Арахноидальная киста на МРТ
Добавил пользователь Евгений Кузнецов Обновлено: 29.01.2026
Мозг, как головной так и спинной мозг покрывают 3 оболочки – ближе всего к поверхности мозга находится мягкая (сосудистая) оболочка (лат. pia mater), над ней находится паутинная (арахноидальная) мозговая оболочка, и, наконец, последняя оболочка – твёрдая мозговая оболочка (лат. dura mater, греч. pachymeninx). Арахноидальная киста представляет собой «мешок», заполненный мозговой жидкостью, стенки которого состоят из арахноидальной оболочки.
Краткое видео о том что из себя представляет арахноидальная киста можете посмотреть здесь!
Каковы причины арахноидальных кист?
Точная причина арахноидальных кист неизвестна. Ученые считают, что большинство арахноидных кист вызываются нарушениями развития (разделения или разрыва) арахидной мембраны по неясной причине.
Согласно медицинской литературе, арахноидальные кисты чаще встречаются у тех детей, у родителей которых также есть арахноидальные кисты, что позволяет предположить, что некоторые люди могут иметь значительную генетическую предрасположенность к развитию арахноидальных кист.
В некоторых случаях арахноидальные кисты образуются в сочетании с недостаточным развитием некоторых частей мозга (гипоплазия) – чаще всего недостаточно развивается теменная часть головного мозга, и так как она не заполняет всего внутреннего пространства черепа, в пустом месте образуется «пустота» – арахноидная киста.
Однако существует и противоположная ситуация, в которой полноценному развитию части мозга препятствует существующая арахноидальная киста, которая вызывает давление на мозг.
Надо сказать, что причины данных изменений еще не до конца известны медицинской науке.
Которые люди более склонны к развитию арахноидальных кист?
Арахноидальные кисты чаще встречаются у мужчин, чем у женщин. Эти кисты могут быть обнаружены в любом возрасте и присутствуют у представителей всех рас и народов. Они являются наиболее распространенным типом внутричерепной кисты. Поскольку во многих случаях арахноидальные кисты не имеют симптомов и не вызывают жалоб, сложно точно определить распространенность этого явления среди населения в целом.
В каких областях черепа могут развиваться арахноидальные кисты?
Арахноидальные кисты в черепе чаще всего расположены в так называемой средней яме черепа (в месте, где расположена теменная часть головного мозга), затем по частоте разположения кист вторая наиболее частая локализация – так называемая супраселлярная область (около третьего желудочка мозга) и задняя часть черепа (место, где локализованы мозжечок, мост мозга и продолговатый мозг).
Арахноидальные кисты классифицируются в зависимости от их расположения, например, арахноидная киста в области правой теменной части головного мозга или в области средней черепной ямы.
Арахноидальная киста – какие расстройства и симптомы она может вызвать?
В большинстве случаев арахноидальные кисты являются врожденными и не вызывают симптомов, потому что они не вызывают повышенное давление внутри черепа (кисты либо очень маленького размера, либо они не вызывают симптомов, потому что у них внутри нет повышенного давления). Следовательно, пациент может узнать о существовании кисты только таком случае, если головной мозг исследуется по какой-либо другой причине.
Поскольку в стенке арахноидальной кисты могут быть небольшие кровеносные сосуды, в случае головной травмы эти кровеносные сосуды могут лопнуть и вызвать кровоизлияние как в мозг, так и во внутреннюю часть кисты. Таким образом, пациенты с бессимптомными арахноидальными кистами подвергаются повышенному риску значительных внутричерепных кровоизлияний в случае травмы головы. В случае если кровоизлияние значительного размера пациенту может потребоваться срочная / неотложная операция по жизненным показаниям – удаление внутричерепного кровоизлияния.
В более редких случаях, когда арахноидальная киста имеет большие размеры и / или оказывает давление на окружающие структуры мозга, киста может вызывать головную боль, тошноту, головокружение, эпилептические припадки, нарушения циркуляции спинномозговой жидкости (гидроцефалию) а также и специфические симптомы в зависимости от конкретных частей мозга на которые киста оказывает давление (задержка развития, поведенческие изменения, неспособность контролировать произвольные движения – атаксия, нарушение баланса). Есть также случаи, когда киста вызывает слабость или паралич на одной стороне тела (гемипарез).
В детском возрасте вызванное кистой высокое давление внутри черепа (высокое внутричерепное давление) также может привести к различным черепным аномалиям, а также к увеличению размера головы (макроцефалия).
В дополнение к гидроцефалии, кисты в так называемой супраселлярной области могут быть связаны с нарушениями зрения и гормональными изменениями, поскольку давление, которое они оказывают, может влиять на центры гормональной регуляции в головном мозге, которые могут также включать нарушения менструального цикла, нарушения скорости роста, отклонения в физическом развитии и др.
В случаи обнаружения арахноидальной кисты и подозрений на её симптоматичность, необходима консультация специалиста – нейрохирурга. Мы охотно рассмотрим Ваш случай и предложим решение по необходимости. Записаться на консультацию можно здесь!
Условится об удалённой консультации путём видео-звонка можно прислав заявку на нашу электронную почту или согласовав консультацию с врачом по телефону.
Мы консультируем (в том числе отдаленно путём видео-звонка) и принимаем на лечение как жителей Латвии, так и иностранных пациентов – узнайте больше здесь о возможностях лечения у нас если Вы проживаете не в Латвии.
Бывает ли арахноидальная киста в позвоночнике?
Да, бывают позвоночные (спинальные) арахноидальные кисты – хотя они встречаются значительно реже, чем те, которые обнаруживаются в внутричерепном пространстве, они также могут развиваться внутри позвоночника от паутинной оболочки спинного мозга. Спинально-арахноидальные кисты могут быть связаны с прогрессирующей слабостью (парезом) в конечностях, покалыванием / онемением в руках или ногах, аномальным искривлением позвоночника (сколиозом), болями в спине и нежелательными мышечными спазмами (спастичностью).
Как диагностируют арахноидальные кисты?
Арахноидальные кисты можно диагностировать с помощью методов визуализации, таких как компьютерная томография (КТ) или магнитно-резонансная томография (МР, МРТ). Чаще всего они диагностируются случайно, когда обследования проводятся по какой-то иной причине, но в тех случаях, когда киста всё таки вызывает нарушения здоровья, визуализация помогает объяснить причину.
Как лечат внутричерепные арахноидальные кисты?
Лечение необходимо только в тех случаях если арахноидальная киста, вызывает симптомы. Если киста обнаружена случайно и не вызывает какого-либо нарушений здаровя, никакого специального лечения не требуется. В тех случаях, когда на момент обнаружения кисты симптомы отсутствуют, но позднее они появляются, необходима переоценка возможной связи кисты с симптомами.
Лечение кисты необходимо только в том случае, если она вызывает сжатие мозга и соответствующие симптомы (симптоматическая арахноидальная киста).
Существует два основных варианта лечения симптоматических арахноидальных кист хирургическим путем:
1. Высечение стенки кисты и соединение кисты с окружающим пространством (фенестрация кисты);
2. Дренирование (отвод) содержимого кисты через специальную трубку, тем самым уменьшая повышенное давление в кисте (операция шунтирования кисты);
Фенестрация стенок кисты может быть достигнута путем незначительного открытия черепа (краниотомия) или, в некоторых случаях, минимально инвазивными эндоскопическими методами. Минимально инвазивные, эндоскопические методы обеспечивают меньший риск осложнений и более быстрое выздоровление пациента после операции.
Во время операции шунтирования, жидкость внутри арахноидальной кисты отводится через трубку, чаще всего в брюшную полость, тем самым снижая повышенное давление внутри кисты.
Арахноидальные кисты позвоночника можно лечить с помощью полной хирургической резекции (резекции) или, если это невозможно, с помощью фенестрации кисты или хирургического шунтирования кисты.
Нашей клинической базой (место проведения операций и манипуляций) является современно оборудованный стационар “Aiwa clinic”, узнайте больше здесь!
Арахноидальная киста
Арахноидальная киста - относительно часто встречающееся доброкачественное образование центральной нервной системы, локализующееся как интракраниально так и в позвоночном канале и располагающееся между поверхностью мозга и паутинной (арахноидальной) оболочкой.
На изображениях они визуализируются в виде четко отграниченной полости с невидимыми стенками, оттесняющей прилегающие структуры, с сосдержимым характеризующимся паттерном аналогичным паттерну церебросиннальной жидкости (гиподенсивный при компьютерной томографии, гиперинтенсивный на Т2 взвешенных изображениях и гипоинтенсивный на Т1ВИ при магнитно-резонансной томографии). Они так же могу вызывать ремоделирование прилегающей кости.
Эпидемиология
Арахноидальные кисты составляют до 1% всех интракраниальных объемных образований. Хотя подавляющее большинство арахноидальных кист носят спорадический характер, отмечается увеличение частоты их встречаемости при ассоциации с мукополисахаридозом за счет дисфункции арахноидальных грануляций и отложения депозитов глигозаминогликанов в мозговых оболочках. [5]
Клинические проявления
В большинстве арахноидальные кисты имеют малые размеры и не проявляют себя клинически. Появление симптоматики обычно развивается в результате постепенного увеличения размеров с развитием объемного воздействия, которое приводит либо на прямую к неврологической дисфункции, либо за счет нарушения нормального ликворотока в результате окклюзионной гидроцефалии.
Морофология
Арахноидальные кисты возникают в результате формирования врожденной дупликатуры паутинной оболочки с последующим заполнением ее спинномозговой жидкостью. Стенки кисты состоях из плоских глиальных клеток (менинготелия) формирующих полупрозрачную мембрану. Солидный компонент и эпителиальная выстилка отсутствуют.
Диагностика
Наиболее часто арахноидальные кисты локализуются в средней черепной ямке где они пролабируют в расширенную Сильвиеву щель, но могут встречаться где в других отделах, включая:
- межполушарную щель
- конвекситальную поверхность больших полушарий головного мозга
- задней черепной ямке
- большой цистерне
- мостоможечковом углу
Компьютерная томография
Арахноидальные кисты четко отграниченные образования с невизуализируемыми стенками, вызывающие смещение прилежащих структур, при крупных размерах вызывающие ремоделирование костной костной ткани на данном уровне.
КТ-цистернография может помочь выявить связь субарахноидального пространства и кисты.Магнитно-резонансная томография
Лечение и прогноз
Арахноидальные кисты являются доброкачественными образованиями и в подавляющем большинстве асимптомны в течении всей жизни. При наличии симптоматики применяются: хирургическое лечение в виде краниотомии с иссечением стенок кисты и фенестрации ее в базальные цистерны, аспирация через фрезевое отверстие, вентрикуло-перитонеальное шунтирование.
Арахноидальная киста на МРТ
Одно из преимуществ магнитно-резонансной томографии – возможность выявлять патологические процессы на ранней стадии. Ранняя МРТ-диагностика позволяет увидеть структурные изменения в организме тогда, когда они не сопровождаются выраженными симптомами. Например, МРТ дает возможность выявить различные образования, в том числе арахноидальную кисту.
Особенности арахноидальной кисты
Арахноидальная киста – образование, располагающееся между оболочками головного мозга. Киста может быть первичной (врожденной), если она появляется вследствие нарушения внутриутробного развития, или вторичной, если она вызвана осложнениями различных перенесенных заболеваний. Основными болезнями, которые могут привести к арахноидальной кисте, являются менингит, травмы головы и перенесенные операции на головном мозге.
Арахноидальная киста может локализоваться в теменной части головы и височной области. Вне зависимости от локализации опухолевого процесса пациенту рекомендуется постоянный медицинский контроль: если новообразование увеличивается в размерах, потребуется хирургическое вмешательство.
МРТ-диагностика арахноидальной кисты
В клинической практике встречаются случаи, при которых арахноидальная киста развивается бессимптомно. По этой причине при отсутствии выраженных проявлений болезни зачастую только МРТ способна выявить ее на первоначальной стадии. В ходе магнитно-резонансной томографии на патологию указывает скопление ликвора (спинномозговой жидкости) в области паутинной (арахноидальной) оболочки головного мозга. Появление данной пустоты вызвано расщеплением оболочки в головном мозге на несколько слоев.
МРТ – наиболее эффективный метод диагностики патологий головного мозга. Возможность МР-сканирования в трех проекциях, тонкими срезами и послойно, а также высокая контрастность изображений обеспечивают получение полной картины зоны исследования. Благодаря этому на томограммах отчетливо видны мельчайшие образования маленького диаметра. Для максимальной эффективности диагностики используется МРТ с контрастом. Контрастирование позволяет определить локализацию, размеры, границы, степень распространения новообразования и его взаимодействие с окружающими органами и тканями.
![]()
Несмотря на то, что арахноидальная киста является доброкачественным новообразованием и редко приводит к осложнениям, существует риск сдавливания кистой коры головного мозга. Это может произойти вследствие повышенного давления внутри кисты. По этой причине крайне важно вовремя провести диагностику и оперативно приступить к лечению. Своевременное обращение к врачу дает возможность поставить правильный диагноз и исключить возможные осложнения.
О динамическом наблюдении опухолей и планировании хирургического вмешательства можно узнать из статьи «Можно ли увидеть на МРТ опухоль?»
Доброкачественные образования головного мозга арахноидальные кисты
Арахноидальные кисты являются доброкачественными кистами, которые случаются на оси цереброспинальной точки относительно арахноидной мембраны и не сообщаются с желудочковой системой. Они обычно содержат прозрачную, бесцветную жидкость, которая, чаще всего, является нормальной спинномозговой жидкостью; редко, они содержат ксантохромовую жидкость. Большинство из них — аномалии развития. Некоторое количество арахноидных кист возникают в связи с новообразованиями или в результате спаек, возникающих в связи с лептомененитом, кровоизлиянием или хирургическим вмешательством. Они составляют примерно 1% внутричерепных масс; 50-60% встречаются в средней черепной ямке. Кисты в средней черепной ямке встречаются чаще у мужчин, чем у женщин; они встречаются преимущественно с левой стороны. Большинство из них возникают как аномалии развития. Небольшое количество арахноидных кист связано с новообразованиями. Просмотр Media Gallery
Арахноидальные кисты также встречаются в пределах спинного канала; в таких случаях арахноидальные кисты или арахноидные дивертикулы могут располагаться субдурально или в эпидуральном пространстве соответственно.
Спинные арахноидные кисты обычно расположены дорсально хорды в грудной области. Киста в этом месте обычно является вторичной по отношению к врожденному или приобретенному дефекту и находится в экстрадуральном месте.
Интрадуральные спинальные арахноидальные кисты могут быть врожденными или являются результатом спаек, вызванных предыдущей инфекцией или травмой. Микроскопическое исследование показывает, что их стенки образованы из расщепления арахноидальной мембраны, с внутренней и внешней листочками, окружающими полость кисты.
Спинные арахноидальные кисты, как правило, неправильно диагностируются, потому что симптомы часто неспецифичны. Часто кисты являются случайным нахождением в магнитно-резонансной томографии (МРТ). Обычно арахноидальные кисты бессимптомны; это верно даже для кист, которые довольно велики. К наиболее часто встречающимся клиническим признакам относятся головная боль и судороги; фокальные неврологические признаки встречаются реже. Тактика лечения арахноидных кист вызывает споры и по сей день.
Некоторые клиницисты выступают за лечение только пациентов с симптоматическими кистами, тогда как другие считают, что даже бессимптомные кисты следует декомпрессировать, чтобы избежать будущих осложнений. Наиболее эффективным хирургическим лечением является удаление наружной мембраны кисты и цистоперитонеального шунтирования. Кисты, которые вызывают симптомы, лучше всего оценивают с помощью МРТ; они должны быть хирургически удалены, если это возможно.
Описана генетическая связь с арахноидальными кистами. Синдром Чудли-Маккалоу является аутосомно-рецессивным расстройством, связанным с тяжелой и глубокой сенсоневральной потерей слуха и частичной агенезией мозолистого тела. Другие аномалии головного мозга, сообщаемые с синдромом, включают лобную полимикрогирию и гетеротопию серого вещества, дисплазию мозжечка, вентрикуломегалию и арахноидальные кисты. Несмотря на эти значительные аномалии головного мозга, эти пациенты не проявляют клиники, за исключением потери слуха.
ДНК из пострадавших семей обнаружила 4 молекулярных вариации в гене G-белок-сигнальный модулятор 2, GPSM2. Последующая визуализация головного мозга у этих лиц выявила лобную полимикрию, аномальное мозолистое тело и гетеротопию серого вещества, что согласуется с диагнозом синдрома Чудли-Маккалоу, но без вентрикуломегалии. Генный продукт, GPSM2 необходим для ориентации митотического веретена во время деления клеток в нескольких тканях, что указывает на то, что пороки развития мозга обусловлены дефектами асимметричных клеточных делений во время развития [6].
Предпочтительные методы визуализации
МРТ является диагностической процедурой выбора из-за ее способности демонстрировать точное местоположение, степень и связь арахноидальной кисты с соседним мозгом или спинным мозгом. Миелография и компьютерная томография (КТ) остаются диагностически значимымми. Простые рентгенографические данные неспецифичны и мало что могут предложить при диагнозе арахноидальных кист, хотя изменения в черепе черепа могут быть обнаружены на рентгенограммах черепа, выполненных по другим показаниям, таким как травма.
Краниальная ультрасонография является важным диагностическим инструментом в течение первого года жизни. Хотя симптоматические арахноидные кисты сравнительно редки у младенцев, ультразвук полезен в качестве неинвазивного метода визуализации с высоким выходом в обнаружении и характеристике кистозных масс. Хотя ангиография может проявлять ассоциированные аномалии венозного дренажа и отношения поражения к нормальной сосудистой сети, которые могут быть полезны для хирургического планирования, на практике ангиография редко выполняется, потому что поскольку КТ-ангиография или магнитно-резонансная ангиография предоставляют такую же информацию но неинвазивно. Современные подходы таковы, что необходимо приложить все усилия для надежного обнаружения арахноидных кист, поскольку большинство арахноидных кист являются случайной находкой и бессимптомны. Арахноидальные кисты должны быть дифференцированы от более серьезных кистозных внутричерепных и внутриспиральных опухолей. В случаях, связанных с более крупными арахноидными кистами, следует учитывать возможность сканирования в динамике, поскольку такие кисты могут увеличиваться с течением времени; пациенты с такими кистами могут стать претендентами на хирургическое вмешательство.
На обзорную рентгенограмму черепа нельзя полагаться, поскольку признаки неспецифичны. Арахноидальные кисты возможно принять за другие внутричерепные кисты различной этиологии. Путаница гораздо чаще встречается при приминении КТ.
Наиболее важная дифференциация заключается между арахноидными кистами и эпидермоидными кистами; МРТ (DWI) облегчают дифференцировку этих нозологий. Некоторые арахноидные кисты содержат белковые жидкости или кровь; в таких случаях потеря сигнала на DWI может не маркироваться, что может представлять проблемы диагностики. Кроме того, контраст ткани с визуализацией с восстановлением обратной связи с флуоресценцией (FLAIR) аналогичен изображению с T2-взвешенным изображением, но FLAIR не показывает сигнал, возникающий из CSF. Таким образом, в отличие от эпидермоидных кист, арахноидальные кисты, содержащие CSF, демонстрируют подавленный (низкий) сигнал на FLAIR.
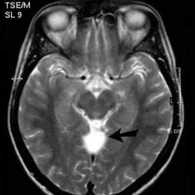
Кисты на МРТ головного мозга - что покажет
![]()
Киста головного мозга - это нередкое новообразование, которое врачи обнаруживают в ходе МРТ головного мозга. Локализация кисты бывает разной - в белом веществе головного мозга, в оболочке, железах. Наиболее часто по статистике кисты поражают шишковидную железу, прозрачные перегородки, промежуточный парус головного мозга, мосто-мозжечковый угол.
Проблема с диагностикой кистозных образований заключается в том, что когда они маленького размера, они не проявляют себя никакой симптоматикой. С этими молчащими кистами человек может жить и не тужить годами. Они, как правило, становятся случайными находками при томографии головного мозга и не требуют активных лечебных действий. Основная угроза, исходящая от кист, это возможность их роста. Структуры большого кистозного образования начинают сдавливать или препятствовать нормальной работе мозговых систем. Это чревато проявлением неврологической симптоматики и в крайних случаях даже угрозой жизни человека.
Арахноидальные кисты на МРТ
МРТ оболочек головного мозга может показать арахноидальные кисты. Это врожденные внемозговые объемные образования, содержащие ликвор. Клинические проявления арахноидальной кисты зависят от локализации новообразования, но зачастую ее формирование протекает бессимптомно. Поскольку данное новообразование может вызывать нарушение ликвородинамики, оно часто сопровождается гидроцефалией. Крупные арахноидальные кисты иногда начинают сдавливать соседние участки головного мозга, вызывая атрофию и болевой синдром. Такие крупные кистозные образования требуют оперативного вмешательства. И здесь МРТ головного мозга позволит не только поставить точный диагноз, но и выработать план проведения операции. Если киста имеет малые размеры, тактика её лечения будет сводиться к наблюдению. Невролог или нейрохирург в такой ситуации будет рекомендовать пациенту делать МРТ головного мозга один раз в 6 месяцев, чтобы не пропустить момент роста.
МРТ головного мозга - киста прозрачной перегородки
Киста прозрачной перегородки – это вид арахноидальной кисты, когда жидкость скапливается между пластинками прозрачной перегородки мозга. Они могут носить как приобретенный характер из-за черепно-мозговых травм или инфекций, так и врожденный характер. Поскольку эти кисты локализуются в самом безопасном месте, их появление практически никогда не сопровождается неврологической симптоматикой. В подавляющем большинстве случаев такие кисты не требует ни оперативного, ни медикаментозного лечения. Пациентам с выявленной кистой прозрачной перегородки необходимо ходить на прием к неврологу и проверять результаты свежего шестимесячного МРТ головного мозга.
МРТ здорового головного мозга киста на МРТ головного мозга МРТ головного мозга - киста шишковидной железы
Шишковидная железа - это маленькое образование в человеческом мозге размером меньше полсантиметра, которое выделяет гормоны, отвечающие за регуляцию таких важных областей жизни человека, как рост, сон и иммунитет. Поскольку эта структура головного мозга очень маленького размера, любое давление со стороны новообразования приводит к сбою в гормональных функциях - нарушается секреция мелатонина. Кроме того, увеличение кисты этой железы может перекрыть ток ликвора - внутримозговой жидкости, что приводит к сильным головным болям. Основная опасность данного кистозного образования именно в этом и заключается. Визуализировать кисту шишковидной железы можно только на МРТ головного мозга. Чаще всего её проводят с контрастом, чтобы максимально четко отобразить такие мини структуры головы. МРТ головы, помимо выявления кисты шишковидной железы, позволяет дифференцировать ее от опухолевого образования - пинеаломы.
Суммируя, хотелось бы сказать, что если МРТ показала наличие кист в головном мозге, пугаться и паниковать здесь не нужно. Если кисты маленького размера, они вряд ли составляют угрозу здоровью человека. Сама структура кисты носит доброкачественный характер, и у нее нет злокачественного потенциала. Она не перерождается в раковых клетки. Самое важное, чтобы киста не продолжила свой рост и не начала оказывать давление на соседние ткани. Именно это приводит к возникновению симптомов боли и нарушения функций головного мозга.
Дифференциальная диагностика кист на МРТ головного мозга с контрастом
У пациентов детского возраста дифференцированную диагностику кист проводят в отношении пороков развития. Пороки развития обычно проявляются недоразвитием твердой мозговой оболочки. Эта патология в изолированном виде встречается редко, обычно она сочетается с пороками развития головного и спинного мозга. Нередко такая патология у детей сопровождается дефектами черепа или расщеплением дужек позвонков с образованием грыж. В зависимости от содержимого грыжевого мешка врачи выделяют:
- менингоцеле - ТМО + ликвор
- менингоэнцефалоцеле - ТМО + ликвор + мозговая ткань
- энцефалоцистоцеле - ТМО + ликвор + мозговая ткань с частью желудочков системы
- атретическое цефалоцеле - ТМО + ликвор+фиброзная ткань + дегенеративно измененная мозговая ткань глиальная киста.
При наличии щели содержимое черепной коробки начинает выходить из мозга, образуя различные менингоцеле или кистозные пузыри с содержанием ликвора. Такие изменения можно увидеть визуально у ребенка в виде выпячивания или шишки, но доказать, какой вид аномалии, можно только при МРТ головного мозга с контрастом.
Подобные изменения также могут быть со стороны позвоночника, когда есть расщелина в дужке позвонка и имеется расщелина в твердомозговой оболочке. Тогда содержимое начинает выпячиваться в виде позвоночных кист.
Опухоли головного мозга - еще одна патология, с которой проводят дифференциальную диагностику при подозрении на кисту. Здесь также важно применение контрастирования. Именно поведение тканей головного мозга в отношении контрастного препарата покажет, является ли новообразование опухолью или кистой, а если является опухолью, то какого качества - доброкачественной или злокачественной. Кроме того, контраст помогает улучшить контрастность ткани и точнее выявить размеры опухоли, нахождения областей распространения метастазов даже очень мелкого размера - 0,5-1 мм.
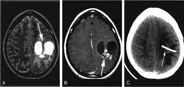
Киста головного мозга снимок МРТ
Киста прозрачной перегородки на МРТ Арахноидальная киста на МРТ ![Киста прозрачной перегородки на МРТ]()
![Арахноидальная киста на МРТ]()
МРТ процедура головного мозга с контрастом при кистах
Никакой особой подготовки томография головного мозга с контрастам не требует и проходит она безболезненно и комфортно для обследуемого. Пациент записывается на МРТ в клинику, приходит на сканирование, в комнате для подготовки оставляет все металлические и электронные объекты, заходит в диагностический кабинет, ложится на стол томографа, лежит неподвижно в ходе сканирования и через 30-40 минут по окончании обследования получает его результаты в виде МРТ снимков и заключения врача с подробным описанием и рекомендациями. Основную работу в ходе МР-диагностики делает высокотехнологичный томограф и высококвалифицированный врач. Именно аппарат МРТ в ходе сканирования сделает около 2000 снимков с шагом сканирования в 1-2 мм, сопоставит все данные и превратит их в четкие трехмерные изображения обследуемой области. Именно опытный врач в ходе процесса расшифровки скрупулезно оценит анатомию пациента, отметит все отклонения, аномалии и даст им медицинскую интерпретацию. Данные томографии лягут в основу окончательного диагноза, который поставит Ваш лечащий врач и определит тактику лечения кисты.
Чтобы обследования на томографе прошло безопасно, пациент обязательно должен рассказать врачу обо всех имплантах, которые есть в его теле. Если обследования проводят с введением контраста, обязательно нужно сообщить, имеются ли у Вас тяжелые заболевания почек, печени или есть ли вероятность беременности. Контрастное вещество при томографии головы пациенту вводят через вену, и оно не токсично. Однако этот состав - дополнительная нагрузка для выделительной системы организма, и если человек уже имеет серьезные почечные патологии, он может вызвать нежелательные осложнения. Действие контраста на плод до конца не изучено, поэтому МРТ головного мозга с контрастным усилением в медицинских центрах Санкт-Петербурга не делают беременным женщинам без жизненно важных показаний.
Противопоказания к МРТ
При МРТ исследовании на пациента действует магнитное поле, и все абсолютные противопоказания будут связаны с этим фактом:
Магнитное поле может привести в движение объекты, которым свойственно с ним взаимодействовать, это могут быть: клипсы на сосудах, металлоконструкции в любом участке тела. Поэтому если в организме установлен имплант, пациенту нужно будет предъявить документы, в которых указан состав материала. В случае, если это неферромагнитный материал (например, титан), проведение МРТ разрешено.
Магнитное поле может повлиять на работу электронных устройств: электокардиостимуляторы, инсулиновые помпы, слуховые протезы. Если в паспорте импланта не указано, что он совместим с МРТ, необходимо подобрать альтернативный метод диагностики.
Следует отметить, что иногда проведение МРТ не возможно в следующих случаях:
Читайте также:




