УЗИ при солидном образовании поджелудочной железы
Добавил пользователь Евгений Кузнецов Обновлено: 22.12.2025
Дифференциальная диагностика опухолей поджелудочной железы вызывает определённые сложности. И виной тому - многообразие причин, в том числе вызывающих однотипные проявления и симптоматику на компьютерных томограммах.
Здесь и сейчас речь пойдёт о солидных опухолях поджелудочной железы и их диагностике.
Что такое опухоли ПЖ (поджелудочной железы) солидной структуры? Ими могут быть: протоковая аденокарцинома, солидно-псевдопапиллярная опухоль, нейроэндокринные опухоли, метастазы в поджелудочную железу, а также хроническое воспаление, имитирующее опухоли.
Протоковая аденокарцинома поджелудочной железы
Что это? Самая частая из опухолей ПЖ. Известно, что она вызывает расширение дистальных отделов главного панкреатического протока (вернее, протока, расположенного дистальнее опухоли).
УЗИ, МРТ и КТ в диагностике протоковой аденокарциномы
Как проводить диагностику? Во время УЗИ брюшной полости ищем расширение общего желчного протока и главного панкреатического протока.
Как выглядит протоковая аденокарцинома на МРТ? Если проводится КТ или МРТ-диагностика, то расширенный проток при диаметре более 3 мм лучше всего видно при МРПХГ. При размерах опухоли более 2 см, она может деформировать контур железы (впрочем, это относится к любой очаговой патологии железы). Помним, что хвост-тело-головка ПЖ или равны в диаметре друг другу, или хвост самый тонкий. Наоборот быть не может.
Если хвост толще тела - ищем патологию! То, что раньше называли некрозом опухоли, в настоящее время, когда можно применить контрастное усиление, оказывается соединительной тканью в структуре опухоли, которая накапливает контрастное вещество (лучше всего, в отсроченную фазу). Если «зона некроза» контрастировалась - стала не видна, то это не некроз, а соединительная ткань. Настоящий некроз, естественно, свою плотность не меняет.
Идеальным является вариант диагностики высокодифференцированной протоковой аденокарциномы. Соединительной ткани в изобилии, в артериальную фазу она не успевает контрастироваться на фоне очень хорошо кровоснабжаемой паренхимы ПЖ, и отчетливо видна.
Пока нет однозначной трактовки, но уже есть работы, указывающие, что низкодифференцированные раки плохо видны в артериальную фазу (не видны границы, а значит мы можем ошибиться как в выявлении опухоли, так и определении её размеров). Не нашли опухоль, которая должна быть - не ваша вина, вся проблема в морфологии опухоли. При «невидимой» опухоли вероятность низкодифференцированного рака очень высока. Так ли это важно - наши рассуждения относительно дифференцировки опухоли?
Очень! Потому что прогноз при низкодифференцированных раках хуже. Что влияет на прогноз? Если опухоль в пределах ткани поджелудочной железы - это благоприятный фактор. Опухоль вышла за границы органа - ищем признаки инвазии в магистральные сосуды. Сосудов вокруг ПЖ много, но не все они равнозначны с точки зрения прогноза резектабельности опухоли. Важны чревный ствол и его ветви и верхняя брыжеечная артерия. Если опухоль их не проросла - шанс на успех есть.
Бывает, что после исследования мы выполняем трехмерную реконструкцию артерий, и видим - имеется дополнительная артерия, компенсирующая кровоток, который идет по артерии, вовлеченной в опухоль. И это улучшает прогноз. При такой картине, несмотря на кажущуюся нерезектабельность опухоли, можно выполнить операцию.
Отдаленные метастазы на МРТ и КТ
И последнее, что рассмотрим - отдаленные метастазы. Традиционно ищем их в печени (оцениваем все фазы контрастного усиления). Но помним - на то они и «отдаленные». Метастазы гематогенные, а значит, с током крови опухолевые эмболы могут оказаться в любом органе.
В идеале, перед операцией каждому пациенту следует выполнять ПЭТ/КТ и искать зоны «свечения».
Заканчиваем исследование и описание протокола дифференциальным рядом - о нем читаем здесь.
Ультразвуковая диагностика образований поджелудочной железы. Профессор В. А. Изранов. Лекция для врачей

- Солидные гипоэхогенные образования поджелудочной железы
- Рак поджелудочной железы
- Очаговый панкреатит
- Лимфома
- Метастазы
- Нейроэндокринные опухоли
- Островково-клеточная опухоль
- Тромбированная аневризма
- Рак ПЖ представляет собой аденокарциному, происходящую из протокового эпителия
- Составляет более 90% всех опухолей ПЖ
- Составляет 5% случаев всей онкологической смертности и занимает 4-е место после рака легких, рака МЖ и колоректального рака
- 1-летняя выживаемость около 10%
- Чаще всего в возрастной группе 60-80 лет
- До 40 лет встречается редко. 60% - 70% опухолей развиваются в головке ПЖ
- Типичная симптоматика - желтуха без болевого синдрома. 10% - 20% опухолей развиваются в области тела и 5-10% в области хвоста
- Для этих локализаций характерны неспецифические симптомы, в частности потеря веса
- Диффузное поражение отмечается в 5% случаев
- Опухоли головки могут быть обнаружены на ранних стадиях из-за симптомов желтухи и могут быть потенциально резектабельными
- Напротив, опухоли в области тела и хвоста обнаруживаются уже крупных размеров. Редко являются резектабельными
- В большинстве случаев РПЖ представлен гипоэхогенным образованием (в сравнении с прилежащей паренхимой ПЖ)
- Изменение контура ПЖ зависит от размера и локализации опухоли
- Обструкция ОЖП является частым симптомом
- Обычно расширенный проток прослеживается дистально и обрывается на уровне образования
- Обструкция панкреатического протока также является частым симптомом. Одновременное расширение ОЖП и панкреатического протока (симптом двух протоков) всегда является подсказкой наличия рака ПЖ. В целом, расширение панкреатического протока имеет меньшую извитость и неровность контуров в сравнении с хроническим панкреатитом
- Может иметь форма без расширения протока. В таких случаях развивается атрофия ПЖ левее опухоли
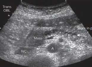
- Поперечное сканирование в эпигастральной области. Образование в головке (Mass), приводящее обструкции панкреатического протока. Четкообразное неравномерное расширение протока (стрелка). А - аорта, IVC - нижняя полая вена
- Косое сканирование в эпигастральной области. Гипоэхогенное образование в хвосте поджелудочной железы (ПЖ)
- Косое сканирование в эпигастральной области. Гипоэхогенное образование в хвосте поджелудочной железы
- Образование в головке ПЖ (белая стрелка) неоднородной структуры преимущественно повышенной эхогенности (типичными примерами являются гипоэхогенные образования). Отмечается симптом «двух протоков»:
- панкреатический проток (PD) неравномерно расширен
- в левой доле печени лоцируются расширения внутрипеченочных протоков (желтые стрелки).
- Рак поджелудочной железы. Пример
- Косое сканирование через общий желчный проток (CBD). Образование (М) приводит к выраженной дилатации ОЖП (диаметр ОЖП вдвое превышает диаметр воротной вены). D - верхняя часть двенадцатиперстной кишки. НПВ-нижняя полая вена.
- Дифференциальный диагноз
- Дифференциальный диагноз гипоэхогенных образований ПЖ первоначально включает РПЖ и локальный панкреатит. Локальный панкреатит исключается при обнаружении метастазов и вовлечении сосудов. Напротив, выявление разбросанных кальцинатов является симптомом панкреатита
- Расширение панкреатического протока с внутренними кальцификатами при локальной форме панкреатита.
Подтверждающее изображение КТ
- Диагностическая тактика при раке поджелудочной железы
- Хотя УЗИ может быть методом выявления РПЖ сопоставимым с КТ по способности выявления РПЖ в хорошо доступных для визуализации отделах (головка и тело), оно не позволяет визуализировать всю ПЖ целиком, поэтому КТ является предпочтительным методом визуализации
- ЭРХПГ и эндоскопическое УЗИ являются довольно чувствительными методами, но являются инвазивными дорогостоящими процедурами и могут провоцировать панкреатит. Их следует резервировать для случаев, когда УЗИ и КТ являются недиагностическими или у пациентов, требующих биопсии или постановки билиарного стента
- КТ и МРТ играют основную роль в определение резектабельности РПЖ
- Для врача УЗИ важно знать критерии резектабельности
- Критерии нерезектабельности:
- обнаружение печеночных, перитонеальных или других отдаленных метастазов
- вовлечение перипанкреатических артерий и вен
- инвазия в прилежащие органы (за исключением ДПК)
- наличие асцита
В - инфильтрированные мягкие ткани (указаны стрелками), окружающие чревный ствол (С)
С- продольное сечение на уровне чревного ствола (С). Стрелка демонстрирует инфильтрацию мягких тканей
- Сосудистая инвазия при РПЖ II
- А - поперечное сканирование на уровне тела ПЖ: солидное гипоэхогенное образование
- В - ЦДК демонстрирует чревный ствол с инвазией в область основания селезеночной артерии.
- Лимфома
- Лимфома ПЖ обычно является вторичной и неходжкинской. Первичная лимфома ПЖ является редкой (не более 2% экстранодальных лимфом и 1% всех опухолей ПЖ). Наиболее часто имеет место у пациентов с иммунодефицитом. Обычно представлена очаговыми единичными или множественными гипоэхогенными образованиями с нечеткими контурами. Часто инфильтрирует прилежащие ткани
- А - Гипоэхогенные образования (L) в теле и хвосте ПЖ
- В - КТ у того же пациента. Результаты биопсии: лимфома Беркитта
- Нейроэндокринные опухоли (НЭОп)
- Составляют от 1 до 5 % опухолей ПЖ. Они возникают из плюрипотентных клеток протокового эпителия. НЭОп часто ассоциированы с нейрофиброматозом 1 типа, болезнью von Hippel Lindau и туберозным склерозом. В зависимости от продуцируемого гормона подразделяются на:
- 1. Инсулинома
- 2. Гастринома
- 3. Глюкагонома, VIPoma, соматостатинома
- 4. Нефункционирующие НЭОп
- Локализация НЭОп до операции требует сочетанного применения КТ, МРТ и эндоскопического УЗИ
- Инсулиномы. Мелкие (10 мм) гипоэхогенные солидные образования, гиперваскулярные при ЦДК
- Гастриномы составляют до 20% НЭОп. В сравнении в инсулиномами большинство гастрином злокачественные. До 60% пациентов на момент постановки диагноза имеют отдаленные метастазы. Симптомы обусловлены избыточной секреций гастрина и включают тяжелые пептические язвы и секреторную диарею. Гастриномы являются мелкими опухолями и дооперационное выявление их при УЗИ ограничено. Эндоскопическое УЗИ очень чувствительно к выявлению как внутриорганных, так и внеорганных поражений, которые чаще всего обнаруживаются в стенке ДПК. Интраоперационное УЗИ чувствительно к выявлению интрапанкреатических опухолей и часто используется для точной локализации опухоли. Гастриномы у различных пациентов. Интраоперационное сканирование. А.В - мелкие (до 5 мм) гипоэхогенные солидные образования. С - жидкость в просвете ДПК (L) и внутристеночное образование
- Нефункционирующая НЭОп
- Поперечное сканирование на уровне ПЖ: крупное образование (М) и крупный тромб (Т) в области воротно-селезеночного конфлюэнса
- В - опухолевый тромб в селезеночной вене. ЭД демонстрирует отчетливую васкуляризацию опухоли
- В - выраженная гиперваскуляризация при ЦДК
- С - контраст-усиленное КТ у того же пациента
- Метастазы обнаруживаются на аутопсиях в 2-5% всех злокачественных опухолей ПЖ. Наиболее часто в ПЖ метастазирует рак легких и почечно-клеточный рак. Эхографически это солидные гипоэхогенные образования. Отличительными особенностями являются множественность поражения. Выявление образования в ПЖ у пациента с анамнезом экстрапанкреатической локализации злокачественного процесса должно вызывать подозрение на метастатическую болезнь
- Метастаз рака легких в поджелудочную железу. Гипоэхогенное образование в хвосте ПЖ
- Метастаз рака почки в поджелудочной железы
- А-КТ с контрастированием: образование в теле поджелудочной железы
- В - Серошкальное изображение при интраоперационном УЗИ
- С - гиперваскуляризация образования при интраоперационном УЗИ
- Кистозные образования поджелудочной железы
- Классификация кистозных образований поджелудочной железы
- Псевдокисты / Кистозные некроз
- Кистозные неоплазии (5% опухолей ПЖ):
- Муцинозная кистозная неоплазия
- Серозная цистаденома (микрокистозная аденома)
Солидный рак
Опухоли — это патологические образования, которые образуются из-за нарушения роста и дифференцировки клеток. Они могут развиваться практически из любой ткани: эпителиальной, нервной, соединительной, кроветворной и др. В зависимости от того, из какой ткани развилось новообразование выделяют солидные опухоли и гемобластозы.
К группе гемобластозов относят лейкозы, лимфомы и миеломы. Их особенностью является повсеместное распространение по организму, без образования локализованных очагов.
Все остальные опухоли относятся к солидным (от английского solid — твердый). Солидная опухоль - это такая, которая имеет вид разрастаний в виде уплотнений или утолщений. Сам термин «солидный» не является характеристикой, определяющей агрессивность заболевания — он может иметь как высокий, так и низкий уровень злокачественности. Сам термин лишь определяет его состояние.
Еще существует такое понятие, как кистозно-солидное образование - это такое состояние, когда в органе встречаются сразу два типа образований. Одни из них плотные, другие представляют собой кисты - полости, внутри которых находится жидкость или другое содержимое. Например, пациент часто спрашивают, что такое кистозно-солидное образование яичника или щитовидной железы, потому что такие образования выявлены у них во время обследования. Такие изменения не обязательно оказываются злокачественными. В окончательном диагнозе помогает разобраться биопсия и гистологическое исследование ткани.
![]()
Солидные опухоли могут быть доброкачественными и злокачественными.
- Доброкачественные опухоли состоят из высокодифференцированных зрелых клеток, растут относительно медленно, не прорастают в окружающие ткани, не дают метастазов и чаще всего не представляют смертельной опасности, за исключением опухолей головного и спинного мозга. Иногда они могут самопроизвольно исчезать. Некоторые доброкачественные опухоли могут озлокачествляться (малигнизироваться) и превращаться в рак.
- Злокачественные солидные опухоли (саркомы, карциномы, глиомы) состоят из низко или умеренно дифференцированных клеток. Они быстро увеличиваются в размерах, прорастают окружающие ткани, разрушая их, а также могут давать метастазы (очаги отсеивания, расположенные вдали от первичного новообразования) и оказывают системное воздействие на организм. Они опасны для здоровья и несут смертельную угрозу. Иногда, как мы упомянули выше, такое образование визуализируется во время обследования как кистозно-солидная опухоль (иногда еще можно услышать термин « солидная киста »).
Кроме того, термин «солидный рак» используется в гистологии. Мироскопически он является разновидностью эпителиальной злокачественной неоплазии. В толще новообразования злокачественные клетки располагаются компактными группами, разделенными прослойками соединительной ткани. Злокачественные клетки не дифференцированы, поэтому такой рак отличается быстрым ростом, ранним метастазированием и склонностью к рецидивированию. В целом, это агрессивная форма неоплазии, которая сложно поддается лечению.
Как диагностируют солидный рак
Методы диагностики солидного рака можно разделить на несколько групп:
Методы, позволяющие обнаружить наличие образования. В некоторых случаях, если солидная опухоль располагается поверхностно, её можно увидеть во время осмотра или пропальпировать. В остальных случаях на помощь приходят методы медицинской визуализации — УЗИ, КТ, МРТ, рентгенологическое исследование, ПЭТ, эндоскопическое исследование и другие. В некоторых случаях обнаружить рак помогают лабораторные анализы, в частности определение онкомаркеров — особых молекул, количество которых повышается при возникновении той или иной формы новообразования.
![]()
Методы, позволяющие верифицировать диагноз. Окончательный диагноз можно поставить только после морфологического исследования опухолевой ткани. Для этого фрагмент новообразования изучают под микроскопом после специального окрашивания. В ряде случаев для уточнения диагноза и определения молекулярно-генетического профиля образования проводят дополнительное тестирование, например, иммуногистохимическое исследование, молекулярно-генетическое тестирование. Это позволит подобрать оптимальную схему лечения, учитывая прогностические особенности рака.
После постановки диагноза необходимо определить стадию заболевания. Здесь на помощь приходят методы лучевой диагностики (то же УЗИ, КТ, МРТ), которые позволяют верифицировать размеры рака, его взаимоотношения с рядом расположенными тканями, вовлечение в процесс лимфатических узлов и наличие метастазов.
В каких органах чаще всего развивается солидный рак
Солидный рак может развиться в любом органе, в котором есть эпителиальные ткани. Чаще всего диагностируются опухоли молочной железы, легких, предстательной железы, желудочно-кишечного тракта.
Способы лечения солидного рака
В рамках лечения солидного рака применяются те же подходы, которые используются во всей онкологии. Ключевыми методами является хирургия, лучевая терапия и химиотерапия.
Хирургическое лечение
Хирургические операции в онкологии делятся на две большие группы — радикальные и паллиативные.
Радикальные операции
Радикальные вмешательства предполагают полное удаление опухоли в пределах здоровых тканей и зоны возможного метастазирования. Здесь выделяют:
- Типовые операции — удаление ткани пораженного органа в оптимальном объеме для достижения радикальности. Также выполняется необходимая лимфодиссекция.
- Комбинированные радикальные вмешательства — удаляется первично пораженный орган, и проводится частичная резекция соседних органов и тканей, на которые распространился рак.
- Расширенные операции — помимо затронутых органов и стандартных групп лимфатических узлов, на которые распространяется рак, удаляют дополнительные группы лимфатических узлов.
Раньше проведение обширных радикальных операций зачастую приводило к инвалидизации больного. Сейчас же идет тенденция не только к его излечению, но и сохранению приемлемого качества жизни. Поэтому совершенствуются хирургические технологии органосохраняющих методик и реконструктивных операций после удаления рака.
![]()
Нерадикальные операции
- Паллиативные вмешательства. Они проводятся при наличии отдаленных метастатических очагов. На первом этапе предполагается удаление первичного опухолевого очага в радикальном объеме. Вторым этапом проводятся попытки лечения метастазов, если это возможно. В целом такие операции не подразумевают полного излечения и проводятся для улучшения состояния больного и облегчения тягостных симптомов.
- Симптоматические паллиативные операции. Они выполняются по жизненным показаниям, при развитии осложнений рака. Ликвидации опухоли они не предусматривают и направлены восстановление жизненно важных функций, например, дыхания, отведение кишечного содержимого, возобновление пассажа желчи, остановку кровотечения и др.
Лучевая терапия
Лучевая терапия предполагает использование ионизирующего излучения в дозировках, приводящих к гибели раковых клеток. Все методы можно разделить на три большие группы — дистанционная лучевая терапия, контактная лучевая терапия и системная лучевая терапия.
При дистанционной лучевой, терапии источник ионизирующего излучения находится за пределами тела пациента на определенном расстоянии. При таком лечении используется сложное высокотехнологичное оборудование, которое генерирует определенный вид ионизирующего излучения (ИИ). При помощи специальных технологий производят распределение его дозы таким образом, чтобы максимально полно облучить рак и минимально затронуть не вовлеченные в процесс ткани.
Контактная лучевая терапия
При контактной лучевой терапии ИИ располагается либо непосредственно возле раковой опухоли, либо в ее толще. Здесь выделяют:
- Аппликационную ЛТ. Таким методом лечатся поверхностно расположенные опухоли, например, рак кожи, рак вульвы или рак влагалища.
- Внутриполостная ЛТ — ИИ вводят в полость полого органа (матка, желудок, мочевой пузырь и др.) с помощью специального аппликатора, заполненного радиоактивным материалом. Таким методом лечится рак полых органов.
- Внутритканевая ЛТ — ИИ вводят непосредственно в раковую опухоль с помощью игл или трубочек, заполненных радиоактивным материалом. Таким методом может лечиться рак простаты, рак тела матки, рак шейки матки, рак желудка и др.
Как правило, контактную лучевую терапию сочетают с дистанционной ЛТ, что позволяет максимально сфокусировать воздействие ионизирующего излучения на раковой опухоли, при этом минимально затронув окружающие ткани.
![]()
Системная радионуклидная терапия
Эффективность этого метода лечения основана на том, что опухоли захватывают определенные молекулы и используют их для своего дальнейшего роста. Если на эти молекулы присоединить радиоактивные изотопы, они избирательно накопятся в опухолевой ткани и разрушат ее. Как правило, таким образом проводят лечение отдаленных метастазов.
Химиотерапия при раке
Для лечения рака разработано большое количество химиотерапевтических препаратов. По оказываемому эффекту их разделяют на цитостатические и цитотоксические препараты. Цитостатики нарушают процессы размножения раковых клеток, что в конечном итоге приводит к их гибели. Цитотоксические препараты направлены на непосредственное уничтожение клеток. Химиотерапия при раке предполагает несколько курсов лечения, которые чередуются с перерывами. Это связано с двумя моментами:
- Раковые клетки имеют жизненный цикл, который состоит из активной фазы и фазы покоя. Химиотерапия действует только на активные клетки.
- Химиотерапия оказывает токсическое действие на организм, поэтому нужно время для его восстановления.
Химиотерапии солидного рака проводится в рамках комбинированного лечения совместно с хирургией или лучевой терапией. Ее преимуществом является системное воздействие на организм, что помогает уничтожить как злокачественные клетки, которые остались в первичном очаге после удаления опухоли, так и метастазы.
Иммунотерапия
Иммунотерапия является одним из новых методов лечения солидного рака. Суть метода заключается в коррекции противоопухолевого иммунного ответа, что позволит организму уничтожить рак с помощью собственных ресурсов. Вторым направлением иммунотерапии является работа с самой опухолью, которая вырабатывает определенные вещества, делающие ее незаметной для иммунной системы. Если рак демаскировать, иммунитет его уничтожит.
Чем опасен солидный рак
Солидный рак зачастую характеризуется агрессивным течением и, за редким исключением, метастазированием. При отсутствии лечения, первичная опухоль будет разрастаться, захватывая новые ткани и нарушая работу вовлеченных органов. Это чревато самыми разнообразными осложнениями, начиная от кровотечений и заканчивая кишечной непроходимостью, нарушением дыхания, болевым синдромом, неврологическими проявлениями.
По мере нарастания опухолевой массы, рак оказывает системное воздействие на организм — развивается истощение и слабость. В конце концов при отсутствии специальной помощи человек погибает.
Прогнозы на выздоровление при солидном раке
Прогноз на выздоровления при солидных опухолях определяется видом рака, степенью его дифференцировки и стадией на момент установки диагноза. Чем раньше начато лечение, тем более благоприятный прогноз.
Киста поджелудочной железы - симптомы и лечение
Что такое киста поджелудочной железы? Причины возникновения, диагностику и методы лечения разберем в статье доктора Лядова Владимира Константиновича, хирурга со стажем в 15 лет.
Над статьей доктора Лядова Владимира Константиновича работали литературный редактор Юлия Липовская , научный редактор Елена Максимова и шеф-редактор Маргарита Тихонова
![Лядов Владимир Константинович, онколог, хирург - Москва]()
Определение болезни. Причины заболевания
Киста поджелудочной железы (pancreatic cyst) — это ограниченное скопление жидкости или содержащее жидкость образование в поджелудочной железе.
![Кисты поджелудочной железы]()
Часто они развиваются бессимптомно, поэтому выявляются обычно случайно, когда человек обследуется по поводу других патологий. Это стало возможным благодаря бурному развитию диагностических методик (УЗИ, КТ и МРТ) и повышению их доступности. По статистике, при выполнении КТ или МРТ органов брюшной полости кисты в поджелудочной железе могут обнаружиться у 3-14 % обследованных [1] .
Киста поджелудочной железы — это собирательное понятие, которое объединяет совершенно разные заболевания:
- кистозные образования поджелудочной железы воспалительной природы;
- кисты поджелудочной железы неопухолевой природы;
- кистозные опухоли (или неоплазии) поджелудочной железы.
Иногда кисты поджелудочной железы являются просто особенностью развития человека и не требуют лечения или специального интенсивного наблюдения, но, чтобы это подтвердить или опровергнуть, обычно требуется квалифицированное обследование.
Также нужно знать, что некоторые кисты поджелудочной железы могут стать злокачественными, поэтому при их обнаружении важно обратиться к грамотным специалистам, которые смогут понять, нужна ли операция или достаточно индивидуальной программы наблюдения. Чаще операция не требуется.
Причины развития кист поджелудочной железы
Основные причины — острый панкреатит (воспаление поджелудочной железы), опухолевые изменения в протоковой системе или самой ткани железы, а также врождённые факторы, например передающаяся по наследству болезнь Гиппеля — Линдау. При этом заболевании в достаточно молодом возрасте образуются опухоли почек, головного мозга и надпочечников. В 35-70 % случаев развиваются кисты поджелудочной железы. Болезнь встречается у одного из 36 тысяч человек [3] .
При обнаружении схожих симптомов проконсультируйтесь у врача. Не занимайтесь самолечением - это опасно для вашего здоровья!
Симптомы кисты поджелудочной железы
Часто киста поджелудочной железы не вызывает никаких симптомов. Жалобы, связанные с кистозным образованием в этом органе, встречаются примерно у каждого пятого пациента или даже реже [2] . Например, при крупной кисте в поджелудочной железе может возникать тяжесть или боль в верхних отделах живота.
В редких случаях пациенты сами могут заметить плотное, обычно почти безболезненное выпячивание в левом подреберье или по средней линии живота выше пупка. Иногда в этой области может возникать боль. Если появились такие симптомы, стоит обратиться к врачу.
Патогенез кисты поджелудочной железы
Поджелудочная железа — крупный орган, расположенный позади желудка. Справа от неё находится двенадцатиперстная кишка, слева — селезёнка.
![Расположение поджелудочной железы]()
Механизм развития кист различается в зависимости от вида:
- Кистозные образования поджелудочной железы воспалительной природы развиваются п ри остром панкреатите, когда в ткани или рядом с поджелудочной железой скапливается жидкость.
- Кисты поджелудочной железы неопухолевой природы могут быть связаны с генетическими заболеваниями, которые передаются по наследству или возникают из-за случайных мутаций генов. Например, киста может образоваться, если есть мутация в гене VHL, который подавляет бесконтрольное деление клеток [3] .
- Кистозные опухоли появляются, когда протоки поджелудочной железы закупориваются и расширяются из-за появления в стенке протоков клеток, производящих слизь (муцин).
У поджелудочной железы две основные функции: выработка богатого ферментами сока, который необходим для пищеварения, и производство ряда гормонов. Сок поджелудочной железы по системе протоков попадает в двенадцатиперстную кишку, где помогает переварить пищу. Если киста блокирует отток сока, её главный проток расширяется и может развиться острый панкреатит.
![Строение поджелудочной железы]()
Основными гормонами поджелудочной железы являются инсулин и глюкагон. Они поддерживают уровень глюкозы (сахара) в крови. Поэтому ранним симптомом некоторых опухолевых заболеваний поджелудочной железы является сахарный диабет (повышение уровня сахара в крови), однако при кистах железы такое случается очень редко.
Классификация и стадии развития кисты поджелудочной железы
I. Кистозные образования поджелудочной железы воспалительной природы. Они возникают после перенесённого острого панкреатита. Чаще всего в мировой практике используется модифицированная в 2012 году Атлантская классификация острого панкреатита [4] . В этой классификации выделено 4 типа кистозных образований:
- Скопление жидкости без некроза (омертвения) тканей поджелудочной железы:
- Острое перипанкреатическое жидкостное скопление — появляется в ткани поджелудочной железы и жировой клетчатке вокруг неё в первые 4 недели от начала заболевания. Оно не ограниченно капсулой и часто самостоятельно рассасывается.
- «Ложная», или псевдокиста, — появляется позднее 4 недель, когда у жидкостного скопления образуется видимая на момент диагностики капсула.
- Скопление жидкости, связанное с некрозом тканей поджелудочной железы:
- Острое некротическое скопление — появляется в первые 4 недели от начала заболевания. Такое образование не ограничено капсулой и содержит омертвевшие участки ткани поджелудочной железы и жировой клетчатки вокруг неё.
- Отграниченный некроз — появляется позднее 4 недель. Скопление жидкости ограничено капсулой.
II. Кисты поджелудочной железы неопухолевой природы. Включают так называемые «истинные» кисты»: лимфоэпителиальные и ретенционные. «Истинная» киста представляют собой пузырёк с жидкостью, который окружён клетками эпителия. В норме эпителий выстилает слизистые оболочки, в том числе оболочку протоков поджелудочной железы. У «ложных» кист и кистозных опухолей нет такой эпителиальной выстилки.
III. Кистозные опухоли поджелудочной железы (или неоплазии). Это наиболее важная с точки зрения онкологии группа, так как некоторые такие опухоли могут стать злокачественными. В этой группе выделяют серозные цистаденомы, муцинозные кистозные неоплазии, внутрипротоковые папиллярно-муцинозные опухоли (ВПМО), солидные псевдопапиллярные опухоли и кистозные нейроэндокринные опухоли [5] .
Классификация внутрипротоковых папиллярно-муцинозных опухолей:
- ВПМО главного панкреатического протока. Такие образования обычно удаляются, так как у них высокий риск стать злокачественными.
- ВПМО боковых ветвей главного панкреатического протока. Это самая распространённая форма кист поджелудочной железы, нередко является множественной и у большинства пациентов не приводит к развитию рака.
- Смешанный тип [6] .
![Кистозные опухоли поджелудочной железы]()
Осложнения кисты поджелудочной железы
Острый панкреатит. Может развиться, если киста блокирует отток поджелудочного сока в двенадцатиперстную кишку. Состояние сопровождается интенсивной, опоясывающей болью в верхних отделах живота, появлением тошноты и рвоты и повышением в крови уровня пищеварительных ферментов (амилазы, липазы и др.).
Механическая желтуха. Возникает, если образование в правых отделах (головке) поджелудочной железы сдавливает желчный проток. В этом случае желчь всасывается в кровь и начинает выделяться с мочой. Поэтому у пациента с механической желтухой моча тёмно-коричневого цвета, обесцвеченный кал (вплоть до белой окраски), желтушные белки глаз и кожа.
![Желтуха [13]]()
Рак поджелудочной железы. Это наиболее тяжёлое осложнение кистозных опухолей поджелудочной железы. Процесс связан с накоплением мутаций в эпителии кист. Чаще всего это наблюдается в муцинозных (продуцирующих слизь) опухолях: ВПМО и муцинозных кистозных опухолях.
Клетки с признаками выраженных предраковых изменений выявляются в 38-68 % удалённых ВПМО главного панкреатического протока. При муцинозных кистозных опухолях частота озлокачествления ниже и составляет, по последним данным, около 10 %. Этот показатель возрастает по мере увеличения размеров таких образований [7] [8] .
Диагностика кисты поджелудочной железы
У большинства пациентов кисты поджелудочной железы выявляются случайно, поэтому осмотр и сбор жалоб не имеют большого значения.
Сбор анамнеза
При изучении истории болезни врач может уточнить:
- Болел ли пациент недавно острым панкреатитом. Если да, то, скорее всего, киста связана с воспалением. Однако иногда сама по себе киста поджелудочной железы может привести к развитию панкреатита. Особенно важно помнить об этом в тех ситуациях, когда панкреатит развился не на фоне употребления алкоголя или желчнокаменной болезни.
- Есть ли у кого-либо из родственников опухоли и кисты почек, головного мозга или надпочечников. Если да, врач заподозрит болезнь Гиппеля — Линдау и порекомендует проконсультироваться с медицинским генетиком.
Инструментальная диагностика
Основой диагностики кист поджелудочной железы являются инструментальные методы обследования.
УЗИ или КТ с внутривенным контрастированием. Позволяют обнаружить образования в поджелудочной железе. Однако точность этих методов обычно недостаточна, чтобы установить природу кисты и, соответственно, определить тактику лечения.
МРТ. Наиболее важный метод при кистах поджелудочной железы, так как с его помощью можно установить, связана ли киста с протоковой системой железы. Также МРТ с внутривенным контрастированием помогает выявить утолщения стенки кист, а это важнейший признак развития предраковых изменений. Использование так называемого режима DWI (диффузионно-взвешенные изображения) позволяют врачу судить о вероятности развития злокачественной опухоли на фоне кисты. Кроме этого, МРТ не сопровождается лучевой нагрузкой, не требует специальной подготовки и является нетравматичным, безопасным методом. Это особенно важно, поскольку большинству пациентов после выявления кисты нужно наблюдаться не менее нескольких лет [9] .
Эндосонография, или эндоУЗИ. В последние годы приобретает всё большее значение. Суть методики в том, что врач исследует поджелудочную железу через стенку желудка с помощью эндоскопа с закреплённым на конце ультразвуковым датчиком. Это позволяет изучить все детали новообразования или кисты с максимально возможным разрешением (около 1 мм). Исследование проводится строго натощак.
![Эндосонография, или эндоУЗИ]()
Огромным преимуществом эндоУЗИ является возможность провести биопсию. Специальная игла проводится через канал эндоскопа и позволяет взять на анализ содержимое кисты, а также ткань из стенки образования для микроскопического исследования.
Поскольку прибор имеет довольно большой диаметр, а само исследование обычно длится около часа, оно проводится под внутривенным наркозом и часто требует госпитализации в стационар. В нашей стране эндоУЗИ не применяется широко из-за дефицита самих приборов и высокой стоимости игл для биопсии под контролем эндоУЗИ [10] .
Лабораторная диагностика
Микроскопическое исследование содержимого кисты на амилазу, опухолевые маркеры CEA и СA19-9, а также муцин. Позволяет точно определить природу кисты и вероятность её злокачественной трансформации. Если в полученной жидкости повышен уровень амилазы (фермента поджелудочной железы), то можно говорить о «ложной» кисте и планировать соответствующее лечение.
Тест на мутацию в гене VHL. Выполняется при подозрении на синдром Гиппеля — Линдау. Анализ позволяет подтвердить или опровергнуть диагноз. На основании результатов врач выберет схему наблюдения не только для самого пациента, но и его ближайших родственников.
Дифференциальная диагностика
Особенности некоторых типов кистозных опухолей, которые позволяют различить их между собой:
- Серозные цистаденомы имеют характерные признаки на КТ- или МРТ-изображениях: множественные перегородки (вид «губки» или «пчелиных сот»), центральный рубец с кальцинатами. Такие образования не склонны к озлокачествлению.
- Муцинозные кистозные неоплазии чаще представлены единичной полостью.
- Особенностью ВПМО является связь с протоковой системой поджелудочной железы.
Дифференциальная диагностика этих и более редких образований часто требует провести биопсию под контролем эндоУЗИ.
Киста поджелудочной железы может быть похожа по некоторым признакам на другие образования:
- некоторые варианты протокового или нейроэндокринного рака поджелудочной железы — они могут иметь полость внутри опухоли, напоминающую кисту поджелудочной железы;
- образования рядом расположенных органов: двенадцатиперстной и тощей кишки, почки и надпочечника.
В большинстве случаев применение МРТ и/или эндоУЗИ позволяет отличить эти образования от кист поджелудочной железы.
Лечение кисты поджелудочной железы
Тактика лечения кист поджелудочной железы полностью определяется их природой.
«Ложные» кисты
«Ложные» кисты могут рассасываться самостоятельно. Лечение обычно проводится, если киста крупная и вызывает симптомы. Обычно эффективным является дренирование кисты в просвет желудка. Процедура проводится с помощью эндоУЗИ в специализированных учреждениях. Некоторым пациентам требуется операция, при которой формируется шов между стенками кисты и участком тонкой кишки, чтобы содержимое кисты оттекало в кишечник.
Кисты поджелудочной железы неопухолевой природы
Такие кисты, в том числе при наследственных генетических синдромах, обычно не требуют специального лечения.
Кистозные опухоли поджелудочной железы
Наиболее сложной является тактика ведения пациента при кистозных опухолях поджелудочной железы:
- При серозных цистаденомах вероятность злокачественной трансформации очень низкая, поэтому они редко требуют операции.
- ВПМО боковых ветвей главного панкреатического протока нужно оперировать, если есть факторы риска:
- появление в стенке узелков размером > 5 мм, которые накапливают контрастный препарат;
- быстрое увеличении образования: на несколько миллиметров в течение 6-12 месяцев;
- большой размер (> 4 см).
- ВПМО главного панкреатического протока и смешанного типа являются показанием к удалению, как и солидные псевдопапиллярные опухоли.
- Муцинозные кистозные неоплазии< 3 см очень редко становятся злокачественными, поэтому, если они не растут в течение нескольких лет, некоторые руководства рекомендуют не проводить хирургическое лечение, хотя этот вопрос ещё обсуждается. Тактика в таких случаях определяется индивидуально с учётом предпочтений пациента. То же самое касается кистозных нейроэндокринных опухолей небольшого размера [11] .
Методы лечения
Лекарственное лечение (химиотерапия) применяется только в том случае, когда при исследовании опухоли после операции выясняется, что она была злокачественной.
Хирургическое лечение является единственным способом лечения кист поджелудочной железы, однако такие операции часто приводят к развитию осложнений или даже летальному исходу. Именно поэтому в мире разработаны детальные показания к операциям при кистах поджелудочной железы, основанные на риске их злокачественного перерождения.
Наиболее опасной операцией является панкреато-дуоденальная резекция — удаление правой половины поджелудочной железы (её головки) и двенадцатиперстной кишки. У этих структур единое кровоснабжение, поэтому они удаляются вместе. Такая операция должна выполняться только в специализированных центрах и отделениях, где вероятность смерти пациента на фоне потенциальных осложнений не превышает 5 %. Те или иные осложнения развиваются примерно у половины перенёсших эту операцию пациентов.
![Панкреато-дуоденальная резекция]()
Операции на левой половине поджелудочной железы очень редко приводят к летальному исходу. Однако они часто сопровождаются осложнениями: сок поджелудочной железы разъедает окружающие ткани, что приводит к воспалению и формированию свища. Поэтому у таких пациентов в течение нескольких недель сохраняется трубка, по которой сок поджелудочной железы оттекает из брюшной полости [12] .
Важно помнить, что, несмотря на возможные осложнения, эти операции необходимы из-за крайне неблагоприятного прогноза рака поджелудочной железы. Правильно определить показания и выполнить такое вмешательство может лишь хирург-онколог, постоянно сталкивающийся в своей практике с подобными образованиями.
Реабилитация после таких операций может быть достаточно длительной и обычно занимает от нескольких недель до нескольких месяцев.
Прогноз. Профилактика
Прогноз при кистах поджелудочной железы определяется их видом. Кисты после панкреатита и образования неопухолевой природы обычно не оказывают влияния на продолжительность жизни пациентов.
При кистозных опухолях прогноз зависит от того, успела ли образоваться злокачественная опухоль. Рак поджелудочной железы плохо поддаётся лечению: даже при I-II стадии полное излечение возможно не более, чем у 20 - 30 % пациентов после обширной операции и комплексного химиотерапевтического лечения. Поэтому удаление кистозных опухолей поджелудочной железы является профилактикой неблагоприятного течения болезни.
Важно при этом помнить, что у большинства кист и кистозных опухолей очень низкий риск стать злокачественными, в то время как риски операции довольно существенны. Поэтому решение об операции должна принимать целая команда специалистов, среди которых должен быть врач лучевой диагностики, эндоскопист, хирург и онколог [1] [2] [11] .
Профилактика кист поджелудочной железы
Все меры по профилактике развития острого панкреатита (отказ от злоупотребления алкоголем, чрезмерного количества жирной пищи и т. п.) снижают и вероятность образования «ложных» кист поджелудочной железы.
УЗИ поджелудочной железы
УЗИ поджелудочной железы — один из самых доступных и информативных методов диагностики заболеваний данного органа. Его рекомендуют делать не только при наличии жалоб, но и в рамках профилактических осмотров. УЗИ поджелудочной железы выполняется в рамках УЗИ брюшной полости и забрюшинного пространства, в ряде случаев проводится прицельное исследование.
Кому показано УЗИ поджелудочной железы
Исследование рекомендуется выполнять в случае наличия данных за патологию данного органа:
- Боли в верхней половине живота опоясывающего характера.
- Явления диспепсии — снижение аппетита, вздутие живота, тошнота.
- Хронические диареи или запоры.
- Необъяснимое похудение более, чем на 10% от исходной массы тела в течение полугода.
- Желтуха.
- Травма живота.
- Отклонения в лабораторных анализах, свидетельствующие о патологии поджелудочной железы — повышение или снижение уровня глюкозы, амилазы и др.
Помимо этого, периодически УЗИ поджелудочной железы рекомендуется делать при некоторых заболеваниях:
- Хронические гепатиты и панкреатиты.
- Сахарный диабет.
- Ожирение.
- Гастриты, дуодениты.
- Холецистит.
- Муковисцидоз.
Преимущества и недостатки метода
Главными преимуществами метода является абсолютная безопасность, простота выполнения, доступность и высокая информативность. УЗИ поджелудочной железы можно выполнить практически в любой многопрофильной клинике, но важно, чтобы оно проводилось на современном сканере квалифицированным специалистом.
Благодаря высокому профилю безопасности, исследование можно проводить столько раз, сколько потребуется конкретному пациенту. Противопоказаний к его применению нет, за исключением открытой раны в области живота.
Как подготовиться к исследованию поджелудочной железы
УЗИ органов живота всегда проводится строго натощак, и исследование поджелудочной железы не является исключением. Также стоит позаботиться о том, чтобы газ в кишечнике не мешал визуализации. Для этого за пару дней до запланированной процедуры необходимо воздерживаться от приема продуктов, вызывающих брожение: молоко, овощи и фрукты, сладости, сдоба и др. Некоторым пациентам врач может порекомендовать прием кишечных сорбентов или ферментных препаратов.
Как проводится УЗИ поджелудочной железы
Сканирование органа выполняется в разных положениях. Тело и головка органа лучше определяются, когда пациент лежит в приподнятом состоянии. В этом случае немного смещается левая доля печени и кишечник. Для исследования хвоста железы пациента могут попросить перевернуться на бок, чтобы сместился газовый пузырь, находящийся в желудке.
Во время сканирования врач определяет расположение органа, его размеры, особенности эхогенности, наличие патологических включений и очагов. В норме у взрослых людей размеры железы следующие:
- Головка — 2,5-3,5 см.
- Тело — 1,75-2,5 см.
- Хвост — 1,5-3,5 см.
Эхогенность в норме должна быть однородной на всем протяжении органа. Центральный проток определяется в виде гипоэхогенной трубки, которая утолщается от хвоста к головке. Диаметр протока в хвосте составляет около 0,3 мм, а в головке до 3 мм.
При панкреатите увеличиваются размеры органа, контур железы может терять четкость, проток расширяется. Эти изменения отмечаются на всей протяженности органа. При панкреонекрозе образуются очаги мертвой ткани, которые на УЗИ выглядят как гипоэхогенные полости с нечеткими контурами. Они могут сливаться между собой. Злокачественные новообразования сходны с панкреонекрозом, но их отличает обильное кровоснабжение, что легко можно проверить с помощью УЗИ. Если обнаруживаются опухоли, железу очень тщательно исследуют на всем протяжении, особое внимание уделяют хвосту, поскольку он хуже всего доступен для визуализации.
![]()
Стоит отметить, что заболевания поджелудочной железы являются крайне серьезной патологией, которую нельзя запускать. В связи с этим мы рекомендуем выполнять УЗИ поджелудочной железы хотя бы раз в год в рамках профилактических обследований. В сети клиник «Евроонко» такое исследование выполняется на самом современном оборудовании, обладающим мощным функционалом, которое дает возможность обнаружить новообразования размером до 2 мм. Своевременное обнаружение проблемы дает возможность избежать плачевных последствий и решить вопрос без дорогостоящего лечения.
Читайте также:
- Реформации спаек. Повторная лапароскопия после лечения спаечного бесплодия
- УЗИ при венозной мальформации
- Лечение карциноидов желудка. Пример карциноида желудка
- Укладка при рентгенограмме запястья в аксиальной ЗП проекции с ульнарной девиацией (проекция ладьевидной кости)
- Детоксикация. Принципы детоксикации при синдроме эндогенной интоксикации. Интра- и экстракорпоральные методы детоксикации.
- Составляют от 1 до 5 % опухолей ПЖ. Они возникают из плюрипотентных клеток протокового эпителия. НЭОп часто ассоциированы с нейрофиброматозом 1 типа, болезнью von Hippel Lindau и туберозным склерозом. В зависимости от продуцируемого гормона подразделяются на:










![Желтуха [13]](https://probolezny.ru/media/bolezny/kista-podzheludochnoy-zhelezy/zheltuha-13_s_onaL7M0.jpg)


