Мелореостоз - лучевая диагностика
Добавил пользователь Евгений Кузнецов Обновлено: 23.11.2025
Основная задача подразделения – усовершенствование ранее существовавших и поиск новых методик лучевой диагностики в педиатрии, при одновременном снижении лучевой нагрузки на пациента и получения максимальной диагностической информации. Приоритетными направлениями развития рентгеновской службы являются поиск новых диагностических маркеров в неврологии (различные варианты миопатий, туберозный склероз), эпилептологии и кардиологии. Сотрудники отделения принимают участие в научных клинических исследованиях, научных конгрессах и симпозиумах.
Заведующий отделением
Кандидат медицинских наук
Область научных интересов
комплексное исследование поджелудочной железы с использованием функциональных тестов при различных заболеваниях желудочно-кишечного тракта, изучение почечного кровотока при различных патологических состояниях почек.
Отделение лучевой диагностики создано в 2016 году путем объединения отделений ультразвуковых и рентгеновских методов исследования для расширения возможностей диагностики различных патологических состояний у детей.
Ультразвуковая служба института существует более 20 лет. В начале своей деятельности это был кабинет ультразвуковых исследований, в котором работало два врача и одна медицинская сестра.
В настоящее время в подразделении работают 14 сотрудников: 8 врачей, 4 медицинские сестры, сестра-хозяйка и санитарка. Среди врачей – 4 кандидатов медицинских наук, 2 врача высшей категории.
Подразделение рентгеновских методов исследования существует с момента создания НИИ Педиатрии и детской хирургии в 1927 г. До 1995г. отделение входило в состав научного отдела, с 1995 до 2016 года отделение существовало как самостоятельное функциональное подразделение.
Подразделение ультразвуковой диагностикиbvоснащено аппаратурой экспертного и премиум-класса с цифровой обработкой информации
- Aplio 500 (Thosiba),
- Voluson 730 Expert (General Electric),
- Voluson i (General Electric),
- Vivid e (General Electric).
В подразделении осуществляются следующие виды ультразвуковых исследований
- Эхокардиография.
- УЗИ органов брюшной полости (печень, желчный пузырь, желчевыводящие протоки, поджелудочная железа, селезенка, определение наличия свободной жидкости).
- УЗИ органов забрюшинного пространства (почки, надпочечники, паранефральная клетчатка, мочеточники, аорта, забрюшинные л/у).
- УЗИ органов малого таза у мальчиков (предстательная железа, семенные пузырьки, мочевой пузырь с определением остаточной мочи).
- УЗИ наружных половых органов у мальчиков.
- УЗИ органов малого таза у девочек.
- УЗИ лимфатических узлов и мягких тканей
- УЗИ молочных желез с регионарными лимфатическими узлами.
- УЗИ щитовидной железы с регионарными лимфатическими узлами.
- УЗИ вилочковой железы (детям до 5 лет).
- УЗИ слюнных желез.
- Нейросонография (детям до 3 лет).
- УЗИ тазобедренных суставов.
- Исследования гемодинамики печени и почек.
- Функциональные исследования желчного пузыря (желчегонный завтрак).
- Функциональные исследования поджелудочной железы (постпрандиальный тест).
- Фурасемидный тест.
Приоритетными направлениями развития ультразвуковой службы являются нефрология и гастроэнтерология детского возраста. Сотрудники отделения принимают участие в научных исследованиях, научных конгрессах и симпозиумах.
Рентгеновская служба оснащена
- 4-мя рентгеновскими кабинетами с современными рентгеновскими установками (цифровыми и аналоговыми);
- Рентген денситометр;
- РК томограф;
- МР томограф с набором катушек для исследования всех областей тела;
- Специализированный наркозный аппарат для МРТ.
В подразделении рентгеновских методов исследования проводятся все виды рентгеновских исследований, компьютерная и магнитно-резонансная томография, в том числе под наркозом, денситометрия.
Мелореостоз
Мелореостоз (болезнь Лери; МКБ–10: М85.8) - заболевание неясной этиологии, характеризующееся избыточным образованием компактной кости путём усиления периостального или эндостального костеобразования (в последнем случае - облитерация костномозгового канала). Описавшие эту болезнь в 1922 г. Жоани (Joanny) и Лери (Leri) сравнивают остеосклеротические полосы с картиной, напоминающей стекающий со свечи и застывающий стеарин или воск, отсюда и название "мелореостоз" - "стекающая вдоль конечности кость".
Этиология
Этиология мелореостоза неизвестна. Это эмбриональное метамерное нарушение процесса развития преимущественно костного остова конечности. Мелореостоз наблюдается в любом, но чаще всего в детском и юношеском возрасте. Однако, возможна диагностика этой патологии в среднем, зрелом и старческом возрасте. Чаще поражаются лица мужского пола.
Патогенез
Отдельные случаи мелореостоза отличаются друг от друга по степени и форме склеротических участков; каждый случай представляет свои индивидуальные особенности. Наиболее частая локализация - кости нижних конечностей, реже поражаются кости таза, позвоночника, черепа и рёбра.
В более тяжелых случаях поражения нижней конечности захватывается соответствующая половина таза, при локализации в верхней конечности - часть лопатки. Из парных костей поражается, как правило, только одна: это большеберцовая или малоберцовая кость, лучевая или локтевая кость, но никогда не обе кости одновременно. В редких случаях объем изменений не возрастает по направлению к периферии. Как казуистика встречается поражение черепа (часть нижней челюсти).
Измененный корковый слой, а также уплотненные эпифизы и мелкие губчатые кости приобретают плотность слоновой кости. Корковый слой утолщается как в сторону костномозгового канала (эндостальная форма), в большей или меньшей степени суживая его, так и наружу (периостальная форма), возвышаясь над нормальным уровнем кости и увеличивая этим ее наружный диаметр. Поверхность "наплывов" слабо волнистая, с гребневидными возвышениями и углублениями, всегда резко контурируется. Склеротические полосы и ленты бывают чаще всего сплошными, но нередко они прерывисты, расслоены. Иногда наблюдается некоторое удлинение костей и их небольшая дугообразная деформация, или наоборот - очень незначительное укорочение. Это зависит от участия энхондрального хряща, раздражения или торможения его функции. Костная ткань в соседстве со склеротическими полосами и островками сохраняет нормальный рисунок или часто слабо поротична, так что граница между затемненными склеротическими лентами и костным фоном очень резка. Редко в мягких тканях таза или области плечевого пояса развиваются неправильные шаровидные плотные костные массы, а при прогрессировании болезни подобные островки появляются и в окружности суставов. Патологические переломы, озлокачествления при мелореостозе не описаны. Течение болезни доброкачественное, прогноз благоприятный.
Гистологическое исследование при мелореостозе ничего характерного, кроме склероза пораженных участков, не показывает. Воспалительных изменений в костной ткани не бывает. Уплотненная кость имеет, как и при мраморной болезни, неправильную архитектонику. Надкостница либо совсем не изменена, либо фиброзно- уплотнена. Имеется много незрелого костного вещества, костный мозг атрофичен и также замещен волокнистой соединительной тканью, сосуды находятся в состоянии запустения.
Визуализация
Клинические проявления
Клиническая картина по сравнению с рентгенологической относительно скудная. Чем старше больной мелореостозом, тем ярче клиническая картина, и чем он моложе, тем больше преобладает рентгенологические изменения. Больные жалуются на болевые ощущения, характер и интенсивность которых вариабельны. Боли редко бывают сильными, мучительными, обычно это умеренные «тупые» боли, усиливающиеся по ночам, зависящие от функциональной активности и от времени года. Боли не только связаны по местоположению со склеротическими костными участками, но и связаны с давлением на нервы и сосуды со стороны костных гребней и напластований.
Иногда больные жалуются на чувство усталости в измененной конечности, мышечную слабость; мышцы в «застарелых» случаях оказываются атрофированными и фиброзно уплотненными, определяется в различной степени выраженная склеродермия. Возможна тугоподвижность суставов на пораженной стороне, наблюдаемая только у взрослых. С возрастом может развиваться прогрессирующее ограничение подвижности одного или нескольких крупных суставов - все на одной конечности. Объясняются эти мономелические суставные изменения не столько склерозом эпифизарных костных элементов суставов, сколько нарастающими отложениями и глыбами гетеротопического костного вещества в мягких тканях в окружности суставов, особенно в области тазобедренного и коленного.
Важным внешним клиническим проявлением мелореостоза могут служить деформации, из которых раньше всего бросаются в глаза осевые отклонения в сторону одного из пальцев кисти.
Кровь по своим морфологическим и химическим свойствам при мелореостозе отклонений от нормы не представляет, обмен веществ остается нормальным.
Лучевая диагностика
РЕНТГЕНОСЕМИОТИКА
На рентгенограмме предплечья (рис. 1а) в прямой проекции визуализируется неравномерное утолщение локтевой кости в средних отделах диафиза за счет выраженного периостального и менее выраженного эндостального неравномерного "стекающего" гиперостоза в виде значительных напластований и гребневидных возвышений. Целостность кортикального слоя кости на уровне изменений не нарушена. Костный мозговой канал сужен.
На рентгенограмме голени (рис. 1б) в прямой проекции визуализируется неравномерное утолщение большеберцовой кости в верхней трети диафиза за счет умеренно выраженного периостального неравномерного "стекающего" гиперостоза. Целостность кортикального слоя кости на уровне изменений не нарушена. Костный мозговой канал на уровне изменений прослеживается, не сужен.
На рентгенограмме бедренной кости (рис. 1в) в прямой проекции визуализируется неравномерное утолщение бедренной кости на уровне всего диафиза за счет выраженного периостального и менее выраженного эндостального неравномерного "стекающего" гиперостоза в виде напластований и гребневидных возвышений. Целостность кортикального слоя кости на уровне изменений не нарушена. Костный мозговой канал сужен.
Рис. 1. Рентгенография предплечья (а), голени (б) и бедренной кости (в).
КТ-семиотика.
Рис. 2. КТ грудной клетки.
На рис. 2 представлено неравномерное утолщение ребра справа и тела позвонка справа на уровне реберно-позвоночного сочленения за счет умеренно выраженного периостального неравномерного "стекающего" гиперостоза.
МРТ-семиотика:
Рис. 3. МРТ голени: а) Т1-Cor, б) Т2-tra
На рис. 3 - неравномерное утолщение малоберцовой кости на уровне проксимального метафиза и на протяжении всего диафиза за счет выраженного эндостального неравномерного "стекающего" гиперостоза. Целостность кортикального слоя кости на уровне изменений не нарушена. Костный мозговой канал практически не прослеживается.
Дифференциальный диагноз
- Мраморная болезнь
- Гуммозный сифилитический остеопериостит
- Хронический склерозирующий остеомиелит
- Травматический периостит
- Остеопойкилия
- Остеобластическая склерозирующая остеогенная саркома
- Неврогенная остеоартропатия
- Хондроматоз сустава
- Капсульная остеома
- Остеосаркома
Пример описания
Описательная часть: Выявлено неравномерное утолщение малоберцовой кости на уровне проксимального метафиза и на протяжении всего диафиза за счет выраженного эностального неравномерного "стекающего" гиперостоза. Целостность кортикального слоя кости на уровне изменений не нарушена. Костный мозговой канал практически не прослеживается. Периостальной реакции, наличия мягкотканного компонента не выявлено.
Наличия изменений структуры большеберцовой кости не выявлено. Мышцы структурны. В подкожной клетчатке дополнительных образований не выявлено.
При контрастировании очагов патологического накопления контраста не выявлено.
ЗАКЛЮЧЕНИЕ: МР картина структурных изменений малоберцовой кости (может соответствовать врожденной патологии костной ткани – мелореостозу).
Рекомендована консультация ортопеда-травматолога, при необходимости дообследование других костей скелета, рентгенография (или КТ) в динамике.
Туберозный склероз
Туберозный склероз (болезнь Бурневилля) — редкое генетическое заболевание, при котором во множестве органов и тканей образуются доброкачественные опухоли. Полисистемный характер нарушений порождает широкий спектр симптомов — повреждения мозга могут вызвать эпилепсию, снижение интеллекта; поражаются внутренние органы — почки, сердце, лёгкие; характерные новообразования кожи лица и глазного дна могут быть использованы при начальной диагностике.
Первое слово в названии болезни происходит от латинского tuber — нарост, опухоль, и описывает «туберсы» — характерные новообразования в коре мозга больных, обычно на границе серого и белого вещества. Туберсы были впервые описаны французским неврологом Бурневиллем, поэтому иногда болезнь называют его именем.
Частота этого заболевания составляет 10—14 на 100 000 населения. Она выше у детей, составляя максимум у не достигших 5-летнего возраста. Число случаев с отрицательным семейным анамнезом велико: от 50 до 70 %. Заболевание характеризуется высокой ранней детской смертностью и снижением продолжительности жизни у взрослых людей.
Критерии диагностики туберозного склероза
Все признаки подразделяются на первичные и вторичные.
- ангиофибромы лица или фиброзные бляшки на лбу,
- нетравматические околоногтевые фибромы,
- гипопигментные пятна (больше трех),
- «шагреневая кожа»,
- множественные гамартомы сетчатки,
- корковые туберсы, субэпендимарные узлы,
- гиганто-клеточная астроцитома,
- рабдомиомы сердца множественные или одиночные, ,
- множественные ангиомиолипомы почек.
- многочисленные углубления в эмали зубов,
- гамартоматозные ректальные полипыа,
- костные кистыб,
- фибромы десен,
- гамартомы внутренних органов,
- ахроматический участок сетчатой оболочки,
- пятна «конфетти» на коже,
- множественные кисты почека.
Несомненный диагноз туберозного склероза: 2 первичных признака или 1 первичный признак + два вторичных признака.
Возможный диагноз - 1 первичный признак + 1 вторичный признак.
Предположительный диагноз – или 1 первичный признак или два и больше вторичных признака.
а - требуется гистологическое подтверждение
б – достаточно рентгенологического подтверждения
Кожные изменения
Гипопигментные пятна, ангиофибромы лица, участки “шагреневой кожи”, околоногтевые фибромы, фиброзные бляшки, белые пряди волос, ресниц и бровей.
Гипопигментные пятна (овальные, полигональные или в виде рассыпанного «конфетти») нередко обнаруживаются с рождения, с возрастом число их может увеличиваться. Располагаются асимметрично, преимущественно на туловище и ягодицах.
Гипопигментное пятно на коже голени
Ангиофибромы лица (аденома Прингля) - узлы розового или красного цвета с гладкой, блестящей поверхностью, располагаются симметрично с двух сторон лица на щеках и носу (по типу “крыльев бабочки”) и подбородке. Развиваются, как правило, после 4-х лет.
Участки “шагреневой кожи” (peau chagrine в переводе с французского - “недубленая, грубая, жесткая кожа”), желтовато-коричневого или розового цвета, умеренно выступают над поверхностью окружающей кожи и напоминают шкурку апельсина. Размер их колеблется от нескольких миллиметров до 10 и более сантиметров. Чаще они появляются на втором десятилетии жизни. Располагаются преимущественно в пояснично-крестцовой области.
Участок "шагреневой кожи"
Фиброзные бляшки - образования бежевого цвета, шероховатые на ощупь, несколько выступают над окружающей кожей. Часто появляются уже на первом году жизни. Излюбленным местом локализации фиброзных бляшек является лоб. Размер и число их варьируют.
Околоногтевые фибромы - тусклые, красные или мясного цвета узлы, растущие от ногтевого ложа или вокруг ногтевой пластинки. В большинстве случаев околоногтевые фибромы появляются на втором десятилетии жизни. Чаще встречаются на ногах, чем на руках. Размер варьирует от 1 миллиметра до 1 сантиметра в диаметре.
Мягкие фибромы располагаются на туловище и шее, реже на конечностях. Бывают двух видов:
- множественные или единичные, мягкие мешотчатые образования на ножках
- множественные образования, несколько приподнятые над поверхностью кожи, размером меньше булавочной головки (напоминают “гусиную кожу”)
Изменения со стороны органов зрения
доброкачественные опухоли сетчатки и зрительного нерва (часто множественные) - ретинальные гамартомы астроцитарного происхождения. Наблюдается у 50 % больных. Опухоль трудно заметить в самом начале.
Она довольно быстро кальцифицируется. Офтальмологическое исследование следует предпринять как можно раньше у детей с дилатированным сосочком зрительного нерва. Опухоль чаще располагается вблизи оптического диска.
Обызвествления в гамартомах сетчатки с обеих сторон.
Изменения со стороны сердечно-сосудистой системы
Рабдомиомы сердца. Рабдомиомы локализуются в любой полости сердца, но преимущественно - в желудочках. Более характерно их расположение в левой половине сердца. У 2/3 больных - рабдомиомы множественные. Клинически рабдомиомы сердца проявляются признаками сердечной недостаточности, нарушениями гемодинамики, сократительной функции миокарда и сердечного ритма.
Изменения со стороны органов дыхания
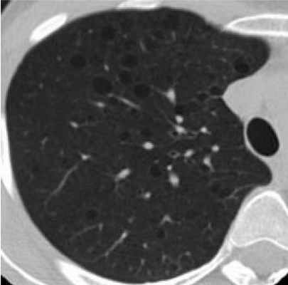
Лимфангиолейомиоматоз легких. Легкие вовлекаются в патологический процесс после 30 лет. Первые клинические симптомы - дыхательная недостаточность и рецидивирующий пневмоторакс.

Фрагмент КТ: множественные кистозные изменения - лимфангиомиоматоз легких
Изменения со стороны желудочно-кишечного тракта
полость рта (узловые опухоли, фибромы или папилломы, дефекты эмали зубов), печень (одиночные и множественные гамартомы и ангиомиолипомы), прямая кишка (ректальные полипы)
Изменения со стороны почек
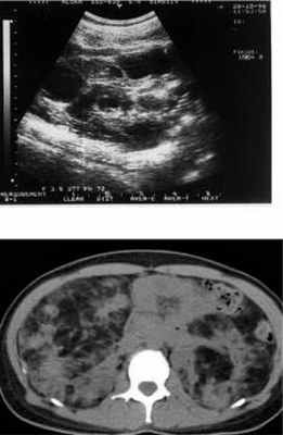
Ангиомиолипомы и кисты. Редко - карциномы. Нарушения со стороны почек, как правило, появляются на 2-м - 3-м десятилетии жизни. Ангиомиолипомы при туберозном склерозе множественные, двусторонние и длительное время имеют бессимптомное течение.
Ангиомиолипомы больше 4 см в диаметре имеют тенденцию к спонтанному кровоизлиянию. Основными клиническими симптомами кровоизлияния из ангиомиолипомы: острые абдоминальные боли, падение артериального давления. Кисты почек при туберозном склерозе чаще небольшого размера, двусторонние. При увеличении размера кист развивается почечная недостаточность, появляется высокое артериальное давление.

УЗИ. Кисты почки
На КТ множественные двусторонние образования в почках, содержащие жировую ткань – ангиомиолипомы.
Изменения со стороны костей
Поражения костной ткани чаще бессимптомные, в виде периостальной реакции, склероза или кистоза.
КТ. Участки склероза в костях черепа, преимущественно в лобной кости.
Изменения со стороны нервной системы
судорожные приступы, умственная отсталость, нарушения поведения, изменения в цикле сон-бодрствование. Судороги при туберозном склерозе могут начинаться на первом году жизни. Чаще всего в этот возрастной период встречаются инфантильные спазмы, которые в дальнейшем переходят в другие типы судорог. Судорожные приступы при туберозном склерозе нередко плохо поддаются противосудорожной терапии. Умственная отсталость при туберозном склерозе наблюдается у половины больных. Степень снижения умственной отсталости колеблется от умеренной до глубокой. Изменения поведения характеризуются аутизмом, синдромом гиперподвижности и дефицита внимания, агрессией и аутоагрессией. Нарушения сна у большинства больных связаны с длительным засыпанием, снохождением и ранним пробуждением.
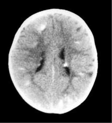
Наиболее типичными нарушениями в головном мозге являются корковые туберсы и субэпендимарные узлы. Туберсы могут быть как единичными, так и множественными, располагаются в виде выступов над единичной или прилегающими бороздами коры, расширяя их. Субэпендимарные узлы локализуются в стенках боковых желудочков и, реже, в стенках III и IV желудочков мозга. У новорожденных субэпендимарные узлы редко бывают кальцифицированными. По мере роста ребенка наблюдается постепенное отложение кальция в субэпендимарных узлах.
Субэпендимарные узлы в 10% случаев трансформируются в гиганто-клеточную астроцитому, которые манифестируют обычно между 5 и 10 годами жизни, имеют тенденцию к росту и локализуются у отверстия Монро

Субэпендимарные кальцификаты и корковые туберсы на КТ головного мозга ребенка с туберозным склерозом

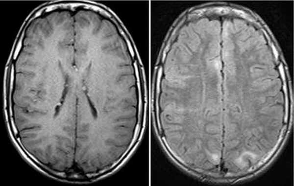
Субэпиндемальные узлы и корковые туберсы на МРТ

Астроцитома в области отверстий нередко приводит к оккюзионной гидроцефалии.
Комплекс исследований больных туберозным склерозом
- КТ и/или МРТ
- Электроэнцефалография
- Ультразвуковое исследование внутренних органов
- Эхокардиография
- Электрокардиография
- УЗИ щитовидной железы
- Анализы крови и мочи
Тревожные симптомы туберозного склероза
Лихорадка, боли в спине, подташнивание и рвота, гематурия, анемия.
Симптомы возникают, как правило, при увеличении массы и объема ангиомиолипом. Увеличенные в объеме ангиомиолипомы (больше 4 см в диаметре) нередко имеют тенденцию к спонтанному кровоизлиянию (ретроперитонеальному или внутрипочечному), либо способствуют компрессии окружающих тканей.
Клинические симптомы, свидетельствующие о кровоизлиянии из ангиомиолипомы:
- острые абдоминальные боли
- развитие шокового состояния
- падение артериального давления
- вегетативные расстройства (обильный пот, озноб, сердцебиение)
Высокое артериальное давление, головные боли, утомляемость, кожный зуд.
Кисты почек при туберозном склерозе могут достигать нескольких сантиметров в диаметре. При выраженном патологическом процессе, при бесчисленном количестве кист большого размера, течение заболевания напоминает поликистозную болезнь почек, которая приводит к почечной недостаточности.
Частые головные боли, рвоты, ухудшение зрения.
Симптомы повышения внутричерепного давления, которые могут свидетельствовать о росте гиганто-клеточной астроцитомы.
Поверхностное дыхание, бледность кожных покровов рецидивирующий пневмоторакс. Симптомы могут свидетельствовать о развитии патологического процесса в легких (лимфангиомиоматоз легких).
Заключение
Туберозный склероз – генетическое заболевание из группы факоматозов. Встречается довольно редко, проявляется чаще в детском возрасте. Наряду с наследственными формами существуют и спонтанные мутации более, чем в 50% случаев. Клинические проявления разнообразны и связаны с поражением многих органов и систем. В зависимости от локализации изменений в тех или иных органах применяются разные методы лучевой диагностики: УЗИ, КТ, МРТ, эхокардиография. Правильная диагностика возможна только с учетом клинических данных и данных анамнеза, в том числе семейного. Туберозный склероз, поражая многие органы, приводит к высокой смертности в детском возрасте и сокращению продолжительности жизни. Подозрение на осложнения туберозного склероза могут потребовать дополнительных исследований, и лечебных мероприятий, например, при кровоизлияниях в ангиомиолипомах почек, окклюзионной гидроцефалия при астроцитомах, стенозирующих отверстия Монро, развитии почечной и легочной недостаточности и др.
Функциональная диагностика: обзор отечественных публикаций. Апрель-2022
Туберозный склероз (ТБС) относится к генетически детерминированным орфанным заболеваниям с формированием множественных доброкачественных опухолей (гамартом) в различных органах и системах. Сложность диагностики связана с большим разнообразием клинических форм заболевания. Несмотря на доброкачественный характер гамартом, они вызывают нарушение функций организма, что приводит к инвалидизации и сокращению продолжительности жизни пациентов. Для раннего дебюта заболевания у детей в неонатальном и грудном возрасте наиболее характерны поражения головного мозга и сердца.
В статье представлены морфологические изменения центральной нервной системы и сердца, проведено сопоставление этих изменений с данными ультразвуковых исследований и магнитно-резонансной томографии. На примере двух клинических случаев показаны высокая чувствительность нейросонографии (НСГ) как первичного метода исследования головного мозга и возможность ранней диагностики туберозно-склерозного комплекса. Также публикация содержит литературный обзор, клинико-диагностические критерии ТБС.
Авторы отмечают, что выявление на пренатальных скринингах или постнатально рабдомиом сердца является настораживающим фактором для поиска у ребенка комплекса ТБС. При подозрении на ТБС (данные пренатальных исследований, семейный анамнез) они рекомендуют проведение комплексного эхографического исследования в неонатальном периоде – нейросонографии, эхокардиографии, ультразвукового исследования внутренних органов, почек и глаз. Наиболее значимым , по их мнению, эхографическим признаком в диагностике поражения головного мозга при ТБС является нахождение субэпендимальных узлов и туберов. Нахождение более одного субэпендимального узла с характерной деформацией стенки бокового желудочка является высокоспецифичным признаком туберозного склероза.
В статье также дана краткая информация по возможности проведения патогенетического лечения у детей раннего возраста и большое количество иллюстраций.
Целью авторов следующего исследования было оценить параметры перфузионной компьютерной томографии (ПКТ) при диффузных заболеваниях печени как косвенного показателя ее функционального состояния.
Материалы и методы. ПКТ печени была выполнена 41 пациенту (22 мужчины, 19 женщин, средний возраст составил 45,5 ± 6,2 года). Всем определяли клинико-лабораторные показатели, выполняли ультразвуковую эластографию (УЭ), ПКТ, в соответствии с полученными данными первую группу составили пациенты с гепатитом – 19, вторую – 22 пациента с циррозом.
Результаты . В группе гепатита выявлена умеренная статистически значимая связь между BV и MTT (r = 0,5 p =0,002), между MTT и показателем жесткости по данным УЭ (r = 0,6 p =0,005). Наблюдались аналогичной силы связи между MTT и протромбиновым временем (r = 0,5 p =0,04), между MTT и общим белком (r = 0,6 p =0,009).
В группе пациентов с циррозом выявлены корреляции между BF и BV (r = 0,5 p =0,01), между BF и общим белком (r = 0,6 p =0,0001), между BF и альбумином (r = 0,6 p =0,003) и между BF и ГГТП (r= 0,5 p =0,018).
Заключение. Зависимость между MTT и показателем жесткости, между перфузионными и клинико-лабораторными показателями указывает на возможность оценки функционального состояния печени посредством ПКТ.
КТ-коронарография показала высокую диагностическую точность в диагностике ишемической болезни сердца (ИБС) и стенозов венечных артерий. Тем не менее остаются вопросы функциональной оценки ишемии миокарда, так как степень стеноза артерий и клинические исходы не всегда коррелируют, а оценка гемодинамической значимости стенозов коронарных артерий остается сложной. Отмечено, что исключительное проведение функциональных неинвазивных тестов для оценки возможных стенозов может приводить к ложноотрицательным результатам и, как следствие, ухудшать долгосрочный прогноз вероятности кардиоваскулярных событий. Таким образом, сочетанное применение анатомической и функциональной оценки венечных артерий может улучшить прогноз пациентов с ИБС. В качестве единого (“всё-в-одном”) метода обследования может выступать КТ-коронарография, дополненная стресс-перфузией и/или измерением фракционного резерва кровотока.
Данный обзор представляет собой описание новых методов диагностики ишемии миокарда при проведении КТ коронарных сосудов при стабильной ИБС и перспективы их применения.
На основании анализа данных литературы авторы установили, что дополнительные методики КТ сердца , такие как определение функционального резерва кровотока и изучение перфузии миокарда, повышают точность метода в оценке степени стеноза коронарных артерий и их гемодинамической значимости и выявлении дефектов перфузии миокарда. КТ-коронарная ангиография в сочетании с перфузионной КТ представляется перспективным в качестве единого (“всё-в-одном”) метода для выявления ИБС. Такой комплексный подход, по мнению авторов, позволяет существенно сократить время обследования пациента, повысить точность диагностики и выбрать оптимальный путь лечения.
В последней статье обзора представлено описание интересного клинического случая.
Цель: Методом позитронной эмиссионной томографии, совмещенной с компьютерной томографией (ПЭТ/КТ), провести анализ клинического случая выявления метастатического поражения медиастинального субкаринального лимфоузла у больного гепатоцеллюлярным раком печени.
Материал и методы: У больного умеренно-дифференцированным гепатоцеллюлярным раком печени после хирургического лечения и таргетной терапии выявлен биохимический рецидив (повышение уровня альфа-фетопротеина).
Результаты . При комплексном обследовании (компьютерная томография, магнитно-резонансная томография) патологические изменения выявлены не были. При проведении ПЭТ/КТ с 18F-холином выявлено патологическое накопление радиофармпрепарата в субкаринальном лимфоузле. После выполнения трансбронхиальной биопсии лимфоузла и гистологического исследования было подтверждено метастатическое поражение.
Заключение: ПЭТ/КТ всего тела позволила выявить метастаз гепатоцеллюлярного рака редкой локализации при биохимическом рецидиве — в медиастинальном субкаринальном лимфоузле, при отсутствии иных проявлений заболевания. ПЭТ/КТ всего тела является методом выбора при подозрении на внепеченочную локализацию прогрессирования гепатоцеллюлярного рака.
Доброкачественные опухоли костей и костные кисты

К доброкачественным опухолям костей относятся доброкачественные гигантоклеточные опухоли кости Доброкачественная гигантоклеточная опухоль кости К доброкачественным опухолям костей относятся доброкачественные гигантоклеточные опухоли кости, хондробластомы, хондромиксоидные фибромы, энхондромы, неокостенивающие фибромы, остеобластомы. Прочитайте дополнительные сведения , хондромиксоидные фибромы Хондромиксоидная фиброма К доброкачественным опухолям костей относятся доброкачественные гигантоклеточные опухоли кости, хондробластомы, хондромиксоидные фибромы, энхондромы, неокостенивающие фибромы, остеобластомы. Прочитайте дополнительные сведения , неокостенивающие фибромы Неоссифицирующая фиброма (фиброзный кортикальный дефект, фиброксантома) К доброкачественным опухолям костей относятся доброкачественные гигантоклеточные опухоли кости, хондробластомы, хондромиксоидные фибромы, энхондромы, неокостенивающие фибромы, остеобластомы. Прочитайте дополнительные сведения , остеохондромы Остеохондрома К доброкачественным опухолям костей относятся доброкачественные гигантоклеточные опухоли кости, хондробластомы, хондромиксоидные фибромы, энхондромы, неокостенивающие фибромы, остеобластомы. Прочитайте дополнительные сведения .
К числу доброкачественных кист относятся аневризматические кисты кости Аневризматическая костная киста К доброкачественным опухолям костей относятся доброкачественные гигантоклеточные опухоли кости, хондробластомы, хондромиксоидные фибромы, энхондромы, неокостенивающие фибромы, остеобластомы. Прочитайте дополнительные сведения Также кости может поражать фиброзная дисплазия Фиброзная дисплазия К доброкачественным опухолям костей относятся доброкачественные гигантоклеточные опухоли кости, хондробластомы, хондромиксоидные фибромы, энхондромы, неокостенивающие фибромы, остеобластомы. Прочитайте дополнительные сведенияАневризматическая костная киста
Аневризматическая костная киста – это увеличивающееся идиопатическое образование, возникающие обычно в возрасте до 25 лет. Это кистозное поражение обычно возникает в метафизах длинных трубчатых костей, но и почти все другие кости могут быть затронуты. Она, как правило, растет медленно. Периостальная новая костная оболочка формируется вокруг экспансивного поражения и часто шире, чем исходная кость. Характерны боль и локальная припухлость. Прежде чем будет установлен диагноз, проходит от нескольких недель до года.
Характерна рентгенологическая картина: область просветления обычно четко очерчена и расположена эксцентрично; надкостница выпячивается ("мыльные пузыри"), выдаваясь в окружающие мягкие ткани, а может быть окружена новообразованной костной тканью. МРТ обычно показывает уровень жидкости. При визуализации некоторые аневризматические костные кистовидные поражения могут выглядеть более угрожающе, напоминая по характеристикам остеосаркому, поэтому могут возникнуть подозрения на телеангиэктатическую остеосаркому Остеосаркома (остеогенная саркома) Первичные опухоли костей встречаются значительно реже, чем метастатические опухоли костей, особенно у взрослых. К первичным опухолям костей относятся множественная миелома, остеосаркома, адамантинома. Прочитайте дополнительные сведения , расположенной на самом конце кости.
При аневризматических костных кистах, подтвержденных биопсией, могут быть инъецированы доксициклин, альбумин и воздух в виде инъекционной пены. Может потребоваться более одной или двух инъекций. Были использованы другие склерозирующие препараты на спиртовой основе. Наиболее успешным методом лечения является хирургическое удаление всего пораженного участка; после неполного удаления иногда происходит регрессия. Следует по возможности избегать лучевой терапии, поскольку иногда она связана с развитием сарком. Лучевая терапия может быть методом выбора при локализации кисты в позвоночнике, когда она сдавливает спинной мозг, а ее хирургическое удаление оказывается невозможным.
Доброкачественная гигантоклеточная опухоль кости
Доброкачественные гигантоклеточные опухоли кости обычно возникают у лиц в возрасте от 20 до 30 лет и располагаются в эпифизах и дистальной эпифизарно-метафизарной области. Эти опухоли считаются локально агрессивными. Они продолжают разрастаться, разрушая кость, могут в конечном итоге разрушить остальную часть кости и распространиться на мягкие ткани. Они могут вызывать боль. Эти опухоли печально известны своей склонностью к рецидивам. В редких случаях гигантоклеточная опухоль кости может метастазировать в легкое, даже если она остается гистологически доброкачественной.
Доброкачественные гигантоклеточные опухоли кости при визуализации проявляются как экспансивное литическое поражение. При визуальных исследованиях обнаруживается склеротический ободок –граница между опухолью и нормальным губчатым веществом кости. Необходимо выполнение биопсии. Поскольку гигантоклеточная опухоль кости может метастазировать в легкие, на начальной стадии проводится КТ грудной клетки.
В большинстве случаев доброкачественные гигантоклеточные опухоли кости удаляют при помощи радикального кюретажа с последующим заполнением образовавшейся полости метилметакрилатом или костным трансплантатом. Для уменьшения частоты рецидивов хирурги часто используют дополнительную обработку: например, тепло (которое выделяется при затвердении полиметилметакрилата) или аргоновые лучи, или химическую обработку опухоли фенолом, либо замораживание жидким азотом (криотерапия). Если опухоль очень велика и вызывает деструкцию сустава, может потребоваться полное ее удаление с реконструкцией сустава. Для лечения крупных, потенциально неоперабельных доброкачественных гигантоклеточных опухолей кости может быть использован деносумаб (моноклональные антитела) – ингибитор лиганда рецептора-активатора ядерного фактора каппа-В (RANKL), (см. изображение Гигантоклеточная опухоль [КТ]).
Хондробластома
Хондробластома – редкая опухоль, которая чаще всего развивается у лиц в возрасте от 10 до 20 лет. Возникая в эпифизе, она может расти и разрушать кость и сустав.
При использовании методов визуализации выявляют кисты со склеротическим ободком, содержащие кальцинаты. МРТ позволяет обнаружить значительный отек вокруг зоны поражения.
Опухоль должна быть удалена хирургическим путем при помощи выскабливания, а на полости следует провести костную пластику. Частота местных рецидивов составляет от 10 до 20%, и рецидивирующие повреждения часто устраняются повторным выскабливанием кости и костной пластикой.
Хондромиксоидная фиброма
Хондромиксоидная фиброма встречается очень редко и обычно в возрасте до 30 лет.
Рентгенологическая картина при хондромиксоидной фиброме типична: опухоль располагается эксцентрично в концевых участках длинных костей, для нее характерны четко отграниченные литические изменения. Проксимальный отдел большеберцовой кости и крыло подвздошной кости являются типичными локализациями.
После проведения биопсии лечение хондромиксоидной фибромы заключается в хирургическом иссечении или выскабливании, часто с использованием адъювантов (например, фенола, жидкого азота, аргоновой коагуляции) и костной пластике.
Энхондрома
Энхондромы могут встречаться в любом возрасте, но чаще выявляются у людей от 10 до 40 лет. Они располагаются обычно в метафизарно-диафизарной области внутри костно-мозгового канала. Эти опухоли обычно бессимптомны, но могут расти и становиться болезненными. Они часто выявляются при рентгенологических исследованиях, выполненных по другому поводу. Периостальные хондромы напоминают хрящевые повреждения, возникающие на поверхности костей.
На рентгенограмме опухоль может выглядеть как дольчатая кальцифицированная область в кости; некоторые изменения менее кальцифицированы, с областями пунктирной кальцификации на рентгенограммах и КТ. При наличии прилегания энхондром к коре головного мозга обнаруживаются маленькие эндостальные вдавления. Почти во всех энхондромах при сцинтиграфии выявляется повышенное накопление изотопа, что может вызывать ложное подозрение на злокачественное новообразование. Результаты рентгенографии, МРТ и КТ могут помочь установить диагноз. Если они не дают достаточной информации и особенно если опухоль (а не соседний сустав) становится болезненной, диагноз энхондромы должен быть подтвержден с помощью открытой биопсии. Чтобы отличить костную боль от суставной, в сустав может быть введен длительно действующий анестетик (например, бупивакаин); если боль сохраняется, она может быть обусловлена костными изменениями.
Бессимптомная энхондрома не нуждается в проведении биопсии, удалении или другом лечении (как правило, кюретаже); в любом случае последующие визуализирующие методы исследования показаны для исключения редкого прогрессирования в хондросаркому Хондросаркома Первичные опухоли костей встречаются значительно реже, чем метастатические опухоли костей, особенно у взрослых. К первичным опухолям костей относятся множественная миелома, остеосаркома, адамантинома. Прочитайте дополнительные сведенияУ больных с множественными энхондромами (болезнь Оллиера) и особенно с множественным энхондроматозом с мягкотканными гемангиомами (синдром Маффуччи) намного выше риск развития хондросаркомы.
Фиброзная дисплазия
Фиброзная дисплазия представляет собой аномалию развития данной ткани в детском возрасте. Это ослабляет кости. Фиброзная дисплазия может возникать в одной или нескольких костях. Возможны множественные фиброзные дисплазии, кожная пигментация и эндокринные аномалии (синдром Олбрайта или синдром Мак-Кьюна-Олбрайта). Развитие костных изменений обычно прекращается в период полового созревания. Они редко подвергаются злокачественному перерождению.
На рентгенограммах изменения костей выглядят как кистозные образования, они могут быть обширными и приводить к деформации кости. На снимках поражения имеют классический вид матового стекла. Поражения проксимального отдела бедренной кости, из-за того, что кость ослаблена, подвергаются пластической деформации, в результате чего на рентгенограмме появляется деформация, называемая «пастушьим посохом».
Бисфосфонаты могут облегчить боль. При прогрессирующей деформации, переломах, не консолидирующихся после иммобилизации, или некупируемой боли может потребоваться оперативное вмешательство.
Мелореостоз
Мелореостоз - редкое заболевание роста кортикальной кости. Это мезенхимальная дисплазия коры, которая может быть связана со случайной мутацией гена MAP2K1. Процесс начинается в детстве с утолщения коркового слоя костей как на наружной поверхности (периостальной), так и на внутренней (эндостальной). Процесс протекает в корковом слое очень медленно. Мелореостоз обычно поражает только одну кость (монооссальный), но может поражать и другие кости (полиоссальный) той же конечности (соматическая локализация). Наиболее распространённым местом проявления заболевания является большеберцовая кость. Пациенты часто жалуются на дискомфорт, а рентгенографические снимки показывают утолщение компактного вещества пораженной кости. Результаты рентгенограммы могут свидетельствовать о травматическом формировании новой кости, стрессовом переломе или даже остеосаркоме. Тем не менее, плотное кортикальное утолщение имеет характерный вид «капающего свечного воска», и стабильность при серийной рентгенографии достаточна для постановки диагноза без биопсии. Дискомфорт лечат с помощью анальгетиков или противовоспалительных средств, через некоторое время проводят серийную рентгенографию. Попытки хирургического удаления или резекции единым блоком при тяжелых болезненных очагах повреждения обычно не эффективны, а в очень редких случаях необходима ампутация.
Неоссифицирующая фиброма (фиброзный кортикальный дефект, фиброксантома)
Неоссифицирующая фиброма представляет собой доброкачественное фиброзное поражение кости, которое на рентгенограмме выглядит как четко очерченное светлое кортикальное поражение. Очень маленькую неоссифицирующую фиброму обозначают как фиброзный кортикальный дефект. Эти изменения представляют собой дефекты развития, в которых часть кости, подвергающаяся в норме оссификации, заполняется фиброзной тканью. Обычно они возникают в области метафизов, особенно часто в дистальном отделе бедра, в дистальном и проксимальном отделах большеберцовой кости. Они могут прогрессивно увеличиваться и становиться мультиочаговыми. Неоссифицирующие фибромы часто встречаются у детей. Большинство поражений в конечном итоге оссифицируются и подвергаются ремоделированию, что в большинстве случаев приводит к образованию плотных склеротических участков. Тем не менее, некоторые дефекты увеличиваются.
Небольшие неоссифицирующие фибромы протекают бессимптомно. Однако, при вовлечении около 50% диаметра кости появляются боли и увеличивается риск патологических переломов.
Неоссифицирующие фибромы обычно выявляют случайно при инструментальном исследовании (например, после травмы). Зачастую они выглядят как одиночные продолговатые зоны просветления менее 2 см в диаметре, с четким склеротическим ободком в кортикальном слое. Они также могут быть многоочаговыми.
Маленькие неоссифицирующие фибромы не требуют лечения, но больной должен находиться под наблюдением. Дефекты, которые вызывают боль и составляют 50% от диаметра кости, являются показанием к удалению и трансплантации кости, что позволяет снизить риск патологического перелома.
Остеоидная остеома
Остеоидостеома чаще всего встречается в молодом возрасте (обычно от 10 до 35 лет) в длинных костях, но может возникать в любой кости скелета. Характерны боли (обычно усиливающиеся по ночам, отражающие ночное усиление воспалительных изменений, опосредованных простагландинами). Боли купируются при приеме слабых анальгетиков (в частности, аспирина и других нестероидных противовоспалительных препаратов (НПВП), подавляющих выработку простагландинов. У растущих детей воспалительные изменения и ассоциированная гиперемия, локализующиеся вблизи открытой зоны роста, могут индуцировать избыточный рост и несоответствие длины конечностей. Во время осмотра можно наблюдать атрофию региональных мышц, поскольку боль обусловливает снижение физической активности.
При использовании методов визуализации выявляют типичные изменения: небольшая зона просветления, окруженная широкой склеротической каймой. При подозрении на наличие опухоли следует выполнить сцинтиграфию всего тела с технецием-99m, при которой остеоидостеома характеризуется повышенным накоплением изотопа, несмотря на то, что многие другие костные поражения проявляются также. Выполняют также КТ или МРТ, которые являются наиболее информативными диагностическими методами. Обычная пленка или тонкосрезный КТ-скан позволяют увидеть классический симптом "бычьего глаза" в месте расположения истинного очага опухоли, окруженного зоной реактивного костеобразования.
Абляция очага в пределах небольшой зоны просветления с использованием чрескожной радиочастотной энергии в большинстве случаев дает благоприятные результаты. В большинстве случаев лечением остеоидостеомы занимается специалист радиолог с использованием чрескожной техники и анестезии. Реже эти опухоли удаляют хирургическим путем. Хирургическое удаление может быть предпочтительным, если остеоидостеома расположена вблизи нерва или кожи (например, в области позвоночника, кистей, стоп), поскольку тепло, выделяемое при радиочастотной аблации, может вызвать повреждение.
Читайте также:
