Диагностика гидроцефалии. Вентрикулокраниальный индекс (ВКИ)
Добавил пользователь Евгений Кузнецов Обновлено: 09.01.2026
Информацию из данного раздела нельзя использовать для самодиагностики и самолечения. В случае боли или иного обострения заболевания диагностические исследования должен назначать только лечащий врач. Для постановки диагноза и правильного назначения лечения следует обращаться к Вашему лечащему врачу.
Гидроцефалия: причины появления, симптомы, диагностика и способы лечения.
Определение
Гидроцефалия – это состояние, при котором в желудочках головного мозга и ликворосодержащих пространствах черепа скапливается избыточное количество спинномозговой жидкости, или ликвора. Спинномозговая жидкость отделяет головной и спинной мозг от твердых стенок черепа и позвоночного столба, служа буфером. Кроме того, ликвор доставляет к мозгу необходимые питательные вещества, выводит некоторые продукты обмена, обладает защитными свойствами, является транспортной средой для физиологически активных веществ.
В головном мозге есть четыре желудочка – два боковых, а также так называемые третий и четвертый желудочки мозга. Из боковых желудочков ликвор поступает в третий желудочек, а оттуда – в водопровод мозга, или Сильвиев водопровод, через который жидкость поступает в четвертый желудочек. После этого спинномозговая жидкость вытекает в подпаутинное (субарахноидальное) пространство, окружающее головной и спинной мозг, где всасывается.

Ликвор постоянно обновляется (вырабатывается около 500 мл ликвора в сутки) – вырабатывается и всасывается. Если баланс между выработкой спинномозговой жидкости и всасыванием нарушается, то есть ликвор вырабатывается быстрее, чем всасывается, то он начинает скапливаться внутри желудочков, они расширяются, а внутричерепное давление повышается. Такое состояние и называется гидроцефалией.

Гидроцефалия встречается как у взрослых, так и у детей любого возраста. Распространенность заболевания составляет от 100 до 350 случаев на 100 000 человек.
Причины возникновения гидроцефалии
Гидроцефалия развивается вследствие нарушения всасывания ликвора, в результате избыточной его продукции или при наличии препятствия на пути его оттока. Причинами повышения внутричерепного давления у взрослых могут быть инфекции центральной нервной системы (менингит, вентрикулит, арахноидит), кровоизлияния (субарахноидальные, внутрижелудочковые), опухоли головного и спинного мозга, сосудистые мальформации, острая или хроническая недостаточность мозгового кровообращения на почве атеросклероза, васкулитов, диабетической ангиопатии или гиалиноза сосудов.
Причинами развития гидроцефалии у плода являются в большинстве случае пороки развития центральной нервной системы, а также внутриутробные инфекции (цитомегаловирусная, герпетическая инфекция, токсоплазмоз). У детей младшего возраста (до 2 лет) к водянке головного мозга в 80% случаев приводят врожденные пороки развития (аномалия Киари, стеноз водопровода мозга) и внутриутробные инфекции, а в 20% – травмы и неонатальный менингоэнцефали. У детей старше 2 лет основными причинами являются опухоли задней черепной ямки и стенозы (сужения) водопровода мозга.
Классификация гидроцефалии
Основная классификация предполагает выделение окклюзионной, или несообщающейся гидроцефалии (при закупорке ликворных путей), и сообщающейся гидроцефалии, когда нарушена всасываемость ликвора (встречается чаще), или вырабатывается слишком много ликвора при нормальном всасывании (встречается реже).
Кроме того, гидроцефалия подразделяется:
По локализации:
- внутренняя, когда увеличены желудочки мозга;
- наружная, когда увеличены субарахноидальные пространства;
- смешанная, когда увеличены и желудочки мозга, и субарахноидальные пространства.
- компенсированная, когда расширение ликворных путей существует без клинических проявлений;
- субкомпенсированная, когда при расширенных ликворных путях присутствуют общемозговые симптомы;
- декомпенсированная, когда при расширенных ликворных путях присутствуют очаговые неврологические симптомы.
- врожденная гидроцефалия – развивается в результате перинатальных внутричерепных кровоизлияний, опухолей головного мозга, воспалительных процессов, после черепно-мозговой травмы, вследствие патологий сосудов головного мозга;
- приобретенная гидроцефалия – инфекционная, постгеморрагическая (после кровоизлияний), при объемных внутричерепных процессах, в результате гиперпродукции ликвора, например, при опухолях сосудистых сплетений, выстилающих желудочки мозга.
В зависимости от уровня ликворного давления различают:
- гипертензивную гидроцефалию (давление повышено);
- нормотензивную гидроцефалию (давление в норме).
Следует помнить, что гидроцефалия – это развивающееся состояние, и скорость прогрессирования может изменяться с течением времени.
Кроме того, острое начало может сменяться хроническим течением, в то время как хроническая гидроцефалия может сопровождаться обострениями, требующими смены тактики лечения.
Симптомы гидроцефалии
У младенцев симптомы гидроцефалии практически не зависят от причины, вызвавшей заболевание. Наблюдается слишком интенсивный рост головы, опережающий тело и конечности, выраженные швы черепа, кости черепа истончены, лоб увеличен непропорционально, надбровья нависают, родничок напряженный, вены кожи черепа расширены. У ребенка могут определяться общемозговые симптомы: тошнота, рвота, беспокойство, судороги, угнетение сознания. Кроме того, могу присутствовать и очаговые признаки: расходящееся косоглазие, спастичность (повышение мышечного тонуса) в разгибателях ног и иногда рук, симптом заката (закатывание глаз вниз), симптом Грефе (при вращении головы, реже – в спокойном состоянии глазное яблоко перемещается вниз, а сверху, над радужной оболочкой остается видна белая широкая полоска) и другие симптомы.
У детей старше 2 лет гидроцефалия проявляется также общемозговой (утренние головные боли, рвота натощак, тошнота, мышечная слабость) и очаговой симптоматикой (спастический парапарез нижних конечностей, гиперкинезы – патологические непроизвольные движения, атаксия – нарушение согласованности движений мышц, плохо координированные движения).
У детей с гидроцефалией могут возникать эндокринные нарушения (отставание в росте или гигантизм, ожирение, преждевременное половое созревание или гипогонадизм, гипотиреоз и несахарный диабет), пато- и нейропсихологические нарушения (нарушение оптико-пространственного (невербального) интеллекта, сложности с обобщениями, эмоциональная лабильность и др.).
У взрослых пациентов также отмечаются признаки повышенного внутричерепного давления: отек диска зрительного нерва, головная боль, тошнота и рвота, глазодвигательные нарушения, сонливость, возможна потеря сознания, гипертонус мышц нижних конечностей, прогрессирующее снижение интеллекта, вялость, апатия, дезориентация во времени и пространстве, расстройства оперативной памяти.
Существует вид гидроцефалии с нормальным ликворным давлением, когда желудочки расширены, но давление спинномозговой жидкости в норме. Для этого вида характерным нарушением является триада Хакима-Адамса – нарушение памяти, походки и недержание мочи. Полная триада встречается лишь 1/3 случаев. У остальных пациентов встречается комбинирование двух симптомов из триады. Распространенность такой формы гидроцефалии составляет 20-22 человека на 100 000 населения.
Диагностика гидроцефалии
Для диагностики гидроцефалии и выявления ее причин применяют:
- общий анализ крови для выявления воспалительных изменений;
- компьютерную томографию – для определения размеров желудочков мозга и субарахноидальных внутричерепных пространств, выявления опухолей, кист;
К каким врачам обращаться
Заподозрить диагноз может педиатр , терапевт или невролог .
Возможно, потребуется консультация нейрохирурга для определения тактики хирургического лечения.
Кроме того, рекомендован осмотр офтальмолога для проведения дифференциальной диагностики, коррекции патологии зрения и профилактики осложнений. На этапе реабилитации могут потребоваться консультации психолога, логопеда, физиотерапевта.
Лечение гидроцефалии
Из консервативных методов лечения применяют диуретики с целью снижения внутричерепного и внутриглазного давления, витаминотерапию, назначают нейро- и ангиопротекторы. К сожалению, медикаментозная терапия не всегда позволяет достичь желаемого эффекта, поэтому выполняют хирургическое вмешательство.
Оперативное лечение гидроцефалии направлено либо на восстановление тока ликвора, либо на создание альтернативных маршрутов для дренажа спинномозговой жидкости из полости черепа.
Возможно проведение эндоскопических операций, когда с помощью микрохирургических инструментов под контролем нейроэндоскопа формируются обходные пути для оттока спинномозговой жидкости из желудочка. Более традиционным вмешательством является операция шунтирования. При шунтировании избыточная спинномозговая жидкость отводится тонкой трубочкой, например, в брюшную или плевральную полость, где она хорошо всасывается. Клапаны в шунтирующей системе предотвращают обратный заброс ликвора.
Осложнения гидроцефалии
Несвоевременная диагностика гидроцефалии может привести к глазодвигательным и зрительным нарушениям, вплоть до атрофии зрительного нерва и слепоты, проблемам с речью, нарушениям слуха, изменению формы и размеров черепа, к умственной отсталости, задержкам физического развития, психическим расстройствам, личностным нарушениям.
Опасным осложнением считается смещение мозговых структур, вклинение головного мозга, что приводит к гибели пациента.
Профилактика гидроцефалии
Для снижения риска развития гидроцефалии важно своевременно выявлять и лечить патологии беременных, избегать травм головы и позвоночника, в том числе родовых, предупреждать развитие инфекционных процессов, особенно во время беременности, чему может способствовать, например, вакцинация от пневмококка согласно национальному календарю (защита от пневмококкового менингита). Для взрослых пациентов, помимо предотвращения черепно-мозговых травм и нейроинфекций, рекомендовано своевременное и полноценное лечение заболеваний сердечно-сосудистой системы, которые могут стать причиной острой или хронической недостаточности кровообращения головного мозга.
- Е.И. Гусев, А.Н. Коновалов, В.И. Скворцова. Неврология и нейрохирургия. Учебник в двух томах 4-е изд., доп. / Т. 2. Нейрохирургия // Москва. – Гэотар-Медиа. – 2018.
- Гидроцефалия: учебное пособие / А.И. Мидленко, О.Г. Семенков, М.А. Мидленко, С.Ю. Рябов, Е.Ю. Котова // Ульяновск : УлГУ. – 2015. – 67 с.
Гидроцефалия (вентрикуло-перитонеальное шунтирование)
Рекомендовано
Экспертным советом
РГП на ПХВ «Республиканский центр
развития здравоохранения»
Министерства здравоохранения
и социального развития
Республики Казахстан
от «12» декабря 2014 года
протокол № 9
Гидроцефалия (от др.-греч.ὕδωρ — вода и κεφαλή — голова), водянка головного мозга — заболевание, характеризующееся избыточным скоплением цереброспинальной жидкости в желудочковой системе головного мозга в результате затруднения её перемещения от места секреции (желудочки головного мозга) к месту абсорбции в кровеносную систему (субарахноидальное пространство) — окклюзионная гидроцефалия, либо в результате нарушения абсорбции — арезорбтивная гидроцефалия. Также встречается гиперсекреторная гидроцефалия, обусловленная избыточной продукцией ликвора.
I. ВВОДНАЯ ЧАСТЬ
Название протокола: Гидроцефалия (вентрикуло-перитонеальное шунтирование).
Код протокола:
Код (ы) МКБ-10:
Q03.0 – Врожденный порок сильвиева водопровода
Q03.1 – Атрезия отверстий Мажанди и Лушки
Q03.8 – Другая врожденная гидроцефалия
Q03.9 – Врожденная гидроцефалия неуточненная
G91.1 – Гидроцефалия обструктивная
G94.0 – Гидроцефалия при инфекционных и паразитарных болезнях
G94.1 – Гидроцефалия при опухолевых болезнях
Дата разработки протокола: 2014 год.
Сокращения, используемые в протоколе:
ВИЧ–вирус иммунодефицита человека
ЖДА – железодефицитная анемия
ИФА – иммуноферментный анализ
КТ –компьютерная томография
МРТ –магниторезонансная томография
ОАК – общий анализ крови
ОАМ – общий анализ мочи
ТМО – твердая мозговая оболочка
УЗИ – ультразвуковое исследование
ЧМТ – черепно-мозговая травма
ЭКГ – электрокардиография
Эхо-КГ – эхокардиография
ЭхоЭГ – эхоэнцефалография
ЭЭГ – электроэнцефалография
Категория пациентов: дети.
Пользователи протокола: нейрохирурги, невропатологи.

Автоматизация клиники: быстро и недорого!
- Подключено 300 клиник из 4 стран
- 800 RUB / 4500 KZT / 27 BYN - 1 рабочее место в месяц

Автоматизация клиники: быстро и недорого!
- Подключено 300 клиник из 4 стран
- 1 место - 800 RUB / 4500 KZT / 27 BYN в месяц
Мне интересно! Свяжитесь со мной

13-15 октября, Алматы, "Атакент"
600 брендов, более 150 компаний-участников из 20 стран.
Новинки рынка стоматологии. Цены от производителей
Классификация
Клиническая классификация [1]
• смешанная форма болезни, при которой процессы продукции ликвора преобладают над процессами его резорбции.
Закрытая гидроцефалия (оклюзионная). Болезнь развивается в результате разобщения ликвороносных путей на различных уровнях. В случае если окклюзия имеет место на уровне межжелудочкового отверстия, наблюдается расширение одного бокового желудочка. Окклюзия на уровне III желудочка приводит к расширению обоих боковых желудочков, а окклюзия на уровне IV желудочка и водопровода мозга (тривентикулярная форма) вызывает расширение боковых и III желудочка. Если же окклюзия имеет место на уровне большой затылочной цистерны, происходит расширение всей желудочковой системы мозга;
Гидроцефалия exvacua. Является следствием уменьшения объёма мозговой паренхимы, наступившего в результате атрофии, при патологических состояниях ЦНС, которые сопровождаются атрофическими изменениями (болезнь Альцгеймера, болезнь Крейтцфельдта-Якоба), или при старении организма (физиологическая норма). Данная форма гидроцефалии не является истинной, поскольку она обусловлена не нарушениями ликвородинамики, а является следствием заполнения спинномозговой жидкостью «свободных» пространств внутри черепа.
По преимущественному накоплению ликвора:
• Внутренняя (желудочковая) гидроцефалия — гидроцефалия, характеризующаяся скоплением ликвора преимущественно в желудочках головного мозга
• Наружная гидроцефалия — гидроцефалия со скоплением ликвора преимущественно в субарахноидальном пространстве
• Общая гидроцефалия — гидроцефалия со скоплением ликвора как в желудочках, так и в субарахноидальном пространстве.
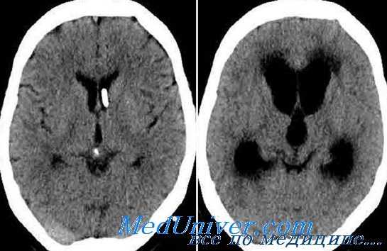
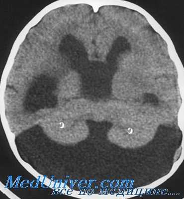
Диагностика гидроцефалии. Вентрикулокраниальный индекс (ВКИ)
Методы лечения гидроцефалии. Шунтирующие системы
Консервативное лечение дизрезорбтивной гидроцефалии неэффективно, и при установлении диагноза больным показано проведение операции — вентрикулоперитонеального шунтирования.
Каждая шунтирующая система состоит из 3 основных компонентов:
— вентрикулярный катетер для пункции и дренирования желудочков мозга;
— клапан системы, регулирующий сброс ЦСЖ из желудочков;
— дистальный катетер, имплантируемый в различные полости тела (брюшную, плевральную, предсердие и т. д.) для отвода и последующей резорбции избытка ЦСЖ.
В настоящее время стандартной шунтирующей операцией является вентрикулоперитонеальное шунтирование, как методика, отличающаяся технической простотой выполнения и отсутствием серьезных осложнений. В случаях появления трудностей имплантации дистального конца шунта в брюшную полость (повторные перенесенные полостные операции, спаечная болезнь, наличие гастростомы и т. д.) предпочтение отдают одной из других модификаций шунтирущих операций. На втором месте по предпочтению установки дистального конца шунта находится вентрикулоатриальное шунтирование.
Современные шунтирующие системы подразделяются на 3 основные группы:
1. Системы с заданным давлением открытия клапана;
2. Системы с заданным давлением открытия клапана и наличием антисифонного устройства;
3. Системы с неинвазивно регулируемым давлением открытия клапана.

В зависимости от давления открытия клапана, последние подразделяются на:
• очень низкого давления (от 10 до 30 мм вод. ст.);
• низкого давления (от 30 до 45 мм вод. ст.);
• среднего давления (от 85 до 105 мм вод. ст.);
• высокого давления (от 145 до 170 мм вод. ст.);
• очень высокого давления (от 175 до 200 мм вод. ст).
При лечении дизрезорбтивной гидроцефалии целесообразно имплантировать шунтирующие системы с низким давлением открытия клапана, т. к. при установке подобных систем у пациентов наблюдается самый быстрый регресс имеющейся неврологической симптоматики, а осложнения, связанные с гипердренированием, возникают в единичных случаях и легко купируются. При имплантации шунтирующих систем среднего давления, несмотря на отсутствие осложнений, связанных с избыточным дренированием, у 48% пациентов не удается добиться регресса неврологических нарушений.
Проблему осложнений, связанных с недостаточным или избыточным дренированием ЦСЖ, позволяют решить устройства с неинва-зивно регулируемым давлением клапана. Основным принципом работы данных устройств является возможность изменения давления открытия клапана под действием электромагнитного или постоянного магнитного поля. Регулируемые шунтирующие системы позволяют изменять давление открытия клапана от очень высокого до очень низкого в течение нескольких минут, и устранять возникающие клинические симптомы, связанные с недостаточным или избыточным дренированием, уже в начале их появления. Существенными недостатками регулируемых систем являются их высокая стоимость, а также возможность сбоев программы под действием внешних магнитных полей.
Избыточному сбросу ЦСЖ, а также ретроградному ее току по системе препятствуют антисифонные устройства, встроенные в клапан.
По форме различают клапаны для фиксации во фрезевом отверстии и клапаны с контурным дном для укладывания на кость. Выбор формы клапана зависит от предпочтений нейрохирурга.
Основными недостатками указанных выше шунтирующих систем, клапаны которых изготовлены из силикона, являются:
1. Потеря эластических свойств силикона с течением времени, что приводит к нарушению режима оттока ЦСЖ по клапанной системе и неадекватной работе шунта;
2. Ограничение возможности имплантации шунтов с силиконовыми клапанами больным с высоким содержанием белка в ЦСЖ. Имплантация стандартных шунтирующих систем допускается при уровне белка не выше 0,3 г/л. При большем содержании в ЦСЖ белка последний адсорбируется на мембране клапана, что приводит к выходу из строя шунтирующей системы;
3. Значительное увеличение тока ЦСЖ через клапан системы при перемене положения тела больного из горизонтального в вертикальное (даже при имплантации систем с антисифонным устройством) приводит к развитию гипердренажных состояний;
4. Необходимость строгого расположения помпы клапана на уровне отверстия Монро.

Компания «Miethke» изготавливает клапаны шунтирующих систем из сверхтонкого титана. В титановой конструкции клапана встроен гравитационный механизм, позволяющий плавно изменять ток ЦСЖ при перемене положения тела пациента. На начальном этапе конструкции титановых элементов устройство для регуляции тока ЦСЖ состояло из системы каналов широкого и узкого диаметра и шарикового клапана. В горизонтальном положении больного ЦСЖ поступает по широкому каналу, что позволяет сбрасывать больший объем ЦСЖ. При переходе пациента в вертикальное положение шариковый клапан перекрывает широкий канал, и ток ЦСЖ осуществляется по более узкому каналу, предупреждая избыточный сброс большого объема ЦСЖ. Таким образом, давление открытия клапана шунта регулируется в двух точках: более низкое в горизонтальном положении и высокое — в вертикальном, что позволяет избежать гипердренажного состояния.
В последние годы подобная система была модифицирована дополнительным гравитационным элементом в виде пружинного механизма. Сжатие и растяжение пружины под действием шарикового клапана позволяет плавно регулировать уровень сброса ЦСЖ при любых изменениях тела пациента: горизонтальное, полусидячее, с запрокинутой головой, вертикальное и т. д..
Наличие увеличенного внутреннего диаметра клапана шунтирующей системы из сверхтонкого титана и изготовление всех элементов клапана из металла делают возможным имплантацию систем больным с высоким содержанием белка и присутствием форменных элементов крови, а гравитационный механизм позволяет имплантировать клапан без соблюдения соответствия проекции отверстия Монро.
Шунтирующие системы с титановым клапаном классифицируют следующим образом:
• Система «Monostep» с постоянным давлением открытия клапана, независимо от положения тела — предназначена для имплантации пациентам в вегетативном статусе или с тетрапарезом;
• Система «Dualswitch» с изменяющимся давлением открытия клапана в 2 точках: горизонтальное и вертикальное положение;
• Система «GAV» с постепенно изменяющимся под действием гравитации давлением открытия клапана и пружинного механизма;
• Система «paediGAV» для использования в педиатрической практике за счет сверхмалого размера клапана;
• Система «proGAV» с неинвазивно регулируемым давлением клапана и гравитационным элементом.
Выбор клапана системы производят с учетом уровня активности пациента, его роста и типа телосложения.
Редактор: Искандер Милевски. Дата обновления публикации: 18.3.2021
Ведущим методом диагностики хронической дизрезорбтивной гидроцефалии является КТ головного мозга. Патогномоничными признаками хронической дизрезорбтивной гидроцефалии по данным КТ являются:
1. Симметричное расширение желудочковой системы головного мозга с преимущественным баллонообразным расширением передних рогов боковых желудочков, исчезновение «талии» у передних рогов. Степень расширения желудочковой системы определяют путем расчета вентрикулокраниальных индексов (ВКИ) по общепринятой методике.
Вентркуолокраниальный индекс (ВКИ) 1 рассчитывают как отношение расстояния между самыми латеральными участками передних рогов к максимальному расстоянию между внутренними пластинками костей черепа. Верхняя граница для ВКИ 1 улиц моложе 60 лет составляет 26,4%; старше 60 лет — 29,4%.
Вентркуолокраниальный индекс (ВКИ) 2 вычисляют как отношение ширины боковых желудочков на уровне головок хвостатых ядер к максимальному расстоянию между внутренними пластинками костей черепа. ВКИ2 для пациентов моложе 36 лет равен 16%; от 36 до 45 лет — 17%; от 46 до 55 лет — 18%; от 56 до 65 лет — 19%; от 66 до 75 лет — 20%; старше 76 лет — 21%.
Вентркуолокраниальный индекс (ВКИ) З определяется как отношение максимальной ширины III желудочка к наибольшему расстоянию между внутренними пластинками костей черепа. Предел нормы для ВКИЗ у людей моложе 30 лет составляет 2,7%; от 31 до 40 лет - 2,9%; от 41 до 60 лет - 3,3%; от 61 до 70 лет — 3,9%; старше 70 лет — 4,3%. ВКИ4 получают путем расчета отношения ширины IV желудочка к максимальному диаметру задней черепной ямки, а ВКИ тел — как отношение расстояния наиболее удаленных точек тел боковых желудочков к максимальному расстоянию между внутренними пластинками костей черепа. ВКИ4 является наиболее постоянным для всех возрастных групп, его верхняя граница нормы составляет 13%.

2. Появление перивентрикулярного снижения плотности мозгового вещества — перивентрикулярного лейкоареоза (ПЛ). В распространенности ПЛ выделяют 3 стадии. На первой стадии, соответствующей появлению первых симптомов заболевания, очаги ПЛ локализуются только вокруг верхушек передних рогов боковых желудочков наподобие «кисточек на ушах рыси». Во вторую стадию очаги ПЛ располагаются вокруг передних, задних и нижних рогов боковых желудочков.
И наконец, на более поздней, третьей стадии, которая соответствует далеко зашедшим случаям дизрезорбтивной гидроцефалии, обширные очаги ПЛ прилегают ко всем участкам желудочковой системы (передние рога, тела, задние и нижние рога боковых желудочков, перивентрикулярная область III и IV желудочков).
3. Сужение и отсутствие визуализации субарахноидальных щелей головного мозга.
Дополнительными методами диагностики хронической дизрезорбтивной гидроцефалии являются:
1. МРТ головного мозга. Помимо расширенных желудочков с пери-вентрикулярным лейкоареозом, при МРТ определяются еще два признака, патогномоничных для хронической ГЦФ: сужение парагиппокампальных щелей без признаков атрофии гиппокампа и истончение валика мозолистого тела.
2. Фазоконтрастная МРТ головного мозга. Проведение фазоконтрастной МРТ позволяет выявить так называемый неэффективный ток ЦСЖ по водопроводу мозга, состоящий в снижении MP-сигнала в области сильвиева водопровода, который коррелирует с пульсацией волн ЦСЖ. Доказана корреляция между снижением «знака неэффективного тока ЦСЖ по водопроводу мозга» и послеоперационным исходом. Улучшения после имплантации шунта у таких больных достигают в 88% случаев.
3. Оценка результатов tap-теста. Для прогнозирования исхода заболевания после ликворошунтирующей операции широко применяют tap-тест (tap — от англ. «водопроводный кран, бочонок»), при котором после одной или нескольких поясничных пункций с выведением не менее 40 мл ЦСЖ оценивают степень регресса клинических проявлений водянки. Положительный результат теста позволяет с большой долей вероятности прогнозировать выздоровление больного после имплантации шунта. Однако отрицательный тест не исключает улучшения после операции.
Модификацией процедуры является установка наружного поясничного дренажа с пассивным выведением ЦСЖ в течение 10 дней в закрытую систему при отрицательном результате стандартного tap-теста. Считается, что при данном варианте теста его чувствительность и специфичность достигают 95-100%. Однако применение наружного поясничного дренирования ограничивается риском инфицирования и развития вторичного менингита. Следует отметить, что давление ЦСЖ при развитии дизрезорбтивной гидроцефалии не выходит за пределы нормы (выше 200 мм вод. ст.), а у ряда больных может оставаться пониженным в течение всего периода заболевания.
Гидроцефалия
Категории МКБ: Гидроцефалия неуточненная (G91.9), Гидроцефалия нормального давления (G91.2), Другие виды гидроцефалии (G91.8), Обструктивная гидроцефалия (G91.1), Посттравматическая гидроцефалия неуточненная (G91.3), Сообщающаяся гидроцефалия (G91.0)
Общая информация
Краткое описание
Гидроцефалия – расширение желудочков головного мозга и увеличение субарахноидального пространства в результате повышения давления СМЖ, сопровождающееся различными признаками и симптомами.[4]
TORCH – аббревиатура для обозначения внтуриутробныйх инфекций (токсоплазмоз, краснуха, цитомегаловирусная и герпесвирусная инфекция)
Пользователи протокола: педиатр, детский невропатолог, врач общей практики, врачи скорой и неотложной медицинской помощи, фельдшеры.
Оценка на степень доказательности приводимых рекомендаций.
Шкала уровня доказательности:
Когортное или исследование случай-контроль или контролируемое исследование без рандомизации с невысоким риском систематической ошибки (+).
Результаты, которых могут быть распространены на соответствующую популяцию или РКИ с очень низким или невысоким риском систематической ошибки (++ или +), результаты которых не могут быть непосредственно распространены на соответствующую популяцию.

- врожденные: перинатальные внутричерепные геморрагии, опухоли головного мозга, воспалительные процессы, черепно-мозговая травма, цереброваскулярная патология;
- приобретенная: инфекционная, постгеморрагическая, при объемных внутричерепных процессах, в результате гиперпродукции ликвора - плексус-папилломы, плексус-карциномы, менингиомы плексуса.
Диагностика
II. МЕТОДЫ, ПОДХОДЫ И ПРОЦЕДУРЫ ДИАГНОСТИКИ И ЛЕЧЕНИЯ
- ИФА крови на инфекции (токсоплазмоз, краснуха, хламидии, герпес, цитомегаловирус, уреаплазма, микоплазма).
Минимальный перечень обследования, который необходимо провести при направлении на плановую госпитализацию: согласно внутреннему регламенту стационара с учетом действующего приказа уполномоченного органа в области здравоохранения.
- анализ ИФА крови на инфекции (токсоплазмоз, краснуха, хламидии, герпес, цитомегаловирус, уреаплазма, микоплазма)
- анализ ПЦР крови, слюны на инфекции (токсоплазмоз, краснуха, хламидии, герпес, цитомегаловирус, уреаплазма, микоплазма, на вирусы Эпштейн-Барр);
- физикальное исследование-измерение окружности головы, оценка состояния большого родничка, оценка сознания ребенка.
- снижение памяти, внимания.
- ежемесячный прирост окружности головы в первом полугодии более чем на 1 см (но не более 3 см) у доношенных, и более 2 см (но не более 4 см) у недоношенных;
- вегетативная дисфункция – брадикардия, краниальная гипертермия, гиперсаливация.
- общий анализ крови: повышение СОЭ и лейкоцитоз при воспалительных осложнениях гидроцефалии, вентрикулитах;
- биохимический анализ крови: при декомпенсированной гидроцефалии происходит сдвиг всех показателей обмена веществ - глюкозы, калия, натрия, калия, хлора;
Анализ ИФА крови на инфекции подтверждает один из инфекций – токсоплазмоз, краснуха, хламидии, герпес, цитомегаловирус, уреаплазма, микоплазма;
- анализ ПЦР: крови, слюны на инфекции подтверждает один из инфекций - токсоплазмоз, краснуха, хламидии, герпес, цитомегаловирус, уреаплазма, микоплазма, на вирусы Эпштейн-Барр
Инструментальные исследования [11,12,13]:
- расширение периневрального субарахноидального пространства, вертикальная извитость орбитальной части зрительного нерва
- консультация нейрохирурга – с целью проведения дифференциальной диагностики, при неэффективности консервативной терапии решение вопроса о возможном хирургическом вмешательстве;
- консультация офтальмолога – с целью диагностики и коррекции патологии зрения и профилактики осложнений, для проведения дифференциальной диагностики;
- консультация психолога – с целью диагностики, коррекции и профилактики психопатологических состояний;
- консультация физиотерапевта – с целью определения показаний/противопоказаний, вида и объема физиотерапии, включая ЛФК, ИРТ.
Дифференциальный диагноз
Лечение
- диета с ограничением соли и жидкости.
Диуретики – с целью снижения внутричерепного и внутриглазного давления.
- фуросемид 1-2 мг/кг/сут, 1-2 раза в день в/м, курс 3 дня.
- калия и магния аспарагинат (аспаркам 0,35, панангин 0,3) в таблетках, 300 – 600 мг/сут, 2 раза в день, в комплексе с ацетозаламидом;
Витаминотерапия - с целью нормализации функционирования клеток, обмена веществ, улучшения регуляции передачи нервных импульсов и мышечного тонуса:
- цианокобаламин, раствор в ампулах по 200 и 500 мкг, 100-500 мкг/сут, 1 раз в день в/м, курс 10 дней.
Нейропротективная терапия – с целью улучшения высших функций головного мозга, устойчивости при стрессовых ситуациях:
- гопантеновая кислота по 250-500-750 мг/сут, 2 раза в день, курс не менее 2 месяцев;
- амино-фенилмасляной кислоты гидрохлорид 250-750 мг/сут, 100-300 мг/сут, 2-3 раза в день, курс 21 день.
- магния сульфат 250 мг/мл, 25-50 мг/кг/сут, 1-2 раза в сутки в/м, в/в, курс 3-5 дней
- магния лактата дигидрат + пиридоксина гидрохлорид 3 раза в день, курс 21 день.
Нейропротективная терапия - с целью улучшения высших функций головного мозга, устойчивости при стрессовых ситуациях:
- гопантеновая кислота 250-500-750 мг/сут, 2 раза в день, курс не менее 2 месяц;
- амино-фенилмасляной кислоты гидрохлорид 250-750 мг/сут, 100-300 мг/сут, 2-3 раза в день, курс 21 день;
Гормональная терапия с целью снижения внутриклеточного отека преднизолон 0,5 – 2 мг\кг\сутки (80%);
- седативная, противосудорожная терапия – в/м диазепам в разовой дозе 0,5 мг/кг массы, но не более 10 мг.
- оксигенотерапия увлажненным кислородом.
Другие виды лечения, оказываемые на этапе скорой неотложной помощи: нет.
Препараты (действующие вещества), применяющиеся при лечении
| Аминофенилмасляная кислота (Aminophenylbutyric acid) |
| Ацетазоламид (Acetazolamide) |
| Винпоцетин (Vinpocetine) |
| Гинкго Билоба (Ginkgo Biloba) |
| Глицин (Glycine) |
| Гопантеновая кислота (Hopantenic acid) |
| Диазепам (Diazepam) |
| Калия, магния аспарагинат (Potassium, magnesium aspartate) |
| Магния лактат (Magnesium lactate) |
| Магния сульфат (Magnesium sulfate) |
| Пиридоксин (Pyridoxine) |
| Преднизолон (Prednisolone) |
| Тиамин (Thiamin) |
| Фуросемид (Furosemide) |
| Цианокобаламин (Cyanocobalamin) |
Госпитализация
- выраженная общемозговая и очаговая симптоматика: нарушение сознания, судороги, рвота, монотонный крик, вынужденное положение головы, выраженная головная боль, выбухание родничка, нарушение дыхания, глотания, сосания.
- симптомы внутричерепной гипертензии на глазном дне-застойный диск, субатрофия диска зрительного нерва
Информация
Источники и литература
Информация
1) Текебаева Латина Айжановна – кандидат медицинских наук АО «Национальный научный центр материнства и детства» заведующая отделением неврологии.
2) Кенжегулова Раушан Базаргалиевна – кандидат медицинских наук АО «Национальный научный центр материнства и детства» врач детский невропатолог высшей квалификационной категории.
3) Мырзалиева Бахыткуль Джусупжановна – АО «Казахский медицинский университет непрерывного образования» ассистент кафедры детской неврологии с курсом медицинской генетики, детский невропатолог первой квалификационной категории.
Рецензенты:
Джаксыбаева Алтыншаш Хайруллаевна – доктор медицинских наук АО «Национальный научный центр материнства и детства», директор по стратегическому развитию, главный внештатный детский невропатолог МЗСР РК
Условия пересмотра протокола: пересмотр протокола через 3 года после его опубликования и с даты его вступления в действие или при наличии новых методов с уровнем доказательности.
Читайте также:
