Анатомия: Подъязычная кость
Добавил пользователь Владимир З. Обновлено: 23.11.2025
ЛОР-клиника Московского областного научно-исследовательского клинического института им. М.Ф. Владимирского, Москва
Журнал: Вестник оториноларингологии. 2018;83(3): 75‑76
ЛОР-клиника Московского областного научно-исследовательского клинического института им. М.Ф. Владимирского, Москва
Представлено наблюдение больного с резаной раной шеи с повреждением ротоглотки и сосудов. Анестезиологом произведена эффективная интубация через имеющуюся рану на передней поверхности шеи, которая сообщается с полостью ротоглотки. При ревизии выявлено повреждение верхней щитовидной артерии, отходящей от наружной сонной артерии. Произведено лигирование сосуда, перевязка которого не ведет к нарушению мозгового кровообращения. Достигнут устойчивый гемостаз. Далее выполнена средняя трахеостомия. Установлен назогастральный зонд, рана обильно промыта растворами антисептиков. Выполнено послойное ушивание слизистой оболочки ротоглотки. Подъязычная кость подшита к мягким тканям дна полости рта, восстановлена ротоглотка. Мягкие ткани сопоставлены и ушиты. После операции на 3-и сутки удалены резиновые выпускники. Трахеостомическая трубка удалена на 7-е сутки, назогастральный зонд — на 10-е. Рана зажила первичным натяжением. Больной выписан в удовлетворительном состоянии на 14-е сутки после операции.
ЛОР-клиника Московского областного научно-исследовательского клинического института им. М.Ф. Владимирского, Москва
Одной из сложных и актуальных проблем современной неотложной хирургии является лечение пострадавших с ранениями шеи. Массивная кровопотеря, асфиксия, воздушная эмболия, обусловленные повреждением магистральных сосудов шеи, сочетанное повреждение полых органов определяют прогрессирующую дестабилизацию жизненно важных функций организма, тяжесть состояния и высокую летальность данной категории раненых.
Число больных с ранениями шеи не уменьшается в связи с неблагоприятной криминальной обстановкой и наличием локальных военных конфликтов. По данным литературы, частота ранений шеи составляет от 5 до 10% всех ранений мирного времени и 0,5—3% ранений военного времени [1, 2]. Общая летальность при глубоких ранениях шеи составляет около 11% [1]. До 34% раненных в шею в мирное время умирают на месте происшествия. Основными причинами смерти являются острая массивная кровопотеря вследствие повреждения сосудов шеи (38,5%), острая сердечно-сосудистая и дыхательная недостаточность при ранениях шейного отдела позвоночника и спинного мозга (30,2%), тяжелые повреждения других локализаций (27,5%), асфиксия при ранении верхних отделов дыхательных путей (3,8%) [1—3]. Большинство (80,7—90,55%) пострадавших, по данным разных авторов, — мужчины, средний возраст которых составляет 27—35 лет, т. е. наиболее социально активная часть населения [1, 4].
В мирное время превалируют колото-резаные ранения шеи — 80,6—97,4%, частота огнестрельных ранений составляет 2,5—14,3%. Основными обстоятельствами ранений в 77—91,1% наблюдений являются конфликтные и криминальные ситуации. 6,44—10,6% наблюдений (т.е. каждое десятое ранение) составляют суицидальные попытки [1, 5]. Приводим собственное наблюдение.
Больной С., 34 года, в октябре 2016 г. бригадой скорой медицинской помощи был доставлен в ЛОР-отделение ГБУЗ МО МОНИКИ им. М.Ф. Владимирского с резаной раной шеи.
В момент поступления состояние пациента крайне тяжелое, что было обусловлено нестабильной гемодинамикой (пульс 75—120 в 1 мин, АД 80/60 мм рт.ст.), нарушением дыхания (выраженная одышка — ЧДД 30—35 в 1 мин, цианоз кожных покровов), выраженным возбужденным состоянием. На шее повязка, через которую отмечается умеренное кровотечение.
Диагноз при поступлении: резаная рана шеи с повреждением ротоглотки и сосудов шеи.
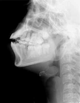
На основании диагноза определены показания к срочной ревизии и первичной хирургической обработке раны. Протокол хирургического вмешательства: в связи с невозможностью оротрахеальной интубации операция выполнена под внутренней анестезией. Выявлено полное пересечение мышц надподъязычной группы непосредственно выше подъязычной кости; отмечается зияющий дефект глотки, через который видна ее задняя стенка, подъязычная кость вместе с гортанью смещена вниз, язык отсечен от основания и западает кзади, что вызывает нарушения дыхания и создает угрозу асфиксии, препятствует выполнению оротрахеальной интубации. Расхождение краев раны составляет 1,5—2 см. В ране отмечается выраженное кровотечение и скопление слюны. Источником массивного кровотечения является пересеченная правая верхнещитовидная артерия. Поврежденная артерия взята на зажим, а затем перевязана. Подъязычная кость и надгортанник взяты на зажимы, гортань подтянута кверху, после чего проведена временная интубация трахеи через рану. Через дополнительный разрез на уровне второго—третьего колец трахеи наложена трахеостома, после чего в трахею введена интубационная трубка с манжетой (рис. 1). Рис. 1. Больной С. Интубация трахеи через наложенную трахеостому. Из глотки и полости рта удалено большое количество крови и сгустков, после чего введен назогастральный зонд. Визуализируются три резаные раны корня языка, которые были последовательно ушиты. Выявлено повреждение правой подчелюстной железы, а в латеральном углу раны определяется наружная сонная артерия (рис. 2). Рис. 2. Первичная хирургическая обработка раны. Описание в тексте.

После тщательного гемостаза в рану введены резиновые выпускники, наложены послойные швы. В трахеостому установлена трахеостомическая трубка с манжетой фирмы Pentax № 8 (рис. 3). Рис. 3. Больной С. Послеоперационная рана на шее с установленными дренажами. Асептическая повязка.

Послеоперационный период протекал гладко. Трахеостомическая трубка удалена на 7-е сутки, дыхание свободное. Назогастральный зонд удален на 10-е сутки. Рана зажила первичным натяжением. Больной выписан в удовлетворительном состоянии на 14-е сутки после операции. В отдаленном периоде (через 3 мес) проведен осмотр: на передней поверхности шеи послеоперационный линейный рубец и в типичном месте рубец после трахеостомии, признаков стеноза глотки, гортани и трахеи не обнаружено (рис. 4). Рис. 4. Больной С. через 3 мес после операции.
Особенности данного наблюдения заключаются в обширном ранении полых органов шеи и прилегающих анатомических структур, что препятствовало выполнению традиционной оротрахеальной интубации и потребовало индивидуального подхода к выбору адекватного способа анестезии, обеспечившей возможность своевременного выполнения одноэтапного хирургического вмешательства в необходимом объеме и выздоровление больного.
Подъязычная кость
Парная подъязычная кость—os hyoideum (рис. 87—А)—располагается между ветвями вентральной челюсти и служит остовом для корня языка, глотки и прилежащей к ней гортани. Она имеет непарное тело—corpus — и парные ветви—rami.



Рис. 87. Подъязычные кости: А—лошади, В—крупного рогатого скота, С—свиньи, D—собаки.
1—тело; 2—малые рога; 3—большие рога; 4—дистальный членик ветви; 5—средний членик; 5'—угол подъязычной кости; 6—проксимальный членик; 7—язычный отросток.
Т е л о (1) в виде поперечной пластинки лежит в области корня языка. У лошадей оно имеет значительный язычный отросток—processus linguslis (7),—направленный вперёд, в толщу языка.
Ветви идут от концов тела в двух направлениях. В сторону гортани обращены большие рога, или гортанные ветви,—cornua maiora, или thyreo-hyoid (3). Они слегка сжаты с боков и соединяются со щитовидным хрящом гортани. К черепу от концов тела направлены более короткие малые рога — cornua minora, или keratohyoid (2). К этим рогам от каменистой кости спускаются длинные парные ветви из нескольких члеников: а) проксимальный членик—tympanohyoid (6)—соединяется с подъязычным отростком барабанной части каменистой кости; он представляет очень короткое, цилиндри-
ческой формы хрящевое образование; b) средний членик—stylohyoid (5) — очень длинный и плоский; у своего верхнего конца он имеет оттянутый назад угол для закрепления мускулов; с) дистальный членик—epihyoid (4) — очень маленький; он лежит между средним члеником и малым рогом.
Особенности скелета головы рогатого скота, свиней и собак череп рогатого скота
Мозговой отдел черепа, по сравнению с таковым лошадей, очень широк со стороны лба благодаря сильному развитию лобных костей с парой рогов, расположенных на границе с затылочной и височной областями. Височная ямка лежит совсем сбоку. В соответствии с этим затылочная, теменная, межтеменная и височная кости имеют свои особенности, не свойственные другим домашним животным.

Рис. 88. Череп крупного рогатого скота.
I—резцовая кость; 2—носовая кость; 3—дорзальная челюсть; 4—слёзная кость; 5—лобная кость; 6—височная пластинка теменной кости; 7—височная кость; 8—затылочная кость; 9—скуловая кость; 10—вентральная челюсть; а—резцовые зубы; b—подглазничное отверстие; с—слёзное отверстие; d—глазничное отверстие надглазничного канала; е—венечный отросток; f—рог; g—наружный слуховой проход; h—мыщелок затылочной кости; i—яремный отросток; к—костный барабан; l—суставной отросток; т—сосудистая вырезка; п—подбородочное отверстие; о—лицевой бугор; р—резцовая часть вентральной челюсти; q—коренная часть вентральной челюсти.
Затылочная кость. Тело, или основная часть (рис. 89—а), сравнительно короткое и широкое, как бы уплощённое в дорзо-вентральном направлении. Прилежащие к его боковым краям правое и левое разорванные отверстия узки и незначительны. На наружной (глоточной) поверхности тела ясно выступают мышечные бугорки. Они располагаются на самой границе соединения затылочной и клиновидной костей так, что обе кости участвуют в их формировании. Боковые части (рис. 88—h, i) затылочной кости, охватывающие своими мыщелками большое затылочное отверстие, имеют сравнительно короткие, широкие и загнутые концами внутрь яремные отростки (i).
Подъязычное отверстие (рис. 90—13) нередко двойное, обладает некоторым протяжением, вследствие чего приобретает характер канала. Около его внутреннего (мозгового) устья имеется вход (иногда даже двойной)
в мыщелковый канал—canalis condyloideus (12)— для прохода вены. Он ведёт по направлению к отверстию височного канала у вершины пирамиды скалистой кости. Чешуя затылочной кости сливается рано с теменной костью. Теменные, межтеменные кости и чешуя затылочной кости (рис. 71—D). У зародыша (С) они ясно разделены друг от друга, причём чешуя тянется до дорзальной поверхности черепа и имеет затылочный гребень на том месте, где он обычно находится у лошадей и собак. Таким образом, у зародыша теменные кости служат ещё верхней крышей черепной полости. Незадолго до рождения все указанные кости срастаются друг с другом в одну плоскую П-об-разную дужку. После рождения, с усилением роста лобных костей, все слившиеся кости этой дужки отступают назад. Своей средней, наиболее объёмистой затылочной пластинкой—lamina occipitalis (рис. 71—1) — слившаяся дужка располагается всецело в затылочной области, а правая и левая боковые височные пластинк и —laminae temporales (рис. 88 —6) — принимают участие в образовании правой и левой височных ямок, лежащих на черепе латерально. На наружной поверхности затылочной пластинки сохраняются более выраженными главным образом участок, соответствующий затылочному предбугорью (или бугру), и слабый наружный затылочный гребень по средней сагиттальной линии (рис. 71—5, 9).
На мозговой поверхности той же пластинки видны отпечатки мозжечка.
Клиновидная кость имеет сравнительно с таковой лошадей короткое тело.
Турецкое седло на мозговой поверхности—с хорошо заметной двураздельной спинкой. К телу примыкают небольшие височные и сильно развитые глазничные крылья, причём в формировании решетчатого отверстия последние участия не принимают, как это имеет место у лошадей. Крылья вклиниваются в орбиту между лобной и нёбной костями. На границе тела и крыльев
Рис. 89. Череп крупного рогатого скота с вентральной стороны.
а—основная часть (тело) затылочной кости; b—мыщелок затылочной кости; с—яремный отросток; d—канал к надглазничному отверстию; е—крючок крыловидной кости; f—клинонёбная ямка; g—большое отверстие нёбного канала;
h--нёбный отросток дорзальной челюсти; i--нёбная щель; к—резцовая вырезка; l—отверстие для подъязычного нерва;m—костный барабан; п—суставной отросток; о—височный отросток скуловой кости (с поверхностью для большого жевательного мускула); р—слёзный пузырь; q—хоаны; r—горизонтальная пластинка нёбной кости; s—лицевой бугор;t-- нёбный отросток резцовой кости; и—тело резцовой кости; x—разорванное отверстие.

лежит жолоб зрительного перекреста (рис. 90—4). На мозговой поверхности височных крыльев, справа и слева от тела, проходит по нервному (не подразделённому) жолобу. На каждом из них имеется довольно обширное овальное отверстие—foramen ovale. Вместо самостоятельных глазничной щели и круглого отверстия существует одно каналообразное круглоглазничное отверстие—foramen orbitorotundum <18),—к которому и подходит указанный нервный жолоб. Крыловидные отростки значительной величины, но без крылового канала.
Лобные кости (рис. 88—5) развиты чрезвычайно сильно, особенно по направлению к затылочной области. Каждая из них имеет лобно-носовую и орбитально-височную части. Первая особенно обширна и толста, с лобной пазухой, простирающейся кзади, в теменные кости. На наружной (лобной) поверхности тянется вдоль черепа надглазничный жолоб, на дне которого, недалеко от основания скулового отростка, расположено надглазничное отверстие. Последнее ведёт через надглазничный канал в глазницу (d). Або-рально лобная кость доходит до границы с затылочной областью, образуя задний лобный гребень,—crista frontalis aboralis,—который но своему положению аналогичен (не гомолог) затылочному гребню других домашних животных. Он представляет валикообразный край лобной кости, различно изогнутый у разных рас (рис. 71—D, 6). По боковым концам этого гребня расположены роговые отростки (7) с суженной у основания частью—шейкой—и возвышающимся непосредственно над ней шероховатым кольцеобразным валиком—короной. Наружная поверхность отростков шероховата, по розна и пронизана многими сосудистыми бороздками. Величина и форма рогов у различных рас отличаются большим разнообразием, а у некоторых рога совсем отсутствуют. Роговые отростки заключают внутри сложную полость, соединённую с лобной пазухой.
Роговые отростки развиваются следующим образом. На лобной кости на месте их формирования надкостница даёт экзостоз, а па поверхности, прилежащей к экзостозу, т. е. в коже, закладываются маленькие костные роговые отростки; вначале экзостоз и зачаток роговых отростков разделены друг от друга надкостницей, а затем срастаются. Одновременно в экзостозе лобной кости возникает небольшая полость—синус, соединяющийся с синусом самой лобной кости, а затем этот синус постепенно продолжается в увеличивающийся роговой отросток. Костные роговые отростки, следовательно, кожного происхождения.
Носовой конец лобной кости соединяется рыхло с носовой и несколько прочнее со слёзной костью.
На границе глазничной и височной областей от лобной кости отходит широким основанием короткий скуловой отросток (рис. 88); он не достигает скуловой дуги, а соединяется с идущим ему навстречу лобным отростком скуловой кости (9). Глазнично-височная часть лобной кости отделена от лобно-носовой части краем, причём участок его, граничащий с расположенной совсем сбоку височной ямкой, соответствует наружному лобному гребню других животных. Он слегка вогнут и спереди переходит в скуловой отросток, а сзади примыкает к основанию рогового отростка.
Глазничная пластинка лобной кости несёт на себе решетчатое отверстие. Внутренняя (мозговая), с пальцевыми вдавлениями, поверхность лобной кости (рис. 90) очень обширна и создаёт целиком дорзальную покрышку черепной полости. Лобная пазуха (1), с рядом перемычек от внутренней к наружной пластинке, простирается по всей толще лобной кости, соединяется с полостями роговых отростков и теменной кости, а также с носовой полостью (со средним носовым ходом).
Височные кости (рис. 88—7). Чешуя и каменистая кость рано сливаются в одно целое. Чешуя своей сравнительно небольшой черепной пластинкой налегает на теменную и затылочную кости. На её наружной вогнутой поверх-
ности видно несколько отверстий, которые ведут в височный канал. На ней же располагается височный гребень, направляющийся к скуловому отростку и отграничивающий височную ямку. Короткий скуловой отросток кости соединяется непосредственно со скуловой костью. У его основания на вентральной поверхности выступает слабо выпуклый суставной бугорок.
Сжатая с боков барабанная часть каменистой кости (к) сильно развита и имеет длинный узкий наружный слуховой проход (g), который слегка возвышается над поверхностью. Барабанная часть состоит из многочисленных продолговатых костных камер; последние через узкие отверстия соединяются с барабанной полостью.
Слёзные кости (рис. 88—4) развиты очень сильно. Их лицевая слегка вогнутая часть соединяется швами с дорзальной челюстью, лобной и скуловой костями, а от носовой кости она отделена небольшой щелью. Ямка слёзного мешка располагается у самого орбитального края и ведёт в слёзный канал (с), слабо заметный и с медиальной поверхности. У взрослых животных после прорезывания последнего коренного зуба в слёзной кости образуется тонкостенный костный слёзный пузырь (рис. 89—р). Он увеличивает пазуху слёзной кости, которая сообщается с челюстной пазухой.
Скуловые кости (рис. 88—9) значительны по величине. Каждая из них даёт аборально два отростка: височный, соединённый с чешуёй височной кости, и лобный, который принимает участие в образовании орбиты и срастается с отростком лобной кости.
Лицевой отдел черепа (остов морды) жвачных, помимо своей характерной формы, имеет особенность на резцовых костях, оригинальных в том отношении, что они совершенно лишены резцовых зубов.
Дорзальные челюсти (рис. 88—3) короче таковых лошадей, но шире, особенно их нёбные отростки (рис. 89—К). За последним зубом лежит суженный по бокам незначительный челюстной бугор, на котором выступает особый крыловой отросток. Беззубый край не имеет альвеолы для клыка.
Челюстная пазуха обширна. В нёбных отростках также имеется нёбная пазуха, сообщающаяся с полостью нёбной кости. Правая и левая нёбные пазухи отделены друг от друга по средней сагиттальной плоскости костной пластинкой. На лицевой поверхности челюсти нет скулового (лицевого) гребня, а на уровне 3-го коренного зуба сильно выступает значительный лицевой бугор—tuber malare (рис. 88—о). Подглазничный канал открывается на уровне 1-го коренного зуба подглазничным отверстием (Ь).
Резцовые кости жвачных особенно характерны (рис. 88—1). Тело их имеет вид пластины с валикообразно утолщённым краем и не несёт альвеол ни для резцовых зубов, ни для клыков, так как и те и другие совершенно отсутствуют.
Нёбные кости (рис. 89—г) сильно развиты. Горизонтальная (нёбная) пластинка каждой кости занимает больше четверти твёрдого нёба. Нёбный канал с задним и большим нёбным (нередко двойным) отверстиями помещается всецело в этой кости (g). Около последнего видно несколько малых нёбных отверстий. Горизонтальная пластинка имеет полость, соединяющуюся с полостью нёбного отростка дорзальной челюсти в одну нёбную пазуху. Вертикальная пластинка совместно с бумажной пластинкой решетчатой кости формирует сравнительно узкое овальное клинонёбное отверстие.
Крыловидные кости (рис. 89—е) представляют широкие, участвующие в образовании хоаны пластинки.
Носовые кости (рис. 88—2) довольно сильно изогнуты поперёк и короче таковых лошадей. На внутренней поверхности их выступает дорзальный раковинный гребень.
Подъязычная кость
Текущая версия страницы пока не проверялась опытными участниками и может значительно отличаться от версии, проверенной 10 февраля 2021 года; проверки требуют 40 правок.
Текущая версия страницы пока не проверялась опытными участниками и может значительно отличаться от версии, проверенной 10 февраля 2021 года; проверки требуют 40 правок.
Подъязычная кость (лат. os hyoideum ) — небольшая непарная кость, которая имеет форму подковы и залегает под языком, ниже нижней челюсти. Несмотря на расположение в области шеи, чаще всего, учитывая филогенез, анатомически рассматривается совместно с костями лицевой части черепа [2] . Подъязычная кость является единственной крупной костью в теле человека, которая непосредственно или с помощью сустава не соединяется с другими костями.
Содержание
Анатомия
Подъязычная кость состоит из [2] :
- тела подъязычной кости (лат. corpus ossis hyoidei ) — уплощённой выпуклой вперёд формы, нижний край толще, спереди и сверху имеются гребни. Располагается во фронтальной плоскости, на концах имеются суставные поверхности или хрящи, посредством которых происходит соединение с большими и малыми рогами;
- больших рогов (лат. cornua majora ) — парные, также уплощённой формы, длиннее тела подъязычной кости, на концах имеют утолщения. Располагаются горизонтально, одним концом прикрепляясь к концам тела подъязычной кости, вторые концы направлены горизонтально назад и латерально;
- малых рогов (лат. cornua minora ) — парные, имеют небольшие размеры, соединены с концами тела подъязычной костисуставами или соединительной тканью. Малые рога могут не окостеневать и оставаться хрящевыми.
Форма, размеры и расположение подъязычной кости могут у разных людей незначительно варьировать, отличаясь как индивидуально, так и по половому признаку [3] .
Иннервация
Согласно замыслу одного или нескольких участников Википедии, на этом месте должен располагаться специальный раздел.
Вы можете помочь проекту, написав этот раздел.
Двигательная иннервация мышц прикрепляемых к подъязычной кости и управляющих её движением осуществляется двигательными волокнами [4] :
- челюстно-подъязычного нерва (лат. n. mylohyoideus — ветвь нижнего альвеолярного нерва (лат. n. alveolaris inferior ), ветви нижнечелюстного нерва (лат. n. mandibularis ), в свою очередь ветви тройничного нерва) — челюстно-подъязычная мышца и переднее брюшко двубрюшной мышцы;
- шилоподъязычной (лат. r. stylohyoideus ) и двубрюшной (лат. r. digastricus ) ветвей лицевого нерва — шилоподъязычная мышца и заднее брюшко двубрюшной мышцы;
- язычных ветвей (лат. rr. linguales ) подъязычного нерва — прикрепляющиеся к кости мышцы языка; :
Кровоснабжение
Артериальное кровоснабжение подъязычной кости осуществляется передними ветвями наружных сонных артерий (левой и правой) [6] :
- (лат. a. lingualis ) — её надподъязычной ветвью; (лат. a. thyreoidea superior ) — её подподъязычной ветвью.
Между одноимёнными правыми и левыми ветвями существуют анастомозы [7] .
Согласно замыслу одного или нескольких участников Википедии, на этом месте должен располагаться специальный раздел.
Вы можете помочь проекту, написав этот раздел.
Выше тела подъязычной кости, на челюстно-подъязычных мышцах спереди, располагаются подбородочные лимфоузлы, ниже, вдоль передних яремных вен — поверхностные передние шейные (яремные) лимфоузлы [7] .
Прилегающие анатомические образования

Подъязычная кость является нижней границей подчелюстной области шеи [8] : подъязычного треугольника (лат. trigonum submentale ) переднего треугольника шеи (лат. trigonum cervicale anterius ) [2] .
К подъязычной кости крепятся парные (левые и правые) надподъязычные мышцы срединной группы поверхностных мышц шеи: двубрюшная мышца (лат. musculus digastricus ) — прикрепляются к телу оба брюшка; шилоподъязычная мышца (лат. musculus stylohyoideus ) — прикрепляется к телу и большому рогу; челюстно-подъязычная мышца (лат. musculus mylohyoideus ) — прикрепляется к передней поверхности тела; подбородочно-подъязычная мышца (лат. musculus geniohyoideus ) — прикрепляется к передней поверхности тела [2] .
Некоторые из парных скелетных мышц языка, а именно: подъязычно-язычная мышца [en] (лат. musculus hyoglossus ) — прикрепляется к верхнему краю тела и большого рога; подбородочно-язычная мышца [en] (лат. musculus genioglossus ) — нижние пучки прикрепляется к верхнему краю тела: хрящеязычная мышца [en] (лат. musculus chondroglossus ) — прикрепляется к малому рогу. Шилоподъязычная связка (лат. ligamentum stylohyoideum ) в которой могут быть небольшие сесамовидные кости — соединяет шиловидный отросток височной кости с концом малого рога, парная. Выше кости располагается поднижнечелюстная слюнная железа [9] .
К подъязычной кости крепятся парные подподъязычные мышцы срединной группы поверхностных мышц шеи: грудино-подъязычная мышца (лат. musculus sternohyoideus ) — прикрепляется к телу образуя позадиподъязычную сумку (лат. bursa retrohyoidea ) и подподъязычную сумку (лат. bursa infrahyoidea ); грудино-щитовидная мышца (лат. musculus sternothyroideus ) — непосредственно к подъязычной кости не прикрепляется, её продолжением является щитоподъязычная мышца; щитоподъязычная мышца (лат. musculus thyrohyoideus ) — прикрепляется к краю большого рога; мышца, поднимающая щитовидную железу (лат. musculus levator glandulae thyroideae ) — прикрепляется к телу, у некоторых людей может отсутствовать; лопаточно-подъязычная мышца (лат. musculus omohyoideus ) — прикрепляется к нижнему краю тела [2] . Ниже кости располагается щитовидный хрящ.
Снизу к подъязычной кости также прикрепляются: щитоподъязычная мембрана (лат. membrana thyrohyoidea ) изменяющая положение гортани согласно движениям подъязычной кости при актах глотания — от гортани к телу и большим рогам; латеральные щитоподъязычные связки (лат. ligamentum thyrohyoideum laterale ) имеющие сесамовидные зерновидные хрящи (лат. cartilago triticea ) — от верхних рогов щитовидного хряща к задним концам больших рогов подъязычной кости; непарная срединная щитоподъязычная связка (лат. ligamentum thyrohyoideum medianum ) — к телу. Иногда (как вариант нормы) снизу может примыкать пирамидальная доля (лат. lobus pyramidalis ) щитовидной железы прикрепляясь к кости фиброзной капсулой [9] .
Спереди от подъязычной кости расположены: поверхностная пластинка (лат. lamina superficialis ) фасции шеи (лат. fascia cervicalis ) прикрепляясь к ней, подкожная мышца шеи (лат. platysma ), подкожная жировая клетчатка и кожа. У худощавых людей подъязычная кость может прощупываться через кожу [2] . Спереди латеральнее от больших рогов проходят наружные сонные артерии и внутренние яремные вены, спереди от тела проходят передние яремные вены [9] .
Сзади от подъязычной кости располагается надгортанник разделённый от неё жировой клетчаткой окологлоточного пространства. Подъязычно-надгортанная связка (лат. ligamentum hyoepiglotticum ) — прикрепляется к заднему краю тела. С заднебокового направления прикрепляется средний констриктор глотки (лат. constrictor pharyngis medius ): рожково-глоточная часть (лат. pars ceratopharyngea ) — к большому рогу, хрящеглоточная часть (лат. pars chondropharyngea ) — к малому рогу [9] .
Физиология
Являясь местом прикрепления мышц, а также гортани, в зависимости от того, какие мышцы задействуются (сокращаются) в том или ином движении, функционально подъязычная кость у человека участвует в качестве рычага в [10] :
- опускании нижней челюсти (наклон головы вперёд без открывания рта, открывание рта без наклона или с наклоном головы, наклон головы назад при фиксации нижней челюсти от движения вниз) — в движении принимают участие все мышцы прикрепляющиеся к кости (дополнительно к другим мышцам области шеи и головы, а также к силе тяжести в положении стоя);
- движение нижней челюсти назад — в движении принимают участие двубрюшные, шилоподъязычные, подбородочно-подъязычные мышцы (дополнительно к височной мышце);
- вращение головы в сторону — в движении принимает участие шилоподъязычная мышца (левая или правая, дополнительно к другим мышцам области шеи); посредством движения гортани (вместе с костью, при акте глотания гортань приподнимается вверх, в совокупности с синхронным движением надгортанника при этом происходит перекрывание просвета гортани при прохождении пищевого комка или жидкости по глотке, после проглатывания гортань опускается, надгортанник приподнимается):
- посредством движения щитовидного хряща гортани — щитоподъязычные мышцы двигают вверх, грудино-щитовидные мышцы двигают вниз;
- движение языка вниз назад — в движении принимают участие подъязычно-язычные мышцы;
- акте вдоха (вспомогательно, дополнительно к мышцам грудной клетки и шеи) — в движении принимают участие грудино-подъязычные, грудино-щитовидные мышцы.
Морфогенез
Онтогенез
У эмбриона человека развивается из состоящих из хрящевой ткани жаберных дуг образуемых между жаберными карманами мезенхимы у начала первичной кишки [11] :
- из нижней части II висцеральной дуги (подъязычной) — малые рога подъязычной кости, шилоподъязычная связка;
- из III висцеральной дуги (I жаберной) — тело подъязычной кости, большие рога подъязычной кости.
Филогенез

Подъязычная кость имеется и у некоторых других позвоночных животных [12] [13] . В частности, у хамелеонов она имеет отличительные особенности в виде удлинённого тела и равных по длине рожков и, участвует у них в «хранении» спиралевидно скрученного языка в свёрнутом положении и его распрямления при «выстреливании» в направлении добычи [14] [15] [16] .
Подъязычная кость происходят из мезэктодермы и относятся к висцеральному скелету [17] . В процессе филогенеза подъязычная кость, наряду с хрящами гортани, эволюционирует у наземных позвоночных животных из задних (висцеральных) жаберных дуг [18] . Сохраняется подъязычная кость и у вторично ставших водными животными млекопитающих, к примеру у дельфинов [19] .
Подъязычная кость

Подъязычная кость, os hyoideum, залегает под телом языка, имеет форму подковы и у худых людей может прощупываться через кожу. С другими костями соединяется посредством связок. Подъязычная кость, состоит из тела, corpus, и больших и малых рогов, cornua majora et cornua minora. Тело кости имеет форму пластинки, выпуклой кпереди; оно несет на себе поперечный и вертикальный гребни. Верхний край пластинки заострен, нижний — утолщен. Боковые края тела соединяются с большими рогами при помощи суставных поверхностей либо волокнистого или гиалинового хряща,
Большие рога отходят от тела кости по направлению кзади и кнаружи, Они тоньше и длиннее тела и имеют на концах небольшие утолщения.
Малые рога отходят от места соединения тела кости с большими рогами. Иногда они остаются хрящевыми. С телом подъязычной кости малые рога соединяются или посредством сустава со слабо натянутой капсулой, или при помощи соединительной ткани. Их концы заключены и шилоподъязычную связку, lig. stylohyoideum. Связка эта иногда содержит одну или несколько маленьких косточек.
Подъязычная кость (os hyoideum) — остаток жаберных дужек рыб (см. Позвоночные); помещаясь за нижней челюстной костью, П. кость не имеет непосредственной связи с черепом. У человека она состоит из тела и двух пар, весьма неравной величины, боковых отростков, называемых рожками. Большие или задние рожки (cornua majora) прикрепляются посредством хрящевого сращения к телу, а передние, или малые, рожки причленяются около места означенного сращения. Большие рожки соединены связкой с гортанным щитовидным хрящом, а малые — с стилевидными отростками черепа (посредством lig. byo-thereoideum et lig. stylo-hyoideum).

Поверхность П. кости служит местом прикрепления многочисленных мускулов и, между прочим, мускулов, идущих в язык (m. hyo-glossus), так что движения этой кости тесно связаны с движениями языка. Если обратимся к рыбам, то увидим, что у них П. (кость или хрящ) имеет вполне характер жаберной дужки и состоит, как и прочие дужки, из двух боковых частей (ossa hyoidea) и срединной, непарной части (copula, или os entoglossum). Эти части соответствуют передним, или малым, рожкам и отчасти телу кости высших позвоночных. Что же касается до задней пары рожков, то она представляет остаток первой пары жаберных дужек. Таких остаточных дужек у амфибий около П. кости бывает до 4 пар, а у гадов и у прочих позвоночных обыкновенно удерживается лишь одна передняя пара дужек. Соответствующая ей срединная непарная часть (copula) также входит в состав тела П. кости. Следует отметить, что у колибри, дятлов и др. птиц, обладающих длинным выдвижным языком, большие рожки П. кости чрезвычайно длинны. Они огибают череп кругом, и спереди концы их вкладываются в углубления или желобки переднечелюстной кости. Эти рожки играют роль при своеобразных движениях языка дятла. Мускулы, выдвигающие язык, отходят от нижней челюсти, обвиваются спиралью вокруг рожков П. кости и прикрепляются к свободному концу каждого рожка. Естественно, что при сокращении этой мышцы рожка, скользя по черепу, подвигаются вперед и выдвигают язык изо рта. Чем длиннее рожки, тем более птица может выдвинуть язык. У американских обезьян-ревунов (Mycetes) тело П. кости вогнуто и имеет вид тонкостенного резервуара, в который заходит перепончатый гортанный мешок, представляющий собой выступ слизистой оболочки трахеи. Таких мешков у Mycetes два, но только правый достигает столь сильного развития и заходит в П. кость. Весь аппарат здесь — резонатор, и действительно, рев этой обезьяны слышен за несколько миль.
Подъязычная кость. Мышцы подъязычной кости. Перелом подъязычной кости
В составе скелета взрослого человека приблизительно 206 костей. Каждая из них имеет свое строение, расположение и функцию. Одни кости помогают передвигаться, другие защищают наши органы и ткани от механических повреждений, ну а третьи дают возможность совершать такие действия, как жевание, глотание и, конечно же, говорение. Именно такие функции выполняет подъязычная кость и мышцы, которые к ней прикрепляются. Несмотря на свои весьма малые размеры, эта косточка очень важна. Травмы, сопряженные с ее переломом, крайне опасны, они нередко заканчиваются летальным исходом.
Анатомическое строение

Подъязычная кость располагается непосредственно под телом языка. Она может прощупаться только у худых людей. Ее размеры сравнительно малы, но она участвует в выполнении очень важных функций. Вместе с мышцами, которые с ней соединяются, она помогает осуществлять такие процессы, как жевание и глотание. Кроме этого, без нее была бы невозможна человеческая речь. Так что переоценить значение этой кости невозможно. Строение подъязычной кости несложное. Ее условно делят на тело, большие и малые рога. С остальными костями она соединяется при помощи суставов и связок. Тело подъязычной кости имеет форму неровной пластинки, чуть выпуклой спереди. На нем есть вертикальные и поперечные гребни. Неоднородны и края: верхний заострен, а нижний, напротив, слегка утолщен. С боков тело соединяется с помощью суставных поверхностей хряща с большими рогами. Они отходят по направлению кзади. Большие рога гораздо длиннее и тоньше тела. На концах у них можно обнаружить утолщения. От того места, где большой рог соединяется с телом, отходят малые рога. Как правило, они состоят из костной ткани, но в некоторых случаях остаются хрящевыми. Они соединяются с телом также с помощью сустава. Концы малых рогов заключены в шилоподъязычную связку. Иногда она содержит одну, реже несколько довольно маленьких косточек.
Перелом подъязычной кости и симптомы повреждения глотки

Переломы и повреждения подъязычной кости встречаются довольно редко. Как правило, это происходит в результате тупой травмы поднижнечелюстной области. При этом на данный участок должно оказываться довольно сильное механическое воздействие. В некоторых случаях перелом может стать причиной удушения. Это происходит и при повешении. Свежий небольшой перелом дает о себе знать достаточно явными симптомами. В первую очередь это сильные боли в верхней передней части шеи при глотании или жевании. Также в области подъязычной кости будет заметна небольшая гематома. При пальпации ощущается подвижность и крепитация обломков.
При тяжелой травме подъязычной кости происходит разрыв слизистой. Это сопровождается довольно сильным кровотечением изо рта. Оно возникает вследствие повреждения ветвей язычной или щитовидной артерии. Часто такая травма приводит к летальному исходу. Оказание первой помощи при переломах такого характера очень затруднено и не всегда эффективно.
Можно сказать, что все травмы, в которые вовлечена подъязычная кость (фото ее расположения вы можете посмотреть в статье) весьма опасны для здоровья и даже жизни человека.
Первая помощь

Оказание первой помощи при переломе подъязычной кости должно осуществляться быстро. При появлении обильного кровотечения изо рта нужно активизировать процесс свертывания крови. Это можно сделать тампонадой или прикладыванием холода. Если есть возможность, то нужно попытаться перевязать наружную сонную артерию. После полученной травмы первые часы самые опасные. Давать какие-либо прогнозы очень сложно из-за риска развития асфиксии. При разрыве глотки возможна слишком большая потеря крови. К сожалению, нередко смерть наступает еще до того, как прибудет вызванная карета скорой помощи.
Действительно, правильно помочь человеку, когда сломана подъязычная кость и разорвана слизистая, крайне сложно. Если есть все признаки асфиксии, то лучшее, что можно сделать, это провести интубацию трахеи, а затем тампонаду глотки, чтобы уменьшить кровопотерю. После этих сложных манипуляций нужно в кратчайшие сроки доставить пострадавшего в больницу.
Лечение

Лечение травм, сопряженных с переломом подъязычной кости, заключается в иммобилизации и полном устранении всех смещений отломков. Этого можно достигнуть путем пальпаторного метода как со стороны ротовой полости, так и, конечно же, снаружи. Иммобилизация головы и, что очень важно, шеи осуществляется при помощи надежно фиксирующего корсета. В тяжелых случаях, когда сильно повреждена подъязычная кость, на плечи и шею накладывают гипс. Но на практике чаще всего удержание отломков кости в правильном положении достигается только при хирургической репозиции. Часто такие травмы влекут за собой ряд осложнений, поэтому лечение должно быть максимально эффективным.
Мышцы подъязычной кости
Все мышцы, которые одним своим концом прикрепляются к подъязычной кости, условно делятся на две группы: надподъязычные и подподъязычные. Они отличаются друг от друга положением и, соответственно, функциями. К надподъязычным мышцам относятся:
Все они расположены над подъязычной костью и непосредственно крепятся к ней. Двубрюшная мышца состоит из переднего и заднего брюшка, которые соединяются между собой сухожилиями. Она тесно взаимосвязана с другой группой волокон. Заднее брюшко в верхней своей части прикрепляется к височной кости. Спускаясь вниз, последняя прилегает к шилоподъязычной мышце и переходит в промежуточное сухожилие. Оно охватывает фиксационной петлей тело и большой рог подъязычной кости. Но перед этим пронизывает шилоподъязычную мышцу, которая имеет веретенообразную форму. От нижней челюсти с ее внутренней поверхности отходит еще одна группа волокон. Челюстно-подъязычная мышца плоская и широкая. Пучки ее волокон расположены поперечно, они направлены навстречу и срастаются, образуя сухожильный шов. Сбоку от серединной линии челюстно-подъязычной начинается подбородочно-подъязычная мышца.
Функции надподъязычных мышц

Группа надподъязычных мышц выполняет одну общую функцию. Они позволяют подъязычной кости двигаться кверху, книзу и в стороны. Это помогает человеку выполнять такие сложные действия, как глотание и жевание. Таким образом, можно сказать, что надподъязычные мышцы участвуют в пищеварительных и дыхательных функциях, хотя и косвенно. Также эта группа мышечных волокон, поднимая подъязычную кость вместе с гортанью и опуская нижнюю челюсть, способствует процессу речеобразования.
Подподъязычные мышцы

К подподъязычным мышцам относятся следующие: грудино-подъязычная, лопаточно-подъязычная, грудино-щитовидная мышца. Они также крепятся к подъязычной кости, но располагаются ниже нее. Так, лопаточно-подъязычная мышца начинается в верхней части лопатки. Она имеет два крупных брюшка, которые разделены между собой промежуточным сухожилием. Грудино-подъязычная мышца нижним своим концом прикрепляется к рукоятке грудины. Она так же, как и лопаточно-подъязычные волокна, верхней своей частью присоединяется к подъязычной кости. Третья группа мышц – грудино-щитовидная – лежит впереди щитовидной железы и трахеи.
Функции подподъязычных мышц
Подподъязычные мышцы, действуя группой, тянут подъязычную кость вместе с гортанью книзу. Но каждая из них при этом выполняет одну определенную функцию. Например, грудино-щитовидная мышца избирательно перемещает щитовидный хрящ вниз. Но не менее важна и другая функция подподъязычных мышц. Сокращаясь, они надежно укрепляют положение подъязычной кости, к которой прикрепляется надподъязычная группа мышц, в это время опускающая нижнюю челюсть.
Читайте также:
