Зубчатая аденома толстой кишки: особенности и лечение зубчатой аденомы
Добавил пользователь Евгений Кузнецов Обновлено: 11.12.2025
Пациенты с новообразованиями пищеварительной системы получают помощь компетентных врачей в Отделе абдоминальной онкологии. Специалисты используют малоинвазивные методы хирургии. Они проводят эффективное лечение зубчатых аденом толстой кишки.
Эти образования по своей морфологии относятся к гиперпластическому типу полипов и встречаются в 0,6-1,8 % случаев. Они делятся на классические (традиционные) и «сидячие» аденомы. По внешнему виду образования являются плоскими и чаще всего локализуются в проксимальных отделах толстого кишечника. Они имеют слизистую «шапочку», что затрудняет их обнаружение.
Узнать цены на платные услуги
Диагностика зубчатых аденом
Своевременное лечение позволяет предупредить перерождение этих образований в аденокарциному. Симптомами патологии являются:
- дискомфорт и боль при дефекации;
- слизь в кале;
- кровь при опорожнении;
- тяжесть внизу живота;
- нестабильность стула;
- зуд заднего прохода;
- ощущение инородного предмета в кишечнике.
Для диагностики зубчатых аденом применяются такие методы:
- пальцевое обследование прямой кишки;
- эндоскопическое исследование;
- ректороманоскопия;
- ирригоскопия;
- колоноскопия.
Сидячие зубчатые аденомы — плоские образования, слегка приподнятые, имеют правильную или неправильную овальную форму. Они покрыты желтоватой слизью и окаймлены венчиком кишечного содержимого, фестончатый край обнаруживается после его смывания. Традиционные зубчатые аденомы являются полиповидными образованиями на тонком основании или ножке. Они ветвящиеся, крупно-дольчатые, имеют ярко-розовый цвет и покрыты светлой слизью.
Лечение зубчатых аденом

Локализация аденомы разнообразна
Аденома состоит из фиброзных ворсин
Терапия такого заболевания является хирургической, поскольку медикаментозные методы не приносят положительного результата. Удаление зубчатых аденом проводится эндоскопическим методом. Для этого используют одномоментную петлевую электроэксцизию или мукозэктомию единым блоком.
Преимущества нашей клиники
- В отделении есть все необходимое оборудование для проведения диагностики.
- Оказываем оперативную и профессиональную медицинскую помощь.
- В штате более 600 кандидатов наук.
- У нас вы можете пройти лечение в комфортных условиях.

Трушин Антон Александрович
врач-хирург онкологического
отделения №1
В 2010 году окончил лечебный факультет Санкт-Петербургского Государственного Медицинского Университета им. акад.
И.П. Павлова

Скуридин Паата Михайлович
В 2001 году окончил Санкт-Петербургский Государственный Медицинский Университет им. акад. И.П. Павлова по специальности лечебное дело.
В 2003 году окоончил клиническую ординатуру в МАПО по специальности «хирургия».

Тен Олег Андреевич
В 2010 году окончил лечебный факультет ГОУВПО СПГМА им. И.И. Мечникова. В 2011 году прошел интернатуру по специальности «хирургия» ГОУВПО
СПГМА им. И.И. Мечникова, на базе ГБУ НИИ СП им. И.И.Джанелидзе.
В 2012 году повышение квалификации по циклу «хирургия сочетанных повреждений».

Купенская Татьяна Владимировна
В 2001г. окончила Санкт-Петербургский Государственный Университет им. акад. И.П. Павлова.
С 2002г. по 2003г. проходила клиническую ординатуру в НИИ онкологии им. Н.Н. Петрова на химиотерапевтическом отделении.

Смирнов Александр Александрович
В 1997 году поступил на педиатрический факультет Санкт-Петербургской Государственной Педиатрической Медицинской Академии, которую закончил в 2004 году.
В том же году поступил в интернатуру по хирургии в СПбМАПО, которую закончил в 2005 году.

Блинов Егор Владимирович
В 2011 году окончил лечебный факультет Санкт-Петербургского Государственного Медицинского Университета им. акад. И.П. Павлова.
В 2012 году прошел интернатуру по специальности «Хирургия» на базе онкологического отделения Санкт-Петербургского Государственного Медицинского Университета им. акад. И.П. Павлова.

Марина Магомедовна Саадулаева
Марина Магомедовна Саадулаева окончила в 2008 г. Новгородский государственный университет им. Ярослава Мудрого, факультет «Лечебное дело».
В 2010 г. окончила клиническую ординатуру по специальности «Хирургия» в Северо-Западном государственном медицинском университете им. И. И. Мечникова.
Тубулярная аденома
Тубулярная аденома — одна из разновидностей колоректальных полипов. Она относится к доброкачественным новообразованиям прямой кишки, но несмотря на это может представлять серьезную опасность. Со временем любая доброкачественная опухоль под воздействием ряда неблагоприятных факторов может трансформироваться в злокачественную. Вместе с тем тубулярная аденома в большинстве случаев не проявляет себя клинически и чаще всего становится случайной диагностической находкой во время обследования по другой причине. Своевременное выявление тубулярной аденомы и ее удаление позволяет избежать ее озлокачествления и трансформации в раковую опухоль.
Общая информация
Аденома кишечника — доброкачественная опухоль, исходящая из эпителиальной выстилки органа. Она имеет четкие границы и состоит из железистого эпителия. Тубулярная аденома толстой кишки — один из трех гистологических вариантов (сюда также относятся тубулярно-ворсинчатая и ворсинчатая аденомы) колоректальных полипов. Критерием деления на три вида является соотношение в полипе железистых и соединительнотканных (ворсинчатых) структур.
Тубулярная аденома считается самым распространенным гистологическим вариантом полипов толстой кишки. Она имеет вид опухолевого узла с гладкой дольчатой поверхностью. Тубулярная аденома крепится к слизистой кишки тонкой ножкой. Реже встречаются варианты новообразования на широком основании, которые расстилаются по поверхности слизистой оболочки и слегка выступают над ней.
В зависимости от локализации новообразования, диагноз может звучать как «аденома ободочной кишки» или « аденома сигмовидной кишки ». Также встречается тубулярная аденома слепой кишки и тубулярная аденома прямой кишки - здесь, как и в толстой кишке, могут возникать такие новообразования.
Тубулярная аденома представлена активно пролиферирующей железистой тканью и состоит из длинных, извилистых и ветвящихся в разные стороны мельчайших трубок. На долю ворсинчатой ткани в новообразовании приходится не более 20-25%. Основание аденоматозного узла покрыто слизистой тканью, здесь же имеются капилляры и венулы, а также гладкомышечные клетки.
Локализация тубулярной аденомы в толстом кишечнике может быть различной: от слепой до прямой кишки. По статистике, частота ее возникновения в левых отделах толстой кишки (терминальная часть поперечной ободочной кишки и селезеночный изгиб, нисходящая ободочная и сигмовидная кишка) значительно выше и составляет до 80%. Кроме того, тубулярная аденома нередко возникает в прямой кишке (до 10% случаев). Доброкачественные новообразования могут быть как единичными, так и множественными, диффузно рассеянными по всей толстой кишке.
Существует мнение о том, что все три типа аденоматозных полипов (тубулярный, тубулярно-ворсинчатый и ворсинчатый) являются последовательными стадиями и переходят один в другой с течением времени и ростом новообразования.
Причины
До сих пор нет единого мнения о механизме развития доброкачественных новообразований кишечника. К факторам риска, при которых повышается вероятность того, что возникнет аденома прямой кишки или толстой кишки, относятся :
- погрешности в питании — избыточное потребление жирной и мясной пищи и недостаток растительных волокон;
- склонность к запорам;
- наличие хронических воспалительных процессов в слизистой желудочно-кишечного тракта;
- заболевания печени и желчевыводящих путей.
К немодифицируемым факторам риска образования полипов также относится возраст и генетическая предрасположенность. Доказана прямая зависимость между старением организма и появлением доброкачественных новообразований. Пик встречаемости тубулярных аденом приходится на возраст 50-65 лет.
Роль наследственности также играет большое значение в развитии полипов кишечника: существует множество заболеваний, связанных с генетической предрасположенностью. Например, диффузный семейный полипоз, синдром аденоматозного полипоза — типичные примеры генетически наследуемых форм полипов толстой кишки. Некоторые из этих заболеваний характеризуются образованием множественных доброкачественных опухолей на протяжении всей толстой кишки и высоким риском онкологической трансформации.
Клинические проявления
Большинство тубулярных аденом не приводят к появлению каких-либо специфических симптомов. Они выявляются случайно при полном обследовании по поводу другого заболевания желудочно-кишечного тракта. Относительно редко пациенты могут жаловаться на появление слизисто-кровянистых выделений из заднего прохода, преимущественно после акта дефекации. К неспецифическим симптомам, которыми проявляется тубулярная аденома кишечника , также можно отнести субъективный дискомфорт в кишечнике, изменения стула по типу диареи или запоров.
При наличии в толстой кишке большого полипа может развиться обтурационная кишечная непроходимость. Ее возможные симптомы — приступообразные интенсивные боли, которые с прогрессированием заболевания становятся постоянными, задержка каловых масс и газов, вздутие живота, рвота. Без своевременной медицинской помощи состояние пациента быстро ухудшается, что может привести к летальному исходу.
Неблагоприятные последствия
Тубулярная аденома может стать причиной рака толстой кишки. Риск трансформации в раковую опухоль увеличивается в пожилом возрасте и при длительном нахождении полипа на слизистой оболочке. Кроме того, имеется ряд дополнительных факторов, увеличивающих вероятность озлокачествления тубулярной аденомы:
- количество полипов — чем больше доброкачественных опухолей, тем выше риск появления рака толстой кишки;
- размер — имеются данные, что доброкачественные новообразования более 5 мм в диаметре имеют более высокий онкогенный потенциал;
- толщина основания — тубулярные аденомы на тонкой длинной ножке подвергаются злокачественной трансформации значительно реже, чем полипы на широком основании.
Аденоматозный эпителий относится к неопластическим, то есть в нем могут происходить диспластические процессы различной степени выраженности.
Дисплазия — комплекс патоморфологических изменений, которые характеризуются нарушением нормальной дифференцировки клеток. При этом развивается их атипия (укрупнение ядер, изменение формы, повышение митотической активности и др.), утрачивается полярность и нарушается гистологическая структура ткани.
Последовательность патологических процессов представлена следующей цепочкой:
- дисплазия легкой степени,
- умеренная дисплазия,
- тяжелая дисплазия,
- рак in situ,
- инвазивная опухоль.
В случае дисплазии патологические изменения затрагивают лишь эпителиальный пласт. О раке in situ (carcinoma in situ) говорят в случаях, когда злокачественная опухоль находится на начальной стадии развития. При этом выявляются раковые клетки в эпителии, но не происходит их распространения на базальную мембрану и нижележащие ткани. Такая опухоль отличается медленным ростом и не метастазирует. О раке толстой кишки говорят в случае инвазии раковых клеток в слои, расположенные под эпителием.
Диагностика и лечебная тактика
Для визуализации доброкачественных новообразований применяются методы эндоскопической диагностики: фиброколоно- или ректороманоскопия. Метод колоноскопии является более предпочтительным, потому что дает возможность осмотреть всю слизистую толстой кишки до места перехода в тонкую. Вспомогательное значение имеет ирригоскопия — контрастное рентгенологическое исследование.

Во время фиброколоноскопии врач может не только выявить доброкачественное новообразование, но и удалить его эндоскопическим методом. В сомнительных случаях сначала берут биопсию полипа, а после получения гистологического заключения приступают к полипэктомии. Под микроскопом в ткани новообразования может быть обнаружена тубулярная структура , и это позволяет подтвердить диагноз. Существует такой патоморфологический диагноз, как low grade аденома . Так называют низкодифференцированные новообразования, которые с высокой вероятностью могут трансформироваться в злокачественные опухоли - карциномы.
Объем диагностической программы определяется лечащим врачом индивидуально. Пациентам рекомендуется пройти полное обследование желудочно-кишечного тракта (ФГДС, УЗИ брюшной полости). Среди дополнительных исследований — компьютерная и магнитно-резонансная томография органов брюшной полости и малого таза.
Единственный рациональный способ лечения эпителиальных новообразований — хирургический. Консервативная терапия не способна привести к регрессии полипа. Большинство тубулярных аденом, расположенных в толстой кишке, удаляется эндоскопическим методом во время проведения диагностической фиброколоноскопии. Само новообразование отправляют на гистологическое исследование, целью которого является определение морфологической структуры полипа и исключение раковой трансформации его клеток.
Среди осложнений после эндоскопической полипэктомии различают следующие:
- кровотечение из ложа удаленной тубулярной аденомы — встречается нечасто благодаря эндоскопическому гемостазу во время фиброколоноскопии;
- перфорация стенки толстой кишки — редкое осложнение, наблюдающееся при удалении больших полипов, как правило, на широком основании;
- дискомфорт или боли внизу живота;
- общие симптомы — слабость, головокружение, ощущение разбитости.
У большинства пациентов восстановление после полипэктомии проходит без осложнений. В реабилитационный период следует придерживаться ряда рекомендаций:
- исключить физическое и психоэмоциональное перенапряжение;
- соблюдать принципы здорового образа жизни и отказаться от вредных привычек;
- не допускать запоров и чрезмерного натуживания при посещении туалета;
- исключить переедания и «вредную» пищу: жирные, жареные и пряные блюда.
В случае множественных полипов процедура эндоскопической полипэктомии может быть проведена повторно. Большинство врачей-эндоскопистов и колопроктологов придерживаются мнения о том, что за одну фиброколоноскопию не следует удалять более четырех доброкачественных новообразований. Связано это с непосредственной травматизацией слизистой оболочки толстой кишки и закономерным ростом вероятности осложнений, а также с увеличением продолжительности процедуры, что может доставить значительный дискомфорт пациенту.
Профилактика
Для предупреждения развития тубулярных аденом и других морфологических вариантов полипов следует исключить факторы риска. Пациентам необходимо скорректировать образ жизни и питание, избегать запоров, отказаться от вредных привычек и следить за состоянием здоровья. При наличии заболеваний желудочно-кишечного тракта необходимо регулярно проходить комплексное обследование и придерживаться рекомендаций лечащего врача.
Пациентам среднего и старшего возраста рекомендуется ежегодно проходить диагностическое эндоскопическое исследование толстого кишечника. Современный вариант подразумевает проведение процедуры под внутривенным наркозом, что избавляет пациента от психоэмоционального дискомфорта и каких-либо неприятных ощущений.
Тубулярная аденома толстой кишки
Тубулярная аденома толстой кишки представляет собой доброкачественное новообразование на ножке или широком основании, исходящее из эпителия толстой кишки и возвышающееся над ней. Тубулярная аденома относится к аденоматозным полипам, которые, согласно современным представлениям, относятся к предраковым заболеваниям толстой кишки, чем и объясняется пристальное внимание врачей-колопроктологов к этой проблеме.
Тубулярная аденома толстой кишки: в чём её особенности
Аденомы толстой кишки встречаются чаще у мужчин, нежели у женщин, и преимущественно у лиц пожилого возраста. Тубулярные аденомы могут иметь разный размер, но чаще встречаются небольшие, до 1 см в диаметре. При исследовании толстой кишки может быть выявлена как одна солитарная аденома, так и несколько. Существует мнение, что именно многочисленные аденомы толстой кишки являются облигатным предраком, то есть имеют практически стопроцентный риск перерождения в злокачественную опухоль.
Тубулярная аденома — наиболее часто встречающийся вид аденоматозных полипов толстой кишки, по данным литературы, они встречаются в 75-87% случаев. Может быть выявлена в любом отделе кишки. Особенностью тубулярной аденомы является её гистологические строение, определяемое преимущественно тубулярными, как следует из названия, структурами. На микроскопическом уровне тубулярная аденома толстой кишки состоит из железистых трубочек, более длинных, нежели в обычной слизистой.
Макроскопически тубулярные аденомы имеют ножку и гладкую дольчатую поверхность, реже — широкое основание. По окраске они похожи на окружающую слизистую оболочку, но имеют более плотную консистенцию, смещаются вместе со слизистой оболочкой, редко кровоточат и изъязвляются.
Помимо тубулярных аденом, выделяют ещё два типа — тубуло-ворсинчатая аденома и ворсинчатая аденома. Из перечисленных трех тубулярные аденомы обладают наименьшим потенциалом к озлокачествлению (хотя его нельзя исключить полностью), но со временем в их структуре могут появляться и начать преобладать ворсинчатые компоненты, то есть тубулярная аденома способна превратиться в тубуло-ворсинчатую, а потом в ворсинчатую, у которой риск перерождения в злокачественную опухоль уже значителен.

Тубулярная аденома толстой кишки с дисплазией
Каждая из выявленных аденом вне зависимости от типа и строения имеет признаки дисплазии. Выделяют три степени дисплазии:
- Слабая - тубулярная аденома low grade. Важно понимать, что степень дисплазии - это не описание гистологического строения новообразования. Такие аденомы могут быть разных гистологических типов. Например, после исследования под микроскопом из лаборатории может прийти заключение, в котором указана тубуло-ворсинчатая аденома толстой кишки с дисплазией low-grade или тубулярная аденома с дисплазией эпителия low grade.
- Умеренная - такой дисплазией называют ту, что выше низкой, но ниже высокой.
- Тяжелая (или высокая) - тубулярная аденома с дисплазией high grade.
Часто пациенты просят объяснить простыми словами: «дисплазия low grade - что это?». Этот термин употребляют, когда ткань аденомы имеет строение, наиболее сильно напоминающее нормальную ткань. Соответственно, high grade - это степень дисплазии, при которой ткань аденомы сильно отличается от нормальной, и наиболее высокая вероятность, что она превратится в злокачественную опухоль.
Определяется степень дисплазии при гистологическом исследовании удалённой аденомы по ряду признаков. Диагностируются преимущественно аденомы со слабой степенью дисплазии. Чем больше размер аденомы и чем старше пациент, тем больше риск развития аденомы с признаками дисплазии тяжелой степени. Степень дисплазии является одним из важнейших факторов озлокачествления аденомы наряду с её размером, локализацией, длительностью заболевания и замещением тубулярной структуры на ворсинчатую. Крайняя степень дисплазии обычно уже приравнивается к раку in situ. При этом сама по себе дисплазия эпителия не является раком, но, поскольку она является по сути своей нарушением нормального тканевого строения части органа, в данном случае толстой кишки, то может при дальнейшем прогрессировании и нарастании степени её тяжести привести к появлению опухолевых клеток.
Причины развития
Основная причина развития тубулярных аденом на данный момент не установлена, однако определены факторы, которые могут привести к их появлению.
Важную роль в развитии тубулярной аденомы толстой кишки играет наследственность.
Диффузный наследственный полипоз и синдром семейного аденоматозного полипоза толстой кишки — заболевания, при которых развиваются множественные аденомы толстой кишки, в том числе и тубулярные, которые обладают высочайшим риском перерождения в рак. Поэтому больным с такими синдромами требуется как можно более раннее хирургическое лечение, а их ближайшим родственникам — тщательное скрининговое наблюдение.
К другим причинам развития тубулярных аденом можно отнести следующие:
- Диета с преобладанием рафинированных продуктов, животных жиров и недостаточным потреблением клетчатки.
- Дисбактериоз толстой кишки, так как при этом состоянии нарушается локальный иммунитет и восстановление слизистой оболочки кишечной стенки.
- Хронические заболевания толстого кишечника, в первую очередь воспалительные.
- Дивертикулез.
- Частые запоры и дискинезия кишечника.
- Гиподинамия, избыточная масса тела.
Диагностика и лечение
Аденомы толстой кишки обычно не проявляют себя какой-либо симптоматикой и являются случайной находкой при скрининге или обследовании по поводу других жалоб.
В редких случаях тубулярная аденома толстой кишки может кровоточить, что становится поводом обращения к врачу. Кроме того, больные могут предъявлять жалобы на боли в животе, частые запоры или диарею.
Золотым стандартом диагностики является колоноскопия. Помимо неё могут быть назначены ирригоскопия и ректороманоскопия.
Существует мнение, согласно которому рекомендуется эндоскопическое удаление только аденом, имеющих диаметр свыше 5 мм, так как меньшие по размеру образования озлокачествляются крайне редко и допустимо динамическое наблюдение. Однако более распространённой является тактика, при которой удаляются все аденомы, независимо от размера новообразования, так как данные гистологических исследований показывают, что полипы даже менее 5 мм в диаметре в 60-70% случаев имеют участки типа тубулярных и, соответственно, обладают потенциалом к перерождению в злокачественные образования.
При локализации аденом в толстой кишке удаление проводится эндоскопически через колоноскоп. Если же аденома расположена в прямой кишке, удаление может выполняться при помощи эндоскопа или же методом трансанальной эндомикрохирургии. Особенностью данной операции является то, что в данном случае тубулярную аденому удаляют одновременно с резекцией кишечной стенки. Это объясняется тем обстоятельством, что при локализации аденомы в прямой кишке практически в каждом третьем случае в основании её уже выявляются клетки рака.
В случае множественных полипов (так называемое диффузное поражение) целесообразно выполнить колотомию или резекцию поражённого участка кишки.
К сожалению, тубулярные аденомы склонны к рецидивированию. Наиболее частая причина развития рецидива — неполное удаление основания аденомы, если она расположена не на длинной ножке. В случае рецидива тубулярной аденомы может потребоваться оперативное удаление пораженного участка толстой кишки лапаротомическим методом, так как послеоперационные изменения могут быть препятствием к полному удалению рецидивной аденомы эндоскопически.

Профилактика развития тубулярных аденом
Во многих случаях аденома толстой кишки — признак наследственного заболевания, поэтому пациенты с семейным анамнезом заболеваний толстого кишечника, включая рак, формируют группу риска, которая должна быть под пристальным наблюдением врачей и регулярно проходить скрининговые исследования с целью раннего выявления аденом.
Так как хронические заболевания толстого кишечника, такие как колиты, могут способствовать развитию тубулярных аденом, лечение или компенсация этих заболеваний будет в том числе и профилактикой образования аденом.
Поскольку такие нутритивные факторы, как высокое содержание жиров, особенно рафинированных, и низкое содержание пищевых волокон в ежедневном рационе, имеют непосредственную связь с появлением аденом кишечника, то коррекция диеты поможет не только предотвратить появление тубулярных аденом, но и положительно сказаться на динамике роста уже существующих аденом.
Также выявлена связь между курением и развитием тубулярных аденом, причем количество аденом прямо пропорционально продолжительности курения, так что отказ от этой вредной привычки положительно скажется не только на лёгких, но и на толстой кишке.
Наконец, поскольку развитию аденом толстой кишки способствуют малоподвижный образ жизни и избыточная масса тела, физические нагрузки и нормализация веса могут также быть разумной рекомендацией по профилактике развития тубулярных аденом.
В случае уже выявленных тубулярных аденом показано динамическое наблюдение пациентов с применением эндоскопических методов. Частота проведения обследований определяется индивидуально, исходя из конкретной клинической ситуации, но оптимальным считается следующий режим:
- после удаления крупных аденом на ножках и суженных основаниях: в первый год — через каждые 6 месяцев, в последующем — 1 раз в год;
- после удаления крупных аденом на широких основаниях и тубулярных аденом с дисплазией (независимо от их макроскопических свойств): в первый год — раз в 3 месяца, во второй год — раз в 6 месяцев, в дальнейшем — 1 раз в год.
Тубулярная аденома толстой кишки — доброкачественное новообразование, которое может источником злокачественного новообразования — рака толстой кишки. Поэтому ни в коем случае нельзя пренебрежительно относиться к данной патологии. В «Евроонко» имеются все возможности для проведения всеобъемлющей диагностики, профессионального удаления аденом и последующего наблюдения у высококлассных специалистов.
Аденома кишечника: разновидность полипов и методика лечения
Аденома относится к доброкачественным образованиям, располагаться она может только в тех органах, где имеется железистый эпителий. Одна из таких зон - толстая кишка. В этой области железистые полипы возникают у многих пожилых пациентов.
Если говорить о возрастной группе 50 - 60 - летних людей, поражены этим заболеванием будут 40 % женщин и 50 % мужчин. Люди в возрасте до 30 лет редко сталкиваются с этим заболеванием, поэтому его оправданно считают болезнью пожилого населения.
Особенности локализации аденом
Аденомы могут возникать в разных местах.
Аденомы в толстом кишечнике могут возникать в самых разных зонах. Исследования дают следующие результаты частотности локализации аденоматозных полипов:
- 25 % — прямая кишка;
- 25 % — сигмовидная кишка;
- 18 % — нисходящая ободочная;
- 13 % — восходящая ободочная;
- 11 % — поперечная ободочная;
- 7 % — слепая.
Распространение заболевания
Данная патология встречается довольно часто, она составляет от 25 % до 40 % от всех новообразований полиповидного типа. Причем 15 - 58 % — это поражение множественными аденомами, процентное содержание которых увеличивается с возрастом.
Опасность таких поражений - в высокой распространенности параллельного развития полипа и рака. Провоцирующими факторами для такого исхода выступают следующие моменты:
- ворсинчатое строение аденомы;
- размеры, превышающие 1 см;
- дисплазия высокой степени.
Процент поражения множественными аденомами толстой кишки довольно высок. Можно говорить о соотношении случаев, когда количество опухолей доходит до 100, от 1 : 17 000 до 1 : 5 000 пациентов.
Семейный полипоз, когда количество опухолей варьируется в рамках 30 - 100, сегодня выявляется все чаще.
Как лечить полипы толстой кишки, расскажет тематическое видео:
Особенности формы аденомы
Ворсинчатое строение аденомы состоит из фиброзных ворсин.
Выделяют 2 основные формы аденом: на ножке и стелющиеся. Последняя форма отличается широким основанием, вверх она поднимается совсем на незначительное расстояние.
Ножка, на которой стоят аденомы первого типа, может быть разной толщины. Состоит она из фиброзно-мышечной ткани, содержащей сосуды, идущие из подслизистых слоев.
Размеры аденом такого типа могут быть от самых маленьких (меньше 1 см) до весьма крупных (более 3 см). Самые распространенные - те, что имеют диаметр менее 1 см, они составляют больше полвины всех полипов.
Аденомы с диаметром 1, 1 - 2 см выявляются у пятой части пациентов. Всего 6 % — это полипы от 2 до 3 см. Свыше 3 см аденомы бывают у 10 %. По гистологическому типу различают 4 формы:
- тубулярная;
- ворсинчатая (ворсинчатая составляющая возрастает параллельно с ростом самого новообразования);
- зубчатая;
- тубулярно-ворсинчатая.
Тубулярная аденома

Тубулярная аденома имеет размер примерно но 1 см.
Данные новообразования имеют особую железистую структуру ветвящегося типа, которая занимает около 80 % от всей опухоли, оставшиеся 20 % — это рыхлая соединительная ткань.
Именно аденомы данного типа называют аденоматозными полипами. Их особенности зависят от размеров новообразования.
Большинство аденом этого типа по размеру не очень большие - примерно 1 см.
Однако встречаются и экземпляры 2 см в диаметре, и 3 см и более 3 см. Для мелких характерно следующее:
- мягкая консистенция;
- красные оттенки;
- очерченность границ;
- широкое основание.
Крупные тубулярные аденомы имеют такие свойства:
- дольчатая структура;
- стоит на ножке;
- цвет и форма схожи с малиной.
Ворсинчатая аденома
Данная аденома состоит из фиброзных ворсин, которые могут быть либо узкими и высокими или короткими, широкими. Структура этого новообразования также включает слизистую оболочку, покрытую эпителием цилиндрического вида.
Эта разновидность носит название виллезного полипа. Подобные полипы чаще всего имеют большие размеры. 35 % — это опухоли более 3 см, многие из них достигают 10 см. а вот новообразования с размерами до 1 см - это всего 1 %, до 2 см - 4 %. Виллезные полипы наделены следующими свойствами:
- стелющаяся форма (от широкого основания вверх отходит не более 3 см при любых размерах опухоли);
- бархатистость;
- по виду - подобие цветной капусты.
Тубулярно-ворсинчатая аденома
По структуре это сочетание 1-го и 2-го видов. Эта разновидность по-другому называется тубуловиллезным полипом. Как правило, это крупные опухоли. Значительная часть от общего числа - образования более 2 см.
Только 9 % составляют мелкие опухоли.
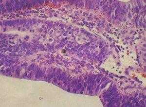
Зубчатая аденома

Есть 2 степени выраженности дисплазии.
Название опухолей данного типа не случайно. Эти новообразования имеют зубчатую поверхность и такой же профиль эпителия, микроскопические зазубренные фрагменты которого сочетаются с дисплазией эпителиоцитов в поверхностных слоях.
Степень выраженности дисплазии может варьироваться, каждая из степеней имеет свои особенности.
- Начальная степень. На данной стадии происходят сбои в палочковидных ядрах эпителиоцитов, они теряют базальную полярную ориентации. Изменения быстро распространяются до тех пор, пока не достигнут клеток, находящихся около базальных отделов выстилки.
- Развитая степень (высокая). Изменения касаются уже слизистой оболочки, в ее структуре и цитологии появляются раковые признаки. Однако симптомы инвазии в строму отсутствуют или слабо выражены. Имеют место следующие процессы: разрастание желез, сопровождающееся тесным и беспорядочным их расположением; появление в просветах между железами выпячиваний выстилки, папиллярных структур; уменьшение образования слизи (нередко полное его прекращение). Данные процессы сопровождаются полиморфизмом на клеточном, ядерном уровнях, псевдомногослойностью эпителия, увеличенной митотической активностью.
Заключение
Независимо от типа аденомы в структуре эпителия у основания крипт иногда обнаруживаются ацидофильные клетки Панета, а также очаги плоскоклеточной метаплазии, аргирофильные, аргентаффинные эндокринные клетки.
Они выявляются в новообразованиях с дисплазией низкой степени. Последние встречаются очень часто - более, чем в 60 % случаев. Чтобы разграничить аденому с хорошо развитой дисплазией и аденокарциному, выявляют псевдокарциноматозную инвазию, проявляющуюся в присутствии доброкачественного эпителия внутри пластинки слизистой.
Ее чаще находят в сигмовидной кишке (до 10 % случаев). По сути, это железистая ткань, попавшая в подслизистый слой кишечной стенки из-за перекрученной ножки аденомы.
Процесс может сопровождаться образованием кист, появлением в фиброзных септах, находящихся между железами, геосидерина, множественными кровоизлияниями. Такое состояние характерно для аденом и прочих неопухолевых полипов.
Тубулярная аденома прямой кишки: симптомы, лечение и прогноз
Новообразования кишечника зачастую характеризуются длительным бессимптомным течением и проявляют себя только по мере значительного роста.
Признаки такого заболевания зависят от типа опухоли и места возникновения. Так, тубулярная аденома прямой кишки может проявляться болевыми ощущениями и кровотечениями. При диагностике таких патологий важно отличить доброкачественную опухоль от онкологии.
Что такое тубулярная аденома прямой кишки?

Тубулярная аденома прямой кишки — разновидность полипов
Тубулярная аденома прямой кишки является разновидностью колоректальных полипов. Такой тип доброкачественных новообразований встречается лишь у 5% пациентов.
Большинство полипов считаются безвредными, однако по мере роста таких образований возможно злокачественное перерождение клеток. Также на поздних стадиях аденома прямой кишки может вызывать неприятные симптомы.
Существует две основные категории кишечных полипов - неопластические и доброкачественные. Доброкачественные полипы обычно имеют воспалительную природу и редко характеризуются онкологическим перерождением. Такие опухоли появляются у пациентов любого возраста и чаще всего имеют длительную бессимптомную стадию.
Скрининговые исследования, вроде колоноскопии, помогают обнаружить полипы на ранних стадиях и удалить их для профилактики рака прямой кишки.
Тубулярные аденоматозные полипы по определению являются неопластическими, поэтому они более опасны. Несмотря на общие признаки доброкачественного процесса, клетки такой аденомы являются прямыми предшественниками аденокарцином. Чем дольше такие полипы разрастаются на стенках прямой кишки, чем выше вероятность онкологического роста.
Тубулярная аденома может встречаться и в других органах, но наиболее часто опухоль обнаруживают в толстой или прямой кишке.
В редких случаях образование появляется в тонком кишечнике.
Причины развития болезни

Тубулярная аденома прямой кишки
Считается, что тубулярная аденома формируется в результате аномального процесса клеточной пролиферации и апоптоза. Процесс роста клеток не ограничивается стенками кишечника, поэтому опухоль разрастается в направлении просвета кишки и приобретает вид полипа.
Многие исследования показали значительный риск превращения аденомы в карциному прямой кишки по мере роста. Так, считается, что такие полипы могут иметь злокачественное перерождение в течение 4 лет после их образования. Также увеличение количества полипов значительно повышает риск возникновения онкологического процесса.
Возможные причины формирования:
- Генетические факторы. Родственники пациентов с полипами имеют повышенный риск развития карциномы, поэтому в таком случае важен регулярный скрининг.
- Образ жизни и диета. К продуктам и вспомогательным веществам, препятствующим росту аденомы, относят пищевые волокна, растительные компоненты, углеводы и фолат. Избыток жира и алкогольных напитков в диете увеличивает риск развития аденомы. Также существует связь между курением и частотой возникновения полипов у пациентов до 60 лет.
- Акромегалия. Пациенты с этим заболеванием имеют повышенный риск развития аденомы и рака прямой кишки.
- Инфекция Streptococcus bovis и бактериемия. Эти состояния также ассоциируются с высоким риском тубулярной аденомы и карциномы у пациентов.
- Атеросклероз и высокий холестерин. Данные многих исследований указывают на высокий риск развития полипов при атеросклеротической патологии сосудов кишечника.
- Воспалительные заболевания кишечника. У пациентов, страдающих от синдрома раздраженной толстой кишки и других хронических воспалений, существует значительный риск возникновения аденоматозных полипов прямой кишки. Также увеличивается риск злокачественного перерождения таких полипов.
- Рак молочной железы в анамнезе.
- Последствия холецистэктомии.
- Ожирение и сахарный диабет второго типа.
Молекулярные исследования аденомы прямой кишки указывают на высокую активность определенных онкогенов. Прогрессивное накопление множественных генетических мутаций приводит перерождению нормальной слизистой оболочки кишки в аденому.
Последние исследования помогли выявить ряд генов и их мутаций, ответственных за возникновение болезни.
Симптомы
На ранних стадиях симптомов практически нет
Бессимптомное течение характерно на ранних стадиях роста аденомы. Зачастую полипы обнаруживаются случайно во время колоноскопии кишечника.
Возможные симптомы и признаки:
- Ректальное кровотечение. Это неспецифический симптом, который также может указывать на рак прямой кишки, геморрой и травматическое повреждение слизистой оболочки кишки.
- Изменение цвета стула. Наличие крови в каловых массах может стать причиной появления стула черного или малинового цвета.
- Нарушение работы кишечника. По мере роста полипов могут развиваться такие симптомы, как запор, диарея и метеоризм. Диарея может появляться внезапно и не проходить в течение недели.
- Боль в области прямой кишки. Большой полип также может вызывать обструкцию кишечника, что усиливает болевые ощущения.
- Железодефицитная анемия. Это важный признак аденомы прямой кишки, развивающийся на фоне хронических кровотечений. Постоянное выделение крови становится причиной дефицита железа в организме, что в конечном итоге затрудняет перенос кислорода эритроцитами. На фоне анемии появляются такие симптомы, как слабость, усталость и головокружения.
При появлении кровотечения, боли в животе и стула черного цвета необходимо немедленно обратиться к врачу. Аденома прямой кишки редко вызывает опасные кровотечения, однако существует вероятность других последствий.
Диагностика
Тубулярная аденома прямой кишки опасна перерождением в рак
Большое значение имеет превентивная диагностика болезни (скрининг) во время бессимптомной стадии, поскольку на поздних этапах развития повышается риск злокачественного перерождения аденомы.
Если у родственников была выявлена такая опухоль до 50 лет, то необходимо регулярно проходить обследования.
Методы диагностики болезни:
- Колоноскопия - визуальное исследование прямой и толстой кишки с помощью введения гибкой трубки, оснащенной камерой. Это самый эффективный метод скрининга.
- Биопсия слизистой оболочки прямой кишки с последующим лабораторным исследованием образца. Гистологическое изучение ткани помогает дифференцировать тип опухоли.
- Компьютерная томография - эффективный метод сканирования, отлично дополняющий колоноскопию.
- Лабораторный анализ стула на выявление скрытой крови.
Внимательное изучение анамнеза и опрос помогает гастроэнтерологу выявить факторы повышенного риска возникновения аденомы прямой кишки.
Лечение
Основным методом лечения является удаление тубулярной аденомы. Иногда также требуется удаление части пораженного кишечника.
Возможные варианты хирургического вмешательства:
- Удаление отдельных полипов кишечника (полипэктомия). Показанием к такой операции является размер полипа более 1 см. Преимуществом такой операции является быстрая реабилитация.
- Лапароскопическое удаление полипов - малоинвазивная техника, позволяющая быстро и безопасно удалить аденому прямой кишки.
- Удаление части толстой и прямой кишки. Такое лечение требуется в редких случаях при тяжелом течении заболевания.
Перед выбором техники оперативного вмешательства проводят тщательное эндоскопическое и гистологическое исследование. Если злокачественное перерождение полипа подтвердится, может потребоваться более объемное вмешательство для полного удаления неопластических клеток.
Как проводится удаление тубулярной аденомы прямой кишки покажет видеосюжет:
Прогноз
При раннем обнаружении аденомы прогноз условно благоприятный. Тем не менее даже после удаления полипа требуется регулярный скрининг на рецидив заболевания. Позднее обнаружение аденомы (после 2-4 лет после начала роста) связано с менее благоприятным прогнозом и высоким риском онкологического процесса.
Таким образом, тубулярная аденома прямой кишки является разновидностью полипов кишечника. Главным осложнением болезни является возможное злокачественное перерождение.
Читайте также:
- Вагинопластика с использованием брюшинного лоскута. Техника Давыдова и Ротмана
- Рак эндокринных клеток поджелудочной железы. Общие признаки эндокринных опухолей панкреас.
- Синдромы Шая-Дрейджера, Хорнера. Физиология двигательной нервной системы
- Причины нарушения рефлекса при взгляде вблизи
- Балонная и химическая ангиопластика аневризм головного мозга
