УЗИ, МРТ при мезобластической нефроме у плода
Добавил пользователь Евгений Кузнецов Обновлено: 11.12.2025

[EN] Эхограмма №566: Головной мозг плода в режиме DPDI (двунаправленный энергетический допплер), THI (тканевая гармоника) и DMR.
Изображение получено с помощью УЗ сканера Accuvix-A30 (снят с производства).
Публикации по теме
Ультразвуковая диагностика мезобластической нефромы у плода в III триместре беременности. Врожденные опухоли почек - очень редкое заболевание, имеющее неоднозначный прогноз для жизни. Частота этой патологии среди новорожденных очень низкая и случаи пренатальной диагностики крайне редки, поэтому мы решили опубликовать собственное клиническое наблюдение пренатального выявления мезобластической нефромы у плода в III триместре беременности.
Новый эхографический признак для изучения нижней челюсти плода в норме и при патологии (микрогнатии) в I триместре беременности (11-14 недель). Важнейшим маркером генетических синдромов как хромосомного, так и нехромосомного генеза, является микрогнатия. Микрогнатия (нижняя микрогнатия, микрогения) - аномалия развития нижней челюсти, характеризующаяся ее гипоплазией. Диагностика этого состояния при трисомии 18 и триплоидии доходит до 80%. При введении в поисковую систему OMIM термина "micrognatia" можно встретить 447 различных синдромов и ассоциаций, в синдромальное ядро которых входит этот важный генетический маркер.
Пренатальная диагностика мезобластической нефромы у плода в III триместре беременности с использованием новых ультразвуковых технологий

Содержит актуальную клиническую информацию по ультрасонографии и ориентирован на врачей ультразвуковой диагностики, выходит с 1996 года.
Введение
Материал и методы
Пациентка С., 31 года, была направлена в центр пренатальной диагностики врачом женской консультации в III триместре беременности для консультации и проведения эхокардиографии плода в связи с наличием у первого ребенка порока сердца. До III триместра в центр не обращалась.
Беременность четвертая, роды вторые. В анамнезе выкидыш в 6 недель, неразвивающаяся беременность при сроке 8 недель и срочные роды без осложнений. У ребенка имелась недостаточность аортального клапана I-II степени.
В женской консультации пациентке был проведен комплекс пренатального обследования на врожденные и наследственные заболевания у плода. По данным биохимического скрининга в I и II триместрах, риск рождения ребенка с хромосомной патологией расценен как низкий (1/2500, 1/850). Ультразвуковые исследования проведены в 9, 11 и 18 недель беременности в женской консультации и в 22 недели в перинатальном центре по месту жительства. Патологии у плода не было выявлено.
В центре пренатальной диагностики первое ультразвуковое исследование в 32 недели и последующий динамический контроль в 36 недель проведены на аппаратах SonoAce-Х8 (Медисон, Ю. Корея) c использованием конвексных датчиков AX C3-7 EP-A2 и SD C4-8 ET-A1, а также Voluson Е8 с использованием конвексных мультичастотных датчиков AB 2-7D, RAB 4-8D. Объемная информация о структурах плода сохранена и в последующем обработана с использованием программ 3D XI (Medison) и 4D.
Результаты и обсуждение
В центре пренатальной диагностики в срок III скрининга (32 недели) эхография была проведена по стандартной методике с заполнением утвержденного протокола скринингового ультразвукового исследования во II и III триместрах.
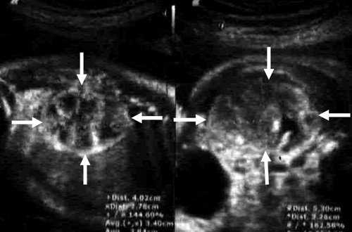
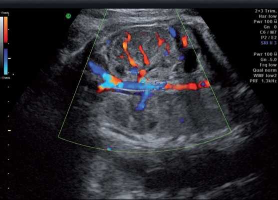
Результаты исследования: размеры плода пропорциональные, соответствуют менструальному сроку беременности. При эхокардиографии особенностей строения сердца у плода не выявлено. При оценке органов мочевыделительной системы обнаружено следующее: правая почка плода нормальных размеров и структуры. Левая почка увеличена до размеров 53х38х46 мм при 95-м процентиле нормативных для срока значений 43х24х23 мм [4] (рис. 1). В структуре почки, преимущественно в верхнем и среднем сегментах, определяется округлое образование без четких контуров, средней эхогенности, приблизительные размеры его 50х35х35 мм. При цветовом допплеровском картировании в образовании визуализируется обширная сосудистая сеть. При допплерометрии индексы сосудистой резистентности (рис. 2) в разных участках образования варьируют в широких пределах (от 0,49 до 0,77).

Рис. 1. Почки плода в режиме 2D. Видна разница в эхографической структуре. Границы почек обозначены стрелками.

Рис. 2. Режим цветового допплеровского картирования. Хорошо видны различия в характере васкуляризации нормальной почки и контрлатеральной пораженной почки.
Плацента по структуре и степени зрелости соответствует сроку беременности. Многоводие (индекс амниотической жидкости 22 см при норме 10-20 см).
При допплерометрии показатели кровотока в маточно-плодово-плацентарной системе в пределах нормативных значений.
Заключение. Беременность 32 недели. Новообразование левой почки плода (мезобластическая нефрома?).
- Динамический ультразвуковой контроль через 3-4 недели.
- Пренатальная консультация хирурга.
- Обследование новорожденного.
После получения данных ультразвукового исследования был уточнен анамнез. Выяснилось, что в семье пациентки у ближайших родственников имели место заболевания мочевыделительной системы, в частности злокачественные опухоли почек.
При динамическом ультразвуковом контроле в 36 недель дополнительных изменений у плода не было обнаружено. Размеры образования в почке незначительно увеличились.
В срок 38 недель произошли срочные роды. Родилась девочка, вес 3230 г, длина 50 см, оценка по шкале Апгар 8/9 баллов. В родильном доме почки ребенка не были обследованы. Девочка выписана домой на 4-е сутки.
На 2-й неделе жизни она консультирована хирургом и онкологом. Поставлен диагноз: нефробластома левой почки, рекомендовано оперативное лечение.
Через 2 мес после рождения произведена лапароскопическая нефрэктомия. Послеоперационный период протекал без осложнений. Гистологическое исследование: мезобластическая нефрома левой почки.
До настоящего времени ребенок находится под наблюдением онколога, развивается соответственно возрасту. Химиотерапия и другие виды специфического лечения не проводились.
Данное клиническое наблюдение, по нашему мнению, представляет определенный интерес для практикующих врачей, занимающихся ультразвуковой пренатальной диагностикой врожденных и наследственных заболеваний, поскольку это еще один случай выявления редко встречающейся патологии. При анализе данных литературы, в частности журнала "Ultrasound in Obstetrics and Gynecology" - официального журнала Международной Ассоциации врачей ультразвуковой диагностики в акушерстве и гинекологии (ISUOG), нам удалось выяснить, что в настоящее время в мире опубликовано не более 25 случаев дородовой диагностики этого заболевания. В нашей стране - это вторая публикация.
В пренатальном периоде опухоли почек, как правило, представлены двумя нозологическими формами: мезобластической нефромой (синоним - мезенхимальная гамартома, ренальная гамартома плода) и нефробластомой (опухоль Вильмса).
Мезобластическая нефрома - это односторонняя округлая солидная опухоль без капсулы, однородной структуры, иногда содержащая кистозные включения, образующиеся за счет кровоизлияний или очагов некроза. Микроскопически опухоль представлена мезенхимальными клетками, к которым относятся гладкие мышечные волокна и незрелые фибробласты. Кроме того, она может содержать клеточные элементы почечных клубочков и трубочек. Эта опухоль не имеет капсулы и способна к инфильтрирующему росту. Опухоль хорошо васкуляризирована и имеет развитую сосудистую сеть [4].
Мезобластическая нефрома может быть как доброкачественным, так и злокачественным новообразованием. В литературе есть данные о связи степени злокачественности опухоли и срока ее обнаружения. Чем раньше у новорожденного диагностируется это заболевание, тем менее злокачественный характер оно имеет. Считается, что этот вид опухоли чаще встречается у мальчиков 7.
При ультразвуковом исследовании в пренатальном периоде опухоль определяется как округлое образование, как правило, больших размеров, без четких контуров. Разница в акустической плотности интактной почечной паренхимы и опухолевой ткани может создавать эффект границы, которая глазом будет восприниматься как капсула. В большинстве случаев при беременности, осложненной возникновением мезобластической нефромы, регистрируется многоводие. Сочетанные изменения в других органах и системах плода встречаются редко.
Нефробластома, или опухоль Вильмса - это еще более редкая опухоль, описанная у плодов и новорожденных. Как и мезобластическая нефрома, она чаще бывает спорадической, но описаны и наследственные случаи. Считается, что двусторонняя локализация этой опухоли более характерна для наследственной формы. У мальчиков и девочек нефробластома регистрируется с одинаковой частотой.
Опухоль Вильмса в отличие от мезобластической нефромы - как правило, злокачественное новообразование почки, возникающее из аномально пролиферирующей метанефрогенной бластемы. Эта опухоль представляет собой солидное образование без капсулы с экзо- или эндофитным ростом. При поражении почки здоровая паренхима достаточно быстро замещается опухолевой тканью [8].
При ультразвуковом исследовании опухоль Вильмса также выглядит как округлое, хорошо отграниченное образование средней эхогенности. При цветовом допплеровском картировании выраженной сосудистой сети обычно обнаружить не удается. Экстраренальные сочетанные аномалии развития при нефробластоме встречаются редко [9, 10].
Дифференциальный диагноз при подозрении на опухоль почки у плода необходимо проводить с другими патологическими изменениями почек, например мультикистозом. Основное отличие мультикистоза от опухолей любого генеза - это обязательное наличие множественных анэхогенных включений разного диаметра и практически полное отсутствие сосудистой сети при цветовом допплеровском картировании. Изолированные кисты почек принципиально отличаются от опухолей четкой границей, анэхогенным содержимым и сохранением почечного сосудистого рисунка.
Образование, исходящее из надпочечника (опухоль, киста, кровоизлияние), может симулировать опухоль почки, однако в этом случае при более детальном исследовании всегда можно обнаружить почку типичного строения с характерным сосудистым рисунком при цветовом допплеровском картировании.
Другие аномалии развития, такие как экстралобарная легочная секвестрация, лимфангиомы и тератомы брюшной полости и забрюшинного пространства, кисты и тератомы яичников у плодов женского пола, на первый взгляд, могут быть сходны с новообразованиями почек, однако самый главный отличительный признак в этих случаях - наличие двух анатомически нормальных почек, расположенных в обычном месте.
Важно подчеркнуть, что все перечисленные аномалии развития можно диагностировать во II триместре беременности, тогда как опухоли почки, по данным литературы, в основном выявляются в III триместре. Случай наиболее ранней диагностики описан при сроке беременности 26 недель [2].
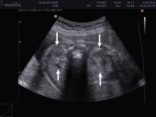
В представленном клиническом наблюдении диагноз опухоли почки был поставлен нами практически сразу и не вызывал сомнения, поскольку стандартный протокол ультразвукового скринингового исследования во II и III триместрах беременности требует описания почек и мочевого пузыря. Почки оцениваются в поперечном и продольном сечениях с использованием при необходимости цветового допплеровского картирования (рис. 3, а, б). В данном случае почки плода располагались в типичном месте, но обращали на себя внимание значительная разница в размерах и необычная структура одной из почек (см. рис. 1). В 2D режиме границы опухоли четко не визуализировались, но при использовании технологии VCI (объемное контрастное изображение) можно было более точно определить ее контуры (рис. 4).

Рис. 3. Исследование почек.
а) Поперечное сканирование. Переднезадний размер почек обозначен стрелками.
Нефробластома
UPD 13.04.2021
Нефробластома, или опухоль Вилмса - опухоль почки, составляет 6% от всех злокачественных опухолей детского возраста. Опухоль названа по фамилии немецкого хирурга Макса Вильмса, впервые описавшего это заболевание в конце XVIII века.
Стандартом в лечении нефробластомы является комплексный подход: химиотерапия, туморнефроуретерэктомия и лучевая терапия. Прогноз заболевания при современных подходах к терапии благоприятный: выживаемость достигает 80%.
Распространенность нефробластом у детей
- Нефробластома - врожденная эмбриональная злокачественная опухоль почки.
- Заболеваемость составляет 1:100000 детей в возрасте до 14 лет.
- Опухоль выявляется преимущественно в возрасте 1-6 лет.
- Нет различий заболеваемости по полу.
- В 5% случаев наблюдаются двусторонние нефробластомы.

Точные причины возникновения опухоли Вильмса не установлены. Предполагается связь развития заболевания с мутацией в гене 1 опухоли Вильмса (WT 1), расположенного на 11 хромосоме. Этот ген важен для нормального развития почек и любые поломки в нем могут приводить к возникновению опухоли либо других аномалий развития почек. В 12-15% случаев опухоль Вильмса развивается у детей с врожденными аномалиями развития. Чаще всего имеют место аниридия (отсутствие радужной оболочки), синдром Беквита-Видемана (висцеропатия, макроглоссия, пупочная грыжа, грыжа белой линии живота, олигофрения, микроцефалия, гипогликемия, постнатальный гигантизм), урогенитальные аномалии, синдром WAIR (опухоль Вильмса, аниридия, мочеполовые аномалии, олигофрения), синдром Дениса-Драша (Опухоль Вильмса, нефропатия, аномалия гениталий, задержка роста, аномалии ушной раковины).
Если у кого-либо в семье уже была опухоль Вильмса, то у ребенка из этой семьи повышается вероятность заболеть нефробластомой. Частота «семейных» случаев, однако, не превышает 1%, при этом, как правило, опухолью поражаются обе почки.
Классификация опухолей почек у детей
Существует гистологическое и клиническое стадирование опухоли Вильмса:
I) Гистологическое стадирование по Smidt/Harms проводится после удаления новообразования и предусматривает выделение 3х степеней злокачественности, влияющих на прогноз заболевания (низкой, средней и высокой) в зависимости от строения опухоли.
II) Клиническое стадирование
В настоящее время используют единую систему стадирования нефробластомы, которая является определяющей для лечения:
I стадия - опухоль локализуется в пределах почки, возможно полное удаление
II стадия - опухоль распространяется за пределы почки, возможно полное удаление, в т.ч.:
- прорастание капсулы почки, с распространением в околопочечную клетчатку и/или в ворота почки,
- поражение регионарных лимфатических узлов (стадия II N+),
- поражение внепочечных сосудов,
- поражение мочеточника
III стадия — опухоль распространяется за пределы почки, возможно неполное удаление, в т.ч.:
- в случае инцизионной или аспирационной биопсии,
- пред- или интраоперационный разрыв,
- метастазы по брюшине,
- поражение внутрибрюшных лимфоузлов, за исключением регионарных,
- опухолевый выпот в брюшную полость,
- нерадикальное удаление
IV стадия - наличие отдалённых метастазов
V стадия - двусторонняя нефробластома
Классификация нефробластомы по системе TNM в настоящее время сохраняет, в основном, историческое значение и в клинической практике не используется.



3D-реконструкции опухоли Вильмса пациентов детского отделения НМИЦ онкологии им. Н.Н. Петрова
Клинические симптомы опухоли почки у детей
Нефробластома может длительное время протекать бессимптомно. Первым признаком заболевания, который замечают родители, является увеличение размеров живота. Иногда ребенок жалуется на боли в животе. При микроскопическом исследовании мочи можно выявить микрогематурию.

Диагностика нефробластомы
Диагностические мероприятия при подозрении на опухоль Вильмса направлены, в первую очередь, на морфологическую верификацию диагноза и определение степени распространенности процесса в организме.
Основными инструментальными методами в диагностике опухоли почек у детей и подростков являются:
- и забрюшинного пространства.
- Компьютерная томография органов брюшной полости и забрюшинного пространства с оральным и внутривенным контрастированием.
- Магнитно-резонансная томография брюшной полости и забрюшинного пространства без и с контрастным усилением (даёт дополнительную информацию о распространённости и связи опухоли с окружающими органами).
- Радиоизотопное исследование почек - реносцинтиграфия позволяет оценить как суммарную функцию почек, так и отдельно функцию каждой из них.
- Для исключения метастатического поражения легких проводятся рентгенография и компьютерная томография органов грудной клетки.
Лабораторные исследования являются рутинными и включают в себя: клинический анализ крови, общий анализ мочи, биохимический анализ крови.
Непременным условием для постановки диагноза является выполнение тонкоигольной аспирационной биопсии опухоли под УЗИ-навигацией с проведением цитологического исследования полученного материала.


Опухоль Вильмса. Компьютерная томография
После удаления опухоли проводится ее морфологическое исследование. В зависимости от гистологического строения (мезобластическая нефрома, фетальная рабдомиоматозная нефробластома, кистозная частично дифференцированная нефробластома, классический» вариант без анаплазии, нефробластома с фокальной анаплазией, нефробластома с диффузной анаплазией) больные стратифицируются на группы риска.
Общие принципы лечения опухолей почки у детей и подростков
Лечение нефробластомы у детей проводится по стандартным методикам, принятым в европейских странах, и включает проведение неоадьювантного курса полихимиотерапии, операции - туморнефроуретерэктомии, послеоперационной химиотерапии и, по показаниям, лучевой терапии.
Предоперационный курс химиотерапии длится от 4 до 6 (при IV стадии) недель. Задача терапии - максимальное уменьшение размеров опухоли с целью предотвращения ее интраоперационного разрыва, т.е. во время операции и достижения максимальной резектабельности - возможности удалить больной орган. Базовыми препаратами, используемыми в данном курсе, являются винкристин и дактиномицин.
Оперативный этап лечения опухоли почки заключается в радикальном одномоментном удалении всей ткани опухоли. Туморнефроуретерэктомию проводят из срединного доступа. Обязательной является ревизия печени, контралатеральной почки и регионарных лимфатических узлов.
За последние десятилетия накоплен значительный опыт резекций почек при односторонней опухоли Вильмса, показавший сравнимые с классической нефрэктомией отдаленные результаты.
Лапароскопическая нефрэктомия при опухоли Вильмса впервые была выполнена в 2004 г. в университете Сан Пауло (Бразилия) у детей, получавших неоадъювантную терапию по протоколу SIOP-2001. К настоящему времени уже накоплен большой опыт ее применения, в том числе и в нашем Центре, позволяющий использовать минимально инвазивную хирургию не менее чем у 20% пациентов.
Метод лапароскопической ассистированной резекции почки возможен у пациентов с односторонней опухолью Вильмса только после неоадъювантной ПХТ и при соблюдении условий, оговоренных протоколом SIOP-RTSG 2016 «UMBRELLA»:
- объем первичной опухоли менее 300 мл;
- периферическая локализация и унифокальность;
- отсутствие инвазии в лоханку по данным предоперационной визуализации;
- отсутствие опухолевых тромбов и инвазии в соседние органы и ткани;
- отсутствие признаков разрыва капсулы, возможность радикального удаления опухоли при сохранении более 66% здоровой почечной ткани.
Послеоперационная химиотерапия проводится после разделения больных на группы риска в соответствии с гистологической структурой опухоли и стадии заболевания.
Лучевая терапия проводится параллельно послеоперационной полихимиотерапии, начинается на 2-3 неделе после удаления опухоли. Длительность лучевой терапии составляет 7-10 дней. Объем облучения зависит от результатов операции.
Диспансерное наблюдение при нефробластомах
Наблюдение за излеченными пациентами осуществляется для выявления рецидива и отдаленных последствий лечения.

В течение первых двух лет после окончания терапии пациенты обследуются каждые три месяца. Далее, до достижения пятилетнего срока наблюдения - каждые 6 месяцев. В алгоритм обследования включаются: УЗИ органов брюшной полости, рентгенография органов грудной клетки при каждом визите. При необходимости дополнительно рекомендуются проведение исследования функции почки (анализ мочи, биохимическое исследование крови, ренография), углубленное исследование сердечно-сосудистой деятельности (ЭКГ, ЭХО-КГ), исследование слуха методом аудиометрии.
После пяти лет наблюдения пациенты обследуются не чаще одного раза в год.
Все дети, закончившие программное лечение, могут продолжить посещение организованных детских коллективов (школа, детский сад).
Нефробластомы у детей: что необходимо знать

Иван Августинович, врач-онколог-хирург операционного блока РНПЦ детской онкологии, гематологии и иммунологии. 16.05.2022 Фото носит иллюстративный характер. Из открытых источников.
Нефробластома (опухоль Вильмса, WT) является наиболее распространенной опухолью почки у детей, которая может проявляться как в виде единичного узла, так и в виде мультифокального одностороннего поражения либо двусторонней опухоли.
В структуре злокачественных опухолей у детей нефробластома занимает четвертое место, следуя за гемобластозами, опухолями ЦНС и саркомами мягких тканей. Нефробластома составляет примерно 7-8 % всех злокачественных опухолей у детей.
Согласно данным Американского онкологического общества, ежегодно в США выявляется 500-600 новых случаев нефробластомы у детей, или 5 % от всех злокачественных опухолей. По данным детского канцер-субрегистра Республики Беларусь, ежегодно регистрируется 8-9 новых случаев нефробластомы на 1 млн детского населения, что также составляет 5 % от всех злокачественных опухолей. У 78 % детей опухоль диагностируется в возрасте 1-5 лет, пик заболеваемости приходится на 3-4-й год. У взрослых нефробластомы встречаются редко.
История вопроса

Первым описал нефробластому немецкий патологоанатом и хирург Макс Вильмс. Едва ли он осознавал, что его диссертация «Смешанные опухоли почки» (1899) свяжет его имя с самой распространенной опухолью почки у детей. В своей работе он исследовал 9 (в основном больших по своим размерам) опухолей у детей в возрасте от 11 недель до 11 лет. Макс Вильмс описал опухоль как образование с округлыми клетками (миосаркома) с содержанием эпителиальных структур, в которых было установлено сходство с эмбриональной почкой. Он подозревал, что компонент, названный им круглоклеточной саркомой, представляет собой опухолевые эмбриональные клетки с потенциалом дифференцировки в мезенхиму и эпителий почки, и предположил его происхождение от «бластемы почки», связав онкогенез этих опухолей с почечной эмбриологией.
В первой половине 20-го века хирургическое лечение было единственным методом терапии, частый летальный исход был отчасти обусловлен большими размерами опухоли. Ранняя попытка (1916) лечения неоперабельной нефробластомы при помощи рентгеновского облучения показала, что рентгеновские лучи могут уменьшить опухоль, и это дало первоначальный успех, но метод не получил широкого распространения. Постепенно методы хирургического лечения улучшались, что позволяло спасти часть детей, в частности с небольшими размерами опухоли. Прорыв произошел при комбинировании хирургического лечения с облучением и химиотерапией, о чем в 1956 году сообщила Сидни Фарбер с коллегами, в результате чего 2-летняя выживаемость составила 81 %. Следующим шагом стало создание двух основных исследовательских групп — NWTS и SIOP, которые оказали огромное влияние на успех лечения нефробластомы.
Национальная группа по исследованию опухоли Вильмса (NWTS, National Wilms Tumor Study Group, США), основанная в 1969 году, собрала большое количество пациентов и провела несколько клинических рандомизированных исследований, направленных на оптимизацию лечения для различных групп риска нефробластомы и определения возможных генетических факторов риска. Классификация нефробластомы культового патологоанатома Брюса Беквита, который твердо связал гистопатологию с прогнозами лечения и выявил опухоли с благоприятной или неблагоприятной морфологией, по-прежнему действительна для опухолей без предоперационного лечения.
В Европе небольшая группа преданных своему делу французских врачей в 1961 году открыла клуб детских онкологов, который в 1969 году был преобразован в SIOP — международное общество детских онкологов, членами которого сегодня являются медицинские специалисты из более чем 100 стран мира. SIOP сотрудничает с Группой изучения детского рака Соединенного Королевства (UKCCSG) и немецким Обществом детской онкологии и гематологии (GPOH).
Белорусские детские онкогематологи для лечения нефробластомы в прошлом использовали клинические протоколы как SIOP, так и NWTS. В настоящий момент для лечения детей применяется последний передовой протокол ренальной исследовательской группы SIOP — SIOP RTSG Umbrella, который объединил в себе протокольное лечение наиболее часто встречающихся злокачественных опухолей почек у детей.
Этиология и патогенез
Обычно нефробластома возникает спорадически, в 2 % случаев имеет семейный характер. В норме участки метанефрогенной бластемы, формирующие секреторный аппарат почки (клубочки, извитые канальцы), должны исчезать после 36-й недели беременности, однако у 1 % детей при рождении часть бластемы остается функционирующей. Эти фокусы бластемы описываются как нефрогенные остатки, которые определяются как участки с повышенным риском развития опухоли Вильмса. Судьба нефрогенных остатков двояка: они могут регрессировать или давать малигнизацию, постепенно трансформируясь в нефробластому.
Нефробластома нередко является одним из симптомов врожденных пороков и генетических синдромов. Врожденные аномалии выявляются в 12-15 % случаев опухоли Вильмса. Наиболее часто диагностируются следующие из них: аниридия, гемигипертрофия, синдром Беквита — Видемана, аномалия мочеполового тракта, WARG-синдром, синдром Дениса — Драша.
В начале 1970-х годов американский генетик Альфред Кнудсон, используя предыдущие разработки на гене Rb, предложил две модели туморогенеза при опухоли Вильмса. В первом случае имеет место развитие спорадической нефробластомы, при которой в нефробласте оба аллеля гена WT (Wilms tumor) повреждаются двумя независимыми соматическими мутациями; происходит полная инактивация данного гена, что приводит к развитию опухоли. Мутация носит гомозиготный характер, обнаруживается только в клетках опухоли и не наследуется. Наследственная форма нефробластомы характеризуется передачей мутированной копии гена WT из поколения в поколение. Каждый нефробласт гетерозиготного носителя мутации уже имеет инактивированный аллель WT. Таким образом, для развития нефробластомы достаточно всего одной соматической мутации, затрагивающей оставшуюся копию гена.
В настоящее время эта модель, оставаясь правильной по сути, представляется излишне упрощенной: в патогенез нефробластомы может быть вовлечено множество других генетических поломок.
Клиническая картина
Наиболее частый признак опухоли Вильмса — определяемая пальпаторно опухоль в брюшной полости. Нефробластома может длительное время протекать бессимптомно. Иногда отмечаются боли в животе. Гематурия может выявляться при микроскопическом исследовании. Гипертензия отмечается приблизительно у 25 % пациентов.
Гистологическое строение и классификация
Опухоли почки характеризуются гистологической гетерогенностью. Около 80 % случаев нефробластомы составляют классический вариант опухоли. Гистологическое стадирование предусматривает выделение 3 степеней злокачественности опухолей почки у детей, связанных с прогнозом заболевания. Стадирование применимо для опухолей, которые получали предоперационную химиотерапию, и опухолей, лечение которых началось с хирургического удаления.
Без предоперационной химиотерапии:
- низкий риск: мезобластическая нефрома, кистозная частично дифференцированная нефробластома;
- средний риск: неанапластические варианты нефробластомы, фокальная анаплазия;
- высокий риск: нефробластома — диффузная анаплазия, светлоклеточная саркома почки, рабдоидная опухоль почки.
С предоперационной химиотерапией:
- низкий риск: мезобластическая нефрома, кистозная частично дифференцированная нефробластома, полностью некротизированная нефробластома;
- средний риск: нефробластомы — эпителиальный, стромальный, смешанный, регрессивный типы, нейробластома — фокальная анаплазия;
- высокий риск: нефробластома — бластемный тип, диффузная анаплазия, светлоклеточная саркома почки, рабдоидная опухоль почки.
Клиническое стадирование
В настоящее время группы SIOP и NWTS используют единую систему стадирования нефробластомы, которая является определяющей для лечения:
- 1-я стадия — опухоль локализуется в пределах почки, возможно полное удаление;
- 2-я стадия — опухоль выходит за пределы почки, возможно полное удаление, в т. ч. прорастание капсулы почки, с распространением в околопочечную клетчатку и/или в ворота почки, поражение регионарных лимфатических узлов (стадия II N+); поражение внепочечных сосудов; поражение мочеточника;
- 3-я стадия — опухоль распространяется за пределы почки, возможно неполное удаление, в т. ч. в случае инцизионной или аспирационной биопсии, пред- или интраоперационный разрыв, метастазы по брюшине, поражение внутрибрюшных лимфоузлов (за исключением регионарных), опухолевый выпот в брюшную полость, нерадикальное удаление;
- 4-я стадия — наличие отдаленных метастазов;
- 5-я стадия — двусторонняя нефробластома; варианты двусторонних нефробластом включают: А — поражение одного из полюсов обеих почек; Б — поражение одной почки с вовлечением ворот в опухолевый процесс (тотальное или субтотальное) и одного из полюсов второй почки; С — поражение обеих почек с вовлечением в процесс ворот (тотальное или субтотальное).
Диагностика
Как и при других злокачественных опухолях, диагностика нефробластомы основана на морфологическом заключении. Однако в отношении нефробластомы допускается исключение из традиционного правила «проведение биопсии перед началом химиолучевой терапии».
Во время биопсии возникает нарушение целостности псевдокапсулы, и заключенный в псевдокапсулу опухолевый детрит, имеющий кашицеобразный характер, рассеивается по брюшной полости или по ходу иглы, что увеличивает распространенность опухоли, изменяет клиническую стадию заболевания (автоматически переводит в 3-ю стадию) и ухудшает прогноз. Поэтому у пациентов старше 6 месяцев и младше 16 лет диагноз нефробластомы устанавливают при консервативном обследовании.
Диагностика первичной опухоли основана на выявлении типичных признаков нефробластомы и исключении других заболеваний. В круг дифференциальных диагнозов входят пороки развития почки, гидронефроз, нейрогенные опухоли и другие опухоли забрюшинного пространства, опухоли печени, гамартома. Диагностика нефробластомы и определение стадии включает лабораторные и инструментальные исследования, такие как общеклинические анализы: общий анализ крови и мочи, биохимическое исследование крови, коагулограмма, онкомаркеры, исследование катехоламинов в моче.
Инструментальные методы обследования
- УЗИ органов брюшной полости и забрюшинного пространства — выявление опухоли в трех измерениях и определение объема опухоли. При УЗИ может быть визуализирован опухолевый тромб в нижней полой вене.
- Компьютерная томография органов брюшной полости и забрюшинного пространства с оральным и внутривенным контрастированием (см. рис. 1).
- Магнитно-резонансная томография брюшной полости и забрюшинного пространства без и с контрастным усилением (дает дополнительную информацию о распространенности и связи опухоли с окружающими органами).
- Ангиография выполняется при сомнениях в диагнозе. На ангиограммах обнаруживается патологическая сеть сосудов, выявляется источник кровоснабжения. Ангиографически возможно визуализировать опухолевый тромб в нижней полой вене.
- Радиоизотопное исследование почек — реносцинтиграфия, которая позволяет оценить как суммарную функцию почек, так и отдельно функцию каждой из них.
- Диагностика метастазов включает рентгенографию грудной клетки; при подозрении на метастазы в легкие — КТ органов грудной клетки. УЗИ брюшной полости и забрюшинного пространства также оценивает метастазы в регионарные лимфоузлы, печень, другие органы и ткани, выпот в брюшную полость.

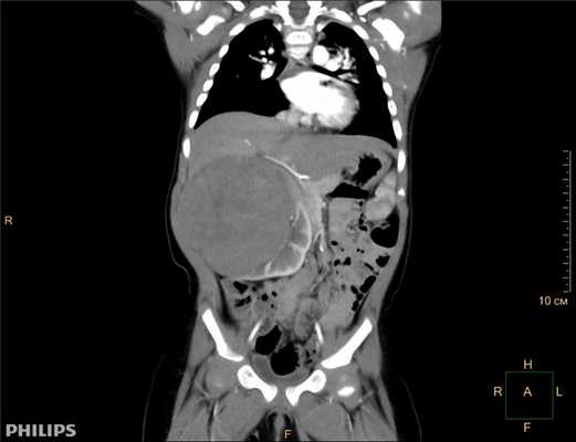
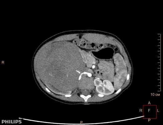
Рисунок 1. КТ брюшной полости ребенка с большой нефробластомой с метастазами в печень.
Лечение
Стандартным является комплексное лечение: химиотерапия, хирургическое лечение и лучевая терапия.
Химиотерапия: согласно протоколу SIOP, в течение 4 недель пациент получает предоперационную химиотерапию препаратами винкристин, дактиномицин для 2-3-й стадии; для 4-й стадии препаратами винкристин, дактиномицин, доксорубицин в течение 6 недель. Пациенты с 5-й стадией стадируются локально для каждой почки, и в зависимости от локальной стадии определяется режим предоперационной терапии.
Целью предоперационной химиотерапии является уменьшение размеров опухоли, что снижает риск интраоперационного разрыва псевдокапсулы, регресса метастазов. На 5-й неделе лечения при 2-3-й стадии и на 7-й неделе при 4-й стадии проводится предоперационное обследование, включающее общеклинические и инструментальные исследования, оценку ответа опухоли на химиотерапию.
Затем выполняется хирургическое лечение — радикальное удаление опухоли в объеме туморнефроуретерэктомии либо же резекции почки, биопсия регионарных лимфоузлов, метастазэктомия.
После операции и получения морфологического заключения проводится послеоперационное рестадирование, и в зависимости от гистологического варианта опухоли, поражения лимфоузлов, наличия метастазов либо же их тотального регресса/некроза определяется тактика послеоперационного лечения, которое может включать различные комбинации химиотерапевтических препаратов и добавление лучевой терапии в течение 26-34 недель.
Прогноз нефробластомы при выполнении программной терапии является хорошим. Выживаемость зависит от стадии заболевания и гистологического варианта. Независимо от прогностических факторов 90 % больных выздоравливают.
Общая выживаемость пациентов с нефробластомой в Республике Беларусь — 92 %, бессобытийная выживаемость — 90 %, что соответствует результатам лечения групп NWTS и SIOP.
Случай из практики
Девочка, 4 года. Мама обратила внимание на наличие дополнительного образования в животе. В связи с этим ребенок был госпитализирован в одну из областных клиник, проведено обследование, обнаружена опухоль брюшной полости. Ребенок переведен в РНПЦ ДОГИ для дообследования.

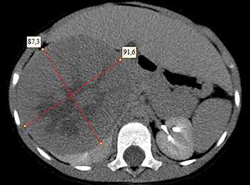
Клинически: при пальпации опухоль в проекции правой почки до 12 см в диаметре. Общеклинические исследования в пределах возрастной нормы. При КТ органов брюшной и грудной полости: КТ-картина объемного образования правой почки без признаков интрапульмональных метастазов (см. рис. 2). УЗИ брюшной полости: в проекции правой почки солидно-кистозное образование 101ґ114ґ99 мм, объемом 500 мл, васкуляризация активная, интактная часть почки 57ґ12ґ40 мм. Объемное образование правой почки — опухоль Вильмса. Предварительный диагноз: опухоль Вильмса правой почки, 2-я стадия.

Ребенку проведена предоперационная химиотерапия. На 5-й неделе лечения КТ-контроль показал уменьшение опухоли в размерах до 90ґ80ґ100 мм (см. рис. 3).
Выполнена операция: лапаротомия, удаление опухоли правой почки с ее резекцией. Гистологическое заключение: классическая нефробластома, промежуточная группа риска (см. рис. 4).
Послеоперационная программа включала еженедельное введение трех препаратов: винкристин, дактиномицин, доксорубицин на протяжении 27 недель. Девочка перенесла лечение удовлетворительно, без осложнений, находится в ремиссии более 5 лет.

Рисунок 4. Интраоперационная фотография: резецированная почка (справа), опухолевый узел (слева).
Опухоль Вильмса (нефробластома, эмбриональный рак почки, аденосаркома почки, эмбриональная нефрома, смешанная опухоль почки)

Опухоль Вильмса (нефробластома, эмбриональный рак почки, аденосаркома почки, эмбриональная нефрома, смешанная опухоль почки) - это наиболее частое злокачественное эмбриональное новообразование почки у детей, занимающее второе место среди злокачественных опухолей забрюшинного пространства.
Первое описание нефробластомы часто связывают с именами T. Рейна и M. Вильмс. Однако опубликованная М. Вильмсом монография «Смешанные опухоли почки» окончательно закрепила за автором приоритетное право на открытие этого заболевания, поэтому термин «опухоль Вильмса» обычно употребляется в качестве основного названия нефробластомы.
Наиболее частая опухоль почки у детей и составляет 10-12% всех злокачественных процессов у детей. Пиковый возраст - 2-4 года. Частота 1:100 000. Половая предрасположенность отсутствует.
В норме участки метанефрогенной бластемы, формирующие секреторный аппарат почки (клубочки, извитые канальцы), должны исчезать после 36-й нед беременности, однако у 1% детей при рождении остается функционирующей часть бластемы. Эти фокусы бластемы описываются как нефрогенные остатки, которые определяются как участки с повышенным риском развития опухоли Вильмса. Судьба нефрогенных остатков двояка: они могут регрессировать или давать малигнизацию, постепенно трансформируясь в нефробластому.
Опухоль исходит из недифференцированной метанефрогенной эмбриональной ткани. Патология чаще односторонняя, реже двусторонняя в 5-10% случаев. Более 15% случаев сочетаются с другими врожденными мальформациями: гемигипертрофией, спорадической аниридией, гигантизмом центрального генеза, синдромом Беквита-Видемана, псевдогермафродитизмом, нейрофиброматозом, пороками почек, такими как подковообразная почка или удвоение почки.
Читайте также:
- Причины дегенеративных заболеваний межпозвонкового диска (остеохондроза)
- Векторы для переноса генов. Ретровирусы и аденовирусы в качестве векторов
- Пример операции при ранении диафрагмы при проникающем ранении брюшной полости
- Техника пальпации поперечной ободочной кишки. Исследование толстой кишки по Образцову
- Чужие секреты. Как и зачем хранить секреты?
