УЗИ при увеличенной матке
Добавил пользователь Евгений Кузнецов Обновлено: 21.01.2026
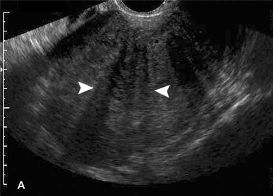
Аденомиоз матки - гинекологическая болезнь доброкачественной природы, при которой клетки эндометрия прорастают в стенки органа, приводя к нарушению его функций и бесплодию. Точные причины патологии до сих пор не установлены, но врачами определен ряд предрасполагающих факторов, которые при стечении неблагоприятных обстоятельств могут стать пусковым механизмом развития аденомиоза. На начальных этапах развития болезнь никак себя не проявляет. Но по мере прогрессирования беспокоит ярко выраженная клиническая симптоматика, которая должна стать поводом как можно скорее посетить гинеколога и пройти комплексное обследование. Одним из методов диагностики аденомиоза выступает ультразвуковое исследование (УЗИ). Эхопризнаки аденомиоза матки проявляются изменением плотности тканей органа, наличия областей с гипоэхогенностью, гиперэхогенностью и с гетероэхогенностью. Расшифровкой результатов УЗИ занимается лечащий гинеколог, который, основываясь на полученные данные, подберет максимально эффективный план терапии. Медицинский центр «Здоровая семья» оснащен высокоточным ультразвуковым диагностическим оборудованием нового поколения, с помощью которого можно определить диагнозу на самых ранних стадиях.

Что такое аденомиоз
Аденомиоз - доброкачественная гормонозависимая опухоль, образованная клетками эндометрия, которые неконтролируемо разрастаются, поражая миометрий на разную глубину. В зависимости от характера течения и вида изменений внутри стенок матки, различают следующие формы заболевания:
Очаговая. Эндометриозные ткани при очаговой форме прорастают в миометрий в виде локализовано расположенных очаговых участков.
Узловая. Для такой разновидности характерно поражение стенок репродуктивного органа клетками железистого эпителия в виде множественных узелков.
Диффузная. При диффузном аденомиозе разрастание патологических клеток происходит на разную глубину, иногда образованием свищей в области малого таза.
Диффузно-узловая. Сочетает в себе диффузную и узловую разновидности аденомиоза.

Аденомиоз протекает в 4 стадии:
Первая. Патологические процессы ограничены слизистой оболочкой миометрия, какие-либо подозрительные симптомы, указывающие на болезнь, полностью отсутствуют.
Вторая. Эндометриозные клетки распространяются на мышечные ткани репродуктивного органа, клиническая картина отсутствует или выражена слабо.
Третья. Патологический процесс поражает всю толщу мышечной стенки, вплоть до серозной оболочки. Беспокоят определенные симптомы.
Четвертая. Мышечный слой матки полностью поражен тканями эндометрия, который также может прорастать в ткани органов, расположенных по соседству. Клиническая картина ярко выражена.
Как развивается аденомиоз
Аденомиоз - одна из разновидностей эндометриоза. Чтобы разобраться в механизме патологии, важно знать строение и основные функции матки. Тело матки состоит из гладкой мускулатуры. Но самих мышечных тканей недостаточно, чтобы выносить и родить ребенка. Во время каждого менструального цикла организм вырабатывает специальный слой, к которому оплодотворенная яйцеклетка прикрепляется и развивается дальше. Этот слой называется эндометрием. Эндометрий, в свою очередь, состоит из 2 оболочек:
Функциональная. Предназначена для вынашивания плода.
Базальная. Оболочка, из которой произрастает функциональный слой.
Если в течение цикла оплодотворение не происходит, функциональная оболочка отторгается и покидает матку вместе с менструальным кровотечением. На следующий цикл функциональный слой образуется вновь. Но под воздействием негативных факторов происходит сбой, эндометрий повреждает базальный слой, а также мембрану и в некоторый местах начинает прорастать в тело матки. Репродуктивный орган реагирует на сбой образованием вокруг патологических очагов утолщения из мышечных волокон, пытаясь ограничить дальнейшее распространение. В результате тело матки увеличивается в размере, что приводит к нарушениям ее функционирования.
Какие особенности применения УЗИ
При подозрении на развитие аденомиоза, гинеколог, после первичного осмотра, дает направление на ультразвуковое исследование, которое проводится трансвагинальным способом. Этот метод УЗ-исследования не применяется у девочек и девушек, которые еще не живут половой жизнью.

Чтобы УЗИ было информативным и результативным, к нему нужно подготовиться. Основные правила подготовки:
За 2 - 3 дня до процедуры исключить из рациона продукты, способствующие повышенному газообразованию.
Вечером, накануне исследования, выпить слабительное средство и опорожнить кишечник.
Перед манипуляциями опорожнить мочевой пузырь.
Если для трансвагинального УЗИ есть противопоказания, назначается трансабдомиальное УЗИ. Для подтверждения диагноза дополнительно могут быть назначены такие диагностические процедуры:
УЗИ матки с допплерографией, эласографией;
Проявления аденомиоза на эхограмме УЗИ

Признаки аденомиоза матки на УЗИ характеризуются заметными отклонениями от общепринятых физиологических норм. Патология лучше всего визуализируется в начале второго цикла лютеиновой фазы, когда функции эндометрия активны больше всего.
Характерные эхо-признаки аденомиоза на УЗИ:
неоднородность тканей миометрия;
смазанные границы между ростковым и мышечным слоями;
округлая форма органа;
асимметрия в толщине стенок;
наличие спиральных сосудов эндометрия в миометрии;
отклонение от норм по длине, ширине, массе более чем на 10%;
очаги уплотнений, пустот более 2 мм внутри мышечного слоя.
Аденомиоз на УЗИ проявляется изменениями плотности тканей матки, а также наличием областей с гипоэхогенностью, гиперэхогенностью, гетероэхогенностью. Также во время ультразвукового исследования выявляются патологические пятна с нарушенной плотностью размером 1 - 50 мм.
Расшифровка протокола УЗИ
Результаты УЗИ фиксируются в протоколе, который расшифрует гинеколог. Во время изучения полученных данных специалист в первую очередь уделяет внимание параметрам органа и их соответствии нормам.
Эхографические признаки отсутствия аденомиоза:
Размер - соответствует физиологическим нормам.
Толщина стенок - равномерная, симметричная.
Контуры границ между мышечным и ростковым слоем - четкие, ровные, без выпуклостей.
Структура миометрия - не измененная, однородная.
Толщина функционального слоя миометрия - соответствует фазе цикла, отсутствует деформация отражения по М-эхо.
Если же эхопризнаки аденомиоза матки визуализируются, врач оценивает форму, локализацию и стадию болезни, после чего составляет индивидуальный план лечения или назначает операцию.
Преимущества МЦ "ЗДОРОВАЯ СЕМЬЯ"
ВРАЧИ С БОЛЬШИМ СТАЖЕМ РАБОТ
МНОЖЕСТВО ДОВОЛЬНЫХ ПАЦИЕНТОВ
ЭКСПЕРТНЫЙ УРОВЕНЬ ОБОРУДОВАНИЯ
НИЗКИЕ ЦЕНЫ
Признаки развития аденомиоза на УЗИ
УЗ-признаки аденомиоза на начальных стадиях развития четко визуализируются на мониторе:
Наличие трубочек от эндометрия к миометрию.
Образование кругов или овалов, а также зазубрин в базальном слое.
Различные дефекты в эндометриальном слое.
При прогрессировании признаки аденомиоза на УЗИ становятся более выраженными:
неравномерное увеличение задней и передней стенок.
Аденомиоз как патология эндометрия

Аденомиоз матки - распространенное заболевание доброкачественной этиологии, диагностируемое у женщин детородного возраста. Патология рассматривается как одна из стадий эндометриоза. По месту локализации эндометриоз бывает:
Генитальный в свою очередь бывает внутренним и наружным. При внутреннем поражается тело матки и надвлагалищная шеечная часть. При наружном патологические процессы протекают в таких участках:
тело матки и часть шейки;
Причины развития
Первопричины развития патологии до конца так и не установлены. Но врачи выдвигают различные теории, с помощью которых пытаются объяснить этиологию и патогенез аденомиоза. Популярной теорией считается вживление отделившихся эндометриальных клеток при ретроградном забросе менструальной крови через маточные трубы.
Существуют теории, которые говорят о распространении патологических клеток гематогенным и лимфатическим путем. Генетический фактор тоже может играть существенную роль, учитывая конкордантность манифестации аденомиоза у близнецов. В поисках точной первопричины возникновения патологии проведено много медицинских исследований, но врачи так и не получили однозначного ответа на этот вопрос.
Факторы риска



К факторам риска возникновения патологии относят:
превышающий норму уровень эстрогенов;
раннее начало месячных, их обильность, продолжительность более 8 дней;
хирургическое вмешательство на матке, придатках;
злоупотребление вредными привычками;
хронические стрессы, нервные перегрузки;
неблагоприятная экологическая обстановка;
аборты в анамнезе.
Симптомы
Признаки аденомиоза такие:
слабые или интенсивные боли внизу живота, области поясницы;
болезненный половой акт;
обильное кровотечение во время месячных;
длительные менструации - более 8 дней;
мажущие коричневые или кровавые выделения, беспокоящие до и после месячных;
Диагностика

При наличии характерных симптомов необходимо обратиться к гинекологу, который будет заниматься диагностикой и лечением патологии. Чтобы подтвердить диагноз, дается направление на комплексное обследование, результаты которого помогут определиться с дальнейшей тактикой ведения пациентки.
Бимануальный осмотр
При бимануальном осмотре одна рука врача располагается на животе, другая вводится во влагалище. Процедура позволяет определить увеличение размера матки, плохую подвижность, являющуюся результатом процесса образования спаек.
Осмотр в зеркалах

Гинекологический осмотр в зеркалах предоставит специалисту информацию о наличии эндометриодных очагов во влагалище и на поверхности влагалищной шеечной части.
Ультразвуковая диагностика
Ультразвуковое исследование органов малого таза - доступный, результативный, безопасный, безболезненный метод диагностики, который при подозрении на аденомиоз рекомендуется выполнять в динамике на 8 - 10 и на 20 - 24 дни цикла. Процедура поможет определить степень патологических изменений в структуре репродуктивного органа. На 1 стадии аденомиоза матка на УЗИ немного увеличена в размерах, а в проекции стенок определяются небольшие кистозные образования в диаметре до 2 - 3 мм. Наличие кистозных включений делает структуру миометрия неоднородной, ее эхогенность слегка повышена.
На 2 - 3 стадии клетки эндометрия распространяются на мышечную ткань по направлению к серозному слою, что указывает на диффузную форму патологии, которой характерны такие признаки:
неоднородная структура органа;
неравномерность толщины стенок;
линейная исчерченность срединного М-эхо, размытость его контуров;
увеличение органа в размерах.
Ультразвуковая картина в доплеровском режиме исследования
Для оценки состояния и функциональности сосудов матки во время УЗи используется режим цветового доплера. Этот вид сканирования позволяет врачу увидеть кровоток и обнаружить признаки аденомиоза.
При поражении стенок матки патологическими клетками эндометрия во время УЗИ-допплерографии может быть определено незначительное повышение сопротивляемости сосудов и усиление кровотока в участках, пораженных заболеванием.
Возможные диагностические ошибки

Ошибки при УЗИ-диагностировании аденомиоза матки случаются довольно редко, но все же они не исключены, ведь признаки болезни нередко совпадают с клинической картиной течения других заболеваний. К примеру, миоматозные узлы можно спутать с разросшимися тканями эндометрия, которые располагаются в нехарактерных для них местах. Отличить миоматозные узлы поможет специфическое огибание образования питающими сосудами в режиме цветного или энергетического допплеровского картирования .
Узловую форму аденомиоза можно спутать с саркомой матки, но злокачественное новообразование отличается характерной гиперваскуляризацией в режиме ЦДК с низкорезистентным типом кровтока. Врач УЗИ, проводящий исследование пациентке с подозрением на аденомиоз, обязан уметь распознавать клинические признаки всех существующих гинекологических патологий и владеть исчерпывающей информацией об эхографической картине каждой. Это поможет избежать ошибок и неточностей в постановке диагноза, а аткже не допустить развития серьезных осложнений, связанных с отсутствием своевременного лечения.
Стоимость лечения аденомиоза матки
В многопрофильном центре «Здоровая семья» цены на лечение аденомиоза консервативны и доступны всем пациентам, нуждающимся в профессиональной медицинской помощи.
Увеличение матки: вариант нормы или патология?

Любой орган нашего тела имеет определенные форму и размеры. Допускаются незначительные вариации, но в целом любое увеличение или уменьшение органов говорит о наличии патологического состояния в организме. Поэтому регулярные осмотры у специалистов очень важны, ведь изменения внутренних органов не всегда сопровождаются субъективными симптомами. Особенно это важно, когда речь идет о репродуктивном здоровье женщины. Центральным органом женской репродуктивной системы по праву считается матка.
Матка - часть репродуктивной системы женщины, полый орган, стенки которого состоят из серозной оболочки (периметрия), мышечной оболочки (миометрия) и слизистой оболочки (эндометрия). В строении самой матки принято выделять дно, тело и шейку. Основная функция матки - вынашивание плода.
С возрастом гормональный фон женщины претерпевает значительные изменения, которые вполне закономерно отражаются на размерах и функциях матки, ведь её ткани имеют множество рецепторов отвечающих на изменения концентрации гормонов в крови. Однако эти изменения нормальны и не требуют лечения. Но, к сожалению, нередки случаи, когда к увеличению матки приводят различные заболевания. Давайте рассмотрим, какие признаки должны послужить сигналом к скорейшему визиту к врачу.
Симптомы, сопровождающие увеличение размеров матки:
- дисменорея (урежение или учащение менструаций, а также изменение характера и количества выделений);
- боли в области органов малого таза и поясницы не связанные с менструацией;
- боли во время полового акта;
- резкое увеличение живота не связанное с беременностью;
- невозможность наступления беременности;
- анемии (снижение количества гемоглобина в крови после кровотечения);
- учащение позывов к мочеиспусканию, уменьшение порций мочи;
- усиление газообразования в кишечнике;
- запоры;
- головные боли и мигрени;
- повышенная чувствительность груди.
Причины и лечение увеличения матки
Если специалист определяет увеличение размеров маточного органа, далее следует выяснение первичной причины данного явления, так как терапия будет направлена именно на устранение этиотропного фактора. Итак, рассмотрим, какие же причины могут предшествовать увеличению матки и что делать в каждом конкретном случае.
1. Эндометриоз (аденомиоз) - разрастание клеток слизистой оболочки матки в её гладкомышечной оболочке. Поскольку клетки эндометрия чувствительны к гормонам, то в скоплениях и разрастаниях за пределами слизистой возникают такие же изменения, как и в нормальном эндометрии во время менструации, т.е. они начинают кровоточить, что приводит к воспалению окружающих тканей, болям разной интенсивности, увеличению матки в объеме, бесплодию. Наиболее точным методом диагностики является лапароскопия. Терапия эндометриоза подразделяется на консервативную и хирургическую. Консервативное лечение заключается в гормонотерапии (как моно-, так и поликомпонентной). Хирургическое лечение заключается в удалении очагов эндометриоза лапароскопическим путем.
2. Миома матки (фибромиома, лейомиома) - доброкачественное новообразование, возникающее в стенке матки (в мышечном её слое) и представленное узлом, содержащим в основном скопление хаотично переплетенных миоцитов (гладкомышечных клеток). Может быть размером от нескольких миллиметров до нескольких десятков сантиметров. Миоматозные узлы могут располагаться субмукозно (т.е. ближе к слизистой оболочке), субсерозно (т.е. под периметрием) и интрамурально (в толще гладкомышечного слоя). Субсерозные узлы могут иметь более узкое основание, тогда говорят о так называемом «узле на ножке». Рост миомы сопровождается кровотечениями во время менструаций и усилением менструальных болей. Диагностируется опухоль с помощью УЗИ (в том числе и трансвагинального), в случаях, когда необходимо определить точную локализацию узла, применяется МРТ.
Лечение миомы может быть:
- Консервативным, и заключаться в приеме гормональных препаратов, однако они имеют ряд побочных эффектов, поэтому их применяют в основном для подготовки к операции;
- Хирургическим, и заключается в удалении всей матки при наличии очень больших узлов, либо эндоскопическом (гистероскопическом или лапароскопическом) удалении небольших узлов.
Но наиболее современными методами на данный момент являются:
- Эмболизация маточных артерий — через бедренную артерию вводится гибкий катетер, подводится к той маточной артерии, питающей миоматозный узел, и выпускается вещество, перекрывающее просвет сосуда. В результате миома заменяется соединительной тканью.
- ФУЗ-абляция (фокусированная ультразвуковая) - метод основан на нагревании тканей миоматозного узла сфокусированным пучком ультразвуковых волн, проводится под контролем МРТ и является наиболее высокоточным и малотравматичным методом. Контролируется не только температура нагрева, но и область облучения с точностью до сотых долей миллиметра.
Также увеличению матки могут предшествовать следующие причины:
3. Злокачественные новообразования матки - развиваются из клеток слизистой оболочки матки. Чаще всего рак матки поражает женщин в период постменопаузы. До достижения значительных размеров опухоль развивается чаще всего бессимптомно. Иногда возможны боль во время полового акта и кровотечения между менструациями, либо в период менопаузы и после нее. Наиболее точный диагноз ставится на основании гистологического исследования тканей, взятых при биопсии гистероскопически или лапароскопически. В терапии злокачественных опухолей тела матки используются:
- гормонотерапия;
- химиотерапия (прием препаратов, угнетающих рост и размножение клеток);
- хирургическое вмешательство - удаление матки, иногда вместе с прилежащими тканями и органами (яичниками, частью кишечника и т.д.) - в зависимости от распространенности процесса и стадии рака;
- лучевая терапия.
Чаще всего применяется комплексное лечение с использованием нескольких методов.
4. Молярная беременность (хорионаденома, пузырный занос) - аномальная беременность, характеризующаяся отсутствием эмбриона и атипичным разрастанием плаценты. Симптомы хорионаденомы поначалу сходны с симптомами нормальной беременности, однако, увеличение матки наступает значительно быстрее, а затем присоединяются такие признаки как боль, кровотечения и т.д. Диагностируется молярная беременность с помощью УЗ-исследования, картина типична и затруднений в диагностике не вызывает. Лечение:
- Вакуум-аспирация содержимого матки;
- Кюретаж;
- Химиотерапия (т.к. хорионаденома склонна к метастазированию).
5. Нарушение гормонального фона вследствие патологии эндокринных желез. Матка очень чувствительна к колебаниям гормонального фона, поэтому при наличии гормонпродуцирующих опухолей, поликистозе яичников и других заболеваниях, приводящих к дисбалансу гормонов в женском организме, матка может изменить свои размеры за счет утолщения эндометрия или миометрия.
Получить консультацию по волнующим Вас вопросам Вы можете у высококвалифицированных специалистов Клиники Радуга. Запишитесь на прием уже сегодня, и мы сделаем все, чтобы принять вас как можно быстрее.
УЗИ матки и придатков — особенности выполнения и расшифровки
В современной медицине УЗИ представляет собой универсальный метод диагностики заболеваний внутренних органов. Низкая стоимость процедуры, безболезненность, доступность и информативность обусловили высокую популярность метода, особенно в области гинекологии.
УЗИ матки и придатков - это обследование, позволяющее определить анатомию, размеры, структуры и состояние репродуктивных органов. Назначением процедуры может быть скрининговое исследование, диагностика патологий или контроль проведенной терапии.
Данный вид диагностики практически не имеет противопоказаний, абсолютно безопасен, может проводиться многократно в любой период жизни женщины, в том числе в период вынашивания ребенка.
Для профилактики и своевременного выявления заболеваний и нарушений в работе органов малого таза каждой женщине рекомендуется проходить УЗИ матки и придатков не реже 1 раза в полугодие.
Показания
Проведение УЗИ матки и придатков показано при наличии следующих симптомов у женщины:
- нарушение менструального цикла (нерегулярность, изменение объема менструальной кровопотери, аменорея - отсутствие месячных, задержка очередной менструации при отсутствии предшествующих нарушений цикла, изменение продолжительности самой менструации и межменструального периода);
- повышенная болезненность менструаций;
- межменструальные кровянистые выделения;
- кровянистые выделения, появившиеся после наступления климакса;
- слизистые или гнойные выделения;
- боль в нижней части живота и пояснице (тянущая, постоянная или переменная);
- болезненные ощущения и кровянистые выделения во время полового акта;
- боль в матке после родов.
Также процедура назначается для подтверждения или при подозрении на патологии репродуктивных органов: эндометриоз, доброкачественные/злокачественные образования, воспалительные процессы и т.д.
Проведение исследования необходимо и при уже выявленном заболевании с целью мониторинга изменений структуры матки и придатков, планирования операции или оценки эффективности проведенной терапии.
УЗИ матки и придатков также показано в следующих случаях:
- профилактический осмотр;
- установление факта беременности, в том числе внематочной;
- контроль течения беременности и диагностика пороков развития плода;
- отсутствие зачатия более года при регулярных незащищенных половых актах (с целью диагностики бесплодия);
- обязательное обследование после гистерэктомии (удаления матки);
- плановое и профилактическое обследование после родов;
- наблюдение после кесарева сечения;
- в рамках программы ЭКО.
Какие патологии можно выявить
УЗИ - незаменимый диагностический инструмент, позволяющий выявить множество заболеваний. Среди них:
- эндометриоз - разрастание клеток эндометрия за пределы матки. Прогрессирующий эндометриоз опасен развитием бесплодия, спаечной болезни и, по некоторым данным, повышением риска развития рака эндометрия;
- аденомиоз - прорастание клеток эндометрия в мышечную ткань матки. При отсутствии или запоздалом лечении может спровоцировать осложнения: онкологию, бесплодие, разрастание за пределы матки, кровотечение, болевой синдром;
- гиперплазия - чрезмерное разрастание эндометрия. Грозит образованием спаек, снижающим проходимость труб, развитием бесплодия, хронической анемии, онкологического процесса;
- гипоплазия - истончение эндометрия. Может привести к бесплодию и невынашиванию беременности;
- миома матки - доброкачественная опухоль в мышечном слое матки. В запущенном состоянии она приобретает большие размеры, что сопровождается множественными осложнениями от кровотечений до бесплодия и озлокачествления;
- онкологические заболевания матки или придатков - крайне опасная патология, способная привести к летальному исходу;
- загиб матки - аномальное положение матки в малом тазу, препятствующее зачатию, вынашиванию и родоразрешению;
- полип матки - доброкачественная опухоль в полости матки. Опасен нарушением репродуктивной функции;
- патологии беременности (пузырный занос, отслоение плаценты, замершая и внематочная беременность) - опасные патологии, итог развития которых разный в зависимости от ситуации;
- киста - доброкачественное жидкостное образование. В запущенном состоянии нарушает фертильность женщины;
- поликистоз - разрастание множественных кистозных образований;
- перекрут яичника - полный или частичный заворот яичника, нарушающий его кровоток и питание. Поздняя диагностика и лечение приводит к некрозу (гибели) придатка;
- гидросальпинкс - нарушение проходимости маточных труб;
- воспалительные процессы в матке и придатках (сальпингит, оофорит, аднексит);
- воспалительный процесс, наблюдающийся в эндометрии и/или миометрии (эндометрит, миометрит, эндомиометрит).
- Как проводится
- Существует несколько видов УЗИ матки и придатков:
- трансабдоминальное - наружное, через брюшную полость;
- трансвагинальное - путем введения датчика во влагалище;
- трансректальное - через прямую кишку;
- внутриматочное - введение датчика в полость матки.
Крайне редко наружный и внутриполостной методы существуют друг от друга раздельно. Часто проводится сначала трансабоминальное УЗИ, затем пациентку отправляют помочиться и проводят сканирование другим методом. Так клиническая картина наиболее информативная и достоверная.
Дополнительно выделяют разновидности УЗИ - соногистерографию и допплерографию.
Трансабдоминальное УЗИ (ТАУЗИ)
Перед проведением процедуры пациентка раздевается ниже пояса, обнажает живот и ложится на спину. На переднюю брюшную стенку врач наносит специальный гель, устраняющий воздушную прослойку между поверхностью тела и датчиком для лучшей визуализации.
Затем с легким нажимом специалист передвигает датчик по поверхности живота, оценивая состояние репродуктивных органов на мониторе УЗ-аппарата. При этом женщине требуется дышать неглубоко и равномерно для получения более четкого изображения. Длительность процедуры составляет около 15-30 минут.
Основными преимуществами метода являются простота и доступность, а также возможность использования для девственниц. Вследствие поглощения УЗ-волн брюшной стенкой метод обладает сравнительно низкой четкостью и детализацией изображения. ТАУЗИ позволяет выявить лишь крупные новообразования.
Процедура безболезненная, однако возможен дискомфорт в ходе проведения из-за наполненного мочевого пузыря.
Трансвагинальное УЗИ (ТВУЗИ)
Исследование проводится на кушетке или гинекологическом кресле. Пациентка раздевается ниже пояса и ложится на спину, согнув ноги в коленях. На вагинальный датчик (трансдьюсер) врач надевает презерватив и наносит специальный гель для улучшения визуализации (дополнительно он служит смазкой, облегчающей введение прибора).
После этого вводит датчик во влагалище на глубину 5-7 см и проводит манипуляции (движения прибором в стороны, вверх и вниз) для детального рассмотрения того или иного органа. Длительность процедуры составляет около 15-30 минут.
В первом триместре беременности для обследования всегда используется ТВУЗИ. Только этот метод позволяет увидеть крошечный плод и исключить все возможные патологии.
Одним из главных преимуществ ТВУЗИ считается высокий уровень информативности и достоверности за счет непосредственной близости датчика к исследуемым органам. Это позволяет визуализировать даже мелкие новообразования.
Процедура безболезненная, однако некоторые женщины испытывают физический и психологический дискомфорт. При появлении болезненных ощущений необходимо сразу же сообщить об этом врачу. Основным недостатком метода является невозможность его применения у девственниц и у некоторых женщин постклимактерического периода.
Трансректальное УЗИ (ТРУЗИ)
Исследование проводится на кушетке. Пациентка снимает всю одежду ниже пояса и ложится на бок, спиной к аппарату УЗИ, согнув ноги в коленях и подтянув их к груди. Врач надевает на датчик презерватив и смазывает специальным гелем, улучшающим проводимость УЗ-волн и служащим смазкой.
Затем специалист вводит прибор в прямую кишку пациентки и начинает сканирование. В этом случае используется более тонкий датчик, диаметр которого не превышает 1,5 см. Длительность процедуры составляет около 20 минут.
Этот тип УЗИ проводится достаточно редко - в случае низкой информативности ТАУЗИ или невозможности проведение ТВУЗИ. Обычно используется для девственниц. Главным плюсом методики является высокая результативность и достоверность, а также возможность диагностики образований, связанных с соседними органами.
Минусом такой процедуры является вызов физического и психологического дискомфорта.
Внутриматочное УЗИ
Порядок проведения процедуры аналогичен ТВУЗИ. Только в этом случае используется ультразвуковой тонкий зонд, который вводится в полость матки.
Внутриматочное УЗИ применяется редко, в основном при подозрении на миому матки и изменениях эндометрия. Получаемая информация наиболее достоверная и содержательная, поскольку все органы рассматриваются в непосредственной близости.
Соногистерография
Эта разновидность УЗИ используется для оценки проходимости маточных труб и диагностики патологических процессов в полости матки (полипы эндометрия, внутриматочные синехии, субмукозные миоматозные узлы). Продолжительность процедуры составляет около 30 минут.
Алгоритм проведения соногистерографии:
- введение инъекции спазмолитика за 15-30 минут до процедуры;
- проведение полного УЗИ органов малого таза;
- расширение влагалища с помощью гинекологического зеркала;
- местное обезболивание шейки матки;
- катетеризация шейки матки;
- введение физиологического раствора в полость матки посредством катетера (10-20 мл);
- сканирование органов вагинальным датчиком.
На УЗИ раствор выглядит контрастным. Это позволяет точно определить, какая именно часть маточных труб является непроходимой. При их непроходимости женщина может испытывать сильный болевой синдром из-за натяжения стенок матки.
После соногистерографии возможны кровянистые выделения в течение 2-3 дней и слабые боли. Если боли усилились или длятся дольше, необходимо срочно обратиться к врачу.
Допплерография
Такой метод УЗИ позволяет оценить кровоток в репродуктивных органах и выявить причины его нарушения. Это обязательная процедура в период планирования беременности, особенно при наличии у женщины тяжелых системных болезней, гестоза (в анамнезе), патологии почек.
В процессе исследования используется:
- дуплексное сканирование с целью определения размеров артерий и вен, направления кровотока, а также пропускной способности исследуемых сосудов;
- цветовое или триплексное сканирование для оценки скорости и направления сосудов.
Оно характеризуется наличием разных цветов.
В современных аппаратах УЗИ система допплерографии уже встроена, поэтому эти исследования часто комбинируются.
Когда лучше проводить процедуру
На 2-3 день менструального цикла рекомендуется проведение исследования для оценки овариального резерва яичников - числа яйцеклеток в фолликулах.
Для диагностики беременности УЗИ лучше делать на 7-10 день задержки, чтобы плодное яйцо успело опуститься в полость матки и стало достаточно большим для визуализации.
Соногистерографию рекомендуется выполнять в середине менструального цикла. В это время канал шейки матки максимально расширен и процедура не вызывает дискомфорта.
Для проведения допплерографии наилучшим является период за несколько дней до предполагаемых месячных. Во время беременности плановое обследование с допплером, при отсутствии патологий, выполняется на сроке 24 недель.
УЗИ матки и придатков делать во время менструации можно, но не нужно. Полученный результат зачастую недостоверный. Видимость в этот период крайне плохая, оценка состояния и толщины эндометрия невозможна, а обнаруженный сгусток крови в матке может быть диагностирован как полип или опухоль. Поэтому при отсутствии экстренных показаний лучше перенести исследование.
В неотложных ситуациях УЗИ проводится в любой день цикла.
Подготовка
Разные методы ультразвуковой диагностики предполагают различную подготовку. Общие рекомендации: провести полный туалет половых органов, взять с собой одноразовую пеленку, полотенце или салфетки (для удаления геля).
ТАУЗИ
Скопление газов в кишечнике препятствует проведению исследования и искажает результаты. Поэтому подготовка к ТАУЗИ требует ограничений в рационе. За 2-4 дня пациентке необходимо исключить из употребления все продукты, способствующие газообразованию:
- молочные продукты (из-за недостаточного содержания в них лактозы - фермента, обеспечивающего нормальное пищеварение);
- бобовые (в них содержатся сложные углеводы);
- мучные и кондитерские изделия, содержащие дрожжи, особенно черный хлеб, отруби;
- газированные напитки;
- алкоголь;
- овощи, содержащие грубую клетчатку: картофель, редис, лук, чеснок, томат, шпинат, щавель, капуста, репа, кукуруза, спаржа;
- некоторые фрукты в сыром виде: яблоко, чернослив, груша, виноград, персик, вишня;
- жирные, жареные блюда;
- грибы;
- жевательные конфеты, резинки.
Иногда вызвать скопление газов в кишечнике могут продукты, несвойственные для текущего климатического пояса: ананасы, персики, бананы и т.д.
Диета за 2-3 дня до процедуры должна состоять из нежирной рыбы, сыров, зерновых каш, говядины и мяса птицы (отварного).
При наличии склонности к метеоризму за день до исследования начать принимать ветрогонные средства (Эспумизан, Дисфлатил и т.д.), а имеющим предрасположенность к запорам - использовать слабительные средства или очистительную клизму. Последнюю делают вечером накануне и утром в день процедуры.
ТВУЗИ
Подготовка аналогична подготовке к ТАУЗИ. Единственное отличие - пустой мочевой пузырь. При беременности мочевой пузырь должен быть наполнен наполовину.
ТРУЗИ
Подготовка аналогична подготовке к ТВУЗИ. Только в этом случае очистительная клизма обязательна. Если сделать ее по каким-либо причинам невозможно, используются определенные слабительные препараты: фортранс, дюфалак, мовипреп.
Также за 7-10 дней до процедуры необходимо прекратить прием лекарств, разжижающих кровь.
Подготовка не требуется. Непосредственно перед процедурой опорожнить мочевой пузырь.
Заранее пациентка сдает ряд анализов: на ВИЧ, сифилис и гепатиты В и С (действителен 2 месяца), а также гинекологический мазок (действителен 10 дней). Это необходимо для того, чтобы во время манипуляции исключить занесение инфекции из канала шейки матки или влагалища в полость матки.
Непосредственно перед процедурой нужно опорожнить мочевой пузырь.
Аналогична подготовке тем способом, которым будет проводиться УЗИ.
Противопоказания
Специфических противопоказаний и медицинских ограничений к УЗИ матки и придатков нет.
ТАУЗИ не проводится при наличии повреждений кожного покрова на брюшной полости: гнойные, воспалительные, травматические или ожоговые. В этом случае нанесение геля и давление датчика вызовет болевые ощущения. Сканированию этим методом также препятствует обширный спаечный процесс и ожирение.
ТВУЗИ и внутриматочное УЗИ не используются для девственниц и женщин во II и III семестре беременности. Эти методы противопоказаны при кровотечениях, пороках развития влагалища (атрезия (заращение), резкий стеноз (сужение) входа во влагалище и т.д.) и наличии аллергии на латекс.
ТРУЗИ не проводится при:
- проктологических заболеваниях, особенно в стадии обострения: геморрое, свище и трещинах прямой кишки;
- отсутствии прямой кишки по причине ее удаления;
- хирургических вмешательств на прямой кишке, проводимых незадолго до исследования процедуры;
- непроходимости кишечника;
- аллергии на латекс.
Соногистерография противопоказана во второй фазе цикла и в случае обнаружения отклонений в гинекологическом мазке (в частности, повышенные лейкоциты, в норме до 25). Также важно сообщить врачу о наличии аллергии на анестетик.
Расшифровка: норма
Матка
В норме матка имеет грушевидную или овальную форму, ровные и четкие контуры, располагается кпереди. Эхоструктура маточных стенок (миометрия) однородная. Структура и толщина эндометрия зависят от периода менструации. Тонус матки нормальный. Объем - до 100 см 3 .
Размеры матки зависят от различных факторов. Она увеличивается в секреторной фазе менструального цикла и уменьшается в пролиферативной.
М эхо матки: толщина эндометрия и гинекологические заболевания

Любая женщина, которая беспокоится о своём здоровье, должна регулярно посещать врача - гинеколога и проходить обследование. Самый доступный и распространённый способ диагностики патологий женской репродуктивной системы — ультразвуковое исследование. В список обязательных ежегодных УЗ исследований входит процедура М эхо матки. Каждой женщине будет полезно знать, что это, зачем необходимо такое обследование и как расшифровать нормы эхо матки.
УЗИ малого таза — 1000 руб., включающее М ЭХО матки, — 1000 руб. Консультация по результатам диагностики (по желанию) — 500 руб.
Что такое М-эхо матки?
В основном женщины проходят тщательную диагностику только при желании забеременеть или уже при наступлении этого события, а также при подозрении на развитие патологического процесса в репродуктивной системе. Это очень беспечно по отношению к своему здоровью. Полноценный контроль репродуктивных органов должен обязательно включать М-эхо матки.

М-эхо матки, или срединное эхо - часть ультразвукового исследования матки, при которой оценивается толщина и структура эндометрия - наружного слоя, выстилающего поверхность матки. Качество эндометрия зависит от уровня половых гормонов в организме женщины.
Отдельное внимание стоит уделять срединному эхо в репродуктивном возрасте, но ещё более тщательное - в период менопаузы, поскольку с угасанием репродуктивной функции возрастает риск развития онкологических заболеваний.
Что показывает УЗИ эхо матки, зачем его назначают
М-эхо матки - незаменимый скрининг при УЗИ малого таза , позволяющий:
- оценить структуру выстилающего матку слоя;
- измерить его толщину;
- проверить соответствие состояния слоя фазе менструального цикла;
- оценить готовность эндометрия к прикреплению эмбриона;
- диагностировать воспаления и оценить их степень развития;
- выявить уплотнения и другие новообразования с аномальной эхогенностью;
- исключить спаечный процесс в предклимаксном периоде.
На состояние эндометрия влияет фаза менструации. В первой фазе, называемой фолликулярной, слизистая матки разрастается под влиянием эстрогенов. С выходом яйцеклетки - наступления овуляции - приходит вторая фаза цикла - лютеиновая. В этот период эндометрий заметно утолщается и развивается под воздействием прогестерона, подготавливающего поверхность матки к возможному вживлению плодного яйца. Если оплодотворения не случилось, прогестерон и эстроген начинают вырабатываться в меньшем количестве, происходит отторжение эндометрия и наступление менструации. При климаксе такие изменения не происходят. Зная эти особенности можно очень точно выявить любые отклонения в эндометриозном слое матки.
Показания: симптомы и профилактика
Женщину к проведению УЗИ матки с эхо должны подталкивать не только соответствующие показания. Регулярное исследование в целях профилактики - незаменимая и полезная вещь, которая поможет оградить себя от проблем половой системы. Срединное эхо необходимо для женщин любой возрастной категории. Назначается процедура при следующих показаниях:
- ;
- нерегулярный менструальный цикл с большими задержками;
- острые и хронические заболевания репродуктивной системы;
- боли внизу живота ;
- кровотечения вне цикла; ;
- пременопауза;
- постклимаксный период.
Какие патологии выявляет обследование
Эхография - ценная процедура, способная выявить серьёзные патологии эндометрия ещё на раннем этапе развития. Основные из них:
- Гиперплазия - заболевание доброкачественного характера, при котором происходит разрастание эндометрия и, как следствие, утолщение и увеличение его объёма.
- Гипоплазия - недоразвитие эндометрия, его недостаточный рост.
- Онкология эндометрия - чрезвычайно опасная патология, в большинстве случаев поражающая женщин в постменопаузе. При своевременной диагностике имеет хороший прогноз выздоровления - 95%.
Что влияет на результаты М-эхо
На изменение толщины и структуры эндометрия, помимо возраста и фазы менструального цикла, влияют различные факторы:
- гормональная терапия;
- наступление беременности (на последней неделе цикла эндометрий может утолщаться до 22 мм, при это плодное яйцо ещё не успело спуститься в матку из маточной трубы);
- недавние роды;
- недавнее диагностическое выскабливание ;
- патологии матки (гиперплазия, миома , полипы идр.).
По этой причине точно и достоверно оценить результаты М-эхо матки с учётом анамнеза пациентки и верно поставить диагноз может только специалист.
Как и когда измеряют эндометрий матки
Процедура назначается с учётом менструального цикла. Обычно УЗИ с эхо проводится, начиная с 10 дня цикла. Для женщин в постклимаксном периоде принципиальных ограничений нет.
Обследование может проводиться двумя способами в зависимости от цели:
- Абдоминально - через переднюю стенку брюшной полости. Пациентка ложится спиной на кушетку, оголяет живот, а врач проводит сканирование с помощью наружного датчика, предварительно нанеся на живот специальный гель для улучшения контакта с прибором. Таким образом М-эхо проводится лишь для определения возможного вживления плодного яйца, поскольку ввиду недостаточной информативности метода можно выявить лишь грубые патологии.
- Инвагинально - путём введения полостного датчика во влагалище. Пациентка ложится спиной на кушетку, согнув ноги в коленях. Врач аккуратно вводит во влагалище трансдьюсер, на который предварительно надел презерватив для предупреждения попадания чужой микрофлоры ( ИППП ) и нанёс лубрикант. Этот метод гораздо информативнее. С его помощью можно точно измерить толщину эндометрия, оценить структуру и диагностировать патологию на ранней стадии развития.
Во избежание ошибок при определении параметров эндометрия необходимо соблюдать следующие правила:
- Толщина эндометрия матки должна измеряться при продольном сканировании матки, при этом одновременно должен визуализироваться цервикальный канал (вход через шейку в матку).
- Толщина рассчитывается по двум слоям эндометрия - максимальное значение переднезаднего размера М-эхо.
- Измерять необходимо по наружным контурам М-эхо перпендикулярно продольной оси матки.
Как подготовиться к процедуре
Особенности подготовки к ультразвуковому исследованию зависят от способа, которым оно будет проводиться.
Подготовка к абдоминальному методу
За сутки до процедуры необходимо изменить свой рацион питания, чтобы максимально снизить газообмен: капуста, бобы, газированные напитки, орехи, чёрный хлеб и другие газообразующие продукты должны быть исключены.
Мочевой пузырь должен быть наполненным. Поэтому за 1 час до УЗИ женщина должна выпить 1 - 1,5 литра негазированной жидкости и не мочиться.
Подготовка к инвагинальному методу
Главное требование - опорожнённый мочевой пузырь, поэтому непосредственно перед процедурой женщина должна помочиться. Также для повышения качества обследования рекомендуется за сутки до него освободить кишечник от газов с помощью специальных медицинских препаратов (смекта, эспумизан, активированный уголь и т.д.).
М-эхо при планировании беременности предсказывает возможность выкидыша
При планировании беременности УЗИ с эхо - обязательная процедура, поскольку она позволит оценить готовность к вживлению плодного яйца, т.е. к наступлению беременности.
Оптимальная толщина эндометрия для этого события составляет 11 - 14 мм. Недостаточная толщина помешает проникновению и фиксированию яйцеклетки к маточной стенке. Избыточная толщина повышает риск отторжения плодного яйца, что в результате наблюдается как выкидыш .
При этом структура выстилающего матку слоя должна быть более рыхлой, губчатой, что позволит оплодотворённой яйцеклетке беспроблемно прикрепиться к нему.
Норма показателей толщины эндометрия матки при нормальном цикле
Большинство женщин имеют менструальный цикл из 28 дней. Поэтому норма показателей результатов М-эхо матки рассчитана, исходя из этого срока.
| Дни цикла | Название стадии | Толщина М-эхо, мм | Структура эндометрия | Количество слоёв |
| 1 - 2 | Фаза десквамации кровотечения | 5 - 9 | Неоднородная, с пониженной эхогенностью и повышенной звукопроводимостью | Отсутствуют |
| 3 - 4 | Фаза регенерации при кровотечении | 3 - 5 | С повышенной эхогенностью | Отсутствуют |
| 5 - 7 | Фаза ранней пролиферации | 6 - 9 | Эхогенность снижается при повышении звукопроводимости | Появление эхонегативного ободка (около 1 мм) |
| 8 - 10 | Фаза средней пролиферации | 8 - 10 | Появление чёткого гиперэхогенного образования размером в 1 мм и анэхогенного ободка (около 3 мм) | 3 |
| 11 - 14 | Фаза поздней пролиферации | 9 - 13 | Появление над ободком тонкой полоски размером около 1 мм. Создание благоприятных условий для оплодотворения | 4 |
| 15 - 18 | Фаза ранней секреции | 10 - 16 | Структура продолжает разделяться | 4 |
| 19 - 23 | Фаза средней секреции | 10 - 22 | Слизистая практически прекращает разрастаться, организм готовится отторгнуть её (если оплодотворения не произошло) | 4 |
| 24 - 27 | Фаза поздней секреции | 10,1 - 18 | Аналогично | 4 |
Если цикл длиннее 28 дней, то показания роста эндометрия отстают, а если меньше - нарастают. Для женщин детородного возраста общепринятой нормой срединного эхо считается 15 - 16 мм.
М эхо матки норма толщины эндометрия при климаксе
Результаты представительниц прекрасного пола, у которых наступила менопауза, значительно отличаются. Это происходит потому, что эндометрий не разрастается, если менструация отсутствует. На норму показателей влияет длительность периода менопаузы:
| Длительность климакса | Эхо - норма |
| толщина эндометрия матки до 5 мм | |
| 5 - 10 лет | 3 - 4 мм |
| >10 лет | до 3 мм (выстилающий матку слой может не различаться) |
Оценка результатов: расшифровка эхо узи матки
Отклонения от нормы могут свидетельствовать как о незначительных гормональных нарушениях, так и об опасных патологических процессах. Поэтому при их выявлении необходимо провести дополнительные исследования, которые помогут оценить полную картину состояния. При анализе результатов важно учитывать возраст женщины.
Для женщин детородного возраста, как правило, недостаточная толщина эндометрия указывает на гипоплазию, а избыточная - на гиперплазию или воспалительный процесс.
- Уменьшение толщины М-эхо на 1 - 2 мм в первые дни цикла может говорить о наличии новообразований на слизистой матки. В этом случае, женщине назначается гистологический анализ.
- Увеличение толщины на 1 - 2 мм становится поводом для назначения дополнительных обследований - УЗИ проходимости маточных труб и повторное УЗИ через 1 - 2 цикла.
- Для женщин постклимаксного периода утолщение М-эхо до 6 - 7 мм свидетельствует о необходимости тщательного обследования пациентки и повторного анализа через 3, а затем и через 6 месяцев.
- Если же в результате выявлена толщина срединного эхо в 8 мм, то это свидетельствует о патологии и пациентке рекомендуется проведение диагностического выскабливания и дообследования с применением допплерографии.
- Если показатель превышает 10 мм, то вдобавок к диагностическому выскабливанию полученный материал отправляется на гистологический анализ.
Детальный анализ показателей М-эхо по толщине и дням цикла и возможные патологии
| 8 мм | У женщин детородного возраста этот показатель норма — на 10 - 15 дне цикла. Если в анамнезе пациентки отсутствует гормональная терапия и отметка в 8 мм сохраняется после 15 дня цикла, это свидетельствует о гипоплазии. В этот случае велика вероятность отторжения оплодотворённой яйцеклетки. Для женщин постклимаксного периода такой показатель - свидетельство патологии. |
| 9 мм | Характерно для 15 - 21 дней стандартного цикла. При более коротком цикле 9 мм является нормой и в ранний период, при более длинном - в поздний. |
| 10 мм | Норма для второй фазы цикла. Обнаружение такого значения в первой фазе говорит о развитии гиперпластического или воспалительного процесса либо другой патологии. Для женщин в постменопаузе это является нормой только при прохождении заместительной гормональной терапии. |
| 11 - 12 мм | Также является нормой для второй фазы цикла. Это минимальное значение толщины эндометрия успешного вживления плодного яйца. Обнаруженная толщина 11 - 12 мм в первой фазе цикла или у женщин постклимаксного периода указывает на патологию. |
| 13 - 14 мм | Нормальная толщина после 15 дня цикла. Достижение этого значения раньше указывает на патологию. Необходимо дообследование. |
| 15 мм | Предельное значение толщины выстилающего слоя для детородного возраста. Его раннее достижение - подозрение на патологию. |
Где сделать УЗИ М ЭХО матки в Санкт-Петербурге, цена
p style=»text-align: justify;»> Пройти УЗИ матки на новом экспертном аппарате можно в клинике Диана в СПБ. Здесь же можно сдать мазки на флору, инфекции и анализ на гистологию. Мы работаем каждый день, в том числе и в праздники. Стоимость комплексного обследования малого таза, включающего ЭХО эндометрия матки — 1000 рублей.
Трансвагинальное УЗИ матки и яичников

Трансвагинальная диагностика подразумевает исследование внутренних органов женщины при помощи ультразвука. Трансвагинальное УЗИ матки предоставляет данные о состоянии всей репродуктивной женской системы — обследование незаменимо при изучении состояния яичников, матки и маточных труб, а также шейки матки.
Особенности трансвагинального исследования женских органов
Гинекологическое УЗИ матки и яичников проводится с использованием трансвагинального датчика. В процессе исследования он отделен от исследуемых органов только тонкой влагалищной стенкой, которая не может быть препятствием для ультразвуковых волн. Важен и радиус распространения ультразвука: если при трансабдоминальном УЗИ гинеколог просматривает орган сбоку, при вагинальном исследовании открывается вид снизу. Близость к матке позволяет получить более точную информацию и поставить правильный диагноз.

Сам датчик представляет собой стержень из пластика 12 см в длину и диаметром в 3 см. Рукоятка у него скошена, а на конце стержня есть небольшой канал с иглой. Благодаря такому строению становится возможным одновременное проведение биопсии — забора тканей для дальнейшего гистологического исследования.
Трансвагинальное УЗИ матки считается наиболее достоверным из всех методов ультразвуковой диагностики. Все из-за максимально короткого расстояния обследуемых органов от датчика.
Когда назначается УЗИ матки и яичников трансвагинальным методом
С появлением трансвагинального УЗИ возможности гинекологов и акушеров в области диагностики заболеваний значительно расширились. Этот метод не имеет себе равных, когда речь идет о своевременном обнаружении гинекологических заболеваний на начальном этапе развития.
Исследование внутренних органов трансвагинальным датчиком показано при:
- Появлении кровянистых выделений в середине менструального цикла.
- Выделениях из половых путей с запахом, необычной окраской и консистенцией.
- Слишком продолжительной или, наоборот, кратковременной менструации (менее 3-х или более 7-ми дней).
- Ноющих болях внизу живота, несвязанных с нормальной менструацией.
- Приеме гормональных препаратов, для контроля результатов лечения.
- Ощущении дискомфорта при половых контактах.
- Профилактическом осмотре у гинеколога, если женщина не посещала гинеколога несколько лет.
- Подозрении на внематочную беременность;
- Лечении болезней, связанных с нарушениями мочеиспускания — трансвагинальное УЗИ матки подходит и для обследования мочевого пузыря.
- Длительном ношении внутриматочной спирали с целью предотвращения возможных осложнений и инфекций.
- Бесплодии — ненаступлении беременности при условии нормальной половой жизни больше полугода.
Какие заболевания выявляет обследование
Трансвагинальное гинекологическое УЗИ легко диагностирует следующие заболевания и состояния женского организма:
- Кистозные образования (кисты) яичников.
- Воспаление в маточных трубах (гной, кровь).
- Эндометриоз шейки матки.
- Миома матки.
- Беременность.
- Злокачественные образования в матке.
- Полипоз эндометриального слоя (полипы).
- Рак яичников.
- Разрыв кисты.
- Аномальное развитие органов мочеполовой системы.
Метод трансвагинального УЗИ матки также с успехом применяется для определения качества процесса созревания фолликулов. Такое исследование позволяет вовремя обнаружить непроходимость маточных труб и степень данной патологии. Это очень важно при поиске подходящей методики лечения женского бесплодия.
Трансвагинальнальный датчик, вводимый во влагалище очень чуткий, поэтому метод применим в диагностике патологии в развитии плода при беременности и замершей беременности.
Подготовка к обследованию
Ничего особенного для проведения трансвагинального УЗИ матки не требуется. Единственное, что обязательно нужно сделать, — опустошить мочевой пузырь, чтобы орган не сдавливалвлагалище и матку. Женщинам, страдающим метеоризмом, примерно за час до процедуры следует принять препарат, уменьшающий газообразование («Смекта», «Эспумизан» и др.).
Обследовать внутренние женские органы трансвагинальным способом можно только у женщин, живущих половой жизнью. Для девственниц такое исследование неприемлемо — им подойдет трансабдоминальное УЗИ без введения датчика во влагалище.
Ещё одна альтернатива обследования — трансректальное УЗИ с введением датчика через прямую кишку.
В какой день менструального цикла можно идти на гинекологическое УЗИ
Женщинам перед записью на трансвагинальное УЗИ матки, следует обратить внимание на день менструального цикла.
Точность полученных результатов будет определяться правильным выбором даты проведения УЗИ в зависимости от последней овуляции. Обычно она происходит на 12-14 день после завершения месячных.
После овуляции состояние внутренних органов женщины меняется. Это происходит перед вероятным наступлением зачатия.
Исходя из цели исследования, назначают его на разное время:
- При плановом осмотре женских органов малого таза исследование проводится через 5-7 дней после месячных.
- При подозрении на эндометриоз — во второй половине цикла.
- При наличии воспалительных процессов в матке и органах малого таза — несколько раз в течение цикла.
- При необходимости проконтролировать процесс созревания фолликулов — также несколько раз за цикл.
- При появлении кровотечения, не относящегося к менструации, — экстренно в любое время.
- При беременности — только один раз в первом триместре.
На более поздних сроках трансвагинальную диагностику при беременности не проводят во избежание возможных осложнений и риска прерывания беременности.
Как проводится трансвагинальное УЗИ матки и яичников
Введение трансвагинального датчика (трансдьюсера) во влагалище — процедура абсолютно безболезненна при условии соблюдения некоторых правил.

- Перед обследованием женщина раздевается до пояса, снимая нижнюю часть одежды. Затем ложится на кушетку или кресло, как для гинекологического осмотра. Врач надевает на датчик презерватив и выдавливает сверху немного специального геля. С его помощью обеспечивается безболезненное введение прибора и более тесный контакт со стенками влагалища.
- Датчик неглубоко вводится во влогалище, не оставляя неприятных ощущений, если пациентка расслабилась. В процессе исследования внутренних органов специалист может немного менять положение датчика, двигая его в разные стороны. Это необходимо для получения более полной информации. В случае ощущения боли или дискомфорта необходимо сразу сообщить об этом врачу.
- Во время обследования нельзя напрягаться, шевелиться, разговаривать, пока врач сам не задаст вопросы.
Процедура длится примерно 15-20 минут, после чего женщина получает полную информацию о состоянии своей репродуктивной системы.
Для чего нужно вагинальное УЗИ при беременности?
При проведении ультразвуковой диагностики в первом триместре беременности часто используют именно трансвагинальный метод. Он позволяет диагностировать некоторые патологии еще на первом этапе и вовремя отреагировать на их появление.
С помощью трансдюсера врач устанавливает вероятность выкидыша или необходимость прерывания беременности, своевременно распознает отслойку плаценты и недостаточную толщину слоя матки, из которого она образуется, — хориона.
Использование трансвагинального метода обследования матки на поздних сроках беременности исключено из-за вероятности усиления тонуса матки, что может вызвать преждевременные роды. Беременным женщинам, начиная со 2-го триместра беременности делают 3Д УЗИ и 4Д УЗИ.
Как расшифровать результаты УЗИ матки
Для получения всей информации о состоянии половой системы женщина должна проконсультироваться со своим гинекологом. При расшифровке полученных результатов трансвагинального сканирования врач уделит особое внимание следующим характеристикам:
- Размеры матки и шейки матки.
- Локализацию (область расположения яичников) и их размеры.
- Расположение и параметры матки и ее шейки.
- Состояние видимой части маточных труб.
- Наличие жидкости в брюшной полости.
- Размеры и число созревших фолликулов.

Нормальные показатели состояния внутренних органов
Результаты исследования матки состоят из следующих данных:
- Антефлексио — нормальное расположение матки с наклоном кпереди.
- Ретрофлексия — особенность развития матки, не относящаяся к патологиям, но представляющая проблему при планировании беременности. Ретрофлексия может стать причиной внематочной беременности или бесплодия.
- Контуры матки в норме четкие и ровные . Небольшая неровность бывает из-за воспаления маточных мышц или близлежащих тканей. Нечеткий контур свидетельствует о наличии опухоли (доброкачественной или злокачественной).
- Размеры: 7 см в длину и 6 см в ширину, диаметр матки — около 4 см. Показатели меньше нормы означают «инфантильность матки», выше нормы — признак миомы, злокачественной опухоли или же беременности.
- Полость матки: однородная с ровными краями . Нечеткость контуров — признак эндометрита. Термин «гиперэхогенное образование» применяется по отношению к злокачественным опухолям, полипам и миоматозным узлам.
- Эхогенность стенок однородная , в противном случае возникает подозрение на опухоль.
Минимальный показатель толщины эндометрия в разные фазы цикла меняется и составляет:
Читайте также:
- Лимфома Ходжкина у беременной
- Обследование полости рта в стоматологии. Опрос в стоматологии.
- Биологическая теория опухолей. Биологические особенности опухолей.
- Доминантность и рецессивность генов. Виды генных заболеваний
- Хроническая головная боль при цереброваскулярных заболеваниях. Атеросклеротическая транзиторная ишемическая атака.
