Врожденная холестеатома среднего уха - лучевая диагностика
Добавил пользователь Евгений Кузнецов Обновлено: 01.01.2026
Кафедра оториноларингологии Российской медицинской академии последипломного образования, Москва
Рентгенодиагностическое отделение ЦКБ гражданской авиации
Кафедра оториноларингологии учебно-научного медицинского центра Управления делами Президента России, Москва
Кафедра оториноларингологии РМАПО
МРТ в предоперационном обследовании и послеоперационном контроле при хроническом среднем отите с холестеатомой
Журнал: Вестник оториноларингологии. 2012;77(5): 14‑19
Косяков С.Я., Лазебный В.В., Коршок В.В., Пчеленок Е.В. МРТ в предоперационном обследовании и послеоперационном контроле при хроническом среднем отите с холестеатомой. Вестник оториноларингологии. 2012;77(5):14‑19.
Kosiakov SIa, Lazebnyĭ VV, Korshok VV, Pchelenok EV. The role of MRI in the preoperative examination and postoperative follow up of the patients presenting with a combination of chronic otitis media and cholesteatoma. Vestnik Oto-Rino-Laringologii. 2012;77(5):14‑19. (In Russ.).
Цель работы - изучить возможности определенных режимов МРТ в диагностике холестеатомы, а также определить критерии предлагаемых протоколов. Исследование проводилось в стандартных режимах Т1, Т2, а также в режиме non-EPI DWI. Нами были обследованы пациенты как с первичной холестеатомой, так и с резидуальной и рецидивирующей холестеатомой. Основной алгоритм радиологической диагностики холестеатомы заключался в следующем: низкоинтенсивный сигнал в режиме Т1, сигнал высокой интенсивности в режимах Т2 и non-EPI DWI. В статье представлены 3 клинических наблюдения. Всем пациентам была выполнена МРТ в режимах Т1, Т2 и non-EPI DWI. У 2 пациентов было подтверждено наличие холестеатомы и верифицирован данный факт на операции, а в одном из примеров данный метод позволил исключить наличие холестеатомы.
Холестеатома — это скопление кератина в матриксе чешуйчатого эпителия в полости среднего уха. Только в 2% случаев холестеатома может быть врожденной. В остальных же случаях это приобретенное заболевание, развивающееся на фоне хронического среднего отита в результате ретракции барабанной перепонки [1].
Холестеатома разрушает структуры среднего уха, нарушает такие функции последнего, как слух, равновесие, функцию лицевого нерва и вызывает осложнения.
Осложнения холестеатомы связаны с костной деструкцией в полости среднего уха, что обусловлено механическим давлением и активностью медиаторов воспаления, которые стимулируют остеокласты. Костная деструкция приводит к разрушению цепи слуховых косточек, развитию лабиринтных фистул, эрозиям канала лицевого нерва с развитием пареза и, наконец, к тяжелым внутричерепным осложнениям.
Лечение холестеатомы всегда только хирургическое. Хирургические подходы могут быть различными и включать операции с сохранением задней стенки наружного слухового прохода и ее удалением, с реконструкцией цепи слуховых косточек и стенок паратимпанальных пространств [2]. Закрытые типы операций длительное время применяли с большой осторожностью по причине высокого процента развития как резидуальных заболеваний, так и рецидива холестеатомы. В связи с этим «золотой стандарт» лечения включал обязательную ревизию через год после операции. Например, по данным клиники в Антверпене, повторные оперативные вмешательства у взрослых составляют 57%, из которых только в 7,2% случаев обнаружена резидуальная холестеатома, а в остальных случаях (92,8%) проводились необоснованные оперативные вмешательства [3].
В настоящее время для предоперационного обследования больных широко используется компьютерная томография (КТ) височных костей. Данный метод позволяет определить состояние слуховых косточек, сосцевидного отростка, надбарабанного пространства, стенок барабанной полости, состояние окон лабиринта и внутреннего уха [4]. Однако специфичность КТ в диагностике холестеатомы низка. В связи с этим КТ можно рассматривать только как «дорожную карту» для оценки состояния различных структур среднего уха (сохранены, повреждены, разрушены). Это дает возможность ориентироваться в наличии анатомических структур, определить костную деструкцию, но ни в коем случае не определить, за счет чего произошла деструкция. На КТ невозможно дифференцировать холестеатому, грануляционную, рубцовую ткань и опухоль. Исследования последних 15 лет это подтверждают [5]. Для послеоперационного контроля КТ имеет еще меньшее значение, так как вследствие низкой специфичности не позволяет дифференцировать послеоперационные рубцовые изменения от экссудата или резидуальной холестеатомы. КТ наиболее значима при определении аэрации среднего уха и сосцевидного отростка, но значимость ее снижается при наличии мягкотканных образований [6].
В течение последних нескольких лет было опубликовано несколько работ [5, 7—10] о диагностике холестеатомы с применением магнитно-резонансной томографии (МРТ) в различных режимах (Т1, Т2, EPI DWI и non-EPI DWI). Эти работы были опубликованы в основном врачами-радиологами в соавторстве с оториноларингологами и носят специфический характер, так как информация в них излагается с позиций рентгенологов с указанием массы технических характеристик оборудования и протоколов обследования.
Цель нашей работы — изучить возможности определенных режимов МРТ в диагностике первичной холестеатомы различных размеров в диагностически сложных случаях, резидуальной холестеатомы у пациентов, подвергнутых множественным оперативным вмешательствам. В конечном счете, предполагается популяризировать данный метод и сделать его доступным для лечебной практики.
Методика исследования
Все пациенты были обследованы на МР-томографе Signa HD GE («Helthcare», США) с напряженностью магнитного поля 1,5 Тесла. Обследование выполнялось без контрастирования в импульсных последовательностях:
— Т1 во фронтальной плоскости с подавлением сигнала от жировой ткани с толщиной среза 3 мм;
— Т2 во фронтальной и сагиттальной плоскостях с толщиной среза 3 мм;
— non-EPI DWI в аксиальной плоскости с толщиной среза 2 мм.
При наличии холестеатомы характерны следующие МРТ-признаки:
1. Сигнал низкой интенсивности в режиме Т1.
2. Гиперинтенсивный сигнал или сигнал средней интенсивности в режиме Т2.
3. Сигнал высокой интенсивности в режиме non-EPI DWI.
При наличии воспаления и грануляционной ткани выявляются следующие МРТ-признаки:
1. Сигнал низкой интенсивности в неконтрастном режиме Т1.
2. Cигнал высокой интенсивности в режиме T2.
3. Сигнал низкой интенсивности в режиме non-EPI DWI.
Для холестерол-гранулемы характерны следующие МРТ-признаки:
1. Сигнал высокой интенсивности в режиме Т1.
2. Сигнал высокой интенсивности в режиме Т2.
Основная проблема закрытых методов хирургии уха заключается в необходимости длительного наблюдения. Развитие резидуальной холестеатомы после первичной операции до момента клинических проявлений, как правило, занимает около 12—18 мес [7]. Учитывая огромные пространства нашей страны, повторная ревизия для иногороднего пациента часто представляет финансовую нагрузку. В то же время с широким распространением диагностического оборудования и, в частности, магнитно-резонансных томографов, появляется возможность, применив описанный метод, контролировать состояние заболевания, не прибегая к повторному хирургическому вмешательству.
Идеальным методом скрининга на сегодняшний день является применение МРТ в режиме non-EPI DWI. Преимуществом является отсутствие необходимости применения дорогого контраста (например, гадолиниума) и связанного с его применением возможного нефротоксического действия, сокращение времени обследования на 45 мин (ожидание поздней фазы контрастирования). Обследование только в режиме non-EPI занимает всего 3—6 мин [8].
Существует два диагностических исключения, которые могут маскироваться под наличие холестеатомы и демонстрировать те же закономерности. Это абсцесс (как правило, имеющий клинические признаки) и скопление серы в наружном слуховом проходе.
Метод МРТ обеспечивает высокую безопасность при хирургических вмешательствах, использующих облитерацию паратимпанальных пространств, что дает возможность контроля резидуального заболевания и позволяет диагностировать рецидивы холестеатомы. Проведение МРТ-исследования в режиме non-EPI DWI через 1 год и 5 лет позволяет, в зависимости от результата, планировать хирургическое вмешательство [10, 12].
Послеоперационный контроль заключается в тщательной отоскопии и наблюдении в течение 10 лет, при подозрении на рецидив холестеатомы необходимо проводить МРТ-исследование (в том числе в режиме non-EPI DWI).
Под нашим наблюдением находились 30 пациентов с подозрением на первичную холестеатому (где клиническая картина не была однозначна) и пациенты со сложностями в диагностике, ранее подвергнутые оперативным вмешательствам. Всем пациентам была проведена МРТ основания черепа в стандартных режимах (во фронтальной проекции) и режиме non-EPI DWI (в аксиальной проекции), без контрастного усиления.
Больная Ф., 30 лет, обратилась с жалобами на головокружение, снижение слуха на правое ухо, слизистое отделяемое из правого уха. Болеет в течение 6 лет, лечилась консервативно. При отомикроскопии визуализируется перфорация в верхнем отделе барабанной перепонки.

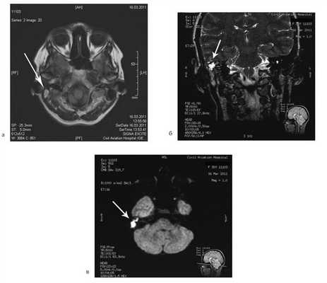
Пациентке была выполнена МРТ основания черепа по описанной методике (рис. 1). Рисунок 1. МРТ основания черепа больной Ф. с хроническим правосторонним гнойным средним отитом. Фистула лабиринта. Холестеатома. а — исследование в режиме Т1; б — в режиме Т2; в — в режиме non-EPI DWI.
В режиме Т1 справа определяется образование с низкой интенсивностью сигнала, а в режиме Т2 и non-EPI DWI — образование с гиперинтенсивным сигналом. Диагноз: хронический правосторонний гнойный средний отит; холестеатома; фистула лабиринта. Пациентка была подвергнута санирующей операции на правом ухе с тимпанопластикой и облитерацией паратимпанальных пространств. Были выявлены холестеатома, заполняющая аттик, адитус, антрум, деструкция цепи слуховых косточек, фистула латерального полукружного канала. Послеоперационный период протекал без особенностей, на 15-е сутки была удалена гемостатическая губка и силиконовая выстилка. При контрольном осмотре ухо сухое, отмечает улучшение слуха, головокружения нет. Через 12 мес проведено повторное МРТ-исследование. Признаков холестеатомы не обнаружено. Получен хороший функциональный результат — ухо толерантно к воде, самоочищается.
Больная У., 25 лет, обратилась с жалобами на снижение слуха на правое ухо, периодические выделения из правого уха. 18 лет назад была выполнена радикальная операция по поводу острого мастоидита, острого гнойного среднего отита справа. После операции развился парез лицевого нерва. В связи с продолжающимися обострениями через 8 лет была выполнена повторная операция с тимпанопластикой и мастоидопластикой. Частота обострений снизилась, но периодические выделения из уха продолжались. При отомикроскопии визуализируется неомембрана на задней стенке наружного слухового прохода с отверстием 2×4 мм, которое ведет в мастоидальную полость. Дно и стенки полости необозримы.

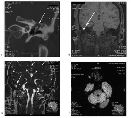
На КТ височных костей справа послеоперационная полость, заполненная мягкотканным образованием, определяется большой костный дефект в направлении сигмовидного синуса и мозжечка (рис. 2, а). Рисунок 2. КТ и МРТ височных костей больной У. с хроническим правосторонним средним отитом. Состояние после радикальной операции (1993 г.), санирующей операции с мастоидопластикой и тимпанопластикой (2003 г.). Холестеатома. Парез лицевого нерва. а — КТ; б — МРТ основания черепа в режиме Т1; в — в режиме Т2; г — в режиме non-EPI DWI.
Больной была выполнена МРТ (рис. 2, б—г).
В режимах Т2 и non-EPI DWI определяется сигнал высокой интенсивности, в режиме Т1 — низкоинтенсивный сигнал. Это может свидетельствовать о наличии холестеатомы мастоидальной полости и пирамиды височной кости. Диагноз: хронический правосторонний средний отит; состояние после радикальной операции в 1993 г. и санирующей операции с мастоидопластикой и тимпанопластикой в 2003 г.; холестеатома; парез лицевого нерва.
Больной произведена санирующая реоперация, в ходе которой удалена холестеатома больших размеров, заполняющая отшнурованную послеоперационную полость. Эта полость распространялась до верхушки сосцевидного отростка, граничила с твердой мозговой оболочкой и достигала верхушки пирамиды височной кости. Полость облитерирована. В послеоперационном периоде получен хороший функциональный результат. Ухо толерантно к воде, не было обострений, гноетечения, головокружений. Сохранилась кондуктивная тугоухость I степени. МРТ через 9 мес подтвердила отсутствие холестеатомы.
Больной А., 44 лет, обратился с жалобами на периодические (2 раза в год) гноетечения из правого уха. Ранее пациенту неоднократно предлагалось оперативное вмешательство.
При отомикроскопии определяется утолщение барабанной перепонки, перфорация не визуализируется, признаков холестеатомы нет.

На КТ правой височной кости определяется затемнение в области аттика и антрума, цепь слуховых косточек сохранена (рис. 3, а). Рисунок 3. КТ и МРТ височных костей больного А. с адгезивным средним отитом справа, фиброзной облитерацией аттика. а — КТ; б — МРТ основания черепа в режиме Т1; в — в режиме Т2; г — в режиме non-EPI DWI.
Пациенту выполнена МРТ основания черепа по описанной методике (рис. 3, б—г).
В режиме Т1 и Т2 справа определяется очаг с высокой интенсивностью сигнала, тогда как в режиме non-EPI DWI патологических образований не выявлено. Диагноз: адгезивный средний отит справа, фиброзная облитерация аттика.
В связи с отсутствием данных о холестеатоме операция не производилась, выявленные изменения расценены как фиброзные изменения, оторея была обусловлена периодическим возникновением наружного отита. Больной получал консервативное лечение.
Результаты и обсуждение
Приведенные примеры характеризуют диагностически сложные ситуации, когда пациент перенес, например, несколько обострений, не было четко обозримой перфорации, когда можно было только заподозрить развитие холестеатомы, учитывая данные анамнеза, и, напротив, несколько перенесенных операций затрудняли дифференцирование холестеатомы от послеоперационных изменений.
Проведение пациентам КТ позволило определить мягкотканные образования, но они могли быть обусловлены грануляциями, полипами, рубцовой тканью, мозговой грыжей, а также холестеатомой. Предложенные нами клинические примеры можно разделить на 2 группы. 1-ю группу составили пациенты с хроническим гнойным средним отитом, где была заподозрена первичная холестеатома. Диагностическая сложность состояла в отсутствии явных клинических признаков, наличии косвенных признаков холестеатомы на КТ. 2-ю группу составили пациенты, которые были подвергнуты неоднократным оперативным вмешательствам, однако полного выздоровления не было достигнуто и было подозрение на развитие резидуальной холестеатомы в отшнурованных областях. Для определения наличия и точной локализации распространения резидуальной холестеатомы КТ не могла дать нам достоверной информации, потому что все патологические изменения выглядели абсолютно одинаково. Кроме того, у этих больных периодически возникали обострения, а это само по себе может давать затемнение на КТ. Поэтому нами было принято решение выполнить МРТ основания черепа. Это позволило в большинстве случаев с высокой степенью достоверности подтвердить наличие холестеатомы и верифицировать данный факт на операции, а в одном из примеров отвергнуть ее наличие.
В исследовании, проведенном P. Aikele и соавт. [9], была проведена оценка эффективности МРТ-исследования у пациентов, ранее оперированных по поводу холестеатомы. Из 17 пациентов у 13 холестеатома была выявлена на МРТ и верифицирована при повторном оперативном вмешательстве. Наименьший размер диагностированной холестеатомы составил 5 мм.
Согласно исследованиям B. De Foer и соавт. [10], режим non-EPI DWI позволяет определять холестеатому размером до 2 мм. По данным авторов, повторные оперативные вмешательства в послеоперационном контроле проводились в 62% случаев. С использованием новой методики этот процент снизился до 10%.
У нас в стране пока данный метод не получил широкого распространения, но результаты даже предварительных исследований показали, что МРТ — достоверный метод диагностики холестеатомы, но требуются дальнейшие исследования по определению его чувствительности и специфичности.
Заключение
Метод МРТ, особенно в режиме non-EPI DWI, эффективен в диагностически сложных случаях — при отсутствии явных клинических признаков холестеатомы, но существующем подозрении на нее. Метод также эффективен для диагностики резидуальной холестеатомы и рецидива и может применяться в качестве контроля у пациентов, ранее оперированных по поводу холестеатомы, не прибегая к повторным ревизиям.
Использование метода МРТ изменяет взгляд за закрытые типы операций, снимая последний сдерживающий фактор — трудность контроля. МРТ позволяет диагностировать рецидив холестеатомы и резидуальное заболевание и является абсолютно экономически эффективным методом [11].
Холестеатома уха

Существует врожденный вид холестеатомы и ложный вид. Симптоматика заболевания определяется разбуханием и болевыми ощущениями в области уха, пропаданием или снижением слуха, наличием выделений из уха. Диагностировать холестеатому уха поможет рентгенограф и компьютерная томография черепа, отоскопия, зондирование барабанной полости, также потребуется проведение анализа вестибулярного и слухового анализаторов. Холестеатома уха в основном будет лечиться с помощью радикального хирургического вмешательства. В редких случаях применяется промывание надбарабанной полости с локализованной в ней холестеатомой.
Осложнение холестеатомы уха
При быстром росте холестеатомы начинается разрушение костной ткани. Такое развитие ведет к разрушению и стенок костного канала лицевого нерва, что в результате провоцирует парез лицевого нерва. При разрушении стенок сигмовидного синуса развивается тромбоз синуса.
Давно сформировавшаяся капсула холестеатомы состоит из токсической жидкости. В случае изливания жидкости в подпаутинное пространство, происходит формирование асептического менингита. При попадании токсической жидкости в головной мозг, начинается развитие менингоэнцефалита. Такие осложнения могут провоцировать очень серьезные последствия, приводя даже к летальному исходу.
Причины возникновения холеастомы уха
При врожденной или истинной холестеатоме среднего уха капсула имеет гладкую поверхность, похожую на жемчуг, что и дало ей еще одно название «жемчужная опухоль». Образуется опухоль при сбоях еще на эмбриональных стадиях. Образуется капсула, как правило, в пирамиде кости виска.
Ложная, в отличие от врожденной (истинной) холестеатомы, развивается при запущенных или же продолжительных отитах. Также развитию опухоли может способствовать травма уха. Развивается холестеатома уха двумя способами:
- В первом случае распространение тканей слухового прохода в область среднего уха происходит по разрывном пути барабанной перепонки.
- Во втором же случае нарушается проходимоспособность слуховой трубы при формировании заболевания евстахиита. Внутреннее давление барабанной полости падает, что провоцирует всасывание части барабанной перепонки, это в итоге провоцирует скопление слущенного эпителия и развитие холестеатомы.
Симптомы холеастеатомы
Достаточно часто на начальной стадии холестеатома не беспокоит пациента и обнаруживается только когда она увеличивается в размерах. Только если опухоль образуется в черепномозговом пространстве, пациента начинают беспокоить головные боли, головокружения, бессонница, ухудшается зрение и память. Симптоматика заболевания часто зависит от месторасполоения образования.
Постепенно холестеатома увеличиваясь в размерах, вызывает в других органах и тканях сдавливающие ощущения.
При развитии опухоли в среднем ухе, у пациента возникают болевые ощущения, головная боль в области больного уха, головокружение, гнойные выделения из полости уха.
Процесс без наличия осложнений холестеатомы проходит без каких-либо ярко выраженных симптомов. Незначительное выделяемое, не выходящее из наружного слухового прохода и одностороннее снижение слуха часто не становятся причиной обращения к врачу, пациент обычно даже не подозревает о наличии заболевания. Выделяемое бывает незначительным, засыхающим в корочки, но зачастую это зловонное гнойное вещество с примесью масс эпидермиса.
Болевые ощущения в ухе, а также головная боль говорят о задержке выделений.
Также боли сигнализируют о возможном образовании осложнений внутри черепа. Наличие головокружения говорит о развитии свища наружного полукружного канала (ограниченный лабиринт) или о внутренних осложнениях черепа. При возникновении болей в области головы и нарушений вестибулярного аппарата, пациента сразу же госпитализируют для проведения различных обследований и для операции на ухе. Такая же схема применяется и к образовавшемуся парезу лицевого нерва.
Снижение слуха сопутствует эпитимпаниту. Упадок слуха может быть малозаметным, при небольшой перфорации и сохранности цепи слуховых косточек, но зачастую имеет более резко выраженные сбои, иногда на грани с глухотой. В отличие от мезотимпанитов, характерное нарушение звуковосприятия чаще бывает смешанным, так как после токсического воздействия на лабиринт, ухудшается аппарат, воспринимающий звуки.
Диагностика холестеатомы уха
Для диагностирования холестеатомы уха понадобится консультация не только отоларинголога, но еще невролога и нейрохирурга.
Рентгенография
Для определения и изучения холестеатомы уха проводят рад анализов. Следы холестеатомы уха достаточно часто помогает обнаружить рентгенография черепа. На рентгенограмме холестеатома выделяется как содержащая среднюю плотность однородная тень, она располагается в круглой патологической полости с гладкими различимыми краями. Такое изображение помогает специалисту выяснить размеры и месторасположение холестеатомы.
Компьютерная томография
Также иногда используется компьютерная томография, с ее помощью врач получает объемные изображения холестеатомы. Для наименьшего облучения пациенту проводят одну из процедур, рентген или компьютерную томографию.
Еще одним результативным анализом считается МРТ с контрастным веществом. МРТ не облучает больного, но при этом создает объемное изображение холестеатомы. Поступление контрастного вещества в организм перед проведением процедуры позволяет получить хорошего качества снимки мягких тканей. В ходе такого анализа выявляют размеры, форму образования и дефекты соседних структур уха.
Аудиометрия
При проведении аудиометрии выявляют уровень снижения слуха. Проводится анализ камертоном, этот анализ определяет проходимость слуховой трубы, электрокохлеографию, акустическую импедансометрию, отоакустическую эмиссию, вестибулометрию, электронистагмографию, стабилографию. Используя специальные наушники, через них пропускают звуки разной частоты и интенсивности, по показателям врач выявляет степень нарушения слуха у больного.
Тимпанометрия
Методом тимпанометрии оценивают подвижность барабанной перепонки, что позволяет исключить наличие жидкого вещества в среднем ухе. При проведении отоскопии появляется возможность определения перфорации краев в барабанной перепонке и признаков разрушения костных частей слухового прохода, при росте холестеатомы. Обнаружение краевой перфорации приводит к зондированию полости среднего уха пуговчатым зондом и полосканию надбарабанной области. При наличии разрушающего процесса поверхность кости будет шероховатая при пальцевом осмотре. Также о наличии холестеатомы уха, будет свидетельствовать наличие в промывном веществе чешуек эпидермиса.
Дополнительными анализами у больного с холестеатомой уха будут исследования слуха и вестибулярного анализатора. Холестеатому уха можно спутать с опухолями и другими инородными составляющими уха, кохлеарным невритом, серной пробкой, гломусной опухолью, адгезивным средним отитом, специфическими гранулемами при туберкулезе или сифилисе, для этого и проводится ряд вышеперечисленных исследований.
Лечение холестеатомы
Лечение холестеатомы практически всегда основывается на хирургическом вмешательстве. Консервативное лечение применяется только в том случае, если капсула образования небольших размеров и локализована в надбарабанном пространстве. При таком положении производят промывание надбарабанного пространства специализированным раствором. Такая процедура проводится каждый день в течение недели.
В остальных случаях проведение операции по удалению холестеатомы с последующим возобновлением пораженных частей ушной полости неизбежно. Чаще всего хирургические действия производят через барабанную перепонку. Лечение холестеатомы назначает только квалифицированный врач. После хирургических манипуляций, ухо имеет обостренную чувствительность по отношению к попаданию в него холодной воды или воздуха.
Данная статья размещена исключительно с целью ознакомления в познавательных целях и не является научным материалом или профессиональным медицинским советом. За диагностикой и лечением обратитесь к врачу.
Введите ваши данные, и наши специалисты свяжутся с Вами, и бесплатно проконсультируют по волнующим вас вопросам.
Врожденная холестеатома среднего уха - лучевая диагностика
Российский научно-практический центр аудиологии и слухопротезирования ФМБА России, Москва, Россия 117513;
Кафедра сурдологии РМАПО Минздрава России, Москва, Россия 123995
Отделение профилактики и коррекции нарушений слуха Российского научно-практического центра аудиологии и слухопротезирования ФМБА России, Москва, Россия 117513
Холестеатома наружного и среднего уха в детском возрасте
Журнал: Вестник оториноларингологии. 2015;80(1): 25‑27
Цель исследования — повышение эффективности диагностики холестеатомного поражения наружного и среднего уха в детском возрасте. У 66 детей с хроническим гнойным средним отитом и 1 ребенка с холестеатомой наружного слухового прохода проведены отоэндоскопия и КТ височных костей. Показано, что частый острый гнойный средний отит, экссудативный средний отит, адгезивный средний отит являются факторами риска развития холестеатомы среднего уха у детей. Представлены КТ-признаки холестеатомы среднего уха: склеротический или смешанный тип строения сосцевидного отростка, наличие патологического содержимого в эпитимпануме, гомогенный характер патологического содержимого в антруме, расширение адитуса, кариес стенок антрума, наличие мягкотканого содержимого вокруг слуховых косточек, деструкция длинного отростка наковальни и мягкотканое образование наружного слухового прохода.
Хронический гнойный средний отит (ХГСО) — заболевание, с которым нередко приходится сталкиваться ЛОР-врачу в повседневной практике. По данным М.Р. Богомильского и В.Р. Чистяковой [1], ХГСО встречается у 1% школьников и у 3—4% призывников. Проявления ХГСО: стойкая перфорация барабанной перепонки, периодическое или постоянное гноетечение, снижение слуха. Потеря слуха отрицательно сказывается в детском возрасте, поскольку приводит к нарушению развития как речевого, так и интеллектуального. По нашим данным, в большинстве случаев причиной ХГСО являются рецидивирующие острые воспаления среднего уха [2].
Особенно тяжело протекает ХГСО с холестеатомой, которая представляет собой эпидермальное образование, способное разрушать структуры среднего уха, приводя к стойкой тугоухости. Нельзя забывать и о более серьезных последствиях, таких как лабиринтит, парез лицевого нерва. Встречаются также внутричерепные осложнения, угрожающие жизни пациента: пахименингит, абсцесс мозга, гнойный разлитой менингит. Причиной данных осложнений является, прежде всего, анатомическая близость структур среднего уха к мозговым оболочкам [3].
Абсолютное большинство холестеатом уха (82—98%) являются приобретенными (вторичными) [4]. Врожденная (первичная) холестеатома среднего уха встречается реже, возникает в результате эктодермального дизонтогенеза в раннем периоде формирования эмбриона, являясь следствием эмбрионального остатка эпителиальных тканей [5].
Наиболее часто холестеатомное поражение среднего уха у детей диагностируется в возрасте 8—11 лет, мальчики болеют в два раза чаще, чем девочки [6].
Холестеатома наружного слухового прохода (НСП) — редкое заболевание. Однако следует помнить, что, проникая в барабанную полость, холестеатома НСП оказывает разрушительное действие на структуры среднего уха, приводя к снижению слуха, угрожает развитием внутричерепных осложнений. Наиболее частая причина формирования холестеатомы НСП — его стеноз, врожденный или приобретенный [4]. Вероятный механизм формирования холестеатомы НСП на фоне врожденного стеноза следующий: в процессе эмбрионального развития формирующийся эпителиальный пласт остается в замкнутом (стенозированном) пространстве, являясь в дальнейшем источником формирования холестеатомы. Другая причина развития холестеатомы НСП — посттравматическая. Длительное воспаление кожи НСП ведет к созданию условий, способствующих пролиферации эпителия.
Если причину развития холестеатомы НСП выявить не представляется возможным, такие случаи следует относить к идиопатической форме заболевания [4].
Применение современных диагностических методов дает возможность диагностировать ХГСО на ранних стадиях. Выполнение отоэндоскопии и отомикроскопии при первичном обращении пациента позволяет четко определить характер отоскопических изменений. Компьютерная томография височных костей с высокой точностью диагностирует локализацию патологического процесса, что позволяет выбрать тактику хирургического лечения, направленную на максимальное сохранение анатомических структур наружного и среднего уха.
Цель исследования — повышение эффективности диагностики холестеатомного поражения наружного и среднего уха у детей. Был определен ряд задач, среди которых основными были следующие: выявить факторы риска развития холестеатомы среднего уха у детей, изучить причины развития и определить характерные проявления холестеатомы наружного и среднего уха и признаки рецидива заболевания по данным компьютерной томографии височной кости у детей.
За период с 2011 по 2012 г. наблюдались 66 детей с ХГСО и 1 ребенок с холестеатомой наружного слухового прохода. Всем больным проведены отоэндоскопия и КТ височных костей.
Для решения задач исследования больные ХГСО были объединены в 3 группы в зависимости от локализации перфорации барабанной перепонки. В группу с врожденной холестеатомой относили больных с наличием интактной барабанной перепонки или аномалии развития органа слуха, а также пациентов с впервые выявленным полипом наружного слухового прохода, гноетечением и продолжительностью заболевания не более 1 мес при отсутствии ЛОР-анамнеза по отитам, у которых по данным КТ височной кости имеются значительные патологические изменения (5 наблюдений, 7,46%).
Больных с наличием ателектаза барабанной перепонки относили к группе с адгезивным средним отитом (4 больных, 6% случаев). Также была выделена группа пациентов с рецидивом заболевания — 18 (26,9%), которым ранее проводилось хирургическое лечение по поводу ХГСО (см. таблицу).

Группы больных в зависимости от формы заболевания
Всем больным проведено хирургическое лечение: консервативно-радикальных операций было выполнено 9 (13,4%), санирующих операций «зарытого типа» — 19 (28,4%), тимпанопластики разных типов были проведены в 19 (28,4) случаях, у 1 ребенка потребовалось проведение полипотомии (1,5%). Также в 1 (1,5%) случае была удалена холестеатома наружного слухового прохода. У 18 (26,8%) больных была проведена ревизия послеоперационной полости.
Анализ предрасполагающих факторов развития ХГСО показал, что больные эпитимпанитом и эпимезотимпанитом болели острым гнойным средним отитом более 3 раз в год (40% случаев).
Выяснилось, что роль экссудативного среднего отита (6,6%) и адгезивного среднего отита (15%) как причины ХГСО также велика в группах больных эпитимпанитом и эпимезотимпанитом.
У больных с врожденной холестеатомой причину заболевания в 4 (80%) случаях выявить не удалось, однако в 1 (20%) наблюдении был обнаружен порок развития среднего уха.
У больного с холестеатомой наружного слухового прохода причиной заболевания была травма НСП.
С целью изучения диагностических возможностей раннего выявления холестеатомы среднего уха нами были изучены КТ больных, у которых во время операции была обнаружена холестеатома (30 наблюдений).
Склеротический и смешанный тип строения сосцевидного отростка был выявлен у 24 (80%) больных, непневматизированное костное устье слуховой трубы — у 18 (60%), патологическое содержимое в барабанной полости — у 29 (99%), при этом содержимое в эпитимпануме определялось у 28 (95%), а гипотимпанум был свободный у 26 (75%) больных. Патологическое содержимое в антруме было выявлено у 25 (82%) больных, при этом содержимое в антруме гомогенного характера — у 24 (80%). Кариес стенок антрума регистрировался у 13 (45%) человек, расширение адитуса — у 13 (43%), кариес стенок барабанной полости — у 12 (42%), кариес слуховых косточек — у 19 (63%) больных, патологическое содержимое вокруг слуховых косточек — у 27 (90%), деструкция длинного отростка наковальни — у 15 (50%). Блок ниши окна преддверия наблюдался у 21 (70%) человека, блок ниши окна улитки — у 17 (58%), мягкотканое образование наружного слухового прохода — в 7 (24%) наблюдениях.
Анализ хирургических данных показал, что у всех больных эпитимпанитом, эпимезотимпанитом и адгезивным средним отитом была обнаружена холестеатома.
При выполнении КТ височных костей пациентам, которым ранее были выполнены санирующие операции, во всех 18 (100%) наблюдениях было выявлено мягкотканое образование в послеоперационной полости, из них у 15 (83%) — кариозные изменения стенок полости. При ревизии послеоперационной полости холестеатома была выявлена в 14 (78%) ушах из 18. В 4 (22%) случаях данных за холестеатомное поражение не было, а рецидив заболевания был обусловлен у 3 (17%) пациентов грибковым поражением и у 1 — выраженным грануляционным процессом.
Выводы
Частые острый гнойный средний отит, экссудативный средний отит, адгезивный средний отит являются факторами риска холестеатомы среднего уха у детей.
Признаками холестеатомы среднего уха по данным КТ височной кости являются склеротический или смешанный тип строения сосцевидного отростка, наличие патологического содержимого в эпитимпануме, гомогенный характер патологического содержимого в антруме, расширение адитуса, кариес стенок антрума, наличие мягкотканого содержимого вокруг слуховых косточек, особенно в нише окна преддверия, деструкция длинного отростка наковальни и мягкотканое образование наружного слухового прохода.
Всем больным с подозрением на рецидив холестеатомы следует проводить отоэндоскопию и/или отомикроскопию, а при обнаружении патологического содержимого в послеоперационной полости — КТ височной кости.
Признаками рецидива холестеатомы по данным КТ височных костей являются кариозные изменения стенок послеоперационной полости и наличие мягкотканого образования.
Дифференциальную диагностику рецидива холестеатомы необходимо проводить с грибковым поражением послеоперационной полости. Для уточнения диагноза необходимо микроскопическое, а также микробиологическое исследование содержимого из уха для исключения отомикоза.
В целом наши исследования показали, что применение КТ височных костей позволяет диагностировать распространенность патологического процесса, выявить наличие кариозных изменений структур среднего уха.
Выявляемость холестеатомы при эпитимпаните и эпимезотимпаните по данным КТ височных костей достигает 100%. Своевременное обнаружение данной патологии позволит провести максимально щадящее хирургическое лечение, что является определяющим в сохранении слуха пациентов.
Холестеатома
Холестеатома гистологически эквивалентна эпидермоидной кисте, содержит слущеный многослойный плоский ороговевающий эпителий, образующий матрикс. Как правило, сопровождается тугоухостью, степень которой зависит от давности и степени разрушения элементов звукопроводящей системы.
Патология
Объемное образование выстланное эпителием (обращенным внутрь), за счет чего характеризуется продолжающимся ростом. Содержит большое количество кристалов холестерина, благодаря чему и имеет данное название, хотя термин "кератома" гистологически возможно был бы более подходящим.
Холестеатомы височной кости и среднего уха делятся на:
- врожденные холестеатомы: составляют только 2%
- приобретенные холестеатомы: 98%
- первичные (без хронического отомастоидита в анамнезе)
- вторичные (подовляющее большинство):
- натянутая часть барабанной перепонки
- ненатянутая часть барабанной перепонки
Диагностика
Всем пациентам с подозрением на холестеатому рекомендовано проведение рутинной МРТ без контрастного усиления, с получением диффузионно-взвешенных изображений. Пациентам имеющим в анамнезе операцию по поводу холесетатомы исследование назначается для выявления рецидива или наличия остаточной опухоли - так как отрицательные результаты МРТ позволяют избежать диагностической операции.
Стандартное обследование включает в себя получение Т2 взвешенных серии в корональной и аксиальной плоскостях, с дополненных серией non-ЕРI DWI (B-фактор 0, 1000). На изображениях DWI с B-фактором 1000 с/мм2 холестеатомы визуализируются, в виде области гиперинтенсивного МР сигнала. Интенсивность МР сигнала должна быть выше, чем на изображениях с B-фактором 0 с/мм2. На ИКД в зоне патологии благодаря ограничению диффузии определяется сигнал низкой интенсивности.
На 1.5 Тл магнитно-резонансном томографе можно выявить холестеатомы разменами от 2 мм и более.
Рецидивирующие холестеатомы диагностируются со 100% специфичностью.КТ-сканирование дополнянет МРТ в предоперационном планировании позволяя выявить наличие кариозных изменений структур среднего уха, исключить перфорацию крыши, получить реконструкцию слуховых косточек. Патологический процесс начинающийся в пространстве Пруссака обычно распространяется кзади, сочетаясь с медиальным смещением молоточка и наковальни.
Дифференциальный диагноз
- холестероловая гранулема
- воспаление
В отличие от холестеатомы указанные процессы сопровождаются повышением МР сигнала на ИКД изображениях.
Дальнейшая дифференциальная диагностика проводится между:
- серной пробкой: имеет аналогичные холестеатоме характеристики на изображениях, но находится во наружном слуховом проходе
- абсцесс среднего уха: может иметь схожий паттерн/результаты визуализации, но характеризуется совершенно иной клинической картиной
Ключевые моменты
Важными моментами, которые необходимо отразить в описании КТ исследования по поводу холестеатомы, являются:
Холестеатома уха — это опухолевидное инкапсулированное образование среднего уха, состоящее преимущественно из клеток слущенного эпителия и кристаллов холестерина. Различают истинную (врожденную) и ложную холестеатому уха. Проявляется заболевание ощущением распирания и болями в ухе, снижением слуха смешанного типа, небольшим количеством имеющих гнилостный запах выделений из уха. Холестеатома уха диагностируется при помощи рентгенографии и КТ черепа, отоскопии, зондирования и промывания барабанной полости, исследований вестибулярного и слухового анализаторов. Лечение холестеатомы уха в большинстве случаев заключается в радикальном хирургическом удалении. Иногда возможно промывание надбарабанной полости с расположенной в ней холестеатомой.
МКБ-10
![Холестеатома уха]()
![КТ височных костей. Деструкция сосцевидного отростка, сосцевидной пещеры, пирамиды и среднего уха правой височной кости, обусловленная холестеатомой]()
![МРТ головы. Гиперинтенсивный сигнал в области сосцевидной пещеры, сосцевидного отростка и пирамиды правой височной кости (холестеатома)]()
Общие сведения
Холестеатома - эмбриональное или (чаще) приобретенное псевдоопухолевое образование, происходящее из тканей среднего уха. В 90% случаев она появляется на фоне хронического гнойного среднего отита. В популяции частота гнойный отитов, осложненных холестеатомой, составляет 0,01%. Заболеванием чаще страдают дети старше 10 лет и взрослые 20-30 лет. У детей патология протекает более агрессивно с многократными рецидивами.
![Холестеатома уха]()
Причины
Холестеатома уха может иметь врожденный характер. В таких случаях она носит название истинной. Благодаря гладкой, напоминающей поверхность жемчужины, капсуле истинную холестеатому уха называют еще «жемчужной опухолью». Она возникает вследствие эмбриональных нарушений и располагается в пирамиде височной кости. Истинная холестеатома может также находиться в других костях черепа, в боковой цистерне и желудочках головного мозга.
Ложная холестеатома уха образуется в результате длительно протекающих отитов или как последствие травмы уха. Считается, что образование ложной холестеатомы уха возможно 2 путями. В первом случае происходит врастание плоского эпителия наружного слухового прохода в полость среднего уха через краевой разрыв барабанной перепонки. Второй механизм образования холестеатомы уха реализуется при нарушении проходимости слуховой трубы в связи с евстахиитом. В результате пониженного давления в барабанной полости происходит втяжение в нее части барабанной перепонки. Когда втяжение становится достаточно глубоким, в нем начинает накапливаться кератин и слущенный эпителий, что ведет к развитию холестеатомы уха.
Патогенез
Холестеатома уха не является истинной опухолью уха, хотя по своему внешнему виду и характеру роста напоминает опухолевое образование. Холестеатома уха имеет слоистую структуру. Сверху она покрыта капсулой из соединительной ткани, под которой находится ороговевающий плоский эпителий. Средний слой холестеатомы уха представлен наложенными одна на другую пластинами слущенного эпителия и расположенными между ними кристаллами холестерина. Центральную часть холестеатомы уха или ее ядро занимает имеющий гнилостный запах беловатый детрит.
Холестеатома уха может быть единичным образованием или представляет собой скопление большого количества узелков, имеющих плотную консистенцию и размер от 3 мм. Холестеатома уха выделяет специфические химические вещества, которые приводят к резорбции окружающих холестеатому костных тканей с образованием гладкостенной полости. Кроме того, эти вещества оказывают токсическое воздействие на рецепторный аппарат внутреннего уха, вызывая расстройство звуковосприятия и реактивный лабиринтит.
Симптомы холестеатомы уха
В начальном периоде холестеатома уха может иметь бессимптомное течение. Затем пациент начинает предъявлять жалобы на чувство распирания в ухе, появление тупой, давящей, ноющей или стреляющей ушной боли. Происходит понижение слуха. Возможны головные боли, при развитии лабиринтита — головокружения. Наблюдаются выделения из уха, которые обычно имеют гнилостный запах и носят скудный характер. Отличительной особенностью является обнаружение в отделяемом небольших комочков белого цвета.
При холестеатоме уха тугоухость имеет смешанный характер. С одной стороны она обусловлена нарушением звукопроведения в связи с ограничением подвижности слуховых косточек, а с другой — расстройством звуковосприятия в результате токсического поражения рецепторов лабиринта проникающими в него агрессивными выделениями холестеатомы.
Осложнения
Разрушая рядом расположенные костные образования, холестеатома уха увеличивается в размерах. Так она со временем заполняет ячейки сосцевидного отростка, доходит до капсулы лабиринта и способна разрушить его полукружные канальцы с образованием фистулы лабиринта. При разрушении коркового слоя сосцевидного отростка холестеатома уха выходит под кожу сосцевидной области.
Разрушение стенки косного канала лицевого нерва ведет к развитию пареза лицевого нерва, стенки сигмовидного синуса — к его тромбозу. Зачастую холестеатома уха достигает размера грецкого ореха и имеет расходящиеся в различных направлениях отростки. При этом она образует гигантскую полость, похожую на полость, остающуюся после общеполостной операции на ухе.
Старая холестеатома уха включает содержащие токсическую жидкость кисты, прорыв которых в подпаутинное пространство приводит к развитию асептического менингита, в вещество головного мозга — к появлению менингоэнцефалита. Эти осложнения могут привести к гибели больного от отека головного мозга. Обострение среднего отита часто сопровождается гнойным распадом холестеатомы уха, обуславливающим развитие гнойного лабиринтита и менингита, околосинусового и экстрадурального абсцесса, абсцесса головного мозга, отогенного сепсиса.
Диагностика
К диагностике холестеатомы уха могут привлекаться не только врачи-отоларингологи, но также неврологи и нейрохирурги. В современной отоларингологии используется комплекс визуализирующих и функциональных методик:
- Рентгенография височных костей. На рентгенограммах в проекции по Майеру, Шюллеру или Стенверсу холестеатома определяется как имеющая среднюю плотность однородная тень, которая находится в круглой патологической полости с гладкими и четко визуализирующимися краями. Более точную визуальную картину образования получают при проведении КТ и МСКТ черепа.
![КТ височных костей. Деструкция сосцевидного отростка, сосцевидной пещеры, пирамиды и среднего уха правой височной кости, обусловленная холестеатомой]()
КТ височных костей. Деструкция сосцевидного отростка, сосцевидной пещеры, пирамиды и среднего уха правой височной кости, обусловленная холестеатомой
- Эндоскопия уха. При отоскопии возможно обнаружение краевой перфорации барабанной перепонки, признаков деструкции костной части слухового прохода, обусловленных разрастанием холестеатомы. При наличии краевой перфорации производят зондирование полости среднего уха пуговчатым зондом и промывание надбарабанного пространства. О наличии деструктивного процесса свидетельствует шероховатая при прощупывании поверхность кости. В пользу холестеатомы уха говорит присутствие в промывных водах включений и чешуек эпидермиса.
- Исследование слухового анализатора. Дополнительно у пациентов с холестеатомой уха проводят исследование слуха и вестибулярного анализатора. Аудиометрия выявляет снижение слуха, пороговая аудиометрия — смешанный тип тугоухости. Производят также исследование камертоном, определение проходимости слуховой трубы, электрокохлеографию, акустическую импедансометрию, отоакустическую эмиссию, вестибулометрию, электронистагмографию, стабилографию, непрямую отолитометрию.
- Неврологическая диагностика. В диагностике осложнений может применяться неврологический осмотр, МРТ головного мозга, люмбальная пункция и др.
![МРТ головы. Гиперинтенсивный сигнал в области сосцевидной пещеры, сосцевидного отростка и пирамиды правой височной кости (холестеатома)]()
МРТ головы. Гиперинтенсивный сигнал в области сосцевидной пещеры, сосцевидного отростка и пирамиды правой височной кости (холестеатома)
Холестеатому уха необходимо дифференцировать от опухолей и инородных тел уха, кохлеарного неврита, серной пробки, гломусной опухоли, адгезивного среднего отита, специфических гранулем при туберкулезе и сифилисе.
Лечение холестеатомы уха
Консервативная тактика
Консервативное лечение возможно лишь в случае небольшой холестеатомы уха, находящейся в надбарабанном пространстве. Терапия таких холестеатом заключается в промывании надбарабанного пространства растворами протеолитических ферментов и борной кислоты. Начинают и заканчивают процедуру промыванием полости изотоническим раствором. Подобную манипуляцию проводят ежедневно в течение недели.
Хирургическое лечение
При неэффективности консервативного лечения, большом размере холестеатомы уха, наличии осложнений показано радикальное удаление образования. В зависимости от распространенности холестеатомы хирургическое вмешательство может включать:
- санирующую операцию на среднем ухе;
- лабиринтотомию;
- транслабиринтное вскрытие пирамиды височной кости;
- тимпанпластику, мастоидопластику, мирингопластику и пр.
Прогноз и профилактика
В случае своевременного выявления, последовательного консервативного или радикального хирургического лечения холестеатомы прогноз благоприятный. В отдельных случаях возможны рецидивы процесса. В запущенных стадиях возможно развитие тугоухости, жизнеугрожающих внутричерепных осложнений. Профилактика холестеатомы заключается в предупреждении ХГСО, своевременном лечении воспаления среднего уха.
Читайте также:
- Признаки рака легкого
- Техника операции при аневризме брюшной аорты. Методика операции при аневризме аорты.
- Ожоги глаз. Классификация ожогов глаз. Клиника ( признаки ) ожога глаза.
- Регуляция секреции гормонов. Отрицательная обратная связь при секреции гормонов
- Предфронтальная кора мозга: функции, признаки повреждения лобной доли




