Стеноз наружного слухового прохода и его лечение
Добавил пользователь Владимир З. Обновлено: 28.11.2025
Кафедра болезней уха, горла и носа Первого МГМУ им. И.М. Сеченова Минздравсоцразвития России, Москва
ЛОР-клиника Московского областного научно-исследовательского клинического института им. М.Ф. Владимирского, Москва
Кафедра болезней уха, горла и носа Первого МГМУ им. И.М. Сеченова Минздрава России, Москва, Россия, 119991
Холестеатома наружного слухового прохода
Журнал: Вестник оториноларингологии. 2017;82(1): 62‑64
Представлен краткий обзор литературы, а также собственное клиническое наблюдение холестеатомы наружного слухового прохода. На примере клинического наблюдения обоснована необходимость своевременной диагностики и хирургического лечения, сочетающего одномоментную санацию и реконструкцию в необходимом объеме.
Холестеатома наружного слухового прохода (ХНСП) — редко встречающаяся патология, составляет 0,3% всех холестеатом височной кости [1]. По данным литературы, распространенность ХНСП составляет примерно 1,2 на 1000 новых пациентов с заболеваниями уха в год [2].
Первое упоминание о ХНСП принадлежит J. Tiynbee [3]. J. Piepergerdes [4] впервые определил инвазивность процесса как основное отличие ХНСП от обтурации эпидермальными массами.
По классификации, предложенной M. Tos [5], выделяют первичную (идиопатическую) ХНСП, вторичную холестеатому и холестеатому, ассоциированную с врожденной атрезией наружного слухового прохода [5].
Наиболее часто встречается спонтанная ХНСП, причиной развития которой является снижение с возрастом (средний возраст наблюдаемых пациентов составил 43 года) нормальной миграционной способности эпидермиса наружного слухового прохода [6]. Кроме этого, ее образование связывают с нарушением клеточной пролиферации в условиях избыточного накопления слущенного эпидермиса [7].
Механизм развития вторичной ХНСП заключается в следующем. После хирургических вмешательств на среднем ухе происходит прорастание эпидермиса наружного слухового прохода под неотимпанальный лоскут, причем возникновение ХНСП происходит в среднем спустя 7 лет после тимпанопластики [8]. Возникновение посттравматической ХНСП также связано с прорастанием эпидермиса по линии травмы и чаще осложняется наличием травматического сужения наружного слухового прохода. В литературе встречаются единичные описания ХНСП после лучевой терапии — в этом случае механизм ее возникновения заключается в усиленной гиперплазии эпителия и параллельном развитии атрофических процессов в костной ткани, в том числе некроза [9].
R. Naim [10] предложил классифицировать ХНСП в зависимости от степени распространенности патологического процесса. Им выделено четыре стадии: разрастание эпидермиса наружного слухового прохода, инвазия эпидермиса в периост, разрушение костного отдела наружного слухового прохода, разрушение прилежащих анатомических структур (клеток сосцевидного отростка).
ХНСП долгое время может протекать бессимптомно, появление симптоматики (тупая боль, выделения из уха, снижение слуха), как правило, обусловлено распространенностью процесса и/или присоединением патогенной флоры, в частности —P. aeruginosa[11].
Холестеатомы чаще локализуются на нижней стенке наружного слухового прохода, однако статистически значимых данных в отношении их расположения не приводится [10].
Основным методом диагностики ХНСП является МСКТ височных костей. Наличие мягкотканного компонента (матрикс холестеатомы) в наружном слуховом проходе с возможными костными включениями (секвестрами), участки разрушения костной стенки — типичная картина ХНСП.
Известно, что единственный метод лечения холестеатомного поражения уха — хирургический. Приводим клиническое наблюдение ХНСП.
Пациент Б., 61 года, обратился с жалобами на постоянное гноетечение из правого уха, снижение слуха на это ухо. Из анамнеза известно, что с детства отмечались частые обострения правостороннего наружного отита, по поводу чего проводились неоднократные курсы консервативного лечения. При отомикроскопии: правый наружный слуховой проход обтурирован объемным округлым образованием, исходящим из задней стенки, которое стало обозримо только после удаления эпидермально-серных масс. Бактериологическое исследование отделяемого из правого наружного слухового прохода: S. aureus 1·10 5 , E. coli 1·10 3 . При аудиологическом исследовании выявлена правосторонняя смешанная тугоухость. По заключению МСКТ височных костей: патологический субстрат в слуховом проходе и образовавшейся в сосцевидном отростке полости, дефект задней стенки наружного слухового прохода (рис. 1).

Рис. 1. Больной М. МСКТ височных костей. Патологический субстрат заполняет наружный слуховой проход и через дефект задней стенки (стрелка) распространяется в сосцевидный отросток.
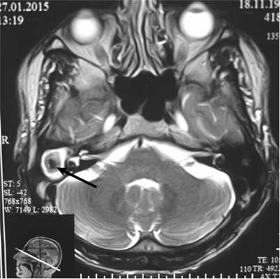
По данным МРТ головного мозга, в проекции пирамиды височной кости справа определяется окруженное капсулой объемное образование неоднородного сигнала с гипоинтенсивным центром размером до 21×21×20 мм (рис. 2).

Рис. 2. Больной М. МРТ головного мозга. Визуализируется мягкотканное новообразование в проекции пирамиды височной кости справа, неоднородное по структуре, с плотной капсулой и гипоинтенсивным центром (стрелка).
Гистологическое исследование образования подтвердило холестеатомную природу процесса: в препаратах — картина холестеатомы, определяется фрагмент грануляционной ткани с образованием единичных гигантских многоядерных клеток типа инородных тел. Больному была выполнена правосторонняя антромастоидотомия с ревизией барабанной полости. В ходе операции была выявлена деструкция задней стенки слухового прохода, сосцевидный отросток представлял собой единую полость, заполненную мягкотканным содержимым, которое было отсепаровано от костных стенок и удалено (по данным гистологического исследования — холестеатома), барабанная полость — интактна. Выполнена реконструкция полости в объеме мастоидопластики с восстановлением задней стенки слухового прохода аутохрящом. Ближайший клинико-анатомический результат (состояние реконструированного слухового прохода) оценивался после удаления тампонов из уха на 21-й день после операции. При отомикроскопии: слуховой проход широкий, визуализируется барабанная перепонка, меатальный лоскут состоятельный, признаки его воспаления отсутствуют. По данным аудиологического исследования — полное сокращение костно-воздушного разрыва. Через год результаты прежние, при проведении МРТ в режиме диффузно-взвешенного изображения данных за холестеатому не получено.
Особенностью данного наблюдения является то, что ХНСП длительное время протекала под маской наружного отита, сопровождаясь обширным дефектом задней стенки наружного слухового прохода без вовлечения в процесс структур среднего уха. Таким образом, ХНСП требует ранней диагностики, а своевременное хирургическое лечение с одноэтапной пластикой наружного слухового прохода является высокоэффективным.
Конфликт интересов: авторы статьи подтвердили отсутствие финансовой поддержки/конфликта интересов, о которых необходимо сообщить.
Стеноз наружного слухового прохода и его лечение
Диагностика и лечение стеноза наружного слухового прохода. Операция Швартце, Руттина
Распознать сужение и заращение нетрудно. При отоскопии лишь в редких случаях перепончатые сужения можно смешать с перфорированной барабанной перепонкой, а перепончатые заращения — с рубцово измененной барабанной перепонкой. В таких случаях отличить стенозирующую ткань заращения и сужения прохода от барабанной перепонки можно по расстоянию их от отверстия, а также по отсутствию опознавательных пунктов (рукоятка, короткий отросток) и соответствующих соотношений расстояний между перепонкой и стенками слухового прохода (сравнение с другой стороной).
Распознавание характера заращения гораздо труднее. Посредством зонда иногда удается установить костный или фиброзный характер их. Однако фиброзные заращения бывают иногда настолько плотными, что получается ощущение твердой кости; когда же фиброзная ткань заращения переходит в костную, получается подчас впечатление фиброзного заращения. Поэтому нередко вопрос о характере заращения или о протяжении его приходится решать по данным рентгенографии или при операции.
Лечение. Лечение приобретенных сужений и заращений преследует цель устранить расстройства слуха и ликвидировать другие субъективные ощущения либо, при угрозе внутричерепных осложнений, открыть свободный выход гною.
Односторонние и двусторонние сужения при отсутствии гноетечения не требуют вмешательства, так как они не причиняют заметных расстройств.
Различные консервативные методы лечения, преследующие цель дилятации сужений посредством палочек ламинария, кусков прессованной губки, каучуковых капсул, гальванокаустики и электролиза, диафрагматических перепонок, требовали очень большого времени и редко приводили к положительным результатам. Поэтому при сужениях и заращениях, если на то имеются соответствующие показания, необходимо приступить к оперативному вмешательству.

Существуют различные способы операции, из которых наиболее радикально устраняющими атрезию являются способы Шварте (Schwartze). Ругпгаа (Rultin), Неймана (Neumann), Б. С. Преображенского, К. Л. Хилова, С. А. Проскурякова, Н. Н. Лозанова и др.
1. Способ Швартце. Позади ушной раковины проводят дугообразный разрез и отсепаровывают мембранозный слуховой проход. Долотом сдалбливают тонкими стружками заднюю и отчасти верхнюю стенку наружного слухового прохода до тех пор, пока просвет не расширится и не предоставит возможность отсепаровать мембранозный слуховой проход вплоть до барабанной перепонки.
Затем по ним проводят два продольных параллельных друг другу разреза, как при пластике по Кернеру, лоскут приподнимают, суженное или заращенное место иссекают, а лоскут придавливают тампоном к задней стенке раны; позадиушную рану зашивают и в дальнейшем тампоны вкладывают через наружный слуховой проход.
2. Способ Руттина. Позади ушной раковины и на 1,5—2 см ниже от нее разрезают кожу и к краям раны пришивают разрезанную по длине дренажную трубку, имеющую длину и ширину наружного слухового прохода здоровой стороны.
Затем кожу отсепаровывают вплоть до уровня отверстия слухового прохода, где оставляют ножку. В это время резина снова свертывается в трубку вместе с кожей. Далее отсепаровывают раковину и слуховой проход; последний разрезают и рубцовую ткань вырезают, а в образовавшийся канал вводят резиновую или кожную трубку и фиксируют к раковине швами. Ретроаурикулярную рану и кожный дефект, лежащий под ухом, зашивают и через 7—8 дней удаляют трубку, а ножку перерезают через 8—14 дней.
Информация на сайте подлежит консультации лечащим врачом и не заменяет очной консультации с ним.
См. подробнее в пользовательском соглашении.
Принятые сокращения:
СЗСТ — синдром зияющей слуховой трубы
СТ — слуховая труба
KTP-лазер — калий-титанил-фосфатный лазер
MTVP — m. tensorvelipalatini; мышца, натягивающая небную занавеску
MPM — m. pterygoideusmedialis, медиальная крыловидная мышца
Лечебные мероприятия при синдроме зияющей слуховой трубы (СЗСТ) преимущественно направлены на уменьшение просвета слуховой трубы (СТ), в том числе в области ее глоточного устья, что приводит к устранению или смягчению симптомов расстройства. В зависимости от выраженности и обременительности последних, продолжительности заболевания, степени морфологических нарушений, идентифицированных во время проведения диагностических процедур, применяются различные виды консервативного, полухирургического и хирургического лечения. Следует, однако, помнить, что в ряде случаев СЗСТ может носить транзиторный характер, в связи с чем не исключена вероятность спонтанного выздоровления [1]. Кроме того, всегда существует опасность возникновения обратной ситуации с развитием полной окклюзии СТ и последующих осложнений (в частности, экссудативного среднего отита), а также формирования необратимых нарушений. В связи с этим подход к лечению СЗСТ должен быть максимально консервативным и взвешенным, основанным на динамическом наблюдении и предполагающим использование тактики «шаг за шагом».
При легких или преходящих (в частности, при беременности) симптомах СЗСТ проводится консервативное лечение. В первую очередь рекомендуется изменить питьевой режим, увеличив потребление жидкости, избегать, по мере возможности, приема мочегонных средств и использования деконгестантов и стероидов, в том числе топических. В ряде случаев для купирования психоневрологических расстройств и при симптомах стресса назначаются седативные препараты или транквилизаторы [2—4]. Проводится лечение аллергических состояний (посредством интраназального применения антихолинергических средств — ипратропия бромида), по показаниям — антирефлюксная терапия [5, 6].
Коррекция дефицита массы тела в рамках лечения СЗСТ многими авторами оценивается критически [5—7]. Существует мнение, что результатом резкого похудания является дегенеративно-дистрофическая трансформация жировой и соединительной ткани, в том числе в паратубарном пространстве. Процесс этот с большой долей вероятности имеет необратимый характер, что препятствует восстановлению объема жировых тел Остмана после возврата к исходной массе тела [5]. Тем не менее некоторые исследователи отмечают достоверное уменьшение «ушных» симптомов по мере нормализации массы тела, в частности при лечении нервной анорексии [8].
При подтвержденной гормональной природе СЗСТ решается вопрос об отмене оральных контрацептивов. Положительный эффект может оказывать интраназальное введение растворов, содержащих конъюгированные эстрогены (премарин), вызывающих преходящую гипертрофию слизистой оболочки СТ [5, 6, 9, 10].
В качестве терапии выбора при топическом лечении СЗСТ T. Oshima и соавт. [1] рассматривают регулярные интраназальные инсталляции изотонического раствора хлорида натрия с целью увлажнения слизистой оболочки носоглотки и временной окклюзии просвета СТ, при которых исчезновение или смягчение симптомов обнаруживалось у 63,5% пациентов. Авторы отмечают, что метод в большей степени эффективен при лечении мужчин по сравнению с женщинами, а также длительности заболевания до 6 мес. Кроме этого, применение физиологического раствора оказалось полезным при купировании привычного «шмыганья» носом как в качестве монотерапии, так и при сочетании с хирургическими методами лечения СЗСТ [11].
Лечение дистрофических состояний слизистой оболочки СТ, помимо использования физиологического раствора, предполагает назначение внутрь витаминов, а также насыщенного раствора йодистого калия (по 10 капель раствора, разведенного в стакане сока, 3 раза в день). Последний метод особенно действен при сочетании его с топическими эстрогенами [9]. Временный положительный эффект оказывают механическое воздействие, а также нанесение раздражающих средств на слизистую оболочку С.Т. Он обусловлен развитием отека и увеличением выработки слизи вследствие реактивного воспаления, что способствует сужению просвета СТ. С этой целью применяют массаж глоточного устья и бужирование трубы; трансназальное введение растворов, содержащих соляную или борную кислоту, хлорбутанол, бензиловый спирт; инсуффляцию в просвет СТ порошкообразных борной, трихлорацетиловой, натриевой, салициловой кислот [5—7, 9, 12, 13].
Предложены различные варианты лечебной гимнастики (кинезитерапия, «динамическая стабилизация»), основанные на тезисе о тесной морфофункциональной взаимосвязи мышцы, натягивающей небную занавеску (m. tensorvelipalatini, MTVP), и медиальной крыловидной мышцы (m. pterygoideusmedialis, MPM). Дисфункция MPM, оказывая влияние на сократительную деятельность MTVP, может способствовать уменьшению величины давления, необходимого для открытия СТ, что в свою очередь рассматривается как одна из причин развития СЗСТ. Комплексы кинезитерапии направлены на коррекцию состояния мышц челюстно-лицевой области, полости рта, мягкого неба и шеи в зависимости от их гипо- или гиперфункции; терапия проводится в тесном взаимодействии со специалистами — стоматологами [5].
При неэффективности консервативного лечения, а также высоком уровне дискомфорта прибегают к полухирургическим и хирургическим вмешательствам.
Полухирургические способы лечения СЗСТ включают в себя в первую очередь инъекционные методики, целью которых является увеличение объема мягких тканей в области глоточного устья СТ и/или стенозирование последнего, что обеспечивается при помощи подслизистого введения различных веществ. Эффект вмешательства обусловлен не столько количеством вводимого наполнителя (который прежде всего должен обладать высокой биосовместимостью), сколько степенью его стабильности в тканях реципиента [5]. Для этого применяются как аутологичные материалы, такие как измельченный хрящ [14, 15], жировая ткань, которая вводится инъекционно [16] или в процессе каутеризации в окружности глоточного устья СТ [17], коллаген [5], так и синтетические вещества. Впервые подобную процедуру выполнил F. Zӧllner [18], используя для этого парафин. Историческое значение имеет опыт применения политетрафторэтилена (тефлона), от которого в настоящее время отказались из-за возможных осложнений (риск образования парафарингеальных гранулем и проникновения препарата во внутреннюю сонную артерию) [19]. Представлены данные об использовании в качестве бионаполнителя желатиновой губки, силикона и его полимеров (полидиметилсилоксан), гидроксилапатита кальция [3, 20—23]. Описан способ наружного чрескожного доступа при инъекции силиконовой массы в боковую стенку СТ, который был осуществлен под контролем компьютерной томографии [24]. Для восстановления нормальной степени гидратации и эластичности тканей применяются инъекции гиалуроновой кислоты в области передней и задней стенок СТ [25]. Инъекционные методики, выполняемые под эндоскопическим контролем, отличаются простотой и малой инвазивностью, что обусловило их применение и в детском возрасте [20]. Однако, по мнению M. Dean и T. Lian [26], транзиторный эффект инъекционной терапии, особенно при использовании синтетических материалов, а также вероятность миграции последних в тканях реципиента существенным образом ограничивают применение метода.
В литературе [27] имеются сведения об инъекционном использовании ботулотоксина, А в области m. salpingopharyngeus у пациентки с верифицированным СЗСТ, который, по мнению авторов, был вероятным следствием патологической активности паратубарных мышц. Последующий паралич последних привел к разрешению симптомов СЗСТ и нормализации данных акустической импедансометрии.
К полухирургическим методам лечения также относится каутеризация мягких и хрящевых тканей в области глоточного устья СТ, что провоцирует развитие реактивного воспаления, приводя к рубцеванию и частичной окклюзии просвета С.Т. Прижигание может быть выполнено с использованием химических агентов (аппликации нитрата серебра или фенола) [9, 13], диатермкоагулятора [17, 28] или лазерного излучения [25].
Хирургические методы лечения СЗСТ подразделяют на несколько групп в зависимости от доступа (трансфарингеальный, транстимпанальный или направленный на коррекцию паратубарной мускулатуры), а также цели, которую преследует вмешательство (частичная окклюзия СТ, манипуляции с барабанной перепонкой).
Для сужения просвета СТ посредством транстимпанального доступа применяются катетеры для внутривенных инфузий, заполненные костным воском (лекарственный препарат, использующийся в хирургии для остановки кровотечений из костных тканей) [9], а также силиконовые обтураторы, которые вводятся через разрез в барабанной перепонке в тимпанальное устье трубы вплоть до контакта с ее перешейком. Вмешательство, как правило, сопровождается введением вентиляционной трубки в барабанную перепонку. Изолированное применение метода позволяет разрешить патологическую симптоматику СЗСТ у более чем 60% прооперированных больных [29], также отмечена его эффективность при совмещении с носоглоточными инсталляциями физиологического раствора [11].
Уменьшение просвета СТ трансфарингеальным доступом может быть достигнуто посредством введения в хрящевой отдел трубы эластичной прокладки в качестве протеза (с этой целью также могут быть использованы полипропиленовые внутривенные катетеры различного диаметра, в том числе заполненные костным воском), что способствует частичному смыканию стенок СТ, восстанавливая функцию трубного клапана [6, 26, 30]. Этот способ коррекции зияющей СТ, по мнению некоторых авторов, может быть методом выбора, поскольку обладает хорошей переносимостью, малой инвазивностью и отсутствием необратимых эффектов [26].
Стенозирование СТ может быть осуществлено также благодаря вмешательствам собственно на структурах С.Т. Так, C. Yaňez и соавт. [31] предложили использовать калий-титанил-фосфатный лазер (KTP-лазер) для воздействия на медиальную и латеральную пластинку трубного хряща с целью изменения формы и уменьшения жесткости трубного валика с инверсией последнего в просвет СТ, что частично восстановило трубный клапан у 72,7% и способствовало исчезновению симптомов СЗСТ у 81,8% прооперированных. Известен хирургический способ устранения дефекта трубного клапана в области переднебоковой стенки СТ, который осуществляется путем введения в образованный в результате отсепаровки слизистой оболочки «карман» аутологичного хряща или импланта Allo Derm [7]. Описана методика, приводящая к увеличению объема тканей в области глоточного устья трубы, которая заключается в помещении аутологичного хряща, забранного из носовой перегородки, в пространство между MTVP и С.Т. Хирургическое вмешательство осуществляется под строгим эндоскопическим контролем с применением навигационной системы [5]. С целью окклюзии СТ применяется эндоскопическое лигирование ее устья — как в качестве самостоятельной процедуры, так и в сочетании с другими воздействиями (каутеризация с введением аутологичного жирового трансплантата) [30, 32].
Устранению или смягчению симптомов СЗСТ могут способствовать хирургические вмешательства на структурах среднего уха. К их числу в первую очередь относятся миринготомия и шунтирование барабанной полости, которые, как отмечалось ранее, могут быть действенными благодаря относительному увеличению объема туботимпанальной системы [11, 33]. Однако в связи с относительно низкой (50%) эффективностью шунтирования, паллиативным характером и вероятностью осложнений (образование стойких перфораций, инфицирование среднего уха) изолированно этот метод применяется достаточно редко, а используется, как правило, в комплексе с другими вмешательствами в качестве профилактики возможных осложнений, в частности развития экссудативного среднего отита.
Основываясь на гипотезе о том, что субъективная симптоматика при СЗСТ развивается в большей степени не вследствие чрезмерной трансмиссии звуковой энергии через открытую СТ, а в результате патологической вибрации барабанной перепонки, были предложены методы, способствующие увеличению массы и жесткости последней (аппликации бумажных накладок, специальной клейкой массы), которые оказались достаточно эффективными в плане устранения симптомов СЗСТ, особенно в случаях, когда имело место увеличение податливости (дряблость) барабанной перепонки [34, 35]. Поскольку положительный эффект этих процедур носил кратковременный характер, в дальнейшем, учитывая полученный опыт, M. Brace и соавт. [36] разработали методы лазерной мирингопластики (с привлечением KTP лазера) и тимпанопластики с использованием аутологичного хряща.
Ввиду того, что открытие СТ, главным образом, связано с сократительной активностью MTVP, предполагается, что хирургическое воздействие на эту мышцу может способствовать уменьшению просвета трубы. С этой целью использовались медиальная транспозиция MTVP [37, 38], пересечение ее сухожилия, сочетание транспозиции/пересечения MTVP с надломом или иссечением крючковидного отростка клиновидной кости [39].
Таким образом, по ряду аспектов СЗСТ является достаточно хорошо изученным патологическим состоянием, которое, видимо, встречается гораздо чаще, чем диагностируется. Этиопатогенетические факторы, детерминирующие развитие СЗСТ, многообразны и до конца не выяснены. Не исключено, что в его формировании в каждом конкретном случае могут участвовать не один, а несколько патофизиологических механизмов, что необходимо учитывать при выборе лечебной тактики. Несмотря на широкий спектр диагностических инструментов, использующихся при СЗСТ, до настоящего времени не сформированы четкие диагностические стандарты верификации заболевания. Все вместе обусловило тот факт, что на сегодняшний день не сформулирован общепринятый алгоритм лечебных мероприятий при СЗСТ. Это касается как консервативно-выжидательной позиции, так и, в значительной степени, использования хирургических методов коррекции расстройства, эффективность которых, по данным разных авторов, варьирует от 13 до 100%, составляя в среднем 72,4% [40]. Не разработаны общепринятые стандарты выбора способа оперативного вмешательства в зависимости от генеза, клинических проявлений СЗСТ и данных инструментальных методов диагностики, а также критерии эффективности хирургического лечения, основанные как на субъективной удовлетворенности пациентов его результатами, так и данных объективного обследования [40]. Кроме этого, следует помнить, что заболевание может самопроизвольно разрешаться с течением времени как при использовании минимального объема лечебных мероприятий, так и в их отсутствие, что предполагает необходимость тщательного динамического наблюдения и чрезвычайно осторожного подхода к выбору способа лечения.
Иллюстрируя последний тезис, приводим 4 клинических случая СЗСТ из практики лаборатории слуха и речи НИЦ Первого Санкт-Петербургского государственного медицинского университета им. акад. И.П. Павлова. В течение 2015—2016 гг. под динамическим наблюдением находились 4 женщины молодого возраста, обратившиеся с жалобами на постоянные или периодически возникающие заложенность и дискомфорт в ушах, «чувство эха», аутофонию, громкое прослушивание собственного носового дыхания, которые купировались только при наклонах вниз и в положении «лежа на спине». Некоторое облегчение патологической симптоматики у одной из пациенток отмечалось на фоне приема антидепрессанта ленуксина. Длительность заболевания составляла от 6 мес до 10 лет. Возникновение указанных жалоб все пациентки связывали со значительной потерей массы тела, беременностью, а также наличием детей раннего возраста (возможность развития стрессовых ситуаций). При этом уменьшение ушной симптоматики отмечалось лишь в периоды снижения тревожности. В двух случаях развитию симптомов предшествовал острый средний отит. Все пациентки имели склонность к гипотонии и инструментально подтвержденные признаки нарушения венозного оттока из полости черепа, а у двух из них был отягощенный аллергологический анамнез. Представляется важным, что с точки зрения характерологии все наблюдаемые демонстрировали истеролабильный тип личности, что, по нашему мнению, являлось фактором риска развития психосоматических расстройств (патологической аггравации). При объективном осмотре существенных отклонений от нормы, в том числе при оценке микроотоскопической картины, выявлено не было. Данные аудиологического обследования также свидетельствовали об отсутствии нарушений за исключением двух случаев: в одном было обнаружено небольшое (до 30 дБ) повышение порогов слуха на низких частотах кондуктивного характера при проведении тональной аудиометрии, в другом — отсутствие реакции на баронагрузочные пробы при выполнении акустической импедансометрии. Эндовидеоскопия носоглотки была информативна только у 2 пациенток, у которых были определены признаки зияния слуховых труб. Результаты лучевой диагностики (мультиспиральная компьютерная томография, конусно-лучевая компьютерная томография височных костей и СТ) не выявили характерных для СЗСТ патологических изменений. Несмотря на наличие активных жалоб, учитывая отсутствие выраженных морфофункциональных нарушений, всем пациенткам была назначена терапия, включающая рекомендации по коррекции массы тела и нормализации артериального давления; регулярные орошения полости носа и носоглотки физиологическим раствором; комплекс лечебной гимнастики, направленный на нормализацию функциональной активности трубных мышц; коррекционные занятия с психотерапевтом; в одном случае (по согласованию с психоневрологом) был рекомендован прием антидепрессантов. Разрешение или уменьшение патологической симптоматики было отмечено в трех случаях, и только у одной пациентки возникла необходимость проведения полухирургического вмешательства — подслизистых инъекций гиалуроновой кислоты в области глоточного устья СТ.
Подводя итог анализу данных литературы и собственных клинических наблюдений, можно сделать вывод о том, что синдром зияния слуховой трубы, выделенный как нозологическая единица более полутора столетий назад, несмотря на достижения современной медицинской науки и техники до сих пор представляет проблему, весьма далекую от разрешения. В связи с этим не вызывает сомнений актуальность дальнейших исследований как фундаментального, так и прикладного характера с целью разработки эффективных способов диагностики, лечения и, возможно, профилактики данного расстройства.
Приобретенный стеноз и атрезия наружного слухового прохода (НСП), также известные как фиброз среднего отдела канала, относятся к состоянию, характеризующемуся рубцовыми изменениями фиброзной ткани латеральнее барабанной перепонки. Определенное клиническое состояние необходимо дифференцировать от врожденной ушной атрезии, приобретенных стенозов обычно возникающих в результате хронической инфекции и воспаления, а также возможных осложнений после предшествующей хирургии уха или травмы наружного слухового прохода (НСП).
При усугублении стеноза наступает ухудшение кондуктивной тугоухости. Осмотр выявляет отек и гипертрофию кожи стенок прохода. После формирования фиброзной ткани наружного слухового прохода (НСП) превращается в выстланный кожей карман. Латеральная сторона барабанной перепонки часто вовлекается в рубцовые ткани, перекрывая все возможные промежутки.
Лучшим лечением приобретенного стеноза наружного слухового прохода (НСП) является профилактика. Хронический наружный отит относится к длительным воспалительным процессам наружного слухового прохода (НСП). Этиология остается неизвестной, но это представляется самой частой причиной срединного фиброза слухового прохода.
Двустороннее в 50% случаев и встречающееся в два раза чаще у женщин, чем у мужчин, это состояние, вероятно, связано с сочетанием инфекции, аллергии и дерматозов. Варианты лечения хронического наружного отита проанализированы недостаточно, но лечение является в основном медикаментозным до окончания медиального фиброзирования канала.
Терапия топическими кортикостероидами и антибактериальными препаратами в сочетании с периодическим нетравматическим уходом может предотвратить необходимость хирургического вмешательства. Каутеризация грануляционной ткани может помочь осушению и прекращению воспалительного процесса.
Хирургическая техника для восстановления при приобретенном стенозе наружного слухового прохода (НСП)
Предоперационное планирование: хирургическое лечение приобретенных стенозов является показанием для коррекции кондуктивной тугоухости (слуховой аппарат, как правило, усугубляет основное воспаление) и для предотвращения или удаления холестеатомы при стенозах, связанных с травмой или первичном хирургическим вмешательством, когда барабанная перепонка или канал могут быть эпитализированы медиальнее стенотического фрагмента.
Обычно процедурой выбора является каналопластика с широкой миатопластикой. Это вмешательство можно выполнить эндоурально, если будет получена соответствующая экспозиция, но, как правило, требуется заушный доступ. Компьютерная томография может быть полезной для определения положения среднего уха, при расположении холестеатомы медиальнее стеноза и выявления анатомических особенностей.
Хирургические особенности: сосудистая полоска разрабатывается и изготавливается с медиальным разрезом на уровне стеноза или слепого мешка. Лоскут следует формировать максимально длинным. Целесообразнее выполнить медиальный разрез сзади после выполнения заушного разреза. Как и разрез при экзостозе, периостальный разрез может быть выполнен в виде полукруга, соответствующего костному слуховому проходу.

Хирургическое лечение приобретенного стеноза наружного прохода.
(А) Циркулярный фиброзирующий стеноз на уровне кости наружного слухового прохода.
(Б и В) Сосудистая полоска выделяется как можно медиальнее, до безопасного предела.
Лоскут поднимается и ухо смещается кпереди. Затем кожу канала спереди либо надрезают посредине и смещают как «штору» при подъеме в виде имеющего латеральное основание лоскута, либо надрезают с латеральной стороны и удаляют для замены свободным кожным трансплантатом. Рубец часто может быть отсечен от медиального слоя барабанной перепонки, если оставшуюся барабанную перепонку не иссекают. Для выполнения широкой каналопластики применяется сверло.
Для реконструкции берется трансплантат фасции височной мышцы, который используется для восстановления любой перфорации барабанной перепонки с медиальной или латеральной техникой. Спереди кожа канала очищается от повреждений и готовится к пересадке. В идеале, кожа берется дерматомом с внутренней поверхности руки или бедра. Заушной кожи может быть слишком много, но опыт авторов показывает, что полная толщина трансплантата чрезмерна и сжимается до нежелательно небольшого трансплантата, становясь меньше, чем необходимо для охвата кости. Для покрытия кости при недостатке кожи можно использовать и фасцию. Барабанная перепонка может быть покрыта диском Gelfilm. Заушный разрез закрывается и канал заполняется гелевой пеной.
Приживлению трансплантатов и сосудистой полоски во многих случаях способствуют стент или сложенные в виде бутона полоски шелка или силикона.
Уход за раной: антибактериальные капли применяются два раза в день, повязка удаляется на 4-6 неделе. Повязка может быть заменена и оставлена для поддержки канала на 10-14 дней или дольше. Грануляционная ткань тщательно контролируется и обрабатывается химическим прижиганием. Необходимо тщательное наблюдение, так как очень быстро может возникнуть повторный стеноз. Для предупреждения неудачного исхода необходимо тщательное наблюдение за послеоперационной инфекцией.
Ошибки и осложнения: вероятность рецидива весьма высока. Все вовлеченные ткани должны быть удалены, а костный канал расширен, чтобы способствовать послеоперационному рестенозированию. Важнейшее значение для успеха этой процедуры имеет повторное покрытие канала эпителием. Если кость оставляют открытой, допускается формирование грануляционной ткани с вторичным натяжением, то частота рецидива стеноза становиться неприемлемо высока.
Обычно используется расщепленный лоскут, но описывались и различные варианты лоскута на ножке и пластика толстым лоскутом. Другие риски включают сенсоневральную тугоухость, кондуктивную тугоухость, повреждение лицевого нерва и перфорации барабанной перепонки. Для снижения риска повреждения лицевого нерва может быть использован интраоперационный мониторинг лицевого нерва.
Хирургическое лечение приобретенного стеноза наружного прохода.
(Г) Выполнен заушный разрез.
(Д) Сосудистая полоска поднята к верху наружного прохода.
(Е) Во время прохождения в пространство среднего уха массив рубцовой ткани приподнимается от задней стенки слухового прохода. Хирургическое лечение приобретенного стеноза наружного прохода.
(Ж) Иссечение заднего фиброзного стеноза.
(З) Иссечение передних стенозирующих рубцовых тканей, с оставлением спереди остатков барабанной перепонки, если это вообще возможно.
Проход увеличивается сверлами до тех пор, пока сквозь кость не станут видны воздухоносные ячейки.
(И) барабанная перепонка и проход закрывается фасцией и канал наполняется мазью.
Редактор: Искандер Милевски. Дата обновления публикации: 18.3.2021
Гранулирующий наружный отит. Атрезия и стеноз наружного слухового прохода
Грануляции, появляющиеся в наружном слуховом проходе, обычно рассматриваются как результат гнойного воспаления среднего уха. Малоизвестно особое явление, заключающееся в самостоятельном росте грануляций, которые возникают в наружном слуховом проходе при неповрежденной барабанной перепонке.
Пунт (Punt, 1949) описал 13 случаев гранулирующего наружного отита, которые он наблюдал в жаркую погоду, причем жара и связь с потением ему казались этиологическим фактором.
Случаи otitis externa granulosa характеризовались исключительно сильным воспалением кожи; имелось гнойное выделение с гнилостным запахом. Грануляции развивались в любом месте в глубине канала; реже были они на барабанной перепонке. Три случая из 13 были связаны с фурункулом слухового прохода.
Пунт упоминает других авторов — Кларка (Clark. 1946) и Моффета (Moffet, 1943), которые также описали гранулирующий наружный отит. Первый наблюдал диффузный гнойный наружный отит, а второй —гранулирующий мирингит без диффузного воспаления слухового прохода.
Ежедневное очищение слухового прохода, удаление щипцами грануляций или прижигание их нитратом серебра или чистой карболовой кислотой. Затем стенки наружного слухового прохода припудривают сульфаниламидами и вставляют турунду. Заживление идет медленно. При гранулирующем наружном отите встречаются микроорганизмы, обычные для здорового уха.
Поэтому нет необходимости применять антибиотики (Мак Лаурин, 1951; Пунт, 1949).

Атрезия и стеноз наружного слухового прохода
Сужение или полное заращение наружного слухового прохода части является результатом различных травм (рваных, колотых, резаных, огнестрельных), ожогов, а также воспалительных изменений стенок наружного слухового прохода, возникших на почве хронического гнойного воспаления среднего уха, хронической экземы и других причин, ведущих к изъязвлению кожи (дифтерия, волчанка, сифилис).
Сужения могут возникнуть даже после радикальной операции уха, если пластика наружного слухового прохода была сделана технически неудовлетворительно или неправильно проводилось послеоперационное лечение.
Сужения и зарашення наружного слухового прохода могут быть Рубцовыми (соединительнотканными), костными или смешанными, состоящими из соединительной и костной ткани. Заращение иногда представлено в виде различной толщины перепонки, а иногда заполняет наружный слуховой проход.
Костные стенозы занимают обычно костную часть слухового прохода и возникают на почве переломов или вследствие хронического воспаления надкостницы или самой костной ткани. Могут встречаться хрящевые атрезии, которые возникают на почве хондральных и пернхондральных утолщений хрящевого канала.
Сужения могут иметь форму песочных часов; бывают также кольцевидными или щелевидными, едва пропускающими тонкий зонд. Иногда кольцевидные сужения занимают весь просвет, оставляя небольшое отверстие в середине.
Какие-либо субъективные ощущения при сужениях с сохраненным просветом отсутствуют, а при заращениях выражены в виде понижения слуха, что объясняется нарушением звукопроводимости. Степень поражения слуха зависит от характера и толщины заращения. Если, помимо заращения слухового прохода, имеется гнойное воспаление среднего уха, то у больного бывает иногда резкая головная боль, шум в ухе, нередко наступают нарушения равновесия, головокружение и рвота.
В таких случаях гнойный процесс вследствие отсутствия соответствующих дренажных условий может способствовать возникновению внутричерепных осложнений.
- Вернуться в оглавление раздела "Профилактика заболеваний"
Читайте также:
- Пути инфицирования позвоночника. Классификация инфекций позвоночника
- Лучевая диагностика дуральной фистулы задней черепной ямки с интраспинальным сбросом
- Проблемная кожа. Уход за проблемной кожей
- Легочные вены. Бронхиальные артерии, безымянные вены и верхняя полая вена
- Поражение черепных нервов при алкоголизме. Клиника энцефалопатии Гайе—Вернике
