Диагностика повреждений селезенки. Лечение повреждений диафрагмы.
Добавил пользователь Владимир З. Обновлено: 28.11.2025
а) Терминология:
1. Синоним:
• Разрыв селезенки
2. Определение:
• Повреждение паренхимы селезенки, возможно, в сочетании с разрывом капсулы
б) Визуализация:
1. Общая характеристика:
• Лучший диагностический критерий:
о Разрыв селезенки в виде гиподенсного участка с наличием активного кровотечения (высокой плотности)
2. Рентгенологические данные:
• Рентгенография:
о Рентгенография органов брюшной полости:
- Мягкотканное образование в верхних отделах живота слева
- Признаки наличия жидкости в брюшной полости, увеличение расстояния между боковой стенкой живота и нисходящей ободочной кишкой
- Жидкость в полости таза с наличием выбухающих «собачьих ушек»
о Рентгенография органов грудной клетки для выявления сочетанных травм:
- Ателектаз нижней доли левого легкого и (или) консолидация
- Перелом ребер слева, пневмоторакс, жидкость в грудной полости

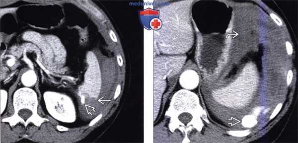
(Слева) На аксиальной КТ с контрастным усилением у женщины 39 лет, получившей множественные травмы в ДТП, в селезенке определяются многочисленные участки вытянутой и неправильной формы, не накапливающие контраст.
(Справа) На аксиальной КТ с контрастом у этой же пациентки (типичный случай разрыва селезенки) также определяются участки пониженного накопления контраста в селезенке, визуализируется небольшая гематома возле ее края.
3. КТ при повреждении селезенки:
• КТ без контрастного усиления:
о Скопление жидкости в брюшной полости плотностью больше +30 ед. Хаунсфилда или сгусток крови у края селезенки плотностью больше +45 ед. Хаунсфилда:
- Гематома возле края селезенки, в ее паренхиме либо под капсулой:
Гематома возле края селезенки: вплотную прилежит к селезенке и означает нарушение целостности или разрыв ее капсулы
Интрапаренхиматозная гематома: обычно имеет округлую, овоидную или неправильную форму
Подкапсульная гематома: из-за давления, оказываемого капсулой, принимает форму «полумесяца» и поджимает селезенку сбоку
о Симптом «сторожевого сгустка»: плотный сгусток крови, близко прилежащий к селезенке (или любому другому поврежденному участку):
- Является признаком повреждения селезенки даже при отсутствии видимого разрыва
о Периодически возобновляющееся кровотечение приводит к формированию сгустка крови, имеющего слоистую структуру
• КТ с контрастным усилением:
о Разрыв паренхимы: гиподенсный участок в паренхиме селезенки, не накапливающий контраст, имеющий неправильную вытянутую, ветвистую или лучистую форму:
- Может распространяться до капсулы селезенки, обусловливая ее разрыв
- При контрольных исследованиях разрыв должен становиться менее заметным
о Глубокий разрыв селезенки: глубокое повреждение (от капсулы до ворот селезенки)
о Инфаркт селезенки редко (менее чем в 2% случаев) возникает в условиях травмы:
- Может быть сегментарным или тотальным
- Зона инфаркта имеет низкую плотность и клиновидную форму
- Обусловлен тромбозом артериального сосуда в результате повреждения его интимы
- При инфаркте существует вероятность отсроченного разрыва селезенки или формирования абсцесса
о Для активной артериальной экстравазации характерно наличие участка высокой плотности (как в аорте), окруженного геморрагической жидкостью (или сгустками крови) меньшей плотности:
- Участок кровоизлияния может иметь вытянутую форму (струя крови, вытекающая из поврежденного сосуда) либо округлую форму (псевдоаневризма): дифференциальная диагностика осуществляется на основании изображений, полученных в отсроченную фазу:
При активной экстравазации (в отличие от псевдоаневризимы) участок кровоизлияния будет различаться по размеру и форме при изначальном и отсроченном исследовании
Отсроченная фаза обычно не включается в большинство протоколов для травмы, однако может использоваться при обнаружении подозрительного участка в портально-венозную фазу
4. УЗИ при повреждении селезенки:
• Возможен пропуск небольших разрывов, поскольку чувствительность ультразвука при выявлении паренхиматозных повреждений низкая:
о Разрыв выглядит гипо- или изоэхогенным по сравнению с паренхимой селезенки и крайне тяжело обнаруживается посредством УЗИ
• Свободная жидкость в брюшной полости с наличием низкоуровневых эхогенных включений (гемоперитонеум и сгустки крови поблизости от селезенки)
5. Ангиография:
• Разрыв паренхимы (аваскулярный участок) и экстравазация крови (аморфная зона в паренхиме селезенки)
• Уплощение наружного края селезенки, обусловленное подкапсульной гематомой
• Скопления контраста округлой формы (псевдоаневризмы)
6. Рекомендации по визуализации:
• Лучший метод диагностики:
о КТ с контрастным усилением
• Протокол исследования:
о Изображения, полученные в артериальную фазу контрастного усиления, больше подходят для обнаружения активной экстравазации либо псевдоаневризмы
о Для диагностики повреждений паренхимы (например, разрывов) большей чувствительностью обладают изображения, полученные в портально-венозную фазу
о Отсроченное сканирование необходимо для дифференциальной диагностики активной артериальной экстравазации и псевдоаневризмы

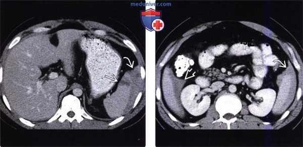
(Слева) На аксиальной КТ с контрастным усилением определяется глубокий разрыв селезенки и активная экстравазация. Обратите внимание на разрыв нижнего полюса селезенки, где обнаруживается участок высокой плотности, свидетельствующий об артериальной экстравазации.
(Справа) На аксиальной КТ с контрастом у этой же пациентки определяется большая гематома около селезенки, а также признаки интенсивной артериальной экстравазации.
в) Дифференциальная диагностика повреждения селезенки:
1. Дольчатая селезенка:
• Вариант нормы, при котором селезенка разделена на несколько долей тонкой гиподенсной бороздкой
• Чаще всего борозда обнаруживается в области нижнего или верхнего полюса селезенки
• Отсутствует гематома у края селезенки, свободная жидкость или помутнение жировой клетчатки
2. Абсцесс селезенки:
• Скопление гиподенсной жидкости округлой или неправильной формы в паренхиме селезенки
• Клинические симптомы воспаления: повышение температуры тела, лейкоцитоз, левосторонний экссудативный плеврит
• Отсутствие факта травмы в анамнезе, отсутствие гемоперитонеума
3. Инфаркт селезенки:
• Клиновидный участок низкой плотности, который обычно располагается в периферических отделах селезенки
• Инфаркт сочетается со спленомегалией, возникает на фоне системной эмболии (например, при эндокардите), может также быть обусловлен большим количеством иных причин
• Свободная жидкость или кровь обычно отсутствуют (если инфаркт не осложнен разрывом селезенки)
• Возможно формирование постинфарктного абсцесса
4. Киста селезенки:
• Кистозное образование округлой формы, не накапливающее контраст, имеющее стенку, возможно, также с периферическими обызвествлениями

(Слева) На аксиальной КТ с контрастным усилением у молодого мужчины, пострадавшего в ДТП, определяется разрыв паренхимы селезенки с наличием сгустка крови высокой плотности, прилежащего к ее краю.
(Справа) На аксиальной КТ с контрастным усилением у этого же пациента также определяется сгусток крови, прилежащий к краю селезенки (типичный «сторожевой сгусток»), наряду со скоплением геморрагической жидкости меньшей плотности, более однородной структуры, во всех отделах брюшной полости. Заживление произошло самостоятельно, без хирургического вмешательства.
г) Патология:
1. Общая характеристика:
• Этиология:
о Преимущественно тупая травма верхних отделов живота слева:
- Чаще всего - ДТП
о Проникающие ранения селезенки происходят не так часто
о В редких случаях возможно ятрогенное повреждение селезенки во время операции (особенно на толстой кишке)
о У пациентов со спленомегалией риск повреждения селезенки (обусловленный любой причиной) выше
• Сочетанные патологические изменения:
о Повреждение грудной клетки, хвоста поджелудочной железы, левой доли печени и (или) брыжейки
2. Стадирование, градация и классификация повреждения селезенки:
• Даже «минимальное» повреждение селезенки может привести к выраженному кровотечению или ее разрыву в отдаленный период
• В основе градации, принятой AAST (Американской ассоциацией хирургии травмы), лежит выраженность изменений, обнаруживаемых при лапаротомии; она также применима к изменениям, выявленным на КТ:
о Не учитывает активную экстравазацию и формирование аневризм
о I: подкапсульная гематома (занимающая меньше 10% поверхности селезенки) или разрыв протяженностью меньше 1 см
о II: подкапсульная гематома (занимающая 10-50% поверхности селезенки) или разрыв протяженностью 1-3 см
о III: подкапсульная гематома (больше 50% поверхности селезенки), гематома в паренхиме селезенки протяженностью больше 5 см либо протяженный разрыв длиной больше 3 см, либо повреждение трабекулярных сосудов, подкапсульная или паренхиматозная гематома с разрывом
о IV: разрыв с повреждением сегментарных сосудов либо сосудов в воротах селезенки с деваскуляризацией или инфарктом как минимум 25% объема селезенки
о V: множественные разрывы селезенки, повреждение сосудов в воротах селезенки с ее тотальной деваскуляризацией/ин-фарктом
• Градация повреждений селезенки на основе данных МСКТ (по Marmery):
о I: подкапсульная гематома менее 1 см толщиной, разрыв глубиной меньше 1 см или паренхиматозная гематома меньше 1 см в поперечнике
о II: подкапсульная гематома толщиной 1-3 см, разрыв глубиной 1 -3 см или паренхиматозная гематома 1-3 см в поперечнике
о III: подкапсульная гематома больше 3 см толщиной, разрыв глубиной больше 3 см или паренхиматозная гематома больше 3 см в поперечнике; разрыв капсулы селезенки
о IVА: активная экстравазация в паренхиматозной или подкапсульной гематоме, псевдоаневризма или артериовенозная фистула, множественные разрывы селезенки
о IVВ: активное кровотечение в брюшную полость
д) Клинические особенности:
1. Проявления повреждения селезенки:
• Наиболее частые признаки/симптомы:
о Тупая травма живота, боль в верхних отделах живота слева, гипотония:
- Часто может сочетаться с болью в левой половине грудной клетки, обусловленной переломами ребер, консолидацией нижней доли левого легкого либо левосторонним гемотораксом
- Повреждения других органов брюшной полости в 36,5% случаев
- В 80% случаев повреждения селезенки сочетаются с травмой органов вне брюшной полости
2. Демография:
• Эпидемиология:
о При тупой травме живота из всех паренхиматозных органов чаще всего происходит повреждение селезенки
о При повреждении селезенки чаще всего требуется оперативное вмешательство
3. Течение и прогноз:
• При повреждении селезенки высока вероятность возникновения отсроченного кровотечения; однако при раннем вмешательстве (операции или эмболизации) прогноз крайне благоприятный
• Обнаружение активной артериальной экстравазации или псевдоаневризмы является наиболее информативным признаком неэффективности консервативного лечения и необходимости операции
4. Лечение повреждения селезенки:
• Пациенты с повреждениями селезенки и нестабильной гемодинамикой нуждаются в оперативном лечении, если получены положительные результаты ургентного УЗИ (FAST) или диагностического перитонеального лаважа (ДПЛ):
о У 29% взрослых пациентов и 40% детей при отсутствии крови в брюшной полости возможен ложноотрицательный результат FAST УЗИ или ДПЛ
• Пациенты с повреждениями селезенки I-III степени по шкале AAST и со стабильной гемодинамикой при отсутствии других повреждений лечатся консервативно (им показано наблюдение либо эмболизация):
о Консервативное лечение показано вплоть до 70% случаев
о Позволяет избежать рисков, связанных с операцией, а также сепсиса, обусловленного спленэктомией
о Спленэктомия показана при тяжелых повреждениях, при нестабильности гемодинамики либо неэффективности консервативной терапии (при отсроченном разрыве селезенки)
• Консервативные методы терапии особенно показаны детям
е) Диагностическая памятка. Следует учесть:
• Наличие борозды, разделяющей селезенку на несколько долей, при отсутствии гематомы по краю селезенки или свободной жидкости, позволяет предположить скорее врожденный вариант развития селезенки (дольчатость), чем ее разрыв
• Даже незначительные повреждения селезенки могут обусловливать отсроченное кровотечение, опасное для жизни, особенно при нарушении свертываемости крови либо при приеме антикоагулянтов
Разрыв селезенки
Разрыв селезенки – это нарушение целостности селезенки в результате травматического воздействия. Возникает при ударе в нижнюю часть левой половины грудной клетки или в область левого подреберья. Часто сочетается с повреждением других органов брюшной полости. Проявляется болями в левом подреберье и симптомами кровопотери, обычно наблюдаются признаки раздражения брюшины. Диагноз выставляется на основании клинических проявлений, данных лапароскопии и других исследований. Лечение оперативное - ушивание селезенки или удаление органа.
МКБ-10


Общие сведения
Разрыв селезенки – достаточно распространенное повреждение. Из-за высокой вероятности обильного кровотечения представляет непосредственную опасность для жизни, требует проведения немедленного оперативного вмешательства. Чаще встречается у лиц трудоспособного возраста, что обусловлено их более высокой физической активностью и более высоким риском попадания в экстремальные ситуации.
Разрывы селезенки могут быть изолированными, встречаться в составе сочетанной и множественной травмы (политравмы). Часто наблюдаются одновременные повреждения печени, брыжейки и толстой кишки. Возможно сочетание с переломами ребер, повреждением грудной клетки, переломом позвоночника, ЧМТ, переломом таза, переломами костей конечностей и другими повреждениями. Лечение данной патологии осуществляют травматологи и абдоминальные хирурги.

Причины
Разрыв селезенки встречается при различных высокоэнергетических травмах: падениях с высоты, промышленных, природных, железнодорожных или автодорожных катастрофах. К числу предрасполагающих факторов, повышающих вероятность повреждения селезенки, относятся недостаточно прочная тонкая капсула, полнокровие органа и его малая подвижность. С другой стороны, эти факторы нивелируются тем, что селезенка достаточно надежно защищена от внешних воздействий ребрами. Вероятность разрыва селезенки в результате травмы увеличивается при патологических процессах, сопровождающихся спленомегалией и повышением рыхлости паренхимы. Кроме того, прочность селезенки в некоторой степени зависит от степени ее кровенаполнения, положения органа в момент травмы, фазы дыхания, наполнения кишечника и желудка.
Патанатомия
Селезенка – паренхиматозный орган, расположенный в верхней левой части брюшной полости, кзади от желудка, на уровне IX-XI ребер. Покрыта капсулой. Имеет форму удлиненной и уплощенной полусферы, которая выпуклой стороной обращена к диафрагме, а вогнутой – к органам брюшной полости. Селезенка не относится к числу жизненно важных органов. Является основным источником лимфоцитов, продуцирует антитела, участвует в разрушении старых тромбоцитов и эритроцитов, выполняет функцию депо крови.
Классификация
В абдоминальной хирургии выделяют следующие виды разрывов селезенки:
- Контузия – наблюдается разрыв участка паренхимы при сохранении целостности капсулы органа.
- Разрыв капсулы без значительного повреждения паренхимы.
- Одномоментный разрыв селезенки – одномоментное повреждение капсулы и паренхимы.
- Двухмоментный разрыв селезенки – разрыв паренхимы, за которым через некоторое время следует разрыв капсулы.
- Разрыв капсулы и паренхимы с самостоятельной тампонадой (мнимый двухмоментный разрыв) – разрыв паренхимы быстро «закрывается» сгустком крови и кровотечение прекращается еще до появления выраженной клинической симптоматики. В последующем сгусток вымывается током крови, кровотечение возобновляется.
- Мнимый трехмоментный разрыв – двухмоментный разрыв, за которым через некоторое время следует самостоятельная тампонада, а позже – свободное позднее кровотечение.
Чаще всего наблюдаются одномоментные разрывы селезенки с немедленным возникновением кровотечения в брюшную полость. Двухмоментные разрывы составляют около 13% от общего количества закрытых повреждений селезенки, временной период между моментом травмы и началом кровотечения в брюшную полость колеблется от нескольких часов до 1-2,5 недель. Причиной разрыва капсулы при уже имеющейся центральной или подкапсульной гематоме становится физическое напряжение, чихание, кашель, ходьба, акт дефекации, поворот в постели и другие обстоятельства, вызывающие повышение давления в селезенке.
Большинство разрывов селезенки небольшие, сопровождаются стертой симптоматикой и диагностируются лишь через несколько часов, когда состояние больного ухудшается из-за продолжающейся кровопотери и скопления достаточного количества крови в брюшной полости. Профузное кровотечение с резким нарастанием клинических симптомов чаще наблюдается при двухмоментных повреждениях селезенки.

Симптомы разрыва селезенки
Клиника повреждений селезенки отличается большим разнообразием. Выраженность и наличие тех или иных проявлений зависят от степени разрыва, наличия или отсутствия сопутствующих повреждений, а также времени с момента травмы. Сразу после травматического воздействия может наблюдаться либо нерезкое ухудшение состояния, либо картина острой кровопотери без перитонеальных признаков, свидетельствующих о повреждении паренхиматозного органа. Основными жалобами в первые часы являются боли в районе левого подреберья и верхних отделах живота. Примерно у половины пациентов боли иррадиируют в левую лопатку и левое плечо.
Большинство больных принимают вынужденную позу: на левом боку с поджатыми ногами либо на спине. Брюшная стенка не участвует в акте дыхания. Степень напряжения брюшной стенки и выраженность болевого синдрома при пальпации живота может значительно варьировать как у разных больных, так и у одного и того же пациента в разные периоды после травмы. В отдельных случаях (при коллапсе или шоке) напряжение мышц живота может отсутствовать. Притупление звука в отлогих отделах живота при перкуссии наблюдается только при значительном кровотечении. Через некоторое время после травмы развивается парез кишечника, проявляющийся отсутствием дефекации, задержкой газов и вздутием живота.
Наряду с местными симптомами, наблюдается картина нарастающей острой кровопотери: бледность, липкий холодный пот, снижение АД, учащение пульса, рвота и тошнота, головокружение, прогрессирующая слабость, одышка и шум в ушах. В дальнейшем возможно двигательное возбуждение, сменяющееся потерей сознания, а также учащение пульса свыше 120 уд/мин и снижение АД ниже 70 мм рт. ст. При этом точно установить причину кровотечения на основании одних лишь клинических признаков удается не всегда, поскольку большинство перечисленных выше симптомов (за исключением болей в левом подреберье) непатогномоничны и появляются при любых острых катастрофах в животе.
Диагностика
Анализы крови на начальных этапах обследования малоинформативны, поскольку из-за механизмов компенсации кровопотери состав периферической крови может оставаться в пределах нормы в течение нескольких часов. Диагноз выставляется на основании клинических признаков, данных рентгенографии грудной клетки и рентгенографии живота. На рентгеновских снимках слева под диафрагмой определяется гомогенная тень. Дополнительными признаками разрыва являются ограничение подвижности и высокое стояние левого купола диафрагмы, расширение желудка, смещение левой части ободочной кишки и желудка вправо и книзу. При скудной клинической симптоматике, подкапсульных и центральных гематомах селезенки данные рентгенографии часто неспецифичны. Может потребоваться ангиография, однако этот метод не всегда применим из-за больших временных затрат, отсутствия необходимого оборудования или специалистов.
В настоящее время в связи с широким распространением эндоскопических методов все большее значение в диагностике разрывов селезенки приобретает лапароскопия. Эта методика позволяет не только быстро подтвердить наличие кровотечения в брюшную полость, но и точно установить его источник. При отсутствии эндоскопического оборудования альтернативой лапароскопии может стать лапароцентез – метод, при котором переднюю брюшную стенку прокалывают троакаром (полым инструментом), затем вводят через троакар катетер и выполняют аспирацию содержимого брюшной полости. Данная методика дает возможность подтвердить наличие кровотечения в брюшную полость, но не позволяет установить его источник.
Лечение разрыва селезенки
Кровотечения при подобных повреждениях крайне редко останавливаются самостоятельно, поэтому такая травма является показанием для экстренного хирургического вмешательства. Операция должна быть проведена в как можно более ранние сроки, поскольку нарастающая кровопотеря ухудшает прогноз. При возможности перед началом вмешательства добиваются стабилизации гемодинамики, осуществляя переливание крови и кровезаменителей. Если гемодинамические показатели не удается стабилизировать, операцию проводят даже при тяжелом состоянии пациента, параллельно продолжая осуществлять активные реанимационные мероприятия.
Классическим общепризнанным в травматологии и абдоминальной хирургии способом остановки кровотечения при любых разрывах селезенки считается полное удаление органа. Однако в последние годы, наряду с полным удалением, при отрывах фрагментов и неглубоких одиночных повреждениях некоторые хирурги в качестве варианта рассматривают органосохраняющую операцию – ушивание ран селезенки. Безусловными показаниями к полному удалению органа являются обширные разрывы и размозжения, разрывы в области ворот, обширные рваные и сквозные раны, невозможность надежного ушивания раны и прорезывание швов. В послеоперационном периоде после ушивания или удаления селезенки продолжают внутривенные инфузии крови и кровезаменителей, проводят коррекцию нарушений деятельности различных органов и систем, назначают обезболивающие и антибиотики.
Диагностика повреждений селезенки. Лечение повреждений диафрагмы.
Советы при травме селезенки
1. Какова физиологическая роль селезенки?
Селезенка — основной орган кроветворения у плода. В раннем детстве она вырабатывает иммуноглобулин М. Кроме того, селезенка выполняет роль фильтра, удаляя с помощью содержащихся в пей макрофагов аномальные клетки крови, продукты клеточного распада, а также инкапсулированные и плохо опсонизированные бактерии.
2. В каких случаях возможно повреждение селезенки?
Повреждение селезенки может произойти при ударе тупым предметом, резком торможении или сдавливании левой половины туловища, что часто происходит во время автомобильных аварий и падений с высоты.
3. Каковы симптомы повреждения селезенки?
Повреждение селезенки может сопровождаться болью в левом подреберье, обусловленной растяжением капсулы органа. Позже появляются симптомы раздражения брюшины, что связано с истечением крови в брюшную полость. У взрослых больных повреждения селезенки часто сочетаются с переломами нижних ребер слева. Характер нарушений жизненно важных функций при повреждении селезенки может быть различным и неспецифичпым; у значительного числа больных повреждение селезенки протекает бессимптомно.
4. Что такое симптом Кера (Kehr)?
Симптом Кера — боль в левом плече, вызванная раздражением диафрагмы кровью, излившейся в брюшную полость, или гематомой селезенки.
5. Какие исследования помогают диагностировать повреждение селезенки?
а) Экстренно выполненное УЗИ позволяет выявить свободную жидкость (кровь) в брюшной полости, если ее объем > 200 мл. В случаях, когда ультразвуковое исследование невозможно, проводят диагностический перитонеальный лаваж, который считается точным и чувствительным методом диагностики гемоперитонеума.
б) Больным со стабильной гемодинамикой показано более полное обследование. УЗИ позволяет достоверно диагностировать значительное кровотечение в брюшную полость, однако преимущество КТ состоит в том, что она определяет также характер повреждений паренхиматозных органов (печени, селезенки, поджелудочной железы, почек).
6. Как классифицируются повреждения селезенки? В чем значение классификации?
Выбор метода лечения зависит от состояния гемодинамики и результата оценки тяжести повреждения селезенки по данным КТ. При повреждениях I-III степени тяжести предпочтительно проведение консервативного лечения. Повреждения IV и V степени тяжести требуют экстренного оперативного вмешательства.
- I степень. Гематома: подкансульпая, не нарастает, занимает < 10% поверхности органа.
Разрыв: не кровоточит, разрыв капсулы и паренхимы глубиной < 1 см.
- II степень. Гематома: не нарастает, подкансульпая, занимает < 50% поверхности органа; либо не нарастает внутрипаренхиматозная гематома < 5 см в диаметре.
Разрыв: кровоточит, разрыв капсулы и паренхимы глубиной < 3 см.
- III степень. Гематома: нарастает, подкапсульная, занимает > 50% поверхности органа, разрыв гематомы с активным кровотечением либо внутрипаренхиматозная гематома > 5 см в диаметре или продолжает увеличиваться.
Разрыв капсулы и паренхимы глубиной > 3 см, включая повреждение трабекулярного сосуда.
- IV степень. Гематома: внутрипаренхиматозная с активным кровотечением.
Разрыв: вовлечены сегментарные сосуды или сосуды ножки селезенки с нарушением кровоснабжения > 25% органа.
- V степень. Фрагментация селезенки. Отрыв селезенки от ножки или полное нарушение кровоснабжения органа.

КТ при повреждении селезенки
7. Всегда ли повреждения селезенки требуют выполнения лапаротомии?
Нет. КТ органов брюшной полости позволяет оцепить степень тяжести повреждений селезенки. При отсутствии гемодинамических нарушений возможно проведение консервативного лечения под постоянным врачебным контролем. Такой подход оказывается эффективным примерно у 95% больных с повреждениями селезенки I—III степени тяжести. Стабильным пациентам в случае продолжающегося кровотечения (которое требует переливания крови) можно выполнить селективную эмболизацию поврежденной артерии, если удалось определить источник кровотечения на висцеральной ангиограмме.
8. Каковы противопоказания к консервативному лечению повреждений селезенки?
а) Нарушения гемодинамики.
б) Стойкая коагулонатия.
в) Сопутствующие повреждения других органов брюшной полости, требующие оперативного вмешательства.
г) Сопутствующая травма (например, перелом таза с продолжающимся кровотечением, которое не позволяет оцепить динамику кровотечения в брюшной полости).
д) Тяжелое повреждение селезенки (V и иногда IV степени тяжести).
9. В каких случаях консервативное лечение считается неэффективным?
Консервативное лечение неэффективно, если па его фоне у пациента прогрессируют гемодинамические нарушения, продолжается кровотечение, усиливаются боли или увеличивается размер повреждения.
10. Что такое двухмоментный разрыв селезенки?
Это осложнение возникает менее чем в 1% случаев. Двухмоментный разрыв селезенки следует отличать от поздней диагностики повреждения органа и разрыва уже выявленной гематомы. Истинный двухмоментный разрыв селезенки происходит через 48 часов после травмы живота у больного, поступившего без явных клинических признаков повреждения органов брюшной полости.
11. Опишите в общих чертах спленэктомию по поводу травмы селезенки.
К первостепенной задаче относится остановка кровотечения, которая обычно достигается путем тампонады кровоточащих ран и сдавления селезенки рукой. В случае успеха данных манипуляций проводят тщательную ревизию брюшной полости для исключения повреждений других органов. Выполнение ревизии облегчает рассечение селезеночно-ободочной, селезеночно-почечной, селезеночно-диафрагмальной, селезеночно-желудочной связок и полная мобилизация селезенки.
При пересечении селезеночно-желудочной связки лигируют короткие желудочные артерии и вены. При некоторых повреждениях селезенки эффективны гемостатические средства, ушивание раны, резекция органа и укрытие кровоточащего участка специальной сеткой из рассасывающегося материала. Если принято решение выполнить спленэктомию, то селезенку удаляют после раздельной перевязки селезеночных артерии и вены.
12. Что такое аутотрансплантация селезенки?
Аутотрансплантация — имплантация гомогенизированной ткани селезенки или кусочков ее паренхимы в карманы, сформированные в большом сальнике.
13. Что предпочтительнее: сохранение, удаление или аутотрансплантация селезенки?
Показаниями к выполнению силеиэктомии служат шок, выраженные нарушения свертываемости крови и наличие других повреждений, угрожающих жизни больного.

Топография селезенки
14. Сохраняется ли функция селезенки после аутотрансплантации?
Эффективность выполнения аутотрансплантации после спленэктомии достоверно не доказана. Считается, что нормальная функция селезенки после аутотрансплантации возможна при сохранении не менее 30% от исходной массы органа. Однако неизвестно, продолжает ли пересаженная ткань выполнять функцию защиты от патогенных микроорганизмов.
15. Каковы ранние осложнения спленэктомии?
К ранним осложнениям силеиэктомии относят кровотечение, поддиафрагмальный абсцесс, острое расширение желудка, перфорацию желудка, панкреатит (селезеночная артерия проходит вдоль верхнего края поджелудочной железы) и тромбоцитоз.
16. Вы знакомы с массивным постспленэктомическим сепсисом (OPSS)? Как его предупредить?
Массивный постспленэктомический сепсис (МПСС) — эго тяжелая бактериемия (вызванная обычно инкапсулированными бактериями), которая возникает у 2% больных, перенесших спленэктомию. Риск развития МПСС повышается, если силенэктомию выполняют в раннем детском возрасте. Наиболее часто МПСС вызывают пневмококки (50% случаев), менингококки, Escherichia coli, Haemophilus influenzae, стафилококки и стрептококки. Смертность при МПСС составляет 50%. Несмотря на редкость данного осложнения, высокий уровень смертности заставляет думать о целесообразности сохранения селезенки.
Вакцинация — основной метод профилактики МПСС. Пневмококковую и менингококковую вакцины вводят непосредственно после сплеиэктомии с последующей ревакцинацией каждые 5 лет. Учитывая возможность развития сепсиса несмотря на вакцинацию, рекомендуется длительный профилактический прием пенициллина, особенно детям моложе 2 лет.
17. В чем заключается наблюдение за больным в случае успешного консервативного лечения повреждения селезенки?
Если консервативное лечение неэффективно, то это обычно становится очевидным в течение 5 дней. В случае если проведенные мероприятия принесли желаемый эффект, то через 5 дней больному выполняют повторно УЗИ органов брюшной полости, чтобы констатировать отсутствие нарастания повреждений. Через 6 педель после травмы амбулаторно выполняют КТ органов брюшной полости для подтверждения полного заживления рапы селезенки. Больному следует воздерживаться от контактных видов спорта в течение 3 месяцев.
Редактор: Искандер Милевски. Дата обновления публикации: 18.3.2021
Информация на сайте подлежит консультации лечащим врачом и не заменяет очной консультации с ним.
См. подробнее в пользовательском соглашении.
Инфаркт селезенки
Инфаркт селезенки — это некроз органа вследствие тромбоза, эмболии или длительного спазма селезеночных сосудов. При небольших инфарктах симптомы болезни могут отсутствовать. При обширных повреждениях появляются боли и тяжесть в левом подреберье, тошнота, рвота, лихорадка, диарея или запор. Диагностика основывается на данных анамнеза заболевания, хирургического осмотра, УЗИ и МРТ селезенки. Дополнительно применяют пункцию и КТ органа. При малых повреждениях показан покой, холод на область подреберья слева. При множественных и генерализованных инфарктах выполняют удаление части или всего органа, назначают антибиотики, обезболивающие, противовоспалительные препараты.

Инфаркт селезенки — патологическое состояние, при котором развивается ишемия паренхимы и гибель участка или всей селезеночной ткани. Селезенка принимает участие в кроветворении, а ее поражение оказывает влияние на иммунные и обменные процессы в организме. Ишемические изменения и некроз паренхимы органа представляют интерес для врачей различных специальностей: абдоминальных хирургов, иммунологов, гематологов. Распространённость заболевания в мире составляет 3%. Инфаркт селезенки в равной степени поражает мужчин и женщин. Патология встречается преимущественно у лиц пожилого возраста (60-70 лет).
Болезнь развивается при полной или частичной окклюзии селезеночной артерии в результате спазма или закупорки ее основного ствола либо ветвей. К формированию данной патологии могут привести следующие состояния:
- Злокачественные гематологические заболевания. Лимфома, лейкоз, лимфогранулематоз могут провоцировать образование тромбов, эмболизацию магистральных сосудов и развитие инфаркта.
- Изменение свойств крови. Нарушение белкового обмена, продолжительный прием пероральных контрацептивов, лечение эритропоэтином, серповидно-клеточная и гемолитическая анемии, врожденные и приобретенные дефекты свертывающей системы крови изменяют состав и реологические свойства крови, способствуя тромбообразованию.
- Патология сердца. Болезни сердца (инфекционный эндокардит, пороки клапанного аппарата, инфаркт миокарда, нарушение сердечного ритма) влияют на скорость кровотока, приводя к его замедлению и образованию тромбов, которые с током крови попадают в артериальные сосуды селезенки.
- Системные и воспалительные заболевания сосудов. Васкулит, атеросклероз, эндартериит вызывают сужение просвета сосуда и его закупорку, могут способствовать образованию тромбов на поврежденном участке сосуда, их отрыву и эмболизации селезеночных сосудов.
- Травматические поражения. Открытое или закрытое повреждение органов брюшной полости, переломы ребер могут привести к эмболизации лиенальных сосудов различной этиологии (воздушная, жировая эмболии).
- Инфекции и паразитарные заболевания. Тяжелые состояния (сепсис, тиф, малярия) могут повлечь за собой развитие инфекционно-токсического шока, централизацию кровообращения, спазм сосудов селезенки и формирование инфаркта.
- Патология селезенки. Перекрут подвижной селезенки, кисты органа вызывают сдавление сосудов, нарушение питания и ишемию.
Патогенез
Селезенка локализуется в области левого подреберья кзади от желудка. В результате различных факторов (эмболия, тромбоз, спазм) возникает закупорка лиенальной артерии или ее ветвей, нарушается транспорт кислорода с кровью в клетки органа. Длительная ишемия приводит к гибели участка (при закупорке артериальных ветвей) или всей селезенки (при окклюзии основной артерии). Орган выглядит бледно-желтым с воспалительной инфильтрацией.
Инфаркт может возникать в результате разрыва одного из сосудов селезенки. При закупорке артерии кровь по коллатералям продолжает поступать в орган, возникает избыточное давление на стенки сосуда, нарушение целостности оболочек и кровотечение. Паренхиматозная селезеночная ткань красного цвета, пропитана кровью, имеет выраженные границы, инфильтраты и участки некроза. В результате инфаркта нарушается нормальное функционирование селезенки, угнетаются защитные, эндокринные функции, процессы лимфо-, эритро- и лейкопоэза.
Инфаркт селезенки может быть мелкоочаговым и обширным (захватывает весь орган), одиночным и множественным, неинфицированным и септическим. В зависимости от причин возникновения патологии в хирургии выделяют:
- Ишемический (белый) инфаркт. Образуется в результате закупорки основной артерии селезенки или ее артериальных ветвей, кровоснабжающих паренхиму органа. При недостатке анастомозов и коллатералей лиенальное сосудистое русло запустевает. Происходит постепенная гибель паренхимы.
- Геморрагический инфаркт. Развивается вследствие венозного застоя, связанного с нарушением оттока крови по венам, а также переполнением мелких сосудов селезенки кровью, поступающей по коллатералям. Стенка сосуда не справляется с возникшим напряжением и разрывается, в паренхиме органа образуется гематома.
Симптомы инфаркта селезенки
Клиническая картина болезни обусловлена масштабом поражения органа. При одиночном инфаркте небольшого размера симптомы заболевания могут отсутствовать или проявляться легким недомоганием и слабостью. По мере увеличения размеров или количества некротизированных участков возникает тупая боль и чувство тяжести в подреберье слева. Появляются диспепсические расстройства: диарея, метеоризм, тошнота, рвота. Ухудшается общее состояние пациента, развивается одышка, тахикардия, повышается температура тела.
Массивный инфаркт сопровождается острой колющей или режущей болью в зоне левого подреберья, иррадиирущей в левую лопатку, поясничную область, грудную клетку и область эпигастрия. Уменьшается подвижность диафрагмы слева, возникают запоры, нарастают симптомы интоксикации. При осмотре селезенка увеличена в размерах и болезненна при пальпации.
Осложнения
При инфицировании некротизированной части органа образуется один или несколько абсцессов селезенки. Гнойники могут увеличиваться в размерах, прорываться в брюшную полость с возникновением жизнеугрожающих состояний: перитонита и сепсиса. Летальность при инфаркте селезенки составляет 1,8%. К осложнениям обширного геморрагического инфаркта относят кровотечения. Исходом заболевания может стать образование псевдокист больших размеров.
Диагностика инфаркта селезенки вызывает значительные трудности в связи с длительным отсутствием специфической симптоматики и стертой клинической картиной в начале болезни. Для подтверждения диагноза необходимо провести следующие диагностические мероприятия:
- Осмотр хирурга. После изучения анамнеза жизни и заболевания, физикального осмотра пациента специалист ставит предварительный диагноз и назначает дополнительные методы исследования.
- УЗИ селезенки. Распространённый и доступный метод выявления инфаркта. Позволяет оценить размеры, структуру селезенки, определить состояние капсулы и выявить дополнительные включения и образования. Дуплексное сканирование определяет кровоток в лиенальных сосудах и помогает выявить его нарушение.
- МРТ селезенки. Наиболее современный и эффективный метод диагностики. Оценивает состояние паренхимы и выявляет очаги некроза.
- КТ селезенки. Является дополнительным способом исследования, используется для уточнения природы лиенальных образований (абсцесс селезенки, киста, гематома).
- Пункция селезенки. Данный метод ввиду травматичности и инвазивности применяется редко. Специалист в стерильных условиях проводит забор материала для лабораторного исследования.
Лабораторная диагностика малоинформативна на начальной стадии болезни. При присоединении инфекции или массивных очагах некроза в ОАК наблюдается лейкоцитоз, повышение СОЭ, анемия, угнетение ростков кроветворения. Дифференциальная диагностика инфаркта проводится с другими острыми заболеваниями селезенки: абсцессом, кистой. Инструментальные исследования инфаркта позволяют оценить состояние органа и поставить правильный диагноз. Если возникновению симптомов болезни предшествовала травма, инфаркт дифференцируют с подкапсульным разрывом органа.
Лечение инфаркта селезенки
При подтверждении диагноза требуется срочная госпитализация в отделение абдоминальной хирургии. Тактика лечения зависит от размеров некротизированных очагов и общего состояния пациента. Вначале необходимо устранить причину, вызвавшую появление инфаркта, после чего приступают к непосредственному лечению патологии. При небольших некрозах показан строгий постельный режим, холод на область левого подреберья, применение антикоагулянтных и обезболивающих (при необходимости) препаратов.
При генерализованной форме инфаркта осуществляют хирургическое вмешательство. Операция может проводиться открытым доступом или лапароскопическим методом. Производится удаление части пораженного органа (резекция селезенки) или его целиком (спленэктомия). Лапароскопическая операция является наиболее современным и малотравматичным способом, при котором значительно сокращается реабилитационный период.
После вмешательства пациентам проводят антибактериальную, дезинтоксикационную, обезболивающую, антикоагулянтную терапию. В некоторых случаях применяют иммуностимулирующие препараты. В период реабилитации рекомендовано придерживаться специальной щадящей диеты, проводить физиотерапию. После открытой операции несколько недель показано ношение бандажа.
Прогноз и профилактика
Прогноз болезни зависит от объема поражения, грамотной диагностики и лечения. При небольших размерах инфаркта селезенки, своевременном распознавании болезни и проведении лечебных мероприятий прогноз благоприятный. На месте некроза образуется рубцовая ткань. Массивный инфаркт, осложненный образованием кисты и абсцесса, может привести к распространению инфекции и развитию сепсиса. Профилактика инфаркта направлена на рациональное лечение хронических заболеваний, способных спровоцировать развитие ишемии и некроза, прохождение периодических осмотров необходимых специалистов. При первых симптомах заболевания необходимо обратиться к хирургу.
Травмы диафрагмы
Травмы диафрагмы – это повреждения грудобрюшной преграды, возникающие в результате воздействия внешних факторов. При небольших разрывах симптоматика стертая. Обширные закрытые травмы могут проявляться признаками сдавления лёгкого, внутреннего кровотечения, ущемления желудка или кишечника. При открытых ранениях присутствуют симптомы нарушения целостности органов грудной клетки и (или) брюшной полости. Патология диагностируется с помощью осмотра, физикальных данных, УЗИ и лучевых методов исследования грудной и абдоминальной полостей, торако- или лапароскопии. После обнаружения дефекта диафрагмы осуществляется его хирургическая коррекция.


Травмы диафрагмы встречаются в 0,5-5% случаев всех сочетанных повреждений. Разрыв органа при закрытой травме чаще происходит в месте соединения его мышечной и сухожильной частей. Размер образовавшегося дефекта может существенно варьироваться (от 2 до 20 см). Из-за анатомических особенностей организма преобладают повреждения левого купола. Двусторонние, множественные разрывы выявляются редко. Ранение диафрагмы при открытой травме может локализоваться в любой её части. Из-за трудностей диагностики у 50-70% пострадавших диафрагмальный дефект не обнаруживается прижизненно. Пациенты погибают от тяжёлых сочетанных торакальных или абдоминальных травм, поздних осложнений недиагностированной патологии.
- Причиной открытых травм диафрагмы являются огнестрельные или колото-резаные торакоабдоминальные ранения, чаще встречающиеся в период военных действий.
- В мирное время превалируют закрытые травмы, возникающие вследствие дорожно-транспортных происшествий, при падении с высоты.
- К разрыву диафрагмы иногда приводит компрессия грудной клетки или живота при сдавлении тяжелым предметом.
Ранее считалось, что спровоцировать подобную травму может повышение внутрибрюшного давления при чихании, кашле, рвоте, а также у женщин во время родов. Современные экспериментальные исследования в области общей хирургии и травматологии указывают на то, что предпосылкой разрыва в таких случаях становится врождённое истончение мышечного слоя диафрагмы.
Открытые повреждения диафрагмы очень редко бывают изолированными. Обычно колюще-режущий предмет или пуля (при огнестрельном ранении) проходит из грудной полости в брюшную или наоборот, травмируя диафрагму, а также прилежащие к ней ткани и органы. При закрытом ранении разрывы диафрагмы обусловлены чрезмерным натяжением органа, возникающим из-за сдавления рёбер или живота. Дефект грудобрюшной преграды может также образоваться при её повреждении отломками рёбер.
Из-за разницы давления в грудной и брюшной полостях желудок, петли кишечника, селезёнка, реже печень и желчный пузырь пролабируют в грудную клетку, поджимают лёгкие и средостение, могут ущемиться в образовавшемся отверстии. Повреждение крупных сосудов становится причиной массивных внутренних кровотечений. Прилежащие к диафрагме листки плевры имеют большое количество болевых рецепторов. Раздражение этих рецепторов при чрезмерном натяжении плевры из-за пролапса органов или её повреждения, травмы других органов и массивная кровопотеря потенцируют развитие травматического шока.
В зависимости от локализации места разрыва различают травмы левого или правого купола диафрагмы, а также нарушения целостности ее мышечной или сухожильной части. Ранения органа могут быть единичными и множественными, изолированными или сочетанными с другими травматическими повреждениями. Большое клиническое значение имеет деление травм грудобрюшной перегородки на:
Открытые
Возникают при проникающем ранении живота или груди. По клиническим проявлениям подразделяются на следующие группы:
- С преимущественно абдоминальными повреждениями. Преобладают признаки ранения органов живота. Травма ОГК незначительная. Явления гемо- или пневмоторакса отсутствуют.
- Спревалирующими торакальными поражениями. На первый план выходят симптомы тяжёлой травматизации плевры и лёгкого, выраженная дыхательная недостаточность.
- С признаками торакоабдоминальной травмы. Ярко выражены проявления ранений органов обеих полостей.
Закрытые
Не сопровождается нарушением целостности кожных покровов. Раневой канал отсутствует. Клиническая картина определяется размерами разрыва и степенью пролабирования органов живота в полость груди.
Симптомы травм диафрагмы
Клинические проявления диафрагмальной травмы очень разнообразны, зависят от величины разрыва и наличия сочетанных повреждений других органов. Патогномоничным симптомом диафрагмальной травмы является болезненность в области мечевидного отростка грудины. Иногда появляется некупируемая икота. При открытых травмах всегда присутствует глубокий раневой канал, нередко имеющий выходное отверстие. Ранение с повреждением брюшной полости характеризуется картиной острого живота. Пострадавшие жалуются на интенсивные, усиливающиеся при пальпации боли в животе, которые могут быть острыми или тупыми, разлитыми или локализованными. Ярко выраженный болевой синдром нередко сопровождается рвотой. Пациенты принимают вынужденное положение, беспокойны.
При сопутствующем повреждении ОГК больного беспокоят резкие боли в груди и затруднение дыхания. При вдохе со стороны входного отверстия раны слышен «сосущий» звук. При выдохе или кашле воздух выталкивается из раны вместе с пенистой кровью. Возникает и нарастает подкожная эмфизема. В области груди, шеи, лица появляется быстро распространяющаяся припухлость, при пальпации которой слышен характерный хруст. Травмы грудной клетки с повреждением диафрагмы часто сопровождаются кровохарканьем. Из-за раздражения большого количества рецепторов париетального и висцерального листков плевры может развиваться плевропульмональный шок, характеризующийся нарушением гемодинамики и выраженной респираторной недостаточностью.
Резкое снижение артериального давления, тахикардия, бледность кожных покровов, слабость, нарушение сознания наблюдаются при значительной кровопотере, обусловленной ранением крупных кровеносных сосудов. При пролабировании внутренних органов в грудную полость обнаруживаются признаки компрессии лёгкого, смещение средостения. У пострадавшего возникает одышка при малейшей нагрузке и в покое. Кожа приобретает цианотичный оттенок. Присутствует учащенное сердцебиение и нарушения сердечного ритма.
Из-за хорошего кровоснабжения диафрагмы травмы этого органа часто осложняются внутрибрюшным или внутригрудным кровотечением. Описаны случаи смерти пациентов от кровопотери, вызванной травматизацией грудобрюшной преграды во время плевральной пункции. Своевременно не диагностированные сопутствующие абдоминальные травмы через несколько дней приводят к развитию перитонита. Массивные торакальные повреждения нередко сопровождаются плевропульмональным шоком. Из-за сложностей диагностики небольшие по размеру травмы диафрагмы часто остаются невыявленными, в последующем формируются травматические диафрагмальные грыжи. Грозным осложнением таких грыж является ущемление в образовавшемся разрыве внутренних органов с последующим некрозом их стенок, развитием кишечной непроходимости, перитонита.
Диагностическим поиском при подозрении на травму диафрагмы занимаются травматологи, торакальные и абдоминальные хирурги. При массивном ранении явными симптомами разрыва грудобрюшной преграды считаются выпадение органов живота из раны на груди, истечение из неё желчи, желудочного или кишечного содержимого. Обнаружить небольшие повреждения перегородки при проникающей травме груди или живота часто бывает трудно из-за общего тяжёлого состояния пострадавшего. Наличие дефекта в диафрагме выявляется с помощью следующих методов:
- Осмотр и физикальные данные. При осмотре открытой раны оценивается состояние входного и выходного отверстий, определяется ход раневого канала. Обнаружить образовавшийся дефект иногда удается путем пальпации раневого хода пальцем. Иногда наблюдается асимметрия живота либо грудной клетки. На разрывы диафрагмы указывает наличие перитонеальных симптомов и притупления в отлогих местах живота при повреждении груди, укорочение лёгочного звука или тимпанит, ослабление дыхания при травмах брюшной полости. При аускультации лёгких могут прослушиваться кишечные шумы.
- Лучевая диагностика. Выполняется рентгенография и КТ грудной полости, КТ брюшной полости. Выявить разрыв на рентгенограмме можно только при пролапсе органов пищеварения в область грудной клетки. Для уточнения локализации травматического дефекта грудобрюшной перегородки, дифференциальной диагностики травмы и релаксации органа осуществляется контрастная рентгенография желудка либо ирригография. Просматривается желудок или петли кишечника в левой половине грудной клетки, определяется смещение пищевода.

КТ органов грудной клетки/брюшной полости. Травматический дефект в передних отделах диафрагмы справа с эвентрацией кишечника, сальника, кровеносных сосудов в грудную полость
- Ультразвуковое исследование.УЗИ ОБП и УЗИ плевральной полости даёт возможность подтвердить наличие диафрагмального дефекта, смещение ОБП, наличие свободной жидкости в обеих полостях. Наблюдается высокое стояние одного из куполов диафрагмы. Левосторонний разрыв сопровождается разъединением плевральных листков с появлением неоднородного содержимого между ними. При правостороннем дефекте обнаруживается необычно высокое расположение печени – её верхний край может находиться на уровне второго ребра.
- Лапароскопия, видеоторакоскопия. Являются наиболее информативными методами диагностики. Позволяют визуализировать и локализовать разрыв органа. Применяются в сложных случаях, в том числе – для дифференцировки травмы с релаксацией диафрагмы. Видеоторакоскопия выполняется осторожно, верхним доступом из-за опасности повредить пролабирующие органы.

Лечение травм диафрагмы
В целях снижения летальности устранение жизнеугрожающих состояний, осложняющих диафрагмальную травму, должно быть максимально ранним и начинаться на догоспитальном этапе. Назначается адекватное обезболивание. Выполняется остановка кровотечения и восполнение ОЦК путем внутривенного вливания коллоидных плазмозаменителей и кристаллоидных растворов. Восстанавливается проходимость дыхательных путей, производится подача увлажнённого кислорода. Артериальная гипотензия купируется введением прессорных аминов.
В хирургическом стационаре осуществляется предоперационная подготовка, включающая в себя устранение пневмо- и гемоторакса, постановку назогастрального зонда и удаление содержимого желудка. Все эти мероприятия проводятся на фоне продолжающейся инфузионной терапии. Непосредственно во время операции выполняется прошивание кровоточащих сосудов, восстановление целостности внутренних органов, удаление патологического содержимого из полостей.
Объём оперативного вмешательства зависит от давности повреждения и состояния органов, перемещённых в плевральную полость (при наличии подобной патологии). Из-за отсутствия прочных сращений в течение нескольких часов или дней после травмы низведение осуществляется легко, лапаротомным доступом. При невозможности этой манипуляции или ущемлении органов дополнительно производится торакотомия. После восстановления нормального расположения внутренних органов производится ушивание дефекта диафрагмы. В послеоперационном периоде контролируются и корригируются витальные функции, назначается антибактериальная терапия.
Прогноз во многом зависит от характера травмы и величины образовавшегося дефекта. Около 50% пациентов с разрывом диафрагмы погибают от летальных осложнений до установления диагноза. Смерть в постоперационном периоде наступает в 35% случаев, чаще обусловлена наличием сочетанных повреждений. У пострадавших с открытым ранением диафрагмы прогностические показатели хуже, чем у больных с закрытой травмой. К профилактике подобных повреждений можно отнести общие меры по предупреждению травматизма, соблюдение правил личной безопасности в быту и на рабочем месте.
3. Диагностика и хирургическое лечение повреждений диафрагмы/ Кубачев Г.К., Омаров И.Ш., Турдыев Д.С.
4. Повреждения диафрагмы при открытой и закрытой торакоабдоминальной травме/ Кубачев Г.К., Кукушкин А.В.
Читайте также:
