Диагностика атеросклеротической веретеновидной аневризмы по КТ, МРТ
Добавил пользователь Владимир З. Обновлено: 20.01.2026
Диагностика неатеросклеротической веретеновидной аневризмы головного мозга по КТ, МРТ, ангиограмме
а) Терминология:
1. Сокращения:
• Неатеросклеротическая веретеновидная аневризма/васкулопатия (ВА)
2. Определения:
• Веретеновидное удлинение сосуда, возникающее на фоне отсутствия генерализованного атеросклероза внутричерепных артерий:
о Развитие обычно обусловлено наследственной/приобретенной васкулопатией
б) Визуализация:
1. Общие характеристики неатеросклеротической веретеновидной аневризмы:
• Лучший диагностический критерий:
о Трубчатая, веретеновидная или овоидная дилатация(и) артерией) неправильной формы на большом протяжении
• Локализация:
о На большом протяжении неветвящихся сегментов сосудов
- Образуются с равной частотой на сосудах каротидной, вертебробазилярной систем
- Часто встречаются множественные аневризмы

(а) Макропрепарат виллизиева круга ребенка с гемофилией и ВИЧ-инфекцией: определяется неатеросклеротическая веретеновидная множественная васкулопатия, наиболее поражены СМА.
(б) КТ-ангиография, проекция максимальной интенсивности, корональный срез: у ВИЧ-положительного мужчины 25 лет с неоднократными инсультами в анамнезе определяется кальцифицированная васкулопатия в сочетании с веретеновидной аневризмой, распространяющейся на дистальный отдел левой ВСА, проксимальный отдел ПМА, а также СМА.
2. КТ при неатеросклеротической веретеновидной аневризме:
• Бесконтрастная КТ:
о Гиперденсность; часто отмечается Са++
• КТ с контрастированием:
о Интенсивное контрастирование просвета, отсутствие контрастирования тромба
3. МРТ при неатеросклеротической веретеновидной аневризме:
• Т1-ВИ:
о Вытянутый, извилистый участок потери сигнала за счет эффекта потока
о Часто отмечается смешанная интенсивность сигнала, интенсивность варьирует в зависимости от:
- Скорости, направления, турбулентности кровотока
- Наличия тромба (слоистая структура организованного тромба)
• Т2-ВИ:
о Смешанная интенсивность сигнала (интенсивность варьирует в зависимости от характера кровотока, наличия/давности гематомы)
• FLAIR:
о Медленный кровоток может иметь гиперинтенсивный сигнал
• ДВИ:
о Возможна визуализация ограничения диффузии вследствие эмболии дистальных ветвей
• Постконтрастные Т1-ВИ:
о Интенсивное контрастирование остаточного просвета сосуда
• МР-ангиография:
о Может потребоваться динамическая МР-ангиография с контрастированием для точного определения просвета сосуда
4. Ангиография при неатеросклеротической веретеновидной аневризме:
• ЦСА:
о Единичный участок эктазии/мультифокальная эктазия сосуда ± фокальное аневризмальное выпячивание стенки сосуда
5. Рекомендации по визуализации:
• Лучший инструмент визуализации:
о КТ-ангиография или МРТ + МР-ангиография с контрастированием

(а) МРТ, Т2-ВИ, аксиальный срез: у этого же пациента определяется участок потери сигнала за счет эффекта потока от веретено видной аневризмы левой СМА. Правая СМА также расширена, но полностью тромбирована. Обратите внимание на зону постинфарктных изменений в бассейне СМА.
(б) ЦСА левой сонной артерии и ее ветвей, изображение оттененных поверхностей, вид спереди: у того же пациента определяется веретеновидная аневризмальная васкулопатия.
в) Дифференциальная диагностика при неатеросклеротической веретеновидной аневризмы:
1. Вертебробазиларная долихоэктазия:
• Пожилые пациенты с атеросклерозом других мозговых сосудов
2. Гигантская серпантинная аневризма:
• Крупная частично тромбированная аневризма по типу объемного образования
3. Атипичная мешотчатая аневризма:
• Выглядит идентично веретеновидной аневризме
4. Псевдоаневризма:
• Может выглядеть идентично веретеновидной аневризме
г) Патология:
1. Общие характеристики неатеросклеротической веретеновидной аневризмы:
• Этиология:
о Коллагеновые сосудистые заболевания (например, СКВ)
о Вирусные, другие инфекционные агенты (например, вирус ветряной оспы, ВИЧ)
о Наследственные заболевания (например, синдромы Марфана, Элерса-Данло, нейрофиброматоз 2 типа)
о Злоупотребление наркотическими средствами, новообразование (например, предсердная миксома)
2. Стадирование и классификация:
• Тип 1: типичная расслаивающая аневризма
• Тип 2: сегментарные эктазии при вирусном, радиационном поражении, нейрокожном синдроме
• Тип 3: долихоэктазированные расслаивающие аневризмы
• Тип 4: нетипично расположенная мешотчатая аневризма (т.е. на латеральной стенке, не связанной с зонами ветвления)
3. Макроскопические и хирургические особенности:
• Локальная веретеновидная эктазия(и) артерии(й)
д) Клиническая картина неатеросклеротической веретеновидной аневризмы:
1. Проявления:
• Наиболее частые признаки/симптомы:
о Боль, САК > ТИА, нейропатия черепных нервов при расслоении, обусловленном коллагенопатией
о Обычно бессимптомное течение или ТИА/инсульт при вирусной и нейрокожной этиологии
2. Течение и прогноз:
• Тип 1: часто возникают повторные кровоизлияния
• Тип 2: доброкачественное клиническое течение
• Тип 3: медленное прогрессирующее увеличение размеров аневризмы
• Тип 4: высокий риск разрыва
3. Лечение:
• Метод лечения зависит от основной причины, ожидаемого естественного течения, локализации и морфологии
• Часто комбинированные микрохирургические, эндоваскулярные методы лечения
е) Диагностическая памятка. Обратите внимание:
• Предполагайте неатеросклеротическую веретеновидную аневризму у молодых пациентов с дилатацией внутричерепных сосудов
Диагностика атеросклеротической веретеновидной аневризмы по КТ, МРТ
Неатеросклеротическая веретеновидная аневризма головного мозга на КТ, МРТ, ангиограмме
а) Терминология:
• Веретеновидное удлинение сосуда, возникающее на фоне отсутствия генерализованного атеросклероза внутричерепных артерий:
о Развитие обычно обусловлено наследственной/приобретенной васкулопатией
б) Визуализация:
• Общие характеристики неатеросклеротической веретеновидной аневризмы:
о Трубчатая, веретеновидная или овоидная дилатация артерии неправильной формы на большом протяжении о Может возникать на единичном участке или быть мультифокальной
о Образуются с равной частотой на сосудах каротидной, вертебробазилярной систем
о Часто встречаются множественные аневризмы
• КТ:
о Гиперденсность; часто отмечается Са++
о Интенсивное, равномерное контрастирование (за исключением аневризм с выраженным тромбозом)
• МРТ:
о Смешанная интенсивность сигнала (интенсивность варьирует в зависимости от характера кровотока/давности гематомы)
о Может потребоваться динамическая МР-ангиография с контрастированием для точного определения просвета сосуда
о Т2-ВИ позволяет определить внешнюю стенку аневризмы и внутрипросветный или муральный тромбоз
о ДВИ: возможна визуализация ограничения диффузии вследствие эмболии дистальных ветвей
• КТ-ангиография, ЦСА, МР-ангиография:
о Удлинение, эктазия сосуда + дополнительное фокальное аневризмальное выпячивание стенки сосуда
о На большом протяжении неветвящихся сегментов сосудов
(а) Макропрепарат виллизиева круга ребенка с гемофилией и ВИЧ-инфекцией: определяется неатеросклеротическая веретеновидная множественная васкулопатия, наиболее поражены СМА.
(б) КТ-ангиография, проекция максимальной интенсивности, корональный срез: у ВИЧ-положительного мужчины 25 лет с неоднократными инсультами в анамнезе определяется кальцифицированная васкулопатия в сочетании с веретеновидной аневризмой, распространяющейся на дистальный отдел левой ВСА, проксимальный отдел ПМА, а также СМА. (а) МРТ, Т2-ВИ, аксиальный срез: у этого же пациента определяется участок потери сигнала за счет эффекта потока от веретено видной аневризмы левой СМА. Правая СМА также расширена, но полностью тромбирована. Обратите внимание на зону постинфарктных изменений в бассейне СМА.
(б) ЦСА левой сонной артерии и ее ветвей, изображение оттененных поверхностей, вид спереди: у того же пациента определяется веретеновидная аневризмальная васкулопатия.
в) Патология неатеросклеротической веретеновидной аневризмы:
• Этиология:
о Коллагеновые сосудистые заболевания (например, СКВ)
о Вирусные, другие инфекционные агенты (например, вирус ветряной оспы, ВИЧ)
о Наследственные заболевания (например, синдромы Марфана, Элерса-Данло, нейрофиброматоз 2 типа)
о Злоупотребление наркотическими средствами, новообразование (например, предсердная миксома)
а) Терминология:
1. Сокращения:
• Атеросклеротическая веретеновидная аневризма (атеросклеротическая ВА)
2. Синонимы:
• Гигантская веретеновидная аневризма, мегадолихобазилярная артерия
3. Определения:
• Атеросклероз → аномальная дилатация, извитость внутричерепных артерий:
о Аневризмы с обособленными устьями притока и оттока
1. Общие характеристики атеросклеротической веретеновидной аневризмы:
• Лучший диагностический критерий:
о Веретеновидная/овоидная дилатация артерии на большом протяжении
• Локализация:
о Сосуды вертебробазилярной системы > ветви сонной артерии
• Размеры
о Обычно большие размеры (> 2,5 см), может быть гигантской
• Морфология:
о Единичный участок долихоэктазии/мультифокальная генерализованная долихоэктазия
о Фокальная веретеновидная аневризмальная дилатация сосуда

(а) Макропрепарат головного мозга: выраженная извитость артерий вертебробазилярной системы в сочетании с атеросклеротической веретеновидной аневризмой, протягивающейся от участка слияния позвоночных артерий до дистальной бифуркации основной артерии.
(б) ЦСА, косая проекция: у этого же пациента двумя годами ранее определялась долихоэктазия проксимальных и дистальных отделов позвоночных артерий. На снимке веретеновидная атеросклеротическая аневризма лежит между участками эктазии артерий, ее просвет указан стрелкой. Аневризма, имея большие размеры, была частично тромбирована, что обусловливало ТИА легкой степени тяжести.
2. КТ при атеросклеротической веретеновидной аневризме:
• Бесконтрастная КТ:
о Гиперденсный тромб, изоденсный остаточный просвет сосуда
- Часто отмечается Са++
• КТ с контрастированием:
о Контрастирование остаточного просвета; отсутствие контрастирования интрамурального тромба
• КТ-ангиография:
о Аномальное расширение артерии + фокальное веретеновидное расширение
3. МРТ при атеросклеротической веретеновидной аневризме:
• Т1-ВИ:
о Интенсивность сигнала варьирует в зависимости от характера кровотока, наличия/давности гематомы
• Т2-ВИ:
о Просвет, интрамуральный тромб часто имеют гипоинтенсивный, но гетерогенный сигнал
• Постконтрастные Т1-ВИ:
о Интенсивное контрастирование остаточного просвета сосуда
- Часто наблюдается выраженный фазовый артефакт
• МР-ангиография:
о Бесконтрасгное 3D TOF исследование является неподходящим вследствие медленного кровотока, эффектов сатурации, фазовой дисперсии
4. Рекомендации по визуализации:
• Лучший инструмент визуализации:
о Динамическая МР-ангиография с контрастированием или КТ-ангиография
• Советы по протоколу исследования:
о Динамическая МР-ангиография с контрастированием
о Т2-ВИ, ДВИ (компрессия ствола мозга/отек, инфаркты)

(а) Бесконтрастная КТ: типичная гиперденсная атеросклеротическая веретеновидная аневризма с кальцифицированной стенкой. Обратите внимание на выраженную кальцификацию внутренней сонной, правой средней мозговой артерий.
(б) МРТ: классическая атеросклеротическая веретеновидная вертебробазилярная аневризма, имеющая аномальный внешний вид.
в) Дифференциальная диагностика:
1. Атеросклеротическая долихоэктазия:
• Отсутствие локальной веретеновидной/мешотчатой дилатации
2. Гигантская серпантинная аневризма (ГСА):
• Крупное, частично тромбированная аневризма с слоистым тромбом, отсутствие определяемой шейки
• Чаще локализуется на СМА или ЗМА
3. Неатеросклеротическая веретеновидная васкулопатия:
• Пациент более младшего возраста (наследственная васкулопатия, иммунные нарушения)
4. Расслаивающая аневризма:
• Позвоночная > основная артерия
• Отсутствие выраженных атеросклеротических изменений в других сосудах
1. Общие характеристики:
• Этиология:
о Причиной базилярной веретеновидной аневризмы (ВА) у пожилых людей обычно является атеросклероз
2. Макроскопические и хирургические особенности:
• Генерализованный атеросклероз с локальной фузиформной артериальной эктазией(ми)
• Утолщение интимы, интрамуральный/внутрипросветный тромб
д) Клиническая картина атеросклеротической веретеновидной аневризмы:
1. Проявления:
• Наиболее частые признаки/симптомы:
о Ишемический инсульт > симптомы компрессии нервных структур (нейропатия черепных нервов)
- Варьирует от ТИА до выраженной мостовой ишемии, синдром «блокировки»
о В отличие от мешотчатой аневризмы разрыв ВА с субарахноидальным кровоизлиянием (САК) и головной болью происходит редко
3. Течение и прогноз:
• После формирования течение атеросклеротических ВА характеризуется их агрессивным ростом:
о Прогрессирование увеличения аневризмы, ее тромбоз → ↑ вероятность ТИА, инсульта
о Неуклонное ухудшение имеющихся симптомов
4. Лечение:
• Эндоваскулярное вмешательство: койлинг, установка потоконаправляющих стентов (например, pipeline)
е) Диагностическая памятка:
1. Обратите внимание:
• Предполагайте расслаивающую аневризму, неатеросклеротический генез веретеновидной аневризмы (ВА) у молодых пациентов
2. Советы по интерпретации изображений:
• Медленный кровоток/его сложный характер → гетерогенный сигнал
• ЦСА или КТ-ангиография/МР-ангиография с контрастированием для визуализации проходимого просвета сосуда
Диагностика аневризмы грудного отдела аорты на снимках МРТ и КТ
Что такое аневризма грудной аорты и почему она развивается
- В группу риска входят лица, страдающие заболеваниями соединительной ткани (например, синдромом Марфана, Элерса-Данлоса).
- Симптомы аневризмы грудной аорты выражаются в ограниченном или протяженном расширение аорты более чем на 50% нормального диаметра (диаметр восходящей аорты равен примерно 4 см)
- Распространенность среди лиц старше 65 лет составляет примерно 4%
- Предрасполагающие факторы: атеросклероз аорты, артериальная гипертензия, травма
- Аневризма восходящей аорты вследствие кистозного некроза медии
- Аневризма нисходящей аорты при артериосклерозе
- Аневризмы аорты классифицируют по типу (ложные и истинные), локализации (восходящей или нисходящей аорты) и форме (мешотчатые или веретеновидные).
Какой метод диагностики аневризмы аорты выбрать: МРТ, КТ, ЭХО-КГ, ангиографию
Метод выбора
Что покажет рентген грудной клетки при аневризме
- Протяженное расширение тени аорты и увеличение ее дуги
- Кинкинг нисходящей аорты
- Обызвествление стенки
- Смещение трахеи.
Информативна ли МРТ и КТ-ангиография сердца и аорты при аневризме
- При помощи КТА и МРА можно количественно оценить расширение аорты, получить представление об изменениях ее стенки, наличии пристеночных тромбов и возможных осложнениях.
Отличительные признаки
- Объемное образование вдоль грудной аорты
- Расширение просвета аорты более чем на 50% от нормального диаметра.
Клинические проявления
Типичные симптомы аневризмы грудного отдела аорты:
- Обычно симптомы аневризма грудной аорты не возникают у больного и обнаруживается аневризма грудной аорты случайно. Иногда больные жалуются на дисфагию и охриплость голоса.
Тактика лечения
Течение и прогноз
- Риск разрыва аневризмы аорты сердца
- Показания к операции расслаивающаяся аневризмы аорты включают расширение восходящей аорты до 5,5 см и более, нисходящей аорты - до 6,5 см и более (при синдроме Марфана оперируют при менее выраженном расширении аорты), а также появление клинической симптоматики независимо от размеров аневризмы.
Что хотел бы знать лечащий врач

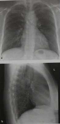
Бессимптомная мешотчатая аневризма грудной аорты у женщины 43 лет. а На обзорных рентгенограммах грудной клетки видны несколько расширенная тень дуги аорты с мелкими очагами обызвествления в стенке, обращенной к трахее, и округлое выпячивание под дисковидной проекцией дуги аорты.
b Трахея и правый главный бронх смещены. На снимке в боковой проекции верхнее средостение имеет большую, чем обычно, плотность. При расспросе больной выяснилось, что она получила травму груди.

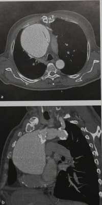
Аневризма восходящей аорты у мужчины 62 лет. На КТ видна крупная аневризма восходящей аорты с лоскутом разорвавшейся интимы.
Аневризма брюшной аорты
Аневризма брюшной аорты – это локальное выбухание или диффузное расширение стенки аорты в ее брюшном отделе. Аневризма брюшной аорты может протекать бессимптомно или обнаруживать себя пульсацией, болями в животе различной интенсивности, при разрыве аневризмы – клиникой внутрибрюшного кровотечения. Диагностика аневризмы включает проведение обзорной рентгенографии брюшной полости, УЗДГ брюшной аорты, рентгеноконтрастной ангиографии, КТ. Лечение аневризмы брюшной аорты исключительно хирургическое: открытая резекция аневризматического мешка с заменой иссеченной части синтетическим протезом либо эндопротезирование.
МКБ-10


Общие сведения
Аневризма брюшной аорты – патологическое расширение брюшной части аорты в виде выпячивания ее стенки на участке от XII грудного до IV—V поясничного позвонка. В кардиологии и ангиохирургии на долю аневризм брюшной аорты приходится до 95% всех аневризматических изменений сосудов. Среди мужчин старше 60 лет аневризма брюшной аорты диагностируется в 2-5% случаев. Несмотря на возможное бессимптомное течение, аневризма брюшной аорты склонна к прогрессированию; в среднем ее диаметр увеличивается на 10% в год, что нередко приводит к истончению и разрыву аневризмы с летальным исходом. В списке наиболее частых причин смерти аневризма брюшной аорты занимает 15 место.
Причины
Формирование аневризм аорты может быть обусловлено различными причинами. Предпосылкой последующего формирования аневризмы брюшной аорты может являться фиброзно-мышечная дисплазия - врожденная неполноценность аортальной стенки. Среди приобретенных факторов наибольшее значение имеют:
- Атеросклероз сосудов. По данным исследований, основным этиологическим фактором аневризм аорты (аневризмы дуги аорты, аневризмы грудной аорты, аневризмы брюшной аорты) является атеросклероз. В структуре причин приобретенных аневризм аорты на его долю приходится 80-90% случаев заболевания.
- Воспалительные изменения сосудистой стенки. Более редкое приобретенное происхождение аневризм брюшной аорты связно с воспалительными процессами: неспецифическим аортоартериитом, специфическими поражениями сосудов при сифилисе, туберкулезе, сальмонеллезе, микоплазмозе, ревматизме.
- Травмы аорты. Бурное развитие сосудистой хирургии в последние десятилетия привело к увеличению числа ятрогенных аневризм брюшной аорты, связанных с техническими погрешностями при выполнении ангиографии, реконструктивных операций (дилатации/стентирования аорты, тромбоэмболэктомии, протезирования). Закрытые повреждения брюшной полости или позвоночника могу способствовать возникновению травматических аневризм брюшной аорты.
Факторы риска
Около 75% пациентов с аневризмой брюшной аорты составляют курильщики; при этом риск развития аневризмы увеличивается пропорционально стажу курения и количеству ежедневного выкуриваемых сигарет. Возраст старше 60 лет, мужской пол и наличие аналогичных проблем у членов семьи повышают риск образования аневризмы брюшной аорты в 5-6 раз.
Вероятность разрыва аневризмы брюшной аорты выше у пациентов, страдающих артериальной гипертонией и хроническими заболеваниями легких. Кроме этого, имеет значение форма и размер аневризматического мешка. Доказано, что асимметричные аневризмы более подвержены разрыву, чем симметричные, а при диаметре аневризмы более 9 см смертность от разрыва аневризматического мешка и внутрибрюшного кровотечения достигает 75%.
Патогенез
В развитии аневризмы брюшной аорты играют роль воспалительные и дегенеративные атеросклеротические процессы в стенке аорты. Воспалительная реакция в стенке аорты возникает как иммунный ответ на внедрение неизвестного антигена. При этом развивается инфильтрация аортальной стенки макрофагами, В- и Т-лимфоцитами, усиливается продукция цитокинов, повышается протеолитическая активность. Каскад этих реакций, в свою очередь, приводит к деградации экстрацеллюлярного матрикса в среднем слое оболочки аорты, что проявляется в увеличении содержания коллагена и уменьшении эластина. На месте гладкомышечных клеток и эластических мембран формируются кистоподобные полости, вследствие чего прочность стенки аорты снижается.
Воспалительные и дегенеративные изменения сопровождаются утолщением стенок аневризматического мешка, возникновением интенсивного перианевризматического и постаневризматического фиброза, сращением и вовлечением окружающих аневризму органов в воспалительный процесс.
Классификация
По форме выпячивания стенки сосуда различают мешотчатые, диффузные веретенообразные и расслаивающиеся аневризмы брюшной аорты; по строению стенки – истинные и ложные аневризмы. Наибольшую клиническую ценность представляет анатомическая классификация аневризм брюшной аорты, согласно которой выделяют:
- инфраренальные аневризмы, расположенные ниже отхождения почечных артерий (95%);
- супраренальные с локализацией выше почечных артерий.
С учетом этиологических факторов аневризмы брюшной аорты подразделяются на врожденные и приобретенные. Последние могут иметь невоспалительную этиологию (атеросклеротическую, травматическую) и воспалительную (инфекционную, сифилитическую, инфекционно-аллергическую).
По признаку распространенности А.А. Покровский и соавт. различают 4 типа аневризмы брюшной аорты:
- I – инфраренальная аневризма с достаточным по протяженности дистальным и проксимальным перешейком;
- II - инфраренальная аневризма с достаточным по протяженности проксимальным перешейком; распространяется до бифуркации аорты;
- III - инфраренальная аневризма с вовлечением бифуркации аорты и подвздошных артерий;
- IV – инфра- и супраренальная (тотальная) аневризма брюшной аорты.
Симптомы аневризмы БА
При неосложненном течении аневризмы брюшной аорты субъективные симптомы заболевания отсутствуют. В этих случаях аневризма может быть диагностирована случайно при пальпации живота, проведении УЗИ, рентгенографии брюшной полости, диагностической лапароскопии по поводу другой абдоминальной патологии.
Наиболее типичными клиническими проявлениями аневризмы брюшной аорты служат постоянные или периодические ноющие, тупые боли в мезогастрии или левой половине живота, что связано с давлением растущей аневризмы на нервные корешки и сплетения в ретроперитонеальном пространстве. Боли нередко иррадиируют в поясничную, крестцовую или паховую область. Иногда боли имеют настолько интенсивный характер, что для их купирования требуется назначение анальгетиков. Болевой синдром может быть расценен как приступ почечной колики, острого панкреатита или радикулита.
Часть больных в отсутствие болей отмечает чувство тяжести, распирания в животе или усиленную пульсацию. Вследствие механического сдавления аневризмой брюшной аорты желудка и 12-перстной кишки может возникать тошнота, отрыжка, рвота, метеоризм, запоры.
Урологический синдром при аневризме брюшной аорты может быть обусловлен компрессией мочеточника, смещением почки и проявляется гематурией, дизурическими расстройствами. В некоторых случаях сдавление тестикулярных вен и артерий сопровождается развитием болевого симптомокомплекса в яичках и варикоцеле.
Ишиорадикулярный симптомокомплекс связан с компрессией нервных корешков спинного мозга или позвонков. Он характеризуется болями в пояснице, чувствительными и двигательными расстройствами в нижних конечностях. Изолированная расслаивающаяся аневризма брюшной аорты встречается крайне редко; чаще она является продолжением расслоения грудного отдела аорты. При аневризме брюшной аорты может развиваться хроническая ишемия нижних конечностей, протекающая с явлениями перемежающейся хромоты, трофическими нарушениями.
Осложнения
Разрыв аневризмы брюшной аорты сопровождается клиникой острого живота и в относительно короткие сроки может привести к трагическому исходу. Симптомокомплекс сопровождается характерной триадой: болью в животе и поясничной области, коллапсом, усиленной пульсацией в брюшной полости. Особенности клиники разрыва аневризмы брюшной аорты определяются направлением разрыва (в забрюшинное пространство, свободную брюшную полость, нижнюю полую вену, 12-перстную кишку, мочевой пузырь).
Забрюшинный разрыв аневризмы брюшной аорты характеризуется болевым синдромом постоянного характера. При распространении забрюшинной гематомы в область малого таза отмечается иррадиация болей в бедро, пах, промежность. Высокое расположение гематомы может симулировать кардиальные боли. Количество излившейся в свободную брюшную полость крови при забрюшинном разрыве аневризмы, как правило, невелико – около 200 мл.
При внутрибрюшинной локализации разрыва аневризмы брюшной аорты развивается клиника массивного гемоперитонеума: быстро нарастают явления геморрагического шока - резкая бледность кожных покровов, холодный пот, слабость, нитевидный, частый пульс, гипотония. Отмечается резкое вздутие и болезненность живота во всех отделах, разлитой симптом Щеткина-Блюмберга. Перкуторно определяется наличие свободной жидкости в брюшной полости. Летальный исход при данном типе разрыва аневризмы брюшной аорты наступает очень быстро.
Прорыв аневризмы брюшной аорты в нижнюю полую вену сопровождается слабостью, одышкой, тахикардией; типичны отеки нижних конечностей. К локальным симптомам относятся боли в животе и пояснице, пульсирующее образование в животе, над которым выслушивается систоло-диастолический шум. Указанные симптомы нарастают постепенно, приводя к тяжелой форме сердечной недостаточности.
При разрыве аневризмы брюшной аорты в 12-перстную кишку развивается клиника профузного желудочно-кишечного кровотечения с внезапным коллапсом, кровавой рвотой, меленой. В диагностическом плане данный вариант разрыва сложно отличить от желудочно-кишечных кровотечений другой этиологии.
Диагностика
В ряде случаев заподозрить наличие аневризмы брюшной аорты позволяет общий осмотр, пальпация и аускультация живота. Для выявления семейных форм аневризмы необходимо собрать тщательный анамнез. Методы диагностики:
- Осмотр. При обследовании худощавых пациентов в положении лежа может определяться усиленная пульсация аневризмы через переднюю брюшную стенку. При пальпации в верхней части живота слева выявляется безболезненное пульсирующее плотноэластическое образование. При аускультации над аневризмой брюшной аорты выслушивается систолический шум.
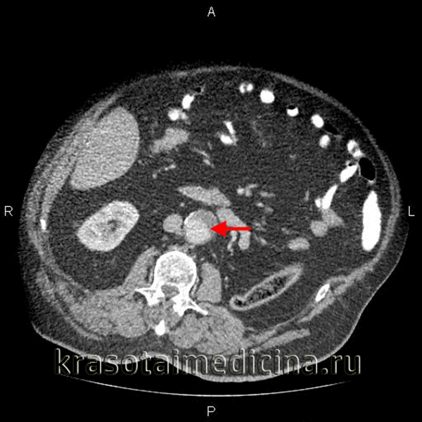
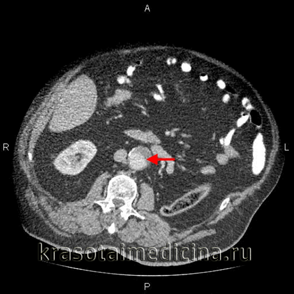
- Рентгеновская диагностика. Наиболее доступным методом диагностики аневризмы брюшной аорты служит обзорная рентгенография брюшной полости, позволяющая визуализировать тень аневризмы и кальциноз ее стенок. КТ или МСКТ брюшного отдела аорты позволяет получить изображение просвета аневризмы, кальциноза, расслоения, внутримешкового тромбоза; выявить угрозу разрыва или свершившийся разрыв. Кроме указанных методов, в диагностике аневризмы брюшной аорты применяются аортография, внутривенная урография.
- УЗИ аорты. В настоящее время в ангиологии широко используется УЗДГ, дуплексное сканирование брюшной аорты и ее ветвей. Точность ультразвукового выявления аневризмы брюшной аорты приближается к 100%. С помощью УЗИ определяется состояние стенки аорты, распространенность и локализация аневризмы, место разрыва.

Лечение аневризмы брюшной аорты
Открытая хирургия
Противопоказания к плановой операции служат недавний (менее 1 месяца) инфаркт миокарда, ОНМК (до 6 недель), тяжелая сердечно-легочная недостаточность, почечная недостаточность, распространенное окклюзирующее поражение подвздошных и бедренных артерий. При надрыве или разрыве аневризмы брюшной аорты резекция выполняется по жизненным показаниям.
Эндоваскулярная хирургия
К современным малотравматичным методам хирургии аневризмы брюшной аорты относится эндопротезирование аорты с помощью имплантируемого стент-графта. Хирургическая процедура выполняется в рентген-операционной через небольшой разрез в бедренной артерии; ход операции контролируется рентгенотелевидением. Установка стент-графта позволяет изолировать аневризматический мешок, предотвратив тем самым возможность его разрыва, и одновременно создает новый канал для кровотока. Преимуществами эндоваскулярного вмешательства являются минимальная травматичность, меньший риск развития послеоперационных осложнений, быстрое восстановление. Однако, по данным литературы, в 10% случаев отмечается дистальная миграция эндоваскулярных стентов.
Прогноз и профилактика
Аневризма брюшной аорты – коварная и непредсказуемая сосудистая патология. Вероятность летального исхода от разрыва аневризмы больших размеров составляет более 75%. При этом от 30 до 50% пациентов погибает еще на догоспитальном этапе.
В последние годы в кардиохирургии наблюдается заметный прогресс в диагностике и лечении аневризмы брюшной аорты: уменьшилось число диагностических ошибок, расширился контингент больных, подлежащих хирургическому лечению. Прежде всего, это связано с применением современных визуализирующих исследований и внедрением в практику эндопротезирования аневризмы аорты.
Для предотвращения потенциальной угрозы аневризмы брюшной аорты, лица, страдающие атеросклерозом или имеющие семейный анамнез по данному заболеванию, должны проходить регулярные обследования. Важную роль играет отказ от нездоровых привычек (курения). Пациенты, перенесшие оперативное вмешательство по поводу аневризмы брюшной аорты, нуждаются в наблюдении сосудистого хирурга, регулярном прохождении УЗИ и КТ.
3. Воспалительные аневризмы брюшной аорты/ Тихановская Е.О.// Вестник Российской Военно-медицинской академии. - 2012. - 1(37).
Читайте также:
