Варианты фиксаторов мостовидных протезов. Особенности
Добавил пользователь Евгений Кузнецов Обновлено: 31.10.2025
Насколько важна фиксация коронки зуба и какие виды фиксации применяют?
В современной стоматологии сохранение натуральных зубов считается самой важной задачей. Для этого используют различные терапевтические и даже хирургические методы лечения. Установление искусственных коронок может быть самостоятельным методом, например, если наблюдается патологическое истирание эмали или частью лечения. Такое происходит при эндодонтическом вмешательстве. Из зуба удаляют пульпу (нерв), он становиться хрупким, коронку используют, чтобы защитить зуб от разрушения.
Показания
Показания для реставрации:
- значительные разрушения коронковой части;
- установка мостовидных протезов;
- патологическая стираемость эмали;
- депульпация;
- травмы.
Коронки изготавливают из металла, керамики и металлокерамики. Фарфоровые и пластмассовые коронки практически не применяются из-за хрупкости. Современные материалы отличаются особой прочностью и износостойкостью. Они рассчитаны на длительную эксплуатацию. Но срок службы, а также удобство коронки зависит еще от того, насколько хорошо она подошла и как крепко ее закрепили.
Фиксация зубных коронок
На определенных этапах ортопедического лечения возникает необходимость в использовании временных коронок. В таких случаях используют временную фиксацию коронок на специальный цемент или искусственную смолу. Основная особенность этих материалов в том, что снять временную конструкцию можно без труда. Адгезивные материалы легко счищаются, не оставляют следов.
Постоянная фиксация коронок в стоматологии бывает двух видов: цементная и винтовая. С развитием имплантологии стали разделять фиксацию на свои зубы и на импланты.
Установка коронки на свои зубы
Как бы сильно не был разрушен зуб, пока у него сохраняется корень, есть возможность восстановления. Как именно проводится реставрация, зависит от степени разрушения зуба. При незначительных разрушениях, единицу препарируют - убирают верхний слой, равный толщине коронки. Металлокерамические коронки состоят из 2-х слоев: металла и керамики, поэтому они требуют самого глубокого препарирования. Керамические коронки тоньше, удаляют небольшой слой твердых тканей. Коронки из циркония тонкие, слой снимают минимальный.
Если верхняя часть разрушена на 50% и более процентов, то проводится фиксация коронки штифтом. В канал вводится стержень из стекловолокна, который служит опорой для реставрации.
Этапы
После препарирования поверхности ортопед делает слепок челюстей, по которым в лаборатории штампуют или отливают коронку. Изготовление занимает несколько дней. Перед тем как установить конструкцию, проводят припасовку - проверяют как она подходит, есть ли дефекты. Коронка может быть слишком широкой, узкой, высокой. Припасовка помогает заметить недочеты и устранить их.
Реставрацию сначала устанавливают на временный цемент. Пациенту дают возможность привыкнуть к постороннему предмету во рту, понять, не мешает ли высота, не режет ли край десну. Только после этого конструкцию устанавливают на постоянный цемент.
- Перед фиксацией коронку обрабатывают специальным раствором, обезжиривают и высушивают.
- Далее, проводят обработку зуба антисептиком, остатки влаги удаляют эфиром или воздухом. В некоторых случаях проводят ретракцию десны нитью, чтобы четко обозначить место соединения искусственной коронки и твердых тканей.
- На стерильной пластинке смешивают компоненты для цемента.
- Тонкий слой цемента помещают внутрь реставрации и надевают ее на зуб.
- Излишки удаляют. Пациента просят посидеть с сомкнутыми зубами. Затем еще раз очищают поверхности, полоскают рот специальным раствором. На этом работа ортопеда завершается.
Материалы для фиксации коронок
Цемент для крепления реставраций должен выполнять 2 основные функции: надежно фиксировать коронку и заполнять микрозазоры между ней и дентином. В стоматологии применяют несколько разновидностей фиксирующих материалов:
- Стеклоиономерные цементы (СИЦ). Хороши тем, что обладают антикариозными свойствами, не боятся микропротеканий. Используются для конструкций из металла, с металлическим основанием и керамических.
- Стеклоиономерные цементы модифицированные композитом (СИЦМК). Простые в применении и очень прочные, такие материалы используются для реставраций из металла, циркония, дисиликата лития.
- Композитные. Самые современные материалы. Производят цементы затвердевающие в результате химической реакции, светового излучения и двойного отверждения. Подходят для фиксации металлокерамических коронок, циркониевых, керамических, из дисиликата лития.
Все эти группы подразделяются на многочисленные подгруппы и врач выбирает материал для крепления, исходя из геометрии зуба, материала коронки, клинического случая.
Стоматологические цементы применяются в течение долгого времени, они хорошо изучены, методики нанесения отработаны и несложны по сути. Эти материалы надежно фиксируют реставрации и способны служить длительное время.
Минусами цементов является то, что замешивание производится вручную, возможны ошибки в пропорциях. Это приводит к расцементированию. Избыток кислот отрицательно влияет на состояние дентина.
Протезирование на имплантах
На имплантах коронки закрепляют 2-мя способами: с помощью цемента или винта. Зависит это, в первую очередь, от вида имплантации и моделей имплантов, которые применяют. Но большую роль играют анатомические особенности и клинические проявления.
Цементная фиксация коронок на импланты имеет свои плюсы и минусы. Процесс закрепления реставрации на имплант с помощью цемента мало чем отличается от протезирования на натуральных зубах. Он прост, хорошо изучен, позволяет проводить фиксацию в сложных случаях, где винтовая потребовала бы огромных усилий и умений.
К минусам стоит отнести возможность периимплантита, который может вызвать избыток цемента. При использовании цемента, коронку невозможно отремонтировать, только менять.
Винтовая фиксация коронок на имплант исключает попадание цемента на ткани. Есть возможность ремонта и коррекции. Результаты соединения металла с металлом, без прослойки из цемента, лучше. Единая конструкция абатмента и коронки снижает риск инфекций.
Однако, припасовка протеза с винтовой фиксацией более тонкая, требует определенных навыков и цена на конструкции с винтами выше.
Вот почему выбор врача так важен. Квалифицированный имплантолог учитывает десятки деталей, прежде, чем выбрать способ имплантации, от которого зависит, винтовая фиксация коронки будет применятся или цементная, а опытный ортопед знает, как работать и с той и с другой.
Что делать, если коронка слетела
Не паниковать, промыть ее проточной водой и убрать в прохладное место, обернув тканью из хлопка.
Важно как можно быстрее попасть на прием к стоматологу. Препарированный зуб остро реагирует на любые раздражители, еда и питье становятся проблемой. Зуб под протезом хрупкий, может раскрошиться, если его не оградить от воздействий внешней среды.
Если сразу попасть на прием не получается, можно купить в аптеке стоматологический цемент и самостоятельно закрепить конструкцию. Мера эта временная, откладывать прием у специалиста не стоит.
Существует опасность того, что:
- цемент попадет на ткани, вызовет раздражение или спровоцирует воспаление;
- коронка плохо зафиксируется, будет риск ее проглотить;
- при неадекватной фиксации десна травмируется, может развиться травматический стоматит.
В клинике найдут причину происшествия и примут меры. Установят выпавшую коронку или изготовят новую.
Если зуб, с которого упала коронка болит, десна покраснела, отекла - нужно срочно обратиться к врачу.
Фиксация коронок и мостовидных протезов
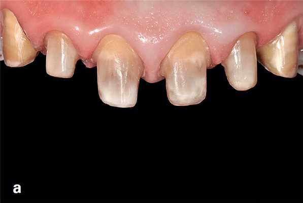
При фиксации на композитный цемент традиционных коронок и мостовидных протезов соблюдаются примерно те же требования, что и при фиксации виниров. Главным отличием является использование самополимеризующихся или двойного отверждения композитных цементов, а не фотоотверждаемых цементов. Самостоятельное отверждение этих цементов подразумевает необходимость более быстрого удаления их излишков, что требует от врача еще большей аккуратности, чтобы не травмировать мягкие ткани. Еще одним отличием является то, что адгезия этих реставраций осуществляется по большей части к дентину, с которым сцепление является менее надежным, чем с эмалью, несмотря на то, что ведутся постоянные исследования для решения этой проблемы. И хотя расположение финишной линии препарирования при изготовлении этих реставраций предпочтительно проводить выше или наравне с десневым краем для обеспечения здоровья мягких тканей, слегка субгингивальное препарирование также является приемлемым (Рис. 1).

Рисунок 1 (а) Вестибулярная фотография окончательного препарирования зубов под коронки на основе диоксида циркония.

Рисунок 1 (b) Вид с вестибулярной поверхности препарированных зубов в программе моделирования с помощью компьютера (CAD).

Рисунок 1 (с) Наложенное изображение планируемых реставраций, созданное на основе сканирования временных конструкций Обратите внимание на дизайн каркасов из диоксида циркония (Katana, Kuraray Noritake), которые как будто препарированы под виниры для последующей облицовки керамикой.

Рисунок 1 (d) Изображение в программе для компьютерной моделировки препарированных зубов.

Рисунок 1 (е) Наложенное изображение реставраций. Обратите внимание, что каркас из диоксида циркония с небной поверхности смоделирован в полную анатомию.

Рисунок 1 (f) Вид готовых коронок на основе диоксида циркония. Обратите внимание на керамическую облицовку вестибулярной поверхности и режущего края.

Рисунок 1 (g) После полной полимеризации цемента аккуратно извлекается ретракционная нить. Обратите внимание на частички цемента, приклеившиеся к нити.

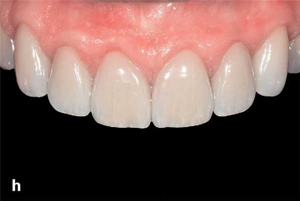
Рисунок 1 (h) Вид постоянных конструкций через несколько недель после фиксации.
Фиксация зубных протезов
Любая протезная конструкция для зубов должна обладать хорошей фиксацией, потому что без надежного прикрепления пользоваться ей будет невозможно. Искусственная «челюсть» будет слетать и мешать при разговоре. В таком случае человек не может нормально питаться и вести активную социальную жизнь.
Фиксация зубных протезов заложена в основе их конструкции. Врач-стоматолог при проектировании руководствуется клинической ситуацией. На надежность посадки влияет расположение оставшихся зубов, состояние слизистой оболочки, костной ткани.
Однако даже плотная посадка на челюсти со временем ослабляется, пациенту требуются дополнительные фиксирующие средства, а в некоторых случаях конструкцию переделывают.
Методы фиксации протезов
Для каждого вида зубного протеза предусмотрен свой способ прикрепления.
Принципиальный признак деления — возможность снять конструкцию, поэтому фиксация протеза на челюсти бывает:
Важным аспектом является количество отсутствующих зубов. Можно восстановить все зубные единицы сразу или только некоторые. Методы фиксации для полных и неполных протезных конструкций различаются.
Съемный неполный протез прикрепляется к слизистой оболочке и оставшимся зубам, как к опоре. Поэтому у таких реставраций должны быть приспособления для сцепления с опорными единицами, к примеру:
- кламмеры («крючки»);
- аттачмены (замки);
- телескопические коронки;
- магниты;
- балочные системы.
При полной адентии челюсти съемный аппарат не имеет крючков и замков, а фиксируется путем присасывания базиса к слизистой оболочке. Базис удерживается благодаря клапанному механизму.
Система крепления несъемного протеза:
- на опорные зубы — например, зубной мост удерживается на соседних зубных единицах;
- на имплантаты, вживляемые в костную ткань.
Средства для фиксации протезов
Для улучшения фиксирования съемных протезов при полной или частичной потере зубов применяют различные дополнительные средства. К ним относятся:
- кремы,
- гели,
- порошки,
- прокладки (полоски, пленки, вкладыши).
Улучшают адгезию базиса к слизистой оболочке. Средство наносят на внутреннюю часть пластины. За счет слюны вещество разбухает и создает липкий слой между протезным базисом и тканями полости рта.
Крем от геля отличается более плотной, густой текстурой. Обладатели съемных конструкций выбирают продукцию Корега, Protefix, President и Lacalut. Средства этой категории удерживают базис в среднем на 12 ч. Есть кремы с пролонгированным действием, например, President Garant, — до 36 ч.
В состав порошков входит альгинат натрия — это то вещество, которое содержится в оттискных массах для создания слепков. Порошок наносят на протез, смачивают водой и плотно прижимают к челюсти. При застывании порошок точно повторяет рельеф протезного ложа. Надежная фиксация сохраняется в течение 12 ч.
Выпускаются на верхнюю и нижнюю челюсть. Прокладки защищают слизистую оболочки от натертостей и воспалительных явлений, а также способствуют улучшению фиксирования. Их применяют на этапе адаптации к новой протезной конструкции.

Перед наложением на протезную поверхность вкладыш смачивают теплой водой. Прокладки Protefix, по заверениям производителя, обеспечивают надежное прикрепление на 8 ч. Бренд Fittydent предлагает фиксирующие вкладыши — это то же самое, что и прокладка. Обещанный срок фиксации — 12 ч.
Тот же принцип работы, что и у прокладок. Отличие в том, что пленку нужно вырезать самостоятельно под размер базиса.
Показания и противопоказания
Показания для фиксирующих средств
- неудовлетворительная фиксация съемных зубных аппаратов;
- натирание в период привыкания;
- попадание остатков пищи под базис.
Противопоказания
- аллергическая реакция на компоненты средства.
Преимущества и недостатки
- Надежное прикрепление к слизистой без горизонтального смещения.
- Сокращение периода адаптации.
- Защита от попадания частичек пищи.
- Более комфортное ношение протеза.
- Крема и прокладки растворяются под действием горячей пищи или напитков, фруктовых кислот.
- Ароматические добавки могут изменять вкус еды.
- У некоторых пациентов наблюдается непереносимость компонентов крема.
Фиксация несъемных протезов
Несъемные конструкции фиксируются на постоянную основу, то есть снять их самостоятельно невозможно. К таким ним относятся зубные коронки, виниры, мостовидные конструкции.
Опора на зубы
Зубные коронки, вкладки и накладки (виниры) устанавливают на стоматологический цемент непосредственно на эмаль и дентин. Никаких дополнительных средств для фиксации им не требуется.
Установка мостовидного протеза проходит на опорных зубах, которые подобно опорам моста удерживают полые коронки и промежуточную часть с искусственными зубами. Минус в том, что опоры необходимо обтачивать.
Опора на имплантаты
Зубной мост может крепиться к имплантатам. Они заменяют классические мостовидные и съемные конструкции.

Например, несъемный покрывной протез для имплантации по технологии All-on-4, заменяет полную съемную конструкцию. Главное преимущество — надежное прикрепление к челюсти. Человек может полноценно жевать и разговаривать без стеснения.
Зубные коронки и протезы на имплантатах могут фиксироваться двумя способами:
- С помощью винта — в имплантате и коронке есть шахта, в которую вкручивают винт.
- Крепление на цемент.
Конструкцию на цементе не получится снять без повреждения, поэтому предпочтительнее устанавливать коронки на винты.
Степень крепления несъемных коронок и мостов зависит от:
- качества подготовки полости рта к протезированию,
- мастерства зубного техника,
- качества материала,
- индивидуальной гигиены.
Фиксация съемных протезов
Съемные конструкции при частичной или полной адентии прикрепляются разными методами.
Съемные протезы при частичном отсутствии зубов
Для частичных протезов применяются различные дополнительные приспособления.
- Кламмеры. Это металлические крючки, которые обхватывают соседние единицы. Особая конструкция кламмера не допускает вертикальных и горизонтальных смещений базиса, а также удерживает его на своем месте. Недостаток кламмеров в том, что их можно сломать по неосторожности.
- Аттачмены. Представляют собой систему замков. На оставшиеся опоры устанавливают матрицу, которая соединяется с патрицей на протезе. Это очень надежное крепление.
- Телескопические коронки. Работают по принципу телескопа — на опорный зуб ставят внутреннюю коронку, а на протез — внешнюю. Такой способ обеспечивает сильную фиксацию.
- Магнитная фиксация. Один из пары магнитов устанавливают в протез, а другой — на зубы или имплантаты. Разнополюсные магниты притягиваются друг к другу и создают удерживающий эффект. Однако магниты плохо справляются с горизонтальным смещением конструкции.
- Балочная система. Одна из вариаций системы аттачменов, однако вместо замков устанавливается балка, которая служит матрицей. На протезе имеется патрица. Также балка может держаться на имплантатах. Такой вариант применяют для полностью беззубой челюсти.
В каждом клиническом случае врач подбирает оптимальный способ. Одним из наиболее надежных считается замковая система аттачменов — особенно если замки изготовлены индивидуально для пациента.
Съемные протезы при полном отсутствии зубов
Фиксация на беззубой челюсти представляет собой сложную клиническую задачу, ведь естественной опоры не осталось. Осложняет ситуацию то, что при длительном отсутствии зубных единиц костная ткань атрофируется.
За счет чего удерживается искусственная «челюсть» при полной адентии? Как правило, это сочетанное действие следующих факторов.
- Силы адгезии. Протез прилипает к слизистой оболочке за счет омывания слюной и создания влажной прослойки. Сама слизистая оболочка также обладает некоторой увлажненностью. Однако одной адгезии недостаточно.
- Клапанный механизм. Каплевидный край базиса создает особое функциональное образование — клапан. При надевании протеза слизистая оболочка полости рта прижимается, а затем восстанавливает свою форму. За счет этого наблюдается разница в давлении и создается подобие вакуума. Конструкция присасывается к слизистой.
- Анатомические характеристики. Выступающие структуры полости рта способствуют удержанию. Однако при атрофии костной ткани этот фактор теряет значение, что значительно ухудшает фиксацию.
Мнение эксперта
Ковалёв Алан ВадимовичСтоматолог-ортопед, Хирург-Имплантолог, Пародонтолог
Фиксация на нижней челюсти не представляет трудностей. Конструкция не испытывает сил гравитации и не спадает. Кроме того, сама форма зубного ряда предполагает больше точек соприкосновения с челюстной костью (анатомическая ретенция). Поэтому конструкции на нижней челюсти реже спадают и не вызывают дискомфорт.
С верхней челюстью возникает больше проблем, особенно если произошла значительная атрофия. Плоское небо не дает никакой анатомической ретенции, поэтому конструкция легко спадает.
Многие пациенты используют средства для улучшения адгезии, так как со временем рельеф протезного ложа меняется. Это происходит из-за атрофии костной ткани.
Варианты фиксаторов мостовидных протезов. Особенности
Заключительным этапом ортопедического лечения является фиксация конструкции. От правильности выбора цемента для постоянной фиксации будет зависеть результат протезирования. На современном стоматологическом рынке представлено огромное количество различных материалов для фиксации, различных по химическим, физическим и биологическим свойствам, а информация о них очень часто ограничена лишь инструкцией производителя, позволяющей определить в лучшем случае только область применения. Недостаток информации о материале нередко приводит врача в замешательство. Актуальность фиксирующих цементов в современной ортопедической стоматологии важна, так же как и выбор цемента по составу и способу подачи. Данная работа посвящена анализу свойств современных цементов для фиксации ортопедических конструкций, выявляются достоинства и недостатки каждой группы цементов.
1. Гумилевский Б.Ю., Жидовинов А.В., Денисенко Л.Н., Деревянченко С.П., Колесова Т.В. Взаимосвязь иммунного воспаления и клинических проявлений гальваноза полости рта // Фундаментальные исследования. - 2014. - № 7-2. - С. 278-281.
2. Данилина Т.Ф., Жидовинов А.В. Гальваноз как фактор возникновения и развития предраковых заболеваний слизистой оболочки полости рта // Волгоградский научно-медицинский журнал. - 2012. - № 3. - С. 37-39.
3. Данилина Т.Ф., Наумова В.Н., Жидовинов А.В. Литье в ортопедической стоматологии. Монография. - Волгоград, 2011. - С. 89-95.
4. Данилина Т.Ф., Жидовинов А.В., Порошин А.В., Хвостов С.Н. Профилактика гальваноза полости рта у пациентов с металлическими зубными протезами // Вестник новых медицинских технологий. - 2012. - Т. 19, № 3. - С. 121-122.
5. Данилина Т.Ф., Жидовинов А.В., Порошин А.В., Хвостов С.Н., Майборода А.Ю. Диагностические возможности гальваноза полости рта у пациентов с металлическими ортопедическими конструкциями // Современные наукоемкие технологии. - 2012. - № 2. - С. 49-51.
6. Данилина Т.Ф., Михальченко Д.В., Жидовинов А.В., Порошин А.В., Хвостов С.Н., Вирабян В. А. Способ диагностики непереносимости ортопедических конструкций в полости рта // Современные наукоемкие технологии. - 2013. - № 1. - С. 46-48.
7. Данилина Т.Ф., Михальченко Д.В., Жидовинов А.В., Порошин А.В., Хвостов С.Н., Вирабян В.А. Расширение функциональных возможностей потенциалометров при диагностике гальваноза полости рта // Вестник новых медицинских технологий. Электронное издание. - 2013. - № 1. - С. 260.
8. Данилина Т.Ф., Михальченко Д.В., Наумова В.Н., Жидовинов А.В. Литье в ортопедической стоматологии. Клинические аспекты. - Волгоград: Изд-во ВолгГМУ, 2014. - С. 184.
9. Данилина Т.Ф., Михальченко Д.В., Порошин А.В., Жидовинов А.В., Хвостов С.Н. Коронка для дифференциальной диагностики гальваноза // Патент на полезную модель РФ № 119601, заявл. 23.12.2011, опубл. 27.08.2012. Бюл. 24. - 2012.
10. Данилина Т.Ф., Наумова В.Н., Жидовинов А.В., Порошин А.В., Хвостов С.Н. Качество жизни пациентов с гальванозом полости рта//Здоровье и образование в XXI веке. - 2012. - Т. 14. № 2. - С. 134.
11. Данилина Т.Ф., Порошин А.В., Михальченко Д.В., Жидовинов А.В. Хвостов С.Н. Способ профилактики гальваноза в полости рта // Патент на изобретение РФ №2484767, заявл. 23.12.2011, опубл. 20.06.2013. -Бюл. 17. - 2013.
12. Данилина Т.Ф., Сафронов В.Е., Жидовинов А.В., Гумилевский Б.Ю. Клинико-лабораторная оценка эффективности комплексного лечения пациентов с дефектами зубных рядов // Здоровье и образование в XXI веке. - 2008. - Т. 10, № 4. - С. 607-609.
13. Жидовинов А.В. Обоснование применения клинико-лабораторных методов диагностики и профилактики гальваноза полости рта у пациентов с металлическими зубными протезами / Жидовинов А.В. // Диссертация. - ГБОУ ВПО «Волгоградский государственный медицинский университет». - Волгоград, 2013.
14. Жидовинов А.В. Обоснование применения клинико-лабораторных методов диагностики и профилактики гальваноза полости рта у пациентов с металлическими зубными протезами: автореф. дис. мед. наук. - Волгоград,. - 2013. - 23 с.
15. Жидовинов А.В., Головченко С.Г., Денисенко Л.Н., Матвеев С.В., Арутюнов Г.Р. Проблема выбора метода очистки провизорных конструкций на этапах ортопедического лечения // Современные проблемы науки и образования. - 2015. - № 3. - С. 232.
16. Жидовинов А.В., Павлов И.В. Изменение твердого неба при лечении зубочелюстных аномалий с использованием эджуайз-техники. В сборнике: Сборник научных работ молодых ученых стоматологического факультета ВолгГМУ Материалы 66-й итоговой научной конференции студентов и молодых ученых. Редакционная коллегия: С.В. Дмитриенко (отв. редактор), М.В. Кирпичников, А.Г. Петрухин (отв. секретарь). - 2008. - С. 8-10.
17. Мануйлова Э.В., Михальченко В.Ф., Михальченко Д.В., Жидовинов А.В., Филюк Е.А. Использование дополнительных методов исследования для оценки динамики лечения хронического верхушечного периодонтита // Современные проблемы науки и образования. - 2014. - № 6. - С. 1020.
18. Медведева Е.А., Федотова Ю.М., Жидовинов А.В. Мероприятия по профилактике заболеваний твёрдых тканей зубов у лиц, проживающих в районах радиоактивного загрязнения // Международный журнал прикладных и фундаментальных исследований. - 2015. - № 12-1. - С. 79-82.
19. Михальченко Д.В., Слётов А.А., Жидовинов А.В. Мониторинг локальных адаптационных реакций при лечении пациентов с дефектами краниофациальной локализации съемными протезами // Современные проблемы науки и образования. - 2015. - № 4. - С. 407.
20. Михальченко Д.В., Гумилевский Б.Ю., Наумова В.Н., Вирабян В.А., Жидовинов А.В., Головченко С.Г. Динамика иммунологических показателей в процессе адаптации к несьёмным ортопедическим конструкциям//Современные проблемы науки и образования. - 2015. - № 4. - С. 381.
21. Михальченко Д.В., Порошин А.В., Шемонаев В.И., Величко А.С., Жидовинов А.В. Эффективность применения боров фирмы «Рус-атлант» при препарировании зубов под металлокерамические коронки // Волгоградский научномедицинский журнал. Ежеквартальный научнопрактический журнал. - 2013. - № 1. - С. 45-46.
22. Михальченко Д.В., Филюк Е.А., Жидовинов А.В., Федотова Ю.М. Социальные проблемы профилактики стоматологических заболеваний у студентов // Современные проблемы науки и образования. - 2014. - № 5. - С. 474.
23. Поройский С.В., Михальченко Д.В., Ярыгина Е.Н., Хвостов С.Н., Жидовинов А.В. К вопросу об остеоинтеграции дентальных имплантатов и способах ее стимуляции / Вестник Волгогр. гос. мед. ун-та. - 2015. - № 3 (55). - С. 6-9.
24. Шемонаев В.И., Михальченко Д.В., Порошин А.В., Жидовинов А.В., Величко А.С., Майборода А.Ю. Способ временного протезирования на период остеоинтеграции дентального имплантата//Современные наукоемкие технологии. - 2013. - № 1. - С. 55-58.
25. Mashkov A.V., Sirak S.V., Mikhalchenko D.V., Zhidovinov A.V. Variability index of activity of masticatory muscles in healthy individuals within the circadian rhythm. International Journal Of Applied And Fundamental Research. - 2016. - № 5.
26. Matveev S.V., Sirak S.V., Mikhalchenko D.V., Zhidovinov A.V. Rehabilitation diet patients using the dental and maxillofacial prostheses. International Journal Of Applied And Fundamental Research. - 2016. - № 5.
27. Matveev S.V., Sirak S.V., Mikhalchenko D.V., Zhidovinov A.V. Selection criteria fixing materials for fixed prosthesis. International Journal Of Applied And Fundamental Research. - 2016. - № 5.
28. Mikhalchenko D.V., Sirak S.V., Yarigina E.N., Khvostov S.N., Zhidovinov A.V. The issue of a method of stimulating osteoitegratsii dental implants. International Journal Of Applied And Fundamental Research. - 2016. - № 5.
29. Mikhalchenko D.V., Sirak S.V., Zhidovinov A.V., Matveev S.V. Reasons for breach of fixing non-removable dentures. International Journal Of Applied And Fundamental Research. - 2016. - № 5.
30. Mikhalchenko D.V., Siryk S.V., Zhidovinov A.V., Orehov S.N. Improving the efficiency of the development of educational material medical students through problem-based learning method in conjunction with the business game.. International Journal Of Applied And Fundamental Research. - 2016. - № 4.
31. Mikhalchenko D.V., Siryk S.V., Zhidovinov A.V., Orekhov S.N. Optimization of the selection of provisional structures in the period of osseointegration in dental implants.. International Journal Of Applied And Fundamental Research. - 2016. - № 4.
32. Mikhalchenko D.V., Zhidovinov A.V., Mikhalchenko A.V., Danilina T.F. Тhe local immunity of dental patients with oral galvanosis // Research Journal of Pharmaceutical, Biological and Chemical Sciences. - 2014. - Vol. 5, № 5. - P. 712-717.
33. Sletov A.A., Sirak S.V., Mikhalchenko D.V., Zhidovinov A.V. Treatment of patients with surround defects mandible. International Journal Of Applied And Fundamental Research. - 2016. - № 5.
34. Virabyan V.A., Sirak S.V., Mikhalchenko D.V., Zhidovinov A.V. Dynamics of immune processes during the period adaptation to non-removable prosthesis. International Journal Of Applied And Fundamental Research. - 2016. - № 5.
35. Zhidovinov A.V., Sirak S.V., Sletov A.A., Mikhalchenko D.V. Research of local adaptation reactions of radiotherapy patients with defects of maxillofacial prosthetic with removable. International Journal Of Applied And Fundamental Research. - 2016. - № 5.
Окончательная фиксация ортопедических конструкций на цемент является заключительным клиническим этапом ортопедического лечения, и результат протезирования при использовании любой несъемной конструкции существенно зависит от правильности выбора цемента для фиксации 3. Сегодня на рынке имеется большой выбор цементов, различных по химическим, физическим и биологическим свойствам, а информация о них очень часто ограничена лишь инструкцией производителя, позволяющей определить в лучшем случае только область применения, например, подходит ли данный цемент для фиксации всех типов реставраций или ограничен каким-то определенным видом протезирования. В связи с этим зачастую возникают трудности в выборе оптимального материала для данной конкретной ситуации 5. Данный обзор является анализом современных источников литературы по использованию различных фиксирующих цементов.
Целью данной статьи является изучение достоинств и недостатков материалов для постоянной фиксации ортопедических конструкций.
Многообразие составов материалов, применяемых для фиксации несъемных зубных протезов, связано с попыткой получения стоматологического цемента, отвечающего требованиям, предъявляемым к данной группе материалов [8, 9, 10].
Фиксирующие материалы должны быть стойкими к воздействию внутриротовой среды, жесткими, чтобы выдержать напряжение на поверхности раздела между зубом и конструкцией, биологически совместимыми. Цементы должны обладать постоянством объёма, высокой прочностью на растяжение, сдвигом, сжатием, низкой теплопроводностью. Материалы данной группы должны иметь соответствующее рабочее время и время затвердевания, высокую прозрачность, чтобы не изменять цвет протезного материала, достаточную текучесть, чтобы легко выдавливался избыток материала, способность смачивать поверхности протеза и зуба, затекать в их неровности, заполнять и герметизировать зазоры между восстановлением и зубом. Фиксирующие материалы должны обеспечивать создание минимальной толщины пленки, прочную связь с тканями зуба за счет механического сцепления и адгезии, способствовать профилактике кариеса 14.
В номенклатурном перечне инструментов и материалов, разработанном Международной организацией стандартов (ISO), определены технические требования к материалам для фиксации. Они представлены в таблице.
Технические требования к материалам для фиксации (по ISO)
Прочность на сжатие
Показатель растворимости и дезинтеграции
Тип фиксирующего материала напрямую влияет на долговечность ортопедической конструкции. Они должны точно соответствовать конкретной клинической ситуации и тем материалам, из которых изготовлена фиксируемая конструкция. Разные типы цементов отличаются по технике применения, времени отверждения и необходимости использования дополнительных компонентов 18.
В настоящее время можно выделить 5 типов материалов для постоянной фиксации ортопедических конструкций:
- цинкфосфатный цемент (ЦФ)
- поликарбоксилатный цемент (ПК)
- стеклоиономерный цемент (СИ)
- полимермодифицировнные стеклоиномерные цементы (ПМСЦ)
Все вышеперечисленные материалы отличаются по надежности, химическому составу, показаниям к применению, технике нанесения и стоимости [20, 21].
Цинкфосфатные цементы - это самая старая группа цементов, давно и успешно применяемых в стоматологической практике. Чаще всего цинк-фосфатные цементы применяются в качестве материала для фиксации при цементировании металлических, металлокерамических коронок и мостовидных протезов, хотя его также используют в других целях, таких как фиксация ортодонтических аппаратов 22.
Эти цементы демонстрируют ряд положительных качеств:
- обладают четким (острым), хорошо определяемым твердением
- имеют достаточно высокую прочность на сжатие, которая позволяет выдерживать нагрузки, возникающие при конденсации амальгамы
- являются дешевым продуктом.
Легкость в работе или технологичность, а также их приемлемые свойства при фиксации несъемных зубных протезов, сделали цинк-фосфатные цементы очень популярными материалами среди стоматологов-практиков на протяжении целого века. Однако эти цементы имеют также и следующие недостатки [26, 29, 30]:
- могут оказывать раздражающее действие на пульпу зуба из-за низкого уровня рН
- не обладают антибактериальным действием
- не обладают адгезионными свойствами
- относительно растворимы в среде полости рта [27]
Поликарбоксилатные цементы применяют в ситуациях, когда временные цементы не обеспечивают достаточной ретенции. Они являются самыми непрочными цементами [28, 31, 32].
Положительные свойства поликарбоксилатных цементов:
- обеспечивает химическую адгезию к твердым тканям зуба;
- образует прочную связь с металлами;
- обладает меньшей токсичностью в отношении к пульпе по сравнению с фосфат-цементом);
- имеет высокую биосовместимость с тканями зуба.
Отрицательные свойства поликарбоксилатных цементов:
- растворяется в ротовой жидкости;
- имеет короткое рабочее время;
- слабо выделяет фтор.
В последние годы наиболее широко стали применяться стеклоиономерные цементы (СИЦ), обладающие преимуществами в сравнении с другими видами цементов на водной основе: прочность на разрыв, сдвиг и сжатие, а также способность к выделению фтора. СИЦ обладают ингибирующим эффектом на адгезию и размножение кариесогенных бактерий полости рта, образуют небольшую толщину пленки, способны образовывать прямую химическую связь как с дентином, так и с эмалью, при этом значительно увеличивают микротвердость в поверхностных и в подповерхностных слоях твердых тканей. Кроме того, на краевую адаптацию стеклоиономерных цементов не оказывает влияние термоциклирование. К недостаткам цементов этой группы можно отнести невысокую адгезию и плохое краевое прилегание при фиксации несъёмных протезов на депульпированные зубы и металлические штифтовые вкладки, появление болевых ощущений в первые минуты после контакта материала с тканями витального зуба [32, 33, 34].
Полимермодифицированные стеклоиономерные цементы - это самое последнее поколение цементов, которые нашли широкое применение благодаря хорошим ретенционным свойствам. Они сочетают в себе качества стеклоиономерных и композитных цементов.
Первые полимермодифицированные стеклоиономерные цементы обладали способностью к повышенному поглощению воды после затвердевания, приводящему к их расширению [8]. В результате этого возникали трещины цельнокерамических реставраций, ламинатных виниров и в некоторых случаях даже переломы корней зубов, в которых фиксация литых культевых штифтовых вкладок проводилась на полимермодифицированные стеклоиономерные цементы [35].
Композитные цементы - их особенностью является способность к изменению вязкости, прочности, выдерживающая значительные нагрузки, их возможность монолитно соединяться с тканями зуба, небольшая толщина пленки и вероятность модификации цвета.
Являясь структурно схожими с композитами для восстановления зубов, композитные цементы отличает вязкость, размер частиц наполнителя и степень заполнения матрицы. Их легко замешивать, и они просты в употреблении, обеспечивая практическую нерастворимость, а следовательно, длительную ретенцию конструкций. Но они требуют более тщательного выполнения всех этапов бондинга, включая протравку, нанесение адгезива и окончательную цементировку. Доказано, что методы фиксации с помощью композитных цементов позволяют повысить надежность несъемных ортопедических конструкций, сделать лечение менее инвазивным, уменьшить постоперационную чувствительность дентина [6, 7].
Результаты исследования и их обсуждение
Рассмотренные достоинства и недостатки материалов для постоянной фиксации ортопедических конструкций позволяют более точно выбирать материал для фиксации в зависимости от конкретного клинического случая. В настоящее время не существует одного универсального фиксирующего материала, который смог бы удовлетворить все требования врача стоматолога, и мог бы применяться для фиксации различных видов несъемных конструкций в различных клинических случаях.
Выбор материала для фиксации ортопедической конструкции является важной задачей, решение которой направлено на повышение качества протезирования и долговечность установленной конструкции.
Исходя из вышеизложенного, необходимо отметить тот факт, что проблема выбора фиксирующего материала, используемого при постановке несъемных конструкций, из различных конструкционных материалов и в зависимости от тканей протезного ложа, остается достаточно актуальной и важной задачей для ортопедической стоматологии.
Методы фиксации зубных протезов
Зубное протезирование восстанавливает зубной ряд и его функции в случае утери нескольких или всех зубов. Вернуть себе возможность нормально жевать, улыбаться и говорить без опаски меняет жизнь пациентов к лучшему. Однако, успех протезирования во многом зависит от того, как крепятся протезы зубов и насколько прочно это крепление.
Каждый вид ортопедической реставрации имеет свой способ фиксации, а то и несколько.
Задача ортопеда - обеспечивать не только фиксацию зубных протезов (удержание его во рту в покое), но и стабилизацию (удержание во время работы челюстей).
Методы фиксации протезов при полном отсутствии зубов
Удержание пластиночного съемного протеза во рту в покое происходит за счет сочетания нескольких факторов:
- Адгезии (прилипания, сцепления). При наличии влажной прослойки, 2 соприкасающихся объекта прилипают друг к другу. Влажность обеспечивает слюна. Ее вязкость снижает или увеличивает адгезию. Однако, одной этой силы недостаточно, чтобы удержать конструкцию.
- Анатомической ретенции. Выступающие части органов ротовой полости ограничивают движение реставрации. При большой потере костной ткани ретенция значительно снижается.
- Клапанной фиксации. При надевании, протез слегка продавливает слизистую, вытесняя воздух из-под базиса (основы). Слизистая возвращает свою форму и не дает воздуху поступить обратно. Образуется вакуум. Из-за разницы в давлении реставрация присасывается.
Это основной способ, благодаря которому, держатся верхние протезы. С нижними конструкциями дело обстоит сложнее. Чтобы их зафиксировать, часто приходится прибегать к дополнительным средствам.
Средства, повышающие силу фиксации
Установка съемных зубных протезов и привыкание к ним, проходят легче при использовании искусственных адгезивов. Применение адгезивных средств увеличивает стабильность протеза и служит профилактикой воспаления протезного ложа. Исследования подтверждают, что использование адгезивов сокращает период привыкания к искусственной челюсти с 15-30 до 5-8 дней [1] .
Чтобы усилить фиксацию и стабилизацию протеза применяют:
- Адгезивный порошок. Порошок наносят на влажную поверхность, протез вставляют в рот и сильно сжимают зубы на несколько секунд. Для лучшей фиксации съемного зубного протеза рекомендуется воздержаться от приема пищи сразу после установки реставрации. Носить реставрацию на порошке можно до 12 часов.
- Кремы и гели. Принцип действия одинаков, просто у крема более плотная структура. Адгезивное вещество наносят на внутреннюю поверхность протеза. Во рту, под воздействием слюны крем (гель) расширяется, образуя прокладку между слизистой и поверхностью реставрации. Действуют адгезивы от 12 до 24 часов.
- Прокладки. Прокладки, как и другие адгезивы, позволяют надевать зубные протезы без страха их смещения во время еды или кашля. Перед употреблением, прокладки держат в теплой воде в течении 5 секунд. Затем помещают на базис и конструкцию вводят в ротовую полость.
- Пленки. Принцип действия такой же, как у прокладок. Пленку подгоняют под основу протеза, делают надрезы для лучшего прилегания, накладывают на основу и протез помещают в рот. Срок действия - до 10 часов, затем менять пленку и надевать реставрацию нужно снова.
Методы фиксации частичных съемных протезов
Фиксация частичных протезов происходит под воздействием тех же факторов, что и полных: адгезии, анатомической ретенции и клапанного эффекта. Однако у частичных конструкций есть дополнительные механизмы, которые помогают фиксировать зубные протезы. Это делает конструкции более устойчивыми, повышает их стабильность.
Так при установке съемных зубных протезов бюгельного типа используют:
- Кламмеры. Существует несколько видов кламмеров, но общее действие у них одно - закрепить реставрацию на опорных зубах и перераспределить давление на них. Частичные пластиночные протезы также крепятся кламмерами.
- Аттачменты. Это небольшие замочки, которые соединяются по типу матрицы и патрицы. Крепления бывают внутризубные (более сложный вид) или внезубные. Ставят зубные протезы на подвижные и неподвижные аттачменты. Замковые крепления более эстетичны, чем кламмерные, но для них требуется обточка опорных зубов.
- Телескопическая система фиксации. Крепить зубные протезы телескопическим способом начали относительно недавно, но метод уже положительно себя зарекомендовал. Суть его заключается в том, что внутреннюю коронку надевают на опорный зуб, а сверху закрепляют внешнюю коронку, которая соединена с бюгелем. Это самый эстетичный и стабильный вид фиксации.
- Балочная фиксация. Патрицей выступает балка, шинирующая зубы во рту, а матрицей - соответствующее ей углубление на внутренней стороне протеза. Наличие балки повышает устойчивость оставшихся зубов и усиливает фиксацию. Балочные конструкции служат хорошо и долго.
- Магнитная система фиксации. Метод основан на свойстве полюсов с противоположными зарядами притягиваться, а с одинаковым отталкиваться. Магниты устанавливают в базис протеза и в специальные импланты. Или в протез противоположной челюсти. Метод не нашел широкого применения из-за того, что притяжение ослабевает при боковых движениях.
Фиксация условно-съемных протезов
Условно-съемными называют конструкции, которые снять возможно, но для этого требуются определенные манипуляции. Лучше такую процедуру проводить у стоматолога.
Крепятся зубные протезы такого типа на импланты. Способов крепления 2: кнопочный и балочный.
Балочный способ такой же, как при бюгельном протезировании. Балка выполняет роль патрицы и крепится к имплантам. А матрица находится в теле протеза. За счет балки происходит равномерное распределение жевательной нагрузки.
Кнопочный метод тоже использует патрицу и матрицу, но при этом балка отсутствует. Роль патрицы выполняет абатмент (переходной элемент).
Крепление несъемных протезов
Протезы, которые невозможно снять, не повредив, называют несъемными.
К ним относятся:
- Коронки. Помогают сохранить сильно разрушенные зубы, восстановить промежутки в зубном ряду.
- Мостовидные протезы. Призваны восстановить функцию утраченного зуба. К сожалению, кроме обточки зубов под коронки, у мостов есть еще один недостаток. Костная ткань при таком протезировании продолжает убывать, принося функциональные и эстетические изменения.
- Протезы на имплантах (при винтовой фиксации протеза, его можно снимать в кабинете стоматолога). Имплант полностью берет на себя функции зуба. Останавливает потерю костной ткани, принимает жевательную нагрузку.
- Микропротезы (виниры). Принадлежат к эстетической стоматологии, их главная цель - восстановление улыбки
За исключением имплантации, ставится протез зуба при данных способах на препарированную единицу. Для виниров степень препарирования небольшая, снимают только верхний слой эмали.
Для коронок зуб обтачивают тем сильнее, чем толще коронка. Самые толстые коронки из металлокерамики. Из современных керамических составов коронки получаются прочными, легкими и тонкими. Самые тонкие изделия - из диоксида циркония. Он очень твердый, выдерживает нагрузки при минимальной толщине.
Если коронковая часть зуба сильно разрушена, фиксировать зубные протезы приходится на штифте или культевой вкладке. Это стержень из прочного материала, из стекловолокна или металла, который вводят в зубной канал. Он служит опорой для реставрации.
Как ставят протезы зубов на импланты
Есть несколько способов:
- при одиночных дефектах, на имплант ставится протез зуба в виде коронки;
- при дефектах нескольких зубов можно установить мостовидный протез;
- при полном отсутствии зубов протезируется вся челюсть.
Количество имплантов при последнем способе зависит от протокола. Это может быть 4 или 6 имплантов, а при использовании метода Resmile количество имплантов определяет врач, исходя из конкретного клинического случая и комбинирует штифты разного вида для наиболее качественного результата.
Фиксировать зубные протезы на импланты можно двумя способами:
- На цементе. Современные стоматологические цементы надежно закрепляют реставрации и служат продолжительное время.
- На винтах. Это более сложный вид фиксации, требует большого мастерства от врача. Главным достоинством установки зубных протезов на винты, является возможность снять конструкцию без повреждения, провести необходимые манипуляции, а потом поставить обратно.
От того, насколько прочно зафиксирован протез, зависит время привыкания и удобство использования. Способ фиксации подбирает ортопед, опираясь на свой опыт и учитывая конкретные проблемы пациента.
[1] Мирсаев Т.Д. “ Средства, улучшающие адгезию съемных конструкций зубных протезов” Издательский дом “Тираж” 2019
Читайте также:
- Аплазия кроветворной ткани. Абберации клеток костного мозга при острой лучевой болезни
- Ведение больных с периодическим параличом. Профилактика периодического паралича.
- Выбор операции при разрыве акромиально-ключичного сустава
- Причины и клиника множественного рака толстого кишечника. Диагностика множественных опухолей толстой кишки
- Боли и парестезии в верхних конечностях при ущемлениях. Анамнез при ущемлениях.
