Варианты нормы лучевой анатомии локтевого сустава
Добавил пользователь Валентин П. Обновлено: 22.11.2025
Переломы дистального отдела лучевой кости руки являются наиболее распространенными переломами предплечья и составляет около 16% от всех переломов костей скелета. Как правило, вызваны падением на вытянутую руку. Описание и классификация этих переломов основывается на наличии осколков, линии перелома, смещении отломков, внутрисуставной или внесуставного характера и наличием сопутствующего перелома локтевой кости предплечья.
Неправильное сращение дистального отдела лучевой кости после нелеченных переломов, либо вторично сместившихся, достигает 89% и сопровождается угловой и ротационной деформацией области лучезапястного сустава, укорочением лучевой кости и импакцией (упирается) локтевой кости в запястье. Оно вызывает среднезапястную и лучезапястную нестабильность, неравномерное распределение нагрузки на связочный аппарат и суставной хрящ лучезапястного и дистального лучелоктевого суставов. Это обусловливает боль в локтевой части запястья при нагрузке, снижение силы кисти, уменьшение объема движений в кистевом суставе и развитие деформирующего артроза.
Рентген анатомия лучезапястного сустава
Наклон суставной поверхности лучевой кости в прямой проекции в норме составляет 15-25º. Измеряется он по отношению перпендикуляра оси лучевой кости и линии вдоль суставной поверхности. Изменение угла наклона суставной поверхности нижней трети лучевой кости является признаком перелома, как свежего так и давно сросшегося.
Ладонный наклон измеряется в боковой проекции по отношению касательной линия проведенной по ладонному и тыльному возвышениям суставной поверхности лучевой кости к осевой линии лучевой кости. Нормальный угол составляет 10-15º. Явное изменение углов является признаком перелома.
Виды переломов луча (краткая классификация)
Перелом дистального отдела лучевой кости почти всегда происходит около 2-3 см от лучезапястного сустава.
Перелом Коллеса
Один из наиболее распространенных переломов дистального отдела лучевой кости - «перелом Коллеса», при котором отломок (сломанный фрагмент) дистального отдела лучевой кости смещен к тыльной поверхности предплечья. Этот перелом был впервые описан в 1814 году ирландским хирургом и анатомом, Авраамом Коллесом.
Перелом Смита
Роберт Смит описал подобный перелом лучевой кости в 1847 году. Воздействие на тыльную поверхность кисти считается причиной такого перелома. Перелом Смита - это противоположность перелома Коллеса, следовательно, дистальный отломок смещается к ладонной поверхности.
Классификация переломов лучевой кости руки:
Другая классификация переломов лучевой кости:
• Внутрисуставной перелом: Перелом луча, при котором линия перелома распространяется на лучезапястный сустав.
• Внесуставных переломов: Перелом, который не распространяется на суставную поверхность.
• Открытый перелом: Когда имеется повреждение кожи. Повреждение кожи может быть, как снаружи до кости (первично открытый перелом), так и повреждение костью изнутри (вторично открытый перелом). Эти виды переломов требуют незамедлительного медицинского вмешательства из-за риска инфекции и серьезных проблем с заживлением раны и сращением перелома.
• Оскольчатый перелом. Когда кость сломана на 3 и более фрагментов.
Важно, классифицировать переломы лучевой ксоти руки, поскольку каждый вид перелома нужно лечить, придерживаясь определенных стандартов и тактики. Внутрисуставные переломы, открытые переломы, оскольчатые переломы, переломы лучевой кости со смещением нельзя оставлять без лечения, будь то закрытая репозиция (устранение смещения) перелома или операция. Иначе функция кисти может не восстановиться в полном объеме.
Иногда, перелом лучевой кости сопровождается переломом соседней - локтевой кости.
Причины переломов луча
Наиболее распространенной причиной переломов дистального отдела лучевой кости является падения на вытянутую руку.
Остеопороз (заболевание, при котором кости становятся хрупкими и более вероятно ломкими при значительных нагрузках, ударах) может способствовать перелому при незначительном падении на руку. Поэтому чаще данные переломы возникают у людей старше 60 лет.
Перелом лучевой кости, безусловно, может произойти и у здоровых, молодых людей, если сила воздействия достаточно велика. Например, автомобильная аварии, падения с велосипеда, производственные травмы.
Симптомы переломов лучевой кости руки
Перелом дистального отдела лучевой кости обычно вызывает:
• Немедленную боль;
• Кровоизлияние;
• Отек;
• Крепитация отломков (хруст);
• Онемение пальцев (редко);
• Во многих случаях сопровождается смещением отломков и как следствие деформации в области лучезапястного сустава.
Диагностика переломов
Большинство переломов дистального отдела лучевой диагностируются обычной рентгенографией в 2-х проекциях. Компьютерная томография (КТ) необходима при внутрисуставных переломах.
Задержка диагностики переломов дистального отдела лучевой кости руки может привести к значительной заболеваемости.
Компьютерная томография (КТ) используется для планирования оперативного ремонта, обеспечивая повышенную точность оценки выравнивания суставной поверхности при внутрисуставном переломе. Так же в послеоперационном периоде, для определения состоявшегося сращения перелома.
После травмы запястья необходимо исключить перелом, даже если боль не очень интенсивная и нет видимой деформации, просто в данной ситуации экстренности нет. Нужно приложить лед через полотенце, придать руке возвышенное положение (согнуть в локте) и обратиться к травматологу.
Но если травма очень болезненна, запястье деформировано, имеется онемение или пальцы бледные, необходимо в экстренном порядке обратиться в травматологический пункт или вызвать скорую помощь.
Для подтверждения диагноза выполняются рентгенограммы лучезапястного сустава в 2-х проекциях. Рентген являются наиболее распространенным и широко доступным диагностическим методом визуализации костей.
Лечение переломов лучевой кости
Лечение переломов любых костей состоит оценки характера перелома и выборе тактики.
Цель состоит в том, чтобы вернуть пациента до уровня функционирования. Роль врача в том, чтобы разъяснить пациенту все варианты лечения, роль пациента в том, чтобы выбрать вариант, который лучше всего отвечает его потребностям и пожеланиям.
Есть много вариантов лечения перелом дистального отдела лучевой кости. Выбор зависит от многих факторов, таких как характер перелома, возраст и уровень активности пациента. Об этом подробнее описано в лечении.
Консервативное лечение переломов луча
Переломы луча в типичном месте без смещения, как правило фиксируются гипсовой или полимерной повязкой во избежание смещения. Если перелом лучевой кости со смещением, то отломки должны быть возвращены в их правильное анатомическое положение и фиксированы до сращения перелома. Иначе есть риск ограничения движений кисти, быстрейшего развития артроза поврежденного сустава.
Распространенное у обывателя понятие «вправление перелома» -неверное. Устранение смещения отломков правильно называть -репозиция.
После репозиции костных отломков рука фиксируется гипсовой лонгетой в определенном положении (зависит от вида перелома). Лонгетная повязка обычно используется в течение первых нескольких дней, в период нарастания отека. После этого имеется возможность поменять лонгету на гипсовую циркулярную повязку или полимерный бинт. Иммобилизация при переломах луча продолжается в среднем 4-5 недель.
В зависимости от характера перелома могут понадобиться контрольные рентгенограммы через 10, 21 и 30 дней после репозиции. Это необходимо для того, чтобы вовремя определить вторичное смещение в гипсе и принять соответствующие меры: повторное устранение смещения или операция.
Повязка снимается через 4-5 недель после перелома. Назначается ЛФК лучезапястного сустава для наилучшей реабилитации.
Хирургическое лечение переломов луча
Иногда смещение настолько критично и нестабильно, что не может быть устранено или держаться в правильном положении в гипсе. В этом случае может потребоваться чрескожная фиксация спицами или операция: открытая репозиция, накостный остеосинтез пластиной и винтами. В ходе этой операции устраняют смещение отломков и скрепляют кость металлической конструкцией, выбор которой определяется характером перелома. Операционный доступ: 1. Тыльный; 2. Ладонный. Сочетание обоих доступов. Положение пациента на спине. Обезболивание: проводниковая анестезия. Операция выполняется в кратчайшие сроки с использованием современных методик и имплантов. Импланты производства Швейцария и Германия. Материал имплантов: титан или медицинская сталь. Все операции ведутся под контролем ЭОПа (электронно-оптического преобразователя).
Закрытая репозиция и чрескожная фиксация спицами
Была популярна на протяжении многих лет и продолжает оставаться одним из самых популярных методов в международном масштабе.
Сначала врач закрыто устраняет смещение отломков, затем через отломки в определенных (учитывая характер перелома) направлениях просверливаются спицы.
Плюсы: малая травматичность, быстрота, легкость, дешевизна, отсутствие разреза и как следствие послеоперационного рубца
Минусы: невозможность начала ранней разработки лучезапястного сустава, вследствие чего риск возникновения необратимой контрактуры (отсутствие движений в суставе).
Открытая репозиция перелома лучевой кости
Открытая репозиция накостный остеосинтез пластиной и винтами. Операция включает в себя хирургический разрез, доступ к сломанной кости аккуратно отводя сухожилия, сосуды и нервы, мобилизацию костных отломков, устранение смещения и фиксация в правильном положении. Сломанные кости фиксируются титановыми пластинами, ввиду этого пациенту разрешается ранняя разработка движений в лучезапястном суставе.
До операции:
После операции:
До операции:
После операции
Восстановление после перелома лучевой кости
Поскольку виды переломов дистального отдела лучевой кости настолько разнообразны, как и методы их лечения, то и реабилитация различна для каждого пациента.
Устранение боли
Интенсивность боли при переломе постепенно стихает в течение нескольких дней.
Холод местно в первые сутки по 15 минут через каждый час, покой, возвышенное положение руки (согнутую в локте на уровне сердца) и НПВП во многом устраняют боль полностью. Но болевой порог у всех разный и некоторым пациентам необходимы сильные обезболивающие препараты, приобрести которые можно только по рецепту.
Возможные осложнения
При консервативном лечении гипсовой или полимерной повязкой необходимо следить за кистью. Наблюдать, не отекают, не бледнеют ли пальцы, сохранена ли чувствительность кисти.
• Если давит гипс это может быть признаком сдавления мягких тканей, сосудов, нервов и повлечь за собой необратимые последствия. При появлении подобных симптомов необходимо срочно обратиться к врачу.
• Нагноение в области металлоконструкции (крайне редко);
• Повреждение сосудов, нервов, сухожилий (ятрогенное осложнение);
Реабилитация после перелома лучевой кости руки
Большинство пациентов возвращаются к своей повседневной деятельности после перелома дистального отдела лучевой кости через 1,5 - 2 месяца. Безусловно сроки реабилитации после перелома лучевой кости зависят от многих факторов: от характера травмы, метода лечения, реакции организма на повреждение.
Почти все пациенты имеют ограничение движений в запястье после иммобилизации. И многое зависит от пациента, его настойчивости в восстановлении амплитуды движений при переломе лучевой кости. Если пациент прооперирован с использованием пластины, то как правило врач назначает ЛФК лучезапястного сустава уже со первой недели после операции.
Рентген локтевого сустава: что показывает и как правильно сделать?
Рентген локтевого сустава является одним из самых популярных и эффективных методов диагностики при подозрении на развитие какой-либо суставной патологии. На рентгеновских снимках можно увидеть:
- разрастание костной ткани по краям хряща локтевого сустава;
- нарушение структуры поверхности костной ткани сустава;
- локализацию отложений кальция.
Перелом
На рентгеновских снимках такая патология, как перелом локтевого сустава, будет видна достаточно чётко. Снимок поможет определить сложность перелома, его локализацию и вид.
Сами кости локтевого сустава на снимках отображаются в виде белых продолговатых образований. Переломы - это затемнённые линии на кости. Их ход (направление) определяет вид перелома - косой, поперечный, винтообразный. При множественных переломах или оскольчатых таких линий будет несколько.
Вывих
Вывих локтевого сустава представляет собой смещение костей предплечья из места, где соединяются их окончания с нижней частью плечевой кости. На снимке, соответственно, именно это и визуализируется. Различают два вида вывиха - наружу и внутрь.
Трещины
Аналогично перелому,трещина локтя визуализируется на снимке рентгена как темная линия. При этом она не пересекает кость полностью. Чтобы точно определить наличие трещины и её локализацию, нужно делать прицельный снимок или выполнять его в нескольких проекциях, так как мелкие трещины так явно могут быть и не видны.
Артрозы и артриты
Артрозом локтевого сустава называют разрушение в нём хрящевой ткани, вследствие чего локоть теряет подвижность и амортизирующие функции. На рентгеновском снимке при артрозе практически незаметно межсуставной щели, кости предплечья и плеча в некоторых местах имеют плотное прилегание.
При артрите локтевого сустава может наблюдаться отёк и воспаление синовиальной мембраны, выстилающей полость сустава. Также имеет место нарушение структуры костной ткани. На рентгеновском снимке можно заметить изменение структуры и патологию соединения костей сустава.
Синовит
Синовит - это заболевание, при котором воспаляются внутренние оболочки локтевого сустава, а в его полости скапливается жидкость. Такую патологию можно заметить чисто визуально - в области локтя образуется припухлость, мягкая на ощупь. Для уточнения делают рентген локтя, чтобы убедится, что припухлость образуется именно из-за скопления жидкости.
Врожденные аномалии
К наиболее часто встречающейся врождённой аномалии относится вывих головки лучевой кости. На рентгеновском снимке при такой патологии можно увидеть, что головка лучевой кости не лежит в лучевой вырезке локтевой кости.
Термин «врождённая аномалия» не означает, что уже в первые месяцы после рождения ребёнка она чётко проявляется. Не всегда родители или даже врачи могут обратить внимание на некоторое ограничение движений локтей ребенка. Для подтверждения диагноза нужна точная диагностика, это рентген либо МРТ или КТ.
Обменные нарушения
Нарушение обмена веществ, ввиду которого образуются скопления излишков кальция в области локтевого сустава, на рентгене будут заметны. В этом случае локтевые и лучевые кости будут иметь форму, отличную от нормы (то есть в отдельных частях костей могут наблюдаться выпуклости или другие отклонения от нормальной формы).
В каких случаях назначают рентген локтя?
Рентген локтевого сустава - это не просто фото костей руки. Это процедура, которая делается только по назначению врача, при наличии определённых показаний и имеет ограничение по количеству проведений (так как рентгеновские лучи могут оказать негативное влияние на организм человека).
Болевой синдром в этой области
Практически в 100% случаев рентген локтевого сустава назначают, когда пациент жалуется на боль в этой области. Боль может ощущаться при движении руки или в состоянии покоя, иметь различную интенсивность, быть колющей, ноющей или любой другой. Если боль в локте имеет место, всегда есть смысл сделать рентген для уточнения диагноза. Все вышеперечисленные патологии локтевого сустава могут иметь болевой синдром.
Отечность тканей
Ярко выявленный отёк тканей локтя может стать следствием удара, травмы, перелома или различных болезней суставов. Также возможно, что костная ткань тут не причём,а проблема кроется в мягких тканях. Рентген в этом случае поможет точно выявить причину отёка.
Изменение цвета (покраснение, синюшность)
Исследование с помощью рентгена может назначаться, когда в области локтевого сустава наблюдается покраснение или синюшность. Возможно, это следствие удара или ушиба. Если пациент не может вспомнить таких случаев, проблема может скрываться гораздо глубже.
Высокая температура (как общая, так и местная)
Воспалительные процессы, протекающие в локтевом суставе, могут провоцировать повышение температуры: как общей, так и местной (когда область локтя заметно горячее, чем остальные участки тела). Рентген поможет выявить, с чем связано повышение температуры.
Ограничение подвижности
Сложное сгибание и разгибание локтя - одно из показаний для рентгена. Причин ограничения подвижности много: артрит, артроз, врождённая патология и так далее.
Особенности проведения рентгена детям
Развивающийся детский организм в силу несовершенства более подвержен негативному влиянию ионизирующих лучейрентгеновского аппарата, чем взрослый. Опасность рентгена для детей заключается в высокой вероятности злокачественного перерождения клеток, попадающих в зону облучения. Чем меньше возраст ребёнка, тем больше опасность и тем чаще могут наблюдаться осложнения.
Рентген локтевого сустава (локтя) у детей в норме может производиться после исполнения ребёнку 14 лет. Для более раннего проведения рентгена должны быть серьезные показания, например, травма или падение, вследствие которых локтевой сустав раздробился или деформировался.
Как проходит процедура рентгена локтя?
Рентген локтя взрослого человека или ребёнка (если для диагностики эта процедура неизбежна) не требует предварительной подготовки. Он безболезнен и делается буквально за несколько секунд.
Пациента усаживают возле стола рентгеновского аппарата. Затем кладут его руку на стол, сгибая её в локте, и делают снимок. Далее может быть выполнено ещё несколько снимков в других проекциях (например, при выпрямленной руке).
При сканировании рукой нельзя шевелить. Это навредит качеству снимка.
Для защиты от лишнего облучения на пациента надевается специальный свинцовый жилет.
Кому нельзя делать рентген?
Рентген противопоказано делать беременным женщинам, пациентам в тяжёлом состоянии, страдающим шизофренией, ожирением.

Наши медицинские центры
- Взрослое отделение
- Диагностика
- Консультации
- Центр лечения боли
- Центр здоровья сердца
- Центр здоровья женщины
- Центр эндокринологии
- Детское отделение
- Массаж
- Нефрология
- Оториноларингология
- Офтальмология
- Эндокринология
Запись по ОМС на МРТ и КТ
Включить версию для слабовидящих?
Настоящим я даю своё согласие ООО «Диагностический центр «Энерго» (далее - Общество) (ИНН: 7810812758, юридический адрес - 196084, город Санкт-Петербург, ул. Киевская, д. 5 к. 4, помещ. 20-н), далее - «Оператор», и третьим лицам, осуществляющим обработку моих персональных данных по поручению Оператора, на обработку указанных сведений обо мне, в целях содействия в трудоустройстве.
Я соглашаюсь на сбор, запись, систематизацию, накопление, хранение, уточнение (обновление, изменение), извлечение, использование, передачу (предоставление, доступ), блокирование, удаление, уничтожение моих персональных данных, а также на осуществление любых других действий, предусмотренных действующим законодательством Российской Федерации, совершаемых с использованием средств автоматизации или без использования таких средств.
Настоящее согласие дано мною лично и добровольно. Настоящее согласие действует до момента его отзыва при отсутствии у Оператора других законных оснований для обработки персональных данных и может быть отозвано мной в любой момент в письменной форме путем направления уведомления Оператору по адресу, указанному выше.
Мы используем cookie-файлы, IP-адреса и данные об устройствах для аналитики, чтобы Ваше посещение сайта было удобным и персонализированным. Вы можете отключить cookie-файлы в настройках вашего браузера. Продолжая пользоваться нашим сайтом, Вы даете согласие на обработку перечисленных данных и принимаете условия Политики обработки и обеспечения безопасности ПДн.
МРТ локтевого сустава что показывает

На снимке - МРТ локтевого сустава
Магнитно-резонансная томография - современный метод визуализации мягких и костных тканей, известный достоверностью и безопасностью. На вопрос: «Что показывает МРТ локтевого сустава?», - можно ответить, что изображение отразит не только сочленение, но и кровеносные сосуды, нервы, проходящие в исследуемой области, связки, мышцы и сухожилия. Люди регулярно сталкиваются с болевыми ощущениями в руке - иногда причиной становится серьезная патология, требующая вмешательства врачей. Чтобы достоверно понять природу проблемы и приступить к правильной терапии, выполняют МРТ локтя.
Использование метода безопасно и не приносит боли человеку. В основе МР-сканирования лежит воздействие на организм магнитного поля, а не ионизирующего облучения. Проходя через тело, последнее возбуждает протоны водорода, обратный сигнал улавливается датчиками. Насколько интенсивен ответ зависит от содержания в тканях воды. Компьютерная программа обрабатывает информацию, выводит на экран картинку.
Существуют различные виды томографов. Наибольшее значение имеет мощность аппарата, выделяют: низкопольные (0,15-1 Тл), высокопольные (до 3 Тл) и сверхвысокопольные (более 3 Тл). На первом месте по частоте использования - вторая группа томографов, они безопасны и обладают высокой точностью для постановки верного диагноза. Выделят устройства закрытого и открытого типа. Замкнутый контур обладает большей мощностью, поэтому время процедуры меньше, а результат информативнее.
Шаг съемки составляет от 1 мм. Такая разрешающая способность выявляет даже минимально измененные участки органов. Возможно построение трехмерной модели обследуемой области. Введение контрастного вещества увеличивает информативность МРТ. Такой режим полезен при поиске патологии мягких тканей, опухолей.
Болезни локтевого сустава

Нормальная анатомия локтевого сочленения
МРТ локтевого сустава делают, чтобы получить сведения о состоянии костей, хрящей, окружающих мягких тканей, связочного аппарата, сосудов и нервов.
Локтевое сочленение - соединение проксимальных концов лучевой и локтевой костей с дистальным отделом плечевой кости. Образование имеет общую капсулу. Сустав является сложным и состоит из трех простых:
- проксимального лучелоктевого;
- плечелоктевого;
- плечелучевого.
Чаще болезнь проявляется болевым синдромом, скованностью, припухлостью или другим признаком. Сложная анатомия сочленения определяет необходимость применения высокоточных методов диагностики и квалифицированной интерпретации результатов, чтобы правильно поставить диагноз.
В области локтя встречаются следующие патологии:
- аномалии развития;
- травмы сустава и костей (перелом, разрывы связок и пр.);
- воспалительные процессы (артрит, бурсит, синовит и др.);
- гнойные поражения (остеомиелит, абсцесс и пр.)
- дегенеративные заболевания (артроз, остеопороз и др.);
- поражение нервов;
- новообразования костной, хрящевой, мягких тканей.
Показания и противопоказания к МРТ локтевого сустава

Фото закрытого МР-аппарата
Томография - метод, который делают после проведения рентгена или УЗИ. Доктор предложит выполнить МРТ, если предыдущие исследования не помогли определить диагноз. Процедура способна идентифицировать заболевание, правильно оценить динамику состояния после вмешательств и подобрать подходящее лечение.
Показанием к МР-сканированию будут:
- покраснение, отечность, повышение температуры в области локтя;
- боль, которая не проходит при применении препаратов;
- скованность и снижение объема движений;
- травмы в анамнезе;
- хирургические вмешательства в указанной области;
- системные заболевания соединительной ткани (остеоартроз, ревматоидный артрит, склеродермия и др.);
- скопление жидкости в полости сустава;
- неинформативность предыдущих методов визуализации и пр.
Несмотря на безопасность, отсутствие облучения, МР-томография имеет несколько ограничений. Диагностика не проводится во время беременности, особенно в первом триместре. Далее выполнить сканирование возможно, но лишь в случае, когда польза превысит возможный вред.
Еще одно ограничение для томографа закрытого типа - масса тела пациента более 120 кг. Технически конструкция аппарата не приспособлена для такого веса. Устройство открытого типа, позволяющее применять метод людям с весом до 150 кг, имеет существенный недостаток - более низкую информативность снимков. Поэтому лучше отдать предпочтение проведению МРТ на закрытом приборе, исключение - невозможность сделать исследование в подобных условиях.
Противопоказаниями к МР-сканированию являются:
- наличие кардиостимулятора и других имплантированных приборов;
- присутствие металлических частей в теле (стенты, скобы, пластины);
- терминальная стадия почечной недостаточности;
- необходимость использования аппаратов жизнеобеспечения.
Не все металлические устройства будут противопоказанием: если сплав немагнитный, делать МРТ разрешено.
Пациенту, страдающему клаустрофобией, исследование на закрытом аппарате проводят ограничено. Однако Вы можете предупредить медицинских работников заранее: будут подобраны успокаивающие препараты и пребывание в ограниченном пространстве не принесет стресс.
Подготовка к МРТ локтевого сустава

Боковая проекция МР-томографии локтя
Перед МРТ не нужна специальная подготовка. Пациенту разрешено проводить день без особенностей: принимать пищу и лекарства. Рекомендуют подойти к кабинету за 10-15 минут, чтобы в спокойной обстановке снять все металлические предметы (украшения, пирсинг и пр.). Данные меры нужны, чтобы не допустить искажения снимка и сохранить его качество.
Когда человек долго находится в тоннеле аппарата, может появиться страх. Если есть боязнь закрытых пространств, необходимо обсудить до исследования возможность применения седативных или успокаивающий препаратов. Врач назначит лекарство, и пациент сможет пройти сканирование без страха.
МРТ выявляет патологию локтевого сустава вне зависимости от возраста. В случае, когда исследование проводят ребенку, родителям нужно морально подготовить малыша. Необходимо объяснить, как проходит сканирование, какие звуки будут его сопровождать, как долго продлится. Главное - ребенок должен соблюдать полную неподвижность во время процедуры. Данное условие обуславливает точность и достоверность полученной информации.
В диагностическом центре «Магнит» один из родителей может остаться в комнате, чтобы поддержать ребенка. Когда исследование проводят малышу, который еще не понимает речь, потребуется применение наркоза. Провести его можно в стационаре больницы. Центр «Магнит» выполняет МРТ детям старше 5 лет, усиленное сканирование - после 12 лет.
При необходимости введения контрастного вещества, пациенту нужно приготовиться к внутривенной инъекции. Рекомендуем легко перекусить за 40-45 минут, чтобы уменьшить побочные эффекты - активацию вегетативной нервной системы (усиленное слюноотделение, чувство жара и пр.).
Следует заранее взять направление на МРТ - это уменьшит стоимость процедуры. Однако возможно выполнение сканирования и при самостоятельном обращении.
МРТ локтевого сустава, как делают?

МР-снимок локтевого сочленения - вариант нормы
Процедура начинается с инструктажа, затем пациент ложится на стол. Больного фиксируют ремнями, чтобы обеспечить неподвижность во время обследования. Стол перемещают в кольцо закрытого томографа. Врачи покидают помещение. Однако контакт можно поддерживать с помощью радиосвязи.
Во время работы прибор издает громкие звуки, поэтому можно попросить надеть на Вас наушники с музыкой либо воспользоваться берушами.
Закрытый аппарат сканирует область в течение 15 минут. Методика выполнения МРТ с контрастом, предполагает расчет по весу пациента дозы специального вещества. Сначала делают серию нативных сников, затем внутривенно вводят усилитель и повторяют сканирование. Препарат быстро переходит из сосудов в межклеточное пространство. Усиленная томография займет около 30-40 минут, но даст более точную информацию о наличии опухолей и изменений мягкотканных структур.
Патологии локтевого сустава на МРТ

МРТ картина синовита, стрелками указаны участки отека костной ткани локтевого отростка
Особенность обследования заключается в четком отражении без облучения не столько костных образований, сколько мягких тканей. МРТ локтевого сустава покажет, что именно изменено в его строении. Доктор сможет определить по снимку патологические изменения:
- воспаление суставной сумки (бурсит), сухожилий (тендинит), связок (лигаментит) и пр.;
- гнойное поражение костей (остеомиелит);
- перелом;
- вывих;
- сужение суставной щели;
- повреждения хрящей;
- артрит и артроз;
- доброкачественные и злокачественные опухоли и пр.
Правильно определить диагноз и приступить к скорейшему лечению поможет МР-томография. Только врач сможет установить, требуется ли Вам исследование и его кратность.
УЗИ локтевого сустава: что показывает, когда назначают, расшифровка

Методика УЗИ основана на применении ультразвуковых волн, которые по-разному отражаются от тканей различной плотности. Это позволяет эффективно исследовать коленный, лучезапястный и другие суставы тела человека. Процедура абсолютно безвредна, высокоинформативна, дает возможность оценить мельчайшие структуры разных тканей суставного комплекса.
Ультразвуковое обследование локтевого сустава
УЗИ сустава - это метод исследования, который позволяет выявить воспаления и повреждения, патологические изменения хряща, наличие жидкости в суставной полости.
Когда назначают проведение УЗИ локтевого сустава?
УЗИ локтевого сустава назначают, если есть:
- длительные болевые ощущения в локте при движении и в покое;
- ограничение подвижности руки в локтевом сочленении;
- отеки;
- припухлость в области сустава;
- покраснение кожных покровов локтя;
- травматическое поражение сочленения;
- подозрение на выпот в суставе;
- поражение суставного хряща.
Какие заболевания можно выявить с помощью УЗИ локтевого сустава?
УЗИ локтевого сустава помогает выявить болезнь на ранней стадии и предупредить ее дальнейшее прогрессирование.
УЗИ локтевого сустава: что показывает
Травмы
- Травмирование боковых связок само по себе происходит редко, но возникает в сочетании с другими травмами.
- Перелом может возникать в мыщелках плечевой кости, отростках локтевой кости, в головке лучевой кости.
Бурсит
Бурсит предусматривает воспаление структур сустава, а также находящихся рядом мышц, сухожилий и волокон нервов. В бурсе при этом образуется патологический выпот. Причинами его появления являются:
- постоянная перегрузка рук;
- травмы костей, суставов или сухожилий в локтях;
- воспаления (артрит, подагра);
- наличие в организме гноеродных микроорганизмов;
- аутоиммунные болезни;
- наличие специфических болезней - гонореи, сифилиса, туберкулёза;
- интоксикация.
Эпикондилит
Заболевание, возникающее в результате физических перегрузок и перерастяжений сухожилий, характеризующееся нарушением нормальной структуры в области надкостницы и сухожилия и проявляющееся болевым синдромом. Спровоцировать развитие эпикондилита могут следующие факторы:
- частые нагрузки, длительные тренировки, монотонные движения;
- травмы;
- наличие у пациента врожденной дисплазии соединительной ткани.
Гематомы
Гематома, или синяк, - повреждение кровеносных сосудов, кровоизлияние в мягкие ткани.
Для гемартрозов характерна равномерная дефигурация суставов, кровоизлияние растягивает капсулу сустава, контуры его разглаживаются, и он приобретает форму эллипса или шара.
При гемартрозах, в отличие от подкожных и межмышечных кровоизлияний, значительно больше нарушается функция.
Если установлен гемартроз локтевого сустава, лечение должно проводиться только под контролем специалиста.
Тендинит

Тендинит представляет собой воспаление сухожилий, которое сопровождается рядом изменений в структуре и дегенеративной перестройкой воспаленных участков.
Причины воспаления сухожилия связаны с его хроническими перегрузками или возрастными изменениями.
Прежде чем приступить к лечению тендинита препаратами, специалисты рекомендуют пациентам снизить нагрузки на мышцы, сухожилия которых воспалились.
Повреждения сухожилий
- Разрыв сухожилия двуглавой мышцы плеча возникает при серьёзных физических нагрузках, например спортивных.
- Разрыв сухожилия трехглавой мышцы плеча вызывает боль в задней поверхности локтя. При поднятии над головой руки в локтевом суставе не происходит разгибания или происходит лишь при значительных усилиях.
Подготовка к процедуре
- Перед проведением процедуры снять все украшения, особенно в исследуемой области, а также одежду.
- Не рекомендуется проведение исследования в течение 5 часов после инъекций, сделанных в суставы, которые предполагается диагностировать.
Как проходит ультразвуковое обследование локтевого сустава?
Ультразвуковое исследование локтевого сустава: методика
Пациент занимает удобное для себя положение на кушетке (сидячее или лежачее), а врач обрабатывает область исследования специальным гелем.
К коже прикладывается датчик, и вся информация через него поступает на компьютер. Она перерабатывается и выводится на монитор в виде черно-белого схематического изображения.
Методика УЗИ локтевого сустава безболезненна, процедура длится примерно двадцать минут.
Расшифровка результатов
Во время процедуры особое внимание уделяется:
- Структуре костных поверхностей - ровные они или нет. Это же относится к контурам хрящевой ткани.
- Состоянию выступов на поверхности мыщелков - как латерального, так и медиального.
- Особенностям нервов и сухожилий.
- Толщине гиалинового хряща и однородности его структуры. В норме его толщина должна быть не более 2 мм.
- Наличию жидкости в проекции локтевой ямки. Если выпот обнаружен, то речь идет о воспалении синовиальной оболочки.
- Наличию жидкости под локтевым отростком. Если она есть, то присутствует воспаление синовиальной сумки. Если заболевание запущено, то жидкость на экране будет неоднородной.
- Воспалению сухожилия. Если одно из сухожилий воспалено, врач-диагност обратит внимание на его утолщение и сниженную эхогенность. При застарелом характере заболевания в сухожилии формируются кальцинаты, а контуры теряют четкость.
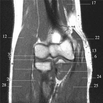
Локтевой сустав (МРТ анатомия)

Описание исследования 1 - головка лучевой кости 2 - венечный отросток локтевой кости 3 - локтевая кость 4 - локтевой отросток 5 - сухожилие трехглавой мышцы 6 - медиальная коллатеральная связка локтевого сустава 7 - лучевая коллатеральная связка локтевого сустава 8 - латеральная коллатеральная связка 9 - латеральный надмыщелок плечевой кости 10 - сухожилие двуглавой мышцы плеча 11 - плечевая мышца 12 - длинный лучевой разгибатель запястья 13 - блок плечевой кости 14 - локтевая мышца 15 - глубокий сгибатель пальцев 16 - локтевой сгибатель запястья 17 - трехглавая мышца 18 - кольцевидная связка лучевой кости 19 - двуглавая мышца плеча 20 - супинатор 21 - плечелучевая мышца 22 - круглый пронатор 23 - разгибатель пальцев 24 - лучевой сгибатель запястья 25 - поверхностный сгибатель пальцев 26 - локтевой нерв 27 - локтевой сгибатель запястья 28 - короткий лучевой разгибатель запястья 29 - общее сухожилие разгибателей 30 - общее сухожилие сгибателей и круглого пронатора 31 - бугристость лучевой кости 32 - головка плечевой кости 33 - медиальный надмыщелок плечевой кости 34 - гребень супинатора 35 - трапециевидная связка (lacertus fibrosus) 36 - наружная головка трехглавой мышцы плеча 37 - длинная головка трехглавой мышцы плеча 38 - медиальная головка трехглавой мышцы плеча 39 - общее сухожилие сгибателей
Читайте также:
- Синдром Борриеса (Borries)
- Передача импульсов в вегетативной нервной системе: нейромедиаторы, рецепторы, вегетативная рефлекторная дуга
- Рентгенологические признаки медиастинального рака. Форма тени медиастинального рака
- Болезнь артефакта (синдрома Мюнхгаузена)
- Рентгенограмма, КТ, МРТ при опухоли оболочки нерва челюсти
