УЗИ, МРТ при опухоли головного мозга у плода
Добавил пользователь Валентин П. Обновлено: 18.12.2025
Вы побывали на приёме у невролога, и для уточнения и детализации диагноза он направил вас на УЗИ сосудов головного мозга. Что это за исследование? Что оно показывает? Нужно ли его вообще проходить, когда есть МРТ?
Об этом методе диагностики мы побеседовали с врачом-неврологом, ведущим специалистом отделения неврологии «Клиника Эксперт Курск» Умеренковой Натальей Владимировной.
- Наталья Владимировна, что такое УЗИ сосудов головного мозга и что выявляет это исследование?
Это современный вид диагностики, позволяющий оценить просвет сосуда, состояние его стенки и смежных тканей, особенности кровотока (как по артериям, так и по венам). С помощью этого метода можно определить сужения, непроходимость внутричерепных сосудов, в ряде случаев - участки тромбоза при ишемическом инсульте. Иногда используется для оценки характеристик геморрагического инсульта.
УЗИ И МРТ СОСУДОВ ГОЛОВНОГО МОЗГА
НЕ ИСКЛЮЧАЮТ, А ВЗАИМНО
ДОПОЛНЯЮТ ДРУГ ДРУГА
УЗИ даёт информацию о структурных аномалиях сосудистого русла, вертебрально-базилярной недостаточности, спазме сосудов.
- УЗИ сосудов и допплерография - это одно и то же исследование или они чем-то отличаются?
Не совсем. Ультразвуковая допплерография (УЗДГ) - более «узкое» по задачам исследование. Оно позволяет определить характеристики кровотока, а вот оценить состояние самого сосуда не может.
С помощью УЗИ сосудов головного мозга можно, таким образом, получить более подробную информацию, чем при выполнении только допплера. На сегодняшний день существует более современное исследование - ультразвуковое дуплексное сканирование сосудов.
- Во время проведения УЗИ сосудов головного мозга врач видит сосуды шеи или это два разных исследования?
УЗИ (а также УЗДГ) сосудов головы и шеи - разные исследования. Лучше, если выполняется диагностика обеих областей - картина в этом случае получится более полной.
- Какие жалобы со стороны пациента являются показанием для назначения ему ультразвукового исследования сосудов головного мозга?
Показания к проведению УЗИ сосудов головного мозга довольно обширны. Это головные боли, головокружения, нарушения сознания, шум, звон в голове и ушах, факторы риска развития сосудистых патологий (нестабильные показатели артериального давления, образование тромбов в анамнезе, васкулиты, сахарный диабет, нарушения липидного обмена).
Если вы попали на эту страницу, потому что вам необходимо пройти УЗИ сосудов головного мозга - узнать стоимость исследования можно, позвонив по телефону, указанному на вкладке контакты
внимание: услуга доступна не во всех городах
- Наталья Владимировна, какое из исследований лучше: УЗИ сосудов головного мозга или МРТ сосудов?
Лучшего нет. Каждый из них решает свой круг задач, в котором он «сильнее». Например, УЗИ хорошо оценивает функциональное состояние сосудов (в частности, спазм, нарушение тонуса). МРТ лучше «видит» более мелкие сосуды, аневризмы, сосудистые мальформации.
Эти методы не исключают, а взаимно дополняют друг друга.
- Бывают диагностические случаи, когда врачу для понимания полной клинической картины необходимы не только результаты УЗИ сосудов головного мозга и МРТ, но и энцефалограммы?
Да. Электроэнцефалограмма может понадобиться при некоторых вариантах обмороков, потерь сознания, судорогах.
- Как проводится УЗИ сосудов головного мозга? Какова длительность исследования?
Процедура выполняется чаще в положении пациента лёжа на спине. На околоушную височную область (справа/слева), а также под затылочной костью, в области большого затылочного отверстия устанавливается датчик аппарата УЗИ и проводится диагностика.
Продолжительность обследования - около 15-20 минут.
- Необходима ли подготовка к ультразвуковому исследованию сосудов головного мозга?
Особой подготовки к этой разновидности УЗИ нет.
- Имеются ли какие-то противопоказания к проведению УЗИ сосудов головного мозга?
Единственное противопоказание - какое-либо повреждение зон, на которые устанавливается датчик аппарата УЗИ.
- Насколько безопасно исследование для взрослых и детей? Как часто его можно проводить?
Абсолютно безопасно. Делать его можно настолько часто, насколько нужно доктору.
- Для того, чтобы сделать УЗИ сосудов головного мозга у вас в клинике, необходимо направление врача?
Формально оно не требуется. Однако если пациент приходит от лечащего доктора, то врач УЗИ может получить дополнительную информацию, на чём акцентировать своё внимание. Возвращаясь к вопросу об исследовании сосудов головы и шеи: кому-то может понадобиться что-то одно, кому-то - комплекс. Или же пациента отправят сразу на МРТ сосудов мозга. Все эти моменты может решить лечащий врач.
Возможно вас заинтересуют:
Умеренкова Наталья Владимировна
Выпускница Курского государственного медицинского университета 2004 года.
В 2005 году окончила интернатуру по специальности «Неврология».
С 2015 года работает в «Клиника Эксперт Курск», является ведущим специалистом отделения неврологии. Принимает по адресу: ул. Карла Либкнехта, д. 7.
Другие статьи по теме
Какие заболевания характерны для слюнных желёз? Как в их диагностике может помочь. УЗИ слюнных желёз: каковы возможности этого метода диагностики?
В каких случаях показано УЗИ лимфоузлов? Как проводят это исследование? Существуют ли. УЗИ лимфоузлов: для чего выполняется это исследование?
Печень — один из важнейших органов, что отмечали ещё древние греки. Шекспир. УЗИ печени и желчного пузыря: когда бывает нужно его сделать?
МРТ или УЗГД сосудов головы?

Фото МР-аппарата
Неврологическая патология становится серьезной проблемой не только для самого пациента, но и для всей семьи. Поражение может быть связано как с мозгом, так и с питающими его сосудами. Чтобы вовремя найти причину заболевания, необходимы методы диагностики, которые помогут врачу достоверно определить суть проблемы и приступить к лечению. Существуют различные способы визуализации тканей, одними из них являются магнитно-резонансная томография и ультразвуковая допплерография. Какой метод лучше, УЗДГ или МРТ сосудов, разберемся ниже.
С возрастом у многих людей появляется снижение памяти, концентрации внимания, перемены настроения, шаткость походки. Когнитивные нарушения могут быть проявлением атрофии мозга. Данная патология возникает при физиологическом процессе старения. Однако иногда причиной неврологической симптоматики становится заболевание, вылечить которое возможно. В такой момент главное - надежный диагностический поиск, верное заключение врача и скорейшее устранение причин.
Этиологическим фактором нарушения функций нервной системы могут стать:
- врожденные дефекты генов;
- токсическое воздействие разнообразных веществ;
- нарушение ликвородинамики (из-за опухоли, аномалий сосудов головного мозга);
- нейроинфекции;
- черепно-мозговые травмы;
- инсульт;
- васкулиты;
- атеросклероз сосудов головы и шеи и пр.
УЗГД и МРТ, в чем разница?

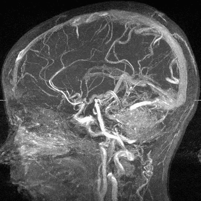
МР-ангиография головного мозга
МРТ или УЗДГ сосудов головы используют для получения изображения артерий и вен и поиска патологии, которая привела к неврологическим симптомам. Методы имеют ключевую разницу в принципе работы.
Ультразвуковая допплерография сосудов головы и шеи - это вид УЗИ, определяющий состояние кровотока обсуждаемой области. Метод является безопасным, успешно показывает изменения артерий и вен, наличие турбулентного тока, скорость движения плазмы и форменных элементов внутри них. Ультразвук, проходя через ткани с разной плотностью, отражается обратно к датчику. Компьютер обрабатывает сигнал, а доктор видит на экране монитора изображение. Цвет сосуда зависит от направления движения крови: к датчику - красный, в другую сторону - синий.
УЗИ сосудов шеи и головного мозга выполняют, чтобы врач определил следующую патологию по изображению на мониторе:
- сужение просвета сосуда за счет атеросклероза, сдавления извне или спазма;
- тромбоз;
- увеличение скорости линейного кровотока и появление турбулентных завихрений;
- аномальное развитие сосудов;
- патологическую извилистость и пр.
Магнитно-резонансная томография - высокотехнологичный и безопасный метод диагностики. МРТ головного мозга позволяет определить причину неврологической патологии, в том числе сосудистого происхождения при выполнении МР-ангиографии. В основе метода лежит использование магнитного поля. Последнее возбуждает протоны водорода, которых больше всего в насыщенных водой тканях. Обратный сигнал улавливается датчиками, программа обрабатывает показатели, а врач получает изображение.
Шаг снимков начинается от 1 мм. Тонкие срезы позволяют сделать результат достоверным и информативным. При изучении мозга могут применять МР-ангиографию с контрастом. Проведение усиленного сканирования сосудов даст информацию о наличии:
- стеноза;
- васкулита;
- аневризмы и расслоения артериальной стенки;
- артериовенозной мальформации и др.
УЗГД или МРТ сосудов головы, что лучше?

УЗДГ проводят детям любого возраста
Ответить на вопрос: «Что лучше выполнить: УЗДГ или МРТ?» - поможет лечащий врач. Решение будет принято исходя из той информации, которая требуется для уточнения диагноза.
Наилучший вариант для детальной визуализации сосудов мозга - МРТ головы с ангиографией. Данное исследование имеет определяющее значение в случае, когда подозревают новообразование, аневризму или артерио-венозную мальформацию в обсуждаемой области. Высокая разрешающая способность делает изображения артерий и вен головного мозга более достоверными, чем при сонографии.
Ультразвуковое исследование также покажет сосудистое русло. С помощью УЗИ могут быть выявлены аномалии строения артерий, атеросклероз и другие изменения, приводящие к неврологической симптоматике. Один из плюсов метода - низкая стоимость. УЗИ артерий необходимо выполнять при таких сопутствующих состояниях как:
- сахарный диабет;
- дислипидемия;
- артериальная гипертензия и др.
Несмотря на безопасность обоих методов, МРТ имеет ограничения. Исследование не стоит делать беременным на любом сроке (особенно в первом триместре), пациентам весом более 120 кг. МР-ангиографию не следует выполнять при наличии в организме металлических штифтов, скоб или стентов, а также кардиостимуляторов и иных электромагнитных приборов. Противопоказаний к УЗДГ сосудов шеи и головы нет. Данную процедуру можно проводить в любом возрасте.
Диагностика у детей сопровождается некоторыми особенностями. При томографии необходимо провести длительное время неподвижно лежащим (до 30 минут). Нужно объяснить ребенку, что иначе результат будет недостоверным. В медицинском диагностическом центре «Магнит» родители могут присутствовать в течение всей процедуры, чтобы успокоить, поддержать малыша. При необходимости сделать исследование маленькому ребенку, который еще не понимает речь, потребуется применение наркоза в условиях больницы.
Выполнить МР-томографию сосудов головы можно в центре “Магнит”. Он находится рядом со станцией “Технологический институт”, к которой можно удобно доехать из любой точки города, в том числе и без пересадок даже от метро “Ленинский проспект”.
Окончательное решение о том, МРТ или УЗДГ предпочтительнее, остается за врачом. При необходимости доктор назначит оба обследования.
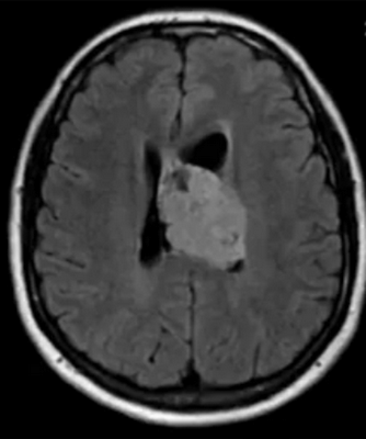
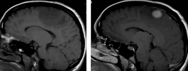
Опухоль головного мозга на МРТ

Опухоль мозжечка на МРТ (указана стрелкой)
Опухоли головного мозга долгое время диагностировали исключительно по клиническим признакам, часто слишком поздно. С появлением нейровизуализационных методов стало возможным выявление опасных патологий на ранних этапах их развития. Уже на первых стадиях формирования опухоль головного мозга на МРТ отчетливо видна, а врачи могут планировать дальнейшие действия. Ранняя диагностика увеличивает шансы на выздоровление даже при онкологических заболеваниях.
Симптомы рака головного мозга
Злокачественные опухоли составляют почти половину выявленных внутричерепных новообразований. Общими проявлениями патологических изменений в мозге могут быть:
- головные боли, часто утренние, с тошнотой и рвотой;
- вертиго (головокружение центрального происхождения);
- нарушение координации движений;
- ухудшение зрения, слуха;
- речевые расстройства;
- раздражительность;
- сонливость;
- судороги;
- поведенческие расстройства;
- слабость в мышцах лица или конечностей;
- онемение, парестезии в отдельных частях тела;
- психические нарушения и др.
Клиника опухолей отличается в зависимости от локализации, размеров, типа новообразования. Патологию дифференцируют исходя из данных, полученных при инструментальном и лабораторном обследовании, гистологического анализа тканей.
По тому, как выглядит опухоль мозга на МРТ, врачи делают предположения о ее природе. Однозначных утверждений быть не может, так как верификацию образований осуществляют с помощью гистологического анализа. Характерными признаками злокачественных опухолей головного мозга на снимках МРТ являются:
- неправильная их форма;
- нечеткие контуры новообразований;
- выраженный перифокальный отек;
- масс-эффект (смещение близлежащих структур);
- гидроцефалия;
- неоднородное накопление контраста (иногда вообще не накапливают);
- "пестрота" опухоли (кровоизлияния, некрозы и/или кисты в структуре) и др.

Глиобластома на МРТ головного мозга без контраста
Причины появления опухоли головного мозга
Точный механизм формирования злокачественных образований не установлен. Факторами риска признаны возраст старше 70 лет, принадлежность к мужскому полу. Чаще опухолевые патологии мозга обнаруживают у пациентов, которые имеют:
- отягощенный семейный анамнез;
- контакты с канцерогенными веществами;
- радиационное воздействие;
- черепно-мозговые травмы в анамнезе;
- перенесенные воспалительные патологии головного мозга.
У некоторых пациентов с обнаруженными опухолями врачам не удается выявить ни одного провоцирующего фактора, тогда как у лиц, которые регулярно подвергаются их воздействию, новообразований мозга нет. Такие сведения подвергают сомнению существующие гипотезы о происхождении онкопатологий ЦНС (центральной нервной системы).

Эпендимома при МР-сканировании головного мозга
Опухоли головы часто по своей природе являются вторичными, т.е. метастазами. По локализации образования могут быть расположены в костях черепа, мягкой и твердой мозговых оболочках, в сером и белом веществе. В структуры головы чаще метастазируют меланомы, рак почки, простаты, легкого, молочной железы, желудка.

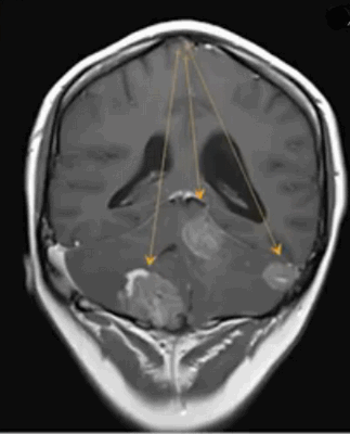
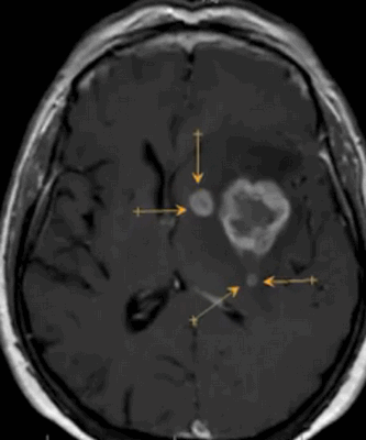
Метастазы в головном мозге на постконтрастном изображении (указаны стрелками)
Может ли МРТ показать опухоль головного мозга?
По результатам магнитно-резонансной томографии врачи могут выявить изменения структуры тканей. Опухоли головного мозга на МРТ определяют по прямым и косвенным признакам. Врачи подозревают патологическое образование по типу и равномерности изменений МР-сигнала:
- гипо- (более слабый, чем окружающие области) или гиперинтенсивный (отклик сильнее, чем от нормальных зон);
- гетероизмененный (смешиваются разные характеристики);
- изоинтенсивный (опухоль выглядит, как другие ткани, но отличается от нормальной архитектоники мозга).
Существуют и косвенные признаки. Последние дают основания подозревать новообразование головного мозга на фоне изоинтенсивного отклика тканей или подтверждают ее наличие при измененном МР-сигнале.

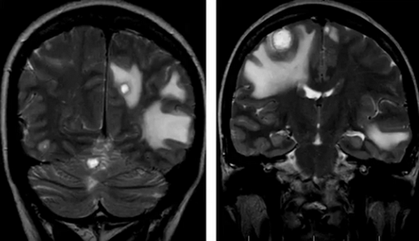
Множественные метастазы в вещество головного мозга на МРТ без контраста
Вторичными проявлениями патологии могут быть:
- латеральная дислокация срединных структур;
- смещение сосудистого пучка;
- изменение величины и деформации желудочков;
- аксиальная дислокация;
- окклюзионная гидроцефалия при блокаде ликворных путей;
- смещение или деформация базальных цистерн;
- отек мозга в зоне опухоли и вокруг нее (локальный, генерализованный, тотальный, перивентрикулярный).

До- и постконтрастное изображение злокачественной опухоли головного мозга
С помощью МРТ при раке мозга выявляют локализацию опухоли, степень ее инвазии в соседние структуры, особенности кровоснабжения, стадию заболевания и наличие метастазов. Для получения дополнительных сведений, сканирование проводят в различных последовательностях (Т1, Т2, FLAIR, диффузно-взвешенное и пр.), в нативном режиме и после контрастирования.
Заключение МРТ при опухоли головного мозга
Пациент получает результаты сканирования на бумаге и/или на информационном носителе со снимками. Заключение составляет врач-рентгенолог. Он изучает снимки, замечает отклонения от нормы и фиксирует их.

Опухоль головного мозга на МРТ с отсевами (указаны стрелками)
В заключении описывают зоны измененного МР-сигнала, их локализацию, размеры, контуры, наличие масс-эффекта, признаков перифокального отека и дислокационные явления. Выводы рентгенолога нельзя считать диагнозом. Результаты исследования должен изучить врач, который инициировал диагностику, или онколог. На поздних стадиях развития заболевания по структуре и характеристикам опухоли можно с большой долей вероятности определить ее тип. Окончательный диагноз ставят с учетом результатов других исследований.
Если МРТ покажет опухоль мозга, в диагностической клинике «Магнит» пациенты могут воспользоваться услугой «Второе мнение». Она актуальна при длительном анамнезе, в спорных ситуациях, при подозрениях на опасные патологии. Суть услуги заключается в изучении результатов МРТ вторым рентгенологом. Его мнение может подтвердить или опровергнуть выводы первого специалиста и скоординировать действия лечащего врача при назначении дальнейшего обследования.
Рак головного мозга на фото снимке МРТ
В зависимости от типа новообразования отличается его внешний вид. Изучая снимки, врач может лишь предположить природу основных вариантов опухолей по характерным признакам:
- астроцитомы — происходят из глиальной ткани, чаще выявляются в лобных и височных долях. Выглядят как зоны гипоинтенсивного МР-сигнала без четких контуров, плохо или почти не накапливают контраст, нередко содержат в своей структуре обызвествленные зоны и мелкие кисты;
- олигодендроглиомы — плотность снижена неравномерна, контуры относительно четкие, часто сливаются с отеком. Обнаруживаются в лобной или теменной долях.
- эпендимомы — предположительно образуются в эмбриональном периоде. Характеризуются четкими контурами, плотнее, чем здоровые ткани, редко вызывают отек, чаще обнаруживаются в полостях желудочков;
- глиобластомы — злокачественные опухоли, которые отличаются высокой скоростью роста и склонностью к инвазии. Выглядят на снимках, как образования неправильной формы, с нечеткими фестончатыми контурами и выраженным перифокальным отеком. Дают выраженный масс-эффект, смещают головной мозг в полости черепа, повреждая его на отдалении от своего местоположения;
- менингиомы (оболочечные опухоли). На снимках часто дают изоинтенсивный сигнал, отчетливо видны после контрастирования. Имеют четкие контуры, неправильную бугристую форму, обычно нет выраженной зоны перифокального отека;

Менингиома на МРТ
- метастазы. Выглядят, как множественные образования в тканях головного мозга различных размеров, неправильной формы, с неровными контурами, накапливающие контраст, с различной интенсивностью отека вокруг;
- невриномы — опухоли черепно-мозговых нервов. Чаще исходят из корешка VIII пары, реже V и остальных. На Т2-взвешенном изображении гиперинтенсивны по сравнению с окружающими тканями. Контуры неправильные, четкие, структура гомогенная, дают масс-эффект.

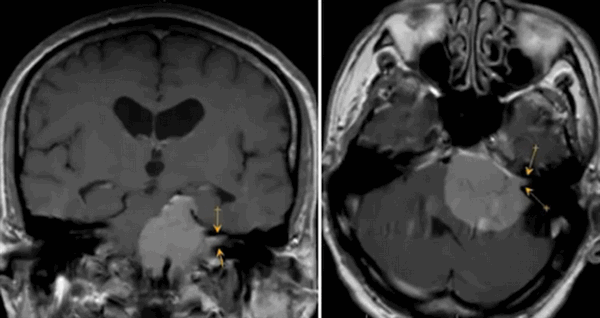
МР-изображение невриномы VIII пары черепно-мозговых нервов (стрелками указана часть опухоли, растущая из внутреннего слухового прохода)
В некоторых случаях МРТ диагностика опухолей головного мозга бывает затруднена. Гипоэхогенные образования без четких контуров могут быть перепутаны с признаками ишемического инсульта. Аппараты с низкой степенью напряжения магнитного поля и ограниченным пространственным разрешением могут «не увидеть» образование. Для диагностики патологий мозга применяют томографы мощностью от 1,5 Тл. Практически всегда дополнительно проводится МР-сканирование с контрастированием для улучшения визуализации новообразований.
В редких случаях опухоли малого размера не обнаруживают при первом обследовании. При наличии клинических проявлений заболевания врач назначает другие методы исследования или повторное сканирование.
МРТ ― безопасная и высоко информативная диагностическая процедура. Отсутствие лучевой нагрузки позволяет проводить ее столько раз, сколько нужно для контроля состояния больного. Метод актуален для предварительной оценки степени злокачественности образования, повреждения близлежащих структур, особенностей кровоснабжения опухоли. По результатам сканирования врач уточняет сохранность функций мозга, опасности заболевания и составляет план обследования или лечения. Своевременное выявление опухоли в мозге может спасти человеку жизнь. Поэтому роль МРТ в диагностике и лечении онкопатологии ЦНС чрезвычайно велика.
Антенатальное исследование плода (МРТ плода)
Что представляют собой ВПР (врожденные пороки развития)? Врожденные пороки развития - это одна из основных причин перинатальной смертности и инвалидности детского населения. Среди аномалий развития особую значимость имеют пороки развития, затрагивающие центральную нервную систему плода.
Поэтому важнейшей задачей настоящего времени является максимально раннее выявление врожденных пороков развития. Своевременное диагностирование патологий развития плода позволяет контролировать процесс уже на ранних этапах беременности, выбирать необходимую тактику ее ведения, уточнять сроки и способ родоразрешения, при необходимости проводить хирургическую или терапевтическую коррекцию, а в тяжелых случаях решать вопрос о прерывании беременности.
Что выбрать: УЗИ или МРТ плода? Основным методом диагностики врожденных пороков развития в современном акушерстве является УЗИ - диагностика.
Зачем и как проводится гинекологическое УЗИ? Рассказывает врач ультразвуковой диагностики «Клиника Эксперт Оренбург» Поскребышева Анна Викторовна
Проведение скрининговых исследований играет важнейшую роль в выявлении аномалий развития. Однако в тех случаях, когда возможности сонографии ограничены (ожирение матери, олигогидрамнион, ягодичное предлежание плода, редкая патология плода и др.), дополнительным методом исследования состояния плода является МРТ-исследование.
Зачем делают МРТ беременным? Читать далее
Метод МРТ: обладает высокой разрешающей способностью в визуализации структур головного мозга, позволяет получить мультипланарные изображения с большим полем обзора, не связан с ионизирующим излучением - безвреден; МРТ плода позволяет не только уточнять характер аномалий, заподозренных на УЗИ, но и выявлять ту патологию, определение которой находится за пределами возможностей сонографии.
В каких случаях МРТ противопоказано? Рассказывает исполнительный директор «Клиника Эксперт Оренбург» Подлевских Юрий Андреевич
Рассмотрим несколько примеров МРТ-исследования плода.
На рисунке - тазовое предлежание плода, 26 недель. Нормальная анатомия головного мозга
На рисунке - плод, 38 недель. Структурные изменения головного мозга плода не выявлены. Определяется однократное обвитие пуповиной
На рисунке - плод, 39 недель. Двукратное обвитие пуповиной
На рисунке - плод, 34 недели. Головное предлежание, гипоплазия мозжечка
Диагностика мальформаций мозолистого тела по данным УЗИ часто представляет сложности. При этом результаты МРТ-исследования уже на 20 неделе гестации сравнимы с данными МРТ в постнатальный период.
На рисунке - плод, 29 недель. Агенезия мозолистого тела. Асимметричная гидроцефалия
МРТ плода позволяет диагностировать такие нарушения нейрональной миграции, как лисэнцефалия, гетеротопия, шизэнцефалия, мало доступные для диагностики при других методах исследования.
На рисунке - плод, 32 недели; поперечное положение плода. Шизэнцефалия
Методом УЗИ-скрининга также возможно выявление черепно-мозговых грыж плода. Но при этом точно определить содержимое грыжевого мешка возможно только при МРТ-исследовании.
На рисунке - плод, 23 недели. Теменно-затылочное энцефалоцеле, заполненное спинномозговой жидкостью без признаков вовлечения мозговой ткани
Метод МРТ имеет большое значение в выявлении не только пороков развития ЦНС, но и при заболеваниях и аномалиях паренхиматозных органов брюшной полости и малого таза плода, его опорно-двигательного аппарата, крупных сосудов и др.
На рисунке - плод, 22 недели. Энтерогенная киста
На рисунке - врожденная диафрагмальная грыжа
На рисунке - мультикистоз почки
На рисунке - плод, 28 недель. Атрезия пищевода
На рисунке - пупочная грыжа
Таким образом, МРТ является дополнительным способом визуализации структур головного мозга плода. Он дополняет ультразвуковое исследование в тех случаях, когда применение сонографии технически ограничено, либо ее результаты сомнительны и противоречивы.
Пренатальная диагностика опухолей у плода

Содержит актуальную клиническую информацию по ультрасонографии и ориентирован на врачей ультразвуковой диагностики, выходит с 1996 года.
В настоящей публикации представлены два случая пренатальной ультразвуковой диагностики опухолей у плодов. Эти опухоли относятся к разным морфологическим группам, однако объединяющим моментом в данных представлениях является большой объем образований.
Клиническое наблюдение 1
Лимфангиомы относятся к зрелым, доброкачественным опухолям, исходящим из лимфатических сосудов. Микроскопическая структура лимфангиомы представлена тонкостенными кистами различных размеров. Лимфангиомы встречаются достаточно редко и составляют примерно 10-12 % всех доброкачественных образований у детей. Лимфангиомы могут быть наружными (шейными, шейно- подмышечно-грудными) и внутренними (средостенными, внутренних органов, забрюшинными, тазовыми). Наиболее частыми являются лимфангиомы шейной локализации - от 74 до 82 %, шейно- подмышечно-грудные лимфангиомы встречаются у 6 % больных, средостенной локализации - у 10-16 % больных, в органах брюшной полости - 1-2 %, забрюшинного расположения - у 1-2 % пациентов, тазовой локализации - у 1-2 % пациентов.
Различают простые, кавернозные и кистозные лимфангиомы.
Простая лимфангиома, состоящая из расширенных лимфатических сосудов и соединительнотканных щелей, заполненных лимфой, встречается чаще на языке, реже на губах. Клинически это проявляется диффузным увеличением указанных органов, их тестообразной консистенцией.
Кавернозная лимфангиома, состоящая из беспорядочно расположенных соединительнотканных полостей, разделенных перемычками, выстланных эндотелием и заполненных лимфой, имеет вид нечетко ограниченного образования, возвышающегося над окружающими тканями, покрытого нормальной кожей или слизистой оболочкой. Является наиболее частой формой, наблюдаемой у детей.
Кистозная лимфангиома, представляющая собой одну или несколько крупных полостей, заполненных лимфой, возвышается над окружающими тканями. При пальпации лимфангиомы этого вида определяется флюктуация, чего не отмечается при кавернозной лимфангиоме [1, 2, 3].
Беременная М., 24 лет, обратилась в клинику в сроке 21 нед. Данная беременность первая.
Исследование проводилось на аппарате SonoAce R7 (компании Sumsung Medison), конвексным датчиком 2-8 МГц. Фетометрические показатели плода соответствовали сроку беременности. Пол плода мужской.
В процессе ультразвукового исследования впервые выявлен распространенный опухолевый процесс, занимающий всю правую подмышечную область плода, правое плечо (поперечный размер в средней трети плеча составил 26 мм, соответственно аналогичный размер левого плеча - 17 мм), включая локтевую область, правую боковую поверхность грудной клетки с переходом на ее переднюю поверхность и правую боковую поверхность шеи. Опухоль была представлена мелкокистозными структурами ячеистого характера, с анэхогенным содержимым, аваскулярная.
С учетом ультразвуковой картины, патогномоничной для кавернозной лимфангиомы, выдано соответствующее заключение.
Учитывая тяжесть обнаруженной аномалии у плода, семья обратилась в израильскую клинику Ultrasound Unit of the Department of Obstetrics and Gynecology Hadassah-Hebrew University Hospital, где было проведено повторное исследование в 25 недель беременности, и диагноз "лимфангиома" был подтвержден. С разрешения Dr. Dan Valsky, проводившего исследование, публикуем сонограммы для иллюстрации динамики процесса.
Учитывая тяжесть и распространенность опухолевого процесса, по желанию семьи было принято решение о прерывании беременности. Диагноз "кавернозная лимфангиома" был подтвержден при патологоанатомическом исследовании
Читайте также:
