УЗИ при многоузловом зобе
Добавил пользователь Владимир З. Обновлено: 22.11.2025
Узловой зоб - группа заболеваний щитовидной железы, протекающих с развитием в ней объемных узловых образований различного происхождения и морфологии. Узловой зоб может сопровождаться видимым косметическим дефектом в области шеи, ощущением сдавления шеи, симптомами тиреотоксикоза. Диагностика узлового зоба основана на данных пальпации, УЗИ щитовидной железы, показателей тиреоидных гормонов, тонкоигольной пункционной биопсии, сцинтиграфии, рентгенографии пищевода, КТ или МРТ. Лечение узлового зоба может включать супрессивную терапию препаратами тиреоидных гормонов, терапию радиоактивным йодом, гемитиреоидэктомию или тиреоидэктомию.
МКБ-10


Общие сведения
Термином «узловой зоб» в эндокринологии обозначают объемные образования щитовидной железы, относящиеся к различным нозологическим формам. Признаки узлового зоба выявляются у 40-50 % населения; у женщин узловой зоб встречается в 2-4 раза чаще и нередко сочетается с миомой матки. С помощью пальпации, как правило, выявляются узлы, превышающие в диаметре 1 см; более чем в половине случаев узлы не пальпируются и обнаруживаются только при проведении УЗИ щитовидной железы. О многоузловом зобе говорят в том случае, если в щитовидной железе находят два и более узловых образования.
Важность выявления и наблюдения пациентов с узловым зобом обусловлена необходимостью исключения рака щитовидной железы, а также определения риска развития функциональной автономии щитовидной железы и тиреотоксикоза, предупреждения возникновения косметического дефекта и компрессионного синдрома.

Причины
Причины развития узлов щитовидной железы известны не до конца. Так, возникновение токсических аденом щитовидной железы связывают с мутацией гена рецептора ТТГ и a-субъединиц G белков, ингибирующих активность аденилатциклазы. Наследуемые и соматические мутации обнаруживаются также при медуллярном раке щитовидной железы.
Этиология узлового коллоидного пролиферирующего зоба неясна: его часто рассматривают как возрастную трансформацию щитовидной железы. Кроме этого, к возникновению коллоидного зоба предрасполагает йодный дефицит. В регионах с йодным дефицитом нередки случаи многоузлового зоба с явлениями тиреотоксикоза.
К факторам риска, способствующим развитию узлового зоба, относят:
- генетические нарушения (синдромы Клайнфельтера, Дауна)
- вредные воздействия среды (радиация, токсические вещества)
- недостаток микроэлементов
- прием лекарственных препаратов
- курение
- стрессы
- вирусные и хронические бактериальные и инфекции, в особенности хронический тонзиллит.
Классификация
С учетом характера и происхождения различают следующие виды узлового зоба: эутиреоидный коллоидный пролиферирующий, диффузно-узловой (смешанный) зоб, доброкачественные и злокачественные опухолевые узлы (фолликулярную аденому щитовидной железы, рак щитовидной железы). Около 85-90% образований щитовидной железы представлено узловым коллоидным пролиферирующим зобом; 5-8 % - доброкачественными аденомами; 2-5% - раком щитовидной железы. Среди злокачественных опухолей щитовидной железы встречается фолликулярный, папиллярный, медуллярный рак и недифференцированные формы (анапластический рак щитовидной железы).
Кроме этого, в щитовидной железе возможно формирование псевдоузлов (воспалительных инфильтратов и других узлоподобных изменений) при подостром тиреоидите и хроническом аутоиммунном тиреоидите, а также ряде других заболеваний железы. Нередко вместе с узлами выявляются кисты щитовидной железы.
В зависимости от количества узловых образований выделяют солитарный (единичный) узел щитовидной железы, многоузловой зоб и конголомератный узловой зоб, представляющий собой объемное образование, состоящее из нескольких спаянных между собой узлов.
В настоящее время в клинической практике используется классификация узлового зоба, предложенная О.В. Николаевым, а также классификация, принятая ВОЗ. По О.В. Николаеву выделяют следующие степени узлового зоба:
- 0 - щитовидная железа не определяется визуально и пальпаторно
- 1 - щитовидная железа не видна, однако определяется при пальпации
- 2 - щитовидная железа визуально определяется при глотании
- 3 - вследствие видимого зоба увеличивается контур шеи
- 4 - видимый зоб деформирует конфигурацию шеи
- 5 - увеличенная щитовидная железа вызывает сдавление соседних органов.
Согласно классификации ВОЗ, различают степени узлового зоба:
- 0 - нет данных за зоб
- 1 - размеры одной или обеих долей щитовидной железы превышают размеры дистальной фаланги большого пальца пациента. Зоб определяется при пальпации, но не виден.
- 2 - зоб определяется пальпаторно и виден глазом.
Симптомы узлового зоба
В большинстве случаев узловой зоб не имеет клинических проявлений. Крупные узловые образования выдают себя видимым косметическим дефектом в области шеи - заметным утолщением ее передней поверхности. При узловом зобе увеличение щитовидной железы происходит преимущественно несимметрично.
По мере разрастания узлов они начинают сдавливать соседние органы (пищевод, трахею, нервы и кровеносные сосуды), что сопровождается развитием механических симптомов узлового зоба. Сдавление гортани и трахеи проявляется ощущением «комка» в горле, постоянной осиплостью голоса, нарастающим затруднением дыхания, продолжительным сухим кашлем, приступами удушья.
Компрессия пищевода приводит затруднению глотания. Признаками сдавления сосудов может являться головокружение, шум в голове, развитие синдрома верхней полой вены. Болезненность в области узла может быть связана с быстрым увеличением его размеров, воспалительными процессами или кровоизлиянием.
Обычно при узловом зобе функция щитовидной железы не нарушается, однако могут встречаться отклонения в сторону гипертиреоза или гипотиреоза. При гипофункции щитовидной железы отмечается склонность к бронхитам, пневмониям, ОРВИ; боли в области сердца, гипотония; сонливость, депрессия; желудочно-кишечные расстройства (тошнота, снижение аппетита, метеоризм). Характерны сухость кожи, выпадение волос, снижение температуры тела. На фоне гипотиреоза у детей может наблюдаться задержка роста и умственного развития; у женщин - нарушения менструального цикла, самопроизвольные аборты, бесплодие; у мужчин - снижение либидо и потенции.
Симптомами тиреотоксикоза при узловом зобе служат длительный субфебрилитет, дрожь в руках, бессонница, раздражительность, постоянно испытываемое чувство голода, снижение массы тела, тахикардия, экзофтальм и др.
Диагностика
Первичная диагностика узлового зоба осуществляется эндокринологом путем пальпации щитовидной железы. Для подтверждения и уточнения природы узлового образования обычно проводится:
- УЗИ щитовидной железы. Наличие пальпируемого узлового зоба, размеры которого, по данным УЗИ, превышают 1 см, служит показанием к проведению тонкоигольной аспирационной биопсии. Пункционная биопсия узлов позволяет верифицировать морфологический (цитологический) диагноз, отличить доброкачественные узловые образования от рака щитовидной железы.
- Оценка тиреоидного профиля. С целью оценки функциональной активности узлового зоба проводится определение уровня гормонов щитовидной железы (ТТГ, Т4 св., Т3 св.). Исследование уровня тиреоглобулина и антител к щитовидной железе при узловом зобе нецелесообразно.
- Сцинтиграфия железы. Для выявления функциональной автономии щитовидной железы проводится радиоизотопное сканирование щитовидной железы с 99mTc.
- Рентгенодиагностика. Рентгенография грудной клетки и рентгенография пищевода с барием позволяет выявить компрессию трахеи и пищевода у пациентов с узловым зобом. Томография используется для определения размеров щитовидной железы, ее контуров, структуры, увеличенных лимфоузлов.

КТ ОГК с контрастированием. Диффузное увеличение щитовидной железы с наличием большого гиподенсного узла в левой доле.
Лечение узлового зоба
К лечению узлового зоба подходят дифференцированно. Считается, что специального лечения узлового коллоидного пролиферативного зоба не требуется. Если узловой зоб не нарушает функцию щитовидной железы, имеет небольшие размеры, не представляет угрозы компрессии или косметическую проблему, то при данной форме за пациентом устанавливается динамическое наблюдение эндокринолога. Более активная тактика показана в том случае, если узловой зоб обнаруживает тенденцию к быстрому прогрессированию. Лечение может включать следующие компоненты:
- Медикаментозная терапия. При узловом зобе может применяться супрессивная терапия тиреоидными гормонами, терапия радиоактивным йодом, хирургическое лечение. Проведение супрессивной терапии препаратами тиреоидных гормонов (L-Т4) направлено на подавление секреции ТТГ, что может привести к уменьшению размеров узловых образований и объема щитовидной железы при диффузном зобе.
- Хирургическое лечение узлового зоба. Требуется в случае развития компрессионного синдрома, видимого косметического дефекта, выявления токсического зоба или неоплазии. Объем резекции при узловом зобе может варьировать от энуклеации узла щитовидной железы до гемитиреоидэктомии, субтотальной резекции щитовидной железы и тиреоидэктомии.
- Терапия радиоактивным йодом(131I). Рассматривается как альтернатива оперативному лечению и проводится по тем же показаниям. Адекватный подбор дозы позволяет достичь редукции узлового зоба на 30-80% от его объема.
- Склерозирование узлов. Методы малоинвазивной деструкции узлов щитовидной железы (этаноловая аблация и др.) применяются реже и требуют дальнейшего изучения.
Прогноз и профилактика
При узловом коллоидном эутиреоидном зобе прогноз благоприятный: риск развития компрессионного синдрома и злокачественной трансформации весьма низок. При функциональной автономии щитовидной железы прогноз определяется адекватностью коррекции гипертиреоза. Злокачественные опухоли щитовидной железы имеют наихудшие прогностические перспективы.
С целью предупреждения развития эндемического узлового зоба показана массовая йодная профилактика (употребление йодированной соли) и индивидуальная йодная профилактика лиц из групп риска (дети, подростки, беременные и кормящие женщины), заключающаяся в приеме йодида калия в соответствии с возрастными дозировками.
Загрудинный зоб
Загрудинный зоб - это увеличение щитовидной железы, при котором нижний полюс или значительная часть органа локализованы ниже яремной вырезки грудины. Причиной патологии выступают те же факторы, которые вызывают другие виды зоба: йододефицит, наследственная предрасположенность, плохая экология. Заболевание проявляется одышкой, дисфагией, кава-синдромом и признаками тиреотоксикоза. Для диагностики загрудинного зоба проводится рентгенография и МРТ средостения, радионуклидное исследование, анализы на тиреоидные гормоны. Лечение хирургическое - удаление узловых образований, которое по показаниям дополняется заместительной гормонотерапией.



Загрудинный зоб относится к большой группе заболеваний, которые проявляются увеличением размеров одной или обеих долей щитовидной железы (ЩЖ). По разным статистическим данным, он составляет от 1% до 10% всех случаев зоба. Болезнь чаще возникает у людей старше 60 лет, которые имеют стаж тиреоидной патологии более 15 лет. Заболевание характеризуется неблагоприятным течением и зачастую вызывает осложнения, поэтому требует рационального подбора терапии и своевременного хирургического вмешательства.

Чаще всего зоб формируется в условиях йодной недостаточности, которая обусловлена проживанием в эндемических по йододефициту районах, недостатком йода в пище, нарушениями всасывания микроэлемента в кишечнике. Дефицит йода становится причиной 90-95% случаев увеличения ЩЖ. Патология начинает развиваться в детском или молодом возрасте, к 50-60 годам зоб приобретает загрудинную локализацию.
Относительно других причин и факторов риска у врачей нет единого мнения. Появление токсических аденом связывают с наследственной предрасположенностью: мутациями гена рецептора ТТГ и субъединицы белка каскада аденилатциклазы. Некоторые ученые рассматривают загрудинный зоб у пожилых людей как вариант инволютивных изменений в органе. Среди независимых факторов риска называют курение, повышенный радиационный фон, прием некоторых лекарственных препаратов.
Патогенез
Гиперплазия тканей железы обусловлена наличием клеток с высоким ростовым потенциалом. Они формируют локально-доминантные очаги в паренхиме органа и становятся морфологическим субстратом для разрастания узлов. В механизме развития объемных новообразований большое значение имеют эндогенные факторы роста, такие как тиреотропный гормон, инсулиноподобный фактор роста-1.
Основным источником развития загрудинного зоба считается низкорасположенная щитовидная железа, которая в процессе своего увеличения постепенно опускается за грудину. Нетипичному расположению способствует мощная передняя мышца шеи, которая особенно выражена у мускулистых мужчин эндоморфного телосложения. Движение узла при глотании и его собственная тяжесть способствуют росту тканей по пути наименьшего сопротивления - в сторону средостения.
В большинстве случаев зоб располагается в переднем средостении справа. Его правосторонняя локализация — патогномоничный признак, который используется врачами для дифференциальной диагностики с другими типами опухолей. Правосторонний зоб также может развиваться из левой доли ЩЖ, поскольку крупные сосуды в левой половине средостения сдвигают орган в противоположную сторону. Расположение зоба слева и в заднем средостении встречается крайне редко.

По механизму развития выделяют первичный и вторичный загрудинный зоб. Первичная форма составляет 1% случаев и возникает из ткани эктопированной ЩЖ. Остальные 99% занимает вторичная форма, возникающая при опущении нормально расположенной железы за грудину. По расположению относительно органов средостения бывает передне- и задне-средостенный зоб. В практической эндокринологии важна классификация болезни по степеням (по А.Ф. Романчишену, 1993):
- 1 степень. Новообразование располагается на шее, однако имеет тенденцию к распространению в загрудинную область.
- 2 степень. Щитовидная железа начинает опускаться за грудину, в момент глотания ее удается полностью вывести на поверхность шеи.
- 3 степень. Увеличенная ЩЖ не выводится на шею во время глотания, поэтому ее загрудинная часть недоступна для пальцевого исследования.
- 4 степень. Основная часть железы локализована за грудиной, пальпации в зоне шеи доступен только верхний полюс органа.
- 5 степень. Гиперплазированная тиреоидная ткань располагается загрудинно, возможна медиастинальная дистопия органа.
Симптомы загрудинного зоба
Клинические проявления заболевания связанные со сдавлением окружающих органов. На первое место выходят дыхательные расстройства. Приступы одышки развиваются у 60% больных как первый признак патологии. Затруднения дыхания усиливаются в положении лежа на спине без подушки, при наклонах вперед, во время физической нагрузки. Выраженность респираторных нарушений зависит от размеров увеличенной щитовидки и ее локализации.
Помимо одышки, у пациентов наблюдается свистящее шумное дыхание, периодически бывают приступы надсадного кашля. Сдавление верхних отделов пищеварительного тракта вызывает затруднения глотания, постоянное ощущение комка в горле. Некоторые больные жалуются на тошноту и рвоту, возникающие во время приема пищи. Поражение возвратного нерва и голосового аппарата вызывает хрипоту, осиплость голоса.
Проявления тиреотоксикоза наблюдаются всего у 15% пациентов. Они связаны с повышенной продукцией тиреоидных гормонов в гиперплазированных отделах железы. Эндокринные нарушения проявляются нервозностью, раздражительностью, ускорением мыслительных процессов и речи. Характерна неспособность сконцентрироваться на текущих задачах, бессонница, тремор пальцев рук.
Гипертиреоз проявляется ускорением метаболизма, что приводит к похудению при сохраненном аппетите. Белково-энергетическая недостаточность усиливается на фоне затруднений глотания при больших размерах загрудинного зоба. Некоторые пациенты жалуются на повышенную потливость, подъем температуры тела, плохую переносимость жары и духоты. Возможно усиление сердцебиения, повышение артериального давления, появление разнообразных форм аритмий.
Осложнения
Компрессия трахеи признана одним из самых опасных последствий загрудинного зоба. При кровоизлиянии в узлы возможно быстрое увеличение железы, которое приводит к внезапной асфиксии и смерти пациента при неоказании экстренной медицинской помощи. Вследствие сдавления нервов, идущих от симпатического шейного ганглия, развивается синдром Горнера. Он включает опущение века, сужение зрачка, снижение потоотделения.
Зоб больших размеров вызывает синдром верхней полой вены, который проявляется нарушением кровообращения в верхних отделах туловища. При кава-синдроме наблюдается отек и синюшное окрашивание кожи лица, шеи, верхних конечностей и верхней половины туловища. Усиливается одышка, кашель и дисфагия. Возникают сильные боли в груди, которая усугубляются в положении лежа. На фоне венозной гипертензии возможны легочное и пищеводное кровотечение.
При увеличении размеров щитовидной железы пациенты проходят обследование у врача-эндокринолога. На первичной консультации специалисту необходимо установить жалобы и анамнез заболевания, выяснить факторы риска, пропальпировать область шеи и определить степень зоба, если он доступен для физикального исследования. Второй этап диагностики включает лабораторные и инструментальные методы:
- Рентгенография грудной клетки. Исследование в двух проекциях определяет наличие и диаметр загрудинного зоба, отклонение трахеи как дополнительный признак опухоли средостения. Режим рентгеноскопии показывает движение объемного образования при глотании, что характерно для увеличенной ЩЖ.
- УЗИ щитовидной железы. Сонография информативна при шейно-загрудинной локализации новообразования, когда часть зоба доступна для сканирования. С помощью режима дуплексного сканирования изучают состояние кровотока в железе и окружающих ее крупных сосудах.
- МРТ средостения. Магнитно-резонансная томография назначается для уточнения анатомических особенностей выявленного новообразования, визуализации его взаимоотношения с другими структурами средостения.
- Сцинтиграфия щитовидной железы. Радионуклидная диагностика необходима для оценки расположения и количества функционирующей тиреоидной ткани. Исследование в обязательном порядке проводится перед операцией, чтобы принять решение о сохранении части ЩЖ.
- Дополнительные инструментальные методы. Обследование гортани необходимо при охриплости голоса и подозрении на компрессию возвратного нерва. При болях в груди и кашле может потребоваться КТ легких, бронхоскопия. Кардиологические симптомы требуют выполнения ЭКГ и УЗИ сердца.
- Гормональный профиль. Для определения тиреоидного статуса пациента проводятся исследования крови на гормоны щитовидной железы (тироксин, трийодтиронин) и гипофиза (тиреотропный гормон). Чтобы исключить аутоиммунную природу заболевания, назначают анализ на антитела к тиреоглобулину.
Дифференциальная диагностика
Поскольку загрудинная локализация зоба встречается намного реже типичного расположения, при постановке диагноза исключают другие виды новообразований средостения. Проводится дифференциальная диагностика с невриномами, тимомами, лимфомами. Исключают дермоидные кисты, тератомы и вторичные карциномы. К дифференциально-диагностическим признакам относят отсутствие связи новообразования со щитовидной железой, неподвижность при глотании.

Лечение загрудинного зоба
Хирургическое лечение
С учетом высоких рисков компрессии дыхательных путей и жизнеугрожающих осложнений консервативная тактика признана нецелесообразной. Подтвержденный диагноз загрудинного зоба - абсолютное показание к проведению оперативного вмешательства. При одностороннем поражении рекомендована гемитиреоидэктомия, которая позволяет сохранить часть ткани щитовидной железы. Двустороннее поражение требует выполнения радикальной тиреоидэктомии.
Техника проведения операции подбирается врачом индивидуально после получения результатов обследования. При эутиреоидной форме зоба больным не требуется специальная подготовка. В случае критических нарушений гормонального фона перед хирургическим вмешательством необходимо достичь состояния эутиреоза. Для улучшения долгосрочного прогноза перед удалением железы проводится коррекция сопутствующих заболеваний сердечно-сосудистой системы.
Фармакотерапия
При сохранении части ткани ЩЖ, которая способна продуцировать тиреоидные гормоны, пациентам не требуется медикаментозная терапия. Заместительное лечение препаратами тироксина показано при тотальной тиреоидэктомии, после которой у больного развивается ятрогенный гипотиреоз. В таком случае назначается пожизненный прием индивидуально подобранных доз гормона под контролем уровня ТТГ и при регулярных осмотрах у эндокринолога.
Хотя загрудинное расположение зоба признано прогностически неблагоприятным, своевременно проведенная операция избавляет от риска удушья и других осложнений. В дальнейшем требуется диспансерное наблюдение у эндокринолога не реже 1 раза в год со сдачей анализов на гормоны. Профилактика заболевания заключается в ликвидации йодной недостаточности, отказе от курения, избегании профессиональных вредностей, особенно радиационного облучения.
Диффузный эутиреоидный зоб
Диффузный эутиреоидный зоб - компенсаторная гипертрофия и гиперплазия щитовидной железы без нарушения ее функции. Диффузный эутиреоидный зоб, как правило, не имеет выраженных клинических проявлений; при значительном увеличении щитовидной железы может ощущаться давление в области шеи, иметь место видимый косметический дефект. Диагностика диффузного эутиреоидного зоба предполагает проведение пальпации железы, УЗИ, сцинтиграфии, пункционной биопсии, определение уровня ТТГ. В зависимости от степени выраженности, лечение диффузного эутиреоидного зоба может включать назначение препаратов йода, супрессивную терапию левотироксином, терапию радиоактивным йодом.


Диффузный эутиреоидный зоб - заболевание щитовидной железы, сопровождающееся увеличением ее объема (у мужчин более 25 мл, у женщин - свыше 18 мл) без нарушения функциональной активности. Увеличение объема щитовидной железы при диффузном эутиреоидном зобе носит компенсаторный характер и направлено на поддержание в организме необходимого уровня тиреоидных гормонов. Диффузный эутиреоидный зоб сопровождается пальпируемым и/или видимым увеличением щитовидной железы.
Ведущим фактором, определяющим распространенность диффузного эутиреоидного зоба, является уровень потребления йода населением того или иного региона. По данным ВОЗ, различные йододефицитные заболевания щитовидной железы имеются у 13% населения планеты. При этом в регионах с достаточным потреблением йода случаи диффузного эутиреоидного зоба носят спорадический характер; в местностях с йододефицитом - эндемический характер (более 5% в популяции). Чаще всего диффузный эутиреоидный зоб развивается в возрасте 20-30 лет; у женщин данное состояние возникает в 2-3 раза чаще, обычно в периоды повышенной потребности в йоде (во время полового созревания, беременности, лактации).

В 90-95% случаев причиной диффузного эутиреоидного зоба служит йодный дефицит. При этом гипертрофические и гиперпластические процессы в щитовидной железе носят компенсаторный характер, призванный обеспечить организм необходимым уровнем тиреоидных гормонов.
Кроме йодного дефицита, развитию диффузного эутиреоидного зоба способствуют курение, эмоциональные стрессы, хронические инфекции, прием некоторых медикаментов, недостаток микроэлементов (марганца, цинка, селена, кобальта, меди, молибдена), избыток кальция. Определенное значение в этиологии заболевания отводится возрасту, полу, наследственной предрасположенности.
Случаи спорадического зоба обусловлены врожденными дефектами ферментных систем, участвующих в синтезе тиреоидных гормонов. В целом развитие диффузного эутиреоидного зоба связано с множеством факторов, которые в настоящее время еще не до конца изучены.
Адаптационные механизмы к йододефициту связаны с усилением активного захвата йода щитовидной железой, преимущественным синтезом трийодтиронина (Т3), уменьшением секреции йодида почками и реутилизацией эндогенного йода с целью биосинтеза тиреоидных гормонов. Таким образом организму удается компенсировать дефицит йода, однако при этом развивается гипертрофия тиреоцитов, обеспечивающая сохранность функции щитовидной железы.
В патогенезе диффузного эутиреоидного зоба играют роль аутокринные ростовые факторы (инсулиноподобный фактор роста 1-го типа, эпидермальный фактор роста, фактор роста фибробластов), которые при снижении уровня йода оказывают стимулирующее действие на тироциты. Согласно современным представлениям, при йодном дефиците влияние ТТГ (тиреотропного гормона) на щитовидную железу также опосредовано аутокринными факторами роста.
В эндокринологии выделяют диффузный, узловой, многоузловой и смешанный (диффузно-узловой) эутиреоидный зоб. По рекомендации ВОЗ, степень выраженности зоба оценивается пальпаторно по следующим критериям:
- 0 степень - данных за зоб нет; размер каждой доли щитовидной железы не превышает размеры дистальной фаланги большого пальца больного;
- 1 степень - зоб определяется пальпаторно, однако не виден при обычном положении шеи;
- 2 степень — зоб определяется пальпаторно и визуально при обычном положении шеи.
Симптомы диффузного зоба
Функция щитовидной железы при диффузном эутиреоидном зобе практически не страдает, поэтому клинические проявления в большинстве случаев также не развиваются. Реже может отмечаться повышенная утомляемость и общая слабость, головная боль. При больших степенях увеличения щитовидной железы возможно ощущение давления в области шеи, наличие видимого косметического дефекта.
Осложнения диффузного эутиреоидного и других форм зоба встречаются при значительной гипертрофии щитовидной железы. Они могут выражаться компрессией трахеи, пищевода, прилежащих нервных стволов и сосудов; развитием синдрома верхней полой вены; кровоизлияниями в ткань щитовидной железы; струмитом (воспалением железы, сходным по клиническим проявлениям с подострым тиреоидитом) и т. д. Нередко на фоне диффузного эутиреоидного зоба в последующем развивается узловой зоб, эутиреоидный или токсический зоб.
Первичное представление о размерах щитовидной железы получают в процессе пальпации осмотра шеи. Для уточнения информации о размерах, объеме и структуре органа проводится:
- УЗИ щитовидной железы. Диффузный эутиреоидный зоб диагностируется при объеме щитовидной железы более 25 мл у мужчин и 18 мл у женщин.
- Биопсия. Если по данным эхоскопии обнаруживаются дополнительные узловые образования, показано проведение тонкоигольной пункционной биопсии (для исключения рака щитовидной железы).
- Радионуклидная диагностика.Сцинтиграфия при диффузном увеличении железы выявляет равномерное распределение изотопа; при узловой форме определяются «холодные» или «теплые» узлы.
Среди лабораторных данных при диффузном эутиреоидном зобе наибольший диагностический интерес представляют показатели Т3, Т4, ТТГ, тиреоглобулина. У эутиреодных пациентов Т3 и Т4 находятся в пределах нормы, иногда отмечается некоторое увеличение уровня Т3 при снижении Т4 и нормальных показателях ТТГ. Содержание тиреоглобулина в крови при йодном дефиците увеличивается. При исследовании иммунограммы определяются уровни иммуноглобулинов, Т и В-лимфоцитов, АТ к тиреоглобулину, АТ к микросомальной фракции тироцитов. В случае наличия клинических признаков сдавления пищевода зобом больших размеров проводится рентгенография пищевода.

Лечение диффузного эутиреоидного зоба
В настоящее время для консервативного лечения диффузного эутиреоидного зоба используют:
- монотерапию препаратами йода
- супрессивную терапию левотироксином
- комбинированную терапию йодом и левотироксином.
У детей, подростков и взрослых моложе 40-50 лет лечение начинают с монотерапии препаратами йода (калия йодид), что в течение полугода обычно приводит к уменьшению объема щитовидной железы до физиологических размеров. При отсутствии динамики в течение 6 месяцев монотерапии йодом, решается вопрос о переходе на супрессивную монотерапию препаратами левотироксина (L-Т4) или комбинированную терапию препаратами йодида калия и левотироксина.
Оперативное лечение может быть показано при гигантских размерах зоба и компрессии окружающих органов. Альтернативным методом лечения диффузного эутиреоидного зоба служит терапия радиоактивным йодом-131, с помощью которой достигается уменьшение объема щитовидной железы на 40-50 % уже после однократного введения изотопа.
Прогноз
В большинстве случаев с помощью этиотропного лечения объем щитовидной железы удается нормализовать. У части пациентов на фоне диффузного эутиреоидного зоба формируются узловые образования с функциональной автономией. Пациенты с диффузным эутиреоидным зобом старше 45-50 лет должны находиться под динамическим наблюдением эндокринолога, проходить ежегодное УЗИ щитовидной железы и определение уровня ТТГ.
Профилактика
Профилактика диффузного эутиреоидного зоба делится на массовую и индивидуальную. Массовая профилактика заключается в употреблении в пищу йодированной соли, продуктов, богатых йодом (морской капусты, морской рыбы и др. морепродуктов, грецких орехов, хурмы и т. д.).
Индивидуальная профилактика проводится путем специального назначения препаратов йода лицам из групп риска по развитию диффузного эутиреоидного зоба: беременным, проживающим в регионах йодного дефицита, пациентам, перенесшим операцию на щитовидной железе и др. Для профилактики спорадических случаев диффузного эутиреоидного зоба необходимо ограничение и исключение воздействия струмогенных факторов.
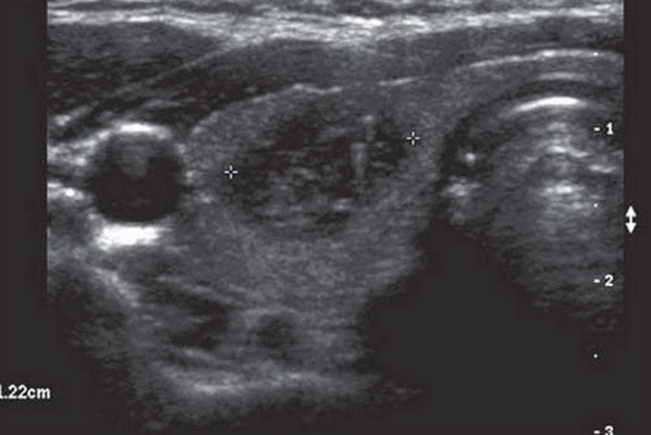
УЗИ зоба

Терминология. Определения. Многоузловой зоб - диффузное, мультинодулярное увеличение щитовидной железы в ответ на хроническую стимуляцию ТТГ. Глубокое расположение - субстернальный, загрудинный зоб, нижнее расширение многоузлового зоба (МУЗ) в средостение
Основные характеристики УЗИ и других исследований при многоузловом зобе
Лучший диагностический подход. Хорошо отграниченное, диффузное увеличение щитовидной железы с неоднородным узловым внешним видом. Кальцификации, фиброз, кистозные изменения и кровоизлияния приводят к появлению гетерогенных изображений структуры железы
Расположение. Висцеральное пространство, щитовидная железа. Субстернальное удлинение встречается у 37% пациентов
Размер. Может быть очень большим (> 15 см)
Морфология. Четко выраженное диффузное увеличение щитовидной железы в висцеральном пространстве шеи. Сонные пространства смещены от средней линии; трахея сдавлена между увеличенными долями щитовидной железы

Главные ультрасонографические данные
Серошкальное УЗИ. Множественные узлы, двустороннее диффузное вовлечение обеих долей. Солидные узлы часто изоэхогенные, с небольшой долей гипоэхогенных (5%). Несмотря на то, что они не инкапсулированы, узлы резко очерчены и имеют ореол - хало, который состоит из сосудов и сжатой щитовидной железы. Гетерогенная эхоструктура с внутренним детритом, перегородками, солидными и кистозными участками. Сплошная часть внутри узлы часто представляет собой сгусток крови. Плотное затенение кальцификации (криволинейное, дисморфное, грубое) ± множественное. Узлы с артефактом из хвоста кометы очень напоминают коллоидный узел (имитирует микрокальцификацию). Кистозный компонент возникает из-за дегенерации, кровоизлияния или коллоида в узле. Фоновые паренхиматозные эхоструктуры щитовидной железы являются грубыми и неоднородными (тонкие яркие эхосигналы в нормальной железе).
Цветовой допплер показывает, что периферическая васкуляризация более выражена, чем интранодулярная сосудистая сеть. Септы и интранодулярные солидные порции являются бессосудистыми (чаще представлена кровяным сгустком).
Рентгенографические данные. Рентгенография грудной клетки. Если зоб расположен супрастернально, то снимок может быть нормальным или иметь легкое отклонение или сужение трахеи. Когда имеется субстернальное, верхнее расположение зоба над средостением, то может быть отклонение и сужение трахеи
Результаты КТ
- КТ. Области низкого затухания дегенеративных и коллоидных кист. Промежуточные зоны ослабления солидных аденоматозных узлов и фиброза. Области высокого ослабления от кровоизлияния и кальцификации (90%, аморфные, очаговые, похожие на кольца)
- КТ с контрастированием. Паренхима щитовидной железы заменена множественными, неоднородными, сплошными и кистозными образованиями, диффузное, неоднородное усиление
МРТ исследование
- T1WI. Кистозная дегенерация, фиброз и кальцификация способствуют гипоинтенсивным очагам. Кровоизлияние в многоузловой зоб может привести к участкам с высоким сигналом T1. На корональных изображениях видна «колыбель» нижнего края субстернального МУЗ с брахиоцефальными сосудами
- T2WI. Низкий сигнал фиброза и кальцификации на последовательностях Т2. Кистозная дегенерация, кровоизлияние в очаге с высоким сигналом
- T1WI с контрастированием. Диффузное заметно неоднородное усиление
Результаты ядерной медицины. Радиоактивная йодная сцинтиграфия (пертехнетат Tc-99m или I-123). Не играет никакой роли в первоначальной оценке нетоксичного узлового зоба. Эффективен в распознавании природы образования в средостении как щитовидную железу. Гетерогенное скопление йода с подавлением окружающей паренхимы
Рекомендации по ультразвуковой визуализации
УЗИ является лучшим инструментом для ранней диагностики. Ультразвуковое исследование считается идеальным методом визуализации, так как он оценивает узлы щитовидной железы и их влияние на соседние структуры и выявляет любые подозрительные узлы (± направляемая биопсия). Ультразвуковое сканирование идеально подходит для наблюдения за пациентами, испытывающими беспокойство, у которых нет других симптомов. Риск малигнизации при МУЗ составляет 1-5%. Наиболее распространенным раком является папиллярная карцинома щитовидной железы. Анапластическая карцинома обычно наблюдается на фоне мультинодулярности и встречается реже, чем папиллярная карцинома. Врачу УЗИ необходимо искать папиллярный рак в многоузловом зобе, выбирать солидные, плохо определенные, гипоэхогенные узлы, точечные микрокальцификации и хаотические интранодулярные сосуды. Кроме того, оценивают шею для исключения метастатических лимфоузлов: сплошная или кистозная, гиперэхогенная, точечная микрокальцификация, патологическая васкуляризация, пре- / паратрахеальная, глубокая шейная цепь лимфатических узлов. При необходимости проводят ТАБ под контролем УЗИ. КТ лучше подходит для оценки больших зобов, в частности, их подключичной / средостенной локализации и определения степени компрессии дыхательных путей. Основная роль ультразвукового исследования при узловом зобе заключается в выявлении наличия любых подозрительных узлов и проведении биопсии. Оцените шею для подозрительных / метастатических узлов и для любого загрудинного расширения

Дифференциальная диагностика узлового зоба на УЗИ
- Папиллярная карцинома. Нечеткие, солидные, гипоэхогенные узлы с точечной микрокальцификацией и хаотическими интранодулярными сосудами. Аномальные узлы: солидные / кистозные, гиперэхогенные, точечные микрокальцификации, аномальные сосуды
- Фолликулярная карцинома. Плохой или четко выраженный гипоэхогенный солидный узел с аномальной васкуляризацией, без кальцификации ± отдаленные метастазы. Односторонний с нормальной тканью щитовидной железы. Если видно другие маленькие гетерогенные узлы, которые также могут быть замечены то можно предположить МУЗ
- Анапластическая карцинома щитовидной железы. Быстро увеличивающаяся, гетерогенная, плохо определенная с грубой кальцификацией, инвазивная опухоль, происходящая из щитовидной железы. Пищевод, трахея, сонное пространство могут быть также поражены
- Медуллярная карцинома. Нечеткие или четко определенные края, гипоэхогенные, твердые узлы с аномальной васкуляризацией и грубым затенением за счет кальцификации. Аномальные лимфоузлы: солидные, гипоэхогенные, грубый теневой фокус, аномальные сосуды, характерное распределение для метастазов
Патологические находки и основные характеристики при зобе
Этиология. Экологический дефицит йода приводит к повышению уровня ТТГ; Гиперплазия щитовидной железы приводит к постепенному, диффузному расширению желез. Развиваются области инволюции и фиброза, перемежающиеся с областями очаговой гиперплазии; приводит к развитию множественных узлов
Связанные аномалии. Риск рака при МУЗ (5%). Факторы риска малигнизации: радиационное облучение, семейный анамнез рака щитовидной железы, быстрый рост. В 95% случаев узловой зоб доброкачественный, в 5% злокачественный. Частота возникновения злокачественных новообразований при МУЗ - единичные узлы. Папиллярная карцинома и анапластическая карцинома могут быть замечены с наличием МУЗ
Распространенность. Многоузловой зоб является наиболее частой причиной асимметричного увеличения щитовидной железы; 3-5% общего населения страдает от данной патологии в Красноярске, он также охватывает широкий спектр от случайного бессимптомного маленького одиночного узла до большого внутригрудного зоба. Подгрудинное расширение у 37%, большинство которого локализовано в области переднего средостения, редко затрагивает заднее средостение
Клинические проблемы и проявления. Наиболее распространенные признаки и симптомы. Большое, многоузловое образование нижней части шеи. Компрессия дыхательных путей (55%), хрипота (15%), дисфагия и синдром верхней полой вены (10%)
Клинический профиль. Большая часть пациентов находятся в эутиреозе (нормальный ТТГ), но может стать гипертиреоидной или, редко, гипотиреоидной
Демография. Возраст. Спорадический зоб не имеет конкретной возрастной заболеваемости. Эндемический зоб от йододефицита встречается в детстве, продолжает увеличиваться в размерах с возрастом
Пол. 2-4: 1, преобладает у женщин
Эпидемиология. Спорадический зоб. В целом адекватное диетическое потребление йода позволяет проводит адекватную профилактику. Заболеваемость спорадическим МУЗ в Красноярске оценивается примерно в 5%. Распространенность пальпируемых узлов составляет примерно 5-6% у людей в возрасте 60 лет. При УЗИ и вскрытии частота маленьких непальпируемых узелков приближается к 50% у людей в возрасте 60 лет. Эндемический зоб. Связан с дефицитом йода. Более 13% населения мира страдают от данной патологии. Легкий дефицит йода связан с распространенностью зоба 5-20% в Красноярском крае. Умеренный дефицит йода связан с распространенностью зоба на 20-30%. Тяжелый дефицит йода, связанный с распространенностью зоба> 30%
Естественная история и прогноз. Рост и увеличение числа узлов ведет к функциональной автономии, которая редко приводит к тиреотоксикозу. Спонтанная регрессия по сравнению с постепенно увеличивающимся размером с развитием множественных узлов, вызывающих местные симптомы компрессии ± косметические жалобы
Нетоксический многоузловой зоб (E04.2)
Нетоксический многоузловой зоб - неопухолевое заболевание щитовидной железы (ЩЖ), патогенетически связанное с хроническим дефицитом йода в организме, проявляющееся формированием нескольких узловых образований в результате очаговой пролиферации Пролиферация - увеличение числа клеток какой-либо ткани вследствие их размножения
тироцитов Тироцит - эпителиальная клетка; из тироцитов построены стенки фолликулов щитовидной железы
и накопления коллоида.
Узловой зоб - собирательное клиническое понятие, объединяющее все пальпируемые образования в ЩЖ, которые имеют различные морфологические характеристики. Термин используется клиницистами до цитологической верификации диагноза.
Узловое образование (узел) ЩЖ - образование в ЩЖ, определяемое пальпаторно и/или при помощи любого визуализирующего метода исследования и имеющее размер 1 см и более.

Автоматизация клиники: быстро и недорого!
- Подключено 300 клиник из 4 стран
- 800 RUB / 4500 KZT / 27 BYN - 1 рабочее место в месяц

Автоматизация клиники: быстро и недорого!
- Подключено 300 клиник из 4 стран
- 1 место - 800 RUB / 4500 KZT / 27 BYN в месяц
Мне интересно! Свяжитесь со мной
Классификация зоба, рекомендованная ВОЗ (2001 г.)
По степени увеличения:
- степень 0 - зоба нет (объем каждой доли не превышает объем дистальной фаланги большого пальца руки исследуемого);
- степень 1 - зоб пальпируется, но не виден при нормальном положении шеи, сюда же относятся узловые образования, не приводящие к увеличению самой железы;
- степень 2 - зоб четко виден при нормальном положении шеи.
По количеству узловых образований:
- узловой зоб - единственное инкапсулированное образование в щитовидной железе (солитарный узел);
- многоузловой зоб - множественные инкапсулированные узловые образования в ЩЖ, не спаянные между собой;
- конгломератный узловой зоб - несколько инкапсулированных образований в ЩЖ, спаянных друг с другом и формирующим конгломерат;
- диффузно-узловой зоб (смешанный) - узлы (узел) на фоне диффузного увеличения ЩЖ.
Этиология и патогенез
Этиология
Наиболее частой причиной развития нетоксического узлового зоба является йодный дефицит.
Патогенез
В условиях йодного дефицита щитовидная железа подвержена воздействию комплекса стимулирующих факторов, которые обеспечивают продукцию адекватного количества тиреоидных гормонов в условиях дефицита основного субстрата для их синтеза. В результате происходит увеличение объема щитовидной железы - формируется диффузный эутиреоидный зоб. В зависимости от выраженности йодного дефицита, он может формироваться у 10-80% всего населения.
Тироциты исходно обладают различной пролиферативной активностью (обладают микрогетерогенностью). Одни пулы тироцитов более активно захватывают йод, другие быстро пролиферируют, третьи имеют низкую функциональную и пролиферативную активность. В условиях йодного дефицита микрогетерогенность тироцитов приобретает патологический характер: тироциты, обладающие наибольшей способностью к пролиферации, в большей степени отвечают на гиперстимуляцию. Таким образом, формируется узловой и многоузловой эутиреоидный зоб.
Основной особенностью многоузлового зоба является морфологическая и функциональная гетерогенность ткани щитовидной железы. Активная пролиферация клеток йододефицитного зоба связана с повышенным риском образования соматических мутаций. В том числе возникают и активирующие мутации, приводящие к автономной функции тироцитов. Среди этих мутаций наиболее изучены мутация рецептора ТТГ, приводящая к его стойкой активации даже при отсутствии лиганда, а также мутация белка Gs-альфа, участвующего в передаче рецепторного сигнала на аденилатциклазу.
Эпидемиология
Среди здорового населения при пальпации щитовидной железы узловой зоб регистрируют у 3-5% обследуемых, при аутопсии ткани щитовидной железы узловые образования обнаруживают в 50% случаев.
Распространенность узлового зоба выше в регионах йодного дефицита (от 10-40%), а также в регионах, подвергшихся ионизирующему облучению.
Частота заболевания увеличивается с возрастом и выше у женщин, по сравнению с мужчинами (1:10).
Частота выявления узлового зоба во многом зависит от метода исследования. При пальпации в неэндемичных по зобу областях узловые образования в щитовидной железе обнаруживаются у 4-7% взрослого населения, а при УЗИ - у 10-20%. В условиях йодного дефицита эти цифры существенно возрастают.
Факторы и группы риска
Основная группа риска развития йоддефицитных заболеваний:
- дети в возрасте до 3-х лет;
- беременные;
- кормящие грудью;
Группа особого риска по формированию наиболее угрожающих в медико-социальном плане последствий йододефицита:
- девочки в период полового созревания;
- женщины детородного (фертильного) возраста;
- беременные и кормящие;
- дети и подростки.
Клиническая картина
Cимптомы, течение
Жалобы пациентов с узловыми образованиями в щитовидной железе носят неспецифический характер. Единственной жалобой может быть чувство дискомфорта в области шеи. Чаще всего больные с узловыми образованиями небольших размеров вообще не предъявляют никаких жалоб.
Одышка, которая может усиливаться при повороте головы, дисфагия Дисфагия - общее название расстройств глотания
, чувство давления в области шеи характерны для пациентов с загрудинно расположенным узловым зобом или с узлами больших размеров.
Основными задачами врача-эндокринолога при обнаружении узлового образования щитовидной железы (ЩЖ) являются:
- исключение или подтверждение наличия опухоли ЩЖ и установление клинического диагноза, подтвержденного морфологически;
- определение тактики лечения/наблюдения больного с узловыми образованиями.
Эти задачи решаются на основных этапах обследования.
Анамнез
Следует учитывать наличие узлового зоба у родственников, наличие медуллярного рака в семье, предшествующее облучение головы и шеи, проживание в регионах йодного дефицита и зонах, подвергшихся ионизирующему излучению.
Важно наличие быстрого роста, быстрого появления "узла", которые может отмечать сам пациент. Изменение голоса, поперхивание при еде, питье, изменение голоса.
Физикальное обследование
При осмотре шея пациента может быть не изменена, однако узловое образование может быть видно при запрокинутой назад голове.
При пальпации можно разграничить узловой, диффузный и многоузловой зоб. Пальпаторно оценивают болезненность узла, его консистенцию, смещаемость по отношению к окружающим тканям, распространение зоба за грудину (достижимость нижнего полюса при глотании).
При узле большого размера (больше 5 см в диаметре) может возникнуть деформация шеи, набухание шейных вен (бывает редко, только при очень значительных размерах узлов).
Признаки сдавления в случае крупного загрудинного зоба появляются обычно при поднимании рук выше головы (симптом Пембертона); при этом развиваются гиперемия лица, головокружение или обморок.
Обязательно исследуют лимфатические узлы шеи.
1. УЗИ щитовидной железы - самый распространенный метод визуализации ЩЖ. Позволяет подтвердить или опровергнуть наличие у пациента узлового и/или диффузного зоба.
Отличительной и основной особенностью истинного узлового зоба при УЗИ является наличие капсулы. Капсула представляет собой границу узла, которая имеет, как правило, более высокую эхогенность, чем собственно ткань образования.
3. Тонкоигольная аспирационная биопсия (ТАБ) ЩЖ - метод прямой морфологической (цитологической) диагностики при узловом зобе, позволяет провести дифференциальную диагностику заболеваний, проявляющихся узловым зобом и исключить злокачественную патологию ЩЖ.
Показания для проведения:
- узловые образования ЩЖ, равные или превышающие в диаметре 1 см (обнаруженные при пальпации и/или УЗИ ЩЖ);
- случайно диагностированные образования меньшего размера при подозрении на злокачественную опухоль ЩЖ (по данным УЗИ), при условии технической возможности выполнить пункцию под контролем УЗИ;
- клинически значимое увеличение (более 5 см) ранее обнаруженного узлового образования ЩЖ при динамическом наблюдении.
Эффективность получения адекватного цитологического материала при ТАБ существенно повышается, если процедура проводится под контролем УЗИ. При многоузловом зобе, когда проведение пункционной биопсии каждого из узловых образований не представляется возможным, проводится прицельное исследование образований, которые по эхографическим признакам подозрительны на опухоль ЩЖ.
4. Рентгенография грудной клетки с контрастированием пищевода барием: рекомендована при наличии у пациента узлового зоба больших размеров, при частично загрудинном расположении узлового зоба.
5. МРТ и КТ. Показания к проведению: отдельные случаи загрудинного зоба и распространенные формы рака ЩЖ.
6. Консультация других специалистов: при компрессионном синдроме необходима консультация оториноларинголога.
В случае проведения ТАБ одного только "доминантного" или наиболее крупного узлового образования существует вероятность про пустить рак ЩЖ. В этом плане большее значение имеет не размер узловых образований, а их ультра звуковые особенности, включая наличие микро кальцинатов, гипоэхогенности узла солидных узлов (более темный, чем окружающая паренхима ) и внут риузловой гиперваскуляризации .
В случае выявления двух и более узлов размера ми более 1-1,5 см пунктировать следует преимущест венно узлы, которые имеют подозрительные ультразву ковые особенности.
В том случае, если ни один из узлов не имеет характерных для злокачественных образований ультра звуковых признаков, и при этом обнаруживаются конгло мератные узловые образования со сходной эхографической структурой, вероятность злокачественности низка. Ц елесообразна пункция наиболее крупного узла.
Низкий или низконормальный уровень ТТГ мо жет свидетельствовать о наличии функциональной ав тономии ЩЖ. В этом случае необходимо выполнение сцинтиграфии и проведение сравнительного анализа полученной картины с данными ультразвукового исследования для того, чтобы определить функциональные возможности всех узлов размерами более 1-1,5 см. Пунктировать необходимо только "холодные" и "теплые" узловые образования, при этом преимущественно те, которые имеют подозрительные ультразвуковые характеристики.
Лабораторная диагностика
Осуществляется оценка содержания уровня тиреоидных гормонов в крови.
При обнаружении измененного содержания ТТГ:
- в случае снижения дополнительно проводят определение концентрации св. Т4 и св. Т3;
- при повышении определяют концентрацию св. Т4.
Дифференциальный диагноз
Дифференциальную диагностику проводят со следующими заболеваниями:
- фолликулярная аденома;
- гипертрофическая форма аутоиммунного тиреоидита с формированием ложных узлов$
- солитарная киста;
- рак щитовидной железы.
Помогают дифференциации тонкоигольная аспирационная биопсия, а также результаты УЗИ и сцинтиграфии ЩЖ, гормональные исследования.
С течением времени возможно развитие функциональной автономии щитовидной железы (независимый от влияния ТТГ захват йода и продукция тироксина тироцитами).
Лечение
Цель лечения - стабилизация размеров узлового образования щитовидной железы (ЩЖ).
На сегодняшний день существуют несколько указанных ниже подходов в лечении.
1. Динамическое наблюдение - предпочтительная тактика у больных с непальпируемыми узловыми образованиями, обнаруженными случайно при УЗИ, имеющими диаметр до 10 мм (1 см), а также у людей пожилого возраста с многоузловым зобом и доброкачественной цитологической картиной, имеющих выраженную патологию сердечно-сосудистой системы.
Под динамическим наблюдением понимают оценку функции ЩЖ (определение содержания ТТГ) и размера узлового образования (УЗИ ЩЖ) один раз в год.
2. Супрессивная терапия левотироксином натрия, цель которой - подавление секреции ТТГ. Данный подход оправдан в ситуации сочетания солитарного узлового зоба с диффузным увеличением объема ЩЖ. При многоузловом зобе данная терапия не эффективна.
3. Оперативное лечение показано при многоузловом зобе с признаками компрессии окружающих органов и/или косметическим дефектом, обнаруженной функциональной автономии. Послеоперационная профилактика рецидива узлового зоба (в 50-80% случаев) включает назначение левотироксина натрия с супрессивной целью (ТТГ менее 0,5 МЕ/л) в дозе - 2-4 мкг/ (кг × сут.).
4. Терапия радиоактивным йодом: в последние десятилетия в мире накоплен большой опыт успешного применения данного метода лечения многоузлового зоба небольших размеров (менее 50 мл). Метод позволяет в течение нескольких месяцев достичь уменьшения объема ЩЖ на 40-50% даже после однократного введения изотопа.
Прогноз при нетоксическом многоузловом зобе, подтвержденном цитологически, для жизни и трудоспособности благоприятный. С течением времени возможно развитие функциональной автономии щитовидной железы, что диктует необходимость проведения радикального лечения (оперативное или терапия радиоактивным йодом).
Госпитализация
Госпитализация в большинстве случаев не показана, кроме случаев узлового зоба большого размера с компрессионным синдромом.
Целью профилактики является нормализация потребления йода населением. Потребность в йоде составляет:
- 90 мкг в сутки - в возрасте 0-59 месяцев;
- 120 мкг в сутки - в возрасте 6-12 лет;
- 150 мкг/сутки - для подростков и взрослых;
- 250 мкг/сутки - для беременных и кормящих.
Обеспечение нормального потребления йода в регионах йодного дефицита возможно путем внедрения методов массовой, групповой и индивидуальной профилактики.
Массовая профилактика
Всеобщее йодирование соли рекомендовано ВОЗ, Минздравом РК и РФ, в качестве универсального и высокоэффективного метода массовой йодной профилактики.
Всеобщее йодирование соли означает, что практически вся соль для употребления человеком (т.е. продающаяся в магазинах и используемая в пищевой промышленности) должна быть йодирована. Для достижения оптимального потребления йода (150мкг/сут.) ВОЗ и Международный совет по контролю за йоддефицитными заболеваниями рекомендуют добавления в среднем 20-40 мг йода на 1 кг соли. В качестве йодированной добавки рекомендовано использовать йодид калия.
В дальнейшем проведение массовой йодной профилактики приводит к значительному снижению распространенности всех форм зоба.
Групповая и индивидуальная йодная профилактика проводится в определенные периоды жизни (беременность, кормление грудью, детский и подростковый периоды), когда физиологическая потребность в йоде возрастает, и заключается в приеме фармакологических средств, содержащих физиологическую дозу калия йодида.
В группах повышенного риска допустимо использовать только фармакологические средства, содержащие точно стандартизированную дозу йода. В этих группах населения особенно высока распространенность именно эндемического зоба, и, следовательно, прием препаратов с точной дозировкой имеет не только профилактическое, но и лечебное значение.
Рекомендуемые дозы йодида калия для проведения профилактики в группах повышенного риска:
- калий йодид длительно внутрь 50-100 мкг/сут. - дети до 12 лет;
- 100-200 мкг/сут. - подростки и взрослые;
- 200 мкг/ сут. - беременные и кормящие женщины.
Читайте также:
