Цитология в ветеринарии. Цитологическое исследование мазков отпечатков
Добавил пользователь Владимир З. Обновлено: 02.11.2025
Цитологическое исследование – это анализ отдельных клеток или небольших групп клеток, взятых с поверхности поражения, из выпотов или путем пункции образований.
В ходе клинического обследования забор образцов клеток из пораженных участков позволяет получить важную информацию и диагностировать заболевание.
Цитологическое исследование является сравнительно недорогим, легкодоступным, в большинстве случаев позволяющим быстро получить диагноз и начать лечение. Однако для получения качественного материала необходимы определенный навык и понимание, в каких случаях нужно применить тот или иной метод забора.
Биопсия – метод исследования, при котором проводится прижизненный забор клеток или тканей (биоптата) из организма с диагностической или исследовательской целью. Биопсия является обязательным методом подтверждения диагноза при подозрении на наличие онкологических заболеваний.
- Эксцизионная биопсия – забор для исследования всего пораженного участка (органа). Выполняется, как правило, для гистологического исследования.
- Инцизионная биопсия – забор для исследования части патологического образования. Осуществляется для цитологического и гистологического исследований.
- Тонкоигольная биопсия – забор для исследования материала (клеток) путем пункции иглой. Выполняется для цитологического исследования. Существуют аспирационная и неаспирационная методики.
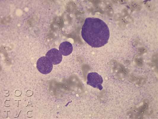
- Отпечатки нужны для получения образцов клеток с поверхностных экссудативных поражений, а также клеток с поверхности среза удаленного органа/образования. Требуется просто приложить сухое предметное стекло к поражению, чтобы клетки прилипли к поверхности стекла (фото 1, 2).
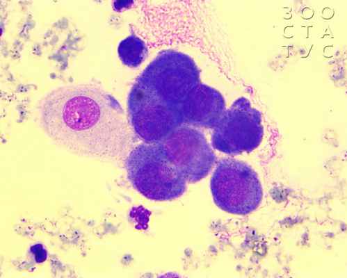
- Соскобы – материал для получения образцов клеток с поверхностных поражений и при эндоскопических исследованиях (соскобы с кожи, из прямой кишки, трахеи и т. п.). Используют тупую сторону скальпеля или край предметного стекла, цитощетки. Собирают материал соскабливающими движениями, а затем размазывают по предметному стеклу без лишнего давления (фото 3-5).
Методика проведения аспирационной тонкоигольной биопсии
Участок, из которого планируют брать пункцию, фиксируют между двумя пальцами. В это место вводят иглу с присоединенным шприцем, при этом поршень шприца не оттягивают. Иглу вводят перпендикулярно к исследуемому образованию (фото 8). Далее иглу, находящуюся внутри поражения, несколько раз перемещают в разных направлениях в пределах патологического участка, постоянно поддерживая отрицательное давление путем оттягивания поршня шприца (фото 9). Далее устраняют отрицательное давление, иглу извлекают, отсоединяют от шприца, набирают в шприц воздух, снова присоединяют иглу и выталкивают воздух, выдавливая материал на предметное стекло (фото 10). Готовят мазок, либо распределяют материал по поверхности предметного стекла с помощью ребра иглы (фото 11).
Методика проведения неаспирационной тонкоигольной биопсии
Участок, из которого планируют брать пункцию, фиксируют между двумя пальцами. В это место вводят иглу, но без шприца. Далее иглу несколько раз перемещают внутри поражения и делают вращательные движения. Клетки поднимаются в тело иглы за счет капиллярного эффекта. Далее иглу извлекают, набирают в шприц воздух, присоединяют иглу к шприцу и выдувают содержимое иглы на предметное стекло. Готовят мазок, либо распределяют материал по поверхности предметного стекла ребром иглы.
Для исследований также осуществляют забор выпотных жидкостей, синовии, мочи, содержимого кист, ликвора.
- выпотные жидкости должны быть отобраны в две пробирки: клиническую (с антикоагулянтом) и биохимическую, либо только в клиническую;
- синовиальная жидкость помещается в пробирку с антикоагулянтом;
- содержимое кист – в пробирку с антикоагулянтом;
- ликвор – в сухую стерильную пробирку типа эппендорф (с момента взятия материала до самого исследования должно пройти не более 30 минут);
- моча – в пластиковый контейнер (с момента сбора должно пройти не более 2 часов).
Методика приготовления жидкости для цитологического исследования
Жидкость собирают в сухую чистую посуду (пробирку с антикоагулянтом), затем центрифугируют 10 минут при 500-1500 об/мин, удаляют надосадочную жидкость, из осадка готовят мазки (как мазки крови), высушивают на воздухе.
Для клинических исследований ликвора, выпотных и синовиальной жидкостей дополнительно определяют количество белка и подсчитывают цитоз. Это очень важно для постановки окончательного диагноза.
Таким образом, знание методик забора материала на цитологическое исследование, а также правильный выбор того или иного метода в зависимости от материала позволяют минимизировать ошибки преаналитического этапа и сделать исследование максимально информативным и полезным для диагностики заболевания и лечения животного.
Цитологическое исследование мазка-отпечатка с кожи
Цитологическое исследование с кожи является быстрым и диагностически ценным методом исследования. Данный вид исследования часто применяют при экссудативных поражениях и себорее. Выделяют прямой и непрямой методы получения образца. При прямом методе получения предметное стекло плотно прижимается непосредственно к пораженному участку (язве, эрозии, корочкам, пустулам, бляшкам, папулам, узелкам, свищевым ходам). Перед этим поверхность слегка обрабатывается, чтобы в первую очередь выявить репрезентативные клетки. Прямые также могут выполняться с поверхности удаленных поражений для быстрой идентификации в случаях подозрения на опухолевый или воспалительный процесс. При непрямом методе сбора образца используют тампон, кюретку или лезвие скальпеля. Пораженный участок слегка соскабливают смоченным в минеральном масле инструментом, прикладывают к нему предметное стекло и аккуратно «растягивают», не вызывая повреждения клеток. Непрямые чаще используют при мокнущих повреждениях и в с труднодоступных участков кожи (например, с ушей и лап).
Тонкоигольная аспирация является быстрым, дешевым и минимально инвазивным способом исследования нодулярных поражений, кожных опухолей и увеличенных лимфатических узлов. При аспирации в образец попадает незначительное количество клеток, которые могут оказаться непоказательными и не дадут никакой информации о тканевой архитеконике и инвазивности. Поэтому цитологическое исследование кожи является скрининговым методом и не заменяет биопсию и гистологическое исследование.
Интерпретация:
Результаты исследования содержат информацию исключительно для врачей. Диагноз ставится на основании комплексной оценки различных показателей и дополнительных сведений.
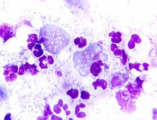
Препарат исследуют на наличие лейкоцитов, эритроцитов, ядерного эпителия, фагоцитоза, наличия микрофлоры, малассезий и, возможно, присутствие другого материала. В примечаниях указывают наличие других типов клеток (акантолитических, тучных, плазматических клеток, фибробластов), уточняют преобладание популяций лейкоцитов.
При интерпретации результатов цитологического исследования с кожи оценивают состав и соотношение клеточного состава, а также микрофлоры. Обнаружение большого количества различных типов клеток (нейтрофилов, эозинофилов, лимфоидных клеток, моноцитов/макрофагов, эпителиальных клеток и фибробластов) предполагает наличие острого воспаления. Обнаружение значительного количества моноцитов, а также лимфоцитов и плазматических клеток указывает на хроническое течение воспалительного процесса. Наличие небольшого количества лимфоцитов и плазматических клеток часто встречается при любой форме воспалительного процесса в коже, но обнаружение большого их количества может свидетельствовать о неоплазии или пододерматите. Реактивные фибробласты и эпителиальные клетки также могут появиться при развитии неопластических процессов. Свободнолежащие бактерии обозначают контаминацию образца, однако фагоцитоз бактерий указывает на патогенность микроорганизма и является признаком инфекционного процесса. Дегенеративные нейтрофилы в мазке (кариорексис и большие, фрагментированные ядра без цитоплазмы) и наличие микрофлоры свидетельствуют о пиодермии, тогда как наличие недегенеративных нейтрофилов с пикнотическими ядрами (темноокрашенными со сгруппированными сегментами) предполагает стерильное воспаление. Обнаружение при этом акантолитических клеток может указывать на развитие аутоиммунного заболевания. Хотя акантолитические клетки также могут встречаться при бактериальных и грибковых инфекциях. Выявление большого количества бактерий и эпителиальных клеток может свидетельствовать о разрастании резистентной микрофлоры и снижении защитных свойств иммунной системы организма. Наличие эозинофилов в мазке подтверждает аллергическую реакцию, фурункулез, комплекс эозинофильной гранулемы у кошек. Эозинофилы и тучные клетки в мазке обнаруживаются при мастоцитоме. Выявление значительного количества малассезий указывает на наличие малассезионного дерматита. Пиогранулематозное воспаление может быть связано с менее распространенными бактериальными и грибковыми инфекциями.
В случае обнаружения клеток с признаками атипии рекомендуется проведение цитологического исследования квалифицированным цитологом.
Единицы измерения: не обнаружены или обнаружены (результат указывается в крестах или в количестве в полях зрения).
Круглосуточно
Для оформления договора на оказание ветеринарных услуг необходим ваш паспорт!
Записаться на прием
К нашим специалистам теперь можно записаться на прием! Нажмите, чтобы узнать подробности.
Covid-19
Наша организация получила QR-код от Правительства СПб, который подтверждает, что в клинике соблюдается стандарт безопасной деятельности организации в условиях Covid-19.

Вызов на дом
Если ваш питомец нуждается в квалифицированной медицинской помощи, и у вас нет возможности доставить его в клинику, заказывайте выезд ветеринарного врача на дом. Работаем и выезжаем на вызов круглосуточно.
Груминг кошек и собак
Анжелика Витальевна Горбатова - профессиональный грумер. Мастер найдет подход даже к самому капризному домашнему любимцу!
Лечение экзотических животных

Наш Ветеринарный центр занимается диагностикой и лечением экзотических животных! В центре принимает Елена Владимировна Осипенко - один из лучших специалистов в городе по экзотическим животным!
Задать вопрос
Вы можете задать вопрос ветеринарному врачу или администратору клиники в нашей официальной группе ВКонтакте
ЦИТОЛОГИЧЕСКОЕ ИССЛЕДОВАНИЕ КОЖНЫХ МАЗКОВ-ОТПЕЧАТКОВ

В нашем ветеринарном центре доступно цитологическое исследование кожных мазков и отпечатков, результаты Вы можете получить через 30 минут после взятия материала.
Для взятия проб из слухового прохода используют ватные палочки. Ватную палочку помещают в слуховой проход в место перехода горизонтального канала в вертикальный и несколько раз прижимают. Затем «откатывают» на предметном стекле и подвергают окраске
К доступным участкам прижимают обезжиренное предметное стекло и красят согласно общепринятой методике.
Скотч прижимают к труднодоступным местам (межпальцевой промежуток) и красят по общепринятой методике (исключая фиксацию). После окраски помещают на предметное стекло клейкой стороной вниз.
После высушивания на воздухе мазки подвергаются окраске по одной из принятых методик
Окраска
Обычно используется краска DiffQuick. Данная окраска гораздо быстрее и легче в исполнении по сравнению с окраской по Граму и пригодна для оценки практически всех кожных цитологических образцов. Некоторые цитологи предпочитают окраску по Гимзе-Романовскому. Но окраска по Граму применяется также.
Оценка
Грибковые микроорганизмы в большинстве своем представлены M. pachydermatis, иногда встречается Candida spp.
Кокки чаще всего представлены Staphylococcus pseudointermedius. S. aureus или бактериями рода Streptococcus
Палочкообразные микроорганизмы чаще представлены в препаратах из ушного канала, и чаще всего это Pseudomonas aeruginosa или Proteus mirabilis
Важно количество микроорганизмов. Крайне редкие кокки или грибы не имеют клинического значения. Один или более грибов в поле зрения препарата при большом увеличении значимы; кокки должны присутствовать в большом количестве. В инфицированном ухе, грибы и кокки обнаруживаются в большом количестве; любые палочки являются
анормальной флорой.
Воспалительные клетки с внутриклеточными организмами патогномоничны для клинически значимых инфекций (пр. нейтрофилы с внутриклеточными кокками)
Эозинофилы характерны для аллергических и паразитарных кожных заболеваний
Опухолевые клетки трудно распознавать. Даже при высоком мастерстве цитолога новообразования кожи не должны быть диагностированы только по результатам цитологии.
При цитологическом обнаружении тучных клеток, должна быть заподозрена мастоцитома. У некоторых пациентов, гранулы тучных клеток не окрашиваются при использовании DiffQuick, и отрицательный цитологический результат не исключает мастоцитому.
Цитология в ветеринарии. Цитологическое исследование мазков отпечатков
Цитология в ветеринарии. Цитологическое исследование мазков отпечатков
С целью определения эффективности выбранного способа лечения и суждения об иммунологических силах организма и регенеративных процессах в ране проводится цитологическое исследование мазков-отпечатков с раневой поверхности. Изготовление и анализ отпечатков раневой поверхности — технически простой выполнимый в любых условиях и достаточно объективный метод изучения раневого процесса. Систематическое исследование отпечатков раскрывает динамику морфологических изменений раневого экссудата и поверхностного слоя грануляционной ткани; они отражают реактивные, иммунобиологические силы организма и регенеративно-воспалительные процессы, протекающие в ране. Метод отпечатков позволяет судить о напряженности борьбы организма с инфекцией и о динамике очищения ран от микробов и некротических тканей.
Цитологический анализ отпечатков помогает установить фазу раневого процесса и может быть использован для оценки хирургического вмешательства, успешности медикаментозного лечения, а также уточнения показаний и противопоказаний к хирургическому вмешательству в дальнейшем. Однако цитологический анализ отпечатков — только дополнительный метод изучения раневого процесса и должен проводиться в комплексе с другими методами исследования пораженных животных.
Метод отпечатков с раневой поверхности, предложенный впервые Покровской и Макаровым и усовершенствованный в 1973 г. А. Н. Голиковым, заключается в том, что отпечатки изготовляются непосредственно с поверхности раны и наряду с клетками раневого экссудата в них находят клетки вновь образующейся грануляционной ткани.
Техника изготовления отпечатков. Отпечатки при помощи предметного стекла. Перед изготовлением отпечатка осторожно удаляют с поверхности раны стерильным марлевым тампоном, увлажненным изотоническим раствором натрия хлорида раневой экссудат (сухой тампон даже при легком прикосновении нередко травмирует грануляционную ткань, особенно в первые дни после ее образования). Затем перпендикулярным прикосновением к поверхности раны стерильным и обезжиренным в спирт-эфире стеклом получают на последнем отпечаток. При этом не допускается сильного надавливания стеклом на раневую поверхность и скользящих движений, так как в противном случае клетки деформируются.

С одного и того же участка раны последовательно берут 4—5 отпечатков. В первом участке преобладают клетки раневого экссудата и гнойный детрит. В последующие отпечатки, особенно в последние два, попадают клетки и микробы, находящиеся на раневой поверхности, в том числе клетки пролиферата (поверхностного слоя грануляционной ткани), имеющие наибольшее диагностическое значение.
Отпечатки следует брать с возможно большей поверхности или с нескольких участков раны, так как регенеративные процессы и распределение клеток по раневой поверхности неравномерны, а иногда противоположны.
Отпечатки при помощи ватного шарика. Перед взятием отпечатка удаляют с поверхности раневого канала кровь, гной, иной экссудат. Для получения раневого отпечатка пинцетом извлекают стерильный ватный шарик из пробирки с физиологическим раствором и вводят в раневой канал до соприкосновения с биологической тканью. Затем тампон одномоментно прикладывают к предметному стеклу.
Полученные отпечатки необходимо быстро подсушить на воздухе и зафиксировать в этиловом или метиловом алкоголе в течение 5 мин или спирт-эфире (в равных частях) 15 мин. Фиксированные отпечатки, пиофлорограммы, как и мазки крови, окрашивают по Романовскому—Гимзе (азур-эозин разбавляют дистиллированной водой 1 :10, мазок помещают в чашку Петри на стеклянные палочки отпечатком вниз и наливают краситель). Отпечатки с поверхности свежих ран следует красить 45—60 мин, а с поверхности гранулирующих ран 1—1,5 ч. После окраски мазок промывается дистиллированной водой.
После фиксации отпечатка на обратной стороне стекла отмечают восковым карандашом дату и номер истории болезни. Изготовленные таким образом отпечатки изучают под микроскопом.
Информация на сайте подлежит консультации лечащим врачом и не заменяет очной консультации с ним.
См. подробнее в пользовательском соглашении.
Цитология животных
Цитология у животных — это метод морфологической диагностики, основанный на изучении микроскопическим методом клеток организма. В большинстве случаев цитологические исследования помогают определить наличие или отсутствие злокачественных образований, характер опухолевого процесса. Но также путем цитологических исследований можно оценить характер патологического процесса, оценить состояние внутренних органов, исследовать естественные физиологические и аномальные жидкости.
Когда применяется цитология

Цитологическое исследование рекомендуется проводить при подозрении на опухолевые процессы — любое новообразование может быть как доброкачественным, так и злокачественным, что значительно влияет на план дальнейшей терапии и прогноз. Также проводится цитология при исследовании кист, при обнаружении выпотов. У животных могут исследоваться различные мазки, например, при отитах, чтобы определить, что является причиной воспаления (бактерии и какого типа, грибки - от этого зависит выбор препаратов для лечения). Цитология влагалищного мазка применяется для определения оптимального времени вязки.
Какую информацию может дать цитология
Цитология — это наука о клетке. При любом цитологическом исследовании мы можем видеть в микроскоп клетки исследуемой жидкости или мазка.
При цитологии крови можно увидеть в ней опухолевые клетки (при некоторых видах онкологии), можно обнаружить кровепаразитов (бабезии, дирофилярии). Даже входящая в большинстве случаев в обычный клинический анализ крови лейкограмма — это по сути своей цитология мазка крови, в котором подсчитывается количество разных клеток крови, что позволяет определить, есть ли в организме воспалительный процесс, заподозрить нарушение работы органов кроветворения, наличие аутоимунных реакций.
При проведении цитологии мочи можно получить информацию о количестве и типу мочевых кристаллов, которые образуют уролиты. Также в моче могут встречаться клетки эпителия мочевыводящих путей или даже почек, что говорит о необходимости дальнейшей диагностики мочевыделительной системы.

При проведении цитологии выпотов можно узнать, является ли он стерильным или там есть бактерии, могут быть опухолевые клетки — все это позволяет поставить диагноз или определить направление дальнейшей диагностики питомца.
Цитология может браться и с поверхности кожи — часто дерматологи делают мазки-отпечатки и смотрят, какие клетки там обнаруживаются, нет ли накожных и внутрикожных паразитов. При диагностике отитов мазок проводится обязательно — отит может быть бактериальной природы, вызываться грибком (обычно такие отиты вторичны) или начинаться из-за воздействия паразитов (например, отодексов).
Какая информация поможет ветеринару в лечении

Цитология — один из очень важных методов диагностики. В зависимости от того, есть ли в крови бабезии, или нет, будет приниматься решение о терапии пироплазмоза и использовании препарата против этого вида паразитов. Если при исследовании мазка из уха у собаки не было обнаружено клещей — значит, причина отита в чем-то другом, лечение будет требоваться иное, и так далее.
Если жидкость, взятая из организма, стерильна — это подтверждает один диагноз, если в ней обнаружатся бактерии — это будет другой диагноз и другая схема лечения животного.
Как берется проба клеток

В зависимости от объекта, цитология которого проводится, будет выбираться и способ взятия пробы клеток. Для цитологии с кожи чаще всего используется мазок-отпечаток или скотч-тест. Могут браться более глубокие соскобы. Для сбора материала для цитологии влагалищного мазка может использовать обычная ватная палочка.
Кровь на мазок чаще всего берется из периферических капиллярных сосудов, например, из уха, венозная кровь здесь не нужна.
При необходимости взять образец клеток для цитологии новообразования оптимально использовать тонкоигольную биопсию — этот метод является малоинвазивным, практически не травмирует исследуемый орган и окружающие ткани.
При взятии выпота чаще всего диагностическую процедуру совмещают с лечебной — проводится аспирация жидкости, и оттуда уже берется проба для проведении цитологии.
Какие есть преимущества у цитологии
Цитология достаточно быстрый в исполнении метод диагностики (в отличие, например, от гистологии). Она позволяет максимально быстро получить информацию, важную для назначения лечения.
В большинстве случаев для взятия проб клеток нет необходимости в седации животного, каких-то особых методах фиксации — мазок-отпечаток или взятие крови из уха практически безболезненны. Тонкоигольня биопсия может проводиться под седацией, чтобы обеспечить неподвижность пациента. Такое исследование чаще всего проводится под визуальным контролем — при помощи датчика УЗИ или эндоскопа, в некоторых случаях область взятия пробы локализуется при помощи рентгена.
В некоторых случаях без проведения цитологии корректное назначение дальнейшего лечения невозможно.
Какие ограничения есть у цитологии

Ограничения в проведении цитологии в основном касаются диагностики новообразований. Объем клеток, берущихся для цитологии, невелик, возможны случаи, когда опухолевые клетки могут туда просто не попасть или не получится получить полную картину, определить конкретный тип новообразования.
Так как цитология малоинвазивна, противопоказаний немного, однако если у животного есть нарушения свертываемости крови, а врачу необходимо провести биопсию опухоли печени или почек — процедуру рекомендуется проводить в операционной под контролем хирурга, чтобы при необходимости остановить кровотечение. В абсолютном большинстве случаев тонкая игла не будет вызывать кровотечений.
Видео о цитологии у животных - интервью с руководителем диагностической лаборатории:
Какой этап следует после цитологии
При диагностике опухолей после хирургического удаления новообразования и цитологии должна проводиться гистология. В некоторых случаях при обнаружении злокачественных опухолей может потребоваться иммуногистохимия для подбора наиболее подходящей химиотерапии.
Для всех других видов цитологии после проведения анализа подтверждается диагноз или направление для дальнейшей диагностики, и назначается лечение.
(с) Ветеринарный центр лечения и реабилитации животных "Зоостатус".
Варшавское шоссе, 125 стр.1. тел. 8 (499) 372-27-37
Читайте также:

