УЗИ, МРТ при миоме матки у беременной
Добавил пользователь Владимир З. Обновлено: 11.12.2025
Один из видов новообразований женской мочеполовой системы - это миома: возникает в полости матки (на шейке или стенках тела) и развивается из ее клеток. Опухоль носит доброкачественный характер, размер и количество новообразований варьируются. Часто диагностируется несколько очагов, каждый из которых может иметь в диаметре от нескольких миллиметров до нескольких сантиметров и более.
Иногда миому шейки или тела матки называют лейомиомой или фибромой (фибромиомой). Узлы образуются из мышечной или соединительной ткани и не имеют конкретной локализации. Патология может быть диагностирована у женщин в возрасте в среднем от 30-35 лет.
Диагноз «миома шейки матки» не должен пугать - новообразование, вне зависимости от размера и количества, всегда носит доброкачественный характер. При этом фиброма матки не может увеличить вероятность возникновения и развития раковых заболеваний или послужить однозначной причиной бесплодия.
В редких случаях лейомиома матки вызывает сложности при зачатии, но при грамотном подходе к решению данного вопроса влияние новообразований в целом несущественно. Конечно, все индивидуально и требует профессионального лечения. В центре репродукции «Генезис» вам предоставят полную информацию о зачатии и беременности при миомах и квалифицированное лечение.
Если вам поставили диагноз «фибромиома матки», помните, что это незлокачественная опухоль, которая поддается лечению и редко становится причиной бесплодия или сложностей с зачатием. Сегодня существуют надежные методы и технологии лечения, помогающие решить проблему максимально безопасно для пациентки.
Чем и насколько опасна миома матки, нужно ли ее оперировать (удалять)?
Это естественный вопрос, который возникает у пациенток с данным диагнозом. Чаще всего женщины интересуются, как новообразования могут повлиять на репродуктивную функцию и какими могут быть последствия и осложнения при лечении миомы матки или его отсутствии. Каждый случай индивидуален, и все зависит от ряда факторов - вида миомы, количества узлов, их размеров и расположения, общего состояния здоровья пациентки, ее возраста и пр.
Наличие новообразований потенциально может послужить причиной к возникновению таких последствий, как:
- обильные маточные кровотечения, которые, в свою очередь, ведут к анемии;
- воспаление узлов и окружающих тканей;
- омертвение тканей миомы (часто после родов при сокращении матки);
- перекручивание узла, имеющего тонкую ножку, и пр.
При подозрении или подтвержденном наличии миомы матки необходимо обратиться к врачу, чтобы исключить возможные осложнения заболевания. Только специалист, оценив индивидуальные особенности случая, скажет, чем опасна и грозит миома матки, надо ли ее удалять (оперировать) и чем лечить.
Даже в отсутствие жалоб, женщинам после 30 лет рекомендуется регулярно проходить осмотры у гинеколога, чтобы снизить вероятность возникновения миомы матки и решения вопроса, надо ли ее удалять, а также других заболеваний и проблем мочеполовой системы и репродуктивной функции.
Какие симптомы и признаки возникают при миоме (фиброме, фибромиоме) шейки матки, позволяющие ее распознать?
Патология не имеет ярко выраженных симптомов и часто диагностируется «случайно», если пациентка пришла на профилактический осмотр или по иным беспокоящим ее причинам.
Как распознать миому (фибромиому) матки, если на ранних стадиях она практически никак себя не проявляет, а любые симптомы и признаки, которые появляются у женщины, могут указывать на другие заболевания?
Есть ряд признаков, которые могут вызвать подозрение на наличие доброкачественных новообразований в полости матки:
- частые позывы к мочеиспусканию;
- нарушение регулярности стула;
- повышение артериального давления;
- появление болей в области поясницы и внизу живота;
- нарушения цикла;
- усталость и утомляемость и т.д.
Также при миоме матки могут наблюдаться обильные и длительные месячные, редко маточные кровотечения и кровянистые выделения в середине цикла. Если миома матки достигла больших размеров, то заболевание уже имеет более ярко выраженную симптоматику - например, увеличение живота без общего увеличения массы и объемов тела.
Поскольку симптомы фибромы матки, как, например, обильное кровотечение при месячных или кровянистые выделения во время цикла, могут указывать на различные патологии, распознать и диагностировать именно миому можно только при комплексной диагностике и под наблюдением хорошего специалиста.
Причины образования миомы (фибромиомы) матки у женщин
Одна из основных причин появления новообразований в полости матки - гормональная, (особенно в молодом возрасте). Так, повышенный уровень гормона эстрогена может спровоцировать появление узлов на стенках или шейке матки.
Помимо прочего причинами возникновения миомы матки у женщин являются:
- наследственность и генетическая предрасположенность;
- воспаления и инфекции мочеполовых путей и половых органов;
- отсутствие оргазмов при половых актах (аноргазмия) и регулярной половой жизни;
- проблемы со здоровьем: патологии обмена веществ, хронические заболевания, избыточный вес, сахарный диабет, эндокринные заболевания и т.д.;
- аборты;
- постоянные стрессовые состояния и малоактивный образ жизни;
- применение внутриматочных контрацептивов и пр.
Причины появления и возникновения миомы матки могут быть различны. Важно не только знать их, но и наблюдать за происходящими изменениями в организме и состоянием здоровья, особенно если у вас есть хронические заболевания и предрасположенность к ним.
От чего у женщин образуется и откуда берется миома матки?
Некоторые из причин патологии требуют особенного внимания:
Миому можно считать заболеванием, которое во многом зависит от гормонального фона женского организма. При этом спровоцировать появление образований в матке может не только повышение уровня эстрогена, но и сбой в гормональной системе в целом.
У нерожавших женщин отсутствие хотя бы одних родов в анамнезе может быть потенциальной причиной возникновения миомы матки. У рожавших женщин при диагностике учитываются такие факторы, как количество беременностей и родов, как они протекали, продолжительность грудного вскармливания и пр.
Почему у женщин образуется миома матки или возникает такая вероятность, если сильно увеличивается масса тела? Избыточный вес и процент жира в организме может привести к нарушению гормонального фона и спровоцировать увеличение количества эстрогена, что, как отмечалось выше, является одной из причин появления новообразований.
Зная, почему появляется миома матки, женщинам рекомендуется не только регулярно посещать кабинет гинеколога, но и следить за рационом питания и образом жизни. Любые проблемы со здоровьем являются потенциальными причинами неполадок с репродуктивной системой. Подробную консультацию по данному вопросу можно получить у специалистов центра репродукции «Генезис».
Виды миомы матки
Миомы могут быть разного размера и располагаться в разных местах полости матки. Как правило, новообразования принято делить на виды по их расположению:
- Субсерозная миома матки, или подбрюшинная: она образуется на наружной стороне тела матки, около брюшины, под слизистой оболочкой.
- Субмукозная миома матки, или подслизистая: узел образуется непосредственно в полости органа или выступает в нее, под внутренней слизистой оболочкой матки.
- Интерстициальная миома матки, или внутримышечная (межмышечная, интрамуральная форма): новообразование появляется внутри миометрия, в мышечном слое.
- Интралигаментарная, или межсвязочная: появляется, согласно своему названию, между связками матки.
Также среди разновидностей миомы матки выделяют образования на ножках (они бывают толстыми и тонкими), их классификация и определения такие же, как и перечисленные выше.
По типу распространения образования делятся на следующие категории: узловая миома матки и диффузная. Диффузная форма обширно распространяется и разрастается по стенкам матки (миометрию). Узловая (многоузловая) миома (фибромиома) матки подразумевает появление различных по размеру (больших и маленьких) и количеству узлов и диагностируется гораздо чаще диффузной.
Правильно определить вид миомы крайне важно: от этого зависит будущее лечение и подход к планированию беременности. Чтобы узнать, какой вид миомы матки (субсерозная фибромиома, субсерозно-интрамуральная, субсерозно-интерстициальная, сумбукозная), множественная или единичная и пр., необходимо пройти качественную диагностику. Тип и методы обследований и анализов определяются и назначаются врачом после консультации и сбора первичной информации и анамнеза пациентки.
Диагностика миомы матки
Поскольку заболевание появляется и протекает практически бессимптомно, то дать точный ответ на вопрос, есть ли у вас миома, может только врач после диагностического обследования.
Отсутствие ярко выраженных симптомов и схожесть симптоматики с другими заболеваниями не дает возможности поставить диагноз «миома матки» точно и сразу, поэтому необходима комплексная диагностика и консультации разных специалистов.
Для начала доктор собирает информацию о состоянии здоровья пациентки, уточняет, не беременна ли она, планирует ли забеременеть в ближайшее время. Далее:
- проводится осмотр, чтобы определить наличие очевидных неровностей матки или увеличение ее размеров и наличие уплотнений;
- также при подозрении на миому матки назначается анализ крови, чтобы определить уровень гемоглобина;
- обязательно уточняется информация о генетической предрасположенности и другие важные сведения.
Чтобы поставить точный диагноз и подтвердить подозрения на миому матки, пациентке назначают ультразвуковую диагностику (УЗИ). Данный вид обследования безопасен и проходит безболезненно, дает возможность получить максимально точные данные по наличию новообразований, их размерам и расположению.
Если врачу потребуется больше информации (как на ранних, так и на поздних стадиях при миоме матки), то кроме УЗИ малого таза возможно назначение дополнительных методов диагностики - МРТ, компьютерная томография, лапароскопия и пр. Тип и количество анализов назначаются в индивидуальном порядке и зависят от причин обращения - проблемы с зачатием, желание забеременеть, просто проблемы со здоровьем и мочеполовой системой.
В зависимости от расположения опухоли, обследование может быть наружным (по брюшной стенке) или внутренним (трансвагинальным). Первый способ УЗИ не только покажет, если ли миома в матке, но даст возможность оценить состояние матки в целом, яичников и расположенных рядом органов. Второй способ позволяет обнаружить узелки даже небольшого размера, что особенно важно на ранних стадиях.
Когда лучше делать УЗИ при миоме матки?
Проводить процедуру можно в любой день цикла - по рекомендации врача. Первый способ ультразвуковой диагностики предпочтительнее осуществлять в период с 3-го по 7-й день цикла. УЗИ матки при миоме не делают в дни менструации. Процедура не требует специальной подготовки, лишь перед ее проведением пациентку просят выпить большое количество воды.
По итогам УЗИ и первым результатам анализов врач решает, потребуется ли дополнительное обследование или сразу приступает к составлению плана лечения в зависимости от изначальных задач (например, планирование беременности).
Как лечится миома матки?
Медики используют два метода лечения заболевания - медикаментозный (применение медикаментов и неинвазивных процедур) и оперативный (хирургическое вмешательство).
Лечение миомы матки без операции - это комплекс мер, который направлен на сдерживание роста образований и улучшение состояния здоровья пациентки. Консервативное лечение может включать следующие мероприятия: применение гормональных препаратов (в виде таблеток и инъекций) и действия, направленные на:
- нормализацию цикла, гормонального фона и работы эндокринной системы;
- лечение инфекций и воспалительных процессов в мочеполовой системе;
- укрепление иммунитета, нормализацию и корректировку питания;
- лечение анемии и пр.
Комплексная программа лечения миомы или фибромиомы матки также может включать применение иммуностимулирующих средств, назначение физиотерапевтических процедур и пр.
Операцию по удалению миомы маткиназначают, если у пациентки имеются одно или несколько из следующих показаний:
- узлы больших размеров;
- частое появление новых узлов и их быстрое распространение;
- внутриматочные кровотечения;
- болезненность (сильный и постоянный болевой синдром);
- омертвение тканей;
- значительное ухудшение самочувствия;
- диагностика злокачественных процессов и т.д.
Методы при хирургическом способе лечения
Если консервативные методы невозможны или не дают необходимый результат, то врач предлагает обратиться к оперативным способам.
Как и при каких размерах удаляют миому матки и какие эффективные средства лечения применяют?
Существуют различные виды операций по удалению миомы матки - от стандартной полостной операции до лапароскопии, а также инновационных современных методов без лишних разрезов и вмешательств в работу организма и репродуктивной системы женщины.
- Выпаривание новообразований лазером на клеточном уровне, или ФУЗ-абляция миомы матки - новая современная лазерная методика удаления, которая не требует анестезии и не затрагивает здоровые участки ткани.
- Запаивание (закупорка) сосудов, или эмболизация маточных артерий. Эмболизация маточных артерий позволяет остановить снабжение образований кровью и остановить их рост. В дальнейшем это должно привести к отмиранию опухолей.
- Удаление узлов миомы через влагалище или шейку матки (гистероскопия). Кроме гистероскопии может быть применен лапароскопический метод, то есть удаление миомы матки через небольшие разрезы в брюшной полости.
- Хирургическая полостная операция.
Подготовка к хирургическому вмешательству зависит от того, какой метод выбран. Подробнее о том, как нужно подготовиться, доктор рассказывает на одной из консультаций и дает рекомендации.
Метод и вид операции по удалению миомы матки и эффективные средства лечения выбираются и назначаются индивидуально. Очень важно при этом выбрать хирурга и клинику, которые обладают достаточным опытом и возможностями, чтобы гарантировать положительный результат.
В нашем центре назначаются оперативные методы лечения и способы удаления миомы матки исходя из индивидуальных особенностей каждого случая: симптоматики, общей клинической картины, проведенных анализов и обследований, возраста пациентки и будущих целей (беременность).
Врачи центра репродукции «Генезис» расскажут вам, можно ли вылечить миому матки без операции, как лечить фибромиому в зависимости от вашего конкретного случая и т.д. Грамотно подобранное сочетание способов и методов лечения позволяет достичь успешных результатов, в том числе сохранить способность пациентки к деторождению.
Удаление матки при миоме: последствия
Это крайняя мера, к которой прибегают в тех случаях, когда было сделано все возможное, чтобы избежать полного удаления органа. Показаниями к оперативному вмешательству являются опущение матки или ее выпадение, а также диагностированные злокачественные процессы.
Какие последствия возникают после операции по удалению матки с миомой?
- Повреждение здоровых тканей и соседних органов.
- Внутренние кровотечения.
- Образование спаек и кишечная непроходимость.
- Воспалительные процессы и перитонит.
- Снижение гормональной функции яичников.
- Изменения в работе эндокринной системы.
Удаление матки при миоме - это серьезное вмешательство в организм, и последствия данного вмешательства должны контролироваться квалифицированным опытным врачом.
Миома матки при беременности
При возникновении любых проблем с «женским» здоровьем появляются опасения относительно последствий. Многие пациентки, обратившиеся в наш центр, чаще всего задают следующие вопросы: мешает ли миома матки забеременеть, можно ли выносить и родить ребенка при таком диагнозе, как скоро наступает беременность после начала лечения, можно ли делать ЭКО, какие возможны последствия и т.д.?
Такие вопросы и немалое их количество понятны, объяснимы и имеют ответы:
- Крайне редко миома приводит к бесплодию: у очень малого процента женщин беременность не наступает именно на фоне миомы тела или шейки матки и при наличии такого диагноза.В некоторых случаях возникают трудности с зачатием. Например, новообразование может отторгать плод (мешать прикреплению плодного яйца) или становиться препятствием для сперматозоидов на пути к оплодотворению яйцеклетки.
- Если беременность предполагается через проведение ЭКО, то и здесь миома матки редко является единственным влияющим фактором и приводит к неприятным последствиям. Но при этом ответить на вопрос, можно ли беременеть и забеременеть при миоме матки через ЭКО, а также рожать, сможет только квалифицированный специалист в данной области.
При отсутствии беременности патология обычно не ухудшает качество жизни, поскольку не имеет ярко выраженных симптомов, но во время беременности миома матки может дать следующие последствия и осложнения:
- кровотечения;
- болезненность и давление на позвоночник и живот;
- показания к кесареву сечению (узлы могут ограничивать родовой канал);
- повышение риска выкидыша.
Возможна ли беременность после удаления миомы матки? Любое оперативное вмешательство - стресс для организма. После операции потребуется определенный срок реабилитации и продуманный план восстановления и подготовки к беременности. Можно ли родить с миомой матки и возможна ли беременность после миомы, ответит только квалифицированный и опытный врач после тщательного изучения конкретного случая.
Миома матки при беременности
Миома матки при беременности — это доброкачественное объемное образование миометрия, возникшее до начала гестации и способное осложнить ее течение. У большинства пациенток клиническая симптоматика отсутствует. При крупных неоплазиях заболевание может проявляться тяжестью в нижней части живота, запорами, учащением дефекации и мочеиспускания, отечностью ног и гениталий. Диагностируется с помощью УЗИ матки. Для консервативного лечения миоматозных узлов используют спазмолитики, токолитики, антиагреганты. При наличии показаний возможно выполнение консервативной миомэктомии.
МКБ-10
Общие сведения
Миома матки определяется у 0,2-6% беременных, при этом более 2/3 пациенток находятся в возрасте старше 30 лет, у половины из них это первая беременность. В последние годы отмечается омоложение заболевания с все частым выявлением опухолей миометрия у больных 27-29 лет. Большинство молодых пациенток имеют отягощенную наследственность, согласно данным исследований, если у женщины была обнаружена миома в позднем репродуктивном возрасте или пременопаузе, ее дочь обычно заболевает на 10-15 лет раньше. В 10-40% случаев течение гестации и родов при наличии миоматозных узлов является осложненным, в наиболее тяжелых случаях возможны потеря плода и матки.
Причины
Специалисты в сфере гинекологии предлагают ряд теорий образования миоматозных узлов, однако на сегодняшний день причины развития миомы у небеременных и беременных женщин продолжают уточняться. По мнению многих авторов, предрасполагающими факторами к началу неопластических процессов в миометрии вне зависимости от наличия гестации являются:
- Дисгормональные расстройства. Дисбаланс половых гормонов наблюдается при заболеваниях яичников (хронических оофоритах, аднекситах, кистах, эндометриозе), нарушениях гипоталамо-гипофизарной регуляции, эндокринной патологии (сахарном диабете, гипотиреозе, аутоиммунном тиреоидите, заболеваниях надпочечников), избыточной массе тела.
- Посттравматические изменения волокон миометрия. У пациенток, ранее перенесших аборты, диагностические выскабливания, операции на матке, другие инвазивные процедуры возможно повышение пролиферативной активности клеток мышечного слоя. Преобладание процессов неогенеза над апоптозом способствует образованию гладкомышечных узлов (миом).
- Отягощенная наследственность. Доказана роль генетических мутаций в развитии патологии. Хромосомные аберрации выявляются у 30-73% больных. Миоматоз чаще обнаруживается при точечных аберрациях генов ESR1, ESR2, при которых изменяется чувствительность эстрогеновых рецепторов, и MED12, влияющего на синтез белка-регулятора активности других генов.
Дополнительным фактором риска у беременных становится изменение уровня половых гормонов в локальном кровотоке матки, направленное на поддержание гестации. По данным наблюдений, в первые 8 недель гестационного срока усиливается гиперплазия и гипертрофия клеток миометрия, что сопровождается ростом опухоли. Определенную роль могут играть нарушения на центральном уровне нейрогуморальной регуляции, связанные с психологической реакцией на беременность и более выраженные у тревожно-мнительных женщин.
Патогенез
Ключевым звеном образования и роста миомы матки при беременности является нарушение процессов пролиферации, апоптоза и связанного с ними ангиогенеза. Согласно наиболее распространенной теории, усиленная экспрессия рецепторов эстрогена миоцитов (ER-α и ER-β) в первые недели беременности стимулирует пролиферацию гладкомышечных клеток, которые начинают формировать микроскопически и макроскопически определяемые узловые образования. Дальнейший рост опухоли меньше зависит от гормональной стимуляции и регулируется собственными аутокринопаракринными механизмами. Важной особенностью патогенеза миомы у беременных и возможных осложнений заболевания является угнетение клеточной гиперплазии узлов и ускоренная деструкция мышечных клеток в их центральной зоне, начинающиеся с 8 недели гестации. Объем новообразования может оставаться прежним за счет отека, вызванного нарушениями лимфо- и гемодинамики.
При размещении плаценты над крупным интрамуральным новообразованием патологические процессы при беременности происходят не только в тканях миомы, но и субплацентарном ложе. Отмечаются меньшая извитость и укорочение спиральных сосудов, снижение количества анастомозов, увеличение объема межворсинчатого фибриноида. Ворсины частично останавливаются в развитии, остаются патологически незрелыми. Компенсаторные механизмы представлены усиленным ангиоматозом терминальных ворсин, увеличением числа синцитиальных почек. Возможны тромбозы и инфаркты плацентарного ложа, гипоплазия плаценты с развитием фетоплацентарной недостаточности. Истончение слоя миометрия между децидуальной оболочкой и центрипетально растущей миомой повышает вероятность истинного врастания ворсин хориона в стенку матки.
Классификация
При беременности формы миомы матки обычно систематизируют с учетом локализации узла, его размещения в мышечном слое, особенностей основания субсерозных и субмукозных опухолей, количества и размера неоплазий. Именно эти факторы больше всего влияют на развитие гестации и риск возникновения осложнений. По расположению относительно миометрия акушеры-гинекологи различают следующие виды миом:
- Субмукозные. Миоматозный узел размещен под эндометрием и растет в полость матки. При подслизистых миомах чаще всего нарушаются процессы плацентации. Опухоли больших размеров оказывают давление на плод и его оболочки, что может привести к прерыванию беременности и деформациям скелета ребенка.
- Интрамуральные. Новообразование формируется в средней части мышечного слоя. Влияние на беременность обычно оказывает при большом размере узла. Основные осложнения связаны с патологическими изменениями субплацентарной площадки, плаценты, реже — с давлением неоплазии на растущий плод.
- Субсерозные. Опухоль развивается из наружной части миометрия, ее рост направлен в сторону брюшной полости. На гестацию влияет редко. Смещение миомы, расположенной на ножке, повышает риск перекрута новообразования с последующим некрозом. Крупные неоплазии сдавливают соседние органы.
В 5% случаев миомы локализуются в шейке матки, что приводит к возникновению истмико-цервикальной недостаточности у беременных. Клинически значимым является деление миом на единичные и множественные, небольшие и крупные (от 5 см), на ножке или широком основании. Более серьезный прогноз отмечается у женщин с несколькими узлами, опухолями больших размеров или новообразованиями на ножке. Широкое основание субмукозной миомы ухудшает течение беременности только при расположении над ней плаценты. Деление неоплазий по гистологическому строению на лейомиомы, фибромиомы, фибромы прогностического значения при гестации обычно не имеет.
Симптомы
При отсутствии осложнений заболевание у беременных, особенно на начальных этапах, протекает бессимптомно и выявляется случайно во время планового УЗИ-скрининга. При наличии крупных миом возможно ощущение дискомфорта, давления, тяжести внизу живота, несоответствие окружности живота сроку беременности. Учащение мочеиспускания, запоры или более частые позывы к дефекации, отеки ног, наружных гениталий, появление геморроя, вызванные сдавливанием подсерозной опухолью мочевого пузыря, прямой кишки и магистральных вен, большинство пациенток связывают с развитием беременности или заболеваниями гестационного периода (варикозной болезнью, вульварным варикозом).
Осложнения
Вероятность осложненного течения заболевания повышается при наличии узлов размерами свыше 5-7 см, их локализации в области шейки, перешейка, нижней части тела матки, множественном миоматозе, размещении плаценты в проекции новообразования. В 42-58% случаев при миоме отмечается угроза спонтанного раннего выкидыша, риск преждевременных родов достигает 12-25%. Возможно возникновение таких акушерских осложнений, как фетоплацентарная недостаточность с задержкой развития плода, низкое расположение плаценты, ее преждевременная отслойка при нормальной локализации, плотное прикрепление или истинное приращение плацентарной ткани.
Деформация опухолью полости матки способствует формированию аномалий костной системы плода и его неправильному предлежанию. У некоторых беременных подслизистая неоплазия препятствует прохождению ребенка по родовым путям. В родах у пациенток с миомами чаще наблюдается слабость родовых сил, дискоординированная родовая деятельность, возможны разрывы матки и ее шейки, гипотонические кровотечения, послеродовая субинволюция матки. При наличии миом частота мертворождений увеличивается вдвое. Основными неакушерскими осложнениями миоматоза при беременности являются некроз узла, перекрут его ножки. Риск малигнизации неоплазии в гестационном периоде минимальный.
Диагностика
Основной задачей диагностического поиска при миоме у беременных является оценка факторов, способных осложнить гестацию и роды, — количества и размеров узлов, их локализации и расположения по отношению к плаценте. Некоторые традиционные методы диагностики миомы матки при беременности применяются ограниченно. Во время гинекологического осмотра можно выявить несоответствие размеров матки сроку беременности, прощупать крупные субсерозные опухоли на ее передней стенке. Ангиография матки, КТ органов малого таза и другие рентгенологические исследования не рекомендованы из-за возможного повреждающего воздействия на плод. Категорически запрещено проведение гидросонографии и гистероскопии. Для уточнения данных о миоме у беременной обычно применяют:
- УЗИ матки. Миоматозные узлы имеют вид округлых гетерогенных образований с четкими ровными контурами. При преобладании в составе низкодифференцированных гладкомышечных клеток неоплазия является гипоэхогенной, о наличии большого количества соединительнотканных волокон свидетельствует гиперэхогенность. Метод позволяет четко определить размеры опухоли, количество узлов и их расположение.
- УЗДГ сосудов матки. Преимуществом допплерографического исследования является возможность изучения как особенностей кровоснабжения миоматозной неоплазии, так и маточно-плацентарного кровотока. Поскольку при расположении плаценты в области новообразования возрастает риск аномалий ее развития, оценка кровоснабжения обеспечивает своевременное выявление нарушений трансплацентарной динамики.
МРТ матки выполняют по показаниям в сложных диагностических случаях не ранее 4 месяца гестации. Дифференциальную диагностику миомы проводят с аденомиозом, раком и саркомой матки, полипами эндометрия, опухолями яичников, забрюшинными новообразованиями, трофобластической болезнью. При необходимости беременной назначают консультации уролога, онколога, хирурга.
Лечение миомы матки при беременности
Основной врачебной задачей при сопровождении беременной с миоматозным узлом является пролонгация гестации до безопасных для рождения ребенка сроков. Схема медикаментозной терапии миомы при беременности включает препараты, которые снижают тонус миометрия, улучшают кровоток в маточной стенке и опосредованно — в фетоплацентарном комплексе:
- Спазмолитики. Рекомендованы производные папаверина с выраженным миотропным эффектом и умеренным сосудорасширяющим действием. Лекарственные средства этой группы за счет ингибирования фосфодиэстеразы и внутриклеточного накопления цАМФ угнетают поступление ионов кальция в миоциты, снижая тонус и сократительную активность гладкомышечных волокон.
- β2-симпатомиметики. Селективные адреностимулирующие препараты обладают выраженным токолитическим эффектом, хорошо расслабляют миометрий, не влияя на сердечно-сосудистую систему и не ухудшая маточно-плацентарный кровоток. За счет активации аденилатциклазы и увеличения уровня цАМФ снижают внутриклеточную концентрацию кальция и сократительную способность миоцитов.
- Антиагреганты. Целесообразность назначения средств с антитромботическим эффектом обусловлена необходимостью профилактики тромботического некроза миомы. Благодаря усилению антиагрегантных свойств простагландинов и подавлению активности фосфодиэстеразы препараты предотвращают агрегацию тромбоцитов и стимулируют умеренную периферическую вазодилатацию.
Оперативное лечение (консервативная миомэктомия) при беременности проводится в исключительных случаях при атипичном (шеечном, перешеечном) расположении гладкомышечных узлов, больших и гигантских одиночных или множественных опухолях, препятствующих нормальному развитию ребенка, нарушении питания новообразования с признаками его деструкции.
Плановая миомэктомия осуществляется на 16-19 неделях гестации, когда физиологическая прогестероновая защита является максимальной. Из-за высокого риска прерывания беременности удаление миомы после 22 недели не рекомендуется. При перекруте ножки и некрозе опухоли хирургическое вмешательство выполняется экстренно по жизненным показаниям. Крайне редко при начавшемся самопроизвольном прерывании беременности с массивным кровотечением и технической невозможностью выскабливания из-за шеечно-перешеечной локализации узла производится экстирпация матки с плодным яйцом.
Большинству беременных с миомой рекомендованы естественные роды с укорочением периода изгнания. Показанием к плановому кесареву сечению является множественный миоматоз с большими неоплазиями, особенно при их размещении в нижнем сегменте. Экстренное оперативное родоразрешение проводится по акушерским показаниям при клинически узком тазе, терапевтически резистентной слабости родовой деятельности, косом или поперечном положении плода, выпадении петель пуповины, угрозе разрыва матки. В ряде случаев осуществляется расширенное вмешательство с миомэктомией или удалением матки.
Прогноз и профилактика
1. Миома матки вне и во время беременности. Клиника, диагностика, хирургическое лечение и реабилитация. Учебное пособие/ Краснопольский В.И., Буянова С.Н., Логутова Л.С., Щукина Н.А., Юдина Н.В., Чечнева М.А. - 2014.
3. Особенности течения беременности и родов у пациенток с миомой матки/ Эгамбердиева Л.Д., Тухватшина Н.И., Мухаметзянова Л.М. // Практическая медицина. - 2017.
4. Оценка ведения беременности и родов у женщин с миомой матки/ Бабаджанова Г.С., Мирзаева Д.Б., Гуломова М.А.// Биология и интегративная медицина. - 2017.
Миома шейки матки
Миома шейки матки - это доброкачественная моноклональная опухоль из гладкомышечных клеток миометрия. На начальной стадии симптомы не выражены, с увеличением размера узла появляется диспареуния, боли внизу живота. Миома шейки в зависимости от локализации может сдавливать мочевой пузырь, уретру и прямую кишку, нарушать их функции. В опухоли часто развивается нарушение кровотока, некроз, ее ткани инфицируются. Диагностика проводится путем гинекологического осмотра, используются данные УЗИ и МРТ. Для лечения прибегают к малоинвазивным методам ЭМА, ФУЗ-абляции, при значительных размерах миомы показано ее хирургическое удаление.

Миома матки (фиброма, лейомиома, фибромиома) является одной из самых распространенных доброкачественных опухолей у женщин, диагностируется у 35% пациенток старшего репродуктивного возраста. На долю шеечной миомы приходится всего 5% от общего числа новообразований. Установлено, что патология часто сочетается с экстрагенитальными заболеваниями. У большинства женщин одновременно диагностируется ожирение, выявляются симптомы сердечно-сосудистых патологий, неврозы и эндокринопатии. Риск значительно увеличивается у представительниц афроамериканской расы.
Точные причины возникновения миомы шейки матки не установлены. Согласно одной теории, развитие узла начинается с клетки-предшественницы, которая была повреждена во внутриутробном периоде. Вторая теория основана на том, что повреждение произошло в уже зрелой матке. Установлены следующие факторы, которые увеличивают вероятность формирования миомы шейки:
- Микротравмы миометрия. При выскабливании, частых медицинских абортах, гинекологических внутриматочных манипуляциях происходит повреждение мышечного слоя. Медиаторы воспаления, цитокины атакуют ткани, что приводит к появлению клетки с морфологическими изменениями, которая становится источником развития миомы.
- Эндокринные нарушения. Позднее менархе, ожирение сопровождаются изменениями синтеза женских половых гормонов. Точный механизм повреждения миометрия не установлен, но прослеживаются определенные закономерности. Миома сочетается с избыточным весом у 64% пациенток.
- Отсутствие беременностей и родов. Во время менструации спазм сосудов базального слоя нарушает кровоток в матке, вызывает гипоксическое повреждение клеток. Беременность выступает в качестве защитного фактора, снижая количество менструаций в жизни женщины и уменьшая риск морфологических перестроек миометрия.
- Гинекологические патологии. Гиперплазия эндометрия, эндометриоз, хронические воспалительные процессы ведут к изменениям гормонального статуса, повреждают мышечные клетки, способствуют развитию миомы шейки матки. Опасность представляет увеличение эстрогенов и прогестерона.
Миома развивается из поврежденной гладкомышечной клетки. В составе узлов находится миометрий и соединительная ткань в различных соотношениях. По одной из гипотез, во время многократно повторяющихся менструальных циклов происходят изменения в клеточной структуре и нарушение механизмов апоптоза. Неэлиминированные клетки становятся источниками формирования миомы маточной шейки.
Сначала рост опухоли поддерживается естественным колебанием гормонов, при этом у женщин с ожирением за счет ароматизации андрогенов в жировой ткани увеличена концентрация эстрогенов. Стимулируют прогрессирование опухоли и другие причины гиперэстрогении. Прогестерон у молодых пациенток на раннем этапе заболевания активизирует митотическую активность поврежденных клеток миометрия.
После увеличения размеров миома переходит на ауторегуляцию и больше не зависит от естественных колебаний гормонов в крови. В опухоли вырабатываются собственные эстрогены из андрогенов, усиливается синтез соединительной ткани. Поэтому при больших размерах миомы шейки матки лечение консервативным путем невозможно. ЭМА и ФУЗ-абляция вызывают гибель мышечной ткани, но не влияют на состояние фиброзного компонента узла.
Узлы в области шейки матки могут быть одиночными или множественными. Их не классифицируют относительно расположения слоев тканей, а относят к специфическому типу опухоли. Для систематизации шеечной миомы используют положение относительно других частей матки и органов малого таза. Выделяют следующие типы фибромиомы:
- Ретроперитонеальная. Располагается в позадибрюшинной или позадишеечной клетчатке, вызывает отслаивание брюшины от позвоночника, сопровождается ранним появлением болевого синдрома.
- Антецервикальная. Растет на передней части шейки, провоцирует сдавление мочевого пузыря, уретры, нарушения мочеиспускания.
- Субперитонеальная. Расположена на перешейке матки, отслаивает брюшину от передней брюшной стенки.
- Ретроцервикальная. Находится на задней поверхности шейки матки. При небольших размерах способна вызывать нарушения дефекации.
- Парацервикальная. Образуется на боковой части шейки.
Симптомы миомы шейки матки
Данная разновидность миомы быстрее, чем остальные типы, из бессимптомной формы переходит в симптоматическую. Клинические проявления зависят от локализации и размера узлов. Первые симптомы связаны с болевой импульсацией, которая усиливается при половом акте, во время гинекологического осмотра. К этому ведет увеличение объема узла, его давление на нервные окончания и смещение соседних органов. Шейка матки становится неподвижной, может спаиваться с окружающими тканями.
Часто отмечаются нарушения менструального цикла. Месячные теряют регулярность, увеличивается их продолжительность, объем кровопотери. Могут появляться симптомы дисфункциональных маточных кровотечений, которые возникают в середине цикла и приводят к железодефицитной анемии. При выпячивании миомы в шеечный канал нарушается отток менструальной крови, могут выделяться крупные сгустки.
Давление на мочевой пузырь вызывает симптомы дизурии. Женщина ощущает частые позывы, может развиваться застой мочи, что создает условия для присоединения острого цистита. Локализация миомы на задней губе шейки матки сопровождается нарушением дефекации, склонностью к запорам. При переполнении прямой кишки боль над лоном усиливается из-за сдавления опухоли.
Частые обильные кровотечения приводят к развитию тяжелой анемии, которая не поддается лечению пероральными железосодержащими средствами. Она вызывает симптомы гипоксии тканей, ухудшает общее состояние. Нарушение кровотока в артериях, питающих миому, становится причиной некротических изменений, изъязвления опухоли. Присоединение инфекции сопровождается появлением острой боли, симптомами интоксикации и требует экстренной медицинской помощи.
Миома шейки матки крупного размера может вызывать бесплодие, увеличивает риск развития осложнений во время беременности. Иногда высокий уровень прогестерона стимулирует активный рост узлов в период вынашивания ребенка. В родах миоматозный узел не позволяет нормально раскрываться шейке, что становится причиной аномалий родовой деятельности, может привести к разрывам цервикса и другим осложнениям.
Для обследования женщина должна обратиться к акушеру-гинекологу. Диагностика проводится неинвазивными методами. При изъязвленной шеечной миоме необходим осмотр и консультация онкогинеколога для исключения первично злокачественной опухоли. Выраженное нарушение дефекации - повод для посещения проктолога. Для постановки диагноза применяются следующие методы обследования:
- Гинекологический осмотр. Миома шейки матки хорошо заметна в зеркалах как опухолевидное образование, при крупных размерах определить наружный зев невозможно. При бимануальном исследовании влагалище удлинено и сужено, миома часто мягкой консистенции из-за нарушений кровотока. Пальпация может быть резко болезненна.
- Трансвагинальное УЗИ. Определяется миоматозный узел, локализованный в тканях шейки матки. Размер маточного тела часто отстает от увеличенного цервикса. При использовании цветного допплеровского картирования отмечается небольшое ухудшение кровотока в сосудах, питающих миому.
- МРТ малого таза. Отражает точную топографию, размер и количество миоматозных узлов. Часто шеечная опухоль сочетается с миомами тела матки. Данные исследования используются при выборе тактики лечения.
Лечение миомы шейки матки
Выбор метода лечения миомы зависит от ее размера и от желания женщины сохранить репродуктивную функцию. При небольших неоплазиях терапия назначается не всегда, некоторые врачи предлагают выжидательную тактику при стабильности и отсутствии роста узла. Быстрое увеличение размеров, нарушение функции соседних органов является показанием для хирургического удаления новообразования.
Консервативное лечение
Лечение миомы при помощи медикаментозных средств осуществляется под наблюдением врача женской консультации с периодическими УЗИ малого таза. Современные методы безоперационной терапии не требуют длительной госпитализации, достаточно однодневного пребывания в отделении гинекологии. Индивидуально подбирается один из следующих методов:
- Медикаментозная терапия. При маленьких узлах могут использоваться комбинированные оральные контрацептивы для нормализации гормонального фона. Как этап предоперационной подготовки назначаются агонисты гонадотропин-рилизинг гормона для подавления функции яичников. Также применяются антипрогестагены.
- ЭМА. При лечении миомы шейки матки эмболизация маточных артерий приводит к нарушению питания узла и его постепенному регрессу. Метод неэффективен при новообразованиях крупного размера с преобладанием соединительной ткани. Не влияет на фертильность женщины.
- ФУЗ-абляция. Воздействие фокусированного ультразвука через переднюю брюшную стенку происходит под контролем МРТ. Миома разогревается, ее ткани некротизируются. Здоровая часть матки остается интактной. Для лечения достаточно одной процедуры, после которой узел рассасывается в течение нескольких недель.
Хирургическое лечение
Операция как основной метод лечения миомы шейки матки показана при размерах узла более 4 см, симптомах нарушения локального кровотока. Могут применяться органосохраняющие техники, которые противопоказаны при подозрении на саркому из-за риска рецидива и метастазирования. Выбор объема вмешательства осуществляется интраоперационно по результатам экстренного гистологического анализа. Основные методы хирургического лечения следующие:
- Миомэктомия. При шеечном расположении опухоли используется лапаротомический доступ, поскольку лапароскопия не позволяет получить хороший обзор, а смещение мочевого пузыря и матки увеличивает риск кровотечения во время операции. После вылущивания узла проводится тщательное ушивание его ложа, назначается противоспаечное лечение.
- Гистерэктомия. Хирургическое лечение путем удаления матки вместе с шейкой показано женщинам старшего возраста, при размерах миомы более 14-16 недель беременности, быстром прогрессирующем росте, особенно в постменопаузе. Яичники сохраняют, чтобы избежать развития преждевременного климакса.
Миома шейки матки небольшого размера не препятствует наступлению беременности, но под влиянием повышенного прогестерона может начаться ее интенсивный рост с появлением неприятных симптомов. При своевременном обращении к врачу и верной тактике лечения возможно сохранение репродуктивной функции и успешное лечение миомы. После миомэктомии одного узла существует вероятность роста опухоли на другом участке органа.
Профилактика заключается в предотвращении абортов, лечении гинекологических и экстрагенитальных заболеваний, поддержании нормальной массы тела. Доказано, что длительный прием комбинированных оральных контрацептивов, высокий паритет родов и отсутствие гинекологических заболеваний значительно уменьшают риск появления миомы шейки матки.
1. Реконструктивные операции на матке у женщин репродуктивного возраста при атипичных миомах матки с нарушением функции смежных органов. Особенности реабилитации. Информационно-методическое письмо/ Буянова С.Н. - 2017.
2. Тактика ведения пациенток с миомой матки от раннего репродуктивного до постменопаузального возраста/ Буянова С.Н., Юдина Н.В. Гукасян С.А., Шеина Е.Н.// РМЖ. Мать и дитя - 2015 - №1.
3. Эмболизация маточных артерий при миоме матки как альтернатива хирургическому лечению/ Савельева Г.М., Бреусенко В.Г., Краснова И.А., Капранов С.А.// Международный медицинский журнал - 2005 - №1.
Миома матки на МРТ - что покажет
Миома становится частой находкой на МРТ снимках органов малого таза с контрастированием или без. Ее первичная диагностика обычно происходит в ходе УЗИ. МРТ при подозрении на миому используется как дополнительный уточняющий метод обследования, когда есть подозрения на озлокачествеления образования. Миомы в области матки составляют особую угрозу в ходе процесса вынашивания ребенка.
Миома становится частой находкой на МРТ снимках органов малого таза с контрастированием или без. Миома матки - доброкачественная опухоль, развивающаяся из гладкомышечных клеток миометрия. Она относится к самым распространенным заболеваниям у женщин репродуктивного возраста, составляя, по данным различных медицинских исследований, от 10 до 30%. Миомы матки характеризуются широким спектром клинических проявлений - от маточных кровотечений до бесплодия. В то же время многие миомные образования могут остаться недиагностированными, так как могут не вызывать клинических проявлений. Злокачественная трансформация миом происходит крайне редко, менее чем в 0,1 % наблюдений, преимущественно у женщин старше 50 лет. В последнее время отмечается рост частоты обнаружения миомы у женщин молодого возраста (до 20-25 лет), что связано, как с наследственным характером заболевания (когда у матери, близких родственниц также имелось данное заболевание), так и с внедрением новых, более совершенных методов диагностики и повышением их доступности.
Диагностика миомы матки
Первичная диагностика миом обычно происходит в ходе УЗИ матки. МРТ при подозрении на миому используется как дополнительный уточняющий метод обследования, когда есть подозрения на озлокачествеления образования или нужно провести дифференцировку лейомиомы с аденомиозом или уточнение структуры миоматозного узла. Магнитно-резонансная томография малого таза является ключевым методом, позволяющим детализировать и оценивать все компоненты патологического образования, уточнять его взаимосвязь с соседними органами и тканями. Данные компьютерной томографии в диагностике миомы менее информативны и уступают магнитно-резонансной томографии по чувствительности.
Миомы в области матки составляют особую угрозу в ходе процесса вынашивания ребенка. Так, лейомиома может получить быстрый рост во время беременность в связи с изменением гормонально фона (повышение уровня эстрогенов в организме женщины). Миома шейки матки иногда приводит к нарушению кровоснабжения стенки. Миома в нижнем маточном сегменте повышает риск кровотечения и сложности выполнения кесаревого сечения. Миомная опухоль, расположенная за плацентой, может спровоцировать недостаточность и отслойку плаценты. Миомные образования в ходе беременности обычно выявляют с помощью УЗИ. МРТ здесь играет уточняющую роль, когда нужно дифференцировать миому с объемными образованиями яичников и уточнить источник болевого синдрома при геморрагической дегенерации узла.
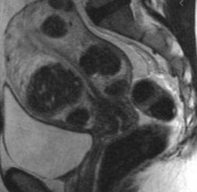
Признаки миомы на МРТ
Диагностировать миому на МРТ не составляет особого труда. Врачи на томографических изображениях видят её в виде четко очерченного образования округлой формы. На магнитно-резонансных снимка определяется псевдокапсула миомы в виде тонкого ободка, гиперинтенсивного по Т2. По МР картине специалист может говорить о характере миомы, является ли она кистозной или миксоидной, лейомиомой или липолейомиомой. В зависимости от неоднородности миомы будут видны сопутствующие процессы - кровоизлияние, некроз, обызвествление.
Также с помощью МРТ органов малого таза у женщин проводят дифференциальную диагностику миомы от полипов. Полипы эндометрия - это доброкачественные маленькие образования, исходящие из базального слоя эндометрия. Признаками полипов на МРТ будут:
Как делают МРТ малого таза при миоме матки
Диагностика миомы матки или шейки матки требует МРТ малого таза на томографе мощностью не мен ее 1,5 Тесла. Контрастирование в этой ситуации не носит обязательный характер. Обязательного направления от врача это сканирование не требует. Нужно просто записаться на МРТ в удобном диагностическом центре и уточнить правила подготовки к МРТ малого таза. Такая форма томографии для получения качественных снимков требует определенной подготовки от пациентки. При записи на диагностику Вас обязательно проконсультируют о том, как снизить газообразование в кишечнике с помощью простой диеты, которой нужно придерживаться несколько дней перед процедурой. Менструальный цикл также может повлиять на выбор правильного времени для сканирования. Обычно лучший период для процедуры - это 10 - 15 день цикла, и следует помнить, что МРТ малого таза не проводят женщинам в период менструации.
Чтобы сделать качественную МРТ, пациенту нужно обратить внимание на несколько аспектов при записи на МРТ:
Спросить какой установлен шаг сканирования. На открытом аппарате он не должен быть более 3,5 мм. На закрытом томографе он не должен превышать 3,5 мм. Шаг исследования всегда можно проверить на МРТ снимках или в заключении врача в графе описания параметров обследования. Если он не совпадает с заявленным, требуйте повторной бесплатной диагностики.
Уточнить опыт и квалификацию врача-рентгенолога, который будет описывать Ваши снимки. От его знаний во многом зависит точность интерпретации полученных изображений. Помните, МРТ аппарат никогда не ошибается, ошибаются люди, которые работают с его данными.
Всегда требуйте запись МРТ исследования не на пленку, а на электронный носитель (диск или флешку). Порой для пациента изображения на рентгенологической пленке кажутся более наглядными, но их информационная ценность в разы ниже, чем у электронных сканов, которые врач может модифицировать любим образом при валидации и постановке диагноза.
Если обследование делают с целью выявления опухолевого образования, его нужно проводить с контрастом, поскольку на нативных изображениях не всегда видны мелкие образования, и не возможно судить в полной мере о злокачественности или доброкачественности опухоли.
МРТ при миоме матки

Магнитно-резонансную томографию применяют во всех отраслях медицины, в том числе в гинекологии. Исследование назначают при необходимости уточнить сведения, полученные с помощью рутинных методов диагностики. Процедура дает послойные снимки зоны интереса. По МР-сканам врач оценивает параметры и структуру органов, выявляет новообразования, определяет локализацию последних, предполагает природу отклонений. МРТ при миоме матки отражает расположение размеры узлов, взаимодействие с окружающими тканями. Сканирование в ангиорежиме дает информацию об интенсивности кровоснабжения образований. По МРТ врач рассчитывает риск онкогенности и подбирает оптимальный способ лечения заболевания.
Признаки миомы матки
Миома — доброкачественное новообразование, сформированное мышечной тканью, обычно в сочетании с соединительной. Патология признана одной из наиболее часто встречающихся у женщин репродуктивного возраста. Основными причинами развития заболевания признаны генетический фактор и гормональные колебания.
Миоматозные узлы могут располагаться в подслизистом, мышечном и серозном слоях матки. Размеры образований варьируют от нескольких миллиметров до 10 и более сантиметров. Ранние этапы развития патологии протекают бессимптомно. По мере увеличения опухоли возникают клинические проявления:
боли внизу живота тянущего характера;
повышение интенсивности регулярных кровотечений;
укорочение менструального цикла;
увеличение продолжительности месячных.
Миома матки может стать причиной бесплодия, невынашивания беременности. Обильные месячные приводят к анемии, проявляющейся головокружениями, слабостью, одышкой, быстрой утомляемостью. Опухоли значительных размеров могут давить на окружающие органы (мочевой пузырь, прямую кишку) и провоцировать нарушения выделительной функции.
МРТ при миоме матки: можно ли делать?
Основным методом диагностики новообразований женской репродуктивной системы признано УЗИ. При выявлении миомы врач назначает МРТ для сбора уточняющей информации по поводу:
количества, размера и локализации множественных узлов;
расположения и структуры интралигаментарных (межсвязочных) миом;
влияния образований на окружающие органы;
нарушений выделительной функции;
сочетанной патологии (эндометриоз и пр.).

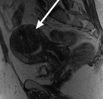
Подслизистая миома матки (указана стрелкой)
Магнитно-резонансную томографию органов малого таза назначают женщинам при поиске причин бесплодия, в рамках предоперационной подготовки. Исследование проводят при подозрении на злокачественное перерождение миоматозных узлов. МРТ позволяет отказаться от инвазивных методов исследования, способных усложнить течение патологии.
Диагностическая процедура имеет противопоказания. Абсолютным ограничением выступает наличие в теле пациентки электронных имплантатов (водители сердечного ритма, инсулиновая помпа) или металлических конструкций из сплавов с ферромагнитными свойствами (спицы, штифты, пластины, сосудистые стенты, клипсы), избыточный вес (более 120 кг и 140 см в обхвате туловища). К относительным противопоказаниям причисляют:
беременность на ранних сроках (до 13 недели);
выраженный болевой синдром;
алкогольное опьянение и др.
На какой день цикла делают МРТ при миоме матки?
Магнитно-резонансную томографию органов малого таза проводят с 6 по 12 день цикла. В персональном порядке процедуру назначают во второй фазе (при наличии сопутствующей патологии). Сроки прохождения МРТ определяет гинеколог, ориентируясь на особенности клинического случая.
Для получения объективных результатов исследования необходима подготовка:
За 2-3 дня важно исключить из рациона газообразующие продукты.
В течение 4-6 часов до сканирования придется отказаться от любой еды.
Во время исследования мочевой пузырь должен быть средней наполненности, поэтому за 20-30 минут до МРТ нужно выпить 200-300 мл чистой воды.
Женщинам при лактации следует сделать запас молока на несколько кормлений или использовать смеси.
Если планируют МРТ с контрастным усилением, пациентке стоит сделать легкий перекус за 40-45 минут до сканирования (для снижения интенсивности вегетативных реакций организма).

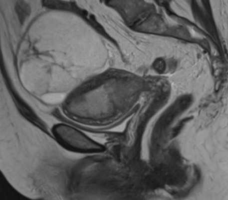
Субсерозная миома на МР-сканировании
Расшифровка фото-снимков МРТ при миоме матки
При магнитно-резонансной томографии получают множественные снимки анатомической зоны во фронтальной, сагиттальной и аксиальной плоскостях. Врач имеет возможность изучить каждый участок органа, выявить малейшие отклонения от нормы. Миоматозные узлы обычно выглядят на МР-сканах как округлые гипоинтенсивные образования разных размеров. Смена режимов позволяет выявить псевдокапсулу, оценить характер кровоснабжения опухолей.
Если на МРТ нашли миомные узлы, рентгенолог описывает локализацию, размеры, количество, тип образований. Врач может выявить кровоизлияния, очаги обызвествления и некроза. Сведения о новообразованиях специалист фиксирует в заключении. Результаты МРТ изучает клиницист. На основании выводов рентгенолога, гинеколог ставит окончательный диагноз и выбирает способ лечения.
МРТ при миоме матки назначают для уточнения результатов УЗИ, при сочетанных патологиях, для подбора тактики лечения. Метод позволяет выявить мельчайшие узловые образования в матке (в мышечном и серозном слоях). После процедуры врач проанализирует взаимодействие опухоли с органами малого таза и найдет причины дисфункции.
Читайте также:
- Нагноение раны после торакопластики. Искривление пациента после торакопластики
- Этапы и техника наложения вторичных швов на рану
- Терминальные состояния. Начало изучения терминальных состояний
- Операция через передний доступ при базилярной инвагинации
- Валлеровская дегенерация на КТ, МРТ головного мозга
