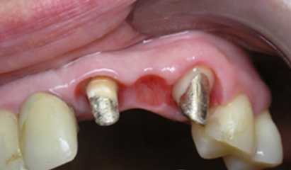
Восстановление культей дистальных зубов. Рекомендации
Добавил пользователь Евгений Кузнецов Обновлено: 01.02.2026
Культя зуба - уменьшенный вариант зуба, на который впоследствии фиксируется коронка. Если собственных тканей зуба достаточно, культя без затруднений формируется методом препарирования. Если же естественного материала не достаточно, необходимо проведение восстановления культи под протез. Сделать это можно несколькими способами.
Когда требуется восстановление культи
Придать оставшимся тканям верхней части зуба нужную форму необходимо для того, чтобы впоследствии успешно закрепить протез - коронку или мост. Культя правильной формы необходима:
- После эндодонтического лечения, когда восстановление зуба пломбой или вкладкой нежелательно.
- При сильном разрушении коронки, когда реставрация другими методами нецелесообразна.
Важно обеспечить коронке надежную опору. В этом случае корень зуба удастся сохранить надолго.
Как происходит формирование культи
Используется несколько способов в зависимости от ситуации:
- Формирование культи без штифта. Это возможно в случае, если зуб разрушен не сильно и есть достаточно здоровых тканей для обеспечения надежной опоры коронки.
- Создания культи с опорой на штифт. В этом случае канал, который был предварительно плотно запломбирован, расширяется и в него вводится штифт. Штифт фиксируется на прочный цемент и служит для удерживания материала и компенсирования жевательной нагрузки в дальнейшем.
- Установка культевой вкладки. Этот подход применяется в случае, если собственных тканей мало и создание культи из композитного материала нецелесообразно.

Протезирование
Когда вкладка готова, на нее может быть установлена коронка. Если речь идет о передней части зубного ряда и коронке из керамики или диоксида циркония, вкладка должна быть светлой. Коронки из этих материалов максимально приближены по внешнему виду к натуральным зубам. В том числе имеют нужный уровень прозрачности. Металлическая культевая вкладка будет просвечивать через слой керамики. Поэтому важно, чтобы опора соответствовала требованиям эстетики. Может быть использована композитная культя на основе штифта или внутрикорневая культевая вкладка из диоксида циркония.
Для протезирования жевательных зубов прочность гораздо важнее эстетики. В этой области часто применяется металлокерамика, для которой не важен цвет культи и главную роль играет ее способность выдерживать нагрузки. Когда культя готова, с челюсти снимается слепок для изготовления модели. По этой модели в дальнейшем изготавливается коронка.
С точки зрения надежности предпочтительным считается вариант с протезированием на основе культевой внутрикорневой вкладки. Укрепление штифтами считается менее надежным и связано с риском разрушения реставрации.
Уход после установки коронок
В основе долгой службы и отличного внешнего вида протезов лежит гигиена полости рта. Чем тщательнее пациент будет следить за чистотой и здоровьем зубов - тем дольше прослужит реставрация. Основные правила:
Метод инверсионного протезирования: восстановление культи зуба и фиксация безметалловой коронки
Высокоэстетичные работы из металлокерамики, пресс-керамики и каркасной керамики на оксиде циркония и алюминия - сегодня это состоявшаяся реальность. Навыки и мастерство команды врач-техник создают шедевры, ошеломляющие пациентов своим результатом. Сегодня услуги по эстетической реабилитации способны повышать личный статус пациента, порой менять и судьбу.

Но есть и обратная сторона этого счастья: откол фрагмента керамики, скол винира, расцементровка ортопедической коронки, а порой еще и с дефектом культи зуба. Мгновения счастья в это момент для нашего пациента останавливаются. Любимая реставрация уже не радует глаз. Просьба о повторном использовании коронки, которая расцементировалась, чаще всего единственная просьба пациента. Вновь провести цементирование коронки при сохранившейся культе зуба не составляет особого труда. Но совсем другая ситуация, когда расцементировка сопровождается дефектом культи зуба.
В данном клиническом случае я покажу как можно эффективно и точно провести метод инверсионного (обратного) протезирования.
Клинический случай
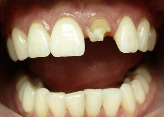
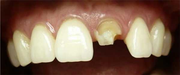
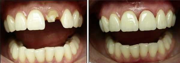
Пациентка М., 35 лет, обратилась в клинику с жалобами на расцементировку коронки из оксида алюминия на 2.1. Объективно: коронка имела подвижное положение на культе зуба 2.1 и без усилий извлеклась. Отмечался откол 1/3 культи зуба (внутренняя часть коронки была заполнена отделившимся фрагментом).
Дефект культи 2.1 зуба

Зуб в прошлом подвергался эндо лечению с последующим восстановлением с использование полимерного штифта. Отмечалось полное сохранение полимерного штифта на всем протяжении. Откололась только внутренняя поверхность коронки с фрагментом культевого материала.

Этапы восстановления
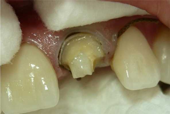
1 этап. Подготовка культи зуба.
Поверхность культи зуба была слегка препарирована с целью удаления малонадежных фрагментов композитного культевого материала. После этого по адгезивному протоколу нанесли кислоту на 15 секунд, обильно смылы, оставили поверхность слегка увлажненной и нанесли адгезивную систему. Я воспользовался адгезивом All Bond 3 (Bisco IL, USA). Это универсальный адгезив двойного отверждения, у него изменена структура полимерной матрицы и он максимально стабилен на дентинной субстанции после полимеризации за счет своей гидрофобности. После подготовки и полимеризации поверхность дентина имеет блестящий вид. Это хорошо.
Подготовленная культя зуба к восстановлению

Культя, восстановленная по коронке

2 этап. Подготовка коронки.
Внутренняя поверхность коронки покрывается изоляционным материалом. Я применил PRO-V COAT (Bisco IL, USA). Этот материал создает абсолютно инертную поверхность, препятствующую фиксации любого композита. Кроме того, он хорошо смывается и изначально предназначался для изоляции поверхности ткани зуба от временного композитного материала в случаях с InLay & Overlay. Но вы можете воспользоваться и глицерином или водорастворимым гелем-лубрикантом.

Коронка аккуратно снимается с восстановленной культи зуба. Этот процесс может сопровождаться легким усилием. Коронка очень четко припасована к восстановленной культе зуба. Применение разделительных жидкостей (в моем случае это PRO-V COAT) позволяет всегда делать эту процедуру предсказуемой.
3 этап. Фиксация коронки на восстановленную культю зуба.
Материалы используемые для адгезивной техники фиксации: адгезив All Bond 3, праймер для оксида циркония, алюминия и металла Z-PRIMER PLUS, композитный цемент светового отверждения Choice 2

Я использую адгезивную фиксацию для коронки из оксида алюминия. Для этого внутренняя поверхность коронки из оксида алюминия пескоструится с применением порошка оксида алюминия 50 мкр при давлении до 2 атм. под непрямым углом к поверхности.

Обезжиривается в спирте или ацетоне, просушивается. На внутреннюю поверхность коронки наносится праймер для оксида циркония и алюминия Z-PRIMER PLUS (Bisco IL, USA) несколько слоев на 30 секунд. Высушивается. Поверхность коронки готова.
Внутрення поверхность каркасной керамики обрабатывается праймером Z-PRIMER PLUS (Bisco IL, USA)

Вновь созданная культя зуба подвергается адгезивному протоколу: протравливается, наносится адгезив All Bond 3, полимеризуется. В коронку вносим композитный цемент светового отверждения. Коронка адаптируется на культе зуба. Излишки цемента подвергаются 2 секундной полимеризации, убираются с краев коронки и проводится транскоронковая полимеризация с каждой стороны по 30 секунд.

Комментарии и уточнения:
- При работе с металлокерамикой я использую в качестве культевого материала композиты химического или двойного отверждения (Luxa-Core (DMG), Core-Flo, Bisfill 2B (Bisco)).
- Поверхность культи зуба при использовании материалов химического или двойного отверждения должна покрываться адгезивными системами, совместимыми с такими материалами.

Выводы
Отдаленные клинические наблюдения показывают надежность и точность метода инверсионного протезирования. Данная методика может с успехом применяться в сложившихся клинических ситуациях.
Статьи
Восстановление безнадежных зубов с применением культевой внутриканальной вкладки
Сравнительно недавно сильно разрушенный зуб считался абсолютно безнадежным в плане восстановления и подлежал удалению. Благодаря передовым технологиям стоматологи сегодня могут сохранять зубы, от которых почти ничего не осталось. «Вторую жизнь» им дает культевая вкладка для установки коронки. С данной технологией пациент получает функциональную зубную единицу с высокими эстетическими свойствами. Микропротез могут использовать, не только как опору для одиночной коронки, но и в качестве составной части моста, а также элемента крепления съемного протеза.

Вкладка является цельнолитым изделием, внешне напоминающим миниатюрный зуб. Микропротез состоит из верхней части (культи, обточенной под коронку) и «ножек» в виде штифта, которые интегрируются в корневой канал. На культю (отсюда и название вкладки) с помощью специального цемента крепят искусственную коронку.
Показания и противопоказания к установке культевой вкладки

Показано:
- при сильном разрушении твердых тканей зуба;
- если в наддесневом участке зуба имеется дефект различного происхождения;
- при аномалиях формы зубов и зубных рядов;
- для мостовидного протеза в качестве опорной конструкции;
- для шинирования при болезнях пародонта.
- при невозможности устанавливать коронку на зуб другими способами. Бывает, что для установки протеза в зубном ряду не остается места из-за дефекта прикуса. В этом случае приходится сильно стачивать наружную часть зуба. При этом удаляются нервы и пломбируются каналы. Однако фиксировать коронку на оставшейся части зуба нельзя, поскольку она довольно тонкая. И тогда прибегают к установке вкладки.
Противопоказано:
- при кистах и гранулемах;
- при трещинах и переломах корней;
- при непроходимости либо некачественном пломбировании каналов;
- при сильно расшатанных зубах.
Если вкладка изготавливается на зуб с несколькими корнями, то протезирование противопоказано при такой степени разрушения, когда дефект локализован в месте соединения корней.
Почему культевая вкладка лучше зубного штифта

По сравнению с зубным штифтом культевая вкладка наиболее оптимальный вариант для воссоздания зуба. При сохранении достаточной части собственной коронки зуба стоматолог может реставрировать ее пломбировочным материалом, укрепив предварительно канал с помощью штифта. Однако данную технологию применить можно не всегда. При полном разрушении коронковой области или крайне тонких ее стенках установка штифта чревата нежелательными последствиями. Под большой жевательной нагрузкой корень может треснуть и тогда зуб уже не спасти. Культевая вкладка гарантирует целостность корня и тканей. Она крепится на особый цементный состав, благодаря чему конструкция максимально плотно прилегает к оставшейся части зуба и защищает его от повреждения. В отличие от штифта, вкладка распределяет равномерно нагрузку при жевании. Культевые вкладки отличаются высокой надежностью за счет максимально уравновешенного давления на зуб, которое обеспечивается системой: коронка-культя-корневая часть. Конструкция продлевает «жизнь» зубу на 10-20 лет. Продолжительность срока службы вкладки зависит от того, насколько качественно проводилась подготовка к протезированию.
Виды вкладок, применяемых стоматологами
Культевые вкладки бывают литые и разборные (в зависимости от метода изготовления изделий), а также металлические, цельнокерамические, металлокерамические и композитные (в зависимости от применяемого материала). Цельнолитой микропротез имеет специальный штырь («ножку»), обеспечивающий его крепление в корневом канале. А также внешнюю часть, поддерживающую зуб. Изделие формируется под высоким давлением и температурой.

Для реставрации зуба с тремя или четырьмя каналами заказывают вкладки разборные. Одна или две ножки отливаются монолитно вместе с культей, и еще один или несколько штырей выполняются отдельно. Изначально в зубную полость устанавливают основную литую часть вкладки. Затем через отверстие сверху в свои корневые каналы внедряются вспомогательные штыри. После фиксации разборной конструкции в корне зуба она превращается в практически неразборную. Разборная культевая вкладка прилегает к зубу максимально точно, на большой площади, а ее прочные ножки занимают разностороннее положение. Благодаря этим достоинствам конструкция надежно фиксируется, а корень выдерживает большие продолжительные нагрузки.

Для отлива металлических вкладок популярен хромокобальтовый сплав.Такие микропротезы очень надежны, просты в изготовлении, сравнительно недорого стоят, но проигрывают в эстетичности композитам. Поэтому их устанавливают вне линии улыбки. По заказу клиента изделие может выполняться из драгметаллов (серебряно-палладиевого или золотосодержащего сплава). Вкладки из дорогостоящих металлов обойдутся пациенту дороже. Однако установка их оправдана, если протезирование уже выполнялось с использованием аналогичных материалов. Известно, что разнородные металлы взаимодействуют между собой в ротовой полости, что приводит к возникновению микротоков (гальванизм). Серебряно-палладиевый сплав обладает бактерицидным свойством, но при использовании этого материала в протезировании десна приобретает неестественный оттенок из-за повышенного содержания в ней металла. Наилучший вариант - золото. С помощью золотых вкладок чаще всего реставрируют жевательные зубы.

Для цельнокерамических изделий используют прессованную керамику. Вкладки керамические по эстетичности не уступают фарфору. Технология изготовления их максимально автоматизирована. Конструкции из диоксида циркония по твердости не хуже металлических. Циркониевые изделия отвечают наибольшему числу требований, предъявляемых к материалам для культевых вкладок. По биоинертности они несравнимы ни с одним материалом. Диоксид циркония единственный вариант при аллергических реакциях на металлы. Циркониевые микропротезы отлично подходят для дальнейшего восстановления зубов прозрачной керамикой либо пластмассой, не искажая при этом оптических свойств конечной реставрации. Протезы практически не отличаются от своих зубов.
Циркониевые конструкции получают путем фрезерования. При этом различают две технологии. Фрезероваться может обожженный материал и необожженный. Первый метод более трудоемкий, но зато на выходе получается максимально качественное изделие. Обожженный материал обрабатывают на дорогостоящем оборудовании. В процессе обработки сильно изнашиваются дорогие инструменты. На получение одного микропротеза уходит до 2-х часов. Изготовленное по данной технологии изделие максимально точно прилегает к оставшимся тканям зуба. Намного проще и быстрее (не больше 10 минут) фрезеровать материал до обжига. Но вместе с тем готовый микропротез при обжиге подвергается усадочным деформациям, что негативно сказывается на точности его прилегания. Несмотря на нюансы технологических процессов, культевые циркониевые вкладки остаются на сегодня среди аналогов лучшим вариантом протезирования под коронки.
Надежность культевых металлокерамических вкладок ниже, по сравнению с металлическими конструкциями. Качество металлокерамического изделия несколько хуже из-за разницы теплового расширения керамики и металла. Композитные вкладки используются не часто. Их качество такое же, как и у обычной пломбы, однако стоит изделие выше на целый порядок.
Реставрация зубов культевыми вкладками включает:
- подготовку к установке;
- изготовление изделия;
- протезирование вкладкой.

Изначально зуб обследуется рентгенологически. Вкладка может ставиться только на надежный здоровый корень, длина которого превышает устанавливаемую коронку, а стенки имеют достаточную толщину. Лучше, если корень несколько выступает над десневой поверхностью. Останки зуба укорачиваются до 1-2 мм. Культевая вкладка должна полностью их закрыть. Иногда специалист прижигает десну или подрезает ее, чтобы открыть часть корня. Затем на корень накладывают временную пломбу. Спустя две недели пациент снова приходит на прием к своему стоматологу. Доктор очищает от пломбы канал и расширяет его в области устья до 2-х миллиметров, чтобы придать конусообразную форму. А также избавляет зуб от частей, поврежденных кариесом. Не обязательно придавать стенкам строгую параллельность. Для установки вкладки на одноканальный зуб требуется формирование дополнительной одноопорной полости, чтобы в дальнейшем конструкция не выпала под воздействием жевательных нагрузок. В данной процедуре нет необходимости при протезировании многоканальных зубов.
После подготовки корня моделируют культевую вкладку. Для формирования заготовки используют специальную беззольную пластмассу. Перед тем как изготовить модель корневые каналы заполняют вазелином и удаляют воздухом излишки, чтобы слой получился тонким. Достаточно жидкую моделировочную пластмассу набирают в шприц и с помощью иглы вводят в зубной канал. Затем в канал вставляют штифт и моделируют верхнюю часть конструкции. После затвердевания материала модель извлекают. После свободного извлечения слепка его осматривают на наличие пустот и, если таковых нет, заготовку отправляют литейщику. А зубную полость по завершению моделирования обрабатывают антисептическим препаратом и закрывают на время пломбой.
На следующем этапе вкладку устанавливают. Главные требования к материалу для вкладок: твердость, инертность, упругость, а также низкие коэффициенты теплопроводности и усадки. В качестве закрепляющего состава для конструкции используется композитный цемент. Минипротез перед установкой обезжиривают. Зуб обрабатывается антисептиком и просушивается. Каналы заполняют цементом. При протезировании многоканального зуба цемент наносят на основной штырь, а после установки конструкции, закрепляющим составом покрывают и дополнительные штыри. После затвердевания конструкции, ранее подпиленные вспомогательные «ножки» отламывают, а следы излома полируют. При следующем посещении специалист проводит подготовку к установке искусственной коронки на зуб.
Конструкция культевой вкладки и технология ее установки довольно сложные, что требует мастерства от стоматолога и зуботехника. В числе относительных недостатков данного метода протезировании стоит назвать необходимость в лабораторном этапе работы и то, что подготовить зуб к протезированию коронкой невозможно за одно посещение.
Упрощенная техника послойного моделирования успешных дистальных реставраций
На сегодняшний день отмечается выраженная тенденция к оптимизации и рационализации использования стоматологических материалов в ходе выполнения композитных реставраций. В данной статье мы представим методику, которая, несмотря на упрощенный алгоритм, позволяет добиться успешных результатов восстановления дефектов твердых тканей дистальных зубов. Более того, авторы данной статьи разработали еще и более эффективный подход к внесению порций композита и их дальнейшей адаптации к стенкам зуба.

В двух нижеописанных клинических случаях для восстановления утерянных тканей дентина был использован композитный материал Tetric EvoFlow Bulk Fill, поверх которого наносили порции полупрозрачного наногибридного материала IPS Empress Direct and Tetric EvoCeram оттенков A2/A3. Применение данной комбинации материалов по методике двухслойного гистоанатомического нанесения позволяет максимально сымитировать твердые структуры зуба в ходе их реставрации. При этом для выполнения подобных реставраций с учетом всех аспектов предложенного упрощенного стандартизированного протокола требуется около лишь 30 минут.
В процессе анализа всех этапов лечения кариеса и восстановления дефектов твердых тканей зубов было обнаружено, что сама процедура препарирования ни при каких обстоятельствах не может быть упрощена. Для того, чтобы добиться оптимального прогноза функционирования реставраций, необходимо обеспечить формирование адекватного биомеханического дизайна полости.
Однако, принимая во внимание составляющие адгезивного протокола, таковой можно упростить путем использования современного универсального адгезива (Adhese Universal). Последний применяется по нескольким техникам: тотального протравливания, селективного протравливания или самопротравливания.
После адгезивной обработки упрощенная техника реставрации предусматривает реализацию трех важных этапов:
1. Внесение композитного материала методом двухслойной адаптации.
Цель данной методики состоит в максимальной имитации собственных тканей зуба. Сначала выполняют build-up, имитирующий структуру коронки: на окклюзионной поверхности дентин имеет вогнутую форму, а эмаль - выпуклую. Данную биологическую особенность нужно учитывать (Bazos et al., 2011) при внесении порций композита (фото 1). На отпрепарированной окклюзионной поверхности достаточно просто идентифицировать структуру дентина и эмали, таким образом определяя до какого уровня необходимо адаптировать соответствующие виды материалов. Кроме того, такой подход позволяет минимизировать риск развития эффекта «непопадания» в цвет, который часто визуализируется после окклюзионной коррекции пломбы.
Фото 1. Естественный вогнутый контур дентина и выпуклый контур эмали.

2. Подбор композитных материалов для замещения дентина и эмали.
В качестве материала для восстановления дентина необходимо использовать высоконаполненный текучий композит. Этот тип материала легко адаптируется к краям и дну полости, а также к другим порциям композита (фото 2). Кроме того, текучие композиты характеризуется низким напряжением усадки из-за эффекта упругого бондинга. При внесении текучего композита в полость, он автоматически приобретает вогнутую форму. Материал Tetric EvoFlow Bulk Fill характеризуется высоким содержанием наполнителя (уровень наполненности достигает 52 об. %). Присутствующий в нем фотоинициатор Ivocerin в сочетании с технологией Aessencio позволяет наносить композит слоями толщиной в 4 мм, при этом не компрометируя процесс дальнейшей полимеризации. В ходе отверждения прозрачность текучего композита падает с 28 % до менее чем 10 %. Данный уровень аналогичен таковому у натурального дентина. Кроме того, материал обладает удобными свойствами самовыравнивания и оптимально адаптируется к стенкам полости. Низкое усадочное напряжение Tetric EvoFlow Bulk Fill обеспечивается за счет эластичного композитного наполнителя, известного также как компенсатор усадочных напряжений. Эмаль восстанавливают материалом средней прозрачности (А2/А3), который имитирует оптические свойства собственного зуба. Для этой цели подходят эстетичные материалы IPS Empress Direct и клинически проверенный композит Tetric EvoCeram. Порции эмалевого композита должны наноситься выпуклой формы в соответствии с техникой последовательного наращивания бугорков: то есть каждый отдельный бугор зуба восстанавливается поочередно. Улучшенный эстетический эффект может быть достигнут при проведении дополнительного окрашивания жевательных фиссур (IPS Empress Direct Color Brown), что позволяет сымитировать оптическое разделение восстановленных бугров. Кроме того, краситель, по сути, обеспечивает герметизацию фиссур, уменьшая возможность аккумуляции зубного налета и упрощая этап полировку жевательной поверхности.
Фото 2. Результаты лечения дефектов ІІ класса: текучим композитом (1) и обычным композитом (2). Текучий композит позволяет добиться лучшей адаптации.

3. Послойное восстановления дефектов II класса
После восстановления контактной поверхности дефекта ІІ класса в полость вносят высоконаполненный текучий композит толщиной, как минимум, в 2 мм (фото 3). Цель данного этапа состоит в улучшении маргинальной адаптации в пришеечной области. Проксимальная стенка восстанавливается обычным наногибридным композитом для достижения надлежащих биомеханических характеристик реставрации в проекции маргинального гребня. После трансформации дефектов II класса в дефект І класса вносят порцию Tetric EvoFlow Bulk Fill с целью восстановления объема дентина. При этом толщина внесенного слоя не должна превышать 4 мм.
Фото 3. Схема внесения порций композита при ІІ классе дефектов. Текучий композит Tetric EvoFlow Bulk Fill может быть внесен за один этап (слой 1 и 3) при максимальной толщине слоя в 4 мм.

На последнем этапе проводят контроль всех функциональных параметров реставрации, ее контурирование и полировку. Ключевые аспекты данных этапов являются следующими:
- для избегания чрезмерного контурирования окклюзионной поверхности необходимо проводить оценку исходных параметров окклюзии и артикуляции.
- при восстановлении полостей II класса правильный выбор и адаптация матрицы позволят избежать использования избыточного количества композитного материала.
- в ходе моделировки бугорков техникой последовательного наращивания необходимо уделить внимание контролю правильного наклона таковых, чтобы оставить место для бугра зуба-антагониста. Это значительно сократит время, необходимое для корректировки окклюзионных соотношений, а также финишной обработки и полировки.
Реставрации достаточно легко обрабатывать и полировать с помощью трех силиконовых полиров из набора Astropol. Полиры необходимо использовать в правильном порядке - по ходу уменьшения абразивности. Серые полиры подходят для обработки окклюзионных поверхностей и краев, ими работают на скорости 10 000 об/мин с водяным охлаждением. Данный вид полиров позволяет удалить царапины, оставленные алмазным бором. Для достижения надлежащего уровня блеска после серого используют также зеленый и розовый полиры.
Клинический случай 1
35-летняя пациентка обратилась за стоматологической помощью с просьбой заменить амальгамные реставрации в области первого и второго нижних молярах. Она также сообщала о наличие болезненных ощущений в проекции данных зубов при жевании. В ходе клинического осмотра были идентифицированы реставрации моляров, требующие срочной замены (фото 4). После удаления старых пломб и нанесения универсального адгезива Adhese Universal, объем дентина был восстановлен материалом Tetric EvoFlow Bulk Fill (фото 5). Данный композит обладает очень хорошими свойствами самовыравнивания и автоматически принимает вогнутую форму. В области второго моляра текучий композит вносили одновременно и на окклюзионную и на контактную поверхности. Полимеризацию обеспечивали лампой Bluephase (1200 мВт/см2) в течение 20 секунд. Производитель рекомендует обеспечивать полимеризацию композита на протяжении 10 секунд. Внесенная толщина слоя текучего композита не превышала 4 мм. Благодаря технологии Aessencio опаковость материала значительно увеличивается в процессе полимеризации (фото 5). Эмаль восстанавливали посредством материала Tetric EvoCeram A3, используя технику последовательного наращивания бугров. Фиссуры окрашивали при помощи IPS Empress Direct Color Brown (фото 6). Корректировку окклюзионных соотношений проводили после удаления коффердама. Поскольку бугорки изначально были смоделированы правильно, требовалась лишь минимальная окклюзионная коррекция, после которой приступили к полировке реставрации системой Astropol. Поверхности реставраций плавно сливались с окружающей структурой зуба (фото 7).
Фото 4. Дефектная реставрация в двух нижних молярах.

Фото 5а и 5с. Восстановление дентина порцией материала Tetric EvoFlow Bulk Fill. Благодаря технологии Aessencio опаковость материала увеличивается в ходе полимеризации.

Фото 6. Восстановление эмали материалом Tetric EvoCeram A3 техникой последовательного наращивания бугров.

Фото 7. Вид после контурирования и полировки реставраций.

Клинический случай 2
Тридцатилетний пациент обратился за стоматологической помощью по поводу дефектных реставраций двух нижних моляров (фото 8). После установки раббердама проводили удаление старых реставраций, под которыми был идентифицирован вторичный кариес (фото 9). Пораженный дентин удаляли твердосплавным бором на низких оборотах. После этого дополнительно проводили очистку полости методом воздушной абразии (частицами оксида алюминия размером 30 мкм). Редукцию щечного бугра первого моляра не проводили, поскольку он не подвергался значительным нагрузкам в процессе окклюзии и артикуляции (фото 10). Заполимеризированный текучий композит позволил добиться надлежащего перекрытия дисколорированных поверхностей дна отпрепарированных полостей (фото 11). Для восстановления эмали применяли IPS Empress Direct Enamel оттенка A2. Окрашивание фиссур проводило IPS Empress Direct Color. Готовые и отполированные реставрации визуально не отличались от естественной структуры зуба (фото 12).
Фото 8. Вид моляров, требующих лечения.

Фото 9. После удаления старых реставраций визуализировано участки вторичного кариеса.

Фото 10. Вид полостей после препарирования и воздухоабразивной обработки.

Фото 11. Восстановление дентина порцией материала Tetric EvoFlow Bulk Fill.

Фото 12. Вид после контурирования и полировки реставраций.

Выводы
Двухслойная техника гистоанатомического внесения композитных материалов значительно упрощает процесс реставрации дистальных зубов. Ключевыми элементами данного протокола является применение высоконаполненного текучего композита, который имитирует структуру дентина, и композита средней степени прозрачности для восстановления эмали.
Авторы:
Gianfranco Politano (Рим, Италия)
Marleen Peumans (Лёвен, Бельгия)
Восстановление культи

Восстановление культи
Развитие современных медицинских технологий в области стоматологии позволяет установить коронку, когда от резца или моляра практически ничего не осталось кроме корня. Для этого проводят процедуру восстановления культи или установки культевой вкладки. Вкладка состоит из двух частей: одна часть полностью повторяет культю зуба, а другая представляет собой штифт. Процедуру проводят с использованием стоматологических композитов.

Вкладка является прочной ортопедической конструкцией, основой для коронки. Вкладка гарантирует равномерное давление на зуб при жевании, что предотвращает его дальнейшее разрушение, укрепляет его. Процедура подходит в случае, если:
- невозможно поставить пломбу;
- зуб значительно разрушен;
- необходимо установить мост.
Правильные действия стоматолога при восстановлении культи способствуют надежной установке коронки.
Заметим, что ранее врач не имел под рукой композитных материалов высокого качества и соответствующего медицинского оборудования. Не было у него и навыков по проведению операции. Сейчас ситуация кардинальным образом изменилась, и зубные врачи с успехом проводят эту процедуру.
Требования к штифтам
Технология протезирования предъявляет определенные требования к штифтам:
- соответствие форме и ширине канала, в котором его планируется установить;
- максимальная надежность и исключение протечек;
- исключение малейшего соприкосновения с тканями зуба;
- штифт должен быть легко обрабатываемым.
Штифт: стоматологический элемент, обладающий особенностями, его подбирают индивидуально для каждого моляра. Штифты производят разной формы: цилиндрические, конусные. Поверхность штифта может быть гладкая или на нее наносят резьбу. Стоматологический стержень изготавливают из композитных материалов, углеродного волокна или титана.
Перед установкой штифта врач традиционно расширяет канал и проводит его пломбировку. Зуб при необходимости сошлифовывается, поверхность тщательно промывается и высушивается, затем создают наддесную часть зуба.

Методы реставрации
В процессе восстановления культи актуальны две технологии реставрации.
В первом случае используются стоматологические накладки, пришедшие на смену устаревшим вкладкам, которые не обеспечивают в полной мере целостность жевательного элемента. Накладка применяется в случае небольшого разрушения зуба, эта конструкция надежно защищает зуб от повреждений и разрушений.
Другая технология подходит в случае значительного разрушения зуба. Подразумевает комплексные манипуляции стоматолога: врач устанавливает анкерный металлический штифт и производит восстановление культи с использованием композитов. Современные композитные материалы быстро и надежно затвердевают и имеют несколько оттенков. Врач без труда подбирает цвет, соответствующий цвету эмали. При сильных разрушениях применяют инновационный стеклоиономерный материал, который наделен достоинствами:
- не токсичен;
- очень прочен;
- подходит к цвету естественной эмали;
- долго отвердевает, принимая необходимую форму.
Врач имеет возможность выбрать любую подходящую пациенту технологию за счет инноваций в изготовлении композитов и элементов протезирования.

Фиксация (монтаж)
Восстановление культи происходит поэтапно.
- На подготовительной стадии врач проводит санацию ротовой полости, а затем шлифует коронку, расширяет, формирует канал. Одновременно аккуратным образом нарезается резьба.
- Приступают к фиксации штифта при помощи стоматологического цемента.
- На этапе затвердевания цемента формируют видимую сторону жевательного элемента.
Установленная стоматологическая конструкция должна отвечать требованиям качества, а именно:
- отсутствие коррозии и деформаций;
- полная герметичность во избежание попадания инфекций;
- длительный срок службы;
- возможность провести повторную терапию при необходимости.
Каждый стоматолог индивидуально подходит к манипуляциям по восстановлению культи. Основным моментом этого вида протезирования является учет особенностей строения моляра и его корня.

Восстановление культи зуба без штифтов
Медицине известны два способа восстановления культи без использования штифтов.
Первым способом является использование композитов, среди которых эксперты выделяют следующие материалы:
- MultiCore Flow Refill - предназначен для сильно разрушенной коронковой области витальных, а также девитализированных зубов. Восстановление возможно с применением световой полимеризацией опционально. Композит считается в среде профессионалов надежным фундаментом, используемым для восстановления культи и протезирования;
- CORECEM - жидкотекучий гибридный композитный материал двойного отверждения, предназначенный для восстановления культи с применением штифтового элемента или без него. Материал обладает высокой степенью надежности и рентгеноконтрастности;
- LUXACORE - максимально близок по своим показателям натуральному дентину, также обладает высокой прочностью. Отмечают легкость работы с этим композитом. Поставляется в виде шприцев.
- CORE-FLO - сверхпрочный композит двойного отверждения для восстановления культи зуба.
Ко второму способу относят использование армированной керамики, в этом материале матрица керамическая, а арматура металлическая или выполненная из другого высокопрочного безопасного сырья.

Использование литых вкладок
Этот вид вкладок по-другому называют штифтовыми. Изготовление этих элементов происходит при воздействии высокого давления и температуры. Вкладки конструктивно состоят из платформы и фиксирующих штырей. Литая культевая вкладка подходит для лечения зубов с одним или двумя корнями, для многоканальных зубов эти вкладки не используются. В последнем случае применяют разборную вкладку.
Вкладка этого типа используется для восстановления сильно разрушенных зубов, поэтому для ее изготовления применяют высокопрочное сырье: золото, сплав кобальта и хрома, а также металлокерамику. Достоинством вкладки литого типа является то, что она не требует специального ухода, требуются стандартные процедуры по уходу ротовой полостью.
В заключение отметим, что новые методы в стоматологии позволяют проводить безболезненную и безопасную реставрацию зубов при помощи восстановления культевой вкладки. Процедура позволяет сохранить даже самый разрушенный зуб, не прибегая к сложным и дорогостоящим методикам имплантации.
За этой технологией большое будущее, так как перечень композитных материалов постоянно расширяется, а технологии протезирования модернизируются. Также растет профессионализм стоматологов, которые осваивают новые технологии протезирования и терапии.
Читайте также:
- Потенциал действия сердечной мышцы. Скорость проведения импульса в сердечной мышце
- Ошибки и осложнения лечения заболеваний стопы у танцоров
- Тепловая термоделюция. Методы исследования сердечного выброса
- Показания, доступ и ход операции пластики параэзофагеальной грыжи
- Синдром Рубинштейна (Rubinstein)
