Амилоидоз конъюнктивы: признаки, гистология, лечение, прогноз
Добавил пользователь Евгений Кузнецов Обновлено: 22.11.2025
Информацию из данного раздела нельзя использовать для самодиагностики и самолечения. В случае боли или иного обострения заболевания диагностические исследования должен назначать только лечащий врач. Для постановки диагноза и правильного назначения лечения следует обращаться к Вашему лечащему врачу.
Для корректной оценки результатов ваших анализов в динамике предпочтительно делать исследования в одной и той же лаборатории, так как в разных лабораториях для выполнения одноименных анализов могут применяться разные методы исследования и единицы измерения.
Амилоидоз: причины появления, симптомы, диагностика и способы лечения.
Амилоидоз - это системное заболевание, характеризующееся накоплением в клетках различных органов патологически нерастворимого белка-амилоида (фибриллярного гликопротеида), которое приводит к склерозу тканей, их последующей атрофии и некрозу, развитию полиорганной недостаточности.
Причины появления амилоидоза
Точная причина амилоидоза до сих пор не установлена. Многие ученые ставят во главу угла генетическую предрасположенность и некоторые системные заболевания, среди которых особо отмечают ревматоидный артрит, спондилоартропатии, аутовоспалительные наследственные периодические лихорадки, а также туберкулез.
Заболевание может манифестировать и без видимой причины, а также проявиться в старческом возрасте.
Классификация заболевания
Существуют две основные формы амилоидоза:
- системный (поражает ткани большинства органов);
- локальный (поражает ткани отдельного органа: почек, сердца, кожи и др.).
- Первичный (идиопатический) амилоидоз, , или AL-амилоидоз характеризуется появлением в плазме крови и отложением в тканях различных органов аномальных легких цепей иммуноглобулинов.
- Вторичный (общий) амилоидоз развивается на фоне таких хронических заболеваний, как бронхит, туберкулез, остеомиелит, сифилис и др., поэтому долгое время может не диагностироваться.
- Наследственный амилоидоз вызван мутациями генов иммунной системы, что приводит к образованию клеток, продуцирующих амилоид. К наследственному амилоидозу можно отнести лихорадку, семейный нейропатический, нефропатический и кардиопатический амилоидоз.
- Старческий церебральный амилоидоз считается наиболее опасным, поскольку поражает сердце, поджелудочную железу, легкие и головной мозг.
- Опухолевый амилоидоз проявляется отложением амилоида в тканях пораженного опухолью органа, в результате чего злокачественный процесс быстро прогрессирует.
Проявления заболевания разнообразны и обусловлены локализацией, выраженностью, продолжительностью амилоидоза и степенью вовлечения в процесс внутренних органов. Если на ранней стадии характерных симптомов амилоидоза может почти не быть, то по мере развития болезни клинические проявления постепенно нарастают.
Общие признаки амилоидоза:
- отсутствие аппетита и потеря веса;
- усталость и слабость;
- отеки;
- симптомы сердечной недостаточности;
- раздражительность и перепады настроения;
- миалгия (боль в мышцах);
- трофические язвы;
- рвота;
- диарея;
- кожный зуд;
- сонливость;
- частые головокружения;
- бледность кожных покровов из-за развития анемии.
При поражении желудка пациенты жалуются на боль и тяжесть в эпигастрии, нарушение перистальтики, вздутие живота.
Амилоидоз кишечника манифестирует тупой болью и тяжестью в животе, диареей или запорами, непроходимостью кишечника, вздутием живота. Поражение пищеварительной системы сопровождается увеличением языка, трудностями при глотании, отрыжкой, частой изжогой.
Характерными признаками поражения печени становятся желтуха, боль в правом подреберье, асцит (скопление жидкости в брюшной полости), портальная гипертензия, которая проявляется снижением аппетита, тошнотой, рвотой, урчанием и вздутием живота, а также диареей и метеоризмом. Затем появляется боль в области пупка.
При амилоидозе сердца наблюдаются аритмия, одышка, плохо поддающаяся лечению сердечная недостаточность, проявляющаяся отеками.
Если амилоид откладывается в суставах, у больных развивается артрит: кожа в проекции суставов отекает и краснеет, движения в патологическом суставе становятся ограниченными.
Поражение нервной системы опасно нарушением умственных способностей, психическими отклонениями, параличами рук и ног.
Органы дыхания реагируют на патологию затруднением дыхания, одышкой, охриплостью голоса, бронхолегочными заболеваниями.
Для кожного амилоидоза характерно формирование бляшек, сыпи, узелков, шелушение.

Диагностика амилоидоза
Для выявления заболевания и определения степени поражения органов назначают:
- ультразвуковое исследование органов брюшной полости;
Сканирование внутренних органов брюшной полости для оценки его функционального состояния и наличия патологии.
Опухоли конъюнктивы
Опухоли конъюнктивы - доброкачественные и злокачественные новообразования тонкой прозрачной оболочки глаза, покрывающей переднюю часть склеры и внутреннюю поверхность век. Проявляются косметическим дефектом. Возможны нарушения зрения. Злокачественные опухоли конъюнктивы способны к прорастанию окружающих тканей и метастазированию. Диагноз устанавливается офтальмологом с учетом жалоб и результатов осмотра структур глаза. Лечение - традиционное хирургическое вмешательство, лазерная эксцизия, лазерная коагуляция, электрокоагуляция, криотерапия, местная медикаментозная терапия.

Общие сведения
Опухоли конъюнктивы - группа эпителиальных, пигментных, сосудистых опухолей, исходящих из конъюнктивальной оболочки. Доброкачественные опухоли чаще выявляются в детском возрасте, нередко носят врожденный характер. Злокачественные и предраковые поражения преимущественно диагностируются у людей пожилого и старческого возраста. В большинстве случаев опухоли конъюнктивы происходят из эпителиальных или пигментных клеток, реже - из субэпителиальных слоев. Прогноз, как правило, благоприятный для жизни (за исключением меланомы), однако некоторые новообразования, в том числе и доброкачественные, могут становиться причиной нарушений зрения и изменений структур глаза. Лечение осуществляют специалисты в области онкологии и офтальмологии.
Доброкачественные опухоли конъюнктивы
Папиллома - достаточно распространенная опухоль конъюнктивы эпителиального происхождения. Возникает в первые дни жизни. Представляет собой одиночные или множественные мягкие узелки с большим количеством мелких сосудов, придающих новообразованиям красноватую или розоватую окраску. Опухоли конъюнктивы располагаются на тонкой, часто кровоточащей ножке. Склонны к рецидивированию. Редко подвергаются злокачественному перерождению. Лечение - оперативное вмешательство, криодеструкция, при множественных папилломах - лазерная вапоризация или аппликации митомицина.
Стационарный невус - еще одна часто встречающаяся опухоль конъюнктивы. Происходит из меланинсодержащих клеток. Составляет около 20% от общего количества доброкачественных новообразований этой оболочки глаза. Обычно возникает в детском возрасте. Пигментная опухоль конъюнктивы выглядит как плоское гладкое пятно желтоватого или коричневатого цвета с четкими контурами. У трети невусов пигментация отсутствует. При отсутствии роста и признаков озлокачествления лечение не требуется.
Дермоид (дермоидная киста конъюнктивы, липодермоид) - врожденная кистозная опухоль конъюнктивы, содержащая элементы эктодермы. Как и стационарные невусы, составляет около 20% от общего количества доброкачественных новообразований конъюнктивы. Может быть одно- или двухсторонней. Обычно локализуется снаружи от роговицы. Представляет собой овальный эластичный узел желтоватой окраски. Может прорастать роговицу. Дермоиды большого размера могут ограничивать движения глазного яблока. Лечение - хирургическое иссечение.
Гемангиома - опухоль конъюнктивы сосудистого происхождения. Имеет врожденный характер. Как правило, располагается во внутреннем углу глаза. Выглядит как скопление сильно извитых синюшных сосудов. На ранних стадиях показано удаление лазером, в последующем - электрокоагуляция.
Лимфангиома - редкая опухоль конъюнктивы, происходящая из стенок лимфатических сосудов. Обычно выявляется у взрослых. Представляет собой эластичное подвижное образование обычной или розовато-желтой окраски, не меняющее объем при надавливании. Эта опухоль конъюнктивы склонна к медленному, но неуклонному росту. При отсутствии лечения может достигать больших размеров, препятствовать нормальным движениям глазного яблока и становиться причиной грубых косметических дефектов. После удаления может рецидивировать. Лечение хирургическое.
Переходные опухоли конъюнктивы
Эпителиома Боуэна - облигатное предраковое поражение конъюнктивы эпителиального происхождения. Как правило, возникает в зрелом возрасте. Локализуется рядом с лимбом. На начальных стадиях опухоль конъюнктивы представляет собой плоскую либо слегка выдающуюся светло-серую бляшку. В последующем становится более массивной, больше возвышается над поверхностью, приобретает перламутровый оттенок. Может прорастать роговицу. Лечение - хирургическое вмешательство (возможно в сочетании с пред- и послеоперационной обработкой митомицином), короткодистанционная рентгенотерапия.
Приобретенный меланоз - предраковая пигментная опухоль конъюнктивы. Обычно возникает в возрасте 40-50 лет. Выглядит как плоское темное пятно с четкими контурами. Может поражать значительную часть конъюнктивы и переходить на роговицу. Продолжительность и особенности течения этой опухоли конъюнктивы существенно варьируют. Иногда отмечается спонтанное выздоровление. У 25-75% больных наблюдается озлокачествление. Лечение - электрокоагуляция, лазерная коагуляция, при появлении признаков малигнизации - лучевая терапия.
Прогрессирующий невус - предраковая опухоль конъюнктивы, происходящая из пигментных клеток. Цвет новообразования может различаться от темно-коричневого до светло-желтого или розоватого. Наблюдается увеличение размера, появление пестрой окраски (чередования пигментированных и непигментированных областей), размытость контуров и увеличение количества сосудов. Лечение оперативное.
Злокачественные опухоли конъюнктивы
Рак конъюнктивы - первичная злокачественная опухоль конъюнктивы, обычно возникающая на фоне предраковых заболеваний. Диагностируется редко, поражает преимущественно людей старшего возраста. Мужчины болеют чаще женщин. Фактором риска является постоянная чрезмерная инсоляция. По внешнему виду опухоль конъюнктивы может напоминать болезнь Боуэна или ороговевающую папиллому. Представляет собой сероватую или белесоватую пленку, пронизанную телеангиэктазиями, либо скопление узелков розоватой окраски. В процессе роста опухоль конъюнктивы распространяется на близлежащие ткани, может прорастать орбиту, давать метастазы в шейные и околоушные лимфоузлы.
Рак также может локализоваться на внутренней стороне века. Такие новообразования протекают более злокачественно по сравнению с опухолями конъюнктивы, расположенными в области склеры. На начальных стадиях узел растет внутриконъюнктивально, вызывая утолщение и уплотнение века. В последующем возможно изъязвление. При прогрессировании опухоль конъюнктивы распространяется на слезное мясцо, роговицу и конъюнктиву склеры, но не прорастает тарзальную пластинку.
Диагноз устанавливается на основании осмотра и результатов биопсии. Ограниченные узлы небольшого размера подлежат оперативному удалению. Возможно использование диатермокоагуляции. При больших опухолях конъюнктивы применяют рентгенотерапию или бета-терапию. При поражении орбиты выполняют экзентерацию глазницы. Прогноз достаточно благоприятный. При опухолях, не распространяющихся на орбиту, отсутствие рецидивов в течение 5 лет после окончания лечения отмечается у 50-80% пациентов.
Меланома - злокачественная опухоль конъюнктивы, возникающая на фоне приобретенного меланоза (75%), прогрессирующего невуса (20%) или неизмененных тканей. Представляет собой гладкое или бугристое опухолевидное образование. Может быть пигментированной (желтоватой, коричневой) либо лишенной пигмента. Обычно располагается у внутреннего угла глаза или недалеко от лимба. При осмотре на щелевой лампе обнаруживаются пигментированные «дорожки», расходящиеся за пределы опухоли конъюнктивы.
При прогрессировании может давать начало новым узлам в области конъюнктивы, прорастать склеру и орбиту, а также метастазировать в регионарные лимфоузлы и отдаленные органы. Лечение оперативное. На ранних этапах выполняют удаление опухоли конъюнктивы с окружающими тканями, при прорастании склеры осуществляют энуклеацию глазного яблока, при прорастании орбиты - экзентерацию глазницы. Применяют рентгенотерапию и химиотерапию. Прогноз в большинстве случаев неблагоприятный.
Амилоидоз конъюнктивы: признаки, гистология, лечение, прогноз
ФГБВОУ ВО «Военно-медицинская академия им. С.М. Кирова»;
ГБУЗ «Многопрофильный центр лазерной медицины» Минздрава Челябинской области;
ООО «ЦЕНТР ЗРЕНИЯ»
- РИНЦ AuthorID: 572950
- Scopus AuthorID: 6505839143
- ORCID: 0000-0001-5586-5042
ООО «Центр зрения»;
МАУЗ ГКБ №6
ООО «ЦЕНТР ЗРЕНИЯ»
ФГБВОУ ВО «Военно-медицинская академия им. С.М. Кирова» Минобороны России
- SPIN РИНЦ: 6440-7706
- Scopus AuthorID: 57001225300
- ResearcherID: M-2094-2016
- ORCID: 0000-0002-5274-6993
- SPIN РИНЦ: 5533-4629
- Scopus AuthorID: 56106933200
- ORCID: 0000-0002-7020-5349
- SPIN РИНЦ: 1260-4670
- Scopus AuthorID: 57397743000
- ORCID: 0000-0002-9123-2354
ГБУЗ «Многопрофильный центр лазерной медицины» Минздрава Челябинской области;
ФГБОУ ВО «Южно-Уральский государственный медицинский университет» Минздрава России
ФГБВОУ ВО «Военно-медицинская академия им. С.М. Кирова»
- SPIN РИНЦ: 1999-5721
- Scopus AuthorID: 57217073195
- ORCID: 0000-0002-9351-9789
ГБУЗ «Челябинское областное патологоанатомическое бюро»
ФГБОУ ВО «Волгоградский государственный медицинский университет» Минздрава России
ФГБОУ ВО «Уральский государственный медицинский университет» Минздрава России;
Уральский научно-исследовательский институт фтизиопульмонологии — филиал ФГБУ «Национальный исследовательский медицинский центр фтизиопульмонологии и инфекционных заболеваний» Минздрава России
Ретролентальный амилоидоз стекловидного тела (клиническое наблюдение)
Журнал: Вестник офтальмологии. 2021;137(4): 98‑103
Скопления патологического белка амилоида в стекловидном теле могут являться патогномоничным морфологическим признаком системного амилоидоза, характеризующегося отложениями нерастворимых белковых масс фибриллярной природы (амилоида) в различных органах и тканях. В статье представлен редкий клинический случай пациентки 65 лет с плавающими помутнениями обоих глаз, на правом глазу гистологически выявлен амилоидоз стекловидного тела. Три года назад пациентке был проведен YAG-лазерный витреолизис правого глаза с применением лазерной системы Ultra Q Reflex (Ellex, Австралия) по поводу атипичного кольца Вейса с успешным результатом. Для диагностики амилоидоза стекловидного тела было использовано следующее оборудование: видеощелевая лампа SL9900 (CSO, Италия), оптический когерентный томограф Solix (Optovue, США), B-scan Plus (Accutome, США), микроскоп CX41RF (Olimpus Corporation, Япония). В связи со значительным ухудшением зрения правого глаза проведена витрэктомия. Микроскопическое исследование операционного материала показало наличие скоплений амилоида, выявленных характерным кирпично-красным окрашиванием конго красным, двойным лучепреломлением при осмотре в поляризованном свете и яблочно-зеленым свечением окрашенных участков.
Дата принятия в печать:
Плавающие помутнения стекловидного тела могут вызывать значительное снижение зрения и ухудшать качество жизни [1, 2]. Выделяют первичные и вторичные помутнения стекловидного тела. Первичные помутнения возникают из витреальных структур, являющихся эндогенными, вторичные помутнения — экзогенные для стекловидного тела [1]. Примером вторичных помутнений являются белковые отложения в стекловидном теле при семейном амилоидозе [3].
В литературе описаны случаи амилоидных поражений придаточного аппарата и структур глаза: экстраокулярных мышц, слезной железы, конъюнктивы, роговицы, радужки, задней капсулы хрусталика, области зрачка, сосудов, сетчатки [4—9]. Имеются единичные публикации, описывающие амилоидные поражения стекловидного тела [10, 11].
По данным ряда авторов, амилоидоз стекловидного тела обычно имеет вид «стекловаты» (glass wool) или «паутины», вызывает ухудшение двустороннего или одностороннего зрения [10—12]. При значительном ухудшении зрения показано оперативное лечение — витрэктомия [5, 7, 11].
Верифицировать амилоидный характер скоплений независимо от их локализации можно гистологически по положительной окраске конгофильных амилоидных депозитов конго красным, которые при исследовании в поляризованном свете проявляются яблочно-зеленым двойным лучепреломлением [6, 13].
Установлено, что амилоид вырабатывается не только в печени, но и в пигментном эпителии сетчатки и в цилиарном теле [14, 15], в связи с этим выявленные в стекловидном теле, а также в других структурах глаза амилоидные скопления могут являться патогномоничными морфологическими признаками системного амилоидоза с поражением периферической нервной системы (семейная амилоидная полинейропатия; familial amyloid polyneuropathy, FAP), сердца и других внутренних органов [5, 6].
Приводим клиническое наблюдение.
Пациентка С. 62 лет обратилась к офтальмологу в марте 2018 г. с жалобами на появление умеренных фотопсий, периодических болей, большого плавающего помутнения в правом глазу в течение 3 мес. Проведено обследование.
Vis OD = 0,05 с sph — 4,5 = 1,0; Р0 = 17 мм рт.ст.
Vis OS = 0,05 с sph — 4,0 = 1,0; Р0 = 16 мм рт.ст.
Глаз спокоен, передние отделы не изменены. При гониоскопии обоих глаз: угол передней камеры открыт во всех отделах, патологических структур не выявлено. При офтальмобиомикроскопии правого глаза выявлено небольшое плавающее кольцо, окруженное пленчатой структурой неправильной формы (рис. 1), располагающееся рядом со зрительным нервом в среднем отделе стекловидного тела. По данным B-сканирования с использованием офтальмологического ультразвукового B-сканера B-scan Plus (Accutome, США), помутнение располагалось на расстоянии 5,6 мм от сетчатки на фоне полной задней отслойки стекловидного тела (ЗОСТ). При движении глаза помутнение изменяло конфигурацию и кольцо увеличивалось в размере. Мы расценили это плавающее помутнение как атипичное кольцо Вейса и предложили провести YAG-лазерный витреолизис.

Рис. 1. Изображение стекловидного тела правого глаза пациентки С. (2018 г. — 62 года) до (а) и после (б) YAG-лазерного витреолизиса.
а — цветная фотография с использованием видеощелевой лампы, встроенной в YAG-лазер: крупное плавающее помутнение неправильной формы (черные стрелки); б — крупное помутнение не визуализируется.
YAG-лазерный витреолизис правого глаза проведен в апреле 2018 г. Во время операции использованы следующие параметры: длина волны — 1064 нм, длительность — 4 нс, энергия — 5—5,5 мДж, диаметр пятна — 8 мкм, количество импульсов — 443, общая энергия — 2378 мДж. Послеоперационный период прошел без осложнений. Пациентка наблюдалась в динамике через 2 нед, 3 мес, 6 мес, 1 год. Жалоб на плавающие помутнения она не предъявляла. Зрение было стабильным.
В апреле 2021 г. пациентка обратилась с жалобами на периодическое ухудшение зрения правого глаза, связанное с появлением крупного плавающего помутнения серого цвета с височной стороны при движении глаз, а также на плавающие помутнения в левом глазу. Проведено обследование.
Vis OD = 0,05 с sph — 4,5 = 0,7; Р0 = 19 мм рт.ст.
Vis OS = 0,05 с sph — 4,0 = 1,0; Р0 = 17 мм рт.ст.
Глаза спокойные, передние отделы не изменены. В правом глазу при биомикроофтальмоскопии в переднем отделе стекловидного тела выявлены одно крупное и несколько мелких плавающих помутнений белоснежного цвета, периодически появляющиеся только при движении глаз (рис. 2).

Рис. 2. Изображение ретролентальных плавающих помутнений правого глаза пациентки С. (2021 г. — 65 лет).
а — цветная фотография с использованием видеощелевой лампы при прямом освещении без применения линз: красная стрелка указывает на помутнение неправильной формы, расположенное в центральной зоне при переводе взгляда в направлении «вверх — прямо»; б, в — цветные фотографии с использованием видеощелевой лампы при непрямом освещении: крупное белоснежное помутнение (красная стрелка), которое трансформируется в разные формы и меняет положение в зависимости от положения глаза (б — при переводе взгляда в направлении «вправо — прямо», в — при движении глаза в направлении «влево — прямо»).
Оптическая когерентная томография (ОКТ) ретролентального пространства правого глаза у данной пациентки показала выраженные гиперрефлективные помутнения (рис. 3), B-сканирование — полную ЗОСТ.

Рис. 3. Фотографии и изображение, полученное при ОКТ-сканировании, правого глаза пациентки С. (2021 г. — 65 лет): ретролентальное плавающее помутнение.
а — цветная фотография с использованием видеощелевой лампы в непрямом свете без линз, красная стрелка указывает на основное белоснежное плавающее помутнение, расположенное в горизонтальном положении и появляющееся при движении глаза в направлении «вниз — прямо»; б — черно-белая фотография глаза при взгляде вниз, красная линия указывает направление сканирования; в — соответствующий скан ОКТ, красная стрелка указывает на неоднородные гиперрефлективные помутнения, расположенные в 1—1,5 мм от задней капсулы хрусталика (белая звездочка), голубая стрелка — на переднюю гиалоидную мембрану.
При биомикроофтальмоскопии левого глаза выявлен «дуэт помутнений»: одно — в средних слоях стекловидного тела в области зрительного нерва на расстоянии 4,5 мм от сетчатки в виде кольца Вейса, второе — ретролентально в виде «стекловаты» на расстоянии 462 мкм от задней капсулы хрусталика (рис. 4). ОКТ-сканирование и ультрасонография с использованием офтальмологического ультразвукового B-сканера B-scan Plus (Accutome, США) показали полную ЗОСТ.

Рис. 4. Изображение дуэта помутнений стекловидного тела левого глаза пациентки С. (2021 г. — 65 лет).
а — цветная фотография с использованием контактной линзы Karickhoff 21 мм с видеощелевой лампы, встроенной в YAG-лазер, желтая стрелка указывает на плавающее помутнение по типу кольца Вейса, расположенное в средних слоях стекловидного тела; б — цветная фотография с использованием видеощелевой лампы в непрямом свете без линз, красная стрелка указывает на белоснежное плавающее помутнение, расположенное вертикально при взгляде глаза влево; в — черно-белая фотография глаза при движении глаза влево, красная линия указывает направление сканирования; г — соответствующий скан ОКТ, красная стрелка указывает на неоднородное гиперрефлективное помутнение, расположенное в 462 мкм от задней капсулы хрусталика (белая звездочка).
Учитывая выраженный характер жалоб, снижение качества жизни, пациентке проведена витрэктомия правого глаза и взят фрагмент стекловидного тела для гистологического исследования. Морфологический анализ стекловидного тела показал наличие амилоидных отложений с положительным окрашиванием специальным красителем конго красный и наличием двойного яблочно-зеленого лучепреломления при осмотре в поляризованном свете микроскопа (рис. 5).

Рис. 5. Результаты гистологического исследования стекловидного тела после витрэктомии правого глаза пациентки С. (2021 г. — 65 лет).
Цветные фотографии, ув. 200.
а — конгофильные структуры кирпично-красного цвета при окраске конго красным; б — двойное лучепреломление и яблочно-зеленое свечение амилоидных депозитов при исследовании в поляризованном свете.
Операция и послеоперационный период прошли без осложнений. Осмотрена через 1 нед после витрэктомии. Максимально корригированная острота зрения OD = 1,0; Р0 — 17 мм рт.ст. Жалобы на плавающие помутнения правого глаза не предъявляет. При биомикроофтальмоскопии плавающие помутнения не визуализируются. Консультирована терапевтом, неврологом; электронейромиография верхних и нижних конечностей выявила признаки, которые могут соответствовать транстиретиновой полинейропатии. Пациентка направлена на генетическое обследование для выяснения этиологии заболевания. Приглашены родственники для обследования глаз и генетического анализа.
Выводы
1. ОКТ-сканирование позволяет определить структуру ретролентальных плавающих помутнений переднего отдела стекловидного тела, которые визуализируются при движении глазного яблока, и их расстояние от задней капсулы хрусталика.
2. Значительное ухудшение зрения при наличии крупных плавающих помутнений, расположенных ретролентально, является показанием для витрэктомии.
3. Для диагностики амилоидной природы помутнений необходимо проводить гистологические исследования с использованием селективных методов выявления амилоидных фибрилл (окраска конго красным, двойное лучепреломление при исследовании в поляризованном свете микроскопа и яблочно-зеленое свечение).
4. При гистологическом подтверждении амилоидоза структурных элементов глаза необходимо исключить у пациента системное поражение и семейный характер заболевания.
Национальный центр офтальмологии им. акад. Зарифы Алиевой Минздрава Азербайджанской Республики, Джавадхана ул., 32/15, Баку, Азербайджанская Республика, AZ1114
Национальный центр офтальмологии им. акад. Зарифы Алиевой
Невусы конъюнктивы как риск развития меланомы
Журнал: Вестник офтальмологии. 2016;132(3): 21‑25
Невусы конъюнктивы — наиболее распространенные опухоли данной локализации. Чаще бывают односторонними, однако редко может встречаться и билатеральная локализация невусов конъюнктивы. По клиническому течению невусы подразделяют на стационарные и прогрессирующие, голубой невус и первичный приобретенный меланоз. При беременности и в пубертатном периоде может быть изменение окраски, но если это происходит в постпубертатном периоде, то должна настораживать возможная малигнизация невуса. Гистопатологически невусы состоят из скопления меланоцитов, расположенных в строме, близко к базальному слою. Цель — изучить роль своевременного хирургического вмешательства при невусах конъюнктивы и слезного мясца в профилактике дальнейшего развития меланомы. Материал и методы. С 2009 по 2013 г. были обследованы 52 больных, возраст которых составлял от 2 до 65 лет. Из них 48 пациентов с невусом конъюнктивы и слезного мясца, 1 больная с меланомой слезного мясца, 3 человека с меланомой конъюнктивы. Результаты. Больные со стационарным невусом находятся под динамическим наблюдением. Среди прооперированных пациентов мы не наблюдали ни одного рецидива. Наиболее существенной особенностью меланом является высокая метастатическая активность. Причем метастазы могут быть обнаружены как при диагностике первичного очага, так и спустя годы после установления диагноза. Поэтому все больные с меланомой находятся на пожизненном диспансерном учете. Заключение. Своевременное удаление прогрессирующих невусов конъюнктивы и слезного мясца может предотвратить их малигнизацию и развитие меланом, исход которых может быть крайне неблагоприятным для больного.
Невусы конъюнктивы — наиболее распространенные опухоли данной локализации. Чаще бывают односторонними, однако редко может встречаться и билатеральная локализация невусов конъюнктивы. По клиническому течению невусы подразделяют на стационарные и прогрессирующие, голубой невус и первичный приобретенный меланоз [1]. Обычно располагаются около лимба в интрапальпебральной зоне. Цвет невусов может изменяться от светло- до темно-коричневого, реже бывают беспигментные невусы. Некоторые невусы могут содержать мелкие прозрачные кисты. При беременности и в пубертатном периоде может быть изменение окраски, но если это происходит в постпубертантном периоде, то должна настораживать возможная малигнизация невуса.
Сведения о частоте возникновения меланомы разноречивы. По данным З.Л. Стенько (1971), чуть более 40% меланом конъюнктивы развиваются из предшествующих невусов. F. Jacobiec и соавт. (1989) полагают, что малигнизируется около 20% невусов. По данным J. Shields [13], только 1% невусов конъюнктивы может озлокачествляться. Однако в малигнизации опухолей конъюнктивы большую роль играют ультрафиолетовые лучи. Известно, что Азербайджан — южная страна с повышенной инсоляцией. Поэтому данная патология в этой стране требует к себе настороженного отношения.
К сожалению, мы можем привести примеры того, как невусы перерождались в меланому. Признаками малигнизации невуса являются распыление пигмента, изменение его окраски, появление васкуляризации, распространение на конъюнктиву век, слезное мясцо, область лимба [1, 2].
Гистопатологически невусы состоят из скопления меланоцитов, расположенных в строме, близко к базальному слою [3]. Наиболее рациональным является тотальная эксцизия невуса, если обнаруживается тесный контакт с подлежащей сферой, возможно удаление вместе с тонким верхним слоем склеры [4].
Цель исследования — изучить роль своевременного хирургического лечения невусов конъюнктивы и слезного мясца в профилактике дальнейшего развития меланомы.
Материал и методы
С 2009 по 2013 г. нами обследованы 52 пациента с пигментными опухолями конъюнктивы. Возраст больных составлял от 2 до 65 лет. Из них 48 пациентов имели невус конъюнктивы и слезного мясца, 1 больная — меланому слезного мясца, 3 человека — меланому конъюнктивы.
Из 48 больных 16 имели прогрессирующий невус конъюнктивы, 5 — невус слезного мясца, 27 — стационарный невус (рис. 1).

Рис. 1. Соотношение встречаемости невусов конъюнктивы и слезного мясца.
Всем больным проведено общее офтальмологическое обследование, включающее визометрию (знаковый проектор Huvits, CCP-3100, Koрея), тонометрию (пневмотонометр TOMEY FT-1000, Япония), биомикроскопию (щелевая лампа TOMEY TSL-5000, Япония), офтальмоскопию (фундус-линза 78 дптр OCULYAR, США), а также B-скан, оптическую когерентную томографию (ОКТ) переднего отдела глаза. При исследовании прицельно изучали структуру самого образования, обращали внимание на цвет, контуры, характер границ опухоли, характеристику поверхности, наличие пигмента и его распыления, состояние окружающих тканей и лимба при локализации образования в непосредственной близости от него, наличие распространения на роговицу (рис. 2). Образования измеряли с помощью обычной линейки. Традиционно оценивали минимальный и максимальный диаметры основания образования. Ультразвуковую биомикроскопию использовали у пациентов с новообразованиями конъюнктивы с целью определения толщины опухоли, получения полной характеристики ее структуры, информации о состоянии подлежащих тканей. Исследование проводили при помощи ультразвукового аппарата фирмы «TOSHIBA» Nemo XG SSA-580A. Использовали датчик с частотой 8 мГц. ОКТ применяли у больных с опухолями конъюнктивы, распространяющимися на роговицу, с целью определения глубины поражения роговицы (рис. 3). Исследование проводили на приборе Visante OCT («Carl Zeiss», Германия).

Рис. 2. Прогрессирующий невус конъюнктивы.

Рис. 3. Оптическая когерентная томограмма переднего отрезка глаза с меланомой конъюнктивы с распространением на роговицу.
Цитологическое исследование проводили всем пациентам при подозрении на злокачественные опухоли конъюнктивы. Материал для цитологического исследования получали путем мазка-отпечатка с разных участков поверхности опухоли на обезжиренное предметное стекло. В качестве красителей использовали гематоксилин и эозин.
Гистологические исследования операционного материала выполнены всем пациентам, которым проводили хирургическое иссечение опухолей придаточного аппарата. Исследовали количество митозов, степень лимфоцитарной инфильтрации, митотическую активность, содержание пигмента, а также определяли, какие структуры поражены опухолью (макроскопически и гистологически), степень терапевтического патоморфоза и отстояние опухолевых клеток от краев резекции.
В случае подозрения на меланому конъюнктивы, дающую дистантные и отдаленные метастазы, больному проводили специальное онкологическое обследование, позволяющее выявить стадию онкологического процесса и выбрать верную тактику ведения лечения.
С этой целью использовали рентгенографию, компьютерную томографию, ядерно-магнитную томографию, ультразвуковые методы исследования. Рентгенографию грудной клетки проводили с целью выявления метастазов в легких.
Ультразвуковое исследование (УЗИ) было использовано для скрининга дистантных метастазов органов брюшной полости. Этот метод не имеет лучевой нагрузки, более доступен, поэтому успешно применялся.
Эксцизия опухоли в пределах здоровой ткани с использованием микрохирургической техники с пластикой конъюнктивы проведена 12 пациентам с прогрессирующим невусом. У 1 пациента 6 лет была инвазия в верхние слои склеры, в связи с чем выполнена поверхностная склерэктомия, 4 человека отказались от оперативного вмешательства, 2 из них находятся под наблюдением. Были прооперированы 4 больных с невусом слезного мясца, 1 больной также отказался от операции. Хирургическое лечение было выполнено 3 пациентам с меланомой конъюнктивы. При ее удалении интраоперационно использовали 0,04% раствор митомицина. В ходе операции проводили отграничительную коагуляцию образования, отступив 3—4 мм от его видимых границ, с последующим его иссечением по наружной границе коагуляционного вала. После этого ложе подлежало дополнительной коагуляции. Пластику дефекта конъюнктивы проводили путем перемещения местных тканей, накладывая необходимое количество швов (викрил 8−0). В качестве адъювантной терапии использовали интерферон α-2β (рис. 4). Один пациент с меланомой слезного мясца был отправлен на лечение за рубеж (рис. 5).

Рис. 4. Фотография пациента с меланомой. а — до операции; б — после операции.

Рис. 5. Фотография пациента с меланомой слезного мясца.
Результаты и обсуждение
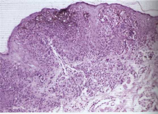
Больные со стационарным невусом находились под наблюдением, за время которого у одного больного появились признаки прогрессирования образования, а именно увеличение его размеров, покраснение, утолщение и некоторое усиление интенсивности окраски. Распыления пигмента не наблюдали. Как и другим больным с прогрессирующим невусом, ему была проведена операция удаления опухоли. За 5 лет наблюдения среди прооперированных пациентов мы не наблюдали ни одного рецидива. В первые недели послеоперационного периода наблюдалась гиперемия с формированием нежного конъюнктивального рубца. Изменений рефракции у больных также не отмечалось. Диагноз больных с невусом, с меланомой конъюнктивы во всех случаях был гистологически верифицирован. В гистопрепаратах невусов были обнаружены пролиферирующие меланоциты, которые формировали клеточные гнезда в базальном слое конъюнктивального эпителия (рис. 6). В препаратах удаленных меланом присутствовали веретеноклеточные, полигональные клетки, ограниченные эпителием конъюнктивы (рис. 7). Края резекции опухоли во всех препаратах интактны. В послеоперационном периоде больные на протяжении 5 нед получали интерферон α2-β в виде субконъюнктивальных инъекций 1 раз в неделю, а также в виде ежедневных трехкратных инстилляций. Препарат применяли с целью усиления местного клеточного иммунитета. В результате у 2 больных наблюдали кратковременное повышение температуры и общее недомогание, которое легко устранялось применением пероральных противовоспалительных нестероидных препаратов. Больным с меланомой на протяжении одного года после операции каждые 3 мес обязательно проводили УЗИ внутренних органов, исследование содержания ферментов печени в крови с целью своевременного выявления возможных метастазов, а также рентгенографию легких 1 раз в 6 мес. На протяжении последующих 4 лет больные были переведены на диспансерный учет 1 раз в 6 мес. Нужно отметить, что эти пациенты находятся на диспансерном учете пожизненно. За время наблюдения, который составил 4 года, мы не отмечали у них рецидивов или отдаленных метастазов. Рецидив невуса наступает при неполном его удалении. Гистологические исследования показали, что остающиеся невусные клетки индуцируют пролиферацию дендритических меланоцитов с образованием типичных невусных гнезд [5, 6]. Прогностически важными факторами для меланомы являются локализация опухоли, толщина опухоли, глубина инвазии меланомой подконъюнктивального слоя или слезного мясца, высокая митотическая активность, отсутствие лимфоидной инфильтрации, редкая встречаемость мелких полигональных клеток [7, 8]. Более благоприятное течение заболевания отмечается при локализации меланомы в области лимба [9]. Отсутствие рецидивов у наших больных объясняется радикальным удалением опухоли, что было подтверждено гистологически [10]. Локализация опухоли только на бульбарной конъюнктиве и в области лимба, отсутствие распространения на склеру и своды также улучшили витальный прогноз [11]. Злокачественная меланома чаще возникает у взрослых и пожилых. Меланома может возникнуть de novo или на фоне предшествующего меланоза или невуса. Особо опасными в этом отношении являются прогрессирующий невус и первичный приобретенный невус с грубой атипией мелких веретенообразных или эпителиоидных клеток. Из невуса меланома возникает в 20—30% случаев [12]. Злокачественных вариантов голубого невуса в литературе не описано [1]. Важным моментом в ходе наших наблюдений является то, что все 3 больных с меланомой конъюнктивы и 1 больная с меланомой слезного мясца в анамнезе отмечали в глазу «родинку», которая долгие годы их не беспокоила. Известно, что меланомы слезного мясца отличаются крайне высокой злокачественностью [13]. Поэтому его банальное удаление даже в пределах здоровой ткани может закончиться тяжелыми последствиями для больного. Методом лечения меланом слезного мясца является экзентерация или протонотерапия [14]. Учитывая высокую остроту зрения, отсутствие распространения в орбиту, больной была предложена протонотерапия, для проведения которой она была направлена в НИИ глазных болезней им. Гельмгольца в Москве. Наиболее существенной особенностью меланом является высокая метастатическая активность [8, 14]. Причем они могут быть обнаружены как при диагностике первичного очага, так и спустя годы после установления диагноза. Поэтому все больные с меланомой находятся на пожизненном диспансерном учете.

Рис. 6. Гистопрепарат невуса конъюнктивы.

Рис. 7. Гистопрепарат меланомы конъюнктивы.
1. Невусы из-за риска развития меланомы могут представлять серьезную онкологическую угрозу.
2. Количество солнечных дней в Азербайджане и большая занятость людей в сельском хозяйстве (продолжительность пребывания на солнце) повышают риск малигнизации невусов. Поэтому они должны быть под наблюдением врача.
3. При изменении окраски, размеров, появлении воспалительных изменений невус должен быть удален. Удаление должно осуществляться в пределах здоровых тканей, если имеет место инвазия в нижележащие ткани, то удалению должны подвергаться также и верхние слои склеры.
4. Своевременное удаление прогрессирующих невусов конъюнктивы и слезного мясца может предотвратить их малигнизацию и развитие меланом, исход которых может быть крайне неблагоприятным для больного.
Системный амилоидоз

Выпускник медицинского факультета УЛГУ. Интересы: современные медицинские технологии, открытия в области медицины, перспективы развития медицины в России и за рубежом.
- Запись опубликована: 26.05.2021
- Reading time: 4 минут чтения
Системный амилоидоз - это заболевание, связанное с накоплением белка с измененной пространственной структурой в межклеточном пространстве. Нерастворимые фибриллы амилоидного белка нарушают архитектуру нормальной ткани, функцию поврежденного органа и, в конечном итоге, вызывают гибель клеток.
Такие структурные изменения могут происходить во множестве циркулирующих белков - фрагментах антител (амилоидоз легкой цепи (AL) или тяжелой цепи (AH) моноклонального антитела), транспортных белках (транстирен, TTR, амилоидоз ATTR, амилоидоз некоторых аполипопротеинов, фазовых белках (сывороточный амилоид A, SAA, амилоидоз AA) и других белках плазмы.
Системный амилоидоз может быть осложнением некоторых заболеваний (пролиферация плазматических клеток (дискразия) - амилоидоз AL и AH, хронические воспалительные заболевания - амилоидоз AA), следствием генетической предрасположенности (TTR и другие формы наследственного амилоидоза) или факторов (В 2 дикого типа при лечении диализом, микроглобулин-ассоциированный амилоидоз, TTR-ассоциированный амилоидоз дикого типа по мере старения организма).
Хотя эти формы амилоидоза различаются по биохимии и происхождению, клинически все они проявляются сходным образом. Преобладающие симптомы зависят от того, на какие органы направлено заболевание. Амилоидоз обычно поражает почки и сердце, реже периферическую / вегетативную нервную систему, печень, желудочно-кишечный тракт и мягкие ткани. При некоторых формах амилоидоза преобладает поражение почек, а амилоидоз, связанный с диализом, обычно поражает костную ткань и связки.
Амилоидоз диагностируется путем обнаружения амилоидного белка в гистологическом препарате ткани, который обычно светится зеленым цветом, особенно в конго красном, после окрашивания исследуемой ткани и освещения ее поляризованным светом.
После определения структуры амилоида важно правильно оценить тип амилоида, отследив белок, из которого образовался патологический амилоид. Точную диагностику заболевания проводят с использованием иммунологических методов диагностики (иммуногистохимия), иммуноэлектронной микроскопии или измерения масс-спектра.
Для постановки точного диагноза заболевания эти методы диагностики дополняются комплексным клиническим, биохимическим и гематологическим обследованием, визуализацией и генетическим тестированием. Помогают идентифицировать белок, из которого образуется амилоид, оценить повреждения органов и реакции заболевания на лечение, использование биомаркеров.
Современные методы лечения амилоидоза направлены на максимальное уменьшение количества белка, продуцирующего амилоид, в организме, нарушение процессов образования амилоида и содействие естественному выведению амилоида из организма.
В последние годы лучшее понимание молекулярных механизмов этого заболевания позволило ученым открыть новые варианты лечения. В этой статье рассматриваются последние варианты лечения амилоидоза и эффективность биомаркеров в лечении пациентов с амилоидозом.
AL амилоидоз
Амилоидоз легкой цепи иммуноглобулина (AL) - это наиболее часто диагностируемая форма системного амилоидоза в западных странах, поражающая 10 человек на миллион населения в год. Эта форма заболевания возникает, когда в костном мозге формируется небольшая и медленно пролиферирующая группа плазматических клеток (редко В-клеток). Эти клетки продуцируют нестабильные амилоидогенные легкие цепи иммуноглобулинов.
Довольно редко патологический амилоидный белок образуется из моноклональных тяжелых цепей (либо отдельно, либо с моноклональными легкими цепями). Затем у больного развивается амилоидоз AH или AHL соответственно.
Системный амилоидоз AL может поражать практически любой орган, кроме головного мозга, но чаще всего встречаются поражения:
- почек и сердца - около 70% случаев;
- печень - 22%$
- периферическая / вегетативная нервная система - 15%$
- мягкие ткани - 15%.
Наиболее специфическиt (патогномоничныt) признакb амилоидоза AL - макроглоссия и периорбитальная пурпура, но последняя выявляется менее чем в 15% случаев.
Важно отметить, что прогноз заболевания зависит от степени повреждения сердца, поскольку сердечная дисфункция является основной причиной смерти пациентов с амилоидозом AL. Наихудший прогноз - когда амилоидоз поражает миокард и заболевание диагностируется слишком поздно или лечение неэффективно. Амилоидоз AH и AHL чаще всего поражает почки, но значительное повреждение сердца выявляется редко, что приводит к лучшему прогнозу этой формы заболевания.
Роль биологических маркеров в лечении амилоидоза AL
Важность биомаркеров в диагностике амилоидоза AL и в оценке прогноза заболевания и ответа на лечение очень высока. С помощью биомаркеров можно эффективно оценить в сыворотке крови свободные легкие цепи (англ. Free light chain -FLC), активность клона плазматических клеток. Путем анализа уровней натрийуретических пептидов (NT-pro BNP или BNP) в крови и сердечного тропонина (TnI или TnT и тропинин I или T гиперчувствительности) можно определить уровень повреждения сердца. А повреждение почек можно оценить путем оценки уровня протеинурия и скорость клубочковой фильтрации (GFG).
Эти биомаркеры можно использовать для оценки прогноза заболевания и эффективности лечения. Выведение натрийуретических пептидов из организма и, следовательно, их уровень в крови зависит от GFG, поэтому оценку BNP, а не NT-pro BNP следует проводить у пациентов с терминальной стадией почечной недостаточности (ESRD). В настоящее время исследуются несколько новых биомаркеров,
Один из наиболее важных биомаркеров при изучении и лечении пациентов с амилоидозом AL - сывороточный FLC. При его оценке учитываются дискразии плазматических клеток. Этот маркер с сердечным тропонином I или Т и натрийуретическими пептидами является ценным индикатором для определения риска для пациента. На основании этого показателя также оценивается гематологический ответ на лечение.
Если у пациента имеется почечная недостаточность, к значениям FLC следует относиться с осторожностью. Внедрение масс-спектрометрии привело к детальной оценке молекулярной массы и аминокислотной последовательности легких цепей моноколиновых иммуноглобулинов сыворотки крови в этих белках. Масс-спектрометрия, вероятно, со временем внесет значительный вклад в изучение и стратегию лечения пациентов с амилоидозом AL.

Биомаркеры крови
Современное лечение амилоидоза AL
Современные стратегии лечения амилоидоза AL основаны на опыте лечения множественной миеломы, но пациенты с амилоидозом AL значительно более уязвимы. Повреждение конкретного органа из-за накопления амилоида ограничивает варианты лечения, поэтому особенно важно изменить стратегию лечения в соответствии с риском пациента и ответом на лечение.
Снижение СЛЦ в сыворотке часто приводит к снижению уровней натрийуретических пептидов и улучшению сердечно-сосудистого статуса у пациента, хотя на эхокардиограмме наблюдается стабильное повреждение миокарда, вызванное амилоидозом.
Таким образом, поражение сердца вызывают не только амилоидные фибриллы. Считается, что могут повредить миокард до образования амилоидных фибрилл легкие цепи иммуноглобулина. Они могут быть кардиотоксичными. Недавние исследования клеточной токсичности амилоидогенных легких цепей не противоречат этой гипотезе.
Улучшение функции органов, особенно сердечной, было связано с более длительной выживаемостью у пациентов . Эта связь также обнаруживается у пациентов с тяжелой дисфункцией миокарда (примерно 20% всех пациентов). Цель лечения - устранение или уменьшение (
Если легкие цепи больше не обнаруживаются, реакция организма на лечение считается достигнутой. Между тем, снижение концентраций легких цепей
Лечение высокими дозами мелфалана с последующей трансплантацией аутологичных стволовых клеток (ACL) обеспечивает гематологическую ремиссию примерно у 40% пациентов. Если это лечение эффективно, наблюдается улучшение функции сердца и, таким образом, увеличивается выживаемость пациентов. Однако такое лечение доступно только тщательно отобранным пациентам с низким уровнем риска (примерно 20% всех пациентов на момент постановки диагноза) и должно проводиться только в специализированных центрах с уровнем смертности
AKLT также можно назначать пациентам с TIFN, но у последних выше летальность.
Если ACL исключена, показана химиотерапия с использованием алкилирующих агентов (мелфалан, циклофосфамид), а также стероидов (дексаметазон), ингибиторов протеасом (бортезомиб, иксазомиб и карфилзомиб) и иммуномодулирующих агентов (талидомид, леналомид, леналомомид, леналомидомид). Лечение мелфаланом перорально и высокими дозами дексаметазона (режим Mdex) приводит как минимум к 45% LGDA. У 36 % пациентов улучшается функция органов, а общая выживаемость увеличивается более чем на 7 лет.
Ингибиторы протеосом, такие как бортезомиб, вызывают быстрый гематологический ответ, поскольку плазматические клетки, секретирующие амилоидогенные легкие цепи, богаты протеасомами. Лечение бортезомибом также можно назначать как до, так и после приема АПФ. Совместное применение бортезомиба с Mdex (режим BMDex) приводит к LGDA как минимум у 65% пациентов, а 5-летняя выживаемость пациентов с умеренным риском становится > 80%.
Относительно хорошие результаты лечения были получены в двух небольших клинических испытаниях, в которых субъектов лечили циклофосфамидом, бортезомибом и дексаметазоном (CyBorDсхема). В большой выборке клинических испытаний, LGDA была достигнута по крайней мере у
Эффекты перорального ингибитора протеасом нового поколения иксазомиба в лечении рефрактерного / рецидивирующего амилоидоза в настоящее время ещё изучаются. Ожидаются также результаты клинических испытаний карфилзомиба, другого ингибитора протеасом нового поколения, который необратимо ингибирует протеасомы. Карфилзомиб менее нейротоксичен. В последнее время повысилась пригодность этого препарата для лечения сердечного амилоидоза, поскольку карфилзомиб обладает кардиотоксическим действием.
Гематологический ответ можно ожидать, когда иммуномодулирующие лекарственные средства вводятся пациентам, которые не прошли курс лечения алкилирующими агентами или бортезомибом. Эти препараты являются препаратами второго ряда для лечения амилоидоза AL. В иммуномодулирующих лекарственных средствах трудно контролировать сердечный ответ на терапию биомаркерами, поскольку было замечено, что во время такого лечения признаки поражения сердца усиливаются из-за действия самого препарата.
Ученые говорят, что даже если лекарство эффективно и отслеживается гематологическая реакция организма, мы не можем быть уверены, что произойдет серьезная недостаточность жизненно важных органов, что может потребовать прекращения AL-амилоидоза. В этом случае следует рассмотреть возможность трансплантации поврежденного органа (сердца, почки или печени).
При наличии активного заболевания до или после трансплантации следует проводить агрессивное лечение, направленное против патологического клона клетки, такое как AKLT (в случае трансплантации почки). Целью такого лечения является защита трансплантата от повреждения, вызванного амилоидозом. Некоторым пациентам с амилоидозом AL и TIFN может быть трансплантирована почка от живого донора с последующей AKLT.
Перспективы дальнейшего лечения
Доказано, что при лечении миеломы моноклональные антитела против антигена CD38 плазматических клеток (даратумумаб) и антигена SLAMF7 (элотузумаб) эффективны, даже если при лечении первой линии не наблюдается никаких эффектов. Начато новое клиническое исследование даратумумаба у пациентов с амилоидозом AL. Некоторые другие препараты для лечения множественной миеломы также могут быть эффективны у пациентов с амилоидозом AL.
Предложен новый метод пассивной иммунотерапии, способствующий реабсорбции амилоида и восстановлению функции органов. Ученые отметили, что мышиное моноклональное антитело 2A4 способно связываться с агрегатами амилоида AL человека (как каппа-, так и лямбда-цепями) и растворимыми амилоидогенными легкими цепями, но не взаимодействует с нормальными легкими цепями. У мышей 2A4 индуцирует фагоцитоз амилоида AL. Эффект модифицированной версии этого антитела при лечении пациентов с амилоидозом AL исследуется.
Также изучаются другие антитела против структур, участвующих в патогенезе амилоидоза AL, и вещества, способные вмешиваться в экспрессию амилоидогенных белков. Кроме того, были обнаружены маломассовые молекулы, ингибирующие секрецию и адгезию амилоидогенных легких цепей иммуноглобулинов.
Читайте также:
