УЗИ при мишеневидном образовании печени
Добавил пользователь Дмитрий К. Обновлено: 28.01.2026

Лидер продаж в высоком классе. Монитор 21,5" высокой четкости, расширенный кардио пакет (Strain+, Stress Echo), экспертные возможности для 3D УЗИ в акушерско-гинекологической практике (STIC, Crystal Vue, 5D Follicle), датчики высокой плотности.
Введение
Ультразвуковые исследования (УЗИ) - часто первые в ряду диагностических поисков при подозрении на патологию печени, определяя выбор других методик. Совершенствование ультразвуковых диагностических технологий привело к тому, что в ряде случаев стало возможным отказаться от других радиологических исследований. Но это же повышает ответственность специалиста, требует клинически интерпретировать полученные результаты, не сводя описание к фиксации "эхопозитивных" и "эхонегативных" образований. Основная доля УЗИ в поликлинических условиях приходится на органы брюшной полости. И печень - первое, что в этом случае пытается визуализировать специалист. Заболевания печени могут быть заподозрены по предъявляемым жалобам, клинической картине, лабораторным данным, но нередко они выявляются случайно. Последнее относится, прежде всего, к детям, у которых доля врожденной патологии выше, чем у взрослых. Резервные возможности печени невероятны, поэтому задача врача - выявить патологию, прежде чем она станет клинически значимой.
Общие положения
Эмбриогенез печени и ее сосудов, анатомия. В раннем онтогенезе печень, желчный пузырь и желчный проток возникают как единый вырост (печеночный дивертикул) в каудальном отделе переднего отдела протокишки. Это образование растет вентрально в septum transversum, представляющую собой мезодерму между развивающимся сердцем и средним отделом кишки. Зачаток печени растет очень быстро, в первые 10 нед занимая бoльшую часть брюшной полости. В этот период размеры правой и левой долей печени одинаковые, но за счет оксигенированной крови из печеночной вены правая доля быстро обгоняет в размерах и массе левую. С 6-й недели печень является органом кроветворения, а с 12-й недели синтезирует желчь. Маленький каудально расположенный отросток на печеночном дивертикуле дает начало желчному пузырю, а его ножка - пузырному протоку. Из тяжика, идущего от печеночного и пузырного протока к двенадцатиперстной кишке, формируется общий желчный проток. В эмбриональный период кровь поступает в печень по пупочной вене, проходящей по свободному краю ligamentum falciforum в левую ветвь воротной вены. Эта часть v. portae соединяется с печеночной веной через ductus venosus, далее кровь поступает в правое предсердие. Таким образом, ductus venosus представляет собой большой венозный шунт в обход печени, благодаря которому основная часть крови из плаценты поступает непосредственно в сердце. Это единственный путь, по которому может быть проведен катетер. Если катетер при зондировании пупочной вены попадает в правую ветвь воротной вены, развиваются тромбоз, облитерация и портальная гипертензия. После рождения ребенка пупочная вена облитерируется и превращается в круглую связку печени (ligamentum teres). Ductus venosus трансформируется в ligamentum venosum. В первые часы после рождения эти структуры можно визуализировать как каналикулярные. Позднее ligamentum teres видна как плотная структура, распространяющаяся от левой части воротной вены. Если возрастает внутрипеченочное давление (при циррозе), круглая связка печени реканализируется. Портальная кровь начинает оттекать от печени к пупку, в результате чего варикозно расширяются околопупочные вены (caput medusae). Возможны аномалии нижней полой вены, но они крайне редки. Среди этих редких пороков чаще встречается леворасположенная нижняя полая вена, самостоятельно впадающая в правое предсердие через коронарный синус. Возможно недоразвитие печеночного сегмента нижней полой вены с дренажом крови через систему vv. azygos et hemiazygos. Печеночная вена самостоятельно дренируется в правое предсердие. Возможно удвоение нижней полой вены, при этом левая вена значительно меньше по диаметру, чем правая. Знание этих особенностей особенно важно в детской практике, так как существенная часть педиатрической патологии является врожденной.
Особенности локации (автор выражает благодарность компании Medison за предоставленную аппаратуру. Рис. 2-4 также предоставлены этой компанией). Начиная рабочий день, проверьте состояние аппаратуры. Убедитесь, что набор датчиков позволяет вам выполнить все исследования. Добейтесь, чтобы в направлении были приведены показания к проведению исследования, сформулированы цель и задачи, представлены основные клинические, лабораторные и инструментальные результаты. В беседе с родителями и ребенком (если он может формулировать свои проблемы) уточните все неясные моменты. Посмотрите на пациента как врач, а не как исполнитель при аппарате. Критически оцените прежние данные, сформулируйте свои показания. Имейте четкий план работы: период, в течение которого ребенок спокоен и позволяет выполнять процедуры, недолог.
Для УЗИ печени, селезенки, верхней части живота наиболее приемлем конвексный датчик. Угол обзора при этом большой, а деформация ближнего поля минимальная. Линейный датчик применим для визуализации мелких структур. Допплерография необходима при подозрении на сосудистые аномалии, гемангиомы.
Сканирование лучше проводить в положении ребенка на спине при максимальном вдохе или выдохе (в зависимости от особенностей ребенка). При вдохе легкие оттесняют печень, желчный пузырь и селезенку ниже реберной дуги, смещают толстую кишку, увеличивая акустическое окно. У детей старшего возраста иногда требуется осмотр через межреберные промежутки или в боковой проекции. Межкостальный доступ является оптимальным при расположении печени глубоко в подреберье. Чтобы избежать ложных заключений при нестандартных доступах, исследователь должен помнить об изменяющейся топографии органа, нарушениях обычного соотношения с ним почек, нижней полой вены, кишечника. Если в процессе осмотра печени возникли сомнения относительно состояния желчного пузыря или желчевыводящих путей, а ребенок подготовлен недостаточно, лучше закончить исследование и повторить его после подготовки. Важнейшее преимущество УЗИ перед другими методами неинвазивной визуализации (рентгенография, магнитнорезонансная - МРТ или компьютерная томография - КТ, ретроградная холангиопанкреатография - РХПГ) состоит в возможности повторять исследование так часто, как это диктуется клиникой.
Эхографическая картина нормальной печени. В норме печень ребенка гомогенна. Характер обработки сигнала выбирают в зависимости от цели исследования (рис. 1а, 1б). Капсула печени тонкая, эхогенная. Эхогенность паренхимы печени выше, чем паренхимы коры почек. Медуллярная ткань почек темнее паренхимы печени. Вентральный край печени тонкий, острый. При увеличении размеров печени он закругляется. Частым показанием к проведению УЗИ является подозрение на увеличение размеров печени. Существует много формул для расчета размеров печени, в том числе волюметрические. Последние используются в основном в научных целях или в специализированных клиниках. Размеры и конфигурация печени достаточно вариабельны. При рутинных исследованиях размеры печени можно оценивать качественно. Правая доля печени распространяется до нижнего полюса почки, но если существует риделевская долька (вариант нормы), то несколько ниже. У детей 1 года жизни левая доля при поперечном сканировании распространяется за срединную линию, у старших детей - до аорты. При гепатомегалии левая доля простирается вплоть до селезенки, сдвигая ее вниз. Смещение селезенки может служить причиной ошибочного заключения о спленомегалии. Таким образом, печень состоит из правой и левой долей. Кроме того, имеется и хвостатая доля. Доли печени делятся на сегменты. Упрощенно - правая доля имеет передний и задний сегменты (граница - правая печеночная вена). Левая доля состоит из медиального и латерального сегментов (граница - левая печеночная вена). Каждый сегмент имеет свое кровоснабжение. Поэтому при синдроме Бадда-Хиари (обструкция печеночных вен) сегменты увеличиваются в размерах, их эхогенность возрастает. Знание сегментов печени важно и для точной локализации объемных образований.

а) Эхограмма печени 12-летнего подростка в обычном режиме. Обратите внимание, что даже в 12-летнем возрасте круглая связка печени (стрелка), отходящая от левой части воротной вены, имеет каналикулярный вид (просвет внутри).
Ультразвуковая диагностика заболеваний органов пищеварения
Женщина 50 лет, госпитализирована с болями в верхнем правом квадранте живота. Ультразвуковое исследование органов брюшной полости было проведено в день поступления (рис. 1а, б).


Рис. 1. УЗИ печени.
a) На эхограмме в правой доле печени видны два гиперэхогенных образования с четкими контурами (3,0x1,5 см, 2,5x1,5 см).


б) На эхограмме в левой доле печени видно большое гетерогенное образование (5.0x4.0 см), имеющее дольчатое строение.
Диагноз - множественная гемангиома печени
Гемангиомы - наиболее часто встречающиеся доброкачественные опухоли печени. Среди всех поражений печени гемангиомы занимают второе место, уступая только метастатическим поражениям [1]. Хотя гемангиомы могут обнаруживаться в любых участках паренхимы печени, наиболее часто они встречаются в правой доле, располагаясь субкапсулярно или тесно прилегая к печеночным сосудам. У взрослых гемангиомы обнаруживаются в 0,4-20%, чаще у женщин [2,3]. Гемангиома может быть одиночной и множественной, расположенной внутри паренхимы, либо на ножке, размером от нескольких миллиметров до 20 см и более [2,4].
Боли в животе, как правило, наблюдаются при обширных образованиях в результате роста опухоли и развития тромбоза, либо из-за сдавления прилежащих органов.
Редко встречающимися осложнениями являются тромбоцитопения, гиперфибриногенемия и спонтанный разрыв гемангиомы [5,6]. Ряд продолжительных наблюдений показал, что в большинстве случаев гемангиомы остаются неизменными, хотя иногда их размеры могут увеличиваться или уменьшаться [6,7]. Было замечено влияние гормонов на рост некоторых гемангиом: увеличение их во время беременности и инволюция под действием кортикостероидной терапии [2,8].
Гемангиомы печени часто оказываются случайной находкой при ультразвуковом обследовании. Им свойственна характерная эхогенность, четкие признаки. Обычно диагноз может быть заподозрен при первом обследовании. Гемангиома имеет широкий спектр признаков при УЗ-обследовании. Наиболее общими, признаваемыми "типичными" признаками являются - маленький размер (диаметр не более 4 см), равномерное повышение эхогенности внутренней структуры, четкие контуры, субкапсулярное расположение в правой доле печени [9,10]. Нередко за гемангиомой наблюдается усиление звука [11]. Последующее наблюдение редко выявляет изменения в размере [7].
Небольшие гемангиомы обычно состоят из больших наполненных кровью кавернозных полостей, ограниченных слоем плоскоклеточного эпителия и разделенных фиброзными перегородками [12]. При микроскопии образование имеет ячеистую структуру. Множественные перегородки внутри гемангиомы создают характерную гиперэхогенность структуры [7]. Однако по мере роста гемангиомы могут произойти различные изменения: внутреннее кровотечение с некрозом, миксоматозные изменения, тромбоз, фиброз, кальцификация [13]. Эти изменения при эхографии могут проявляться гипоэхогенными, смешанной эхогенности и анэхогенными участками. Более того, исследование гемангиом размером более 4 см в диаметре показало, что некоторые из них имеют дольчатый контур, который соотвествует капсуле, определяемой при гистологическом исследовании и являющейся стенкой опухоли [5].
При наличии диффузной жировой инфильтрации гемангиому сложнее обнаружить при ультразвуковом исследовании [14]. Возросшая эхогенность печеночной паренхимы, инфильтрированной жиром, маскирует гемангиому. В случаях минимально выраженной жировой инфильтрации повреждения эхо-структуры могут быть минимальными, либо отсутствовать. В более выраженных случаях определяется зона повышенной эхогенности. Ультразвуковая картина гемангиомы печени при жировой инфильтрации будет меняться следующим образом - от гиперэхогенной вначале до изоэхогеннои и далее гипоэхогеннои по сравнению с инфильтрированной печенью.
Если ультразвуковые признаки достаточно типичны, пациенты с асимптоматичной гемангиомой и отсутствием риска малигнизации могут проходить повторные обследования с интервалом в 3-6 месяцев. У пациентов с риском малигнизации ситуация более сложная. В частности, гипоэхогенный ореол вокруг повреждения более соответствует метастазам, чем гемангиоме [15]. У большинства гемангиом имеется гиперэхогенный ободок по периферии, но нет периферического ореола или боковой тени. Так как гепатоцеллюлярная карцинома и метастазы рака толстой кишки, опухоли островковых клеток, карциноида, хориокарциномы могут манифестировать ультразвуковыми признаками, идентичными таковым при гемангиоме, ультразвуковое исследование не может быть единственным достоверным методом дифференциальной диагностики гемангиомы и рака. Поэтому для более точной диагностики необходимо проведение компьютерной томографии с контрастированием, радионуклидные исследования с мечеными эритроцитами, либо ядерно-магнитный резонанс.
В связи с тем, что неосложненные гемангиомы состоят из заполненных кровью сосудистых полостей, при стандартной компьютерной томографии они определяются как хорошо очерченные гомогенные образования, идентичные по плотности внутрипеченочным сосудам, и пониженной плотности по отношению к печеночной паренхиме [16]. Очаги пониженной по сравнению с кровью плотности могут быть видны внутри гемангиомы и представлять собой участок внутреннего фиброза. В печени с жировой инфильтрацией гемангиомы при компьютерной томографии выглядят гиперэхогенными, затрудняя тем самым точную оценку их структуры.
Компьютерные томограммы гемангиом после введения внутривенного контраста зависят от кровотока внутри образования и времени визуализации печеночного кровотока. Характерно, что кровь внутри гемангиомы медленно центростремительно течет от периферических синусоидов к центральным. Поэтому динамическая усиленная компьютерная томография с внутривенным контрастированием показывает центростремительное увеличение гемангиомы, плотность которой одинакова с плотностью прилежащих сосудов на том же уровне визуализации.
Общая интенсивность повреждения будет наибольшей по периферии на ранних стадиях введения контраста и уменьшается по мере снижения концентрации йода в кровотоке. Визуализация через 30 минут после введения контраста показывает изоэхогенность гемангиомы и окружающей печеночной паренхимы. Визуализация во время печеночной артериальной фазы внутривенного контрастирования (25-50 с после введения контраста) дает ярко выраженные пристеночные очаги по периферии гемангиомы. Эти узлы, считающиеся питающим сосудистым центром гемангиомы, характерны в диагностическом плане для гемангиом [18,19].
В нашем случае при ультразвуковом исследовании брюшной полости выявлено атипичное строение гемангиомы, динамическая компьютерная томография указывает на типичную гемангиому (рис. 2а, б). При этом важно знать, что только приблизительно в 54% случаев у больных с гемангиомами имеет место характерная перфузия с центростремительным усилением и поздним заполнением [20]. Однако в связи с тем, что этот тип усиления встречается только у 1,6% первичных и вторичных злокачественных опухолей печени, определение структуры данного усиления позволяет уверенно дифференцировать гемангиомы от злокачественных печеночных опухолей [20].

Рис. 2. КТ печени.
а) До контрастирования - в левой доле печени видно большое образование округлой формы.
Что такое очаговое образование печени
Смежные специальности: гастроэнтеролог, терапевт.
Адрес: Санкт-Петербург, ул.Академика лебедева, д.4/2.
Поражение печени может носить диффузный или очаговый характер. Это зависит от причины заболевания и первоначального состояния железы. В этой статье мы подробно рассмотрим, каким может быть очаговое образование печени, что это такое, и какими диагностическими методами оно выявляется. Большая группа заболеваний, которая проявляется формированием патологического очага в железе, имеет один общий признак - замещение нормальной паренхимы измененными тканями. Последние при этом не способны выполнять физиологические функции, отчего страдает не только печень, но и весь организм.
Новообразования могут иметь вид полости с жидкостным содержимым, отличаться высокой плотностью или располагаться в капсуле. Все эти характеристики можно выявить с помощью инструментальной диагностики, в том числе путем ультразвукового исследования. Особое значение для лечения и жизни человека имеет происхождение патологии - доброкачественное или злокачественное.
Особенности визуализации на УЗИ
С помощью ультразвукового исследования можно выявить следующие очаговые изменения печени:
- непаразитарные кистозные образования;
- бактериальные, паразитарные очаги;
- доброкачественные новообразования (аденому, сосудистые аномалии, гиперплазию);
- злокачественные;
- послеоперационные, посттравматические изменения.
С каждым годом число пациентов с печеночной патологией неуклонно растет. Это обусловлено некачественными продуктами, бесконтрольным приемом медикаментов, злоупотреблением алкоголем, а также поздней диагностикой заболеваний.
Очаговые поражения печени удается визуализировать на УЗИ, при компьютерной, а также магнитно-резонансной томографии. При этом можно заподозрить доброкачественное или злокачественное течение болезни на основании структуры образования.
Благодаря высокой информативности и безвредности ультразвуковую диагностику можно использовать в качестве профилактического метода для первичного выявления патологии, а также для оценки динамики (скорости прогрессии болезни).
Конечно, такое исследование не позволит верифицировать диагноз, однако с помощью УЗИ обнаружить патологический очаг вполне возможно.
Для подтверждения диагноза назначается томография и биопсия железы.
При ультразвуковом исследовании можно выявить изменения структуры печеночной ткани, визуализировать дополнительное образование, оценить его содержимое, размеры, плотность, а также проанализировать очертания самой печени, ее объем, сосудистый кровоток и состояние окружающих органов.
Кратко опишем в таблице особенности визуализации часто встречающихся новообразований в печени.
- локализуются поодиночке или в виде скоплений;
- ограничены от здоровой печеночной ткани капсулой;
- состоят из измененной ткани железы или небольших желчных протоков, которые имеют кистозные выросты и заполнены слизистой жидкостью.
- очаг с извитыми кровеносными сосудами;
- четкие неровные очертания;
- неоднородная структура.
- состоит из жировой ткани;
- диаметр зачастую не превышает 5-ти см;
- одиночная или формирует конгломерат с плотной капсулой.
- утрачивается дольчатость органа;
- наблюдается тканевая неоднородность;
- ограниченная или диффузная гиперплазия;
- эхогенность может быть выражена в большей или меньшей интенсивности (в зависимости от плотности тканей);
- наличие узловых образований, которые не увеличивают размер печени и не изменяют структуру паренхимы, указывают на нодулярную гиперплазию.
- образования в виде кист с одной или множеством камер;
- наличие внутриполостных перегородок;
- внутренняя поверхность фиброзной капсулы имеет различные выросты;
- содержимое кистозной полости может содержать слизь;
- локализация как в железе, так и желчевыводящих протоках.
- имеют капсулярную оболочку;
- жидкостное содержимое (прозрачное, с примесью крови или желчи) - расположение кист может быть непосредственно под капсулой печени или в глубине паренхимы;
- диаметр может превышать 20-ти см;
- наличие нескольких кист свидетельствует о поликистозе. внутриполостные сгустки указывают на ранний посттравматический период;
- фиброзные участки визуализируются на стадии рассасывания кистозного очага.
- прорастание в окружающие ткани;
- отсутствие четких границ;
- для точной диагностики требуется допплерография (для оценки кровотока) и эластография (для подтверждения диагноза).
Заметим, что даже доброкачественное течение заболевания при определенных условиях может принять злокачественную форму.
Доброкачественные образования
В большинстве случаев подобные очаги не проявляются яркой симптоматикой. Их структура может быть представлена эпителиальными тканями, как при аденоме, стромальными - при узелковой гиперплазии, или сосудистыми элементами, что характерно для гемангиомы.
Симптоматически доброкачественные опухоли практически не проявляются, поэтому их выявление при УЗИ обычно бывает случайным.
Только при значительном увеличении образования может беспокоить тяжесть в правом подреберье. Лечебная тактика зависит от размера опухоли и течения болезни. Прогноз зачастую благоприятный.
Теперь более подробно о каждом доброкачественном новообразовании.
Аденома
Аденома не так часто встречается в паренхиме железы. Она может состоять из клеток, напоминающих гепатоциты (печеночные клетки) - печеночно-клеточная аденома. Такой вид патологии в большинстве случаев диагностируется у женской части населения детородного возраста.
Очаги располагаются по одному или группами узелков, ограниченных от нормальной паренхимы капсулой. Учитывая риск стремительного увеличения аденомы (вплоть до 20 см в диаметре), с лечебной целью показано хирургическое вмешательство. Оно необходимо для предупреждения разрыва опухоли, повреждения сосудов и развития массивного кровотечения.
Кроме того, аденома может состоять из мелких желчных протоков с кистами и слизистыми скоплениями. Такой вид патологии больше характерный для мужской половины населения.
Гемангиома и липома
Изменения в печени в форме гемангиомы - наиболее распространенный вид поражения железы доброкачественного генеза. Структура образования представлена венозными элементами. Для него характерный медленный рост, отсутствие метастазирования и поражения здоровых печеночных тканей.
Несмотря на такое течение, все же рекомендуется регулярно проводить профилактическое УЗИ из-за риска развития осложнений:
- компрессии желчных протоков с затруднением оттока желчи;
- сдавления сосудов, что нарушает кровоснабжение органа;
- разрыва сосудов с возникновением кровотечения;
- злокачественного перерождения тканей.
Что касается липомы, то она образуется из жировой ткани. Ее диаметр зачастую не превышает 5 см.
Диагностика липомы начинает с УЗИ, однако зачастую требует дополнительного обследования, например, МРТ. В большинстве случаев жировик локализуется в правой доле, может быть единичным или располагаться группами. С течением времени подобные образования сливаются в конгломераты и окружаются соединительнотканной капсулой.
Из осложнений стоит выделить риск развития липосаркомы - злокачественного поражения печени.
Гиперплазия и цистаденома
При гиперплазии изменение клеток не наблюдается, однако нарушается дольчатость железы. В большинстве случаев патология имеет генетическое происхождение, диагностируется преимущественно в правой доле органа у женской части населения.
Учитывая схожесть со злокачественными очагами, требуется дополнительная диагностика. На УЗИ отмечается неоднородная структура, а также различная эхогенность (повышенная или пониженная).
При нодулярной гиперплазии в ходе обследования обнаруживается множество узелков до 4 см, причем размеры железы остаются в пределах нормы, а изменения паренхимы минимальны.
Отличием доброкачественного процесса является:
- медленный рост;
- отсутствие прорастания в окружающие органы;
- хороший ответ на терапию;
- отсутствие метастазирования.
Цистаденомы имеют доброкачественное происхождение, однако в 10% случаев наблюдается озлокачествление тканей. На УЗИ они выглядят как кистозные однокамерные структуры с фиброзной капсулой. Внутри кисты могут располагаться перегородки, папиллярные выросты и слизь. Подобные образования могут располагаться как внутрипеченочно, так и в желчевыводящих путях или пузыре.
Кистозные образования

Данные новообразования отличаются происхождением, структурой и размерами. Они могут быть воспалительными, паразитарными или врожденными, имеют капсулу и жидкостное содержимое. Обычно они заполнены прозрачной или желтоватой жидкостью, однако не исключено появление коричневого или зеленого оттенка, что указывает на примесь крови или желчи.
Кисты могут располагаться поверхностно или внутри железы, а также достигать 25 см. Если в ходе диагностики в каждом сегменте обнаруживается киста, принято говорить о поликистозе.
Непаразитарные кисты
Они представляют собой жидкостные образования с капсулой, которые образуются из желчных протоков. Регистрируются у 5% населения, преимущественно у женщин. Могут быть единичными или множественными, поражая при этом не более 30% печеночной ткани.
В большинстве случаев кисты располагаются в одной доле. При поликистозе поражается более 50% железистой ткани, причем кисты локализуются в обеих долях без сохранения нормальной железистой ткани между ними.
Если рассматривать ложные кисты, они образуются в посттравматическом периоде. Стенка новообразования представлена фиброзно-измененной тканью. Кроме того, подобные кисты могут формироваться после лечения гнойников или иссечения эхинококковой кисты. Их содержимое - светлая жидкость, которая иногда может иметь примесь желчи.
Клинически непаразитарные образования не проявляются, лишь изредка при значительном увеличении размера наблюдается тяжесть или болезненность в правом подреберье. Дискомфорт может быть связан как с растяжением капсулы железы, так и сдавлением окружающих органов.
Паразитарные кисты
Благодаря современным УЗИ-аппаратам диагност может точно установить локализацию новообразования и характер его содержимого. В диагностике также используются иммунологические методы, например, РИФА.
Альвеококкоз развивается вследствие заражения цестодами эхинококка, который отличается от возбудителя эхинококкоза морфологическими и биологическими особенностями.
Вначале более подробно рассмотрим эхинококкоз. Он считается довольно тяжелым заболеванием, развивается вследствие заражения организма эхинококком. Основная проблема диагностики заключается в длительном бессимптомном течении, из-за чего человек обращается к врачу на поздней стадии патологии. Объем содержимого кисты может достигать 5 литров.
Послеоперационные и посттравматические кисты
Рассматривая абсцесс печени, следует сказать об инфекционном происхождении патологии. Патогенные микроорганизмы проникают в ткань железы с желчью, лимфо- или кровотоком. Зачастую очаги локализуются в правой доле, имеют округлую форму и сопровождаются дискомфортными и болевыми ощущениями в правом подреберье.
Инфицированная полость в железе может формироваться при наличии внутрибрюшной инфекции, после ранений, травматического повреждения органа или хирургических вмешательств.
Помимо болевого синдрома заболевание проявляется лихорадкой, выраженной сластью и обильным потовыделением. По частоте встречаемости среди причин возникновения абсцесса лидирует инфекция желчных протоков (холецистит, холангит). Также воспаление может возникать после эндоскопических манипуляций или паразитарного заражения желчевыводящих путей.
На втором месте среди причин абсцессов стоит внутрибрюшная инфекция, которая по воротной вене проникает в печень. Такое наблюдается при дивертикулите (воспалении отростков кишечника), нарушении целостности кишки или язвенном ее поражении.
Гематомы формируются после травмы или хирургического вмешательства, когда в полости накапливается кровь, которая попала в паренхиму из поврежденного кровеносного сосуда.
В процессе ультразвукового исследования может обнаруживаться:
- образование, заполненное жидкостью со сгустками, что указывает на начальную стадию формирования кисты;
- очаг с густыми массами, перегородками разной толщины и плотными стенками (стадия прогрессирования);
- на последней стадии может обнаруживаться ложная киста с жидкостным содержимым или фиброзные участки, которые свидетельствуют о рассасывании кисты.
Злокачественные опухоли
В процессе лапароскопического исследования брюшной полости проводится забор материала, который в последующем отправляется на гистологию. Кроме того, лапароскопия дает возможность осмотреть окружающие органы, что необходимо для определения распространенности злокачественного процесса.

Морфологическую структуру опухоли можно установить только с помощью гистологического анализа.
Не всегда удается использовать пункционную методику под контролем УЗИ, так как материал может быть собран из непораженной части органа. В большинстве случаев патология диагностируется на поздней стадии, когда опухоль считается неоперабельной и наблюдается метастазирование.
Далеко не всегда с помощью ультразвукового обследования удается заподозрить злокачественный очаг, так как он может иметь одинаковую эхогенность с нормальными тканями железы. Только компьютерная и магнитно-резонансная томографии позволяют более точно установить локализацию очага, оценить его размеры, плотность, а также соотношение с окружающими тканями.
При использовании эластографии, а также эластометрии информативность УЗИ существенно возрастает. Важной частью диагностики является оценка кровотока в новообразовании.
Злокачественное поражение может иметь первичное или вторичное происхождение. В первом случае злокачественная трансформация клеток происходит непосредственно в печени. Что касается вторичного процесса, железа поражается метастазами из основной опухоли, которая может располагаться в другом органе. Зачастую печень поражается вторично.
Среди видов рака стоит выделить:
- гепатоцеллюлярную карциному, которая отличается быстрой прогрессией и высокой летальностью. В группе риска находится мужская часть населения после 50 лет;
- ангиосаркому, для которой также характерна высокая агрессивность;
- гепатобластому - проявляется узлами без капсулы, желтоватого оттенка. Патология диагностируется у грудничков.
Симптоматически злокачественный процесс проявляется:
- выраженным недомоганием;
- желтушным синдромом (пожелтением кожных покровов, слизистых оболочек, потемнением мочи и обесцвечиванием каловых масс);
- быстрым снижением массы тела;
- болевым синдромом в зоне правого подреберья;
- диспепсическими расстройствами (тошнотой, рвотой и метеоризмом);
- отсутствием аппетита.
При пальпации железа прощупывается плотным, бугристым, болезненным образованием. Лечебная тактика зависит от стадии онкопроцесса и морфологии опухоли. Если образование считается операбельным, его удаляют.

Лечение новообразований в печени составляется с учетом:
- вида заболевания;
- стадии патологического процесса;
- функционального состояния железы;
- общего состояния пациента (наличия аллергических реакций и сопутствующей патологии);
- риска развития осложнений (это касается тех случаев, когда образование затрагивает крупные сосуды, кишечник и диафрагму).
Особенностью злокачественного процесса является стремительный рост образования, метастазирование, прорастание в окружающие органы, угнетение функций органа и зачастую неблагоприятный исход, обусловленный поздней диагностикой и агрессивностью опухоли.
Диффузное поражение
Если при ультразвуковом обследовании обнаружена диффузно измененная ткань, стоит заподозрить гепатоз или цирроз. В зависимости от вида провоцирующего фактора гепатоз может быть:
- липидным, когда в гепатоцитах происходит отложение жира. При УЗИ выявляется усиление сигнала на всем протяжении железы, а также ее уплотнение. Выделяют три степени прогрессии жирового гепатоза. На первой - отмечается превышение содержания жировых включений в органе на уровне верхней границы нормы. На второй - диагностируется стеатогепатит, когда ткань диффузно поражена. Что касается третьей степени, для нее характерны фиброзные изменения, локализованные вокруг сосудов. При этом железа становится плотной;
- алкогольного вида;
- гепатоз беременных;
- неалкогольной формы;
- гепатоз при диабете.
Цирротические изменения подразумевают замещение нормальной ткани железы на соединительную. При ультразвуковой диагностике выявляется уплотнение ткани. При отсутствии терапии повышается риск озлокачествления печени.
Ультразвуковое исследование - безопасная диагностическая методика, которая широко используется для профилактического осмотра, оценки скорости развития болезни, а также анализа динамики при проведении лечения. УЗИ назначается детям и беременным, что подтверждает его безвредность.
Если в ходе ультразвукового обследования был обнаружен подозрительный очаг в печени, рекомендуется продолжить диагностику для уточнения его происхождения и характера патологии. Это поможет диагностировать заболевание на начальной стадии, вовремя начать терапию и избежать тяжелых осложнений.
Диагностика выявила очаговое поражение печени? Проявите онконастороженность!
Диагностику и лечение рака осложняет не только отсутствие симптомов на ранних стадиях. Даже при наличии данных лучевой диагностики, точно указывающих на очаговое поражение органа (например, очаговые образования в печени), не всегда удается сразу поставить диагноз.
О том, что такое онконастороженность при обследовании поражений печени, и насколько она важна для выявления ранних стадий рака читайте в материале официального сайта Онкологической клиники МИБС.
Что такое “онкологическая настороженность”?
При постановке диагноза по симптомам и данным неинвазивной инструментальной и лабораторной диагностики врач любой специальности обязан рассматривать все возможные причины таких изменений. В том числе, и наличие онкологического заболевания. Это и есть онкологическая настороженность (онконастороженность).
Например, выявленное очаговое поражение печени следует всегда рассматривать как вероятное проявление онкологического процесса. Ведь успех лечения в онкологии напрямую зависит от стадии, на которой диагностирована болезнь.
Онконастороженность при очаговом поражении печени
Очаговые образования в печени могут быть выявлены случайно, без наличия жалоб или симптомов нарушений работы органа - при скрининговом исследовании органов брюшной полости (УЗИ, КТ, МРТ). Заключение врача в подобных случаях содержит, к примеру, фразу «… узловое образование второго сегмента печени». Какой именно сегмент печени поражен и размеры образования на данном этапе не имеют значения. И далеко не всегда означают, что пациенту предстоит лечение рака! Но это - важный сигнал о необходимости комплексного обследования для исключения опухолевого процесса.
Задача дифференциальной диагностики состоит в том, чтобы максимально точно соотнести проявления заболевания с симптоматикой, характерной для конкретного его вида, и одновременно зафиксировать признаки, исключающие другие варианты диагноза
Задача диагностического этапа в данном случае состоит в максимально быстром и точном установлении природы выявленных изменений. А значит, подобное заключение является поводом для обязательной и незамедлительной консультации онколога с целью оценки природы новообразования, определения необходимости в дополнительном обследовании и/или биопсии узла.
К сожалению, далеко не все врачи, к которым пациенты обращаются с жалобами на нарушения работы печени, направляют на прием к онкологу после выявления очагового поражения, не говоря уже о случайном выявлении очагового поражения при бессимптомном течении. В таком случае, при отсутствии онконастороженности у врача, задача в кратчайшие сроки получить полноценное обследование ложится на плечи самого пациента. Стоит помнить, что эффективность (а также травматичность, длительность и стоимость) лечения рака печени, в случае если последующее обследование подтвердит такой диагноз, зависит от срока начала лечения. А промедление - не избавит от диагноза, и лишь усугубит ситуацию.
Очаговое поражение - не всегда рак печени
Сложность заключается в том, что узловые образования в печени могут быть следствием разнообразных новообразований доброкачественной и злокачественной природы, цирроза печени или паразитарной инвазии. Только консультация специалиста и правильно составленный план дополнительного обследования позволяет в кратчайшие сроки уточнить диагноз и разработать индивидуальную программу лечения и наблюдения.
Бояться визита к онкологу не следует: чаще всего выявленный в печени очаг - это гемангиома печени либо простая киста. Характерный вид таких узлов при УЗИ или компьютерной томографии позволяет при отсутствии симптомов рекомендовать динамическое наблюдение с выполнением контрольных обследований в сроки 3-6 месяцев. Динамика новообразований в данном случае является одним из диагностических критериев - стабильный размер и форма выявленного узла будет подтверждением, что выявленные изменения доброкачественной природы.
Паразитарные кисты печени чаще всего имеют характерный вид, что позволяет предположить диагноз паразитарного поражения печени и назначить обследование для подтверждения такого заключения. Исследование уровня антипаразитарных антител в крови и дополнительные методы визуализации (КТ или МРТ) вместе со сведениями анамнеза болезни и жизни позволят установить клинический диагноз и назначить пациенту правильное лечение.
Особенности диагностики рака печени
Важным фактором, который позволяет диагностировать рак печени на ранних стадиях, является внимательность пациента к тем “сигналам”, которые посылает организм. В первую очередь, это касается незамедлительного обращения к врачу при обнаружении нетипичной работы систем и органов.
Наиболее простые из обследований - лабораторные общий и биохимический анализы крови, исследование уровня онкомаркеров в крови. Эти анализы пациенты часто назначают себе сами. Но следует отметить, что правильную интерпретацию полученных данных может дать только квалифицированный врач-онколог. Связано это с тем, что большинство изменений будет носить неспецифический характер либо результаты лабораторного обследования окажутся нормальными. Но, как правило, этап лабораторных исследований пациент, у которого имеются симптомы нарушения работы печени, проходит до выявления очаговых поражений методами лучевой диагностики.
Рак печени, как и любое злокачественное новообразование, после достижения определенного размера опухоли требует притока крови для продолжения своего роста. Образование новых сосудов, питающих растущую опухоль (опухолевый ангиогенез) - один из наиболее характерных признаков, которые указывают на наличие рака. Поэтому обязательно проводится оценка характера кровообращения в узловом образовании печени, наличия или отсутствия жидкостного компонента, взаимоотношения очага со структурами ворот печени, характера роста.
При недостаточности данных для подтверждения рака врач-онколог может избрать тактику непродолжительного динамического наблюдения: при наличии злокачественной опухоли печени (первичный рак печени или метастаз в печень) форма и/или размер очага будет меняться, что проявится в данных КТ, МРТ или УЗИ и лишь тогда будет сигналом к началу более инвазивной диагностики.
При подтверждении злокачественного процесса следует выяснить, имеет ли место первичный рак печени, или у пациента выявлена первичная опухоль другой локализации, метастазировавшая в печень
Первичные опухоли печени встречаются редко. Предположить первичный рак печени врач сможет в том случае, если комплексное обследование не выявило опухолевой патологии в легких, желудке, кишечнике, молочной железе. Нормальное состояние других органов и повышение уровня онкомаркеров, характерных для рака печени позволяют предположить гепатоцеллюлярный рак или холангиокарциному. В такой ситуации трепан-биопсия очага в печени с гистологическим исследованием полученного материала является необходимыми для заключительного диагноза. Выполненная в условиях местного или общего обезболивания трепан-биопсия, позволяет получить образец тканей опухоли. Дальнейшее морфологическое и иммуногистохимическое исследование образца позволит подтвердить первичную гепатоцеллюлярную карциному.
Обычно трепан-биопсия печени легко выполнима. Если же имеются противопоказания для выполнения такого метода, на помощь приходит лапароскопия. Выполненная в условиях общего обезболивания лапароскопическая биопсия печени позволяет не только получить материал для морфологического исследования, но и оценить состояние других органов брюшной полости.
Большинство злокачественных опухолей печени - вторичные. Они представляют собой узлы размножения и роста опухолевых клеток, распространившихся из первичного очага, то есть метастазы рака другой локализации. Вторичные очаги в печени редко нуждаются в верификации: наличие первичной опухоли и характерные для нее путь и скорость метастазирования позволяют констатировать распространение опухоли в печень и использовать полученные данные для коррекции плана лечения первичного рака, включив в него лечение метастазов в печень.
Само по себе метастатическое поражение печени не является признаком неизлечимости заболевания. Размер, расположение, количество вторичных очагов, а также локализация и морфологический вариант первичного очага - вот исходные условия, которые определяют эффективность лечения в целом и позволяют составить прогноз.
Ультразвуковая диагностика образований поджелудочной железы. Профессор В. А. Изранов. Лекция для врачей

- Солидные гипоэхогенные образования поджелудочной железы
- Рак поджелудочной железы
- Очаговый панкреатит
- Лимфома
- Метастазы
- Нейроэндокринные опухоли
- Островково-клеточная опухоль
- Тромбированная аневризма
- Рак ПЖ представляет собой аденокарциному, происходящую из протокового эпителия
- Составляет более 90% всех опухолей ПЖ
- Составляет 5% случаев всей онкологической смертности и занимает 4-е место после рака легких, рака МЖ и колоректального рака
- 1-летняя выживаемость около 10%
- Чаще всего в возрастной группе 60-80 лет
- До 40 лет встречается редко. 60% - 70% опухолей развиваются в головке ПЖ
- Типичная симптоматика - желтуха без болевого синдрома. 10% - 20% опухолей развиваются в области тела и 5-10% в области хвоста
- Для этих локализаций характерны неспецифические симптомы, в частности потеря веса
- Диффузное поражение отмечается в 5% случаев
- Опухоли головки могут быть обнаружены на ранних стадиях из-за симптомов желтухи и могут быть потенциально резектабельными
- Напротив, опухоли в области тела и хвоста обнаруживаются уже крупных размеров. Редко являются резектабельными
- В большинстве случаев РПЖ представлен гипоэхогенным образованием (в сравнении с прилежащей паренхимой ПЖ)
- Изменение контура ПЖ зависит от размера и локализации опухоли
- Обструкция ОЖП является частым симптомом
- Обычно расширенный проток прослеживается дистально и обрывается на уровне образования
- Обструкция панкреатического протока также является частым симптомом. Одновременное расширение ОЖП и панкреатического протока (симптом двух протоков) всегда является подсказкой наличия рака ПЖ. В целом, расширение панкреатического протока имеет меньшую извитость и неровность контуров в сравнении с хроническим панкреатитом
- Может иметь форма без расширения протока. В таких случаях развивается атрофия ПЖ левее опухоли
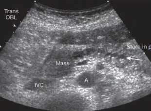
- Поперечное сканирование в эпигастральной области. Образование в головке (Mass), приводящее обструкции панкреатического протока. Четкообразное неравномерное расширение протока (стрелка). А - аорта, IVC - нижняя полая вена
- Косое сканирование в эпигастральной области. Гипоэхогенное образование в хвосте поджелудочной железы (ПЖ)
- Косое сканирование в эпигастральной области. Гипоэхогенное образование в хвосте поджелудочной железы
- Образование в головке ПЖ (белая стрелка) неоднородной структуры преимущественно повышенной эхогенности (типичными примерами являются гипоэхогенные образования). Отмечается симптом «двух протоков»:
- панкреатический проток (PD) неравномерно расширен
- в левой доле печени лоцируются расширения внутрипеченочных протоков (желтые стрелки).
- Рак поджелудочной железы. Пример
- Косое сканирование через общий желчный проток (CBD). Образование (М) приводит к выраженной дилатации ОЖП (диаметр ОЖП вдвое превышает диаметр воротной вены). D - верхняя часть двенадцатиперстной кишки. НПВ-нижняя полая вена.
- Дифференциальный диагноз
- Дифференциальный диагноз гипоэхогенных образований ПЖ первоначально включает РПЖ и локальный панкреатит. Локальный панкреатит исключается при обнаружении метастазов и вовлечении сосудов. Напротив, выявление разбросанных кальцинатов является симптомом панкреатита
- Расширение панкреатического протока с внутренними кальцификатами при локальной форме панкреатита.
Подтверждающее изображение КТ
- Диагностическая тактика при раке поджелудочной железы
- Хотя УЗИ может быть методом выявления РПЖ сопоставимым с КТ по способности выявления РПЖ в хорошо доступных для визуализации отделах (головка и тело), оно не позволяет визуализировать всю ПЖ целиком, поэтому КТ является предпочтительным методом визуализации
- ЭРХПГ и эндоскопическое УЗИ являются довольно чувствительными методами, но являются инвазивными дорогостоящими процедурами и могут провоцировать панкреатит. Их следует резервировать для случаев, когда УЗИ и КТ являются недиагностическими или у пациентов, требующих биопсии или постановки билиарного стента
- КТ и МРТ играют основную роль в определение резектабельности РПЖ
- Для врача УЗИ важно знать критерии резектабельности
- Критерии нерезектабельности:
- обнаружение печеночных, перитонеальных или других отдаленных метастазов
- вовлечение перипанкреатических артерий и вен
- инвазия в прилежащие органы (за исключением ДПК)
- наличие асцита
В - инфильтрированные мягкие ткани (указаны стрелками), окружающие чревный ствол (С)
С- продольное сечение на уровне чревного ствола (С). Стрелка демонстрирует инфильтрацию мягких тканей
- Сосудистая инвазия при РПЖ II
- А - поперечное сканирование на уровне тела ПЖ: солидное гипоэхогенное образование
- В - ЦДК демонстрирует чревный ствол с инвазией в область основания селезеночной артерии.
- Лимфома
- Лимфома ПЖ обычно является вторичной и неходжкинской. Первичная лимфома ПЖ является редкой (не более 2% экстранодальных лимфом и 1% всех опухолей ПЖ). Наиболее часто имеет место у пациентов с иммунодефицитом. Обычно представлена очаговыми единичными или множественными гипоэхогенными образованиями с нечеткими контурами. Часто инфильтрирует прилежащие ткани
- А - Гипоэхогенные образования (L) в теле и хвосте ПЖ
- В - КТ у того же пациента. Результаты биопсии: лимфома Беркитта
- Нейроэндокринные опухоли (НЭОп)
- Составляют от 1 до 5 % опухолей ПЖ. Они возникают из плюрипотентных клеток протокового эпителия. НЭОп часто ассоциированы с нейрофиброматозом 1 типа, болезнью von Hippel Lindau и туберозным склерозом. В зависимости от продуцируемого гормона подразделяются на:
- 1. Инсулинома
- 2. Гастринома
- 3. Глюкагонома, VIPoma, соматостатинома
- 4. Нефункционирующие НЭОп
- Локализация НЭОп до операции требует сочетанного применения КТ, МРТ и эндоскопического УЗИ
- Инсулиномы. Мелкие (10 мм) гипоэхогенные солидные образования, гиперваскулярные при ЦДК
- Гастриномы составляют до 20% НЭОп. В сравнении в инсулиномами большинство гастрином злокачественные. До 60% пациентов на момент постановки диагноза имеют отдаленные метастазы. Симптомы обусловлены избыточной секреций гастрина и включают тяжелые пептические язвы и секреторную диарею. Гастриномы являются мелкими опухолями и дооперационное выявление их при УЗИ ограничено. Эндоскопическое УЗИ очень чувствительно к выявлению как внутриорганных, так и внеорганных поражений, которые чаще всего обнаруживаются в стенке ДПК. Интраоперационное УЗИ чувствительно к выявлению интрапанкреатических опухолей и часто используется для точной локализации опухоли. Гастриномы у различных пациентов. Интраоперационное сканирование. А.В - мелкие (до 5 мм) гипоэхогенные солидные образования. С - жидкость в просвете ДПК (L) и внутристеночное образование
- Нефункционирующая НЭОп
- Поперечное сканирование на уровне ПЖ: крупное образование (М) и крупный тромб (Т) в области воротно-селезеночного конфлюэнса
- В - опухолевый тромб в селезеночной вене. ЭД демонстрирует отчетливую васкуляризацию опухоли
- В - выраженная гиперваскуляризация при ЦДК
- С - контраст-усиленное КТ у того же пациента
- Метастазы обнаруживаются на аутопсиях в 2-5% всех злокачественных опухолей ПЖ. Наиболее часто в ПЖ метастазирует рак легких и почечно-клеточный рак. Эхографически это солидные гипоэхогенные образования. Отличительными особенностями являются множественность поражения. Выявление образования в ПЖ у пациента с анамнезом экстрапанкреатической локализации злокачественного процесса должно вызывать подозрение на метастатическую болезнь
- Метастаз рака легких в поджелудочную железу. Гипоэхогенное образование в хвосте ПЖ
- Метастаз рака почки в поджелудочной железы
- А-КТ с контрастированием: образование в теле поджелудочной железы
- В - Серошкальное изображение при интраоперационном УЗИ
- С - гиперваскуляризация образования при интраоперационном УЗИ
- Кистозные образования поджелудочной железы
- Классификация кистозных образований поджелудочной железы
- Псевдокисты / Кистозные некроз
- Кистозные неоплазии (5% опухолей ПЖ):
- Муцинозная кистозная неоплазия
- Серозная цистаденома (микрокистозная аденома)
Читайте также:
- Синдром Вилларе (Villaret)
- Частичный перекрест зрительных нервов. Значение перекреста нервов для бинокулярного зрения
- Расширенные периваскулярные пространства головного мозга на МРТ
- Веноокклюзивная болезнь печени от чая
- Нестероидные противовоспалительные средства в лечении болезни Альцгеймера: факты и перспективы
- Составляют от 1 до 5 % опухолей ПЖ. Они возникают из плюрипотентных клеток протокового эпителия. НЭОп часто ассоциированы с нейрофиброматозом 1 типа, болезнью von Hippel Lindau и туберозным склерозом. В зависимости от продуцируемого гормона подразделяются на:

