почечной лоханки (пиелоэктазия) или расширение не только лоханки, но и чашечек (гидронефроз).
Частота гидронефроза составляет 2,5-2,8 на 1000 плодов [3]. В подавляющем большинстве случаев подобные изменения являются преходящими (до 48 %) или физиологическими (до 15 %) и только около трети случаев врожденного гидронефроза вызваны наличием патологии мочевыводящих путей, к которой относится обструктивное поражение лоханочно-мочеточникового или пузырно-мочеточникового соустья, мегауретер, дисгенезия клоаки, пузырно-мочеточниковый рефлюкс, задние уретральные клапаны, мегацистис-микроколон-интестинальный гипоперистальтический синдром и др. Степень выраженности гидронефроза обусловлена его этиологией: чем выше уровень обструкции, тем выраженнее гидронефротическая трансформация почки. Дополнительными факторами при прогнозировании работы почки являются срок беременности, при котором возникла обструктивная уропатия, а также причины гидронефроза.
При обструкции на уровне лоханочномочеточникового соустья (ОЛМС) функция почки страдает в большей степени, нежели при других причинах гидронефроза. Характерными ультразвуковыми признаками обструкции высокого уровня являются расширение лоханки свыше 15 мм при отсутствии расширенного мочеточника и нормальные размеры мочевого пузыря.
ОЛМС практически всегда сопровождается выраженным гидронефрозом и развитием осложнений. Одним из таких осложнений является разрыв почечной лоханки и формирование уриномы или мочевого асцита.
Уринома представляет собой инкапсулированное скопление жидкости, вызванное экстравазацией мочи через периренальные пространства или разрывом почки и ее фасции. Наиболее частой причиной возникновения урином являются ОЛМС или задние уретральные клапаны. Дополнительными причинами являются мегауретер или (редко) пузырно-мочеточниковый рефлюкс [4]. Предполагается, что возникновение уриномы является защитным механизмом от повышения внутрипочечного давления, вызванного затруднением оттока мочи. Экстравазация мочи под почечную фасцию или в забрюшинное пространство способствует снижению давления, тем самым предохраняя почку от диспластических изменений. Существует и альтернативная гипотеза: наличие уриномы уже отражает тот факт, что развивающаяся почка подверглась воздействию высокого давления (достаточно высокого, чтобы привести к разрыву собирательной системы почки), и является одним из факторов, обусловливающих дисплазию почки и нарушение ее работы. Изолированная уринома, вызванная ОЛМС, почти всегда приводит к необратимому повреждению ипсилатеральной почки [5].
Ультразвуковым признаком уриномы является кистозное образование эллипсоидной формы или в виде полумесяца, прилегающее к почке или позвоночнику. Уриномы больших размеров могут принимать различные формы, растягивая и смещая почку. При этом направление смещения почки указывает на то, исходит ли уринома из переднего или заднего паранефрального пространства. Уриномы небольших размеров могут имитировать расширенную чашечку или лоханку, однако тщательная оценка коры почки помогает в проведении дифференциального диагноза.
Клиническое наблюдение 1
Пациентка Б., 32 лет, проходила плановое скрининговое обследование в 21-22 нед беременности, во время которого было обнаружено образование брюшной полости плода и назначен контрольный осмотр в срок 22-23 нед. После контрольного осмотра женщина была направлена в медико-генетическое отделение МОНИИАГ с диагнозом: "Киста левой почки? Образование в брюшной полости?".
Настоящая беременность от первого брака, по счету вторая. Супруги соматически здоровы, профессиональных вредностей не имеют, наследственность не отягощена. В анамнезе одни нормальные роды, ребенок здоров. На учете в женской консультации пациентка состояла с 7 нед. Беременность протекала без осложнений. Результаты скрининга I триместра патологии не выявили.
При ультразвуковом исследовании обнаружен один живой плод. Гестационный срок составил 22,1 нед. Фетометрические показатели соответствовали данному сроку. Патологических изменений плаценты и околоплодных вод не было выявлено.
Лоханка правой почки была расширена до 13 мм, паренхима истончена и гиперэхогенна, кортикомедуллярная дифференцировка отсутствовала. При ЦДК кровоток в паренхиме не визуализировался. Вокруг правой почки по всему ее периметру определялось анэхогенное образование размером 56×20×26 мм (рис. 1, 2). Мочеточники с обеих сторон не визуализировались. Изменения левой почки отсутствовали. Мочевой пузырь был удовлетворительного наполнения и опорожнения. Оба надпочечника визуализировались.

Рис. 1. Образование вокруг правой почки плода.

Рис. 2. Истончение паренхимы правой почки плода с отсутствием кровотока в режиме ЦДК.
Изменений по остальным органам и системам не выявлено.
Клиническое наблюдение 2
Пациентка Х., 39 лет, после проведения планового скринингового исследования в 19-20 нед беременности по месту жительства обратилась в медико-генетическое отделение МОНИИАГ с направляющим диагнозом: "Киста забрюшинного пространства".
Настоящая беременность от первого брака, по счету третья. Супруги соматически здоровы, профессиональных вредностей не имеют, наследственность не отягощена. В анамнезе двое нормальных родов, оба ребенка здоровы. На учете в женской консультации пациентка состояла с 10 нед. Беременность протекала без осложнений. Результаты скрининга I триместра отклонений не выявили.
При ультразвуковом исследовании обнаружен один живой плод мужского пола. Гестационный срок составил 20,2 нед. Фетометрические показатели соответствовали данному сроку. Патологических изменений плаценты и околоплодных вод не было выявлено.
Левая почка была увеличена до 31×19×25 мм, преимущественно за счет анэхогенного образования с однородным содержимым до 16 мм в диаметре. Образование исходило из верхнего полюса почки и располагалось под ее капсулой. Сама почка была смещена книзу. При этом лоханка была незначительно расширена - до 4 мм, в то время как чашечки расширены не были. Левый мочеточник не визуализировался (рис. 3).

Рис. 3. Кистозное образование у верхнего полюса левой почки плода.
Область правой почки занимало округлое тонкостенное анэхогенное образование до 36 мм в диаметре. Правая почка была уменьшена в размерах до 17×9×20 мм, смещена и располагалась, распластываясь в виде полумесяца по задней поверхности образования (рис. 4). Правый мочеточник не визуализировался. Паренхима обеих почек была повышенной эхогенности, кортикомедуллярная дифференцировка почечных слоев нечеткая.

Рис. 4. Образование возле правой почки и расширенный мочевой пузырь плода.
Надпочечники с обеих сторон были интактны. Мочевой пузырь был увеличен до 20 мм в диаметре, с утолщенными стенками и в процессе динамического осмотра не опорожнялся (рис. 5). Изменений по остальным органам и системам не было выявлено.

Рис. 5. Расширенный мочевой пузырь плода.
В представленных клинических наблюдениях надпочечники были интактны, а выявленные образования визуализировались непосредственно рядом с почками. В наблюдении 1 контуры образования повторяли контуры капсулы почки, а в наблюдении 2 образование слева имело общую с почкой капсулу. В связи с этим мы сделали вывод о том, что данные образования исходят из почек и являются следствием обструктивной уропатии.
В первом наблюдении, принимая во внимание контуры образования и его локализацию, расширение лоханки и изменения почечной паренхимы, был поставлен диагноз: "Беременность 22,1 нед. ВПР мочеполовой системы: УЗ-признаки уриномы правой почки на фоне обструктивной уропатии". Поскольку изменения второй почки и мочевого пузыря отсутствовали, правосторонняя обструктивная уропатия была наиболее вероятной причиной возникновения уриномы.
Во втором наблюдении поражение почек было двусторонним. Изменения левой почки были характерными ультразвуковыми проявлениями уриномы. Наличие кистозного образования, тесно прилегающего к почке, незначительное расширение лоханки и нечеткая кортикомедуллярная дифференцировка свидетельствовали о воздействии на почку высокого давления из-за нарушения оттока мочи с последующим разрывом почечной паренхимы и формированием уриномы.
Ультразвуковые изменения правой почки были более выраженными. По заднему краю образования диаметром 36 мм была распластана сама почка. Мочеточники с обеих сторон не визуализировались ни на одном из своих участков вплоть до места впадения в мочевой пузырь. Нормальное количество околоплодных вод, мужской пол плода, отсутствие расширенных мочеточников на фоне относительно небольшого увеличения размеров мочевого пузыря позволили нам исключить атрезию уретры, синдром задних уретральных клапанов и мегацистис-микроколон-интестинальный гипоперистальтический синдром и предположить наличие обструктивного поражения мочевыводящих путей на высоком уровне.
На основании выявленных изменений был поставлен диагноз: "Беременность 20,2 нед. ВПР мочеполовой системы: УЗ-признаки обструктивной уропатии - двусторонняя уринома, мегацистис".
Учитывая большие размеры урином как в первом, так и во втором наблюдениях, в качестве причины возникновения обструктивной уропатии мы предположили одностороннее отсутствие или атрезию мочеточника у обоих плодов.
ОЛМС встречается преимущественно у мальчиков (соотношение мальчиков и девочек составляет 3:1). До 40 % случаев поражение двустороннее, у 10 % плодов выявляются экстраренальные изменения [6]. ОЛМС может быть как функциональным (чаще всего), так и анатомическим. К последним можно отнести стеноз, атрезию мочеточника или его врожденное отсутствие (агенезию).
Агенезия мочеточника встречается крайне редко и обычно сочетается с отсутствием почки или ее дисплазией и может быть как одно-, так и двусторонней. Чаще встречается атрезия мочеточника, которая возникает вследствие нарушения или отсутствия канализации растущего мочеточникового зачатка и может локализоваться на разных уровнях: в лоханочно-мочеточниковом, пузырно-мочеточниковом сегментах или на уровне пересечения мочеточников подвздошными сосудами. Атрезия сопровождается гидронефрозом и дисплазией почки. Мочеточник чаще всего заканчивается слепо и резко расширяется выше уровня атрезии, но может иметь вид фиброзного тяжа [7].
Первый случай врожденного отсутствия мочеточника описан в 1907 г. D. Allen и H. Parker [8]. Однако диагноз ставился уже по данным аутопсии. Пренатальная диагностика агенезии мочеточника крайне затруднительна. На сегодняшний день в литературе описан только один случай диагностики агенезии мочеточника в 29 нед у плода с левосторонним образованием около левой почки до 5 см в диаметре и многоводием [9]. Несмотря на неоднократные попытки амниоредукции и дренирования уриномы, в 33 нед произошли преждевременные роды и через 20 мин новорожденная девочка умерла. На аутопсии был подтвержден диагноз: "уринома больших размеров" - и установлена точная причина ОЛМС - отсутствие левого мочеточника.
В наблюдении 2 семья приняла решение о досрочном прекращении беременности, однако отказалась от последующего патолого-анатомического исследования плода, в связи с чем наше предположение о генезе ОЛМС осталось неподтвержденным. Двусторонняя атрезия или агенезия мочеточников является летальным пороком. При одностороннем поражении прогноз обусловлен характером осложнений. По данным J. Hutcheson и соавт. [10], развитие уриномы является менее благоприятным в отношении сохранности почечной функции, чем развитие мочевого асцита. Важными являются и размеры уриномы. При уриноме больших размеров прогноз для плода чаще всего неблагоприятный. В первую очередь это связано с потерей функции пораженной почки как результатом воздействия высокого давления на почечную ткань. Так, в случае, представленном A. Ghidini и соавт. [11], описывается правосторонняя уринома большого размера (3,5×5,5 см), которая спонтанно исчезла вскоре после родов, и ультразвуковые признаки изменения мочевыводящих путей отсутствовали, однако спустя год у ребенка была выявлена инволюция правой почки.
Дополнительным фактором, усугубляющим прогноз при уриноме больших размеров, является гипоплазия легких. Этому способствует выраженный длительный подъем купола диафрагмы в результате повышенного внутрибрюшного давления, а также развивающееся в некоторых случаях маловодие [10].
Представленные клинические наблюдения отражают разнообразие ультразвуковых проявлений уриномы: от жидкостного образования, расположенного вокруг неизмененной по форме почки и повторяющего ее контуры, до образования, растягивающего и смещающего почку в разных направлениях. Уриномы могут достигать больших размеров и быть как одно‑, так и двусторонними. Их необходимо дифференцировать с опухолями почек, надпочечников и забрюшинного пространства, кистами почек, брыжейки и желудочно-кишечного тракта. Однако выявление связи образования с почкой и оценка почечной капсулы, а также наличие наиболее вероятных причин формирования урином (ОЛМС, задние уретральные клапаны) позволяют поставить правильный диагноз.
Заключение
Причина развития ОЛМС и возникновения уриномы чаще всего недоступна для пренатальной диагностики, однако, помимо наиболее известных этиологических факторов, врачу, проводящему исследование, необходимо помнить и о таких редких врожденных пороках развития, как атрезия или агенезия мочеточника, особенно в случае больших размеров уриномы.
Литература
УЗИ сканер WS80
Эндолюминальная ультрасонография верхних мочевых путей и уретры

Профессиональные диагностические инструменты. Оценка эластичности тканей, расширенные возможности 3D/4D/5D сканирования, классификатор BI-RADS, опции для экспертных кардиологических исследований.
Со времени внедрения диагностического ультразвука в медицину прошло более 60 лет. Первые труды по применению ультразвукового исследования в урологии появились в начале 1950-х годов. За этот период опубликованы сотни работ, посвященных диагностической ценности ультразвука в урологии. Описана нормальная ультразвуковая анатомия мочеполовых органов и ультразвуковая семиотика урологических заболеваний [4,6,8,10,12,13,19,22], проанализированы ошибки [5,9,11]. Помимо оценки морфологических изменений мочеполовых органов ультразвук применяется и для оценки функционального состояния почек и мочевых путей [7]. Разработаны методики малоинвазивных хирургических вмешательств под контролем ультразвуковой визуализации [14,16,17] и интраоперационных методов эхографии. По мере совершенствования аппаратуры появилась возможность исследования кровотока, потока мочи, основанная на эффекте Допплера, что значительно улучшило диагностику и лечение урологических заболеваний [2,3,20,21,24]. Сегодня уже невозможно представить современную урологическую службу без ультразвуковой диагностики.
Несмотря на достигнутые успехи, попрежнему трудно распознавать ряд заболеваний верхних мочевых путей и уретры, так как при отсутствии дилатации невозможно визуализировать чашечно-лоханочную систему и мочеточник. Только при нарушенном пассаже мочи по верхним мочевым путям или медикаментозной полиурии можно определить расширение чашечно-лоханочной системы и лишь частично увидеть мочеточник. Оценка морфологических изменений мочевых путей и окружающих тканей обычным методом ультразвукового исследования невозможна. Традиционно применяемые методы ультрасонографии также не высокоинформативны при папиллярных образованиях лоханки и мочеточника, при выявлении причин гидронефротической трансформации, при камнях мочеточника, небольших конкрементах лоханки и чашечек, болезни Ормонда [23,34,36]. Визуализация простатического отдела мочеиспускательного канала возможна путем трансректального эхосканирования в момент микции (микционная трансректальная эхоуретрография) или при введенном по уретре катетере [15]; пенильной части уретры - при неинвазивном ультразвуковом исследовании полового члена. Эти методики не всегда могут оценить взаимосвязь выявляемых патологических образований с уретрой, невозможна визуализация мочеиспускательного канала на всем протяжении. Помимо ультразвуковых другие, имеющиеся в арсенале уролога методы диагностики (рентгенологические, эндоскопические, магнитно-резонансная томография) не всегда отвечают на вопрос о степени распространения патологического процесса в стенке мочевых путей и окружающих тканях, что крайне важно в диагностике и определении лечебной тактики. Все это дало предпосылки для поиска новых способов получения более качественного изображения мочевых путей, разработки различных модификаций ультразвуковых датчиков для инвазивной ультрасонографии.
Нам представляется целесообразным обсуждение названий применяемых в настоящее время ультразвуковых методик в урологии. Очевидно, что проведение датчика по мочевым путям относится к инвазивным или интервенционным методам ультрасонографии. Вместе с тем в ряде публикаций понятие "инвазивный ультразвук" подразумевает малоинвазивные хирургические вмешательства, проводимые под контролем эхосканирования. По нашему мнению, существующие ультразвуковые методики можно разделить следующим образом:
- неинвазивная ультрасонография - наиболее широко применяемый метод, исследование проводится через неповрежденный кожный покров;
- интраоперационная эхография - проводится при установлении датчика непосредственно на исследуемый орган во время открытых оперативных вмешательств;
- инвазивная (интервенционная) ультрасонография - использование специальных ультразвуковых датчиков, непосредственно вводимых через естественные отверстия. К этим методам относятся: трансректальная, трансвагинальная, трансуретральная ультрасонография (исследование мочевого пузыря с помощью ригидного датчика, проводимого по уретре в мочевой пузырь), эндолюминальная (интрауретральная и интрауретеральная) ультрасонография;
- малоинвазивные хирургические вмешательства под контролем ультразвуковой визуализации - пункция кист почек, пункционная нефростомия, пункционная цистостомия, биопсия органов и т.п.
Исследование мочеточника, уретры путем их эхосканирования изнутри мы назвали интрауретральной и интрауретеральной ультрасонографией.
Материалы и методы
Использовали миниатюрный ультразвуковой механический датчик с радиальным типом сканирования частотой 9-12 MГц, вмонтированный в проксимальный конец гибкого катетера-проводника диаметром 7-9 Fr "Sonicath" (рис. 1).

Рис. 1. Гибкий катетер-проводник с ультразвуковым датчиком в проксимальном его конце для эндолюминальной ультрасонографии.
Исследовали уретру и окружающие ее ткани путем непосредственного проведения катетера-проводника со встроенным датчиком ретроградно по уретре в мочевой пузырь и при его выведении. Получали последовательно ультрасонограммы уретры и парауретральных тканей во всех ее отделах. При стриктурах уретры, непроходимых для катетера, исследование сочетали с уретроскопией. Вводили катетер с датчиком по рабочему каналу цистоскопа к зоне сужения. Получали прицельные ультрасонограммы зоны стриктуры. Верхние мочевые пути исследовали в сочетании с цистоскопией. По рабочему каналу цистоскопа проводили датчик в мочеточник до лоханки, получая по мере проведения датчика последовательные изображения мочеточника, парауретеральных тканей от устья до лоханки. Исследования проводили под рентгентелевизионным контролем.
Всего обследовано 64 пациента в возрасте от 21 до 61 года. Интрауретральная ультрасонография выполнена у 21 пациента. У 19 были стриктуры уретры различной локализации, у 1 - склероз шейки мочевого пузыря. Одному больному исследование проведено для исключения рецидива рака после радикальной простатэктомии. Сочетание стриктуры уретры и гиперплазии простаты имело место у 3 пациентов. У 43 больных исследовали верхние мочевые пути (мочеточник, чашечно-лоханочную систему). Из них 33 пациента с обструктивными заболеваниями: 3 - со стриктурами средней и нижней трети мочеточника, 30 - со стенозом лоханочно-мочеточникового сегмента. У 10 пациентов показанием к интрауретеральной ультрасонографии было подозрение на папиллярные образования чашечно-лоханочной системы и (или) мочеточника. Всем больным выполняли общее ультразвуковое исследование, компьютерную томографию, магнитно-резонансную урографию, экскреторную рентгеновскую урографию, ретроградную уретеропиелографию и эндоскопические исследования.
Результаты
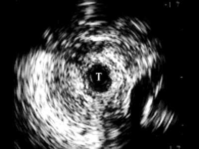
При интрауретральной ультрасонографии в неизмененных отделах мужской уретры по мере проведения датчика мы определяли головку полового члена, губчатое тело, кавернозные тела с окружающими их оболочками, сосуды. В более широком луковичном отделе регистрировались спонгиозная ткань с более тонкой стенкой и прикрепляющимися к ней мышцами (рис. 2).

Рис. 2. Эхограмма нормального луковичного отдела уретры, Т - трансдуктор.
В мембранозном отделе (рис. 3) спонгиозная ткань не определяется, визуализируются повышенной эхогенности пластинка тазовой фасции, далее мочеполовая диафрагма с проходящими сосудами. При проведении датчика в область простатического отдела хорошо определяется предстательная железа, ее транзиторная, центральная, частично периферическая зоны, капсула.

Рис. 3. Эхограмма нормального мембранозного отдела мочеиспускательного канала.
Четко визуализируются патологические образования в паренхиме (рис. 4). В зоне стриктуры мочеиспускательного канала определяется различной протяженности и глубины фиброзная ткань в виде гиперэхогенных участков.

Рис. 4. Эхограмма простатического отдела уретры.
На рис. 5 а представлена нормальная эхограмма губчатой части уретры, на рис. 5 б - эхограмма спонгиозной части уретры в зоне ее стриктуры. Определяется фиброзный участок в виде гиперэхогенного кольца вокруг уретры, затрагивающий всю толщу спонгиозного тела (спонгиофиброз).

а) Нормальная губчатая часть.

б) Зона стриктуры (стрелка).
На рис. 6 а,б представлены ультрасонограммы в зоне стриктуры на границе мембранозного и простатического отделов. Определяются повышенной эхогенности участки фиброза, распространяющиеся за пределы уретры в парауретральную ткань. По мере проведения датчика определяется протяженность фиброзно-измененных тканей.

а) На границе мембранозного отдела, стрелка - участок склероза.

б) На границе простатического отдела.
При интрауретеральном эхосканировании в неизмененной части мочеточника четко визуализируются пониженной эхогенности мышечный слой, вокруг гиперэхогенная адвентиция. Толщина стенки мочеточника колебалась в пределах 0,7-1,2 мм. Вокруг его стенки определяется повышенной эхо генности парауретеральная клетчатка (рис. 7).

Рис. 7. Эхограмма нормального мочеточника и парауретеральных тканей:
1 - стенка мочеточника; стрелка - адвентиция.
По мере проведения датчика визуализируются граничащие с мочевыми путями сосуды, мышцы, чашечно-лоханочная система, почечная паренхима (рис. 8 а,б).

а) Чашечно-лоханочная система.

В мочеточнике при стенозе лоханочно-мочеточникового сегмента ниже стенозированного сегмента наблюдались следующие изменения: при начальных стадиях - утолщение стенки за счет мышечного слоя, а при выраженных - истончение. Зона стеноза была представлена единой гиперэхогенной тканью. При распространении склеротического процесса в окружающие ткани адвентиция не определялась, зона стеноза представляла гиперэхогенную ткань, распространяющуюся в парауретеральную клетчатку. Если имелся аберрантный сосуд, последний четко определялся (рис. 9).

Рис. 9. Эхограмма зоны стеноза лоханочно-мочеточникового сегмента и сосуда.
При проходимых для катетера стриктурах средней и нижней трети мочеточника мы определяли их протяженность и исследовали мочеточник выше сужения. В зоне стриктуры мы наблюдали идентичную, описанную при стенозе лоханочно-мочеточникового сегмента картину, с разицей лишь в степени вовлечения в процесс периуретеральной клетчатки. В мочеточнике выше стриктуры - истончение его стенки в зависимости от выраженности гидронефротической трансформации. Полученные нами предварительные выводы нашли свое подтверждение при последующих оперативных вмешательствах и подкреплены результатами морфологических исследований измененных участков мочеточника.
Из 10 обследованных пациентов с подозрением на папиллярные образования чашечно-лоханочной системы и мочеточника, у 8 диагноз не подтвердился. У 1 больного с помощью интрапельвикального эхосканирования была выявлена небольших размеров (0,7 см в диаметре) парапельвикальная киста, создающая дефект наполнения при экскреторной урографии, ретроградной уретеропиелографии, компьютерной томографии с контрастированием (рис. 10).

Рис. 10. КТ органов забрюшинного пространства с контрастированием - дефект наполнения лоханки.
Компьютерная навигация, выполненная на основании данных спиральной томографии, позволила получить виртуальную эндоскопическую картину чашечно-лоханочной системы, мочеточника и определить пролабирование стенки лоханки, соответствующее дефекту наполнения на рентгенограммах (рис. 11).

Рис. 11. Компьютерная навигация - пролабирование лоханки (вид изнутри).
При оптической уретеропиелоскопии также констатировано пролабирование лоханки. Таким образом, интрауретеральная ультрасонография - единственный метод, позволивший наиболее четко не только выявить изменение формы лоханки, но и определить причину этого состояния - парапельвикальная киста (рис. 12).

Рис. 12. Эхограмма лоханки и парапельвикальной кисты (стрелка).
У 1 пациентки выявлен небольших размеров (2 мм) рентгеннегативный камень мочеточника. У 2 больных диагноз опухоли подтвердился. На интрауретеральных ультрасонограммах опухоль определялась как образование неоднородной эхоструктуры, преимущественно гипоэхогенное, создающее неровность внутреннего контура лоханки, мочеточника. У 1 пациента выявлено 3 папиллярных образования мочеточника размерами 0,3-0,4 см, не инфильтрирующие мышечный слой и адвентицию (рис. 13).

Рис. 13. Эхограмма папиллярной опухоли мочеточника Т1 (стрелка).
С помощью данного метода была установлена степень инвазии - стадия Т1, что в сочетании с другими клиническими данными позволило выполнить эндоскопическую резекцию стенки мочеточника с опухолью. У 1 пациента интрауретеральная ультрасонография наряду с другими методами, помимо визуализации множественных объемных образований чашечно-лоханочной системы и мочеточника, позволила определить их структуру и оценить глубину инвазии (рис. 14). Пациенту была выполнена нефруретерэктомия с резекцией устья и лимфаденэктомия.

Рис. 14. Эхограмма множественной опухоли лоханки.
Получаемая информация при интрауретральном эхосканировании помогает выбрать наиболее правильный метод оперативного лечения. При значительном вовлечении в процесс окружающих тканей в области стриктуры показана открытая пластическая операция мочеиспускательного канала, а при стриктурах с поверхностными фиброзными изменениями, не выходящими за пределы уретры в парауретральную ткань, наиболее целесообразна оптическая уретротомия, которая может выполняться под контролем интрауретрального эхосканирования для определения радикальности иссечения фиброзно-измененной ткани.
Информация, получаемая при интрауретеральной ультрасонографии, позволяет выявить не только протяженность стриктуры, но и степень распространения склеротических изменений в стенке мочеточника и за ее пределами, что также важно в выборе метода оперативного лечения. При минимальных склеротических изменениях в стенке мочеточника или невозможности выполнения открытой пластической операции на верхних мочевых путях целесообразно эндоскопическое рассечение стриктуры мочеточника. Для определения границы рассечения склеротически измененной ткани, а также контроля расположения сосудов в зоне резекции оперативное вмешательство возможно и целесообразно проводить под контролем интрауретеральной ультрасонографии. С помощью интрауретеральной ультрасонографии можно выявить не только наличие опухоли мочеточника и чашечно-лоханочной системы, но и определить одиночность или множественность папиллярных образований, степень инвазии опухоли, состояние почечного синуса, парауретеральной клетчатки, что важно для определения объема оперативного пособия. В случаях возможной резекции стенки мочеточника с опухолью оперативное лечение целесообразно проводить под контролем интрауретерального эхосканирования для определения радикальности удаления опухоли в зоне резекции.
Выводы
Эндолюминальная (интрауретральная и интрауретеральная) ультрасонография является современным высокоинформативным методом диагностики стриктур мочеиспускательного канала, обструктивных заболеваний верхних мочевых путей, в выявлении папиллярных образований чашечно-лоханочной системы и мочеточника. Особая ценность метода состоит в определении состояния парауретеральных и парауретральных тканей и установлении взаимосвязи их изменений с заболеваниями мочевых путей, степени инвазии опухолей мочеточника, что практически невозможно выявить другими методами. На основе получаемой информации значительно облегчается выбор тактики лечения у большой категории урологических больных.
УЗИ сканер HS60
Читайте также:
