УЗИ при монохориальной диамниотической двойне
Добавил пользователь Владимир З. Обновлено: 01.11.2025
Многоплодной называется беременность, при которой одновременно развивается два или большее число плодов, составляет 1-2 % от общего количества родов, на многоплодные роды приходится 10-14 % от всей перинатальной смертности, что в 5-10 раз выше, чем при одноплодной беременности.
Роды через естественные родовые пути или путем кесарево сечение двумя или большим количеством плодов с 22 полных недель.
Название протокола: "Многоплодная беременность"
Код протокола:
Код(ы) МКБ-10:
030 Многоплодная беременность.
031 Осложнения характерные для многоплодной беременности.
031.2 Продолжающаяся беременность после внутриутробной гибели одного или более чем одного плода.
031.8 Другие осложнения, характерные для многоплодной беременности
032.5 Многоплодная беременность с неправильным предлежанием одного или нескольких плодов, требующих предоставления медицинской помощи матери.
О 84. Роды многоплодные
О84.0 Роды многоплодные, полностью самопроизвольные
О84.1 Роды многоплодные, полностью с применением щипцов и вакуум-экстрактора
O84.2 Роды многоплодные, полностью путем кесарево сечения.
О84.8 Другое родоразрешение при многоплодных родах.
О84.9 Роды многоплодные, неуточненные
Сокращения, используемые в протоколе:
МБ - многоплодная беременность.
ФФТС - фето - фетальный трансфузионный синдром.
ФЛКСА - фетоскопическая лазерная коагуляция анастомозов.
ЭКО - экстракорпоральное оплодотворение
ХГЧ - хорионический гонадотропин человека
АФП - альфафетопротеин
ЦДК-цветное доплеровское картирование
Дата разработки протокола: май 2013 года
Категория пациентов: Беременные с двумя или большим числом плодов
Пользователи протокола: врачи акушеры-гинекологи амбулаторно-поликлинического звена и родовспомогательных стационаров
Указание на отсутствие конфликта интересов. Разработчики протокола не имеют интересов в фармакологических препаратах и оборудовании, указанных в протоколе.

Автоматизация клиники: быстро и недорого!
- Подключено 300 клиник из 4 стран
- 800 RUB / 4500 KZT / 27 BYN - 1 рабочее место в месяц

Автоматизация клиники: быстро и недорого!
- Подключено 300 клиник из 4 стран
- 1 место - 800 RUB / 4500 KZT / 27 BYN в месяц
Мне интересно! Свяжитесь со мной
Классификация
Клиническая классификация
По зиготности:
- Монозиготные, идентичные, однояйцевые (1/3часть всех двоен). Имеют идентичный генотип, поэтому однополые. Сходство гентической «композиции» связано с ранним делением яйцеклетки, оплодотворенной одним сперматозоидом, на две клеточные массы, содержащие идентичную генетическую информацию.
- Дизиготные, двуяйцевые, неидентичные (2/3 всех двоен). Образуются при оплодотворении двух яйцеклеток двумя сперматозоидами, вследствие чего каждый эмбрион получает генетический материал отдельно как от матери, так и от отца.
По типу хориальности (плацентации) выделяют:
1. Дихориальная - диамниотическая (две плаценты - 80%)
2. Монохориальная (одна плацента - 20 %):
- монохориальная, диамниотическая;
- монохориальная, моноамниотическая.
Диагностика
МЕТОДЫ, ПОДХОДЫ И ПРОЦЕДУРЫ ДИАГНОСТИКИ И ЛЕЧЕНИЯ
Перечень основных и дополнительных диагностических мероприятий:
- Основные лабораторные исследования при неосложненной многоплодной беременности согласно протокола ведения физиологической беременности
- Скрининговое (стандартное) УЗИ в 10-14, 20-22, 30-32 недели беременности для исключения аномалий развития.
- Динамическая ультразвуковая фетометрия (для прогнозирования задержки внутриутробного развития плода/плодов, ФФТС со срока гестации 24 недели, каждые 3-4 недели
- Допплерометрия кровотока сосудов в системе мать-плацента-плод.
- ЦДК сосудов плаценты при монохориальном типе плацентации (при наличии условий для коагуляции анастомозов при ФФТС с 20-22 недель).
- При наличии ЗВУР одного из плодов - еженедельная оценка биофизического профиля, индекса амниотической жидкости, еженедельная КТГ и допплерометрия МППК.
Диагностические критерии
По данным УЗИ тип хориальности необходимо определять до 14 недель беременности.
Признаки ФФТС по данным УЗИ:
- Разность количества околоплодных вод у плодов (многоводие/маловодие)
- Различие размеров мочевого пузыря (малые размеры/отсутствие у плода донора с маловодием и большие размеры мочевого пузыря с многоводием у плода рецепиента)
- Водянка, асцит одного из плодов
- Различие массы плодов (более 20%). Опасность представляет, если разница в массе более 25-30%
Жалобы и анамнез:
- Анамнез ЭКО, стимуляции овуляции гонадотропинами, кломифеном
- Семейный анамнез
- Жалобы в зависимости от течения беременности и осложнений
Физикальное обследование:
- Высота стояния дна матки на 4 см. и более превышает стандартный показатель, характерный для данного срока беременности; увеличение окружности живота
- Пальпация частей плодов (определение большого количества мелких частей)
- Аускультация в двух и более местах сердцебиения плодов
- Избыточная прибавка массы тела;
Лабораторные исследования: определение уровня ХГЧ и АФП (превышает более чем в 4 раза показатели для данного срока беременности).
Инструментальные исследования:
- Ультразвуковое исследование (не ранее 10 недель)
Точное определение зиготности и хориальности определяет тактику ведения беременности!
- Допплерометрия маточно - плодово - плацентарного кровотока
- КТГ плодов
Показания для консультации специалистов: нет.
Дифференциальный диагноз: проводится с многоводием, крупным плодом.
Осложнения
Осложнения многоплодной беременности
Для матери:
1) Анемия.
2) Гипертензия, индуцированная беременностью (14 - 20 %). Возникает в 3 раза чаще, чем при одноплодной беременности, протекает тяжелее.
3) Кровотечение во время беременности и в раннем послеродовом (20 %) периоде.
4) Многоводие наблюдается в 5 - 8 % при беременности двойней, особенно при моноамниотической двойне.
5) Преждевременный разрыв плодных оболочек (25%), вдвое превышает частоту одноплодной беременности.
6) Спонтанные аборты, частота вдвое выше, чем при одноплодной беременности. Более 50 % беременностей, где в первый триместр по данным УЗИ диагностирована многоплодная беременность, заканчивались родами одним плодом.
7) Тошнота, рвота беременных протекают тяжелее.
8) Нарушение толерантности к глюкозе.
9) Холестаз беременных.
Для плода:
1) Высокая перинатальная смертность - 15%, что в 10 раз выше, чем при одноплодной беременности. Увеличивается прямо пропорционально количеству плодов, обусловлена высокой частотой преждевременных родов (до 50 %), и следующими осложнениями у новорожденных:
- Малой массой тела при рождении (55% масса менее 2500.0г.)
- Синдром дыхательных расстройств
- Внутричерепным кровоизлиянием
- Сепсисом
- Некротическим энтероколитом
Частота и перинатальная смертность зависит от типа плацентации. При монозиготной двойне показатели в 2 - 3 раза выше, чем у дизиготных.
2) Врожденные пороки развития - 2 - 10%.
3) Соединенные близнецы: частота 1:900 беременностей двойней. Патология пуповины и плаценты.
4) Предлежание плаценты.
5) Отслойка плаценты (чаще во II периоде родов).
6) Оболочечное прикрепление пуповины (1% при одноплодной, 7% при двойне).
7) Предлежание пуповины (1,1% при одноплодной, 8,7% при двойне).
8) Выпадение петель пуповины в родах.
9) Фето-фетальный трансфузионный синдром (ФФТС) - до 15%,
10) Неправильное положение плода во время родов (50%)
11) Задержка внутриутробного развития плода - 70%.
12) Неврологические расстройства: детский паралич, микроцефалия, энцефаломаляция.
13) Внутриутробная гибель одного из плодов.
Лечение
Цели лечения: профилактика акушерских, специфических и перинатальных осложнений при многоплодной беременности.
Тактика лечения
1. В настоящее время недостаточно данных в пользу рутинной госпитализации женщин для соблюдения постельного режима. Постельный режим не снижает риск преждевременных родов и не снижает перинатальную смертность. При неосложненной беременности госпитализация увеличивает риск ранних преждевременных родов (Кокрановское руководство: беременность и роды, 2010г).
2. Родоразрешение при неосложненном течении беременности: дихориальная диамниотическая -38 недель. Недостаточно данных в пользу элективного родоразрешения в более ранние сроки (Кокрановское руководство: беременность и роды, 2010г). Монохориальная диамниотическая двойня госпитализация в 36-37недель, монохориальная моноамнитическая-33-34 недель, тройня-35-36 недель;
3. При антенатальной гибели одного из плодов при глубоко недоношенной беременности (до 34 недель), беременность пролонгировать. При монохориальной двойне при гибели одного из плодов очень часто развивается острая кровопотеря второго плода, что невозможно предотвратить даже срочным родоразрешением путем операции кесарево сечение. Поэтому при малых сроках гестации беременность также пролонгируется до 34 недель.
4. При наличии резус-отрицательного фактора крови, при антенатальной гибели одного из плодов показано введение анти -Д резусного иммуноглобулина.
Тактика ведения родов:
I период родов:
- при головном затылочном предлежании, роды самостоятельные, как при одноплодной беременности с использованием партограммы;
- постоянное кардиомониторное наблюдение за состоянием плодов желательно специально предназначенным аппаратом КТГ.
II период родов:
- пережатие пуповины после рождения первого плода (ребёнка обсушить, надеть шапочку, выложить на грудь матери);
- наложите зажим на материнский конец пуповины;
- после рождения 1 плода наружным акушерским осмотром и вагинальным исследованием уточнение положения 2 плода;
- при продольном положении плода, его удовлетворительном состоянии по данным КТГ продолжить консервативное ведение родов в течение 30 минут;
- при поперечном положении 2 плода, при отсутствии противопоказаний, наружный поворот плода. При удавшемся повороте - продолжить консервативное ведение родов;
- при неудачной попытке поворота - амниотомия с последующим проведением наружно - внутреннего поворота плода на ножку с последующей экстракцией за тазовый конец, при адекватном обезболивании;
- если после рождения первого ребенка схватки неадекватны или отсутствуют в течение 30 минут - амниотомия с последующим в/в введением окситоцина (см. схему введения окситоцина - протокол «Индукция родов»);
- если частота сердцебиений плода патологическая (меньше 100 или больше 180 ударов в минуту), завершите роды путем наложения вакуум-экстрактора или извлечения плода за тазовый конец;
- если влагалищные роды невозможны (неудачная попытка поворота плода, угрожаемое состояние внутриутробного плода) показано кесарево сечение.
III период родов: активное ведение. См. протокол «Физиологические роды».
Послеродовый период: см. протокол «Физиологические роды», физиологический послеродовый период.
Немедикаментозное лечение:
- режим, диета;
- наблюдение;
- динамическая оценка состояния плодов.
Медикаментозное лечение:
- окситоцин в родах и послеродовом периодах;
- карбетоцин в послеродовом периоде;
- дексаметазон по показаниям;
- нифедипин (токолиз) по показаниям;
- 1% тетрациклиновая или эритромициновая глазная мазь - новорожденному после родов.
Другие виды лечения
Амниоредукция - терапевтический амниоцентез при ФФТС (выраженное многоводие у одного из плодов).
Эндоскопическая лазерная коагуляция анастомозирующих сосудов плаценты под эхографическим контролем («соноэндоскопическая» техника с 20-22 недель беременности).
Хирургическое вмешательство
Показания для проведения планового кесарево сечения:
- поперечное положение первого плода, или обоих плодов;
- тазовое предлежание первого плода у первородящей;
- сросшиеся близнецы;
- тройня и большее количества плодов (в 35-36 недель беременности);
- монохориальная, моноамниотическая двойня (в 33-34 недель беременности).
- рождение второго близнеца при отсутствии головного предлежания путем операции кесарево сечение сопряжено с повышенной частотой септических состояний у матери; При этом не выявлено улучшения исходов для новорожденных! Кокрановское руководство: беременность и роды, 2010 г).
Профилактические мероприятия: ограничение числа переносимых эмбрионов в программах ЭКО.
Дальнейшее ведение: реабилитация в условиях женской консультации.
Индикаторы эффективности лечения и безопасности методов диагностики и лечения, описанных в протоколе:
- неосложненное течение адаптационного периода у новорожденных (отсутствие признаков РДС);
- частота послеродовых и послеоперационных осложнений.
Фото УЗИ при беременности, фото плода при УЗИ во время беременности

Фото УЗИ плода при беременности 4-5 недель
Самый ранний срок, на котором можно разглядеть с помощью трансвагинального УЗИ плодное яйцо в полости матки - это 30-й день гестации, или 4-5 акушерских недель беременности. Уровень ХГЧ крови при этом должен быть не менее 1000 мЕд/мл. В это время ещё не видно ни эмбриона, ни желточного мешка. При визуализации двух плодных яиц можно утверждать, что это дихориальная многоплодная беременность. При визуализации одного плодного яйца можно утверждать, что это монохориальная беременность. Но на этом сроке мы ещё не можем сказать сколько эмбрионов находится в каждом плодном яйце. Кроме того, во время однократного УЗИ мы ещё не можем сказать, прогрессирует ли данная беременность, так как у эмбриона ещё нет сердцебиения. Средний внутренний диаметр (СВД) плодного яйца на этом сроке 2-10 мм.
В заключении будет указано: Маточная беременность малого срока.
5-6 недель

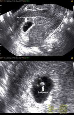
Фото УЗИ плода при беременности 5-6 недель
На этом сроке внутри плодного яйца появляется белое колечко - это желточный мешок.
В стенке желточного мешка образуются очаги эритропоэза, которые формируют капиллярную сеть, поставляя эритробласты (ядерные эритроциты) в первичную кровеносную систему плода. Желточный мешок является источником первичных половых клеток, которые мигрируют из его стенки к закладкам гонад эмбриона. До 6-й недели после оплодотворения желточный мешок, играя роль «первичной печени», продуцирует многие важные для эмбриона белки — альфа-фетопротеин, трансферрины, альфа2-микроглобулин. К концу I триместра беременности этот провизорный орган перестает функционировать и редуцируется.
Нормальные размеры желточного мешка 2-6 мм. Если в плодном яйце визуализируются два желточных мешка, значит это монохориальная многоплодная беременность. Но если внутри плодного яйца виден один желточный мешок, а эмбрион ещё отчётливо не визуализируется, то это всё ещё может оказаться монохориальная моноамниотическая двойня.
Эмбрион в начале 5-й недели практически неразличим на стенке желточного мешка, но уже к концу недели копчико-теменной размер (КТР) эмбриона достигает 3 мм.
СВД плодного яйца 11-16 мм.
6 - 7 недель

Фото УЗИ плода при беременности 6-7 недель
Внутри плодного яйца мы видим "колечко с драгоценным камнем" :) - это желточный мешок и уже хорошо различимый эмбрион, расположенные рядом. Сердце эмбриона начинает биться в начале 6-й акушерской недели беременности. Именно наличие пульсации сердца является достоверным ультразвуковым признаком прогрессирующей беременности. При КТР ≥6 мм и отсутствии пульсации сердца делается заключение об остановке развития данного эмбриона. Нормальная частота сердечных сокращений (ЧСС) эмбриона в самом начале 6-й недели 70-90 ударов в минуту, но уже к концу недели становится более 100 уд. в мин. На ранних сроках беременности большее значение имеет не ЧСС, а как таковое наличие или отсутствие сердечных сокращений. Иногда, при неразвивающейся беременности можно увидеть отражение пульсации сосудов матери внутри эмбриона и принять их за сердцебиение ребёнка. Но в этом случае частота пульсации будет идентична ЧСС матери.
Наличие одного желточного мешка, одного эмбриона и одного пульсирующего сердца в подавляющем большинстве случаев говорит об одноплодной беременности. Но в очень редких случаях это могут в последствии оказаться неразделившиеся близнецы.
СВД плодного яйца 13-23 мм. КТР эмбриона 4-9 мм.
7 - 8 недель

Фото УЗИ плода при беременности 7-8 недель
Расстояние между эмбрионом и желточным мешком постепенно увеличивается и становится хорошо различим желточный проток (ductus vitellinus), соединяющий между собой желточный мешок и кишечник эмбриона. Так же, как и желточный мешок, проток на более поздних сроках запустевает и рассасывается, но если это не происходит по каким-то причинам, то у человека формируется слепое выпячивание стенки подвздошной кишки - дивертикул Меккеля.
До этого срока хорион имеет кольцевидную форму, окружает плодное яйцо со всех сторон и пока ещё нельзя сказать к какой стенке матки прикрепился эмбрион.
В случае монохориальной двойни ещё не видно амниотических оболочек и при наличии двух желточных мешков всё ещё нельзя сказать является ли данная беременность моно или диамниотической. Если плодное яйцо содержит два желточных мешка и два плода с наличием сердечной активности, в последующем количество амниотических полостей может быть больше, чем количество плацент (монохориальная диамниотическая) или одинаковым (монохориальная моноамниотическая). В этом случае точно определить амниональность возможно после 8 недель, когда амниотические оболочки начинают четко визуализироваться.
ЧСС эмбриона 130-160 ударов в минуту.
СВД плодного яйца 24-30 мм, КТР эмбриона 9-15 мм.
8 - 9 недель
Во время УЗИ у эмбриона уже можно отчётливо различить отдельные сегменты - голову, туловище, конечности. Появляется первая двигательная активность. Становятся хорошо видны амниотические оболочки и уже можно говорить о количестве амниотических пузырей при многоплодной беременности. Происходит дифференцировка хориона на гладкий, обращённый в сторону полости матки, и ветвистый, из которого впоследствии будет формироваться плацента, так что уже можно говорить о преимущественном расположении хориона по передней или задней стенке матки.
ЧСС эмбриона увеличивается до 160-180 ударов в минуту.
СВД плодного яйца 31-37 мм. КТР эмбриона 16-22 мм.
9 - 10 недель

Фото УЗИ плода при беременности 9-10 недель
Продолжается развитие эмбриона. Уже отчётливо видны ручки ножки, а на хорошем аппарате порой удаётся разглядеть даже пальчики на руках и ногах. Частота сердцебиения на этом сроке достигает 170-190 ударов в минуту. Шевеления эмбриона становятся активными, и есть работы, показывающие, что чем активнее ребёнок, тем длиннее будет пуповина (хотя тут может быть и обратная зависимость).
Случай острого развития синдрома анемии-полицитемии (TAPS) у монохориальной диамниотической двойни с синдромом селективной задержки роста плода (sIUGR)
Перинатальный центр РКБ МЗ Республики Татарстан, Казанская государственная медицинская академия - филиал ФГБОУ ДПО РМАНПО МЗ РФ, Казань.

УЗИ аппарат RS85
Революционные изменения в экспертной диагностике. Безупречное качество изображения, молниеносная скорость работы, новое поколение технологий визуализации и количественного анализа данных УЗ-сканирования.
По данным ISUOG, в последние десятилетия отмечено увеличение более чем на 70% случаев рождения двоен [1]. Это связано с широким внедрением вспомогательных репродуктивных технологий, отсроченным поздним зачатием, использованием противозачаточных препаратов.
По типу хориальности различают дихориальные и монохориальные двойни, причем 2/3 из них составляют дихориальные двойни.
Каждый плод из дихориальной двойни имеет собственную плаценту, свое отдельное сосудистое русло, и каждый развивается по своему сценарию, общим для них является состояние матери, которое, естественно, отражается на состоянии плодов.
Монохориальные двойни имеют одну общую плаценту. Практически в 100% случаев в общей плаценте имеются многочисленные сосудистые анастомозы, связывающие напрямую системы кровообращения обоих плодов. Плацентарные анастомозы бывают артерио -артериальные (АА), вено-венозные (ВВ) и артериовенозные (АВ) [2]. Все эти анастомозы могут располагаться и на поверхности плаценты, и в глубине. И если АА- и ВВ-анастомозы в большинстве случаев скомпенсированы, то АВ-анастомозы, где кровь из артерий одного плода дренируется напрямую в вены другого плода, являются причиной многочисленных осложнений.
Фето-фетальные трансфузионные синдромы
По статистике, течение беременности при монохориальных двойнях осложняется в 10-15% случаев фето-фетальными трансфузионными синдромами (ФФТС) разной степени тяжести 5, причем клинические проявления ФФТС зависят от наличия именно АВ-анастомозов, их количества и размеров. Классический ФФТС диагностируется обычно на сроках от 16 до 26 нед и характеризуется наличием маловодия, максимальный вертикальный карман (МВК) менее 2 см у плода-донора, и многоводием, МВК более 8 см у плода-реципиента. Практически одновременно с этим первым признаком ФФТС при ультразвуковом исследовании (УЗИ) выявляется второй признак: у плода-донора мочевой пузырь или не визуализируется, или бывает значимо маленьким, а у реципиента - переполнен, или значимо большой. Эта самая частая форма ФФТС в настоящее время называется синдромом олигурии-полиурии (TOPS), связана с наличием крупных АВ-анастомозов на поверхности плаценты, приводящих к гиперволемии плода-реципиента и гиповолемии плода-донора. При своевременной ультразвуковой диагностике эта форма поддается антенатальной коррекции фетоскопической лазерной коагуляцией АВ-анастомозов.
При наличии глубоких АВ-анастомозов малого диаметра (до 1 мм) и в отсутствие компенсирующих АА-анастомозов в 3-5% случаев у монохориальной двойни может развиваться еще одна форма ФФТС - синдром анемии-полицитемии (TAPS), когда по мельчайшим анастомозам происходит хроническое медленное кровотечение от донора к реципиенту [6]. При УЗИ количество околоплодных вод может быть приблизительно одинаково нормальным, и заподозрить TAPS можно, если обратить внимание на разницу в толщине и эхогенности территорий плацент донора и реципиента. При измерении пиковой систолической скорости (ПСС) в средней мозговой артерии (СМА) каждого плода подтверждается, что у плода с признаками анемии с ПСС выше 1,5 МоМ территория плаценты утолщена, эхогенность ее повышена, а у реципиента с признаками полицитемии с ПСС ниже 1,0 МоМ территория плаценты обычной толщины и низкой эхогенности. В случае ФФТС в виде TAPS в отличие от TOPS существующие методы пренатального лечения не так эффективны, так как мелкие глубокие АВ-анастомозы практически не видны при фетоскопии. Некоторые специалисты проводят полную лазерную дихорионизацию плаценты по сосудистому руслу с предварительной амниоинфузией. Методом выбора является внутриутробная гемотрансфузия плоду-донору, однако она эффективна только в отсутствие значимо крупных анастомозов, усугубляющих полицитемию плода-реципиента. Таким образом, эффективность однократной гемотрансфузии плоду-донору имеет и лечебное, и диагностическое значение. В противном случае некоторые специалисты проводят обменные гемотрансфузии с возмещением реципиенту объема изъятой крови физиологическим раствором [7]. Так как в большинстве случаев TAPS возникает после 26 нед, все мероприятия направлены на продление беременности с целью достижения периода жизнеспособности плодов.
Синдром селективной задержки внутриутробного роста
Синдром селективной задержки внутриутробного роста (сЗВУР) выражается в отставании в росте одного из плодов и характеризуется дискордантностью фетометрических показателей двух плодов более чем на 25% и высчитывается по формуле:
(Масса тела большего плода - Масса тела меньшего плода) / Масса тела большего плода × 100 ≥ 25%.
Селективная ЗВУР не считается уникальным осложнением монохориальной двойни и не относится к ФФТС. У дихориальной двойни также может возникать дискордантность в росте и развитии одного из плодов, причиной может быть хромосомная аномалия одного из плодов дихориальной двойни, например трисомия 18, или триплоидия, оболочечное прикрепление пуповины, пороки развития плода типа скелетных дисплазий и т.д. Причиной может быть и истинная плацентарная недостаточность одной из плацент, когда недоразвиты ворсины, сосуды ворсин и соответственно сосудистое русло плаценты. Терминальная плацентарная недостаточность может привести к гибели меньшего плода, однако отсутствие каких-либо общих сосудов между плацентами позволяет оставшемуся плоду развиваться без осложнений до доношенного срока.
При синдроме сЗВУР у монохориальной двойни при идентичном генном и хромосомном наборе может быть катастрофическая разница по площади принадлежащих плодам плацентарных территорий с аномальным развитием ворсин и сосудистого русла плацентарной ткани у плода с сЗВУР (рис. 1).
При терминальной плацентарной недостаточности происходит гибель меньшего плода, которая в большинстве случаев влечет за собой гибель нормального плода. Объясняется это наличием сосудистых анастомозов (АА и ВВ) в одной общей плаценте, но в отличие от ФФТС плацентарные анастомозы здесь играют положительную роль, долгое время компенсируя и поддерживая жизнь плода с маленькой плацентарной территорией (рис. 2).

Рис. 1. Распределение сосудов в плаценте монохориальной двойни при селективной ЗВУР.
УЗИ при многоплодной беременности
Многоплодная беременность считается беременностью высокого риска различных осложнений для матери и плодов, так как организм женщины больше рассчитан на вынашивание одного плода. Поэтому при многоплодной беременности необходимо более часто проводить УЗИ и наблюдать за ростом и развитием плодов.
Есть несколько типов двоен - в зависимости от количества плацент и оболочек.
Монохориальная диамниотическая двойня - возникает при разделении оплодотворенной яйцеклетки на две части. При этом у плодов имеется одна общая плацента и собственное околоплодное пространство. Плоды всегда одного пола и полностью генетически идентичны. Наличие единой плаценты может приводить к развитию специфических осложнений, связанных с тем, что сосуды в этой плаценте могут соединять системы кровообращения обоих плодов. При этом один плод получает некоторое количество крови от другого плода, и они оба страдают от этого: у одного есть избыток крови, что приводит к повышенной нагрузке на его сердце; второй получает недостаточное количество крови, кислорода и питательных веществ, и начинает расти медленнее, в результате чего у него формируется задержка внутриутробного развития. Такое осложнение называется фето-фетальный трансфузионный синдром, и без своевременного лечения может привести к гибели одного или обоих плодов. Для того, чтобы не пропустить это осложнение, необходимо делать УЗИ в 11-13 недель (как при одноплодной беременности), в 16, 18, 20, 22, 24, 26, 28 недель беременности. Если выявляются признаки фето-фетального синдрома, УЗИ нужно выполнять еще чаще - 1 раз в неделю. Если до 28 недель беременности нет никаких признаков этого синдрома, то в дальнейшем его развитие крайне маловероятно, и УЗИ можно выполнять 1 раз в 4 недели - как при дихориальной двойне.
Монохориальная моноамниотическая двойня - возникает при разделении оплодотворенной яйцеклетки на две части, при этом у плодов имеется общая плацента и общее околоплодное пространство. Плоды всегда одного пола и полностью генетически идентичны. Это крайне редкий тип двоен, и сопровождается самым большим риском осложнений, задержки развития и внутриутробной гибели. Помимо осложнений, связанных с единой плацентой (см. описание выше), плоды находятся в общем околоплодном пространстве и не разделены амниотической оболочкой. Это может привести к перекруту и пережатию их пуповин, прекращению поступления крови к одному из них и, соответственно, его гибели. Риск этого осложнения очень велик, поэтому УЗИ делается каждую неделю беременности, а при выявлении признаков перекрута пуповины рекомендуется госпитализация и ежедневное наблюдение плодов; если состояние одного из плодов становится критическим, требуется немедленное родоразрешение путем операции кесарева сечения.
Ведение многоплодной беременности требует высокой квалификации врача, и должно осуществляться в центре экспертного уровня.
Ультразвуковая диагностика глубокой инвазии плаценты (PAS 3b)

Профессиональные диагностические инструменты. Оценка эластичности тканей, расширенные возможности 3D/4D/5D сканирования, классификатор BI-RADS, опции для экспертных кардиологических исследований.
Введение
За последние 40 лет частота операций кесарева сечения выросла более чем на 20% при одновременном 10-кратном росте частоты врастания плаценты [1]. Термин «врастание плаценты» известен миру с 1937 г., когда впервые C. Irving и A.T. Hertig определили его как «аномальное частичное или полное прикрепление последа к стенке матки» [2]. Однако приоритетная «пальма первенства» в описании данной аномалии плацентации все-таки принадлежит канадскому специалисту D.S. Forster, который в 1927 г. первым опубликовал в PubMed случай placenta accreta [3].
За прошедшие десятилетия радикально изменился алгоритм постановки диагноза «врастание (приращение)» плаценты. Во времена D.S. Forster, C. Irvinga и A.T. Herting патология идентифицировалась исключительно по факту осложненного течения последового (затруднения вплоть до невозможности отделения плаценты, сопровождаемые профузным маточным кровотечением) или послеродового периода (весьма обильное маточное кровотечение). В настоящее время основным методом диагностики врастания плаценты является эхография (ультразвуковое сканирование) [4, 5].
Пересмотрены варианты терминологии и классификации данной патологии. В настоящее время во всем мире внедрена новая и весьма точная терминология (расстройства спектра приращения плаценты (placenta accrete spectrum, PAS)), охватывающая весь спектр аномальных расстройств плацентации: аномально адгезивную плаценту (placenta accrete) и аномально инвазивную плаценту (AIP - abnormally invasive placenta, включая placenta accreta + increta + percreta) [6].
Долгие годы широко применялась традиционная классификация PAS (в зависимости от глубины инвазии ворсин в миометрий) [7]:
- placenta accreta - частичное плотное прикрепление, при котором ворсины хориона достигают миометрия, не повреждая целостности мышечных волокон;
- placenta increta - истинное врастание ворсин в толщу миометрия; сопровождается повреждением его структуры;
- placenta percreta - ассоциируется с прорастанием ворсинами всей толщины миометрия, вплоть до параметрия и брюшины, реже соседних органов (мочевой пузырь, кишечник).
На сегодняшний день в качестве «окончательного» варианта классификации PAS предложена версия Международной федерации гинекологии и акушерства (FIGO) [6], включающая в себя следующие варианты:
- PAS 1 - аномальное прикрепление плаценты (placenta adherent or creta);
- PAS 2 - аномальная инвазия плаценты (increta);
- PAS 3 - аномальная инвазия плаценты (percreta):
3a - прорастание ограничено серозой;
3b - с инвазией мочевого пузыря;
3c - инвазия других тканей / органов малого таза.
По данным систематического обзора и метаанализа F. D'Antonio и соавт. ультразвуковых исследований у 3070 беременных с риском PAS, чувствительность УЗИ составила 90,72% (95% ДИ 87,2-93,6), специфичность 96,94% (95% ДИ 96,3-97,5) [8].
Несмотря на разработанные классификацию и алгоритмы ведения беременности и родов при различных вариантах аномального прикрепления плаценты, вопросы диагностики продолжают обсуждаться. Так, по мнению E. Jauniaux и соавт. [7], до сих пор не обнаружено ни одного ультразвукового признака или комбинации признаков, специфичных для определения глубины инвазии плаценты. Для решения данной проблемы в настоящее время широкое применение нашла магнитно-резонансная томография (МРТ). Технология МРТ рассматривается в качестве полезного инструмента для оценки глубины инвазии при подозрении на placenta percreta, а также в диагностике сложных случаев, таких как преимущественное расположение предлежащей плаценты по задней стенке матки [9, 10].
Учитывая существующие сложности в антенатальной верификации глубокой инвазии плаценты, представляем собственный клинический опыт диагностики подобной аномальной плацентации.
Клиническое наблюдение
Повторнородящая Д., 35 лет. В анамнезе двое оперативных родов (кесарево сечение в 2014 и 2017 гг.). Соматический анамнез отягощен хроническим пиелонефритом, мочекаменной болезнью.
При настоящей беременности пациентка проходила скрининговые ультразвуковые исследования в 12, 20 нед на оборудовании среднего и экспертного класса. В 12 нед обнаружено, что «…хорион достигает области внутреннего зева, отмечается повышенная васкуляризация миометрия области перешейка передней стенки». Констатировано, что пациентка угрожаемая по аномалиям плацентации.
В сроке 21 нед при скрининговом осмотре (УЗ сканер WS80A компании Samsung) описано полное предлежание плаценты, «толщина области послеоперационного рубца 3,2 мм; справа миометрий области рубца не определяется, базальный слой не визуализируется, расширенные лакунарные пространства, гиперваскуляризация плаценты». Констатированы эхографические признаки врастания плаценты в послеоперационный рубец.
В сроке 23 нед эхография проводилась в условиях КОВИД-моногоспиталя в палате реанимационного отделения в соответствии с руководящими принципами и рекомендациями по оптимальной защите для снижения риска передачи вируса между оператором УЗИ и пациентом [11] с использованием портативного переносного сканера. В сроках 21-23 нед пациентка переболела новой короновирусной инфекцией СOVID-19 в тяжелой форме, осложненной двусторонней полисегментарной пневмонией (КТ-2), ДН 2. Факт аномальной плацентации был подтвержден. Констатирован вариант врастания плаценты по классификации FIGO - PAS 2.
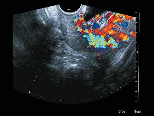
В 28 +6 нед беременности (рис. 1-3) при трансвагинальном сканировании выявлено прорастание плаценты в верхнюю треть шейки матки и цервикальный канал (PAS 3a).

Рис. 1. Беременность 28 +6 нед. Ретроплацентарные лакуны, отсутствие нормальной гипоэхогенной ретроплацентарной зоны, истончение миометрия, гиперваскуляризация пузырно-маточной зоны. Режим ЦДК.

Рис. 2. Беременность 28 +6 нед. Ретроплацентарные лакуны в шейке матки. Режим 2D.

Рис. 3. Беременность 28 +6 нед. Васкулярная инвазия в шейку матки. Режим ЦДК.
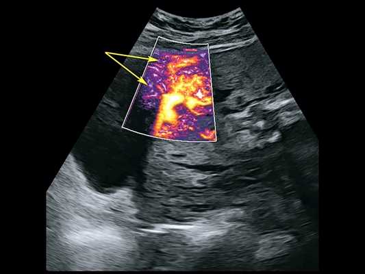
Сканирование в сроке 32 +4 нед беременности проводилось на ультразвуковом сканере премиум-класса W10 (компании Samsung) c использованием конвексного (CA1-7A) и внутриполостного (EV3-10B) датчиков с применением технологии LumiFlow™ (рис. 4-7).

Рис. 4. Беременность 32 +4 нед. Ретроплацентарные лакуны, отсутствие нормальной гипоэхогенной ретроплацентарной зоны, истончение миометрия, выпячивание плаценты.

Рис. 5. Беременность 32 +4 нед. Ретроплацентарные лакуны, отсутствие нормальной гипоэхогенной ретроплацентарной зоны, истончение миометрия, гиперваскуляризация пузырно-маточной зоны. Режим ЦДК.

Рис. 6. Беременность 32 +4 нед. Трансвагинальное сканирование: ретроплацентарные лакуны в шейке матки и цервикальном канале.

Рис. 7. Беременность 32 +4 нед. Режим LumiFlow™: сосудистые мостики (rail sign) из миометрия сквозь серозный покров в стенку мочевого пузыря (стрелки).
В режиме серошкального сканирования все ранее идентифицированные особенности плацентации (PAS 3a): ретроплацентарные лакуны, васкулярная инвазия в шейку матки, исчезновение нормальной гипоэхогенной ретроплацентарной зоны, истончение миометрия, выпячивание плаценты, гиперваскуляризация пузырно-маточной зоны были подтверждены.
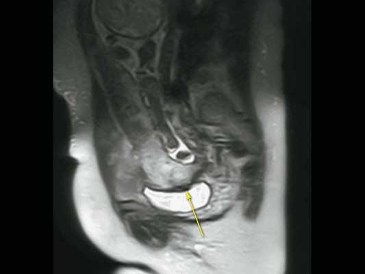
Дополнительное использование технологии стереоскопической визуализации кровотока (LumiFlow™) позволило визуализировать вовлеченность стенки мочевого пузыря беременной в конгломерат тканей аномальной плацентации (сосудистые мостики (rail sign) из миометрия сквозь серозный покров в стенку мочевого пузыря), то есть идентифицировать placenta percreta (PAS 3b). Проведенная в последующем МРТ констатировала полное предлежание плаценты с прорастанием в рубец, через все слои миометрия, шейку матки и цервикальный канал (рис. 8) и верхнюю стенку мочевого пузыря.
Учитывая определенную в итоге степень врастания плаценты как PAS 3b, беременность была завершена в сроке 36 +6 нед плановым родоразрешением. Была выполнена нижнесрединная лапаротомия с последующим донным кесаревым сечением, перевязкой внутренних подвздошных артерий, экстирпацией матки без придатков. В ходе операции при сепарации мочевого пузыря произошло его сквозное ранение с последующим послойным ушиванием. Особенности плацентации (глубокое прорастание с инвазией в мочевой пузырь и шейку матки), описанные при УЗИ, были верифицированы интраоперационно (рис. 9) и при последующем патологоанатомическом исследовании матки.

Рис. 8. Беременность 32 +4 нед. МРТ - Placenta percreta (PAS 3b). Зона прорастания плаценты в рубец через все слои миометрия в верхнюю стенку мочевого пузыря (стрелка).

Рис. 9. Placenta percreta (PAS 3b): интраоперационный вид.
Таким образом, мнение E. Jauniaux и соавт., высказанное 6 лет назад [7], об отсутствии ультразвуковых признаков или их комбинации, специфичных для определения глубины инвазии плаценты, с внедрением в повседневную практику современных ультразвуковых технологий, LumiFlow™ в частности, может быть пересмотрено. Стереоскопическая визуализация кровотока, помогающая интуитивному пониманию структуры кровотока в мелких сосудах, является реальным инструментом в оценке степеней аномальной инвазии плаценты.
Литература
- Sokheim K.N., Esakoff T.F., Little S.E. et al. The effect of cesarean delivery rates on the future incidence of placenta previa, placenta accreta, and maternal mortality // J Matern Fetal Neonatal. Med. 2011; 24 (11): 1341-1346.
- Irving C., Hertig A.T. A study of placenta accreta // Surg Gynecol Obstet. 1937; 64: 178-200.
- Forster D.S. A case of placenta accreta // Can Med Assoc. J. 1927; 17: 204-207.
- Jauniaux E., Bhide A. Prenatal ultrasound diagnosis and outcome of placenta previa accreta after cesarean delivery: a systematic review and meta-analysis // Am J Obstet Gynecol. 2017; 217 (1): 27-36.
- Jauniaux E., Ayres-de-Campos D., Langhoff-Ross J. et al. FIGO classification for the clinical diagnosis of placenta accreta spectrum disorders // Int J Gynecol Obstet. 2019; 146 (1): 20-24.
- Morlando M., Collins S. Placenta Accreta Spectrum disorders: challenges, risks and management strategies // Int J Womens Health. 2020; 12: 1033-1045.
- Jauniaux E., Collins S.L., Jurkovic D., Burton G.J. Accreta placentation: a systematic review of prenatal ultrasound imaging and grading of villous invasiveness // Am J Obstet Gynecol. 2016; 215 (6): 712-721.
- D'Antonio F., Iacovella C., Bhide A. Prenatal identification of invasive placentation using ultrasound: systematic review and meta-analysis // Ultrasound Obstet Gynecol. 2013; 42 (5): 509-517.
- American College of Obstetricians and Gynecologists; Society for Maternal-Fetal Medicine. Obstetric care consensus. № 7. Summary: placenta accrete spectrum // Obstet Gynecol. 2018; 132 (6): 259-275.
- Jauniaux E., Alfirevic Z., Bhide A.G. et al. Placenta praevia and placenta accreta: diagnosis and management. Green-top Guideline № 27a. // BJOG. 2019; 126 (1): 1-48.
- Stephens A.J., Barton J.R., Bentum N.A. et al. General guidelines in the management of an obstetrical patient on the labor and delivery unit during the COVID-19 pandemic // Am J Perinatol. 2020; 37 (8): 829-836.
УЗИ сканер HS60
Читайте также:
- Производственный травматизм у шахтеров. Заболеваемость рабочих угольной промышленности
- Лекарства для лечения ожирения
- УЗИ при тромбозе почечной вены трансплантата почки
- Результаты прекардиального наблюдения. Допплерографии как метод декомпрессии водолазов
- Амилоидоз конъюнктивы: признаки, гистология, лечение, прогноз
