Артериовенозные мальформации спинного мозга
Добавил пользователь Евгений Кузнецов Обновлено: 22.11.2025
Артериовенозная мальформация (АВМ) — аномалия развития сосудов, представляющая собой клубок переплетенных артерий и вен, капилляры при этом отсутствуют. Она состоит из питающей артерии, патологической сосудистой сети, дренирующей вены и межвенозной ткани.
АВМ могут развиваться в любом месте, где имеются сосуды, но именно при поражении головного и спинного мозга наиболее опасны. Аномалии такой локализации ежегодно выявляют у 300 000 людей по всему миру, каких-либо предрасполагающих факторов не найдено. При этом 64% пациентов младше 40 лет.
Аномалии развития сосудов можно разделить на две большие группы в зависимости от скорости кровотока в них: высокопоточные , к которым относятся собственно артериовенозные мальформации, паренхимные АВМ, дуральные артериовенозные фистулы (DAFV) и смешанные АВМ, а также низкопоточные к которым относятся: капиллярная телеангиэктазия, кавернозная гемангиома, венозная мальформация, венозная ангиома, мальформация вены Галена.
Симптомы артериовенозной мальформации
В большинстве случаев артериовенозные мальформации головного и спинного мозга выявляются случайно в ходе диагностики других заболеваний, например, инсульта или травмы позвоночника. Примерно у 12% больных могут проявиться тяжелые неврологические нарушения. А в 1% случаев болезнь может привести к смерти.
В 50% случаев основным симптомом является кровоизлияние, в 25% — эпилептические приступы, в 20% — головные боли
Наиболее частыми, но неспецифическими симптомами являются головные боли и судороги, парциальные или тотальные. Головные боли сильно варьируются по интенсивности, частоте возникновения, продолжительности и в некоторых случаях напоминают тяжелые затяжные мигрени. Локализация болей и их характер зачастую не отражают истинного расположения АВМ.
Лишь в некоторых случаях мальформации вызывают слабость различных групп мышц, нарушение координации, затруднения в выполнении сложных действий, головокружения, ощущения онемения или покалывания, изменения полей зрения, и даже галлюцинаций. В 50% случаев основным симптомом является кровоизлияние, в 25% — эпилептические приступы, в 20% — головные боли, в 6-27% — неврологический дефицит, в 15% — нет выраженных симптомов.
Почему АВМ является «бомбой замедленного действия»?
АВМ повреждают головной или спинной мозг тремя основными способами:
- снижение количества жизненно важного кислорода, поступающего в нервные клетки в случае мальформаций большого размера;
- кровоизлияние в окружающие ткани;
- возможно сдавление (смещение) важных структур центральной нервной системы — также в случае с крупными АВМ.
Каковы возможные осложнения при наличии невыявленной артериовенозной мальформации?
Наибольшую опасность для жизни пациента представляет кровоизлияние при разрыве мальформации с развитием геморрагического инсульта. Поскольку АВМ способны развиваться в любой части центральной нервной системы, то и последствия массивного кровоизлияния сильно варьируются.
Диагностика артериовенозной мальформации
Современная медицина для выявления артериовенозных мальформаций использует широкий спектр диагностических процедур, как проверенных временем, так и инновационных.
Ангиография служит наиболее точным методом визуализации сосудов. При исследовании в артерию вводится специальное контрастное вещество, видимое при просвечивании рентгеновскими лучами на экране в реальном времени. Процедура является инвазивной и требует наркоза, поэтому часто на неё направляют только после доступных и неинвазивных исследований, к которым относятся КТ и МРТ.
КТ считается методом выбора для диагностики кровоизлияний, а МРТ, в свою очередь, позволяет получить изображения ткани мозга с высоким разрешением и выявить мальформацию без внутривенного введения контрастного вещества, применяемого при ангиографии и КТ. Подобная методика называется магнитно-резонансной ангиографией (МРТ-ангиографией).
Лечение артериовенозной мальформации
Некоторые лекарственные препараты могут облегчить отдельные симптомы заболевания. Выбор метода лечения зачастую зависит от типа мальформации, ее локализации и объема. Вылечить ее можно с помощью либо эндоваскулярной эмболизации сосудов, образующих АВМ, либо микрохирургического вмешательства или лучевой терапии. Однако операции на органах центральной нервной системы примерно в 8% случаев сопряжено с тяжелыми осложнениями. При «классической» операции при помощи микрохирургической техники удаляют АВМ, стараясь свести повреждения нормальных тканей к минимуму.
Во время эндоваскулярной (внутрисосудистой) эмболизации специальное устройство вводится в периферическую артерию и проводится к мальформации, после чего её «закрывают» (эмболизируют) различными специальными клеющими веществами.
Лучевая терапия и радиохирургия на системе КиберНож считается достаточно эффективным и наименее инвазивным методом лечения артериовенозных мальфомаций. При применении радиохирургии воздействие происходит на эндотелий (внутреннюю выстилку) сосудов мальформации, он разрушается, стенка сосуда со временем утолщается и перекрывает просвет аномальных сосудов образующих АВМ. В конечном счете кровоток в этой измененной сети прекращается и мальформация зарастает. Ожидаемые результаты радиохирургии: через 2 года после лечения происходит закрытие (облитерация) сосудов в АВМ менее 2 см в 90-100% случаев, для очагов более 2 см — в 50-70%.
Артериовенозные мальформации спинного мозга (АВМ)
Артериовенозные мальформации (АВМ) спинного мозга могут вызывать его компрессию, ишемию, паренхиматозные кровоизлияния, субарахноидальные кровоизлияния или их сочетание. В клинической картине отмечаются постепенно прогрессирующий, восходящий или рецидивирующий и ремиттирующий сегментарный неврологический дефицит; корешковые болевые синдромы; внезапное развитие боли в спине с острым возникновением неврологической симптоматики. Диагноз ставится на основании МРТ. Лечение состоит из хирургического вмешательства или стереотаксической радиохирургии и может включать эмболизацию под ангиографическим контролем.
Артериовенозные мальформации – наиболее часто встречающиеся сосудистые мальформации в спинном мозге. В большинстве случаев они располагаются в грудном и поясничном отделе, снаружи спинного мозга (т.е. экстрамедуллярно) и дорсально. Реже встречаются АВМ шейной или верхнегрудной локализации, расположенные внутри спинного мозга (интрамедуллярно). АВМ могут варьировать от небольших и локализованных до занимающих по размеру более половины спинного мозга. Они могут сдавливать (а иногда – даже замещать) паренхиму спинного мозга, а также могут разорваться, вызвав локализованное или распространенное кровоизлияние.
Симптомы и признаки АВМ спинного мозга
В некоторых случаях кожная ангиома образуется над АВМ в спинном мозге. В типичных случаях АВМ сдавливают следующие структуры:
Корешки спинномозговых нервов, вызывая боль, распространяющуюся в зоне иннервации корешка (корешковая боль);
спинной мозг, вызывая сегментарный неврологический дефицит, который может неуклонно нарастать или иметь волнообразный характер (убывает, а затем нарастает)
Часто сочетаются проявления поражения как верхнего, так и нижнего мотонейронов. АВМ могут разорваться внутри паренхимы спинного мозга, приводя к внезапному появлению сильной боли в спине и острому развитию сегментарного неврологического дефицита. В редких случаях высоко расположенные АВМ на шейном уровне могут разрываться в субарахноидальное пространство, вызывая субарахноидальное кровоизлияние Субарахноидальное кровоизлияние (САК) Субарахноидальное кровоизлияние – это внезапно возникающее кровотечение в субарахноидальное пространство. Самая частая причина спонтанного кровотечения – разрыв аневризмы. Субарахноидальное. Прочитайте дополнительные сведенияДиагностика АВМ спинного мозга
Артериовенозные мальформации спинного мозга могут быть случайно обнаружены при нейровизуализации. На основании клинической картины они можут заподозрить у пациентов с необъяснимым сегментарным неврологическим дефицитом или субарахноидальным кровоизлиянием, особенно при остром развитии выраженной боли в спине или при наличии срединно расположенных кожных ангиом.
Диагноз АВВП устанавливается на основании данных МРТ (обычно выполняется первой), затем магнитно-резонансной ангиографии, а затем – селективной артериографии. В некоторых случаях применяется миелография в сочетании с КТ.
Лечение АВМ спинного мозга
В случаях угрозы нарушения функции спинного мозга показано хирургическое лечение
В случаях угрозы нарушения функции спинного мозга показано хирургическое лечение, однако применение микрохирургических методик требует определенных навыков и опыта работы. В случае если АВМ небольших размеров и расположена в труднодоступной области, возможно применение стереотаксической радиохирургии.
Сосудистая эмболизация перекрывает питающие артерии и часто предшествует хирургическому удалению или стереотаксической радиохирургии.
Основные положения
Артериовенозные мальформации могут варьировать от небольших и локализованных до занимающих по размеру более половины спинного мозга.
АВВП могут сдавливать нервные корешки (вызывая боль в отделах, расположенных ниже сдавленного нервного корешка) или спинной мозг (вызывая сегментарные неврологические нарушения, которые постепенно прогрессируют или то усиливаются, то ослабевают); они могут разрываться (вызывая внезапную, сильную боль в спине и внезапные сегментарные неврологические расстройства).
Диагноз устанавливается на основании данных МРТ с последующей магнитно-резонансной ангиографией, затем выполняется селективная артериография.
В случаях угрозы нарушения функций спинного мозга показано хирургическое лечение
Авторское право © 2022 Merck & Co., Inc., Rahway, NJ, США и ее аффилированные лица. Все права сохранены.
Артериовенозные мальформации спинного мозга
ФГБУ «Федеральный центр нейрохирургии» Минздрава России, Новосибирск
ФГБУ «Федеральный центр нейрохирургии» Минздрава России, Новосибирск, Россия
ФГБУ «Федеральный центр нейрохирургии» Минздрава России, Новосибирск, Россия
ФГБУ «Федеральный центр нейрохирургии», Новосибирск, Россия
Эндоваскулярная эмболизация спинальной интрамедуллярной артериовенозной мальформации на шейном уровне. Клинический случай и обзор литературы
Журнал: Журнал «Вопросы нейрохирургии» имени Н.Н. Бурденко. 2020;84(3): 82‑87
ФГБУ «Федеральный центр нейрохирургии» Минздрава России, Новосибирск
Представлен случай успешного эндоваскулярного лечения сложной артериовенозной мальформации спинного мозга на шейном уровне. Обращено особое внимание на тактику, технические моменты и основные принципы эмболизации артериовенозной мальформации с учетом ее сосудистой анатомии.
ФГБУ «Федеральный центр нейрохирургии» Минздрава России, Новосибирск
ФГБУ «Федеральный центр нейрохирургии» Минздрава России, Новосибирск, Россия
ФГБУ «Федеральный центр нейрохирургии» Минздрава России, Новосибирск, Россия
ФГБУ «Федеральный центр нейрохирургии», Новосибирск, Россия
Список сокращений
спАВМ — спинальная артериовенозная мальформация
АВМ — артериовенозная мальформация
МВП — моторные вызванные потенциалы
ССВП — соматосенсорные вызванные потенциалы
nBCA — клей цианоакрилат (n-Butyl cyanoacrylate)
МРТ — магнитно-резонансная томография
Спинальные артериовенозные мальформации (спАВМ) составляют 3—4% от всей патологии спинного мозга [1]. Предложено несколько классификаций этой сложной патологии, которые включают, как правило, варианты дуральных артериовенозных фистул и артериовенозных мальформаций (АВМ). АВМ, в свою очередь, подразделяют на гломусные, которые располагаются интрамедуллярно и представляют собой клубок сосудов, и более распространенные — ювенильные [2].
CпАВМ гломусного типа, как правило, имеют множество афферентных сосудов, в том числе из передней и/или задних спинальных артерий и дренируются в венозное сплетение спинного мозга. Клинические симптомы могут определяться масс-эффектом, венозной гипертензией, а также кровоизлияниями. После первоначального кровоизлияния частота его повторного возникновения составляет 10% в течение первого месяца и может достигать 40% в течение первого года. Смертность, связанная со спАВМ гломусного типа, приближается к 18% [3]. Поскольку данная патология является довольно редкой, лечение таких мальформаций всегда представляет большую сложность.
В настоящей работе мы приводим описание случая тотально эмболизированной спАВМ гломусного типа на уровне шейного отдела.
Клинический случай
Пациентка Н., 30 лет, поступила в отделение сосудистой нейрохирургии ФГБУ «Федеральный центр нейрохирургии» Минздрава России (Новосибирск) 18 апреля 2017 г. с жалобами на слабость в левой руке, мозаичное онемение во всем теле, больше слева. Из истории заболевания известно, что 26 февраля 2017 г. почувствовала «прострел в шее током», с последующим снижением силы в левой руке и гипестезией в конечностях. Эта симптоматика полностью регрессировала в течение 3 ч, однако через 3 нед, 20 марта, развился повторный аналогичный эпизод, но неврологический дефицит уже не регрессировал. При магнитно-резонансной томографии (МРТ) шейного отдела позвоночника выявлена спАВМ на уровне СIV—СVII с признаками кровоизлияния и отека спинного мозга на этом уровне. Лечилась консервативно по месту жительства, выписана из стационара с левосторонним монопарезом руки и чувствительными нарушениями по типу левосторонней гемигипестезии при общем удовлетворительном состоянии. Получила рекомендацию обратиться в Федеральный центр нейрохирургии Минздрава России (Новосибирск). При поступлении сохранялся левосторонний монопарез руки до 4 баллов и определялись нарушения чувствительности в виде левосторонней гемигипестезии.
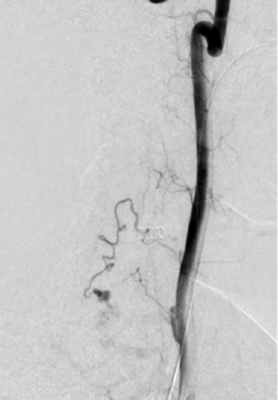
В стационаре выполнили МРТ шейного отдела позвоночника (рис. 1) и селективную спинальную ангиографию. По данным ангиографии, на уровне СVI—СVII позвонков выявлена спАВМ гломусного типа с наличием интранидальных аневризм и кровоснабжением из корешковых артерий, отходящих от левой позвоночной артерии и восходящей артерии шеи левого щитошейного ствола (рис. 2, а—в). Венозный дренаж осуществлялся в спинальные вены и венозное сплетение спинного мозга (рис. 3).

Рис. 1. Магнитно-резонансная томография шейного отдела позвоночника до операции.
Пояснения в тексте.

Рис. 2. Селективная спинальная ангиография.
а, б — селективная ангиография левой позвоночной артерии; определяется интрамедуллярная артериовенозная мальформация, кровоснабжаемая из корешковой артерии, с наличием интранидальных аневризм (стрелки); в — селективная ангиография щитошейного ствола слева, определяется дополнительное кровоснабжение артериовенозной мальформации из восходящей артерии шеи.

Рис. 3. Левосторонняя вертебральная ангиография, венозная фаза.
Определяется венозный дренаж артериовенозной мальформации.
Операция. Под общей анестезией через установленный в правую бедренную артерию интродьюсер в V3 сегмент левой позвоночной артерии заведен направляющий катетер 6F. Выполнена селективная ангиография вертебробазилярного бассейна из левой позвоночной артерии. Определены афферентные сосуды из корешковых артерий, один из которых осуществляет основное питание узла АВМ, в котором имеются интранидальные аневризмы. Выполнена микрокатетеризация этого афферентного сосуда потоковым микрокатетером на микропроводнике 0,07. Дистальный маркер микрокатетера установлен перед аневризмами, выполнены провокационные тесты с использованием пропофола и лидокаина с одновременным нейрофизиологическим мониторингом моторных вызванных потенциалов (МВП) и соматосенсорных вызванных потенциалов (ССВП). Регистрирующие электроды для МВП размещены на мышцах кистей, плеч, бедер и голеней. Для получения ССВП проводилась стимуляция большеберцовых нервов.

Рис. 4. Минимальный остаточный кровоток в узле артериовенозной мальформации из афферентного сосуда, расположенного на уровень выше.
На МРТ шейного отдела позвоночника на вторые сутки после операции определялось уменьшение зоны отека спинного мозга выше и ниже АВМ. Через 3 мес выполнена контрольная селективная спинальная ангиография (рис. 6, а, б) и МРТ шейного отдела позвоночника (рис. 7), по данным которых признаков функционирования АВМ не выявлено. Клинически отмечено улучшение в виде полного регресса верхнего левостороннего монопареза и чувствительных расстройств.

Рис. 6. Контрольная ангиография через 3 мес после операции.
а — селективная ангиография левой позвоночной артерии, артериовенозная мальформация не контрастируется; б — селективная ангиография левого щитошейного ствола, артериовенозная мальформация не контрастируется.

Рис. 7. Магнитно-резонансная томограмма шейного отдела позвоночника через 3 мес после операции.
Признаков функционирующей спинальной артериовенозной мальформации не выявлено. Отек спинного мозга полностью регрессировал.
Лечение спинальных АВМ гломусного типа представляет большую сложность в связи с их интрамедуллярной локализацией. Микрохирургия, направленная на удаление узла спАВМ, связана с высоким интраоперационным риском. Так, А. Boström и соавт. (2009) сообщают о послеоперационном усугублении неврологического дефицита у 20% пациентов [4]. В метаанализе, который включал 14 исследований, показано, что микрохирургическое лечение спАВМ гломусного типа привело к радикальной резекции узла у 78% пациентов, а отдаленные результаты показали клиническое улучшение у 57% пациентов, отсутствие динамики у 31% и ухудшение у 12% [5].
В исследованиях по радиохирургии спАВМ отмечено малое количество пациентов. В одном из исследований проведено лечение АВМ у 4 пациентов — в одном из этих случаев АВМ уменьшалась в размере в течение 3 лет [6]. В другом исследовании представлены результаты лучевой терапии у 10 пациентов, у 5 также отмечено уменьшение АВМ в размере [7]. В обеих сериях было сообщено, что даже нерадикальная облитерация спАВМ не привела к кровоизлияниям за период наблюдения.
На сегодняшний день стремительно развиваются эндоваскулярные технологии, совершенствуются инструментарий и эмболизирующие вещества, увеличивается сложность и радикальность операций. Это дает возможность применять эндоваскулярные технологии в лечении спАВМ. В Российской Федерации и далеко за ее пределами лидерство по внедрению этой технологии принадлежит профессору Т.П. Тиссену, который выстроил систему понимания эндоваскулярного лечения спАВМ и артериовенозных фистул с точки зрения локализации, типа и сосудистой анатомии мальформации [8].
Одним из важнейших методов лечения спАВМ гломусного типа остается эндоваскулярная эмболизация. Она может применяться и как самостоятельный, и как вспомогательный метод лечения. Так, при микрохирургическом удалении спАВМ часто необходима ее предоперационная эмболизация для снижения риска интраоперационного кровотечения. Радикальность эндоваскулярной эмболизации спАВМ гломусного типа как самостоятельного метода невысока и составляет 33%, что связано со сложной анатомией и наличием «опасных» афферентных сосудов, в том числе из передней спинальной артерии. В то же время ухудшение после эмболизации отмечено у 13% пациентов [5]. Однако следует отметить тот факт, что даже после частичной эмболизации таких спАВМ в отсроченном периоде повторных кровоизлияний у пациентов не наблюдалось [5].
С целью снижения возможных ишемических осложнений при эмболизации во время операции могут быть использованы провокационные тесты, а также интраоперационный нейрофизиологический мониторинг [9]. Причиной кровоизлияния из интрамедуллярных спАВМ могут быть аневризмы афферентного сосуда или сосудов внутри узла мальформации, поэтому первостепенная задача эндоваскулярной эмболизации сводится к тому, чтобы сначала выключить из кровотока эти аневризмы, а затем приступить к эмболизации узла спАВМ, если позволяет анатомия сосудов данного патологического образования.
Заключение
Представленное наблюдение свидетельствует о возможности успешного эндоваскулярного лечения спинальных артериовенозных мальформаций гломусного типа с полным выключением кровотока и отсутствием клинического ухудшения. Успех операций при подобных артериовенозных мальформациях зависит от внимательного изучения афферентных сосудов и дренажной системы. Чрезвычайно важно определить, какие сосуды участвуют в формировании артериовенозной мальформации, а какие кровоснабжают спинной мозг, и только после этого начинать эндоваскулярную операцию. Проведение провокационных фармакологических тестов с интраоперационным нейрофизиологическим мониторингом моторных функций позволит сделать операцию максимально безопасной для пациента и снизить риск развития или усугубления неврологического дефицита в послеоперационном периоде.
Участие авторов
Концепция и дизайн исследования — А.П., Д.Р.
Сбор и обработка материала — В.К., Н.Ч., Д.Р.
Написание текста — А.П.
Редактирование — А.П., Д.Р.
Авторы заявляют об отсутствии конфликта интересов.
Комментарий
В работе описано успешное лечение интрамедуллярной артериовенозной мальформации шейного отдела спинного мозга после перенесенного интрамедуллярного кровоизлияния. Авторы уделили внимание последовательности диагностики и эндоваскулярной технике выполнения операции при этой патологии, опираясь на мировой и собственный опыт при лечении столь сложного заболевания. На магнитно-резонансных томограммах определялись очаги перенесенного интрамедуллярного кровоизлияния и признаки развития миелоишемии. С применением выжидательной тактики при улучшении неврологического статуса больной выполнена селективная ангиография, при которой уточнены все приводящие сосуды артериовенозной мальформации, а также состояние дренажной системы. Это крайне важно для планирования эндоваскулярного вмешательства, так как для эмболизации необходимо оценивать афферентные, эфферентные сосуды, узел артериовенозной мальформации и скорость кровотока во всей патологической системе сосудов. В отношении интранидальных аневризм наше мнение кардинально отличается от оценки авторов. Сопоставление данных магнитно-резонансной томографии и ангиограмм показывает, что речь идет о расширенных начальных отделах дренирующих вен, из которых, скорее всего, и произошло кровоизлияние. Этот факт подтверждается тотальной инволюцией артериовенозной мальформации после ее частичной эмболизации. Успешность эндоваскулярного лечения достигнута хорошими хирургическими навыками суперселективной катетеризации, благодаря которым удалось катетеризировать афферентные артерии практически до начальных отделов расширенных вен АВМ. При оперативном вмешательстве проводилась нейрофизиологическая оценка, так как вмешательство выполнено в условиях наркоза и с использованием фармакологических проб. Последний вопрос требует дальнейшего изучения, так как не совсем ясны дозы, скорость введения препарата и этап катетеризации, на котором проводилась провокационная проба. В НМИЦ нейрохирургии им. акад. Н.Н. Бурденко, который располагает опытом подобных операций, проведенных более чем у 150 больных, подобные оперативные вмешательства выполняются у пациентов в сознании, что позволяет проводить клиническую оценку состояния в ходе операции.
Касаясь сопоставления возможностей эндоваскулярного, микрохирургического и радиохирургического методов лечения, в описываемой ситуации методом выбора, бесспорно, является эндоваскулярная эмболизация, так как при этом методе в кратчайшие сроки происходит полная редукция артериовенозной мальформации при отсутствии дополнительной травмы и без того поврежденного кровоизлиянием спинного мозга.
Несмотря на все замечания, статья представляет большой интерес, причем именно в части хирургического подхода, при котором достигается улучшение гемодинамики спинного мозга с последующим тотальным тромбированием артериовенозной мальформации в отсроченном периоде, и полным регрессом неврологической симптоматики.
Артериовенозные мальформации сосудов головного и спинного мозга
Артериовенозные мальформации (АВМ) - являются врожденной ненаследственной аномалией развития сосудистой системы головного мозга и представляют собой различной формы и величины клубки, образованные вследствие беспорядочного переплетения патологических сосудов. В артерио-венозных мальформациях, чаще всего, отсутствует капиллярная сеть, вследствие чего осуществляется прямое шунтирование крови из артериального бассейна в систему поверхностных и глубоких вен. Это ведет к формированию 2-х систем кровотока – через нормальные сосуды головного мозга и сосудистую сеть мальформации, при этом кровоснабжение нормальной мозговой ткани уменьшается, что ведет к увеличению ишемических и дегенеративных явлений в головном мозге. Со временем из АВМ формируются аневризмы. АВМ чаще всего проявляется в головном мозге, но она также может возникать и в спинном мозге. АВМ начинает развиваться в течение внутриутробной стадии. С возрастом она растёт непредсказуемо.
- Внутричерепные кровоизлияния; это самый распространенный симптом
- Судороги- встречается в 20% -25% всех случаев
- Головная боль. Головные боли являются распространенным симптомом, возникая в приблизительно 15% случаев
- Мышечная слабость
- Паралич (потеря движения) части тела
- Головокружение
- Невозможность выполнять целенаправленные движения - апраксия
- Потеря координации, особенно при ходьбе - атаксия
- Аномальный звук кровотока. Этот звук, называемый также шум, можно определить с помощью стетоскопа. Он обусловлен чрезвычайно быстрым потоком крови через артерии и вены при артериовенозной мальформации
- Внезапные, сильные боли в спине
- Трудности произношения или понимания речи
- Потеря ощущений (слух, вкус, тактильные ощущения)
- Нарушения зрения
- Потеря памяти
- Сложности мышления или спутанность сознания
- Галлюцинации
- Слабоумие.
Артериовенозные мальформации могут серьезно повредить головной и спинной мозг по причине:
- Уменьшение количества кислорода, достигающего мозга
- Возникновение кровотечения (кровоизлияния) в тканях, входящих в нервную систему, в том числе в головном и спинном мозге)
- Сдавливание или сдвиг части головного или спинного мозга
Кровоизлияние в головной мозг происходит, когда стенка расширенного сосуда разрывается или когда АВМ аневризма лопается. Такое кровотечение является опасным для жизни. Четверть всех пациентов, поражённых любого рода кровоизлиянием, умирает; а каждый третий становится инвалидом. Риск ежегодного повторения микрокровоизлияния при АВМ составляет около 4%. Однако некоторые АВМ никогда не кровоточат. Самый высокий риск кровоизлияния охватывает пациентов в возрасте 40 - 55 лет.
Артериовенозные мальформации спинного мозга ( Спинальные АВМ )
Артериовенозные мальформации спинного мозга — врождённые сосудистые образования спинальной локализации. Состоят из аномально изменённых сосудов, шунтирующих кровь из артериальной сети в венозную, минуя капилляры. Протекают латентно. Манифестируют симптомами спинального кровоизлияния, корешковыми болями, прогрессирующими двигательными нарушениями. Диагностика основана на клинических, томографических и ангиографических данных. Лечение нейрохирургическое: эндоваскулярная облитерация, открытая микрохирургическая резекция, радиохирургическое удаление.
МКБ-10
Общие сведения
Причины
Сосудистые аномалии образуются в период внутриутробного развития в результате локального сбоя в формировании сосудов среднего и мелкого калибра. Наследственная связь не прослеживается. Провоцирующими дисгенез факторами выступают заболевания и интоксикации матери в период беременности, внутриутробные инфекции, гипоксия плода, неблагоприятное воздействие окружающей среды, приём беременной фармпрепаратов с побочным тератогенным эффектом. Отдельно выделяют триггеры, провоцирующие клиническую манифестацию: избыточную физическую нагрузку, подъём тяжестей, беременность, роды, травма позвоночника, посещение бани, иногда — переохлаждение.
Патогенез
Артериовенозные мальформации отличаются длительным скрытым течением. Сосудистая система в области аномалии адаптируется к работе в создавшихся условиях. Со временем возможно истончение стенок входящих в образование сосудов, возникновение аневризм (выпячиваний сосудистой стенки). Ткани спинного мозга в районе аномалии могут страдать от хронической ишемии и гипоксии в результате механизма обкрадывания, когда кровь не идёт по капиллярной сети, а сбрасывается через артериовенозные шунты. Поэтому рассматривают несколько патогенетических механизмов, обуславливающих клинику заболевания.
Провоцирующие триггеры (нагрузка, беременность, травмы) вызывают усиление метаболизма спинальных клеток, что усугубляет их гипоксию и обуславливает дисфункцию. Возникают симптомы сосудистой миелопатии. С другой стороны, под воздействием триггеров происходит увеличение кровотока, в т. ч. в АВМ. Если кровь не успевает сбрасываться из артерий в вены, возникает повышенное кровенаполнение мальформации с ростом её объёма. Увеличивающееся образование сдавливает корешки или мозговое вещество — развивается картина корешкового синдрома или миелопатии. При истончении сосудистой стенки усиление кровотока приводит к её разрыву с клиникой интрамедуллярного или субарахноидального кровоизлияния.
Классификация
Спинальные артериовенозные мальформации — группа достаточно вариабельных сосудистых аномалий. В клинической практике определяющее значение в выборе оптимального способа хирургического лечения принадлежит их морфологии и расположению. Наибольшее практическое применение нашла следующая классификация:
По строению — рассматривает морфологию АВМ, количество приводящих (афферентных) артерий и отводящих (эфферентных) вен, их взаимное положение. Позволяет разделить артериовенозные мальформации по их гемодинамическим характеристикам.
- I тип — пучок изменённых сосудов с 1-2 гипертрофированными приводящими артериями и эфферентной веной. В ряде случаем отток идёт по нескольким венам. Хорошо виден на ангиограммах, кровоток замедлен.
- II тип (гломусный) — компактный сосудистый клубок с петлистыми сосудами, зачастую извитыми афферентными артериями. Имеет несколько артериовенозных шунтов, местоположение которых трудно определить при рентгенконтрастном исследовании. Кровоток усилен, замедляется в дренажной вене.
- III тип (ювенильный) — редкая форма из крупных незрелых сосудов. Несколько приводящих артерий и дренирующих вен разного калибра. Кровоток ускорен по всей мальформации. Даёт систолический шум, слышимый аускультативно.
- IV тип — не имеет мелких сосудов. Артерия напрямую соединяется с веной по типу «конец в бок» или «конец в конец». В последнем варианте на ангиограммах выглядит как серпантинная дорожка.
По локализации — учитывает местораспложение АВМ по отношению к спинному мозгу. Имеет значение для понимания степени инвазивности предстоящего хирургического вмешательства.
- Интрамедуллярные — расположенные в спинном мозге полностью или частично. Кровоснабжаются исключительно спинальными сосудами.
- Экстраперимедуллярные — локализуются на поверхности мозга, не проникают интрамедуллярно. Приток крови и дренирование происходит по корешковым сосудам.
- Экстраретромедуллярные — находятся на задней поверхности мозга. Афферентным сосудом выступает задняя спинномозговая артерия. Редкий вариант.
- Интрадуральные — расположены в спинномозговой (дуральной) оболочке. Приток обеспечивают радикулярные артерии, отток - спинномозговые вены.
Симптомы АВМ спинного мозга
Спинальные артериовенозные мальформации имеют продолжительный латентный период, иногда длящийся всю жизнь. У отдельных пациентов выявляться при ангиографическом обследовании по поводу другой патологии. Дебют, симптоматика, течение заболевания сильно отличаются в зависимости от реализующегося патогенетического механизма. Соответственно, выделяют апоплексический и паралитический варианты клинической картины.
Апоплексическая форма наблюдается у 15-20% больных, чаще в молодом возрасте. Обусловлена разрывом стенки одного из аномальных сосудов с излитием крови в субарахноидальное пространство или вещество спинного мозга. Характеризуется внезапным острым началом с интенсивной боли в области позвоночника, слабости в конечностях. Субарахноидальное кровотечение сопровождается гипертонусом затылочных мышц, другими менингеальными знаками. При расположении АВМ в грудном и поясничном отделе спинного мозга возникает слабость в ногах (нижний парапарез). Артериовенозные мальформации в шейном отделе проявляются слабостью всех конечностей (тетрапарез). Двигательные нарушения сочетаются с расстройством чувствительности и мышечного тонуса. Возможна дисфункция тазовых органов.
Паралитическая форма отличается постепенным развитием. Протекает с неуклонным усугублением симптоматики (прогрессирующий вариант) или с периодами улучшение/ухудшение (интермиттирующий вариант). Прогрессирующее течение наблюдается у 40% заболевших. Возможно начало с корешкового синдрома — сильной боли в позвоночнике, распространяющейся в руку, ногу или грудную клетку (в соответствии с поражённым отделом спинного мозга). Затем присоединяется мышечная слабость, чувствительные расстройства. Слабость мышц ног вызывает повышенную утомляемость при ходьбе. Со временем походка принимает спастический характер. Возникают судороги, подёргивания мышц нижних конечностей. Следующей стадией заболевания является спастическое повышение тонуса в ногах, усугубление слабости, нарушение мочеиспускания, дефекации. Симптоматика прогрессирует вплоть до полного поперечного поражения спинного мозга. Вовлечение нижнего спинномозгового утолщения проявляется снижением мышечного тонуса, выпадением рефлексов.
Осложнения
Трудности диагностики, позднее начало лечения способствуют переходу клинических проявлений из стадии обратимого неврологического дефицита в состояние стойких патологических изменений. Возникают грубые парезы и параличи, затрудняется самообслуживание, пациент утрачивает возможность ходить. При развитии выраженного тетрапареза больной постоянно находится в постели, что способствует возникновению пролежней, застойной пневмонии и др. осложнений.
Диагностика
Возможность диагностировать артериовенозные мальформации спинного мозга появилась в клинической неврологии в 60-х гг. XX века, когда в медицинскую практику начала внедрятся спинальная ангиография. До этого сосудистые мальформации выявляли при проведении миелографии как объёмные образования и достоверно диагностировали только интраоперационно. Сейчас современная диагностика спинальных АВМ включает:
- Неврологический осмотр. В ходе обследования выявляется парез, чувствительные нарушения, изменение рефлексов и тонуса. Полученные данные помогут неврологу определить примерную локализацию патологического процесса.
- Люмбальная пункция и анализ спинномозговой жидкости проводятся при апоплексическом варианте заболевания. Наличие крови в спинальной жидкости свидетельствует о кровоизлиянии.
- МРТ спинного мозга. Позволяет визуализировать артериовенозную мальформацию, диагностировать спинальное кровоизлияние, определить его объём и расположение.
- Ангиография. Может проводиться при помощи рентгенографии с введением контрастного вещества. Более информативна МРТ сосудов спинного мозга. Даёт представление о типе, месторасположении, протяжённости, гемодинамике сосудистой аномалии. Результаты спинальной МР-ангиографии помогают выбрать адекватный способ лечения, спланировать ход операции.
Дифдиагностика проводится с опухолями спинного мозга, инфекционной миелопатией, рассеянным склерозом, болезнью Штрюмпеля, БАС. Апоплексический вариант клиники АВМ спинного мозга дифференцируют с геморрагическим спинальным инсультом.
Лечение АВМ спинного мозга
Спинальные артериовенозные мальформации, не дающие клинической симптоматики, являющиеся случайной находкой и имеющие небольшие размеры, не требуют лечения, но нуждаются в регулярном наблюдении нейрохирурга. При наличии клиники необходимо хирургическое лечение. Применяются следующие методики:
- Эндоваскулярная эмболизация— введение в афферентный сосуд эмболизирующего вещества. Выполняется под контролем ангиографии. Позволяет достичь частичной облитерации просвета приводящей артерии. Применяется самостоятельно и в качестве подготовки к хирургическому удалению.
- Открытое удаление — хирургическая операция, в ходе которой производится микрохирургическое выделение, перевязка и пересечение питающих мальформацию артерий с последующей резекцией сосудистого конгломерата. Важным моментом является сохранение кровоснабжения спинного мозга.
- Стереотаксическая радиохирургия применяется при малых размерах образования, расположении в труднодоступном месте, если невозможна эндоваскулярная облитерация. Выступает дополнительным лечением при неполном иссечении образования в результате открытой операции, частичной облитерации после эндоваскулярного вмешательства. Прицельное облучение вызывает асептическое воспаление, ведёт к поэтапному склерозированию. Недостатком метода является постепенное «закрытие» сосудистого просвета после операции. В этот период (до 2-х лет) вероятность кровотечения сохраняется.
Восстановительное послеоперационное лечение осуществляется реабилитологами. Обязательно проводится контрольная МРТ и ангиография. Сочетание этих исследований позволяет выявить остатки аномалии, возможно сохранившиеся после удаления, определить степень облитерации после эмболизации и радиохирургического вмешательства.
Прогноз и профилактика
Правильная диагностика и своевременно проведённое лечение позволяют предупредить кровотечение из АВМ, развитие компрессионной миелопатии, стойких двигательных расстройств. У большинства пациентов наблюдается существенное восстановление утраченных функций вплоть до полного регресса возникшего неврологического дефицита. В последующем возможен рецидив, связанный с неполным выключением порочных сосудов из кровотока. В течение нескольких лет после нейрохирургического лечения пациентам необходимо наблюдение нейрохирурга. Профилактикой возникновения АВМ служит исключение неблагоприятных влияний на плод в период беременности.
Читайте также:
