УЗИ печени при остром гепатите
Добавил пользователь Владимир З. Обновлено: 01.12.2025
Жировой гепатоз, что это и когда встречается на УЗИ
Накопление жира в печени является неспецифическим ответом на широкий спектр причин. Этот диагноз можно поставить гистологически, когда печень содержит более 7 процентов жира, поскольку липидные вакуоли появляются в цитоплазме клетки. Жировая инфильтрация обычно связана с длительным повреждением, но может быстро накапливаться, например, при парентеральном питании, и в некоторых случаях она также может быть быстро обратимой. Печень при этой патологии на УЗИ обычно «светлая» или «яркая». Повышенное эхо в печени происходит из-за увеличения количества коллагена, а не жира, хотя некоторые врачи считают, что за это отвечает сам жир. Ультразвуковое исследование не является очень точным средством диагностики жирового гепатоза, пока не установлены патологические изменения. Субъективная оценка эхогенности печени имеет положительную прогностическую ценность от 65 до 100 процентов и отрицательную прогностическую ценность от 67 до 94 процентов. Уровень ложных совпадений с диагнозом низкий, но чувствительность составляет всего 60 процентов (90 процентов в тяжелых случаях). Яркость печени можно оценить по сравнению с правой почкой, которая обычно менее эхогена, чем печень. Эхогенность по УЗИ также можно оценить, оценивая внешний вид портальных сосудов.
- I Степень незначительное (умеренное) диффузное увеличение эхогенности печени, но обычно хорошо визуализируется внутрипеченочные сосуды.
- II Степень регистрируется умеренное повышение печеночной эхогенности с небольшим нарушением визуализации печеночных сосудов.
- III Степень отмечается увеличение эхогенности в сравнении со стенками воротной вены и трудно определяемой диафрагмой. Глубокие части печени также могут быть трудно различимы.
УЗИ при жировом гепатозе
Печень увеличивается с увеличением силы и количества возвращающихся эхосигналов, что приводит к яркой печени. Общая паренхиматозная структура довольно нежная, поэтому повышенная эхогенность не всегда одинакова с региональными различиями. Вероятно, это связано с тем, что жировая инфильтрация может быть неоднородной, особенно при остром злоупотреблении алкоголем, приеме стероидов и недоедании (например, при раке). Правая доля поражается чаще всего. Появляются жировые изменения в виде полос. В отличие от патологических изменений при опухоли, сосуды, проходящие через жировые области, имеют незначительное смещение или не имеют их совсем. Сосудистые структуры, в том числе стенки портальной вены, менее заметны, чем обычно, и наблюдается заметное ослабление эхогенности (уменьшается отражение ультразвукового луча при прохождении через печень при гепатозе). Стенка желчного пузыря может плохо определяться. При этом все эти изменения на УЗИ неспецифичны и непостоянны. В случае сомнений жировые изменения в печени легче всего подтвердить с помощью компьютерной томографии (КТ) или магнитно-резонансной томографии (МРТ).
Описан парадоксальный недостаток ослабления ультразвука с грубыми жировыми изменениями в печени, что служит иллюстрацией роли рассеяния в ослаблении ультразвукового луча. Сообщенные случаи также демонстрируют важность использования преобразователя на 5 МГц, где жировые изменения являются диффузными и где нельзя полагаться только на повышенное затухание.

Очаговая жировая инфильтрация на УЗИ
Жировая инфильтрация печени часто бывает неоднородной и может быть очаговой, диффузной, узловой или многоочаговой. Это может иногда вызывать диагностические проблемы. Очаговый жир может имитировать эхогенные образования печени. В этом случае «жировое скопление» может имитировать такие поражения на УЗИ, как гемангиома, гепатоцеллюлярная карцинома, аденома, очаговая узловая гиперплазия или одиночное метастатическое отложение. С другой стороны, нормальные участки печени могут имитировать гипоэхогенные образования. Фокусное отсутствие поражения чаще всего наблюдается в квадратной доле под капсулой и в околопузырной области. Большинство проблем с ультразвуковой диагностикой возникают при незначительном очаговом жировом гепатозе. Особенности, которые предполагают очаговую инфильтрацию жиров или незначительное поражение печени
- географическое или слабое распределение жира
- острые угловатые границы с нормальной тканью (опухоли и абсцессы, как правило, более округлые)
- отсутствие масс-эффекта без попытки смещения, искажения или сдавления сосудов
- как правило, происходит слияние нормальной и жировой ткани, распределение жира имеет тенденцию к долевому или сегментарному распределению.
В случае сомнений радиоизотопное сканирование или КТ подтвердят или опровергнут диагноз. При сканировании изотопов коллоидной серой Tc-99m опухоль не видна. На КТ эхогенные жировые зоны на УЗИ соответствуют областям с низким затуханием на КТ. Очаговый жир также может быть подтвержден с помощью МРТ.
Острый жировой гепатоз у беременных при ультрасонографии
Размер печени и гистология печени остаются нормальными при неосложненной беременности. Во втором и третьем триместре наблюдается повышение уровня ферментов печени в сыворотке крови, но они имеют плацентарное происхождение. Уровни билирубина и аминотрансферазы в сыворотке остаются в пределах нормы. Острая жировая инфильтрация печени на УЗИ при беременности обычно проявляется после 30-й недели беременности. Это чаще встречается при двойне и преэклампсии. У пациентов изначально присутствуют неспецифические приходящие симптомы, за которыми во многих случаях следует выраженная печеночная недостаточность. Расстройство обычно связано с высокой смертностью. Однако в последнее время сообщалось о более легких случаях без явной печеночной недостаточности с хорошим прогнозом. Единственное известное лечение - прерывание беременности. При визуализации у пациентки выявляют яркую печень на УЗИ, связанную с асцитом. Эхогенность печени зависит от степени жировой инфильтрации. Изменения при жировом гепатозе на УЗИ также могут быть пятнистыми.
Врожденная генерализованная липодистрофия — это редкое наследственное заболевание, связанное с мышечной гипертрофией, отсутствием жировой ткани и гепатомегалией. Существует жировая инфильтрация печени, гипертриглицеридемия и инсулинорезистентный сахарный диабет. УЗИ брюшной полости как правило показывает гиперэхогенную печень.
Увеличение печени на УЗИ
Острый гепатит - одно из многих заболеваний печени, при котором возможна гепатомегалия на УЗИ. Затухание ультразвука в печени происходит и в норме. Однако описана диффузная перипортальная повышенная эхогенность в случаях острого вирусного гепатита. Этот паттерн, вызванный инфильтрацией лейкоцитами, также может появляться при токсическом гепатите. Однако этот проявление при ультразвуковой диагностики печени не является ни постоянным, ни конкретным.
Обычно, в первые дни вирусной инфекции, стенка желчного пузыря настолько сильно утолщена, что его просвет может стать виртуальным. Это также обнаруживается при вено-окклюзионном заболевании, из-за реакции «трансплантат против хозяина» во время трансплантации костного мозга, связанной с реверсией портального кровотока. Хронический активный гепатит может также вызвать абдоминальную лимфаденопатию, которая может представлять собой единственную аномалию при ультразвуковой визуализации.
Увеличение печени на УЗИ при вирусном гепатите
Гепатит - общее название для воспалительных и инфекционных заболеваний печени, которых насчитывается множество причин. Заболевание может возникнуть в результате местной инфекции (вирусный гепатит), от инфекции в других частях тела (например, инфекционный мононуклеоз или амебиаз), или от химического или токсичного препарата. Более мягкое воспаление ухудшает функцию гепатоцитов, в то время как более тяжелое воспаление вызывает некроз и может привести к непроходимости крови и желчи в печени и нарушение функции клеток печени и приводит к ее увеличению.
Гепатит является результатом инфекции, вызванной той же группе вирусов, которые специально направлены на гепатоциты. Они включают вирус гепатита a (HAV), вирус гепатита В (HBV), вирус гепатита С (HCV), вируса гепатита D (HDV) может, вирус гепатита Е (HEV) и гепатит G. В Красноярске на УЗИ печени встречается около 60% пациентов с острым вирусным гепатитом типа B, около 20% с типом A, и около 20% - это другие типы. Пациенты с острым и хроническим гепатитом изначально может представить симптомы похожие на грипп с поражением желудочно-кишечного тракта, в том числе потеря аппетита, тошнота, рвота и усталость. Вирусный гепатит может быть смертельным из-за вторичного острого некроза печени или переходит в хронический гепатит, который может приводить к портальной гипертензии, циррозу печени и формированию гепатоцеллюлярной карциноме (ГЦК).
Гепатит А распространяется преимущественно за счет фекального загрязнения, т. к. вирус живет в желудочно-кишечном тракте. Этот вирус найден во всем мире. В развивающихся странах эта болезнь является эндемической, и заражение чаще происходит у детей младшего возраста.
Гепатит А - это острая инфекция, которая приводит к полному выздоровлению или смерти от острой печеночной недостаточности. Гепатит B вызван вирусом типа В, который существует в крови и может передаваться через переливание инфицированной крови или плазмы, или через использование зараженных игл. Гепатит B представляет собой наибольший риск для работников здравоохранения из-за особенностей передачи. Этот вирус также содержится в жидкостях организма, таких как слюна и сперма, и может передаваться при половом контакте.
Гепатит С диагностируется по наличию в крови антител к вирусу гепатита С (анти-HCV). Это заболевание является серьезной проблемой здравоохранения в Красноярске.
Гепатит D - это вирус, у которого его инфекционность полностью зависит от вируса гепатита В. От этой в Красноярске, страдают в первую очередь на потребители инъекционных наркотиков.
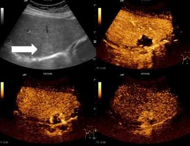
УЗИ печени при остром гепатите
При остром гепатите, без осложнений, клиническое выздоровление обычно наступает в течение 4 месяцев. Осложнения гепатит сопровождается повреждением печени и может варьироваться от легкого заболевания до массивных некрозов и печеночной недостаточности. На УЗИ печени врач может увидеть патологические изменения включают следующие:
- повреждения клеток печени, набухание гепатоцитов, и дистрофия гепатоцитов, которое может привести к некрозу клеток;
- ретикулоэндотелиальный и лимфоидный ответ в виде расширения клеток Купфера;
- регенерацию.
Результаты ультразвукового исследования. На УЗИ текстура печени может казаться нормальной или сонографист может заметить, что границы воротной вены более заметным, чем обычно и паренхимы печени является немного более эхогенная, чем обычно, обогащение сосудистого рисунка зачастую присутствует. Определяется гепатоспленомегалия и утолщение стенки желчного пузыря.
УЗИ печени при хроническом гепатите
Существуют хронические гепатиты, когда нет клинических или биохимических признаков воспаления печени, когда латентный период выходит за пределы 6 месяцев. Его причины включают вирусные, метаболические, аутоиммунные, или наркотические. При хроническом активном гепатите, на УЗИ печени имеются более обширные изменения, чем при хроническом персистирующем гепатите, воспаление, охватывающее околодолевые зоны, и вызывает фрагментарный некроз, который часто сопровождается фиброзом. У пациентов может наблюдаться тошнота, анорексия, потеря веса, тремор, желтуха, темная моча, усталость и варикоз вен пищевода. Хронический персистирующий гепатит является доброкачественным, саморегулирующимся процессом. Хронический активный гепатит обычно прогрессирует к циррозу и печеночной недостаточности.
Результаты ультразвукового исследования. На УЗИ, кроме увеличения, паренхима печени будет крупнозернистой с уменьшением яркости портальной триады, но степень затухания не столь велик, как это видно при жировой инфильтрации. Печень при хроническом гепатите может и не увеличиваться в размерах. Фиброз на УЗИ может быть очевидным, что может произвести к появлению «мягкой тени» кзади от печени.
При хроническом гепатите наблюдается увеличение затухание ультразвуковой структуры печени, так и микронодуляция, которая также имеет тенденцию быть перипортальной. Мы обсудим подобные изменения в статье о циррозе. При хроническом активном гепатите печень на УЗИ имеет гетерогенный вид, который трудно отличить от других патологий. Мы снова обсудим гепатит в статьях о желтухе, а также в разделах, посвященных острому холециститу и панкреатиту. Точный диагноз требует биопсии под ультразвуковым контролем.
На самом деле, хотя невозможно точно определить наличие острого панкреатита без гистологических данных, не редкость увеличение поджелудочной железы в случаях, связанных с гепатитом. Предполагаемый диагноз панкреатита, по данным УЗИ, подтверждается тем фактом, что железа возвращается к нормальному размеру, когда гепатит исчезает.
Врожденный фиброз на ультрасонографии
В случаях врожденного фиброза существуют перипортальные гиперэхогенные зоны, которые распространяются по всей печени. Эта неспецифическая патология печени обычно обнаруживается при ультразвуковом обследовании печени, обусловленном диагнозом почечная канальцевая эктазия. Гиперэхогенные перипортальные зоны, обусловленные фиброзом, также встречаются при шистосомозе и бактериальном холангите, который обусловлен паразитом Clonorchis sinensis, также ответственным за внутрипеченочные камни. Фиброз также вызван хроническим токсическим гепатитом.
Таким образом, перипортальные гиперэхогенные зоны могут быть обусловлены:
- острый гепатит
- хронический токсический гепатит
- врожденный фиброз
- шистосомоз
- бактериальный холангит
Необычной причиной гиперэхогенных зон в печени является наличие микропузырьков воздуха, распространяющихся из воротных вен, например, в случае некротического энтерита. В таких случаях можно оценить сильное эхо от микропузырьков в воротной вене, и их следует отличать от нормальных эхосигналов, вызванных агломерированными эритроцитами.
Другие неспецифические гепатомегалии при ультразвуковом исследовании
Я не буду перечислять все причины гепатомегалии: хороший врач знает их наизусть. Гепатомегалия является одной из патологий, обнаруженных при лимфомах и лейкозах. Тем не менее, лимфомы могут также привести к гетерогенному появлению печени из-за метастазирования. Это будет обсуждаться далее.
Болезни накопления гликогена (гликогенозы) на УЗИ
Определенные метаболические нарушения приводят к повышенной размеров и эхогенности печени при относительно небольшом затухании. Эхогенность печени значительно очевидна по сравнению с почкой. Эта особенность была названа «белой печенью».
У взрослых белая печень на УЗИ обычно возникает в связи с диффузной жировой инфильтрацией. Диагноз стеатоза может быть подтвержден с помощью компьютерной томографии, которая показывает очевидные области пониженной плотности. Редко белая печень может быть результатом гемосидероза. В таких случаях КТ показывает повышенную плотность. Как будет видно позже, стеатоз печени часто затрагивает только часть печени («частичный стеатоз»). У ребенка несколько метаболических нарушений могут вызывать похожий вид при ультрасонографии. К ним относятся стеатоз, гиперактивация, стероидная терапия, болезнь накопления гликогена, непереносимость фруктозы и тирозинемия.
За исключением процессов, которые могут быть четко определены биохимическим анализом или компьютерной томографией, все эти проявления совершенно неспецифичны. Только биохимические тесты и / или биопсия могут привести к определенному диагнозу. На другом конце спектра от белой печени описана транзиторная легкая прозрачность печени в случаях септического шока (болезнь Шихана). Это может быть подтверждено экстренной денситометрией на КТ.
Стеатозы (жировая инфильтрация) могут вызывать сложные диагностические проблемы. Некоторые из них систематизированы с вовлечением только доли или сегмента, или, наоборот, частично или полностью проникают в сегмент или подсегмент. Тем не менее, многие частичные стеатозы появляются в виде гиперэхогенных областей или псевдоузлов. С другой стороны, нормальная печеночная ткань между гиперэхогенными зонами может имитировать гипоэхогенные поражения. Правильная идентификация стеатоза основана на анализе венозных ветвей, которые не изменяются через гиперэхогенные зоны. В некоторых случаях для подтверждения диагноза требуется денситометрия КТ.
Сегментарное расположение небольших участков отражает сосудистое происхождение. На самом деле, локальное снижение портального кровотока, по-видимому, является причиной фокально измененных областей при жировой инфильтрации печени на УЗИ. Диффузный или частичный, стеатоз может быстро меняться - уменьшение жировой инфильтрации наблюдается после гипокалорийной диеты. Я часто наблюдал быстрое наступление стеатоза после химиотерапии у онкологических больных.
Локальная жировая инфильтрация и, наоборот, местное вовлечение части сегментов и требует рассмотрения сосудистых аномалий: опухолевый тромбоз портальных ветвей, в частности холангиокарциному, которая может вызывать долевую или секторную атрофию и резко деформирует контуры печени при ультразвуковом исследовании. Это также наблюдается при многокамерном эхинококкозе, поскольку этот паразитарный процесс проникает в венозные ветви и блокирует их. Инфаркты печени могут быть гипоэхогенными. Полный некроз приводит к появлению разреженных участков на УЗИ, напоминающих участки абсцессов и некротизированных новообразований.
Как упоминалось выше, при необходимости КТ денситометрия играет важную роль в диагностике жировой инфильтрации и гемосидероза. МРТ и МРТ-спектроскопия также полезны при диагностике некоторых диффузных процессов, особенно в «железной печени». Но во многих случаях, если гепатомегалия и диффузные изменения печени не входят в число различных признаков документированного патологического состояния, пункционная биопсия с крупной сердцевиной остается необходимой.
Болезнь Гоше (глюкоцереброзидное отложение) вызывает неспецифическую гепатомегалию. Болезнь Вильсона (местное отложение меди) не имеет специфической ультразвуковой картины.
Инфаркты печени на УЗИ являются исключительными, поскольку существует двойное кровоснабжение. При наблюдении (например, при шоке или травме) они вызывают не диффузные изменения, а гипоэхогенные области. Классически они имеют периферическую форму и форму клина. На самом деле они могут быть центральными, круглыми или овальными. Они чаще встречаются в трансплантированной печени, так как могут быть связаны с портальным и артериальным тромбозом.
УЗИ печени при остром гепатите
Особенности УЗИ диагностики печени при гепатите
Особенности УЗИ диагностики печени при гепатите
С помощью ультразвуковой диагностики можно оценить структуру печени и желчного пузыря, а также заподозрить заболевания органов брюшной полости.
Диагностика выполняется специальным датчиком, который прикладывают к животу
Чтобы приготовиться к провидению данной процедуры необходимо:
- за три дня до проведения исследования оказаться от молока, капусты, газированных напитков;
- уменьшить количество выпитой жидкости до полутора литров;
- при наличии метеоризма (вздутие кишечника) рекомендовано препараты, которые уменьшают данный нежелательный симптом.
Показание к проведению УЗИ печени:
- заболевания органа (стеатогепатоз, гепатит, цирроз, злокачественные или доброкачественные образования);
- увеличение размеров печёнки;
- подозрения на паразитарные заболевания печени;
- отклонения от нормы в анализах крови на печеночные ферменты;
- асцит - скопления жидкости в брюшной полости.
Ультразвуковые признаки HBV
При гепатите В присутствует симптом диффузного снижения печеночной эхогенности. Чаще всего причиной гепатомегалии (увеличения органа) при данном заболевании, для которого характерное равномерное снижения эхогенности тканей печени, является острый гепатит.
Вследствие этих изменений стенки веток воротной вены выглядят более яркими - симптом «звездного неба». Довольно часто можно обнаружить утолщения стенок желчного пузыря. УЗИ не является основным методом диагностики при гепатите В и чаще всего используется для исключения других патологий печени.
Как выглядит орган во время диагностики
Ультразвуковые признаки HCV
Для данного заболевания свойственно повышение эхогенности органа. Чаще оно протекает хронически и сопровождается фиброзом и циррозом.
Что показывает УЗИ печени при гепатите С? Эхографическая картина при недуге и ранних стадиях цирроза неспецифическая. В некоторых случаях орган может выглядеть без патологических изменений.
На фоне тяжелого длительного заболевания можно обнаружить гепатомегалию, диффузное и неравномерное увеличение эхогенности паренхимы печени. Также рассматривается ее акустическую неоднородность. Она обусловлена чередованием участков повышения и снижения эхогенности.
Заключение исследования может показывать увеличение акустической плотности воротной вены. Возможно уменьшение диаметра гепатических вен, снижение структуры сосудистого рисунка печени из-за ухудшения визуализации мелких веток воротной и печеночных вен, обусловленное увеличением эхогенности и неоднородности структуры паренхимы органа.
Специфическим симптомокомплексом описывается поздняя стадия цирроза печени, которая встречается при хроническом гепатите С. К нему относятся следующее эхопризнаки:
- уменьшение размеров правой доли органа с увеличения хвостатой;
- неровный и бугристый контур печени;
- выраженная гетерогенность ее структуры, обусловленная чередованием участков повышенной, средней и сниженной эхогенности;
- диффузная гиперэхогенность паренхимы;
- деформации сосудистого рисунка различной степени;
- признаки портальной гипертензии (спленомегалия, увеличение диаметра воротной и селезеночной вен, портосистемные шунты - реканализированная пупочная вена в круглой связке печени, спленоренальные шунты, асцит).
На видео ниже, вы можете посмотреть, как выглядит цирроз на УЗИ.
При диагностике цирроза печени наблюдается следующая картина:
- Орган увеличен.
- Край его неровный с постепенным уменьшением и деформированием правой доли.
- Появление спленомегалии.
- Различие картины в зависимости от стадии (острой и хронической).
- При любом течении гепатита наблюдается равномерное увеличение печени.
- Контуры: при остром - ровные, при хроническом могут быть и бугристыми.
- Эхогенность паренхимы: понижена или нормальная при реактивном течении, неизмененная или умеренно повышенная при хронической.
- Нарушение печеночных вен: суженые при острой форме или уплотнения стенок и постепенное сужение при хронической. Эхоструктура: в первом случае гомогенная, во втором - негомогенная.
- Состояние веток воротной вены: «подчеркнутая» гиперэхогенность стенок «звездное небо» и нормальная или расширенная структура.
- Изменения вне печени: для острого гепатита отсутствуют, для хронического - спленомегалия.
Лекция об УЗИ: интересно и доступно на следующем видео.
Дополнительные способы диагностики: интерпретация результатов
Фиброскан или эластография - это новый неинвазивный метод исследования. С помощью специальных ультразвуковых волн он изучает эластичность тканей органа. Процедура позволяет диагностировать такие патологии, как гепатит, стеатогепатит и печеночный цирроз.
Маркеры вирусного заболевания, которые могут определить наличие возбудителей или антител к ним в крови пациента. Существуют несколько видов таких специфических белков.
В следующем видеоролике краткая информация о маркерах патологии.
К гепатиту В:
- HBsAg;
- HBeAg;
- Анти HBCIgM;
- Анти HBc;
- Анти HBe;
- Анти HBs;
- HBV ДНК.
Также используют маркеры к Гепатиту С:
- Anti-HCVIgM;
- Anti-HCVcoreIgG;
- Anti-HCVNSIgG;
- RNAHCV.
Радионуклидная диагностика позволяет получить изображение печени и желчевыводящих путей. При таком методе пациенту вводят радиофарм препарат (РФП) внутривенно. Затем это вещество кровью транспортируется к гепатоцитам (гепатобилисканография) или эндотелиальным клеткам (гепатосканография или гепатосцинтиграфия).
В прямой проекции визуализируется треугольник, где можно определить правую и левую долю. В боковой - тень исследованного органа имеет вид овала или ромба. Во всех положениях специальное контрастное вещество равномерно распределяется в тканях гепатобилиарной системы.
Допплерография - исследование, которое дает возможность определить состояние кровотока таких жизненно важных сосудов: поджелудочной, воротной, нижней полой вене, печеночной вене и артерии, а также ветвях последней.
На картинке изображено шкалу фиброза, которую используют при выполнении эластометрии.
Шкала оценки фиброза органа
Эхоанатомия органа
Нормальная анатомия органа при исследовании
Во время проведения УЗИ печенка визуализируется в правом верхнем квадранте живота. В большинстве случае можно определить все четыре ее анатомические доли: правая и левая, квадрантная и хвостатая. С помощью УЗИ также изучают восемь сегментов печени.
Величину органа оценивают на основании определения максимального косого размера правой части по среднеключичной линии (не более 150 мм), толщина, или передне-задний размер, левой (до 60 мм).
Капсула печени четко определяется как гиперэхогенная структура вокруг ее контура, который должен быть ровным и непрерывным.
Неизмененная паренхима печени на УЗИ выглядит мелкозернистой и гомогенной. Ее эхогенность по сравнению с правой почкой немного выше, но ниже, чем у поджелудочной железы.
Как должен выглядеть здоровый орган
Анэхогенные трубчатые образования, которые визуализируются на фоне гомогенной эхоструктуре печени, соответствуют веткам воротной и печеночным венам. Их различают на основе анатомического расположения и определения эхогенных стенок в ветках воротной вены.
УЗИ печени: стоит ли идти на целевое обследование
Печень выполняет детоксикационные функции. В ней синтезируется желчь, и проходят обменные процессы.
К вирусным патологиям печени относятся гепатиты. При сахарном диабете, болезни Крона, при нарушении метаболизма развивается гепатоз. Структура печени изменяется при появлении гемангиомы или липомы.
УЗИ печени позволяет точно определить наличие патологических изменений в тканях печени, проследить за эффективностью восстановления органа в ходе проведения лекарственной терапии.
Суть диагностического метода
Звуковые волны с помощью аппарата УЗИ проникают вглубь тканей, отражаются от них с разным уровнем акустической плотности. Это дает возможность получать четкое изображение на экране монитора. Определяя степень эхогенности органа, специалист фиксирует отклонения от нормальных показателей.
Наличие диффузных изменений, нарушение однородности структуры свидетельствует о функциональных нарушениях печени.
Метод УЗИ позволяет врачу решить следующие задачи:
- измерить орган и определить его плотность;
- выяснить присутствуют ли в тканях узлы, рубцы, опухоли;
- оценить состояние желчевыводящих протоков и кровеносных сосудов.
При повышенной эхогенности следует осмотреть близлежащие лимфатические узлы, выяснить, не нарушен ли в них кровоток.
При обследовании целостность кожи не нарушается. Дискомфорта и боли пациенты не ощущают.
Показания к УЗИ
Назначают УЗИ гастроэнтерологи, терапевты, онкологи. Диагностическую процедуру проводят при следующих нарушениях:
- тошнота;
- рвота;
- снижение массы тела;
- пожелтение кожи;
- увеличение печени;
- отклонения от нормы в биохимическом анализе крови.
О том, как подготовиться к исследованию, пациента информирует врач. За 3 три до проведения процедуры из меню исключают копченое мясо, жареный картофель, газированные напитки, маринованные овощи, молоко, капусту. Эти продукты могут вызывать усиленное газообразование.
Для того чтобы улучшить переваривание пищи, иногда назначают Панзинорм или Фестал.
Расшифровка результатов
В норме у печени однородная эхоструктура и ровный, четкий контур.
В тканях здоровой печени отсутствуют жировые отложения и новообразования.
При циррозе значительно увеличиваются вены, разрастается соединительная ткань. Возрастает эхогенность паренхимы.
Размеры печени увеличиваются при гепатите. Структура при этом остается однородной. Если воспалительный процесс протекает длительное время, то в тканях появляются гиперэхогенные участки.
Округлую или овальную полость с тонкими стенками и анэхогенным содержимым специалисты обнаруживают в печени при возникновении кисты.
Повышенная эхогенность и умеренное увеличение печени свидетельствуют о присутствии гепатоза.
УЗИ печени — самое эффективное обследование

Печень — самый крупный орган брюшной полости, выполняющий жизненно важные функции. По многим причинам — некачественное питание, плохая экология, несвоевременная диагностика заболеваний ЖКТ и др., количество запущенных заболеваний печени ежегодно увеличивается. При этом обнаружить практически любую проблему можно очень быстро, выполнив УЗИ печени.
УЗ-обследование дает самую подробную информацию о состоянии печени, ее функционировании и изменениях.
Показания к проведению ультразвуковой диагностики печени
Диагностика заболеваний печени собственными силами — процесс проблематичный — большая часть заболеваний этого органа носит скрытый характер — яркие симптомы проявляются только тогда, когда процесс разрушения печени наблюдается отчётливо, а изменить что-либо бывает уже поздно. Зная это, многие люди регулярно проходят профилактическое обследование методом УЗИ, сохраняя таким образом свое здоровье, молодость и хорошее настроение. УЗИ печени входит в УЗ обследование брюшной полости, но может выполняться и отдельно.

Помимо профилактического обследования, существует ряд прямых показаний к УЗИ печени. Пройти УЗ-исследование нужно если присутствуют:
- Травмы брюшной полости;
- Неудовлетворительные анализы крови, по результатам которых можно предположить поражение печени;
- Болезненные ощущения и тяжесть в области правого подреберья;
- Желтоватый цвет кожных покровов;
- Изменение цвета склер;
- Гепатиты A, B и C;
- Заметно увеличенный размер печени;
- Подозрение на абсцесс и инвазию паразитарного типа;
- Новообразования различного характера, выявленные по результатам анализов;
- Проблемы гинекологического характера;
- Применение гормональных контрацептивов.
Более того, с помощью УЗИ обнаруживаются метастазы рака, вирусные патологии печени, кисты и кистозные образования, гемангиомы.
Какие заболевания показывает УЗИ печени?
Диагностика ультразвуком замечает даже малейшие отклонения от показателей нормы, не говоря уже о заболеваниях и патологиях, угрожающих жизни и здоровью пациента. Врач, изучив результаты УЗИ, выносит заключение о наличии таких патологий печени, как:
- Гепатит в острой и хронической форме;
- Кальцинаты, возникающие на фоне перенесенных заболеваний инфекционного типа (малярии, туберкулеза, амебиаза);
- Цирроз печени;
- Метастазы раковых опухолей;
- Гепатомы;
- Гемангиомы;
- Синдром Бадда-Киари.
На мониторе при проведении УЗИ печени появляется четкая картинка, на которой отчетливо видны контуры печени. Поэтому диагностика ультразвуком помогает с высокой точностью определить то или иное заболевание своевременно и избежать возможных осложнений.
УЗИ печени обычно проводится в качестве дополнительного обследования в случае обнаружения проблем с рядом расположенными внутренними органами.
Есть ли противопоказания к УЗИ печени?
УЗИ — процедура безопасная и безболезненная. Оно рекомендовано для взрослых и детей. Исследование печени ультразвуком может быть противопоказано лишь в одном случае — наличие у пациента ран и других повреждений кожного покрова в области живота, а также заболеваний дерматологического характера.
При таких явлениях гель на кожу наносить нельзя. Во всех других случаях УЗИ рекомендовано к применению, особенно при острых болевых синдромах. В таком случае печень во время диагностики визуализируется четко. Максимальную информативность УЗИ достигает при неоднократном повторении. Зачастую оно проводится по несколько раз через каждые 2-3 недели.
Как правильно подготовиться к УЗИ печени
Наиболее точный диагноз позволяет получить подходящее состояние брюшной полости. Поэтому большое значение имеет подготовка к УЗИ. Чтобы получить корректные результаты, нужно выполнять ряд несложных рекомендаций:
- Приблизительно за три дня до процедуры важно перестать употреблять в пищу фрукты, черный хлеб, молоко, газированные напитки — те продукты, которые способствуют газообразованию в кишечнике;
- За несколько часов до исследования необходимо принять препараты, уменьшающие метеоризм (эспумизан, активированный уголь, ферментные препараты);
- Если пациент страдает запорами, то перед УЗИ нужно очистить кишечник клизмой.
Как обследуют печень ультразвуком
Сам процесс займёт немного времени, около 15 минут. Никаких неприятных ощущений пациент при этом не испытывает. УЗИ можно проводить в положении лежа, сидя или стоя. Пациент обнажает живот, врач наносит специальный гель на область расположения печени и датчиком сканирует брюшную полость.
На монитор выводится четкое изображение, на котором видны все патологии. Это значительно облегчает процесс постановки диагноза.
Расшифровка результатов УЗИ печени

В нормальном состоянии печень располагается в правой части тела, в области подреберья. Из-за довольно крупных размеров печень не визуализируется полностью. Для полного исследования органов врач производит несколько манипуляций, которые оценивают форму, контуры и структуру печени.
На мониторе можно четко отличить доли печени: левую, правую, квадратную и хвостатую. Эти доли включают в себя 8 сегментов. Их изучение помогает верно определить локализацию патологии.
Если пациент правильно подготовился к исследованию, то можно увидеть несколько ямок небольшого диаметра в нижней части печени. Они образовались в результате близкого расположения органа к желудку, правому надпочечнику, толстой кишке и правой почке.
УЗИ не должно показывать связочный аппарат, только венечную борозду. Печеночные вены, желчевыводящие протоки и ответвления воротной вены в норме должны прослеживаться четко.
В процессе исследования печени ультразвуком врач подобно изучает каждую часть органа путем поперечного и косого сечения, измеряет их и фиксирует все размеры в протоколе исследования.
Читайте также:
