УЗИ, МРТ при зобе у плода
Добавил пользователь Евгений Кузнецов Обновлено: 31.10.2025
Зоб - это патология, выражающаяся в увеличении щитовидной железы. Такое увеличение ведет к деформации контуров шеи. К сожалению, зоб у детей - нередкое явление, основной причиной которого чаще всего выступает йододефицит в организме.
Причины зоба у детей
Йод - элемент, который в организме выполняет стимулирующую функцию в процессе выработки гормонов. Этот процесс в детском растущем организме требует больших затрат. Низкое содержание йода в продуктах питания, воде и почве приводит к образованию йододефицита в организме, и он становится главной причиной зоба у детей.
Увеличение щитовидка в результате йододефицита может иметь разные степени. Также выделяют следующие виды патологического состояния щитовидной железы.
Виды зоба
Зоб эутиреоидный - щитовидная железа продолжает функционировать нормально, и выработка гормонов остается в норме. Причина патологии - дефицит йода. Выделяют эндемический и в некоторых случаях спорадический тип зоба.
Формы эутиреоидного зоба:
- паренхиматозная - увеличившаяся в размерах щитовидная железа состоит из мелких фолликул. Это является реакцией организма на йододефицит;
- коллоидная - увеличившаяся железа состоит из крупных фолликул. Для данного типа недуга характерна стабилизация выработки в организме тиреотропного гормона.
Эутиреоидный зоб в большинстве случаев развивается у девочек в период пубертатного созревания.
Существуют еще такие формы зоба.
- Зоб токсический диффузный - еще одна распространенная у детей форма патологии. Сопровождается повышенным содержанием гормонов в крови, что негативно сказывается на внутренних органах и системах. Для данного вида патологии характерен ускоренный обмен веществ, который ведет к уменьшению массы тела ребенка.
- Зоб гипотереоидный - отмечается пониженная выработка гормонов. У детей встречается редко.
Причины зоба
Специалисты выделяют следующие общие причины развития зоба у детей:
- большое количество перенесенных инфекций;
- нарушение функционирования половых желез;
- появление расстройств функций гипофиза;
- плохая усвояемость йода из-за длительного приема медикаментов;
- различные заболевания ЖКТ, которые затрудняют всасываемость йода;
- несбалансированное питание;
- наследственные факторы.
Общая симптоматика зоба у детей
Симптомы зоба у детей находят следующее выражение:
- увеличение размеров щитовидной железы с видимой деформацией контуров шеи;
- нарушение сна - сон становится неглубоким, тревожным;
- нарушение внимания;
- капризность и беспричинная плаксивость;
- затруднения во время дыхания и глотания;
- одышка и появление непродуктивного кашля;
- общее ухудшение состояния, апатия и пассивность;
- двустороннее выпячивание глаз;
- учащенное сердцебиение;
- увеличение количества мочи;
- чрезмерная потливость;
- агрессивность и резкие перепады настроения;
- ощущение жара в теле и постоянное чувство жажды;
- нарушение стула;
- потеря массы тела при нормальном аппетите.
Когда следует обратиться к врачу
Появление любого набора из этих симптомов - это повод незамедлительно обратиться к специалисту. Нельзя забывать, что любые нарушения функций эндокринной системы способны оказывать негативное воздействие на весь организм.
Лечение зоба у детей
Диагностику зоба у детей и последующее лечение проводит детский эндокринолог. Для диагностики патологии используются следующие методы:
- визуальный осмотр и составление анамнеза;
- пальпация шеи;
- УЗИ для определения типа зоба;
- общий анализ крови и мочи;
- анализ крови на тиреоглобулин и гормоны;
- при наличии показаний радиоизотопное сканирование с целью определения функциональности щитовидки;
- при узловых формах зоба может быть назначена биопсия с целью исключения онкологического характера заболевания.
Только после постановки точного диагноза врач назначает лечение. В зависимости от типа и степени зоба щитовидной железы у ребенка лечение может быть консервативным или хирургическим.
Консервативные методы включают:
- терапию с использованием тиреоидных препаратов - введение препаратов осуществляется постепенно по схеме повышения дозировки;
- йодотерапию и специальную диету с включением йодосодержащих продуктов питания;
- заместительную гормональную терапию при гипотиреоидном зобе.
Хирургические методы назначаются при диагностировании узлового зоба тяжелой степени. Показанием является значительное увеличение размеров щитовидной железы, в результате чего она оказывает давление органы дыхания, что затрудняет глотание и дыхание у ребенка. После оперативного вмешательства назначается заместительная гормонотерапия, которая позволит в дальнейшем избежать рецидива заболевания.
В нашей клинике лечение проводится по отработанным схемам, эффективность которых была доказана путем многолетней практики. С полным перечнем услуг можно познакомиться на сайте клиники.
Осложнение зоба у детей
Несвоевременное лечение зоба у детей грозит следующими осложнениями:
- струмит - воспаление щитовидки в увеличенном состоянии;
- кровоизлияние в щитовидную железу;
- сдавление дыхательных путей, что ведет к затруднению дыхания и глотания, развитию сопутствующих заболевания органов дыхания;
- развитие патологии «зобного сердца» - наблюдается увеличение правой стороны сердца;
- онкологические заболевания щитовидной железы.
Профилактика зоба у детей
Основная профилактическая мера - полноценное обеспечение организма ребенка йодом. Для этого необходимо правильное сбалансированное питание. Рекомендуется регулярное употребление в пищу йодированной поваренной соли. При этом солить пищу необходимо в самом конце приготовления, чтобы сохранить в ней содержание йода.
Важный момент - укрепление иммунитета в целом, прием витаминных комплексов.
Как записаться к детскому эндокринологу
АО «Медицина» (клиника академика Ройтберга) находится в ЦАО по адресу: 2-й Тверской-Ямской пер., 10 (Маяковская, Новослободская, Белорусская).
Также на сайте можно получить информацию о стоимости приема у специалистов и других дополнительных услуг.
УЗИ щитовидной железы что показывает

Ультразвуковое исследование щитовидной железы - неинвазивная диагностическая процедура, использующая принцип эхолокации. Трансдьюсер (датчик) передает акустические волны высокой частоты, которые проходят через область шеи и возвращаются обратно, теряя определенное количество мощности в зависимости от плотности ткани. Отклики преобразователь отправляет на компьютер для обработки. Программа воспроизводит (оцифровывает) картинку органа и прилегающих тканей, которую врач изучает на экране монитора. Ультразвуковые волны абсолютно безопасны для человека, поэтому сделать УЗИ щитовидки можно даже во время беременности.
При подозрении на опухолевый процесс для дополнительной оценки особенностей кровообращения используют режим ЦДК (цветового допплеровского картирования): злокачественные новообразования отличает усиленная васкуляризация. Современные аппараты экспертного класса оснащены функцией E-Thyroid. Эластография определяет жесткость тканей, что иногда заменяет биопсию и облегчает дифференциацию узловых образований в паренхиме органа - кист, аденом, опухолей - между собой.

Исследование гормонального профиля и УЗИ щитовидной железы эндокринологи используют в качестве первичной диагностики. Для большинства патологических процессов результатов анализов и расширенной ультрасонографии достаточно, чтобы определить характер заболевания.
Стадирование злокачественного новообразования подразумевает выполнение компьютерного или магнитно-резонансного сканирований.
Метод УЗД практически не имеет противопоказаний, сонографию перенесут, если у пациента в области шеи обнаружены:
- герпес на стадии высыпания;
- пиодермия;
- нарушение целостности кожного покрова;
- “свежий” ожог без рубцевания.
Как проходит процедура УЗИ щитовидной железы, подробнее расскажем далее.
Что показывает УЗ-сканирование
На сонограммах лоцируются аномалии развития:
- отсутствие железы (аплазия);
- чрезмерное разрастание/недоразвитие тканей;
- атипичное местоположение органа эндокринной системы.
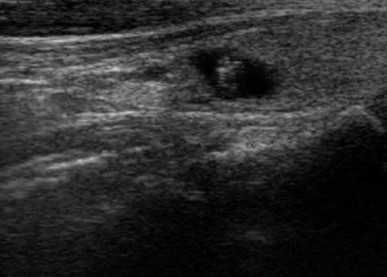
Диффузный нетоксический зоб. Болезнь характеризует увеличение железы из-за нехватки поступления йода с пищей при повышенном расходе элемента в подростковом возрасте, в период гестации или при врожденном изменении клеток-тиреоцитов, которые утрачивают способность забирать йод из крови. На сонограммах видны множественные мелкие фолликулы-пузырьки с анэхогенным сигналом.

Диффузный токсический зоб. Патология развивается на фоне аутоиммунных нарушений или опухолей гипофиза, что приводит избыточному производству тиреотропного гормона. На УЗИ щитовидная железа увеличена в 2-3 раза, видны участки пониженной эхогенности. В режиме допплерографии обнаруживаются цветные прилегающие друг к другу точки. Типичные признаки:
- волнистый контур;
- умеренная гипоэхогенность паренхимы;
- усиление кровотока;
- неоднородность эхоструктуры.
После лечения морфология по данным сонографии приходит к норме.
Аутоиммунный тиреоидит. Агрессия собственных лимфоцитов человека к железистой ткани органа приводит к гибели функционирующих клеток и фиброзным изменениям в паренхиме. Выработка гормонов нарушена, что выражается в вариативных функциональных состояниях с недостатком или переизбытком (гипо- и гипертиреоз соответственно) синтеза биологически активных веществ. При компенсированном состоянии говорят об эутиреозе.
- уменьшение/увеличение объема органа;
- изо-, гипоэхогенность, грубая неоднородность паренхимы;
- визуализация узелков;
- усиленная васкуляризация.
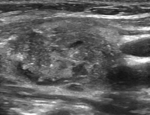
Образования, узлы. Во время сканирования доктор оценивает очаговую патологию и делает заключение в предположительном ключе. УЗИ щитовидной железы показывает:
- доброкачественные опухоли - аденомы;
- коллоидные кисты;
- карциномы;
- лимфомы;
- многоузловой зоб.
Дифференциация опирается не только на серошкальные изображения, но и на данные ЦДК.
В пользу доброкачественности узлов свидетельствует совокупность признаков:
- изо-, гипоэхогенность;
- правильность формы;
- ровность, четкость контуров;
- превалирование длины над высотой;
- размеры менее 1 см;
- отсутствие кровотока.
Показания к УЗИ щитовидной железы
Сделать УЗИ щитовидки обосновано, если есть симптомы переизбытка или недостаточной выработки гормонов.

Для гипертиреоза типичны:
- нестабильность психических реакций, раздражительность, слезливость;
- нарушения сна;
- профузная потливость;
- тремор конечностей;
- сердцебиение, одышка;
- уменьшение массы тела при повышенном аппетите, боли в животе, усиленная перистальтика, диарея;
- затрудненное глотание, кашель;
- явное увеличение щитовидной железы;
- непереносимость жаркой погоды;
- экзофтальм, подергивание век и другие глазные нарушения;
- нерегулярные менструации или полное отсутствие обновления эндометрия у женщин;
- сексуальная дисфункция у мужчин;
- постоянная субфебрильная температура.
О гипотиреозе с дефицитом гормонов свидетельствуют:
- сонливость;
- пастозное лицо;
- заторможенность, депрессивное настроение;
- хронические запоры;
- костно-суставные блуждающие боли;
- шелушение кожи, ломкость и выпадение волос, расслоение ногтей;
- инфертильность, невынашивание беременности, нарушения менструального цикла;
- снижение либидо у мужчин.
Показания к УЗИ щитовидной железы включают:
- наблюдение в динамике за состоянием узлов, кист в эндокринном органе;
- оценку эффективности терапии;
- первичное обследование при бесплодии неясного генеза у мужчин и женщин;
- пальпируемое образование в области шеи, увеличение лимфатических узлов;
- изменения в лабораторных показателях: увеличение или понижение уровней ТТГ, Т4, Т3, антител к тиреоглобулину и тиреопероксидазе;
- скрининговое обследование людей, проживающих в районах с дефицитом йода, и/или занятых на работах, связанных с профессиональными вредностями, ионизацией;
- в превентивных целях перед планируемой беременностью;
- контроль проведения иглы при заборе ткани для морфологического исследования (тонкоигольная биопсия);
- скрининг пациентов из группы риска с отягощенным наследственным анамнезом - у близких родственников диагностирован рак щитовидной железы и пр.
Как подготовиться к УЗИ щитовидной железы
В качестве подготовки достаточно гигиенических мероприятий, снятия украшений с шеи и выбора одежды без тесного воротника. Все лекарства разрешено принимать в обычном режиме.

Можно ли есть морепродукты перед УЗИ щитовидной железы? Здесь тоже нет строгих ограничений. Йод, содержащийся в дарах моря, не повлияет на общую картину.
Пациентам с повышенным рвотным рефлексом рекомендовано не переедать перед диагностикой и не являться на процедуру на голодный желудок: допустим легкий перекус.
Подготовка к УЗИ щитовидной железы у женщин не отличается от таковой у мужчин. Большинство специалистов придерживаются мнения, что менструальный цикл не оказывает клинически значимого влияния на визуализацию щитовидной железы, поэтому процедуру можно планировать на любой день.
В клинике потребуются:
- документы, удостоверяющие личность;
- направление врача (в частных учреждениях обследование выполнят по желанию пациента);
- полис обязательного/добровольного медицинского страхования (если УЗ-сканирование будет оплачивать фонд);
- выписки из стационара, результаты пройденных ранее УЗИ, КТ, анализов на гормоны;
- салфетки, питьевая вода.
Подготовка к УЗИ щитовидной железы у детей
Сонографию в педиатрической практике делают при удушье и отеке шеи, отставании в умственном и физическом развитии ребенка, признаках гормональных нарушений.
Грудного малыша можно покормить за 2 часа до процедуры - во избежание рвоты. Ребенку сознательного возраста перед ультразвуковым исследованием щитовидной железы следует в игровой форме объяснить, что будет происходить в диагностическом кабинете.
Как делают УЗИ щитовидки
Исследование проводят в положении больного лежа на спине, под плечи подкладывают валик. На область интереса доктор наносит прозрачный гель. Субстанция гипоаллергенна, не оставляет следов на одежде и не поступает в системный кровоток. Гель облегчает скольжение и лучший контакт преобразователя с кожей, улучшает качество визуализации, избавляет от потери качества изображения. Болевые ощущения отсутствуют. Каждую долю органа сканируют в продольной и поперечной плоскостях. При необходимости применяют режим цветного допплеровского картирования, что позволяет увидеть сосуды. Усиление кровотока свидетельствует о патологическом процессе - опухоли, диффузном токсическом зобе, аутоиммунном тиреоидите.

Одновременно с оценкой изображений на экране монитора сонолог вносит индивидуальные данные в протокол исследования. Длительность процедуры составляет 15-20 минут, по ее завершении пациент получает на руки результат.
Как часто можно делать
Ограничений по количеству УЗ-исследований нет, поэтому проведение диагностики возможно столько раз, сколько требует медицинская ситуация. Кратность определяет лечащий врач, иногда сонолог указывает в заключении на необходимость контрольного осмотра в динамике.
Ультразвуковые волны не инициируют каких-либо реакций в организме, не связаны с развитием опухолей, прогрессированием имеющихся заболеваний.
Видно ли на УЗИ рак щитовидной железы?
Диагноз рака подразумевает морфологическую верификацию, т.е. полученные путем биопсии или во время операции ткани после подготовки под микроскопом оценивают для определения типа опухолевых клеток. Информация важна для выбора способов лечения.

Опухолевое поражение на сонограмме
По результатам УЗИ врач может предположить характер новообразования.
Рак щитовидной железы на сонограммах имеет:
- неоднородную преимущественно гипоэхогенную структуру,
- неправильную форму;
- размеры свыше 1 см - новообразования более 4 см всегда подозрительны на малигнизацию;
- множественные кисты/узлы, участки отложения кальция, фиброз;
- рваные, размытые контуры.
Явная асимметрия долей, лимфаденопатия, инвазия опухоли через собственную капсулу в соседние ткани свидетельствуют о продвинутых стадиях болезни.
В режиме ЦДК при злокачественном новообразовании видна нарушенная архитектоника сосудистой сети, избыточное количество артерий и вен, зоны некроза.
На УЗИ с эластографией опухоль имеет большую плотность по сравнению со здоровыми тканями.
Расшифровка УЗИ щитовидки
Анализ изображений УЗИ щитовидной железы проводит врач-сонолог.
Клинически значимые параметры:
- объем щитовидной железы - современные УЗИ-аппараты рассчитывают показатель автоматически с учетом длины, высоты, ширины каждой доли, при сканировании на старом оборудовании доктор определяет объем по формуле;
- эхогенность;
- наличие включений и их размеры;
- эхоструктура - однородная (в норме) или неоднородная;
- очаговые образования и характеристики последних;
- параметры кровотока;
- состояние лимфоидной ткани;
В норме ультрасонография не лоцирует паращитовидные железы, которые имеют размеры менее 5 мм. Увидеть данные анатомические структуры можно при использовании высокочастотного датчика или при развитии аденомы, гиперплазии, опухоли.

Патологическое усиление кровотока в органе: диффузный токсический зоб
УЗЛЫ ЩИТОВИДНОЙ ЖЕЛЕЗЫ У ДЕТЕЙ
☝ Для детей рекомендации немного другие - во-первых, потому что узлы в щитовидной железе встречаются реже и чаще оказываются опухолевыми, чем у взрослых; во-вторых, потому что объем щитовидной железы у детей меньше и «правило 1 см» на детские щитовидные железы не распространяется.
👀 Узел - это собирательное название любого отграниченного образования в щитовидной железе. Они могут быть неопухолевыми (так называемый коллоидный зоб, изменение структуры железы), могут быть доброкачественными или недоброкачественными опухолями. Иногда ошибочно за узлы принимают изменение ткани железы при аутоиммунных заболеваниях (аутоиммунный тиреоидит, болезнь Грейвса). Лучше всего узловые образования видны при ультразвуковом исследовании, часто их можно прощупать при врачебном осмотре, реже они случайно выявляются при проведении КТ, МРТ или ПЭТ.
?? Нужно ли активно искать узловые образования и проводить скрининговое УЗИ всем детям? Нет, не нужно. Хотя узлы в щитовидной железе встречаются реже, чем у взрослых, но и не так уж редко (1-5% всех детей, причем вероятность появления неопухолевых, коллоидных узлов выше в регионах неликвидированного йодного дефицита — т.е. почти во всей России). Большинство этих образований небольшие, не пальпируются, не являются опухолями; преимуществ их раннего выявления не удалось продемонстрировать, зато лишние исследования, а иногда и операции при скрининговом УЗИ достанутся какому-то проценту детей.
✍🏻На сегодняшний день рекомендуется ежегодная пальпация (прощупывание) и/или проведение УЗИ щитовидной железы и лимфоузлов шеи у детей и подростков из группы риска (это дети, которым по какому-то поводу проводилось облучение головы и шеи, дети с некоторыми генетическими синдромами, дети, имеющие нескольких родственников с выявленным раком щитовидной железы, дети с аутоиммунным тиреоидитом и подозрительными признаками при пальпации).
🤦♀️Тем не менее, не взирая на принятые в мире (и, в частности, в России) рекомендации, почти все дети в РФ в рамках «диспансеризации перед школой» проходят УЗИ всего подряд и щитовидной железы в том числе. Естественно, у некоторых детей обнаруживаются узловые образования щитовидной железы, и далее возникает вопрос, что с ними делать.
🙋Итак, обнаружено узловое образование: что дальше? Дальше определяем функцию щитовидной железы (т.е. смотрим уровень ТТГ крови). ТТГ — гормон гипофиза, начальника щитовидной железы, и при повышенной ее функции он будет, наоборот, низким. При низком ТТГ нужна сцинтиграфия щитовидной железы (исследование функциональной активности узлов), при нормальном или повышенном ТТГ - пункционная биопсия подозрительных узлов (исследование их клеточного состава). Поскольку объем щитовидной железы у детей меньше и меняется с возрастом, то руководствоваться правилом 1 см не получится. При определении показаний к пункционной биопсии врач должен ориентироваться не только на размеры, но и на ультразвуковые характеристики узла. Например, кистозный узел (то есть полость с жидкостью) не подозрителен и действий требует только при больших размерах, если он мешает ребенку. Если узел состоит из клеток, имеет неровные края, сниженную эхогенность, микрокальцинаты в структуре, повышенный кровоток внутри узла - это повод пунктировать узел доступный для биопсии узел любых размеров. Подозрительные изменения ближайших к щитовидной железе лимфоузлов — также показание для пункции. Общее увеличение одной или обеих долей щитовидной железы с микрокальцификатами и изменением лимфоузлов - также показание для пункции.
✍🏻Результатом пункции должно стать цитологическое заключение (а не просто описание клеток, которые увидел цитолог!), на основании которого принимается решение об операции или наблюдении, поэтому важно, чтобы цитолог имел высокую квалификацию и достаточный опыт. Пункция может быть неинформативной (если в препарат попало мало клеток и невозможно сделать заключение) - тогда ее переделывают через 3-4 месяца, доброкачественной (рекомендуется наблюдение за узлом), а также подозрительной в отношении опухоли/злокачественной опухоли, либо могут быть получены неопределенные результаты.
🔪Когда нужна операция? Оперативное лечение (чаще всего — удаление доли с узлом, реже всей железы, иногда вместе с ближайшими лимфоузлами) требуется при результатах пункционной биопсии, подозрительных в отношении рака щитовидной железы, а также при неопределенных результатах пункции. Если цитологическое заключение благоприятно, но при дальнейшем наблюдении узел растет до больших размеров, приобретает подозрительные черты при УЗИ исследовании, также может быть выбрано удаление узла. Гиперфункционирующие узлы, которые вызывают тиреотоксикоз, также являются показанием к операции (хотя у детей старше 10 лет может быть выбран метод лечения радиоактивным йодом). Очень большие узлы, сдавливающие органы шеи, у детей встречаются очень редко и тоже являются показанием к операции.
☝Оперативное лечение ВСЕГДА должно проводится в специализированных центрах, где работают высококвалифицированные хирурги, имеющие опыт операций на щитовидной железе у детей. При соблюдении этого правила, количество осложнений после операции и риск ненужных операций минимальны.
❤После оперативного лечения назначается заместительная терапия тироксином, и дети без щитовидной железы прекрасно растут, развиваются, взрослеют, работают, занимаются спортом, создают семьи и т.д.
Тиреотоксикоз (болезнь Грейвса) на УЗИ
Тиреотоксикоз или болезнь Грейвса (Базедова болезнь). Ключевые факты на УЗИ
- Легкое / умеренное диффузное, симметричное увеличение щитовидной железы, включая перешеек на УЗИ
- Увеличение в объеме щитовидной железы ≤ 90 мл
- Картина эхоструктуры паренхимы: гипоэхогенная, гетерогенная, «пятнистая»
- Гипоэхогенность паренхимы обусловлена уменьшением коллоидного содержимого и увеличение клеточного состава с уменьшением коллоидно-клеточного соотношения ± гиперваскулярность
- Сохранение гипоэхогенности паренхимы при прекращении лечения, связанного с рецидивом гипертиреоза.
- На УЗИ с ЦДК отмечается увеличение кровотока в паренхиматозной сосудистой системе (турбулентный кровоток с артериовенозными шунтами): «ад щитовидной железы»
- Повышение васкуляризации не коррелирует с функцией щитовидной железы, но отражает воспалительную активность
- Спектральный допплер: увеличение пиковой скорости кровотока (≤ 120 см / сек), в измеренной нижней щитовидной артерии
- Повышенная васкуляризация имеет тенденцию к уменьшению в ответ на лечение
- Повышение васкуляризации наблюдается у пациентов с рецидивом
Дифференциальный диагноз тиреотоксикоза на УЗИ
- Тиреоидит Хашимото
- Тиреоидит де Кервена
- Узловой зоб

Диагностический контрольный список
- После проведения ультразвуковой диагностики проведение других исследований при болезни Грейвса обычно не требуется
- Необходимо назначать УЗИ щитовидной железы, чтобы исключить другие виды тиреоидита или у пациентов, которые не проходят медицинское лечение или проходят лечение радиоактивным йодом (для определения объема щитовидной железы)
- Некоторые учреждения могут выбрать сканирование с технецием щитовидной железы после проведения УЗИ, в зависимости от имеющегося опыта клиники
- У пациентов со щитовидной офтальмопатией (ЩO) может быть показана КТ или МР для подтверждения диагноза тиреотоксикоза, если она не может быть установлена клинически
Терминология. Сокращения. Болезнь Грейвса (БГ). Синонимы. Диффузный токсический зоб, тиреотоксикоз, Базедова болезнь
Определение. Аутоиммунное расстройство с длительно действующими антителами, стимулирующими щитовидную железу, вызывающими гиперплазию и гипертрофию щитовидной железы
Основные характеристики при ультразвуковом исследовании
Лучший диагностический метод при данной патологии - УЗИ. На нем регистрируется увеличенная железа, гипоэхогенная, гетерогенная картина ее внутренней эхоструктуры и увеличение паренхиматозной васкуляризации. Размер щитовидной железы имеет легкое или умеренное увеличение в размере. Как проводят ультразвуковую диагностику при болезни Грейвса? Необходимо использовать преобразователь с высоким разрешением, частота сканирования ≥ 7,5 МГц. Сканирование в продольной и поперечной плоскостях, включая доплеровское исследование.
Подробные ультрасонографические данные
Серошкальное УЗИ при болезни Грейвса. Легкое или умеренное диффузное, симметричное увеличение щитовидной железы, включая перешеек. Увеличение в объеме щитовидной железы ≤ 90 мл. Нормальный объем: новорожденный 0,4-1,4 мл, увеличение на 1,0-1,3 мл на каждые 10 кг веса, до нормального объема 10-11 (± 3-4) мл у взрослых. Гипоэхогенный, гетерогенный, «пятнистый» паттерн паренхиматозной эхоструктуры. Гипоэхогенность паренхимы обусловлена снижением коллоидного содержимого и увеличением клеточного состава с уменьшением коллоидно-клеточной границы ± гиперваскулярность. Гипоэхогенность паренхимы связана с частотой позитивности антител к рецептору ТТГ (TRAb). Сохранение гипоэхогенности паренхимы при прекращении лечения, связанного с рецидивом гипертиреоза
УЗИ с цветным допплером. Усиление кровотока в паренхиматозной сосудистой системе (турбулентное течение с артериовенозными шунтами): «Ад щитовидной железы». Такое повышение васкуляризация не коррелирует с функцией щитовидной железы, но отражает воспалительную активность. Спектральный допплер: Увеличение пиковой скорости кровотока (≤ 120 см / сек) в измеренной нижней щитовидной артерии. Увеличение сосудистого рисунка имеет тенденцию к уменьшению в ответ на лечение. Обратная картина наблюдается у пациентов с рецидивом.
Рекомендации по ультразвуковой визуализации. Клинический осмотр эндокринологом, является важным шагом к постановке диагноза. Диагностика основана на клинических признаках и симптомах и лабораторных данных. Визуализация щитовидной железы может быть необходима у пациентов, которые не проходят медикаментозное лечение и у которых рассматриваются другие виды тиреоидита. В таких случаях необходимо проводить УЗИ щитовидной железы. Ультразвуковое исследование щитовидной железы показано пациентам, которые подвергаются лечению радиоактивным йодом для определения объема щитовидной железы. Некоторые учреждения могут выбрать сканирование щитовидной железы технеция; однако они включают использование радиоактивных фармацевтических препаратов и ионизирующих излучений, у УЗИ таких недостатков нет. Пациентам рекомендуется воздерживаться от любой йодсодержащей пищи (морепродукты, рыба, морские водоросли) сиропа от кашля, от препаратов йода или от антитиреоидных препаратов в течение 2 недель до процедуры. Сканирование щитовидной железы с технецием: заметное поглощение радиофармпрепарата в пределах гиперактивной железы при болезни Грейвса. Пациенты могут иметь офтальмопатию, связанную со щитовидной железой. Пациенты имеют экзофтальм с двусторонним увеличением наружных глазных мышц. У пациентов со щитовидной офтальмопатией проводят КТ или, предпочтительно, МР орбиты, которое может быть показано для точного установления диагноза. Другие особенности включают в себя: увеличенные слезные железы и орбитальный жир, увеличенную верхнюю глазную вену, растянутый зрительный нерв.

Результаты КТ
Обычная компьютерная томограмма: увеличение орбитального жир, который будет изоденсным (расположение: нижнее ≥ медиальное ≥ верхнее ≥ боковое ≥ косое)
КТ с контрастированием: повышение орбитального жира больше, чем обычно
Результаты МРТ
T1WI: Изоинтенсивное расширение орбит
T2WI: острый сигнал от жировой ткани (отек); поздняя стадия: снижение сигнала (фиброз)
T1 с контрастом: улучшение изображения орбитального жира, который более выражен чем норма
Результаты ядерной медицины: В-111 октреотид, ретробульбарное поглощение, которое указывает на активное воспаление, уменьшается с иммуносупрессивной терапией
Дифференциальная диагностика тиреотоксикоза на УЗИ
- Тиреоидит Хашимото. Закругленные контуры и гипоэхогенная неоднородная картина внутренней эхоструктуры с яркими фиброзными полосами в паренхиме и атрофическая железа в терминальной стадии заболевания. Риск развития неходжкинской лимфомы (НХЛ), которая проявляется как гипоэхогенные узлы и изменениях в лимфатических узлах, связанных со щитовидной железой
- Тиреоидит де Кервена. Нечеткие, очаговые гипоэхогенные области в пределах щитовидной железы ± усиленная сосудистая сеть на ЦДК, повышенное количество лейкоцитов (лейкоцитоз), лихорадка и чувствительная, болезненная щитовидная железа. Процесс развивается со временем, и без лечения впоследствии может охватить всю железу; при успешном лечении щитовидная железа может вернуться к нормальной картине внутренней эхоструктуры
- Узловой зоб. Множественные гетерогенные узлы, кистозные изменения, перегородки, артефакт хвоста кометы, плотное затенение кальцификации. Биохимические анализы обычно нормальные, и у пациентов с увеличением щитовидной железы ± ощутимые узлы при пальпации
Патология. Общие характеристики. Этиология. Аутоиммунное расстройство; LATS или аутоантитела, стимулирующие щитовидную железу (TSAb)
Генетика. Пациенты с болезнью Грейвса (БГ) демонстрируют генетическую предрасположенность к заболеванию и увеличенную связь с некоторыми гаплотипами HLA. Отмечен необычно высокий уровень других аутоиммунных заболеваний у родственников
Связанные аномалии. Одновременное развитие болезни Хашимото и БГ называется хашитоксикозом
Общие патологические и хирургические особенности. Диффузное и обычно симметричное увеличение щитовидной железы. Вес: 50-150 г
Микроскопические особенности. Очаговые скопления лимфоцитов, которые иногда показывают лимфоидные зародышевые центры. Лимфоидные клетки в межфолликулярной строме не посягают на сами фолликулы. Фолликулы показывают выраженную эпителиальную гиперплазию. Усиленная сосудистая и микрососудистая сеть со стазом
Клинические проблемы и проявления. Наиболее распространенные признаки / симптомы. Пациенты часто испытывают учащенное сердцебиение, потерю веса, несмотря на аппетит, потоотделение и влажные ладони. Сердечно-сосудистые симптомы встречаются часто: гиперметаболическое состояние приводит к гипердинамическому состоянию кровообращения. Кардиомегалия, отек легких, периферические отеки, тахикардия, пролапс митрального клапана и увеличенный сердечный выброс. Связанная со щитовидной железой офтальмопатия (ЩO), периорбитальный отек, ретракция глазных яблок, офтальмоплегия, проптоз, злокачественный экзофтальм. Внеокулярное мышечное и орбитальное воспаление соединительной ткани и отек из-за аутоиммунного ответа. Общие жалобы: мышечная слабость и усталость; редко атрофия мышц
Другие признаки / симптомы при тиреотоксикозе. дермопатия; преципиальная микседема (5%), генерализованное воспаление соединительной ткани и мышц. Временное подавление околощитовидной железы; ↑ резорбция кости и формирование кости (резорбция> формирование)
Лабораторные данные. Повышенные уровни T₃ + T₄. Пониженный уровень ТТГ. Антитиропероксидазные (циркулирующие антитиреоидные) антитела в 80% случаев ГР. Орган неспецифических антител; антиядерные антитела (АНА), гладкие мышцы и митохондриальные антитела
Демография. Возраст. Средний 30-40 лет. Пол. Соотношение мужской: женский = 1: 7
Естественная история и прогноз. Может произойти спонтанная ремиссия. Осложнения: у 10-30% развивается гипотиреоз в течение 1-го года + 3% в год после. Возможно развитие рака щитовидной железы при тиреотоксикозе
МРТ щитовидной железы что показывает

Патологические состояния эндокринной системы вызывают изменения нейрогуморальной регуляции тела человека и провоцируют нарушения работы жизненно важных органов. Диагностика заболеваний щитовидной железы с помощью магнитно-резонансной томографии позволяет дифференцировать процесс на ранней стадии, избегая развития опасных осложнений.
МРТ - аппаратное исследование состояния внутренних структур без применения инвазивных методик. Сканирование проводят с помощью индукционного поля, воздействующего на атомы водорода в молекулах воды. Резонанс заряженных частиц позволяет получить отклик сканируемых тканей. Интенсивность ответной реакции напрямую зависит от насыщенности изучаемых структур жидкостью.

Снимки МРТ мягких тканей шеи
Проведение магнитнорезонансной томографии с использованием различных режимов повышает информативность исследования рыхлых элементов. Изучение особенностей кровоснабжения зоны интереса и диагностика новообразований требуют применения контрастного раствора. В качестве «окрашивающего» препарата используют хелаты гадолиния.
Заболевания щитовидной железы
Органы эндокринной системы вырабатывают гормоны - биологически активные вещества, регулирующие жизнедеятельность организма. Щитовидная железа, расположенная в нижней части передней поверхности шеи, продуцирует тироксин, трийодтиронин и кальцитонин. Задняя поверхность анатомического образования охватывает нижний отдел гортани и верхнюю часть трахеи. Орган состоит из двух равных долей, соединенных перешейком. В норме вес железы у взрослого человека достигает 15-20 грамм.
Заболевания щитовидки протекают с усилением или снижением секреции, что обусловливает характерную клиническую картину. В зависимости от этиологии патологических изменений различают:
аутоиммунные тиреопатии (Базедова болезнь, неинфекционный тиреоидит и пр.);
гиперплазии железы (диффузный или узловой зоб);
новообразования (добро- и злокачественные);
инфекционные тиреоидиты (подострый, гнойный, специфический);
Базедова болезнь (диффузный токсический зоб) - системная патология, сопровождающаяся повышенной секрецией гормонов. На фоне гиперфункции щитовидной железы возникают признаки тиреотоксикоза:
плаксивость, раздражительность, другие симптомы психической нестабильности;
тахикардия, аритмия, сердечная недостаточность;
снижение массы тела;
экзофтальм (смещение глазного яблока вперед).
В лечении Базедовой болезни используют консервативные методы (тиреостатическую терапию) и хирургическое вмешательство (резекцию органа).

Опухоль щитовидной железы на МРТ
Доброкачественные гиперплазии различают по морфологическим признакам:
диффузный зоб - равномерное увеличение органа в размерах при постепенном снижении функциональности (гипотиреоза);
узловые образования - появление уплотнений в тканях железы, секреция уменьшается;
смешанный тип - встречаются признаки обеих патологий.
В отдельную группу выделяют эндемический зоб, развивающийся на фоне недостатка йода. К характерным внешним признакам гиперпластического процесса относят деформацию шеи, изменение голоса. Пациент жалуется на затрудненное глотание, «ком» в горле. На снимках, полученных в результате магнитно-резонансной томографии, определяют увеличение щитовидной железы, изменение структуры органа.
Признаками гипотиреоза являются:
чувство тяжести в области средостения, брадикардия;
изменения массы тела;
алопеция (выпадение волос), сухость кожных покровов;
нарушения работы желудочно-кишечного тракта, запоры;
отечность лица, малоподвижная мимика;
анемия (дефицит железа);
снижение памяти, интеллекта;
нарушения менструального цикла (у женщин).
У пожилых больных при отсутствии лечения и ухода состояние переходит в гипотиреоидную кому, которая в 80% случаев имеет летальный исход. Основным методом лечения является заместительная гормональная терапия.
Злокачественные опухоли (рак щитовидной железы) сопровождаются увеличением регионарных лимфатических узлов. Пациенты отмечают боль в горле, наличие уплотнения, часто возникают жалобы на кашель.

Новообразование (указано стрелкой) на МРТ щитовидной железы
Тиреоидиты - воспалительные процессы, имеют инфекционную и аутоиммунную природу. Вторые встречаются чаще и протекают в хронической форме. Симптомы отсутствуют, в некоторых случаях наблюдается незначительное увеличение органа. При развитии гипотиреоза развивается клиническая картина, характерная для дефицита гормонов щитовидки. Среди врожденных аномалий выделяют:
аплазию (отсутствие органа);
дистопию (аномальное расположение);
врожденные кисты щитовидки;
дополнительные железы и пр.
Врожденные дефекты возникают при нарушениях формирования и развития органа во внутриутробном периоде. Заболевания могут сопровождаться гипо- и гиперфункцией щитовидной железы с характерными клиническими симптомами.
Делают ли МРТ щитовидной железы?
Магнитно-резонансная томография обеспечивает детальную визуализацию рыхлых структур. В результате сканирования получают послойные изображения щитовидной железы, расположенных рядом лимфатических узлов, кровеносных сосудов, мягких тканей шеи, гортани.
Исследование отличается высокой информативностью по сравнению с другими методами аппаратной диагностики. Томограммы показывают изменения формы и размеров анатомического образования, позволяют выявить структурные нарушения и патологические очаги диаметром от 3 мм.
МРТ щитовидной железы делают при подозрении на развитие онкологических, воспалительных, дегенеративных и дистрофических процессов. Метод дает информацию о локализацию очага, позволяет оценить взаимодействие измененных и здоровых тканей.
При увеличении железы в размерах по описанию томограмм можно определить характер гиперплазии. Узелки и капсулы выглядят на снимках МРТ как очаги с гипо- или гиперинтенсивным сигналом, отличным от реакции окружающих тканей. Метод показывает сдавление трахеи новообразованием, распространение патологического процесса в загрудинное пространство.

Мягкие ткани шеи на МРТ
Магнитно-резонансное сканирование может применяться в качестве основного или дополнительного метода исследования в диагностике эндокринных заболеваний.
Показания и противопоказания к МРТ щитовидной железы
Гормональный дисбаланс служит поводом для исследования органов эндокринной системы. Признаки гипо- или гипертиреоза свидетельствуют о нарушениях секреторной функции щитовидной железы. Задача врача заключается в определении этиологии, характера, интенсивности патологического процесса. Выбор метода лечения во многом зависит от того, что показывает МРТ щитовидной железы.
при подозрении на «загрудинный» зоб;
перед хирургическим вмешательством;
в случае гиперплазии щитовидной железы;
при подозрении на развитие новообразования;
для выявления особенностей воспалительного процесса;
в послеоперационном периоде.
Магнитно-резонансное исследование показано пациентам при недостаточной информативности УЗИ, когда по результатам последнего выявлена патология, но для постановки диагноза требуются дополнительные сведения.
Метод имеет ряд противопоказаний, связанных с физической природой магнитного поля. МРТ не проводят:
больным с вживленными электронными устройствами медицинского назначения;
людям с татуировками, выполненными ферромагнитными красками;
пациентам с металлическими эндопротезами, расположенными в зоне исследования;
женщинам с грудными имплантатами при наличии магнитных направляющих.
Некоторые металлы, взаимодействуя с индуцируемым аппаратом полем, могут нагреваться, вызывая неприятные ощущения у пациента. Несъемные протезы в рассматриваемой зоне становятся причиной появления дефектов на послойных изображениях, затрудняя расшифровку результатов.
Электромагнитные приборы взаимодействуют с полем томографа, что может привести к поломке оборудования. Пациентам с кардиостимуляторами, инсулиновыми помпами и другими устройствами назначают альтернативное инструментальное исследование.

Онкологический процесс на томограммах щитовидной железы
МРТ противопоказана на ранних сроках беременности. Контрастирование запрещено вне зависимости от периода гестации. Не используют раствор гадолиния у пациентов, страдающих тяжелыми патологиями печени и почек. Причиной служит усиление нагрузки на органы фильтрации в процессе выведения препарата.
Подготовка к МРТ щитовидной железы
Процедура магнитно-резонансной томографии достаточно проста, при необходимости сеанс проводят в день обращения в клинику. Специальной подготовки МРТ щитовидки не требует, пациенту нужно предупредить врача о возможных противопоказаниях, сообщает о сопутствующих заболеваниях.
При повышенной нервозности, клаустрофобии, выраженном болевом синдроме перед обследованием проводят премедикацию. По рекомендации специалиста пациент принимает седативные и обезболивающие препараты (самостоятельное употребление лекарственных средств перед сканированием запрещено).
В случае МРТ с контрастированием желательно перекусить за час до сеанса. Кормящие женщины заранее сцеживают молоко для ребенка. Прикладывать малыша к груди после внутривенной инъекции контраста рекомендуют не раньше чем через 6-12 часов.

Исследование щитовидной железы на закрытом томографе
Перед сканированием пациент переодевается в удобный комплект (пижаму), снимает металлические украшения, пирсинг, аксессуары и ложится на стол томографа. Конечности и голову больного фиксируют при помощи креплений и валиков, что позволит обеспечить неподвижное положение тела во время исследования.
Видно ли на МРТ рак щитовидной железы?
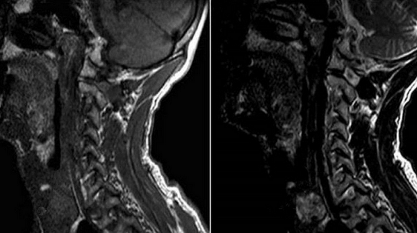
Благодаря резонансному движению заряженных частиц в ответ на воздействие магнитного поля метод визуализируют структурное перерождение тканей, изменение формы, размеров, контуров сканируемого органа. Послойные фотографии, сделанные в аксиальной, фронтальной и сагиттальной проекциях, отображают малейшие трансформации щитовидной железы, включая патологии кровеносных сосудов.
Основными признаками злокачественной опухоли на МРТ являются:
неоднородная структура образования, наличие кист и кальцинатов;
размытый ореол вокруг опухоли (что свидетельствует о перифокальном отеке паренхимы железы);
отсутствие четкой границы между пораженными и здоровыми тканями, инфильтрация атипичных клеток в окружающие структуры;
особенности кровообращения: собственная сеть сосудов представляет собой сложную запутанную систему с большим количеством анастомозов.
Контрастная МРТ при раке щитовидной железы показывает медленное накопление индикатора, что является признаком малигнизации (озлокачествления) образования.
Метод отражает состояние окружающих тканей, позволяет выявить как первичное образование, так и метастазирование опухоли в регионарные лимфатические узлы, загрудинную область, ткани шеи. Точную локализацию очага и степень прорастания атипичных клеток в соседние структуры устанавливают при помощи трехмерного изображения сканируемой зоны.

Метастазы на снимках МРТ шеи
Врач-рентгенолог указывает в описании признаки злокачественного образования щитовидной железы, но окончательный диагноз ставят на основании дополнительных исследований (биопсии, клинических анализов и пр.)
Что лучше: МРТ или КТ щитовидной железы?
Выбор метода сканирования зависит от состояния здоровья пациента. Оба вида томографии детально визуализируют строение щитовидной железы, отражая патологические изменения уже на начальных этапах заболевания.
КТ показана лицам, имеющим противопоказания к назначению магнитно-резонансного сканирования. При наличии металлических штифтов и коронок рекомендуют делать рентгеновское обследование, позволяющее получить четкие снимки без дефектов и искажений. Преимуществом рентгена является продолжительность процедуры - один сеанс занимает не более 15 минут.
Компьютерная томография головы и шеи дает наиболее точное изображение костных и хрящевых структур. МРТ информативнее в отношении мышечных волокон, жировой клетчатки, эпителиальной и нервной тканей. Магнитно-резонансное сканирование не дает вредной ионизирующей нагрузки, поэтому может применяться при обследовании беременных во 2 и 3 триместре.

Новообразование в области щитовидной железы
Читайте также:
